Study on Dual-Targeted Liposomes Containing Curcumin-Copper Chelate in the Treatment of Triple-Negative Breast Cancer
Abstract
1. Introduction
1.1. Tumors and Its Current Treatment Status
1.2. Overview of Cuproptosis Mechanism
1.3. Association Between Breast Cancer and Copper Metabolism
1.4. Synergistic Effects of Curcumin and Copper
1.5. Delivery Effect of Dual-Targeted Liposomes
1.6. Design Concept
2. Results
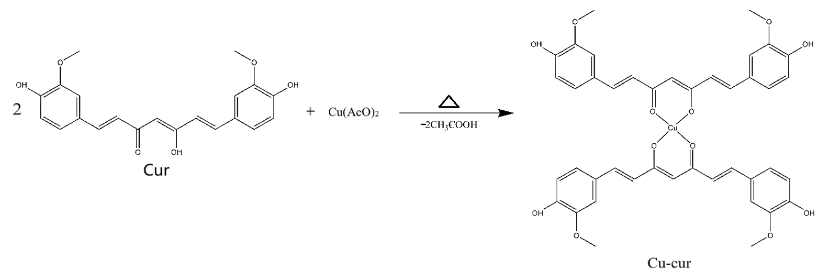
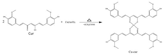
2.1. Synthesis and Characterization of Curcumin–Copper Chelate (Cu-Cur)
2.1.1. Synthesis Results
2.1.2. Analysis of EPR Results for Filtrate and Filter Residue
2.1.3. XRD Results
2.1.4. Ultraviolet Spectra of Cu-Cur
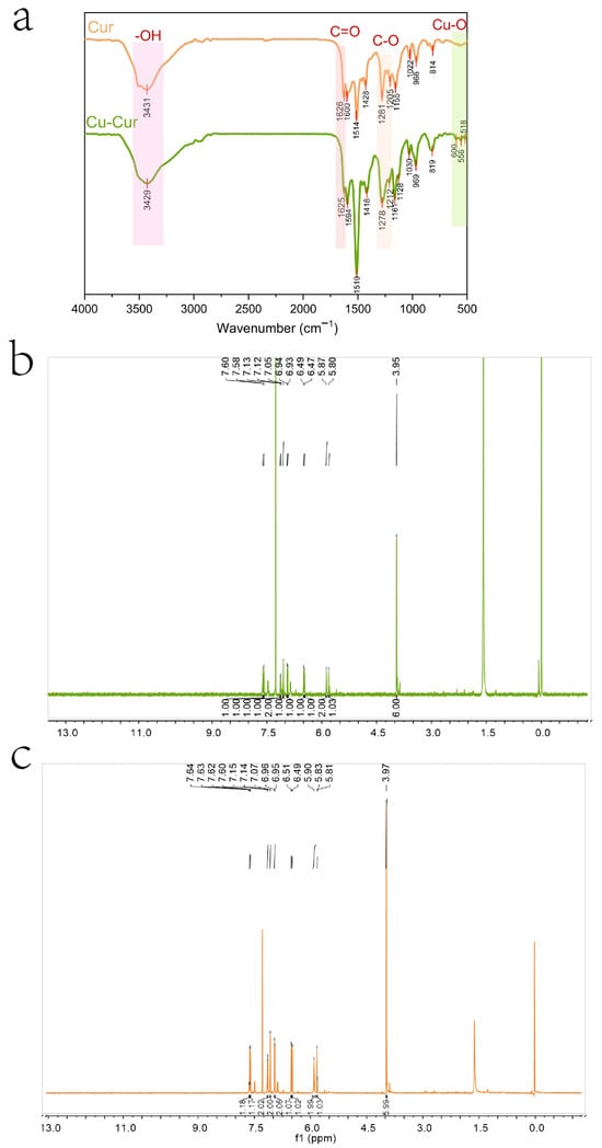
2.1.5. Infrared Spectroscopy Results for Cu-Cur
2.1.6. NMR Spectral Analysis Results of Cu-Cur
2.1.7. Mass Spectrometry Results
2.1.8. Melting Point Determination Results
2.1.9. Thermogravimetric Analysis (TGA) Results
2.1.10. Logarithm of Octanol–Water Partition Coefficient (logP) Determination Results for Cu-Cur
2.2. Evaluation of Cu-Cur Dual-Targeted Liposomes
2.2.1. Preparation of Liposomes and Investigation of Particle Size, PDI, and Zeta Potential
2.2.2. TEM Results of Drug-Loaded Liposomes
2.2.3. Stability Study of Drug-Loaded Liposomes
2.2.4. Determination of Drug Loading Capacity and Encapsulation Efficiency of Drug-Loaded Liposomes
2.2.5. In Vitro Release Study of Drug-Loaded Liposomes over 7 Days
2.3. In Vitro Cellular Studies of Targeted Drug-Loaded Liposomes
Cytotoxicity Evaluation Results of Different Drug-Loaded Liposomes
2.4. In Vivo Targeting Studies of Drug-Loaded Liposomes
2.4.1. Results of Dir Content Determination in Each Group
2.4.2. In Vivo Targeting and Tissue Distribution Results
2.5. In Vivo Antitumor Studies of Targeted Drug-Loaded Liposomes
2.5.1. Results of Mouse Body Condition and Weight Changes
2.5.2. Evaluation of Tumor Growth Inhibition Effect
2.5.3. Safety Evaluation Results
Organ Index
Liver and Kidney Function Test Indicators
Complete Blood Count Results
H&E Staining Results of Major Organs
2.5.4. Results of Antitumor Mechanisms
Results of Copper Ion Accumulation
Analysis of IHC Staining Results
Metabolite Level Assessment
H&E Staining and TUNEL Staining Analysis
3. Discussion
4. Materials and Methods
4.1. Materials
4.2. Animals
4.3. Methods
4.3.1. Chemical Synthesis of Cu-Cur
4.3.2. Structural Identification of Cu-Cur
- Determination of electron paramagnetic resonance (EPR) results of filtrate products and filter residue products
- 2.
- X-ray diffraction (XRD) determination of filtrate products and residue products
- 3.
- Ultraviolet spectroscopy of Cu-Cur
- 4.
- Analysis of infrared spectral information of Cu-Cur
- 5.
- Nuclear magnetic spectroscopy (NMR) information analysis of Cu-Cur
- 6.
- Mass spectrometry analysis of Cu-Cur
- 7.
- Determination of the melting point of Cu-Cur
- 8.
- Thermogravimetric determination of Cu-Cur
- 9.
- Oil–water partition coefficient (logP) of Cur and Cu-Cur was determined
4.3.3. Preparation and Evaluation of Cu-Cur Dual-Targeted Liposomes
- 1.
- Preparation of Cu-Cur Dual-Targeted Liposome(Cu-Cur DTLPs), Cu-Cur Liposome(Cu-Cur LPs) and Cur Liposome(Cur-LPs)
- 2.
- Determination of particle size, polydispersity index (PDI) and zeta potential of drug-loaded liposomes
- 3.
- Transmission electron microscopy observation of drug-loaded liposomes in each group
- 4.
- Stability study of targeted drug-loaded liposomes
- 5.
- Determination of Drug Loading Capacity and Encapsulation Efficiency of Liposomes
- 6.
- Investigation of in vitro release of drug-loaded liposomes
4.3.4. In Vitro Cell Experimental Studies Targeting Drug-Loaded Liposomes
Evaluation of the Cytotoxic Effects of Liposomes In Vitro
- 1.
- Prepare MTT solution
- 2.
- The proportion of viable cells was determined by MTT method
4.3.5. In Vivo Targeting Studies of Drug-Loaded Liposomes
4.3.6. In Vivo Anti-Tumor Experimental Study Targeting Drug-Loaded Liposomes
Safety Evaluation
- 1.
- Organ index of mice
- 2.
- Liver and kidney function tests
- 3.
- Routine blood examination of mice
- 4.
- H&E staining of major organs
Research on the Mechanism of Antitumor Action of the Preparation
- 1.
- Copper ion accumulation analysis
- 2.
- Immunohistochemistry (IHC) staining analysis
- 3.
- Changes in metabolite levels
- 4.
- Tumor tissue H&E staining and TUNEL staining
5. Conclusions
Author Contributions
Funding
Institutional Review Board Statement
Data Availability Statement
Conflicts of Interest
Abbreviations
| ALT | Alanine Aminotransferase |
| AST | Aspartate Aminotransferase |
| ATP | Adenosine Triphosphate |
| CA | Citric Acid |
| CRE | Creatinine |
| Cur | Curcumin |
| DIR | 1,1′-dioctadecyl-3,3,3′,3′-tetramethylindodicarbocyanine iodide |
| DLAT | Dihydrolipoyl transacetylase |
| EDTA | Ethylenediaminetetraacetic acid |
| ER | Estrogen Receptor |
| FBS | Fetal Bovine Serum |
| H&E | Hematoxylin and Eosin |
| HER2 | Human Epidermal Growth Factor |
| HGB | Hemoglobin |
| logP | Partition coefficient |
| LPs | Liposomes |
| MTT | 3-(4,5-dimethylthiazol-2-yl)-2,5-diphenyltetrazolium bromide |
| PTX | Paclitaxel |
| RPMI-1640 | Roswell Park Memorial Institute 1640 medium |
| TGI | Tumor Growth Inhibition |
| TNBC | Triple-Negative Breast Cancer |
| TUNEL | Terminal deoxynucleotidyl transferase dUTP nick end labeling |
| WBC | White Blood Cell |
| α-KG | α-Ketoglutaric acid |
Appendix A
| No. /n-o | A. | Cn-o | Orig. Cn-o | No. /w | A. | Cw | Pow = Cn-o/Cw | logP | Avg.logP |
|---|---|---|---|---|---|---|---|---|---|
| 1-1 | 1.2764 | 10.17 | 111.92 | 1-1 | 0.0053 | 0.06 | 1803.58 | 3.26 | |
| 1-2 | 1.275 | 10.16 | 111.79 | 1-2 | 0.0024 | 0.04 | 2867.86 | 3.46 | |
| 1-3 | 1.2759 | 10.17 | 111.87 | 1-3 | 0.0014 | 0.03 | 3605.74 | 3.56 | |
| 2-1 | 1.0554 | 8.42 | 92.58 | 2-1 | 0.0025 | 0.04 | 2327.38 | 3.37 | |
| 2-2 | 1.0566 | 8.43 | 92.68 | 2-2 | 0.0009 | 0.03 | 3426.50 | 3.53 | 3.38 |
| 2-3 | 1.0613 | 8.46 | 93.09 | 2-3 | 0.0008 | 0.03 | 3546.00 | 3.55 | |
| 3-1 | 1.1126 | 8.87 | 97.58 | 3-1 | 0.0068 | 0.07 | 1318.94 | 3.12 | |
| 3-2 | 1.132 | 9.03 | 99.28 | 3-2 | 0.0047 | 0.06 | 1733.26 | 3.24 | |
| 3-3 | 1.1058 | 8.82 | 96.99 | 3-3 | 0.0036 | 0.05 | 1998.57 | 3.30 |
| No. /n-o | A. | Cn-o | Orig. Cn-o | No. /w | A. | Cw | Pow = Cn-o/Cw | logP | Avg.logP |
|---|---|---|---|---|---|---|---|---|---|
| 1-1 | 0.5106 | 7.53 | 82.88 | 1-1 | 0.0841 | 1.23 | 67.12 | 1.83 | |
| 1-2 | 0.5167 | 7.62 | 83.87 | 1-2 | 0.092 | 1.35 | 62.06 | 1.79 | |
| 1-3 | 0.5241 | 7.73 | 85.08 | 1-3 | 0.0945 | 1.39 | 61.27 | 1.79 | |
| 2-1 | 0.6999 | 10.33 | 113.64 | 2-1 | 0.049 | 0.72 | 158.63 | 2.20 | |
| 2-2 | 0.6999 | 10.33 | 113.64 | 2-2 | 0.0497 | 0.73 | 156.37 | 2.19 | 2.09 |
| 2-3 | 0.7008 | 10.34 | 113.79 | 2-3 | 0.0514 | 0.75 | 151.34 | 2.18 | |
| 3-1 | 0.7792 | 11.50 | 126.52 | 3-1 | 0.0441 | 0.64 | 196.46 | 2.29 | |
| 3-2 | 0.7759 | 11.45 | 125.99 | 3-2 | 0.0463 | 0.68 | 186.23 | 2.27 | |
| 3-3 | 0.7744 | 11.43 | 125.74 | 3-3 | 0.0468 | 0.68 | 183.86 | 2.26 |
| Time (Day) | Size (nm) | ||
|---|---|---|---|
| Liposome 1 | Liposome 2 | Liposome 3 | |
| 1 | 106.7 | 108.8 | 100.4 |
| 2 | 108.8 | 109.4 | 101.7 |
| 3 | 116 | 116.2 | 104.9 |
| 5 | 112.6 | 112.6 | 108.6 |
| 7 | 111.8 | 111.5 | 108.7 |
| 9 | 111.7 | 110.9 | 109.3 |
| 11 | 113.4 | 110.8 | 108.1 |
| 13 | 111.1 | 110.6 | 108.3 |
| 21 | 110.7 | 108.4 | 105 |
| 28 | 109.8 | 104.1 | 104.6 |
| Mean ± SD | 111.26 ± 2.55 | 110.33 ± 3.11 | 105.96 ± 3.13 |
| RSD (%) | 2.29 | 2.82 | 2.96 |
| Time (Day) | Zeta (mV) | ||
|---|---|---|---|
| Liposome 1 | Liposome 2 | Liposome 3 | |
| 1 | −18.4 | −19.0 | −19.3 |
| 2 | −18.9 | −19.5 | −18.0 |
| 3 | −17.6 | −18.4 | −18.8 |
| 5 | −17.7 | −18.3 | −18.1 |
| 7 | −18.1 | −17.9 | −18.8 |
| 9 | −18.3 | −18.6 | −18.6 |
| 11 | −17.5 | −18.4 | −18.3 |
| 13 | −18.5 | −17.8 | −19.3 |
| 21 | −18.6 | −18.1 | −18.0 |
| 28 | −18.6 | −18.0 | −18.0 |
| Mean ± SD | −18.2 ± 0.48 | −18.4 ± 0.53 | −18.52 ± 0.52 |
| RSD (%) | 2.62 | 2.85 | 2.79 |


References
- Sung, H.; Ferlay, J.; Siegel, R.L.; Laversanne, M.; Soerjomataram, I.; Jemal, A.; Bray, F. Global Cancer Statistics 2020: GLOBOCAN Estimates of Incidence and Mortality Worldwide for 36 Cancers in 185 Countries. CA Cancer J. Clin. 2021, 71, 209–249. [Google Scholar] [CrossRef]
- Jézéquel, P.; Kerdraon, O.; Hondermarck, H.; Guérin-Charbonnel, C.; Lasla, H.; Gouraud, W.; Canon, J.-L.; Gombos, A.; Dalenc, F.; Delaloge, S.; et al. Identification of three subtypes of triple-negative breast cancer with potential therapeutic implications. Breast Cancer Res. 2019, 21, 65. [Google Scholar] [CrossRef]
- Bianchini, G.; Balko, J.M.; Mayer, I.A.; Sanders, M.E.; Gianni, L. Triple-negative breast cancer: Challenges and opportunities of a heterogeneous disease. Nat. Rev. Clin. Oncol. 2016, 13, 674–690. [Google Scholar] [CrossRef]
- Riaz, F. New strategies for the management of triple-negative breast cancer. Curr. Opin. Obstet. Gynecol. 2024, 36, 40–44. [Google Scholar] [CrossRef]
- Tsvetkov, P.; Coy, S.; Petrova, B.; Dreishpoon, M.; Verma, A.; Abdusamad, M.; Rossen, J.; Joesch-Cohen, L.; Humeidi, R.; Spangler, R.D.; et al. Copper induces cell death by targeting lipoylated TCA cycle proteins. Science 2022, 375, 1254–1261. [Google Scholar] [CrossRef] [PubMed]
- Yang, S.; Song, Y.; Hu, Y.; Chen, H.; Yang, D.; Song, X. Multifaceted Roles of Copper Ions in Anticancer Nanomedicine. Adv. Healthc. Mater. 2023, 12, e2300410. [Google Scholar] [CrossRef] [PubMed]
- Zhu, Z.; Zhu, K.; Zhang, J.; Zhou, Y.; Zhang, Q. Elucidating the evolving role of cuproptosis in breast cancer progression. Int. J. Biol. Sci. 2024, 20, 4872–4887. [Google Scholar] [CrossRef]
- Shanbhag, V.C.; Gudekar, N.; Jasmer, K.; Papageorgiou, C.; Singh, K.; Petris, M.J. Copper metabolism as a unique vulnerability in cancer. Biochim. Biophys. Acta Mol. Cell Res. 2021, 1868, 118893. [Google Scholar] [CrossRef] [PubMed]
- Xie, J.; Yang, Y.; Gao, Y.; He, J. Cuproptosis: Mechanisms and links with cancers. Mol. Cancer 2023, 22, 46. [Google Scholar] [CrossRef]
- Hao, M.; Chu, Y.; Lei, J.; Yao, Z.; Wang, P.; Chen, Z.; Wang, K.; Sang, X.; Han, X.; Wang, L.; et al. Pharmacological Mechanisms and Clinical Applications of Curcumin: Update. Aging Dis. 2023, 14, 716–749. [Google Scholar] [CrossRef]
- Zhang, W.; Chen, C.; Shi, H.; Yang, M.; Liu, Y.; Ji, P.; Chen, H.; Tan, R.X.; Li, E. Curcumin is a biologically active copper chelator with antitumor activity. Phytomedicine 2016, 23, 1–8. [Google Scholar] [CrossRef]
- Corinti, D.; Maccelli, A.; Chiavarino, B.; Maitre, P.; Scuderi, D.; Bodo, E.; Fornarini, S.; Crestoni, M.E. Vibrational signatures of curcumin’s chelation in copper(II) complexes: An appraisal by IRMPD spectroscopy. J. Chem. Phys. 2019, 150, 165101. [Google Scholar] [CrossRef] [PubMed]
- Kong, R.; Sun, G. Targeting copper metabolism: A promising strategy for cancer treatment. Front. Pharmacol. 2023, 14, 1203447. [Google Scholar] [CrossRef]
- Prasad, S.; DuBourdieu, D.; Srivastava, A.; Kumar, P.; Lall, R. Metal-Curcumin Complexes in Therapeutics: An Approach to Enhance Pharmacological Effects of Curcumin. Int. J. Mol. Sci. 2021, 22, 7094. [Google Scholar] [CrossRef]
- Gaur, K.; Vázquez-Salgado, A.M.; Duran-Camacho, G.; Dominguez-Martinez, I.; Benjamín-Rivera, J.A.; Fernández-Vega, L.; Carmona Sarabia, L.; Cruz García, A.; Pérez-Deliz, F.; Méndez Román, J.A.; et al. Iron and Copper Intracellular Chelation as an Anticancer Drug Strategy. Inorganics 2018, 6, 126. [Google Scholar] [CrossRef]
- Sercombe, L.; Veerati, T.; Moheimani, F.; Wu, S.Y.; Sood, A.K.; Hua, S. Advances and Challenges of Liposome Assisted Drug Delivery. Stem Cell Rev. Rep. 2024, 20, 1200–1212. [Google Scholar] [CrossRef] [PubMed]
- Wang, S.; Chen, Y.; Guo, J.; Huang, Q. Liposomes for Tumor Targeted Therapy: A Review. Int. J. Mol. Sci. 2023, 24, 2643. [Google Scholar] [CrossRef]
- Shi, Y.; Van der Meel, R.; Chen, X.; Lammers, T. The EPR effect and beyond: Strategies to improve tumor targeting and cancer nanomedicine treatment efficacy. Theranostics 2020, 10, 7921–7924. [Google Scholar] [CrossRef]
- Assaraf, Y.G.; Leamon, C.P.; Reddy, J.A. The folate receptor as a rational therapeutic target for personalized cancer treatment. Drug Resist. Updates Rev. 2014, 17, 89–95. [Google Scholar] [CrossRef] [PubMed]
- Zamani, M.; Aghajanzadeh, M.; Sharafi, A.; Rostamizadeh, K.; Danafar, H. Targeted drug delivery via folate decorated nanocarriers based on linear polymer for treatment of breast cancer. Pharm. Dev. Technol. 2022, 27, 19–24. [Google Scholar] [CrossRef]
- Baskararaj, S.; Panneerselvam, T.; Govindaraj, S.; Arunachalam, S.; Parasuraman, P.; Pandian, S.R.K.; Sankaranarayanan, M.; Mohan, U.P.; Palanisamy, P.; Ravishankar, V.; et al. Formulation and characterization of folate receptor-targeted PEGylated liposome encapsulating bioactive compounds from Kappaphycus alvarezii for cancer therapy. 3 Biotech 2020, 10, 136. [Google Scholar] [CrossRef] [PubMed]
- Kenny, T.C.; Birsoy, K. Mitochondria and Cancer. Cold Spring Harb. Perspect. Med. 2024, 14, a041534. [Google Scholar] [CrossRef]
- Weiner-Gorzel, K.; Murphy, M. Mitochondrial dynamics, a new therapeutic target for Triple Negative Breast Cancer. Biochim. Biophys. Acta Rev. Cancer 2021, 1875, 188518. [Google Scholar] [CrossRef]
- Sun, Y.; Zhang, H.; Lu, G.; Wang, H.; Lu, Y.; Fan, L. Mitochondria-targeted cancer therapy based on functional peptides. Chin. Chem. Lett. 2023, 34, 107817. [Google Scholar] [CrossRef]
- Kim, S.; Nam, H.Y.; Lee, J.; Seo, J. Mitochondrion-Targeting Peptides and Peptidomimetics: Recent Progress and Design Principles. Biochemistry 2020, 59, 270–284. [Google Scholar] [CrossRef]
- Tar, H.; Alhomaidan, L.M.; Beji, L.; Alnafisah, A.S.; Kouki, N.; Messaoudi, S.; Alminderej, F.M.; Algreiby, A.A.; Aroua, L.M. Electronic and photophysical properties of copper (II) Complexes: Insights into solvatochromic Effects, Photoreduction, and fluorescence behavior. Results Chem. 2025, 13, 101957. [Google Scholar] [CrossRef]
- Bukonjić, A.M.; Tomović, D.; Stanković, A.S.; Jevtić, V.; Ratković, Z.; Bogojeski, J.V.; Milovanović, J.; Đorđević, D.; Arsenijevic, A.; Milovanovic, M.; et al. Synthesis, characterization and biological activity of copper(II) complexes with ligands derived from β-amino acids. Transit. Met. Chem. 2018, 44, 65–76. [Google Scholar] [CrossRef]
- Wang, J.; Wei, D.; Jiang, B.; Liu, T.; Ni, J.; Zhou, S. Two copper(II) complexes of curcumin derivatives: Synthesis, crystal structure and in vitro antitumor activity. Transit. Met. Chem. 2014, 39, 553–558. [Google Scholar] [CrossRef]
- Drosou, M.; Mitsopoulou, C.A.; Orio, M.; Pantazis, D.A. EPR Spectroscopy of Cu(II) Complexes: Prediction of g-Tensors Using Double-Hybrid Density Functional Theory. Magnetochemistry 2022, 8, 36. [Google Scholar] [CrossRef]
- Kumar, K.V.; Ramisetty, K.A.; Devi, K.R.; Krishna, G.R.; Heffernan, C.; Stewart, A.A.; Guo, J.; Gadipelli, S.; Bret, D.J.L.; Favvas, E.P.; et al. Pure Curcumin Spherulites from Impure Solutions via Nonclassical Crystallization. ACS Omega 2021, 6, 23884–23900. [Google Scholar] [CrossRef] [PubMed]
- Del Duca, G.; Parisi, E.; Artusio, F.; Calì, E.; Garofalo, S.F.; Rosso, C.; Cauda, V.; Chierotti, M.R.; Simone, E. A crystal engineering approach for rational design of curcumin crystals for Pickering stabilization of emulsions. Food Res. Int. 2024, 194, 114871. [Google Scholar] [CrossRef]
- Saritha, T.J.; Metilda, P. Synthesis, spectroscopic characterization and biological applications of some novel Schiff base transition metal (II) complexes derived from curcumin moiety. J. Saudi Chem. Soc. 2021, 25, 101245. [Google Scholar] [CrossRef]
- Xu, G.; Wang, J.; Liu, T.; Wang, M.; Zhou, S.; Wu, B.; Jiang, M. Synthesis and crystal structure of a novel copper(II) complex of curcumin-type and its application in in vitro and in vivo imaging. J. Mater. Chem. B 2014, 2, 3659–3666. [Google Scholar] [CrossRef]
- Bennett, T.D.; Cheetham, A.K. Amorphous Metal–Organic Frameworks. Acc. Chem. Res. 2014, 47, 1555–1562. [Google Scholar] [CrossRef]
- Liu, Q.; Liu, X.; Shi, C.; Zhang, Y.; Feng, X.; Cheng, M.-L.; Su, S.; Gu, J. A copper-based layered coordination polymer: Synthesis, magnetic properties and electrochemical performance in supercapacitors. Dalton Trans. 2015, 44, 19175–19184. [Google Scholar] [CrossRef]
- Censi, R.; Di Martino, P. Polymorph Impact on the Bioavailability and Stability of Poorly Soluble Drugs. Molecules 2015, 20, 18759–18776. [Google Scholar] [CrossRef]
- Arenaza-Corona, A.; Obregón-Mendoza, M.A.; Meza-Morales, W.; Ramírez-Apan, M.T.; Nieto-Camacho, A.; Toscano, R.A.; Pérez-González, L.L.; Sánchez-Obregón, R.; Enríquez, R.G. The Homoleptic Curcumin–Copper Single Crystal (ML2): A Long Awaited Breakthrough in the Field of Curcumin Metal Complexes. Molecules 2023, 28, 6033. [Google Scholar] [CrossRef]
- Refat, M.S. Synthesis and characterization of ligational behavior of curcumin drug towards some transition metal ions: Chelation effect on their thermal stability and biological activity. Spectrochim. Acta Part A Mol. Biomol. Spectrosc. 2013, 105, 326–337. [Google Scholar] [CrossRef] [PubMed]
- Sumi, M.; Nevaditha, N.T.; Sindhu Kumari, B. Synthesis, spectroscopic investigation and bioactivities of metal complexes from curcuma longa derivative. Inorg. Chim. Acta 2023, 549, 121397. [Google Scholar] [CrossRef]
- Ferrari, E.; Benassi, R.; Sacchi, S.; Pignedoli, F.; Asti, M.; Saladini, M. Curcumin derivatives as metal-chelating agents with potential multifunctional activity for pharmaceutical applications. J. Inorg. Biochem. 2014, 139, 38–48. [Google Scholar] [CrossRef]
- Gerz, I.; Jannuzzi, S.A.V.; Hylland, K.T.; Negri, C.; Wragg, D.S.; Øien-Ødegaard, S.; Tilset, M.; Olsbye, P.U.; DeBeer, S.; Amedjkouh, M. Structural Elucidation, Aggregation, and Dynamic Behaviour of N,N,N,N-Copper(I) Schiff Base Complexes in Solid and in Solution: A Combined NMR, X-ray Spectroscopic and Crystallographic Investigation. Eur. J. Inorg. Chem. 2021, 2021, 4762–4775. [Google Scholar] [CrossRef] [PubMed]
- Novotny, J.; Komorovsky, S.; Marek, R. Paramagnetic Effects in NMR Spectroscopy of Transition-Metal Complexes: Principles and Chemical Concepts. Acc. Chem. Res. 2024, 57, 1467–1477. [Google Scholar] [CrossRef] [PubMed]
- Yang, F.; Liu, H.; Luo, Q.; Deng, H.; Zhang, R.; Yang, Y.; Yang, H.; Wu, H.; Tao, X. Synergistic chemotherapy and phototherapy co-delivery nanoparticle preparation and anti-triple negative breast cancer study. RSC Adv. 2025, 15, 28298–28312. [Google Scholar] [CrossRef]
- Li, M.; Wan, X.; Shan, B.; He, Y.; Chen, C.; Shen, M. A pH and GSH dual responsive nanoparticle co-deliver Adriamycin and Olaparib enhanced the therapeutic efficacy on triple negative breast cancer. Mater. Des. 2025, 256, 114271. [Google Scholar] [CrossRef]




















| Sample | Main Peak (G) | // | Second Peak (G) | ⊥ | A// (mT) | A⊥ (mT) |
|---|---|---|---|---|---|---|
| Filtrate | 3234 | 2.10 | 3056 | 2.22 | 51 | 54 |
| Filter residue | 3220 | 2.03 | 3048 | 2.15 | 53 | 54 |
| Measurement Count | Sample Melting Point (°C) | |
|---|---|---|
| Filtrate Product | Filter Residue | |
| 1 | 137–145 | 260 |
| 2 | 137–145 | 259 |
| 3 | 136–143 | 258 |
| Liposome | Size (nm) | PDI | Zeta (mV) |
|---|---|---|---|
| Cu-Cur DTLPs | 104.4 ± 2.84 | 0.214 ± 0.007 | −19.1 ± 0.76 |
| Cu-Cur LPs | 117.5 ± 1.06 | 0.261 ± 0.010 | −17.4 ± 1.79 |
| Cur-LPs | 126.3 ± 0.91 | 0.25 ± 0.002 | −17.8 ± 0.91 |
| Sample | EE (%) | Cu-Cur DLE (%) |
|---|---|---|
| Cu-Cur DTLPs | 96.41 ± 0.75 | 1.21 ± 0.02 |
| Cu-Cur LPs | 83.62 ± 1.54 | 0.92 ± 0.02 |
| Cur-LPs | 52.38 ± 1.30 | 0.85 ± 0.03 |
| Group | Concentration (μg/mL) | Average Preparation Concentration (μg/mL) | Average Drug Concentration (μg/mL) | Average Encapsulation Rate (%) |
|---|---|---|---|---|
| Dir | 78.53 | |||
| 78.97 | 78.68 | 78.68 | - | |
| 78.53 | ||||
| Dir/Cu-Cur LPs | 71.56 | |||
| 70.64 | 73.91 | 73.91 | 83.74 | |
| 79.52 | ||||
| Dir/Cu- Cur DTLPs | 74.92 | |||
| 87.39 | 81.18 | 73.18 | 87.90 | |
| 81.23 |
Disclaimer/Publisher’s Note: The statements, opinions and data contained in all publications are solely those of the individual author(s) and contributor(s) and not of MDPI and/or the editor(s). MDPI and/or the editor(s) disclaim responsibility for any injury to people or property resulting from any ideas, methods, instructions or products referred to in the content. |
© 2026 by the authors. Licensee MDPI, Basel, Switzerland. This article is an open access article distributed under the terms and conditions of the Creative Commons Attribution (CC BY) license.
Share and Cite
Wu, L.; Guo, X.; Guo, P. Study on Dual-Targeted Liposomes Containing Curcumin-Copper Chelate in the Treatment of Triple-Negative Breast Cancer. Pharmaceuticals 2026, 19, 135. https://doi.org/10.3390/ph19010135
Wu L, Guo X, Guo P. Study on Dual-Targeted Liposomes Containing Curcumin-Copper Chelate in the Treatment of Triple-Negative Breast Cancer. Pharmaceuticals. 2026; 19(1):135. https://doi.org/10.3390/ph19010135
Chicago/Turabian StyleWu, Lina, Xueli Guo, and Pan Guo. 2026. "Study on Dual-Targeted Liposomes Containing Curcumin-Copper Chelate in the Treatment of Triple-Negative Breast Cancer" Pharmaceuticals 19, no. 1: 135. https://doi.org/10.3390/ph19010135
APA StyleWu, L., Guo, X., & Guo, P. (2026). Study on Dual-Targeted Liposomes Containing Curcumin-Copper Chelate in the Treatment of Triple-Negative Breast Cancer. Pharmaceuticals, 19(1), 135. https://doi.org/10.3390/ph19010135
