Design of Novel Coumarin Derivatives as NUDT5 Antagonists That Act by Restricting ATP Synthesis in Breast Cancer Cells
Abstract
1. Introduction
2. Results and Discussion
2.1. Protein Surface Analysis—Domain Analysis Provides Crucial Insights on Binding Site
2.2. Coumarin Derivatives Were Designed from Lead Optimization
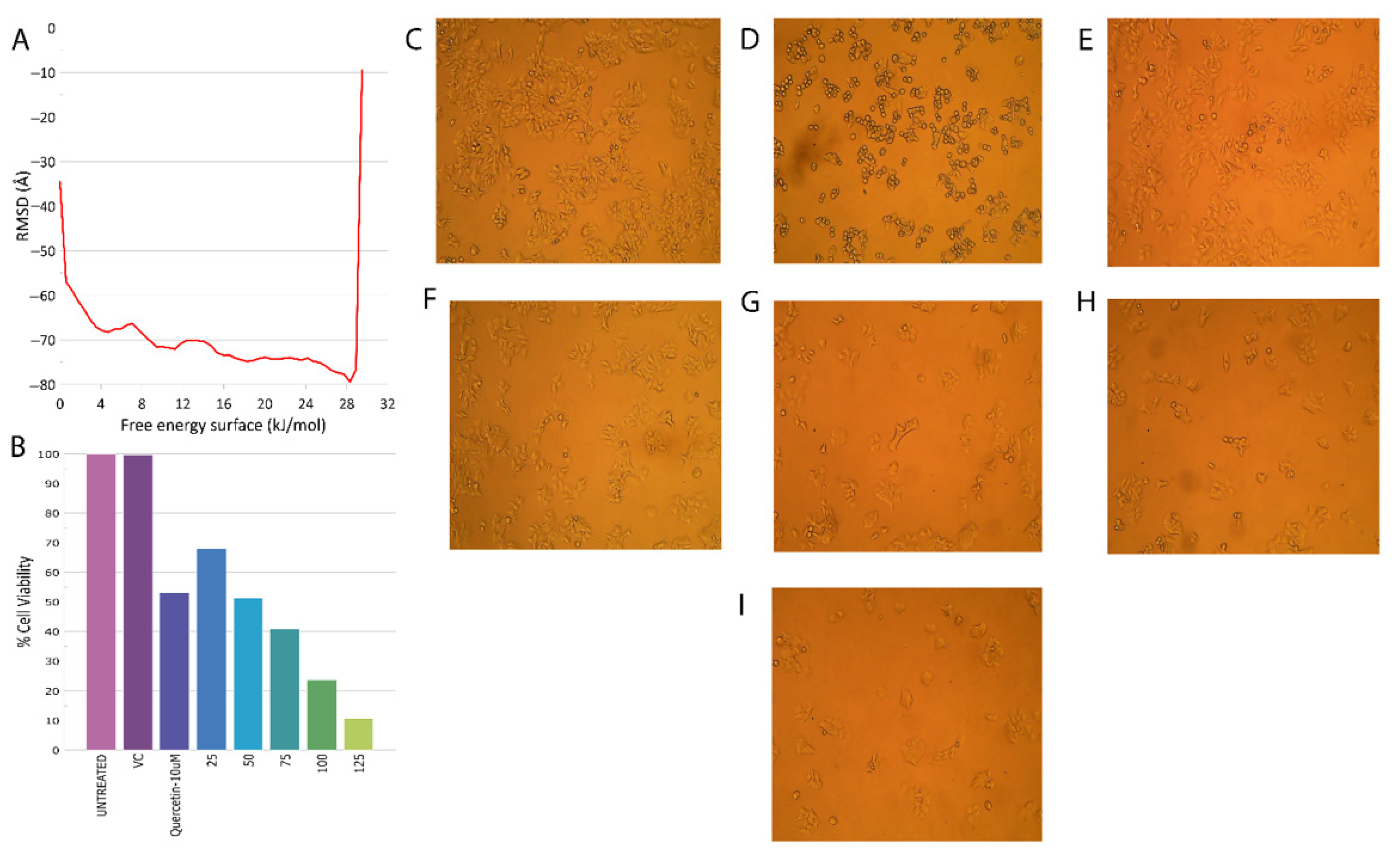
2.3. Molecular Dynamics Simulations, MM-GBSA, and Metadynamics Studies Provided Insights into the Molecular Interactions and Stability of Binding and Unbinding
2.4. MTT Assay
3. Materials and Methods
3.1. Protein Surface Analysis—Domain Analysis CDD
3.1.1. Protein Preparation and Ligand Preparation
3.1.2. Virtual Screening
3.2. Lead Enumeration and Optimization
3.3. Molecular Dynamics Simulation
3.4. Molecular Mechanics–Generalized Born Surface Area Calculations
3.5. Well-Tempered Metadynamics Study
3.6. Synthesis of 5-(sec-butyl)-4-hydroxy-3-(2-oxo-2H-chromen-4-yl)-1H-pyrrol-2(5H)-one
3.7. In Vitro Cytotoxicity Assay
4. Discussion
5. Conclusions
Supplementary Materials
Author Contributions
Funding
Institutional Review Board Statement
Informed Consent Statement
Data Availability Statement
Acknowledgments
Conflicts of Interest
Sample Availability
References
- Ganesh, S.; Vennila, J.J.; Scholz, H. An Overview and Perspectives of Wilm’s Tumor. Int. J. Cancer Res. 2010, 7, 1–7. [Google Scholar] [CrossRef][Green Version]
- Raica, M.; Ceausu, A.R.; Cimpean, A.M.; Comşa, Ş.; Sarb, S. Chloride Intracellular Channel Protein 1 (CLIC1), E-cadherin and P-cadherin Define Distinct Subclasses of HER2, Luminal B and Triple-negative Breast Cancer. Anticancer Res. 2021, 41, 795–802. [Google Scholar] [CrossRef] [PubMed]
- Wang, G.; Sun, S.; Wu, B.; Liu, J. Coumarins as Potential Anti-drug Resistant Cancer Agents: A Mini Review. Curr. Top. Med. Chem. 2021, 21, 1725–1736. [Google Scholar] [CrossRef] [PubMed]
- Rawat, A.; Reddy, A.V.B. Recent advances on anticancer activity of coumarin derivatives. Eur. J. Med. Chem. Rep. 2022, 5, 100038. [Google Scholar] [CrossRef]
- Song, X.; Fan, J.; Liu, L.; Liu, X.; Gao, F. Coumarin derivatives with anticancer activities: An update. Arch. Der Pharm. 2020, 353, 2000025. [Google Scholar] [CrossRef]
- Bessman, M.J.; Frick, D.N.; O’Handley, S.F. The MutT Proteins or “Nudix” Hydrolases, are a Family of Versatile, Widely Distributed, “Housecleaning” Enzymes. J. Biol. Chem. 1996, 271, 25059–25062. [Google Scholar] [CrossRef]
- McLennan, A.G. The Nudix hydrolase superfamily. Cell. Mol. Life Sci. CMLS 2005, 63, 123–143. [Google Scholar] [CrossRef]
- Mildvan, A.; Xia, Z.; Azurmendi, H.; Saraswat, V.; Legler, P.; Massiah, M.; Gabelli, S.; Bianchet, M.; Kang, L.-W.; Amzel, L. Structures and mechanisms of Nudix hydrolases. Arch. Biochem. Biophys. 2005, 433, 129–143. [Google Scholar] [CrossRef]
- Mo, J.Y.; Maki, H.; Sekiguchi, M. Hydrolytic elimination of a mutagenic nucleotide, 8-oxodGTP, by human 18-kilodalton protein: Sanitization of nucleotide pool. Proc. Natl. Acad. Sci. USA 1992, 89, 11021–11025. [Google Scholar] [CrossRef]
- Tsuzuki, T.; Egashira, A.; Igarashi, H.; Iwakuma, T.; Nakatsuru, Y.; Tominaga, Y.; Kawate, H.; Nakao, K.; Nakamura, K.; Ide, F.; et al. Spontaneous tumorigenesis in mice defective in the MTH1 gene encoding 8-oxo-dGTPase. Proc. Natl. Acad. Sci. USA 2001, 98, 11456–11461. [Google Scholar] [CrossRef]
- Anderson, K.; Iyidogan, P. Faculty Opinions Recommendation of MTH1 Inhibition Eradicates Cancer by Preventing Sanitation of the dNTP Pool; Faculty Opinions–Post-Publication Peer Review of the Biomedical Literature; Faculty Opinions Ltd.: London, UK, 2014. [Google Scholar]
- Zhang, L.-Q.; Song, X.-N.; Dai, D.-P.; Zhou, X.-Y.; Gan, W.; Takagi, Y.; Hayakawa, H.; Sekiguchi, M.; Cai, J.-P. Lowered Nudix type 5 expression leads to cellular senescence in IMR-90 fibroblast cells. Free Radic. Res. 2013, 47, 511–516. [Google Scholar] [CrossRef] [PubMed]
- Zhang, L.-Q.; Dai, D.-P.; Gan, W.; Takagi, Y.; Hayakawa, H.; Sekiguchi, M.; Cai, J.-P. Lowered Nudix type 5 (NUDT5) expression leads to cell cycle retardation in HeLa cells. Mol. Cell. Biochem. 2011, 363, 377–384. [Google Scholar] [CrossRef] [PubMed]
- Helleday, T. Abstract ES12-2: Targeted DNA repair in cancer and new NUDT5 inhibitors to block hormone signalling to target breast cancer. Cancer Res. 2020, 80 (Suppl. S4), ES12-22. [Google Scholar] [CrossRef]
- Page, B.D.G.; Valerie, N.C.K.; Wright, R.H.G.; Wallner, O.; Isaksson, R.; Carter, M.; Rudd, S.G.; Loseva, O.; Jemth, A.-S.; Almlöf, I.; et al. Author Correction: Targeted NUDT5 inhibitors block hormone signaling in breast cancer cells. Nat. Commun. 2019, 10, 5050–5051. [Google Scholar] [CrossRef]
- Yang, H.; Slupska, M.M.; Wei, Y.-F.; Tai, J.H.; Luther, W.M.; Xia, Y.-R.; Shih, D.M.; Chiang, J.-H.; Baikalov, C.; Fitz-Gibbon, S.; et al. Cloning and Characterization of a New Member of the Nudix Hydrolases from Human and Mouse. J. Biol. Chem. 2000, 275, 8844–8853. [Google Scholar] [CrossRef]
- Wright, R.H.G.; Lioutas, A.; Le Dily, F.; Soronellas, D.; Pohl, A.; Bonet, J.; Nacht, A.S.; Samino, S.; Font-Mateu, J.; Vicent, G.P.; et al. ADP-ribose–derived nuclear ATP synthesis by NUDIX5 is required for chromatin remodeling. Science 2016, 352, 1221–1225. [Google Scholar] [CrossRef]
- Le Dily, F.; Vidal, E.; Cuartero, Y.; Quilez, J.; Nacht, A.S.; Vicent, G.P.; Carbonell-Caballero, J.; Sharma, P.; Villanueva-Cañas, J.L.; Ferrari1, R.; et al. Hormone-control regions mediate steroid receptor-dependent genome organization. Genome Res. 2019, 29, 29–39. [Google Scholar] [CrossRef]
- Zha, M.; Zhong, C.; Peng, Y.; Hu, H.; Ding, J. Crystal Structures of Human NUDT5 Reveal Insights into the Structural Basis of the Substrate Specificity. J. Mol. Biol. 2006, 364, 1021–1033. [Google Scholar] [CrossRef]
- Zha, M.; Guo, Q.; Zhang, Y.; Yu, B.; Ou, Y.; Zhong, C.; Ding, J. Molecular Mechanism of ADP-Ribose Hydrolysis By Human NUDT5 From Structural and Kinetic Studies. J. Mol. Biol. 2008, 379, 568–578. [Google Scholar] [CrossRef]
- Arimori, T.; Tamaoki, H.; Nakamura, T.; Kamiya, H.; Ikemizu, S.; Takagi, Y.; Ishibashi, T.; Harashima, H.; Sekiguchi, M.; Yamagata, Y. Diverse substrate recognition and hydrolysis mechanisms of human NUDT5. Nucleic Acids Res. 2011, 39, 8972–8983. [Google Scholar] [CrossRef]
- Pa, V.; Vijayaraghavareddy, P.; Uttarkar, A.; Dawane, A.; Sujitha, D.; Ashwin, V.; KC, B.; Niranjan, V.; Sheshshayee, M.S.; Anuradha, M.C.; et al. Novel small molecules targeting bZIP23 TF improve stomatal conductance and photosynthesis under mild drought stress by regulating ABA. FEBS J. 2022, 289, 6058–6077. [Google Scholar] [CrossRef] [PubMed]
- Patagar, D.; Uttarkar, A.; Patra, S.M.; Patil, J.H.; Kusanur, R.; Niranjan, V.; Kumar, H.G.A. Spiro Benzodiazepine Substituted Fluorocoumarins as Potent Anti-Anxiety Agents. Russ. J. Bioorg. Chem. 2021, 47, 390–398. [Google Scholar] [CrossRef]
- Uttarkar, A.; Kishore, A.P.; Srinivas, S.M.; Rangappa, S.; Kusanur, R.; Niranjan, V. Coumarin derivative as a potent drug candidate against triple negative breast cancer targeting the frizzled receptor of wingless-related integration site signaling pathway. J. Biomol. Struct. Dyn. 2022, 1–13. [Google Scholar] [CrossRef] [PubMed]
- Akshay Uttarkar & Vidya Niranjan (2022) Brefeldin A variant via combinatorial screening acts as an effective antagonist inducing structural modification in EPAC2. Mol. Simul. 2022, 48, 1592–1603. [CrossRef]
- Niranjan, V.; Uttarkar, A.; Murali, K.; Niranjan, S.; Gopal, J.; Kumar, J. Mycobacterium Time-Series Genome Analysis Identifies AAC2′ as a Potential Drug Target with Naloxone Showing Potential Bait Drug Synergism. Molecules 2022, 27, 6150. [Google Scholar] [CrossRef]
- Bussi, G.; Laio, A.; Tiwary, P. Metadynamics: A Unified Framework for Accelerating Rare Events and Sampling Thermodynamics and Kinetics. In Handbook of Materials Modeling; Springer International Publishing: Cham, Switzerland, 2018; pp. 1–31. [Google Scholar] [CrossRef]
- Pickup, K.E.; Pardow, F.; Carbonell-Caballero, J.; Lioutas, A.; Villanueva-Cañas, J.L.; Wright, R.H.G.; Beato, M. Expression of Oncogenic Drivers in 3D Cell Culture Depends on Nuclear ATP Synthesis by NUDT5. Cancers 2019, 11, 1337. [Google Scholar] [CrossRef]
- Berman, H.M.; Westbrook, J.; Feng, Z.; Gilliland, G.; Bhat, T.N.; Weissig, H.; Shindyalov, I.N.; Bourne, P.E. The Protein Data Bank. Nucleic Acids Res. 2000, 28, 235–242. [Google Scholar] [CrossRef]
- Carter, M.; Stenmark, P. Potent Inhibitors of NUDT5 Silence Hormone Signaling in Breast Cancer; Worldwide Protein Data Bank: Piscataway, NJ, USA, 2018. [Google Scholar]
- National Center for Biotechnology Information. PubChem Compound Summary for CID 132472992. 2022. Available online: https://pubchem.ncbi.nlm.nih.gov/compound/132472992 (accessed on 29 July 2022).
- Madhavi Sastry, G.; Adzhigirey, M.; Day, T.; Annabhimoju, R.; Sherman, W. Protein and ligand preparation: Parameters, protocols, and influence on virtual screening enrichments. J. Comput.-Aided Mol. Des. 2013, 27, 221–234. [Google Scholar] [CrossRef]
- Schrödinger Release 2022-2: Maestro, Schrödinger, LLC, New York, NY. 2021. Available online: https://www.schrodinger.com/products/maestro (accessed on 14 March 2022).
- Shelley, J.C.; Cholleti, A.; Frye, L.L.; Greenwood, J.R.; Timlin, M.R.; Uchimaya, M. Epik: A software program for pK a prediction and protonation state generation for drug-like molecules. J. Comput. Mol. Des. 2007, 21, 681–691. [Google Scholar] [CrossRef]
- Olsson, M.H.M.; Søndergaard, C.R.; Rostkowski, M.; Jensen, J.H. PROPKA3: Consistent Treatment of Internal and Surface Residues in Empirical pKa Predictions. J. Chem. Theory Comput. 2011, 7, 525–537. [Google Scholar] [CrossRef]
- Harder, E.; Damm, W.; Maple, J.; Wu, C.; Reboul, M.; Xiang, J.Y.; Wang, L.; Lupyan, D.; Dahlgren, M.K.; Knight, J.L.; et al. OPLS3: A Force Field Providing Broad Coverage of Drug-like Small Molecules and Proteins. J. Chem. Theory Comput. 2015, 12, 281–296. [Google Scholar] [CrossRef] [PubMed]
- Friesner, R.A.; Banks, J.L.; Murphy, R.B.; Halgren, T.A.; Klicic, J.J.; Mainz, D.T.; Repasky, M.P.; Knoll, E.H.; Shelley, M.; Perry, J.K.; et al. Glide: A New Approach for Rapid, Accurate Docking and Scoring. Method and Assessment of Docking Accuracy. J. Med. Chem. 2004, 47, 1739–1749. [Google Scholar] [CrossRef] [PubMed]
- Halgren, T.A.; Murphy, R.B.; Friesner, R.A.; Beard, H.S.; Frye, L.L.; Pollard, W.T.; Banks, J.L. Glide: A New Approach for Rapid, Accurate Docking and Scoring. Enrichment Factors in Database Screening. J. Med. Chem. 2004, 47, 1750–1759. [Google Scholar] [CrossRef]
- Friesner, R.A.; Murphy, R.B.; Repasky, M.P.; Frye, L.L.; Greenwood, J.R.; Halgren, T.A.; Sanschagrin, P.C.; Mainz, D.T. Extra Precision Glide: Docking and Scoring Incorporating a Model of Hydrophobic Enclosure for Protein−Ligand Complexes. J. Med. Chem. 2006, 49, 6177–6196. [Google Scholar] [CrossRef] [PubMed]
- Bowers, K.J.; Chow, E.; Xu, H.; Dror, R.O.; Eastwood, M.P.; Gregersen, B.A.; Klepeis, J.L.; Kolossvary, I.; Moraes, M.A.; Sac-erdoti, F.D.; et al. Molecular Dynamics-Scalable algorithms for molecular dynamics simulations on commodity clusters. In Proceedings of the 2006 ACM/IEEE Conference on Supercomputing; Association for Computing Machinery, New York, NY, USA, 11 November 2006; ACM Press: New York, NY, USA, 2006. [Google Scholar]
- Mark, P.; Nilsson, L. Structure and Dynamics of the TIP3P, SPC, and SPC/E Water Models at 298 K. J. Phys. Chem. A 2001, 105, 9954–9960. [Google Scholar] [CrossRef]
- Khangwal, I.; Skariyachan, S.; Uttarkar, A.; Muddebihalkar, A.G.; Niranjan, V.; Shukla, P. Understanding the Xylooligosaccharides Utilization Mechanism of Lactobacillus brevis and Bifidobacterium adolescentis: Proteins Involved and Their Conformational Stabilities for Effectual Binding. Mol. Biotechnol. 2021, 64, 75–89. [Google Scholar] [CrossRef]
- Skariyachan, S.; Ravishankar, R.; Gopal, D.; Muddebihalkar, A.G.; Uttarkar, A.; Praveen, P.K.U.; Niranjan, V. Response regulator GacA and transcriptional activator RhlR proteins involved in biofilm formation of Pseudomonas aeruginosa are prospective targets for natural lead molecules: Computational modelling, molecular docking and dynamic simulation studies. Infect. Genet. Evol. 2020, 85, 104448. [Google Scholar] [CrossRef]
- Gopal, D.; Muddebihalkar, A.G.; Skariyachan, S.; Kaveramma, P.; Praveen, U.; Shankar, R.R.; Venkatesan, T.; Niranjan, V. Mitogen activated protein kinase-1 and cell division control protein-42 are putative targets for the binding of novel natural lead molecules: A therapeutic intervention against Candida albicans. J. Biomol. Struct. Dyn. 2019, 38, 4584–4599. [Google Scholar] [CrossRef]
- Skariyachan, S.; Muddebihalkar, A.G.; Badrinath, V.; Umashankar, B.; Eram, D.; Uttarkar, A.; Niranjan, V. Natural epiestriol-16 act as potential lead molecule against prospective molecular targets of multidrug resistant Acinetobacter baumannii-Insight from in silico modelling and in vitro investigations. Infect. Genet. Evol. 2020, 82, 104314. [Google Scholar] [CrossRef]
- Ylilauri, M.; Pentikäinen, O.T. MM-GBSA As a Tool To Understand the Binding Affinities of Filamin–Peptide Interactions. J. Chem. Inf. Model. 2013, 53, 2626–2633. [Google Scholar] [CrossRef]
- Li, J.; Abel, R.; Zhu, K.; Cao, Y.; Zhao, S.; Friesner, R.A. The VSGB 2.0 model: A next generation energy model for high resolution protein structure modeling. Proteins Struct. Funct. Bioinform. 2011, 79, 2794–2812. [Google Scholar] [CrossRef] [PubMed]
- Ahmad, S. Molecular dynamics simulation and docking analysis of NF-κB protein binding with sulindac acid. Bioinformation 2022, 18, 170–179. [Google Scholar] [CrossRef] [PubMed]
- Niranjan, V.; Uttarkar, A. Well-tempered Metadynamics Protocol; v2; ZappyLab, Inc.: Berkeley, CA, USA, 2022. [Google Scholar] [CrossRef]
- Wang, J.; Ishchenko, A.; Zhang, W.; Razavi, A.; Langley, D. A highly accurate metadynamics-based Dissociation Free Energy method to calculate protein–protein and protein–ligand binding potencies. Sci. Rep. 2022, 12, 1–11. [Google Scholar] [CrossRef] [PubMed]
- PubChem [Internet]. PubChem [Internet]. Bethesda (MD): National Library of Medicine (US), National Center for Biotechnology Information; 2004 PubChem Substance Record for SID 468535216, SID 468535216, Source: Vidya Lab, Department of Biotechnology, RV College of Engineering, Bengaluru. Available online: https://pubchem.ncbi.nlm.nih.gov/substance/468535216 (accessed on 30 July 2022).
- Patagar, D.; Kusanur, R.; Sitwala, N.D.; Ghate, M.D.; Saravanakumar, S.; Nembenna, S.; Gediya, P.A. Synthesis of Novel 4-Substituted Coumarins, Docking Studies, and DHODH Inhibitory Activity. J. Heterocycl. Chem. 2019, 56, 2761–2771. [Google Scholar] [CrossRef]
- van Meerloo, J.; Kaspers, G.J.L.; Cloos, J. Cell Sensitivity Assays: The MTT Assay. In Methods in Molecular Biology; Humana Press: Totowa, NJ, USA, 2011; pp. 237–245. [Google Scholar]
- Wright, R.; Beato, M. Role of the NUDT Enzymes in Breast Cancer. Int. J. Mol. Sci. 2021, 22, 2267. [Google Scholar] [CrossRef]
- Ahmed, E.Y.; Latif, N.A.A.; Nasr, T.; Awad, H.M.; Abdelhafez, O.M. Design, synthesis, and molecular modeling of coumarin derivatives as MDM2 inhibitors targeting breast cancer. Chem. Biol. Drug Des. 2022, 99, 609–619. [Google Scholar] [CrossRef]
- Gkionis, L.; Kavetsou, E.; Kalospyros, A.; Manousakis, D.; Sanz, M.G.; Butterworth, S.; Detsi, A.; Tirella, A. Investigation of the cytotoxicity of bioinspired coumarin analogues towards human breast cancer cells. Mol. Divers. 2021, 25, 307–321. [Google Scholar] [CrossRef]
- Tong, X.-Y.; Liao, X.; Gao, M.; Lv, B.-M.; Chen, X.-H.; Chu, X.-Y.; Zhang, Q.-Y.; Zhang, H.-Y. Identification of NUDT5 Inhibitors From Approved Drugs. Front. Mol. Biosci. 2020, 7, 44. [Google Scholar] [CrossRef]
- Thakur, A.; Singla, R.; Jaitak, V. Coumarins as anticancer agents: A review on synthetic strategies, mechanism of action and SAR studies. Eur. J. Med. Chem. 2015, 101, 476–495. [Google Scholar] [CrossRef]
- Patil, S.N.; Sanningannavar, F.; Navati, B.; Patil, N.; Kusanur, R.; Melavanki, R. Photophysical characteristics of two novel coumarin derivatives: Experimental and theoretical estimation of dipole moments using the solvatochromic shift method. Can. J. Phys. 2014, 92, 1330–1336. [Google Scholar] [CrossRef]




| Sl No. | Compound | Docking Score in kcal/mol | |
|---|---|---|---|
| 1 | ![]() | Coumarin | −5.682 |
| 2 | ![]() | Derivative 0_34 | −6.574 |
| 3 | ![]() | Derivative 0_10 | −5.556 |
| 4 | ![]() | Derivative 0_15 | −5.48 |
| 5 | ![]() | Derivative 0_29 | −5.464 |
| 6 | ![]() | Derivative 0_16 | −5.326 |
| 7 | ![]() | Derivative 0_30 | −5.326 |
| 8 | ![]() | Derivative 0_7 | −5.095 |
| 9 | ![]() | Derivative 0_6 | −4.874 |
| 10 | ![]() | Derivative 0_24 | −4.861 |
| 11 | ![]() | Derivative 0_26 | −4.826 |
| 12 | ![]() | Derivative 0_3 | −4.8 |
| 13 | ![]() | Derivative 0_28 | −4.121 |
| Sl No. | Time (ns) | MM-GBSA (dG) Bind | MM-GBSA (dG) Bind (NS) |
|---|---|---|---|
| 1 | 25 | −33.67971994 | −31.210146652 |
| 2 | 50 | −29.43619808 | −31.28268495 |
| 3 | 75 | −31.57020652 | −31.144059824 |
| 4 | 100 | −31.73330412 | −31.565264555 |
| 5 | 125 | −37.21172526 | −30.7391644435 |
| 6 | 150 | −38.76721981 | −30.6644028927 |
| 7 | 175 | −23.44127048 | −31.763695976 |
| 8 | 200 | −22.18155238 | −31.329428519 |
| 9 | 225 | −28.85833401 | −31.375644288 |
| 10 | 250 | −32.05286903 | −31.542408358 |
| 11 | 275 | −19.49123229 | −31.229535288 |
| 12 | 300 | −32.10821288 | −31.26827398 |
| 13 | 325 | −28.05239437 | −31.371629673 |
| 14 | 350 | −31.738841 | −31.51463875 |
| 15 | 375 | −30.89106052 | −31.568177393 |
| 16 | 400 | −28.96861394 | −31.604775712 |
| 17 | 425 | −24.37966333 | −31.537286241 |
| 18 | 450 | −27.73930405 | −30.7200561051 |
| 19 | 475 | −21.82038688 | −31.502836871 |
| 20 | 500 | −28.89739628 | −30.3340481743 |
Disclaimer/Publisher’s Note: The statements, opinions and data contained in all publications are solely those of the individual author(s) and contributor(s) and not of MDPI and/or the editor(s). MDPI and/or the editor(s) disclaim responsibility for any injury to people or property resulting from any ideas, methods, instructions or products referred to in the content. |
© 2022 by the authors. Licensee MDPI, Basel, Switzerland. This article is an open access article distributed under the terms and conditions of the Creative Commons Attribution (CC BY) license (https://creativecommons.org/licenses/by/4.0/).
Share and Cite
Niranjan, V.; Jayaprasad, S.; Uttarkar, A.; Kusanur, R.; Kumar, J. Design of Novel Coumarin Derivatives as NUDT5 Antagonists That Act by Restricting ATP Synthesis in Breast Cancer Cells. Molecules 2023, 28, 89. https://doi.org/10.3390/molecules28010089
Niranjan V, Jayaprasad S, Uttarkar A, Kusanur R, Kumar J. Design of Novel Coumarin Derivatives as NUDT5 Antagonists That Act by Restricting ATP Synthesis in Breast Cancer Cells. Molecules. 2023; 28(1):89. https://doi.org/10.3390/molecules28010089
Chicago/Turabian StyleNiranjan, Vidya, Sanjana Jayaprasad, Akshay Uttarkar, Raviraj Kusanur, and Jitendra Kumar. 2023. "Design of Novel Coumarin Derivatives as NUDT5 Antagonists That Act by Restricting ATP Synthesis in Breast Cancer Cells" Molecules 28, no. 1: 89. https://doi.org/10.3390/molecules28010089
APA StyleNiranjan, V., Jayaprasad, S., Uttarkar, A., Kusanur, R., & Kumar, J. (2023). Design of Novel Coumarin Derivatives as NUDT5 Antagonists That Act by Restricting ATP Synthesis in Breast Cancer Cells. Molecules, 28(1), 89. https://doi.org/10.3390/molecules28010089














