Anti-Pruritic and Immunomodulatory Effects of Coix [Coix lacryma-jobi L. var. ma-yuen (Rom. Caill.) Stapf.] Sprouts Extract
Abstract
1. Introduction
2. Results
2.1. Inhibition of Histamine and Cytokine Release in the HMC-1 Cell Line
2.2. Anti-Pruritic Effects in an Acute Pruritus-Induced Mouse Model
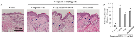
2.3. Improvement of Skin Lesions and Inhibition of Mast Cell Infiltration in Histological Changes
2.4. Degranulation of Mast Cells and Inhibition of Histamine Release
2.5. Inhibition of IL-31 Expression, a Biomarker of Histamine-Independent Pruritus
2.6. Inhibition of Tryptase and IL-31 Protein Expression
2.7. Effect on Spleen Cell Proliferation
2.8. Effect on NO Production in Spleen Cells
2.9. Effect on Cytokine Secretion in Spleen Cells
2.10. Coixol Content Analysis of Coix Sprouts
3. Discussion
4. Materials and Methods
4.1. Experiment Materials
4.2. Extract Preparation
4.3. Experiment Animal
Assessment of Anti-Pruritus Efficacy
4.4. Skin Tissue Staining
4.5. Western Blot Analysis
4.6. IL-31 mRNA Expression
4.7. Measurement of Pruritus-Inducing Factors, Histamine, IL-31, TNF-α, and IL-8, in HMC-1 Cells
4.8. Isolation of Splenocytes
4.9. Cell Proliferation Rate Measurement
4.10. Measurement of Nitric Oxide (NO) and Cytokine Production
4.11. Statistical Analysis
4.12. Measurement of Coixol Content According to Growth Duration
Author Contributions
Funding
Informed Consent Statement
Data Availability Statement
Conflicts of Interest
References
- Odhiambo, J.A.; Williams, H.C.; Clayton, T.O.; Robertson, C.F.; Asher, M.I.; Tomulic, K.H. Global variations in prevalence of eczema symptoms in children from ISAAC Phase Three. J. Allergy Clin. Immunol. 2009, 124, 1251–1258.e23. [Google Scholar] [CrossRef] [PubMed]
- Schmitt, J.; Langan, S.; Deckert, S.; Svensson, A.; von Kobyletzki, L.; Thomas, K.; Spuls, P. Assessment of clinical signs of atopic dermatitis: A systematic review and recommendation. J. Allergy Clin. Immunol. 2013, 132, 1337–1347. [Google Scholar] [CrossRef] [PubMed]
- Boguniewicz, M.; Leung, D.Y.M. Atopic dermatitis: A disease of altered skin barrier and immune dysregulation. Immunol. Rev. 2011, 242, 233–246. [Google Scholar] [CrossRef] [PubMed]
- Guttman-Yassky, E.; Nograles, K.E.; Krueger, J.G. Contrasting pathogenesis of atopic dermatitis and psoriasis—Part I: Clinical and pathologic concepts. J. Allergy Clin. Immunol. 2011, 127, 1110–1118. [Google Scholar] [CrossRef] [PubMed]
- Gittler, J.K.; Shemer, A.; Suárez-Fariñas, M.; Fuentes-Duculan, J.; Gulewicz, K.J.; Wang, C.Q.; Mitsui, H.; Cardinale, I.; de Guzman Strong, C.; Krueger, J.G. Progressive activation of TH2/TH22 cytokines and selective epidermal proteins characterizes acute and chronic atopic dermatitis. J. Allergy Clin. Immunol. 2012, 130, 1344–1354. [Google Scholar] [CrossRef]
- Hayashida, S.; Uchi, H.; Moroi, Y.; Furue, M. Decrease in circulating Th17 cells correlates with increased levels of CCL17, IgE and eosinophils in atopic dermatitis. J. Dermatol. Sci. 2011, 61, 180–186. [Google Scholar] [CrossRef]
- Rabenhorst, A.; Hartmann, K. Interleukin-31: A Novel Diagnostic Marker of Allergic Diseases. Curr. Allergy Asthma Rep. 2014, 14, 423. [Google Scholar] [CrossRef]
- Hosokawa, C.; Takeuchi, S.; Furue, M. Severity scores, itch scores and plasma substance P levels in atopic dermatitis treated with standard topical therapy with oral olopatadine hydrochloride. J. Dermatol. 2009, 36, 185–190. [Google Scholar] [CrossRef]
- Ochi, H.; De Jesus, N.H.; Hsieh, F.H.; Austen, K.F.; Boyce, J.A. IL-4 and -5 prime human mast cells for different profiles of IgE-dependent cytokine production. Proc. Natl. Acad. Sci. USA 2000, 97, 10509–10513. [Google Scholar] [CrossRef]
- Galieni, A.; Falcinelli, B.; Stagnari, F.; Datti, A.; Benincasa, P. Sprouts and Microgreens: Trends, Opportunities, and Horizons for Novel Research. Agronomy 2020, 10, 1424. [Google Scholar] [CrossRef]
- Shin, S.L.; Chang, Y.D.; Jeon, A.R.; Lee, C.H. Effect of different greening periods on antioxidant activities of sprout vegetables of Coreopsis tinctoria Nutt. and Saussurea pulchella (Fisch.) Fisch. Korean J. Hortic. Sci. Technol. 2009, 27, 503–510. [Google Scholar]
- Khalil, A.W.; Zeb, A.; Mahmood, F.; Tariq, S.; Khattak, A.B.; Shah, H. Comparison of sprout quality characteristics of desi and kabuli type chickpea cultivars (Cicer arietinum L.). LWT 2007, 40, 937–945. [Google Scholar] [CrossRef]
- Zhu, F. Coix: Chemical composition and health effects. Trends Food Sci. Technol. 2017, 61, 160–175. [Google Scholar] [CrossRef]
- Igbokwe, C.J.; Wei, M.; Feng, Y.; Duan, Y.; Ma, H.; Zhang, H. Coix Seed: A Review of Its Physicochemical Composition, Bioactivity, Processing, Application, Functionality, and Safety Aspects. Food Rev. Int. 2021, 38, 921–939. [Google Scholar] [CrossRef]
- Yu, Q.; Ye, G.; Lei, Z.; Yang, R.; Chen, R.; He, T.; Huang, S. An isolated compound from stems and leaves of Coix lacryma-jobi L. and its anticancer effect. Food Biosci. 2021, 42, 101047. [Google Scholar] [CrossRef]
- Chen, L.-C.; Jiang, B.-K.; Zheng, W.-H.; Zhang, S.-Y.; Li, J.-J.; Fan, Z.-Y. Preparation, characterization and anti-diabetic activity of polysaccharides from adlay seed. Int. J. Biol. Macromol. 2019, 139, 605–613. [Google Scholar] [CrossRef]
- Zhang, C.; Zhang, W.; Shi, R.; Tang, B.; Xie, S. Coix lachryma-jobi extract ameliorates inflammation and oxidative stress in a complete Freund’s adjuvant-induced rheumatoid arthritis model. Pharm. Biol. 2019, 57, 792–798. [Google Scholar] [CrossRef]
- Chiang, H.; Lu, H.-F.; Chen, J.-C.; Chen, Y.-H.; Sun, H.-T.; Huang, H.-C.; Tien, H.-H.; Huang, C. Adlay Seed (Coix lacryma-jobi L.) Extracts Exhibit a Prophylactic Effect on Diet-Induced Metabolic Dysfunction and Nonalcoholic Fatty Liver Disease in Mice. Evid.-Based Complement. Altern. Med. 2020, 2020, 9519625. [Google Scholar] [CrossRef]
- Choi, E.-K.; Cho, Y.J.; Yang, H.J.; Kim, K.-S.; Lee, I.-S.; Jang, J.-C.; Kim, K.-H.; Bang, J.H.; Kim, Y.; Kim, S.H. Coix seed extract attenuates the high-fat induced mouse obesity via PPAR γ and C/EBP α a downregulation. Mol. Cell. Toxicol. 2015, 11, 213–221. [Google Scholar] [CrossRef]
- Hu, Y.; Zhou, Q.; Liu, T.; Liu, Z. Coixol Suppresses NF-κB, MAPK Pathways and NLRP3 Inflammasome Activation in Lipopolysaccharide-Induced RAW 264.7 Cells. Molecules 2020, 25, 894. [Google Scholar] [CrossRef]
- Son, E.S.; Kim, Y.O.; Park, C.G.; Park, K.H.; Jeong, S.H.; Park, J.-W.; Kim, S.-H. Coix lacryma-jobi var. ma-yuen Stapf sprout extract has anti-metastatic activity in colon cancer cells in vitro. BMC Complement. Altern. Med. 2017, 17, 486. [Google Scholar] [CrossRef] [PubMed]
- Suzuki, Y.; Konaya, Y. Coix Seed May Affect Human Immune Function. Nat. Prod. Commun. 2021, 16, 1934578X211048642. [Google Scholar] [CrossRef]
- Wang, L.; Sun, J.; Yi, Q.; Wang, X.; Ju, X. Protective effect of polyphenols extract of adlay (Coix lachryma-jobi L. var. ma-yuen Stapf) on hypercholesterolemia-induced oxidative stress in rats. Molecules 2012, 17, 8886–8897. [Google Scholar] [CrossRef] [PubMed]
- Lee, E.-S.; Kim, Y.-I.; Lee, J.-H.; Kim, Y.-G.; Han, K.-S.; Yoon, Y.-H.; Cho, B.-O.; Park, K.; Lee, H.; Cho, J.-S. Comparison of quality, antioxidant capacity, and anti-inflammatory activity of adlay [Coix lacryma-jobi L. var. ma-yuen (Rom. Caill.) Stapf.] sprout at several harvest time. Plants 2023, 12, 2975. [Google Scholar] [CrossRef]
- Xi, X.-J.; Zhu, Y.-G.; Tong, Y.-P.; Yang, X.-L.; Tang, N.-N.; Ma, S.-M.; Li, S.; Cheng, Z. Assessment of the genetic diversity of different Job’s tears (Coix lacryma-jobi L.) accessions and the active composition and anticancer effect of its seed oil. PLoS ONE 2016, 11, e0153269. [Google Scholar] [CrossRef]
- Yu, J.; Suh, S.J.; Jang, I.B.; Moon, J.W.; Kwon, K.B.; Lee, S.W. Influence of Sodium Concentrations on Growth, Physiological Disorder Symptoms, and Bed Soil Chemical Properties of 2-Year-Old Ginseng. Korean J. Med. Crop. Sci. 2018, 26, 240–247. [Google Scholar] [CrossRef]
- Leung, D.Y.; Guttman-Yassky, E. Deciphering the complexities of atopic dermatitis: Shifting paradigms in treatment approaches. J. Allergy Clin. Immunol. 2014, 134, 769–779. [Google Scholar] [CrossRef]
- Ellis, C.N.; Mancini, A.J.; Paller, A.S.; Simpson, E.L.; Eichenfield, L.F. Understanding and managing atopic dermatitis in adult patients. Semin. Cutan. Med. Surg. 2012, 31, S18–S22. [Google Scholar] [CrossRef]
- Tominaga, M.; Takamori, K. Itch and nerve fibers with special reference to atopic dermatitis: Therapeutic implications. J. Dermatol. 2014, 41, 205–212. [Google Scholar] [CrossRef]
- Lee, H.-J.; Lim, H.-J.; Lim, M.-H. Effect of Seomaeyakssuk (Artemisia argyi H.) Extracts on Anti-pruritic Activities. J. Korean Appl. Sci. Technol. 2021, 38, 1292–1301. [Google Scholar]
- Cho, B.O.; Yin, H.H.; Che, D.N.; Kim, S.J.; Ryu, C.; Jang, S.I. Antioxidant, anti-inflammatory, and anti-pruritic effects of grape branch extract. Korean J. Food Sci. Technol. 2016, 48, 590–596. [Google Scholar] [CrossRef]
- Mok, J.Y.; Jeon, I.H.; Kim, H.S.; Shin, J.H.; Park, Y.G.; Jang, S.I. Synergic anti-pruritic and anti-inflammatory effects of Scutellariae Radix plus Flos Loncerae extracts in rat peritoneal mast cell and chemical antigen-induced mice. J. Physiol. Pathol. Korean Med. 2013, 27, 83–91. [Google Scholar]
- Mack, M.R.; Kim, B.S. The Itch–Scratch Cycle: A Neuroimmune Perspective. Trends Immunol. 2018, 39, 980–991. [Google Scholar] [CrossRef] [PubMed]
- Nam, S.; Rhee, Y.K.; Hong, H.-D.; Lee, Y.-C.; Kim, Y.-C.; Shin, K.-S.; Cho, C.-W. Immuno-Modulatory Activity of the Crude Polysaccharide from Wild Ginseng Adventitious Root. Korean J. Food Nutr. 2012, 25, 755–761. [Google Scholar] [CrossRef]
- Kang, S.J.; Yang, H.Y.; Lee, S.-J.; Kim, J.-H.; Hwang, S.-J.; Hong, S.-G. Immunostimulatory Effect of Rice Bran Fermented by Lentinus edodes Mycelia on Mouse Macrophages and Splenocytes. J. Korean Soc. Food Sci. Nutr. 2022, 51, 743–750. [Google Scholar] [CrossRef]
- Sohn, E.-H.; Yoon, J.W.; Koo, H.J.; Park, D.W.; Jeong, Y.J.; NamKoong, S.; Han, H.-S.; Kang, S.C. Immunomodulating Effects of Red Ginseng on the Regulation of Cytokine Release in vivo. Korean J. Plant Resour. 2012, 25, 578–585. [Google Scholar] [CrossRef][Green Version]
- Lee, H.J.; Lee, J.H.; Jung, J.T.; Lee, Y.J.; Oh, M.W.; Chang, J.K.; Jeong, H.S.; Park, C.G. Changes in Free Sugar, Coixol Contents and Antioxidant Activities of Adlay Sprout (Coix lacryma-jobi L. var. ma-yuen Stapf.) according to Different Growth Stage. Korean J. Med. Crop. Sci. 2019, 27, 339–347. [Google Scholar] [CrossRef]








| Days After Sowing | Total Coixol (mg/g, Dry Weight) | Shoot/Root Ratio |
|---|---|---|
| 3 | 95.46 ± 3.74 a | 1.08 ± 0.02 ab |
| 5 | 79.74 ± 3.13 b | 1.14 ± 0.02 a |
| 7 | 71.72 ± 2.44 c | 1.11 ± 0.01 a |
| 9 | 41.30 ± 0.65 e | 0.64 ± 0.02 b |
| 11 | 47.12 ± 1.93 d | 0.56 ± 0.04 c |
| Parameters | Condition | ||
|---|---|---|---|
| Column | YMC-Triart C18 (250 mm × 4.6 mml.D., S-5 μm, 12 nm) | ||
| Detection | 230 nm | ||
| Flow rate | 0.8 mL/min | ||
| Column temp. | 40 °C | ||
| Solvent A | 0.1% formic acid in water | ||
| Solvent B | 0.1% formic acid in Acetonitrile | ||
| Gradient | Time (min) | % A 1 | % B 2 |
| 2 | 100 | 0 | |
| 45 | 50 | 50 | |
| 50 | 5 | 95 | |
| 55 | 5 | 95 | |
| 55.1 | 100 | 0 | |
| 60 | 100 | 0 | |
| Primer | Sequence (5′→3′) | Sequence Number |
|---|---|---|
| IL-31 (Forward) | CCTACCCTGGTGCTGCTTTG | 1 |
| IL-31 (Reverse) | CTGACATCCCAGATGCCCTGC | 2 |
| GAPDH (Forward) | GGCTACACTGAGGACCAGGT | 3 |
| GAPDH (Reverse) | TCCACCACCCTGTTGCTGTA | 4 |
Disclaimer/Publisher’s Note: The statements, opinions and data contained in all publications are solely those of the individual author(s) and contributor(s) and not of MDPI and/or the editor(s). MDPI and/or the editor(s) disclaim responsibility for any injury to people or property resulting from any ideas, methods, instructions or products referred to in the content. |
© 2024 by the authors. Licensee MDPI, Basel, Switzerland. This article is an open access article distributed under the terms and conditions of the Creative Commons Attribution (CC BY) license (https://creativecommons.org/licenses/by/4.0/).
Share and Cite
Lee, E.-S.; Kim, Y.-I.; Lee, J.-H.; Kim, J.-H.; Kim, Y.-G.; Han, K.-S.; Yoon, Y.-H.; Cho, B.-O.; Cho, J.-S. Anti-Pruritic and Immunomodulatory Effects of Coix [Coix lacryma-jobi L. var. ma-yuen (Rom. Caill.) Stapf.] Sprouts Extract. Int. J. Mol. Sci. 2024, 25, 11828. https://doi.org/10.3390/ijms252111828
Lee E-S, Kim Y-I, Lee J-H, Kim J-H, Kim Y-G, Han K-S, Yoon Y-H, Cho B-O, Cho J-S. Anti-Pruritic and Immunomodulatory Effects of Coix [Coix lacryma-jobi L. var. ma-yuen (Rom. Caill.) Stapf.] Sprouts Extract. International Journal of Molecular Sciences. 2024; 25(21):11828. https://doi.org/10.3390/ijms252111828
Chicago/Turabian StyleLee, Eun-Song, Yong-Il Kim, Jeong-Hoon Lee, Jang-Hoon Kim, Yong-Goo Kim, Kyung-Sook Han, Young-Ho Yoon, Byoung-Ok Cho, and Ju-Sung Cho. 2024. "Anti-Pruritic and Immunomodulatory Effects of Coix [Coix lacryma-jobi L. var. ma-yuen (Rom. Caill.) Stapf.] Sprouts Extract" International Journal of Molecular Sciences 25, no. 21: 11828. https://doi.org/10.3390/ijms252111828
APA StyleLee, E.-S., Kim, Y.-I., Lee, J.-H., Kim, J.-H., Kim, Y.-G., Han, K.-S., Yoon, Y.-H., Cho, B.-O., & Cho, J.-S. (2024). Anti-Pruritic and Immunomodulatory Effects of Coix [Coix lacryma-jobi L. var. ma-yuen (Rom. Caill.) Stapf.] Sprouts Extract. International Journal of Molecular Sciences, 25(21), 11828. https://doi.org/10.3390/ijms252111828

