Chronic Regulation of miR-124-3p in the Perilesional Cortex after Experimental and Human TBI
Abstract
1. Introduction
2. Results
2.1. Animals
2.1.1. Mortality
2.1.2. Time in Apnea
2.1.3. Acute Post-Impact Seizure-Like Behaviors
2.2. RT-qPCR Analysis Indicated Downregulation of miR-124-3p in the Perilesional Cortex (Cohort 1)
2.3. TBI Disrupts the Cortical Expression Pattern of miR-124-3p in Rats (Cohort 2)
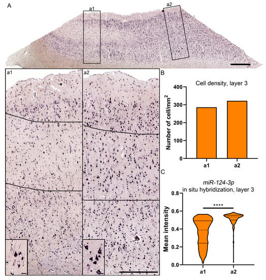
2.4. TBI Causes Downregulation of miR-124-3p in the Human Cortex
2.5. Bioinformatics Analysis Indicated post-TBI Regulation of miR-124-3p Targets in the Perilesional Cortex (Cohort 3)
3. Discussion
3.1. TBI Causes Downregulation of miR-124-3p in the Perilesional Cortex
3.2. Downregulation of miR-124-3p Promotes Neurodegeneration
3.3. miR-124-3p Controls Anti-inflammatory Pathways
4. Materials and Methods
4.1. Animals
4.2. Lateral Fluid-Percussion-Induced TBI
4.3. Detection of Cortical miR-124 Expression with RT-qPCR
4.3.1. Tissue Sampling
4.3.2. Laser Capture Microdissection (LCM)
4.3.3. RNA Extraction
4.3.4. Reverse Transcription of RNA to Complementary DNA (cDNA) for microRNA Detection
4.3.5. Reverse Transcription of RNA to cDNA for mRNA Detection
4.3.6. Quantitative PCR Analysis of Mature miRNAs
4.3.7. Quantitative PCR Analysis of Stat3
4.4. In Situ Hybridization of miR-124-3p in Rat
4.4.1. Perfusion
4.4.2. Tissue Processing
4.4.3. In Situ Hybridization
4.4.4. Assessment of the Intensity of miR-124-3p Expression in In Situ Hybridization
4.4.5. Double-Labeling with Cellular Markers
4.5. In situ Hybridization of miR-124-3p in Human TBI Brain
4.5.1. Sampling
4.5.2. Tissue Processing
4.5.3. In Situ Hybridization
4.5.4. Intensity Analysis
4.6. Bioinformatic Analysis of miR-124 Targets
4.7. Statistical Analysis
5. Conclusions
Supplementary Materials
Author Contributions
Funding
Acknowledgments
Conflicts of Interest
Abbreviations
| Abhd4 | abhydrolase domain containing 4 |
| aPeCx | perilesional cortex adjacent to the lesion core |
| Atmin | ATM interactor |
| Atp1a1 | ATPase Na+/K+ transporting subunit alpha 1 |
| BA | Brodmann area |
| Bcat1 | branched chain amino acid transaminase 1 |
| Cadps | calcium dependent secretion activator; |
| circRNA | circularRNA |
| Cnn3 | calponin 3 |
| d | day |
| Dnase2 | deoxyribonuclease 2 |
| dPeCx | somatosensory cortex distal to the lesion |
| ES | enrichment score |
| FC | fold change |
| FDR | false discovery rate |
| FPI | fluid-percussion injury |
| GSEA | Gene Set Enrichment Analysis |
| Gsn | gelsolin |
| HC | hippocampus |
| Hivep2 | HIVEP zinc finger 2 |
| LCM | lacer capture microscopy |
| Lcp1 | lymphocyte cytosolic protein 1 |
| Litaf | lipopolysaccharide-induced TNF factor |
| Mark1 | microtubule affinity regulating kinase 1 |
| mo | month |
| Nat8l | N-acetyltransferase 8-like |
| Nptn | neuroplastin |
| Nrep | neuronal-regeneration-related protein |
| Osbp2 | oxysterol binding protein 2 |
| ROI | region of interest |
| RT-qPCR | quantitative reverse transcriptase polymerase chain reaction |
| Scamp2 | secretory carrier membrane protein 2 |
| Sdc4 | syndecan 4 |
| Stat3 | Signal transducer and activator of transcription 3 |
| TBI | traumatic brain injury |
| TC | temporal cortex |
| TDMD | target RNA-directed microRNA degradation |
| Ttl | tubulin tyrosine ligase |
| UTR | untranslated region |
| Vim | vimentin |
| Zfp36l1 | zinc finger protein 36 C3H type-like 1 |
References
- Feigin, V.L.; Theadom, A.; Barker-Collo, S.; Starkey, N.J.; McPherson, K.; Kahan, M.; Jones, K. Incidence of traumatic brain injury in New Zealand: A population-based study. Lancet Neurol. 2013, 12, 53–64. [Google Scholar] [CrossRef]
- McGraw, J.; Hiebert, G.W.; Steeves, J.D. Modulating astrogliosis after neurotrauma. J. Neurosci. Res. 2001, 63, 109–115. [Google Scholar] [CrossRef]
- Raghupathi, R. Cell Death Mechanisms Following Traumatic Brain Injury. Brain Pathol. 2004, 14, 215–222. [Google Scholar] [CrossRef] [PubMed]
- Wong, V.S.; Langley, B. Epigenetic changes following traumatic brain injury and their implications for outcome, recovery and therapy. Neurosci. Lett. 2016, 625, 26–33. [Google Scholar] [CrossRef]
- Rola, R.; Mizumatsu, S.; Otsuka, S.; Morhardt, D.; Noblehaeusslein, L.; Fishman, K.; Fike, J.R. Alterations in hippocampal neurogenesis following traumatic brain injury in mice. Exp. Neurol. 2006, 202, 189–199. [Google Scholar] [CrossRef]
- Lee, R.C.; Feinbaum, R.L.; Ambros, V. The C. elegans heterochronic gene lin-4 encodes small RNAs with antisense complementarity to lin-14. Cell 1993, 75, 843–854. [Google Scholar] [CrossRef]
- Lee, R.C.; Ambros, V. An Extensive Class of Small RNAs in Caenorhabditis elegans. Science 2001, 294, 862–864. [Google Scholar] [CrossRef]
- Bartel, D.P. MicroRNAs: Genomics, biogenesis, mechanism, and function. Cell 2004, 116, 281–297. [Google Scholar] [CrossRef]
- Sabirzhanov, B.; Zhao, Z.; Stoica, B.A.; Loane, D.J.; Wu, J.; Borroto, C.; Faden, A.I. Downregulation of miR-23a and miR-27a following experimental traumatic brain injury induces neuronal cell death through activation of proapoptotic Bcl-2 proteins. J. Neurosci. 2014, 34, 10055–10071. [Google Scholar] [CrossRef]
- Sun, L.; Zhao, M.; Wang, Y.; Liu, A.; Lv, M.; Li, Y.; Wu, Z. Neuroprotective effects of miR-27a against traumatic brain injury via suppressing FoxO3a-mediated neuronal autophagy. Biochem. Biophys. Res. Commun. 2017, 482, 1141–1147. [Google Scholar] [CrossRef]
- Ge, X.; Han, Z.; Chen, F.; Wang, H.; Zhang, B.; Jiang, R.; Zhang, J. miR-21 alleviates secondary blood–brain barrier damage after traumatic brain injury in rats. Brain Res. 2015, 1603, 150–157. [Google Scholar] [CrossRef] [PubMed]
- Pan, Y.-B.; Sun, Z.-L.; Feng, D.-F. The Role of MicroRNA in Traumatic Brain Injury. Neuroscience 2017, 367, 189–199. [Google Scholar] [CrossRef] [PubMed]
- Di Pietro, V.; Yakoub, K.M.; Scarpa, U.; Di Pietro, C.; Belli, A. MicroRNA Signature of Traumatic Brain Injury: From the Biomarker Discovery to the Point-of-Care. Front. Neurol. 2018, 9, 429. [Google Scholar] [CrossRef] [PubMed]
- Lei, P.; Li, Y.; Chen, X.; Yang, S.; Zhang, J. Microarray based analysis of microRNA expression in rat cerebral cortex after traumatic brain injury. Brain Res. 2009, 1284, 191–201. [Google Scholar] [CrossRef]
- Redell, J.B.; Liu, Y.; Dash, P.K. Traumatic brain injury alters expression of hippocampal microRNAs: Potential regulators of multiple pathophysiological processes. J. Neurosci. Res. 2009, 87, 1435–1448. [Google Scholar] [CrossRef]
- Liu, L.; Sun, T.; Liu, Z.; Chen, X.; Zhao, L.; Qu, G.; Li, Q. Traumatic Brain Injury Dysregulates MicroRNAs to Modulate Cell Signaling in Rat Hippocampus. PLoS ONE 2014, 9, e103948. [Google Scholar] [CrossRef]
- Johnson, D.; Cartagena, C.M.; Tortella, F.C.; Dave, J.R.; Schmid, K.E.; Boutté, A.M. Acute and subacute microRNA dysregulation is associated with cytokine responses in the rodent model of penetrating ballistic-like brain injury. J. Trauma Acute Care Surg. 2017, 83, S145–S149. [Google Scholar] [CrossRef]
- Puhakka, N.; Bot, A.M.; Vuokila, N.; Debski, K.J.; Lukasiuk, K.; Pitkänen, A. Chronically dysregulated NOTCH1 interactome in the dentate gyrus after traumatic brain injury. PLoS ONE 2017, 12, e0172521. [Google Scholar] [CrossRef]
- Vuokila, N.; Lukasiuk, K.; Bot, A.M.; van Vliet, E.A.; Aronica, E.; Pitkänen, A.; Puhakka, N. miR-124-3p is a chronic regulator of gene expression after brain injury. Cell. Mol. Life Sci. 2018, 75, 4557–4581. [Google Scholar] [CrossRef]
- Sandhir, R.; Gregory, E.; Berman, N.E.J. Differential response of miRNA-21 and its targets after traumatic brain injury in aging mice. Neurochem. Int. 2014, 78, 117–121. [Google Scholar] [CrossRef]
- Miao, W.; Bao, T.H.; Han, J.H.; Yin, M.; Yan, Y.; Wang, W.W.; Zhu, Y.H. Voluntary exercise prior to traumatic brain injury alters miRNA expression in the injured mouse cerebral cortex. Br. J. Med. Biol. Res. 2015, 48, 433–439. [Google Scholar] [CrossRef] [PubMed]
- Meissner, L.; Gallozzi, M.; Balbi, M.; Schwarzmaier, S.; Tiedt, S.; Terpolilli, N.A.; Plesnila, N. Temporal Profile of MicroRNA Expression in Contused Cortex after Traumatic Brain Injury in Mice. J. Neurotrauma 2016, 33, 713–720. [Google Scholar] [CrossRef] [PubMed]
- Redell, J.B.; Zhao, J.; Dash, P.K. Altered expression of miRNA-21 and its targets in the hippocampus after traumatic brain injury. J. Neurosci. Res. 2011, 89, 212–221. [Google Scholar] [CrossRef] [PubMed]
- Hu, Z.; Yu, D.; Almeida-Suhett, C.; Tu, K.; Marini, A.M.; Eiden, L.; Li, Z. Expression of miRNAs and their cooperative regulation of the pathophysiology in traumatic brain injury. PLoS ONE 2012, 7. [Google Scholar] [CrossRef] [PubMed]
- Wang, Y.; Guo, F.; Pan, C.; Lou, Y.; Zhang, P.; Guo, S.; Deng, Z. Effects of low temperatures on proliferation-related signaling pathways in the hippocampus after traumatic brain injury. Exp. Biol. Med. 2012, 237, 1424–1432. [Google Scholar] [CrossRef] [PubMed]
- Bao, T.-H.; Miao, W.; Han, J.-H.; Yin, M.; Yan, Y.; Wang, W.-W.; Zhu, Y.H. Spontaneous Running Wheel Improves Cognitive Functions of Mouse Associated with miRNA Expressional Alteration in Hippocampus Following Traumatic Brain Injury. J. Mol. Neurosci. 2014, 54, 622–629. [Google Scholar] [CrossRef]
- Sun, T.; Chen, X.; Liu, Z.; Zhao, L.; Jiang, Y.; Qu, G.; Liu, L. Expression profiling of MicroRNAs in hippocampus of rats following traumatic brain injury. J. Huazhong Univ. Sci. Technol. 2014, 34, 548–553. [Google Scholar] [CrossRef]
- Qin, X.; Li, L.; Lv, Q.; Shu, Q.; Zhang, Y.; Wang, Y. Expression profile of plasma microRNAs and their roles in diagnosis of mild to severe traumatic brain injury. PLoS ONE 2018, 13, e0204051. [Google Scholar] [CrossRef]
- Di Pietro, V.; Ragusa, M.; Davies, D.; Su, Z.; Hazeldine, J.; Lazzarino, G.; Logan, A. MicroRNAs as Novel Biomarkers for the Diagnosis and Prognosis of Mild and Severe Traumatic Brain Injury. J. Neurotrauma 2017, 34, 1948–1956. [Google Scholar] [CrossRef]
- Redell, J.B.; Moore, A.N.; Ward, N.H.; Hergenroeder, G.W.; Dash, P.K.; Dash, P.K. Human traumatic brain injury alters plasma microRNA levels. J. Neurotrauma 2010, 7, 147–156. [Google Scholar] [CrossRef]
- Lagos-Quintana, M.; Rauhut, R.; Yalcin, A.; Meyer, J.; Lendeckel, W.; Tuschl, T. Identification of tissue-specific MicroRNAs from mouse. Curr. Biol. 2002, 12, 735–739. [Google Scholar] [CrossRef]
- Cao, X.; Pfaff, S.L.; Gage, F.H. A functional study of miR-124 in the developing neural tube. Genes Dev. 2007, 21, 531–536. [Google Scholar] [CrossRef] [PubMed]
- Akerblom, M.; Sachdeva, R.; Barde, I.; Verp, S.; Gentner, B.; Trono, D.; Jakobsson, J. MicroRNA-124 Is a Subventricular Zone Neuronal Fate Determinant. J. Neurosci. 2012, 32, 8879–8889. [Google Scholar] [CrossRef]
- Conaco, C.; Otto, S.; Han, J.-J.; Mandel, G. Reciprocal actions of REST and a microRNA promote neuronal identity. Proc. Natl. Acad. Sci. USA 2006, 103, 2422–2427. [Google Scholar] [CrossRef] [PubMed]
- Makeyev, E.V.; Zhang, J.; Carrasco, M.A.; Maniatis, T. The MicroRNA miR-124 Promotes Neuronal Differentiation by Triggering Brain-Specific Alternative Pre-mRNA Splicing. Mol. Cell. 2007, 27, 435–448. [Google Scholar] [CrossRef] [PubMed]
- Gaudet, A.D.; Fonken, L.K.; Watkins, L.R.; Nelson, R.J.; Popovich, P.G. MicroRNAs: Roles in Regulating Neuroinflammation. Neuroscientist 2018, 24, 221–245. [Google Scholar] [CrossRef]
- Boutz, P.L.; Stoilov, P.; Li, Q.; Lin, C.H.; Chawla, G.; Ostrow, K.; Black, D.L. A post-transcriptional regulatory switch in polypyrimidine tract-binding proteins reprograms alternative splicing in developing neurons. Genes Dev. 2007, 21, 1636–1652. [Google Scholar] [CrossRef]
- Koukos, G.; Polytarchou, C.; Kaplan, J.L.; Morley-Fletcher, A.; Gras-Miralles, B.; Kokkotou, E.; Iliopoulos, D. MicroRNA-124 regulates STAT3 expression and is down-regulated in colon tissues of pediatric patients with ulcerative colitis. Gastroenterology 2013, 145, 842–852. [Google Scholar] [CrossRef]
- Shi, P.; Chen, C.; Li, X.; Wei, Z.; Liu, Z.; Liu, Y. MicroRNA-124 suppresses cell proliferation and invasion of triple negative breast cancer cells by targeting STAT3. Mol. Med. Rep. 2019, 19, 3667–3675. [Google Scholar] [CrossRef]
- Cheng, Y.; Li, Y.; Nian, Y.; Liu, D.; Dai, F.; Zhang, J. STAT3 is involved in miR-124-mediated suppressive effects on esophageal cancer cells. BMC Cancer 2015, 15, 306. [Google Scholar] [CrossRef][Green Version]
- Sethi, P.; Lukiw, W.J. Micro-RNA abundance and stability in human brain: Specific alterations in Alzheimer’s disease temporal lobe neocortex. Neurosci. Lett. 2009, 459, 100–104. [Google Scholar] [CrossRef] [PubMed]
- Krol, J.; Busskamp, V.; Markiewicz, I.; Stadler, M.B.; Ribi, S.; Richter, J.; Oertner, T.G. Characterizing Light-Regulated Retinal MicroRNAs Reveals Rapid Turnover as a Common Property of Neuronal MicroRNAs. Cell 2010, 141, 618–631. [Google Scholar] [CrossRef] [PubMed]
- Rajasethupathy, P.; Fiumara, F.; Sheridan, R.; Betel, D.; Puthanveettil, S.V.; Russo, J.J.; Kandel, E. Characterization of small RNAs in Aplysia reveals a role for miR-124 in constraining synaptic plasticity through CREB. Neuron 2009, 63, 803–817. [Google Scholar] [CrossRef] [PubMed]
- He, L.; Hannon, G.J. MicroRNAs: Small RNAs with a big role in gene regulation. Nat. Rev. Genet. 2004, 5, 522–531. [Google Scholar] [CrossRef]
- Zhao, Y.; Yu, Y.; Zhai, J.; Ramachandran, V.; Dinh, T.T.; Meyers, B.C.; Chen, X. The Arabidopsis nucleotidyl transferase HESO1 uridylates unmethylated small RNAs to trigger their degradation. Curr. Biol. 2012, 22, 689–694. [Google Scholar] [CrossRef]
- Das, S.K.; Sokhi, U.K.; Bhutia, S.K.; Azab, B.; Su, Z.-Z.; Sarkar, D.; Fisher, P.B. Human polynucleotide phosphorylase selectively and preferentially degrades microRNA-221 in human melanoma cells. Proc. Natl. Acad. Sci. USA 2010, 107, 11948–11953. [Google Scholar] [CrossRef]
- Bail, S.; Swerdel, M.; Liu, H.; Jiao, X.; Goff, L.A.; Hart, R.P.; Kiledjian, M. Differential regulation of microRNA stability. RNA 2010, 16, 1032–1039. [Google Scholar] [CrossRef]
- Hansen, T.B.; Jensen, T.I.; Clausen, B.H.; Bramsen, J.B.; Finsen, B.; Damgaard, C.K.; Kjems, J. Natural RNA circles function as efficient microRNA sponges. Nature 2013, 495, 384–388. [Google Scholar] [CrossRef]
- Zheng, Q.; Bao, C.; Guo, W.; Li, S.; Chen, J.; Chen, B.; Liang, L. Circular RNA profiling reveals an abundant circHIPK3 that regulates cell growth by sponging multiple miRNAs. Nat. Commun. 2016, 7, 11215. [Google Scholar] [CrossRef]
- Wang, R.; Zhang, S.; Chen, X.; Li, N.; Li, J.; Jia, R.; Liang, H. EIF4A3-induced circular RNA MMP9 (circMMP9) acts as a sponge of miR-124 and promotes glioblastoma multiforme cell tumorigenesis. Mol. Cancer 2018, 17, 166. [Google Scholar] [CrossRef]
- Zhang, P.; Ming, Y.; Ye, Q.; Niu, Y. Comprehensive circRNA expression profile during ischemic postconditioning attenuating hepatic ischemia/reperfusion injury. Sci. Rep. 2019, 9, 264. [Google Scholar] [CrossRef] [PubMed]
- Chen, G.; Shi, Y.; Zhang, Y.; Sun, J. CircRNA_100782 regulates pancreatic carcinoma proliferation through the IL6-STAT3 pathway. Onco Targets Ther. 2017, 10, 5783–5794. [Google Scholar] [CrossRef] [PubMed]
- Chen, J.; Cui, L.; Yuan, J.; Zhang, Y.; Sang, H. Circular RNA WDR77 target FGF-2 to regulate vascular smooth muscle cells proliferation and migration by sponging miR-124. Biochem. Biophys. Res. Commun. 2017, 494, 126–132. [Google Scholar] [CrossRef] [PubMed]
- Zhao, R.; Zhou, J.; Dong, X.; Bi, C.; Jiang, R.; Dong, J.; Zhang, J.N. Circular Ribonucleic Acid Expression Alteration in Exosomes from the Brain Extracellular Space after Traumatic Brain Injury in Mice. J. Neurotrauma 2018, 35, 2056–2066. [Google Scholar] [CrossRef]
- Jiang, Y.; Cao, S.; Gao, L.; Wang, Y.; Zhou, B.; Hu, X.; Zhao, L. Circular Ribonucleic Acid Expression Profile in Mouse Cortex after Traumatic Brain Injury. J. Neurotrauma 2019, 36, 1018–1028. [Google Scholar] [CrossRef] [PubMed]
- Chen, Z.; Wang, H.; Zhong, J.; Yang, J.; Darwazeh, R.; Tian, X.; Guo, Z. Significant changes in circular RNA in the mouse cerebral cortex around an injury site after traumatic brain injury. Exp. Neurol. 2019, 313, 37–48. [Google Scholar] [CrossRef]
- Sheu-Gruttadauria, J.; Pawlica, P.; Klum, S.M.; Wang, S.; Yario, T.A.; Schirle Oakdale, N.T.; MacRae, I.J. Structural Basis for Target-Directed MicroRNA Degradation. Mol. Cell. 2019, 75, 1243–1255. [Google Scholar] [CrossRef]
- Ameres, S.L.; Horwich, M.D.; Hung, J.-H.; Xu, J.; Ghildiyal, M.; Weng, Z.; Zamore, P.D. Target RNA-Directed Trimming and Tailing of Small Silencing RNAs. Science 2010, 328, 1534–1539. [Google Scholar] [CrossRef]
- Bitetti, A.; Mallory, A.C.; Golini, E.; Carrieri, C.; Carreño Gutiérrez, H.; Perlas, E.; Mandillo, S. MicroRNA degradation by a conserved target RNA regulates animal behavior. Nat. Struct. Mol. Biol. 2018, 25, 244–251. [Google Scholar] [CrossRef]
- Kleaveland, B.; Shi, C.Y.; Stefano, J.; Bartel, D.P. A Network of Noncoding Regulatory RNAs Acts in the Mammalian Brain. Cell 2018, 174, 350–362. [Google Scholar] [CrossRef]
- Lee, S.; Song, J.; Kim, S.; Kim, J.; Hong, Y.; Kim, Y.; Ahn, K. Selective Degradation of Host MicroRNAs by an Intergenic HCMV Noncoding RNA Accelerates Virus Production. Cell Host Microbe 2013, 13, 678–690. [Google Scholar] [CrossRef] [PubMed]
- Libri, V.; Helwak, A.; Miesen, P.; Santhakumar, D.; Borger, J.G.; Kudla, G.; Buck, A.H. Murine cytomegalovirus encodes a miR-27 inhibitor disguised as a target. Proc. Natl. Acad. Sci. USA 2012, 109, 279–284. [Google Scholar] [CrossRef] [PubMed]
- Marcinowski, L.; Tanguy, M.; Krmpotic, A.; Rädle, B.; Lisnić, V.J.; Tuddenham, L.; Babic, M. Degradation of cellular mir-27 by a novel, highly abundant viral transcript is important for efficient virus replication in vivo. PLoS Pathog. 2012, 8, e1002510. [Google Scholar] [CrossRef]
- Gascon, E.; Lynch, K.; Ruan, H.; Almeida, S.; Verheyden, J.M.; Seeley, W.W.; Zhou, H. Alterations in microRNA-124 and AMPA receptors contribute to social behavioral deficits in frontotemporal dementia. Nat. Med. 2014, 20, 1444–1451. [Google Scholar] [CrossRef] [PubMed]
- An, F.; Gong, G.; Wang, Y.; Bian, M.; Yu, L.; Wei, C. MiR-124 acts as a target for Alzheimer’s disease by regulating BACE1. Oncotarget 2017, 8, 114065–114071. [Google Scholar] [CrossRef]
- Dong, R.-F.; Zhang, B.; Tai, L.-W.; Liu, H.-M.; Shi, F.-K.; Liu, N.-N. The Neuroprotective Role of MiR-124-3p in a 6-Hydroxydopamine-Induced Cell Model of Parkinson’s Disease via the Regulation of ANAX5. J. Cell. Biochem. 2018, 119, 269–277. [Google Scholar] [CrossRef]
- Fang, M.; Wang, J.; Zhang, X.; Geng, Y.; Hu, Z.; Rudd, J.A.; Han, S. The miR-124 regulates the expression of BACE1/β-secretase correlated with cell death in Alzheimer’s disease. Toxicol. Lett. 2012, 209, 94–105. [Google Scholar] [CrossRef]
- Wang, X.; Martindale, J.L.; Holbrook, N.J. Requirement for ERK Activation in Cisplatin-induced Apoptosis. J. Biol. Chem. 2000, 275, 39435–39443. [Google Scholar] [CrossRef]
- Bacus, S.S.; Gudkov, A.V.; Lowe, M.; Lyass, L.; Yung, Y.; Komarov, A.P.; Seger, R. Taxol-induced apoptosis depends on MAP kinase pathways (ERK and p38) and is independent of p53. Oncogene 2001, 20, 147–155. [Google Scholar] [CrossRef]
- Cagnol, S.; Chambard, J.-C. ERK and cell death: Mechanisms of ERK-induced cell death—Apoptosis, autophagy and senescence. FEBS J. 2010, 277, 2–21. [Google Scholar] [CrossRef]
- Gong, X.; Wang, H.; Ye, Y.; Shu, Y.; Deng, Y.; He, X.; Zhang, S. miR-124 regulates cell apoptosis and autophagy in dopaminergic neurons and protects them by regulating AMPK/mTOR pathway in Parkinson’s disease. Am. J. Transl. Res. 2016, 8, 2127–2137. [Google Scholar] [PubMed]
- Papadimitriou, E.; Lamprou, A.; Driva, A.-M.; Koutsoudaki, P.N.T.D. Role of microRNAs miR-124 and miR-125b in directing neuronal reprogramming of astrocytes in vitro neuronal reprogramming of astrocytes in vitro. GLIA 2017, 65, E103–E578. [Google Scholar]
- Shenoy, A.; Blelloch, R.H. Regulation of microRNA function in somatic stem cell proliferation and differentiation. Nat. Rev. Mol. Cell Biol. 2014, 15, 565–576. [Google Scholar] [CrossRef] [PubMed]
- Lang, Q.; Ling, C. MiR-124 suppresses cell proliferation in hepatocellular carcinoma by targeting PIK3CA. Biochem. Biophys. Res. Commun. 2012, 426, 247–252. [Google Scholar] [CrossRef]
- He, R.-Q.; Yang, X.; Liang, L.; Chen, G.; Ma, J. MicroRNA-124-3p expression and its prospective functional pathways in hepatocellular carcinoma: A quantitative polymerase chain reaction, gene expression omnibus and bioinformatics study. Oncol. Lett. 2018, 15, 5517–5532. [Google Scholar] [CrossRef] [PubMed]
- Hunt, S.; Jones, A.V.; Hinsley, E.E.; Whawell, S.A.; Lambert, D.W. MicroRNA-124 suppresses oral squamous cell carcinoma motility by targeting ITGB1. FEBS Lett. 2011, 585, 187–192. [Google Scholar] [CrossRef]
- Xia, J.; Wu, Z.; Yu, C.; He, W.; Zheng, H.; He, Y.; Li, W. miR-124 inhibits cell proliferation in gastric cancer through down-regulation of SPHK1. J. Pathol. 2012, 227, 470–480. [Google Scholar] [CrossRef]
- Lu, Y.; Yue, X.; Cui, Y.; Zhang, J.; Wang, K. MicroRNA-124 suppresses growth of human hepatocellular carcinoma by targeting STAT3. Biochem. Biophys. Res. Commun. 2013, 441, 873–879. [Google Scholar] [CrossRef]
- Cao, J.; Qiu, J.; Wang, X.; Lu, Z.; Wang, D.; Feng, H.; Wei, J. Identification of microRNA-124 in regulation of Hepatocellular carcinoma through BIRC3 and the NF-κB pathway. J. Cancer 2018, 9, 3006–3015. [Google Scholar] [CrossRef]
- Raghavendra Rao, V.L.; Dhodda, V.K.; Song, G.; Bowen, K.K.; Dempsey, R.J. Traumatic brain injury-induced acute gene expression changes in rat cerebral cortex identified by GeneChip analysis. J. Neurosci. Res. 2003, 71, 208–219. [Google Scholar] [CrossRef]
- Oliva, A.A.; Kang, Y.; Sanchez-Molano, J.; Furones, C.; Atkins, C.M. STAT3 signaling after traumatic brain injury. J. Neurochem. 2012, 120, 710–720. [Google Scholar] [CrossRef] [PubMed]
- Zhao, J.; Li, G.; Zhang, Y.; Su, X.; Hang, C. The potential role of JAK2/STAT3 pathway on the anti-apoptotic effect of recombinant human erythropoietin (rhEPO) after experimental traumatic brain injury of rats. Cytokine 2011, 56, 343–350. [Google Scholar] [CrossRef] [PubMed]
- Fu, W.; Liao, X.; Ruan, J.; Li, X.; Chen, L.; Wang, B.; Zhou, J. Recombinant human erythropoietin preconditioning attenuates liver ischemia reperfusion injury through the phosphatidylinositol-3 kinase/AKT/endothelial nitric oxide synthase pathway. J. Surg. Res. 2013, 183, 876–884. [Google Scholar] [CrossRef] [PubMed]
- Grabenstatter, H.L.; Del Angel, Y.C.; Carlsen, J.; Wempe, M.F.; White, A.M.; Cogswell, M.; Brooks-Kayal, A.R. The effect of STAT3 inhibition on status epilepticus and subsequent spontaneous seizures in the pilocarpine model of acquired epilepsy. Neurobiol. Dis. 2014, 62, 73–85. [Google Scholar] [CrossRef]
- Zhao, J.; Zhang, Y.; Li, G.; Su, X.; Hang, C. Activation of JAK2/STAT pathway in cerebral cortex after experimental traumatic brain injury of rats. Neurosci. Lett. 2011, 498, 147–152. [Google Scholar] [CrossRef]
- Ndode-Ekane, X.E.; Matthiesen, L.; Bañuelos-Cabrera, I.; Palminha, C.A.P.; Pitkänen, A. T-cell infiltration into the perilesional cortex is long-lasting and associates with poor somatomotor recovery after experimental traumatic brain injury. Restor. Neurol. Neurosci. 2018, 36, 485–501. [Google Scholar] [CrossRef]
- Zhang, Q.; Lu, Y.; Bian, H.; Guo, L.; Zhu, H. Activation of the α7 nicotinic receptor promotes lipopolysaccharide-induced conversion of M1 microglia to M2. Am. J. Transl. Res. 2017, 9, 971–985. [Google Scholar]
- Yu, A.; Zhang, T.; Duan, H.; Pan, Y.; Zhang, X.; Yang, G.; Yang, Z. MiR-124 contributes to M2 polarization of microglia and confers brain inflammatory protection via the C/EBP-α pathway in intracerebral hemorrhage. Immunol. Lett. 2017, 182, 1–11. [Google Scholar] [CrossRef]
- Ponomarev, E.D.; Veremeyko, T.; Barteneva, N.; Krichevsky, A.M.; Weiner, H.L. MicroRNA-124 promotes microglia quiescence and suppresses EAE by deactivating macrophages via the C/EBP-α–PU.1 pathway. Nat. Med. 2011, 17, 64. [Google Scholar] [CrossRef]
- Yao, L.; Ye, Y.; Mao, H.; Lu, F.; He, X.; Lu, G.; Zhang, S. MicroRNA-124 regulates the expression of MEKK3 in the inflammatory pathogenesis of Parkinson’s disease. J. Neuroinflamm. 2018, 15, 13. [Google Scholar] [CrossRef]
- Smirnova, L.; Gräfe, A.; Seiler, A.; Schumacher, S.; Nitsch, R.; Wulczyn, F.G. Regulation of miRNA expression during neural cell specification. Eur. J. Neurosci. 2005, 21, 1469–1477. [Google Scholar] [CrossRef] [PubMed]
- Deo, M.; Yu, J.Y.; Chung, K.H.; Tippens, M.; Turner, D.L. Detection of mammalian microRNA expression by in situ hybridization with RNA oligonucleotides. Dev. Dyn. 2006, 235, 2538–2548. [Google Scholar] [CrossRef] [PubMed]
- Veremeyko, T.; Kuznetsova, I.S.; Dukhinova, M.; WYYung, A.; Kopeikina, E.; Barteneva, N.S.; Ponomarev, E.D. Neuronal extracellular microRNAs miR-124 and miR-9 mediate cell–cell communication between neurons and microglia. J. Neurosci. Res. 2019, 97, 162–184. [Google Scholar] [CrossRef] [PubMed]
- McIntosh, T.K.; Vink, R.; Noble, L.; Yamakami, I.; Fernyak, S.; Soares, H.; Faden, A.L. Traumatic brain injury in the rat: Characterization of a lateral fluid-percussion model. Neuroscience 1989, 28, 233–244. [Google Scholar] [CrossRef]
- Kharatishvili, I.; Nissinen, J.P.; McIntosh, T.K.; Pitkänen, A. A model of posttraumatic epilepsy induced by lateral fluid-percussion brain injury in rats. Neuroscience 2006, 140, 685–697. [Google Scholar] [CrossRef] [PubMed]
- Paxinos, G.; Watson, C. The Rat Brain in Stereotaxic Coordinates; Academic Press; Elsevier: Cambridge, MA, USA, 1986. [Google Scholar]
- Liu, C.; Xing, H.; Guo, C.; Yang, Z.; Wang, Y.; Wang, Y. MiR-124 reversed the doxorubicin resistance of breast cancer stem cells through STAT3/HIF-1 signaling pathways. Cell Cycle 2019, 18, 2215–2227. [Google Scholar] [CrossRef]
- Wang, S.; Wu, G.; Han, Y.; Song, P.; Chen, J.; Wu, Y.; Liang, P. MiR-124 regulates STAT3-mediated cell proliferation, migration and apoptosis in bladder cancer. Oncol. Lett. 2018, 16, 5875–5881. [Google Scholar] [CrossRef]
- Qi, M.M.; Ge, F.; Chen, X.J.; Tang, C.; Ma, J. MiR-124 changes the sensitivity of lung cancer cells to cisplatin through targeting STAT3. Eur. Rev. Med. Pharmacol. Sci. 2019, 23, 5242–5250. [Google Scholar]
- Livak, K.J.; Schmittgen, T.D. Analysis of Relative Gene Expression Data Using Real-Time Quantitative PCR and the 2−ΔΔCT Method. Methods 2001, 25, 402–408. [Google Scholar] [CrossRef]
- Schneider, C.A.; Rasband, W.S.; Eliceiri, K.W. NIH Image to ImageJ: 25 years of image analysis. Nat. Methods. 2012, 9, 671–675. [Google Scholar] [CrossRef]
- Collins, T.J. ImageJ for microscopy. Biotechniques. 2007, 43, 25–30. [Google Scholar] [CrossRef] [PubMed]
- Lipponen, A.; Paananen, J.; Puhakka, N.; Pitkänen, A. Analysis of Post-Traumatic Brain Injury Gene Expression Signature Reveals Tubulins, Nfe2l2, Nfkb, Cd44, and S100a4 as Treatment Targets. Sci. Rep. 2016, 6, 31570. [Google Scholar] [CrossRef] [PubMed]
- Agarwal, V.; Bell, G.W.; Nam, J.-W.; Bartel, D.P. Predicting effective microRNA target sites in mammalian mRNAs. Elife 2015, 4, e05005. [Google Scholar] [CrossRef] [PubMed]
- Mootha, V.K.; Lindgren, C.M.; Eriksson, K.-F.; Subramanian, A.; Sihag, S.; Lehar, J.; Puigserver, P.; Carlsson, E.; Ridderstråle, M.; Laurila, E.; et al. PGC-1α-responsive genes involved in oxidative phosphorylation are coordinately downregulated in human diabetes. Nat. Genet. 2003, 34, 267–273. [Google Scholar] [CrossRef]
- Subramanian, A.; Tamayo, P.; Mootha, V.K.; Mukherjee, S.; Ebert, B.L.; Gillette, M.A.; Paulovich, A.; Pomeroy, S.L.; Golub, T.R.; Lander, E.S.; et al. Gene set enrichment analysis: A knowledge-based approach for interpreting genome-wide expression profiles. Proc. Natl. Acad. Sci. USA 2005, 102, 15545–15550. [Google Scholar] [CrossRef]
- Fabregat, A.; Sidiropoulos, K.; Garapati, P.; Gillespie, M.; Hausmann, K.; Haw, R.; Jassal, B.; Jupe, S.; Korninger, F.; McKay, S.; et al. The reactome pathway knowledgebase. Nucleic Acids Res. 2016, 44, 481–487. [Google Scholar] [CrossRef]
- Krämer, A.; Green, J.; Pollard, J.; Tugendreich, S. Causal analysis approaches in ingenuity pathway analysis. Bioinformatics 2014, 30, 523–530. [Google Scholar]
- Rehmsmeier, M.; Steffen, P.; Hochsmann, M.; Giegerich, R. Fast and effective prediction of microRNA/target duplexes. RNA 2004, 10, 1507–1517. [Google Scholar] [CrossRef]





| Sex | Post-TBI | Age at the Time of Death | Injury Mechanism | Brain Region | Injury Severity (GCS) | Cause of Death | Epilepsy (yes/no) | CT |
|---|---|---|---|---|---|---|---|---|
| m | 5 days | 20 | Car accident | TC HC+TC | Severe | Trauma | no | Cerebral edema, small hemorrhages, diffuse axonal injury |
| m | 8 days | 79 | Fall accident | BA38 | Moderate | Post-traumatic pneumonia | no | Cerebral edema |
| m | 2 months | 82 | Fall accident | BA21 HC+TC | Mild | Cardiorespiratory insufficiency | no | N/A |
| f | N/A | 64 | N/A | N/A | N/A | Myocardial infarction | no | N/A |
| m | N/A | 67 | N/A | N/A | N/A | Cardiorespiratory insufficiency | no | N/A |
| m | N/A | 81 | N/A | N/A | N/A | Myocardial infarction | no | N/A |
| Upregulated Targets of miR-124-3p | Downregulated Targets of miR-124-3p | ||||
|---|---|---|---|---|---|
| Pathway | Subpathway | Molecules | Pathway | Subpathway | Molecules |
| S | Signaling by Receptor Tyrosine Kinases | 25 | NS | Neuronal System | 30 |
| S | Signaling by Nuclear Receptors | 16 | DB | Axon guidance | 21 |
| S | ESR-mediated signaling | 13 | NS | Transmission across Chemical Synapses | 18 |
| MP | IRE1alpha activates chaperones | 9 | MC | Muscle contraction | 14 |
| MP | Unfolded Protein Response (UPR) | 9 | MC | Cardiac conduction | 13 |
| MP | XBP1(S) activates chaperone genes | 8 | NS | Neurotransmitter receptors and postsynaptic signal transmission | 12 |
| DB | Semaphorin interactions | 7 | NS | Potassium Channels | 8 |
| DB | Transcriptional regulation of granulopoiesis | 7 | NS | Protein-protein interactions at synapses | 7 |
| S | Extra-nuclear estrogen signaling | 7 | S | Opioid Signaling | 7 |
| S | Signaling by NTRKs | 7 | GE | MECP2 regulates neuronal receptors and channels | 6 |
| TSM | Plasma lipoprotein assembly, remodeling, and clearance | 6 | MC | Phase 0—rapid depolarization | 6 |
| M | Import of palmitoyl-CoA into the mitochondrial matrix | 5 | M | Regulation of cholesterol biosynthesis by SREBP (SREBF) | 6 |
| CD | Apoptotic execution phase | 5 | IS | MyD88 cascade initiated on plasma membrane | 6 |
| D | Diseases associated with glycosaminoglycan metabolism | 5 | IS | Toll Like Receptor 5 (TLR5) Cascade | 6 |
| NS | GABA receptor activation | 5 | IS | Toll Like Receptor 10 [TLR10] Cascade | 6 |
| S | NRAGE signals death through JNK | 5 | GE | Transcriptional Regulation by MECP2 | 6 |
| H | Basigin interactions | 4 | IS | TRAF6 mediated induction of NFkB and MAP kinases upon TLR7/8 or 9 activation | 6 |
| EMO | Laminin interactions | 4 | IS | MyD88 dependent cascade initiated on endosome | 6 |
| GE | TP53 Regulates Transcription of Genes Involved in Cytochrome C Release | 4 | IS | Toll Like Receptor 7/8 (TLR7/8) Cascade | 6 |
| CD | Apoptotic cleavage of cellular proteins | 4 | IS | Toll Like Receptor 9 (TLR9) Cascade | 6 |
| Upregulated Targets of miR-124-3p | Downregulated Targets of miR-124-3p | ||||
|---|---|---|---|---|---|
| Category | Diseases or Functions Annotation | Molecules | Category | Diseases or Functions Annotation | Molecules |
| NSD | Cell death of cortical neurons | 14 | CM | Microtubule dynamics | 18 |
| CDN | Collapse of growth cone | 5 | NSD | Development of neurons | 17 |
| CDN | Neuroprotection of cerebral cortex cells | 4 | NSD | Neuritogenesis | 14 |
| NSD | Cell viability of hippocampal neurons | 3 | NSD | Proliferation of neuronal cells | 11 |
| CDN | Growth of embryo | 3 | CDN | Necrosis | 11 |
| NSD | Neurite outgrowth stage of dorsal root ganglion cells | 3 | CDN | Cell death of brain cells | 10 |
| NSD | Neuroprotection of hippocampus | 2 | NSD | Growth of neurites | 10 |
| NSD | Differentiation of embryonic cells | 2 | CDN | Neurological signs | 9 |
| NSD | Hereditary neuropathy | 2 | CDN | Alzheimer disease | 9 |
| CDN | Invasion of endothelial cells | 2 | CDN | Cell death of cerebral cortex cells | 8 |
| CDN | Development of enteric nervous system | 1 | NSD | Branching of neurites | 8 |
| NSD | Survival of neural tube cells | 1 | CDN | Huntington Disease | 8 |
| NSD | Prostatic carcinoma | 1 | NSD | Dendritic growth/branching | 7 |
| CDN | Apoptosis of neural tube cells | 1 | NSD | Plasticity of synapse | 5 |
| CDN | Inhibition of sympathetic nerve | 1 | NSD | Density of neurons | 5 |
| NSD | Apoptosis of pericytes | 1 | CC | Cell-cell contact | 5 |
| CDN | Quantity of long-chain acyl-coenzyme A | 1 | NSD | Quantity of neurons | 5 |
| M | Proliferation of neural tube cells | 1 | CDN | Cell death of cortical neurons | 5 |
| NSD | Finnish type amyloidosis | 1 | CC | Synaptic depression | 4 |
| CDN | Cell death of cortical neurons | 1 | NSD | Developmental process of synapse | 4 |
© 2020 by the authors. Licensee MDPI, Basel, Switzerland. This article is an open access article distributed under the terms and conditions of the Creative Commons Attribution (CC BY) license (http://creativecommons.org/licenses/by/4.0/).
Share and Cite
Vuokila, N.; Aronica, E.; Korotkov, A.; van Vliet, E.A.; Nuzhat, S.; Puhakka, N.; Pitkänen, A. Chronic Regulation of miR-124-3p in the Perilesional Cortex after Experimental and Human TBI. Int. J. Mol. Sci. 2020, 21, 2418. https://doi.org/10.3390/ijms21072418
Vuokila N, Aronica E, Korotkov A, van Vliet EA, Nuzhat S, Puhakka N, Pitkänen A. Chronic Regulation of miR-124-3p in the Perilesional Cortex after Experimental and Human TBI. International Journal of Molecular Sciences. 2020; 21(7):2418. https://doi.org/10.3390/ijms21072418
Chicago/Turabian StyleVuokila, Niina, Eleonora Aronica, Anatoly Korotkov, Erwin Alexander van Vliet, Salma Nuzhat, Noora Puhakka, and Asla Pitkänen. 2020. "Chronic Regulation of miR-124-3p in the Perilesional Cortex after Experimental and Human TBI" International Journal of Molecular Sciences 21, no. 7: 2418. https://doi.org/10.3390/ijms21072418
APA StyleVuokila, N., Aronica, E., Korotkov, A., van Vliet, E. A., Nuzhat, S., Puhakka, N., & Pitkänen, A. (2020). Chronic Regulation of miR-124-3p in the Perilesional Cortex after Experimental and Human TBI. International Journal of Molecular Sciences, 21(7), 2418. https://doi.org/10.3390/ijms21072418

