Efficient (3S)-Acetoin and (2S,3S)-2,3-Butanediol Production from meso-2,3-Butanediol Using Whole-Cell Biocatalysis
Abstract
:1. Introduction
2. Results and Discussion
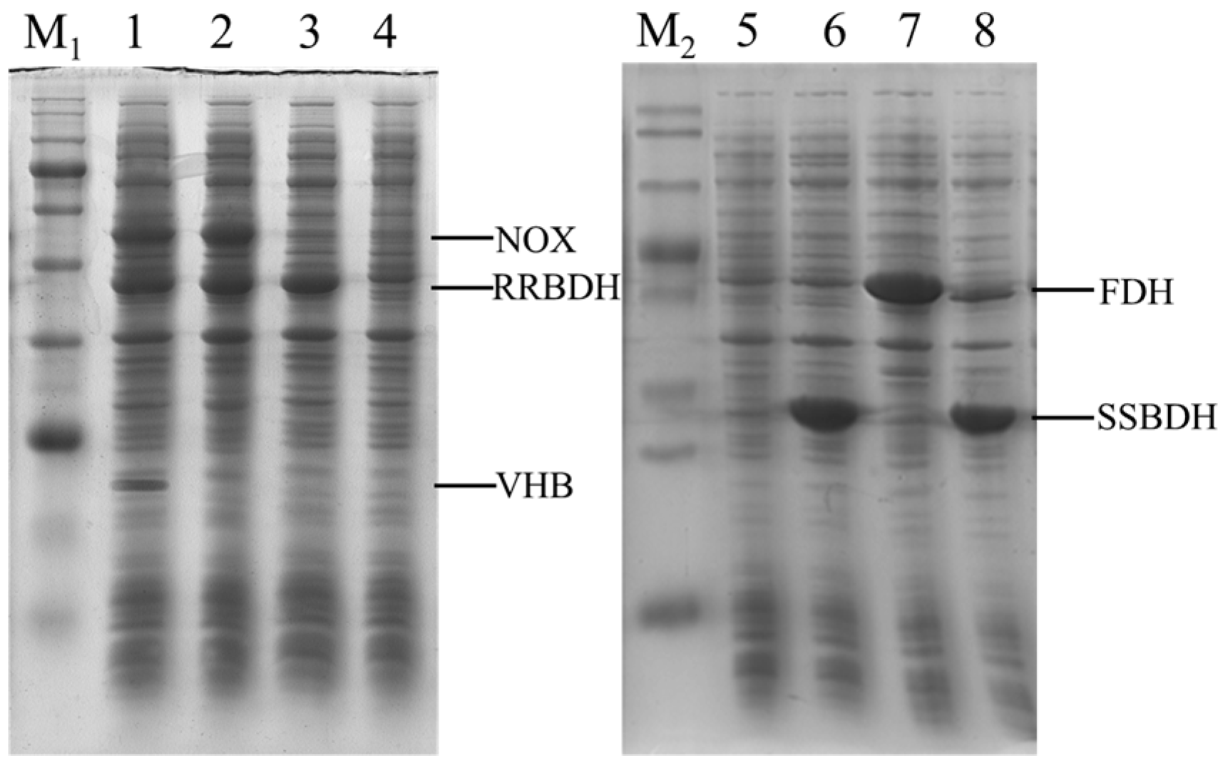
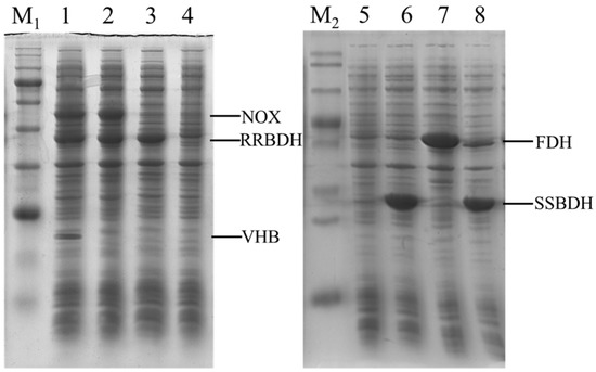
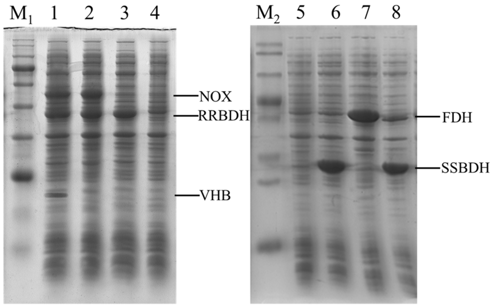
2.1. Construction of the Whole-Cell Biocatalysts
2.2. (3S)-Acetoin Production from meso-2,3-Butanediol by Whole-Cell Catalysis
2.2.1. Feasibility of (3S)-Acetoin Production from meso-2,3-Butanediol by Whole-Cell Catalysis
2.2.2. Effects of pH, Temperature, and WCW on (3S)-Acetoin Production by E. coli (pET-rrbdh-nox-vgb)
2.2.3. Effects of Substrate Concentration and Metal Ions on (3S)-Acetoin Production by E. coli (pET-rrbdh-nox-vgb)
2.2.4. Batch Bioconversion of (3S)-Acetoin Production from meso-2,3-Butanediol in a 5-L Bioreactor
2.3. (2S,3S)-2,3-Butanediol Production from meso-2,3-Butanediol by Synchronous Catalysis
2.3.1. Feasibility of (2S,3S)-2,3-Butanediol Production from meso-2,3-Butanediol by Synchronous Catalysis
2.3.2. Optimization of Synchronous Catalysis Conditions
2.3.3. Batch Bioconversion of (2S,3S)-2,3-Butanediol Production from meso-2,3-Butanediol by Synchronous Catalysis in 5-L Bioreactor
3. Materials and Methods
3.1. Enzymes and Chemicals
3.2. Construction of the Recombinant Strains as Biocatalysts
3.3. Biocatalyst Preparation
3.4. (3S)-Acetoin Production from meso-2,3-Butanediol by Whole-Cell Biocatalysis
3.5. (2S,3S)-2,3-Butanediol Production from meso-2,3-Butanediol by Synchronous Catalysis
3.6. Enzyme Assays
3.7. Product Analysis
4. Conclusions
Acknowledgments
Author Contributions
Conflicts of Interest
References
- Celinska, E.; Grajek, W. Biotechnological production of 2,3-butanediol current state and prospects. Biotechnol. Adv. 2009, 27, 715–725. [Google Scholar] [CrossRef] [PubMed]
- Ji, X.; Huang, H.; Ouyang, P. Microbial 2,3-butanediol production: A state-of-the-art review. Biotechnol. Adv. 2011, 29, 351–364. [Google Scholar] [CrossRef] [PubMed]
- Gao, C.; Zhang, L.; Xie, Y.; Hu, C.; Zhang, Y.; Li, L.; Wang, Y.; Ma, C.; Xu, P. Production of (3S)-acetoin from diacetyl by using stereoselective NADPH-dependent carbonyl reductase and glucose dehydrogenase. Bioresoure Technol. 2013, 137, 111–115. [Google Scholar] [CrossRef] [PubMed]
- Zhang, L.; Liu, Q.; Ge, Y.; Li, L.; Gao, C.; Xu, P.; Ma, C. Biotechnological production of acetoin, a biobased platform chemical, from a lignocellulosic resource by metabolically engineering Enterobacter cloacae. Green Chem. 2015, 18, 1560–1570. [Google Scholar] [CrossRef]
- Zhang, L.; Xu, Q.; Zhan, S.; Li, Y.; Lin, H.; Sun, S.; Sha, L.; Hu, K.; Guan, X.; Shen, Y. A new NAD(H)-dependent meso-2,3-butanediol dehydrogenase from an industrially potential strain Serratia marcescens H30. Appl. Microbiol. Biotechnol. 2014, 98, 1175–1184. [Google Scholar] [CrossRef] [PubMed]
- Ge, Y.; Li, K.; Li, L.; Gao, C.; Zhang, L.; Ma, C.; Xu, P. Contracted but effective: Production of enantiopure 2,3-butanediol by thermophilic and GRAS Bacillus licheniformis. Green Chem. 2016, 18, 4693–4703. [Google Scholar] [CrossRef]
- Guo, Z.; Zhao, X.; He, Y.; Yang, T.; Gao, H.; Li, G.; Chen, F.; Sun, M.; Lee, J.; Zhang, L. Efficient (3R)-acetoin production from meso-2,3-butanediol using a new whole-cell biocatalyst with co-expression of meso-2,3-butanediol dehydrogenase, NADH oxidase, and Vitreoscilla hemoglobin. J. Microbiol. Biotechnol. 2017, 27, 92–100. [Google Scholar] [CrossRef] [PubMed]
- Zhang, L.; Raushan, S.; Sivakumar, D.; Guo, Z.; Li, J.; Chen, F.; He, Y.; Guan, X.; Kang, Y.; Lee, J. An artificial synthetic pathway for acetoin, 2,3-butanediol, and 2-butanol production from ethanol using cell free multi-enzyme catalysis. Green Chem. 2018, 20, 230–242. [Google Scholar] [CrossRef]
- Mao, Y.; Fu, J.; Tao, R.; Huang, C.; Wang, Z.; Tang, Y.; Chen, T.; Zhao, M. Systematic metabolic engineering of Corynebacterium glutamicum for the industrial-level production of optically pure D-(−)-acetoin. Green Chem. 2017, 19, 5691–5702. [Google Scholar] [CrossRef]
- Yang, T.; Rathnasingh, C.; Lee, H.; Seung, D. Identification of acetoin reductases involved in 2,3-butanediol pathway in Klebsiella oxytoca. J. Biotechnol. 2014, 172, 59–66. [Google Scholar] [CrossRef] [PubMed]
- Rao, B.; Zhang, L.; Sun, J.; Su, G.; Wei, D.; Chu, J.; Zhu, J.; Shen, Y. Characterization and regulation of the 2,3-butanediol pathway in Serratia marcescens. Appl. Microbiol. Biotechnol. 2012, 93, 2147–2159. [Google Scholar] [CrossRef] [PubMed]
- Chen, C.; Wei, D.; Shi, J.; Wang, M.; Hao, J. Mechanism of 2,3-butanediol stereoisomer formation in Klebsiella pneumoniae. Appl. Microbiol. Biotechnol. 2014, 98, 4603–4613. [Google Scholar] [CrossRef] [PubMed]
- Zhang, L.; Guo, Z.; Chen, J.; Xu, Q.; Lin, H.; Hu, K.; Guan, X.; Shen, Y. Mechanism of 2,3-butanediol stereoisomers formation in a newly isolated Serratia sp. T241. Sci. Rep. 2016, 6, 19257. [Google Scholar] [CrossRef] [PubMed]
- Xu, Q.; Xie, L.; Li, Y.; Lin, H.; Sun, S.; Guan, X.; Hu, K.; Shen, Y.; Zhang, L. Metabolic engineering of Escherichia coli for efficient production of (3R)-acetoin. J. Chem. Technol. Biotechnol. 2015, 90, 93–100. [Google Scholar] [CrossRef]
- Li, L.; Li, K.; Wang, Y.; Chen, C.; Xu, Y.; Zhang, L.; Han, B.; Gao, C.; Tao, F.; Ma, C.; et al. Metabolic engineering of Enterobacter cloacae for high-yield production of enantiopure (2R,3R)-2,3-butanediol from lignocellulose-derived sugars. Metab. Eng. 2015, 28, 19–27. [Google Scholar] [CrossRef] [PubMed]
- Qiu, Y.; Zhang, J.; Li, L.; Wen, Z.; Nomura, C.; Wu, S.; Chen, S. Engineering Bacillus licheniformis for the production of meso-2,3-butanediol. Biotechnol. Biofuels 2016, 9, 117. [Google Scholar] [CrossRef] [PubMed]
- Chu, H.; Xin, B.; Liu, P.; Wang, Y.; Li, L.; Liu, X.; Zhang, X.; Ma, C.; Xu, P. Metabolic engineering of Escherichia coli for production of (2S,3S)-butane-2,3-diol from glucose. Biotechnol. Biofuels 2015, 8, 143. [Google Scholar] [CrossRef] [PubMed]
- Zhang, L.; Zhang, Y.; Liu, Q.; Meng, L.; Hu, M.; Lv, M.; Li, K.; Gao, C.; Xu, P.; Ma, C. Production of diacetyl by metabolically engineered Enterobacter cloacae. Sci. Rep. 2015, 5, 9033. [Google Scholar] [CrossRef] [PubMed]
- Li, L.; Wang, Y.; Zhang, L.; Ma, C.; Wang, A.; Tao, F.; Xu, P. Biocatalytic production of (2S,3S)-2,3-butanediol from diacetyl using whole cells of engineered Escherichia coli. Bioresource Technol. 2011, 115, 111–116. [Google Scholar] [CrossRef] [PubMed]
- Wang, Y.; Li, L.; Ma, C.; Gao, C.; Tao, F.; Xu, P. Engineering of cofactor regeneration enhances (2S,3S)-2,3-butanediol production from diacetyl. Sci. Rep. 2013, 3, 2643. [Google Scholar] [CrossRef] [PubMed]
- Gao, C.; Zhang, L.; Xie, Y.; Hu, C.; Zhang, Y.; Li, L.; Wang, Y.; Ma, C.; Xu, P. Production of (3S)-acetoin from diacetyl by using stereoselective NADPH-dependent carbonyl reductase and glucose dehydrogenase. Bioresour. Technol. 2013, 137, 111–115. [Google Scholar] [CrossRef] [PubMed]
- Yu, B.; Sun, J.; Bommareddy, R.; Song, L.; Zeng, A. Novel (2R,3R)-2,3-butanediol dehydrogenase from potential industrial strain Paenibacillus polymyxa ATCC 12321. Appl. Environ. Microbiol. 2011, 77, 4230–4233. [Google Scholar] [CrossRef] [PubMed]
- Xiao, Z.; Lv, C.; Gao, C.; Qin, J.; Ma, C.; Liu, Z.; Liu, P.; Li, L.; Xu, P. A novel whole-cell biocatalyst with NAD+ regeneration for production of chiral chemicals. PLoS ONE 2010, 5, e8860. [Google Scholar] [CrossRef] [PubMed]
- Geckil, H.; Barak, Z.; Chipman, D.; Erenler, S.; Webster, D.; Stark, B. Enhanced production of acetoin and butanediol in recombinant Enterobacter aerogenes carrying Vitreoscilla hemoglobin gene. Bioprocess Biosyst. Eng. 2004, 26, 325–330. [Google Scholar] [CrossRef] [PubMed]
- Horng, Y.; Chang, K.; Chien, C.; Wei, Y.; Sun, Y.; Soo, P. Enhanced polyhydroxybutyrate (PHB) production via the coexpressed phaCAB and vgb genes controlled by arabinose P promoter in Escherichia coli. Lett. Appl. Microbiol. 2010, 50, 158–167. [Google Scholar] [CrossRef] [PubMed]
- Gao, J.; Xu, Y.; Li, F.; Ding, G. Production of S-acetoin from diacetyl by Escherichia coli transformant cells that express the diacetyl reductase gene of Paenibacillus polymyxa ZJ-9. Lett. Appl. Microbiol. 2013, 57, 274–281. [Google Scholar] [PubMed]
- Yu, M.; Huang, M.; Song, Q.; Shao, J.; Ying, X. Characterization of a (2R,3R)-2,3-Butanediol Dehydrogenase from Rhodococcus erythropolis WZ010. Molecules 2015, 20, 7156–7173. [Google Scholar] [CrossRef] [PubMed]
- Zhang, L.; Yang, Y.; Sun, J.; Shen, Y.; Wei, D.; Zhu, J.; Chu, J. Microbial production of 2,3-butanediol by a mutagenized strain of Serratia marcescens H30. Bioresource Technol. 2010, 101, 1961–1967. [Google Scholar] [CrossRef] [PubMed]
- Zhang, L.; Sun, J.; Hao, Y.; Zhu, J.; Chu, J.; Wei, D.; Shen, Y. Microbial production of 2,3-butanediol by a surfactant (serrawettin)-deficient mutant of Serratia marcescens H30. J. Ind. Microbiol. Biotechnol. 2010, 37, 857–862. [Google Scholar] [CrossRef] [PubMed]
- Otagiri, M.; Ui, S.; Takusagawa, Y.; Ohtsuki, T.; Kurisu, G.; Kusunoki, M. Structural basis for chiral substrate recognition by two 2,3-butanediol dehydrogenases. FEBS Lett. 2010, 584, 219–223. [Google Scholar] [CrossRef] [PubMed]
- Park, J.; Hong, W.; Lee, S.; Heo, S.; Jung, Y.; Kang, I.; Oh, B.; Seo, J.; Kim, C. Identification and characterization of a short-chain acyl dehydrogenase from Klebsiella pneumoniae and its application for high-level production of L-2,3-butanediol. J. Ind. Microbiol. Biotechnol. 2014, 41, 1425–1433. [Google Scholar] [CrossRef] [PubMed]
- Wang, Z.; Song, Q.; Yu, M.; Wang, Y.; Xiong, B.; Zhang, Y.; Zheng, J.; Ying, X. Characterization of a stereospecific acetoin (diacetyl) reductase from Rhodococcus erythropolis WZ010 and its application for the synthesis of (2S,3S)-2,3-butanediol. Appl. Microbiol. Biotechnol. 2014, 98, 641–650. [Google Scholar] [CrossRef] [PubMed]
- Spieler, V.; Valldorf, B.; Maaß, F.; Kleinschek, A.; Hüttenhain, S.; Kolmar, H. Coupled reactions on bioparticles: Stereoselective reduction with cofactor regeneration on PhaC inclusion bodies. Biotechnol. J. 2016, 11, 890–898. [Google Scholar] [CrossRef] [PubMed]
- Zhang, Y.; Tiwari, M.; Gao, H.; Dhiman, S.; Jeya, M.; Lee, J. Cloning and characterization of a thermostable H2O-forming NADH oxidase from Lactobacillus rhamnosus. Enzym. Microb. Technol. 2012, 50, 255–262. [Google Scholar] [CrossRef] [PubMed]
- Zhang, L.; Xu, Q.; Peng, X.; Xu, B.; Wu, Y.; Yang, Y.; Sun, S.; Hu, K.; Shen, Y. Cloning, expression and characterization of glycerol dehydrogenase involved in 2,3-butanediol formation in Serratia marcescens H30. J. Ind. Microbiol. Biotechnol. 2014, 41, 1319–1327. [Google Scholar] [CrossRef] [PubMed]
Sample Availability: Samples of the compounds are not available from the authors. |







| E. coli BL21(DE3) | Crude Enzyme Activities of (2R,3R)-2,3-BDH and NADH Oxidase (U/mg) | |||
|---|---|---|---|---|
| (2S,3S)-2,3-BD | (2R,3R)-2,3-BD | meso-2,3-BD | NADH | |
| pET28a | 0 | 0.01 ± 0.01 | 0.04 ± 0.01 | ND |
| pET-rrbdh | 0 | 1.11 ± 0.04 | 0.57 ± 0.03 | ND |
| pET-rrbdh-nox | 0 | 0.97 ± 0.05 | 0.53 ± 0.03 | 6.83 ± 0.48 |
| pET-rrbdh-nox-vgb | 0 | 0.95 ± 0.02 | 0.51 ± 0.04 | 5.93 ± 0.35 |
| E. coli BL21(DE3) | Crude Enzyme Activities of (2S,3S)-2,3-BDH and FDH (U/mg) | |
|---|---|---|
| (3R/3S)-AC | Formate | |
| pET28a | 0.05 ± 0.01 | ND |
| pET-ssbdh | 53.20 ± 0.49 | ND |
| pET-fdh | 0.03 ± 0.01 | 0.18 ± 0.01 |
| pET-ssbdh-fdh | 38.90 ± 0.21 | 0.06 ± 0.02 |
| E. coli BL21(DE3) | (3R)-AC (g/L) | (3S)-AC (g/L) | (2S,3S)-2,3-BD (g/L) | (2R,3R)-2,3-BD (g/L) | meso-2,3-BD (g/L) |
|---|---|---|---|---|---|
| pET28a | 0.06 ± 0.01 | 0.04 ± 0.01 | 0.52 ± 0.03 | 0.86 ± 0.02 | 18.75 ± 0.19 |
| pET-rrbdh | 0.71 ± 0.03 | 7.86 ± 0.05 | 0.53 ± 0.02 | 0.27 ± 0.01 | 10.46 ± 0.14 |
| pET-rrbdh-nox | 0.81 ± 0.05 | 13.88 ± 0.12 | 0.55 ± 0.03 | 0.12 ± 0.01 | 4.52 ± 0.10 |
| pET-rrbdh-nox-vgb | 0.83 ± 0.02 | 16.79 ± 0.15 | 0.55 ± 0.01 | 0.09 ± 0.03 | 1.96 ± 0.05 |
| Strains, Plasmids, or Primers | Genotype, Properties, or Sequences | Source |
|---|---|---|
| Strains | ||
| P. polymyxa ATCC12321 | Wild type | Laboratory stock |
| L. brevis DSM 20054 | Wild type | Laboratory stock |
| Serratia sp. T241 | Wild type | Laboratory stock |
| C. boidinii NCYC 1513 | Wild type | Laboratory stock |
| E. coli DH5α | F−, φ80d/lacZΔM15, Δ(lacZYA-argF)U169, deoR, recA1, endA1, hsdR17(rk−mk+), phoA, supE44, λ−, thi-1, gyrA96, relA1 | Tiangen Biotech |
| E. coli BL21(DE3) | F-, ompT, hsdSB(rB-mB-), gal(λ c I 857, ind1, Sam7, nin5, lacUV-T7 gene1), dcm(DE3) | Tiangen Biotech |
| Plasmids | ||
| pET28a | Kmr; expression vector | Laboratory stock |
| pBR322-vgb | AMPr; pBR322 vector containing the vgb gene | Laboratory stock |
| pET-fdh | Kmr; fdh in pET28a | Laboratory stock |
| pET-ssbdh | Kmr; ssbdh in pET28a | Laboratory stock |
| pET-rrbdh | Kmr; rrbdh in pET28a | This study |
| pET-rrbdh-nox | Kmr; rrbdh and nox in pET28a | This study |
| pET-rrbdh-nox-vgb | Kmr; rrbdh, nox, and vgb in pET28a | This study |
| pET-ssbdh-fdh | Kmr; rrbdh and fdh in pET28a | This study |
| Primers | ||
| P1 | CGCGGATCCATGCAAGCATTGAGATGGC | BamHI |
| P2 | CGCAAGCTTTTAGGCTTTCGGAGATACCA | HindIII |
| P3 | CAGCAAATGGGTCGCGGATCCATGCAAGCATTGAGATGGC | BamHI |
| P4 | TTTCCTTTCCTTATTGTGATGACTTAGGCTTTCGGAGATAC | RBS sequence |
| P5 | GTCATCACAATAAGGAAAGGAAAATGAAAGTCACAGTTG | RBS sequence |
| P6 | CTCGAGTGCGGCCGCAAGCTTTTAAGCGTTAACTGAT | HindIII |
| P7 | CAGCAAATGGGTCGCGGATCCATGCAAGCATTGAGATGGC | BamHI |
| P8 | TTTCCTTTCCTTATTGTGATGACTTAGGCTTTCGGAGATAC | RBS sequence |
| P9 | GTCATCACAATAAGGAAAGGAAAATGAAAGTCACAGTTG | RBS sequence |
| P10 | TTTCCTTTCCTTATTGTGATGACTTAAGCGTTAACTGAT | RBS sequence |
| P11 | GTCATCACAATAAGGAAAGGAAAATGTTAGACCAGCAAAC | RBS sequence |
| P12 | CTCGAGTGCGGCCGCAAGCTTTTATTCAACCGCTTGAGCGT | HindIII |
| P13 | CAGCAAATGGGTCGCGGATCCATGTCGACAGGTTTGAAC | BamHI |
| P14 | TTTCCTTTCCTTATTGTGATGACTTAGCGATAAACCAGCCC | RBS sequence |
| P15 | GTCATCACAATAAGGAAAGGAAAATGAAAATTGTCCTGGT | RBS sequence |
| P16 | CTCGAGTGCGGCCGCAAGCTTTTACTTTTTATCGTGTTTG | HindIII |
© 2018 by the authors. Licensee MDPI, Basel, Switzerland. This article is an open access article distributed under the terms and conditions of the Creative Commons Attribution (CC BY) license (http://creativecommons.org/licenses/by/4.0/).
Share and Cite
He, Y.; Chen, F.; Sun, M.; Gao, H.; Guo, Z.; Lin, H.; Chen, J.; Jin, W.; Yang, Y.; Zhang, L.; et al. Efficient (3S)-Acetoin and (2S,3S)-2,3-Butanediol Production from meso-2,3-Butanediol Using Whole-Cell Biocatalysis. Molecules 2018, 23, 691. https://doi.org/10.3390/molecules23030691
He Y, Chen F, Sun M, Gao H, Guo Z, Lin H, Chen J, Jin W, Yang Y, Zhang L, et al. Efficient (3S)-Acetoin and (2S,3S)-2,3-Butanediol Production from meso-2,3-Butanediol Using Whole-Cell Biocatalysis. Molecules. 2018; 23(3):691. https://doi.org/10.3390/molecules23030691
Chicago/Turabian StyleHe, Yuanzhi, Feixue Chen, Meijing Sun, Huifang Gao, Zewang Guo, Hui Lin, Jiebo Chen, Wensong Jin, Yunlong Yang, Liaoyuan Zhang, and et al. 2018. "Efficient (3S)-Acetoin and (2S,3S)-2,3-Butanediol Production from meso-2,3-Butanediol Using Whole-Cell Biocatalysis" Molecules 23, no. 3: 691. https://doi.org/10.3390/molecules23030691
APA StyleHe, Y., Chen, F., Sun, M., Gao, H., Guo, Z., Lin, H., Chen, J., Jin, W., Yang, Y., Zhang, L., & Yuan, J. (2018). Efficient (3S)-Acetoin and (2S,3S)-2,3-Butanediol Production from meso-2,3-Butanediol Using Whole-Cell Biocatalysis. Molecules, 23(3), 691. https://doi.org/10.3390/molecules23030691

