Sign in to use this feature.

Years

Between: -

Subjects

remove_circle_outline
remove_circle_outline
remove_circle_outline
remove_circle_outline
remove_circle_outline
remove_circle_outline
remove_circle_outline

Journals

remove_circle_outline
remove_circle_outline
remove_circle_outline
remove_circle_outline
remove_circle_outline
remove_circle_outline
remove_circle_outline
remove_circle_outline

Article Types

Countries / Regions

remove_circle_outline
remove_circle_outline
remove_circle_outline
remove_circle_outline
remove_circle_outline
remove_circle_outline

Search Results (588)

Search Parameters:
Keywords = stromal component

Order results
Result details
Results per page
Select all
Export citation of selected articles as:
5 pages, 6473 KB  
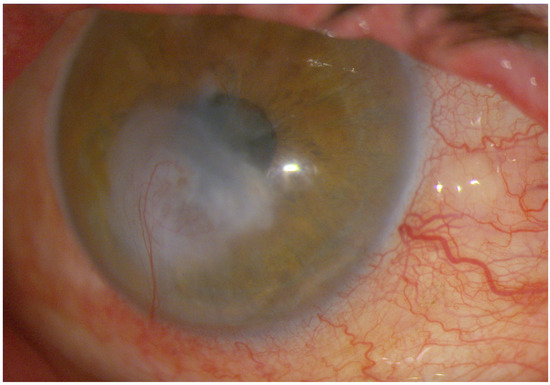
Interesting Images
Multimodal Anterior Segment Imaging of Severe Mixed Exposure-Related Neurotrophic Keratopathy with Marked Corneal Thinning in Lamellar Ichthyosis
by Wojciech Luboń, Małgorzata Luboń and Mariola Dorecka
Diagnostics 2026, 16(8), 1209; https://doi.org/10.3390/diagnostics16081209 (registering DOI) - 17 Apr 2026
Abstract
Lamellar ichthyosis is a rare congenital disorder of keratinization frequently associated with ocular complications, most commonly cicatricial ectropion and exposure keratopathy. We present a case of severe mixed exposure-related and neurotrophic keratopathy with marked corneal thinning in a 61-year-old man with genetically confirmed [...] Read more.
Lamellar ichthyosis is a rare congenital disorder of keratinization frequently associated with ocular complications, most commonly cicatricial ectropion and exposure keratopathy. We present a case of severe mixed exposure-related and neurotrophic keratopathy with marked corneal thinning in a 61-year-old man with genetically confirmed lamellar ichthyosis. At presentation, the best-corrected visual acuity (BCVA) in the right eye was limited to hand motion (logMAR 2.3). Slit-lamp examination revealed a large central to inferocentral corneal ulcer measuring approximately 3 × 4 mm with severe stromal thinning in the setting of marked lower eyelid ectropion, incomplete eyelid closure, and chronic ocular surface exposure, while anterior segment optical coherence tomography (AS-OCT) demonstrated a minimal corneal thickness of approximately 165 µm. Microbiological swabs obtained from the conjunctival sac were negative, and no purulent discharge, hypopyon, or anterior chamber inflammatory reaction was present, making active infectious keratitis unlikely. Corneal sensitivity measured with Cochet–Bonnet esthesiometry at presentation, centrally and in all four peripheral quadrants of both eyes, was markedly reduced, more severely in the affected right eye, supporting the presence of a severe neurotrophic component contributing to impaired corneal healing. Intensive conservative therapy including preservative-free lubricants, dexpanthenol gel, autologous serum eye drops, topical insulin, prophylactic antibiotics, and systemic doxycycline was initiated. Serial AS-OCT imaging demonstrated progressive structural recovery, with corneal thickness increasing to 438 µm after one month of treatment and complete corneal epithelialization. The BCVA improved to 0.2 Snellen (0.7 logMAR). This case highlights the diagnostic value of multimodal anterior segment imaging in monitoring severe mixed keratopathy with advanced corneal thinning and demonstrates that intensive conservative therapy may stabilize the ocular surface and prevent corneal perforation in patients with lamellar ichthyosis. Full article
Show Figures

Figure 1

14 pages, 3106 KB  
Article
Identification of Misplaced Endometrial Glands and Stroma in the Myometrium of Foetal Uteri Evocative of Developmental Adenomyosis
by Jean Gogusev, Yves Lepelletier, Nicolas Lopez, Patrick Barbet and Pierre Validire
Int. J. Mol. Sci. 2026, 27(8), 3595; https://doi.org/10.3390/ijms27083595 - 17 Apr 2026
Abstract
Adenomyosis is a benign gynaecological disorder in which endometrial glands and stroma enter the uterine myometrium with varying degrees of spreading. To analyse the presence of developmentally displaced endometrial glands and stroma in the foetal myometrium, a retrospective cohort of 420 foetal uteri, [...] Read more.
Adenomyosis is a benign gynaecological disorder in which endometrial glands and stroma enter the uterine myometrium with varying degrees of spreading. To analyse the presence of developmentally displaced endometrial glands and stroma in the foetal myometrium, a retrospective cohort of 420 foetal uteri, including one monozygotic twin pair, was histopathologically evaluated. The gestational age ranged between 18 and 37 weeks; the clinical characteristics included various foetal malformations with a predominantly normal karyotype, except in one case with trisomy 18. Ectopic endometrial tissue enclosed in the myometrium was discovered in twelve individual foetuses from the cohort (12/420). The investigation of the histogenetic attributes of the misplaced endometrial tissue in both monozygotic twins’ (MZ) foetal uteri revealed isolated glands and thin channels containing cords of endometrial-type glands penetrating the myometrium. Through immunohistochemistry, low levels of oestrogen receptors (ERs) were detected, whereas a moderate level of progesterone receptor (PR) expression was observed in the ectopic glandular and stromal cell nuclei in all cases. Additionally, the surrounding periglandular component consistently expressed the vimentin and CD10 stromal cell markers, while the myometrial smooth muscle cells revealed the strong expression of both alpha-Smooth Muscle Actin (α-SMA) and desmin marker proteins. Full article
(This article belongs to the Section Molecular Pathology, Diagnostics, and Therapeutics)
Show Figures

Figure 1

19 pages, 829 KB  
Review
Construction Strategies and Advances in Bone Marrow Microphysiological Systems
by Tian Lin, Haodong Zhong, Qianyi Niu, Ruiqiu Zhang, Manman Zhao and Xiaobing Zhou
Int. J. Mol. Sci. 2026, 27(8), 3586; https://doi.org/10.3390/ijms27083586 - 17 Apr 2026
Abstract
Bone marrow(BM) is the primary site of hematopoiesis, supporting the self-renewal and differentiation of hematopoietic stem cells (HSCs). Its function depends on a highly complex microenvironment composed of stromal cells, vascular networks, extracellular matrix components, and dynamic biophysical signals. Traditional two-dimensional culture systems [...] Read more.
Bone marrow(BM) is the primary site of hematopoiesis, supporting the self-renewal and differentiation of hematopoietic stem cells (HSCs). Its function depends on a highly complex microenvironment composed of stromal cells, vascular networks, extracellular matrix components, and dynamic biophysical signals. Traditional two-dimensional culture systems and animal models fail to adequately recapitulate the spatial architecture and dynamic regulatory processes of the human bone marrow niche, thereby limiting in-depth investigations into hematopoietic regulatory mechanisms, disease pathogenesis, and drug-induced bone marrow toxicity. In recent years, advances in microphysiological systems (MPS) have provided novel engineering approaches for the in vitro reconstruction of the bone marrow microenvironment. This review systematically summarizes current construction strategies for bone marrow MPS, including three-dimensional self-organized bone marrow organoids and microfluidic bone marrow-on-a-chip platforms. Particular attention is given to the roles of key cellular components, biomaterial scaffolds, vascularized architectures, and dynamic perfusion systems in biomimetic bone marrow engineering. In addition, we discuss strategies for constructing more complex models, such as vascular niches, vascularized bone tissue constructs, and bone metastasis models. Bone marrow MPS more faithfully recapitulate the hematopoietic microenvironment and provide a physiologically relevant in vitro platform for hematopoietic research, disease modeling, and drug evaluation, thereby supporting future advances in precision and regenerative medicine. Full article
(This article belongs to the Section Molecular Biology)
Show Figures

Figure 1

7 pages, 2549 KB  
Interesting Images
Anterior Segment OCT in Fulminant Pseudomonas aeruginosa Corneal Ulcer with Stromal Melting Requiring Emergency Penetrating Keratoplasty
by Wojciech Luboń, Monika Sarnat-Kucharczyk and Mariola Dorecka
Diagnostics 2026, 16(8), 1189; https://doi.org/10.3390/diagnostics16081189 - 16 Apr 2026
Abstract
Rapidly progressive infectious keratitis may involve the anterior uveal tract and lead to anterior segment inflammation, resulting in severe structural damage of the cornea and potentially causing corneal perforation or endophthalmitis if not promptly treated. We report the case of a 63-year-old male [...] Read more.
Rapidly progressive infectious keratitis may involve the anterior uveal tract and lead to anterior segment inflammation, resulting in severe structural damage of the cornea and potentially causing corneal perforation or endophthalmitis if not promptly treated. We report the case of a 63-year-old male admitted to the Emergency Ophthalmology Department of the University Clinical Center in Katowice, Poland, with a rapidly progressive corneal ulcer of the left eye that had not responded to two weeks of outpatient topical antibiotic therapy. The condition developed after ocular trauma sustained while chopping wood. At presentation, visual acuity was limited to light perception with preserved projection. Multimodal imaging, including slit-lamp examination, anterior segment optical coherence tomography (AS-OCT), and in vivo confocal microscopy, revealed extensive corneal ulceration with severe stromal destruction, progressive corneal melting, and marked anterior segment inflammation, with an imminent risk of perforation. Microbiological cultures identified Pseudomonas aeruginosa. Despite intensive empiric topical antimicrobial therapy targeting both bacterial infection and a possible fungal component related to trauma with organic material, rapid clinical deterioration necessitated emergency therapeutic penetrating keratoplasty (PK). The procedure resulted in rapid resolution of inflammation and improvement in visual acuity, with best-corrected visual acuity (BCVA) reaching 0.3 logMAR during follow-up. At the three-month follow-up, the corneal graft remained clear with stable visual acuity and no recurrence of infection. The patient remains under regular long-term follow-up, with ongoing monitoring of graft clarity, intraocular pressure (IOP), and visual function. This case differs from routine presentations of infectious keratitis by demonstrating exceptionally rapid stromal melting despite promptly initiated empiric topical therapy. Multimodal imaging, particularly AS-OCT provided clinically meaningful information by revealing structural instability and an imminent risk of perforation not fully appreciable on slit-lamp examination, thereby supporting timely urgent keratoplasty. These findings highlight the practical diagnostic value of imaging-based assessment in advanced infectious keratitis and underscore its role in guiding surgical decision-making in eyes at high risk of corneal perforation. Full article
(This article belongs to the Special Issue Diagnostic Imaging in Ocular Surface)
Show Figures

Figure 1

36 pages, 1220 KB  
Review
Uncovering the Intricate and Heterogeneous Cellular Microenvironment of Cutaneous Melanoma
by Dana Antonia Țăpoi, Ioana Maria Lambrescu, Catalin Gabriel Manole, Gisela Gaina and Laura Cristina Ceafalan
Medicina 2026, 62(4), 739; https://doi.org/10.3390/medicina62040739 - 13 Apr 2026
Viewed by 409
Abstract
Background and Objectives: Cutaneous melanoma (CM) is one of the most aggressive skin malignancies due to its rapid progression and high therapeutic resistance. Growing evidence demonstrates that the tumor microenvironment (TME)—comprising diverse immune, stromal, vascular, and epidermal cell populations alongside various cytokines [...] Read more.
Background and Objectives: Cutaneous melanoma (CM) is one of the most aggressive skin malignancies due to its rapid progression and high therapeutic resistance. Growing evidence demonstrates that the tumor microenvironment (TME)—comprising diverse immune, stromal, vascular, and epidermal cell populations alongside various cytokines and growth factors, as well as extracellular matrix (ECM) components—plays a crucial role in tumor heterogeneity, metastatic potential, and response to therapy. This review aims to synthesise current knowledge on the cellular and non-cellular constituents of the CM microenvironment and clarify their contributions to tumor progression, immune evasion, and treatment resistance. Materials and Methods: We conducted a narrative review of recent experimental, clinical, and translational studies investigating melanoma–microenvironment interactions, integrating evidence from in vitro, in vivo, and human tissue analyses. Results: Melanoma exhibits marked intra-tumoral heterogeneity driven by genetic, epigenetic, and microenvironmental influences. Cancer-associated fibroblasts, adipocytes, endothelial cells, and keratinocytes are reprogrammed by melanoma cells to promote invasion, angiogenesis, and metastasis. Immune subsets play divergent roles: neutrophils, M2 macrophages, myeloid-derived suppressor cells, and tolerogenic dendritic cells foster immune suppression, while lymphocytes—particularly CD8+ T cells, TFH cells, and B cells —are associated with improved outcomes but often become dysfunctional. ECM remodeling, including collagen deposition, integrin signaling, and increased matrix stiffness, actively remodels the tissue to support tumor growth and immune evasion. Hypoxia-inducible factor (HIF)-mediated signaling drives cell dedifferentiation, angiogenesis, and metabolic changes that contribute to treatment resistance. Consequently, emerging therapeutic strategies are moving beyond targeting tumor cells alone to focus on modulating TME components, counteracting immunosuppression, hypoxia, metabolic reprogramming, and extracellular vesicle signaling. Conclusions: The TME profoundly modulates tumor behavior and therapeutic response. A deeper understanding of the reciprocal interactions between melanoma cells and their microenvironmental components may enable the development of more effective strategies for early detection, prognosis, and personalized therapies. Full article
(This article belongs to the Special Issue Cutaneous Melanoma: Updating from Pathogenesis to Therapy)
Show Figures

Figure 1

26 pages, 3242 KB  
Article
The Correlation Between PD-L1 Expression in Metaplastic Breast Cancer and Clinical-Pathological Features and Prognosis
by Tugba Toyran, Ertuğrul Bayram, Yasemin Aydınalp Camadan, Berksoy Sahin, Kubilay Dalcı, Yusuf Kemal Arslan and Melek Ergin
Medicina 2026, 62(4), 726; https://doi.org/10.3390/medicina62040726 - 10 Apr 2026
Viewed by 217
Abstract
Background and Objectives: Metaplastic breast carcinoma (MBC) is a rare, aggressive malignancy that is often resistant to conventional chemotherapy and characterized by a triple-negative phenotype. While immune checkpoint inhibition shows promise, the prognostic significance and distribution of programmed death-ligand 1 (PD-L1) expression [...] Read more.
Background and Objectives: Metaplastic breast carcinoma (MBC) is a rare, aggressive malignancy that is often resistant to conventional chemotherapy and characterized by a triple-negative phenotype. While immune checkpoint inhibition shows promise, the prognostic significance and distribution of programmed death-ligand 1 (PD-L1) expression within the heterogeneous architecture of MBC remain poorly understood. This study aimed to evaluate PD-L1 expression and the density of tumor-infiltrating lymphocytes (TILs) to clarify their roles in patient stratification and overall survival (OS). Materials and Methods: We retrospectively analyzed 48 MBC cases diagnosed between 2010 and 2025. PD-L1 expression was quantified using the Combined Positive Score (CPS) with the 22C3 antibody clone across diverse histological components. The density of stromal TIL density was assessed following internationally standardized guidelines. Clinical outcomes and clinicopathological parameters, including metastasis, lymphovascular invasion (LVI), and histological subtype, were correlated with biomarker status using Kaplan–Meier survival analysis and Cox proportional hazards regression models. Results: PD-L1 positivity (CPS ≥1) was identified in 72.9% of cases, one of the highest rates documented in literature. Notably, an inverse relationship was observed with PD-L1-negative tumors, which exhibited significantly higher rates of distant metastasis (46.2% vs. 17.1%; p = 0.039). Multivariate analysis confirmed that low density of TILs (HR = 9.66; p = 0.016), metastasis (HR = 4.40; p = 0.023), and the presence of LVI (HR = 3.84; p = 0.047) were strong independent predictors of mortality. While PD-L1 status alone did not directly dictate overall survival, mean overall survival was markedly reduced in the low TILs cohort (32.2 months) compared to the high TILs group (114.2 months). Conclusions: The high prevalence of PD-L1 expression supports routine screening for immunotherapy eligibility in MBC. Our findings suggest that PD-L1-negative cases represent a high-risk biological subset driven by alternative immune evasion mechanisms. Integrating TIL density with conventional pathological parameters provides a more robust prognostic framework, enabling personalized therapeutic strategies for this challenging malignancy. Full article
(This article belongs to the Collection Frontiers in Breast Cancer Diagnosis and Treatment)
Show Figures

Graphical abstract

23 pages, 8306 KB  
Article
Downregulation of the Transglutaminase 2–NF-κB Inflammatory Axis by a Fusion Protein of Cementoin and Secretory Leukocyte Protease Inhibitor Reduces Corneal Angiogenesis
by Juan Pablo Salica, María Constanza Potilinski, Gustavo Ortiz, Paulo C. Maffia, Diego Guerrieri, Eduardo Chuluyan and Juan Eduardo Gallo
Int. J. Mol. Sci. 2026, 27(7), 3247; https://doi.org/10.3390/ijms27073247 - 2 Apr 2026
Viewed by 634
Abstract
Corneal alkali burns represent one of the most severe forms of ocular surface injury and frequently result in persistent inflammation, corneal neovascularization, stromal remodeling, and permanent visual impairment. Current therapeutic approaches incompletely control the inflammatory mechanisms that sustain pathological angiogenesis and tissue disorganization. [...] Read more.
Corneal alkali burns represent one of the most severe forms of ocular surface injury and frequently result in persistent inflammation, corneal neovascularization, stromal remodeling, and permanent visual impairment. Current therapeutic approaches incompletely control the inflammatory mechanisms that sustain pathological angiogenesis and tissue disorganization. In this study, we evaluated the effects of a transglutaminase-binding fusion protein (FP) in a rat model of alkali-induced corneal injury. Following standardized alkali burns, animals were treated topically with FP, secretory leukocyte protease inhibitor (SLPI), or Buffer. Corneal epithelial healing, opacity, and neovascularization were assessed clinically and by digital image-based quantification, while histological and immunofluorescence analyses were used to evaluate stromal organization and vascular invasion. Molecular mechanisms were investigated by RT-qPCR and Western blot analysis of key inflammatory, angiogenic, and signaling mediators. FP treatment significantly accelerated corneal re-epithelialization, reduced corneal opacity, and markedly attenuated corneal neovascularization compared to SLPI and Buffer controls. These effects were associated with coordinated downregulation of pro-inflammatory cytokines and angiogenic mediators, including TNF-α, IL-17, VEGF, and cPLA2. Notably, FP suppressed transglutaminase 2 expression and induced early and sustained downregulation of NF-κB pathway components, identifying modulation of an upstream inflammatory pathway central to corneal angiogenesis and stromal remodeling. Collectively, these findings demonstrate that FP effectively limits inflammation-driven corneal neovascularization and tissue remodeling following alkali injury, supporting its potential as a disease-modifying therapeutic strategy for inflammatory ocular surface disorders. Full article
(This article belongs to the Special Issue Eye Diseases: From Pathophysiology to Novel Therapeutic Approaches)
Show Figures

Figure 1

28 pages, 9466 KB  
Review
The Potential Role of Tumor Microorganisms in Remodeling Tumor Biomechanical Signals and Application Strategies in Tumor Therapy
by Xiang Li, Jing Chang, Qingxin Xia, Jinxiao Yan, He Zhang and Hui Yang
Microorganisms 2026, 14(4), 807; https://doi.org/10.3390/microorganisms14040807 - 1 Apr 2026
Viewed by 507
Abstract
The tumor microenvironment (TME) is a highly dynamic and heterogeneous system composed of tumor cells, stromal cells and non-cellular components that collectively govern tumor initiation, progression, and metastasis. Beyond host-derived components, accumulating evidence has established that microorganisms are integral constituents of the TME. [...] Read more.
The tumor microenvironment (TME) is a highly dynamic and heterogeneous system composed of tumor cells, stromal cells and non-cellular components that collectively govern tumor initiation, progression, and metastasis. Beyond host-derived components, accumulating evidence has established that microorganisms are integral constituents of the TME. These tumor-associated microbes not only affect tumor cells directly but also reshape the TME. Importantly, microbial-driven remodeling of the TME is accompanied by changes in its biomechanical properties. These alterations introduce a biophysical dimension of the TME that operates alongside biochemical signaling. Studies have shown that certain microorganisms reshape mechanotransduction pathways within tumor cells. Such biomechanical alterations enhance tumor cell adaptability to shear stress, promote survival in circulation, and facilitate invasion and colonization at distant sites. Although direct evidence linking microbes to specific biomechanical changes in tumors remains limited, these preliminary insights point to a largely unexplored yet highly promising frontier. This review explores the physical properties of the TME and delineates the association between microorganisms and the dynamics of these physical signals. It then examines strategies for leveraging microorganisms in tumor therapy. Understanding these interactions may reveal novel therapeutic targets to harness microbial influences and inhibit tumor progression. Full article
(This article belongs to the Special Issue Host–Microbiome Cross-Talk in Cancer Development and Progression)
Show Figures

Figure 1

26 pages, 9587 KB  
Article
Dermal Fibroblasts Modulate Migration and Phenotype of Infiltrating Monocytes in Skin-Derived Extracellular Matrix Hydrogels
by Xue Zhang, Meng Zhang, Linda A. Brouwer and Martin C. Harmsen
Gels 2026, 12(4), 269; https://doi.org/10.3390/gels12040269 - 24 Mar 2026
Viewed by 279
Abstract
Modeling immune cell recruitment within a wound-relevant microenvironment remains challenging. Here, we developed a novel skin-derived extracellular matrix (ECM) hydrogel model to study monocyte (THP-1) entry and phenotypic changes within a dermal fibroblast-populated (NHDF) matrix. The main novelty of this study is that [...] Read more.
Modeling immune cell recruitment within a wound-relevant microenvironment remains challenging. Here, we developed a novel skin-derived extracellular matrix (ECM) hydrogel model to study monocyte (THP-1) entry and phenotypic changes within a dermal fibroblast-populated (NHDF) matrix. The main novelty of this study is that it compares the effects of fibroblast-derived soluble signals and active monocyte infiltration in a 3D biomimetic model. Signaling by fibroblast-secreted soluble factors enhanced a pro-angiogenic secretome (e.g., >3-fold upregulation of VEGFA at day 1) and promoted endothelial tube formation (increasing network junctions to 1.16 ± 0.16 vs. 0.93 ± 0.23 in monoculture). In contrast, this paracrine signaling did not induce the matrix-driven pro-fibrotic response in hydrogels. Crucially, physical immune infiltration restricted monocyte penetration (mean depth of 8.92 ± 2.27 μm vs. 121.1 ± 15.9 μm in monoculture at day 5), reduced hydrogel-induced myofibroblast activation (decreasing α-SMA+ cells from 79.1% to 54.3% upon initial contact), and was associated with slower collagen loss during the early phase. (retaining a high-density collagen ratio of 3.46 ± 0.33 vs. 2.02 ± 0.29 in monoculture at day 1). These observations were accompanied by a shift toward a matrix-stabilizing profile, including increased TIMP expression and reduced pro-fibrotic markers. (ACTA2 and COL1A1). By including active immune infiltration (which was absent in previous tSVF models), we capture the transition from inflammation to the proliferation stage. Although the later stages of extensive ECM remodeling appear suppressed here, they may occur as repair progresses. Overall, our findings highlight that the immune cell is a key regulatory component for coordinating matrix preservation and vascular support. Importantly, this model replicates the early phases of wound healing, a stage where the monocyte–fibroblast secretome supports endothelial network formation. We established this innovative 3D ECM hydrogel system as a practical and physiologically relevant platform to investigate immune–matrix–stromal crosstalk. Full article
(This article belongs to the Special Issue Hydrogels for Tissue Repair: Innovations and Applications)
Show Figures

Figure 1

13 pages, 500 KB  
Hypothesis
The Osteoimmune Axis: Immune–Mechanical Crosstalk in Periodontal Bone Remodeling
by Anna Ewa Kuc, Grzegorz Hajduk, Paulina Kuc, Joanna Lis, Beata Kawala and Michał Sarul
Biomolecules 2026, 16(3), 479; https://doi.org/10.3390/biom16030479 - 23 Mar 2026
Viewed by 374
Abstract
Background: Orthodontic tooth movement is traditionally explained through mechanical deformation of the periodontal ligament (PDL); however, increasing evidence indicates that immune mechanisms critically shape bone remodeling outcomes. Mechanical stimuli influence immune cell recruitment, cytokine release, and phenotypic polarization, but these components are rarely [...] Read more.
Background: Orthodontic tooth movement is traditionally explained through mechanical deformation of the periodontal ligament (PDL); however, increasing evidence indicates that immune mechanisms critically shape bone remodeling outcomes. Mechanical stimuli influence immune cell recruitment, cytokine release, and phenotypic polarization, but these components are rarely integrated into a unified framework. Conceptual framework: We propose the Osteoimmune Axis Model, a conceptual framework describing how mechanical loading may bias immune polarity and thereby gate periodontal remodeling. Compressive loading appears to favor an M1 macrophage/Th17-dominant program associated with pro-inflammatory cytokines and enhanced RANKL-mediated osteoclastogenesis. In contrast, tensile or physiological strains may favor M2 macrophages and regulatory T cells (Treg), supporting IL-10, TGF-β, angiogenesis, extracellular-matrix repair, and osteoblastic activity. Stromal cells are proposed to act as mechanosensors and immune amplifiers that shape cytokine gradients and feedback loops. Predictions: The model predicts that identical forces may produce divergent outcomes depending on immune baseline; load duration may be more destructive than peak magnitude; tensile strain may stabilize M2/Treg pathways; thin periodontal phenotypes may shift toward the catabolic pole at lower mechanical loads; ROS may amplify immune-mediated bone loss; and immunomodulation may raise the threshold for pathological remodeling. Conclusion: The Osteoimmune Axis integrates mechanobiology and immunology into a testable framework for explaining variability in orthodontic periodontal remodeling and for generating hypothesis-driven, immune-aware risk assessment. Full article
Show Figures

Figure 1

38 pages, 20584 KB  
Article
7-Ketocholesterol Links Sterol Homeostasis to Hedgehog Signaling and Stress–Survival Responses in MSCs from Patients with Acute Myeloid Leukemia
by Cadiele Oliana Reichert, Débora Levy, Fábio Alessandro de Freitas, Juliana Sampaio Silva, Priscila de Lima Barros, Jéssica Liliane Paz, João Paulo Silva Nunes, Edécio Cunha-Neto, Jorge Kalil, Pedro Nogueira Giglio, Marco Kawamura Demange, Hebert Fabricio Culler, Luís Alberto de Pádua Covas Lage, Alessandro Rodrigues, Juliana Pereira and Sérgio Paulo Bydlowski
Int. J. Mol. Sci. 2026, 27(6), 2842; https://doi.org/10.3390/ijms27062842 - 20 Mar 2026
Viewed by 420
Abstract
7-ketocholesterol (7-KC) is a bioactive oxysterol generated under oxidative stress and may contribute to bone marrow niche reprogramming in acute myeloid leukemia (AML), thereby promoting stress tolerance and therapeutic resistance Bone marrow mesenchymal stromal cells (MSCs) from healthy donors and AML patients were [...] Read more.
7-ketocholesterol (7-KC) is a bioactive oxysterol generated under oxidative stress and may contribute to bone marrow niche reprogramming in acute myeloid leukemia (AML), thereby promoting stress tolerance and therapeutic resistance Bone marrow mesenchymal stromal cells (MSCs) from healthy donors and AML patients were exposed to subtoxic 7-KC concentrations for 24 h. We evaluated the ABC transporters involved in lipid transport, multidrug resistance and membrane microdomain remodeling; Hedgehog pathway proteins; stress–survival signaling; redox balance by glutathione measurements, and mitochondrial function and dynamics, including membrane potential and gene expression of mitochondrial fission and fusion regulators. Results were integrated using principal component analysis (PCA), heatmaps, and correlation-based networks. Multivariate analyses revealed an integrated, lineage-dependent response. Healthy donor MSCs showed greater plasticity of the efflux and microdomain axis and higher oxidative and mitochondrial vulnerability at high 7-KC doses. AML-MSCs exhibited a basal preconditioned state phenotype and preferentially routed the response toward Hedgehog and stress–survival modules, accompanied by glutathione expansion and adaptive mitochondrial remodeling. 7-KC acts as a broad modulator of several MSC functions, linking sterol homeostasis to Hedgehog signaling, stress–survival pathways, redox balance, and mitochondrial remodeling, potentially supporting a pro-survival, more therapy-tolerant leukemic niche. Full article
(This article belongs to the Special Issue Cell Proliferation and Differentiation in Cancer)
Show Figures

Figure 1

22 pages, 5574 KB  
Article
Breast Cancer-Associated Adipose Tissue Histologic Subtypes: Microscopic Characterization and Their Impact on Prognosis and Survival, Depending on Age
by Mihaela Maria Pasca Fenesan, Razvan George Bogdan, Andrei Alexandru Cosma, Vlad Vornicu, Eugen Melnic, Diana Veronica Radu, Patricia Baran, Zorin Crainiceanu, Ana Silvia Corlan, Anca Maria Cimpean, Peter Seropian, Olga Cernetchi and Ionut Marcel Cobec
Cancers 2026, 18(6), 966; https://doi.org/10.3390/cancers18060966 - 17 Mar 2026
Viewed by 512
Abstract
Background/Objectives: The fundamental classification based on white, brown, pink, and beige adipose tissue morphology together with fat vacuole content released into the tumor microenvironment incompletely defines breast cancer-associated adipose tissue (BCAAT) heterogeneity and does not sufficiently explain its controversial impact on invasion, [...] Read more.
Background/Objectives: The fundamental classification based on white, brown, pink, and beige adipose tissue morphology together with fat vacuole content released into the tumor microenvironment incompletely defines breast cancer-associated adipose tissue (BCAAT) heterogeneity and does not sufficiently explain its controversial impact on invasion, recurrence, or survival in breast cancer (BC). We aim to expand BCAAT characterization by systematically evaluating stromal cellular elements within peritumoral adipose tissue, including CD34-positive fibroblasts, smooth muscle actin (SMA)-positive myofibroblasts, inflammatory cells, and microvascular structures to define distinct BCAAT subgroups. Methods: CD34 and smooth muscle actin (SMA) double immunohistochemistry was performed on 109 BC tissue specimens from patients aged 35 to 79 years old, followed by microscopic evaluation of cellular and vascular components inside peritumor adipose tissue. Microscopic findings were then correlated to age, body mass index (BMI), lymphovascular (LVI) and perineural invasion (PnI), recurrence (R), and tertiary lymphoid structures (TLSs). Results: Four BCAAT subtypes have been identified as fibroblast-rich (FRich_BCAAT), myofibroblast-rich (MyoFRich_BCAAT), vascular-rich (VRich_BCAAT), and mixed-vascular and inflammatory-rich (VIRich_BCAAT). The FRich_BCAAT subtype predominates for the age subgroup 35 to 49 years old and is a significantly worse prognostic factor for survival (p = 0.022). For the age subgroup of 50 to 69 years old, the VIRich_BCAAT subtype significantly influences PnI (p = 0.05) but not survival (Log-rank test, z = 0.57, p = 0.57). VRich_BCAAT was significantly impactful for BC patient survival aged 70 to 75 years old (p = 0.043). BMI did not correlate with any of the BCAAT subtypes but was strongly correlated with prognostic markers for each BCAAT subtype. Conclusions: Based on immunohistochemically detected cellular and vascular components, four microscopic BCAAT subtypes were identified. Three of four BCCAT subtypes specifically affect BC patient prognosis and survival depending on age. Full article
Show Figures

Figure 1

18 pages, 6195 KB  
Article
Decoding Fibroblast Diversity Associated with the Postnatal Loss of Cardiac Regenerative Capacity
by Parisa Aghagolzadeh, Vincent Rapp, Mohamed Nemir, Felix Mahfoud, Marijke Brink and Thierry Pedrazzini
Int. J. Mol. Sci. 2026, 27(6), 2709; https://doi.org/10.3390/ijms27062709 - 16 Mar 2026
Viewed by 421
Abstract
The mammalian heart rapidly loses regenerative capacity after birth and responds to myocardial infarction (MI) with scar formation and development of interstitial fibrosis. Cardiac fibroblasts orchestrate extracellular matrix (ECM) remodeling and cell–cell communication during development and injury; however, how fibroblast heterogeneity and fibroblast [...] Read more.
The mammalian heart rapidly loses regenerative capacity after birth and responds to myocardial infarction (MI) with scar formation and development of interstitial fibrosis. Cardiac fibroblasts orchestrate extracellular matrix (ECM) remodeling and cell–cell communication during development and injury; however, how fibroblast heterogeneity and fibroblast communication networks differ between regenerative neonatal and non-regenerative adult hearts remains incompletely defined. We performed scRNA-seq analysis on metabolically active CD45/CD31 nonmyocyte cells from the left ventricles of normal neonatal (P3) and adult (P84) mice to probe heterogeneity in a cardiac fibroblast-enriched population. We identified five transcriptionally distinct cardiac fibroblast subclusters (CF0-CF4) demonstrating different distributions across ages, including an adult-enriched immune/complement-associated program (CF0); an ECM structural-associated program present across ages (CF1); and neonatal-enriched contractile/ECM-remodeling (CF2), Wnt-modulating matrix-regulatory (CF3), and proliferative (CF4) programs. Matrisome category scoring revealed age-dependent divergence in ECM programs: neonatal fibroblasts showed higher enrichment of core matrisome components (particularly collagens and proteoglycans), whereas adult fibroblasts were relatively enriched for matrisome-associated categories, including ECM regulators and secreted factors. Ligand–receptor inference using CellChat demonstrated a broad reduction in fibroblast–fibroblast interaction strength and information flow in adult networks, and adult-enriched signaling was dominated by immune/chemotactic pathways. Finally, projection of subcluster marker programs onto an independent bulk RNA-seq dataset of cardiac fibroblasts 3 days after MI revealed that adult injury partially recapitulates neonatal-associated programs, including activation of the contractile/ECM-remodeling program (CF2) and robust induction of a cell-cycle-associated program (CF4), but lacks an additional neonatal-specific injury program associated with the Wnt-modulating subset (CF3), which was weakly induced or absent in adults. This cardiac fibroblast-enriched single-cell study defines age-dependent fibroblast states, ECM specialization, and communication network architecture that distinguish regenerative neonatal from non-regenerative adult hearts. It also provides a framework to interpret divergent stromal responses after MI and to prioritize fibroblast programs for regenerative and anti-fibrotic strategies. Full article
(This article belongs to the Special Issue Cardiovascular Research: From Molecular Mechanisms to Novel Therapies)
Show Figures

Figure 1

28 pages, 1475 KB  
Review
Tumor Microenvironment and Immune Response Against Wilms Tumor: Evasion Mechanisms and Implications for Immunotherapeutic Approaches
by Claudia Cantoni, Valerio Gaetano Vellone, Barbara Cafferata, Gabriele Gaggero, Martina Serra, Filippo Spreafico, Cristina Bottino and Grazia Maria Spaggiari
Cancers 2026, 18(6), 908; https://doi.org/10.3390/cancers18060908 - 11 Mar 2026
Viewed by 505
Abstract
Wilms tumor (WT) is the most common malignant renal tumor in childhood and represents one of the major success stories of pediatric oncology, with very good survival achieved through risk-adapted multimodal therapy. Nevertheless, a subset of patients—particularly those with diffuse anaplasia, blastemal-type tumors [...] Read more.
Wilms tumor (WT) is the most common malignant renal tumor in childhood and represents one of the major success stories of pediatric oncology, with very good survival achieved through risk-adapted multimodal therapy. Nevertheless, a subset of patients—particularly those with diffuse anaplasia, blastemal-type tumors persisting after chemotherapy, or relapsed disease—continues to experience poor outcomes and significant long-term treatment-related morbidity. These challenges highlight the need for novel therapeutic strategies beyond conventional cytotoxic approaches. Growing evidence indicates that WT is characterized by a complex and distinctive tumor microenvironment (TME) shaped by its developmental origin and triphasic histology. Immune cell infiltration, inflammatory mediators, and immune checkpoint pathways interact differently with blastemal, epithelial, and stromal tumor components, generating heterogeneous immune surveillance and escape mechanisms. In particular, tumor-associated macrophages (TAMs), functionally impaired natural killer (NK) cells, and immunosuppressive stromal elements play a central role in shaping an immune milieu that may limit the efficacy of immune-based therapies. Although immunotherapy has changed the management of several adult malignancies and some pediatric cancers, its translation to WT has so far been limited, with modest results in unselected patient populations. Recent immunogenomic and proteogenomic studies, however, suggest the existence of biologically distinct WT subsets with different immune features and potential susceptibility to targeted immunotherapeutic approaches. This narrative review integrates pathological, immunological, and clinical perspectives to summarize current knowledge on the WT immune microenvironment, mechanisms of tumor immune evasion, and emerging immunotherapeutic strategies. By providing a unified framework, it aims at supporting a multidisciplinary approach for the rational development of future immune-based and combination therapies tailored to specific WT subgroups. Full article
(This article belongs to the Special Issue Insights from the Editorial Board Member)
Show Figures

Figure 1

16 pages, 1954 KB  
Article
Calamagrostis arundinacea Extract Mitigates Testosterone Induced Prostatic Hyperplasia in Rats
by Poornima Kumbukgahadeniya, Eun-Bok Baek, Seung-Hoon Lee, Dae-In Ha, Eun-Ju Hong, Jun-Yeop Song, Won-Kee Yoon and Hyo-Jung Kwun
Pharmaceuticals 2026, 19(3), 453; https://doi.org/10.3390/ph19030453 - 11 Mar 2026
Viewed by 554
Abstract
Background: Benign prostatic hyperplasia (BPH) is an age-associated urological condition defined by abnormal multiplication of both stromal and epithelial components within the prostate. Calamagrostis arundinacea (CA), a species of perennial grass native to East Asia, has been recognized for its anti-inflammatory and [...] Read more.
Background: Benign prostatic hyperplasia (BPH) is an age-associated urological condition defined by abnormal multiplication of both stromal and epithelial components within the prostate. Calamagrostis arundinacea (CA), a species of perennial grass native to East Asia, has been recognized for its anti-inflammatory and antioxidant biological activities. The present study examined whether CA extract could attenuate prostatic enlargement induced by testosterone propionate (TP) in rats. Methodology: To establish the experimental model, rats received subcutaneous TP injections (3 mg/kg/day) for four consecutive weeks. During the same period, an extract of CA (150 mg/kg/day) was orally administered. Results: TP-treated animals developed significant prostatic enlargement, whereas CA supplementation markedly reduced prostate weight and significantly decreased circulating dihydrotestosterone (DHT) and testosterone levels. Microscopic analysis demonstrated that CA mitigated glandular epithelial thickening and suppressed hyperplastic alterations. In addition, CA reduced proliferating cell nuclear antigen (PCNA) expression and increased apoptotic cell numbers, as evidenced by TUNEL staining. Gene expression analysis further revealed significant downregulation of insulin-like growth factor-2 (Igf-2), transforming growth factor-β (Tgf-β), and vascular endothelial growth factor (Vegf), in CA-treated prostates. Moreover, CA inhibited activation of the PI3K/Akt/mTOR signaling cascades by reducing phosphorylation of Akt and mTOR. Conclusions: Overall, these results indicate that CA extract alleviates testosterone-induced BPH through suppression of growth-related signaling cascades and induction of apoptosis, suggesting its potent value as a phytotherapeutic strategy for BPH management. Full article
(This article belongs to the Special Issue Multi-Targeted Natural Products as Therapeutics, 2nd Edition)
Show Figures

Graphical abstract

Back to TopTop