Plexiform Fibromyxoma in the Stomach: Immunohistochemical Profile and Comprehensive Genetic Characterization
Abstract
1. Introduction
2. Case Presentation
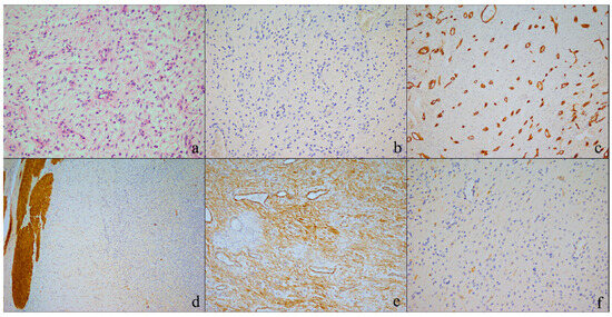
2.1. Histopathological Features
2.2. Molecular Profile of Gastric PF
3. Discussion
4. Conclusions
5. Materials and Methods
5.1. Molecular Analysis by RT-PCR
5.2. Illumina TruSight Oncology 500 Assay
5.3. Interphase FISH
Author Contributions
Funding
Institutional Review Board Statement
Informed Consent Statement
Data Availability Statement
Conflicts of Interest
References
- Bosman, F.T.; Carneiro, F.; Hruban, R.H.; Theise, N.D. (Eds.) WHO Classification of Tumours of the Digestive System, 4th ed.; International Agency for Research on Cancer (IARC) Press: Lyon, France, 2010. [Google Scholar]
- Miettinen, M.; Makhlouf, H.R.; Sobin, L.H.; Lasota, J. Plexiform fibromyxoma: A distinctive benign gastric antral neoplasm not to be confused with a myxoid GIST. Am. J. Surg. Pathol. 2009, 33, 1624–1632. [Google Scholar] [CrossRef] [PubMed]
- Takahashi, Y.; Shimizu, S.; Ishida, T.; Aita, K.; Toida, S.; Fukusato, T.; Mori, S. Plexiform Angiomyxoid Myofibroblastic Tumor of the Stomach. Am. J. Surg. Pathol. 2007, 31, 724–728. [Google Scholar] [CrossRef]
- Sing, Y.; Subrayan, S.; Mqadi, B.; Ramdial, P.K.; Reddy, J.; Moodley, M.S.; Bux, S. Gastric plexiform angiomyxoid myofibroblastic tumor. Pathol. Int. 2010, 60, 621–625. [Google Scholar] [CrossRef] [PubMed]
- Kang, Y.; Jung, W.; Do, I.G.; Lee, E.J.; Lee, M.H.; Kim, K.M.; Choi, J. Plexiform angiomyxoid myofibroblastic tumor of the stomach: Report of two cases and review of the literature. Korean J. Pathol. 2012, 46, 292–296. [Google Scholar] [CrossRef] [PubMed]
- Duckworth, L.V.; Gonzalez, R.S.; Martelli, M.; Liu, C.; Coffin, C.M.; Reith, J.D. Plexiform Fibromyxoma: Report of Two Pediatric Cases and Review of the Literature. Pediatr. Dev. Pathol. 2014, 17, 21–27. [Google Scholar] [CrossRef] [PubMed]
- Su, H.-A.; Yen, H.-H.; Chen, C.-J. An Update on Clinicopathological and Molecular Features of Plexiform Fibromyxoma. Can. J. Gastroenterol. Hepatol. 2019, 2019, 3960920. [Google Scholar] [CrossRef] [PubMed]
- Lai, J.; Kresak, J.L.; Cao, D.; Zhang, D.; Zhang, S.; Leon, M.E.; Shenoy, A.; Liu, W.; Trevino, J.; Starostik, P.; et al. Gastric Plexiform Fibromyxoma: A Great Mimic of Gastrointestinal Stromal Tumor (GIST) and Diagnostic Pitfalls. J. Surg. Res. 2019, 239, 76–82. [Google Scholar] [CrossRef] [PubMed]
- Daum, O.; Jirasek, T.; Grossmann, P.; Mukensnabl, P.M.; Michal, M. Plexiform Fibroma of the Colon. Appl. Immunohistochem. Mol. Morphol. 2010, 18, 483–484. [Google Scholar] [CrossRef] [PubMed]
- Miettinen, M.; Lasota, J. Histopathology of gastrointestinal stromal tumor. J. Surg. Oncol. 2011, 104, 865–873. [Google Scholar] [CrossRef]
- Hu, G.; Chen, H.; Liu, Q.; Wei, J.; Feng, Y.; Fu, W.; Zhang, M.; Wu, H.; Gu, B.; Ren, J. Plexiform fibromyxoma of the stomach: A clinicopathological study of 10 cases. Int. J. Clin. Exp. Pathol. 2017, 10, 10926–10933. [Google Scholar]
- Kim, A.; Bae, Y.K.; Shin, H.C.; Choi, J.H. Plexiform angiomyxoid myofibroblastic tumor of the stomach: A case report. J. Korean Med. Sci. 2011, 26, 1508–1511. [Google Scholar] [CrossRef]
- Li, P.; Yang, S.; Wang, C.; Li, Y.; Geng, M. Presence of smooth muscle cell differentiation in plexiform angiomyxoid myofibroblastic tumor of the stomach: A case report. Int. J. Clin. Exp. Pathol. 2014, 7, 823–827. [Google Scholar]
- Sarlomo-Rikala, M.; Kovatich, A.J.; Barusevicius, A.; Miettinen, M. CD117: A sensitive marker for gastrointestinal stromal tumors that is more specific than CD34. Mod. Pathol. 1998, 11, 728–734. [Google Scholar]
- Takahashi, Y.; Suzuki, M.; Fukusato, T. Plexiform angiomyxoid myofibroblastic tumor of the stomach. World J. Gastroenterol. 2010, 16, 2835–2840. [Google Scholar] [CrossRef]
- Zhou, J.; Xu, J.; Jiang, G.; Ma, Y.; Qi, J.; Li, W.; Zhang, D. Gastrointestinal stromal tumor with a PDGFRA mutation masquerading as gastric plexiform fibromyxoma: A comparative clinicopathological study of two cases. Oncol. Lett. 2017, 13, 887–892. [Google Scholar] [CrossRef]
- Spans, L.; Fletcher, C.D.; Antonescu, C.R.; Rouquette, A.; Coindre, J.M.; Sciot, R.; Debiec-Rychter, M. Recurrent MALAT1-GLI1 oncogenic fusion and GLI1 up-regulation define a subset of plexiform fibromyxoma. J. Pathol. 2016, 239, 335–343. [Google Scholar] [CrossRef]
- Higashi, M.; Hamada, T.; Sasaki, K.; Tsuruda, Y.; Shimonosono, M.; Kitazono, I.; Kirishima, M.; Tasaki, T.; Noguchi, H.; Tabata, K.; et al. Esophageal plexiform fibromyxoma: A case report with molecular analysis for MALAT1-GLI1 fusion. Pathol. Res. Pract. 2022, 233, 153878. [Google Scholar] [CrossRef]
- Graham, R.P.; Nair, A.A.; Davila, J.I.; Jin, L.; Jen, J.; Sukov, W.R.; Wu, T.T.; Appelman, H.D.; Torres-Mora, J.; Perry, K.D.; et al. Gastroblastoma harbors a recurrent somatic MALAT1-GLI1 fusion gene. Mod. Pathol. 2017, 30, 1443–1452. [Google Scholar] [CrossRef]
- Tang, C.T.; Zeng, C.Y.; Chen, Y.X. Letter to editor regarding “GLI1 overexpression promotes gastric cancer cell proliferation and migration and induces drug resistance by combining with the AKT-mTOR pathway”. Biomed. Pharmacother. 2020, 122, 109792. [Google Scholar] [CrossRef] [PubMed]
- Hamada, T.; Higashi, M.; Yokoyama, S.; Akahane, T.; Hisaoka, M.; Noguchi, H.; Furukawa, T.; Tanimoto, A. MALAT1 functions as a transcriptional promoter of MALAT1::GLI1 fusion for truncated GLI1 protein expression in cancer. BMC Cancer 2023, 23, 424. [Google Scholar] [CrossRef] [PubMed]
- Jeng, K.S.; Chang, C.F.; Lin, S.S. Sonic Hedgehog Signaling in Organogenesis, Tumors, and Tumor Microenvironments. Int. J. Mol. Sci. 2020, 21, 758. [Google Scholar] [CrossRef]
- Papaetis, G.S.; Syrigos, K.N. Targeted therapy for gastrointestinal stromal tumors: Current status and future perspectives. Cancer Metastasis Rev. 2020, 29, 151–170. [Google Scholar] [CrossRef]
- Li, B.; Zhang, Q.F.; Han, Y.N.; Ouyang, L. Plexiform myxoid gastrointestinal stromal tumor: A potential diagnostic pitfall in pathological findings. Int. J. Clin. Exp. Pathol. 2015, 8, 13613–13618. [Google Scholar]
- Ok, C.Y.; Singh, R.R.; Vega, F. Aberrant activation of the hedgehog signaling pathway in malignant hematological neoplasms. Am. J. Pathol. 2012, 180, 2–11. [Google Scholar] [CrossRef]
- Xu, Y.; Song, S.; Wang, Z.; Ajani, J.A. The role of hedgehog signaling in gastric cancer: Molecular mechanisms, clinical potential, and perspective. Cell Commun. Signal. 2019, 17, 157. [Google Scholar] [CrossRef]



| Mutations | Molecular Ontology (MF) | Cellular Component Ontology (CC) | Ontology Biological Process (BP) |
|---|---|---|---|
| ABL1 p. c.3324A>G | Protein kinase (GO:0005524) | Cytoplasm (GO:0005737) | Phosphorylation (GO:0006468) Cell cycle (GO:0007049) |
| KDR p.Q472H c.1416A>T | Receptor-activated kinase (GO:0016301) | Plasma membrane (GO:0005576) | Angiogenesis (GO:0001525) |
| CSF1R p.G413S c.1237G>A | Protein kinase activator receptor (GO:0004713) | Plasma membrane (GO:0005887) | Signal transduction (GO:0007169) |
| FGFR4 p.G388R c.1162G>A | Fibroblast growth factor (GO:0005007) | Cell membrane (GO:0005578) | Growth factor response (GO:0008283) |
| CCND3 p.S259A c.775T>G | Cyclin-dependent kinase (GO:0004693) | Cell nucleus (GO:0005634) | Cell cycle (GO:0007049) |
Disclaimer/Publisher’s Note: The statements, opinions and data contained in all publications are solely those of the individual author(s) and contributor(s) and not of MDPI and/or the editor(s). MDPI and/or the editor(s) disclaim responsibility for any injury to people or property resulting from any ideas, methods, instructions or products referred to in the content. |
© 2024 by the authors. Licensee MDPI, Basel, Switzerland. This article is an open access article distributed under the terms and conditions of the Creative Commons Attribution (CC BY) license (https://creativecommons.org/licenses/by/4.0/).
Share and Cite
Di Mauro, A.; Rega, R.A.; Leongito, M.; Albino, V.; Palaia, R.; Gualandi, A.; Belli, A.; D’Arbitrio, I.; Moccia, P.; Tafuto, S.; et al. Plexiform Fibromyxoma in the Stomach: Immunohistochemical Profile and Comprehensive Genetic Characterization. Int. J. Mol. Sci. 2024, 25, 4847. https://doi.org/10.3390/ijms25094847
Di Mauro A, Rega RA, Leongito M, Albino V, Palaia R, Gualandi A, Belli A, D’Arbitrio I, Moccia P, Tafuto S, et al. Plexiform Fibromyxoma in the Stomach: Immunohistochemical Profile and Comprehensive Genetic Characterization. International Journal of Molecular Sciences. 2024; 25(9):4847. https://doi.org/10.3390/ijms25094847
Chicago/Turabian StyleDi Mauro, Annabella, Rosalia Anna Rega, Maddalena Leongito, Vittorio Albino, Raffaele Palaia, Alberto Gualandi, Andrea Belli, Imma D’Arbitrio, Pasquale Moccia, Salvatore Tafuto, and et al. 2024. "Plexiform Fibromyxoma in the Stomach: Immunohistochemical Profile and Comprehensive Genetic Characterization" International Journal of Molecular Sciences 25, no. 9: 4847. https://doi.org/10.3390/ijms25094847
APA StyleDi Mauro, A., Rega, R. A., Leongito, M., Albino, V., Palaia, R., Gualandi, A., Belli, A., D’Arbitrio, I., Moccia, P., Tafuto, S., De Chiara, A., Ottaiano, A., & Ferrara, G. (2024). Plexiform Fibromyxoma in the Stomach: Immunohistochemical Profile and Comprehensive Genetic Characterization. International Journal of Molecular Sciences, 25(9), 4847. https://doi.org/10.3390/ijms25094847

