The Prognostic Role of STEAP1 Expression Determined via Immunohistochemistry Staining in Predicting Prognosis of Primary Colorectal Cancer: A Survival Analysis
Abstract
:1. Introduction
2. Results
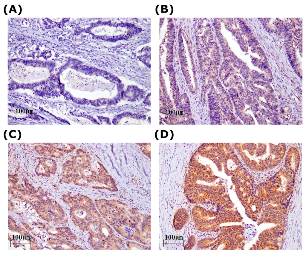
2.1. STEAP1 Is Expressed in the Majority of Colorectal Cancer Specimens and Locates to the Cytoplasm and Membrane
2.2. The Prognostic Role of STEAP1 Expression in Colorectal Cancer Patients
2.3. Prognostic Role of STEAP1 Expression according to the Clinicopathological Characteristics of Colorectal Cancer
3. Discussion
4. Materials and Methods
4.1. Study Subjects and Ethics Statement
4.2. Immunohistochemical Staining and Evaluation of STEAP1 Immunoreactivity
4.3. Statistical Analysis
5. Conclusions
Supplementary Materials
Acknowledgments
Author Contributions
Conflicts of Interest
References
- Siegel, R.L.; Miller, K.D.; Jemal, A. Cancer statistics, 2016. CA Cancer J. Clin. 2016, 66, 7–30. [Google Scholar] [CrossRef] [PubMed]
- Goss, P.E.; Chambers, A.F. Does tumour dormancy offer a therapeutic target? Nat. Rev. Cancer 2010, 10, 871–877. [Google Scholar] [CrossRef] [PubMed]
- Gomes, I.M.; Maia, C.J.; Santos, C.R. STEAP proteins: From structure to applications in cancer therapy. Mol. Cancer Res. 2012, 10, 573–587. [Google Scholar] [CrossRef] [PubMed]
- Hubert, R.S.; Vivanco, I.; Chen, E.; Rastegar, S.; Leong, K.; Mitchell, S.C.; Madraswala, R.; Zhou, Y.; Kuo, J.; Raitano, A.B.; et al. STEAP: A prostate-specific cell-surface antigen highly expressed in human prostate tumors. Proc. Natl. Acad. Sci. USA 1999, 96, 14523–14528. [Google Scholar] [CrossRef] [PubMed]
- Challita-Eid, P.M.; Morrison, K.; Etessami, S.; An, Z.; Morrison, K.J.; Perez-Villar, J.J.; Raitano, A.B.; Jia, X.C.; Gudas, J.M.; Kanner, S.B.; et al. Monoclonal antibodies to six-transmembrane epithelial antigen of the prostate-1 inhibit intercellular communication in vitro and growth of human tumor xenografts in vivo. Cancer Res. 2007, 67, 5798–5805. [Google Scholar] [CrossRef] [PubMed]
- Grunewald, T.G.; Diebold, I.; Esposito, I.; Plehm, S.; Hauer, K.; Thiel, U.; da Silva-Buttkus, P.; Neff, F.; Unland, R.; Müller-Tidow, C.; et al. STEAP1 is associated with the invasive and oxidative stress phenotype of Ewing tumors. Mol. Cancer Res. 2012, 10, 52–65. [Google Scholar] [CrossRef] [PubMed]
- Kobayashi, H.; Nagato, T.; Sato, K.; Aoki, N.; Aoki, S.; Yoshimura, M.; Iizuka, H.; Azumi, M.; Kakizaki, K.; Tateno, M.; et al. Recognition of prostate and melanoma tumor cells by six-transmembrane epithelial antigen of prostate-specific helper T lymphocytes in a human leukocyte antigen class II-restricted manner. Cancer Res. 2007, 67, 5498–5504. [Google Scholar] [CrossRef] [PubMed]
- Rodeberg, D.A.; Nuss, R.A.; Elsawa, S.F.; Celis, E. Recognition of six-transmembrane epithelial antigen of the prostate-expressing tumor cells by peptide antigen-induced cytotoxic T lymphocytes. Clin. Cancer Res. 2005, 11, 4545–4552. [Google Scholar] [CrossRef] [PubMed]
- Gomes, I.M.; Arinto, P.; Lopes, C.; Santos, C.R.; Maia, C.J. STEAP1 is overexpressed in prostate cancer and prostatic intraepithelial neoplasia lesions, and it is positively associated with Gleason score. Urol. Oncol. 2014, 32, e23–e29. [Google Scholar] [CrossRef] [PubMed]
- Maia, C.J.; Socorro, S.; Schmitt, F.; Santos, C.R. STEAP1 is over-expressed in breast cancer and down-regulated by 17β-estradiol in MCF-7 cells and in the rat mammary gland. Endocrine 2008, 34, 108–116. [Google Scholar] [CrossRef] [PubMed]
- Cheung, I.Y.; Feng, Y.; Danis, K.; Shukla, N.; Meyers, P.; Ladanyi, M.; Cheung, N.K.V. Novel markers of subclinical disease for Ewing family tumors from gene expression profiling. Clin. Cancer Res. 2007, 13, 6978–6983. [Google Scholar] [CrossRef] [PubMed]
- Hayashi, T.; Oue, N.; Sakamoto, N.; Anami, K.; Oo, H.Z.; Sentani, K.; Ohara, S.; Teishima, J.; Matsubara, A.; Yasui, W. Identification of transmembrane protein in prostate cancer by the Escherichia coli ampicillin secretion trap: Expression of CDON is involved in tumor cell growth and invasion. Pathobiology 2011, 78, 277–284. [Google Scholar] [CrossRef] [PubMed]
- Moreaux, J.; Kassambara, A.; Hose, D.; Klein, B. STEAP1 is overexpressed in cancers: A promising therapeutic target. Biochem. Biophys. Res. Commun. 2012, 429, 148–155. [Google Scholar] [CrossRef] [PubMed]
- Grunewald, T.G.; Ranft, A.; Esposito, I.; da Silva-Buttkus, P.; Aichler, M.; Baumhoer, D.; Schaefer, K.L.; Ottaviano, L.; Poremba, C.; Jundt, G.; et al. High STEAP1 expression is associated with improved outcome of Ewing’s sarcoma patients. Ann. Oncol. 2012, 23, 2185–2190. [Google Scholar] [CrossRef] [PubMed]
- Ihlaseh-Catalano, S.M.; Drigo, S.A.; de Jesus, C.M.; Domingues, M.A.; Trindade Filho, J.C.; de Camargo, J.L.; Rogatto, S.R. STEAP1 protein overexpression is an independent marker for biochemical recurrence in prostate carcinoma. Histopathology 2013, 63, 678–685. [Google Scholar] [CrossRef] [PubMed]
- Chen, C.J.; Sung, W.W.; Lin, Y.M.; Chen, M.K.; Lee, C.H.; Lee, H.; Yeh, K.T.; Ko, J.L. Gender difference in the prognostic role of interleukin 6 in oral squamous cell carcinoma. PLoS ONE 2012, 7, e50104. [Google Scholar] [CrossRef] [PubMed]
- Chen, C.J.; Sung, W.W.; Su, T.C.; Chen, M.K.; Wu, P.R.; Yeh, K.T.; Ko, J.L.; Lee, H. High expression of interleukin 10 might predict poor prognosis in early stage oral squamous cell carcinoma patients. Clin. Chim. Acta 2013, 415, 25–30. [Google Scholar] [CrossRef] [PubMed]
- Sung, W.W.; Wang, Y.C.; Cheng, Y.W.; Lee, M.C.; Yeh, K.T.; Wang, L.; Wang, J.; Chen, C.Y.; Lee, H. A polymorphic −844T/C in FasL promoter predicts survival and relapse in non-small cell lung cancer. Clin. Cancer Res. 2011, 17, 5991–5999. [Google Scholar] [CrossRef] [PubMed]


| Parameters | Case Number | STEAP1 Expression, n (%) | p Value 1 | |
|---|---|---|---|---|
| Low | High | |||
| Age (year, mean ± SD) | 65.1 ± 12.7 | 63.2 ± 14.2 | 0.365 | |
| Gender | ||||
| Female | 71 | 36 (50.7) | 35 (49.3) | 0.752 |
| Male | 94 | 50 (53.2) | 44 (46.8) | |
| Stage | ||||
| I | 23 | 10 (43.5) | 13 (56.5) | 0.690 |
| II | 63 | 35 (55.6) | 28 (44.4) | |
| III | 51 | 25 (49.0) | 26 (51.0) | |
| IV | 28 | 16 (57.1) | 12 (42.9) | |
| T value | ||||
| 1 | 6 | 4 (66.7) | 2 (33.3) | 0.201 |
| 2 | 20 | 7 (35.0) | 13 (65.0) | |
| 3 | 123 | 64 (52.0) | 59 (48.0) | |
| 4 | 16 | 11 (68.8) | 5 (31.3) | |
| N value | ||||
| 0 | 96 | 50 (52.1) | 46 (47.9) | 0.994 |
| 1 | 63 | 33 (52.4) | 30 (47.6) | |
| 2 | 6 | 3 (50.0) | 3 (50.0) | |
| M value | ||||
| 0 | 138 | 70 (50.7) | 68 (49.3) | 0.417 |
| 1 | 27 | 16 (59.3) | 11 (40.7) | |
| Parameter | Category | Overall Survival | |||
|---|---|---|---|---|---|
| 5-Year Survival (%) | HR | 95% CI | p Value | ||
| Age, year | ≥65/<65 | 43.3/47.1 | 1.328 | 0.943–1.870 | 0.104 |
| Gender | Male/Female | 44.7/45.1 | 1.161 | 0.828–1.627 | 0.387 |
| Stage | II + III + IV/I | 40.1/73.9 | 1.797 | 1.079–2.992 | 0.024 |
| STEAP1 expression | Low/High | 33.7/57.0 | 1.477 | 1.056–2.066 | 0.023 |
| Parameter | Category | Overall Survival 1 | |||
|---|---|---|---|---|---|
| 5-Year Survival (%) | HR | 95% CI | p Value | ||
| Age, year | ≥65/<65 | 43.3/47.1 | 1.404 | 0.994–1.984 | 0.054 |
| Gender | Male/Female | 44.7/45.1 | 1.246 | 0.886–1.752 | 0.207 |
| Stage | II + III + IV/I | 40.1/73.9 | 1.851 | 1.111–3.085 | 0.018 |
| STEAP1 expression | Low/High | 33.7/57.0 | 1.500 | 1.071–2.100 | 0.018 |
| Parameter | Overall Survival 1 | |||
|---|---|---|---|---|
| 5-Year Survival (%) | HR | 95% CI | p Value | |
| All cases | 33.7/57.0 | 1.500 | 1.071–2.100 | 0.018 |
| Age (year) | ||||
| <65 | 34.3/60.6 | 1.284 | 0.743–2.219 | 0.370 |
| ≥65 | 33.3/54.3 | 1.597 | 1.034–2.465 | 0.035 |
| Gender | ||||
| Female | 38.9/51.4 | 1.116 | 0.662–1.884 | 0.680 |
| Male | 30.0/61.4 | 1.756 | 1.123–2.745 | 0.014 |
| Stage | ||||
| I | 70.0/76.9 | 1.365 | 0.514–3.627 | 0.532 |
| II + III + IV | 28.9/53.0 | 1.545 | 1.077–2.216 | 0.018 |
| T value | ||||
| 1 + 2 | 72.7/73.3 | 1.134 | 0.440–2.924 | 0.795 |
| 3 + 4 | 28.0/53.1 | 1.602 | 1.114–2.303 | 0.011 |
| N value | ||||
| 0 | 36.0/69.6 | 1.718 | 1.097–2.691 | 0.018 |
| 1 + 2 | 30.6/39.4 | 1.264 | 0.751–2.129 | 0.378 |
| M value | ||||
| 0 | 37.1/63.2 | 1.641 | 1.130–2.383 | 0.009 |
| 1 | 18.8/18.2 | 0.789 | 0.305–2.038 | 0.624 |
© 2016 by the authors; licensee MDPI, Basel, Switzerland. This article is an open access article distributed under the terms and conditions of the Creative Commons Attribution (CC-BY) license (http://creativecommons.org/licenses/by/4.0/).
Share and Cite
Lee, C.-H.; Chen, S.-L.; Sung, W.-W.; Lai, H.-W.; Hsieh, M.-J.; Yen, H.-H.; Su, T.-C.; Chiou, Y.-H.; Chen, C.-Y.; Lin, C.-Y.; et al. The Prognostic Role of STEAP1 Expression Determined via Immunohistochemistry Staining in Predicting Prognosis of Primary Colorectal Cancer: A Survival Analysis. Int. J. Mol. Sci. 2016, 17, 592. https://doi.org/10.3390/ijms17040592
Lee C-H, Chen S-L, Sung W-W, Lai H-W, Hsieh M-J, Yen H-H, Su T-C, Chiou Y-H, Chen C-Y, Lin C-Y, et al. The Prognostic Role of STEAP1 Expression Determined via Immunohistochemistry Staining in Predicting Prognosis of Primary Colorectal Cancer: A Survival Analysis. International Journal of Molecular Sciences. 2016; 17(4):592. https://doi.org/10.3390/ijms17040592
Chicago/Turabian StyleLee, Ching-Hsiao, Sung-Lang Chen, Wen-Wei Sung, Hung-Wen Lai, Ming-Ju Hsieh, Hsu-Heng Yen, Tzu-Cheng Su, Yu-Hu Chiou, Chia-Yu Chen, Cheng-Yu Lin, and et al. 2016. "The Prognostic Role of STEAP1 Expression Determined via Immunohistochemistry Staining in Predicting Prognosis of Primary Colorectal Cancer: A Survival Analysis" International Journal of Molecular Sciences 17, no. 4: 592. https://doi.org/10.3390/ijms17040592
APA StyleLee, C.-H., Chen, S.-L., Sung, W.-W., Lai, H.-W., Hsieh, M.-J., Yen, H.-H., Su, T.-C., Chiou, Y.-H., Chen, C.-Y., Lin, C.-Y., Chen, M.-L., & Chen, C.-J. (2016). The Prognostic Role of STEAP1 Expression Determined via Immunohistochemistry Staining in Predicting Prognosis of Primary Colorectal Cancer: A Survival Analysis. International Journal of Molecular Sciences, 17(4), 592. https://doi.org/10.3390/ijms17040592

