Pathophysiology, Histopathology, and Differential Diagnostics of Basal Cell Carcinoma and Cutaneous Squamous Cell Carcinoma—An Update from the Pathologist’s Point of View
Abstract
1. Introduction
1.1. Pathogenesis of BCC
1.2. Pathogenesis of cSCC
1.3. Immunohistochemical Profile of cSCC
1.4. Immunohistochemical Profile of cSCC
2. Results and Discussion
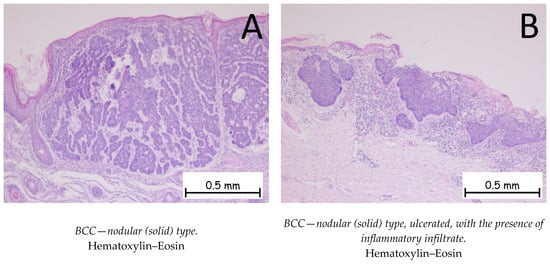
2.1. Basal Cell Carcinoma
2.2. Cutaneous Squamous Cell Carcinoma
2.3. Differential Diagnosis of Cutaneous Squamous Cell Carcinoma
2.4. Differential Diagnosis with Other Non-Melanocytic Skin Conditions
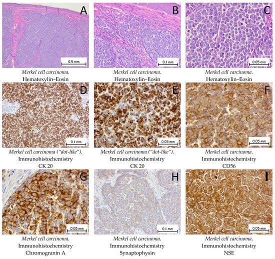
2.5. Differential Diagnosis with Other Skin Malignancies
3. Materials and Methods
4. Conclusions
Author Contributions
Funding
Institutional Review Board Statement
Informed Consent Statement
Data Availability Statement
Acknowledgments
Conflicts of Interest
References
- Elder, D.E.; Massi, D.; Scolyer, R.A.; Willemze, R.; Cancer, L.; Al, E. WHO Classification of Skin Tumours; International Agency for Research on Cancer: Lyon, France, 2018; ISBN 9789283224402. [Google Scholar]
- Fania, L.; Didona, D.; Morese, R.; Campana, I.; Coco, V.; Di Pietro, F.R.; Ricci, F.; Pallotta, S.; Candi, E.; Abeni, D.; et al. Basal Cell Carcinoma: From Pathophysiology to Novel Therapeutic Approaches. Biomedicines 2020, 8, 449. [Google Scholar] [CrossRef]
- Que, S.K.T.; Zwald, F.O.; Schmults, C.D. Cutaneous Squamous Cell Carcinoma. J. Am. Acad. Dermatol. 2018, 78, 237–247. [Google Scholar] [CrossRef] [PubMed]
- Dessinioti, C.; Pitoulias, M.; Stratigos, A.J. Epidemiology of Advanced Cutaneous Squamous Cell Carcinoma. J. Eur. Acad. Dermatol. Venereol. 2021, 36, 39–50. [Google Scholar] [CrossRef] [PubMed]
- Didona, D.; Paolino, G.; Bottoni, U.; Cantisani, C. Non Melanoma Skin Cancer Pathogenesis Overview. Biomedicines 2018, 6, 6. [Google Scholar] [CrossRef] [PubMed]
- Xiang, F.; Lucas, R.; Hales, S.; Neale, R. Incidence of Nonmelanoma Skin Cancer in Relation to Ambient UV Radiation in White Populations, 1978–2012. JAMA Dermatol. 2014, 150, 1063. [Google Scholar] [CrossRef]
- Hoang, M.P. Immunohistochemistry in Diagnostic Dermatopathology; Cambridge University Press: Cambridge, UK; New York, NY, USA, 2017; ISBN 9781107150164. [Google Scholar]
- Pellegrini, C.; Maturo, M.G.; Di Nardo, L.; Ciciarelli, V.; Gutiérrez García-Rodrigo, C.; Fargnoli, M.C. Understanding the Molecular Genetics of Basal Cell Carcinoma. Int. J. Mol. Sci. 2017, 18, 2485. [Google Scholar] [CrossRef] [PubMed]
- Iriana, S.; Asha, K.; Repak, M.; Sharma-Walia, N. Hedgehog Signaling: Implications in Cancers and Viral Infections. Int. J. Mol. Sci. 2021, 22, 1042. [Google Scholar] [CrossRef] [PubMed]
- Urman, N.M.; Mirza, A.; Atwood, S.X.; Whitson, R.J.; Sarin, K.Y.; Tang, J.Y.; Oro, A.E. Tumor-Derived Suppressor of Fused Mutations Reveal Hedgehog Pathway Interactions. PLoS ONE 2016, 11, e0168031. [Google Scholar] [CrossRef] [PubMed]
- Apalla, Z.; Nashan, D.; Weller, R.B.; Castellsagué, X. Skin Cancer: Epidemiology, Disease Burden, Pathophysiology, Diagnosis, and Therapeutic Approaches. Dermatol. Ther. 2017, 7, 5–19. [Google Scholar] [CrossRef]
- Sigafoos, A.N.; Paradise, B.D.; Fernandez-Zapico, M.E. Hedgehog/GLI Signaling Pathway: Transduction, Regulation, and Implications for Disease. Cancers 2021, 13, 3410. [Google Scholar] [CrossRef]
- Doan, H.Q.; Chen, L.; Nawas, Z.; Lee, H.-H.; Silapunt, S.; Migden, M. Switching Hedgehog Inhibitors and Other Strategies to Address Resistance When Treating Advanced Basal Cell Carcinoma. Oncotarget 2021, 12, 2089–2100. [Google Scholar] [CrossRef]
- Sartini, D.; Campagna, R.; Lucarini, G.; Pompei, V.; Salvolini, E.; Mattioli-Belmonte, M.; Molinelli, E.; Brisigotti, V.; Campanati, A.; Bacchetti, T.; et al. Differential Immunohistochemical Expression of Paraoxonase-2 in Actinic Keratosis and Squamous Cell Carcinoma. Hum. Cell 2021, 34, 1929–1931. [Google Scholar] [CrossRef]
- Danhof, R.; Lewis, K.; Brown, M. Small Molecule Inhibitors of the Hedgehog Pathway in the Treatment of Basal Cell Carcinoma of the Skin. Am. J. Clin. Dermatol. 2017, 19, 195–207. [Google Scholar] [CrossRef]
- Fania, L.; Didona, D.; Di Pietro, F.R.; Verkhovskaia, S.; Morese, R.; Paolino, G.; Donati, M.; Ricci, F.; Coco, V.; Ricci, F.; et al. Cutaneous Squamous Cell Carcinoma: From Pathophysiology to Novel Therapeutic Approaches. Biomedicines 2021, 9, 171. [Google Scholar] [CrossRef]
- Hernando, B.; Dietzen, M.; Parra, G.; Gil-Barrachina, M.; Pitarch, G.; Mahiques, L.; Valcuende-Cavero, F.; McGranahan, N.; Martinez-Cadenas, C. The Effect of Age on the Acquisition and Selection of Cancer Driver Mutations in Sun-Exposed Normal Skin. Ann. Oncol. 2021, 32, 412–421. [Google Scholar] [CrossRef]
- Nappi, A.; Miro, C.; Pezone, A.; Tramontano, A.; Di Cicco, E.; Sagliocchi, S.; Cicatiello, A.G.; Murolo, M.; Torabinejad, S.; Abbotto, E.; et al. Loss of P53 Activates Thyroid Hormone via Type 2 Deiodinase and Enhances DNA Damage. Nat. Commun. 2023, 14, 1244. [Google Scholar] [CrossRef]
- Lee, S.Y.; Lee, M.; Yu, D.S.; Lee, Y.B. Identification of Genetic Mutations of Cutaneous Squamous Cell Carcinoma Using Whole Exome Sequencing in Non-Caucasian Population. J. Dermatol. Sci. 2022, 106, 70–77. [Google Scholar] [CrossRef]
- Mushtaq, S. The Immunogenetics of Non-Melanoma Skin Cancer. In The Immunogenetics of Dermatologic Diseases: Advances in Experimental Medicine and Biology; Springer: Cham, Switzerland, 2022; pp. 397–409. [Google Scholar] [CrossRef]
- Shea, L.K.; Akhave, N.S.; Sutton, L.A.; Compton, L.A.; York, C.; Ramakrishnan, S.M.; Miller, C.A.; Wartman, L.D.; Chen, D.Y. Combined Kdm6a and Trp53 Deficiency Drives the Development of Squamous Cell Skin Cancer in Mice. J. Investig. Dermatol. 2022, 143, 232.E6–241.E6. [Google Scholar] [CrossRef]
- Cañueto, J.; Cardeñoso, E.; García, J.L.; Santos-Briz, Á.; Castellanos-Martín, A.; Fernández-López, E.; Blanco Gómez, A.; Pérez-Losada, J.; Román-Curto, C. Epidermal Growth Factor Receptor Expression Is Associated with Poor Outcome in Cutaneous Squamous Cell Carcinoma. Br. J. Dermatol. 2017, 176, 1279–1287. [Google Scholar] [CrossRef]
- Wongpattaraworakul, W.; Gibson-Corley, K.N.; Choi, A.; Buchakjian, M.R.; Lanzel, E.A.; Rajan KD, A.; Simons, A.L. Prognostic Role of Combined EGFR and Tumor-Infiltrating Lymphocytes in Oral Squamous Cell Carcinoma. Frontiers in Oncology 2022, 12. [Google Scholar] [CrossRef]
- Gopi, L.K.; Kidder, B.L. Integrative Pan Cancer Analysis Reveals Epigenomic Variation in Cancer Type and Cell Specific Chromatin Domains. Nat. Commun. 2021, 12, 1419. [Google Scholar] [CrossRef]
- Tampa, M.; Mitran, C.I.; Mitran, M.I.; Nicolae, I.; Dumitru, A.; Matei, C.; Manolescu, L.; Popa, G.L.; Caruntu, C.; Georgescu, S.R. The Role of Beta HPV Types and HPV-Associated Inflammatory Processes in Cutaneous Squamous Cell Carcinoma. J. Immunol. Res. 2020, 2020, 1–10. [Google Scholar] [CrossRef]
- Haręża, D.A.; Wilczyński, J.R.; Paradowska, E. Human Papillomaviruses as Infectious Agents in Gynecological Cancers. Oncog. Prop. Viral Proteins. Int. J. Mol. Sci. 2022, 23, 1818. [Google Scholar] [CrossRef]
- Paradisi, A.; Waterboer, T.; Ricci, F.; Sampogna, F.; Pawlita, M.; Abeni, D. Concomitant Seropositivity for HPV 16 and Cutaneous HPV Types Increases the Risk of Recurrent Squamous Cell Carcinoma of the Skin. Eur. J. Dermatol. 2020, 30, 493–498. [Google Scholar] [CrossRef]
- Magalhães, G.M.; Vieira, É.C.; Garcia, L.C.; De Carvalho-Leite, M.; de, L.R.; Guedes, A.C.M.; Araújo, M.G. Update on Human Papilloma Virus—Part I: Epidemiology, Pathogenesis, and Clinical Spectrum. An. Bras. Dermatol. 2021, 96, 1–16. [Google Scholar] [CrossRef]
- Wyld, L.; Bellantuono, I.; Tchkonia, T.; Morgan, J.; Turner, O.; Foss, F.; George, J.; Danson, S.; Kirkland, J.L. Senescence and Cancer: A Review of Clinical Implications of Senescence and Senotherapies. Cancers 2020, 12, 2134. [Google Scholar] [CrossRef]
- Sohn, G.; Keniston, K.; Kannan, S.; Hinds, B.; Jiang, S. Characteristics of Superficial Basal Cell Carcinomas Containing More Aggressive Subtypes on Final Histopathologic Diagnosis. J. Drugs Dermatol. 2021, 20, 283–288. [Google Scholar] [CrossRef]
- Schmitz, L.; Kanitakis, J. Histological Classification of Cutaneous Squamous Cell Carcinomas with Different Severity. J. Eur. Acad. Dermatol. Venereol. 2019, 33, 11–15. [Google Scholar] [CrossRef]
- Labadie, J.G.; Compres, E.; Sunshine, J.C.; Alam, M.; Gerami, P.; Harikumar, V.; Poon, E.; Arndt, K.A.; Dover, J.S. Actinic Keratosis Color and Its Associations: A Retrospective Photographic, Dermoscopic, and Histologic Evaluation. Dermatol. Surg. 2021, 48, 57–60. [Google Scholar] [CrossRef]
- Soutou, B.; Massih, C.; Sleilaty, G.; Trak-Smayra, V.; Nasr, M.; Helou, J.; Hokayem, N.; Ferran, F.; Sleilati, F.H.; Stéphan, F.; et al. Clinical and Pathological Features Associated with High-Risk, Multiple, and Recurrent Basal Cell Carcinomas: A Retrospective Cohort Analysis from the Levantine Coast of the Mediterranean Sea. Arch. Dermatol. Res. 2022, 315, 51–59. [Google Scholar] [CrossRef]
- Bacchetti, T.; Salvolini, E.; Pompei, V.; Campagna, R.; Molinelli, E.; Brisigotti, V.; Togni, L.; Lucarini, G.; Sartini, D.; Campanati, A.; et al. Paraoxonase-2: A Potential Biomarker for Skin Cancer Aggressiveness. Eur. J. Clin. Investig. 2020, 51, 13452. [Google Scholar] [CrossRef]
- Karia, P.S.; Jambusaria-Pahlajani, A.; Harrington, D.P.; Murphy, G.F.; Qureshi, A.A.; Schmults, C.D. Evaluation of American Joint Committee on Cancer, International Union against Cancer, and Brigham and Women’s Hospital Tumor Staging for Cutaneous Squamous Cell Carcinoma. J. Clin. Oncol. 2014, 32, 327–334. [Google Scholar] [CrossRef]
- Stratigos, A.J.; Sekulic, A.; Peris, K.; Bechter, O.; Prey, S.; Kaatz, M.; Lewis, K.D.; Basset-Seguin, N.; Chang, A.L.S.; Dalle, S.; et al. Cemiplimab in Locally Advanced Basal Cell Carcinoma after Hedgehog Inhibitor Therapy: An Open-Label, Multi-Centre, Single-Arm, Phase 2 Trial. Lancet Oncol. 2021, 22, 848–857. [Google Scholar] [CrossRef]
- Gambini, D.; Passoni, E.; Nazzaro, G.; Beltramini, G.; Tomasello, G.; Ghidini, M.; Kuhn, E.; Garrone, O. Basal Cell Carcinoma and Hedgehog Pathway Inhibitors: Focus on Immune Response. Front. Med. 2022, 9, 893063. [Google Scholar] [CrossRef]
- Dika, E.; Scarfì, F.; Ferracin, M.; Broseghini, E.; Marcelli, E.; Bortolani, B.; Campione, E.; Riefolo, M.; Ricci, C.; Lambertini, M. Basal Cell Carcinoma: A Comprehensive Review. Int. J. Mol. Sci. 2020, 21, 5572. [Google Scholar] [CrossRef]
- Cocuz, I.G.; Cocuz, M.E.; Sabău, A.-H.; Niculescu, R.; Tinca, A.C.; Vunvulea, V.; Budin, C.E.; Șincu, M.C.; Popelea, M.C.; Cotoi, O.S. An Up-To-Date Correlation of Epidemiological and Histopathological Characteristics of Basal Cell Carcinoma of the Skin in a County Hospital in Romania. Dermatopathology 2022, 9, 183–195. [Google Scholar] [CrossRef]
- Corchado-Cobos, R.; García-Sancha, N.; González-Sarmiento, R.; Pérez-Losada, J.; Cañueto, J. Cutaneous Squamous Cell Carcinoma: From Biology to Therapy. Int. J. Mol. Sci. 2020, 21, 2956. [Google Scholar] [CrossRef]
- Zawacka-Pankau, J.E. The Role of P53 Family in Cancer. Cancers 2022, 14, 823. [Google Scholar] [CrossRef]
- Campos, M.A.; Lopes, J.M.; Soares, P. The Genetics of Cutaneous Squamous Cell Carcinogenesis. Eur. J. Dermatol. EJD 2018, 28, 597–605. [Google Scholar] [CrossRef]
- Levine, A.J. Spontaneous and Inherited TP53 Genetic Alterations. Oncogene 2021, 40, 5975–5983. [Google Scholar] [CrossRef]
- Hedberg, M.L.; Berry, C.T.; Moshiri, A.S.; Xiang, Y.; Yeh, C.J.; Attilasoy, C.; Capell, B.C.; Seykora, J.T. Molecular Mechanisms of Cutaneous Squamous Cell Carcinoma. Int. J. Mol. Sci. 2022, 23, 3478. [Google Scholar] [CrossRef]
- Lazar, A.D.; Dinescu, S.; Costache, M. Deciphering the Molecular Landscape of Cutaneous Squamous Cell Carcinoma for Better Diagnosis and Treatment. J. Clin. Med. 2020, 9, 2228. [Google Scholar] [CrossRef]
- Maner, B.S.; Dupuis, L.; Su, A.; Jueng, J.J.; Harding, T.P.; Meisenheimer, J.; Siddiqui, F.S.; Hardack, M.R.; Aneja, S.; Solomon, J.A. Overview of Genetic Signaling Pathway Interactions within Cutaneous Malignancies. J. Cancer Metastasis Treat. 2020, 6, 37. [Google Scholar] [CrossRef]
- Zambrano-Román, M.; Padilla-Gutiérrez, J.R.; Valle, Y.; Muñoz-Valle, J.F.; Valdés-Alvarado, E. Non-Melanoma Skin Cancer: A Genetic Update and Future Perspectives. Cancers 2022, 14, 2371. [Google Scholar] [CrossRef]
- Biao, T.; Cai-feng, H.; Xiao-hong, L.; Xiao-li, C.; Wen-bei, L.; Jun, W.; Chao, C.; Tao, Y. From Bowen Disease to Cutaneous Squamous Cell Carcinoma: Eight Markers Were Verified from Transcriptomic and Proteomic Analyses. J. Transl. Med. 2022, 20, 416. [Google Scholar] [CrossRef]
- Prezzano, J.C.; Scott, G.A.; Lambert Smith, F.; Mannava, K.A.; Ibrahim, S.F. Concordance of Squamous Cell Carcinoma Histologic Grading among Dermatopathologists and Mohs Surgeons. Dermatol. Surg. 2021, 47, 1433–1437. [Google Scholar] [CrossRef]
- Madej-Czerwonka, B.; Korga-Plewko, A. Metatypical Basal Cell Carcinoma: From the Primary Tumour to a Generalized Metastatic Process—Description of Diagnostics and Combination Therapy of an Extremely Rare Skin Cancer. Ann. Agric. Environ. Med. 2021, 29, 152–156. [Google Scholar] [CrossRef]
- Cocuz, I.G.; Cocuz, M.E.; Repanovici, A.; Sabău, A.-H.; Niculescu, R.; Tinca, A.-C.; Vunvulea, V.; Budin, C.E.; Szoke, A.R.; Popelea, M.C.; et al. Scientific Research Directions on the Histopathology and Immunohistochemistry of the Cutaneous Squamous Cell Carcinoma: A Scientometric Study. Medicina 2022, 58, 1449. [Google Scholar] [CrossRef]
- Tisack, A.; Fotouhi, A.; Fidai, C.; Friedman, B.J.; Ozog, D.; Veenstra, J. A Clinical and Biological Review of Keratoacanthoma. Br. J. Dermatol. 2021, 185, 487–498. [Google Scholar] [CrossRef]
- Sabry, A.O.; Patel, B.C. Papilloma. Available online: https://www.ncbi.nlm.nih.gov/books/NBK560737/ (accessed on 22 May 2023).
- Murgia, G.; Denaro, N.; Boggio, F.; Nazzaro, G.; Benzecry, V.; Bortoluzzi, P.; Passoni, E.; Garrone, O.; Marzano, A.V. Basosquamous Carcinoma: Comprehensive Clinical and Histopathological Aspects, Novel Imaging Tools, and Therapeutic Approaches. Cells 2023, 12, 2737. [Google Scholar] [CrossRef]
- Jones, C.D.; Ho, W.; Robertson, B.F.; Gunn, E.; Morley, S. Pilomatrixoma: A Comprehensive Review of the Literature. Am. J. Dermatopathol. 2018, 40, 631–641. [Google Scholar] [CrossRef]
- Kolm, I.; Kastnerova, L.; Konstantinova, A.M.; Michal, M.; Kazakov, D.V. Trichoblastoma: A Consecutive Series of 349 Sporadic Cases Analyzed by Ackerman Subtypes. Am. J. Dermatopathol. 2021, 43, 887–897. [Google Scholar] [CrossRef]
- Feng, H.; Shuda, M.; Chang, Y.; Moore, P.S. Clonal Integration of a Polyomavirus in Human Merkel Cell Carcinoma. Science 2008, 319, 1096–1100. [Google Scholar] [CrossRef]
- Thibault, K. Evidence of an Epithelial Origin of Merkel Cell Carcinoma. Mod. Pathol. 2021, 35, 446–448. [Google Scholar] [CrossRef]
- Sunshine, J.C.; Jahchan, N.S.; Sage, J.; Choi, J. Are There Multiple Cells of Origin of Merkel Cell Carcinoma? Oncogene 2018, 37, 1409–1416. [Google Scholar] [CrossRef]
- Kervarrec, T.; Samimi, M.; Guyétant, S.; Sarma, B.; Chéret, J.; Blanchard, E.; Berthon, P.; Schrama, D.; Houben, R.; Touzé, A. Histogenesis of Merkel Cell Carcinoma: A Comprehensive Review. Front. Oncol. 2019, 9, 451. [Google Scholar] [CrossRef]
- Villani, A.; Fabbrocini, G.; Costa, C.; Carmela Annunziata, M.; Scalvenzi, M. Merkel Cell Carcinoma: Therapeutic Update and Emerging Therapies. Dermatol. Ther. 2019, 9, 209–222. [Google Scholar] [CrossRef]
- Logan, I.T.; Vroobel, K.M.; Grange, F.; Perrett, C.M. Pleomorphic Dermal Sarcoma: Clinicopathological Features and Outcomes from a 5-Year Tertiary Referral Centre Experience. Cancer Rep. 2021, 5, e1583. [Google Scholar] [CrossRef]
- Tímár, J.; Ladányi, A. Molecular Pathology of Skin Melanoma: Epidemiology, Differential Diagnostics, Prognosis and Therapy Prediction. Int. J. Mol. Sci. 2022, 23, 5384. [Google Scholar] [CrossRef]
- Ricci, C.; Dika, E.; Ambrosi, F.; Lambertini, M.; Veronesi, G.; Barbara, C. Cutaneous Melanomas: A Single Center Experience on the Usage of Immunohistochemistry Applied for the Diagnosis. Int. J. Mol. Sci. 2022, 23, 5911. [Google Scholar] [CrossRef]
- Tinca, A.C.; Moraru, R.; Cocuz, I.G.; Șincu, M.C.; Niculescu, R.; Sabău, A.H.; Chiorean, D.M.; Szoke, A.R.; Morariu, S.-H.; Cotoi, O.S. Actualities in the Morphology and Immunohistochemistry of Cutaneous and Ocular Melanoma: What Lies Ahead? A Single-Centre Study. Biomedicines 2022, 10, 2500. [Google Scholar] [CrossRef]
- Cocuz, I.-G.; Cocuz, M.-E.; Niculescu, R.; Șincu, M.C.; Tinca, A.C.; Sabău, A.-H.; Chiorean, D.M.; Morariu, S.H.; Cotoi, O.S. The Impact of and Adaptations due to the COVID-19 Pandemic on the Histopathological Diagnosis of Skin Pathologies, Including Non-Melanocyte and Melanoma Skin Cancers—A Single-Center Study in Romania. Medicina 2021, 57, 533. [Google Scholar] [CrossRef]
- Toma, A.-O.; Prodan, M.; Reddyreddy, A.R.; Seclaman, E.; Crainiceanu, Z.; Bloanca, V.; Bratosin, F.; Dumitru, C.; Pilut, C.N.; Alambaram, S.; et al. The Epidemiology of Malignant Melanoma during the First Two Years of the COVID-19 Pandemic: A Systematic Review. Int. J. Environ. Res. Public Health 2022, 20, 305. [Google Scholar] [CrossRef]













| Basal Cell Carcinoma (BCC) | Cutaneous Squamous Cell Carcinoma (cSCC) | |
|---|---|---|
| Origin | Develops from the cells of the basal layer of the epidermis but can also derive from the level of the hair follicle BCC consists of a tumoral proliferation of basaloid cells with reduced cytoplasm and hyperchromic nuclei, surrounded by a fibromyxoid stroma | Develops from cells in the spinous layer of the epidermis |
| Precursor lesions | No precursor lesions |
|
| Histopathological classification | Classification of subtypes by recurrence risk: Low risk:
| Classification by recurrence or metastasizing risk: Low risk:
High risk:
spindle cell type, adenosquamous type, or pseudovascular type The classical, infiltrative type can also be classified into high, moderate, or low cSCCs, depending on the degree of differentiation of the tumoral cells |
Disclaimer/Publisher’s Note: The statements, opinions and data contained in all publications are solely those of the individual author(s) and contributor(s) and not of MDPI and/or the editor(s). MDPI and/or the editor(s) disclaim responsibility for any injury to people or property resulting from any ideas, methods, instructions or products referred to in the content. |
© 2024 by the authors. Licensee MDPI, Basel, Switzerland. This article is an open access article distributed under the terms and conditions of the Creative Commons Attribution (CC BY) license (https://creativecommons.org/licenses/by/4.0/).
Share and Cite
Cocuz, I.G.; Popelea, M.C.; Niculescu, R.; Manea, A.; Sabău, A.-H.; Tinca, A.-C.; Szoke, A.R.; Budin, C.E.; Stoian, A.; Morariu, S.H.; et al. Pathophysiology, Histopathology, and Differential Diagnostics of Basal Cell Carcinoma and Cutaneous Squamous Cell Carcinoma—An Update from the Pathologist’s Point of View. Int. J. Mol. Sci. 2024, 25, 2220. https://doi.org/10.3390/ijms25042220
Cocuz IG, Popelea MC, Niculescu R, Manea A, Sabău A-H, Tinca A-C, Szoke AR, Budin CE, Stoian A, Morariu SH, et al. Pathophysiology, Histopathology, and Differential Diagnostics of Basal Cell Carcinoma and Cutaneous Squamous Cell Carcinoma—An Update from the Pathologist’s Point of View. International Journal of Molecular Sciences. 2024; 25(4):2220. https://doi.org/10.3390/ijms25042220
Chicago/Turabian StyleCocuz, Iuliu Gabriel, Maria Cătălina Popelea, Raluca Niculescu, Andrei Manea, Adrian-Horațiu Sabău, Andreea-Cătălina Tinca, Andreea Raluca Szoke, Corina Eugenia Budin, Adina Stoian, Silviu Horia Morariu, and et al. 2024. "Pathophysiology, Histopathology, and Differential Diagnostics of Basal Cell Carcinoma and Cutaneous Squamous Cell Carcinoma—An Update from the Pathologist’s Point of View" International Journal of Molecular Sciences 25, no. 4: 2220. https://doi.org/10.3390/ijms25042220
APA StyleCocuz, I. G., Popelea, M. C., Niculescu, R., Manea, A., Sabău, A.-H., Tinca, A.-C., Szoke, A. R., Budin, C. E., Stoian, A., Morariu, S. H., Cotoi, T. C., Cocuz, M.-E., & Cotoi, O. S. (2024). Pathophysiology, Histopathology, and Differential Diagnostics of Basal Cell Carcinoma and Cutaneous Squamous Cell Carcinoma—An Update from the Pathologist’s Point of View. International Journal of Molecular Sciences, 25(4), 2220. https://doi.org/10.3390/ijms25042220

