Characterization of Two Highly Arsenic-Resistant Caulobacteraceae Strains of Brevundimonas nasdae: Discovery of a New Arsenic Resistance Determinant
Abstract
:1. Introduction
2. Results
2.1. The Soil Sample from the Zijin Gold and Copper Mine Contained Heavy Metals and Metalloids at Very High Concentrations
2.2. Eight Highly Arsenite-Resistant Strains Were Isolated and Identified
2.3. High Arsenic Resistance and Heavy-Metal Resistance Were Determined in B. nasdae Strains Au-Bre29 and Au-Bre30
2.4. The Growth Conditions for B. nasdae Strains Au-Bre29 and Au-Bre30 could Be Optimized
2.5. Genome Analysis of B. nasdae Strains Au-Bre29 and Au-Bre30
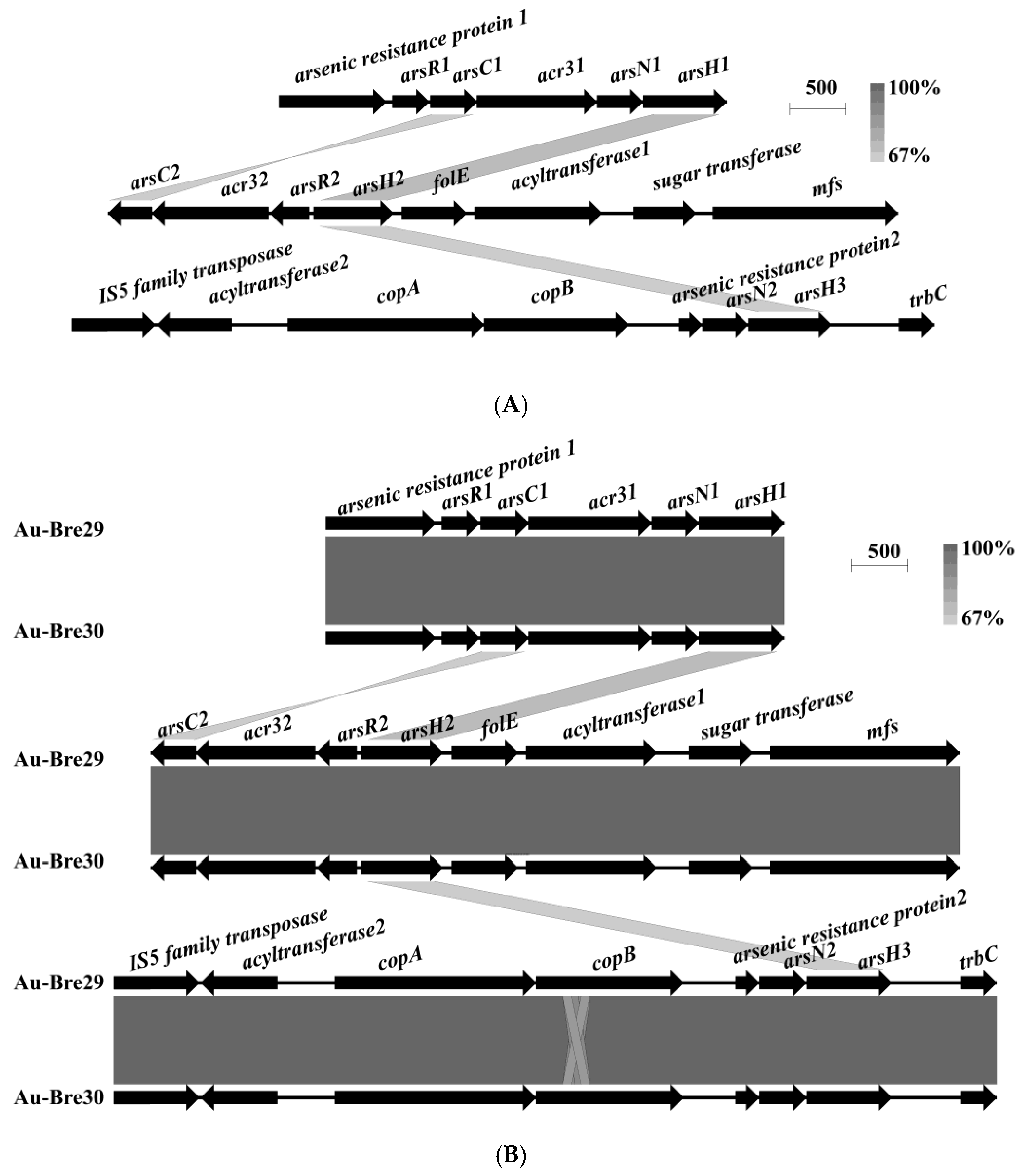
2.6. ars Operons in B. nasdae Strains Au-Bre29 and Au-Bre30 Are Highly Similar
2.7. Heterologous Expression of folE Confers Resistance to As(III), As(V), Rox(III), Rox(V), Sb(III), and Sb(V)
3. Discussion
4. Materials and Methods
4.1. Strain Isolation
4.2. Heavy-Metal Concentration Measurements of the Sampled Soil
4.3. Strain Characterization
4.3.1. Determination of Minimum Inhibitory Concentration (MIC) of Metal(loid)s on R2A Plates
4.3.2. Molecular Identification of Isolates
4.3.3. Determination of Optimal Growth Conditions of B. nasdae Au-Bre29 and Au-Bre30
4.3.4. Nanopore Sequencing, Annotation, and Assembly
4.4. Identification of Putative ars Genes
4.4.1. Plasmids, Bacterial Strains, and Growth Conditions
4.4.2. Metal(loid)s Resistance Analysis
5. Conclusions
Supplementary Materials
Author Contributions
Funding
Conflicts of Interest
References
- Brammer, H.; Ravenscroft, P. Arsenic in groundwater: A threat to sustainable agriculture in South and South-east Asia. Environ. Int. 2009, 35, 647–654. [Google Scholar] [CrossRef] [PubMed]
- Tseng, C.H.; Tseng, C.P.; Chiou, H.Y.; Hsueh, Y.M.; Chong, C.K.; Chen, C.-J. Epidemiologic evidence of diabetogenic effect of arsenic. Toxicol. Lett. 2002, 133, 69–76. [Google Scholar] [CrossRef]
- Chen, C.J.; Chen, C.; Wu, M.; Kuo, T. Cancer potential in liver, lung, bladder and kidney due to ingested inorganic arsenic in drinking water. Br. J. Cancer 1992, 66, 888–892. [Google Scholar] [CrossRef] [PubMed] [Green Version]
- Zhu, Y.G.; Yoshinaga, M.; Zhao, F.J.; Rosen, B.P. Earth Abides Arsenic Biotransformations. Annu. Rev. Earth Planet. Sci. 2014, 42, 443–467. [Google Scholar] [CrossRef] [PubMed] [Green Version]
- Stolz, J.F.; Basu, P.; Santini, J.M.; Oremland, R.S. Arsenic and selenium in microbial metabolism. Annu. Rev. Microbiol. 2006, 60, 107–130. [Google Scholar] [CrossRef] [PubMed] [Green Version]
- Nies, D.H. Microbial heavy-metal resistance. Appl. Microbiol. Biotechnol. 1999, 51, 730–750. [Google Scholar] [CrossRef]
- Chen, B. Antimony in the environment: A review focused on natural waters: I. Occurrence. Earth Sci. Rev. 2002, 57, 125–176. [Google Scholar]
- Chen, J.; Rosen, B.P. The Arsenic Methylation Cycle: How Microbial Communities Adapted Methylarsenicals for Use as Weapons in the Continuing War for Dominance. Front. Environ. Sci. 2020, 8, 43. [Google Scholar] [CrossRef] [Green Version]
- Li, J.; Wang, Q.; Oremland, R.S.; Kulp, T.R.; Rensing, C.; Wang, G. Microbial Antimony Biogeochemistry: Enzymes, Regulation, and Related Metabolic Pathways. Appl. Environ. Microbiol. 2016, 82, 5482–5495. [Google Scholar] [CrossRef] [Green Version]
- Yang, H.C.; Fu, H.L.; Lin, Y.F.; Rosen, B.P. Pathways of arsenic uptake and efflux. Curr. Top. Membr. 2012, 69, 325–358. [Google Scholar]
- Giovannoni, S.J.; Halsey, K.H.; Saw, J.; Muslin, O.; Suffridge, C.P.; Sun, J.; Lee, C.P.; Moore, E.R.; Temperton, B.; Noell, S.E. A Parasitic Arsenic Cycle That Shuttles Energy from Phytoplankton to Heterotrophic Bacterioplankton. Mbio 2019, 10, e00246-19. [Google Scholar] [CrossRef] [PubMed] [Green Version]
- Chen, J.; Zhang, J.; Rosen, B.P. Role of ArsEFG in Roxarsone and Nitarsone Detoxification and Resistance. Environ. Sci. Technol. 2019, 53, 6182–6191. [Google Scholar] [CrossRef] [PubMed]
- Galván, A.E.; Paul, N.P.; Chen, J.; Yoshinaga-Sakurai, K.; Utturkar, S.M.; Rosen, B.P.; Yoshinaga, M. Identification of the Biosynthetic Gene Cluster for the Organoarsenical Antibiotic Arsinothricin. Microbiol. Spectr. 2021, 9, e00502-21. [Google Scholar] [CrossRef] [PubMed]
- Chen, J.; Zhang, J.; Wu, Y.F.; Zhao, F.J.; Rosen, B.P. ArsV and ArsW provide synergistic resistance to the antibiotic methylarsenite. Environ. Microbiol. 2021, 23, 7550–7562. [Google Scholar] [CrossRef]
- Qin, J.; Rosen, B.P.; Zhang, Y.; Wang, G.; Franke, S.; Rensing, C. Arsenic detoxification and evolution of trimethylarsine gas by a microbial arsenite S-adenosylmethionine methyltransferase. Proc. Natl. Acad. Sci. USA 2006, 103, 2075–2080. [Google Scholar] [CrossRef] [Green Version]
- Chauhan, N.S.; Ranjan, R.; Purohit, H.J.; Kalia, V.C.; Sharma, R. Identification of genes conferring arsenic resistance to Escherichia coli from an effluent treatment plant sludge metagenomic library. FEMS Microbiol. Ecol. 2009, 67, 130–139. [Google Scholar] [CrossRef]
- Chen, J.; Zhang, J.; Rosen, B.P. Organoarsenical tolerance in Sphingobacterium wenxiniae, a bacterium isolated from activated sludge. Environ. Microbiol. 2022, 24, 762–771. [Google Scholar] [CrossRef]
- Chen, J.; Bhattacharjee, H.; Rosen, B.P. ArsH is an organoarsenical oxidase that confers resistance to trivalent forms of the herbicide monosodium methylarsenate and the poultry growth promoter roxarsone. Mol. Microbiol. 2015, 96, 1042–1052. [Google Scholar] [CrossRef] [Green Version]
- Chen, J.; Yoshinaga, M.; Garbinski, L.D.; Rosen, B.P. Synergistic interaction of glyceraldehydes-3-phosphate dehydrogenase and ArsJ, a novel organoarsenical efflux permease, confers arsenate resistance. Mol. Microbiol. 2016, 100, 945–953. [Google Scholar] [CrossRef] [Green Version]
- Shi, K.; Li, C.; Rensing, C.; Dai, X.; Fan, X.; Wang, G. Efflux Transporter ArsK Is Responsible for Bacterial Resistance to Arsenite, Antimonite, Trivalent Roxarsone, and Methylarsenite. Appl. Environ. Microbiol. 2018, 84, e01842-18. [Google Scholar] [CrossRef] [Green Version]
- Chen, J.; Madegowda, M.; Bhattacharjee, H.; Rosen, B.P. ArsP: A methylarsenite efflux permease. Mol. Microbiol. 2015, 98, 625–635. [Google Scholar] [CrossRef] [PubMed] [Green Version]
- Mukhopadhyay, R.; Rosen, B.P. Arsenate reductases in prokaryotes and eukaryotes. Environ. Health Perspect. 2002, 110, 745–748. [Google Scholar] [CrossRef] [PubMed] [Green Version]
- Lopez-Maury, L.; Sanchez-Riego, A.M.; Reyes, J.C.; Florencio, F.J. The glutathione/glutaredoxin system is essential for arsenate reduction in Synechocystis sp. strain PCC 6803. J. Bacteriol. 2009, 191, 3534–3543. [Google Scholar] [CrossRef] [PubMed] [Green Version]
- Wang, L.; Chen, S.; Xiao, X.; Huang, X.; You, D.; Zhou, X.; Deng, Z. arsRBOCT arsenic resistance system encoded by linear plasmid pHZ227 in Streptomyces sp. strain FR-008. Appl. Environ. Microbiol. 2006, 72, 3738–3742. [Google Scholar] [CrossRef] [PubMed] [Green Version]
- Kim, E.; Yang, S.M.; Kim, D.; Kim, H.Y. Complete Genome Sequencing and Comparative Genomics of Three Potential Probiotic Strains, Lacticaseibacillus casei FBL6, Lacticaseibacillus chiayiensis FBL7, and Lacticaseibacillus zeae FBL8. Front. Microbiol. 2022, 12, 794315. [Google Scholar] [CrossRef] [PubMed]
- Su, J. Isolation, Identification and Arsenic Resistant Mechanism Analysis of an Arsenic Tolerant Bacteria Paenibacillus taichungensis NC1 (In Chinese). Master Thesis, Fujian Agriculture and Forestry University, Fuzhou, China, 2020. [Google Scholar]
- Moe, B.; Peng, H.; Lu, X.; Chen, B.; Chen, L.W.L.; Gabos, S.; Li, X.F.; Le, X.C. Comparative cytotoxicity of fourteen trivalent and pentavalent arsenic species determined using real-time cell sensing. J. Environ. Sci. 2016, 49, 113–124. [Google Scholar] [CrossRef]
- Wilson, S.C.; Lockwood, P.V.; Ashley, P.M.; Tighe, M. The chemistry and behaviour of antimony in the soil environment with comparisons to arsenic: A critical review. Environ. Pollut. 2010, 158, 1169–1181. [Google Scholar] [CrossRef]
- Paez-Espino, A.D.; Nikel, P.I.; Chavarria, M.; de Lorenzo, V. ArsH protects Pseudomonas putida from oxidative damage caused by exposure to arsenic. Environ. Microbiol. 2020, 22, 2230–2242. [Google Scholar] [CrossRef]
- Gu, J.; Yao, J.; Duran, R.; Sunahara, G. Comprehensive genomic and proteomic profiling reveal Acinetobacter johnsonii JH7 responses to Sb(III) toxicity. Sci. Total Environ. 2020, 748, 141174. [Google Scholar] [CrossRef]
- Rong, Q.; Ling, C.; Lu, D.; Zhang, C.; Zhao, H.; Zhong, K.; Nong, X.; Qin, X. Sb(III) resistance mechanism and oxidation characteristics of Klebsiella aerogenes X. Chemosphere 2022, 293, 133453. [Google Scholar] [CrossRef]
- Maier, J.; Witter, K.; Gutlich, M.; Ziegler, I.; Werner, T.; Ninnemann, H. Homology cloning of GTP-cyclohydrolase I from various unrelated eukaryotes by reverse-transcription polymerase chain reaction using a general set of degenerate primers. Biochem. Biophys. Res. Commun. 1995, 212, 705–711. [Google Scholar] [CrossRef] [PubMed]
- Maita, N.; Hatakeyama, K.; Okada, K.; Hakoshima, T. Structural basis of biopterin-induced inhibition of GTP cyclohydrolase I by GFRP, its feedback regulatory protein. J. Biol. Chem. 2004, 279, 51534–51540. [Google Scholar] [CrossRef] [PubMed] [Green Version]
- Auerbach, G.; Herrmann, A.; Bracher, A.; Bader, G.; Gutlich, M.; Fischer, M.; Neukamm, M.; Garrido-Franco, M.; Richardson, J.; Nar, H. Zinc plays a key role in human and bacterial GTP cyclohydrolase I. Proc. Natl. Acad. Sci. USA 2000, 97, 13567–13572. [Google Scholar] [CrossRef] [PubMed] [Green Version]
- Basset, G.; Quinlivan, E.P.; Gregory, J.F.; Hanson, A.D. Folate synthesis and metabolism in plants and prospects for biofortification. Crop Sci. 2005, 45, 449–453. [Google Scholar] [CrossRef] [Green Version]
- Kile, M.L.; Ronnenberg, A.G. Can folate intake reduce arsenic toxicity? Nutr. Rev. 2008, 66, 349–353. [Google Scholar] [CrossRef]
- Bozack, A.K.; Hall, M.N.; Liu, X.; Ilievski, V.; Lomax-Luu, A.M.; Parvez, F.; Siddique, A.B.; Shahriar, H.; Uddin, M.N.; Islam, T. Folic acid supplementation enhances arsenic methylation: Results from a folic acid and creatine supplementation randomized controlled trial in Bangladesh. Am. J. Clin. Nutr. 2019, 109, 380–391. [Google Scholar] [CrossRef]
- Hossain, T.; Rosenberg, I.; Selhub, J.; Kishore, G.; Beachy, R.; Schubert, K. Enhancement of folates in plants through metabolic engineering. Proc. Natl. Acad. Sci. USA 2004, 101, 5158–5163. [Google Scholar] [CrossRef] [Green Version]
- Sybesma, W.; Starrenburg, M.; Kleerebezem, M.; Mierau, I.; de Vos, W.M.; Hugenholtz, J. Increased production of folate by metabolic engineering of Lactococcus lactis. Appl. Environ. Microbiol. 2003, 69, 3069–3076. [Google Scholar] [CrossRef] [Green Version]
- Mansour, N.M.; Sawhney, M.; Tamang, D.G.; Vogl, C.; Saier, M.H., Jr. The bile/arsenite/riboflavin transporter (BART) superfamily. FEBS J. 2007, 274, 612–629. [Google Scholar] [CrossRef] [Green Version]
- Fu, H.L.; Meng, Y.; Ordonez, E.; Villadangos, A.F.; Bhattacharjee, H.; Gil, J.A.; Mateos, L.M.; Rosen, B.P. Properties of arsenite efflux permeases (Acr3) from Alkaliphilus metalliredigens and Corynebacterium glutamicum. J. Biol. Chem. 2009, 284, 19887–19895. [Google Scholar] [CrossRef] [Green Version]
- Wysocki, R.; Bobrowicz, P.; Ulaszewski, S. The Saccharomyces cerevisiae ACR3 gene encodes a putative membrane protein involved in arsenite transport. J. Biol. Chem. 1997, 272, 30061–30066. [Google Scholar] [CrossRef] [PubMed] [Green Version]
- Garbinski, L.D.; Rosen, B.P.; Chen, J. Pathways of arsenic uptake and efflux. Environ. Int. 2019, 126, 585–597. [Google Scholar] [CrossRef] [PubMed]
- Lopéz, Y.P.; da Fonseca Breda, F.A.; Lima, E.S.A.; da Costa Barros de Souza, C.; González, J.M.F.; do Amaral Sobrinho, N.M.B. Variability factors of heavy metals in soils and transfer to pasture plants of Mayabeque in Cuba. Environ. Monit. Assess. 2021, 193, 245. [Google Scholar] [CrossRef] [PubMed]
- Yu, J.; Zhou, X.F.; Yang, S.J.; Liu, W.H.; Hu, X.F. Design and application of specific 16S rDNA-targeted primers for assessing endophytic diversity in Dendrobium officinale using nested PCR-DGGE. Appl. Microbiol. Biotechnol. 2013, 97, 9825–9836. [Google Scholar] [CrossRef]
- Kumar, S.; Nei, M.; Dudley, J.; Tamura, K. MEGA: A biologist-centric software for evolutionary analysis of DNA and protein sequences. Brief. Bioinform. 2008, 9, 299–306. [Google Scholar] [CrossRef] [PubMed] [Green Version]
- Yuan, Z.; Ruan, J.; Li, Y.; Qiu, R. A new model for simulating microbial cyanide production and optimizing the medium parameters for recovering precious metals from waste printed circuit boards. J. Hazard. Mater. 2018, 353, 135–141. [Google Scholar] [CrossRef] [PubMed]
- Wang, K.; Li, Y.; Wu, Y.; Qiu, Z.; Ding, Z.; Wang, X.; Chen, W.; Wang, R.; Fu, F.; Rensing, C.; et al. Improved grain yield and lowered arsenic accumulation in rice plants by inoculation with arsenite-oxidizing Achromobacter xylosoxidans GD03. Ecotoxicol. Environ. Saf. 2020, 206, 111229. [Google Scholar] [CrossRef]
- Beringer, J.E. R factor transfer in Rhizobium leguminosarum. J. Gen. Microbiol. 1974, 84, 188–198. [Google Scholar] [CrossRef] [Green Version]
- Tatusova, T.; DiCuccio, M.; Badretdin, A.; Chetvernin, V.; Nawrocki, E.P.; Zaslavsky, L.; Lomsadze, A.; Pruitt, K.D.; Borodovsky, M.; Ostell, J. NCBI prokaryotic genome annotation pipeline. Nucleic Acids Res. 2016, 44, 6614–6624. [Google Scholar] [CrossRef]
- Carlin, A.; Shi, W.; Dey, S.; Rosen, B.P. The ars operon of Escherichia coli confers arsenical and antimonial resistance. J. Bacteriol. 1995, 177, 981–986. [Google Scholar] [CrossRef] [Green Version]





| Ag | As | Cd | Cr | Cu | Mn | Ni | Pb | Sb | |
|---|---|---|---|---|---|---|---|---|---|
| Concentration (mg/kg) | 12.86 ± 1.27 | 66.99 ± 18.97 | 89.00 ± 26.58 | 62.64 ± 14.24 | 1239.53 ± 273.32 | 788.96 ± 150.56 | 97.98 ± 18.73 | 526.45 ± 102.88 | 4.63 ± 0.24 |
| Strain | Closest Relative | Similarity | GenBank Accession No. |
|---|---|---|---|
| Au-Aci5 | Acinetobacter seifertii | 100% | OK178959 |
| Au-Bre4 | Brevundimonas vesicularis | 99.92% | OK178960 |
| Au-Bre29 | Brevundimonas nasdae | 99.85% | OK182900 |
| Au-Bre30 | Brevundimonas nasdae | 99.78% | OK182930 |
| Au-Lys6 | Lysinibacillus fusiformis | 99.93% | OK178961 |
| Au-Mic3 | Microbacterium binotii | 100% | OK178958 |
| Au-Pse14 | Pseudomonas frederiksbergensis | 99.93% | OK271131 |
| Au-Pse15 | Pseudomonas frederiksbergensis | 99.93% | OK560628 |
| Strain | Au(III) (μM) | Cu(II) (mM) | Zn(II) (mM) | Cd(II) (mM) | As(III) (mM) |
|---|---|---|---|---|---|
| Au-Bre29 | 600 | 1.25 | 8 | 0.75 | 5 |
| Au-Bre30 | 600 | 1 | 8 | 0.75 | 6.5 |
Publisher’s Note: MDPI stays neutral with regard to jurisdictional claims in published maps and institutional affiliations. |
© 2022 by the authors. Licensee MDPI, Basel, Switzerland. This article is an open access article distributed under the terms and conditions of the Creative Commons Attribution (CC BY) license (https://creativecommons.org/licenses/by/4.0/).
Share and Cite
Yang, X.; Li, Y.; Feng, R.; Chen, J.; Alwathnani, H.A.; Xu, W.; Rensing, C. Characterization of Two Highly Arsenic-Resistant Caulobacteraceae Strains of Brevundimonas nasdae: Discovery of a New Arsenic Resistance Determinant. Int. J. Mol. Sci. 2022, 23, 5619. https://doi.org/10.3390/ijms23105619
Yang X, Li Y, Feng R, Chen J, Alwathnani HA, Xu W, Rensing C. Characterization of Two Highly Arsenic-Resistant Caulobacteraceae Strains of Brevundimonas nasdae: Discovery of a New Arsenic Resistance Determinant. International Journal of Molecular Sciences. 2022; 23(10):5619. https://doi.org/10.3390/ijms23105619
Chicago/Turabian StyleYang, Xiaojun, Yuanping Li, Renwei Feng, Jian Chen, Hend A. Alwathnani, Weifeng Xu, and Christopher Rensing. 2022. "Characterization of Two Highly Arsenic-Resistant Caulobacteraceae Strains of Brevundimonas nasdae: Discovery of a New Arsenic Resistance Determinant" International Journal of Molecular Sciences 23, no. 10: 5619. https://doi.org/10.3390/ijms23105619
APA StyleYang, X., Li, Y., Feng, R., Chen, J., Alwathnani, H. A., Xu, W., & Rensing, C. (2022). Characterization of Two Highly Arsenic-Resistant Caulobacteraceae Strains of Brevundimonas nasdae: Discovery of a New Arsenic Resistance Determinant. International Journal of Molecular Sciences, 23(10), 5619. https://doi.org/10.3390/ijms23105619

