Pan-Lysyl Oxidase Inhibitor PXS-5505 Ameliorates Multiple-Organ Fibrosis by Inhibiting Collagen Crosslinks in Rodent Models of Systemic Sclerosis
Abstract
1. Introduction
2. Results
2.1. Elevated Expression of LOX and LOXL2 in SSc Patients
2.2. PXS-5505 Attenuates Bleomycin-Induced Skin Fibrosis
2.3. PXS-5505 Attenuates Bleomycin-Induced Pulmonary Fibrosis
2.4. PXS-5505 Attenuates I/R-Induced Cardiac Fibrosis and Improves Function
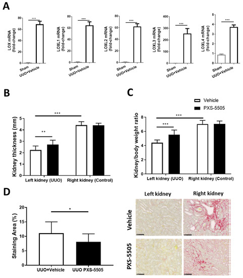
2.5. PXS-5505 Attenuates UUO-Induced Kidney Fibrosis
2.6. PXS-5505 Attenuates CCl4-Induced Liver Fibrosis
3. Discussion
4. Materials and Methods
4.1. Human Tissue Biopsy
4.2. Preclinical Animal Models
4.2.1. Bleomycin-Induced Skin Fibrosis in Mouse
4.2.2. Bleomycin-Induced Lung Fibrosis in Mouse
4.2.3. Ischemia-Reperfusion (I/R)-Induced Myocardial Fibrosis in Rat
4.2.4. Unilateral Ureteral Obstruction (UUO)-Induced Kidney Fibrosis in Mouse
4.2.5. CCl4-Induced Liver Fibrosis in Mouse
4.3. Crosslinks
4.4. Target Engagement Assay
4.4.1. Lung LOXL2 Activity and Protein Level
4.4.2. Skin Lysyl Oxidase Activity
4.5. RNA Isolation and Real-Time PCR Analysis
4.6. Immunoblotting
4.7. Histology and Immunohistochemistry
4.8. Analysis
4.9. Statistics
5. Conclusions
6. Patents
Author Contributions
Funding
Institutional Review Board Statement
Informed Consent Statement
Data Availability Statement
Acknowledgments
Conflicts of Interest
References
- Mendoza, F.A.; Mansoor, M.; Jimenez, S.A. Treatment of Rapidly Progressive Systemic Sclerosis: Current and Futures Perspectives. Expert Opin. Orphan Drugs 2016, 4, 31–47. [Google Scholar] [CrossRef] [PubMed]
- Leask, A. Matrix remodeling in systemic sclerosis. Semin. Immunopathol. 2015, 37, 559–563. [Google Scholar] [CrossRef] [PubMed]
- Cai, L.; Xiong, X.; Kong, X.; Xie, J. The Role of the Lysyl Oxidases in Tissue Repair and Remodeling: A Concise Review. Tissue Eng. Regen. Med. 2017, 14, 15–30. [Google Scholar] [CrossRef] [PubMed]
- Wen, X.; Liu, Y.; Bai, Y.; Li, M.; Fu, Q.; Zheng, Y. LOXL2, a copper-dependent monoamine oxidase, activates lung fibroblasts through the TGF-beta/Smad pathway. Int. J. Mol. Med. 2018, 42, 3530–3541. [Google Scholar]
- Stangenberg, S.; Saad, S.; Schilter, H.; Zaky, A.; Gill, A.; Pollock, C.A.; Wong, M.G. Lysyl oxidase-like 2 inhibition ameliorates glomerulosclerosis and albuminuria in diabetic nephropathy. Sci. Rep. 2018, 8, 9423. [Google Scholar] [CrossRef]
- Ikenaga, N.; Peng, Z.-W.; A Vaid, K.; Liu, S.B.; Yoshida, S.; Sverdlov, D.Y.; Mikels-Vigdal, A.; Smith, V.; Schuppan, D.; Popov, Y.V. Selective targeting of lysyl oxidase-like 2 (LOXL2) suppresses hepatic fibrosis progression and accelerates its reversal. Gut 2017, 66, 1697–1708. [Google Scholar] [CrossRef]
- Yang, J.; Savvatis, K.; Kang, J.S.; Fan, P.; Zhong, H.; Schwartz, K.; Barry, V.; Mikels-Vigdal, A.; Karpinski, S.; Kornyeyev, D.; et al. Targeting LOXL2 for cardiac interstitial fibrosis and heart failure treatment. Nat. Commun. 2016, 7, 13710. [Google Scholar] [CrossRef]
- Chanoki, M.; Ishii, M.; Kobayashi, H.; Fushida, H.; Yashiro, N.; Hamada, T.; Ooshima, A. Increased expression of lysyl oxidase in skin with scleroderma. Br. J. Dermatol. 1995, 133, 710–715. [Google Scholar] [CrossRef]
- Keiser, H.R.; Sjoerdsma, A. Studies on beta-aminopropionitrile in patients with scleroderma. Clin. Pharm. Ther. 1967, 8, 593–602. [Google Scholar] [CrossRef]
- Steen, V.D.; Medsger, T.A., Jr.; Rodnan, G.P. D-Penicillamine therapy in progressive systemic sclerosis (scleroderma): A retrospective analysis. Ann. Intern. Med. 1982, 97, 652–659. [Google Scholar] [CrossRef]
- Medsger, T.A., Jr.; Lucas, M.; Wildy, K.S.; Baker, C. D-penicillamine in systemic sclerosis? Yes! Scand. J. Rheumatol. 2001, 30, 192–194. [Google Scholar] [PubMed]
- Furst, D.E.; Clements, P.J. D-penicillamine is not an effective treatment in systemic sclerosis. Scand. J. Rheumatol. 2001, 30, 189–191. [Google Scholar] [PubMed]
- Leiva, O.; Ng, S.K.; Matsuura, S.; Chitalia, V.; Lucero, H.; Findlay, A.; Turner, C.; Jarolimek, W.; Ravid, K. Novel lysyl oxidase inhibitors attenuate hallmarks of primary myelofibrosis in mice. Int. J. Hematol. 2019, 110, 699–708. [Google Scholar] [CrossRef] [PubMed]
- How, J.; Liu, Y.; Story, J.L.; Neuberg, S.D.S.; Ravid, D.K.; Jarolimek, W.; Charlton, B.; Hobbs, G.S. Evaluation of a Pan-Lysyl Oxidase Inhibitor, Pxs-5505, in Myelofibrosis: A Phase I, Randomized, Placebo Controlled Double Blind Study in Healthy Adults. Blood 2020, 136, 16. [Google Scholar] [CrossRef]
- Szauter, K.M.; Cao, T.; Boyd, C.D.; Csiszar, K. Lysyl oxidase in development, aging and pathologies of the skin. Pathol. Biol. 2005, 53, 448–456. [Google Scholar] [CrossRef]
- Beyer, C.; Schett, G.; Distler, O.; Distler, J.H.W. Animal models of systemic sclerosis: Prospects and limitations. Arthritis Rheum. 2010, 62, 2831–2844. [Google Scholar] [CrossRef]
- Gazdhar, A.; Lebrecht, D.; Roth, M.; Tamm, M.; Venhoff, N.; Foocharoen, C.; Geiser, T.; Walker, U.A. Time-dependent and somatically acquired mitochondrial DNA mutagenesis and respiratory chain dysfunction in a scleroderma model of lung fibrosis. Sci. Rep. 2014, 4, 5336. [Google Scholar] [CrossRef]
- Nguyen, X.X.; Nishimoto, T.; Takihara, T.; Mlakar, L.; Bradshaw, A.D.; A Feghali-Bostwick, C. Lysyl oxidase directly contributes to extracellular matrix production and fibrosis in systemic sclerosis. Am. J. Physiol. Lung. Cell. Mol. Physiol. 2021, 320, L29–L40. [Google Scholar] [CrossRef]
- Findlay, A.; Turner, C.; Schilter, H.; Deodhar, M.; Zhou, W.; Perryman, L.; Foot, J.; Zahoor, A.; Yao, Y.; Hamilton, R.; et al. An activity-based bioprobe differentiates a novel small molecule inhibitor from a LOXL2 antibody and provides renewed promise for anti-fibrotic therapeutic strategies. Clin. Transl. Med. 2021, 11, e572. [Google Scholar] [CrossRef]
- Lambova, S. Cardiac manifestations in systemic sclerosis. World J. Cardiol. 2014, 6, 993–1005. [Google Scholar] [CrossRef]
- Sun, Y.; Weber, K.T. Infarct scar: A dynamic tissue. Cardiovasc. Res. 2000, 46, 250–256. [Google Scholar] [CrossRef]
- Chrabaszcz, M.; Małyszko, J.; Sikora, M.; Alda-Malicka, R.; Stochmal, A.; Matuszkiewicz-Rowinska, J.; Rudnicka, L. Renal Involvement in Systemic Sclerosis: An Update. Kidney Blood Press. Res. 2020, 45, 532–548. [Google Scholar] [CrossRef] [PubMed]
- Green, E.W.; Kahl, L.; Jou, J.H. Systemic Sclerosis and the Liver. Clin. Liver Dis. 2021, 18, 76–80. [Google Scholar] [CrossRef] [PubMed]
- Mohseni, R.; Sadeghabadi, Z.A.; Goodarzi, M.T.; Karimi, J. Co-administration of resveratrol and beta-aminopropionitrile attenuates liver fibrosis development via targeting lysyl oxidase in CCl4-induced liver fibrosis in rats. Immunopharmacol. Immunotoxicol. 2019, 41, 644–651. [Google Scholar] [CrossRef] [PubMed]
- Peacock, E.E., Jr. Pharmacologic control of surface scarring in human beings. Ann. Surg. 1981, 193, 592–597. [Google Scholar] [CrossRef]
- Raghu, G.; Brown, K.K.; Collard, H.R.; Cottin, V.; Gibson, K.F.; Kaner, R.J.; Lederer, D.J.; Martinez, F.J.; Noble, P.W.; Song, J.W.; et al. Efficacy of simtuzumab versus placebo in patients with idiopathic pulmonary fibrosis: A randomised, double-blind, controlled, phase 2 trial. Lancet Respir. Med. 2017, 5, 22–32. [Google Scholar] [CrossRef]
- Harrison, S.A.; Abdelmalek, M.F.; Caldwell, S.; Shiffman, M.L.; Diehl, A.M.; Ghalib, R.; Lawitz, E.J.; Rockey, D.C.; Schall, R.A.; Jia, C.; et al. Simtuzumab Is Ineffective for Patients With Bridging Fibrosis or Compensated Cirrhosis Caused by Nonalcoholic Steatohepatitis. Gastroenterology 2018, 155, 1140–1153. [Google Scholar] [CrossRef]
- Meissner, E.G.; McLaughlin, M.; Matthews, L.; Gharib, A.; Wood, B.; Levy, E.; Sinkus, R.; Virtaneva, K.; Sturdevant, D.; Martens, C.; et al. Simtuzumab treatment of advanced liver fibrosis in HIV and HCV-infected adults: Results of a 6-month open-label safety trial. Liver Int. 2016, 36, 1783–1792. [Google Scholar] [CrossRef]
- Solomon, J.J.; Olson, A.L.; Fischer, A.; Bull, T.; Brown, K.K.; Raghu, G. Scleroderma lung disease. Eur. Respir. Rev. 2013, 22, 6–19. [Google Scholar] [CrossRef]
- Aumiller, V.; Strobel, B.; Romeike, M.; Schuler, M.; Stierstorfer, B.E.; Kreuz, S. Comparative analysis of lysyl oxidase (like) family members in pulmonary fibrosis. Sci. Rep. 2017, 7, 149. [Google Scholar] [CrossRef]
- Chien, J.W.; Richards, T.J.; Gibson, K.F.; Zhang, Y.; Lindell, K.O.; Shao, L.; Lyman, S.K.; Adamkewicz, J.I.; Smith, V.; Kaminski, N.; et al. Serum lysyl oxidase-like 2 levels and idiopathic pulmonary fibrosis disease progression. Eur. Respir. J. 2014, 43, 1430–1438. [Google Scholar] [CrossRef] [PubMed]
- MacKenna, D.A.; Rowbottom, M.W.; Shannon, K.E.; Ma, G.L.; Nguyen, K.; Darlington, J.; Calderon, I.; King, C.D.; Hutchinson, J.H.; Evans, J.; et al. A Mechanism-Based Small Molecule Inhibitor of LOXL2 that Displays Robust Anti-Fibrotic Efficacy in a Mouse Bleomycin Model of Lung Fibrosis. In Proceedings of the Keystone Symposia: Injury, Inflammation and Fibrosis, Salt Lake City, UT, USA, 26–30 March 2017. [Google Scholar]
- Findlay, A.D.; Foot, J.S.; Buson, A.; Deodhar, M.; Jarnicki, A.G.; Hansbro, P.M.; Liu, G.; Schilter, H.; Turner, C.I.; Zhou, W.; et al. Identification and Optimization of Mechanism-Based Fluoroallylamine Inhibitors of Lysyl Oxidase-like 2/3. J. Med. Chem. 2019, 62, 9874–9889. [Google Scholar] [CrossRef] [PubMed]
- Matsuo, A.; Tanida, R.; Yanagi, S.; Tsubouchi, H.; Miura, A.; Shigekusa, T.; Matsumoto, N.; Nakazato, M. Significance of nuclear LOXL2 inhibition in fibroblasts and myofibroblasts in the fibrotic process of acute respiratory distress syndrome. Eur. J. Pharmacol. 2020, 892, 173754. [Google Scholar] [CrossRef] [PubMed]
- Roberts, J.; Tear, V.; Lunn, K.; Cao, L.; Murphy, J.; Shimbori, C.; Imani, J.; Tandon, K.; Ayaub, E.; Jones, M.; et al. Evaluation of novel LOXL2-selective inhibitors in models of pulmonary fibrosis. Eur. Respir. J. 2017, 50, PA3476. [Google Scholar]
- Chadli, L.; Sotthewes, B.; Li, K.; Andersen, S.N.; Cahir-McFarland, E.; Cheung, M.; Cullen, P.; Dorjée, A.; De Vries-Bouwstra, J.K.; Huizinga, T.W.J.; et al. Identification of regulators of the myofibroblast phenotype of primary dermal fibroblasts from early diffuse systemic sclerosis patients. Sci. Rep. 2019, 9, 4521. [Google Scholar] [CrossRef]
- Huang, M.; Cai, G.; Baugh, L.M.; Liu, Z.; Smith, A.; Watson, M.; Popovich, D.; Zhang, T.; Stawski, L.S.; Trojanowska, M.; et al. Systemic Sclerosis Dermal Fibroblasts Induce Cutaneous Fibrosis Through Lysyl Oxidase-like 4: New Evidence From Three-Dimensional Skin-like Tissues. Arthritis Rheumatol. 2020, 72, 791–801. [Google Scholar] [CrossRef]
- Burlew, B.S.; Weber, K.T. Cardiac fibrosis as a cause of diastolic dysfunction. Herz 2002, 27, 92–98. [Google Scholar] [CrossRef]
- Erasmus, M.; Samodien, E.; Lecour, S.; Cour, M.; Lorenzo, O.; Dludla, P.; Pheiffer, C.; Johnson, R. Linking LOXL2 to Cardiac Interstitial Fibrosis. Int. J. Mol. Sci. 2020, 21, 5913. [Google Scholar] [CrossRef]
- Schilter, H.; Findlay, A.D.; Perryman, L.; Yow, T.T.; Moses, J.; Zahoor, A.; Turner, C.I.; Deodhar, M.; Foot, J.S.; Zhou, W.; et al. The lysyl oxidase like 2/3 enzymatic inhibitor, PXS-5153A, reduces crosslinks and ameliorates fibrosis. J. Cell. Mol. Med. 2019, 23, 1759–1770. [Google Scholar] [CrossRef]
- Nguyen, L.T.; Saad, S.; Shi, Y.; Wang, R.; Chou, A.S.Y.; Gill, A.; Yao, Y.; Jarolimek, W.; Pollock, C.A. Lysyl oxidase inhibitors attenuate cyclosporin A-induced nephropathy in mouse. Sci. Rep. 2021, 11, 12437. [Google Scholar] [CrossRef]
- Saifi, M.A.; Godugu, C. Inhibition of lysyl oxidase ameliorates renal injury by inhibiting CD44-mediated pericyte detachment and loss of peritubular capillaries. Life Sci. 2020, 243, 117294. [Google Scholar] [CrossRef] [PubMed]
- Lay, W.N.; Rayner, B.; Sabaretnam, T.; Figtree, G.; Jackson, C.; Hunyor, S.; Bhindi, R. Activated protein C improves left ventricular remodelling after ischemia-reperfusion injury in rats. Int. J. Cardiol. 2012, 159, 246–248. [Google Scholar] [CrossRef] [PubMed]
- Hochman, J.S.; Choo, H. Limitation of myocardial infarct expansion by reperfusion independent of myocardial salvage. Circulation 1987, 75, 299–306. [Google Scholar] [CrossRef] [PubMed]
- Schanstra, J.P.; Neau, E.; Drogoz, P.; Arevalo Gomez, M.A.; Lopez Novoa, J.M.; Calise, D.; Pecher, C.; Bader, M.; Girolami, J.P.; Bascands, J.L. In vivo bradykinin B2 receptor activation reduces renal fibrosis. J. Clin. Invest. 2002, 110, 371–379. [Google Scholar] [CrossRef] [PubMed][Green Version]
- Joshi, A.; Zahoor, A.; Buson, A. Measurement of Collagen Cross-Links from Tissue Samples by Mass Spectrometry. Methods Mol. Biol. 2019, 1944, 79–93. [Google Scholar]
- Wilson, D.H.; Rissin, D.M.; Kan, C.W.; Fournier, D.R.; Piech, T.; Campbell, T.G.; Meyer, R.E.; Fishburn, M.W.; Cabrera, C.; Patel, P.P.; et al. The Simoa HD-1 Analyzer: A Novel Fully Automated Digital Immunoassay Analyzer with Single-Molecule Sensitivity and Multiplexing. J. Lab. Autom. 2016, 21, 533–547. [Google Scholar] [CrossRef]
- Hubner, R.H.; Gitter, W.; El Mokhtari, N.E.; Mathiak, M.; Both, M.; Bolte, H.; Freitag-Wolf, S.; Bewig, B. Standardized quantification of pulmonary fibrosis in histological samples. Biotechniques 2008, 44, 514–517. [Google Scholar] [CrossRef]
- Fedchenko, N.; Reifenrath, J. Different approaches for interpretation and reporting of immunohistochemistry analysis results in the bone tissue-a review. Diagn. Pathol. 2014, 9, 221. [Google Scholar] [CrossRef]
- Rimar, D.; Rosner, I.; Nov, Y.; Slobodin, G.; Rozenbaum, M.; Halasz, K.; Haj, T.; Jiries, N.; Kaly, L.; Boulman, N.; et al. Brief report: Lysyl oxidase is a potential biomarker of fibrosis in systemic sclerosis. Arthritis Rheumatol. 2014, 66, 726–730. [Google Scholar] [CrossRef]







| Gene Symbol | Gene | Assay Id. |
|---|---|---|
| LOX | lysyl oxidase | Rn01491829_m1 |
| LOXL1 | lysyl oxidase-like 1 | Rn01418038_m1 |
| LOXL2 | lysyl oxidase-like 2 | Rn01466080_m1 |
| LOXL3 | lysyl oxidase-like 3 | Rn01765241_m1 |
| LOXL4 | lysyl oxidase-like 4 | Rn01410872_m1 |
| αSMA | alpha 2 smooth muscle actin | Rn01759925_g1 |
| Edn-1 | endothelin 1 | Rn00561129_m1 |
| FN-1 | fibronectin 1 | Rn01401499_m1 |
| Thy1 | Thy-1 cell surface antigen | Rn00664709_g1 |
| Postn | periostin | Rn01494625_m1 |
| Col1α1 | Collagen, type I, alpha 1 | Rn01463848_m1 |
| Col3a1 | Collagen, type III, alpha 1 | Rn01437681_m1 |
| Gapdh | Glyceraldehyde 3-phosphate dehydrogenase | Mm99999915_g1 |
Publisher’s Note: MDPI stays neutral with regard to jurisdictional claims in published maps and institutional affiliations. |
© 2022 by the authors. Licensee MDPI, Basel, Switzerland. This article is an open access article distributed under the terms and conditions of the Creative Commons Attribution (CC BY) license (https://creativecommons.org/licenses/by/4.0/).
Share and Cite
Yao, Y.; Findlay, A.; Stolp, J.; Rayner, B.; Ask, K.; Jarolimek, W. Pan-Lysyl Oxidase Inhibitor PXS-5505 Ameliorates Multiple-Organ Fibrosis by Inhibiting Collagen Crosslinks in Rodent Models of Systemic Sclerosis. Int. J. Mol. Sci. 2022, 23, 5533. https://doi.org/10.3390/ijms23105533
Yao Y, Findlay A, Stolp J, Rayner B, Ask K, Jarolimek W. Pan-Lysyl Oxidase Inhibitor PXS-5505 Ameliorates Multiple-Organ Fibrosis by Inhibiting Collagen Crosslinks in Rodent Models of Systemic Sclerosis. International Journal of Molecular Sciences. 2022; 23(10):5533. https://doi.org/10.3390/ijms23105533
Chicago/Turabian StyleYao, Yimin, Alison Findlay, Jessica Stolp, Benjamin Rayner, Kjetil Ask, and Wolfgang Jarolimek. 2022. "Pan-Lysyl Oxidase Inhibitor PXS-5505 Ameliorates Multiple-Organ Fibrosis by Inhibiting Collagen Crosslinks in Rodent Models of Systemic Sclerosis" International Journal of Molecular Sciences 23, no. 10: 5533. https://doi.org/10.3390/ijms23105533
APA StyleYao, Y., Findlay, A., Stolp, J., Rayner, B., Ask, K., & Jarolimek, W. (2022). Pan-Lysyl Oxidase Inhibitor PXS-5505 Ameliorates Multiple-Organ Fibrosis by Inhibiting Collagen Crosslinks in Rodent Models of Systemic Sclerosis. International Journal of Molecular Sciences, 23(10), 5533. https://doi.org/10.3390/ijms23105533

