Bacteriocin-Producing Escherichia coli Q5 and C41 with Potential Probiotic Properties: In Silico, In Vitro, and In Vivo Studies
Abstract
1. Introduction
2. Results
2.1. In silico Analysis of E. coli Q5 and C41 Genomes
2.1.1. General Genome Features
2.1.2. Antimicrobial Resistance and Virulence-Associated Genes
2.1.3. Adhesion-Related Genes
2.1.4. Bacteriocin Gene Clusters
2.2. In Vitro Analysis of E. coli Q5 and C41 Potential as Possible Probiotics
2.2.1. Antimicrobial Activity in Spent Media
2.2.2. Adhesion Ability
2.2.3. Antimicrobial Susceptibility and Lysogeny
2.3. In Vivo Analysis of Probiotic Properties of E. coli Q5 and C41
2.3.1. The Effect of E. coli Q5 and C41 on the Physiological Parameters of Rats
2.3.2. Composition of Rat Intestinal Microbiota after Administration of E. coli Q5 and C41 and upon Experimental Infection with Toxigenic E. coli C55 after Preliminary Administration of E. coli Q5 and C41
2.3.3. Hematological and Biochemical Parameters of Rats after Administration of E. coli Q5 and C41 and during Experimental Infection with Toxigenic E. coli C55 after Preliminary Administration of E. coli Q5 and C41
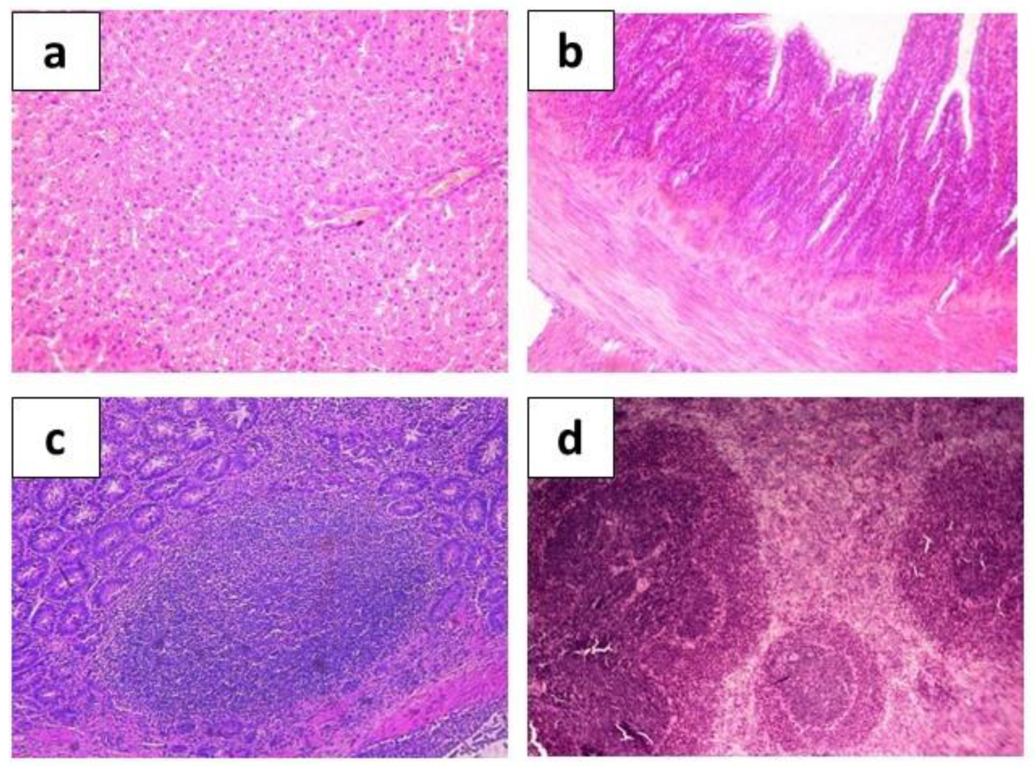
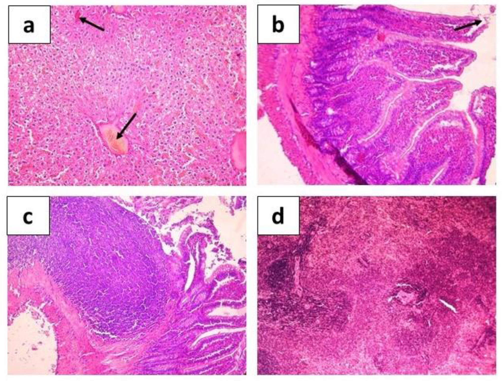
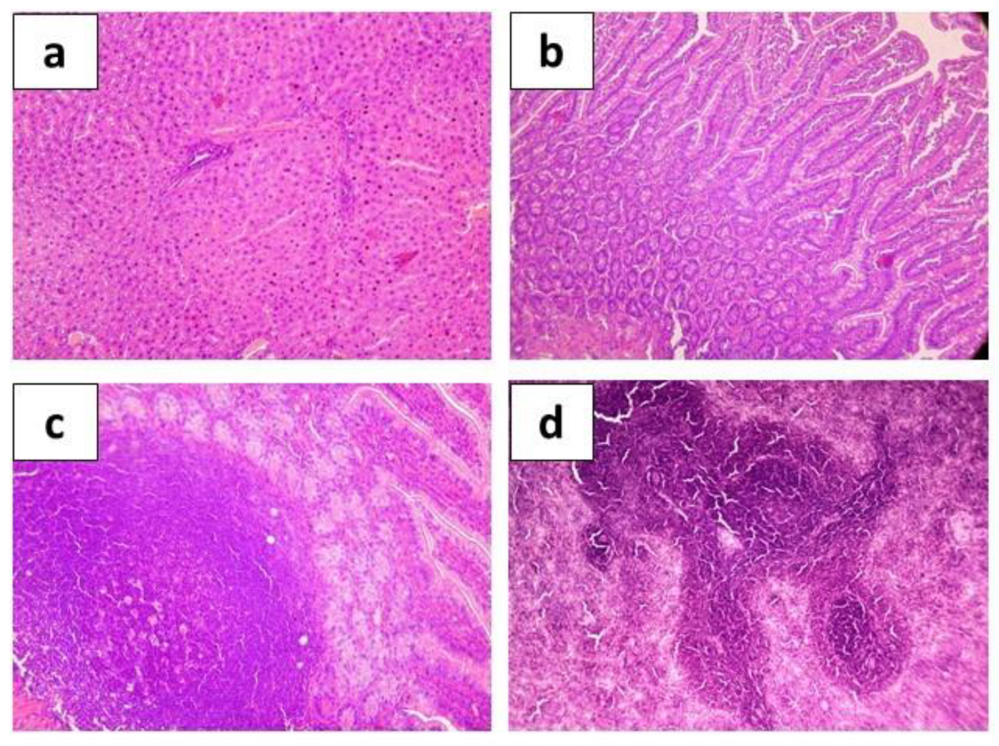
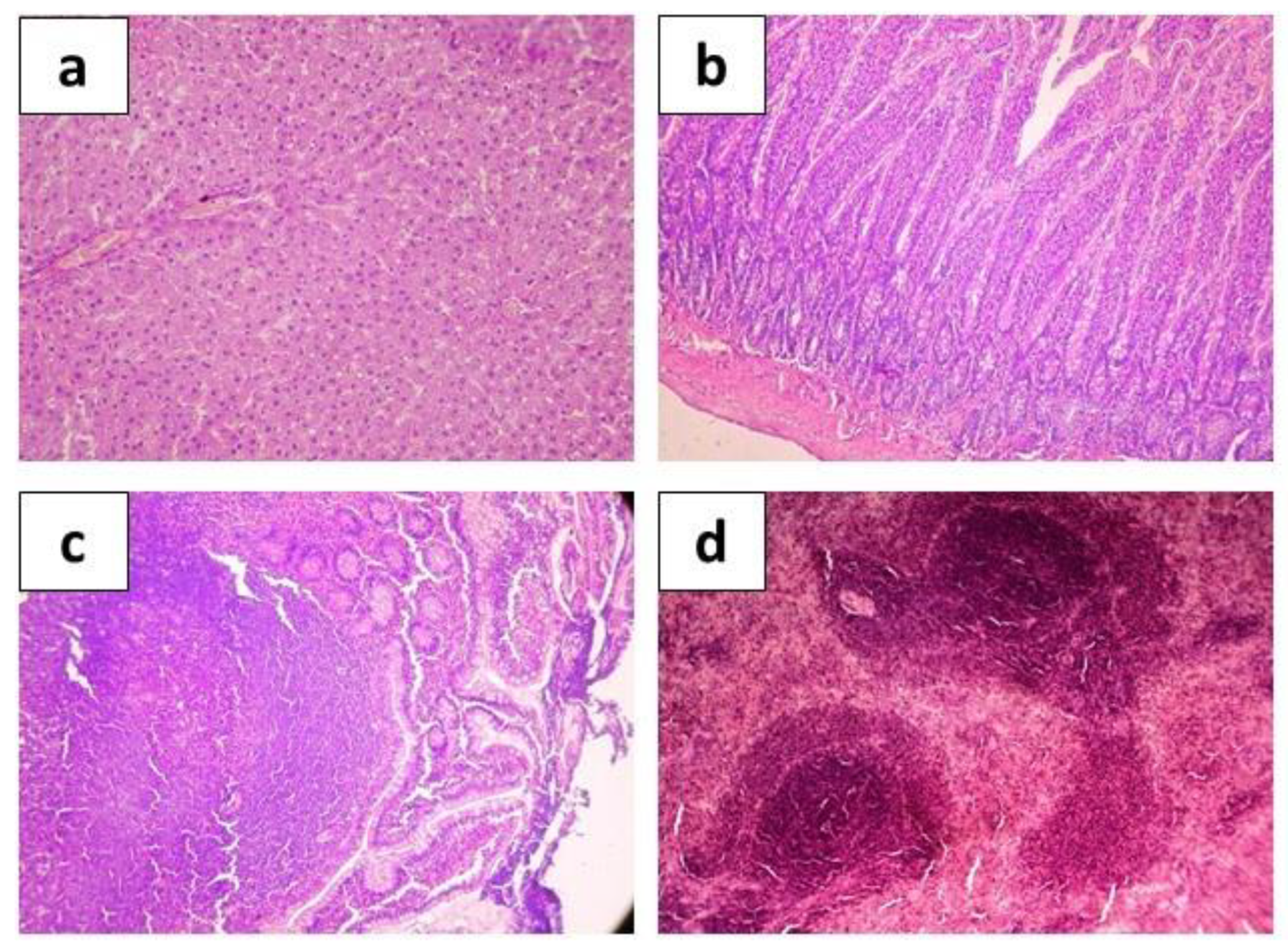
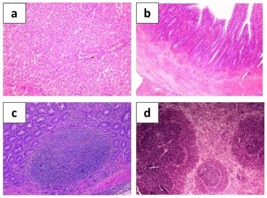
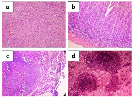
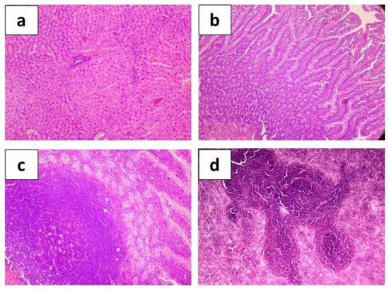
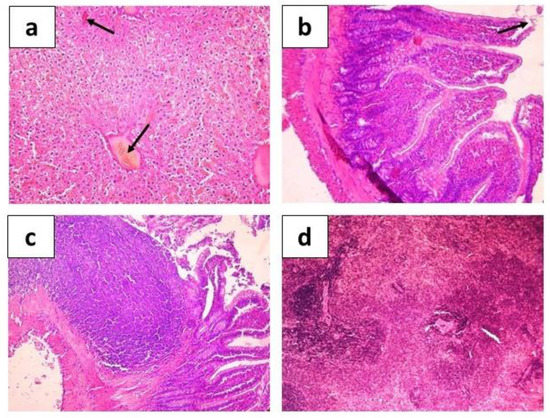
2.3.4. Histological Analysis of Small Intestine, Peyer’s Patches, Spleen, and Liver Morphology of Rats in Experimental Infection with Toxigenic E. coli C55 after Preliminary Administration of the E. coli Q5 and C41 Strains
3. Discussion
4. Materials and Methods
4.1. Bacterial Strains
4.2. Genome Sequencing and Assembly
4.3. Genome Annotation and Analysis
4.4. Data Deposition
4.5. Antimicrobial Activity of Cell-Free Supernatants of E. coli Strains
4.6. Nonspecific Adhesion of E. coli Strains
4.7. Specific Adhesion of E. coli Strains
4.8. Antimicrobial Susceptibility
4.9. Bacteriophage Induction
4.10. Probiotic and Pathogenic Inocula Preparation
4.11. Experimental Design In Vivo
4.12. Analysis of the Composition of the Intestinal Microbiota
4.13. Hematological and Biochemical Blood Analysis
4.14. Histologic Analysis
4.15. Statistical Analysis
5. Conclusions
Supplementary Materials
Author Contributions
Funding
Institutional Review Board Statement
Informed Consent Statement
Data Availability Statement
Acknowledgments
Conflicts of Interest
References
- Tomley, F.M.; Shirley, M.W. Livestock infectious diseases and zoonoses. Philos. Trans. R. Soc. Lond. B Biol. Sci. 2009, 364, 2637–2642. [Google Scholar] [CrossRef] [PubMed]
- European Food Safety Authority (EFSA); European Centre for Disease prevention and Control (ECDC). The European Union Summary Report on Antimicrobial Resistance in zoonotic and indicator bacteria from humans, animals and food in 2018/2019. EFSA J. 2021, 19, e06490. [Google Scholar]
- Okello, E.; Williams, D.R.; ElAshmawy, W.R.; Adams, J.; Pereira, R.V.; Lehenbauer, T.W.; Aly, S.S. Survey on antimicrobial drug use practices in California preweaned dairy calves. Front. Vet. Sci. 2021, 8, 636670. [Google Scholar] [CrossRef] [PubMed]
- Parker, J.K.; Davies, B.W. Microcins reveal natural mechanisms of bacterial manipulation to inform therapeutic development. Microbiology 2022, 168, 001175. [Google Scholar] [CrossRef]
- Das, T.K.; Pradhan, S.; Chakrabarti, S.; Mondal, K.C.; Ghosh, K. Current status of probiotic and related health benefits. App. Food Res. 2022, 2, 100185. [Google Scholar] [CrossRef]
- Hossain, M.I.; Sadekuzzaman, M.; Ha, S.D. Probiotics as potential alternative biocontrol agents in the agriculture and food industries: A review. Food Res. Int. 2017, 100, 63–73. [Google Scholar] [CrossRef]
- Mazurek-Popczyk, J.; Pisarska, J.; Bok, E.; Baldy-Chudzik, K. Antibacterial activity of bacteriocinogenic commensal Escherichia coli against zoonotic strains resistant and sensitive to antibiotics. Antibiotics 2020, 9, 411. [Google Scholar] [CrossRef]
- Rebuffat, S. Bacteriocins from gram-negative bacteria: A classification? In Prokaryotic Antimicrobial Peptides; Drider, D., Rebuffat, S., Eds.; Springer: New York, NY, USA, 2011; pp. 55–72. [Google Scholar] [CrossRef]
- Grozdanov, L.; Raasch, C.; Schulze, J.; Sonnenborn, U.; Gottschalk, G.; Hacker, J.; Dobrindt, U. Analysis of the genome structure of the nonpathogenic probiotic Escherichia coli strain Nissle 1917. J. Bacteriol. 2004, 186, 5432–5441. [Google Scholar] [CrossRef]
- Sonnenborn, U.; Schulze, J. The non-pathogenic Escherichia coli strain Nissle 1917—features of a versatile probiotic. Microb. Ecol. Health Dis. 2009, 21, 122–158. [Google Scholar] [CrossRef]
- Belova, I.V.; Tochilina, A.G.; Solovieva, I.V.; Gorlova, I.S.; Efimov, E.I.; Zhirnov, V.A.; Ivanova, T.P. Phenotypic and genotypic characteristics of the probiotic strain E. coli M-17. Mod. Probl. Sci. Educ. 2017, 3, 26533. (In Russian). Available online: https://science-education.ru/ru/article/view?id=26533 (accessed on 18 May 2023). [CrossRef][Green Version]
- Schamberger, G.P.; Diez-Gonzalez, F. Characterization of colicinogenic Escherichia coli strains inhibitory to enterohemorrhagic Escherichia coli. J. Food Prot. 2004, 67, 486–492. [Google Scholar] [CrossRef] [PubMed]
- Cameron, A.; Zaheer, R.; Adator, E.H.; Barbieri, R.; Reuter, T.; McAllister, T.A. Bacteriocin occurrence and activity in Escherichia coli isolated from bovines and wastewater. Toxins 2019, 11, 475. [Google Scholar] [CrossRef] [PubMed]
- Kozlovsky, Y.E.; Ovcharova, A.N.; Petrova, V.A.; Plugina, I.V.; Pustovalov, S.A.; Petnikov, A.Y.; Khomyakova, T.I.; Magomedova, A.D.; Chertovich, N.F. Comparative effectiveness estimation of some probiotic strains of Escherichia coli in experimental disbiosis and toxicoinfection. Achievements of science and technology of the agro-industrial complex. NTP Anim. Husb. Feed. Prod. 2012, 4, 64–66. (In Russian) [Google Scholar]
- Hrala, M.; Bosák, J.; Micenková, L.; Křenová, J.; Lexa, M.; Pirková, V.; Tomáštíková, Z.; Koláčková, I.; Šmajs, D. Escherichia coli strains producing selected bacteriocins inhibit porcine enterotoxigenic Escherichia coli (ETEC) under both in Vitro and in Vivo conditions. Appl. Environ. Microbiol. 2021, 87, e0312120. [Google Scholar] [CrossRef] [PubMed]
- van Zyl, W.F.; Deane, S.M.; Dicks, L.M.T. Molecular insights into probiotic mechanisms of action employed against intestinal pathogenic bacteria. Gut Microbes. 2020, 9, 1831339. [Google Scholar] [CrossRef]
- Eiseul, K.; Seung-Min, Y.; Dayoung, K.; Hae-Yeong, K. Complete genome sequencing and comparative genomics of three potential probiotic strains, Lacticaseibacillus casei FBL6, Lacticaseibacillus chiayiensis FBL7, and Lacticaseibacillus zeae FBL8. Front. Microbiol. 2022, 12, 794315. [Google Scholar] [CrossRef]
- Kuznetsova, M.V.; Mihailovskaya, V.S.; Remezovskaya, N.B.; Starčič Erjavec, M. Bacteriocin-producing Escherichia coli isolated from the gastrointestinal tract of farm animals: Prevalence, molecular characterization and potential for application. Microorganisms 2022, 10, 1558. [Google Scholar] [CrossRef]
- Cumsille, A.; Durán, R.E.; Rodríguez-Delherbe, A.; Saona-Urmeneta, V.; Cámara, B.; Seeger, M.; Araya, M.; Jara, N.; Buil-Aranda, C. GenoVi, an open-source automated circular genome visualizer for bacteria and archaea. PLoS Comput. Biol. 2023, 19, e1010998. [Google Scholar] [CrossRef]
- Jarocki, P.; Komoń-Janczara, E.; Młodzińska, A.; Sadurski, J.; Kołodzińska, K.; Łaczmański, Ł.; Panek, J.; Frąc, M. Occurrence and genetic diversity of prophage sequences identified in the genomes of L. casei group bacteria. Sci. Rep. 2023, 13, 8603. [Google Scholar] [CrossRef]
- Wikivet 2012. Rat Haematology. Available online: https://en.wikivet.net/indexPhp?title-ReportHaematologysoldid=140051 (accessed on 25 May 2023).
- Voitenko, N.G.; Makarova, M.N.; Zueva, A.A. Variability of blood biochemical parameters and establishment of reference intervals in preclinical studies. Message 1: Rats. Lab. Anim. Sci. Res. 2020, 1, 3. (In Russian) [Google Scholar] [CrossRef]
- Abrashova, T.V.; Gushchin, Y.A.; Kovaleva, M.A.; Rybakova, A.V.; Selezneva, A.I.; Sokolova, A.P.; Khodko, S.V. Handbook. Physiological, Biochemical and Biometric Indicators of the Norm of Experimental Animals; Publishing house “LEM”: St. Petersburg, Russia, 2013; p. 116. [Google Scholar]
- Radwan, M.; Rashed RHamoda, A.F.; Amin, A.; Sakaya, R.B. Experimental Infection with E. coli O157 in Rats and Its Toxic Effect, Biochemical and Histopathological Changes with Referee to Modern Therapy. Ann. Microbiol. Immunol. 2021, 4, 1024. [Google Scholar]
- Upatissa, S.; Mitchell, R.J. The “cins” of our fathers: Rejuvenated interest in colicins to combat drug resistance. J. Microbiol. 2023, 61, 145–158. [Google Scholar] [CrossRef] [PubMed]
- Cursino, L.; Smajs, D.; Smarda, J.; Nardi, R.M.; Nicoli, J.R.; Chartone-Souza, E.; Nascimento, A.M. Exoproducts of the Escherichia coli strain H22 inhibiting some enteric pathogens both in vitro and in vivo. J. Appl. Microbiol. 2006, 100, 821–829. [Google Scholar] [CrossRef]
- Sassone-Corsi, M.; Nuccio, S.P.; Liu, H.; Hernandez, D.; Vu, C.T.; Takahashi, A.A.; Edwards, R.A.; Raffatellu, M. Microcins mediate competition among Enterobacteriaceae in the inflamed gut. Nature 2016, 540, 280–283. [Google Scholar] [CrossRef]
- Unnerstad, H.E.; Lindberg, A.; Waller, K.P.; Ekman, T.; Artursson, K.; Nilsson-Öst, M.; Bengtsson, B. Microbial aetiology of acute clinical mastitis and agent-specific risk factors. Vet. Microbiol. 2009, 137, 90–97. [Google Scholar] [CrossRef]
- Saishu, N.; Ozaki, H.; Murase, T. CTX-M-type extended-spectrum beta-lactamase-producing Klebsiella pneumoniae isolated from cases of bovine mastitis in Japan. J. Vet. Med. Sci. 2014, 76, 1153–1156. [Google Scholar] [CrossRef] [PubMed]
- Kline, K.A.; Fälker, S.; Dahlberg, S.; Normark, S.; Henriques-Normark, B. Bacterial adhesins in host-microbe interactions. Cell Host Microbe 2009, 5, 580–592. [Google Scholar] [CrossRef]
- Yoshida, M.; Thiriet-Rupert, S.; Mayer, L.; Beloin, C.; Ghigo, J.-M. Selection for nonspecific adhesion is a driver of FimH evolution increasing Escherichia coli biofilm capacity. microLife 2022, 3, uqac001. [Google Scholar] [CrossRef]
- Bhoite, S.; van Gerven, N.; Chapman, M.R.; Remaut, H. Curli Biogenesis: Bacterial Amyloid Assembly by the Type VIII Secretion Pathway. EcoSal Plus 2019, 8, 163–171. [Google Scholar] [CrossRef]
- Nesta, B.; Spraggon, G.; Alteri, C.; Moriel, D.G.; Rosini, R.; Veggi, D.; Smith, S.; Bertoldi, I.; Pastorello, I.; Ferlenghi, I.; et al. FdeC, a novel broadly conserved Escherichia coli adhesin eliciting protection against urinary tract infections. mBio 2012, 10, e00010–e00012. [Google Scholar] [CrossRef]
- Monteagudo-Mera, A.; Rastall, R.A.; Gibson, G.R.; Charalampopoulos, D.; Chatzifragkou, A. Adhesion mechanisms mediated by probiotics and prebiotics and their potential impact on human health. Appl. Microbiol. Biotechnol. 2019, 103, 6463–6472. [Google Scholar] [CrossRef]
- Papadimitriou, K.; Zoumpopoulou, G.; Foligné, B.; Alexandraki, V.; Kazou, M.; Pot, B.; Tsakalidou, E. Discovering probiotic microorganisms: In vitro, in vivo, genetic and omics approaches. Front. Microbiol. 2015, 6, 6–58. [Google Scholar] [CrossRef]
- Shahverdi, S.; Barzegari, A.A.; Bakhshayesh, R.V.; Nami, Y. In-vitro and in-vivo antibacterial activity of potential probiotic Lactobacillus paracasei against Staphylococcus aureus and Escherichia coli. Heliyon 2023, 9, e14641. [Google Scholar] [CrossRef] [PubMed]
- Melton-Celsa, A.R. Shiga toxin (Stx) classification, structure, and function. Microbiol. Spectr. 2014, 2, EHEC-0024-2013. [Google Scholar] [CrossRef] [PubMed]
- Veilleux, S.; Dubreuil, J.D. Presence of Escherichia coli carrying the EAST1 toxin gene in farm animals. Vet. Res. 2006, 37, 3–13. [Google Scholar] [CrossRef][Green Version]
- Lorenz, S.C.; Son, I.; Maounounen-Laasri, A.; Lin, A.; Fischer, M.; Kase, J.A. Prevalence of hemolysin genes and comparison of ehxA subtype patterns in Shiga toxin-producing Escherichia coli (STEC) and non-STEC strains from clinical, food, and animal sources. Appl. Environ. Microbiol. 2013, 79, 6301–6311. [Google Scholar] [CrossRef]
- Wick, R.R.; Judd, L.M.; Holt, K.E. Performance of neural network basecalling tools for Oxford Nanopore sequencing. Genome Biol. 2019, 20, 129. [Google Scholar] [CrossRef]
- Kolmogorov, M.; Yuan, J.; Lin, Y.; Pevzner, P.A. Assembly of long, error-prone reads using repeat graphs. Nat. Biotechnol. 2019, 37, 540–546. [Google Scholar] [CrossRef]
- Wick, R.R.; Schultz, M.B.; Zobel, J.; Holt, K.E. Bandage: Interactive visualisation of de novo genome assemblies. Bioinformatics 2015, 31, 3350–3352. [Google Scholar] [CrossRef]
- Tatusova, T.; DiCuccio, M.; Badretdin, A.; Chetvernin, V.; Nawrocki, E.P.; Zaslavsky, L.; Lomsadze, A.; Pruitt, K.D.; Borodovsky, M.; Ostell, J. NCBI prokaryotic genome annotation pipeline. Nucleic Acids Res. 2016, 44, 6614–6624. [Google Scholar] [CrossRef] [PubMed]
- Kleinheinz, K.A.; Joensen, K.G.; Larsen, M.V. Applying the ResFinder and VirulenceFinder web-services for easy identification of acquired antibiotic resistance and E. coli virulence genes in bacteriophage and prophage nucleotide sequences. Bacteriophage 2014, 4, e27943. [Google Scholar] [CrossRef]
- Wang, M.; Goh, Y.X.; Tai, C.; Wang, H.; Deng, Z.; Ou, H.Y. VRprofile2: Detection of antibiotic resistance-associated mobilome in bacterial pathogens. Nucleic Acids Res. 2022, 50, W768–W773. [Google Scholar] [CrossRef]
- Seemann, T. Abricate, Github. Available online: https://github.com/tseemann/abricate (accessed on 1 March 2023).
- Feldgarden, M.; Brover, V.; Haft, D.H.; Prasad, A.B.; Slotta, D.J.; Tolstoy, I.; Tyson, G.H.; Zhao, S.; Hsu, C.H.; McDermott, P.F.; et al. Validating the AMRFinder tool and resistance gene database by using antimicrobial resistance genotype-phenotype correlations in a collection of isolates. Antimicrob. Agents Chemother. 2019, 63, e00483-19. [Google Scholar] [CrossRef] [PubMed]
- Blin, K.; Shaw, S.; Kloosterman, A.M.; Charlop-Powers, Z.; van Wezel, G.P.; Medema, M.H.; Weber, T. antiSMASH 6.0: Improving cluster detection and comparison capabilities. Nucleic Acids Res. 2021, 49, W29–W35. [Google Scholar] [CrossRef] [PubMed]
- Blin, K.; Shaw, S.; Augustijn, H.E.; Reitz, Z.L.; Biermann, F.; Alanjary, M.; Fetter, A.; Terlouw, B.R.; Metcalf, W.W.; Helfrich, E.J.N.; et al. antiSMASH 7.0: New and improved predictions for detection, regulation, chemical structures and visualisation. Nucleic Acids Res. 2023, 51, W46–W50. [Google Scholar] [CrossRef] [PubMed]
- Skinnider, M.A.; Johnston, C.W.; Gunabalasingam, M.; Merwin, N.J.; Kieliszek, A.M.; MacLellan, R.J.; Li, H.; Ranieri, M.R.M.; Webster, A.L.H.; Cao, M.P.T.; et al. Comprehensive prediction of secondary metabolite structure and biological activity from microbial genome sequences. Nat. Commun. 2020, 11, 6058. [Google Scholar] [CrossRef]
- van Heel, A.J.; de Jong, A.; Song, C.; Viel, J.H.; Kok, J.; Kuipers, O.P. BAGEL4: A user-friendly web server to thoroughly mine RiPPs and bacteriocins. Nucleic Acids Res. 2018, 46, W278–W281. [Google Scholar] [CrossRef] [PubMed]
- Wishart, D.S.; Han, S.; Saha, S.; Oler, E.; Peters, H.; Grant, J.R.; Stothard, P.; Gautam, V. PHASTEST: Faster than PHASTER, better than PHAST. Nucleic Acids Res. 2023, 51, W443–W450. [Google Scholar] [CrossRef] [PubMed]
- Carattoli, A.; Zankari, E.; García-Fernández, A.; Larsen, M.V.; Lund, O.; Villa, L.; Møller, F. In silico detection and typing of plasmids using PlasmidFinder and plasmid multilocus sequence typing. Antimicrob. Agents Chemother. 2014, 58, 3895–3903. [Google Scholar] [CrossRef]
- Nikolaev, Y.A. Regulation of adhesion in Pseudomonas fluorescens bacteria under the influence of distant intercellular interactions. Microbiology 2000, 69, 356–361. (In Russian) [Google Scholar] [CrossRef]
- Brilis, V.I.; Brilene, T.A.; Lentsner, K.P.; Lentsner, A.A. Metodika izucheniya adgezivnogo processa mikroorganizmov. Lab. Delo. 1986, 4, 210–215. [Google Scholar]
- Eskova, A.I.; Andryukov, B.G.; Yakovlev, A.A.; Kim, A.V.; Ponomareva, A.L.; Obuhova, V.S. Horizontal transfer of virulence factors by pathogenic Enterobacteria to marine saprotrophic bacteria during co-cultivation in biofilm. BioTech 2022, 11, 17. [Google Scholar] [CrossRef] [PubMed]
- Lenchenko, E.; Blumenkrants, D.; Sachivkina, N.; Shadrova, N.; Ibragimova, A. Morphological and adhesive properties of Klebsiella pneumoniae biofilms. Vet. World 2020, 13, 197–200. [Google Scholar] [CrossRef] [PubMed]
- GOST 33215-2014; Guidelines for Accommodation and Care of Animals. Environment, Housing and Management; Directive 2010/63/EU of the European Parliament and of the Council on the Protection of Animals, and European Convention for the Protection of Vertebrate Animals Used for Experimental and other Scientific Purposes. ETS 123. European Parliament: Strasbourg, France, 1986.
- Sarma, P.R. Red Cell Indices. Clinical Methods: The History, Physical, and Laboratory Examinations, 3rd ed.; Walker, H.K., Hall, W.D., Hurst, J.W., Eds.; Butterworths: Boston, MA, USA, 1990; Chapter 152. [Google Scholar]








| Strain | Colicin | Genes Found |
|---|---|---|
| E. coli Q5 | colicin Ia * | cia (QQ972_24345, pQ501), iia (QQ972_24350, pQ501) |
| colicin Ib * | cib (QQ972_24045, pQ501), iib (QQ972_24050, pQ501) | |
| colicin Y * | crl, cui, cya (pQ504) | |
| microcin V | cvaC (frameshifted, pQ501), cvi (cvi and QQ972_24735, pQ501), cvpA (chr) | |
| colicin M | cbrA (chr) | |
| E. coli C41 | colicin E1 * | cei (QQ971_24605), cea, cel (QQ971_24650) (all pC4102) |
| microcin V | cvpA (chr) | |
| colicin M | cbrA (chr) | |
| colicin E2 | cbrC (chr) |
| Test-Strain | Growth Inhibition Index of Test-Strains after 22 h of Cultivation, % | ||
|---|---|---|---|
| E. coli M-17 | E. coli Q5 | E. coli C41 | |
| E. coli BR4 | 42.1 ± 9.5 | 38.3 ± 7.9 | 46.9 ± 13.3 |
| E. coli BR35 | 31.9 ± 8.2 | 46.6 ± 5.4 * | 55.9 ± 5.7 * |
| E. coli BR37 | 25.7 ± 11.3 | 41.3 ± 5.6 | 43.2 ± 2.6 |
| E. coli CA29 | 38.4 ± 5.3 | 21.0 ± 3.5 | 22.4 ± 4.6 |
| E. coli CA43 | 32.4 ± 5.2 | 24.6 ± 2.6 | 33.9 ± 4.5 |
| E. coli CA46 | 10.2 ± 1.5 | 31.3 ± 2.8 * | 37.0 ± 4.3 * |
| E. coli O157 | 12.6 ± 9.7 | 0 | 0 |
| K. pneumoniae | 35.6 ± 4.0 | 25.8 ± 0.9 | 55.1 ± 2.5 * |
| S. aureus | 18.8 ± 7.3 | 15.2 ± 2.8 | 14.2 ± 3.8 |
| S. flexneri | 0 | 25.6 ± 11.4 * | 0 |
| S. Typhimurium | 0 | 0 | 0 |
| P. mirabilis | 0 | 0 | 0 |
| P. aeruginosa | 0 | 0 | 0 |
| Parameter | Control | E. coli Q5, CFU/Rat·Day | E. coli C41, CFU/Rat·Day | ||
|---|---|---|---|---|---|
| 5 × 108 | 5 × 1010 | 5 × 108 | 5 × 1010 | ||
| Survival rate, % | 100 | 100 | 100 | 100 | 100 |
| BW before administration, g | 372 ± 35 | 358 ± 14 | 372 ± 26 | 349 ± 28 | 358 ± 14 |
| BW after administration, g | 392 ± 39 | 387 ± 22 | 371 ± 28 | 369 ± 27 | 372 ± 16 |
| BW gain, g | 20 ± 5 | 29 ± 13 | −1 ± 5 | 20 ± 8 | 14 ± 6 |
| BW gain, % | 5.3 ± 1.1 | 8.0 ± 4.6 | −0.3 ± 1.4 * | 5.8 ± 2.4 | 4.0 ± 4.3 |
| Parameter | Probiotic Administration (5 Days) | Experimental Infection E. coli C55 (8 Days) | |||||
|---|---|---|---|---|---|---|---|
| Control | E. coli Q5 | E. coli C41 | Control | Infection Control | After Administration E. coli Q5 | After Administration E. coli C41 | |
| Hematological parameters | |||||||
| RBC, ×1012/L | 8.8 ± 0.4 | 8.7 ± 0.2 | 9.3 ± 0.1 | 8.7 ± 0.3 | 8.9 ± 0.2 | 8.6 ± 0.4 | 8.9 ± 0.2 |
| Hb, g/L | 153 ± 4 | 151 ± 7 | 161 ± 4 | 152 ± 6 | 158 ± 4 | 149 ± 6 | 158 ± 3 |
| Ht, % | 45 ± 1 | 45 ± 2 | 48 ± 1 * | 45 ± 2 | 47 ± 1 | 44 ± 2 | 47 ± 1 |
| PLT, ×109/L | 760 ± 94 | 653 ± 34 | 673 ± 80 | 839 ± 112 | 620 ± 94 | 739 ± 39 | 770 ± 75 |
| WBC, ×109/L | 13.0 ± 1.0 | 13.2 ± 1.6 | 10.3 ± 2.4 | 12.5 ± 3.2 | 11.1 ± 2.0 | 12.5 ± 1.8 | 12.1 ± 1.5 |
| Neutrophils, % | 26 ± 7 | 38 ± 7 | 29 ± 6 | 37 ± 11 | 38 ± 8 | 29 ± 9 | 36 ± 7 |
| Lymphocytes, % | 71 ± 8 | 55 ± 9 | 67 ± 6 | 65 ± 7 | 58 ± 7 | 54 ± 19 | 60 ± 7 |
| Eosinophils, % | 2 ± 2 | 2 ± 2 | 1 ± 1 | 2 ± 2 | 1 ± 1 | 2 ± 1 | 1 ± 1 |
| Basophils, % | 0 | 0 | 0 | 0 | 0 | 0 | 0 |
| Monocytes, % | 1 ± 0 | 5 ± 2 * | 3 ± 1 * | 2 ± 1 | 3 ± 2 | 4 ± 2 | 2 ± 1 |
| MCV, fL | 51.5 ± 1.3 | 51.8 ± 0.6 | 41.5 ± 16.6 | 51.4 ± 1.4 | 52.9 ± 2.1 | 51.4 ± 0.5 | 52.6 ± 1.1 |
| MCH, pg | 17.6 ± 0.4 | 17.4 ± 0.3 | 17.4 ± 0.3 | 17.5 ± 0.3 | 17.8 ± 0.5 | 17.4 ± 0.1 | 17.7 ± 0.2 |
| MCHC, % | 34.1 ± 0.1 | 33.7 ± 0.3 | 33.8 ± 0.2 | 34.0 ± 0.3 | 33.7 ± 0.5 | 33.8 ± 0.3 | 33.7 ± 0.4 |
| Biochemical parameters | |||||||
| Glucose, mmol/L | 6.8 ± 0.3 | 6.5 ± 0.5 | 7.1 ± 0.4 | 6.5 ± 0.3 | 6.6 ± 0.4 | 6.7 ± 0.4 | 7.1 ± 0.5 |
| Total protein, g/L | 67.6 ± 1.7 | 67.1 ± 1.9 | 66.3 ± 2.1 | 73.1 ± 2.9 | 71.2 ± 2.8 | 68.9 ± 2.1 | 69.0 ± 2.2 |
| Creatinine, μmol/L | 64.2 ± 1.0 | 59.2 ± 3.4 * | 55.8 ± 3.8 * | 61.8 ± 6.8 | 54.4 ± 4.2 | 45.9 ± 4.7 # | 47.2 ± 4.2 # |
| Urea, μmol/L | 7.1 ± 0.6 | 7.2 ± 0.3 | 7.1 ± 0.8 | 6.8 ± 0.7 | 7.6 ± 0.6 | 7.2 ± 0.5 | 6.8 ± 0.5 |
| ALP, U/L | 475 ± 135 | 539 ± 117 | 604 ± 101 | 521 ± 69 | 921 ± 79 # | 569 ± 73 α | 602 ± 43 α |
| ALT, U/L | 85.2 ± 9.0 | 69.3 ± 7.8 | 60.8 ± 3.9 * | 90.6 ± 7.9 | 93.0 ± 7.6 | 92.3 ± 8.4 | 75.9 ± 4.8 #α |
| Strain | Collection/Source | Collection Number |
|---|---|---|
| Studied bacteriocin-producing strains | ||
| Escherichia coli Q5 | VKM/Feces of healthy quail from industrial farms, Perm, Russia | B-3706D |
| Escherichia coli C41 | VKM/Feces of healthy cattle from industrial farms, Perm, Russia | B-3707D |
| Test-strains used for the antagonistic activity experiment | ||
| Escherichia coli BR4 | “Ex culture collection”, University of Ljubljana, Slovenia | L-5838 |
| Escherichia coli BR35 | L-5865 | |
| Escherichia coli BR37 | L-5868 | |
| Escherichia coli CA29 | Feces of cattle from industrial farms, Perm, Russia | - |
| Escherichia coli CA43 | - | |
| Escherichia coli CA46 | - | |
| Escherichia coli O157 | State collection of pathogenic microorganisms and cell cultures (SCPM), Obolensk, Russia | 240329 |
| Klebsiella pneumoniae subsp. pneumoniae ATCC 700603 | B-7474 | |
| Proteus mirabilis №H-237 | 160120 | |
| Pseudomonas aeruginosa ATCC27853 | 41501 | |
| Staphylococcus aureus ATCC 6538 (FDA 209P) | 201108 | |
| Shigella flexneri №170 | 232151 | |
| Salmonella enterica serovar Typhimurium №1135 | Feces of a patient with acute enteritis in the medical facility, Perm, Russia | - |
| Control strain | ||
| Escherichia coli M-17 | “Colibakterin” | - |
| Strain used to simulate experimental infection | ||
| Escherichia coli C55 | Feces of cattle from industrial farms, Perm, Russia | - |
| Time Period, Days | Number of Euthanized Rats | Action | |||||
|---|---|---|---|---|---|---|---|
| Control (10 in Total) | Infection Control (5 in Total) | E. coli Q5, 5 × 108 CFU (10 in Total) | E. coli C41, 5 × 108 CFU (10 in Total) | E. coli Q5, 5 × 1010 CFU (5 in Total) | E. coli C41, 5 × 1010 CFU (5 in Total) | ||
| 0 | Body mass measurement | ||||||
| 1–4 | Administration probiotic bacteria at a dose 5 × 108 or 5 × 1010 CFU | ||||||
| 5 | −5 | −5 | −5 | −5 | −5 | Body mass measurement, analysis of microbiota composition, hematological and biochemical parameters, infection with a toxigenic E. coli C55 | |
| 6–7 | Monitoring the condition of rats | ||||||
| 8 | −5 | −5 | −5 | −5 | Body mass measurement, analysis of microbiota composition, hematological and biochemical parameters, organ removal * | ||
Disclaimer/Publisher’s Note: The statements, opinions and data contained in all publications are solely those of the individual author(s) and contributor(s) and not of MDPI and/or the editor(s). MDPI and/or the editor(s) disclaim responsibility for any injury to people or property resulting from any ideas, methods, instructions or products referred to in the content. |
© 2023 by the authors. Licensee MDPI, Basel, Switzerland. This article is an open access article distributed under the terms and conditions of the Creative Commons Attribution (CC BY) license (https://creativecommons.org/licenses/by/4.0/).
Share and Cite
Mihailovskaya, V.S.; Sutormin, D.A.; Karipova, M.O.; Trofimova, A.B.; Mamontov, V.A.; Severinov, K.; Kuznetsova, M.V. Bacteriocin-Producing Escherichia coli Q5 and C41 with Potential Probiotic Properties: In Silico, In Vitro, and In Vivo Studies. Int. J. Mol. Sci. 2023, 24, 12636. https://doi.org/10.3390/ijms241612636
Mihailovskaya VS, Sutormin DA, Karipova MO, Trofimova AB, Mamontov VA, Severinov K, Kuznetsova MV. Bacteriocin-Producing Escherichia coli Q5 and C41 with Potential Probiotic Properties: In Silico, In Vitro, and In Vivo Studies. International Journal of Molecular Sciences. 2023; 24(16):12636. https://doi.org/10.3390/ijms241612636
Chicago/Turabian StyleMihailovskaya, Veronika S., Dmitry A. Sutormin, Marina O. Karipova, Anna B. Trofimova, Victor A. Mamontov, Konstantin Severinov, and Marina V. Kuznetsova. 2023. "Bacteriocin-Producing Escherichia coli Q5 and C41 with Potential Probiotic Properties: In Silico, In Vitro, and In Vivo Studies" International Journal of Molecular Sciences 24, no. 16: 12636. https://doi.org/10.3390/ijms241612636
APA StyleMihailovskaya, V. S., Sutormin, D. A., Karipova, M. O., Trofimova, A. B., Mamontov, V. A., Severinov, K., & Kuznetsova, M. V. (2023). Bacteriocin-Producing Escherichia coli Q5 and C41 with Potential Probiotic Properties: In Silico, In Vitro, and In Vivo Studies. International Journal of Molecular Sciences, 24(16), 12636. https://doi.org/10.3390/ijms241612636

