Survival Bias, Non-Lineal Behavioral and Cortico-Limbic Neuropathological Signatures in 3xTg-AD Mice for Alzheimer’s Disease from Premorbid to Advanced Stages and Compared to Normal Aging
Abstract
1. Introduction
2. Results
2.1. Strong Contribution of Age but Not Genotype and Sex Effects to Target Variables for AD-Related Phenotype
2.2. Isolation May Modify Hyperactivity and Neophobia Patterns and Disrupt the Obsessive Compulsive Disorder-like Digging Ethogram
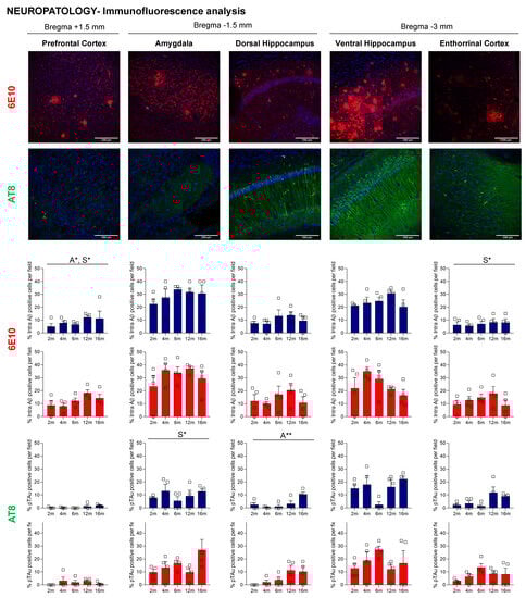
2.3. Age-, Sex-, and Region-Dependent Accumulation of Intraneuronal Aβ, Amyloid Plaques, and Aggregated Tau in 3xTg-AD Mice
3. Discussion
3.1. Animal Models Are Invaluable Tools for Studying Mechanisms of AD Pathogenesis
3.2. Age, Genotype, and Sex Modulation in Behavioral Signatures for Emotional, Cognitive, and Physical Phenotypes
3.3. Effects of Social Housing Conditions on Behavioral Signatures
3.4. Importance of Brain Regions Underlying Neuropsychiatric Symptoms in the 3xTg-AD Mouse Model
3.5. Limitations
4. Materials and Methods
4.1. Animals
4.2. Behavioral Assessments
4.2.1. Day 1: Corner and Open-Field Tests (CT and OF)
4.2.2. Day 2: Recognition Tests (OF2 and OR)
4.2.3. Day 3: Marble Test (MB)
4.2.4. Days 4 and 5: Spontaneous Alternation and Working Memory Paradigm in the T-Maze (TM-SA and TM-WM)
4.2.5. Days 6 to 10: Morris Water Maze (MWM)
4.3. Physical Status: Body Weight (BW) and Mouse Clinical Frailty Index Assessment (FI)
4.4. Brain Samples and Immunofluorescence Analysis
4.5. Statistics
5. Conclusions
Author Contributions
Funding
Institutional Review Board Statement
Informed Consent Statement
Data Availability Statement
Acknowledgments
Conflicts of Interest
References
- Feigin, V.L.; Vos, T.; Nichols, E.; Owolabi, M.O.; Carroll, W.M.; Dichgans, M.; Deuschl, G.; Parmar, P.; Brainin, M.; Murray, C. The Global Burden of Neurological Disorders: Translating Evidence into Policy. Lancet Neurol. 2020, 19, 255–265. [Google Scholar] [CrossRef] [PubMed]
- Llewellyn, D.J.; Lourida, I.; Hannon, E.; Littlejohns, T.J.; Langa, K.M.; Hyppönen, E.; Kuźma, E. Association of Lifestyle and Genetic Risk With Incidence of Dementia. JAMA 2019, 322, 430–437. [Google Scholar] [CrossRef]
- Knopman, D.S.; Amieva, H.; Petersen, R.C.; Chételat, G.; Holtzman, D.M.; Hyman, B.T.; Nixon, R.A.; Jones, D.T. Alzheimer Disease. Nat. Rev. Dis. Primers 2021, 7, 33. [Google Scholar] [CrossRef]
- Komarova, N.L.; Thalhauser, C.J. High Degree of Heterogeneity in Alzheimer’s Disease Progression Patterns. PLoS Comput. Biol. 2011, 7, e1002251. [Google Scholar] [CrossRef] [PubMed]
- Kaufer, D.I.; Cummings, J.L.; Christine, D.; Bray, T.; Castellon, S.; Masterman, D.; MacMillan, A.; Ketchel, P.; DeKosky, S.T. Assessing the Impact of Neuropsychiatric Symptoms in Alzheimer’s Disease: The Neuropsychiatric Inventory Caregiver Distress Scale. J. Am. Geriatr. Soc. 1998, 46, 210–215. [Google Scholar] [CrossRef] [PubMed]
- Ferreira, D.; Wahlund, L.O.; Westman, E. The Heterogeneity within Alzheimer’s Disease. Aging 2018, 10, 3058. [Google Scholar] [CrossRef]
- Cummings, J.L. The Neuropsychiatric Inventory: Assessing Psychopathology in Dementia Patients. Neurology 1997, 48, 10S–16S. [Google Scholar] [CrossRef] [PubMed]
- Reisberg, B.; Borenstein, J.; Salob, S.P.; Ferris, S.H.; Franssen, E.; Georgotas, A. Behavioral Symptoms in Alzheimer’s Disease: Phenomenology and Treatment. J. Clin. Psychiatry 1987, 48, 9–15. [Google Scholar] [PubMed]
- Steinberg, M.; Corcoran, C.; Tschanz, J.T.; Huber, C.; Welsh-Bohmer, K.; Norton, M.C.; Zandi, P.; Breitner, J.C.S.; Steffens, D.C.; Lyketsos, C.G. Risk Factors for Neuropsychiatric Symptoms in Dementia: The Cache County Study. Int. J. Geriatr. Psychiatry 2006, 21, 824–830. [Google Scholar] [CrossRef]
- De Vugt, M.E.; Stevens, F.; Aalten, P.; Lousberg, R.; Jaspers, N.; Verhey, F.R.J. A Prospective Study of the Effects of Behavioral Symptoms on the Institutionalization of Patients with Dementia. Int. Psychogeriatr. 2005, 17, 577–589. [Google Scholar] [CrossRef]
- Kamiya, M.; Sakurai, T.; Ogama, N.; Maki, Y.; Toba, K. Factors Associated with Increased Caregivers’ Burden in Several Cognitive Stages of Alzheimer’s Disease. Geriatr. Gerontol. Int. 2014, 14, 45–55. [Google Scholar] [CrossRef]
- Raskin, J.; Cummings, J.; Hardy, J.; Schuh, K.; Dean, R. Neurobiology of Alzheimer’s Disease: Integrated Molecular, Physiological, Anatomical, Biomarker, and Cognitive Dimensions. Curr. Alzheimer Res. 2015, 12, 712–722. [Google Scholar] [CrossRef] [PubMed]
- Spires-Jones, T.L.; Hyman, B.T. The Intersection of Amyloid Beta and Tau at Synapses in Alzheimer’s Disease. Neuron 2014, 82, 756–771. [Google Scholar] [CrossRef] [PubMed]
- Deture, M.A.; Dickson, D.W. The Neuropathological Diagnosis of Alzheimer’s Disease. Mol. Neurodegener. 2019, 14, 32. [Google Scholar] [CrossRef] [PubMed]
- Wang, J.; Gu, B.J.; Masters, C.L.; Wang, Y.J. A Systemic View of Alzheimer Disease—Insights from Amyloid-β Metabolism beyond the Brain. Nat. Rev. Neurol. 2017, 13, 612–623. [Google Scholar] [CrossRef] [PubMed]
- Giménez-Llort, L.; Arranz, L.; Maté, I.; De La Fuente, M. Gender-Specific Neuroimmunoendocrine Aging in a Triple-Transgenic 3×Tg-AD Mouse Model for Alzheimer’s Disease and Its Relation with Longevity. Neuroimmunomodulation 2008, 15, 331–343. [Google Scholar] [CrossRef]
- Jagust, W. Imaging the Evolution and Pathophysiology of Alzheimer Disease. Nat. Rev. Neurosci. 2018, 19, 687. [Google Scholar] [CrossRef]
- Braak, H.; Braak, E. Neuropathological Stageing of Alzheimer-Related Changes. Acta Neuropathol. 1991, 82, 239–259. [Google Scholar] [CrossRef]
- Bruen, P.D.; McGeown, W.J.; Shanks, M.F.; Venneri, A. Neuroanatomical Correlates of Neuropsychiatric Symptoms in Alzheimer’s Disease. Brain 2008, 131, 2455–2463. [Google Scholar] [CrossRef]
- Chen, Y.; Dang, M.; Zhang, Z. Brain Mechanisms Underlying Neuropsychiatric Symptoms in Alzheimer’s Disease: A Systematic Review of Symptom-General and -Specific Lesion Patterns. Mol. Neurodegener. 2021, 16, 38. [Google Scholar] [CrossRef]
- Xu, F.; Ono, M.; Ito, T.; Uchiumi, O.; Wang, F.; Zhang, Y.; Sun, P.; Zhang, Q.; Yamaki, S.; Yamamoto, R.; et al. Remodeling of Projections from Ventral Hippocampus to Prefrontal Cortex in Alzheimer’s Mice. J. Comp. Neurol. 2021, 529, 1486–1498. [Google Scholar] [CrossRef] [PubMed]
- Maren, S.; Phan, K.L.; Liberzon, I. The Contextual Brain: Implications for Fear Conditioning, Extinction and Psychopathology. Nat. Rev. Neurosci. 2013, 14, 417. [Google Scholar] [CrossRef] [PubMed]
- O’Leary, O.F.; Cryan, J.F. A Ventral View on Antidepressant Action: Roles for Adult Hippocampal Neurogenesis along the Dorsoventral Axis. Trends Pharmacol. Sci. 2014, 35, 675–687. [Google Scholar] [CrossRef] [PubMed]
- Fanselow, M.S.; Dong, H.W. Are The Dorsal and Ventral Hippocampus Functionally Distinct Structures? Neuron 2010, 65, 7. [Google Scholar] [CrossRef]
- Turner, R.C.; Seminerio, M.J.; Naser, Z.J.; Ford, J.N.; Martin, S.J.; Matsumoto, R.R.; Rosen, C.L.; Huber, J.D. Effects of Aging on Behavioral Assessment Performance: Implications for Clinically Relevant Models of Neurological Disease: Laboratory Investigation. J. Neurosurg. 2012, 117, 629–637. [Google Scholar] [CrossRef] [PubMed]
- Mitchell, S.J.; Scheibye-Knudsen, M.; Longo, D.L.; de Cabo, R. Animal Models of Aging Research: Implications for Human Aging and Age-Related Diseases*. Annu. Rev. Anim. Biosci. 2015, 3, 283–303. [Google Scholar] [CrossRef]
- Torres-Lista, V.; De la Fuente, M.; Giménez-Llort, L. Survival Curves and Behavioral Profiles of Female 3xTg-AD Mice Surviving to 18-Months of Age as Compared to Mice with Normal Aging. J. Alzheimers Dis. Rep. 2017, 1, 47–57. [Google Scholar] [CrossRef]
- Muntsant, A.; Giménez-Llort, L. Genotype Load Modulates Amyloid Burden and Anxiety-Like Patterns in Male 3xTg-AD Survivors despite Similar Neuro-Immunoendocrine, Synaptic and Cognitive Impairments. Biomedicines 2021, 9, 715. [Google Scholar] [CrossRef]
- Muntsant, A.; Giménez-Llort, L. Crosstalk of Alzheimer’s Disease-Phenotype, HPA Axis, Splenic Oxidative Stress and Frailty in Late-Stages of Dementia, with Special Concerns on the Effects of Social Isolation: A Translational Neuroscience Approach. Front. Aging Neurosci. 2022, 14, 969381. [Google Scholar] [CrossRef]
- Oddo, S.; Caccamo, A.; Kitazawa, M.; Tseng, B.P.; LaFerla, F.M. Amyloid Deposition Precedes Tangle Formation in a Triple Transgenic Model of Alzheimer’s Disease. Neurobiol. Aging 2003, 24, 1063–1070. [Google Scholar] [CrossRef]
- Oddo, S.; Caccamo, A.; Shepherd, J.D.; Murphy, M.P.; Golde, T.E.; Kayed, R.; Metherate, R.; Mattson, M.P.; Akbari, Y.; LaFerla, F.M. Triple-Transgenic Model of Alzheimer’s Disease with Plaques and Tangles: Intracellular Aβ and Synaptic Dysfunction. Neuron 2003, 39, 409–421. [Google Scholar] [CrossRef] [PubMed]
- Belfiore, R.; Rodin, A.; Ferreira, E.; Velazquez, R.; Branca, C.; Caccamo, A.; Oddo, S. Temporal and Regional Progression of Alzheimer’s Disease-like Pathology in 3xTg-AD Mice. Wiley Online Libr. 2018, 18, e12873. [Google Scholar] [CrossRef] [PubMed]
- Billings, L.M.; Oddo, S.; Green, K.N.; McGaugh, J.L.; LaFerla, F.M. Intraneuronal Aβ Causes the Onset of Early Alzheimer’s Disease-Related Cognitive Deficits in Transgenic Mice. Neuron 2005, 45, 675–688. [Google Scholar] [CrossRef] [PubMed]
- Sterniczuk, R.; Antle, M.C.; Laferla, F.M.; Dyck, R.H. Characterization of the 3xTg-AD Mouse Model of Alzheimer’s Disease: Part 2. Behavioral and Cognitive Changes. Brain Res. 2010, 1348, 149–155. [Google Scholar] [CrossRef] [PubMed]
- Giménez-Llort, L.; Blázquez, G.; Cañete, T.; Johansson, B.; Oddo, S.; Tobeña, A.; LaFerla, F.M.; Fernández-Teruel, A. Modeling Behavioral and Neuronal Symptoms of Alzheimer’s Disease in Mice: A Role for Intraneuronal Amyloid. Neurosci. Biobehav. Rev. 2007, 31, 125–147. [Google Scholar] [CrossRef]
- España, J.; Giménez-Llort, L.; Valero, J.; Miñano, A.; Rábano, A.; Rodriguez-Alvarez, J.; LaFerla, F.M.; Saura, C.A. Intraneuronal β-Amyloid Accumulation in the Amygdala Enhances Fear and Anxiety in Alzheimer’s Disease Transgenic Mice. Biol. Psychiatry 2010, 67, 513–521. [Google Scholar] [CrossRef]
- Javonillo, D.I.; Tran, K.M.; Phan, J.; Hingco, E.; Kramár, E.A.; da Cunha, C.; Forner, S.; Kawauchi, S.; Milinkeviciute, G.; Gomez-Arboledas, A.; et al. Systematic Phenotyping and Characterization of the 3xTg-AD Mouse Model of Alzheimer’s Disease. Front. Neurosci. 2022, 15, 1829. [Google Scholar] [CrossRef]
- LaFerla, F.M.; Green, K.N. Animal Models of Alzheimer Disease. Cold Spring Harb. Perspect. Med. 2012, 2, a006320. [Google Scholar] [CrossRef]
- Games, D.; Adams, D.; Alessandrini, R.; Barbour, R.; Borthelette, P.; Blackwell, C.; Carr, T.; Clemens, J.; Donaldson, T.; Gillespie, F.; et al. Alzheimer-Type Neuropathology in Transgenic Mice Overexpressing V717F β-Amyloid Precursor Protein. Nature 1995, 373, 523–527. [Google Scholar] [CrossRef]
- Nardini, E.; Hogan, R.; Flamier, A.; Bernier, G. Alzheimer’s Disease: A Tale of Two Diseases? Neural Regen. Res. 2021, 16, 1958. [Google Scholar] [CrossRef]
- Chen, Y.; Liang, Z.; Blanchard, J.; Dai, C.L.; Sun, S.; Lee, M.H.; Grundke-Iqbal, I.; Iqbal, K.; Liu, F.; Gong, C.X. A Non-Transgenic Mouse Model (Icv-STZ Mouse) of Alzheimer’s Disease: Similarities to and Differences from the Transgenic Model (3xTg-AD Mouse). Mol. Neurobiol. 2013, 47, 711–725. [Google Scholar] [CrossRef] [PubMed]
- Arai, H.; Ouchi, Y.; Yokode, M.; Ito, H.; Uematsu, H.; Eto, F.; Oshima, S.; Ota, K.; Saito, Y.; Sasaki, H.; et al. Toward the Realization of a Better Aged Society: Messages from Gerontology and Geriatrics. Geriatr. Gerontol. Int. 2012, 12, 16–22. [Google Scholar] [CrossRef] [PubMed]
- Puzzo, D.; Gulisano, W.; Palmeri, A.; Arancio, O. Rodent Models for Alzheimer’s Disease Drug Discovery. Expert Opin. Drug Discov. 2015, 10, 703–711. [Google Scholar] [CrossRef] [PubMed]
- Giménez-Llort, L.; Marin-Pardo, D.; Marazuela, P.; del Hernández-Guillamón, M.M. Survival Bias and Crosstalk between Chronological and Behavioral Age: Age- and Genotype-Sensitivity Tests Define Behavioral Signatures in Middle-Aged, Old, and Long-Lived Mice with Normal and AD-Associated Aging. Biomedicines 2021, 9, 636. [Google Scholar] [CrossRef] [PubMed]
- Baeta-Corral, R.; Giménez-Llort, L. Bizarre Behaviors and Risk Assessment in 3xTg-AD Mice at Early Stages of the Disease. Behav. Brain Res. 2014, 258, 97–105. [Google Scholar] [CrossRef]
- Mendez, M.F. The Relationship Between Anxiety and Alzheimer’s Disease. J. Alzheimers Dis. Rep. 2021, 5, 171. [Google Scholar] [CrossRef]
- Várkonyi, D.; Török, B.; Sipos, E.; Fazekas, C.L.; Bánrévi, K.; Correia, P.; Chaves, T.; Farkas, S.; Szabó, A.; Martínez-Bellver, S.; et al. Investigation of Anxiety- and Depressive-like Symptoms in 4- and 8-Month-Old Male Triple Transgenic Mouse Models of Alzheimer’s Disease. Int. J. Mol. Sci. 2022, 23, 10816. [Google Scholar] [CrossRef]
- Fahlström, A.; Yu, Q.; Ulfhake, B. Behavioral Changes in Aging Female C57BL/6 Mice. Neurobiol. Aging 2011, 32, 1868–1880. [Google Scholar] [CrossRef]
- Shoji, H.; Miyakawa, T. Age-related Behavioral Changes from Young to Old Age in Male Mice of a C57BL/6J Strain Maintained under a Genetic Stability Program. Neuropsychopharmacol. Rep. 2019, 39, 100. [Google Scholar] [CrossRef]
- Nolte, E.D.; Nolte, K.A.; Yan, S.S. Du Anxiety and Task Performance Changes in an Aging Mouse Model. Biochem. Biophys. Res. Commun. 2019, 514, 246. [Google Scholar] [CrossRef]
- Giménez-Llort, L.; Ferré, S.; Martínez, E. Effects of the Systemic Administration of Kainic Acid and NMDA on Exploratory Activity in Rats. Pharmacol. Biochem. Behav. 1995, 51, 205–210. [Google Scholar] [CrossRef] [PubMed]
- Studenski, S.; Perera, S.; Patel, K.; Rosano, C.; Faulkner, K.; Inzitari, M.; Brach, J.; Chandler, J.; Cawthon, P.; Connor, E.B.; et al. Gait Speed and Survival in Older Adults. JAMA 2011, 305, 50–58. [Google Scholar] [CrossRef] [PubMed]
- Callisaya, M.L.; Launay, C.P.; Srikanth, V.K.; Verghese, J.; Allali, G.; Beauchet, O. Cognitive Status, Fast Walking Speed and Walking Speed Reserve—The Gait and Alzheimer Interactions Tracking (GAIT) Study. Geroscience 2017, 39, 231–239. [Google Scholar] [CrossRef] [PubMed]
- Allali, G.; Annweiler, C.; Blumen, H.M.; Callisaya, M.L.; De Cock, A.M.; Kressig, R.W.; Srikanth, V.; Steinmetz, J.P.; Verghese, J.; Beauchet, O. Gait Phenotype from Mild Cognitive Impairment to Moderate Dementia: Results from the GOOD Initiative. Eur. J. Neurol. 2016, 23, 527–541. [Google Scholar] [CrossRef] [PubMed]
- Pinel, J.P.; Treit, D. Burying as a Defensive Response in Rats. J. Comp. Physiol. Psychol. 1978, 92, 708–712. [Google Scholar] [CrossRef]
- Torres-Lista, V.; López-Pousa, S.; Giménez-Llort, L. Marble-Burying Is Enhanced in 3xTg-AD Mice, Can Be Reversed by Risperidone and It Is Modulable by Handling. Behav. Process. 2015, 116, 69–74. [Google Scholar] [CrossRef]
- Deacon, R.M.J. Digging and Marble Burying in Mice: Simple Methods for in Vivo Identification of Biological Impacts. Nat. Protoc. 2006, 1, 122–124. [Google Scholar] [CrossRef]
- Kindt, M. The Surprising Subtleties of Changing Fear Memory: A Challenge for Translational Science. Philos. Trans. R. Soc. B Biol. Sci. 2018, 373, 20170033. [Google Scholar] [CrossRef]
- Torres-Lista, V.; Parrado-Fernández, C.; Alvarez-Montón, I.; Frontiñán-Rubio, J.; Durán-Prado, M.; Peinado, J.R.; Johansson, B.; Alcaín, F.J.; Giménez-Llort, L. Neophobia, NQO1 and SIRT1 as Premorbid and Prodromal Indicators of AD in 3xTg-AD Mice. Behav. Brain Res. 2014, 271, 140–146. [Google Scholar] [CrossRef]
- Thompson, R. The Comparative Effects of Anterior and Posterior Cortical Lesions on Maze Retention. J. Comp. Physiol. Psychol. 1959, 52, 506–508. [Google Scholar] [CrossRef]
- Deacon, R.M.J.; Rawlins, J.N.P. T-Maze Alternation in the Rodent. Nat. Protoc. 2006, 1, 7–12. [Google Scholar] [CrossRef] [PubMed]
- Guayerbas, N.; Puerto, M.; Ferrández, M.D.; De La Fuente, M. A Diet Supplemented with Thiolic Anti-Oxidants Improves Leucocyte Function in Two Strains of Prematurely Ageing Mice. Clin. Exp. Pharmacol. Physiol. 2002, 29, 1009–1014. [Google Scholar] [CrossRef] [PubMed]
- Stevens, L.M.; Brown, R.E. Reference and Working Memory Deficits in the 3xTg-AD Mouse between 2 and 15-Months of Age: A Cross-Sectional Study. Behav. Brain Res. 2015, 278, 496–505. [Google Scholar] [CrossRef] [PubMed]
- Morris, R. Developments of a Water-Maze Procedure for Studying Spatial Learning in the Rat. J. Neurosci. Methods 1984, 11, 47–60. [Google Scholar] [CrossRef] [PubMed]
- Zeng, A.; Song, X.; Dong, J.; Mitnitski, A.; Liu, J.; Guo, Z.; Rockwood, K. Mortality in Relation to Frailty in Patients Admitted to a Specialized Geriatric Intensive Care Unit. J. Gerontol. Ser. A Biol. Sci. Med. Sci. 2015, 70, 1586–1594. [Google Scholar] [CrossRef] [PubMed]
- Liu, H.; Graber, T.G.; Ferguson-Stegall, L.; Thompson, L.V. Clinically Relevant Frailty Index for Mice. J. Gerontol. A Biol. Sci. Med. Sci. 2014, 69, 1485–1491. [Google Scholar] [CrossRef]
- Gomez-Cabrera, M.C.; Garcia-Valles, R.; Rodriguez-Mañas, L.; Garcia-Garcia, F.J.; Olaso-Gonzalez, G.; Salvador-Pascual, A.; Tarazona-Santabalbina, F.J.; Viña, J. A New Frailty Score for Experimental Animals Based on the Clinical Phenotype: Inactivity as a Model of Frailty. J. Gerontol. Ser. A Biol. Sci. Med. Sci. 2017, 72, 885–891. [Google Scholar] [CrossRef]
- Martinez De Toda, I.; Garrido, A.; Vida, C.; Gomez-Cabrera, M.C.; Viña, J.; De La Fuente, M. Frailty Quantified by the “Valencia Score” as a Potential Predictor of Lifespan in Mice. J. Gerontol. Ser. A 2018, 73, 1323–1329. [Google Scholar] [CrossRef]
- Whitehead, J.C.; Hildebrand, B.A.; Sun, M.; Rockwood, M.R.; Rose, R.A.; Rockwood, K.; Howlett, S.E. A Clinical Frailty Index in Aging Mice: Comparisons With Frailty Index Data in Humans. J. Gerontol. Ser. A 2014, 69, 621–632. [Google Scholar] [CrossRef]
- Pettan-Brewer, C.; Treuting, P.M.M. Practical Pathology of Aging Mice. Pathobiol. Aging Age-Relat. Dis. 2011, 1, 7202. [Google Scholar] [CrossRef]
- Kane, A.E.; Shin, S.; Wong, A.A.; Fertan, E.; Faustova, N.S.; Howlett, S.E.; Brown, R.E. Sex Differences in Healthspan Predict Lifespan in the 3xTg-AD Mouse Model of Alzheimer’s Disease. Front. Aging Neurosci. 2018, 10, 172. [Google Scholar] [CrossRef] [PubMed]
- Todorovic, S.; Loncarevic-Vasiljkovic, N.; Jovic, M.; Sokanovic, S.; Kanazir, S.; Mladenovic Djordjevic, A. Frailty Index and Phenotype Frailty Score: Sex- and Age-Related Differences in 5XFAD Transgenic Mouse Model of Alzheimer’s Disease. Mech. Ageing Dev. 2020, 185, 111195. [Google Scholar] [CrossRef] [PubMed]
- Gordon, E.H.; Peel, N.M.; Samanta, M.; Theou, O.; Howlett, S.E.; Hubbard, R.E. Sex Differences in Frailty: A Systematic Review and Meta-Analysis. Exp. Gerontol. 2017, 89, 30–40. [Google Scholar] [CrossRef] [PubMed]
- Arakawa, H. Ethological Approach to Social Isolation Effects in Behavioral Studies of Laboratory Rodents. Behav. Brain Res. 2018, 341, 98–108. [Google Scholar] [CrossRef]
- Steptoe, A.; Shankar, A.; Demakakos, P.; Wardle, J. Social Isolation, Loneliness, and All-Cause Mortality in Older Men and Women. Proc. Natl. Acad. Sci. USA 2013, 110, 5797–5801. [Google Scholar] [CrossRef]
- Gerst-Emerson, K.; Jayawardhana, J. Loneliness as a Public Health Issue: The Impact of Loneliness on Health Care Utilization among Older Adults. Am. J. Public Health 2015, 105, 1013–1019. [Google Scholar] [CrossRef]
- Porcelli, S.; Van Der Wee, N.; van der Werff, S.; Aghajani, M.; Glennon, J.C.; van Heukelum, S.; Mogavero, F.; Lobo, A.; Olivera, F.J.; Lobo, E.; et al. Social Brain, Social Dysfunction and Social Withdrawal. Neurosci. Biobehav. Rev. 2019, 97, 10–33. [Google Scholar] [CrossRef]
- Curelaru, A.; Marzolf, S.J.; Provost, J.C.K.G.; Zeon, H.H.H. Social Isolation in Dementia: The Effects of COVID-19. J. Nurse Pract. 2021, 17, 950–953. [Google Scholar] [CrossRef]
- Giménez-Llort, L.; Alveal-Mellado, D. Digging Signatures in 13-Month-Old 3xTg-AD Mice for Alzheimer’s Disease and Its Disruption by Isolation Despite Social Life Since They Were Born. Front. Behav. Neurosci. 2021, 14, 277. [Google Scholar] [CrossRef]
- Muntsant, A.; Giménez-Llort, L. Impact of Social Isolation on the Behavioral, Functional Profiles, and Hippocampal Atrophy Asymmetry in Dementia in Times of Coronavirus Pandemic (COVID-19): A Translational Neuroscience Approach. Front. Psychiatry 2020, 11, 1126. [Google Scholar] [CrossRef]
- Greene, S.J.; Killiany, R.J.; The Alzheimer’s Disease Neuroimaging Initiative. Hippocampal Subregions Are Differentially Affected in the Progression to Alzheimer’s Disease. Anat. Rec. Adv. Integr. Anat. Evol. Biol. 2012, 295, 132–140. [Google Scholar] [CrossRef] [PubMed]
- Mufson, E.J.; Oh, K.J.; Perez, S.E.; Lagalwar, S.; Vana, L.; Binder, L. Staging of Alzheimer’s Pathology in Triple Transgenic Mice: A Light and Electron Microscopic Analysis. Int. J. Alzheimers Dis. 2010, 2010, 780102. [Google Scholar] [CrossRef]
- Kilkenny, C.; Browne, W.J.; Cuthill, I.C.; Emerson, M.; Altman, D.G. Improving Bioscience Research Reporting: The ARRIVE Guidelines for Reporting Animal Research. PLoS Biol. 2010, 8, e1000412. [Google Scholar] [CrossRef] [PubMed]
- Douglas, R.J. Cues for Spontaneous Alternation. J. Comp. Physiol. Psychol. 1966, 62, 171–183. [Google Scholar] [CrossRef] [PubMed]
- Giménez-Llort, L.; García, Y.; Buccieri, K.; Revilla, S.; Suol, C.; Cristofol, R.; Sanfeliu, C. Gender-Specific Neuroimmunoendocrine Response to Treadmill Exercise in 3xTg-AD Mice. Int. J. Alzheimers Dis. 2010, 2010, 128354. [Google Scholar] [CrossRef] [PubMed][Green Version]
- Giménez-Llort, L.; Masino, S.A.; Diao, L.; Fernández-Teruel, A.; Tobeña, A.; Halldner, L.; Fredholm, B.B. Mice Lacking the Adenosine A1 Receptor Have Normal Spatial Learning and Plasticity in the CA1 Region of the Hippocampus, but They Habituate More Slowly. Synapse 2005, 57, 8–16. [Google Scholar] [CrossRef]
- Baeta-Corral, R.; Giménez-Llort, L. Persistent Hyperactivity and Distinctive Strategy Features in the Morris Water Maze in 3xTg-AD Mice at Advanced Stages of Disease. Behav. Neurosci. 2015, 129, 129–137. [Google Scholar] [CrossRef]








| Behavioral Tests and Variables | G | A | S | G × A | G × S | A × S | G × A × S |
|---|---|---|---|---|---|---|---|
| Corner test (CT) | |||||||
| Total visited corners (n) | * | ** | ** | - | - | - | - |
| Total numbers of rearings (n) | - | - | - | - | - | - | * |
| Latency of rearing (s) | - | - | - | - | - | - | - |
| Open-field test (OF) | |||||||
| Freezing—Latency of first movement (s) | - | * | - | - | - | * | - |
| Latency to exit the center (s) | - | - | - | - | - | - | - |
| Latency to entering the peripheral ring (s) | - | *** | - | - | - | ** | - |
| Latency of rearing (s) | *** | *** | - | - | - | ** | - |
| Latency of self-grooming (s) | - | - | - | - | - | * | - |
| Total horizontal activity (n crossings) | * | *** | - | - | - | - | - |
| Total horizontal activity in the center (n) | - | * | * | - | - | - | - |
| Total horizontal activity in the periphery (n) | * | *** | - | - | - | - | - |
| Total vertical activity (n rearings) | * | *** | * | - | - | - | - |
| Gait analysis—Total number of pauses (n) | - | *** | - | - | - | - | - |
| Gait analysis—Mean number of crossings (n) | *** | * | - | - | - | - | - |
| Defecation (n) | * | - | - | - | - | - | - |
| Urination (%) | - | - | *** | - | - | - | - |
| Context and object recognition tests | |||||||
| OF2—Freezing—Latency of first movement (s) | - | *** | - | - | - | * | - |
| OF2—Latency to exit the center (s) | *** | *** | - | - | - | * | - |
| OF2—Latency to entering the peripheral ring(s) | *** | *** | - | - | - | - | - |
| OF2—Latency of rearing (s) | * | ** | - | - | - | * | - |
| OF2—Latency of self-grooming (s) | - | - | - | - | - | * | - |
| OF2—Total horizontal activity (n crossings) | * | * | - | - | - | - | - |
| OF2—Total horizontal activity in the center (n) | * | - | - | - | - | - | - |
| OF2— Total horizontal in the periphery (n) | - | * | - | - | - | - | - |
| OF2—Total vertical activity (n rearings) | - | * | - | - | - | * | - |
| OF2—Urination (%) | - | - | *** | - | - | - | - |
| OR Sample trial—Time exploring object (s) | - | * | - | - | - | - | - |
| OR-Sample trial—Time to reach the criteria (s) | - | - | - | - | - | - | * |
| OR—Test trial—Object latency (s) | * | - | - | - | - | - | ** |
| Marble test (MB) | |||||||
| Intact (n) | - | * | - | - | *** | - | - |
| Buried (n) | - | *** | - | - | * | - | - |
| Spontaneous alternation in the T-Maze test | |||||||
| Latency of first movement (s) | - | *** | - | * | - | - | - |
| Latency to cross the intersection (s) | - | * | * | - | - | - | - |
| Total time to complete the test (s) | - | - | - | - | - | - | - |
| Total number of errors (n) | * | ** | - | - | - | - | - |
| T-Maze test | |||||||
| Latency of first movement (s) | * | - | - | - | - | - | - |
| Test trial—Latency to cross the intersection (s) | ** | - | - | - | - | - | - |
| Test trial—Time to complete the test (s) | ** | - | - | - | - | - | - |
| Morris water maze test (MWM) | |||||||
| Escape latency—CUE | - | - | - | - | - | - | - |
| Escape latency—PT1 | - | - | - | - | - | - | - |
| Escape latency—PT2 | - | - | - | - | - | - | - |
| Escape latency—PT3 | ** | ** | - | - | - | - | - |
| Escape latency—PT4 | * | *** | - | - | - | - | - |
| Distance—CUE | - | - | * | - | - | - | - |
| Distance—PT1 | - | - | - | - | - | - | - |
| Distance—PT2 | - | - | - | - | - | - | - |
| Distance—PT3 | - | ** | - | - | - | - | - |
| Distance—PT4 | - | *** | - | - | - | - | - |
| Swimming speed—CUE | *** | *** | - | ** | - | - | * |
| Swimming speed—PT1 | *** | ** | - | - | - | - | - |
| Swimming speed—PT2 | ** | ** | - | - | - | - | - |
| Swimming speed—PT3 | - | *** | - | - | - | - | - |
| Swimming speed—PT4 | * | ** | - | - | - | - | * |
| Probe trial—Opposite quadrant distance (m) | - | *** | - | - | * | - | - |
| Probe trial—Target quadrant distance (m) | * | - | - | - | - | - | * |
| Probe trial—Latency to platform (s) | * | - | - | - | - | - | - |
| Physical status | |||||||
| Body weight (g) | - | *** | *** | - | - | * | - |
| Frailty index | *** | *** | * | - | - | - | - |
| % Mice with Positive Signal | ||||||||||
|---|---|---|---|---|---|---|---|---|---|---|
| Sex | Males | Females | ||||||||
| Brain Region | PFC | AMG | HCd | HCv | ECx | PFC | AMG | HCd | HCv | ECx |
| 6E10 Intracellular signal | ||||||||||
| 2 months | 100 | 100 | 100 | 100 | 100 | 75 | 75 | 75 | 75 | 75 |
| 4 months | 100 | 100 | 100 | 100 | 100 | 100 | 100 | 100 | 100 | 100 |
| 6 months | 100 | 100 | 100 | 100 | 100 | 100 | 100 | 100 | 100 | 100 |
| 12 months | 100 | 100 | 100 | 100 | 100 | 100 | 100 | 100 | 100 | 100 |
| 16 months | 100 | 100 | 75 | 100 | 75 | 100 | 100 | 75 | 100 | 75 |
| 6E10 Aβ plaques | ||||||||||
| 2 months | 0 | 0 | 0 | 0 | 0 | 0 | 0 | 0 | 0 | 0 |
| 4 months | 0 | 0 | 0 | 0 | 0 | 0 | 0 | 0 | 0 | 0 |
| 6 months | 0 | 0 | 0 | 0 | 0 | 0 | 0 | 0 | 0 | 0 |
| 12 months | 0 | 0 | 0 | 0 | 0 | 0 | 0 | 25 | 100 | 50 |
| 16 months | 0 | 0 | 25 | 75 | 50 | 25 | 25 | 25 | 25 | 25 |
| AT8 Intracellular signal | ||||||||||
| 2 months | 25 | 100 | 50 | 100 | 75 | 0 | 100 | 0 | 100 | 100 |
| 4 months | 50 | 75 | 50 | 75 | 50 | 50 | 75 | 50 | 75 | 75 |
| 6 months | 25 | 50 | 25 | 50 | 50 | 50 | 100 | 75 | 100 | 100 |
| 12 months | 50 | 75 | 75 | 75 | 100 | 75 | 100 | 100 | 100 | 100 |
| 16 months | 100 | 100 | 100 | 100 | 100 | 50 | 100 | 75 | 50 | 50 |
Disclaimer/Publisher’s Note: The statements, opinions and data contained in all publications are solely those of the individual author(s) and contributor(s) and not of MDPI and/or the editor(s). MDPI and/or the editor(s) disclaim responsibility for any injury to people or property resulting from any ideas, methods, instructions or products referred to in the content. |
© 2023 by the authors. Licensee MDPI, Basel, Switzerland. This article is an open access article distributed under the terms and conditions of the Creative Commons Attribution (CC BY) license (https://creativecommons.org/licenses/by/4.0/).
Share and Cite
Muntsant, A.; Castillo-Ruiz, M.d.M.; Giménez-Llort, L. Survival Bias, Non-Lineal Behavioral and Cortico-Limbic Neuropathological Signatures in 3xTg-AD Mice for Alzheimer’s Disease from Premorbid to Advanced Stages and Compared to Normal Aging. Int. J. Mol. Sci. 2023, 24, 13796. https://doi.org/10.3390/ijms241813796
Muntsant A, Castillo-Ruiz MdM, Giménez-Llort L. Survival Bias, Non-Lineal Behavioral and Cortico-Limbic Neuropathological Signatures in 3xTg-AD Mice for Alzheimer’s Disease from Premorbid to Advanced Stages and Compared to Normal Aging. International Journal of Molecular Sciences. 2023; 24(18):13796. https://doi.org/10.3390/ijms241813796
Chicago/Turabian StyleMuntsant, Aida, Maria del Mar Castillo-Ruiz, and Lydia Giménez-Llort. 2023. "Survival Bias, Non-Lineal Behavioral and Cortico-Limbic Neuropathological Signatures in 3xTg-AD Mice for Alzheimer’s Disease from Premorbid to Advanced Stages and Compared to Normal Aging" International Journal of Molecular Sciences 24, no. 18: 13796. https://doi.org/10.3390/ijms241813796
APA StyleMuntsant, A., Castillo-Ruiz, M. d. M., & Giménez-Llort, L. (2023). Survival Bias, Non-Lineal Behavioral and Cortico-Limbic Neuropathological Signatures in 3xTg-AD Mice for Alzheimer’s Disease from Premorbid to Advanced Stages and Compared to Normal Aging. International Journal of Molecular Sciences, 24(18), 13796. https://doi.org/10.3390/ijms241813796

