Dendrobium officinale Polysaccharides as a Natural Functional Component for Acetic-Acid-Induced Gastric Ulcers in Rats
Abstract
1. Introduction
2. Results
2.1. Chemical Characteristics of DOP
2.2. DOP Alleviated Decreased Feeding and Weight Loss Caused by GU
2.3. Effects of DOP on Gastric Ulcers
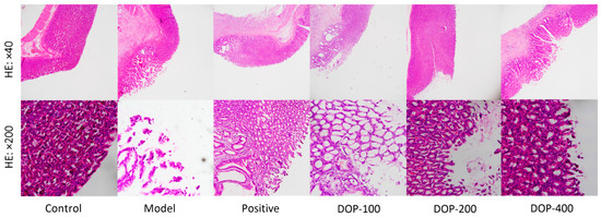
2.4. Histopathological Evaluation of Gastric Ulcer
2.5. DOP Inhibited Gastric Mucosal Cell Apoptosis
2.6. DOP Regulated the Expression Levels of Inflammatory Cytokines in Gastric Tissue and Serum
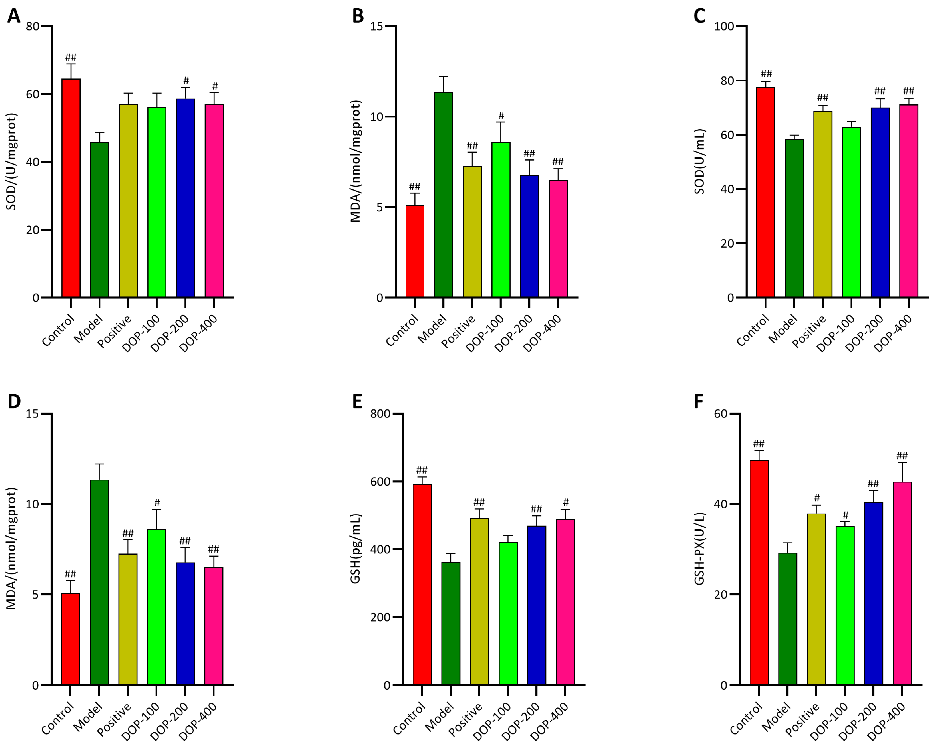
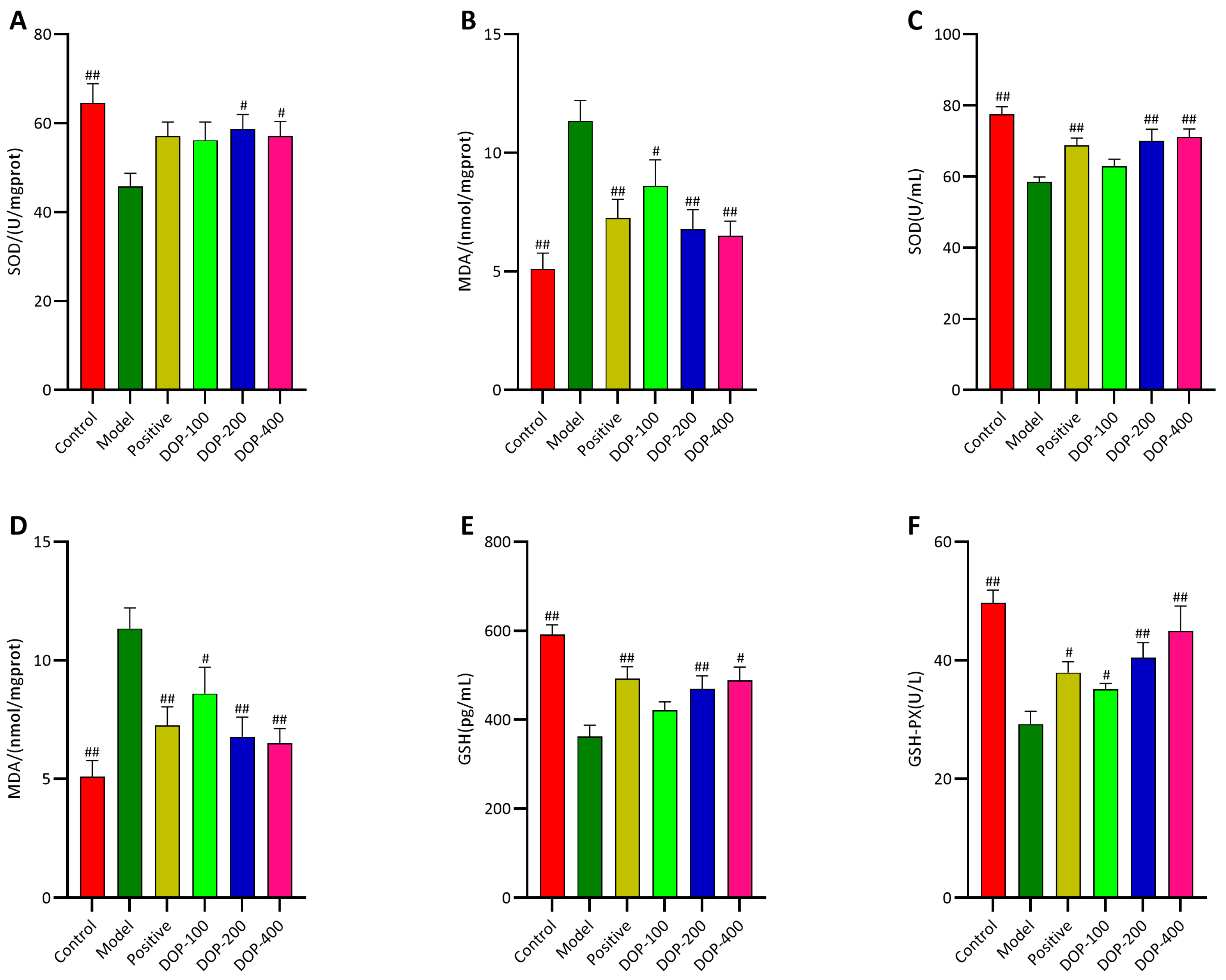
2.7. DOP Regulated the Expression Levels of Oxidative Stress Factors in Gastric Tissue and Serum
2.8. DOP Inhibited mRNA Transcription of EGF, VEGF, IL-6, and TNF-α
2.9. DOP Downregulated the Expression of NF-κBp65, P-NF-κBp65, FoxO3a, and Bim in Gastric Mucosa
3. Materials and Methods
3.1. Chemicals and Reagents
3.2. Polysaccharide Preparation and Chemical Characterization
3.3. Animal Experiments and Design
3.4. Food Intake and Weight
3.5. Determination of Ulcer Inhibition Rate
3.6. Histopathological Evaluation and Gastric Mucosal Cell Apoptosis Assay
3.7. Biochemical Indicator Assay
3.7.1. Determination of Oxidative Stress Factors and Inflammatory Factors in Gastric Tissue
3.7.2. Determination of Inflammatory Cytokines and Oxidative Stress Factors in Serum
3.8. Quantitative Real-Time PCR
3.9. Western Blot Analysis
3.10. Data Analysis
4. Discussion
5. Conclusions
Author Contributions
Funding
Institutional Review Board Statement
Data Availability Statement
Conflicts of Interest
References
- Jing, Y.; Hu, J.; Zhang, Y.; Sun, J.; Guo, J.; Zheng, Y.; Wu, L. Structural characterization and preventive effect on alcoholic gastric mucosa and liver injury of a novel polysaccharide from Dendrobium officinale. Nat. Prod. Res. 2022, 1–8. [Google Scholar] [CrossRef]
- Chinese Pharmacopoeia Commission. Pharmacopoeia of People’s Republic of China—Part I, 3rd ed.; China Medical Science Press: Beijing, China, 2020; pp. 295–296. [Google Scholar]
- Ling, N.; Luo, C.; Gao, C.; Chen, J.; Yang, L.; Cai, J.; Tan, X.; Yu, Q. Study on cytotoxicity and in vitro antioxidant activities of extracts from Dendrobium officinale flowers from Guangxi. Chin. Food Addit. 2023, 34, 141–148. [Google Scholar]
- Xin, Z.; Peng, S.; Yu, Q.; Huayi, S.D. Candidum has in vitro anticancer effects in HCT-116 cancer cells and exerts in vivo anti-metastatic effects in mice. Nutr. Res. Pract. 2014, 8, 487–493. [Google Scholar]
- Liu, Y.; Yang, L.; Zhang, Y.; Liu, X.; Wu, Z.; Gilbert, R.G.; Deng, B.; Wang, K. Dendrobium officinale polysaccharide ameliorates diabetic hepatic glucose metabolism via glucagon-mediated signaling pathways and modifying liver-glycogen structure. J. Ethnopharmacol. 2020, 248, 112308. [Google Scholar] [CrossRef]
- Wang, L.; Ning, C.; Li, R.; Pan, Z.; Ren, H. Optimization of ultrasonic-microwave synergistic extraction conditions of Dendrobium officinale polysaccharides and their antioxidant activity. Food Res. Devel. 2023, 44, 13–20. [Google Scholar]
- Xia, Z.; Yueming, B.; Xueqin, X.; Da, M.; Yanyun, C.; Yi, Z. Research progress in isolation and purification of Dendrobium officinale polysaccharide and its pharmacological activity. Sci. Technol. Food Ind. 2022, 43, 412–422. [Google Scholar]
- Aro, P.; Storskrubb, T.; Ronkainen, J.; Bolling-Sternevald, E.; Engstrand, L.; Vieth, M.; Agréus, L. Peptic ulcer disease in a general adult population: The Kalixanda study: A random population-based study. Am. J. Epidemiol. 2006, 163, 1025–1034. [Google Scholar] [CrossRef]
- Zhang, W.; Li, J.; Chen, Z.; Wei, B.; Tang, X. Consensus on the diagnosis and treatment of peptic ulcer with integrated traditional Chinese and western medicine (Tianjin, 2011). Chin. J. Integrated Trad. West. Medica. 2012, 32, 733–737. [Google Scholar]
- Xue, Z.; Shi, G.; Fang, Y.; Liu, X.; Zhou, X.; Feng, S.; Zhao, L. Protective effect of polysaccharides from Radix Hedysari on gastric ulcers induced by acetic acid in rats. Food Funct. 2019, 10, 3965–3976. [Google Scholar] [CrossRef]
- Yuan, Y. Diagnostic and therapeutic criteria for peptic ulcer (Xi’an, 2016). Chin. J. Dig. 2016, 36, 6. [Google Scholar]
- Roy, A.J.; Maut, C.; Gogoi, H.K.; Ahmed, S.I.; Kashyap, A. A Review on Herbal Drugs Used in the Treatment of Peptic Ulcer. Curr. Cancer Drug Targets 2023, 20, 1. [Google Scholar] [CrossRef]
- Li, W.; Juan, W. Research status and progress of commonly used drugs for gastric ulcer. Chin. J. Ration. Drug Use 2011, 4, 178–180. [Google Scholar]
- Wei, Y. Comparison of Clinical Efficacy and Side Effects of Omeprazole, Pantoprazole and Lansoprazole in the Treatment of Gastric Ulcer. Guide Chin. Med. 2020, 18, 20–22. [Google Scholar]
- Franke, A.; Teyssen, S.; Singer, M.V. Alcohol-related diseases of the esophagus and stomach. Digest. Dis. 2005, 23, 204–213. [Google Scholar] [CrossRef]
- Rui, J.; Yingxia, L.; Hao, G.; Jia, X.; Fai, S.K. The Anti-Oxidant and Antitumor Properties of Plant Polysaccharides. Am. J. Chin. Med. 2016, 44, 463–488. [Google Scholar]
- Liang, Y.; Du, R.; Chen, R.; Chu, P.H.; Ip, M.S.M.; Zhang, K.Y.B.; Mak, J.C.W. Therapeutic potential and mechanism of Dendrobium officinale polysaccharides on cigarette smoke-induced airway inflammation in rat. Biomed. Pharmacother. 2021, 143, 112101. [Google Scholar] [CrossRef]
- Li, Z.; Zang, X.; Xi, G. Gastric Mucosal Lesions and Protection-Principles and Clinical Practice, 1st ed.; Shanghai Science and Technology Publishers: Shanghai, China, 2004; p. 370. [Google Scholar]
- Du, Y. Study on Molecular Mechanism of Veronicastrum axillare (Sieb. et Zucc) Yamazaki against Gastric Ulcer by Intervening Inflammatory Response. Master’s Thesis, Zhejiang Chinese Medical University, Zhejiang, China, 2014. [Google Scholar]
- da Silva, E.C.S.; Guerra, G.C.B.; de Araújo, E.R.D.; Schlamb, J.; da Silva, V.C.; de Aragão Tavares, E.; Zucolotto, S.M. Phenolic-rich extract of Nopalea cochenillifera at-tenuates gastric lesions induced in experimental models through inhibiting oxidative stress, modulating inflammatory markers and a cytoprotective effect. Food Funct. 2023, 14, 3242–3258. [Google Scholar] [CrossRef] [PubMed]
- Abdel-Kawi, S.H.; Hashem, K.S.; Saad, M.K.; Fekry, G.; Abdel-Hameed, E.M.M. The ameliorative effects of cinnamon oil against ethanol-induced gastric ulcer in rats by regulating oxidative stress and promoting angiogenesis. J. Mol. Histol. 2022, 53, 573–587. [Google Scholar] [CrossRef]
- Mousa, A.M.; El-Sammad, N.M.; Hassan, S.K.; Madboli, A.E.N.A.; Hashim, A.N.; Moustafa, E.S.; Elsayed, E.A. Antiulcerogenic effect of Cuphea ignea extract against ethanol-induced gastric ulcer in rats. BMC Complem. Altern. M. 2019, 19, 345. [Google Scholar] [CrossRef]
- Liu, Y.; Sui, D.; Fu, W.; Sun, L.; Li, Y.; Yu, P.; Xu, H. Protective effects of poly-saccharides from Panax ginseng on acute gastric ulcers induced by ethanol in rats. Food Funct. 2021, 12, 2741–2749. [Google Scholar] [CrossRef] [PubMed]
- Li, X.; Sun, G.; Lian, T.; Yang, B.; Gu, Y. Ameliorative effect of Sargassum fusiforme polysaccharides on oxidative stress and inflammation in ethanol-induced gastric ulcer. Pharmacogn. Mag. 2019, 15, 244–252. [Google Scholar] [CrossRef]
- Lining, Z. Symptoms and etiology of gastric ulcer. Med. Front. 2011, 23, 102–103. [Google Scholar]
- Li, W.; Wang, X.; Zhang, H.; He, Z.; Zhi, W.; Liu, F.; Wang, Y.; Niu, F. Anti-ulcerogenic effect of cavidine against etha-nol-induced acute gastric ulcer in mice and possible underlying mechanism. Int. Immunopharmacol. 2016, 38, 450–459. [Google Scholar] [CrossRef]
- Kuypers, F.A. Hyperinflammation, apoptosis, and organ damage. Exp. Biol. Med. 2022, 13, 1112–1123. [Google Scholar] [CrossRef] [PubMed]
- Odashi-ma, M.; Otaka, M.; Jin, M.; Komatsu, K.; Wada, I.; Horikawa, Y.; Matsuhashi, T.; Hatakeyama, N.; Oyake, J.; Ohba, R.; et al. Attenuation of gastric mucosal inflammation induced by aspirin through activation of A2A adenosine receptor in rats. World J. Gastroenterol. 2006, 12, 568–573. [Google Scholar] [CrossRef] [PubMed]
- Karolin Kamel, A.A. Comparative evaluation of the anti-ulcer activity of curcumin and omeprazole during the acute phase of gastric ulcer—Efficacy of curcumin in gastric ulcer prevention against omeprazole. Food Nutr. Sci. 2011, 2011, 6622. [Google Scholar]
- Tsuge, K.; Inazumi, T.; Shimamoto, A.; Sugimato, Y. Molecular mechanisms underlying prostaglandin E2-exacerbated inflammation and immune diseases. Int. Immunol. 2019, 31, 597–606. [Google Scholar] [CrossRef] [PubMed]
- Bakry, S.M.; Naser, A.F.A.; El Negoumy, S.I.; Kassem, M.E.S.; Abdel-Sattar, E.; Meselhy, M.R. Phenolic acids-rich fraction from Ficus drupacea leaves for the prevention and treatment of ethanol-induced gastric mucosal injury in rats. Inflammopharmacology 2023, 31, 1423–1436. [Google Scholar] [CrossRef] [PubMed]
- Zhu, J. Study on the Structure and Activity of Polysaccharide from Wild Dendrobium officinale and Its Derivatives in Guangxi. Master’s Thesis, Guangxi University for Nationalities, Nanning, China, 2020. [Google Scholar]
- Chinese Pharmacopoeia Commission. Pharmacopoeia of People’s Republic of China—Part Ⅳ, 1st ed.; China Medical Science Press: Beijing, China, 2020; pp. 108–115, 234. [Google Scholar]
- Zhao, B.; Wang, X.; Liu, H.; Lv, C.; Lu, J. Structural characterization and antioxidant activity of oligosaccharides from panax ginseng c. a. meyer. Int. J. Biol. Macromol. 2020, 150, 737–745. [Google Scholar] [CrossRef] [PubMed]
- Okabe, S.; Pfeiffer, C.J. Chronicity of acetic acid ulcer in the rat stomach. Am. J. Digest. Dis. 1972, 17, 619–629. [Google Scholar] [CrossRef]
- Heibashy, M.I.A.; Mazen, G.M.; Ibrahim, M.A. Efficacy and Safety of some Medical Herbs on Gastric Ulcer Induced by Aspirin in Rats. J. Pharm. Biol. Sci. 2014, 9, 19–27. [Google Scholar] [CrossRef]
- Shi, Q.; Chen, Z.; Liu, X.; Huang, Y.; Zhao, K.; Yang, F. Research progress on mechanism of action of Codonopsis radix in treatment of gastric ulcer. Chin. Tradit. Herb. Drugs 2023, 54, 2338–2348. [Google Scholar]
- Zhou, G.; Gao, C.; Xu, P.; Yao, M.; Xie, J.; Hu, J. Replication Methodology of Animal Models for Human Disease, 1st ed.; Shanghai Science and Technology Literature Press: Shanghai, Chian, 2008; pp. 69–70. [Google Scholar]
- Zou, Y.; Cui, X.; Xiang, Q.; Guo, M.; Liang, Y.; Qu, Y.; Yang, X. Protective effect of against ethanol-induced gastric ulcer and its mechanism. J. Zhejiang Univ. Med. Sci. 2021, 50, 561–567. [Google Scholar] [CrossRef] [PubMed]
- Goorani, S.; Zhaleh, M.; Zangeneh, A.; Koohi, M.K.; Rashidi, K.; Moradi, R.; Zangeneh, M.M. The aqueous extract of Glycyrrhiza glabra effectively prevents induced gastroduodenal ulcers: Experimental study on Wistar rats. Comp. Clin. Pathol. 2019, 28, 339–347. [Google Scholar] [CrossRef]
- Arulselvan, P.; Fard, M.T.; Tan, W.S.; Gothai, S.; Fakurazi, S.; Norhaizan, M.E.; Kumar, S.S. Role of Antioxidants and Natural Products in Inflammation. Oxid. Med. Cell. Longev. 2016, 2016, 5276130. [Google Scholar] [CrossRef] [PubMed]
- Su, L.; Zhang, J.; Gomez, H.; Kellum, J.A.; Peng, Z. Mitochondria ROS and mitophagy in acute kidney injury. Autophagy 2022, 19, 11–14. [Google Scholar] [CrossRef] [PubMed]
- Yu, W.; Wang, X.; Zhao, J.; Liu, R.; Liu, J.; Wang, Z.; Hai, C. Stat2-Drp1 mediated mitochondrial mass increase is necessary for pro-inflammatory differentiation of macro-phages. Redox Biol. 2020, 37, 101761. [Google Scholar] [CrossRef] [PubMed]
- Chang, C. The Mechanism of Compound Qizao Decoction in the Therapy of Acetic Acid-Induced Gastric Ulcer of Rats. Master’s Thesis, Shenyang Medical College, Shenyang, China, 2019. [Google Scholar]
- Li, P.; Yadong, W.; Xiaorong, C.; Huangan, W.; Mi, L.; Fuqiang, M.; Hong, W.; Jiaolong, C.; Chao, W.; Renfu, Q.; et al. Effect of moxa-burning heat stimulating Liangmen (ST 21) and Zusanli (ST 36) on proliferation and apoptosis signaling proteins in rats with stress-induced gastric ulcer. J. Tradit. Chin. Med. 2016, 36, 340–346. [Google Scholar] [CrossRef] [PubMed]
- Liang, J.; Dou, Y.; Wu, X.; Li, H.; Wu, J.; Huang, Q.; Luo, D.; Yi, T.; Liu, Y.; Su, Z.; et al. Prophylactic efficacy of patchoulene epoxide against ethanol-induced gastric ulcer in rats: Influence on oxidative stress, inflammation and apoptosis. Chem. Interactions 2018, 283, 30–37. [Google Scholar] [CrossRef]
- Tarnawski, A.S.; Ahluwalia, A. The Critical Role of Growth Factors in Gastric Ulcer Healing: The Cellular and Molecular Mechanisms and Potential Clinical Implications. Cells 2021, 10, 1964. [Google Scholar] [CrossRef]
- Mu, S.; Yang, W.; Huang, G. Antioxidant activities and mechanisms of polysaccharides. Chem. Biol. Drug Des. 2021, 97, 628–632. [Google Scholar] [CrossRef] [PubMed]
- Hou, C.; Chen, L.; Yang, L.; Ji, X. An insight into anti-inflammatory effects of natural polysaccharides. Int. J. Biol. Macromol. 2020, 153, 248–255. [Google Scholar] [CrossRef] [PubMed]













| Monosaccharide Name | Peak Time of Standard (min) | Peak Time of DOP (min) | Peak Area | Content (%) | Specific Value |
|---|---|---|---|---|---|
| D-mannose | 14.606 | 14.234 | 22,111,913 | 7.46 | 4.71 |
| rhamnose | 20.401 | - | - | - | - |
| D-glucuronic acid | 21.847 | - | - | - | - |
| D-galacturonic acid | 24.899 | - | - | - | - |
| D-glucose | 31.107 | 30.417 | 3,389,729 | 1.58 | 1.00 |
| galactose | 35.458 | - | - | - | - |
| D-xylose | 37.682 | - | - | - | - |
| L-(+)-arabinose | 39.080 | - | - | - | - |
| fucose | 46.170 | - | - | - | - |
| Gene | Forward Primer | Reverse Primer |
|---|---|---|
| EGF | ACGGAGGGAGGCTACAAC | GGTCCACGGATTCAACAT |
| VEGF | AATCCTGGAGCGTTCACT | TCACCGCCTTGGCTTGTC |
| IL-6 | TGCCTTCTTGGGACTGATG | TACTGGTCTGTTGTGGGTG |
| TNF-α | CGTAGCAAACCACCAAGCG | GGTATGAAATGGCAAATCG |
| GAPDH | ACAGCAACAGGGTGGTGGAC | TTTGAGGGTGCAGCGAACTT |
Disclaimer/Publisher’s Note: The statements, opinions and data contained in all publications are solely those of the individual author(s) and contributor(s) and not of MDPI and/or the editor(s). MDPI and/or the editor(s) disclaim responsibility for any injury to people or property resulting from any ideas, methods, instructions or products referred to in the content. |
© 2024 by the authors. Licensee MDPI, Basel, Switzerland. This article is an open access article distributed under the terms and conditions of the Creative Commons Attribution (CC BY) license (https://creativecommons.org/licenses/by/4.0/).
Share and Cite
Zhang, M.; Xu, L.; Chen, L.; Wu, H.; Jia, L.; Zhu, H. Dendrobium officinale Polysaccharides as a Natural Functional Component for Acetic-Acid-Induced Gastric Ulcers in Rats. Molecules 2024, 29, 880. https://doi.org/10.3390/molecules29040880
Zhang M, Xu L, Chen L, Wu H, Jia L, Zhu H. Dendrobium officinale Polysaccharides as a Natural Functional Component for Acetic-Acid-Induced Gastric Ulcers in Rats. Molecules. 2024; 29(4):880. https://doi.org/10.3390/molecules29040880
Chicago/Turabian StyleZhang, Miao, Liba Xu, Long Chen, Huan Wu, Li Jia, and Hua Zhu. 2024. "Dendrobium officinale Polysaccharides as a Natural Functional Component for Acetic-Acid-Induced Gastric Ulcers in Rats" Molecules 29, no. 4: 880. https://doi.org/10.3390/molecules29040880
APA StyleZhang, M., Xu, L., Chen, L., Wu, H., Jia, L., & Zhu, H. (2024). Dendrobium officinale Polysaccharides as a Natural Functional Component for Acetic-Acid-Induced Gastric Ulcers in Rats. Molecules, 29(4), 880. https://doi.org/10.3390/molecules29040880

