Functional Mechanical Behavior and Biocompatible Characteristics of Graphene-Coated Cardiovascular Stents
Abstract
1. Introduction
2. Results and Discussion
2.1. Morphology and Mechanical Properties of the Graphene-Coated Cardiovascular Stents
2.2. The Biocompatibility of Graphene-Coated Stents Towards Endothelial Cells
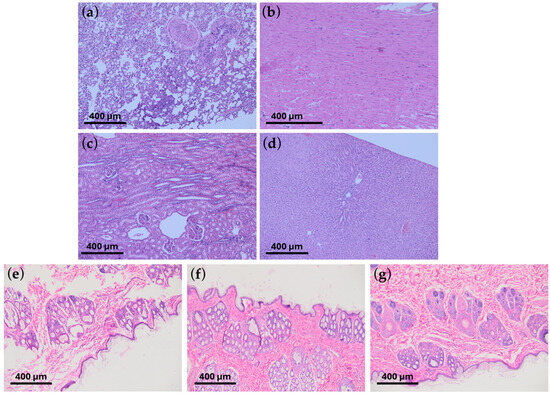
2.3. In Vivo Studies of Graphene-Coated Cardiovascular Stents
3. Materials and Methods
3.1. Graphene Layer Deposition on the Surface of the Cardiovascular Stents
3.2. Raman Spectroscopy Studies of the Deposited Graphene Layer
3.3. Mechanical Properties of the Graphene-Coated Stents
3.4. Graphene-Coated Stents Biocompatibility Assessment with Endothelial Cells
3.5. Allergy Tests—Guinea Pig Maximization Test (GPMT)
3.6. Irritation Tests—Rabbit Skin Primary Irritation Test
3.7. Toxicological and Pyrogenic Studies—Rabbit Toxicity Studies and Pyrogenicity Studies
4. Conclusions
Author Contributions
Funding
Institutional Review Board Statement
Informed Consent Statement
Data Availability Statement
Conflicts of Interest
Abbreviations
| BMS | Bare Metal Stent |
| BM- | Bare Metal |
| CW-CVD | Cold-Wall Chemical Vapor Deposition |
| DES | Drug-Eluting Stent |
| DLC | Diamond-Like Carbon |
| GC- | Graphene-Coated |
| PCI | Percutaneous Coronary Intervention |
| SEM | Scanning Electron Microscopy |
References
- Bae, H.; Jeong, M.H.; Park, D.S.; Lim, K.S.; Shim, J.W.; Kim, M.K.; Park, J.K. Mechanical and physio-biological properties of peptide-coated stent for re-endothelialization. Biomater. Res. 2020, 24, 4. [Google Scholar] [CrossRef]
- Cornelissen, A.; Vogt, F.J. The effects of stenting on coronary endothelium from a molecular biological view: Time for improvement? J. Cell. Mol. Med. 2018, 23, 39–46. [Google Scholar] [CrossRef]
- Hauert, R.; Thorwarth, K.; Thorwarth, G. An overview on diamond-like carbon coatings in medical applications. Surf. Coat. Technol. 2013, 233, 119–130. [Google Scholar] [CrossRef]
- Castellino, M.; Stolojan, V.; Virga, A.; Rovere, M.; Cabiale, K.; Galloni, M.R.; Tagliaferro, A. Chemico-physical characterisation and in vivo biocompatibility assessment of DLC-coated coronary stents. Anal. Bioanal. Chem. 2013, 405, 321–329. [Google Scholar] [CrossRef]
- Love, C.A.; Cook, R.B.; Harvey, T.J.; Dearnley, P.A.; Wood, R.J.K. Diamond like carbon coatings for potential application in biological implants—A review. Tribol. Int. 2013, 63, 141–150. [Google Scholar] [CrossRef]
- Karjalainen, P.P.; Ylitalo, A.; Niemelä, M.; Kervinen, K.; Mäkikallio, T.; Pietilä, M.; Sia, J.; Tuomainen, P.; Nyman, K.; Airaksinen, K.E.J. Two-year follow-up after percutaneous coronary intervention with titanium-nitride-oxide-coated stents versus paclitaxel-eluting stents in acute myocardial infarction. Ann. Med. 2009, 41, 599–607. [Google Scholar] [CrossRef]
- McLaughlin, J.A.; Maguire, P.D. Advances on the use of carbon based materials at the biological and surface interface for applications in medical implants. Diam. Relat. Mater. 2008, 17, 873–877. [Google Scholar] [CrossRef]
- Wawrzyńska, M.; Bil-Lula, I.; Krzywonos-Zawadzka, A.; Arkowski, J.; Łukaszewicz, M.; Hreniak, D.; Strȩk, W.; Sawicki, G.; Woźniak, M.; Drab, M.; et al. Biocompatible Carbon-Based Coating as Potential Endovascular Material for Stent Surface. BioMed Res. Int. 2018, 2018, 2758347. [Google Scholar] [CrossRef]
- Wasyluk, Ł.; Boiko, V.; Markowska, M.; Hasiak, M.; Saladino, M.L.; Hreniak, D.; Amati, M.; Gregoratti, L.; Zeller, P.; Biały, D.; et al. Graphene Coating Obtained in a Cold-Wall CVD Process on the Co-Cr Alloy (L-605) for Medical Applications. Int. J. Mol. Sci. 2021, 22, 2917. [Google Scholar] [CrossRef]
- Kovalska, E.; Lesongeur, P.; Hogan, B.T.; Baldycheva, A. Multi-layer graphene as a selective detector for future lung cancer biosensing platforms. Nanoscale 2019, 11, 2476–2483. [Google Scholar] [CrossRef]
- Liu, B.; Zhou, K. Recent progress on graphene-analogous 2D nanomaterials: Properties, modeling and applications. Prog. Mater. Sci. 2019, 100, 99–169. [Google Scholar] [CrossRef]
- Karaca, E.; Acaralı, N. Application of graphene and its derivatives in medicine: A review. Mater. Today Commun. 2023, 37, 107054. [Google Scholar] [CrossRef]
- Cao, Z.; Bian, Y.; Hu, T.; Yang, Y.; Cui, Z.; Wang, T.; Yang, S.; Weng, X.; Liang, R.; Tan, C. Recent advances in two-dimensional nanomaterials for bone tissue engineering. J. Mater. 2023, 9, 930–958. [Google Scholar] [CrossRef]
- Huang, S.; Zhong, Y.; Fu, Y.; Zheng, X.; Feng, Z.; Mo, A. Graphene and its derivatives: “one stone, three birds” strategy for orthopedic implant-associated infections. Biomater. Sci. 2023, 11, 380–399. [Google Scholar] [CrossRef]
- Zhao, Z.; Zong, L.; Liu, C.; Wang, C.; Qi, C.; Wang, N.; Chen, H.; Wang, J.; Jian, X. Dual strengthened corrosion control of biodegradable coating on magnesium alloy for vascular stent application. Prog. Org. Coat. 2023, 174, 107297. [Google Scholar] [CrossRef]
- Malhotra, R.; Halbig, C.E.; Sim, Y.F.; Lim, C.T.; Leong, D.T.; Neto, A.H.C.; Garaj, S.; Rosa, V. Cytotoxicity survey of commercial graphene materials from worldwide. npj 2D Mater. Appl. 2022, 6, 65. [Google Scholar] [CrossRef]
- Whitener, K.E.; Sheehan, P.E. Graphene synthesis. Diam. Relat. Mater. 2014, 46, 25–34. [Google Scholar] [CrossRef]
- Orsu, P.; Koyyada, A. Recent progresses and challenges in graphene based nano materials for advanced therapeutical applications: A comprehensive review. Mater. Today Commun. 2020, 22, 100823. [Google Scholar] [CrossRef]
- Sarno, M.; Rossi, G.; Cirillo, C.; Incarnato, L. Cold Wall Chemical Vapor Deposition Graphene-Based Conductive Tunable Film Barrier. Ind. Eng. Chem. Res. 2018, 57, 4895–4906. [Google Scholar] [CrossRef]
- Bointon, T.H.; Barnes, M.D.; Russo, S.; Craciun, M.F. High Quality Monolayer Graphene Synthesized by Resistive Heating Cold Wall Chemical Vapor Deposition. Adv. Mater. 2015, 27, 4200–4206. [Google Scholar] [CrossRef]
- Yao, W.; Liu, H.; Sun, J.; Wu, B.; Liu, Y. Engineering of Chemical Vapor Deposition Graphene Layers: Growth, Characterization, and Properties. Adv. Funct. Mater. 2022, 32, 2202584. [Google Scholar] [CrossRef]
- Yutomo, E.B.; Noor, F.A.; Winata, T. Effect of Ni atomic fraction on active species of graphene growth on Cu–Ni alloy catalysts: A density functional theory study. Phys. Chem. Chem. Phys. 2023, 25, 708–723. [Google Scholar] [CrossRef] [PubMed]
- Zou, J.; Guan, J.; Wang, X.; Du, X. Corrosion and wear resistance improvements in NiCu alloys through flame-grown honeycomb carbon and CVD of graphene coatings. Surf. Coat. Technol. 2023, 473, 130040. [Google Scholar] [CrossRef]
- Zhou, H.; Jiang, M.; Xin, Y.; Sun, G.; Long, S.; Bao, S.; Cao, X.; Ji, S.; Jin, P. Surface deposition of graphene layer for bioactivity improvement of biomedical 316 stainless steel. Mater. Lett. 2017, 192, 123–127. [Google Scholar] [CrossRef]
- Podila, R.; Moore, T.; Alexis, F.; Rao, A.M. Graphene coatings for enhanced hemo-compatibility of nitinol stents. RSC Adv. 2013, 3, 1660–1665. [Google Scholar] [CrossRef]
- Li, J.; Wang, G.; Geng, H.; Zhu, H.; Zhang, M.; Di, Z.; Liu, X.; Chu, P.K.; Wang, X. CVD Growth of Graphene on NiTi Alloy for Enhanced Biological Activity. ACS Appl. Mater. Interfaces 2015, 7, 19876–19881. [Google Scholar] [CrossRef]
- Lascano, S.; Chávez-Vásconez, R.; Muñoz-Rojas, D.; Aristizabal, J.; Arce, B.; Parra, C.; Acevedo, C.; Orellana, N.; Reyes-Valenzuela, M.; Gotor, F.J.; et al. Graphene-coated Ti-Nb-Ta-Mn foams: A promising approach towards a suitable biomaterial for bone replacement. Surf. Coat. Technol. 2020, 401, 126250. [Google Scholar] [CrossRef]
- Macháč, P.; Hejna, O.; Slepička, P. Graphene growth by transfer-free chemical vapour deposition on a cobalt layer. J. Electr. Eng. 2017, 68, 79–82. [Google Scholar] [CrossRef]
- Macháč, P.; Hejna, O. Graphene growth by transfer-free CVD method using cobalt/nickel catalyst layer. Mater. Sci. Forum 2018, 919, 207–214. [Google Scholar] [CrossRef]
- Lebedieva, T.; Gubanov, V.; Dovbeshko, G.; Pidhirnyi, D. Quantum-Chemical Calculation and Visualization of the Vibrational Modes of Graphene in Different Points of the Brillouin Zone. NanoScale Res. Lett. 2015, 10, 287. [Google Scholar] [CrossRef]
- Ferrari, A.C. Raman spectroscopy of graphene and graphite: Disorder, electron–phonon coupling, doping and nonadiabatic effects. Solid State Commun. 2007, 143, 47–57. [Google Scholar] [CrossRef]
- ElSawy, A.M.; Attia, N.F.; Mohamed, H.I.; Mohsen, M.; Talaat, M.H. Innovative coating based on graphene and their decorated nanoparticles for medical stent application. Mater. Sci. Eng. C 2019, 96, 708–715. [Google Scholar] [CrossRef] [PubMed]
- Ge, S.; Xi, Y.; Du, R.; Ren, Y.; Xu, Z.; Tan, Y.; Wang, Y.; Yin, T.; Wang, G. Inhibition of in-stent restenosis after graphene oxide double-layer drug coating with good biocompatibility. Regen. Biomater. 2019, 6, 299–309. [Google Scholar] [CrossRef] [PubMed]
- Beska, B.; Raharjo, D.E.; Kunadian, V. Novel drug-elutinng stents to improve coronary endothelial and microvascular function in STEMI patients? Rev. Esp. Cardiol. 2021, 74, 1003–1005. [Google Scholar]
- Hess, O.M. Why don’t we return to bare metal stents? EuroIntervention 2008, 4, 36–41. [Google Scholar] [CrossRef]
- Gherasie, F.A.; Valentin, C.; Busnatu, S.S. Is there an advantage of ultrathin-strut drug-eluting stents over second- and third-generationdrug-eluting stents? J. Pers. Med. 2023, 13, 753. [Google Scholar] [CrossRef]
- Hassan, S.; Ali, M.N.; Ghafoor, B. Evolutionary perspective of drug eluting stents: From thick polymer to polymer free approach. J. Cardiothorac. Surg. 2022, 17, 65. [Google Scholar] [CrossRef]
- ISO 25539-2:2020; Cardiovascular Implants—Endovascular Devices. Part 2: Vascular Stents. International Organization for Standardization: Geneva, Switzerland, 2020.
- ASTM F2477-19; Standard Test Methods for In Vitro Pulsatile Durability Testing of Vascular Stents. ASTM International: West Conshohocken, PA, USA, 2019.
- ASTM F2942-19; Standard Guide for In Vitro Axial, Bending, and Torsional Durability Testing of Vascular Stents. ASTM International: West Conshohocken, PA, USA, 2019.
- ISO 10993-11:2017; Biological Evaluation of Medical Devices. Part 11: Tests for Systemic Toxicity. International Organization for Standardization: Geneva, Switzerland, 2017.








| Mean | SD | Median | IQR | p-Value | |
|---|---|---|---|---|---|
| BM-stent | 1.020 | 0.084 | 1.000 | 0.150 | 0.0020 * |
| GC-stent | 1.139 | 0.024 | 1.115 | 0.038 |
| 24 h | 48 h | 72 h | 6 Months | |
|---|---|---|---|---|
| RBC (106/μL) | 5.60 ± 0.47 | 5.59 ± 0.50 | 5.65 ± 0.42 | 6.15 ± 0.30 |
| Hb (g/dL) | 11.78 ± 0.97 | 10.85 ± 3.32 | 12.13 ± 0.96 | 13.87 ± 0.76 |
| HCT (%) | 34.38 ± 2.91 | 34.49 ± 3.29 | 36.21 ± 2.85 | 37.03 ± 1.95 |
| WBC (103/μL) | 6.90 ± 1.60 | 8.17 ± 3.25 | 6.92 ± 3.31 | 6.88 ± 1.55 |
| Urea (mmol/L) | 6.03 ± 0.89 | 5.69 ± 1.12 | 6.28 ± 0.85 | 5.90 ± 0.47 |
| Creatinine (μmol/L) | 95.72 ± 10.77 | 79.26 ± 39.35 | 97.56 ± 9.47 | 117.90 ± 13.63 |
| AST (U/L) | 20.39 ± 6.50 | 36.10 ± 35.37 | 19.43 ± 6.02 | 33.18 ± 8.30 |
| ALT (U/L) | 22.56 ± 11.03 | 26.69 ± 12.80 | 23.60 ± 10.82 | 35.28 ± 7.96 |
| ALP (U/L) | 69.63 ± 17.45 | 68.09 ± 23.94 | 81.89 ± 21.75 | 53.18 ± 7.40 |
| t, s | T, °C | P, Torr | Ar, % (sccm) | H2, % (sccm) | CH4, % (sccm) | |
|---|---|---|---|---|---|---|
| SP 1 | 0 | 103 | +7 | 5 (100) | 1 (20) | 0 (0) |
| SP 2 | 300 | 214 | +9 | 5 (100) | 1 (20) | 0 (0) |
| SP 3 | 0 | 120 | +77 | 5 (100) | 1 (20) | 0 (0) |
| SP 4 | 2700 | 121 | +13 | 0 (0) | 2 (1.2) | 35 (20) |
| Path Test Reaction | Grading Scale |
|---|---|
| No visible changes | 0 |
| Discrete or patchy erythema | 1 |
| Moderate and confluent erythema | 2 |
| Intense erythema and swelling | 3 |
Disclaimer/Publisher’s Note: The statements, opinions and data contained in all publications are solely those of the individual author(s) and contributor(s) and not of MDPI and/or the editor(s). MDPI and/or the editor(s) disclaim responsibility for any injury to people or property resulting from any ideas, methods, instructions or products referred to in the content. |
© 2024 by the authors. Licensee MDPI, Basel, Switzerland. This article is an open access article distributed under the terms and conditions of the Creative Commons Attribution (CC BY) license (https://creativecommons.org/licenses/by/4.0/).
Share and Cite
Wasyluk, Ł.; Hreniak, D.; Boiko, V.; Sobieszczańska, B.; Bologna, E.; Zingales, M.; Pasławski, R.; Arkowski, J.; Sareło, P.; Wawrzyńska, M. Functional Mechanical Behavior and Biocompatible Characteristics of Graphene-Coated Cardiovascular Stents. Int. J. Mol. Sci. 2024, 25, 13345. https://doi.org/10.3390/ijms252413345
Wasyluk Ł, Hreniak D, Boiko V, Sobieszczańska B, Bologna E, Zingales M, Pasławski R, Arkowski J, Sareło P, Wawrzyńska M. Functional Mechanical Behavior and Biocompatible Characteristics of Graphene-Coated Cardiovascular Stents. International Journal of Molecular Sciences. 2024; 25(24):13345. https://doi.org/10.3390/ijms252413345
Chicago/Turabian StyleWasyluk, Łukasz, Dariusz Hreniak, Vitalii Boiko, Beata Sobieszczańska, Emanuela Bologna, Massimiliano Zingales, Robert Pasławski, Jacek Arkowski, Przemysław Sareło, and Magdalena Wawrzyńska. 2024. "Functional Mechanical Behavior and Biocompatible Characteristics of Graphene-Coated Cardiovascular Stents" International Journal of Molecular Sciences 25, no. 24: 13345. https://doi.org/10.3390/ijms252413345
APA StyleWasyluk, Ł., Hreniak, D., Boiko, V., Sobieszczańska, B., Bologna, E., Zingales, M., Pasławski, R., Arkowski, J., Sareło, P., & Wawrzyńska, M. (2024). Functional Mechanical Behavior and Biocompatible Characteristics of Graphene-Coated Cardiovascular Stents. International Journal of Molecular Sciences, 25(24), 13345. https://doi.org/10.3390/ijms252413345

