Sign in to use this feature.

Years

Between: -

Subjects

remove_circle_outline
remove_circle_outline
remove_circle_outline
remove_circle_outline
remove_circle_outline
remove_circle_outline
remove_circle_outline
remove_circle_outline
remove_circle_outline

Journals

remove_circle_outline
remove_circle_outline
remove_circle_outline
remove_circle_outline
remove_circle_outline
remove_circle_outline
remove_circle_outline
remove_circle_outline
remove_circle_outline
remove_circle_outline
remove_circle_outline
remove_circle_outline
remove_circle_outline
remove_circle_outline
remove_circle_outline
remove_circle_outline
remove_circle_outline
remove_circle_outline
remove_circle_outline

Article Types

Countries / Regions

remove_circle_outline
remove_circle_outline
remove_circle_outline
remove_circle_outline
remove_circle_outline
remove_circle_outline

Search Results (1,212)

Search Parameters:
Keywords = tipping control

Order results
Result details
Results per page
Select all
Export citation of selected articles as:
39 pages, 6792 KB  
Review
Wnt Signaling Across Adult Skin Mini-Organs: Interfollicular Epidermis, Hair Follicle, and Nail—Implications for Disease and Regeneration
by Anna Pulawska-Czub, Ajay Jakhar, Konrad Łukaszyk and Krzysztof Kobielak
Int. J. Mol. Sci. 2026, 27(8), 3402; https://doi.org/10.3390/ijms27083402 - 10 Apr 2026
Abstract
Skin and its appendages form an integrated system of ectodermal mini-organs that rely on Wnt signaling for lifelong homeostasis and regeneration; yet, the pathway operates in a highly organ-specific manner in each compartment. In interfollicular epidermis, the Wnt activity is spatially graded, thus [...] Read more.
Skin and its appendages form an integrated system of ectodermal mini-organs that rely on Wnt signaling for lifelong homeostasis and regeneration; yet, the pathway operates in a highly organ-specific manner in each compartment. In interfollicular epidermis, the Wnt activity is spatially graded, thus maintaining the balance between basal progenitor proliferation and terminal differentiation. The hair follicle is governed by an intrinsic oscillator based on cross-regulation between Wnt and BMP signaling, providing a cell-autonomous layer of control over hair cycle dynamics. Finally, the nail organ is characterized by the spatial compartmentalization of Wnt activity, with a distal matrix activation zone supported by specialized mesenchymal niche cells that sustain continuous nail plate growth and coordinate the digit tip regeneration. Understanding these divergent regulatory architectures provides a conceptual framework for targeted regenerative strategies aimed at enhancing repair in skin and its appendages. Therefore, in this review, we synthesize recent molecular studies on Wnt signaling in the adult skin, hair follicles, and nail mini-organs, highlighting appendage-specific features that underlie their distinct regenerative capacities. We further discuss how dysregulated Wnt signaling contributes to skin, hair, and nail pathologies such as alopecia, chronic wounds, excessive scarring, skin cancer, and nail deformations, and summarize the emerging strategies that target Wnt pathway to therapeutically enhance hair regrowth, wound repair, cancer treatment, and digit tip regeneration. Full article
(This article belongs to the Special Issue Molecular Studies on Wnt Signaling)
16 pages, 6277 KB  
Article
Identification of a Glycosyltransferase-Encoding Gene (EuGT8) from Eucommia ulmoides That Catalyzes the Glycosylation of Pinoresinol to Pinoresinol Diglucoside
by Xian Gong and Lijun Qin
Life 2026, 16(4), 622; https://doi.org/10.3390/life16040622 - 8 Apr 2026
Abstract
Pinoresinol diglucoside (PDG), one of the major lignans isolated from E. ulmoides Oliver bark, has various pharmacological functions, including antihypertension and prevention of osteoporosis. However, the glycosyltransferase-encoding gene (GT) involved in regulating the glycosylation of pinoresinol to form PDG has not [...] Read more.
Pinoresinol diglucoside (PDG), one of the major lignans isolated from E. ulmoides Oliver bark, has various pharmacological functions, including antihypertension and prevention of osteoporosis. However, the glycosyltransferase-encoding gene (GT) involved in regulating the glycosylation of pinoresinol to form PDG has not been reported in E. ulmoides. In this study, we screened and cloned the EuGT8 gene from E. ulmoides based on our transcriptome data. The expression pattern of the EuGT8 gene exhibited a strong positive correlation with dynamic changes in the PDG contents in three different organs of E. ulmoides. The expression level of the EuGT8 gene and PDG content were significantly decreased in asODN-EuGT8-treated shoot tips in comparison with the control group. Prokaryotic expression of the EuGT8 gene revealed that the purified EuGT8 protein could catalyze the conversion of pinoresinol into PDG. In addition, we performed transcriptional and metabolomic analyses to compare the differences between transgenic Arabidopsis and WT plants. A total of 1799 DEGs and 294 DEMs were identified in transgenic and WT plants. KEGG enrichment analysis showed that the DEGs were mainly enriched in phenylpropanoid biosynthesis, secondary metabolite biosynthesis, and starch/sucrose metabolism pathways. The DEMs were mainly enriched in ABC transporters, aminoacyl-tRNA biosynthesis, biosynthesis of amino acids, phenylpropanoid biosynthesis, and flavone and flavonol biosynthesis pathways. Correlation analysis between DEGs and DEMs identified a total of 231 DEGs associated with 38 DEMs, which were mainly distributed in multiple metabolic pathways. This finding provides both theoretical insights and genetic resources for breeding high-PDG E. ulmoides varieties, facilitating marker-assisted selection (MAS) and promoting sustainable E. ulmoides production in Guizhou. Full article
(This article belongs to the Section Plant Science)
Show Figures

Figure 1

21 pages, 8107 KB  
Article
Multidisciplinary Analysis of Dripping and Leakage Problems in Kitchenware: Design, Material, and Ergonomic Approaches to the Teapot Effect
by Batuhan Göçen
Fluids 2026, 11(4), 95; https://doi.org/10.3390/fluids11040095 - 7 Apr 2026
Abstract
This study investigates the dripping and leakage problem in kitchenware known as the “teapot effect” through a multidisciplinary experimental approach encompassing fluid mechanics, material science, and ergonomic design. Unlike previous studies confined to idealized geometries and single-fluid analyses, this work systematically examines 32 [...] Read more.
This study investigates the dripping and leakage problem in kitchenware known as the “teapot effect” through a multidisciplinary experimental approach encompassing fluid mechanics, material science, and ergonomic design. Unlike previous studies confined to idealized geometries and single-fluid analyses, this work systematically examines 32 distinct spout geometries from commercially available teapots, coffee pots, and milk jugs under realistic operating conditions. Experiments were performed using three fluids with contrasting rheological properties: boiling black tea, cow’s milk, and Turkish coffee on a precision rotating platform operating at quasi-static (1°/s) to isolate surface tension, gravitational, and geometric effects from inertial forces. Three quantitative parameters were measured for each specimen: capillary dome angle, teapot effect angle range, and optimum pouring angle. Results demonstrate that spout tip geometry is the dominant controlling parameter. Thin-lipped elliptical cross-sections effectively suppressed dripping, whereas triangular and wide curved geometries produced the teapot effect across broad pouring angle ranges reaching up to 70°. A spout outlet extension length of 4–5 mm combined with a spout tip radius below 4 mm was found necessary and sufficient for clean flow separation. Furthermore, suspended particles and proteins in milk and Turkish coffee were shown to intensify the teapot effect by disrupting contact line dynamics at the spout tip. These findings provide quantitative design thresholds directly applicable to industrial kitchenware development. Full article
(This article belongs to the Special Issue Research on the Formation and Movement of Droplets)
Show Figures

Figure 1

18 pages, 9525 KB  
Article
Electrified Airpath and Fueling Synergies for Cleaner Transients in an OP2S Diesel Engine: An Experimental Study
by Ankur Bhatt, Aditya Datar, Brian Gainey and Benjamin Lawler
Machines 2026, 14(4), 401; https://doi.org/10.3390/machines14040401 - 7 Apr 2026
Viewed by 9
Abstract
Hybridization in vehicle powertrains extends beyond the aggregate system level and can target individual components to enhance engine performance. While prior studies have highlighted the performance benefits of electrified turbochargers, this work focuses on mitigating engine-out emissions for a medium- to heavy-duty diesel [...] Read more.
Hybridization in vehicle powertrains extends beyond the aggregate system level and can target individual components to enhance engine performance. While prior studies have highlighted the performance benefits of electrified turbochargers, this work focuses on mitigating engine-out emissions for a medium- to heavy-duty diesel engine with an electrified airpath. Unlike conventional engines and actuators, the alternative engine architecture with an electrified airpath provided superior airpath control. This is critical for fuel-led diesel engines, where the initial combustion cycles during the tip-in phase of a transient operate at a rich equivalence ratio. In this work, a 3.2 L two-cylinder opposed piston two-stroke (OP2S) engine equipped with an Electrically Assisted Turbocharger (EAT) and an electrically operated EGR pump was experimentally tested in a Hardware in the Loop (HIL) setup under transient conditions. Actuator positions were varied to identify strategies that mitigate soot and NOx without compromising transient response. The experiments are discussed case-wise, where the effects of each airpath actuator, including fuel rate shaping, are analyzed, showing to what extent each strategy mitigates emissions. At the end, an optimized case is presented to the readers for their perusal. The electrified airpath, along with fuel rate shaping, demonstrated cumulative soot reduction up to 92% and NOx emissions by 77% for a transient load step between 3 and 13 bar BMEP at a mid-engine speed of 1250 rpm. Full article
(This article belongs to the Section Turbomachinery)
Show Figures

Figure 1

14 pages, 7343 KB  
Article
Experimental Investigation of Shock Boundary/Layer Interaction on a Fan Profile Under Various Inlet Conditions
by Ahmed H. Hanfy, Piotr Kaczynski, Piotr Doerffer and Pawel Flaszynski
Int. J. Turbomach. Propuls. Power 2026, 11(2), 16; https://doi.org/10.3390/ijtpp11020016 - 3 Apr 2026
Viewed by 185
Abstract
Transonic compressors encounter significant challenges from shock formations due to high-speed supersonic blade tips, particularly at high altitudes where lower Reynolds numbers result in laminar boundary layer separation and increased mixing losses. Understanding shock wave–boundary layer interaction (SBLI) is essential for improving compressor [...] Read more.
Transonic compressors encounter significant challenges from shock formations due to high-speed supersonic blade tips, particularly at high altitudes where lower Reynolds numbers result in laminar boundary layer separation and increased mixing losses. Understanding shock wave–boundary layer interaction (SBLI) is essential for improving compressor performance. This study examines SBLI under varying Reynolds numbers, simulating higher altitude conditions in a transonic blow-down wind tunnel. Using an inlet valve setup to control inflow total pressure and Reynolds numbers, this study also reveals an increase in turbulence. The findings indicate that laminar-to-turbulent transition occurs upstream of the shock wave, resulting in interaction with a turbulent boundary layer, even at lower Reynolds numbers. Full article
Show Figures

Graphical abstract

20 pages, 8063 KB  
Article
Comparison of Buccal versus Palatal Mini-Screw Anchorage for Maxillary Posterior Intrusion with Clear Aligners: A Finite Element Analysis
by Mohamad Kheir Yassine and Müfide Dinçer
Appl. Sci. 2026, 16(7), 3528; https://doi.org/10.3390/app16073528 - 3 Apr 2026
Viewed by 217
Abstract
This Finite Element Analysis study evaluated the biomechanical responses associated with posterior tooth intrusion using clear aligners in conjunction with buccal and palatal mini-screw anchorage. Three-dimensional finite element models were reconstructed from cone beam computed tomography images obtained from patients without craniofacial anomalies. [...] Read more.
This Finite Element Analysis study evaluated the biomechanical responses associated with posterior tooth intrusion using clear aligners in conjunction with buccal and palatal mini-screw anchorage. Three-dimensional finite element models were reconstructed from cone beam computed tomography images obtained from patients without craniofacial anomalies. To assess the differential effects of buccal versus palatal attachment placement in combination with a mini-screw-supported closing coil spring, two configurations of the maxillary arch were created: Model A (right side) and Model B (left side). Biomechanical parameters—including stress distribution, patterns of tooth displacement, and anchorage stability—were systematically assessed using finite element analysis. Analysis of Model A revealed buccal crown inclination and moderate extrusion of the first premolar, whereas the first molar showed limited mesial displacement along with mild buccal tipping and extrusion. In contrast, Model B revealed palatal crown inclination of the first premolar, accompanied by buccal root torque and minor intrusion; the first molar demonstrated enhanced vertical control with palatal root torque. The incorporation of palatal mini-screw anchorage in Model A contributed to diminished stress levels and reduced tooth displacement, suggesting a tendency toward more favorable force distribution and anchorage stability under the simulated conditions. Conversely, Model B experienced increased mechanical loading and more pronounced displacement. Full article
(This article belongs to the Section Applied Dentistry and Oral Sciences)
Show Figures

Figure 1

34 pages, 7536 KB  
Article
Aerodynamic Performance Improvement of a Straight-Bladed Vertical Axis Wind Turbine Through a Modified NACA0012 Profile with Inclined Orifices
by Ioana-Octavia Bucur, Daniel-Eugeniu Crunțeanu and Mădălin-Constantin Dombrovschi
Inventions 2026, 11(2), 37; https://doi.org/10.3390/inventions11020037 - 3 Apr 2026
Viewed by 225
Abstract
Vertical axis wind turbines (VAWTs) are promising systems for urban wind energy applications because of their compact layout, omni-directional operation, and favorable integration potential. However, their broader deployment remains limited by poor self-starting capabilities and relatively low aerodynamic efficiency compared to horizontal axis [...] Read more.
Vertical axis wind turbines (VAWTs) are promising systems for urban wind energy applications because of their compact layout, omni-directional operation, and favorable integration potential. However, their broader deployment remains limited by poor self-starting capabilities and relatively low aerodynamic efficiency compared to horizontal axis wind turbines. In this study, a passive flow control concept for a straight-bladed VAWT is numerically investigated using a NACA0012 airfoil modified with 45° inclined perforations on the extrados. Four perforated configurations were generated and compared with the baseline profile through a two-stage computational approach. First, steady 2D computational fluid dynamics (CFD) simulations of the isolated airfoils were performed at a free stream velocity of 12 m/s over an angle of attack range of 0–180°. Subsequently, the most relevant aerodynamic trends were assessed at rotor level using transient 2D Moving Mesh simulations for a three-bladed wind turbine with tip speed ratios (TSRs) between 0.5 and 3.5. All perforated variants exhibited higher lift than the baseline airfoil, while the configuration with smaller, denser perforations distributed over the downstream two-thirds of the extrados provided the best overall aerodynamic performance. At TSR = 2.5, this geometry increased the mean moment coefficient from 0.044 to 0.0525 and the power coefficient from 0.109 to 0.131, corresponding to an increase in power output of approximately 20%. These results indicate that inclined extrados perforations constitute a promising passive strategy for improving the aerodynamic performance of small straight-bladed VAWTs, although further 3D and experimental validations are required. Full article
(This article belongs to the Special Issue Emerging Trends and Innovations in Renewable Energy)
Show Figures

Figure 1

14 pages, 2531 KB  
Article
Bridging Experimentation and Practice in Propagation and Ex Situ Conservation: Studies in Threatened Moss Drepanocladus sendtneri (Amblystegiaceae)
by Bojana Z. Jadranin, Marija V. Vesović, Djordje P. Božović, Nikolina A. Matić, Michal Goga, Milorad M. Vujičić, Beáta Papp, Aneta D. Sabovljević and Marko S. Sabovljević
J. Zool. Bot. Gard. 2026, 7(2), 18; https://doi.org/10.3390/jzbg7020018 - 3 Apr 2026
Viewed by 242
Abstract
The rare and threatened pleurocarpous semi-aquatic moss Drepanocladus sendtneri (Amblystegiaceae) was the focus of an integrative conservation approach aimed at improving knowledge of its biological and ecological characteristics and enhancing its survival prospects. The results provide insights into both the axenic and xenic [...] Read more.
The rare and threatened pleurocarpous semi-aquatic moss Drepanocladus sendtneri (Amblystegiaceae) was the focus of an integrative conservation approach aimed at improving knowledge of its biological and ecological characteristics and enhancing its survival prospects. The results provide insights into both the axenic and xenic propagation of this species, as well as its biomass production under ex situ conditions. The KNOP medium proved to be the most suitable for propagation, particularly when demeristemized shoot tips were cultured in an upright orientation. Exogenous application of IBA increased the production of new shoots and reduced the time required to obtain substantial biomass under axenic conditions. Following successful acclimatisation to controlled xenic laboratory conditions, the moss was able to fully develop and spread in experimental basins maintained under outdoor botanical garden conditions, with humidity carefully regulated during dry periods. Within one year, a small number of initial plantlets expanded to cover approximately 4 dm2, spreading efficiently over rainwater-soaked filter paper covered with an inert plastic mesh. These results provide practical guidance for the production and ex situ maintenance of D. sendtneri, thereby supporting the development and improvement of conservation action plans for this rare and threatened moss species. Full article
(This article belongs to the Special Issue Integrative Conservation of Cryptogams)
Show Figures

Figure 1

19 pages, 4170 KB  
Article
Biostimulant Applications Improve Crop Root Morphology in Agricultural Systems: A Global Meta-Analysis
by Yuheng Wang, Huaye Xiong, Lingxiang Zhou, Yucui Sun, Jiawei Yang, Xiaojun Shi, Yueqiang Zhang, Fusuo Zhang and Heinz Rennenberg
Agronomy 2026, 16(7), 743; https://doi.org/10.3390/agronomy16070743 - 31 Mar 2026
Viewed by 239
Abstract
Biostimulant applications may alleviate various stresses and improve the yield of crops, thus contributing to the promotion of crop growth and development in agricultural systems. Despite these potential benefits, the effects of biostimulants on root morphological traits remain poorly understood. In the present [...] Read more.
Biostimulant applications may alleviate various stresses and improve the yield of crops, thus contributing to the promotion of crop growth and development in agricultural systems. Despite these potential benefits, the effects of biostimulants on root morphological traits remain poorly understood. In the present study, a global meta-analysis of 111 peer-reviewed publications was conducted to quantify the effects of biostimulant applications on various root morphological traits and identify the determining factors. Compared to untreated controls, biostimulant applications significantly increased the primary root length by 14.7%, total root length by 17.7%, root biomass by 24.5%, root activity by 21.7%, root diameter by 4.0%, root-to-shoot ratio by 2.4%, root volume by 25.7%, root surface area by 15.6%, root tips by 15.4%, and root forks by 15.6%. The biostimulant type and crop species were identified as the main moderators of root morphological responses. Among various biostimulants, humic acid showed the most consistent and pronounced positive effects. Additionally, orchard and vegetable crops exhibited greater responsiveness than grain crops. These findings provide quantitative evidence that biostimulants promote root system development across diverse crop species. They also underscore the potential of biostimulants to enhance nutrient acquisition and support more sustainable agricultural production. Full article
(This article belongs to the Section Farming Sustainability)
Show Figures

Figure 1

11 pages, 2555 KB  
Article
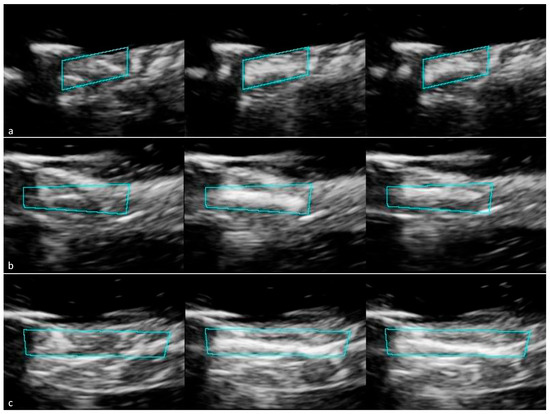
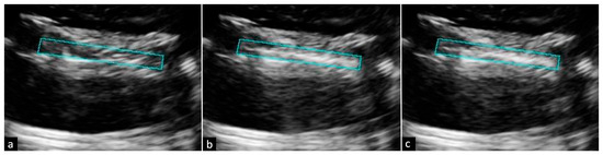
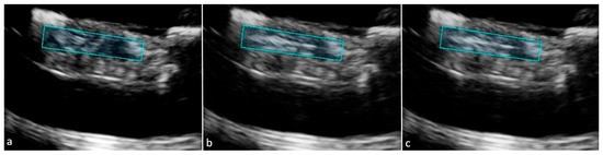
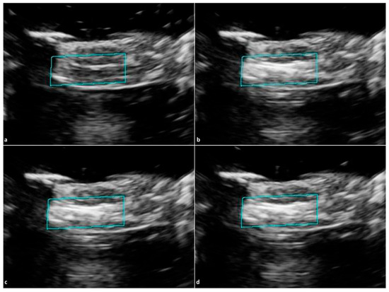
Optimizing Microbubble Reduction to Facilitate IVUS Guidance During Endovascular Radiofrequency Wire Procedures
by Curtis Plante, Andrew E. Warfield, Carlos Escobedo, Amer M. Johri, David S. Majdalany and Bill S. Majdalany
Tomography 2026, 12(4), 48; https://doi.org/10.3390/tomography12040048 - 31 Mar 2026
Viewed by 153
Abstract
Background/Objectives: Radiofrequency (RF) wire energy can be used for tissue ablation across many conditions. Adjusting RF generator parameters allows RF energy to puncture tissue with minimal adjacent damage. When RF energy is applied to tissue, however, microbubbles are produced, obstructing intravascular ultrasound (IVUS). [...] Read more.
Background/Objectives: Radiofrequency (RF) wire energy can be used for tissue ablation across many conditions. Adjusting RF generator parameters allows RF energy to puncture tissue with minimal adjacent damage. When RF energy is applied to tissue, however, microbubbles are produced, obstructing intravascular ultrasound (IVUS). Mitigation of RF-generated microbubbles has been studied for ablation but not for puncture. Methods: This paper describes an in vitro bench study using ex vivo bovine live tissue. A model was created with bovine liver tissue and an IVUS catheter submerged in a saline bath. Tissue was punctured with an RF guidewire to recreate microbubbles. Following the puncture, various methods were applied: altering the mechanical index of the IVUS, applying a VF10-5 Linear probe (Siemens), and applying a L12-3 Linear probe (Philips). Regions of interest (ROIs) were selected to track pixel brightness as a proxy for microbubbles. Results: The control increased ROI brightness by 1.5%. Altering the mechanical index of IVUS reduced ROI brightness by 1.2%. VF10-5 probe application increased ROI brightness by 1.2%. L12-3 probe application reduced ROI brightness by 33.0% (p = 0.046, n = 3, one-sample t-test). Brightness reduction was most pronounced at the site of initial RF wire puncture, where microbubbles accumulated. Tip visualization improved, allowing for more precise wire trajectory adjustments. Conclusions: External US with an L12-3 probe was able to dissipate microbubbles effectively to improve IVUS guidance following RF wire puncture in an in vitro exploratory bench model. Full article
Show Figures

Figure 1

29 pages, 9220 KB  
Article
Effect of Melamine on the Oxygen Evolution Reaction Performance of PGM-Free Catalysts Under Alkaline Conditions
by Jorge Teixeira, Filipa Franco, Svetlozar Velizarov and Adélio Mendes
Appl. Sci. 2026, 16(7), 3310; https://doi.org/10.3390/app16073310 - 29 Mar 2026
Viewed by 368
Abstract
The PGM-free Fe–Ni–Co trimetallic catalysts developed in this study demonstrated outstanding performance for the oxygen evolution reaction (OER), achieving overpotentials as low as 300 mV at 10 mA cm−2 in rotating disk electrode (RDE) measurements, a value competitive with the most efficient [...] Read more.
The PGM-free Fe–Ni–Co trimetallic catalysts developed in this study demonstrated outstanding performance for the oxygen evolution reaction (OER), achieving overpotentials as low as 300 mV at 10 mA cm−2 in rotating disk electrode (RDE) measurements, a value competitive with the most efficient non-noble electrocatalysts reported in the literature. This study validates the strong catalytic performance of the baseline trimetallic configuration and provides important insights into the relationships among synthesis, structure, and morphology that govern catalyst activity. In particular, the findings highlight that although organic additives can be promising modifiers, the interaction between precursors and transition metals must be carefully controlled to avoid active-site isolation when designing efficient catalysts for sustainable hydrogen production. Actually, to further enhance catalytic activity, the nitrogen-rich precursor melamine was introduced into the supported trimetallic catalyst and then carbonized. However, no improvement in OER performance was observed. During carbonization, melamine promotes the formation of tip-growth carbon nanotubes, which mechanically disrupt the catalyst structure and degrade the supported active phase. Full article
(This article belongs to the Section Chemical and Molecular Sciences)
Show Figures

Figure 1

18 pages, 3089 KB  
Article
Impact of Strut Geometry on the Aeroacoustic Performance of Firefighting EC Axial Fans
by Hao Zheng, Fei Wang, Peng Du, Feng Zhang, Ning Liu and Yimin Yin
Processes 2026, 14(7), 1104; https://doi.org/10.3390/pr14071104 - 29 Mar 2026
Viewed by 289
Abstract
In fire emergency ventilation systems, EC (Electronically Commutated) internal-rotor axial fans are critical devices, but their high-speed operation generates aerodynamic noise often exceeding 90 dB (A). While struts are core structural components regulating flow field stability, their specific geometric impact on trailing-edge vortex [...] Read more.
In fire emergency ventilation systems, EC (Electronically Commutated) internal-rotor axial fans are critical devices, but their high-speed operation generates aerodynamic noise often exceeding 90 dB (A). While struts are core structural components regulating flow field stability, their specific geometric impact on trailing-edge vortex shedding and noise generation mechanisms remains unclear. This study investigates three strut configurations: a hexagonal annular type, a hexagonal double-ring type, and a three-pronged type. A coupled numerical model was established using Large Eddy Simulation (LES) and the Ffowcs Williams and Hawkings (FW-H) acoustic analogy. The Q-criterion was employed to analyze vortical structures, with numerical predictions validated against experimental measurements in a semi-anechoic chamber. The results quantitatively demonstrate that optimizing the strut geometry significantly mitigates unsteady flow separation. The three-pronged strut (Model C) effectively dispersed high-velocity airflow, reducing the peak turbulent kinetic energy (TKE) at the inlet by 30% compared to the original design (Model a). Furthermore, Model C achieved a 6.7 dB reduction in the sound pressure level at the blade-passing frequency (BPF), alongside a 14.1% reduction in pressure pulsation amplitude near the blade tip. Structural optimization of struts enables synergistic control over turbulence distribution and pressure fluctuations. By disrupting the phase coherence of shed vortices, the optimized design fundamentally suppresses aerodynamic noise, advancing axial fan design toward precise quantitative aeroacoustic optimization. Full article
(This article belongs to the Special Issue Numerical Modeling and Optimization of Fluid Flow in Engines)
Show Figures

Figure 1

32 pages, 1792 KB  
Article
A Hybrid Systems Framework for Electric Vehicle Adoption: Microfoundations, Networks, and Filippov Dynamics
by Pascal Stiefenhofer and Jing Qian
Complexities 2026, 2(2), 8; https://doi.org/10.3390/complexities2020008 - 29 Mar 2026
Viewed by 182
Abstract
Electric vehicle(EV) diffusion exhibits nonlinear, path-dependent dynamics shaped by interacting economic, technological, and social constraints. This paper develops a unified hybrid systems framework that captures these complexities by integrating microfounded household choice, capacity-constrained firm behavior, local network spillovers, and multi-level policy intervention within [...] Read more.
Electric vehicle(EV) diffusion exhibits nonlinear, path-dependent dynamics shaped by interacting economic, technological, and social constraints. This paper develops a unified hybrid systems framework that captures these complexities by integrating microfounded household choice, capacity-constrained firm behavior, local network spillovers, and multi-level policy intervention within a Filippov differential-inclusion structure. Households face heterogeneous preferences, liquidity limits, and network-mediated moral and informational influences; firms invest irreversibly under learning-by-doing and profitability thresholds; and national and local governments implement distinct financial and infrastructure policies subject to budget constraints. The resulting aggregate adoption dynamics feature endogenous switching, sliding modes at economic bottlenecks, network-amplified tipping, and hysteresis arising from irreversible investment. We establish conditions for the existence of Filippov solutions, derive network-dependent tipping thresholds, characterize sliding regimes at capacity and liquidity constraints, and show how network structure magnifies hysteresis and shapes the effectiveness of local versus national policy. Optimal-control analysis further demonstrates that national subsidies follow bang–bang patterns and that network-targeted local interventions minimize the fiscal cost of achieving regional tipping. Beyond theoretical characterization, the framework is structurally calibrated to match the order-of-magnitude effects reported in leading empirical and simulation-based studies, including network diffusion models, agent-based simulations, bass-type specifications, and fuel-price shock analyses. The hybrid formulation reproduces short-run percentage-point subsidy effects, long-run forecast dispersion under alternative network assumptions, and policy-induced equilibrium shifts observed in the applied literature while providing a unified geometric interpretation of these heterogeneous results through explicit basin boundaries and regime switching. The framework provides a complex systems perspective on sustainable mobility transitions and clarifies why identical national policies can generate asynchronous regional outcomes. These results offer theoretical foundations for designing coordinated, cost-effective, and network-aware EV transition strategies. Full article
Show Figures

Figure A1

18 pages, 4853 KB  
Article
Mechanical Properties and Parameter Optimization for the “Suitable Harvest” Stage of Vegetable Sweet Potato Shoot Tips in Mechanized Harvesting
by Haiyang Shen, Oumeng Qiao, Gongpu Wang, Guangyu Xue, Wenqin Ding, Lianglong Hu and Guomin Zhou
Plants 2026, 15(7), 1021; https://doi.org/10.3390/plants15071021 - 26 Mar 2026
Viewed by 322
Abstract
Vegetable sweet potato shoot tips are harvested repeatedly for fresh markets, but harvest timing and cut length are still determined largely by experience, limiting their translation into mechanized design parameters and control thresholds. We conducted a two-factor shear-mechanics experiment using three cultivars (‘Fu [...] Read more.
Vegetable sweet potato shoot tips are harvested repeatedly for fresh markets, but harvest timing and cut length are still determined largely by experience, limiting their translation into mechanized design parameters and control thresholds. We conducted a two-factor shear-mechanics experiment using three cultivars (‘Fu 23’, ‘Fu 18’, and ‘HD-V4’) and five shoot-tip length levels (10–30 cm), while also measuring stem diameter and moisture content. Because shear tests were performed on short stem segments sampled from a fixed internodal position relative to the apex, the length factor is interpreted mainly as a field-operable harvest criterion and only secondarily as a variable partly associated with tissue position. Moisture content was uniformly high and did not differ among cultivars (p > 0.05). In a pooled two-way ANOVA, length significantly affected maximum shear force (p < 0.01), cultivar was also significant (p < 0.05), and the interaction was not significant (p > 0.05). After including stem diameter as a covariate, both diameter and length remained significant, whereas cultivar became non-significant, indicating that stem diameter explains much of the apparent cultivar difference in absolute load. The reported stress is nominal shear stress. Laboratory-based 95th percentile design loads with γ = 1.3 provide conservative engineering thresholds for preliminary design and harvest-window back-calculation. Full article
Show Figures

Figure 1

31 pages, 192143 KB  
Article
A Deeper Insight into Dynamic Stall of Vertical Axis Wind Turbines: Parametric Study of Symmetric Airfoils
by Rasoul Tirandaz, Abdolrahim Rezaeiha and Daniel Micallef
Energies 2026, 19(7), 1615; https://doi.org/10.3390/en19071615 - 25 Mar 2026
Viewed by 313
Abstract
Vertical axis wind turbines (VAWTs) suffer from dynamic stall (DS) at low tip-speed ratios (λ), where cyclic variations in angle of attack (α) dominate the blade aerodynamics, severely undermining aerodynamic performance and power extraction. The coupled influence of airfoil [...] Read more.
Vertical axis wind turbines (VAWTs) suffer from dynamic stall (DS) at low tip-speed ratios (λ), where cyclic variations in angle of attack (α) dominate the blade aerodynamics, severely undermining aerodynamic performance and power extraction. The coupled influence of airfoil parameters on DS remains unexplored. To address this gap, a fully coupled parametric study using 126 incompressible URANS simulations is conducted, examining three geometric parameters of symmetric airfoils: maximum thickness (t/c), chordwise position of maximum thickness (xt/c), and leading-edge (LE) radius index (I). The results show that coupled geometric modification fundamentally alters the stall mechanism, shifting it from abrupt, LE-driven separation toward a gradual, trailing-edge (TE)-controlled process as airfoils transition from thin, forward-xt/c profiles to thicker configurations with aft xt/c and reduced I. This transition enhances boundary-layer (BL) stability, delays DS onset, weakens dynamic stall vortex (DSV) formation, and mitigates unsteady aerodynamic loading. Within the investigated design space, the best-performing configuration (NACA0024–4.5/3.5) achieves a 73% increase in turbine power coefficient (CP) relative to the baseline airfoil (NACA0018–6.0/3.0), mainly through passive control of BL separation and vortex development. These findings highlight the limitations of single-parameter optimization and establish a physics-based, coupled-design framework for mitigating DS-induced performance losses in VAWTs. Full article
(This article belongs to the Section A3: Wind, Wave and Tidal Energy)
Show Figures

Figure 1

Back to TopTop