Mastocytosis and Skin Cancer: The Current State of Knowledge
Abstract
1. Introduction
2. Mastocytosis—Classification and Epidemiology
3. Epidemiological Link between Mastocytosis and Skin Cancer
4. Pathogenetic Link between Mastocytosis and Skin Cancer
4.1. Genetic Factors
KIT
4.2. Tumor Microenvironment
4.3. Hormones and Neuropeptides as a Potential Link between Mastocytosis and Skin Cancer
4.3.1. Sex Hormones
4.3.2. Hypothalamus-Pituitary-Adrenal (HPA) Axis
4.3.3. Hypothalamus-Pituitary-Thyroid (HPT) Axis
4.3.4. Neuropeptides
4.4. Mastocytosis Treatment and the Risk of Skin Malignancy
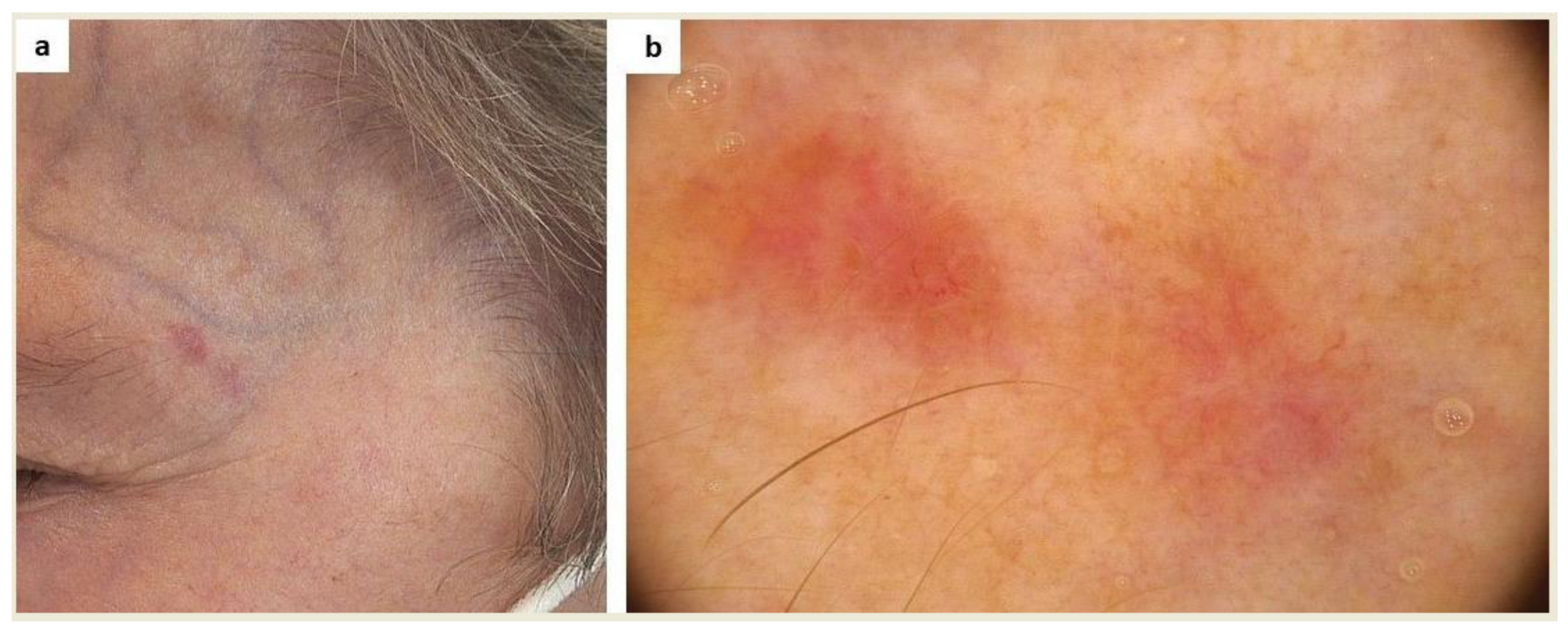
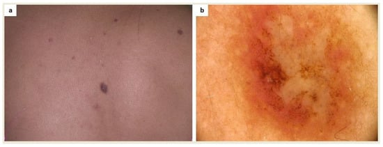
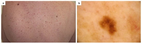
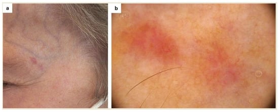
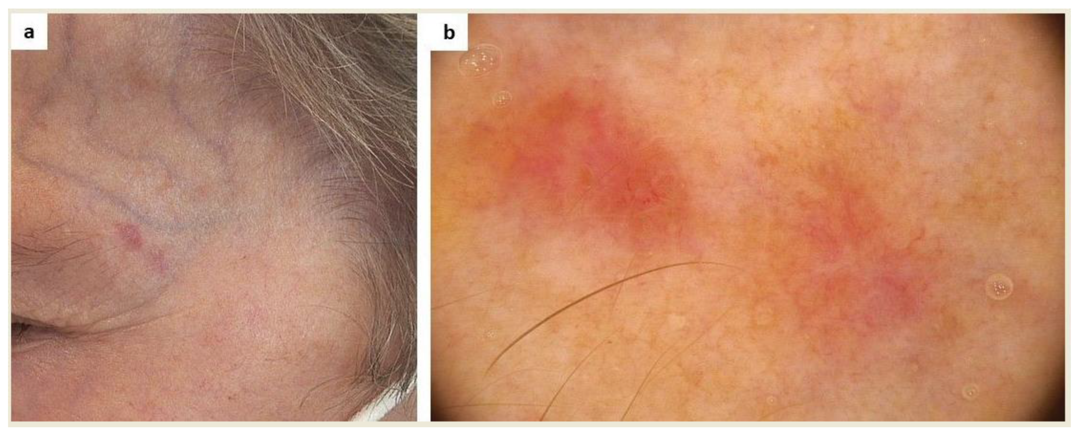
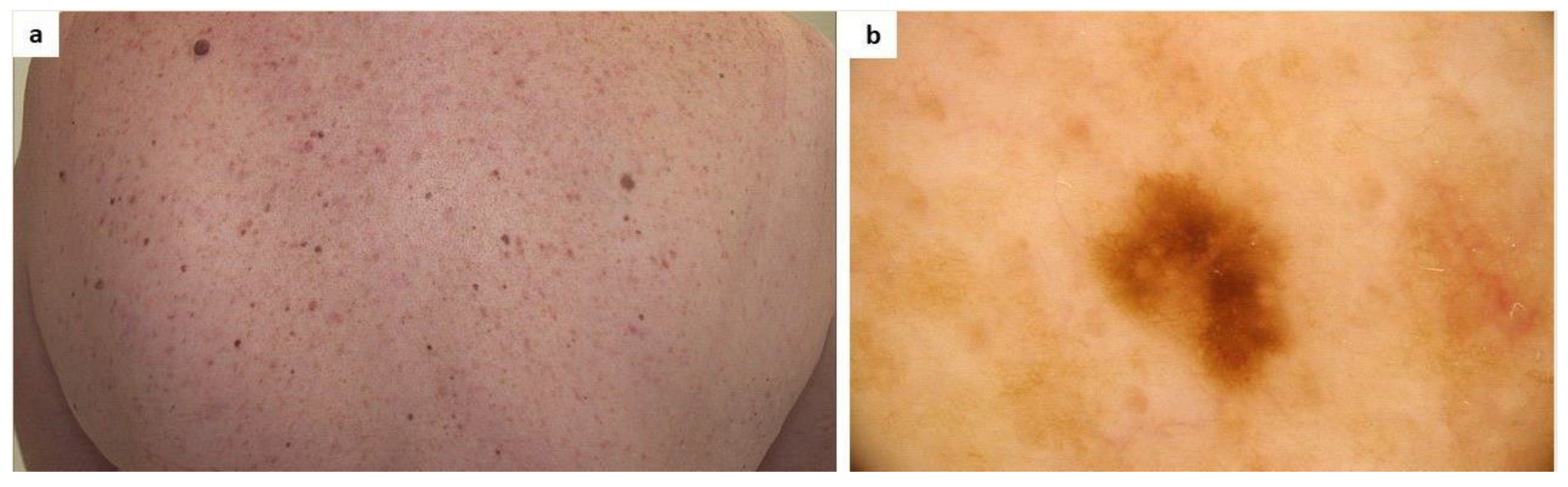
5. Screening and Management of Skin Cancer and Melanoma in Mastocytosis Patients
6. Discussion
7. Conclusions
Author Contributions
Funding
Institutional Review Board Statement
Informed Consent Statement
Data Availability Statement
Conflicts of Interest
References
- Valent, P.; Akin, C.; Sperr, W.R.; Horny, H.P.; Arock, M.; Metcalfe, D.D.; Galli, S.J. New Insights into the Pathogenesis of Mastocytosis: Emerging Concepts in Diagnosis and Therapy. Annu. Rev. Pathol. 2023, 18, 361–386. [Google Scholar] [CrossRef] [PubMed]
- Broesby-Olsen, S.; Farkas, D.K.; Vestergaard, H.; Hermann, A.P.; Moller, M.B.; Mortz, C.G.; Kristensen, T.K.; Bindslev-Jensen, C.; Sorensen, H.T.; Frederiksen, H. Risk of solid cancer, cardiovascular disease, anaphylaxis, osteoporosis and fractures in patients with systemic mastocytosis: A nationwide population-based study. Am. J. Hematol. 2016, 91, 1069–1075. [Google Scholar] [CrossRef]
- Hagglund, H.; Sander, B.; Gulen, T.; Lindelof, B.; Nilsson, G. Increased risk of malignant melanoma in patients with systemic mastocytosis? Acta Dermatol. Venereol. 2014, 94, 583–584. [Google Scholar] [CrossRef] [PubMed]
- Todd, P.; Garioch, J.; Seywright, M.; Rademaker, M.; Thomson, J. Malignant melanoma and systemic Mastocytosis—A possible association? Clin. Exp. Dermatol. 1991, 16, 455–457. [Google Scholar] [CrossRef] [PubMed]
- Phung, B.; Kazi, J.U.; Lundby, A.; Bergsteinsdottir, K.; Sun, J.; Goding, C.R.; Jonsson, G.; Olsen, J.V.; Steingrimsson, E.; Ronnstrand, L. KIT(D816V) Induces SRC-Mediated Tyrosine Phosphorylation of MITF and Altered Transcription Program in Melanoma. Mol. Cancer Res. 2017, 15, 1265–1274. [Google Scholar] [CrossRef]
- Klump, J.; Phillipp, U.; Follo, M.; Eremin, A.; Lehmann, H.; Nestel, S.; von Bubnoff, N.; Nazarenko, I. Extracellular vesicles or free circulating DNA: Where to search for BRAF and cKIT mutations? Nanomedicine 2018, 14, 875–882. [Google Scholar] [CrossRef]
- Ribatti, D.; Tamma, R.; Annese, T.; Crivellato, E. The role of mast cells in human skin cancers. Clin. Exp. Med. 2021, 21, 355–360. [Google Scholar] [CrossRef]
- Nedoszytko, B.; Arock, M.; Lyons, J.J.; Bachelot, G.; Schwartz, L.B.; Reiter, A.; Jawhar, M.; Schwaab, J.; Lange, M.; Greiner, G.; et al. Clinical Impact of Inherited and Acquired Genetic Variants in Mastocytosis. Int. J. Mol. Sci. 2021, 22, 411. [Google Scholar] [CrossRef]
- Valent, P.; Akin, C.; Hartmann, K.; Nilsson, G.; Reiter, A.; Hermine, O.; Sotlar, K.; Sperr, W.R.; Escribano, L.; George, T.I.; et al. Mast cells as a unique hematopoietic lineage and cell system: From Paul Ehrlich’s visions to precision medicine concepts. Theranostics 2020, 10, 10743–10768. [Google Scholar] [CrossRef]
- Ribatti, D.; Vacca, A.; Ria, R.; Marzullo, A.; Nico, B.; Filotico, R.; Roncali, L.; Dammacco, F. Neovascularisation, expression of fibroblast growth factor-2, and mast cells with tryptase activity increase simultaneously with pathological progression in human malignant melanoma. Eur. J. Cancer 2003, 39, 666–674. [Google Scholar] [CrossRef]
- Komi, D.E.A.; Redegeld, F.A. Role of Mast Cells in Shaping the Tumor Microenvironment. Clin. Rev. Allergy Immunol. 2020, 58, 313–325. [Google Scholar] [CrossRef]
- Komulainen, J.; Siiskonen, H.; Harvima, I.T. Association of Elevated Serum Tryptase with Cutaneous Photodamage and Skin Cancers. Int. Arch. Allergy Immunol. 2021, 182, 1135–1142. [Google Scholar] [CrossRef] [PubMed]
- Atiakshin, D.; Kostin, A.; Buchwalow, I.; Samoilova, V.; Tiemann, M. Protease Profile of Tumor-Associated Mast Cells in Melanoma. Int. J. Mol. Sci. 2022, 23, 8930. [Google Scholar] [CrossRef] [PubMed]
- Valent, P. KIT D816V and the cytokine storm in mastocytosis: Production and role of interleukin-6. Haematologica 2020, 105, 5–6. [Google Scholar] [CrossRef] [PubMed]
- Bahri, R.; Kiss, O.; Prise, I.; Garcia-Rodriguez, K.M.; Atmoko, H.; Martinez-Gomez, J.M.; Levesque, M.P.; Dummer, R.; Smith, M.P.; Wellbrock, C.; et al. Human Melanoma-Associated Mast Cells Display a Distinct Transcriptional Signature Characterized by an Upregulation of the Complement Component 3 That Correlates With Poor Prognosis. Front. Immunol. 2022, 13, 861545. [Google Scholar] [CrossRef] [PubMed]
- Wallenfang, K.; Stadler, R. Association between UVA1 and PUVA bath therapy and development of malignant melanoma. Hautarzt 2001, 52, 705–707. [Google Scholar] [CrossRef]
- Bhari, N.; Schwaertz, R.A.; Apalla, Z.; Salerni, G.; Akay, B.N.; Patil, A.; Grabbe, S.; Goldust, M. Effect of estrogen in malignant melanoma. J. Cosmet. Dermatol. 2022, 21, 1905–1912. [Google Scholar] [CrossRef]
- Peppicelli, S.; Ruzzolini, J.; Lulli, M.; Biagioni, A.; Bianchini, F.; Caldarella, A.; Nediani, C.; Andreucci, E.; Calorini, L. Extracellular Acidosis Differentially Regulates Estrogen Receptor beta-Dependent EMT Reprogramming in Female and Male Melanoma Cells. Int. J. Mol. Sci. 2022, 23, 15374. [Google Scholar] [CrossRef]
- Nettleship, E.; Tay, W. Rare Forms of Urticaria. Br. Med. J. 1869, 2, 323–324. [Google Scholar]
- Scherber, R.M.; Borate, U. How we diagnose and treat systemic mastocytosis in adults. Br. J. Haematol. 2018, 180, 11–23. [Google Scholar] [CrossRef]
- Sezary, A.; Levy-Coblentz, G.; Chauvillon, P. Dermographisme et mastocytose. Bull. Soc. Fr. Dermatol. Syphiligr. 1936, 43, 359–361. [Google Scholar]
- Valent, P.; Akin, C.; Hartmann, K.; Alvarez-Twose, I.; Brockow, K.; Hermine, O.; Niedoszytko, M.; Schwaab, J.; Lyons, J.J.; Carter, M.C.; et al. Updated Diagnostic Criteria and Classification of Mast Cell Disorders: A Consensus Proposal. Hemasphere 2021, 5, e646. [Google Scholar] [CrossRef] [PubMed]
- Systemic Mastocytosis. Orphanet Encyclopedia. Available online: https://www.orpha.net/consor/cgi-bin/OC_Exp.php?Lng=GB&Expert=2467 (accessed on 18 March 2023).
- Bista, A.; Uprety, D.; Vallatharasu, Y.; Arjyal, L.; Ghimire, S.; Giri, M.; Rosenstein, L. Systemic Mastocytosis in United States: A Population Based Study. Blood 2018, 132, 1830. [Google Scholar] [CrossRef]
- Hartmann, K.; Escribano, L.; Grattan, C.; Brockow, K.; Carter, M.C.; Alvarez-Twose, I.; Matito, A.; Broesby-Olsen, S.; Siebenhaar, F.; Lange, M.; et al. Cutaneous manifestations in patients with mastocytosis: Consensus report of the European Competence Network on Mastocytosis; the American Academy of Allergy, Asthma & Immunology; and the European Academy of Allergology and Clinical Immunology. J. Allergy Clin. Immunol. 2016, 137, 35–45. [Google Scholar] [CrossRef]
- Lange, M.; Hartmann, K.; Carter, M.C.; Siebenhaar, F.; Alvarez-Twose, I.; Torrado, I.; Brockow, K.; Renke, J.; Irga-Jaworska, N.; Plata-Nazar, K.; et al. Molecular Background, Clinical Features and Management of Pediatric Mastocytosis: Status 2021. Int. J. Mol. Sci. 2021, 22, 2586. [Google Scholar] [CrossRef]
- Valent, P.; Akin, C.; Metcalfe, D.D. Mastocytosis: 2016 updated WHO classification and novel emerging treatment concepts. Blood 2017, 129, 1420–1427. [Google Scholar] [CrossRef]
- Vojvodic, A.; Vlaskovic-Jovicevic, T.; Vojvodic, P.; Vojvodic, J.; Goldust, M.; Peric-Hajzler, Z.; Matovic, D.; Sijan, G.; Stepic, N.; Wollina, U.; et al. Melanoma and Mastocytosis. Open. Access Maced. J. Med. Sci. 2019, 7, 3050–3052. [Google Scholar] [CrossRef]
- Donati, P.; Paolino, G.; Donati, M.; Panetta, C. Cutaneous mastocytosis combined with eruptive melanocytic nevi and melanoma. Coincidence or a linkage in the pathogenesis? J. Dermatol. Case Rep. 2014, 8, 70–74. [Google Scholar] [CrossRef]
- Ruini, C.; Hartmann, D.; Flaig, M.J.; von Braunmuhl, T.; Berking, C. Aggressive malignant melanoma in a patient with urticaria pigmentosa. Hautarzt 2018, 69, 45–48. [Google Scholar] [CrossRef]
- Capo, A.; Goteri, G.; Mozzicafreddo, G.; Serresi, S.; Giacchetti, A. Melanoma and mastocytosis: Is really only a coincidence? Clin. Exp. Dermatol. 2019, 44, 76–77. [Google Scholar] [CrossRef]
- Akdogan, N.; Elcin, G.; Gokoz, O. The co-existence of cutaneous melanoma and urticaria pigmentosa in a patient with Becker’s nevus. J. Cosmet. Dermatol. 2020, 19, 1268–1270. [Google Scholar] [CrossRef] [PubMed]
- Rydberg, A.; Lehman, J.; Markovic, S.; Anderson, K. Mastocytosis and melanoma: A case series. Int. J. Dermatol. 2022, 61, 603–606. [Google Scholar] [CrossRef] [PubMed]
- Kowalzic, L.; Eickenscheidt, L.; Seidel, C.; Kribus, S.; Ziegler, H.; Komar, M. Telangiectasia macularis eruptiva perstans, a form of cutaneous mastocytosis, associated with malignant melanoma. J. Dtsch. Dermatol. Ges. 2009, 7, 360–362. [Google Scholar] [CrossRef] [PubMed]
- Okun, M.R.; Bhawan, J. Combined melanocytoma-mastocytoma in a case of nodular mastocytosis. J. Am. Acad. Dermatol. 1979, 1, 338–347. [Google Scholar] [CrossRef]
- Arber, D.A.; Tamayo, R.; Weiss, L.M. Paraffin section detection of the c-kit gene product (CD117) in human tissues: Value in the diagnosis of mast cell disorders. Hum. Pathol. 1998, 29, 498–504. [Google Scholar] [CrossRef]
- Lennartsson, J.; Ronnstrand, L. Stem cell factor receptor/c-Kit: From basic science to clinical implications. Physiol. Rev. 2012, 92, 1619–1649. [Google Scholar] [CrossRef]
- Longley, B.J., Jr.; Metcalfe, D.D.; Tharp, M.; Wang, X.; Tyrrell, L.; Lu, S.Z.; Heitjan, D.; Ma, Y. Activating and dominant inactivating c-KIT catalytic domain mutations in distinct clinical forms of human mastocytosis. Proc. Natl. Acad. Sci. USA 1999, 96, 1609–1614. [Google Scholar] [CrossRef]
- Corless, C.L.; Fletcher, J.A.; Heinrich, M.C. Biology of gastrointestinal stromal tumors. J. Clin. Oncol. 2004, 22, 3813–3825. [Google Scholar] [CrossRef]
- Kemmer, K.; Corless, C.L.; Fletcher, J.A.; McGreevey, L.; Haley, A.; Griffith, D.; Cummings, O.W.; Wait, C.; Town, A.; Heinrich, M.C. KIT mutations are common in testicular seminomas. Am. J. Pathol. 2004, 164, 305–313. [Google Scholar] [CrossRef]
- Komi, D.E.A.; Rambasek, T.; Wohrl, S. Mastocytosis: From a Molecular Point of View. Clin. Rev. Allergy Immunol. 2018, 54, 397–411. [Google Scholar] [CrossRef]
- Pham, D.D.M.; Guhan, S.; Tsao, H. KIT and Melanoma: Biological Insights and Clinical Implications. Yonsei Med. J. 2020, 61, 562–571. [Google Scholar] [CrossRef] [PubMed]
- Beadling, C.; Jacobson-Dunlop, E.; Hodi, F.S.; Le, C.; Warrick, A.; Patterson, J.; Town, A.; Harlow, A.; Cruz, F., 3rd; Azar, S.; et al. KIT gene mutations and copy number in melanoma subtypes. Clin. Cancer Res. 2008, 14, 6821–6828. [Google Scholar] [CrossRef] [PubMed]
- Curtin, J.A.; Busam, K.; Pinkel, D.; Bastian, B.C. Somatic activation of KIT in distinct subtypes of melanoma. J. Clin. Oncol. 2006, 24, 4340–4346. [Google Scholar] [CrossRef]
- Maldonado, J.L.; Fridlyand, J.; Patel, H.; Jain, A.N.; Busam, K.; Kageshita, T.; Ono, T.; Albertson, D.G.; Pinkel, D.; Bastian, B.C. Determinants of BRAF mutations in primary melanomas. J. Natl. Cancer Inst. 2003, 95, 1878–1890. [Google Scholar] [CrossRef] [PubMed]
- Slipicevic, A.; Herlyn, M. KIT in melanoma: Many shades of gray. J. Investig. Dermatol. 2015, 135, 337–338. [Google Scholar] [CrossRef] [PubMed]
- Torres-Cabala, C.A.; Wang, W.L.; Trent, J.; Yang, D.; Chen, S.; Galbincea, J.; Kim, K.B.; Woodman, S.; Davies, M.; Plaza, J.A.; et al. Correlation between KIT expression and KIT mutation in melanoma: A study of 173 cases with emphasis on the acral-lentiginous/mucosal type. Mod. Pathol. 2009, 22, 1446–1456. [Google Scholar] [CrossRef]
- Consortium, A.P.G. AACR Project GENIE: Powering Precision Medicine through an International Consortium. Cancer Discov. 2017, 7, 818–831. [Google Scholar] [CrossRef]
- Jung, S.; Armstrong, E.; Wei, A.Z.; Ye, F.; Lee, A.; Carlino, M.S.; Sullivan, R.J.; Carvajal, R.D.; Shoushtari, A.N.; Johnson, D.B. Clinical and genomic correlates of imatinib response in melanomas with KIT alterations. Br. J. Cancer 2022, 127, 1726–1732. [Google Scholar] [CrossRef]
- Somasundaram, R.; Connelly, T.; Choi, R.; Choi, H.; Samarkina, A.; Li, L.; Gregorio, E.; Chen, Y.; Thakur, R.; Abdel-Mohsen, M.; et al. Tumor-infiltrating mast cells are associated with resistance to anti-PD-1 therapy. Nat. Commun. 2021, 12, 346. [Google Scholar] [CrossRef]
- Fang, D.; Tsuji, Y.; Setaluri, V. Selective down-regulation of tyrosinase family gene TYRP1 by inhibition of the activity of melanocyte transcription factor, MITF. Nucleic Acids Res. 2002, 30, 3096–3106. [Google Scholar] [CrossRef]
- Dyduch, G.; Kaczmarczyk, K.; Okoń, K. Mast cells and cancer: Enemies or allies? Pol. J. Pathol. 2012, 63, 1–7. [Google Scholar] [PubMed]
- Grimbaldeston, M.A.; Finlay-Jones, J.J.; Hart, P.H. Mast cells in photodamaged skin: What is their role in skin cancer? Photochem. Photobiol. Sci. 2006, 5, 177–183. [Google Scholar] [CrossRef] [PubMed]
- Erkilic, S.; Erbagci, Z. The significance of mast cells associated with basal cell carcinoma. J. Dermatol. 2001, 28, 312–315. [Google Scholar] [CrossRef]
- Parizi, A.C.; Barbosa, R.L.; Parizi, J.L.; Nai, G.A. A comparison between the concentration of mast cells in squamous cell carcinomas of the skin and oral cavity. Bras. Dermatol. 2010, 85, 811–818. [Google Scholar] [CrossRef] [PubMed]
- Grimbaldeston, M.A.; Pearce, A.L.; Robertson, B.O.; Coventry, B.J.; Marshman, G.; Finlay-Jones, J.J.; Hart, P.H. Association between melanoma and dermal mast cell prevalence in sun-unexposed skin. Br. J. Dermatol. 2004, 150, 895–903. [Google Scholar] [CrossRef] [PubMed]
- Grimbaldeston, M.A.; Skov, L.; Finlay-Jones, J.J.; Hart, P.H. Increased dermal mast cell prevalence and susceptibility to development of basal cell carcinoma in humans. Methods 2002, 28, 90–96. [Google Scholar] [CrossRef] [PubMed]
- Gudiseva, S.; Santosh, A.B.R.; Chitturi, R.; Anumula, V.; Poosarla, C.; Baddam, V.R.R. The role of mast cells in oral squamous cell carcinoma. Contemp. Oncol. 2017, 21, 21–29. [Google Scholar] [CrossRef] [PubMed]
- Nedoszytko, B.; Lange, M.; Sokolowska-Wojdylo, M.; Renke, J.; Trzonkowski, P.; Sobjanek, M.; Szczerkowska-Dobosz, A.; Niedoszytko, M.; Gorska, A.; Romantowski, J.; et al. The role of regulatory T cells and genes involved in their differentiation in pathogenesis of selected inflammatory and neoplastic skin diseases. Part II: The Treg role in skin diseases pathogenesis. Postep. Dermatol. Alergol. 2017, 34, 405–417. [Google Scholar] [CrossRef]
- Nedoszytko, B.; Lange, M.; Sokolowska-Wojdylo, M.; Renke, J.; Trzonkowski, P.; Sobjanek, M.; Szczerkowska-Dobosz, A.; Niedoszytko, M.; Gorska, A.; Romantowski, J.; et al. The role of regulatory T cells and genes involved in their differentiation in pathogenesis of selected inflammatory and neoplastic skin diseases. Part I: Treg properties and functions. Postep. Dermatol. Alergol. 2017, 34, 285–294. [Google Scholar] [CrossRef]
- Nedoszytko, B.; Sokolowska-Wojdylo, M.; Renke, J.; Lange, M.; Trzonkowski, P.; Sobjanek, M.; Szczerkowska-Dobosz, A.; Niedoszytko, M.; Gorska, A.; Romantowski, J.; et al. The role of regulatory T cells and genes involved in their differentiation in pathogenesis of selected inflammatory and neoplastic skin diseases. Part III: Polymorphisms of genes involved in Tregs’ activation and function. Postep. Dermatol. Alergol. 2017, 34, 517–525. [Google Scholar] [CrossRef]
- Slawinska, M.; Zablotna, M.; Glen, J.; Lakomy, J.; Nowicki, R.J.; Sobjanek, M. STAT3 polymorphisms and IL-6 polymorphism are associated with the risk of basal cell carcinoma in patients from northern Poland. Arch. Dermatol. Res. 2019, 311, 697–704. [Google Scholar] [CrossRef] [PubMed]
- Hart, P.H.; Grimbaldeston, M.A.; Finlay-Jones, J.J. Sunlight, immunosuppression and skin cancer: Role of histamine and mast cells. Clin. Exp. Pharm. Physiol. 2001, 28, 1–8. [Google Scholar] [CrossRef] [PubMed]
- Aoki, M.; Pawankar, R.; Niimi, Y.; Kawana, S. Mast cells in basal cell carcinoma express VEGF, IL-8 and RANTES. Int. Arch. Allergy Immunol. 2003, 130, 216–223. [Google Scholar] [CrossRef] [PubMed]
- Solimando, A.G.; Desantis, V.; Ribatti, D. Mast Cells and Interleukins. Int. J. Mol. Sci. 2022, 23, 14004. [Google Scholar] [CrossRef]
- Ugurel, S.; Schadendorf, D.; Horny, K.; Sucker, A.; Schramm, S.; Utikal, J.; Pfohler, C.; Herbst, R.; Schilling, B.; Blank, C.; et al. Elevated baseline serum PD-1 or PD-L1 predicts poor outcome of PD-1 inhibition therapy in metastatic melanoma. Ann. Oncol. 2020, 31, 144–152. [Google Scholar] [CrossRef]
- Li, J.; Peng, G.; Zhu, K.; Jie, X.; Xu, Y.; Rao, X.; Xu, Y.; Chen, Y.; Xing, B.; Wu, G.; et al. PD-1(+) mast cell enhanced by PD-1 blocking therapy associated with resistance to immunotherapy. Cancer Immunol. Immunother. 2023, 72, 633–645. [Google Scholar] [CrossRef]
- Nguyen, P.L.; Cho, J. Pathophysiological Roles of Histamine Receptors in Cancer Progression: Implications and Perspectives as Potential Molecular Targets. Biomolecules 2021, 11, 1232. [Google Scholar] [CrossRef]
- Fritz, I.; Wagner, P.; Bottai, M.; Eriksson, H.; Ingvar, C.; Krakowski, I.; Nielsen, K.; Olsson, H. Desloratadine and loratadine use associated with improved melanoma survival. Allergy 2020, 75, 2096–2099. [Google Scholar] [CrossRef]
- Ammendola, M.; Leporini, C.; Marech, I.; Gadaleta, C.D.; Scognamillo, G.; Sacco, R.; Sammarco, G.; De Sarro, G.; Russo, E.; Ranieri, G. Targeting mast cells tryptase in tumor microenvironment: A potential antiangiogenetic strategy. Biomed. Res. Int. 2014, 2014, 154702. [Google Scholar] [CrossRef]
- Blair, R.J.; Meng, H.; Marchese, M.J.; Ren, S.; Schwartz, L.B.; Tonnesen, M.G.; Gruber, B.L. Human mast cells stimulate vascular tube formation. Tryptase is a novel, potent angiogenic factor. J. Clin. Investig. 1997, 99, 2691–2700. [Google Scholar] [CrossRef]
- Theoharides, T.C.; Conti, P. Mast cells: The Jekyll and Hyde of tumor growth. Trends Immunol. 2004, 25, 235–241. [Google Scholar] [CrossRef] [PubMed]
- Gambichler, T.; Skrygan, M.; Hyun, J.; Bechara, F.; Tomi, N.S.; Altmeyer, P.; Kreuter, A. Cytokine mRNA expression in basal cell carcinoma. Arch. Dermatol. Res. 2006, 298, 139–141. [Google Scholar] [CrossRef] [PubMed]
- Bruns, S.B.; Hartmann, K. Clinical outcomes of pregnant women with mastocytosis. J. Allergy Clin. Immunol. 2003, 111, S323. [Google Scholar] [CrossRef]
- Ciach, K.; Niedoszytko, M.; Abacjew-Chmylko, A.; Pabin, I.; Adamski, P.; Leszczynska, K.; Preis, K.; Olszewska, H.; Wydra, D.G.; Hansdorfer-Korzon, R. Pregnancy and Delivery in Patients with Mastocytosis Treated at the Polish Center of the European Competence Network on Mastocytosis (ECNM). PLoS ONE 2016, 11, e0146924. [Google Scholar] [CrossRef]
- Worobec, A.S.; Akin, C.; Scott, L.M.; Metcalfe, D.D. Mastocytosis complicating pregnancy. Obs. Gynecol. 2000, 95, 391–395. [Google Scholar] [CrossRef]
- Matito, A.; Alvarez-Twose, I.; Morgado, J.M.; Sanchez-Munoz, L.; Orfao, A.; Escribano, L. Clinical impact of pregnancy in mastocytosis: A study of the Spanish Network on Mastocytosis (REMA) in 45 cases. Int. Arch. Allergy Immunol. 2011, 156, 104–111. [Google Scholar] [CrossRef]
- Zaitsu, M.; Narita, S.; Lambert, K.C.; Grady, J.J.; Estes, D.M.; Curran, E.M.; Brooks, E.G.; Watson, C.S.; Goldblum, R.M.; Midoro-Horiuti, T. Estradiol activates mast cells via a non-genomic estrogen receptor-alpha and calcium influx. Mol. Immunol. 2007, 44, 1977–1985. [Google Scholar] [CrossRef]
- Kirmaz, C.; Yuksel, H.; Mete, N.; Bayrak, P.; Baytur, Y.B. Is the menstrual cycle affecting the skin prick test reactivity? Asian Pac. J. Allergy Immunol. 2004, 22, 197–203. [Google Scholar]
- Vasiadi, M.; Kempuraj, D.; Boucher, W.; Kalogeromitros, D.; Theoharides, T.C. Progesterone inhibits mast cell secretion. Int. J. Immunopathol. Pharm. 2006, 19, 787–794. [Google Scholar] [CrossRef]
- Zierau, O.; Zenclussen, A.C.; Jensen, F. Role of female sex hormones, estradiol and progesterone, in mast cell behavior. Front. Immunol. 2012, 3, 169. [Google Scholar] [CrossRef]
- Hasegawa, G.; Akatsuka, K.; Nakashima, Y.; Yokoe, Y.; Higo, N.; Shimonaka, M. Tamoxifen inhibits the proliferation of non-melanoma skin cancer cells by increasing intracellular calcium concentration. Int. J. Oncol. 2018, 53, 2157–2166. [Google Scholar] [CrossRef] [PubMed]
- Ribeiro, M.P.C.; Santos, A.E.; Custodio, J.B.A. Rethinking tamoxifen in the management of melanoma: New answers for an old question. Eur. J. Pharm. 2015, 764, 372–378. [Google Scholar] [CrossRef] [PubMed]
- Butterfield, J.H.; Chen, D. Response of patients with indolent systemic mastocytosis to tamoxifen citrate. Leuk. Res. 2016, 40, 10–16. [Google Scholar] [CrossRef] [PubMed]
- Hicks, B.M.; Kristensen, K.B.; Pedersen, S.A.; Holmich, L.R.; Pottegard, A. Hormone replacement therapy and the risk of melanoma in post-menopausal women. Hum. Reprod. 2019, 34, 2418–2429. [Google Scholar] [CrossRef]
- Cahoon, E.K.; Kitahara, C.M.; Ntowe, E.; Bowen, E.M.; Doody, M.M.; Alexander, B.H.; Lee, T.; Little, M.P.; Linet, M.S.; Freedman, D.M. Female Estrogen-Related Factors and Incidence of Basal Cell Carcinoma in a Nationwide US Cohort. J. Clin. Oncol. 2015, 33, 4058–4065. [Google Scholar] [CrossRef]
- Birch-Johansen, F.; Jensen, A.; Olesen, A.B.; Christensen, J.; Tjonneland, A.; Kjaer, S.K. Does hormone replacement therapy and use of oral contraceptives increase the risk of non-melanoma skin cancer? Cancer Causes Control. 2012, 23, 379–388. [Google Scholar] [CrossRef]
- Thornton, M.J. The biological actions of estrogens on skin. Exp. Dermatol. 2002, 11, 487–502. [Google Scholar] [CrossRef]
- Stensheim, H.; Cvancarova, M.; Moller, B.; Fossa, S.D. Pregnancy after adolescent and adult cancer: A population-based matched cohort study. Int. J. Cancer 2011, 129, 1225–1236. [Google Scholar] [CrossRef]
- Hermans, M.A.W.; van Daele, P.L.A.; Damman, J.; van Doorn, M.B.A.; Pasmans, S.G.M.A. The prevalence of malignant melanoma in adults with mastocytosis and adnexal skin tumours: A case-control study. Ann. Cancer Epidemiol. 2022, 6, 1. [Google Scholar] [CrossRef]
- ECIS—European Cancer Information System. Available online: https://ecis.jrc.ec.europa.eu (accessed on 19 March 2023).
- Antoniewicz, J.; Nedoszytko, B.; Lange, M.; Wierzbicka, J.; Gorska-Ponikowska, M.; Niedoszytko, M.; Zablotna, M.; Nowicki, R.J.; Zmijewski, M.A. Modulation of dermal equivalent of hypothalamus-pituitary-adrenal axis in mastocytosis. Postep. Dermatol. Alergol. 2021, 38, 461–472. [Google Scholar] [CrossRef]
- Scheau, C.; Draghici, C.; Ilie, M.A.; Lupu, M.; Solomon, I.; Tampa, M.; Georgescu, S.R.; Caruntu, A.; Constantin, C.; Neagu, M.; et al. Neuroendocrine Factors in Melanoma Pathogenesis. Cancers 2021, 13, 2277. [Google Scholar] [CrossRef]
- Slominski, A.; Heasley, D.; Mazurkiewicz, J.E.; Ermak, G.; Baker, J.; Carlson, J.A. Expression of proopiomelanocortin (POMC)-derived melanocyte-stimulating hormone (MSH) and adrenocorticotropic hormone (ACTH) peptides in skin of basal cell carcinoma patients. Hum. Pathol. 1999, 30, 208–215. [Google Scholar] [CrossRef] [PubMed]
- Theoharides, T.C. The impact of psychological stress on mast cells. Ann. Allergy Asthma Immunol. 2020, 125, 388–392. [Google Scholar] [CrossRef] [PubMed]
- Cao, J.; Papadopoulou, N.; Kempuraj, D.; Boucher, W.S.; Sugimoto, K.; Cetrulo, C.L.; Theoharides, T.C. Human mast cells express corticotropin-releasing hormone (CRH) receptors and CRH leads to selective secretion of vascular endothelial growth factor. J. Immunol. 2005, 174, 7665–7675. [Google Scholar] [CrossRef] [PubMed]
- Funasaka, Y.; Sato, H.; Chakraborty, A.K.; Ohashi, A.; Chrousos, G.P.; Ichihashi, M. Expression of proopiomelanocortin, corticotropin-releasing hormone (CRH), and CRH receptor in melanoma cells, nevus cells, and normal human melanocytes. J. Investig. Dermatol. Symp. Proc. 1999, 4, 105–109. [Google Scholar] [CrossRef] [PubMed]
- Yang, Y.; Park, H.; Yang, Y.; Kim, T.S.; Bang, S.I.; Cho, D. Enhancement of cell migration by corticotropin-releasing hormone through ERK1/2 pathway in murine melanoma cell line, B16F10. Exp. Dermatol. 2007, 16, 22–27. [Google Scholar] [CrossRef]
- Slominski, A.; Zbytek, B.; Pisarchik, A.; Slominski, R.M.; Zmijewski, M.A.; Wortsman, J. CRH functions as a growth factor/cytokine in the skin. J. Cell. Physiol. 2006, 206, 780–791. [Google Scholar] [CrossRef]
- Landucci, E.; Laurino, A.; Cinci, L.; Gencarelli, M.; Raimondi, L. Thyroid Hormone, Thyroid Hormone Metabolites and Mast Cells: A Less Explored Issue. Front. Cell. Neurosci. 2019, 13, 79. [Google Scholar] [CrossRef]
- Mancino, G.; Sibilio, A.; Luongo, C.; Di Cicco, E.; Miro, C.; Cicatiello, A.G.; Nappi, A.; Sagliocchi, S.; Ambrosio, R.; De Stefano, M.A.; et al. The Thyroid Hormone Inactivator Enzyme, Type 3 Deiodinase, Is Essential for Coordination of Keratinocyte Growth and Differentiation. Thyroid 2020, 30, 1066–1078. [Google Scholar] [CrossRef]
- Dentice, M.; Luongo, C.; Huang, S.; Ambrosio, R.; Elefante, A.; Mirebeau-Prunier, D.; Zavacki, A.M.; Fenzi, G.; Grachtchouk, M.; Hutchin, M.; et al. Sonic hedgehog-induced type 3 deiodinase blocks thyroid hormone action enhancing proliferation of normal and malignant keratinocytes. Proc. Natl. Acad. Sci. USA 2007, 104, 14466–14471. [Google Scholar] [CrossRef]
- Csaba, G.; Pallinger, E. Is there a possibility of intrasystem regulation by hormones produced by the immune cells? Experiments with extremely low concentrations of histamine. Acta Physiol. Hung. 2009, 96, 369–374. [Google Scholar] [CrossRef] [PubMed]
- Csaba, G.; Pallinger, E. Thyrotropic hormone (TSH) regulation of triiodothyronine (T(3)) concentration in immune cells. Inflamm. Res. 2009, 58, 151–154. [Google Scholar] [CrossRef] [PubMed]
- Miro, C.; Di Cicco, E.; Ambrosio, R.; Mancino, G.; Di Girolamo, D.; Cicatiello, A.G.; Sagliocchi, S.; Nappi, A.; De Stefano, M.A.; Luongo, C.; et al. Thyroid hormone induces progression and invasiveness of squamous cell carcinomas by promoting a ZEB-1/E-cadherin switch. Nat. Commun. 2019, 10, 5410. [Google Scholar] [CrossRef] [PubMed]
- Ellerhorst, J.A.; Sendi-Naderi, A.; Johnson, M.K.; Cooke, C.P.; Dang, S.M.; Diwan, A.H. Human melanoma cells express functional receptors for thyroid-stimulating hormone. Endocr. Relat. Cancer 2006, 13, 1269–1277. [Google Scholar] [CrossRef] [PubMed]
- Shah, M.; Orengo, I.F.; Rosen, T. High prevalence of hypothyroidism in male patients with cutaneous melanoma. Dermatol. Online J. 2006, 12, 1. [Google Scholar] [CrossRef]
- Fabian, I.D.; Rosner, M.; Fabian, I.; Vishnevskia-Dai, V.; Zloto, O.; Shinderman Maman, E.; Cohen, K.; Ellis, M.; Lin, H.Y.; Hercbergs, A.; et al. Low thyroid hormone levels improve survival in murine model for ocular melanoma. Oncotarget 2015, 6, 11038–11046. [Google Scholar] [CrossRef]
- Maintz, L.; Wardelmann, E.; Walgenbach, K.; Fimmers, R.; Bieber, T.; Raap, U.; Novak, N. Neuropeptide blood levels correlate with mast cell load in patients with mastocytosis. Allergy 2011, 66, 862–869. [Google Scholar] [CrossRef]
- Munoz, M.; Rosso, M.; Robles-Frias, M.J.; Salinas-Martin, M.V.; Rosso, R.; Gonzalez-Ortega, A.; Covenas, R. The NK-1 receptor is expressed in human melanoma and is involved in the antitumor action of the NK-1 receptor antagonist aprepitant on melanoma cell lines. Lab. Investig. 2010, 90, 1259–1269. [Google Scholar] [CrossRef]
- Kwiatkowska, D.; Reich, A. Role of Mast Cells in the Pathogenesis of Pruritus in Mastocytosis. Acta Dermatol. Venereol. 2021, 101, adv00583. [Google Scholar] [CrossRef]
- Roggenkamp, D.; Kopnick, S.; Stab, F.; Wenck, H.; Schmelz, M.; Neufang, G. Epidermal nerve fibers modulate keratinocyte growth via neuropeptide signaling in an innervated skin model. J. Investig. Dermatol. 2013, 133, 1620–1628. [Google Scholar] [CrossRef]
- Hosoi, J.; Murphy, G.F.; Egan, C.L.; Lerner, E.A.; Grabbe, S.; Asahina, A.; Granstein, R.D. Regulation of Langerhans cell function by nerves containing calcitonin gene-related peptide. Nature 1993, 363, 159–163. [Google Scholar] [CrossRef] [PubMed]
- Niizeki, H.; Alard, P.; Streilein, J.W. Calcitonin gene-related peptide is necessary for ultraviolet B-impaired induction of contact hypersensitivity. J. Immunol. 1997, 159, 5183–5186. [Google Scholar] [CrossRef] [PubMed]
- Akiyama, M. A clinical and histological study of urticaria pigmentosa: Relationships between mast cell proliferation and the clinical and histological manifestations. J. Dermatol. 1990, 17, 347–355. [Google Scholar] [CrossRef]
- Zhou, J.; Feng, J.Y.; Wang, Q.; Shang, J. Calcitonin gene-related peptide cooperates with substance P to inhibit melanogenesis and induces apoptosis of B16F10 cells. Cytokine 2015, 74, 137–144. [Google Scholar] [CrossRef] [PubMed]
- Balood, M.; Ahmadi, M.; Eichwald, T.; Ahmadi, A.; Majdoubi, A.; Roversi, K.; Roversi, K.; Lucido, C.T.; Restaino, A.C.; Huang, S.; et al. Nociceptor neurons affect cancer immunosurveillance. Nature 2022, 611, 405–412. [Google Scholar] [CrossRef] [PubMed]
- Zhang, Y.; Lin, C.; Wang, X.; Ji, T. Calcitonin gene-related peptide: A promising bridge between cancer development and cancer-associated pain in oral squamous cell carcinoma. Oncol. Lett. 2020, 20, 253. [Google Scholar] [CrossRef] [PubMed]
- Seiffert, K.; Granstein, R.D. Neuropeptides and neuroendocrine hormones in ultraviolet radiation-induced immunosuppression. Methods 2002, 28, 97–103. [Google Scholar] [CrossRef]
- Sarasola, M.P.; Taquez Delgado, M.A.; Nicoud, M.B.; Medina, V.A. Histamine in cancer immunology and immunotherapy. Current status and new perspectives. Pharm. Res. Perspect. 2021, 9, e00778. [Google Scholar] [CrossRef]
- Theoharides, T.C. Neuroendocrinology of mast cells: Challenges and controversies. Exp. Dermatol. 2017, 26, 751–759. [Google Scholar] [CrossRef]
- Fell, G.L.; Robinson, K.C.; Mao, J.; Woolf, C.J.; Fisher, D.E. Skin beta-endorphin mediates addiction to UV light. Cell 2014, 157, 1527–1534. [Google Scholar] [CrossRef]
- Giannetti, M.P. Treatment of systemic mastocytosis: Novel and emerging therapies. Ann. Allergy Asthma Immunol. 2021, 127, 412–419. [Google Scholar] [CrossRef] [PubMed]
- Siebenhaar, F.; Akin, C.; Bindslev-Jensen, C.; Maurer, M.; Broesby-Olsen, S. Treatment strategies in mastocytosis. Immunol. Allergy Clin. N. Am. 2014, 34, 433–447. [Google Scholar] [CrossRef] [PubMed]
- Archier, E.; Devaux, S.; Castela, E.; Gallini, A.; Aubin, F.; Le Maitre, M.; Aractingi, S.; Bachelez, H.; Cribier, B.; Joly, P.; et al. Carcinogenic risks of psoralen UV-A therapy and narrowband UV-B therapy in chronic plaque psoriasis: A systematic literature review. J. Eur. Acad. Dermatol. Venereol. 2012, 26 (Suppl. S3), 22–31. [Google Scholar] [CrossRef] [PubMed]
- Stern, R.S.; Study, P.F.u. The risk of melanoma in association with long-term exposure to PUVA. J. Am. Acad. Dermatol. 2001, 44, 755–761. [Google Scholar] [CrossRef] [PubMed]
- Vella Briffa, D.; Eady, R.A.; James, M.P.; Gatti, S.; Bleehen, S.S. Photochemotherapy (PUVA) in the treatment of urticaria pigmentosa. Br. J. Dermatol. 1983, 109, 67–75. [Google Scholar] [CrossRef]
- Cimpean, A.M.; Raica, M. The Hidden Side of Disodium Cromolyn: From Mast Cell Stabilizer to an Angiogenic Factor and Antitumor Agent. Arch. Immunol. Ther. Exp. 2016, 64, 515–522. [Google Scholar] [CrossRef]
- Homicsko, K.; Richtig, G.; Tuchmann, F.; Tsourti, Z.; Hanahan, D.; Coukos, G.; Wind-Rotolo, M.; Richtig, E.; Zygoura, P.; Holler, C.; et al. Proton pump inhibitors negatively impact survival of PD-1 inhibitor based therapies in metastatic melanoma patients. Ann. Oncol. 2018, 29, x40. [Google Scholar] [CrossRef]
- Berge, L.A.M.; Andreassen, B.K.; Stenehjem, J.S.; Heir, T.; Karlstad, O.; Juzeniene, A.; Ghiasvand, R.; Larsen, I.K.; Green, A.C.; Veierod, M.B.; et al. Use of Immunomodulating Drugs and Risk of Cutaneous Melanoma: A Nationwide Nested Case-Control Study. Clin. Epidemiol. 2020, 12, 1389–1401. [Google Scholar] [CrossRef]
- Karagas, M.R.; Cushing, G.L., Jr.; Greenberg, E.R.; Mott, L.A.; Spencer, S.K.; Nierenberg, D.W. Non-melanoma skin cancers and glucocorticoid therapy. Br. J. Cancer 2001, 85, 683–686. [Google Scholar] [CrossRef]
- Sorensen, H.T.; Mellemkjaer, L.; Nielsen, G.L.; Baron, J.A.; Olsen, J.H.; Karagas, M.R. Skin cancers and non-hodgkin lymphoma among users of systemic glucocorticoids: A population-based cohort study. J. Natl. Cancer Inst. 2004, 96, 709–711. [Google Scholar] [CrossRef]
- Raone, B.; Patrizi, A.; Gurioli, C.; Gazzola, A.; Ravaioli, G.M. Cutaneous carcinogenic risk evaluation in 375 patients treated with narrowband-UVB phototherapy: A 15-year experience from our Institute. Photodermatol. Photoimmunol. Photomed. 2018, 34, 302–306. [Google Scholar] [CrossRef] [PubMed]
- Stern, R.S.; Study, P.F.-U. The risk of squamous cell and basal cell cancer associated with psoralen and ultraviolet A therapy: A 30-year prospective study. J. Am. Acad. Dermatol. 2012, 66, 553–562. [Google Scholar] [CrossRef] [PubMed]
- Lebrun-Frenay, C.; Berestjuk, I.; Cohen, M.; Tartare-Deckert, S. Effects on Melanoma Cell Lines Suggest No Significant Risk of Melanoma Under Cladribine Treatment. Neurol. Ther. 2020, 9, 599–604. [Google Scholar] [CrossRef] [PubMed]
- Di Trolio, R.; Simeone, E.; Di Lorenzo, G.; Buonerba, C.; Ascierto, P.A. The use of interferon in melanoma patients: A systematic review. Cytokine Growth Factor. Rev. 2015, 26, 203–212. [Google Scholar] [CrossRef]
- Wei, X.; Mao, L.; Chi, Z.; Sheng, X.; Cui, C.; Kong, Y.; Dai, J.; Wang, X.; Li, S.; Tang, B.; et al. Efficacy Evaluation of Imatinib for the Treatment of Melanoma: Evidence From a Retrospective Study. Oncol. Res. 2019, 27, 495–501. [Google Scholar] [CrossRef]
- Giuliano, A.; Dobson, J. Prospective clinical trial of masitinib mesylate treatment for advanced stage III and IV canine malignant melanoma. J. Small Anim. Pract. 2020, 61, 190–194. [Google Scholar] [CrossRef]
- Millward, M.J.; House, C.; Bowtell, D.; Webster, L.; Olver, I.N.; Gore, M.; Copeman, M.; Lynch, K.; Yap, A.; Wang, Y.; et al. The multikinase inhibitor midostaurin (PKC412A) lacks activity in metastatic melanoma: A phase IIA clinical and biologic study. Br. J. Cancer 2006, 95, 829–834. [Google Scholar] [CrossRef]
- Ragnarsson-Olding, B.; Djureen-Martensson, E.; Mansson-Brahme, E.; Hansson, J. Loco-regional control of cutaneous metastases of malignant melanoma by treatment with miltefosine (Miltex). Acta Oncol. 2005, 44, 773–777. [Google Scholar] [CrossRef]
- Dinnes, J.; Deeks, J.J.; Chuchu, N.; Ferrante di Ruffano, L.; Matin, R.N.; Thomson, D.R.; Wong, K.Y.; Aldridge, R.B.; Abbott, R.; Fawzy, M.; et al. Dermoscopy, with and without visual inspection, for diagnosing melanoma in adults. Cochrane Database Syst. Rev. 2018, 12, CD011902. [Google Scholar] [CrossRef]
- Slawinska, M.; Kaszuba, A.; Lange, M.; Nowicki, R.J.; Sobjanek, M.; Errichetti, E. Dermoscopic Features of Different Forms of Cutaneous Mastocytosis: A Systematic Review. J. Clin. Med. 2022, 11, 4649. [Google Scholar] [CrossRef]
- Bocca-Tjeertes, I.F.A.; van de Ven, A.; Koppelman, G.H.; Sprikkelman, A.B.; Oude Elberink, H. Medical algorithm: Peri-operative management of mastocytosis patients. Allergy 2021, 76, 3233–3235. [Google Scholar] [CrossRef] [PubMed]
- Kacar, M.; Rijavec, M.; Selb, J.; Korosec, P. Clonal mast cell disorders and hereditary alpha-tryptasemia as risk factors for anaphylaxis. Clin. Exp. Allergy 2023, 53, 392–404. [Google Scholar] [CrossRef] [PubMed]




| First Author, Journal, Year of Publication | Patient’s Age/Gender | Ethnicity | Mastocytosis Variant | Tryptase Concentration [ng/mL] | Diagnosis/Breslow Depth [mm] | Tumor Location | Mastocytes in the Same Histopathological Sample | History of Phototherapy | Additional Information |
|---|---|---|---|---|---|---|---|---|---|
| Todd, Clin Exp Dermatol, 1991, [4] | 71/F | Caucasian | UP (since 35 yo) SM (since 55 yo) | NR | Malignant melanoma (Ulcerated, vertical growth phase predominant with superficial spreading element); 5.6 | right axilla | peripheral mastocytes | no | no family history of melanoma; no childhood sunburns; no dysplastic nevi; died 2 years after diagnosis of melanoma |
| Wallenfang, Der Hautarzt, 2001, [16] | 39/F | NR | UP | NR | Nodular melanoma; 1.9 | right thigh | yes | ||
| Kowalzic, J Dtsch Dermatol Ges, 2009, [34] | 62/F | NR | TMEP | 6.04 | Superficial spreading melanoma (in pre existing nevus); 0.65 | left forearm | mastocytes infiltrating melanoma | no | obesity |
| Donati, J Dermatol Case Rep, 2014 [29] | 38/F | Caucasian | UP | NR | superficial spreading melanoma; 0.5 | left arm | mastocytes with perivascular infiltration in the papillary and reticular dermis | no | eruptive melanocytic nevi |
| Hagglund, Acta Derm Venereol, 2014, [3] | 40/F | NR | SM + UP | 70.0 | Metastatic melanoma in lymph node, unknown primary origin; - | NR | no | ||
| 45/M | NR | SM + UP | 36.0 | Nodular melanoma; 1.4 | NR | no | |||
| 20/F | NR | SM + UP | 62.0 | Malignant melanoma: NR | NR | no | |||
| 63/F | NR | SM | 190.0 | Malignant melanoma not otherwise specified, 0.4 | NR | no | |||
| Ruini, Der Hautarzt, 2018, [30] | 49/M | NR | UP/SM? Unknown (due to bone marrow involvement of melanoma) | 16.4 | Superficial spreading melanoma; 0.55 (primary or skin metastasis) | left groin | no | Died 10 weeks after diagnosis of melanoma | |
| Capo, Clin Exp Dermatol, 2018, [31] | 62/M | Caucasian | UP | NR | Superficial spreading melanoma; 0.45 | NR | no | Simultaneous diagnosis UP and melanoma | |
| Akdogan, J Cosmet Dermatol, 2020, [32] | 51/M | NR | UP | 35.6 | Superficial spreading melanoma; 0.7 | right arm | no | ||
| Rydberg, Int J Dermatol, 2020, [33] | 50/F | Caucasian | TMEP | 29.4 | Metastatic melanoma; unknown primary origin | right arm | no | previous history of melanoma | |
| 54/F | Caucasian | TMEP | 11.0 | Superficial spreading melanoma; 0.1 | right arm | no | Melanoma diagnosis in patient’s father | ||
| Superficial spreading melanoma: 0.2 | right ankle |
| Mastocytosis Treatment Method | Cutaneous Melanoma Risk | Basal Cell Carcinoma Risk | Cutaneous Squamous Cell Carcinoma Risk |
|---|---|---|---|
| H1-antihistamines | desloratadine, loratadine, and fexofenadine improve survival in cutaneous malignant melanoma [69] | NR | NR |
| H2-antihistamines | clemastine and possibly cetirizine could potentially worsen survival in cutaneous malignant melanoma [69] | ||
| antileukotrienes | NR | NR | NR |
| disodium cromoglycate | induces melanoma cells necrosis [128] improves the efficacy of PD-1 immunotherapy in vivo [67] | NR | NR |
| inhibitors of the proton pump | reduce the survival of patients treated with ipilimumab and nivolumab but not with ipilimumab alone [129] | NR | NR |
| systemic glucocorticosteroids | no influence [130] | increased risk [131,132] | increased risk [131,132] |
| phototherapy (UVA1, narrow-band UVB, PUVA) | increased risk [125,126] | increased risk [133] | increased risk [134] |
| omalizumab | NR | NR | NR |
| cytoreductive therapy with cladribine (2-chlorodeoxyadenosine—2-CdA) | there is no significant risk of malignant melanoma [135] | NR | NR |
| interferon-α | adjuvant therapy in patients with melanoma at high risk of recurrence after surgical resection [136] | BCC treatment option | SCC treatment option |
| imatinib | melanoma treatment with KIT amplifications and/or mutations (no response in KIT D816V mutation) [137] | NR | NR |
| masitinib | no effectiveness in prospective clinical trial [138] | NR | NR |
| midostaurin | midostaurin did not show clinical or biologic activity against metastatic melanoma [139] | NR | NR |
| miltefosine | Miltefosine caused a specific topical regression of the cutaneous metastases of the aggressive melanoma in one patient [140] | NR | NR |
Disclaimer/Publisher’s Note: The statements, opinions and data contained in all publications are solely those of the individual author(s) and contributor(s) and not of MDPI and/or the editor(s). MDPI and/or the editor(s) disclaim responsibility for any injury to people or property resulting from any ideas, methods, instructions or products referred to in the content. |
© 2023 by the authors. Licensee MDPI, Basel, Switzerland. This article is an open access article distributed under the terms and conditions of the Creative Commons Attribution (CC BY) license (https://creativecommons.org/licenses/by/4.0/).
Share and Cite
Kaszuba, A.; Sławińska, M.; Żółkiewicz, J.; Sobjanek, M.; Nowicki, R.J.; Lange, M. Mastocytosis and Skin Cancer: The Current State of Knowledge. Int. J. Mol. Sci. 2023, 24, 9840. https://doi.org/10.3390/ijms24129840
Kaszuba A, Sławińska M, Żółkiewicz J, Sobjanek M, Nowicki RJ, Lange M. Mastocytosis and Skin Cancer: The Current State of Knowledge. International Journal of Molecular Sciences. 2023; 24(12):9840. https://doi.org/10.3390/ijms24129840
Chicago/Turabian StyleKaszuba, Agnieszka, Martyna Sławińska, Jakub Żółkiewicz, Michał Sobjanek, Roman J. Nowicki, and Magdalena Lange. 2023. "Mastocytosis and Skin Cancer: The Current State of Knowledge" International Journal of Molecular Sciences 24, no. 12: 9840. https://doi.org/10.3390/ijms24129840
APA StyleKaszuba, A., Sławińska, M., Żółkiewicz, J., Sobjanek, M., Nowicki, R. J., & Lange, M. (2023). Mastocytosis and Skin Cancer: The Current State of Knowledge. International Journal of Molecular Sciences, 24(12), 9840. https://doi.org/10.3390/ijms24129840

