Sign in to use this feature.

Years

Between: -

Subjects

remove_circle_outline
remove_circle_outline
remove_circle_outline
remove_circle_outline
remove_circle_outline
remove_circle_outline
remove_circle_outline
remove_circle_outline
remove_circle_outline

Journals

remove_circle_outline
remove_circle_outline
remove_circle_outline
remove_circle_outline
remove_circle_outline
remove_circle_outline
remove_circle_outline
remove_circle_outline
remove_circle_outline
remove_circle_outline

Article Types

Countries / Regions

remove_circle_outline
remove_circle_outline
remove_circle_outline

Search Results (179)

Search Parameters:
Keywords = spontaneous rooting

Order results
Result details
Results per page
Select all
Export citation of selected articles as:
10 pages, 3914 KB  
Case Report
Regeneration Versus Granulation Tissue Healing in a Hopeless Mature Mandibular Molar Post-Endodontic Management: A 40-Month Follow-Up Case Report
by Elhassan Hassanein, Petra Gierthmuehlen, Almaha S. Algazlan, Dalia Kaisarly and Moataz Elgezawi
Dent. J. 2026, 14(4), 243; https://doi.org/10.3390/dj14040243 - 20 Apr 2026
Viewed by 37
Abstract
Objective: To report a rare case of pulp space tissue growth in a mature mandibular molar with severe endo-periodontal involvement after conservative endodontic treatment and to discuss the possible biological explanations, including regeneration and granulation tissue healing. Severe endo-periodontal lesions are challenging, particularly [...] Read more.
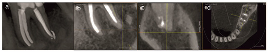
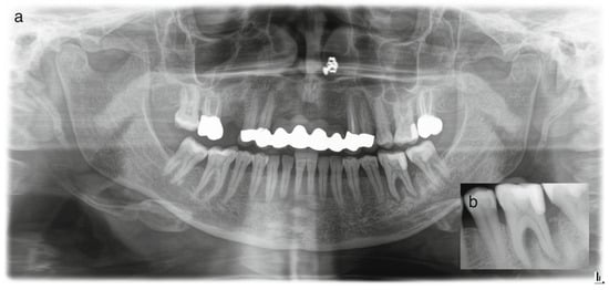
Objective: To report a rare case of pulp space tissue growth in a mature mandibular molar with severe endo-periodontal involvement after conservative endodontic treatment and to discuss the possible biological explanations, including regeneration and granulation tissue healing. Severe endo-periodontal lesions are challenging, particularly as endodontic regeneration is usually observed in immature teeth, while revascularization in mature teeth, especially in cases of advanced periodontal disease, is rare, as demonstrated in this case. Methods: This study reports a rare case of tissue regeneration versus granulation tissue healing in the pulp space, occurring alongside periodontal healing, in a mature mandibular molar with necrotic pulp and severe periodontal involvement. A 52-year-old patient presented with a mature mandibular molar (tooth #19) exhibiting necrotic pulp with severe endo-periodontal involvement, including grade-3 mobility, tenderness to percussion, a 12 mm probing depth, and extensive periradicular radiolucency. The tooth was diagnosed with necrotic pulp and symptomatic apical periodontitis and was deemed hopeless, with extraction planned. Results: Following patient refusal, endodontic treatment was initiated, including cleaning, shaping, and placement of the intracanal medicament, Ledermix. The patient canceled the extraction due to symptom resolution and disappeared for 12 months. On return, the patient presented with spontaneous pain exacerbated by thermal stimuli, consistent with symptoms of irreversible pulpitis. Clinical examination revealed significant clinical and radiographic improvements, including reduced probing depth (3 mm), no mobility, resolution of apical translucency, radiographic findings suggestive of canal narrowing, and a positive pulp sensibility response. Re-entry elicited profuse bleeding with newly formed vital tissue beneath the medicament. Sodium hypochlorite irrigation failed to achieve hemostasis; inflamed tissue was removed; root canals were cleaned, shaped and obturated; and treatment was completed with placement of a permanent coronal resin composite restoration. A forty-month follow-up showed an asymptomatic tooth with clinical and radiographic healing. Conclusions: This case demonstrates that conservative endodontic management may result in favorable clinical and radiographic outcomes in mature teeth with severe endo-peroidontal involvement, influencing extraction decisions. It provides clinical evidence suggestive of tissue regeneration and periodontal healing in a mature tooth with necrotic pulp and severe periodontal compromise, challenging conventional prognosis. The observed pulp space tissue growth may be suggestive of regeneration; however, alternative explanations, including granulation tissue healing or repair processes, cannot be excluded. Healing by granulation tissue in the pulp space remains possible. Root canal treatment in advanced endo-perio lesions can yield favorable outcomes and may influence extraction decisions. Further clinical and histological studies are needed to clarify underlying mechanisms and optimize treatment strategies. Full article
(This article belongs to the Special Issue Advances in Regenerative Endodontics)
Show Figures

Figure 1

16 pages, 446 KB  
Article
The Lost Orthodoxy: Yan Zun’s Interpretation of the Laozi and the Pre-Qin to Han Daoist Tradition
by Bocheng Fan and James Brown-Kinsella
Religions 2026, 17(4), 448; https://doi.org/10.3390/rel17040448 - 3 Apr 2026
Viewed by 306
Abstract
Prior to the Tang Dynasty, interpretations of the Laozi fell into two traditions: the Pre-Qin and Han tradition, represented by Yan Zun, and the Wei–Jin tradition, represented by Wang Bi. The commentaries on the Laozi in circulation today are influenced by metaphysics in [...] Read more.
Prior to the Tang Dynasty, interpretations of the Laozi fell into two traditions: the Pre-Qin and Han tradition, represented by Yan Zun, and the Wei–Jin tradition, represented by Wang Bi. The commentaries on the Laozi in circulation today are influenced by metaphysics in emphasizing “non-being” (wu) as the substance of the Dao (dao). Yan Zun’s Laozi zhigui 老子指歸 (lit. “Purport of the Laozi”) is the oldest extant commentary. In his thought, Yan carries on the legacies of the Laozi and the Zhuangzi and serves as a precursor to later religious Daoism. Yan Zun established a triadic framework—comprising the Dao, Vacuity, and Spontaneity—that shaped Han and Tang Daoism. This reading inherits the Pre-Qin Daoist principle that takes Vacuity as its ontological root and yielding softness as its operative function, laying the theoretical foundation for religious Daoist thought in the Jin and Tang dynasties. Yan Zun’s interpretations of the Laozi frequently surprise modern scholars, yet his views align closely with the contents of the Mawangdui Laozi silk manuscripts (c. 168 BCE) and Peking University Western Han bamboo-slip Laozi (c. 150 BCE), which demonstrates his distinctive scholarly contribution and contemporary relevance. Full article
16 pages, 2380 KB  
Article
Micropropagation of the Critically Endangered Silene conglomeratica Melzh.: A Tool for Conservation and Ornamental Aspects
by Emmanouela Kamperi, Konstantinos Bertsouklis, Apostolos-Emmanouil Bazanis, Eireni Dima, Panayiotis Trigas, Maria Tsakiri and Maria Panitsa
Conservation 2026, 6(1), 18; https://doi.org/10.3390/conservation6010018 - 4 Feb 2026
Viewed by 1172
Abstract
This study provides a comprehensive and refined framework for the micropropagation of the critically endangered Greek endemic Silene conglomeratica. Using a limited seed stock, a reliable in vitro propagation protocol was developed, supporting both ex situ conservation and potential commercial applications in [...] Read more.
This study provides a comprehensive and refined framework for the micropropagation of the critically endangered Greek endemic Silene conglomeratica. Using a limited seed stock, a reliable in vitro propagation protocol was developed, supporting both ex situ conservation and potential commercial applications in floriculture and landscape architecture. Nodal explants excised from aseptic seedlings, established on half-strength Murashige and Skoog (MS) medium, were successfully used for culture initiation. Supplementation with 1.0 mg L−1 meta-topolin (mT) and 0.2 mg L−1 1-naphthaleneacetic acid (NAA) promoted shoot proliferation. Subsequent subculturing on half-strength Rugini Olive Medium (OM/2) supplemented with 0.5 mg L−1 2-isopentenyladenine (2iP) resulted in high multiplication rates and a high frequency of spontaneous rooting. Rooting initiation was further optimized using OM/2 supplemented with 0.5 mg L−1 indole-3-butyric acid (IBA). The high acclimatization percentage (80%) confirms the feasibility of this protocol for ex situ conservation and highlights its applicability for nursery production and specialized landscape use. Overall, this study contributes an efficient and scalable propagation strategy that supports both the conservation and sustainable utilization of this valuable endemic species. Future work should focus on refining these protocols through more targeted testing of concentrations and alternative combinations of growth regulators and nutrient compositions. Full article
Show Figures

Figure 1

15 pages, 1588 KB  
Article
Effects of Contact and Non-Contact Application of Exogenous Nitrogen on Nodulation and Nitrogen Fixation of Soybean
by Kun Liu, Shuoshuo Shi, Zhenping Gong, Xiaochen Lyu and Qiulai Song
Agriculture 2026, 16(2), 139; https://doi.org/10.3390/agriculture16020139 - 6 Jan 2026
Cited by 1 | Viewed by 345
Abstract
Nitrogen (N) fertilizers can promote soybean growth, nodulation, and nitrogen fixation to a certain extent. However, excessive nitrogen application inhibits the nitrogen fixation capacity of soybean nodules. In this study, three experimental materials were used to investigate the direct and indirect effects of [...] Read more.
Nitrogen (N) fertilizers can promote soybean growth, nodulation, and nitrogen fixation to a certain extent. However, excessive nitrogen application inhibits the nitrogen fixation capacity of soybean nodules. In this study, three experimental materials were used to investigate the direct and indirect effects of localized exogenous nitrogen (Ammonium Nitrate, NH4NO3) on nodule nitrogen fixation in soybean. Three nitrogen supply methods were applied: bilateral nodulation dual-root soybeans, unilateral nodulation dual-root soybeans, and upper- and lower-layered soybeans. The root nitrogen accumulation of direct contact with exogenous nitrogen reached 72.61 mg/plant, 30.59 mg/plant, and 88.48 mg/plant, respectively, and its nitrogen accumulation ability was higher. Exogenous nitrogen inhibited nodule growth and nitrogen accumulation. Nodule development and nitrogenase activity were regulated both directly and indirectly by exogenous nitrogen, with a more pronounced inhibitory effect observed in the roots directly exposed to nitrogen. Experiment I demonstrated that the number and dry weight of nodules on the nitrogen supply side decreased by 35.04% and 40.00%, respectively, while the difference was not significant on the non-nitrogen supply side. Furthermore, the nodule system exhibited a substantial buffering effect on exogenous nitrogen. In Experiment I, no significant differences were observed in the number, dry weight, or nitrogenase activity of nodules on the non-nitrogen-supplying side. The number and dry weight of nodules in Experiment II decreased by 61.55% and 35.91%, respectively. The specific nitrogenase activity (SNA) and acetylene reduction assay (ARA) also decreased by 32.28% and 67.20%, respectively, showing significant differences. In Experiment III, the number and dry weight of nodules in the upper layers decreased by 23.70% and 15.12%, respectively. Furthermore, significant differences in nitrogenase activity were detected, indicating that the nodules exposed to exogenous nitrogen spontaneously initiated the nitrogen regulation mechanism. This partially offsets the inhibitory effect on the nitrogen fixation function of nodules on the indirectly exposed side. This study revealed that exogenous nitrogen supply significantly affected the growth efficiency and nodule nitrogen fixation function of soybean plants by regulating nitrogen absorption and resource allocation. The use of deep unilateral fertilization can ensure the nitrogen fixation capacity of nodules and nitrogen accumulation in soybean plants and provide theoretical support for improving nitrogen use efficiency and realizing scientific fertilization. Full article
(This article belongs to the Section Crop Production)
Show Figures

Figure 1

19 pages, 1664 KB  
Article
Comparative Molecular Docking, Molecular Dynamics and Adsorption–Release Analysis of Calcium Fructoborate and Alendronate Salts on Hydroxyapatite and Hydroxyapatite–Titanium Implants
by Diana-Maria Trasca, Ion Dorin Pluta, Carmen Sirbulet, Renata Maria Varut, Cristina Elena Singer, Denisa Preoteasa and George Alin Stoica
Biomedicines 2026, 14(1), 44; https://doi.org/10.3390/biomedicines14010044 - 24 Dec 2025
Cited by 1 | Viewed by 782
Abstract
Background/Objectives: Hydroxyapatite (HAp)-based implants and HAp–titanium (HApTi) composites are widely used in orthopedic and dental applications, but their long-term success is limited by peri-implant bone loss. Local delivery of osteoactive molecules from implant surfaces may enhance osseointegration and reduce periprosthetic osteolysis. This study [...] Read more.
Background/Objectives: Hydroxyapatite (HAp)-based implants and HAp–titanium (HApTi) composites are widely used in orthopedic and dental applications, but their long-term success is limited by peri-implant bone loss. Local delivery of osteoactive molecules from implant surfaces may enhance osseointegration and reduce periprosthetic osteolysis. This study combined in silico modeling and experimental assays to compare calcium fructoborate (CaFb), sodium alendronate, and calcium alendronate as functionalization agents for HAp and HApTi implants. Methods: Molecular docking (AutoDock 4.2.6) and 100 ns molecular dynamics (MD) simulations (AMBER14 force field, SPC water model) were performed to characterize ligand–substrate interactions and to calculate binding free energies (ΔG_binding) and root mean square deviation (RMSD) values for ligand–HAp/HApTi complexes. HAp and HApTi discs obtained by powder metallurgy were subsequently functionalized by surface adsorption with CaFb or alendronate salts. The amount of adsorbed ligand was determined gravimetrically, and in vitro release profiles were quantified by HPTLC–MS for CaFb and by HPLC after FMOC derivatization for alendronates. Results: CaFb–HAp and CaFb–HApTi complexes showed the lowest binding free energies (−1.31 and −1.63 kcal/mol, respectively), indicating spontaneous and stable interactions. For HAp-based complexes, the mean ligand RMSD values over 100 ns were 0.27 ± 0.17 nm for sodium alendronate, 0.72 ± 0.28 nm for calcium alendronate (range 0.35–1.10 nm), and 0.21 ± 0.19 nm for CaFb (range 0.15–0.40 nm). For HApTi-based complexes, the corresponding RMSD values were 0.30 ± 0.15 nm for sodium alendronate, 0.72 ± 0.38 nm for calcium alendronate and 0.26 ± 0.14 nm for CaFb. These distributions indicate that CaFb and sodium alendronate maintain relatively stable binding poses, whereas calcium alendronate shows larger conformational fluctuations, consistent with its less favorable binding energies. Experimentally, CaFb exhibited the greatest chemisorbed amount and percentage on both HAp and HApTi, followed by sodium and calcium alendronate. HApTi supported higher loadings than HAp for all ligands. Release studies demonstrated a pronounced burst and rapid plateau for both alendronate salts, whereas CaFb displayed a slower initial release followed by a prolonged, quasi-linear liberation over 14 days. Conclusions: The convergence between in silico and adsorption–release data highlights CaFb as the most promising candidate among the tested ligands for long-term functionalization of HAp and HApTi surfaces. Its stronger and more stable binding, higher loading capacity and more sustained release profile suggest that CaFb-coated HApTi implants may provide a favorable basis for future in vitro and in vivo studies aimed at improving osseointegration and mitigating periprosthetic osteolysis, although direct evidence for osteolysis prevention was not obtained in the present work. Full article
Show Figures

Figure 1

12 pages, 1160 KB  
Case Report
Early Dental Manifestations and Multidisciplinary Management of X-Linked Hypophosphatemic Rickets in a Pediatric Patient: A Case Report
by Nadezhda Mitova, Valentina Petkova-Ninova and Yana Popova
Children 2026, 13(1), 16; https://doi.org/10.3390/children13010016 - 20 Dec 2025
Viewed by 748
Abstract
Background: X-linked hypophosphatemic rickets (XLH) is a rare hereditary disorder characterized by renal phosphate wasting and impaired bone mineralization. Oral manifestations such as spontaneous periapical lesions and dental abscesses in the absence of caries or trauma may precede systemic features in XLH due [...] Read more.
Background: X-linked hypophosphatemic rickets (XLH) is a rare hereditary disorder characterized by renal phosphate wasting and impaired bone mineralization. Oral manifestations such as spontaneous periapical lesions and dental abscesses in the absence of caries or trauma may precede systemic features in XLH due to underlying dentin hypomineralization and enamel–dentin junction defects, and could serve as early diagnostic indicators. Case Report: We report on the case of a 4-year-old boy referred to our pediatric dental unit with recurrent intraoral fistulas persisting over the past year. Clinical examinations and an orthopantomogram revealed extensive root resorption and periapical pathology affecting multiple primary molars without evident caries or trauma. Laboratory investigations showed hypophosphatemia, elevated renal phosphate loss, and raised inflammatory markers (CRP (C-reactive protein) and granulocytes). Genetic testing of the child and his mother confirmed a diagnosis of X-linked hypophosphatemic rickets. Management: Due to behavioral challenges, treatment proceeded with difficulty over multiple visits. Endodontic treatment was initiated using a formalin–resorcinol technique; however, several primary molars developed progressive necrosis and required extraction. Orthodontic space maintainers were placed to preserve arch integrity and support future eruption. The patient remains under follow-up and is currently awaiting Burosumab therapy. Despite systemic management, spontaneous necroses of the primary molars persist, highlighting the refractory nature of dental involvement in XLH. Conclusions: This case underscores the pivotal role of pediatric dentists in recognizing systemic diseases through oral findings and demonstrates the challenges of managing XLH-related dental pathology, even under targeted systemic therapy. Early interdisciplinary collaboration is essential to optimize both dental and systemic outcomes in affected children. Full article
(This article belongs to the Section Pediatric Dentistry & Oral Medicine)
Show Figures

Figure 1

16 pages, 2704 KB  
Article
Introduction Policy of the Botanical Garden of Southern Federal University and Problems of Managing Invasive Woody Plants
by Boris L. Kozlovsky, Olga I. Fedorinova, Mikhail V. Kuropyatnikov, Mikhail M. Sereda, Anastasiya A. Dmitrieva and Pavel A. Dmitriev
J. Zool. Bot. Gard. 2025, 6(4), 63; https://doi.org/10.3390/jzbg6040063 - 17 Dec 2025
Viewed by 1265
Abstract
The Botanical Garden of Southern Federal University (SFedU Botanical Garden) is the first botanical garden in the steppe zone of southern Russia, founded in 1927. The priority task of the SFedU Botanical Garden was the introduction of woody plants for greenery and forestry. [...] Read more.
The Botanical Garden of Southern Federal University (SFedU Botanical Garden) is the first botanical garden in the steppe zone of southern Russia, founded in 1927. The priority task of the SFedU Botanical Garden was the introduction of woody plants for greenery and forestry. It has been shown that the introduction of woody plants was the root cause of their invasion in the region. A total of 24 species of invasive trees and shrubs have been identified in the Priazovsky district of the Rostov region. Using species with high seed reproductive capacity and resistance to climatic factors to expand the range of woody plants used for greenery in urban areas poses a real threat of invasion. Thus, 83 species spread spontaneously from the SFedU Botanical Garden collections across its territory, 50 of which are not currently found in the regional culture. An important step in the management of invasive woody plants is for municipalities to adopt basic assortment lists for greening purposes. The SFedU Botanical Garden’s collection policy for woody plants should focus on reducing the number of species in living plant collections by removing species that self-seed and currently have no scientific, educational, or practical use. These species can be stored in a seed bank for future use. The introduction policy of the SFedU Botanical Garden should be aimed at mobilizing and introducing species that are not only highly resilient and effective in providing ecosystem services, but also possess properties that limit their invasion. Full article
Show Figures

Figure 1

16 pages, 2424 KB  
Review
Clinical Management of Orthodontic Miniscrew Complications: A Scoping Review
by Cristina del Rosso, Pier Paolo Poli, Martina Ghizzoni and Alberto Caprioglio
Dent. J. 2025, 13(12), 582; https://doi.org/10.3390/dj13120582 - 5 Dec 2025
Cited by 2 | Viewed by 1812
Abstract
Background/Objective: To outline strategies for the safe clinical use of orthodontic temporary anchorage devices (TADs) by analyzing papers that examine associated risks, complications, and approaches for their prevention and resolution. Methods: The research protocol used PubMed, Medline, and Scopus [...] Read more.
Background/Objective: To outline strategies for the safe clinical use of orthodontic temporary anchorage devices (TADs) by analyzing papers that examine associated risks, complications, and approaches for their prevention and resolution. Methods: The research protocol used PubMed, Medline, and Scopus up to May 2024, focusing on controlled and randomized clinical trials aligned with the review objective. Fourteen studies were included; bias risk was assessed, key data extracted, and a descriptive analysis performed. Study quality and evidence strength were also evaluated. Results: TADs optimize anchorage control without relying on patient compliance. However, they carry risks and complications. TAD contact with the periodontal ligament or root without pulp involvement requires removal for spontaneous healing. If pulp is involved, the TAD should be removed and endodontic therapy performed. If anatomical structures are violated, TAD should be removed. If transient, spontaneous recovery occurs, but sometimes pharmacological treatment may be needed. A 2 mm gap between the TAD and surrounding structures can prevent damage. In the maxillary sinus, a less than 2 mm perforation of the Schneiderian membrane recovers spontaneously; wider perforations require TAD removal. Good oral hygiene and TAD abutments prevent soft tissue inflammation, which resolves with 0.2% chlorhexidine for 14 days. Unwanted forces can cause TAD fractures, requiring removal. Minor TAD mobility due to loss of primary stability can be maintained; significant instability requires repositioning. Conclusions: The use of TADs requires meticulous planning, radiological guidance, and monitoring to minimize risks and manage complications. With proper care, TADs improve orthodontic outcomes and patient satisfaction. Full article
(This article belongs to the Special Issue Innovations and Trends in Modern Orthodontics)
Show Figures

Graphical abstract

14 pages, 1523 KB  
Article
Composition- and Temperature-Dependent Solubility of Sinomenine Hydrochloride in Ethanol–Water Mixtures
by Yuxin Bian, Honggen Wu and Wenlong Li
Separations 2025, 12(12), 324; https://doi.org/10.3390/separations12120324 - 21 Nov 2025
Viewed by 581
Abstract
Sinomenine Hydrochloride is a bioactive alkaloid extracted from the root and stem of the medicinal plant sinomenium acutum, and is widely used to treat rheumatoid arthritis. Relevant studies were consulted, and the solubility data of Sinomenine Hydrochloride in ethanol–water mixed solvent have not [...] Read more.
Sinomenine Hydrochloride is a bioactive alkaloid extracted from the root and stem of the medicinal plant sinomenium acutum, and is widely used to treat rheumatoid arthritis. Relevant studies were consulted, and the solubility data of Sinomenine Hydrochloride in ethanol–water mixed solvent have not been reported. It is essential to choose a proper solvent in the process of crystallization that has a significant influence on the purity and productivity. Therefore, it is necessary to determine the solubility of Sinomenine Hydrochloride under the conditions of different ratios of ethanol–water mixed solvent and temperature. In this study, the solubility of Sinomenine Hydrochloride in ethanol–water mixed solvent was determined using high-performance liquid chromatography within the temperature range of 283.15 K–308.15 K. At the same time, the CNIBS/R-K model, Modified Apelblat model, Yaws model, and Apelblat–Jouyban–Acree model were used to fit the solubility data, and the relevant thermodynamic parameters were calculated using the Van’t Hoff model. The results showed that the solubility of Sinomenine Hydrochloride was higher in pure water than in pure ethanol. Moreover, with the increase in the mass fraction of ethanol in the mixed solvent, the solubility of Sinomenine Hydrochloride showed a trend of increasing first and then decreasing. When the ethanol–water ratio was 5:5, the solubility of the compound reached the maximum. In addition, experimental data showed that the solubility of Sinomenine Hydrochloride was affected by temperature. In the experimental temperature range, the solubility increased with the increase in temperature. Among these four solubility models, the CNIBS/R-K model had the best fitting effect; the maximum RAD and RMSD were 4.622 × 10−3 and 4.079 × 10−3, respectively. The thermodynamic model fitting results showed that the predicted values were in good agreement with the experimental data, and the thermodynamic parameters ΔHd, ΔSd, and ΔGd were all positive values. This indicated that the dissolution of Sinomenine Hydrochloride in the ethanol–water mixture was a non-spontaneous and endothermic process. A proper ratio of ethanol–water and temperature improved the solubility of Sinomenine Hydrochloride. The data determined in this study can provide basic data for the industrial purification of Sinomenine Hydrochloride. Full article
Show Figures

Figure 1

22 pages, 1295 KB  
Article
Machine Learning Models for the Prediction of Preterm Birth at Mid-Gestation Using Individual Characteristics and Biophysical Markers: A Cohort Study
by Antonios Siargkas, Ioannis Tsakiridis, Dimitra Kappou, Apostolos Mamopoulos, Ioannis Papastefanou and Themistoklis Dagklis
Children 2025, 12(11), 1451; https://doi.org/10.3390/children12111451 - 25 Oct 2025
Cited by 1 | Viewed by 1729
Abstract
Background/Objectives: Preterm birth (PTB), defined as birth before 37 completed weeks of gestation, is a major global health challenge and a leading cause of neonatal mortality. PTB is broadly classified into spontaneous and medically indicated (iatrogenic), which have distinct etiologies. While prediction is [...] Read more.
Background/Objectives: Preterm birth (PTB), defined as birth before 37 completed weeks of gestation, is a major global health challenge and a leading cause of neonatal mortality. PTB is broadly classified into spontaneous and medically indicated (iatrogenic), which have distinct etiologies. While prediction is key to improving outcomes, there is a lack of models that specifically differentiate between spontaneous and iatrogenic PTB subtypes. This study aimed to develop and validate predictive models for the prediction of spontaneous and iatrogenic PTB at <32, <34, and <37 weeks’ gestation using medical history and readily available second-trimester data. Methods: This was a retrospective cohort study on singleton pregnancies from a single tertiary institution (2012–2025). Predictor variables included maternal characteristics, obstetric history, and second-trimester ultrasound markers. Four algorithms, including multivariable Logistic Regression and three machine learning methods (Random Forest, XGBoost, and a Neural Network), were trained and evaluated on a held-out test set (20% of the data). Model performance was primarily assessed by the Area Under the Curve (AUC). Results: In total, 9805 singleton pregnancies were included. The models performed significantly better for iatrogenic PTB than for spontaneous PTB. For delivery <37 weeks, the highest AUC for iatrogenic PTB was 0.764 (Random Forest), while for spontaneous PTB it was 0.609 (Neural Network). Predictive accuracy improved for earlier gestations; for delivery <32 weeks, the best model for iatrogenic PTB achieved an AUC of 0.862 (Neural Network), and the best model for spontaneous PTB achieved an AUC of 0.749 (Random Forest). Model interpretation revealed that iatrogenic PTB was primarily driven by markers of placental dysfunction, such as estimated fetal weight by ultrasound scan and uterine artery pulsatility index, while spontaneous PTB was most associated with a history of PTB and a short cervical length. Conclusions: Models using routine mid-gestation data demonstrate effective prediction for iatrogenic PTB, with accuracy improving for earlier, more severe cases. In contrast, performance for spontaneous PTB was modest. Traditional Logistic Regression performed comparably to complex machine learning algorithms, highlighting that the clinical value is rooted in the subtype-specific modeling approach rather than in algorithmic complexity. Full article
(This article belongs to the Special Issue Providing Care for Preterm Infants)
Show Figures

Figure 1

31 pages, 4501 KB  
Review
Shifting from Tillage to Cover Cropping in Warm Climate Viticulture: Seeking the Optimal Balance
by Harsh Tiwari, Ginevra Canavera, Francesco Pelusi and Stefano Poni
Agronomy 2025, 15(10), 2245; https://doi.org/10.3390/agronomy15102245 - 23 Sep 2025
Viewed by 2224
Abstract
Vineyard sustainability increasingly focuses on transitioning from traditional soil management practices, such as tillage and herbicides, to environmentally friendly methods like cover cropping and mulching. While this strategy works in cool climates with abundant rainfall, its application in warmer areas is not advisable [...] Read more.
Vineyard sustainability increasingly focuses on transitioning from traditional soil management practices, such as tillage and herbicides, to environmentally friendly methods like cover cropping and mulching. While this strategy works in cool climates with abundant rainfall, its application in warmer areas is not advisable due to potential disadvantages, such as water and nutrient competition from cover crops, which may outweigh the benefits. We examine the pros and cons of vineyard tillage, including data on evaporation rates from wet and dry tilled soils. We explore methodologies to quantify competition between vine roots and grass roots, focusing on distinguishing native versus spontaneous vegetation, duration and extent of cover cropping, species used in sown mixtures, and cover crop water use rates. Novel soil management practices are discussed as alternatives to traditional green manuring, such as mid-row rolling and sub-row sward mulching. The review updates recent approaches for establishing native or sown under-vine cover crops, which, with irrigation, might control native weeds while colonizing shallow soil, allowing grapevine roots to penetrate deeper, moistened soil layers. Promising grasses include creeping species such as Glechoma hederacea, Trifolium subterraneum, and Hieracium pilosella. Finally, we describe three soil management protocols: two suited to dry farm conditions and one involving blue water availability, which may mitigate cover crop competition for water and nutrients while maintaining benefits such as reduced soil erosion, increased soil organic matter, carbon sequestration, and improved machinery access. Full article
Show Figures

Figure 1

36 pages, 17646 KB  
Article
Multifractal Characteristics of Heterogeneous Pore-Throat Structure and Insight into Differential Fluid Movability of Saline-Lacustrine Mixed Shale-Oil Reservoirs
by Wei Yang, Ming Xie, Haodong Hou, Zhenxue Jiang, Yan Song, Shujing Bao, Yingyan Li, Yang Gao, Shouchang Peng, Ke Miao and Weihao Sun
Fractal Fract. 2025, 9(9), 604; https://doi.org/10.3390/fractalfract9090604 - 18 Sep 2025
Cited by 3 | Viewed by 1143
Abstract
The root causes forcing the differential pore-throat performances and crude oil recoverability in heterogeneous shale lithofacies of saline-lacustrine fine-grained mixed sedimentary sequences are still debated. Especially application cases of fractal theory in characterizing pore-throat heterogeneity are still lacking and the significance of differential [...] Read more.
The root causes forcing the differential pore-throat performances and crude oil recoverability in heterogeneous shale lithofacies of saline-lacustrine fine-grained mixed sedimentary sequences are still debated. Especially application cases of fractal theory in characterizing pore-throat heterogeneity are still lacking and the significance of differential multifractal distribution patterns on reservoir assessment remains controversial. This present study focuses on the shale-oil reservoirs in saline-lacustrine fine-grained mixed depositional sequences of the Middle Permian Lucaogou Formation (southern Junggar Basin, NW China), and presents a set of new results from petrographical investigation, field-emission scanning electron microscopy (FE-SEM) imaging, fluid injection experiments (low-pressure N2 adsorption and high-pressure mercury intrusion porosimetry (HMIP)), nuclear magnetic resonance (NMR) spectroscopy and T1-T2 mapping, directional spontaneous imbibition, as well as contact angle measurements. Our results demonstrated that the investigated lithofacies are mainly divided into a total of five lithofacies categories: felsic siltstones, sandy dolomitic sandstones, dolarenites, micritic dolomites, and dolomitic mudstones, respectively. More importantly, the felsic siltstone and sandy dolomitic siltstones can be identified as the most advantageous lithofacies categories exhibiting the strongest movable oil-bearing capacity owing to an acceptable complexity and heterogeneity of mesopore-throat structures, as evidenced by the corresponding moderate fractal dimension of mesopores (D2) from HMIP and apparently lower fractal dimension of movable fluids’ pores (D2) from NMR results. Particularly noteworthy is the relatively poor shale-oil movability recognized in the dolarenites, micritic dolomites, and dolomitic mudstones due to heterogeneous and unfavorable pore-throat systems, even though an acceptable micro-connectivity and a more oleophilic interfacial wettability prevails in crucial dolomitic components. Finally, a comprehensive and conceptual model is established for an effective and characteristic parameter system for assessing differential reservoir petrophysical properties, interfacial wettability, and shale-oil movability concerning heterogeneous lithofacies categories. Our achievements can serve as an analog for investigating saline-lacustrine mixed shale-oil reservoirs to gain a more comprehensive understanding of differential recoverability of dessert reservoir intervals, and to guide the assessment of “sweet spots” distribution and optimization of engineering technique schemes for commercial exploitation. Full article
(This article belongs to the Special Issue Analysis of Geological Pore Structure Based on Fractal Theory)
Show Figures

Figure 1

16 pages, 462 KB  
Article
Antihypertensive Effect of a Self-Microemulsifying System Obtained from an Ethanolic Extract of Heliopsis longipes Root in Spontaneously and L-NAME-Induced Hypertensive Rats
by Dailenys Marrero-Morfa, Beatriz A. Luz-Martínez, Francisco J. Luna-Vázquez, Carlos T. Quirino-Barreda, Isela Rojas-Molina, Martín García-Servín, Pedro A. Vázquez-Landaverde, Victoria Ruiz-Castillo, César Ibarra-Alvarado and Alejandra Rojas-Molina
Molecules 2025, 30(18), 3711; https://doi.org/10.3390/molecules30183711 - 12 Sep 2025
Cited by 1 | Viewed by 1375
Abstract
Arterial hypertension is a major contributor to cardiovascular disease, the leading cause of death globally. Previously, our research group has demonstrated that both organic extracts from Heliopsis longipes roots and affinin—its principal bioactive compound—induce vasodilation and exert antihypertensive effects in L-NAME-induced hypertensive rats. [...] Read more.
Arterial hypertension is a major contributor to cardiovascular disease, the leading cause of death globally. Previously, our research group has demonstrated that both organic extracts from Heliopsis longipes roots and affinin—its principal bioactive compound—induce vasodilation and exert antihypertensive effects in L-NAME-induced hypertensive rats. However, the poor water solubility of these extracts limits their oral administration and dosing. To address this limitation, a self-microemulsifying drug delivery system (HL-SMDS) was developed from an ethanolic extract of H. longipes root to enhance its aqueous solubility and oral bioavailability. This study evaluated the antihypertensive efficacy of HL-SMDS in spontaneously hypertensive and L-NAME-induced hypertensive rat models, as well as its effects on endothelial reactivity. HL-SMDS significantly reduced systolic blood pressure in both models, demonstrating greater efficacy than the crude extract, likely due to improved solubility and systemic bioavailability of the active constituents. Moreover, HL-SMDS enhanced endothelial function in aortas from L-NAME-treated rats. These findings support the potential of HL-SMDS as a lipid-based phytopharmaceutical formulation that improves the oral bioavailability and antihypertensive effect of the ethanolic extract of H. longipes root. HL-SMDS offers a promising strategy for the development of phytopharmaceutical drugs to treat hypertension. Full article
Show Figures

Figure 1

15 pages, 1808 KB  
Article
In Vitro Propagation of the Endangered Kosteletzkya pentacarpos (L.) Ledeb: Conservation Applications and Horticultural Prospects
by Konstantinos Bertsouklis, Eireni Dima, Konstantina-Stamatina Arfani, Apostolos-Emmanouil Bazanis, Nikolaos Ntoulas, Stefanos Kostas, Stefanos Hatzilazarou and Mariacristina Villani
Horticulturae 2025, 11(9), 1086; https://doi.org/10.3390/horticulturae11091086 - 9 Sep 2025
Viewed by 1584
Abstract
Employing rare or threatened species in ornamental horticulture offers a dual benefit by promoting climate adaptation and enhancing species conservation. Kosteletzkya pentacarpos, an endangered halophytic species, holds potential for introduction into the nursery industry, but efficient propagation methods are lacking. The present [...] Read more.
Employing rare or threatened species in ornamental horticulture offers a dual benefit by promoting climate adaptation and enhancing species conservation. Kosteletzkya pentacarpos, an endangered halophytic species, holds potential for introduction into the nursery industry, but efficient propagation methods are lacking. The present study investigated the in vitro propagation of the species using nodal explants excised from aseptic seedlings. A two-stage in vitro culture system was tested with thidiazuron (TDZ) promoting shoot initiation at low concentrations, while higher levels induced callus formation. Transferring micro-shoots to hormone free-, Murashige and Skoog medium (MS) promoted the highest shoot multiplication and elongation. The effect of sodium chloride (NaCl) on in vitro culture was also assessed, with MS media containing up to 5.0 g L−1 NaCl supporting successful culture establishment. Spontaneous rooting was observed during various stages of the culture process. Micro-shoots were rooted at 100.0% on half strength MS medium with or without indole-3-butyric acid, and all plantlets were successfully acclimatized in a peat–perlite substrate (1/1, v/v). Thus, the present protocol provides an efficient system for the large-scale propagation of K. pentacarpos serving as a valuable tool for its conservation and the potential use in the nursery industry. Full article
(This article belongs to the Special Issue Horticulture from an Ecological Perspective)
Show Figures

Figure 1

12 pages, 6471 KB  
Article
The Effects of Co-Culturing ND7/23 Sensory Neuron-like Cells and IFRS1 Schwann Cells on Myelination: A Single-Arm Nonrandomized Study
by Shizuka Takaku and Kazunori Sango
Neurol. Int. 2025, 17(9), 138; https://doi.org/10.3390/neurolint17090138 - 1 Sep 2025
Viewed by 5152
Abstract
Background/Objectives: Co-culture models of neurons and Schwann cells have been used to explore the mechanisms of myelination during development, axonal regeneration after injury, and the pathogenesis of various demyelinating neuropathies. A spontaneously immortalized Fischer rat Schwann cell line 1 (IFRS1), established from [...] Read more.
Background/Objectives: Co-culture models of neurons and Schwann cells have been used to explore the mechanisms of myelination during development, axonal regeneration after injury, and the pathogenesis of various demyelinating neuropathies. A spontaneously immortalized Fischer rat Schwann cell line 1 (IFRS1), established from the primary culture of adult Fischer344 rat peripheral nerves, can myelinate neurites in co-cultures with primary cultured dorsal root ganglion neurons and neuronal cell lines, such as nerve growth factor (NGF)-primed PC12 cells and NSC-34 motor neuron-like cells. In this study, we aimed to establish a stable co-culture system using IFRS1 cells and ND7/23 sensory neuron-like cells. Methods: ND7/23 cells were seeded at a low density (2 × 103/cm2) and maintained for 7 days in serum-containing medium supplemented with NGF (10 ng/mL) and the Rho kinase inhibitor Y27632 (5 μM) to promote neurite elongation. The cells were then treated with the anti-mitotic agent mitomycin C (1 μg/mL) for 12–16 h to suppress proliferative activity. Following this, the cells were co-cultured with IFRS1 cells (2 × 104/cm2) and maintained at 37 °C in serum-containing medium supplemented with ascorbic acid (50 μg/mL), NGF (10 ng/mL), and ciliary neurotrophic factor (10 ng/mL). Results: Double-immunofluorescence staining performed on day 21 of the co-culture revealed myelin protein 22- or myelin basic protein-immunoreactive IFRS1 cells surrounding βIII tubulin-immunoreactive neurites emerging from ND7/23 cells. Myelin formation was further confirmed via Sudan Black B staining and electron microscopy. Conclusions: This co-culture system may provide a valuable tool for studying the processes of myelination in the peripheral nervous system, as well as the pathogenesis of various sensory neuropathies and potential novel therapeutic approaches for these conditions. Full article
Show Figures

Figure 1

Back to TopTop