Sign in to use this feature.

Years

Between: -

Subjects

remove_circle_outline
remove_circle_outline
remove_circle_outline
remove_circle_outline
remove_circle_outline
remove_circle_outline
remove_circle_outline
remove_circle_outline
remove_circle_outline

Journals

remove_circle_outline
remove_circle_outline
remove_circle_outline
remove_circle_outline
remove_circle_outline
remove_circle_outline
remove_circle_outline
remove_circle_outline
remove_circle_outline
remove_circle_outline
remove_circle_outline
remove_circle_outline
remove_circle_outline
remove_circle_outline
remove_circle_outline
remove_circle_outline
remove_circle_outline
remove_circle_outline
remove_circle_outline
remove_circle_outline
remove_circle_outline
remove_circle_outline

Article Types

Countries / Regions

remove_circle_outline
remove_circle_outline
remove_circle_outline
remove_circle_outline
remove_circle_outline
remove_circle_outline

Search Results (3,035)

Search Parameters:
Keywords = triple-negativity

Order results
Result details
Results per page
Select all
Export citation of selected articles as:
15 pages, 5111 KB  
Case Report
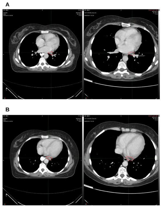
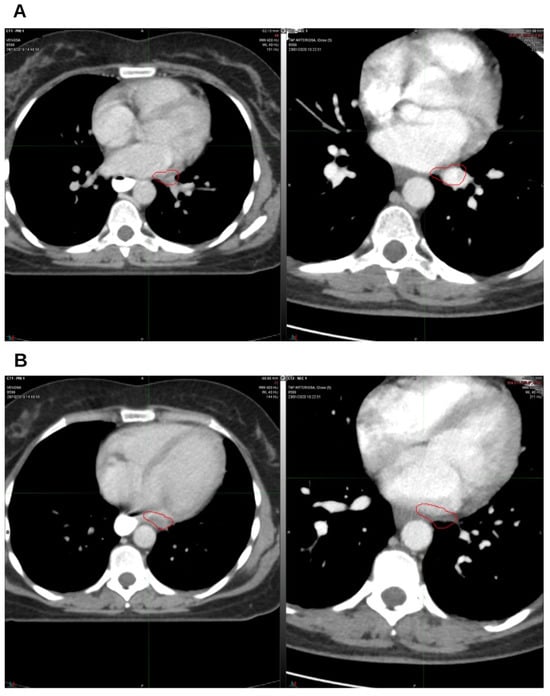
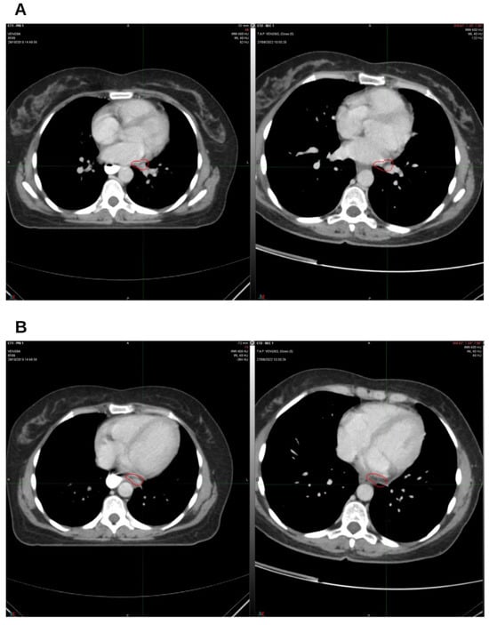
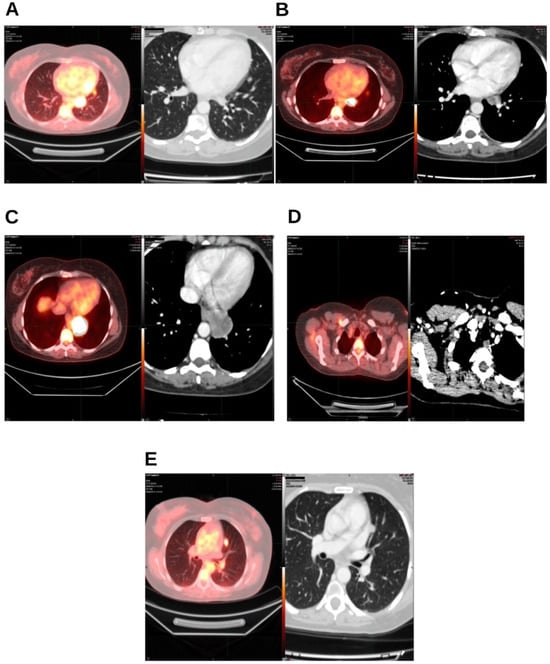
Integrative Use of Cannabidiol, Melatonin, and Oxygen–Ozone Therapy in Triple-Negative Breast Cancer with Lung and Mediastinal Metastases. A Case Report
by Cristina Aguzzi, Paola Zuccoli, Alessandro Fanelli, Alessandra Mammone, Massimo Nabissi and Margherita Luongo
Reports 2026, 9(1), 28; https://doi.org/10.3390/reports9010028 - 19 Jan 2026
Abstract
Background and Clinical Significance: Breast cancer is the most frequent malignancy in women. Metastatic breast cancer is considered a treatable but incurable condition, with a median overall survival of only 2–3 years. Among its subtypes, triple-negative breast cancer (TNBC) accounts for a [...] Read more.
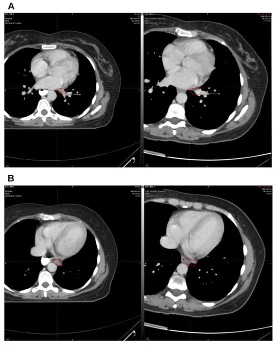
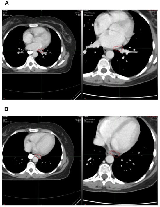
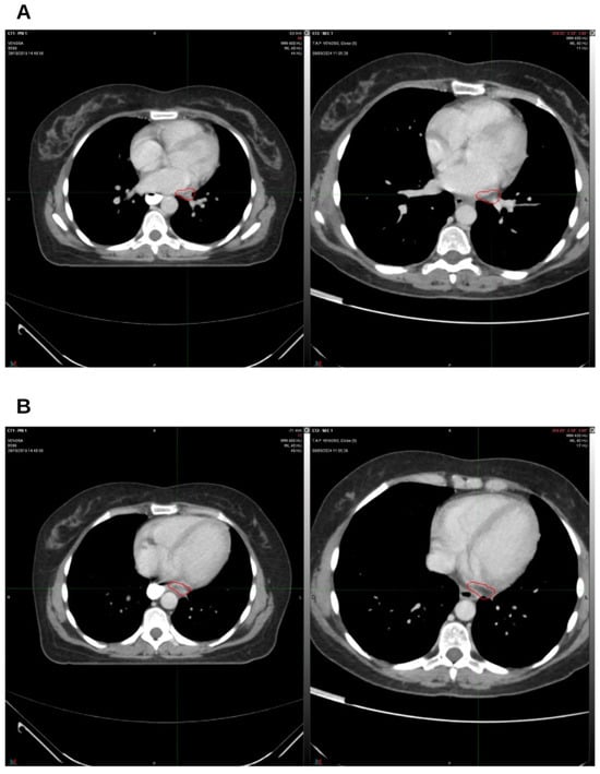
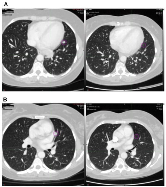
Background and Clinical Significance: Breast cancer is the most frequent malignancy in women. Metastatic breast cancer is considered a treatable but incurable condition, with a median overall survival of only 2–3 years. Among its subtypes, triple-negative breast cancer (TNBC) accounts for a high proportion of breast cancer-related deaths. It is characterized by an aggressive clinical course, early recurrence, and a strong propensity for visceral and brain metastases. Case Presentation: We report the case of a Caucasian woman who developed systemic disease recurrence with lung and mediastinal lymph node metastases, occurring two years after her primary diagnosis and treatment for TNBC. The patient received three months of chemotherapy combined with an adjuvant integrative protocol consisting of melatonin, cannabidiol, and oxygen–ozone therapy. This combined approach led to the complete disappearance of the lung nodules. Subsequently, stereotactic radiotherapy was performed and, in association with the ongoing integrative treatment, resulted in a significant reduction in mediastinal adenopathy. Introduction of immunotherapy, supported continuously by the same adjuvant strategy, achieved a complete and durable remission. Strikingly, the patient remained disease-free five years after the diagnosis of lung and mediastinal metastases. Conclusions: This clinical case highlights the potential benefit of using melatonin, cannabidiol, and oxygen–ozone therapy as part of an integrative approach in patients with aggressive metastatic TNBC. While it is not possible to establish causality from a single case, the sustained remission observed suggests that such unconventional adjuvant strategies could play a supportive role in enhancing the efficacy of standard oncologic therapies. Full article
(This article belongs to the Section Oncology)
Show Figures

Figure 1

26 pages, 5532 KB  
Article
Euphorbia bicolor Xylene Extract Induces Mitochondrial and Endoplasmic Reticulum Stress-Mediated Apoptotic Pathways in MDA-MB-231 and T47D Cells
by Mafia Mahabub Rumpa, Nguyen Linh Ngo and Camelia Maier
Int. J. Mol. Sci. 2026, 27(2), 962; https://doi.org/10.3390/ijms27020962 (registering DOI) - 18 Jan 2026
Abstract
Breast cancer is a significant cause of death worldwide. Recent research has focused on identifying natural compounds for developing effective cancer treatments. Resiniferatoxin, a transient receptor potential vanilloid 1 (TRPV1) agonist, is a common diterpene in Euphorbia bicolor Engelm. & A. Gray (Euphorbiaceae), [...] Read more.
Breast cancer is a significant cause of death worldwide. Recent research has focused on identifying natural compounds for developing effective cancer treatments. Resiniferatoxin, a transient receptor potential vanilloid 1 (TRPV1) agonist, is a common diterpene in Euphorbia bicolor Engelm. & A. Gray (Euphorbiaceae), a plant native to the southern United States that has not been studied before. We investigated the antiproliferative activities and mechanisms of action of E. bicolor xylene extract in estrogen receptor-positive T47D and triple-negative MDA-MB-231 cell lines. The extract significantly reduced the viability of T47D and MDA-MB-231 cells in a dose-dependent manner. In MDA-MB-231 cells, the extract induced apoptosis via intracellular calcium overload, triggered by TRPV1 activation. This effect was diminished by the TRPV1 antagonist capsazepine and the calcium chelator BAPTA-AM. Intracellular calcium influx was confirmed through Fura-2 AM staining, revealing that E. bicolor phytochemicals activated TRPV1 in MDA-MB-231 cells. Treatment of T47D cells with E. bicolor xylene extract resulted in apoptosis associated with reactive oxygen species (ROS) generation (10-fold higher in T47D cells than in MDA-MB-231 cells) and mitochondrial calcium overload. These effects were significantly blocked when cells were pretreated with N-acetyl-l-cysteine (NAC), a ROS inhibitor. Both cell lines underwent apoptosis via multiple mitochondrial- and endoplasmic reticulum stress–mediated pathways. This was supported by the activation of caspases 3, 8, and 9; increased expression of FAS, XBP1s, and CHOP; upregulation of BAX; and downregulation of BCL-2. In addition, PI3K, AKT, and pAKT protein expressions were also reduced in both cell lines, indicating downregulation of PI3K/Akt signaling pathway. Phytochemicals in E. bicolor xylene extract could become promising ingredients for developing breast cancer therapeutics. Full article
(This article belongs to the Special Issue The Role of Natural Compounds in Cancer and Inflammation, 2nd Edition)
18 pages, 3393 KB  
Article
Metabolic Crosstalk in Triple-Negative Breast Cancer Lung Metastasis: Differential Effects of Vitamin D and E in a Co-Culture System
by Balquees Kanwal, Saranya Pounraj, Rumeza Hanif and Zaklina Kovacevic
Cancers 2026, 18(2), 294; https://doi.org/10.3390/cancers18020294 - 18 Jan 2026
Abstract
Background: Triple-negative breast cancer (TNBC) is more likely to metastasise to the lungs than other breast cancer (BrCa) types, yet the molecular interactions within the tumour microenvironment (TME) at secondary sites remain poorly understood. Methods: This pilot study aimed to explore the metabolic [...] Read more.
Background: Triple-negative breast cancer (TNBC) is more likely to metastasise to the lungs than other breast cancer (BrCa) types, yet the molecular interactions within the tumour microenvironment (TME) at secondary sites remain poorly understood. Methods: This pilot study aimed to explore the metabolic crosstalk between MDA-MB-231 TNBC cells and MRC-5 lung fibroblasts within a co-culture system to replicate the lung metastatic TME. Co-cultures were also treated with Vitamin D or Vitamin E to evaluate the effects of these nutraceuticals on the metabolic crosstalk between TNBC cells and fibroblasts. Results: Our findings demonstrate that co-culture induced the activation of fibroblasts into cancer-associated fibroblasts (CAFs), evidenced by increased α-SMA and FAP expression. Metabolic profiling revealed that TNBC cells in co-culture displayed increased expression of enzymes associated with oxidative phosphorylation (OXPHOS) and glutamine metabolism, while fibroblasts exhibited a metabolic profile consistent with glycolysis and lactate metabolism. Vitamin D inhibited lactate metabolism and HIF-1α expression in fibroblasts while suppressing TCA cycle activity in cancer cells, suggesting a potential role in disrupting oncogenic metabolic crosstalk. Conversely, Vitamin E treatment was associated with increased expression of TCA cycle and oxidative metabolism-related markers in BrCa cells without significantly affecting fibroblast glycolysis. Such differential metabolic responses may contribute to metabolic heterogeneity within the tumour microenvironment. Conclusions: These results provide valuable insights into the metabolic dynamics of TNBC metastases in the lung TME and demonstrate that Vitamins D and E exert distinct effects on metabolic crosstalk between cancer cells and fibroblasts. These findings may have significant implications for the potential supplementation of Vitamins D and E in patients with metastatic TNBC and justify further in-depth analysis. Full article
(This article belongs to the Special Issue Tumor Microenvironment of Breast Cancer—2nd Edition)
Show Figures

Figure 1

40 pages, 1078 KB  
Review
Therapeutic Potential of Bovine Colostrum- and Milk-Derived Exosomes in Cancer Prevention and Treatment: Mechanisms, Evidence, and Future Perspectives
by Yusuf Serhat Karakülah, Yalçın Mert Yalçıntaş, Mikhael Bechelany and Sercan Karav
Pharmaceuticals 2026, 19(1), 168; https://doi.org/10.3390/ph19010168 - 17 Jan 2026
Viewed by 81
Abstract
Due to their therapeutic potential and effects on cells, exosomes derived from bovine colostrum (BCE) and milk (BME) are molecules that have been at the center of recent studies. Their properties include the ability to cross biological barriers, their natural biocompatibility, and their [...] Read more.
Due to their therapeutic potential and effects on cells, exosomes derived from bovine colostrum (BCE) and milk (BME) are molecules that have been at the center of recent studies. Their properties include the ability to cross biological barriers, their natural biocompatibility, and their structure, which enable them to act as stable nanocarriers. Exosomes derived from milk and colostrum stand out in cancer prevention and treatment due to these properties. BMEs can be enriched with bioactive peptides, lipids, and nucleic acids. The targeted drug delivery capacity of BMEs can be made more efficient through these enrichment processes. For example, BME enriched with an iRGD peptide and developed using hypoxia-sensitive lipids selectively transported drugs and reduced the survival rate of triple-negative breast cancer (TNBC) cells. ARV-825-CME formulations increased antitumor activity in some cancer types. The anticancer effects of exosomes are supported by these examples. In addition to their anticancer activities, exosomes also exhibit effects that maintain immune balance. BME and BCE can regulate inflammatory responses with their miRNA and protein loads. These effects of BMEs have been demonstrated in studies on colon, breast, liver, and lung cancers. The findings support the safety and scalability of these effects. However, significant challenges remain in terms of their large-scale isolation, load heterogeneity, and regulatory standardization. Consequently, BMEs represent a new generation of biogenic nanoplatforms at the intersection of nutrition, immunology, and oncology, paving the way for innovative therapeutic approaches. Full article
13 pages, 1251 KB  
Article
Circulating Lipid Peroxides Associate with More Aggressive Tumor Phenotypes and Increased Risks of Recurrence and Mortality in Breast Cancer Patients
by Julia Fernandes Gois Orrutéa, Rafaela Oliveira Matos, João Paulo Araújo Pinto, André Cherubini Cechinel, Bruna Yukie Koizumi, Rafael Gomes Paz, Rafaella Frederico Almeida, Janaína Carla da Silva, Tatiane Renata Fagundes, Daniel Rech, Guilherme Welter Wendt and Carolina Panis
Med. Sci. 2026, 14(1), 43; https://doi.org/10.3390/medsci14010043 - 16 Jan 2026
Viewed by 148
Abstract
Background/Objectives: Breast cancer is the most common neoplasm among women and remains the leading cause of cancer-related mortality in the female population worldwide. Tumor cells exist within a highly oxidative microenvironment, which promotes the formation of substantial amounts of lipid peroxides. However, [...] Read more.
Background/Objectives: Breast cancer is the most common neoplasm among women and remains the leading cause of cancer-related mortality in the female population worldwide. Tumor cells exist within a highly oxidative microenvironment, which promotes the formation of substantial amounts of lipid peroxides. However, the clinical significance of circulating lipid peroxides in breast cancer is still not well understood. Methods: In this study, we quantified systemic lipid peroxide levels in plasma samples from 408 breast cancer patients and examined their associations with key clinicopathological parameters to evaluate their potential as disease biomarkers. Data are reported as relative light units (RLU). Results: Our findings revealed significantly higher lipid peroxide levels in HER2-amplified tumors compared with estrogen-receptor-positive tumors (1,133,494 ± 102,409 RLU vs. 951,883 ± 47,535 RLU; p = 0.0438). Elevated levels were also observed in patients with triple-negative breast cancer relative to those with Luminal A (1,163,323 ± 109,640 RLU vs. 875,633 ± 49,601 RLU; p = 0.0356) and Luminal B tumors (1,163,323 ± 109,640 RLU vs. 1,071,779 ± 98,329 RLU; p = 0.0254). In addition, increased lipid peroxidation was detected in patients with high-grade tumors (G3: 1,141,035 ± 101,045 RLU vs. G1–G2: 949,658 ± 46,119 RLU; p = 0.0346) and in those classified as at high risk of recurrence or death compared with low-risk patients (1,209,530 ± 95,396 RLU vs. 978,318 ± 229,526 RLU; p = 0.0054). Overweight patients also exhibited higher lipid peroxide levels than eutrophic individuals (1,131,233 ± 59,633 RLU vs. 820,772 ± 57,653 RLU; p = 0.0142). Conclusions: Collectively, these results suggest that circulating lipid peroxides may serve as potential biomarkers for recurrence and death risk in breast cancer, particularly among patients with more aggressive tumor phenotypes. Full article
(This article belongs to the Section Cancer and Cancer-Related Research)
Show Figures

Figure 1

19 pages, 1444 KB  
Article
Rosa x hybrida: A New Tool for Functional Food Development with Triple-Negative Breast Antitumoral Implications
by Lorenzo Rivas-Garcia, Tamara Y. Forbes-Hernández, Pablo Cristóbal-Cueto, David Tébar-García, Alfonso Salinas-Castillo, Ana Cristina Abreu, Ignacio Fernández, Pilar Aranda, Juan Llopis, Elena Nebot-Valenzuela, Eva M. Galan-Moya and Cristina Sánchez-González
Int. J. Mol. Sci. 2026, 27(2), 907; https://doi.org/10.3390/ijms27020907 - 16 Jan 2026
Viewed by 85
Abstract
Edible flowers have garnered increasing attention due to their high content of bioactive compounds, making them promising candidates for biomedical and functional food applications. This work evaluated the metabolomic data of fresh Rosa x hybrida petals, revealing seven types of metabolites, including amino [...] Read more.
Edible flowers have garnered increasing attention due to their high content of bioactive compounds, making them promising candidates for biomedical and functional food applications. This work evaluated the metabolomic data of fresh Rosa x hybrida petals, revealing seven types of metabolites, including amino acids, organic acids, vitamins, sugars, phenolic acids, and flavonoids. Notably, quercetin, kaempferol and their derivatives were the main flavonoids determined. Furthermore, in vitro studies were conducted to evaluate the potential antiproliferative effects against triple-negative breast cancer (TNBC). Thus, the methanolic extract derived from Rosa x hybrida petals demonstrated significant antitumoral activity against both sensitive and resistant TNBC cells, as evidenced by reduced MTT metabolization, colony formation, and wound healing activity. Furthermore, the cell death mechanism associated with the petal extract was studied. The antiproliferative activity was mediated by reactive oxygen species generation, triggering cell death mechanisms such as apoptosis and autophagy. In conclusion, these results propose Rosa x hybrida could be a new tool for nutraceuticals and functional food production. Full article
Show Figures

Figure 1

21 pages, 5725 KB  
Article
The Synergistic Effects of rhArg with Bcl-2 Inhibitors or Metformin Co-Treatment in Multiple Cancer Cell Models
by Lai-Pan Sze, Vicky Mei-Ki Ho, Wing-Ki Fung, Kin-Ho Law, Yifan Tu, Yik-Hing So, Sai-Fung Chung, Wing-Leung Wong, Zhen Liu, Alisa Sau-Wun Shum, Leo Man-Yuen Lee and Yun-Chung Leung
Cells 2026, 15(2), 164; https://doi.org/10.3390/cells15020164 - 16 Jan 2026
Viewed by 163
Abstract
Background: Recombinant human arginase (rhArg) has been proven to exhibit an anticancer effect via arginine starvation. To further improve the efficacy of rhArg, we examined the feasibility of a combination strategy with Bcl-2 inhibitors (ABT263 and ABT199) or an antidiabetic drug (metformin) and [...] Read more.
Background: Recombinant human arginase (rhArg) has been proven to exhibit an anticancer effect via arginine starvation. To further improve the efficacy of rhArg, we examined the feasibility of a combination strategy with Bcl-2 inhibitors (ABT263 and ABT199) or an antidiabetic drug (metformin) and investigated the mechanistic basis for these strategies. Methods: The combination effects were evaluated in a panel of human cancer cell lines modeling pancreatic ductal carcinoma (PDAC), triple-negative breast cancer (TNBC), colorectal cancer (CRC) and glioblastoma (GBM). Western blot analysis was used to evaluate the expression of apoptotic and cell cycle markers. MTT assay was used to evaluate the combination efficacy. Flow cytometric assays were used to investigate the apoptotic and cell cycle effects. Results: The combination of rhArg with sublethal doses of ABT263 significantly induced dose-dependent apoptosis, with elevated expression of apoptotic markers and a CI of 0.47 in U251. The combination inhibited CDK2 and cyclin A expression, indicating that the observed synergy also resulted from cell cycle arrest. We also found that rhArg + metformin was synergistic in a time-dependent manner. Compared to other amino acid depletion agents, rhArg + ABT263 was the most favorable combination pair. Conclusions: The combination of rhArg and ABT263 enhanced apoptosis and cell cycle arrest, demonstrating a potential broad-spectrum antitumor strategy. Full article
Show Figures

Figure 1

12 pages, 1304 KB  
Article
CDK8 Inhibition Increases E2F1 Transcriptional Activity and Promotes STAT3-Dependent Suppression of Mcl-1 in Triple-Negative Breast Cancer Cell Line MDA-MB-468
by Sandra Do, Shengxi Li, Rui Xiong, Jensen M. Spear, Zhixin Lu, William K. Chan and Wade A. Russu
Int. J. Mol. Sci. 2026, 27(2), 897; https://doi.org/10.3390/ijms27020897 - 16 Jan 2026
Viewed by 91
Abstract
The targeting of cyclin dependent kinase 8 (CDK8) as a potential strategy for cancer treatment has been of interest since the identification of CDK8 as an oncogene product. In this report, we communicate the results of our continuing investigation into the effects of [...] Read more.
The targeting of cyclin dependent kinase 8 (CDK8) as a potential strategy for cancer treatment has been of interest since the identification of CDK8 as an oncogene product. In this report, we communicate the results of our continuing investigation into the effects of CDK8 inhibitor on triple-negative breast cancer cell line MDA-MB-468. Here, we demonstrate that inhibition of CDK8 decreases phosphorylation of CDK8 substrates E2 promoter binding factor 1 (E2F1) at serine 375 and signal transducer and activator of transcription 3 (STAT3) at serine 727 in these cells. Additionally, luciferase expression was increased in E2F1-responsive luciferase plasmid-transfected cells. Expression of E2F1 transcription target, the proapoptotic protein p73, was increased, and expression of antiapoptotic protein myeloid cell leukemia sequence 1 (Mcl-1) was decreased in CDK8 inhibitor-treated cells. We also demonstrate that knockdown of STAT3 or disruption of STAT3 function in MDA-MB-468 cells opposes the effects of CDK8 inhibition on Mcl-1. Together, these results suggest that CDK8 inhibitor treatment can modulate the expression of apoptosis-related proteins p73 and Mcl-1 and continues to highlight the potential cooperative effects of E2F1 and STAT3 in the activity of CDK8 inhibitor against MDA-MB-468 triple-negative breast cancer cells. Full article
(This article belongs to the Special Issue Molecular Pharmacology of Protein Kinase Inhibitor)
Show Figures

Figure 1

22 pages, 3747 KB  
Article
Integrated Triple-Diode Modeling and Hydrogen Turbine Power for Green Hydrogen Production
by Abdullah Alrasheedi, Mousa Marzband and Abdullah Abusorrah
Energies 2026, 19(2), 435; https://doi.org/10.3390/en19020435 - 15 Jan 2026
Viewed by 98
Abstract
The study establishes a comprehensive mathematical modeling framework for solar-driven hydrogen production by integrating a triple-diode photovoltaic (PV) model, an alkaline electrolyzer, and a hydrogen turbine (H2T), subsequently using hybrid power utilization to optimize hydrogen output. The Triple-Diode Model (TDM) accurately [...] Read more.
The study establishes a comprehensive mathematical modeling framework for solar-driven hydrogen production by integrating a triple-diode photovoltaic (PV) model, an alkaline electrolyzer, and a hydrogen turbine (H2T), subsequently using hybrid power utilization to optimize hydrogen output. The Triple-Diode Model (TDM) accurately reproduces the electrical performance of a 144-cell photovoltaic module under standard test conditions (STC), enabling precise calculations of hourly maximum power point outputs based on real-world conditions of global horizontal irradiance and ambient temperature. The photovoltaic system produced 1.07 MWh during the summer months (May to September 2025), which was sent straight to the alkaline electrolyzer. The electrolyzer, using Specific Energy Consumption (SEC)-based formulations and Faraday’s law, produced 22.6 kg of green hydrogen and used around 203 L of water. The generated hydrogen was later utilized to power a hydrogen turbine (H2T), producing 414.6 kWh, which was then integrated with photovoltaic power to create a hybrid renewable energy source. This hybrid design increased hydrogen production to 31.4 kg, indicating a substantial improvement in renewable hydrogen output. All photovoltaic, electrolyzer, and turbine models were integrated into a cohesive MATLAB R2024b framework, allowing for an exhaustive depiction of system dynamics. The findings validate that the amalgamation of H2T with photovoltaic-driven electrolysis may significantly improve both renewable energy and hydrogen production. This research aligns with Saudi Vision 2030 and global clean-energy initiatives, including the Paris Agreement, to tackle climate change and its negative impacts. An integrated green hydrogen system, informed by this study’s findings, could significantly improve energy sustainability, strengthen production reliability, and augment hydrogen output, fully aligning with economical, technical, and environmental objectives. Full article
(This article belongs to the Special Issue Advances in Hydrogen Production in Renewable Energy Systems)
Show Figures

Figure 1

23 pages, 5773 KB  
Article
Mutational Landscape Analysis of BRCA1/2 and Identification of Extracellular-Vesicle-Related Biomarkers in Triple-Negative Breast Cancer
by Yuqiu Hu, Jiali Wu, Lu Sun, Zishan Xie, Ming Li, Lu Yuan, Rui Huang and Weixing Zhang
Biomedicines 2026, 14(1), 178; https://doi.org/10.3390/biomedicines14010178 - 14 Jan 2026
Viewed by 124
Abstract
Background: Triple-negative breast cancer (TNBC), defined by the absence of estrogen receptor (ER), progesterone receptor (PR), and human epidermal growth factor receptor 2 (HER-2) expression, is associated with increased BRCA1/2 mutation rates. Extracellular vesicles (EVs) play a pivotal role in TNBC progression. [...] Read more.
Background: Triple-negative breast cancer (TNBC), defined by the absence of estrogen receptor (ER), progesterone receptor (PR), and human epidermal growth factor receptor 2 (HER-2) expression, is associated with increased BRCA1/2 mutation rates. Extracellular vesicles (EVs) play a pivotal role in TNBC progression. This study aimed to analyze BRCA1/2 mutations and identify EV-related biomarkers for TNBC by employing TNBC-related datasets and EV-related genes (EVRGs). Methods: Initially, BRCA1/2 mutations in TNBC patients were examined. Differentially expressed EVRGs (DE-EVRGs) were identified by integrating the results of both differential expression analysis and weighted gene co-expression network analysis (WGCNA). Biomarkers were identified using Receiver Operating Characteristic (ROC) and Kaplan–Meier (K–M) analyses. Finally, functional enrichment, drug prediction, molecular docking, and reverse transcription quantitative polymerase chain reaction (RT-qPCR) analyses were performed. Results: Waterfall plots indicated that TP53 exhibited the highest mutation frequency in both the mutation (MUT) and wild-type (WT) group. Four distinct types of immune cells (for example, eosinophils and neutrophils) showed significantly elevated expression levels in the WT group. Notably, PLA2G5 was identified as a biomarker of TNBC and its expression was significantly lower in TNBC (p = 0.0025). Functional analysis demonstrated that PLA2G5 is enriched in the “drug metabolism cytochrome P450” pathway. Finally, 20 drugs targeting PLA2G5 were identified, among which leukotriene C4 demonstrated a binding affinity of −7.2 kcal/mol. This finding suggests that leukotriene C4 has potential therapeutic applications for the treatment of TNBC. Conclusions: Our study found significant differences between the MUT and WT groups, identifying PLA2G5 as a biomarker for TNBC and offering a theoretical basis for TNBC treatment. Full article
(This article belongs to the Section Cancer Biology and Oncology)
Show Figures

Figure 1

20 pages, 1051 KB  
Article
Age-Specific Distribution and Factors Associated with High-Risk HPV Infection and Cervical Lesions Among HIV-Positive and -Negative Women in Maputo, Mozambique: Findings from the HPV-ISI Study
by Alberto Sineque, Célia Nhambe, Júlia Sebastião, Nilza Cossa, Cacilda Massango, Zita Sidumo, Susanna Ceffa, Fausto Cicacci, Jahit Sacarlal and Maria Clara Bicho
Venereology 2026, 5(1), 4; https://doi.org/10.3390/venereology5010004 - 13 Jan 2026
Viewed by 95
Abstract
Background/Objective: High-risk Human papillomavirus (hrHPV) is the leading cause of premalignant lesions and cervical cancer (CC), affecting disproportionally women living with HIV. Mozambique is among the countries with a heavy triple-burden of HIV, hrHPV infections and CC which accounts for more than [...] Read more.
Background/Objective: High-risk Human papillomavirus (hrHPV) is the leading cause of premalignant lesions and cervical cancer (CC), affecting disproportionally women living with HIV. Mozambique is among the countries with a heavy triple-burden of HIV, hrHPV infections and CC which accounts for more than 5300 new cases and 3800 deaths each year. In this study, we assessed the age-specific distribution and factors associated with hrHPV and cervical lesions among HIV-positive and -negative women from HPV-ISI (HPV Innovative Screening Initiative) study in Maputo, Mozambique. Methods: This cross-sectional study included 1248 non-pregnant women aged ≥18 years who attended CC screening at the DREAM Sant’Egídio Health Centre between July 2021 and April 2022. Screening involved visual inspection with acetic acid (VIA) and high-risk HPV DNA testing. Sociodemographic, lifestyle, and reproductive data were collected through a routine questionnaire. Logistic regression assessed associations between risk factors and hrHPV infection or cervical lesions. Age-specific hrHPV prevalence, partial HPV16/18 genotyping, and abnormal cytology rates were further analyzed by HIV status. Results: The mean age of participants was 43.0 ± 8.6 years. Overall hrHPV prevalence was 28.0%, being higher among HIV-positive women (46.8%) than HIV-negative women (23.8%). Non-16/18 hrHPV genotypes predominated across all age groups. VIA positivity was 11.1%, most frequently involving less than 75% of the cervical area and was more common among younger women (30–45 years) and those living with HIV. Increasing age was associated with lower odds of hrHPV infection (OR = 0.98, 95% CI: 0.97–1.00; p = 0.017), as was higher parity (≥3 deliveries vs. nulliparity: OR = 0.58, 95% CI: 0.36–0.94; p = 0.029). Contraceptive use (OR = 1.65, 95% CI: 1.15–2.38; p = 0.007) and a partially or non-visible squamocolumnar junction (SCJ) (OR = 2.88, 95% CI: 1.74–4.79; p < 0.001) were associated with higher odds of VIA positivity. Conclusions: hrHPV infection and cervical lesions were more frequent in younger and HIV-positive women, highlighting the need for strengthened targeted screening within HIV care services in Mozambique. Full article
Show Figures

Figure 1

44 pages, 10841 KB  
Article
Study on Dual-Targeted Liposomes Containing Curcumin-Copper Chelate in the Treatment of Triple-Negative Breast Cancer
by Lina Wu, Xueli Guo and Pan Guo
Pharmaceuticals 2026, 19(1), 135; https://doi.org/10.3390/ph19010135 - 13 Jan 2026
Viewed by 178
Abstract
Background: Triple-negative breast cancer (TNBC) remains primarily treated with chemotherapy due to the lack of effective therapeutic targets, but this approach carries significant systemic toxicity and a high risk of drug resistance. Curcumin (Cur), despite its multifaceted antitumor activity, faces limitations in [...] Read more.
Background: Triple-negative breast cancer (TNBC) remains primarily treated with chemotherapy due to the lack of effective therapeutic targets, but this approach carries significant systemic toxicity and a high risk of drug resistance. Curcumin (Cur), despite its multifaceted antitumor activity, faces limitations in clinical application due to poor water solubility and weak targeting properties. This study aims to develop a folate/mitochondria dual-targeted curcumin–copper chelate liposome (Cu-Cur DTLPs) formulation that enables copper accumulation within tumor cells and induces copper-mediated cell death, thereby providing an effective and relatively low-toxicity therapeutic strategy for triple-negative breast cancer. Methods: Curcumin–copper chelates (Cu-Cur) were first synthesized and characterized using mass spectrometry, NMR, and infrared spectroscopy. Subsequently, dual-targeted liposomes (Cu-Cur DTLPs) were prepared via the thin-film dispersion method, with systematic evaluation of particle size, zeta potential, encapsulation efficiency, and in vitro release profiles. In vitro cytotoxicity was assessed against 4T-1 and MDA-MB-231 cells using the MTT assay. In a 4T-1 tumor-bearing BALB/c mouse model, comprehensive evaluation of targeting efficiency, antitumor efficacy, and mechanisms of action was conducted via in vivo imaging, tumor volume monitoring, immunohistochemistry (detecting FDX1 and DLAT proteins), and TUNEL staining. Results: Cu-Cur DTLPs with a uniform particle size of approximately 104.4 nm were successfully synthesized. In vitro and in vivo studies demonstrated that compared to free curcumin and conventional liposomes, Cu-Cur DTLPs significantly enhanced drug accumulation in tumor tissues and exhibited effective tumor growth inhibition. Mechanistic studies confirmed that this formulation specifically accumulates copper ions within tumor cells, upregulates FDX1, promotes DLAT oligomerization, and induces mitochondrial dysfunction, thereby driving copper death. TUNEL staining ruled out apoptosis as the primary mechanism. Safety evaluation revealed no significant toxicity in major organs. Conclusions: The Cu-Cur DTLPs developed in this study effectively induce copper-mediated death in TNBC through a dual-targeted delivery system, significantly enhancing antitumor activity with favorable safety profiles. This establishes a highly promising novel nanotherapeutic strategy for TNBC treatment. Full article
(This article belongs to the Section Medicinal Chemistry)
Show Figures

Graphical abstract

13 pages, 933 KB  
Review
The Role of Androgen Receptor and Antiandrogen Therapy in Breast Cancer: A Scoping Review
by Antonio Ghidini, Roberta Bukovec, Luisa Roncari, Isabella Garassino, Fulvia Milena Cribiù and Fausto Petrelli
Curr. Oncol. 2026, 33(1), 41; https://doi.org/10.3390/curroncol33010041 - 12 Jan 2026
Viewed by 147
Abstract
Breast cancer is a complex and highly heterogeneous disease, and its management is increasingly moving towards the principles of precision medicine. In this context, the androgen receptor (AR) has emerged as a promising therapeutic target, particularly within the challenging subgroup of triple-negative breast [...] Read more.
Breast cancer is a complex and highly heterogeneous disease, and its management is increasingly moving towards the principles of precision medicine. In this context, the androgen receptor (AR) has emerged as a promising therapeutic target, particularly within the challenging subgroup of triple-negative breast cancers (TNBCs) that express it. This scoping review provides a comprehensive and detailed analysis of the multifaceted role of AR in breast cancer. We delve into its intricate molecular structure, its differential function in ER-positive vs. TNBC subtypes, and the detailed molecular mechanisms that govern its activity. We provide a thorough examination of the landmark clinical trials with antiandrogen agents, including not only enzalutamide but also other first- and second-generation compounds, and discuss the emerging data on their efficacy. Furthermore, we will explore the critical challenges that hinder their widespread clinical adoption, such as primary and acquired resistance mechanisms, the need for robust predictive biomarkers, and the heterogeneity of AR expression. Finally, we outline future research directions, focusing on novel combination therapies and the development of next-generation agents and predictive tools to optimize patient selection and improve clinical outcomes. Full article
(This article belongs to the Section Breast Cancer)
Show Figures

Figure 1

13 pages, 1082 KB  
Article
Impact of UGT1A1*28 Allele on the Safety and Effectiveness of Sacituzumab Govitecan in Metastatic Triple-Negative Breast Cancer: Real-World Evidence
by Fernando do Pazo-Oubiña, Betel del Rosario García, Marta Miarons, Eva M. Legido Perdices, Elena Prado Mel, Ruth Ramos Díaz, Fernando Gutiérrez Nicolás and on behalf of the Estudio Mama-SSG Working Group
J. Clin. Med. 2026, 15(2), 574; https://doi.org/10.3390/jcm15020574 - 10 Jan 2026
Viewed by 215
Abstract
Background: The UGT1A1 gene is associated with the toxicity caused by SN38, the cytotoxic component of Sacituzumab govitecan (SG) used in the treatment of metastatic triple-negative breast cancer (mTNBC), among other approved indications. In this study, we aimed to analyze the effect of [...] Read more.
Background: The UGT1A1 gene is associated with the toxicity caused by SN38, the cytotoxic component of Sacituzumab govitecan (SG) used in the treatment of metastatic triple-negative breast cancer (mTNBC), among other approved indications. In this study, we aimed to analyze the effect of UGT1A1*28 allele on the safety and, secondarily, the effectiveness of SG in mTNBC. Methods: This was a multicenter, ambispective study that included patients treated with SG for mTNBC. Genotyping for UGT1A1*28 was performed using real-time polymerase chain reaction (PCR). Adverse events (AEs) of grade ≥ 2 during the first three cycles were compared between patients who were homozygous mutant (UGT1A1*28/*28) and those with wild-type (WT) or heterozygous genotypes. Effectiveness between the two groups was also compared using progression-free survival (PFS) and overall survival (OS) assessed with the Kaplan–Meier method. Results: A total of 81 patients were included: 37.0% were WT, 55.6% heterozygous, and 7.4% homozygous mutant. All UGT1A1 *28/*28 patients experienced grade ≥ 2 AEs (100% vs. 69.3%; p = 0.109), with a statistically significant association in the case of febrile neutropenia (33.3% vs. 6.7%; p = 0.025), and a trend towards higher rates of anemia and diarrhea (50.0% vs. 17.3%; p = 0.053). Genotype did not influence PFS or OS; however, dose reductions were associated with better survival outcomes. Conclusions: This real-world study shows a correlation between toxicity and the presence of the UGT1A1*28 mutation in patients treated with SG for mTNBC. Improving treatment tolerability through dose reductions may enhance SG effectiveness. These findings support the implementation of UGT1A1 genotyping in routine clinical practice. Full article
(This article belongs to the Special Issue Breast Cancer: Clinical Diagnosis and Personalized Therapy)
Show Figures

Figure 1

16 pages, 3881 KB  
Article
Combined Cytotoxic Effects of Carvacrol-Based Essential Oil Formulations
by Öykü Gönül Geyik, İmren Hasoğlu, Ayşe Simay Metin and Selin Aktar Kiremitci
Plants 2026, 15(2), 211; https://doi.org/10.3390/plants15020211 - 9 Jan 2026
Viewed by 251
Abstract
Carvacrol, a phenolic monoterpene predominantly found in Origanum species, has been reported to exhibit antimicrobial, anti-inflammatory, antioxidant, and cytotoxic effects. Formulations such as Vacrol and S-Mix, enriched with carvacrol and complementary essential oil compounds, may enhance therapeutic efficacy while reducing toxicity. Essential oil [...] Read more.
Carvacrol, a phenolic monoterpene predominantly found in Origanum species, has been reported to exhibit antimicrobial, anti-inflammatory, antioxidant, and cytotoxic effects. Formulations such as Vacrol and S-Mix, enriched with carvacrol and complementary essential oil compounds, may enhance therapeutic efficacy while reducing toxicity. Essential oil components were analyzed via GC-MS. Cell viability was assessed using the sulforhodamine B (SRB) assay at different concentrations and incubation periods. An in ovo chorioallantoic membrane (CAM) assay was performed to investigate tumor volume changes and histopathological alterations. Vacrol and S-Mix demonstrated concentration- and time-dependent cell viability-attenuating effects in MDA-MB-231 cells, with significant reductions in viability at higher concentrations (1–10 mM). In ovo, S-Mix induced ~40% reduction in tumor volume and promoted apoptotic morphology compared to controls. Combined effects of carvacrol with α-pinene, eugenol, and β-terpineol likely contributed to enhanced bioactivity. These findings support further preclinical and mechanistic investigations to validate their therapeutic potential. Full article
(This article belongs to the Special Issue Toxicity and Anticancer Activities of Natural Products from Plants)
Show Figures

Figure 1

Back to TopTop