Molecular Characterization and Functional Analysis of a Ferritin Heavy Chain Subunit from the Eri-Silkworm, Samia cynthia ricini
Abstract
1. Introduction
2. Results
2.1. Identification of the ScFerHCH Gene and Sequence Analysis
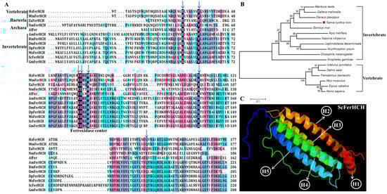
2.2. Homology Analysis and Phylogentic Analysis
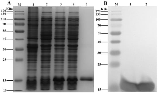
2.3. Recombinant Protein Expression, Purification and Antibody Prepartion
2.4. Tissue Distribution of the ScFerHCH Gene
2.5. Expression Profiles of ScFerHCH after Challenge with Pathogens
2.6. Iron Chelating Assay
2.7. H2O2 Tolerance Bioassay
3. Discussion
4. Materials and Methods
4.1. Eri-Silkworm Collection, Bacteria Challenge and Tissue Collection
4.2. RNA Extraction and cDNA Synthesis
4.3. Identification of ScFerHCH from the Transcriptome and Bioformatics Analysis
4.4. Reverse Transcription Quantitative PCR (RT-qPCR) Analysis of ScFerHCH Expression Levels
4.5. Prokaryotic Expression and Protein Purification
4.6. Antibody Prepartion and Western Blott Analysis
4.7. Iron Chelating Assay
4.8. H2O2 Tolerance Bioassay
5. Conclusions
Acknowledgments
Author Contributions
Conflicts of Interest
Abbreviations
| RT-qPCR | Reverse transcription quantitative PCR |
| IBP | Iron-binding protein |
| HCH | Heavy chain homolog |
| LCH | Light cgain homolog |
| IRE | Iron responsive element |
| BLAST | Basic local alignment search tool |
| UTR | Untranslated region |
| IPTG | Isopropyl β-d-thiogalactoside |
| SDS-PAGE | Sodium dodecyl sulphate-polyacrylamide gel electrophoresis |
| MSF | Phenylmethanesulfonyl fluoride |
| PVDF | Polyvinylidenedifluoride |
| HRP | Horseradish peroxidase |
| BSA | Bovine serum albumin |
| ROS | Reactive oxygen species |
| BM | Basement membrane |
References
- Lin, S.J.; Lee, D.Y.; Wang, H.C.; Kang, S.T.; Hang, P.P.; Kou, G.H.; Huang, M.F.; Chang, G.D.; Lo, C.F. White Spot Syndrome Virus Protein Kinase 1 Defeats the Hosts Cell’s Iron-Withholding Defense Mechanism by Interacting with Host Ferritin. J. Virol. 2015, 89, 1083–1193. [Google Scholar] [CrossRef] [PubMed][Green Version]
- Harrison, P.M.; Arosio, P. The ferritins: Molecular properties, iron storage function and cellular regulation. Biochim. Biophys. Acta 1996, 1275, 161–203. [Google Scholar] [CrossRef]
- Watt, R.K. The many faces of the octahedral ferritin protein. Biometals 2011, 24, 489–500. [Google Scholar] [CrossRef] [PubMed]
- Wang, J.; Pantopoulos, K. Regulation of cellular iron metabolism. Biochem. J. 2011, 434, 365–381. [Google Scholar] [CrossRef] [PubMed]
- Aisen, P.; Enns, C.; Wessling-Resnick, M. Chemistry and biology of eukaryotic iron metabolism. Int. J. Biochem. Cell Biol. 2011, 33, 940–959. [Google Scholar] [CrossRef]
- Nichol, H.; Law, J.H.; Winzerling, J.J. Iron metabolism in insects. Annu. Rev. Entomol. 2002, 47, 535. [Google Scholar] [CrossRef] [PubMed]
- Reif, D.W. Ferritin as a source of iron for oxidative damage. Free Rad. Biol. Med. 1992, 12, 417–427. [Google Scholar] [CrossRef]
- Linn, S. DNA damage by iron and hydrogen peroxide in vitro and in vivo. Drug Metab. Rev. 1998, 30, 313–326. [Google Scholar] [CrossRef] [PubMed]
- Collin, O.; Thomas, D.; Flifla, M.; Quintana, C.; Gouranton, J. Characterization of a ferritin isolated from the midgut epithelial cells of a homopteran insect, Philaenux spumarius L. Biol. Cell 1988, 63, 297–305. [Google Scholar] [CrossRef] [PubMed]
- Chen, G.F.; Zhang, C.Y.; Wang, Y.Y.; Guo, C.L.; Sang, F.M.; Wang, C.M. Identification and characterization of a ferritin gene involved in the immune defense response of scallop Chlamys farreri. Fish Shellfish Immunol. 2016, 55, 1–9. [Google Scholar] [CrossRef] [PubMed]
- Ebrahimi, K.H.; Hagedoorn, P.L.; Hagen, W.R. Unity in the Biochemistry of the Iron-Storage Proteins Ferritin and Bacterioferritin. Chem. Rev. 2015, 115, 295. [Google Scholar] [CrossRef] [PubMed]
- Hagen, W.R.; Hagedoorn, P.L.; Ebrahimi, K.H. The workings of ferritin: A crossroad of opinions. Metallomics 2017, 9, 595–605. [Google Scholar] [CrossRef] [PubMed]
- Rivera, M. Bacterioferritin: Structure, Dynamics, and Protein-Protein Interactions at Play in Iron Storage and Mobilization. Acc. Chem. Res. 2017, 50, 331. [Google Scholar] [CrossRef] [PubMed]
- Salgado, J.C.; Olivera-Nappa, A.; Gerdtzen, Z.P.; Tapia, V.; Theil, E.C.; Conca, C.; Nunez, M.T. Mathematical modeling of the dynamics storage of iron in ferritin. BMC Syst. Biol. 2010, 4, 147. [Google Scholar] [CrossRef] [PubMed]
- Ruddell, R.G.; Hoang-Le, D.; Barwood, J.M.; Rutherford, P.S.; Piva, T.J.; Watters, D.J.; Santambrogio, P.; Arosio, P.; Ramm, G.A. Ferritin functions as a proinflammatory cytokine via iron-independent protein kinase C zeta/nuclear factor kappaB-regulated signaling in rat hepatic stellate cells. Hepatology 2009, 49, 887–900. [Google Scholar] [CrossRef] [PubMed]
- Levenson, C.W.; Fitch, C.A. Effect of altered thyroid hormone status on rat brain H and ferritin L mRNA during postnatal development. Dev. Brain Res. 2000, 119, 105. [Google Scholar] [CrossRef]
- Arosio, P.; Ingraassia, R.; Cavadini, P. Ferritins: A family of molecules for iron storage, antioxidation and more. Biochim. Biophys. Acta 2009, 1790, 589–599. [Google Scholar] [CrossRef] [PubMed]
- Hu, Y.H.; Zheng, W.J.; Li, S. Identification and molecular analysis of a ferritin subunit from red drum (Sciaenops ocellatus). Fish Shellfish Immunol. 2010, 28, 678–686. [Google Scholar] [CrossRef] [PubMed]
- Ebrahimi, K.H.; Hagedoorn, P.L.; Hagen, W.R. A Conserved Tyrosine in Ferritin Is a Molecular Capacitor. Chem. Biol. Chem. 2013, 14, 1123–1133. [Google Scholar] [CrossRef] [PubMed]
- Ebrahimi, K.H.; Bill, E.; Hagedoorn, P.L.; Hagen, W.R. Spectroscopic evidence for the role of a site of the di-iron catalytic center of ferritins in tuning the kinetics of Fe(II) oxidation. Mol. Biosyst. 2016, 12, 3576. [Google Scholar] [CrossRef] [PubMed]
- Ebrahimi, K.H.; Bill, E.; Hagedoorn, P.L.; Hagen, W.R. The catalytic center of ferritin regulates iron storage via Fe(II)-Fe(III) displacement. Nat. Chem. Biol. 2012, 8, 941–948. [Google Scholar] [CrossRef] [PubMed]
- Hamburger, A.E.; West, A.P., Jr.; Hamburger, Z.A.; Hamburger, P.; Bjorkman, P.J. Crystal structure of a secreted insect ferritin reveals a symmetrical arrangement of heavy and light chains. J. Mol. Biol. 2005, 349, 558. [Google Scholar] [CrossRef] [PubMed]
- Missirlis, F.; Holmberg, S.; Georgieva, T.; Dunkov, B.C.; Rouault, T.A.; Law, J.H. Characterization of mitochondrial ferritin in Drosophila. Proc. Natl. Acad. Sci. USA 2006, 103, 5893–5898. [Google Scholar] [CrossRef] [PubMed]
- Otho, S.A.; Chen, K.K.; Zhang, Y.D.; Wang, P.; Lu, Z.Q. Silkworm ferritin 1 heavy chain homolog is involved in defense against bacterial infection through regulation of haemolymph iron homeostasis. Dev. Comp. Immunol. 2016, 55, 152–158. [Google Scholar] [CrossRef] [PubMed]
- Georgieva, T.; Dunkov, B.C.; Harizanova, N.; Ralchev, K.; Law, J.H. Iron Availability Dramatically Alters the Distribution of Ferritin Subunit Messages in Drosophila melanogaster. Proc. Natl. Acad. Sci. USA 2016, 55, 152–158. [Google Scholar] [CrossRef]
- Pham, D.Q.; Douglass, P.L.; Chavez, C.A.; Shaffer, J.J. Regulation of the ferritin heavy-chain homologue gene in the yellow fever mosquito, Aedes aegypti. Insect Mol. Biol. 2005, 14, 223–236. [Google Scholar] [CrossRef] [PubMed]
- He, J.; Jiang, J.Z.; Gu, L.; Zhao, M.M.; Wang, R.X.; Ye, L.T.; Yao, T.; Wang, J.R. Identification and involvement of ferritin in the response to pathogen challenge in the abalone, Haliotis diversicolor. Dev. Comp. Immunol. 2016, 60, 23–32. [Google Scholar] [CrossRef] [PubMed]
- Yan, A.F.; Ren, C.H.; Chen, T.; Jiang, X.; Sun, H.Y.; Hu, C.Q. Identification and functional characterization of a novel ferritin subunit from the tropical sea cucumber, Stichopus monotuberculatus. Fish Shellfish Immunol. 2014, 38, 265–274. [Google Scholar]
- Kim, J.S.; Park, J.S.; Kim, M.J.; Kang, P.D.; Kim, S.G.; Jin, B.R.; Han, Y.S.; Kim, I. Complete nucleotide sequence and organization of the mitochondrial genome sequence of eri-silkworm, Samia cynthia ricini (Lepidoptera: Saturniidae). J. Asia-Pac. Entomol. 2012, 15, 162–173. [Google Scholar] [CrossRef]
- Nath, B.S.; Suresh, A.; Varma, B.M.; Kumar, R.P.S. Changes in Protein Metabolism in Hemolymph and Fat Body of Silkworm, Bombyx mori (Lepidoptera: Bombycidae) in Response to Organophosphorus Insecticides Toxicity. Pestic. Biochem. Phys. 1997, 36, 169–173. [Google Scholar] [CrossRef] [PubMed]
- Andrews, S.C.; Harrison, P.M.; Yewdall, S.J.; Arosio, P.; Levi, S.; Bottke, W.; Darl, M.V.; Briat, J.F.; Laulhere, J.P.; Lobreaux, S. Structure, function, and evolution of ferritins. J. Inorg. Biochem. 1992, 47, 161. [Google Scholar] [CrossRef]
- Chiancone, E.; Ceci, P.; Ilari, A.; Ribacchi, F.; Stefanini, S. Iron and proteins for iron storage and detoxification. BioMetals 2004, 17, 197–202. [Google Scholar] [CrossRef] [PubMed]
- Dunkov, B.C.; Zhang, D.; Choumarov, K.; Winzerling, J.J.; Law, J.H. Isolation and Characterization of Mosquito Ferritin and cloning of a cDNA That Encodes One Subunit. Arch. Insect Biochem. Physiol. 1995, 29, 293–307. [Google Scholar] [CrossRef] [PubMed]
- Ebrahimi, K.H.; Hagedoorn, P.L.; van der Weel, L.; Verhaert, P.D.E.M.; Hagen, W.R. A novel mechanism of iron-core formation by Pyrococcus furiosus archaeoferritin, a member of an uncharacterized branch of the ferritin-like superfamily. J. Biol. Inorg. Chem. 2012, 17, 975–985. [Google Scholar] [CrossRef] [PubMed][Green Version]
- Andrews, N.C. Forging a filed: The golden age of iron biology. Blood 2008, 112, 219. [Google Scholar] [CrossRef] [PubMed]
- Stricklerdinglasan, P.M.; Guz, N.; Attardo, G.; Aksoy, S. Molecular characterization of iron binding proteins from Glossina morsitans (Diptera: Glossinidae). Insect Biochem. Mol. Biol. 2006, 36, 921–933. [Google Scholar] [CrossRef] [PubMed]
- Wang, D.; Kim, B.Y.; Lee, K.S.; Yoon, H.J.; Cui, Z.; Lu, W.; Jia, J.M.; Kim, D.H.; Sohn, H.D.; Jin, B.R. Molecular characterization of iron binding proteins, transferrin and ferritin heavy chain subunit, from the bumblebee Bombus ignites. Comp. Biochem. Physiol. B 2009, 152, 20–27. [Google Scholar] [CrossRef] [PubMed]
- Thomson, A.M.; Rogers, J.T.; Leedman, P.J. Iron-regulatory proteins, iron-responsive elements and ferritin mRNA translation. Int. J. Biochem. Cell Biol. 1999, 31, 1139–1152. [Google Scholar] [CrossRef]
- Goossen, B.; Hentze, M.W. Position is the critical determinant for functional of iron-responsive elements as translational regulators. Mol. Cell. Biol. 1992, 12, 1959–1966. [Google Scholar] [CrossRef] [PubMed]
- Pham, D.Q.; Winzerling, J.J.; Dodson, M.S.; Law, J.H. Transcriptional control is relevant in the modulation of mosquito ferritin synthesis by iron. Eur. J. Biochem. 1999, 266, 236–240. [Google Scholar] [CrossRef] [PubMed]
- Keim, C.N.; Cruzlandim, C.; Carneiro, F.G.; Farina, M. Ferritin in iron containing granules from the fat body of the honeybees Apis mellifera and Scaptotrigona postica. Micron 2002, 33, 53–59. [Google Scholar] [CrossRef]
- Yang, W.J.; Yuan, G.R.; Cong, L.; Xie, Y.F.; Wang, J.J. De novo cloning and annotation of genes associated with immunity, detoxification and energy metabolism from the fat body of the oriental fruit fly, Bactrocera dorsalis. PLoS ONE 2014, 9, e94470. [Google Scholar] [CrossRef] [PubMed]
- Yu, H.Z.; Xu, J.P.; Wang, X.Y.; Ma, Y.; Yu, D.; Fei, D.Q.; Zhang, S.Z.; Wang, W.L. Identification of Four ATP-Binding Cassette Transporter Genes in Cnaphalocrocis medinalis and Their Expression in Response to Insecticide Treatment. J. Insect Sci. 2017, 17, 1–8. [Google Scholar] [CrossRef] [PubMed]
- Li, C.H.; Li, Z.; Li, Y.; Zhou, J.; Zhang, C.D.; Su, X.R.; Li, T.W. Ferritin from Dendrorhynchus zhejiangensis with Heavy Metals Detoxification Activity. PLoS ONE 2012, 7, e51428. [Google Scholar] [CrossRef] [PubMed]
- Liu, Q.N.; Xin, Z.Z.; Liu, Y.; Wang, Z.F.; Chen, Y.J.; Zhang, D.Z.; Jiang, S.H.; Chai, X.Y.; Zhou, C.L.; Tang, B.P. A ferritin gene from Procambarus clarkia, molecular characterization and in response to heavy metal stress and lipopolysaccharide challenge. Fish Shellfish Immunol. 2017, 63, 297–303. [Google Scholar] [CrossRef] [PubMed]
- You, X.L.; Wang, L.L.; Liu, Z.F.; Wang, L.; Zhou, Z.Y.; Li, Z. Identification of Bombyx mori Ferritin Gene and Analysis on Its Sequence Features and Expression Patterns. Sci. Seric. 2017, 43, 0402–0413. [Google Scholar]
- Bozzaro, S.; Buracco, S.; Peracino, B. Iron metabolism and resistance to infection by invasive bacteria in the social amoeba Dictyostelium discoideum. Front. Cell. Infect. Microb. 2013, 3, 50. [Google Scholar] [CrossRef] [PubMed]
- Drakesmith, H.; Prentice, A. Viral infection and iron metabolism. Nat. Rev. Microbiol. 2008, 6, 541. [Google Scholar] [CrossRef] [PubMed]
- Dunford, H.B. Oxidations of iron (II)/(III) by hydrogen peroxide: From aquo to enzyme. Coordin. Chem. Rev. 2002, 233, 311–318. [Google Scholar] [CrossRef]
- Torti, F.M.; Torti, S.V. Regulation of ferritin genes and protein. Blood 2002, 99, 3505. [Google Scholar] [CrossRef] [PubMed]
- Cozzi, A.; Corsi, B.; Levi, S.; Santambrogio, P.; Biasiotto, G.; Arosio, P. Analysis of the biological functions of H- and L-ferritins in HeLa cells by transfection with siRNAs and cDNAs: Evidence for a proliferative role of L-ferritin. Blood 2004, 103, 2377–2383. [Google Scholar] [CrossRef] [PubMed]
- Zheng, L.B.; Liu, Z.H.; Wu, B.; Dong, Y.H.; Zhou, L.Q.; Tian, J.T.; Sun, X.J.; Yang, A.G. Ferritin has an important immune function in the ark shell Scapharca broughtonii. Dev. Comp. Immunol. 2016, 59, 15–24. [Google Scholar] [CrossRef] [PubMed]
- Halon, M.; Sielickadudzin, A.; Wozniak, M.; Ziolkowski, W.; Nyka, W.; Herbik, M.; Grieb, P.; Figarski, A.; Antosiewicz, J. Up-regulation of ferritin ubiquitination in skeletal muscle of transgenic rats bearing the G93A hmSOD1 gene mutation. Neuromuscul. Disord. 2010, 20, 29–33. [Google Scholar] [CrossRef] [PubMed]
- Beazley, K.E.; Nurminskaya, M.; Linsenmayer, T.F. Phosphorylation regulates the ferritoid-ferritin interaction and nuclear transport. J. Cell. Biochem. 2010, 107, 528–536. [Google Scholar] [CrossRef] [PubMed][Green Version]
- Pastor-Pareja, J.C.; Xu, T. Shaping Cells and Organs in Drosophila by Opposing Roles of Fat Body-Secreted Collagen IV and Perlecan. Dev. Cell 2011, 21, 528–536. [Google Scholar] [CrossRef] [PubMed]
- Zhang, S.Z.; Yu, H.Z.; Deng, M.J.; Ma, Y.; Fei, D.Q.; Wang, J.; Li, Z.; Meng, Y.; Xu, J.P. Comparative transcriptome reveals the significant metabolic differences in Eri-silkworm (Samia cynthia ricini) hemolymph response to 1-Deoxynojirimycin. PLoS ONE 2017, in press. [Google Scholar]
- Tateno, Y.; Takezaki, N.; Nei, M. Relative efficiencies of the maximum-parsimony and distance-matrix methods of phylogeny construction for restriction data. Mol. Biol. Evol. 1994, 11, 261–277. [Google Scholar] [PubMed]
- Yu, S.W.; Liu, H.Y.; Luo, L.J. Analysis of relative gene expression using different real-time quantitative PCR. Acta Agron. Sin. 2007, 33, 1214–1218. [Google Scholar]
- Yu, H.Z.; Wang, X.Y.; Xu, J.P.; Ma, Y.; Zhang, S.Z.; Fei, D.Q.; Muhammad, A. iTRAQ-based quantitative proteomics analysis of molecular mechanisms associated with Bombyx mori (Lepidoptera) larval midgut response to BmNPV in susceptible and near-isogenic strains. J. Proteom. 2017, 165, 35–50. [Google Scholar] [CrossRef] [PubMed]
- Zoysa, M.D.; Lee, J. Two ferritin subunits from disk abalone (Haliotis. discus): Cloning, characterization and expression analysis. Fish Shellfish Immunol. 2007, 23, 624–635. [Google Scholar] [CrossRef] [PubMed]
- Li, J.; Zhang, W.B.; Loukas, A.; Lin, R.Y.; Ito, A.; Zhang, L.H.; Jones, M.; McManus, D.P. Functional expression and characterization of Echinococcus granulosus thioredoxin peroxidase suggests a role in protection against oxidative damage. Gene 2004, 326, 157–165. [Google Scholar] [CrossRef] [PubMed]









| Primers | Sequences of Primers (5′ to 3′) | Purpose |
|---|---|---|
| F1 | GTCTCTACGCCTGCTATCGC | RT-qPCR |
| R1 | GACGCATCCACCTCAGTTTGT | RT-qPCR |
| β-actin-F2 | GGGCCGGACTCGTCATATT | RT-qPCR |
| β-actin-R2 | ATCACAGCCCTCGCTCGCTCCAT | RT-qPCR |
| F3 | CGGAATTC*AAAGACAGCATGCACGC (EcoR I) | Protein expression |
| R3 | CCCAAGCTTTTCCTTGGGTTTGGGAT (Hind III) | Protein expression |
© 2017 by the authors. Licensee MDPI, Basel, Switzerland. This article is an open access article distributed under the terms and conditions of the Creative Commons Attribution (CC BY) license (http://creativecommons.org/licenses/by/4.0/).
Share and Cite
Yu, H.-Z.; Zhang, S.-Z.; Ma, Y.; Fei, D.-Q.; Li, B.; Yang, L.-A.; Wang, J.; Li, Z.; Muhammad, A.; Xu, J.-P. Molecular Characterization and Functional Analysis of a Ferritin Heavy Chain Subunit from the Eri-Silkworm, Samia cynthia ricini. Int. J. Mol. Sci. 2017, 18, 2126. https://doi.org/10.3390/ijms18102126
Yu H-Z, Zhang S-Z, Ma Y, Fei D-Q, Li B, Yang L-A, Wang J, Li Z, Muhammad A, Xu J-P. Molecular Characterization and Functional Analysis of a Ferritin Heavy Chain Subunit from the Eri-Silkworm, Samia cynthia ricini. International Journal of Molecular Sciences. 2017; 18(10):2126. https://doi.org/10.3390/ijms18102126
Chicago/Turabian StyleYu, Hai-Zhong, Shang-Zhi Zhang, Yan Ma, Dong-Qiong Fei, Bing Li, Li-Ang Yang, Jie Wang, Zhen Li, Azharuddin Muhammad, and Jia-Ping Xu. 2017. "Molecular Characterization and Functional Analysis of a Ferritin Heavy Chain Subunit from the Eri-Silkworm, Samia cynthia ricini" International Journal of Molecular Sciences 18, no. 10: 2126. https://doi.org/10.3390/ijms18102126
APA StyleYu, H.-Z., Zhang, S.-Z., Ma, Y., Fei, D.-Q., Li, B., Yang, L.-A., Wang, J., Li, Z., Muhammad, A., & Xu, J.-P. (2017). Molecular Characterization and Functional Analysis of a Ferritin Heavy Chain Subunit from the Eri-Silkworm, Samia cynthia ricini. International Journal of Molecular Sciences, 18(10), 2126. https://doi.org/10.3390/ijms18102126
