Immune Enhancement of Fermented Ruditapes philippinarum Polysaccharide on Immunosuppressed BALB/c Mice Induced by Cyclophosphamide
Abstract
1. Introduction
2. Results
2.1. Effects of RPP on Body Weight and Food Intake in BALB/c Mice
2.2. Biosafety Assessment of RPP
2.3. Effects of RPP on Immune Organ Indices
2.4. Effects of RPP on Blood Routine Parameter
2.5. Effects of RPP on Serum Immune-Related Indicators
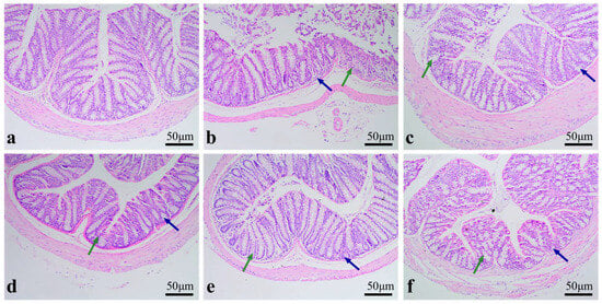
2.6. Histological Examination of the Colon in BALB/c Mice
2.7. Effects of RPP on Intestinal Tight Junction Protein Expression
2.8. Effects of RPP on Intestinal Secretory IgA (sIgA) Levels
3. Discussion
4. Materials and Methods
4.1. Materials
4.2. Experimental Animal Grouping
4.3. Body Weight, Food Intake, and Organ Index
4.4. Histopathological Observation
4.5. Hematological Analysis
4.6. Determination of IL-6 and IgE
4.7. Hematoxylin and Eosin (H&E) Staining
4.8. Western Blot Analysis
4.9. RT-PCR Assay
4.10. Statistical Analysis
5. Conclusions
Author Contributions
Funding
Institutional Review Board Statement
Informed Consent Statement
Data Availability Statement
Acknowledgments
Conflicts of Interest
Abbreviations
| RPP | Fermented Ruditapes philippinarum polysaccharide |
| CTX | Cyclophosphamide |
| WBC | White blood cells |
| RBC | Red blood cells |
| Hb | Hemoglobin |
| IL-6 | Interleukin-6 |
| IgE | Immunoglobulin E |
| Th2 | T helper 2 |
| sIgA | Secretory IgA |
| OP-1 | Oyster polysaccharides |
| IL-2 | Interleukin-2 |
| MCP | Microwave-extracted clam polysaccharide |
| ROS | Reactive oxygen species |
| T2DM | Type 2 diabetes mellitus |
| SCFAs | Short-chain fatty acids |
| MCFAs | Medium-chain fatty acids |
| SBA | Secondary bile acids |
| R. philippinarum | Ruditapes philippinarum |
| EP2 | Enteromorpha polysaccharide |
| Fucoidan P | High-molecular-weight fucoidan |
| Tfh | T follicular helper |
| ELISA | Enzyme-linked immunosorbent assay |
| NC | Control |
| MC | Model |
| LD | Low-dose |
| MD | Medium-dose |
| HD | High-dose |
| LMS | Levamisole hydrochloride |
| H&E | Hematoxylin and Eosin |
| SDS-PAGE | Sulfate polyacrylamide gel electrophoresis |
| PVDF | Polyvinylidene fluoride |
| RT-PCR | Real Time-PCR |
| pIgR | Polymeric immunoglobulin receptor |
| NCBI | National Center for Biotechnology Information |
| ANOVA | One-way analysis of variance |
References
- Yoo, J.Y.; Groer, M.; Dutra, S.V.O.; Sarkar, A.; McSkimming, D.I. Gut microbiota and immune system interactions. Microorganisms 2020, 8, 1587. [Google Scholar] [CrossRef]
- Arango Duque, G.; Descoteaux, A. Macrophage cytokines: Involvement in immunity and infectious diseases. Front. Immunol. 2014, 5, 117833. [Google Scholar] [CrossRef] [PubMed]
- Abdel-Latif, R.; Heeba, G.H.; Hassanin, S.O.; Waz, S.; Amin, A. TLRs-JNK/NF-κB pathway underlies the protective effect of the sulfide salt against liver toxicity. Front. Pharmacol. 2022, 13, 850066. [Google Scholar] [CrossRef] [PubMed]
- Wang, Z.; Li, Y.; Ma, D.; Zeng, M.; Wang, Z.; Qin, F.; Chen, J.; Christian, M.; He, Z. Alkaloids from lotus (Nelumbo nucifera): Recent advances in biosynthesis, pharmacokinetics, bioactivity, safety, and industrial applications. Crit. Rev. Food Sci. Nutr. 2021, 63, 31–34. [Google Scholar] [CrossRef] [PubMed]
- Murali, C.; Mudgil, P.; Gan, C.Y.; Tarazi, H.; El-Awady, R.; Abdalla, Y.; Amin, A.; Maqsood, S. Camel whey protein hydrolysates induced G2/M cellcycle arrest in human colorectal carcinoma. Sci. Rep. 2021, 11, 7062. [Google Scholar] [CrossRef]
- Salwa, B.; Amna, A.; Amr, A. Steroidal saponins: Naturally occurring compounds as inhibitors of the hallmarks of cancer. Cancers 2023, 15, 3900. [Google Scholar] [CrossRef]
- Da Silva Barbosa, J.; Sabry, D.A.; Silva, C.H.F.; Gomes, D.L.; Santana-Filho, A.P.; Sassaki, G.L.; Rocha, H.A.O. Immunostimulatory effect of sulfated galactans from the green seaweed Caulerpa cupressoides var. flabellata. Mar. Drugs 2020, 18, 234. [Google Scholar] [CrossRef]
- Chalamaiah, M.; Yu, W.; Wu, J. Immunomodulatory and anticancer protein hydrolysates (Peptides) from food proteins: A review. Food Chem. 2018, 245, 205–222. [Google Scholar] [CrossRef]
- Natarajan, S.B.; Kim, Y.S.; Hwang, J.W.; Park, P.J. Immunomodulatory properties of shellfish derivatives associated with human health. RSC Adv. 2016, 6, 26163–26177. [Google Scholar] [CrossRef]
- Koboziev, I.; Scoggin, S.; Gong, X.; Mirzaei, P.; Zabet-Moghaddam, M.; Yosofvand, M.; Moussa, H.; Jones-Hall, Y.; Moustaid-Moussa, N. Effects of curcumin in a mouse model of very high fat diet-Induced obesity. Biomolecules 2020, 10, 1368. [Google Scholar] [CrossRef]
- Catanzaro, M.; Corsini, E.; Rosini, M.; Racchi, M.; Lanni, C. Immunomodulators Inspired by Nature: A Review on Curcumin and Echinacea. Molecules 2018, 23, 2778. [Google Scholar] [CrossRef]
- Li, F.; Muhmood, A.; Akhter, M.; Gao, X.; Sun, J.; Du, Z.; Wei, Y.; Zhang, T.; Wei, Y. Characterization, health benefits, and food applications of enzymatic digestion-resistant dextrin: A review. Int. J. Biol. Macromol. 2023, 253, 126970. [Google Scholar] [CrossRef]
- Wang, Y.; Qin, L.; Fan, Y.; Mao, W. Research progress of the polysaccharides from marine Chinese medicines. Chin. J. Mar. Drugs 2024, 43, 73–78. [Google Scholar]
- Cheong, K.; Xia, L.; Liu, Y. Isolation and characterization of polysaccharides from oysters (Crassostrea gigas) with anti-tumor activities using an aqueous two-phase system. Mar. Drugs 2017, 15, 338. [Google Scholar] [CrossRef] [PubMed]
- Liu, M.; Li, F.; Feng, S.; Guo, J.; Yu, J.; Zou, S.; Gao, X.; Wei, Y. Evaluation of anticancer and immunomodulatory effects of microwave-extracted polysaccharide from Ruditapes philippinarum. Foods 2024, 13, 3552. [Google Scholar] [CrossRef] [PubMed]
- Chen, Z.; Ge, X.; Wang, Y.; Zhang, J.; Sui, Y.; Yin, X.; Wu, N.; Yang, L.; Xu, J.; Zhou, H.; et al. Ruditapes philippinarum Polysaccharide alleviates hyperglycemia by modulating gut microbiota in a mouse model of type 2 diabetes mellitus. Mol. Nutr. Food Res. 2025, 69, e202400996. [Google Scholar] [CrossRef]
- Tan, Y.; Fang, L.; Qiu, M.; Huo, Z.M.; Yan, X.W. Population genetics of the Manila clam (Ruditapes philippinarum) in East Asia. Sci. Rep. 2020, 10, 10. [Google Scholar] [CrossRef]
- Liu, W. Preparation and Activity Evaluation of Antioxidant Peptides from Ruditapes philippinarum. Master’s Thesis, Fujian Agriculture and Forestry University, Fujian, China, 2015. [Google Scholar]
- Lv, M.; Liu, M.; Zou, S.; Yin, D.; Lv, C.; Li, F.; Wei, Y. Immune enhancement of clam peptides on immunosuppressed mice induced by hydrocortisone. Molecules 2023, 28, 5709. [Google Scholar] [CrossRef]
- Li, F.L.; Gong, X.Q.; Zhou, Y.; Geng, Q.Q.; Jiang, Y.H.; Yao, L.; Qu, M.; Tan, Z.J. Integrated evidence of transcriptional, metabolic, and intestinal microbiota changes in Ruditapes philippinarum due to perfluorooctanoic acid-induced immunotoxicity. Sci. Total Environ. 2024, 916, 13. [Google Scholar] [CrossRef]
- Zhang, Y.M.; Nie, H.T.; Yan, X.W. Metabolomic analysis provides new insights into the heat-hardening response of Manila clam (Ruditapes philippinarum) to high temperature stress. Sci. Total Environ. 2023, 857, 11. [Google Scholar] [CrossRef]
- Zhou, Y.F.; Liu, W.Z.; Jiang, H.; Chen, F.Y.; Li, Y.P.; Gardea-Torresdey, J.L.; Zhou, X.X.; Yan, B. Surface-Charge-Driven Ferroptosis and Mitochondrial Dysfunction Is Involved in Toxicity Diversity in the Marine Bivalve Exposed to Nanoplastics. ACS Nano 2024, 18, 2370–2383. [Google Scholar] [CrossRef]
- Liang, J.; Zhang, M.; Li, X.; Yue, Y.; Wang, X.; Han, M.; Yue, T.; Wang, Z.; Gao, Z. Structure and immunomodulatory activity of Lentinus edodes polysaccharides modified by probiotic fermentation. Food Sci. Hum. Wellness 2024, 13, 421–433. [Google Scholar] [CrossRef]
- Liu, Y.; Wu, X.; Jin, W.; Guo, Y. Immunomodulatory effects of a low-molecular weight polysaccharide from Enteromorpha prolifera on RAW 264.7 macrophages and cyclophosphamide-induced immunosuppression mouse models. Mar. Drugs 2020, 18, 340. [Google Scholar] [CrossRef] [PubMed]
- Wenmiao, H.; Aihua, G.; Dayong, W. Four-week repeated exposure to tire-derived 6-PPD quinone causes multiple organ injury in male BALB/c mice. Sci. Total Environ. 2023, 894, 164842. [Google Scholar]
- DKE, H.; Abdel, M.R. Levocetrizine attenuates cyclophosphamide-induced lung injury through inhibition of TNF-α, IL-1β, TGF-β and MMP-9. BMC Pharmacol. Toxicol. 2023, 24, 76. [Google Scholar]
- InHo, S.; YongJae, L. Usefulness of Complete Blood Count (CBC) to Assess Cardiovascular and Metabolic Diseases in Clinical Settings: A Comprehensive Literature Review. Biomedicines 2022, 10, 2697. [Google Scholar] [CrossRef]
- Li, L.; Yang, X.; Cai, Z.; Yin, B.; Jiang, W. Aucubin regulates allergic airway inflammation in ovalbumin-induced allergic asthma in mice by controlling Th2 cytokines. Pharmacogn. Mag. 2025, 21, 885–894. [Google Scholar] [CrossRef]
- Du, X.; Yan, Y.; Dai, Y.; Xu, R. Yogurt Alleviates Cyclophosphamide-induced immunosuppression in mice through D-lactate. Nutrients 2024, 16, 1395. [Google Scholar] [CrossRef]
- Bertrand, J.; Ghouzali, I.; Guérin, C.; Bôle--Feysot, C.; Gouteux, M.; Déchelotte, P.; Ducrotté, P.; Coëffier, M. Glutamine restores tight junction protein claudin-1 expression in colonic mucosa of patients with diarrhea-predominant irritable bowel syndrome. J. Parenter. Enter. Nutr. 2016, 40, 1170–1176. [Google Scholar] [CrossRef]
- Peng, H.; Shen, Y.; Zhang, Q.; Liu, J.; Wang, Z.; Huang, L.; Zhou, F.; Yu, J.; Liu, M.; Yuan, Y.; et al. Qihuang decoction promotes the recovery of intestinal immune barrier dysfunction after gastrectomy in rats. Am. J. Transl. Res. 2018, 10, 827–836. [Google Scholar]
- Peña-Juárez, M.C.; Campos-Rodríguez, R.; Godínez-Victoria, M.; Cruz-Hernández, T.R.; Reyna-Garfias, H.; Barbosa-Cabrera, R.E.; Drago-Serrano, M.E. Effect of bovine lactoferrin treatment followed by acute stress on the IgA-Response in small intestine of BALB/c mice. Immunol. Investig. 2016, 45, 652–667. [Google Scholar] [CrossRef]
- Niu, Y.; Dong, J.; Jiang, H.; Wang, J.; Liu, Z.; Ma, C.; Kang, W. Effects of polysaccharide from Malus halliana koehne flowers in cyclophosphamide-Induced immunosuppression and oxidative stress on mice. Oxidative Med. Cell. Longev. 2020, 2020, 1603735. [Google Scholar] [CrossRef]
- Nam, J.H.; Choi, J.; Monmai, C.; Rod-In, W.; Jang, A.Y.; You, S.; Park, W.J. Immune-enhancing effects of crude polysaccharides from Korean ginseng berries on spleens of mice with cyclophosphamide-induced immunosuppression. J. Microbiol. Biotechnol. 2022, 32, 256–262. [Google Scholar] [CrossRef]
- He, Y.; Nong, Y.; Qin, J.; Feng, L.; Qin, J.; Wang, Q.; Deng, L.; Tang, S.; Zhang, M.; Fan, X.; et al. Protective effects of oyster polypeptide on cyclophosphamide-induced immunosuppressed rats. J. Sci. Food Agric. 2024, 104, 7143–7158. [Google Scholar] [CrossRef]
- Jiang, S.; Zhang, Z.; Yu, F.; Zhang, Z.; Yang, Z.; Tang, Y.; Ding, G. Ameliorative effect of low molecular weight peptides from the head of red shrimp (Solenocera crassicornis) against cyclophosphamide-induced hepatotoxicity in mice. J. Funct. Foods 2020, 72, 104085. [Google Scholar] [CrossRef]
- Son, S.-U.; Kim, T.-E.; Park, J.-H.; Suh, H.-J.; Shin, K.-S. Immunostimulating effects of ulvan-type polysaccharide isolated from Korean Ulva pertusa in cyclophosphamide-induced Immunosuppressed BALB/c Mice. Int. J. Biol. Macromol. 2024, 275, 133518. [Google Scholar] [CrossRef] [PubMed]
- Ma, W.; Sun, H.; Lian, L.; Guo, L.; Wang, Y.; Huang, L. Immunomodulatory effects of Lactiplantibacillus plantarum CCFM8661 + stachyose on cyclophosphamide-induced immunosuppression mice. Front. Immunol. 2025, 16, 1513531. [Google Scholar] [CrossRef]
- Park, E.J.; Kim, J.Y.; Jaiswal, V.; Park, H.S.; Ki, D.B.; Lee, Y.S.; Lee, H.J. High-molecular-weight fucoidan exerts an immune-enhancing effect in RAW 264.7 cells and cyclophosphamide-induced immunosuppression rat by altering the gut microbiome. Int. Immunopharmacol. 2024, 139, 112677. [Google Scholar] [CrossRef]
- Cheng, M.; Shi, Y.; Cheng, Y.; Hu, H.; Liu, S.; Xu, Y.; He, L.; Hu, S.; Lu, Y.; Chen, F.; et al. Mulberry leaf polysaccharide improves cyclophosphamide-induced growth inhibition and intestinal damage in Chicks by modulating intestinal flora and enhancing immune regulation. Front. Microbiol. 2024, 15, 1382639. [Google Scholar] [CrossRef]
- Sarin, S.K.; Pande, A.; Schnabl, B. Microbiome as a therapeutic target in alcohol-related liver disease. J. Hepatol. 2019, 70, 260–272. [Google Scholar] [CrossRef]
- Manresa, M.C.; Taylor, C.T. Hypoxia inducible factor (HIF) hydroxylases as regulators of intestinal epithelial barrier function. Cell. Mol. Gastroenterol. Hepatol. 2017, 3, 303–315. [Google Scholar] [CrossRef]
- Jiang, L.; Huang, J.; Lu, J.; Hu, S.; Pei, S.; Ouyang, Y.; Ding, Y.; Hu, Y.; Kang, L.; Huang, L.; et al. Ganoderma lucidum polysaccharide reduces melanogenesis by inhibiting the paracrine effects of keratinocytes and fibroblasts via IL-6/STAT3/FGF2 pathway. J. Cell. Physiol. 2019, 234, 22799–22808. [Google Scholar] [CrossRef] [PubMed]
- Luo, X.; Zhai, Z.; Lin, Z.; Wu, S.; Xu, W.; Li, Y.; Zhuang, J.; Li, J.; Yang, F.; He, Y. Cyclophosphamide-induced intestinal injury is alleviated by blocking the TLR9/caspase3/GSDME mediated intestinal epithelium pyroptosis. Int. J. Immunopharmacol. 2023, 119, 110244. [Google Scholar] [CrossRef] [PubMed]
- Ye, X.; Xu, T.; Lu, Y.; Wang, J. Effect of levamisole hydrochloride on immune function in immunosuppressed mice. Chin. J. Clin. Pharmacol. 2019, 35, 550–552. [Google Scholar]
- Zou, P.; Yang, F.; Ding, Y.; Zhang, D.; Liu, Y.; Zhang, J.; Wu, D.; Wang, Y. Lipopolysaccharide downregulates the expression of ZO-1 protein through the Akt pathway. BMC Infect. Dis. 2022, 22, 774. [Google Scholar] [CrossRef]
- Korsten, S.G.P.J.; Peracic, L.; van Groeningen, L.M.B.; Diks, M.A.P.; Vromans, H.; Garssen, J.; Willemsen, L.E.M. Butyrate Prevents Induction of CXCL10 and NonCanonical IRF9 Expression by Activated Human Intestinal Epithelial Cells via HDAC Inhibition. Int. J. Mol. Sci. 2022, 23, 3980. [Google Scholar] [CrossRef]
- Yang, P.; Zhai, Y.; Liu, Q.; Cao, G.; Ma, Y.; Cao, J.; Zhu, L.; Liu, Y. The ameliorative effect on chemotherapy-induced injury and tumor immunosuppressive microenvironment of the polysaccharide from the rhizome of Menispermum dauricum DC. Int. J. Biol. Macromol. 2024, 268, 131828. [Google Scholar] [CrossRef]
- Liu, N.; Dong, Z.; Zhu, X.; Xu, H.; Zhao, Z. Characterization and protective effect of Polygonatum sibiricum polysaccharide against cyclophosphamide-induced immunosuppression in Balb/c mice. Int. J. Biol. Macromol. 2018, 107, 796–802. [Google Scholar] [CrossRef]







| Groups | Vital Organ Index/(mg/g) | |||
|---|---|---|---|---|
| Liver | Kidney | Heart | Lung | |
| NC | 42.17 ± 0.21 | 15.25 ± 0.68 | 6.33 ± 0.21 | 7.24 ± 0.97 |
| MC | 46.97 ± 0.40 | 16.18 ± 0.89 | 6.40 ± 0.39 | 9.18 ± 0.30 * |
| LD | 47.82 ± 0.78 | 16.56 ± 0.20 | 6.21 ± 0.10 | 8.86 ± 0.38 |
| MD | 43.01 ± 0.66 | 15.58 ± 0.63 | 6.93 ± 0.35 | 8.52 ± 1.21 |
| HD | 42.11 ± 0.72 | 15.52 ± 0.43 | 6.09 ± 0.58 | 8.14 ± 0.79 |
| LMS | 44.41 ± 0.37 | 14.44 ± 0.57 | 6.40 ± 0.34 | 8.02 ± 0.67 |
| Reagent | Volume (μL) |
|---|---|
| Cdna template | 1 |
| Upstream primer (10 μM) | 0.5 |
| Downstream primer (10 μM) | 0.5 |
| SYBR GREEN mastermix | 10 |
| ddH2O | 8 |
| Total Volume | 20 |
| Cdna template | 1 |
| Upstream primer (10 μM) | 0.5 |
| Name | Sequence | Primer Length | Tm (°C) |
|---|---|---|---|
| IgA α-chain F | TCTTGTCATACGCCTGTTT | 19 | 50.9 |
| IgA α-chain R | ATTAGGGTTCCTGCCATT | 18 | 51.6 |
| J-chain F | GTAACAGGTGACGACGAA | 18 | 48.3 |
| J-chain R | CTGGGTGGCAGTAACAAC | 18 | 50.9 |
| pIgR F | ACGCTCTTGGTAACTGTCT | 19 | 49.1 |
| pIgR R | TCTGCCTGAATACTCCTTG | 19 | 50.4 |
| β-actin F | CTGTGCCCATCTACCTCCAGCAGCAG | 23 | 64.5 |
| β-actin R | TTTGATGTCACGCACGATTTCC | 22 | 63.2 |
Disclaimer/Publisher’s Note: The statements, opinions and data contained in all publications are solely those of the individual author(s) and contributor(s) and not of MDPI and/or the editor(s). MDPI and/or the editor(s) disclaim responsibility for any injury to people or property resulting from any ideas, methods, instructions or products referred to in the content. |
© 2025 by the authors. Licensee MDPI, Basel, Switzerland. This article is an open access article distributed under the terms and conditions of the Creative Commons Attribution (CC BY) license (https://creativecommons.org/licenses/by/4.0/).
Share and Cite
Zhang, T.; Song, J.; Peng, Z.; Wu, M.; Li, Z.; Li, F.; Wei, Y. Immune Enhancement of Fermented Ruditapes philippinarum Polysaccharide on Immunosuppressed BALB/c Mice Induced by Cyclophosphamide. Molecules 2025, 30, 4583. https://doi.org/10.3390/molecules30234583
Zhang T, Song J, Peng Z, Wu M, Li Z, Li F, Wei Y. Immune Enhancement of Fermented Ruditapes philippinarum Polysaccharide on Immunosuppressed BALB/c Mice Induced by Cyclophosphamide. Molecules. 2025; 30(23):4583. https://doi.org/10.3390/molecules30234583
Chicago/Turabian StyleZhang, Ting, Jiale Song, Zhenzhen Peng, Mengjiao Wu, Zhi Li, Fei Li, and Yuxi Wei. 2025. "Immune Enhancement of Fermented Ruditapes philippinarum Polysaccharide on Immunosuppressed BALB/c Mice Induced by Cyclophosphamide" Molecules 30, no. 23: 4583. https://doi.org/10.3390/molecules30234583
APA StyleZhang, T., Song, J., Peng, Z., Wu, M., Li, Z., Li, F., & Wei, Y. (2025). Immune Enhancement of Fermented Ruditapes philippinarum Polysaccharide on Immunosuppressed BALB/c Mice Induced by Cyclophosphamide. Molecules, 30(23), 4583. https://doi.org/10.3390/molecules30234583

