Sign in to use this feature.

Years

Between: -

Subjects

remove_circle_outline
remove_circle_outline
remove_circle_outline
remove_circle_outline
remove_circle_outline
remove_circle_outline
remove_circle_outline
remove_circle_outline
remove_circle_outline

Journals

remove_circle_outline
remove_circle_outline
remove_circle_outline
remove_circle_outline
remove_circle_outline
remove_circle_outline
remove_circle_outline
remove_circle_outline
remove_circle_outline
remove_circle_outline
remove_circle_outline
remove_circle_outline
remove_circle_outline
remove_circle_outline
remove_circle_outline
remove_circle_outline
remove_circle_outline
remove_circle_outline

Article Types

Countries / Regions

remove_circle_outline
remove_circle_outline
remove_circle_outline
remove_circle_outline
remove_circle_outline
remove_circle_outline

Search Results (2,060)

Search Parameters:
Keywords = stress–strain–time

Order results
Result details
Results per page
Select all
Export citation of selected articles as:
18 pages, 5252 KB  
Article
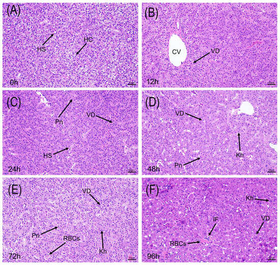
Transcriptomic and Physiological Responses Reveal a Time-Associated Multi-Organ Injury Pattern in European Perch (Perca fluviatilis) Under Acute Alkaline Stress
by Geng Chen, Yi Liu, Xiaodong Li, Pan Gao, Jianyong Hu, Pengfei Sun, Fangyuan Peng, Peng Chen and Jin Xu
Animals 2025, 15(24), 3621; https://doi.org/10.3390/ani15243621 - 16 Dec 2025
Abstract
Water alkalinization is a critical global stressor for freshwater fish, yet the systemic patterns of multi-organ responses and injury remain insufficiently understood. This study integrates histopathology, biochemistry, and multi-organ transcriptomics to provide an integrated, time-resolved assessment of stress responses in European perch ( [...] Read more.
Water alkalinization is a critical global stressor for freshwater fish, yet the systemic patterns of multi-organ responses and injury remain insufficiently understood. This study integrates histopathology, biochemistry, and multi-organ transcriptomics to provide an integrated, time-resolved assessment of stress responses in European perch (Perca fluviatilis) exposed to acute alkaline stress (20 mmol/L). The analysis indicated that alkaline stress initially causes structural disturbance of gill tissue (lamellar fusion, necrosis) within 96 h, associated with impaired osmoregulatory functions. This primary dysfunction was followed by progressive hepatic impairment, characterized by uncontrolled oxidative stress (elevated levels in Malondialdehyde, MDA) and widespread hepatocyte necrosis. Transcriptomic analysis identified extensive transcriptional shifts associated with these alterations: large-scale differential expression in the liver (3629 Differentially Expressed Genes, DEGs) and kidney (478 DEGs). Notably, the liver exhibited a stress-responsive transcriptional profile involving activation of the HIF-1 signaling pathway and mobilizing protein quality control systems (e.g., ‘Proteasome,’ ‘Lysosome’) consistent with mitigation of proteotoxic stress. This compensatory response appeared insufficient to prevent severe metabolic disruption and cellular injury. This study presents a time-associated sequence of organ-specific stress responses under acute alkalinity, identifying candidate stress-associated genes (slc7a11, egln3, klhl38b) as potential targets for future functional studies and breeding alkali-tolerant strains. Full article
(This article belongs to the Section Aquatic Animals)
Show Figures

Figure 1

17 pages, 6578 KB  
Article
Analysis of Wellbore Wall Deformation in Deep Vertical Wells Based on Fiber Bragg Grating Sensing Technology
by Wenchang Huang, Haibing Cai, Longfei Yang and Zixiang Li
Sensors 2025, 25(24), 7626; https://doi.org/10.3390/s25247626 - 16 Dec 2025
Abstract
Accurate deformation monitoring is essential for ensuring the stability of deep vertical shafts. In this study, a temperature-compensated fiber Bragg grating (FBG) sensing system was deployed in the 882 m deep Guotun Coal Mine shaft to measure circumferential and vertical strains at six [...] Read more.
Accurate deformation monitoring is essential for ensuring the stability of deep vertical shafts. In this study, a temperature-compensated fiber Bragg grating (FBG) sensing system was deployed in the 882 m deep Guotun Coal Mine shaft to measure circumferential and vertical strains at six depths. A site-specific mechanical model integrating stratigraphy, dual-layer concrete lining, and the influence radius was developed to analyze shaft wall stresses. The monitoring results reveal pronounced spatial anisotropy, with circumferential compressive and tensile strains at deeper levels nearly twice those at shallow levels. Strain variation also increases over time, reflecting the combined effects of groundwater fluctuations and overburden consolidation. The stresses inferred from measured strains agree well with the analytical solution in both magnitude and depth-dependent trend, with deviations remaining within a reasonable engineering margin. All stresses are below the strength limits of the C70/C50 concrete lining, confirming that the shaft is in a safe stress state. The proposed monitoring–analysis framework provides a reliable basis for evaluating shaft wall behavior under complex hydrogeological conditions. Full article
(This article belongs to the Section Optical Sensors)
Show Figures

Figure 1

17 pages, 603 KB  
Review
Sustainable Governance of Extreme Heat Risk in the Context of Occupational Safety and Health
by Daniel Onuț Badea, Doru Costin Darabont, Lucian-Ionel Cioca, Costică Bejinariu, Andreea Feraru and Augustina Mirabela Pruteanu
Sustainability 2025, 17(24), 11187; https://doi.org/10.3390/su172411187 - 14 Dec 2025
Viewed by 68
Abstract
Extreme heat disrupts labour, infrastructure, and health systems, yet most response frameworks intervene after clinical impact is confirmed. This review analyzes documented cases across sectors and regions to determine where heat effects are first detected and why intervention timing varies. The analysis used [...] Read more.
Extreme heat disrupts labour, infrastructure, and health systems, yet most response frameworks intervene after clinical impact is confirmed. This review analyzes documented cases across sectors and regions to determine where heat effects are first detected and why intervention timing varies. The analysis used institutional reports, epidemiological summaries and occupational data to map how early functional signals appear across systems. A conceptual matrix is proposed to permit action to be authorized at the earliest sign of functional stress, using mortality, productivity, service instability, vulnerability, and adaptive capacity as operational inputs rather than retrospective outcomes. The analysis suggests that heat becomes observable first through reduced work capacity or infrastructure strain, not through hospital data, and that systems with predefined activation criteria engage earlier and with less irreversible loss. The matrix provides a transferable basis for integrating occupational, infrastructural, and clinical information into a unified heat response mechanism. This approach supports a transition from post-impact validation to forward-based decision logic, particularly in settings where vulnerable workers remain outside formal surveillance. Full article
Show Figures

Figure 1

13 pages, 739 KB  
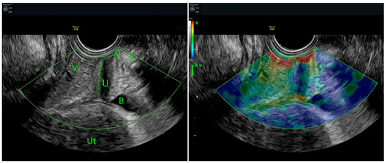
Review
Strain Elastography in Urogynecology: Functional Imaging in Stress Urinary Incontinence
by Lóránt Csákány, Andrea Surányi, Flórián Kovács, Szabolcs Várbíró, Gábor Németh, Attila Keresztúri and Norbert Pásztor
Women 2025, 5(4), 48; https://doi.org/10.3390/women5040048 - 10 Dec 2025
Viewed by 139
Abstract
Stress urinary incontinence (SUI) is the most common subtype of female urinary incontinence, affecting up to one in four women and markedly reducing quality of life. Its pathophysiology primarily involves impaired suburethral and paraurethral support, resulting in decreased tissue stiffness and urethral hypermobility. [...] Read more.
Stress urinary incontinence (SUI) is the most common subtype of female urinary incontinence, affecting up to one in four women and markedly reducing quality of life. Its pathophysiology primarily involves impaired suburethral and paraurethral support, resulting in decreased tissue stiffness and urethral hypermobility. Conventional imaging provides anatomical detail but is limited in its ability to assess pelvic floor biomechanics. This narrative review summarizes current evidence on strain elastography (SE) as a functional imaging modality in urogynecology, with emphasis on evaluating suburethral tissue stiffness in women with SUI. A narrative review was performed using PubMed (2000–2025). Primary searches (“strain elastography” AND “female stress urinary incontinence”; “stress incontinence” AND “elastography”) yielded 19 records, of which 12 were included after screening. Owing to the limited number of SE-specific studies, the review was expanded to include shear wave elastography research, key guidelines, and biomechanical literature on pelvic floor ultrasound in adult women with SUI. SE provides a non-invasive, real-time method for assessing tissue stiffness, bridging the longstanding gap between anatomical and biomechanical evaluation. Current evidence supports SE as a feasible and promising diagnostic adjunct for the functional assessment of SUI in women. Full article
Show Figures

Figure 1

11 pages, 494 KB  
Article
Monitoring Redeployment-Associated Burnout in Healthcare Workers: A Real-Time Approach Using Ecological Momentary Assessment
by Abdulaziz Alkattan, Allison A. Norful, Cynthia X. Pan, Phyllis August, Robert S. Crupi, Joseph E. Schwartz, Andrew Miele and Elizabeth Brondolo
Healthcare 2025, 13(24), 3217; https://doi.org/10.3390/healthcare13243217 - 9 Dec 2025
Viewed by 170
Abstract
Background/Objectives: Ecological momentary assessment (EMA) is a methodology that offers a real-time approach to monitoring clinician well-being, but its utility during high-intensity operational periods remains underexplored. This study examines the feasibility and performance of an EMA-based system for tracking clinical responsibilities and [...] Read more.
Background/Objectives: Ecological momentary assessment (EMA) is a methodology that offers a real-time approach to monitoring clinician well-being, but its utility during high-intensity operational periods remains underexplored. This study examines the feasibility and performance of an EMA-based system for tracking clinical responsibilities and burnout among healthcare workers during the first year of the COVID-19 pandemic. Methods: Utilizing an intensive longitudinal design, 398 healthcare workers, including physicians, physician assistants, nurses, and trainees, completed brief EMA surveys every five days from April 2020 to March 2021. Burnout was assessed with a validated single-item measure and analyzed in relation to redeployment status and hospital caseloads. Results: The EMA approach successfully captured meaningful temporal fluctuations in burnout. Redeployment was associated with higher burnout levels (b = 0.125; p = 0.01), and rising caseloads amplified this effect (interaction b = 0.169; p = 0.001). Nurses showed the strongest caseload-related increases in burnout (b = 0.359; p < 0.001). These patterns persisted even after individuals returned to their usual roles. Conclusions: This study demonstrates that EMA is a scalable and sensitive approach for continuous burnout surveillance, capable of detecting role-specific and context-dependent stress responses in real time. EMA-based monitoring can support early identification of at-risk groups, guide staffing and redeployment decisions, and inform timely organizational interventions during crises and other periods of operational strain. Full article
(This article belongs to the Section Healthcare Organizations, Systems, and Providers)
Show Figures

Figure 1

18 pages, 2902 KB  
Article
Integrating Polypropylene Fibers and Cement in Clays for Sustainable Clay Bricks
by Muawia Dafalla and Awadh Abden
Polymers 2025, 17(24), 3244; https://doi.org/10.3390/polym17243244 - 5 Dec 2025
Viewed by 303
Abstract
This study investigates how adding polypropylene fibers and cement affects the strength of highly plastic clay used in clay bricks. The research looked at various curing times to improve the strength of clay bricks for effective use in the construction industry. A fiber [...] Read more.
This study investigates how adding polypropylene fibers and cement affects the strength of highly plastic clay used in clay bricks. The research looked at various curing times to improve the strength of clay bricks for effective use in the construction industry. A fiber content of 0.2% was added to the clay and compared to untreated control samples improved with varied amounts of cement (2%, 4%, and 6%). The influence of curing on strength increase was explored, as well as the profile of the stress–strain relationship. The compressive strength increased by 53% to 140% after 7 days of curing, which is almost a quarter of the strength attained after 28 days. The results showed a considerable increase in strength, illustrating the cumulative benefits of longer curing times and the suggested additions. Fiber addition was shown to be associated with a significant increase in compressive strength. This advantage is due to the particle connection established by incorporating the fibers and cement into the mixture. Improvement in tensile and shear strength was investigated. It was also found that fibers made the material more ductile. It was noted that using cement alone can increase the compressive strength but cracking and shrinkage control may not be achieved. When compared to the untreated sample, mixtures containing 0.2% fibers and treated with 2%, 4%, and 6% cement increased compressive strength by 225%, 390%, and 630%, respectively. This improvement is comparable to a 2-, 4-, or 6-fold improvement. This increase will enhance the supporting capacity of the non-load-bearing clay bricks. Full article
Show Figures

Figure 1

16 pages, 3369 KB  
Article
Temperature Dependence of Tensile Properties and Deformation Behavior in Highly Strong Heat-Elongated Polypropylene
by Karin Onaka and Hiromu Saito
Polymers 2025, 17(24), 3238; https://doi.org/10.3390/polym17243238 - 5 Dec 2025
Viewed by 318
Abstract
We investigated the tensile properties and deformation behavior at various temperatures of highly strong heat-elongated polypropylene (PP), in which stacks of crystalline lamellae are macroscopically arranged in the elongated direction and lamellae are connected by thin fibrils. The elastic modulus E′ and [...] Read more.
We investigated the tensile properties and deformation behavior at various temperatures of highly strong heat-elongated polypropylene (PP), in which stacks of crystalline lamellae are macroscopically arranged in the elongated direction and lamellae are connected by thin fibrils. The elastic modulus E′ and the αc-relaxation temperature for the onset of crystalline chain motion, obtained through dynamic mechanical analysis, were higher in the heat-elongated than the unelongated PP, indicating the suppression of crystalline chain motion. The heat-elongated PP deformed beyond the yield point at high temperatures above the αc-relaxation point, and it exhibited high tensile stress; e.g., the yield stress was 60 MPa at 120 °C, which was 7.5 times higher than that of the unelongated PP. Small-angle X-ray scattering intensity patterns changed from layered to diffuse, and DSC thermograms showed that melting peak position shifted to lower temperatures when stretching at small strains at various temperatures. The results suggest that lamella fragmentation occurs under small strains at various temperatures. Thus, the good high-temperature strength of the heat-elongated PP is due to the fragmentation of lamellae during small-strain stretching and the suppression of crystalline chain motion by thin crystalline fibrils connected to the lamellae. Full article
(This article belongs to the Special Issue Mechanical Properties and Thermal Analysis of Polymer Materials)
Show Figures

Figure 1

14 pages, 4236 KB  
Article
Effects of Solution Treatment on the Microstructure and Mechanical Properties of UNS S32750/F53/1.4410 SDSS (Super Duplex Stainless Steel) Alloy
by Vasile Dănuț Cojocaru, Mariana Lucia Angelescu, Nicolae Șerban, Nicoleta Zărnescu-Ivan and Elisabeta Mirela Cojocaru
Materials 2025, 18(23), 5447; https://doi.org/10.3390/ma18235447 - 3 Dec 2025
Viewed by 264
Abstract
The influence of solution treatment time on the microstructural and mechanical properties of a super duplex stainless steel was investigated. A solution annealing treatment at 1120 °C was applied to the hot-rolled alloy, with soaking times varying between 10 and 30 min. The [...] Read more.
The influence of solution treatment time on the microstructural and mechanical properties of a super duplex stainless steel was investigated. A solution annealing treatment at 1120 °C was applied to the hot-rolled alloy, with soaking times varying between 10 and 30 min. The microstructural characteristics before and after solution treatment were examined using XRD and EBSD techniques by measuring lattice parameters and micro-strains, weight fraction, average grain size, and maximum misorientation angle. The experimental results showed that the constituent phases are δ-Fe and γ-Fe, regardless of the alloy state. The mechanical properties of the solution-treated alloy were evaluated by tensile testing, measuring the ultimate tensile strength (σUTS), yield strength (σ0.2), fracture strain (εf), and impact toughness (KCV). Increasing the solution treatment time from 10 min to 30 min leads to improved ductility and reduced mechanical strength, with the volume of the ferrite phase increasing, the average austenite grain size decreasing, and the maximum misorientation angle decreasing. This is due to the ability of ferrite to absorb stress and to the greater participation of grains in the deformation process. Important decreases in high elastic strains and residual stress fields after solution treatment were also noted. Full article
Show Figures

Figure 1

14 pages, 3164 KB  
Article
Research on the Short-Term Compressive Creep Behavior of the Bamboo Scrimber Based on Different Zener Models
by Shuqin Wang, Songsong Sun, Xiaolin Gong and Jiahong Fu
Appl. Sci. 2025, 15(23), 12745; https://doi.org/10.3390/app152312745 - 2 Dec 2025
Viewed by 157
Abstract
For the gluing process of natural fiber-reinforced composite materials like bamboo scrimber, an obvious creep behavior can be found during the working stage, which must be seriously considered in safety and reliability design. In this paper, the compressive creep performance of the bamboo [...] Read more.
For the gluing process of natural fiber-reinforced composite materials like bamboo scrimber, an obvious creep behavior can be found during the working stage, which must be seriously considered in safety and reliability design. In this paper, the compressive creep performance of the bamboo scrimber, a kind of plywood material, was chosen as the research object. Several groups of compressive creep tests were conducted with various stress levels and samples to record the respective processes of creep strain evolution. Furthermore, different types of models were adopted in studying the compressive viscoelastic behavior of the material. The creep growth is sensitive to the stress level of the creep test, according to the results. Furthermore, the conventional Zener model can work well for simulating the compressive creep strain growth behavior of the bamboo scrimber at high stress levels, but obvious errors can sometimes occur when it is applied to analyze this property under low stress levels. At the same time, using MD (memory-dependent) theory to define the Zener model can pertain to the requirement of accuracy in analyzing the compressive creep property under all load conditions and is more practically useful. Full article
Show Figures

Figure 1

21 pages, 3254 KB  
Article
Fractional-Order Stress Relaxation Model for Unsaturated Reticulated Red Clay Slope Instability
by Chuang Zhang and Jianzhong Li
Fractal Fract. 2025, 9(12), 786; https://doi.org/10.3390/fractalfract9120786 - 1 Dec 2025
Viewed by 262
Abstract
Triaxial suction-controlled relaxation tests were performed on unsaturated reticulated red clay from a highway cut slope to quantify the coupled influence of matric suction (50–200 kPa), net confining pressure (100–300 kPa), and axial strain (2–8%) on time-dependent stress decay. The results reveal that [...] Read more.
Triaxial suction-controlled relaxation tests were performed on unsaturated reticulated red clay from a highway cut slope to quantify the coupled influence of matric suction (50–200 kPa), net confining pressure (100–300 kPa), and axial strain (2–8%) on time-dependent stress decay. The results reveal that 60–80% of deviatoric stress dissipates instantaneously, with the remaining loss evolving nonlinearly toward a stable residual; higher suction or confinement raises residual capacity but enlarges absolute relaxation, whereas increasing strain accelerates damage and intensifies stress drop. A parsimonious three-element fractional Poynting–Thomson (FPTh) model that embeds Caputo-derived Koeller dashpot and the exponential damage variable of the viscous coefficient was formulated. The proposed model demonstrates a superior performance compared with the Merchant, Burgers, and Nishihara models (R2 > 0.99 and RMSE < 3.5). The FPTh model faithfully reproduces the rapid and attenuating relaxation phases, offering a robust predictive tool for the long-term stability assessment of unsaturated clay slopes. Full article
(This article belongs to the Special Issue Fractal and Fractional in Geotechnical Engineering, Second Edition)
Show Figures

Figure 1

20 pages, 13967 KB  
Article
Optimization of Start-Extraction Time for Coalbed Methane Well in Mining Area Using Fluid–Solid Coupling Numerical Simulation
by Peiming Zhou, Ang Xu, Xueting Sun, Xiaozhi Zhou, Sijie Han, Jihang Dong, Jie Chen, Wei Gao and Yunfei Feng
Sustainability 2025, 17(23), 10712; https://doi.org/10.3390/su172310712 - 29 Nov 2025
Viewed by 349
Abstract
Optimizing the start-extraction time for coalbed methane (CBM) wells in mining areas remains challenging. This is due to the limited understanding of mining-induced mechanical changes and fluid migration in protected seams, which restricts the development of clean fossil energy. To address this, a [...] Read more.
Optimizing the start-extraction time for coalbed methane (CBM) wells in mining areas remains challenging. This is due to the limited understanding of mining-induced mechanical changes and fluid migration in protected seams, which restricts the development of clean fossil energy. To address this, a geological-engineering model is constructed to investigate the mining-induced zonal evolution of stress, strain, permeability, and gas migration in protected seams, with the goal of optimizing the start-extraction time. The results show that gas production is controlled by the mechanical properties and gas pressure of protected seams near the well. Initially, these seams experience prolonged elastic strain. Plastic compressive strain develops at close-distance protected seams only when the coalface advances to within 5 m of them. Subsequently, rapid stress relief and complex stress directions lead to continuous plastic shear and expansion strains. As the distance from the mining seam increases, the plastic strains delay and diminish, reverting to elastic strain. These transitions collectively characterize the dynamic development of five distinct permeability regimes. Within permeability-reduced zones, an enhanced gas pressure gradient mitigates production declines. As the start-extraction time is progressively delayed, post-initiation gas production manifests in four phases: gradual decline, slow rebound, rapid increase, and surge. The optimal start-extraction time aligns with the rapid increase phase, when the coalface reaches the well, shortening extraction by at least 5.75 days and reducing electricity consumption by more than 2.07 × 104 kWh in the study area. This research provides practical solutions for methane emission reduction and sustainable CBM development in mining areas. Full article
(This article belongs to the Section Resources and Sustainable Utilization)
Show Figures

Figure 1

37 pages, 3889 KB  
Article
Influence of Layer Thickness and Extrusion Temperature on the Mechanical Behavior of PLA–Flax TPMS Sandwich Structures Fabricated via Fused Filament Fabrication
by Gabriele Marabello, Mohamed Chairi, Mariasofia Parisi and Guido Di Bella
Materials 2025, 18(23), 5356; https://doi.org/10.3390/ma18235356 - 27 Nov 2025
Viewed by 398
Abstract
Triply periodic minimal surface (TPMS) sandwich structures made from PLA, reinforced with flax fibers, offer a bio-based approach to lightweight design, but their performance is sensitive to material-extrusion parameters. This study investigates the combined effects of layer height (0.16, 0.24, and 0.28 mm) [...] Read more.
Triply periodic minimal surface (TPMS) sandwich structures made from PLA, reinforced with flax fibers, offer a bio-based approach to lightweight design, but their performance is sensitive to material-extrusion parameters. This study investigates the combined effects of layer height (0.16, 0.24, and 0.28 mm) and extrusion temperature (200, 220 °C) on the flexural behavior of gyroid-core PLA–flax sandwiches. Six parameter combinations were fabricated by fused filament fabrication and tested in three-point bending to obtain flexural strength and strain at failure. Post-fracture optical microscopy related mesostructure and failure mechanisms to macroscopic response. The highest strength (≈23 MPa) was found at 0.28 mm/200 °C, while the greatest strain at failure (≈0.06 mm/mm) occurred at 0.16 mm/200 °C. Two-factor ANOVA showed the significant main and interaction effects of temperature and layer height on both metrics. Fractography revealed a transition from interfacial delamination at lower temperatures and thinner layers to a more localized, cohesive rupture as interlayer bonding improved with higher temperature and thicker layers. Complementary compression tests revealed a core-dominated cellular collapse, with first-collapse stresses ranging from 6.3 to 8.2 MPa and a significant dependence on layer height and temperature (ANOVA). A gate-to-gate sustainability assessment indicated that layer height dominates printing time, energy demand, and CO2 emissions, with 0.28 mm minimizing energy per unit property. Measured part masses were 4–6% below slicer predictions, consistent with typical FFF porosity. The results provide TPMS-specific process windows that balance mechanical performance and energy efficiency for PLA–flax sandwiches. Full article
Show Figures

Figure 1

22 pages, 5663 KB  
Article
MAPK Pathways Coordinate Stress Adaptation by Mobilizing Specialized Gene Modules in Entomopathogenic Fungus Beauveria bassiana
by Shuaishuai Huang, Hailing Fan, Chenhua Zhu, Meixian Li, Leilei Liu, Mengdi Bai, Yonghong Zhou and Yongjun Zhang
J. Fungi 2025, 11(12), 839; https://doi.org/10.3390/jof11120839 - 27 Nov 2025
Viewed by 362
Abstract
Mitogen-activated protein kinase (MAPK) cascades are critical for fungal development, stress adaptation. and virulence. However, their dynamic and stress-specific regulatory networks in entomopathogenic fungi remain largely unresolved. This study systematically investigates the roles of all three key MAPKs—BbHog1, BbSlt2, and BbMpk1—in insect pathogenic [...] Read more.
Mitogen-activated protein kinase (MAPK) cascades are critical for fungal development, stress adaptation. and virulence. However, their dynamic and stress-specific regulatory networks in entomopathogenic fungi remain largely unresolved. This study systematically investigates the roles of all three key MAPKs—BbHog1, BbSlt2, and BbMpk1—in insect pathogenic fungus Beauveria bassiana. A combination of detailed phenotypic profiling of deletion mutants (ΔBbHog1, ΔBbSlt2, and ΔBbMpk1) and time-course transcriptomics (RNA-seq at 0, 0.5, and 12 h) under osmotic, cell-wall, oxidative, and thermal stress conditions was employed, followed by weighted gene co-expression network analysis (WGCNA). This approach delineated twelve stress-responsive gene modules regulated by those MAPKs that were highly associated with fungal stress adaptation, including membrane repair, redox balance, cell-wall remodeling, and core metabolism. Functional analyses showed that Hog1 orchestrates osmoadaptation through coordinated control of osmolyte metabolism, glycolytic flux, and cell-wall remodeling; Slt2 protects against thermal damage by sustaining membrane integrity, ergosterol homeostasis, and redox balance; and Mpk1 directs oxidative stress responses by tuning mitochondrial activity, metabolic suppression, and detoxification pathways. In summary, this work outlines a concise, systems-level framework of MAPK-mediated stress regulation in B. bassiana, providing mechanistic insight into fungal environmental resilience and identifying molecular targets for the engineering of robust biocontrol strains. Full article
(This article belongs to the Collection Entomopathogenic and Nematophagous Fungi)
Show Figures

Graphical abstract

34 pages, 17271 KB  
Review
Advances in Microstructural Evolution and Mechanical Properties of Magnesium Alloys Under Shear Deformation
by Yaqing Liu, Yong Xue and Zhaoming Yan
Metals 2025, 15(12), 1304; https://doi.org/10.3390/met15121304 - 27 Nov 2025
Viewed by 402
Abstract
Magnesium (Mg) alloys are the lightest metals used in engineering structures, making them highly valuable for lightweight designs in aerospace, automotives, and related industries. Their low density offers clear advantages for reducing product weight and improving energy efficiency–key priorities in modern manufacturing. However, [...] Read more.
Magnesium (Mg) alloys are the lightest metals used in engineering structures, making them highly valuable for lightweight designs in aerospace, automotives, and related industries. Their low density offers clear advantages for reducing product weight and improving energy efficiency–key priorities in modern manufacturing. However, their unique crystal structure leads to notable drawbacks: low plasticity at room temperature, uneven performance across different directions, and inconsistent strength under tension versus compression. These issues have severely limited their broader application beyond specialized use cases. Shear deformation methods address this challenge by creating high strain variations and complex stress conditions. This approach provides an effective way to regulate the internal structure of Mg alloys and enhance their overall performance, overcoming the inherent limitations of their crystal structure. This paper systematically summarizes current research on using shear deformation to process Mg alloys. It focuses on analyzing key structural changes induced by shear, including the formation and evolution of shear–related features, real–time grain reorganization, crystal twinning processes, the distribution of additional material phases, and reduced directional performance bias. The review also clarifies how these structural changes improve critical mechanical traits: strength, plasticity, formability, and the balance between tensile and compressive strength. Additionally, the paper introduces advanced shear–based processes and their derivative technologies, such as equal–channel angular extrusion, continuous shear extrusion, and ultrasonic vibration–assisted shearing. It also discusses strategies for constructing materials with gradient or mixed internal structures, which further expand the performance potential of Mg alloys. Finally, the review outlines future development directions to advance this field: developing shear processes that combine multiple physical fields, conducting real–time studies of microscale mechanisms, designing tailored shear paths for high–performance Mg alloys, and evaluating long–term service performance. These efforts aim to promote both theoretical innovation and industrial application of shear deformation technology for Mg alloys. Full article
(This article belongs to the Special Issue Novel Insights into Wrought Magnesium Alloys)
Show Figures

Figure 1

23 pages, 3838 KB  
Article
Investigating the Role of Plastic and Poroelastoplastic Effects in Wellbore Strengthening Using a Fully Coupled Hydro-Mechanical Model
by Ernestos N. Sarris and Elias Gravanis
Appl. Sci. 2025, 15(23), 12556; https://doi.org/10.3390/app152312556 - 26 Nov 2025
Viewed by 211
Abstract
Wellbore instability during drilling in soft formations often leads to unwanted hydraulic fractures and lost circulation, resulting in non-productive time and elevated costs. The fracture initiation pressure (FIP) and fracture propagation pressure (FPP) are critical for managing these risks, particularly in narrow mud [...] Read more.
Wellbore instability during drilling in soft formations often leads to unwanted hydraulic fractures and lost circulation, resulting in non-productive time and elevated costs. The fracture initiation pressure (FIP) and fracture propagation pressure (FPP) are critical for managing these risks, particularly in narrow mud weight windows, yet industrial models overlook post-plugging stress behaviors at plug locations, where changes in stress concentration may initiate secondary fractures. This study introduces a fully coupled hydro-mechanical plane-strain (KGD) finite element model to examine fluid diffusion and deformation in fractured formations, emphasizing plastic and poroelastoplastic effects for wellbore strengthening. Fluid flow in the fracture follows lubrication theory for incompressible Newtonian fluids, while Darcy’s law governs porous media diffusion. Rock deformation adheres to Biot’s effective stress principle, extended to poroelastoplasticity via the Mohr–Coulomb criterion with associative flow. Simulations yield fracture dimensions, fluid pressures, in situ stress changes, and principal stresses during propagation and plugging, for both plastic and poroplastic cases. A new yield factor is proposed, derived from the Mohr–Coulomb criterion, that quantifies the risk of failure and reveals that fracture tips resist propagation through plastic and poroelastoplastic deformation, with the poroelastoplastic coupling amplifying back-stresses and dilation after plugging. Pore pressure evolution critically influences the fracture growth and plugging efficiency. These findings advance wellbore strengthening by optimizing lost circulation material plugs, bridging the gaps from elastic and poroelastic models, and offer practical tools for safer and more efficient plugging in soft rocks through modeling. Full article
(This article belongs to the Special Issue Rock Fracture Mechanics: From Theories to Practices)
Show Figures

Figure 1

Back to TopTop