THSD7A Positivity Predicts Poor Survival and Is Linked to High FAK Expression and FGFR1-Wildtype in Female Patients with Squamous Cell Carcinoma of the Lung
Abstract
1. Introduction
2. Results
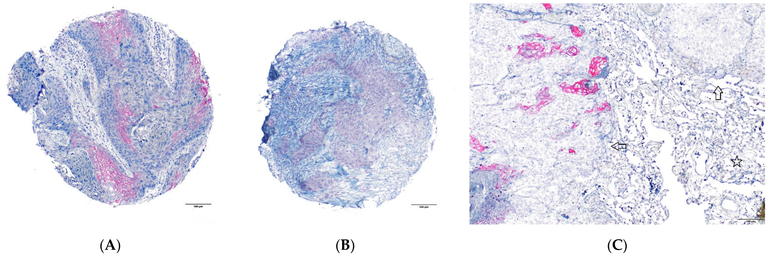
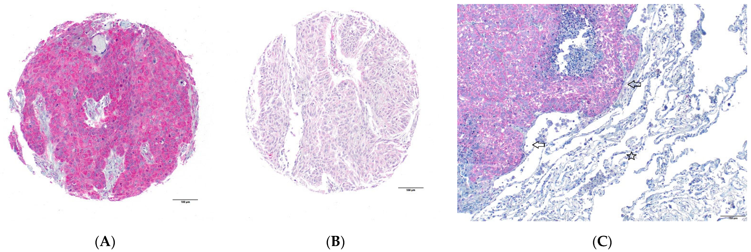
2.1. Association between THSD7A Positivity and FAK Expression
2.2. Association of THSD7A Positivity with FGFR1 Gene Amplification
2.3. Association of FAK Expression with FGFR1 Gene Amplification
3. Discussion
4. Materials and Methods
4.1. Material
4.2. Tissue Microarrays
4.3. Immunohistochemistry
4.4. Statistics
5. Conclusions
Author Contributions
Funding
Institutional Review Board Statement
Informed Consent Statement
Data Availability Statement
Acknowledgments
Conflicts of Interest
References
- Sung, H.; Ferlay, J.; Siegel, R.L.; Laversanne, M.; Soerjomataram, I.; Jemal, A.; Bray, F. Global Cancer Statistics 2020: GLOBOCAN Estimates of Incidence and Mortality Worldwide for 36 Cancers in 185 Countries. CA Cancer J. Clin. 2021, 71, 209–249. [Google Scholar] [CrossRef]
- Jones, G.S.; Baldwin, D.R. Recent Advances in the Management of Lung Cancer. Clin. Med. 2018, 18, s41–s46. [Google Scholar] [CrossRef]
- Alexander, M.; Halmos, B. VEGF Inhibitors in EGFR-Mutated Lung Cancer: A Never-Ending Story? Ann. Transl. Med. 2018, 6, 446. [Google Scholar] [CrossRef]
- Socinski, M.A.; Obasaju, C.; Gandara, D.; Hirsch, F.R.; Bonomi, P.; Bunn, P.A.J.; Kim, E.S.; Langer, C.J.; Natale, R.B.; Novello, S.; et al. Current and Emergent Therapy Options for Advanced Squamous Cell Lung Cancer. J. Thorac. Oncol. Off. Publ. Int. Assoc. Study Lung Cancer 2018, 13, 165–183. [Google Scholar] [CrossRef]
- Flockerzi, F.A.; Hohneck, J.; Saar, M.; Bohle, R.M.; Stahl, P.R. THSD7A Positivity Is Associated with High Expression of FAK in Prostate Cancer. Diagnostics 2023, 13, 221. [Google Scholar] [CrossRef]
- Hoxha, E.; Wiech, T.; Stahl, P.R.; Zahner, G.; Tomas, N.M.; Meyer-Schwesinger, C.; Wenzel, U.; Janneck, M.; Steinmetz, O.M.; Panzer, U.; et al. A Mechanism for Cancer-Associated Membranous Nephropathy. N. Engl. J. Med. 2016, 374, 1995–1996. [Google Scholar] [CrossRef]
- Tomas, N.M.; Beck, L.H.; Meyer-Schwesinger, C.; Seitz-Polski, B.; Ma, H.; Zahner, G.; Dolla, G.; Hoxha, E.; Helmchen, U.; Dabert-Gay, A.-S.; et al. Thrombospondin Type-1 Domain-Containing 7A in Idiopathic Membranous Nephropathy. N. Engl. J. Med. 2014, 371, 2277–2287. [Google Scholar] [CrossRef]
- Tomas, N.M.; Hoxha, E.; Reinicke, A.T.; Fester, L.; Helmchen, U.; Gerth, J.; Bachmann, F.; Budde, K.; Koch-Nolte, F.; Zahner, G.; et al. Autoantibodies against Thrombospondin Type 1 Domain-Containing 7A Induce Membranous Nephropathy. J. Clin. Investig. 2016, 126, 2519–2532. [Google Scholar] [CrossRef]
- Kuo, W.; Wang, C.-H.; Wu, H.-C.; Chang, S.-J.; Chuang, Y.-J. Soluble THSD7A Is an N-Glycoprotein That Promotes Endothelial Cell Migration and Tube Formation in Angiogenesis. PLoS ONE 2011, 6, e29000. [Google Scholar] [CrossRef]
- Wang, C.-H.; Chen, I.-H.; Kuo, M.-W.; Su, P.-T.; Lai, Z.-Y.; Wang, C.-H.; Huang, W.-C.; Hoffman, J.; Kuo, C.J.; You, M.-S.; et al. Zebrafish Thsd7a Is a Neural Protein Required for Angiogenic Patterning During Development. Dev. Dyn. 2011, 240, 1412–1421. [Google Scholar] [CrossRef]
- Wang, C.H.; Su, P.T.; Du, X.Y.; Kuo, M.W.; Lin, C.Y.; Yang, C.C.; Chan, H.S.; Chang, S.J.; Kuo, C.; Seo, K.; et al. Thrombospondin Type I Domain Containing 7A (THSD7A) Mediates Endothelial Cell Migration and Tube Formation. J. Cell. Physiol. 2010, 222, 685–694. [Google Scholar] [CrossRef]
- Ahmad, M.; Nongmaithem, S.S.; Krishnaveni, G.V.; Fall, C.H.D.; Yajnik, C.S.; Chandak, G.R. Lack of Replication of Association of THSD7A with Obesity. Int. J. Obes. 2016, 40, 725–726. [Google Scholar] [CrossRef]
- Stahl, P.R.; Hoxha, E.; Wiech, T.; Schröder, C.; Simon, R.; Stahl, R.A.K. THSD7A Expression in Human Cancer. Genes Chromosom. Cancer 2017, 56, 314–327. [Google Scholar] [CrossRef]
- Aktepe, O.H.; Gundogdu, F.; Kosemehmetoglu, K.; Yeter, H.H.; Aksoy, S.; Guven, D.C.; Sahin, T.K.; Yuce, D.; Kertmen, N.; Dizdar, O.; et al. THSD7A Expression: A Novel Immunohistochemical Determinant in Predicting Overall Survival of Metastatic Renal Cell Carcinoma Treated with Targeted Therapy. Ir. J. Med. Sci. 2022, 191, 1561–1567. [Google Scholar] [CrossRef]
- Aktepe, O.H.; Koray Sahin, T.; Guner, G.; Can Guven, D.; Hasan Yeter, H.; Kurtulan, O.; Ozercan, I.H.; Dizdar, O.; Yalcin, S. Correlation Between THSD7A Expression and Tumor Characteristics of Azoxymethane-Induced Colon Cancer Model in Rats. Turk. J. Gastroenterol. 2021, 32, 1049–1056. [Google Scholar] [CrossRef]
- Xian, L.; Dong, D.; Luo, J.; Zhuo, L.; Li, K.; Zhang, P.; Wang, W.; Xu, Y.; Xu, G.; Wang, L.; et al. Expression of THSD7A in Neoplasm Tissues and Its Relationship with Proteinuria. BMC Nephrol. 2019, 20, 332. [Google Scholar] [CrossRef]
- Hou, Z.; Abudureheman, A.; Wang, L.; Hasim, A.; Ainiwaer, J.; Zhang, H.; Niyaz, M.; Upur, H.; Sheyhidin, I. Expression, Prognosis and Functional Role of Thsd7a in Esophageal Squamous Cell Carcinoma of Kazakh Patients, Xinjiang. Oncotarget 2017, 8, 60539–60557. [Google Scholar] [CrossRef]
- Oishi, M.; Munesue, S.; Harashima, A.; Nakada, M.; Yamamoto, Y.; Hayashi, Y. Aquaporin 1 Elicits Cell Motility and Coordinates Vascular Bed Formation by Downregulating Thrombospondin Type-1 Domain-Containing 7A in Glioblastoma. Cancer Med. 2020, 9, 3904–3917. [Google Scholar] [CrossRef]
- Zhang, Z.; Gong, T.; Rennke, H.G.; Hayashi, R. Duodenal Schwannoma as a Rare Association With Membranous Nephropathy: A Case Report. Am. J. Kidney Dis. 2019, 73, 278–280. [Google Scholar] [CrossRef]
- Lin, X.; Kapoor, A.; Gu, Y.; Chow, M.J.; Peng, J.; Major, P.; Tang, D. Cancers Construction of a Novel Multigene Panel Potently Predicting Poor Prognosis in Patients with Clear Cell Renal Cell Carcinoma. Cancers 2020, 12, 3471. [Google Scholar] [CrossRef]
- Lin, F.; Zhang, D.; Chang, J.; Tang, X.; Guan, W.; Jiang, G.; Zhu, C.; Bian, F. THSD7A-Associated Membranous Nephropathy in a Patient with Neurofibromatosis Type 1. Eur. J. Med. Genet. 2018, 61, 84–88. [Google Scholar] [CrossRef]
- Wang, T.; Zhang, Y.; Liu, M.; Kang, X.; Kang, L.; Zhang, H. THSD7A as a Marker for Paraneoplastic Membranous Nephropathy. Int. Urol. Nephrol. 2019, 51, 371–373. [Google Scholar] [CrossRef]
- Zhang, D.; Zhang, C.; Bian, F.; Zhang, W.; Jiang, G.; Zou, J. Clinicopathological Features in Membranous Nephropathy with Cancer: A Retrospective Single-Center Study and Literature Review. Int. J. Biol. Mrk. 2019, 34, 406–413. [Google Scholar] [CrossRef]
- Zhang, C.; Zhang, M.; Chen, D.; Ren, Q.; Xu, W.; Zeng, C.; Qin, W.; Liu, Z. Features of Phospholipase A2 Receptor and Thrombospondin Type-1 Domain-Containing 7A in Malignancy-Associated Membranous Nephropathy. J. Clin. Pathol. 2019, 72, 705–711. [Google Scholar] [CrossRef]
- Taguchi, S.; Koshikawa, Y.; Ohyama, S.; Miyachi, H.; Ozawa, H.; Asada, H. Thrombospondin Type-1 Domain-Containing 7A-Associated Membranous Nephropathy after Resection of Rectal Cancer: A Case Report. BMC Nephrol. 2019, 20, 43. [Google Scholar] [CrossRef]
- Hara, S.; Tsuji, T.; Fukasawa, Y.; Hisano, S.; Morito, S.; Hyodo, T.; Goto, S.; Nishi, S.; Yoshimoto, A.; Itoh, T. Clinicopathological Characteristics of Thrombospondin Type 1 Domain-Containing 7A-Associated Membranous Nephropathy. Virchows Arch. Int. J. Pathol. 2019, 474, 735–743. [Google Scholar] [CrossRef]
- Xu, Q.; Zou, G.; Zhuo, L.; Gao, H.; Li, W. Lung Cancer Patients with Nephropathy as the First Manifestation: Literature Review and Clinical Study Report. Front. Oncol. 2022, 12, 1002155. [Google Scholar] [CrossRef]
- Chen, M.; Zhang, L.; Zhong, W.; Zheng, K.; Ye, W.; Wang, M. Case Report: THSD7A-Positive Membranous Nephropathy Caused by Tislelizumab in a Lung Cancer Patient. Front. Immunol. 2021, 12, 619147. [Google Scholar] [CrossRef]
- Cance, W.G.; Harris, J.E.; Iacocca, M.V.; Roche, E.; Yang, X.; Chang, J.; Simkins, S.; Xu, L. Immunohistochemical Analyses of Focal Adhesion Kinase Expression in Benign and Malignant Human Breast and Colon Tissues: Correlation with Preinvasive and Invasive Phenotypes. Clin. Cancer Res. 2000, 6, 2417–2423. [Google Scholar]
- Canel, M.; Secades, P.; Rodrigo, J.-P.; Cabanillas, R.; Herrero, A.; Suarez, C.; Chiara, M.-D. Overexpression of Focal Adhesion Kinase in Head and Neck Squamous Cell Carcinoma Is Independent of Fak Gene Copy Number. Clin. Cancer Res. 2006, 12, 3272–3279. [Google Scholar] [CrossRef]
- Ocak, S.; Chen, H.; Callison, C.; Gonzalez, A.L.; Massion, P.P. Expression of Focal Adhesion Kinase in Small-Cell Lung Carcinoma. Cancer 2012, 118, 1293–1301. [Google Scholar] [CrossRef]
- Yoon, H.; Dehart, J.P.; Murphy, J.M.; Lim, S.-T.S. Understanding the Roles of FAK in Cancer: Inhibitors, Genetic Models, and New Insights. J. Histochem. Cytochem. 2015, 63, 114–128. [Google Scholar] [CrossRef]
- Halder, J.; Lin, Y.G.; Merritt, W.M.; Spannuth, W.A.; Nick, A.M.; Honda, T.; Kamat, A.A.; Han, L.Y.; Kim, T.J.; Lu, C.; et al. Therapeutic Efficacy of a Novel Focal Adhesion Kinase Inhibitor TAE226 in Ovarian Carcinoma. Cancer Res. 2007, 67, 10976–10983. [Google Scholar] [CrossRef]
- Walsh, C.; Tanjoni, I.; Uryu, S.; Tomar, A.; Nam, J.-O.; Luo, H.; Phillips, A.; Patel, N.; Kwok, C.; McMahon, G.; et al. Oral Delivery of PND-1186 FAK Inhibitor Decreases Tumor Growth and Spontaneous Breast to Lung Metastasis in Pre-Clinical Models. Cancer Biol. Ther. 2010, 9, 778–790. [Google Scholar] [CrossRef]
- Golubovskaya, V.M.; Figel, S.; Ho, B.T.; Johnson, C.P.; Yemma, M.; Huang, G.; Zheng, M.; Nyberg, C.; Magis, A.; Ostrov, D.A.; et al. A Small Molecule Focal Adhesion Kinase (FAK) Inhibitor, Targeting Y397 Site: 1-(2-Hydroxyethyl)-3, 5, 7-Triaza-1-Azoniatricyclo [3.3.1.1(3,7)]Decane; Bromide Effectively Inhibits FAK Autophosphorylation Activity and Decreases Cancer Cell Viability, Clonogenicity and Tumor Growth In Vivo. Carcinogenesis 2012, 33, 1004–1013. [Google Scholar] [CrossRef]
- Dai, F.; Chen, Y.; Huang, L.; Wang, J.; Zhang, T.; Li, J.; Tong, W.; Liu, M.; Yi, Z. A Novel Synthetic Small Molecule YH-306 Suppresses Colorectal Tumour Growth and Metastasis via FAK Pathway. J. Cell. Mol. Med. 2015, 19, 383–395. [Google Scholar] [CrossRef]
- Du, C.; Zheng, Z.; Li, D.; Chen, L.; Li, N.; Yi, X.; Yang, Y.; Liu, W.; Xie, X.; Xie, M. BKCa Promotes Growth and Metastasis of Prostate Cancer through Facilitating the Coupling between Avβ3 Integrin and FAK. Oncotarget 2016, 7, 40174–40188. [Google Scholar] [CrossRef]
- Wang, B.; Qi, X.; Li, D.; Feng, M.; Meng, X.; Fu, S. Expression of PY397 FAK Promotes the Development of Non-Small Cell Lung Cancer. Oncol. Lett. 2016, 11, 979–983. [Google Scholar] [CrossRef]
- Aboubakar Nana, F.; Hoton, D.; Ambroise, J.; Lecocq, M.; Vanderputten, M.; Sibille, Y.; Vanaudenaerde, B.; Pilette, C.; Bouzin, C.; Ocak, S. Increased Expression and Activation of FAK in Small-Cell Lung Cancer Compared to Non-Small-Cell Lung Cancer. Cancers 2019, 11, 1526. [Google Scholar] [CrossRef]
- Ji, H.-F.; Pang, D.; Fu, S.-B.; Jin, Y.; Yao, L.; Qi, J.-P.; Bai, J. Overexpression of Focal Adhesion Kinase Correlates with Increased Lymph Node Metastasis and Poor Prognosis in Non-Small-Cell Lung Cancer. J. Cancer Res. Clin. Oncol. 2013, 139, 429–435. [Google Scholar] [CrossRef]
- Flockerzi, F.A.; Roggia, C.; Langer, F.; Holleczek, B.; Bohle, R.M. FGFR1 Gene Amplification in Squamous Cell Carcinomas of the Lung: A Potential Favorable Prognostic Marker for Women and for Patients with Advanced Cancer. Virchows Arch. Int. J. Pathol. 2018, 472, 759–769. [Google Scholar] [CrossRef]
- Carelli, S.; Zadra, G.; Vaira, V.; Falleni, M.; Bottiglieri, L.; Nosotti, M.; Di Giulio, A.M.; Gorio, A.; Bosari, S. Up-Regulation of Focal Adhesion Kinase in Non-Small Cell Lung Cancer. Lung Cancer 2006, 53, 263–271. [Google Scholar] [CrossRef]
- Zhang, X.; Liu, Y.; Fan, C.; Wang, L.; Li, A.; Zhou, H.; Cai, L.; Miao, Y.; Li, Q.; Qiu, X.; et al. Lasp1 Promotes Malignant Phenotype of Non-Small-Cell Lung Cancer via Inducing Phosphorylation of FAK-AKT Pathway. Oncotarget 2017, 8, 75102–75113. [Google Scholar] [CrossRef]
- Zhou, X.; Yang, F.; Zhang, Q.; Miao, Y.; Hu, X.; Li, A.; Hou, G.; Wang, Q.; Kang, J. FAM129B Promoted Tumor Invasion and Proliferation via Facilitating the Phosphorylation of FAK Signaling and Associated with Adverse Clinical Outcome of Non-Small Cell Lung Cancer Patients. Oncotargets Ther. 2018, 11, 7493–7501. [Google Scholar] [CrossRef]
- Miao, J.-L.; Liu, R.-J.; Zhou, J.-H.; Meng, S.-H. Fibroblast Growth Factor Receptor 1 Gene Amplification in Nonsmall Cell Lung Cancer. Chin. Med. J. 2016, 129, 2868–2872. [Google Scholar] [CrossRef]
- Krook, M.A.; Reeser, J.W.; Ernst, G.; Barker, H.; Wilberding, M.; Li, G.; Chen, H.-Z.; Roychowdhury, S. Fibroblast Growth Factor Receptors in Cancer: Genetic Alterations, Diagnostics, Therapeutic Targets and Mechanisms of Resistance. Br. J. Cancer 2021, 124, 880–892. [Google Scholar] [CrossRef]
- Schildhaus, H.-U.; Nogova, L.; Wolf, J.; Buettner, R. FGFR1 Amplifications in Squamous Cell Carcinomas of the Lung: Diagnostic and Therapeutic Implications. Transl. Lung Cancer Res. 2013, 2, 92–100. [Google Scholar] [CrossRef]
- Ou, L.; He, X.; Liu, N.; Song, Y.; Li, J.; Gao, L.; Huang, X.; Deng, Z.; Wang, X.; Lin, S. Sialylation of FGFR1 by ST6Gal-I Overexpression Contributes to Ovarian Cancer Cell Migration and Chemoresistance. Mol. Med. Rep. 2020, 21, 1449–1460. [Google Scholar] [CrossRef]
- Chang, M.-M.; Wu, S.-Z.; Yang, S.-H.; Wu, C.-C.; Wang, C.-Y.; Huang, B.-M. FGF9/FGFR1 Promotes Cell Proliferation, Epithelial-Mesenchymal Transition, M2 Macrophage Infiltration and Liver Metastasis of Lung Cancer. Transl. Oncol. 2021, 14, 101208. [Google Scholar] [CrossRef]
- Pacini, L.; Jenks, A.D.; Lima, N.C.; Huang, P.H. Targeting the Fibroblast Growth Factor Receptor (FGFR) Family in Lung Cancer. Cells 2021, 10, 1154. [Google Scholar] [CrossRef]
- Nan, Y.; Du, J.; Ma, L.; Jiang, H.; Jin, F.; Yang, S. Early Candidate Biomarkers of Non-Small Cell Lung Cancer Are Screened and Identified in Premalignant Lung Lesions. Technol. Cancer Res. Treat. 2017, 16, 66–74. [Google Scholar] [CrossRef]
- Yue, J.; Lv, D.; Wang, C.; Li, L.; Zhao, Q.; Chen, H.; Xu, L. Epigenetic Silencing of MiR-483-3p Promotes Acquired Gefitinib Resistance and EMT in EGFR-Mutant NSCLC by Targeting Integrin Β3. Oncogene 2018, 37, 4300–4312. [Google Scholar] [CrossRef]
- Xiao, J.-F.; Caliri, A.W.; Duex, J.E.; Theodorescu, D. Targetable Pathways in Advanced Bladder Cancer: FGFR Signaling. Cancers 2021, 13, 4891. [Google Scholar] [CrossRef]






| THSD7A | FAK | |||||
|---|---|---|---|---|---|---|
| Negative (n = 83) | Positive (n = 8) | p-Value | Low (n = 75) | High (n = 16) | p-Value | |
| Sex | 0.4 | >0.9 | ||||
| female | 18 | 3 | 17 | 4 | ||
| male | 65 | 5 | 58 | 12 | ||
| Histologic type | 0.049 | 0.090 | ||||
| non-keratinizing | 55 | 2 | 44 | 13 | ||
| keratinizing | 28 | 6 | 31 | 3 | ||
| Tumor stage | 0.8 | 0.7 | ||||
| pT1 | 20 | 1 | 18 | 3 | ||
| pT2 | 33 | 3 | 30 | 6 | ||
| pT3 | 17 | 3 | 17 | 3 | ||
| pT4 | 13 | 1 | 10 | 4 | ||
| Nodal status | >0.9 | 0.9 | ||||
| pN0 | 50 | 5 | 45 | 10 | ||
| pN+ | 33 | 3 | 30 | 6 | ||
| Grading | 0.5 | >0.9 | ||||
| G1 | 0 | 0 | 0 | 0 | ||
| G2 | 40 | 5 | 37 | 8 | ||
| G3 | 43 | 3 | 38 | 8 | ||
| FGFR1 status | 0.7 | 0.3 | ||||
| no amplification | 62 | 7 | 55 | 14 | ||
| amplified | 21 | 1 | 20 | 2 | ||
| THSD7A | FAK | |||||
|---|---|---|---|---|---|---|
| Negative (n = 18) | Positive (n = 3) | p-Value | Low (n = 17) | High (n = 4) | p-Value | |
| Histologic type | >0.9 | >0.9 | ||||
| non-keratinizing | 13 | 2 | 12 | 3 | ||
| keratinizing | 5 | 1 | 5 | 1 | ||
| Tumor stage | 0.7 | 0.9 | ||||
| pT1 | 3 | 0 | 3 | 0 | ||
| pT2 | 9 | 1 | 7 | 3 | ||
| pT3 | 4 | 2 | 5 | 1 | ||
| pT4 | 2 | 0 | 2 | 0 | ||
| Nodal status | 0.2 | >0.9 | ||||
| pN0 | 13 | 1 | 11 | 3 | ||
| pN+ | 5 | 2 | 6 | 1 | ||
| Grading | >0.9 | 0.6 | ||||
| G1 | 0 | 0 | 0 | 0 | ||
| G2 | 10 | 2 | 9 | 3 | ||
| G3 | 8 | 1 | 8 | 1 | ||
| FGFR1 status | 0.5 | 0.5 | ||||
| no amplification | 13 | 3 | 12 | 4 | ||
| amplified | 5 | 0 | 5 | 0 | ||
| THSD7A | FAK | |||||
|---|---|---|---|---|---|---|
| Negative (n = 65) | Positive (n = 5) | p-Value | Low (n = 58) | High (n = 12) | p-Value | |
| Histologic type | 0.008 | 0.11 | ||||
| non-keratinizing | 42 | 0 | 32 | 10 | ||
| keratinizing | 23 | 5 | 26 | 2 | ||
| Tumor stage | >0.9 | 0.5 | ||||
| pT1 | 17 | 1 | 15 | 3 | ||
| pT2 | 24 | 2 | 23 | 3 | ||
| pT3 | 13 | 1 | 12 | 2 | ||
| pT4 | 11 | 1 | 8 | 4 | ||
| Nodal status | 0.4 | >0.9 | ||||
| pN0 | 37 | 4 | 34 | 7 | ||
| pN+ | 28 | 1 | 24 | 5 | ||
| Grading | 0.7 | 0.8 | ||||
| G1 | 0 | 0 | 0 | 0 | ||
| G2 | 30 | 3 | 28 | 5 | ||
| G3 | 35 | 2 | 30 | 7 | ||
| FGFR1 status | >0.9 | 0.7 | ||||
| no amplification | 49 | 4 | 43 | 10 | ||
| amplified | 16 | 1 | 15 | 2 | ||
| (A) | ||||
|---|---|---|---|---|
| THSD7A | ||||
| Negative, n = 18 | Positive, n = 3 | p-Value | ||
| 0.080 | ||||
| FAK | ||||
| Low level | 16 | 1 | ||
| High level | 2 | 2 | ||
| (B) | ||||
| THSD7A | ||||
| Negative, n = 65 | Positive, n = 5 | p-Value | ||
| >0.9 | ||||
| FAK | ||||
| Low level | 54 | 4 | ||
| High level | 11 | 1 | ||
| (C) | ||||
| THSD7A | ||||
| Negative, n = 83 | Positive, n = 8 | p-Value | ||
| 0.14 | ||||
| FAK | ||||
| Low level | 70 | 5 | ||
| High level | 13 | 3 | ||
Disclaimer/Publisher’s Note: The statements, opinions and data contained in all publications are solely those of the individual author(s) and contributor(s) and not of MDPI and/or the editor(s). MDPI and/or the editor(s) disclaim responsibility for any injury to people or property resulting from any ideas, methods, instructions or products referred to in the content. |
© 2023 by the authors. Licensee MDPI, Basel, Switzerland. This article is an open access article distributed under the terms and conditions of the Creative Commons Attribution (CC BY) license (https://creativecommons.org/licenses/by/4.0/).
Share and Cite
Flockerzi, F.A.; Hohneck, J.; Langer, F.; Bohle, R.M.; Stahl, P.R. THSD7A Positivity Predicts Poor Survival and Is Linked to High FAK Expression and FGFR1-Wildtype in Female Patients with Squamous Cell Carcinoma of the Lung. Int. J. Mol. Sci. 2023, 24, 10639. https://doi.org/10.3390/ijms241310639
Flockerzi FA, Hohneck J, Langer F, Bohle RM, Stahl PR. THSD7A Positivity Predicts Poor Survival and Is Linked to High FAK Expression and FGFR1-Wildtype in Female Patients with Squamous Cell Carcinoma of the Lung. International Journal of Molecular Sciences. 2023; 24(13):10639. https://doi.org/10.3390/ijms241310639
Chicago/Turabian StyleFlockerzi, Fidelis Andrea, Johannes Hohneck, Frank Langer, Rainer Maria Bohle, and Phillip Rolf Stahl. 2023. "THSD7A Positivity Predicts Poor Survival and Is Linked to High FAK Expression and FGFR1-Wildtype in Female Patients with Squamous Cell Carcinoma of the Lung" International Journal of Molecular Sciences 24, no. 13: 10639. https://doi.org/10.3390/ijms241310639
APA StyleFlockerzi, F. A., Hohneck, J., Langer, F., Bohle, R. M., & Stahl, P. R. (2023). THSD7A Positivity Predicts Poor Survival and Is Linked to High FAK Expression and FGFR1-Wildtype in Female Patients with Squamous Cell Carcinoma of the Lung. International Journal of Molecular Sciences, 24(13), 10639. https://doi.org/10.3390/ijms241310639
