RETRACTED: Rosa davurica Pall. Improves Propionibacterium acnes-Induced Inflammatory Responses in Mouse Ear Edema Model and Suppresses Pro-Inflammatory Chemokine Production via MAPK and NF-κB Pathways in HaCaT Cells
Abstract
1. Introduction
2. Result
2.1. Antimicrobial Effects of RDL against Skin Bacteria
2.2. RDL Suppresses P. Acnes-Induced Expression of Proinflammatory Cytokines and TLR in HaCaT Cells
2.3. Modulation of P. Acnes-Induced Inflammatory Cell Signaling by RDL
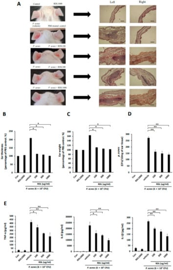
2.4. Effect of RDL on P. Acnes-Induced Inflammation In Vivo
2.5. Measurement of the Representative Component in RDL by GS-MS Analysis
3. Discussion
4. Materials and Methods
4.1. Chemicals and Reagents
4.2. Plant Materials and Extract Preparation
4.3. Preparation of Bacteria
4.4. Antimicrobial Activity
4.4.1. Disc Diffusion Method
4.4.2. Determination of Minimum Inhibitory and Bactericidal Concentrations
4.5. Determination of the Anti-Inflammatory Activity
4.5.1. Cell Culture
4.5.2. MTT Assay for Cell Viability
4.5.3. Cytokine Measurements Using ELISA Assay
4.6. P. Acnes-Induced Inflammation In Vivo
4.7. Western Blot Analysis
4.8. Histological Analysis
4.9. GC-MS Analysis
4.10. Statistical Analysis
5. Conclusions
Author Contributions
Conflicts of Interest
References
- Dryden, M.S. Skin and Soft Tissue Infection: Microbiology and Epidemiology. Int. J. Antimicrob. Agents 2009, 34 (Suppl. 1), S2–S7. [Google Scholar] [CrossRef]
- Sohail, M.R.; Gray, A.L.; Baddour, L.M.; Tleyjeh, I.M.; Virk, A. Infective Endocarditis due to Propionibacterium Species. Clin. Microbiol. Infect. 2009, 15, 387–394. [Google Scholar] [CrossRef] [PubMed]
- Mak, T.N.; Fischer, N.; Laube, B.; Brinkmann, V.; Metruccio, M.M.; Sfanos, K.S.; Mollenkopf, H.J.; Meyer, T.F.; Bruggemann, H. Propionibacterium Acnes Host Cell Tropism Contributes to Vimentin-Mediated Invasion and Induction of Inflammation. Cell. Microbiol. 2012, 14, 1720–1733. [Google Scholar] [CrossRef] [PubMed]
- McCaig, L.F.; McDonald, L.C.; Mandal, S.; Jernigan, D.B. Staphylococcus Aureus-Associated Skin and Soft Tissue Infections in Ambulatory Care. Emerg. Infect. Dis. 2006, 12, 1715–1723. [Google Scholar] [CrossRef] [PubMed]
- Otto, M. Staphylococcus Colonization of the Skin and Antimicrobial Peptides. Expert Rev. Dermatol. 2010, 5, 183–195. [Google Scholar] [CrossRef] [PubMed]
- Chomnawang, M.T.; Surassmo, S.; Nukoolkarn, V.S.; Gritsanapan, W. Antimicrobial Effects of Thai Medicinal Plants against Acne-Inducing Bacteria. J. Ethnopharmacol. 2005, 101, 330–333. [Google Scholar] [CrossRef]
- Leeming, J.P.; Holland, K.T.; Cuncliffe, W.J. The Microbial Colonization of Inflamed Acne Vulgaris Lesions. Br. J. Dermatol. 1988, 118, 203–208. [Google Scholar] [CrossRef]
- Leyden, J.J.; McGinley, K.J.; Vowels, B. Propionibacterium Acnes Colonization in Acne and Nonacne. Dermatology 1998, 196, 55–58. [Google Scholar] [CrossRef]
- Nam, C.; Kim, S.; Sim, Y.; Chang, I. Anti-Acne Effects of Oriental Herb Extracts: A Novel Screening Method to Select Anti-Acne Agents. Skin Pharmacol. Appl. Skin Physiol. 2003, 16, 84–90. [Google Scholar] [CrossRef]
- Tan, H.H. Antibacterial Therapy for Acne: A Guide to Selection and use of Systemic Agents. Am. J. Clin. Dermatol. 2003, 4, 307–314. [Google Scholar] [CrossRef]
- Dreno, B.; Thiboutot, D.; Gollnick, H.; Bettoli, V.; Kang, S.; Leyden, J.J.; Shalita, A.; Torres, V. Global Alliance to Improve Outcomes in Acne. Antibiotic Stewardship in Dermatology: Limiting Antibiotic use in Acne. Eur. J. Dermatol. 2014, 24, 330–334. [Google Scholar] [PubMed]
- Hsu, C.; Tsai, T.H.; Li, Y.Y.; Wu, W.H.; Huang, C.J.; Tsai, P.J. Wild Bitter Melon (Momordica Charantia Linn. Var. Abbreviata Ser.) Extract and its Bioactive Components Suppress Propionibacterium Acnes-Induced Inflammation. Food Chem. 2012, 135, 976–984. [Google Scholar] [CrossRef] [PubMed]
- Huang, W.C.; Tsai, T.H.; Huang, C.J.; Li, Y.Y.; Chyuan, J.H.; Chuang, L.T.; Tsai, P.J. Inhibitory Effects of Wild Bitter Melon Leaf Extract on Propionibacterium Acnes-Induced Skin Inflammation in Mice and Cytokine Production in Vitro. Food Funct. 2015, 6, 2550–2560. [Google Scholar] [CrossRef] [PubMed]
- Tsai, T.H.; Chuang, L.T.; Lien, T.J.; Liing, Y.R.; Chen, W.Y.; Tsai, P.J. Rosmarinus Officinalis Extract Suppresses Propionibacterium Acnes-Induced Inflammatory Responses. J. Med. Food 2013, 16, 324–333. [Google Scholar] [CrossRef]
- Jung, H.J.; Sa, J.H.; Song, Y.S.; Shim, T.H.; Park, E.H.; Lim, C.J. Anti-Inflammatory, Anti-Angiogenic, and Anti-Nociceptive Activities of the Chloroform Fraction of a Methanol Extract from Rosa Davurica Pall. Leaves in Experimental Animal Models. Immunopharmacol. Immunotoxicol. 2011, 33, 186–192. [Google Scholar] [CrossRef]
- Cho, E.J.; Yokozawa, T.; Rhyu, D.Y.; Kim, S.C.; Shibahara, N.; Park, J.C. Study on the Inhibitory Effects of Korean Medicinal Plants and their Main Compounds on the 1,1-Diphenyl-2-Picrylhydrazyl Radical. Phytomedicine 2003, 10, 544–551. [Google Scholar] [CrossRef]
- Jiao, S.P.; Chen, B.; Du, P.G. Anti-Lipid Peroxidation Effect of Rosa Davurica Pall. Fruit. Zhong Xi Yi Jie He Xue Bao 2004, 2, 364–365. [Google Scholar] [CrossRef] [PubMed]
- Bojar, R.A.; Holland, K.T. Acne and Propionibacterium Acnes. Clin. Dermatol. 2004, 22, 375–379. [Google Scholar] [CrossRef]
- Farrar, M.D.; Ingham, E. Acne: Inflammation. Clin. Dermatol. 2004, 22, 380–384. [Google Scholar] [CrossRef]
- Zouboulis, C.C.; Eady, A.; Philpott, M.; Goldsmith, L.A.; Orfanos, C.; Cunliffe, W.C.; Rosenfield, R. What is the Pathogenesis of Acne? Exp. Dermatol. 2005, 14, 143–152. [Google Scholar] [CrossRef]
- Kumar, B.; Pathak, R.; Mary, P.B.; Jha, D.; Sardana, K.; Gautam, H.K. New Insights into Acne Pathogenesis: Exploring the Role of Acne-Associated Microbial Populations. Dermatol. Sin. 2016, 34, 67–73. [Google Scholar] [CrossRef]
- Lomholt, H.B.; Kilian, M. Population Genetic Analysis of Propionibacterium Acnes Identifies a Subpopulation and Epidemic Clones Associated with Acne. PLoS ONE 2010, 5, e12277. [Google Scholar] [CrossRef] [PubMed]
- Kim, J.; Ochoa, M.T.; Krutzik, S.R.; Takeuchi, O.; Uematsu, S.; Legaspi, A.J.; Brightbill, H.D.; Holland, D.; Cunliffe, W.J.; Akira, S.; et al. Activation of Toll-Like Receptor 2 in Acne Triggers Inflammatory Cytokine Responses. J. Immunol. 2002, 169, 1535–1541. [Google Scholar] [CrossRef] [PubMed]
- Kurokawa, I.; Danby, F.W.; Ju, Q.; Wang, X.; Xiang, L.F.; Xia, L.; Chen, W.; Nagy, I.; Picardo, M.; Suh, D.H.; et al. New Developments in our Understanding of Acne Pathogenesis and Treatment. Exp. Dermatol. 2009, 18, 821–832. [Google Scholar] [CrossRef] [PubMed]
- Tanghetti, E.A. The Role of Inflammation in the Pathology of Acne. J. Clin. Aesthet. Dermatol. 2013, 6, 27–35. [Google Scholar] [PubMed]
- Jugeau, S.; Tenaud, I.; Knol, A.C.; Jarrousse, V.; Quereux, G.; Khammari, A.; Dreno, B. Induction of Toll-Like Receptors by Propionibacterium Acnes. Br. J. Dermatol. 2005, 153, 1105–1113. [Google Scholar] [CrossRef]
- Lee, W.R.; Kim, K.H.; An, H.J.; Kim, J.Y.; Chang, Y.C.; Chung, H.; Park, Y.Y.; Lee, M.L.; Park, K.K. The Protective Effects of Melittin on Propionibacterium Acnes-Induced Inflammatory Responses in Vitro and in Vivo. J. Invest. Dermatol. 2014, 134, 1922–1930. [Google Scholar] [CrossRef]
- Grange, P.A.; Raingeaud, J.; Calvez, V.; Dupin, N. Nicotinamide Inhibits Propionibacterium Acnes-Induced IL-8 Production in Keratinocytes through the NF-kappaB and MAPK Pathways. J. Dermatol. Sci. 2009, 56, 106–112. [Google Scholar] [CrossRef]
- Chen, Q.; Koga, T.; Uchi, H.; Hara, H.; Terao, H.; Moroi, Y.; Urabe, K.; Furue, M. Propionibacterium Acnes-Induced IL-8 Production may be Mediated by NF-kappaB Activation in Human Monocytes. J. Dermatol. Sci. 2002, 29, 97–103. [Google Scholar] [CrossRef]
- Lee, J.C.; Laydon, J.T.; McDonnell, P.C.; Gallagher, T.F.; Kumar, S.; Green, D.; McNulty, D.; Blumenthal, M.J.; Heys, J.R.; Landvatter, S.W.; et al. A Protein Kinase Involved in the Regulation of Inflammatory Cytokine Biosynthesis. Nature 1994, 372, 739–746. [Google Scholar] [CrossRef]
- Lee, J.C.; Young, P.R. Role of CSB/p38/RK Stress Response Kinase in LPS and Cytokine Signaling Mechanisms. J. Leukoc. Biol. 1996, 59, 152–157. [Google Scholar] [CrossRef] [PubMed]
- Carter, A.B.; Knudtson, K.L.; Monick, M.M.; Hunninghake, G.W. The p38 Mitogen-Activated Protein Kinase is Required for NF-kappaB-Dependent Gene Expression. The Role of TATA-Binding Protein (TBP). J. Biol. Chem. 1999, 274, 30858–30863. [Google Scholar] [CrossRef] [PubMed]
- Kyriakis, J.M.; Avruch, J. Mammalian Mitogen-Activated Protein Kinase Signal Transduction Pathways Activated by Stress and Inflammation. Physiol. Rev. 2001, 81, 807–869. [Google Scholar] [CrossRef] [PubMed]
- Tak, P.P.; Firestein, G.S. NF-kappaB: A Key Role in Inflammatory Diseases. J. Clin. Invest. 2001, 107, 7–11. [Google Scholar] [CrossRef]
- Aggarwal, B.B. Signalling Pathways of the TNF Superfamily: A Double-Edged Sword. Nat. Rev. Immunol. 2003, 3, 745–756. [Google Scholar] [CrossRef]
- An, H.J.; Lee, W.R.; Kim, K.H.; Kim, J.Y.; Lee, S.J.; Han, S.M.; Lee, K.G.; Lee, C.K.; Park, K.K. Inhibitory Effects of Bee Venom on Propionibacterium Acnes-Induced Inflammatory Skin Disease in an Animal Model. Int. J. Mol. Med. 2014, 34, 1341–1348. [Google Scholar] [CrossRef]
- Nakatsuji, T.; Shi, Y.; Zhu, W.; Huang, C.P.; Chen, Y.R.; Lee, D.Y.; Smith, J.W.; Zouboulis, C.C.; Gallo, R.L.; Huang, C.M. Bioengineering a Humanized Acne Microenvironment Model: Proteomics Analysis of Host Responses to Propionibacterium Acnes Infection in Vivo. Proteomics 2008, 8, 3406–3415. [Google Scholar] [CrossRef]
- Yoshida, T.; Zhe, X.J.; Okuda, T. Taxifolin Apioside and Davuriciin M1, a Hydrolysable Tannin from Rosa Davurica. Phytochemistry 1989, 28, 2177–2181. [Google Scholar] [CrossRef]
- Lertsatitthanakorn, P.; Taweechaisupapong, S.; Arunyanart, C.; Aromdee, C.; Khunkitti, W. Effect of Citronella Oil on Time Kill Profile, Leakage and Morphological Changes of Propionibacterium Acnes. J. Essent. Oil Res. 2010, 22, 270–274. [Google Scholar] [CrossRef]
- De Souza, S.M.; Delle Monache, F.; Smania, A., Jr. Antibacterial Activity of Coumarins. Z. Naturforsch. C J. Biosci. 2005, 60, 693–700. [Google Scholar] [CrossRef]
- Kartnig, T.; Still, F.; Reinthaler, F. Antimicrobial Activity of the Essential Oil of Young Pine Shoots (Picea Abies L.). J. Ethnopharmacol. 1991, 35, 155–157. [Google Scholar] [CrossRef]
- Kim, E.; Lee, S.; Kim, J.S.; Yoon, W.D.; Lim, D.; Hart, A.J.; Hodgson, W.C. Cardiovascular Effects of Nemopilema Nomurai (Scyphozoa: Rhizostomeae) Jellyfish Venom in Rats. Toxicol. Lett. 2006, 167, 205–211. [Google Scholar] [CrossRef] [PubMed]
- Lee, H.; Kim, J.S.; Kim, E. Fucoidan from Seaweed Fucus Vesiculosus Inhibits Migration and Invasion of Human Lung Cancer Cell via PI3K-Akt-mTOR Pathways. PLoS ONE 2012, 7, e50624. [Google Scholar] [CrossRef] [PubMed]
- Nam, S.; Jang, H.W.; Shibamoto, T. Antioxidant Activities of Extracts from Teas Prepared from Medicinal Plants, Morus Alba L., Camellia Sinensis L., and Cudrania Tricuspidata, and their Volatile Components. J. Agric. Food Chem. 2012, 60, 9097–9105. [Google Scholar] [CrossRef] [PubMed]
- Kovats, E. Gas Chromatographic Characterization of Organic Substances in the Retention Index System. Adv. Chromatogr. 1965, 1, 229–247. [Google Scholar]
- Ettre, L.S. Interpretation of Analytical Results. Pract. Gas Chromatogr. 1967, 402–440. [Google Scholar]








| Compound | P. acnes | S. epidermidis | S. aureus | |||
|---|---|---|---|---|---|---|
| MIC (μg/ml) | MBC (μg/ml) | MIC (μg/ml) | MBC (μg/ml) | MIC (μg/ml) | MBC (μg/ml) | |
| Leaf | 62.5 | 125 | 125 | 125 | 62.5 | 250 |
| Root | 125 | 500 | 125 | 250 | 250 | 500 |
| Stem | 500 | 1000 | 250 | 500 | 250 | 500 |
| Fruit | 1000 | 1000 | 500 | 1000 | 500 | 1000 |
| Clindamycin | 15.6 | 31.2 | 15.6 | 15.6 | 15.6 | 31.2 |
| No. | Retention Time (Min) | Name | Formula | Score (%) | Mass (m/z) | Activity (1) |
|---|---|---|---|---|---|---|
| 1 | 24.393 | 4H-Pyran-4-one, 2,3-dihydro-3,5-dihydroxy-6-methyl-(=DDMP) | C6H8O4 | 75.86 | 144 | Antimicrobial anti-inflammatory |
| 2 | 35.134 | 1,2,3-Bezenetriol (=pyrogallol) | C6H6O3 | 94.35 | 126 | Antimicrobial preservative |
| 3 | 56.038 | n-Hexadecanoic acid(=palmitic acid) | C16H32O2 | 91.33 | 256.2 | Antioxidant, hypocholesterolemic nematicide, pesticide, lubricant, antiandrogenic, flavor, hemolytic 5-alpha reductase inhibitor |
| 4 | 58.141 | 1-Hexadecanol(=Cetyl alcohol ) | C16H34O | 88.25 | 242.3 | Antimicrobial |
| 5 | 59.142 | 9,12-Octadecadienoic acid (Z,Z)-(=Linoleic acid) | C18H32O2 | 95.86 | 280.2 | Antioxidant, Anticancer, Antidiabet, hypocholesterolemic action |
| 6 | 59.286 | 9-Octadecadienoic acid, (E)- (=oleic acid) | C18H34O2 | 90.56 | 256.2 | Antiinflammatory, antiandrogenic cancer preventive, dermatitigenic hypocholesterolemic, 5-alpha reductase inhibitor, anemiagenic insectifuge, flavor |
| 7 | 59.813 | Octadecadienoic acid(=staric acid) | C18H36O2 | 88.64 | 284.3 | Antidiabet, hypocholesterolemic action |
© 2020 by the authors. Licensee MDPI, Basel, Switzerland. This article is an open access article distributed under the terms and conditions of the Creative Commons Attribution (CC BY) license (http://creativecommons.org/licenses/by/4.0/).
Share and Cite
Hwang, D.H.; Lee, D.Y.; Koh, P.-O.; Yang, H.R.; Kang, C.; Kim, E. RETRACTED: Rosa davurica Pall. Improves Propionibacterium acnes-Induced Inflammatory Responses in Mouse Ear Edema Model and Suppresses Pro-Inflammatory Chemokine Production via MAPK and NF-κB Pathways in HaCaT Cells. Int. J. Mol. Sci. 2020, 21, 1717. https://doi.org/10.3390/ijms21051717
Hwang DH, Lee DY, Koh P-O, Yang HR, Kang C, Kim E. RETRACTED: Rosa davurica Pall. Improves Propionibacterium acnes-Induced Inflammatory Responses in Mouse Ear Edema Model and Suppresses Pro-Inflammatory Chemokine Production via MAPK and NF-κB Pathways in HaCaT Cells. International Journal of Molecular Sciences. 2020; 21(5):1717. https://doi.org/10.3390/ijms21051717
Chicago/Turabian StyleHwang, Du Hyeon, Dong Yeol Lee, Phil-Ok Koh, Hye Ryeon Yang, Changkeun Kang, and Euikyung Kim. 2020. "RETRACTED: Rosa davurica Pall. Improves Propionibacterium acnes-Induced Inflammatory Responses in Mouse Ear Edema Model and Suppresses Pro-Inflammatory Chemokine Production via MAPK and NF-κB Pathways in HaCaT Cells" International Journal of Molecular Sciences 21, no. 5: 1717. https://doi.org/10.3390/ijms21051717
APA StyleHwang, D. H., Lee, D. Y., Koh, P.-O., Yang, H. R., Kang, C., & Kim, E. (2020). RETRACTED: Rosa davurica Pall. Improves Propionibacterium acnes-Induced Inflammatory Responses in Mouse Ear Edema Model and Suppresses Pro-Inflammatory Chemokine Production via MAPK and NF-κB Pathways in HaCaT Cells. International Journal of Molecular Sciences, 21(5), 1717. https://doi.org/10.3390/ijms21051717

