Sign in to use this feature.

Years

Between: -

Subjects

remove_circle_outline
remove_circle_outline
remove_circle_outline
remove_circle_outline
remove_circle_outline
remove_circle_outline
remove_circle_outline
remove_circle_outline
remove_circle_outline

Journals

remove_circle_outline
remove_circle_outline
remove_circle_outline
remove_circle_outline
remove_circle_outline
remove_circle_outline
remove_circle_outline
remove_circle_outline
remove_circle_outline
remove_circle_outline
remove_circle_outline

Article Types

Countries / Regions

remove_circle_outline
remove_circle_outline
remove_circle_outline

Search Results (1,300)

Search Parameters:
Keywords = trypsin-2

Order results
Result details
Results per page
Select all
Export citation of selected articles as:
21 pages, 6279 KB  
Article
Thermolysin Versus Four Commercial Proteases in the Modification of Soy Protein Isolate: Structural, Functional, and Taste Characterization
by Xinyue Liu, Jiacheng Yin, Shuting Yin, Ping Chen and Biying Zhang
Foods 2026, 15(8), 1308; https://doi.org/10.3390/foods15081308 - 10 Apr 2026
Abstract
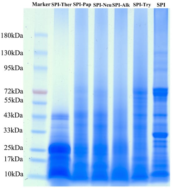
The differential effects of thermolysin and four commercial proteases on soy protein isolate (SPI) were investigated under enzyme-specific hydrolysis conditions to comparatively assess the structural, functional, and instrumental taste differences among the resulting hydrolysates. Under the enzyme-specific hydrolysis conditions, among the enzymes tested, [...] Read more.
The differential effects of thermolysin and four commercial proteases on soy protein isolate (SPI) were investigated under enzyme-specific hydrolysis conditions to comparatively assess the structural, functional, and instrumental taste differences among the resulting hydrolysates. Under the enzyme-specific hydrolysis conditions, among the enzymes tested, thermolysin induced substantial fragmentation of SPI, with products mainly distributed below 25 kDa and accompanied by marked conformational rearrangement. Thermolysin-treated SPI exhibited the highest total free amino acid content (14.805 mg/g), especially Tyr and Phe, together with the highest solubility (80.52 ± 4.40%), the highest emulsifying activity index (36.11 m2/g), and the strongest antioxidant capacities in 2,2′-azinobis(3-ethylbenzothiazoline-6-sulfonic acid) (ABTS), 2,2-diphenyl-1-picrylhydrazyl radical scavenging assay (DPPH), and hydroxyl radical scavenging assays. Electronic tongue analysis further showed that enzymatic hydrolysis generally enhanced umami and richness while reducing astringency relative to native SPI. Notably, SPI-Ther exhibited the most pronounced instrumental taste reconfiguration, characterized by increased umami (9.57) and richness (7.57), but also the highest bitterness (4.75) and aftertaste-B (3.46), indicating a distinct functionality–taste trade-off rather than simple debittering. In contrast, papain generated the highest umami response, whereas trypsin produced the mildest taste profile with the lowest bitterness. Overall, under the enzyme-specific hydrolysis conditions used in this study, thermolysin yielded the most pronounced improvement in the measured functional indices of SPI. However, these findings should be interpreted as a comparative, condition-specific assessment rather than a direct ranking of intrinsic protease specificity, and additional peptide characterization and sensory validation would be needed before taste-oriented applications can be recommended. Full article
Show Figures

Figure 1

17 pages, 6518 KB  
Article
3-Amidinophenylalanine-Derived Inhibitors’ Antiviral Effect Against H1N1 Influenza A Virus
by Lilla Tóth, András Marosi, Luna C. Schmacke, Torsten Steinmetzer, Anita Rácz, Dávid Bajusz, Ákos Jerzsele, Sándor Kunsági-Máté, Miklós Poór and Erzsébet Pászti-Gere
Antibiotics 2026, 15(4), 366; https://doi.org/10.3390/antibiotics15040366 - 2 Apr 2026
Viewed by 255
Abstract
Background/Objectives: Transmembrane serine proteases such as TMPRSS2 and matriptase have been identified as pivotal host factors in the influenza A infection due to their capacity to cleave the hemagglutinin and thereby facilitate viral activation. The inhibition of these enzymes has the potential to [...] Read more.
Background/Objectives: Transmembrane serine proteases such as TMPRSS2 and matriptase have been identified as pivotal host factors in the influenza A infection due to their capacity to cleave the hemagglutinin and thereby facilitate viral activation. The inhibition of these enzymes has the potential to serve as an effective therapeutic strategy against numerous seasonal influenza strains. In our study, four 3-amidinophenylalanine-derived inhibitors were used to elucidate their antiviral efficacy, pharmacokinetic properties and affinities toward certain related trypsin-like serine proteases. Methods: Ki values for TMPRSS2, matriptase, thrombin and factor Xa were determined using enzyme kinetic measurements. Cytochrome P450 3A (CYP3A) inhibitory activity was investigated using human liver microsomes, and protein binding was evaluated with human serum albumin and α1-acid glycoprotein. In vitro antiviral efficacy and cytotoxicity were determined in MDCK-II cells. Results: All compounds were non-cytotoxic and exhibited a relatively high affinity toward matriptase and bovine thrombin in the 10–30 nM concentration range. Among the inhibitors, MI-441 displayed the lowest Ki value for TMPRSS2 (~60 nM). The weakest CYP3A inhibitory activity was observed for compounds MI-447 and MI-448. In addition, three of the four compounds (MI-441, MI-443 and MI-447) demonstrated significant antiviral activity. Conclusions: This study demonstrates that the investigated inhibitors exhibit a favorable safety profile, low binding to human serum albumin and pronounced antiviral activity against H1N1. Full article
(This article belongs to the Special Issue Current Advances and Innovations in Anti-Infective Agents Discovery)
Show Figures

Figure 1

23 pages, 5255 KB  
Article
Design of TAT-Conjugated Bowman–Birk Trypsin Inhibitor Peptides with Enhanced Antimicrobial and Antiproliferative Activities
by Ying Wang, Yangyang Jiang, Tao Wang, Xiaoling Chen, Lei Wang, Mei Zhou, James F. Burrows, Tianbao Chen, Xiaofei Zhang and Na Li
Biomolecules 2026, 16(4), 511; https://doi.org/10.3390/biom16040511 - 30 Mar 2026
Viewed by 337
Abstract
Cell-penetrating peptide (CPP) conjugation represents a promising strategy for enhancing the biological activity of therapeutic peptides. In this study, three analogues were designed by conjugating the trypsin inhibitory loop (TIL) derived from a Bowman–Birk-type inhibitor with the transactivator of transcription (TAT) peptide to [...] Read more.
Cell-penetrating peptide (CPP) conjugation represents a promising strategy for enhancing the biological activity of therapeutic peptides. In this study, three analogues were designed by conjugating the trypsin inhibitory loop (TIL) derived from a Bowman–Birk-type inhibitor with the transactivator of transcription (TAT) peptide to improve their bioactivity. All TAT-TIL conjugates exhibited significantly enhanced antimicrobial activity compared with the parent peptide. Notably, the analogue containing a glycine linker (-GG-) showed further improvement in antiproliferative activity against cancer cells, indicating the potential role of linker design in optimizing peptide function. All analogues exhibited low hemolytic activity at the highest tested concentrations, although increased cytotoxicity toward normal HaCaT cells was observed, suggesting the need for further optimization of selectivity. Interestingly, comparable antimicrobial activities were observed regardless of protease inhibitory capacity, indicating that protease inhibition is not essential for the enhanced biological effects. Overall, TAT conjugation significantly improves the biological activity of Bowman–Birk-type inhibitor-derived peptides, and the incorporation of a glycine linker further enhances their functional properties. These findings support CPP-mediated peptide modification as an effective strategy for developing potential antimicrobial and anticancer peptide candidates. Full article
(This article belongs to the Section Biomacromolecules: Proteins, Nucleic Acids and Carbohydrates)
Show Figures

Figure 1

17 pages, 1158 KB  
Article
Procoagulant Effect of FIX Concentrates and Bypass Agents in Combination with Emicizumab and Impact of FVIII Inhibitors
by Elena G. Arias-Salgado, María Teresa Álvarez Román, Abel Dos Santos Ortas, Ihosvany Fernandéz-Bello, Elena Monzón Manzano, Paula Acuña, Mónica Martín Salces, Maria Isabel Rivas Pollmar, Sara García Barcenilla, Nora V. Butta and Víctor Jimenéz-Yuste
Biomedicines 2026, 14(4), 777; https://doi.org/10.3390/biomedicines14040777 - 29 Mar 2026
Viewed by 294
Abstract
Background/Objectives: Patients with severe hemophilia A on prophylaxis with emicizumab exhibit a mild/moderate bleeding phenotype that requires the use of either recombinant FVIII (rFVIII) or bypassing agents (BPAs) in patients with inhibitors, in the case of breakthrough bleeding or surgery. Since factor IX [...] Read more.
Background/Objectives: Patients with severe hemophilia A on prophylaxis with emicizumab exhibit a mild/moderate bleeding phenotype that requires the use of either recombinant FVIII (rFVIII) or bypassing agents (BPAs) in patients with inhibitors, in the case of breakthrough bleeding or surgery. Since factor IX (FIX) limits the formation of the FIXa–emicizumab–FX complex, exogenously added FIX might enhance complex formation and thrombin generation. This study aimed to compare the procoagulant effects of various FIX concentrates with recombinant activated FVII (rFVIIa), activated prothrombin complex concentrate (aPCC), and rFVIII in SHA patients with and without inhibitors under emicizumab prophylaxis. Methods: Hemostatic changes were monitored using two optimized global coagulation assays: rotational thromboelastometry and calibrated automated thrombin generation. Tubes containing corn trypsin inhibitor (CTI) were used during blood collection to prevent activation. Low concentrations of tissue factor (TF) were used to trigger coagulation in both assays. Results: Ex vivo addition of recombinant FIX concentrates significantly increased the procoagulant activity of emicizumab, achieving levels comparable to therapeutic doses of rFVIIa or rFVIII, and the proportion of active FIXa within the concentrates is a major contributor to their procoagulant function. We assessed the influence of FVIII inhibitors on the hemostatic efficacy of rFIX concentrates and BPAs, finding that rFIX-induced thrombin generation increased in the presence of inhibitors, and no significant differences were observed with BPAs. Conclusions: These findings suggest that FIX concentrates could be an effective alternative to BPAs for emicizumab-treated patients, particularly those with inhibitors. Further studies are needed to confirm their in vivo efficacy and to evaluate thrombotic risk. Full article
(This article belongs to the Section Drug Discovery, Development and Delivery)
Show Figures

Figure 1

16 pages, 2451 KB  
Article
Physiological Stress Signatures of Waterborne Glyphosate Exposure in Apostichopus japonicus: Insights for Aquatic Ecotoxicology
by Jingchun Sun, Shaoping Kuang and Hongsheng Yang
Toxics 2026, 14(4), 282; https://doi.org/10.3390/toxics14040282 - 26 Mar 2026
Viewed by 367
Abstract
Glyphosate is a widely used herbicide with increasing concern regarding its non-target impacts in coastal ecosystems and mariculture species. Here, we profiled acute physiological stress signatures of waterborne glyphosate exposure in the sea cucumber Apostichopus japonicus, integrating measured exposure concentrations, tissue residues, [...] Read more.
Glyphosate is a widely used herbicide with increasing concern regarding its non-target impacts in coastal ecosystems and mariculture species. Here, we profiled acute physiological stress signatures of waterborne glyphosate exposure in the sea cucumber Apostichopus japonicus, integrating measured exposure concentrations, tissue residues, digestive and oxidative/innate immune biomarkers, and gut microbiota. After 24 h exposure, measured waterborne glyphosate confirmed the intended gradient (0.09 ± 0.02, 1.26 ± 0.09, and 4.49 ± 1.12 mg/L for low-, medium-, and high-dose treatments, respectively), and overt stress phenotypes with mortality occurred only at the high dose (36.67%), enabling separation of high-dose survivors (HS) and high-dose dead (HD) for downstream analyses. Tissue measurements showed low/background levels in controls, with compartment-specific distribution: the respiratory tree exhibited higher burdens at the medium dose, whereas coelomic fluid showed the highest burdens in HS at the 24 h endpoint. Functionally, most intestinal digestive enzymes were unchanged, but trypsin activity was consistently suppressed across exposed groups (p < 0.05). In coelomic fluid, oxidative stress responses were evident, with elevated MDA (L and M), reduced CAT (L, M, and HS), and reduced GSH-PX in HS (all p < 0.05), while SOD, GR, and lysozyme showed no significant changes. Gene sequencing of 16S rRNA (n = 3 per group) revealed significant shifts in community diversity/evenness (Shannon p = 0.0497; Simpson p = 0.0484) and beta diversity (PCo1 = 30.08%, PCo2 = 26.30%; PERMANOVA F = 1.816, p = 0.008), with LEfSe indicating discriminative taxa associated with exposure/outcomes. Collectively, these multi-level endpoints define an acute glyphosate stress signature in A. japonicus, linking internal dose distribution to oxidative disruption, impaired intestinal proteolysis, and microbiome restructuring. Full article
(This article belongs to the Section Ecotoxicology)
Show Figures

Figure 1

23 pages, 1153 KB  
Article
Effects of Low-Energy Diets Supplemented with Lactobacillus reuteri Postbiotic on Growth Performance and Intestinal Health of Broiler Chickens
by Meng Peng, Huiqin Sun, Wenhui Shi, Miaomiao Liu, Shuangshuang Guo, Dan Yi, Binying Ding, Mengjun Wu, Xiudong Liao, Giuseppe Maiorano and Peng Li
Animals 2026, 16(7), 1011; https://doi.org/10.3390/ani16071011 - 25 Mar 2026
Viewed by 342
Abstract
This study aims to investigate the effects of low-energy diets (LE) supplemented with Lactobacillus reuteri postbiotics (HSY) on growth performance and intestinal health of broiler chickens. A total of 2400 one-day-old Ross 308 broiler chicks with an average initial body weight of 46.10 [...] Read more.
This study aims to investigate the effects of low-energy diets (LE) supplemented with Lactobacillus reuteri postbiotics (HSY) on growth performance and intestinal health of broiler chickens. A total of 2400 one-day-old Ross 308 broiler chicks with an average initial body weight of 46.10 ± 0.04 g were randomly assigned to a 2 × 2 factorial arrangement of treatments with 12 pens and 50 broiler chickens/pen for 39 days. Treatments were (1) CTR (basal diet), (2) LE (CTR-70 kcal ME/kg), (3) HSY (CTR + 0.5 kg/t HSY), and (4) LEHSY (LE + 0.5 kg/t HSY). LE increased the feed conversion ratio (FCR) of broilers (p = 0.03) without altering ADG, ADFI, and final BW. Supplementation with HSY significantly reduced the FCR of broilers (p = 0.001). HSY upregulated the activities of amylase and trypsin in jejunal digesta (p < 0.01). Furthermore, LE upregulated the expression of intestinal barrier-related genes such as Mucin-2, Claudin-1 and Occludin, and HSY upregulated the expression of Claudin-1 (p < 0.05). LE upregulated the expression of nutrient transport carriers such as SGLT1 and TRPV6 (p < 0.01), and HSY upregulated the expression of TRPV6 (p < 0.01). LE upregulated the expression of immune-related genes such as MHC-II (p = 0.002), and HSY upregulated the expression of IFN-γ, IL-10, and TGF-β (p < 0.05). LE and HSY both downregulated the expression of intestinal lipid metabolism-related genes like ACC, while upregulating the expression of FABP4 (p < 0.05). 16S rRNA sequencing showed that the HSY increased the Chao1 index of the jejunal microbiota and enriched beneficial bacteria such as Lactobacillus salivarius and Lactobacillus avium. LE and HSY both increased the concentrations of propionic and butyrate (p < 0.05). In summary, HSY can improve gut health and mitigate the negative impact of low-energy treatment on broiler growth performance by increasing the content of endogenous enzymes in the jejunum, improving gut microbiota structure, and increasing the content of short-chain fatty acids in the jejunum. Full article
(This article belongs to the Special Issue Nutritional Interventions for Gut Health and Immunity in Livestock)
Show Figures

Figure 1

15 pages, 266 KB  
Article
Preliminary Investigation on Salivary Enzymes of Massese Sheep
by Simona Sagona, Alessia Di Rosso, Francesca Coppola, Chiara Benedetta Boni, Claudia Russo, Lionella Palego, Laura Betti, Gino Giannaccini, Antonio Felicioli and Lucia Casini
Animals 2026, 16(7), 1008; https://doi.org/10.3390/ani16071008 - 25 Mar 2026
Viewed by 310
Abstract
Saliva is an important biological matrix that allows the investigation of various welfare parameters; in ruminants, it is abundant and can be easily collected without requiring professional veterinary intervention. The aim of the investigation was to provide additional information on both digestive and [...] Read more.
Saliva is an important biological matrix that allows the investigation of various welfare parameters; in ruminants, it is abundant and can be easily collected without requiring professional veterinary intervention. The aim of the investigation was to provide additional information on both digestive and antioxidant enzymes of sheep farmed in good welfare conditions, assessed with the Animal welfare indicators (AWIN) protocol. Small surgical forceps holding a Salivette® device (Sarstedt, Nümbrecht, Germany) were gently inserted into the sheep’s mouths without any force. The sheep chewed the swabs independently for a few seconds, allowing saliva collection. Seventeen enzymes from the saliva of 15 sheep were analyzed: antioxidant enzymes (catalase, glutathione S transferase), proteolytic enzymes (trypsin, chymotrypsin, N-aminopeptidases, carboxypeptidase A and B), carbohydrases (glucose oxidase, amylase, cellulase, lignin peroxidase, chitinase and α-glycosidase), and esterases (alkaline and acidic phosphatases, lipase and esterase). Esterase activity showed the highest value (12.95 ± 1.25 U/mg of proteins), whereas lignin peroxidase activity showed the lowest (2.23 ± 0.37 µU/mg of proteins). The activity of all enzymes was observed except for glutathione S transferase and α-glycosidase. Among the enzymes, lipase activity has already been identified as a biomarker of stress in sheep saliva. This investigation may represent a basis for further investigations into the diet and adaptive responses of sheep to different environmental conditions. Furthermore, samples collected using the Salivette® device can be easily obtained without requiring specialized staff and without causing any stress to the animals. Further investigations into the origin of individual enzymes using a proteomic approach are desirable. Full article
(This article belongs to the Section Small Ruminants)
26 pages, 1990 KB  
Article
Chromosome-Scale Atlas of Ixodes scapularis Serine Protease Inhibitors
by Alex S. Kiarie Gaithuma, Thu-Thuy Nguyen and Albert Mulenga
Genes 2026, 17(4), 361; https://doi.org/10.3390/genes17040361 - 24 Mar 2026
Viewed by 609
Abstract
Background/Objectives: Ticks evade host hemostasis and immunity in part by injecting serine protease inhibitors (serpins) into the host during feeding, yet the genomic organization of tick serpins has remained unresolved. To understand how ticks deploy these proteins, there is a need to [...] Read more.
Background/Objectives: Ticks evade host hemostasis and immunity in part by injecting serine protease inhibitors (serpins) into the host during feeding, yet the genomic organization of tick serpins has remained unresolved. To understand how ticks deploy these proteins, there is a need to elucidate their gene structure, arrangement and copy number in the genome. Methods: We annotated the recent Ixodes scapularis chromosome-level assembly and identified all the serpin genes to build a genome-wide atlas of serpin loci identifying the gene structure and duplication patterns. The gene expression of serpins during blood meal was also analyzed. Results: We identified 74 serpin genes across eight chromosomes and one unplaced scaffold, with a strongly non-random distribution dominated by chromosome 10, which harbored 67.6% of serpin genes in dense tandem clusters. Most genes were intronless and encoded secreted, N-glycosylated proteins, whereas a minority were conserved two-exon loci sharing a common splice junction. Pairwise amino acid comparisons revealed exact duplicates as well as very recent and divergent paralogs, indicating continued local duplication and diversification. Expression analysis across tissues and feeding time showed that serpin expression is structured primarily by organ and feeding stage, including a late feeding increase in midgut serpins that are predicted to inhibit trypsin-like proteases. Conclusions: This atlas provides a comprehensive description of I. scapularis serpins, provides a framework for understanding tick gene structure and function, prioritizes serpins as target candidates for tick control, and functions as a library for other serpin uses in medicine and industry. Full article
(This article belongs to the Section Genes & Environments)
Show Figures

Figure 1

21 pages, 1341 KB  
Article
Discovery of a Secretory Granule Lumen-Enriched Serum Protein Signature in Resectable Pancreatic Ductal Adenocarcinoma
by Septimiu Alex Moldovan, Maria Iacobescu, Emil Ioan Moiș, Florin Graur, Luminiţa Furcea, Florin Zaharie, Andra Ciocan, Maria-Andreea Soporan, Ioana-Ecaterina Pralea, Simona Mirel, Mihaela Ştefana Moldovan, Andrada Seicean, Vlad Ionuț Nechita, Cristina Adela Iuga and Nadim Al Hajjar
Medicina 2026, 62(3), 605; https://doi.org/10.3390/medicina62030605 - 23 Mar 2026
Viewed by 339
Abstract
Background and Objectives: Serum biomarker discovery in resectable pancreatic ductal adenocarcinoma (PDAC) remains a critical unmet need, as over 80% of patients present with unresectable disease. Serum proteomics offers a promising approach for identifying circulating biomarkers associated with early-stage disease; however, clinical [...] Read more.
Background and Objectives: Serum biomarker discovery in resectable pancreatic ductal adenocarcinoma (PDAC) remains a critical unmet need, as over 80% of patients present with unresectable disease. Serum proteomics offers a promising approach for identifying circulating biomarkers associated with early-stage disease; however, clinical translation has been limited by inconsistent validation and the absence of clinically relevant comparator populations. Materials and Methods: We performed a discovery-phase study using data-independent acquisition mass spectrometry-based serum proteomics in 35 patients with resectable, non-metastatic PDAC and 34 non-cancer controls without hepato-biliary-pancreatic disease. Following quality filtering (≥80% detection threshold), 407 proteins were retained for analysis. Differential abundance was assessed using Welch’s t-test with Benjamini–Hochberg correction (FDR < 0.01, |FC| ≥ 1.5). Diagnostic performance was evaluated using receiver operating characteristic (ROC) analysis and logistic regression with repeated stratified 5-fold cross-validation (100 repetitions) and bootstrap resampling (1000 iterations). Functional enrichment analysis was performed using g:Profiler. Results: Ninety proteins were significantly altered in PDAC (50 increased, 40 decreased). Inter-alpha-trypsin inhibitor heavy chain H3 (ITIH3) demonstrated the highest individual diagnostic performance (AUC = 0.90), followed by coagulation factor XIII A chain (F13A1; AUC = 0.89) and ferritin light chain (FTL; AUC = 0.86). Functional enrichment revealed significant overrepresentation of secretory granule lumen components (adjusted p = 0.001) and complement/coagulation pathways (adjusted p < 0.001). An enrichment-guided three-protein panel (ITIH3, F13A1, and FTL) achieved an AUC of 0.98 (95% CI: 0.95–1.00), with a cross-validated mean AUC of 0.96, sensitivity of 83% (95% CI: 66.4–93.4%), and specificity of 100% (95% CI: 89.7–100%) within the discovery cohort. Conclusions: This discovery-phase study identifies a biologically coherent serum protein signature enriched for secretory granule lumen components in resectable PDAC. The three-protein panel demonstrates strong internal validation performance; however, these estimates may be optimistic due to feature selection performed prior to cross-validation. External validation in independent cohorts—including chronic pancreatitis controls and parallel CA19-9 assessment—will be essential to determine clinical applicability. Full article
(This article belongs to the Section Gastroenterology & Hepatology)
Show Figures

Figure 1

21 pages, 2679 KB  
Article
Cryoprotective Effects of Tuna Skin Antifreeze Peptides on the Quality of Salmon Flesh During Low-Temperature Fluctuations
by Zhe Xu, Ziyu Zhang, Zijin Qin, Tengfei Li, Zihao Zhang, Shuyu Zhou, Jianbo Sun and Tingting Li
Foods 2026, 15(6), 1105; https://doi.org/10.3390/foods15061105 - 22 Mar 2026
Viewed by 374
Abstract
Repetitive temperature fluctuations during transportation and storage promote ice crystal formation in salmon flesh, leading to protein denaturation, lipid oxidation, and quality loss. Tuna skin, a major by-product of tuna processing, is a potential source of antifreeze peptides (AFPs) but remains underutilized. This [...] Read more.
Repetitive temperature fluctuations during transportation and storage promote ice crystal formation in salmon flesh, leading to protein denaturation, lipid oxidation, and quality loss. Tuna skin, a major by-product of tuna processing, is a potential source of antifreeze peptides (AFPs) but remains underutilized. This study examined the cryoprotective effects of tuna skin-derived AFPs on salmon cubes subjected to repeated freeze–thaw cycles. Cubes treated with AFPs from three groups of protein hydrolysates prepared using trypsin, pepsin, or neutral protease were evaluated for texture, color, water holding capacity (WHC), volatile odor profiles, protein conformation, biochemical indices, and microstructure. AFP treatment improved textural properties, maintained color stability, and reduced thawing, cooking, and centrifugal losses. The neutral protease-treated group exhibited the optimal cryoprotective ability and it also limited aldehyde and sulfide accumulation, preserved the retention rate of α-helix structure at 49% which was higher than 39% in controls, and enhanced Ca2+-ATPase activity to 1.75 μmol Pi·mg−1·h−1 with a 45.8% increase compared to controls, and significantly inhibited protein and lipid oxidation. Microstructural analysis showed compact fibers and intact sarcolemma in the neutral protease-treated group samples, contrasting with severe disruption in controls. This study showed that tuna skin AFPs mitigate freeze–thaw damage in salmon cubes by stabilizing proteins and reducing oxidative deterioration, highlighting their potential as natural, healthy cryoprotectants for seafood preservation, meeting the growing demand of the food industry for clean-label, low-calorie preservation solutions, while advancing the circular economy of aquatic processing via the valorization of tuna skin by-products for high-value seafood applications. Full article
(This article belongs to the Special Issue Nutrition, Safety and Storage of Seafoods)
Show Figures

Figure 1

24 pages, 7459 KB  
Article
The Impact of Lycium barbarum Polysaccharides on Growth Performance, Digestive Enzyme, Muscle and Skin Characteristics, and Immune-Antioxidant Functions in Coral Trout (Plectropomus leopardus)
by Chengkun Zhang, Chuanpeng Zhou, Zhengyi Fu and Zhenhua Ma
Fishes 2026, 11(3), 186; https://doi.org/10.3390/fishes11030186 - 20 Mar 2026
Viewed by 213
Abstract
This study investigated the effects of Lycium barbarum polysaccharides (LBP) supplementation on various indicators in coral trout (Plectropomus leopardus), including growth performance, digestive enzyme activity, muscle and skin morphology, inflammatory immune gene expression, as well as immune and antioxidant responses. In [...] Read more.
This study investigated the effects of Lycium barbarum polysaccharides (LBP) supplementation on various indicators in coral trout (Plectropomus leopardus), including growth performance, digestive enzyme activity, muscle and skin morphology, inflammatory immune gene expression, as well as immune and antioxidant responses. In the experiment, fish were fed diets supplemented with different concentrations of LBP (0%, 0.05%, 0.1%, 0.2%, 0.5%, and 1%) over a designated experimental period. The results showed that moderate supplementation of LBP significantly improved growth performance, with the optimal concentration being around 0.243%, achieving the highest specific growth rate. LBP supplementation also enhanced intestinal digestive enzyme activity, such as trypsin in the 0.1% and 1% groups, and α-amylase in the 0.5% group. Additionally, LBP improved the nutritional composition of muscle, with the 1% group showing higher crude protein content and the 0.2–1% groups having lower crude fat content. Moderate LBP supplementation improved skin color and pigmentation, increasing the brightness, redness, and yellowness of the dorsal skin, as well as boosting carotenoid and astaxanthin concentrations. It also enhanced the immune and antioxidant functions of the skin (e.g., SOD, CAT, GSH-Px, AKP, and LZ) and improved the immune functions of the mucus (e.g., C3, C4, IgM, IgT, AKP, and LZ). Furthermore, the expression of key pro-inflammatory genes, such as TNF-α and IL-1β, was reduced. These findings suggest that LBP can serve as a natural feed additive to enhance the overall quality and health of coral trout, contributing to sustainable aquaculture practices. Full article
Show Figures

Figure 1

17 pages, 2180 KB  
Article
Preparation and Identification of Corn-Derived Bioactive Peptides with Triple Efficacy of ADH-Activating, XOD-Inhibiting and Antioxidant Activity
by Zifan Yuan, Wenfei Zhang, Jiajie Chang, Yunlong Chen, Yinglian Zhu, Qi Wang and Qingli Yang
Foods 2026, 15(6), 1093; https://doi.org/10.3390/foods15061093 - 20 Mar 2026
Viewed by 264
Abstract
The health risks associated with excessive alcohol consumption have emerged as a public health challenge, with alcohol-associated liver disease (ALD) and hyperuricemia (HUA) being particularly prominent health issues. Current treatments often have side effects, driving the need for safe, multi-target natural alternatives. Based [...] Read more.
The health risks associated with excessive alcohol consumption have emerged as a public health challenge, with alcohol-associated liver disease (ALD) and hyperuricemia (HUA) being particularly prominent health issues. Current treatments often have side effects, driving the need for safe, multi-target natural alternatives. Based on the dual barrier strategy of “metabolic regulation–antioxidant defense”, this study developed bioactive peptides from corn germ meal via enzymatic hydrolysis, which simultaneously activated alcohol dehydrogenase (ADH), inhibited xanthine oxidase (XOD), and exhibited antioxidative properties. The fraction <3 kDa emerged with stronger triple bioactivity while also demonstrating sensitivity to strong acids and enhanced activity under trypsin treatment in in vitro stability tests. A total of 841 unique peptides were obtained from purified peptide fractions. After computer-aided screening and molecular docking, three corn-derived peptides (LMFP, FEGLFR, and QLPSYR) were identified, which acted synergistically. Docking simulations revealed that they bind to ADH and XOD via hydrogen bonds and hydrophobic interactions, suggesting potential interactions with these enzymes that may influence their activity. The corn-derived bioactive peptides developed in this study may serve as potential resources for alleviating alcohol metabolism and hyperuricemia symptoms. Full article
Show Figures

Figure 1

20 pages, 1488 KB  
Article
Lactoferrin and Its Enzymatic Hydrolysates as Natural Antimicrobial and Antioxidant Agents for Food Preservation
by Špela Gruden, Petra Mohar Lorbeg, Bojana Bogovič Matijašić, Mihaela Skrt, Adrijana Leonardi, Igor Križaj and Nataša Poklar Ulrih
Foods 2026, 15(6), 1052; https://doi.org/10.3390/foods15061052 - 17 Mar 2026
Viewed by 381
Abstract
Lactoferrin (Lf) and Lf-derived peptides are multifunctional milk components with potential applications in food preservation due to their antibacterial and antioxidant properties. In this study, the antibacterial and antioxidant activities of bovine lactoferrin and Lf-derived peptides obtained by enzymatic hydrolysis with pepsin, trypsin, [...] Read more.
Lactoferrin (Lf) and Lf-derived peptides are multifunctional milk components with potential applications in food preservation due to their antibacterial and antioxidant properties. In this study, the antibacterial and antioxidant activities of bovine lactoferrin and Lf-derived peptides obtained by enzymatic hydrolysis with pepsin, trypsin, and chymotrypsin were evaluated. Antibacterial activity was assessed against four foodborne pathogens and spoilage microorganisms (Escherichia coli, Listeria monocytogenes, Staphylococcus epidermidis, and Latilactobacillus sakei), while antioxidant activity was determined using four complementary assays. Lf showed stronger antibacterial activity than the corresponding hydrolysates against all tested strains, while the hydrolysates notably inhibited Listeria monocytogenes and Latilactobacillus sakei. Both Lf and its peptides showed lower antioxidant capacity than Trolox, although native Lf and its peptides markedly inhibited lipid peroxidation. Lf peptides demonstrated greater antioxidant activity in the superoxide scavenging and FRAP assays. Low-molecular-weight peptides (<10 kDa) contributed most to antioxidant activity, while mass spectrometry analysis revealed peptide sequences rich in hydrophobic and electron-donating amino acid residues, providing mechanistic insight into the observed activities. Overall, these findings highlight the potential of lactoferrin and its enzymatic hydrolysates as natural antimicrobial and antioxidant agents for food preservation. Full article
(This article belongs to the Section Food Biotechnology)
Show Figures

Graphical abstract

13 pages, 2961 KB  
Article
Protease Selection Influences Molecular Weight, In Vitro Antioxidant Activity and LO2 Cellular Protective Effects of Oyster Protein Hydrolysates
by Can Huang, Lu Li, Ruifang Wang, Guohong Wu, Hejian Xiong and Ying Ma
Foods 2026, 15(6), 1030; https://doi.org/10.3390/foods15061030 - 16 Mar 2026
Viewed by 230
Abstract
This study compared the effectiveness of alkaline protease, neutral protease, trypsin, and papain in hydrolyzing oyster proteins and evaluated the antioxidant activities of the resulting hydrolysates. Alkaline protease achieved the highest degree of hydrolysis (30.96%) and the highest proportion of peptides ≤1 kDa [...] Read more.
This study compared the effectiveness of alkaline protease, neutral protease, trypsin, and papain in hydrolyzing oyster proteins and evaluated the antioxidant activities of the resulting hydrolysates. Alkaline protease achieved the highest degree of hydrolysis (30.96%) and the highest proportion of peptides ≤1 kDa (64.23%). Papain showed the lowest hydrolysis degree (18.29%). After separation by Sephadex G-15 gel filtration chromatography, the resulting low-molecular-weight peptide fractions (≤1 kDa) from each hydrolysate exhibited higher in vitro antioxidant activity than the higher-molecular-weight fractions (>1 kDa). Notably, trypsin and papain-derived low-molecular-weight fractions (OPP-T2 and OPP-P2) demonstrated stronger DPPH radical scavenging and inhibition of linoleic acid autoxidation than those from alkaline and neutral proteases. Cell experiments revealed that all low-molecular-weight fractions effectively alleviated H2O2-induced oxidative damage in LO2 cells. OPP-T2 and OPP-P2 exhibited significantly stronger protection of cell membrane integrity and enhancement of superoxide dismutase (SOD) activity than OPP-A2 and OPP-N2 (p < 0.05). OPP-T2 also showed the most pronounced increase in glutathione peroxidase (GSH-Px) activity (p < 0.05). These findings demonstrate that protease selection critically influences hydrolysis efficiency and antioxidant activity, with molecular weight being a key determinant of peptide antioxidant capacity. This work provides a reference for the development and application of oyster peptides. Full article
(This article belongs to the Section Nutraceuticals, Functional Foods, and Novel Foods)
Show Figures

Figure 1

18 pages, 11105 KB  
Article
The Effects of Compound Chinese Herbal Medicine on the Growth and Digestive and Immune Systems of Megalobrama amblycephala
by Xijing Ye, Yunsheng Zhang, Hu Xia, Huangjie Fan, Jiahui Hu, Yanan Gong, Rurou Fu, Fuyan Chen and Liangguo Liu
Animals 2026, 16(6), 925; https://doi.org/10.3390/ani16060925 - 15 Mar 2026
Viewed by 373
Abstract
Chinese herbal medicine is rich in active ingredients that can promote growth and enhance immune function. In this study, Lycium barbarum, Panax ginseng, Astragalus membranaceus and Phragmitis rhizoma were crushed and mixed to prepare a compound Chinese herbal medicine. The basic [...] Read more.
Chinese herbal medicine is rich in active ingredients that can promote growth and enhance immune function. In this study, Lycium barbarum, Panax ginseng, Astragalus membranaceus and Phragmitis rhizoma were crushed and mixed to prepare a compound Chinese herbal medicine. The basic feed of Megalobrama amblycephala was supplemented with 0 (control group), 1% (T1), 2% (T2) and 4% (T3) of this compound medicine. After raising for 90 days, in the T1 and T2 experimental groups, the length and width of intestinal villi and the activities of amylase, trypsin and lipase in the intestine were significantly higher than those in the control group. The weight gain rate and specific growth rates were highest and the feed coefficient was lowest in the T2 experimental group. In the control group, a large number of dilated hepatic sinusoids were detected, while this number significantly decreased in the T1 experimental group and they were not detected at all in the T2 and T3 experimental groups. The spleen and liver body indices were highest in the T2 experimental group. In all experimental groups, the Lys content and the activities of T-SOD, CAT, ACP, AKP and GSH-PX in serum were significantly higher than those of the control group. The expression of IgM, C3, TNF-ɑ and IL-1β in the head kidney; C3, TNF-ɑ and IL-1β in the spleen; C3 and IL-1β in the gills; IgM, C3 and IL-1β in liver; and IL-1β in the intestine was highest in the T2 experimental group. After challenge with Aeromonas hydrophila, the cumulative mortality rate of M. amblycephala was lowest in the T2 experimental group. The results of this study indicated that this compound Chinese herbal medicine could significantly enhance immunity, increase the activity of intestinal digestion-related enzymes and promote the growth of M. amblycephala. The appropriate addition amount of this compound Chinese herbal medicine in the basic feed of M. amblycephala was 2%. Full article
(This article belongs to the Special Issue Advances in Fish Immunology: Novel Strategies for Disease Prevention)
Show Figures

Figure 1

Back to TopTop