Sign in to use this feature.

Years

Between: -

Subjects

remove_circle_outline
remove_circle_outline
remove_circle_outline
remove_circle_outline
remove_circle_outline
remove_circle_outline
remove_circle_outline
remove_circle_outline
remove_circle_outline

Journals

remove_circle_outline
remove_circle_outline
remove_circle_outline
remove_circle_outline
remove_circle_outline
remove_circle_outline
remove_circle_outline
remove_circle_outline
remove_circle_outline
remove_circle_outline
remove_circle_outline
remove_circle_outline
remove_circle_outline
remove_circle_outline
remove_circle_outline
remove_circle_outline
remove_circle_outline
remove_circle_outline
remove_circle_outline
remove_circle_outline
remove_circle_outline
remove_circle_outline
remove_circle_outline
remove_circle_outline
remove_circle_outline
remove_circle_outline

Article Types

Countries / Regions

remove_circle_outline
remove_circle_outline
remove_circle_outline
remove_circle_outline

Search Results (1,709)

Search Parameters:
Keywords = sheath

Order results
Result details
Results per page
Select all
Export citation of selected articles as:
24 pages, 544 KB  
Systematic Review
Expression of Molecular Markers Associated with Tenosynovial Giant Cell Tumours and Bone Destruction: A Systematic Review
by Thomas R. W. Ward, Feier Zeng, Robert U. Ashford, Nicholas C. Eastley and Ning Wang
J. Clin. Med. 2026, 15(6), 2238; https://doi.org/10.3390/jcm15062238 - 15 Mar 2026
Abstract
Background/Objectives: Tenosynovial giant cell tumours (TGCT) are a group of mesenchymal tumours involving the synovium, bursae, and tendon sheaths, comprising two subtypes: nodular and diffuse. Although predominantly benign, diffuse forms can be locally aggressive, resulting in bone destruction. The pathogenesis of TGCTs [...] Read more.
Background/Objectives: Tenosynovial giant cell tumours (TGCT) are a group of mesenchymal tumours involving the synovium, bursae, and tendon sheaths, comprising two subtypes: nodular and diffuse. Although predominantly benign, diffuse forms can be locally aggressive, resulting in bone destruction. The pathogenesis of TGCTs is still poorly understood. The aim of this study was to systematically review the current literature on the factors, mechanisms, and markers involved in TGCT disease, focussing on their potential role in bone destruction. Methods: This systematic review was conducted using the PRISMA guidelines. A search was performed using PubMed, Scopus, and Cochrane Library, and all original scientific research into mechanisms/pathways/signalling involving TGCTs was included. Results: After the review process, 51 studies were included for data extraction. Extracted data included authorship, publication year, patient numbers and aetiology (nTGCT/dTGCT), demographics, investigative methods, and studied biological factors, mechanisms, and markers. Cross-tabulation of reported elements revealed 159 unique factors, with most appearing only once. Eight elements were reported five or more times: CSF1, CD68, Ki-67, MMP9, CD163, TRAP, TNF-α, and IL-1β. Although representing just 5% of all identified factors, these appeared in 69% of the included studies, highlighting their prominence in the literature. Conclusions: Apart from the well-known osteoclastogenesis factor CSF1, inflammatory cytokines (TNF-α and IL-1β) and monocyte–macrophage lineage makers (CD68, CD163) are signalling pathways key to TGCT disease progression and associated bone destruction. Full article
(This article belongs to the Section Oncology)
Show Figures

Figure 1

39 pages, 13943 KB  
Article
Characterizing Initial Cervical Spine and Neurovascular Findings in 84 Consecutive Patients with Hypermobile Ehlers–Danlos Syndrome: A Retrospective Study
by Ross A. Hauser, Morgan Griffiths, Ashley Watterson, Danielle Matias and Benjamin R. Rawlings
J. Clin. Med. 2026, 15(6), 2212; https://doi.org/10.3390/jcm15062212 - 14 Mar 2026
Abstract
Background: Hypermobile Ehlers–Danlos syndrome (hEDS) can present as a complex interplay of widespread symptomatology and multisystem involvement, posing diagnostic and treatment challenges. Objective characterization of cervical spine and neurovascular findings in hEDS has been limited. Previous studies have emphasized upper cervical spine [...] Read more.
Background: Hypermobile Ehlers–Danlos syndrome (hEDS) can present as a complex interplay of widespread symptomatology and multisystem involvement, posing diagnostic and treatment challenges. Objective characterization of cervical spine and neurovascular findings in hEDS has been limited. Previous studies have emphasized upper cervical spine complications in hEDS, yet the relevance and mechanisms underlying associated symptomatology have not been elucidated. This study examined objective test findings in patients with hEDS at an outpatient neck clinic to explore cervical spine and neurovascular pathology that could contribute to further understanding the clinical profile of a subset of patients with hEDS. Methods: This single-center, retrospective observational study included patients with hEDS aged 20–50 years from 1 January 2022–31 December 2024, at an outpatient neck center. It excluded previous neck surgery, traumatic events, or related injury. Demographic, clinical, and diagnostic data were collected through a retrospective chart review, including measurements from standard clinical diagnostic protocols: digital motion X-ray (videofluoroscopy), cone beam CT, Doppler ultrasound, and tonometry. Results: More than 71% of patients reported ≥29 symptoms. Nearly all patients exhibited co-occurring forward head, decreased depth of curve, ligamentous cervical instability, and decreased internal jugular vein (IJV) and vagus nerve cross-sectional area (CSA). Vagus nerve CSA was found to be significantly smaller than the comparative healthy/normal population. IJV CSA was significantly smaller at C1 than at C4–C5, suggesting evidence of carotid sheath compression at C1. Conclusions: This study offers novel evidence that cervical spine pathology, IJV compression, and vagus nerve degeneration are uniformly prevalent in hEDS, which may contribute to, or be an etiological basis for, the multisystem involvement in a subset of patients with this disorder. These findings provide hypothesis-generating data to inform future mechanistic and therapeutic studies, including exploration of new diagnostic and treatment targets. Full article
(This article belongs to the Special Issue Clinical Advances in Musculoskeletal Disorders: 2nd Edition)
Show Figures

Figure 1

24 pages, 3654 KB  
Article
Comparison of Ultrasonography, Contrast Radiographic Tenography, Cone-Beam Computed Tomographic Tenography, and Tenoscopy for Lesion Detection Within the Digital Flexor Tendon Sheath of Horses—A Prospective Clinical Trial
by Cassandra B. Sapper, Christoph Koch, Daniela Schweizer, Laura Cunha Silva, Frederik E. Pauwels, Micael D. Klopfenstein, Mathieu de Preux and Elke Van der Vekens
Vet. Sci. 2026, 13(3), 268; https://doi.org/10.3390/vetsci13030268 - 13 Mar 2026
Viewed by 62
Abstract
Lesions of the tendons and manica flexoria (MF) within the digital flexor tendon sheath (DFTS) are a common cause for lameness in horses. This prospective study compared and quantified the agreement and disagreement of positive contrast computed tomographic tenography (CTT), positive contrast radiographic [...] Read more.
Lesions of the tendons and manica flexoria (MF) within the digital flexor tendon sheath (DFTS) are a common cause for lameness in horses. This prospective study compared and quantified the agreement and disagreement of positive contrast computed tomographic tenography (CTT), positive contrast radiographic tenography (RXT), ultrasonography (US) and tenoscopy for diagnosing naturally occurring lesions within the DFTS, without application of a gold standard. Lesions affecting the deep (DDFT) and/or superficial digital flexor tendon (SDFT), and/or the MF and/or constriction of the palmar/plantar annular ligament (PAL) were evaluated in eighteen horses with distention of the DFTS. For DDFT lesions, comparing CTT with tenoscopy, US, and the combined results of US and RXT (US+RXT) attained the highest agreements, with 83% matching results (κ: 0.65). For SDFT lesions, CTT and tenoscopy showed the highest agreement with 94% matching results (κ: 0.89), followed by tenoscopy with US+RXT (78%; κ: 0.56). The highest agreement for MF-tear detection was found comparing CTT with tenoscopy (83%; κ: 0.67), followed by CTT with RXT (78%; κ: 0.56). None of the modalities agreed on positive diagnoses of PAL constriction. CTT achieved the highest agreement with tenoscopy and US for the diagnosis of lesions within the DDFT and is, therefore, considered the most useful modality for preoperative evaluation. Full article
(This article belongs to the Section Veterinary Surgery)
Show Figures

Figure 1

18 pages, 3067 KB  
Systematic Review
Efficacy and Safety of Flexible and Navigable Suction Ureteral Access Sheath Versus Conventional Ureteral Access Sheath in Retrograde Intrarenal Surgery: An Updated Systematic Review and Meta-Analysis
by Seok Cho, Joo Yong Lee, Hae Do Jung and Min Gu Park
Medicina 2026, 62(3), 536; https://doi.org/10.3390/medicina62030536 - 13 Mar 2026
Viewed by 63
Abstract
Background and Objectives: Ureteral access sheaths (UASs) are widely used in retrograde intrarenal surgery (RIRS) to facilitate irrigation and instrument access. Recently, flexible and navigable suction UASs (FANS-UASs) have been developed to enhance visibility and stone fragment evacuation; however, their comparative effectiveness [...] Read more.
Background and Objectives: Ureteral access sheaths (UASs) are widely used in retrograde intrarenal surgery (RIRS) to facilitate irrigation and instrument access. Recently, flexible and navigable suction UASs (FANS-UASs) have been developed to enhance visibility and stone fragment evacuation; however, their comparative effectiveness remains uncertain. This study aimed to evaluate the clinical outcomes of FANS-UAS versus conventional UAS during RIRS for renal stones. Materials and Methods: A systematic review and meta-analysis were performed following PRISMA guidelines. PubMed, Embase, and the Cochrane Library were searched through May 2025 for comparative studies of FANS-UAS and conventional UAS. Study quality was assessed using the Scottish Intercollegiate Guidelines Network checklist. Primary outcomes included stone-free rate (SFR), operative time, complications, and hospital stay. Subgroup analyses were conducted according to stone size (≤2 cm vs. >2 cm). Results: Nine studies involving 1791 patients were included. FANS-UAS demonstrated a significantly higher SFR (OR = 5.99, 95% CI: 2.86–12.51; I2 = 86.7%) and fewer complications (OR = 0.33, 95% CI: 0.23–0.45; I2 = 0%). Operative time and hospital stay did not differ significantly between groups. Subgroup analysis showed no significant SFR difference for stones ≤2 cm, whereas for stones >2 cm, FANS-UAS tended to yield higher SFR—though based on limited evidence. Conclusions: FANS-UASs appear to improve stone clearance and reduce perioperative complications in RIRS without increasing operative burden. While further high-quality randomized trials are needed, current evidence supports the growing adoption of FANS-UAS in endourological practice. Full article
(This article belongs to the Section Urology & Nephrology)
Show Figures

Figure 1

17 pages, 4638 KB  
Article
Simulation Analysis of the Effects of Barrier Defects on the Electro–Thermal Fields of the XLPE Cable Buffer Layer
by Shili Liu and Zhenhao Wei
Energies 2026, 19(6), 1433; https://doi.org/10.3390/en19061433 - 12 Mar 2026
Viewed by 143
Abstract
With the increasing number of failures in high-voltage cross-linked polyethylene cables caused by buffer layer ablation, it is of great significance to investigate the electro–thermal coupling characteristics and ablation driving mechanisms under different defect conditions. Based on a multiphysics coupling model, an electro–thermal [...] Read more.
With the increasing number of failures in high-voltage cross-linked polyethylene cables caused by buffer layer ablation, it is of great significance to investigate the electro–thermal coupling characteristics and ablation driving mechanisms under different defect conditions. Based on a multiphysics coupling model, an electro–thermal coupled simulation of the cable buffer layer and corrugated aluminum sheath was carried out, considering three typical defect types: air-gap barrier, moisture ingress, and white-powder barrier. The distributions of air-gap electric field, interfacial current density, temperature, and heat source were systematically analyzed. From the perspective of ablation mechanisms, the maximum air-gap electric field and its spatial location, as well as the maximum temperature of the buffer layer and its corresponding region, were investigated under different defect conditions. Meanwhile, the probabilities of electrical ablation and thermal ablation, together with their corresponding threshold parameters, were quantitatively evaluated. The results show that when an air-gap barrier exists between the buffer layer and the aluminum sheath, air breakdown may occur when the air-gap thickness is approximately 0.01–0.05 mm. When the buffer layer is moisture-contaminated and the defect length exceeds approximately 2 m, the buffer layer temperature may exceed 165 °C. When white-powder precipitates in the buffer layer, partial discharge may be initiated at the early stage. With the increase in powder barrier proportion, the buffer layer temperature may exceed approximately 220 °C. It should be noted that these critical characteristics are obtained under the simulation conditions of this study. The specific values depend on material parameters and operating conditions and can provide theoretical support for cable operation condition assessment. Full article
Show Figures

Figure 1

18 pages, 1490 KB  
Review
Physiological Functions of Side-Chain-Retaining Sterols in the Brain and Their Roles in Neurodegenerative Diseases
by Yoshimitsu Kiriyama, Akira Nakatsuma, Hiroshi Tokumaru, Hisayo Sadamoto and Hiromi Nochi
Metabolites 2026, 16(3), 189; https://doi.org/10.3390/metabo16030189 - 11 Mar 2026
Viewed by 87
Abstract
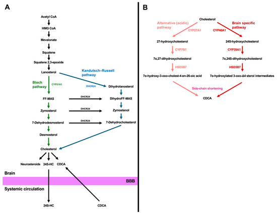
Although the brain comprises only 2% of total body weight, it contains approximately 23% of the total cholesterol of the body. In the brain, cholesterol plays a critical role as a structural component of cell membranes and myelin sheaths. However, the blood–brain barrier [...] Read more.
Although the brain comprises only 2% of total body weight, it contains approximately 23% of the total cholesterol of the body. In the brain, cholesterol plays a critical role as a structural component of cell membranes and myelin sheaths. However, the blood–brain barrier restricts cholesterol influx from the systemic circulation into the brain. As a result, the brain synthesizes cholesterol de novo and regulates its metabolism independently. Desmosterol, a cholesterol precursor produced during cholesterol biosynthesis, and cholesterol metabolites, 24S-hydroxycholesterol and chenodeoxycholic acid, are sterols with structurally retained side chains. These side-chain-retaining sterols have traditionally been regarded as intermediates in the cholesterol synthesis process or as metabolites for cholesterol excretion, but accumulating evidence indicates that they also function as physiologically active signaling molecules that influence brain function via nuclear receptors, such as liver X receptors, and membrane receptors, such as NMDA receptors. Through nuclear receptors, these side-chain-retaining sterols regulate the transcription of genes involved in lipid transport, inflammation control, and amyloid clearance, while their membrane receptor action enables rapid synaptic effects. These side-chain-retaining sterols mediate metabolic crosstalk between neurons and glial cells and contribute to maintaining cholesterol balance in the developing brain. Furthermore, these side-chain-retaining sterols have been shown to affect amyloid-β clearance, α-synuclein aggregation, neuroinflammation, mitochondrial function, and remyelination. Dysregulation of these side-chain-retaining sterols is associated with neurodegenerative diseases such as Alzheimer’s disease and Parkinson’s disease. Overall, side-chain-retaining sterols are important regulators of brain physiology. This review focuses on the current knowledge regarding the physiological functions of side-chain-retaining sterols in the brain and their roles in neurodegenerative diseases. Full article
(This article belongs to the Special Issue Metabolomics in Neurodegenerative Diseases, 2nd Edition)
Show Figures

Figure 1

19 pages, 5053 KB  
Article
3D Forward Modeling of Borehole-to-Surface Electromagnetic Method with Steel Casing Based on Cylindrical Grid and Analysis of Effective Detection Depth
by Qinrun Yang, Jianhua Yue, Maojin Tan, Ze Bai, Wenkai Wang, Bo Li, Kailiang Lu, Bincheng Wang and Haoyan Zhao
Appl. Sci. 2026, 16(6), 2647; https://doi.org/10.3390/app16062647 - 10 Mar 2026
Viewed by 139
Abstract
The borehole-to-surface electromagnetic (BSEM) method is widely employed in oil and gas exploration and downhole monitoring. However, the strength of the ground observation signals of the BSEM method is affected by the metal steel casing in the well. To investigate the response characteristics [...] Read more.
The borehole-to-surface electromagnetic (BSEM) method is widely employed in oil and gas exploration and downhole monitoring. However, the strength of the ground observation signals of the BSEM method is affected by the metal steel casing in the well. To investigate the response characteristics of the BSEM method under metal casing conditions, this study performed three-dimensional BSEM forward modeling based on a cylindrical grid. The finite volume method was adopted to discretize and solve the governing equations of the electromagnetic field, and the cylindrical grid was partitioned in accordance with the axisymmetric geometric features of the wellbore-casing system, thereby achieving high-precision adaptation to the well structure. To explore the impact of metal casing in an alternating electromagnetic field, four typical models were established: a linear source, a long metal wire, a metal casing, and a casing with a cement sheath. The characteristics of ground signals under low-frequency alternating emission conditions were systematically studied. By comparing the simulation results with the 1D analytical solution, this method was verified to have high numerical accuracy, which can accurately reflect the responses of a metal casing and multiple media interfaces to the alternating electromagnetic field. Based on comparative analysis, the differences in underground electromagnetic field distributions among different source models and their applicable ranges were clarified, and the applicable scenarios and effective detection depths of different models in actual monitoring were explored. This research provides numerical simulation cases to investigate the role of metal casings in BSEM observations, and also lays a theoretical foundation for the interpretation of downhole electromagnetic data, which is of positive significance for improving the effect of applying BSEM technology in oil and gas exploration. Full article
Show Figures

Figure 1

23 pages, 972 KB  
Review
Three-Dimensional Printing of the Epineurium for Peripheral Nerve Repair: A Comprehensive Review of Novel Scaffolds for Nerve Conduits
by Alynah J. Adams, Iulianna C. Taritsa, Kaavian Shariati, Aaron I. Dadzie, Jose A. Foppiani, Maria Jose Escobar-Domingo, Daniela Lee, Angelica Hernandez-Alvarez, Kirsten Schuster, Helen Xun and Samuel J. Lin
Biomimetics 2026, 11(3), 196; https://doi.org/10.3390/biomimetics11030196 - 8 Mar 2026
Viewed by 300
Abstract
Background: Nerve conduits are used to bridge peripheral nerve defects caused by trauma, iatrogenic injury, or oncologic disruption. Three-dimensional (3D) biomimetic scaffolds for peripheral nerve regeneration have advanced significantly in recent years, driven by improvements in printing technology and neuronal seeding techniques. We [...] Read more.
Background: Nerve conduits are used to bridge peripheral nerve defects caused by trauma, iatrogenic injury, or oncologic disruption. Three-dimensional (3D) biomimetic scaffolds for peripheral nerve regeneration have advanced significantly in recent years, driven by improvements in printing technology and neuronal seeding techniques. We report on published designer conduits that can recreate the epineurium, a critical yet challenging-to-manufacture feature of nerve tissue. Methods: A medical librarian conducted a literature search for our systematic review on EMBASE, Web of Science, and PUBMED, following PRISMA guidelines, for articles from January 2010 to January 2026 for the systematic review. Descriptive statistical analysis was performed using Microsoft 365 Suite software. The literature review was conducted using keywords and search terms describing the history and development of 3DP nerve guidance conduits published prior to January 2026. Results: Our search yielded 273 titles, of which 8 were included after full-text review; these studies used 3D printing to generate nerve conduits for preclinical models. Manual data extraction identified studies reporting successful epineurial recreation. The included scaffold materials were polycaprolactone, poly(l-lactide-co-ε-caprolactone), poly(lactic-co-glycolic acid), acrylate resin, and gelatin methacryloyl. In animal model studies, various terms were used to describe the epineurium outer sheath. Despite this variability in nomenclature, many of these reports indicated successful sciatic functional index (SFI) recovery, favorable g-ratios, good durability, high cell viability, and significant neurite elongation at the time of sacrifice. Conclusions: 3DP nerve conduits targeting the epineurium are promising approaches for treating peripheral nerve defects. The constructs promote oriented growth and myelination. Future research on incorporating the epineurium into nerve scaffolds may consider encapsulating NGF to promote more efficient nerve regeneration, standardizing the definition of epineurial recreation, designing mechanical and permeability reporting benchmarks, and evaluating cell strategies using comparable functional and histologic endpoints. Full article
Show Figures

Graphical abstract

22 pages, 588 KB  
Review
Evolution of Percutaneous Nephrolithotomy (PCNL) from Standard to Miniaturized and Ultra-Mini Techniques: A Narrative Review
by Mladen Doykov, Jasmin Gurung, Usman Khalid, Gancho Kostov, Bozhidar Hristov, Petar Uchikov, Krasimir Kraev, Lyubomir Chervenkov and Elizabet Karen Dzhambazova
Medicina 2026, 62(3), 484; https://doi.org/10.3390/medicina62030484 - 4 Mar 2026
Viewed by 281
Abstract
Background and Objectives: Because of its consistently high stone-free rates (SFRs), percutaneous nephrolithotomy (PCNL) continues to be the first-line treatment for renal stones larger than 20 mm. Standard 24 to 30 Fr access tracts, however, are linked to access-related morbidity, such as bleeding, [...] Read more.
Background and Objectives: Because of its consistently high stone-free rates (SFRs), percutaneous nephrolithotomy (PCNL) continues to be the first-line treatment for renal stones larger than 20 mm. Standard 24 to 30 Fr access tracts, however, are linked to access-related morbidity, such as bleeding, pain, and extended hospital stays. These restrictions have led to progressive tract miniaturization and the development of mini-PCNL, ultra-mini PCNL, and micro-PCN techniques. Materials and Methods: We performed a narrative review of studies published through January 2026 using PubMed and Google Scholar. Search terms included percutaneous nephrolithotomy, mini-PCNL, ultra-mini PCNL, micro-PCNL, and vacuum-assisted PCNL. Original studies, systematic reviews, and meta-analyses reporting clinical outcomes, complications, and advancements were selected, whereas conference abstracts, non-English papers, and articles without accessible full text were excluded. Results: Across randomized trials, miniaturized PCNL generally preserves efficacy when patients are selected appropriately. Across randomized trials and meta-analyses, miniaturized PCNL achieved stone-free rates comparable to standard PCNL (typically ~80–90% for stones ≤20 mm and similar rates in selected stones >2 cm), while demonstrating lower hemoglobin decrease (mean difference approximately −0.6 to −1.0 g/dL), reduced transfusion rates, and shorter hospital stays, at the cost of longer operative time (mean difference ~8–12 min). On the other hand, operative time may increase, and smaller working channels can make visualization and fragment evacuation more demanding as stone burden rises. Raised intrarenal pressure is a recurring safety issue because it may increase infectious risk unless drainage is actively managed. Recent innovations aim to address these limitations, including vacuum-assisted access sheaths, pressure-controlled irrigation, improved laser and lithotripsy platforms, image-fusion guidance, navigation systems, and robotic assistance. Conclusions: PCNL now spans a spectrum of tract sizes rather than a single standard approach. When chosen appropriately and performed with attention to pressure control and fragment evacuation, miniaturized PCNL can reduce morbidity without sacrificing stone clearance. Future advancements in percutaneous stone surgery are more likely to rely on integrated technological solutions that improve accuracy, safety, and repeatability than on additional tract size reduction. Full article
(This article belongs to the Section Urology & Nephrology)
Show Figures

Figure 1

28 pages, 2499 KB  
Article
Cross-Bonded Cable Circuits Identification Based on Deep Embedded Clustering of Sheath Current Sensing
by Hang Wang, Zhi Li, Wenfang Ding, Jing Tu, Liqiang Wang and Jun Chen
Sensors 2026, 26(5), 1591; https://doi.org/10.3390/s26051591 - 3 Mar 2026
Viewed by 276
Abstract
Online identification of HV cable circuits is vital for routine inspection and maintenance, yet existing passive electromagnetic wave injection methods are limited to offline operations. To fill the gap and achieve the online identification of HV cable circuits, an online circuit identification methodology [...] Read more.
Online identification of HV cable circuits is vital for routine inspection and maintenance, yet existing passive electromagnetic wave injection methods are limited to offline operations. To fill the gap and achieve the online identification of HV cable circuits, an online circuit identification methodology based on sheath current temporal characteristics and deep embedded clustering is proposed. First, an equivalent circuit model of the multi-circuit cross-bonded cable sheath was built to deduce the temporal similarity of sheath currents within the same circuit, establishing the identification criterion. Second, the robustness of the temporal similarity under various operating conditions was verified via simulation based on the Dynamic Time Warping (DTW) distance. Then, a combined model of Temporal Convolutional Network Autoencoder (TCN-AE) and K-medoids was established to transform circuit identification into a temporal clustering problem of sheath currents, realizing circuit determination by synchronously monitoring the time-series sheath current data of multi-circuit HV cross-bonded cables. The method was verified on a full-scale 110 kV cable test platform. The results show that the identification accuracy reached 95.37%, and the proposed method can effectively identify the circuits of cross-bonded cables with high robustness against the domain gap, having significant engineering application value. Full article
(This article belongs to the Special Issue Sensor-Based Fault Diagnosis and Prognosis)
Show Figures

Figure 1

15 pages, 1255 KB  
Case Report
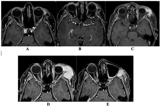
The Complexities of Periorbital Neurofibroma: Diagnostic Ambiguity and Therapeutic Dilemmas: A Case Report and Literature Review
by Marijus Leketas, Gerda Kilinskaitė, Nida Kilinskaitė, Goda Miniauskienė, Žygimantas Petronis and Audra Janovskienė
Diagnostics 2026, 16(5), 732; https://doi.org/10.3390/diagnostics16050732 - 1 Mar 2026
Viewed by 226
Abstract
Background: Periorbital tumors represent a diagnostic challenge due to overlapping clinical and histopathological features. Case presentation: We present the case of a 57-year-old female with a recurrent left lower eyelid lesion initially diagnosed as malignant melanoma. Over a seven-year course, the patient underwent [...] Read more.
Background: Periorbital tumors represent a diagnostic challenge due to overlapping clinical and histopathological features. Case presentation: We present the case of a 57-year-old female with a recurrent left lower eyelid lesion initially diagnosed as malignant melanoma. Over a seven-year course, the patient underwent multiple surgical excisions, radiotherapy, systemic therapies, and repeated imaging. Histopathological findings alternated between melanoma, neuroma, hybrid peripheral nerve sheath tumor, and ultimately neurofibroma (NF1). Immunohistochemical staining repeatedly demonstrated positivity for S100 and SOX10, with variable expression of melanocytic markers, underscoring the diagnostic ambiguity between desmoplastic melanoma and NF. Despite multiple interventions, including Pembrolizumab therapy and orbital exenteration, tumor progression persisted. This case highlights the considerable difficulty in distinguishing melanoma from neurofibroma in the periorbital region, particularly when histological and immunohistochemical profiles overlap. Conclusions: Accurate diagnosis requires a multidisciplinary approach, repeated reassessment, and awareness of rare presentations. Our report emphasizes the importance of integrating clinicopathological data and selected molecular diagnostics to optimize management of such complex cases. Full article
Show Figures

Figure 1

19 pages, 4182 KB  
Article
Experimental Evaluation of Sealing Performance at the First and Second Interfaces of Cement Sheath Under Cyclic Loading
by Qiqi Ying, Lei Wang, Zhenhui Bi, Yintong Guo, Yuxiang Jing and Chuanfu Sun
Processes 2026, 14(5), 805; https://doi.org/10.3390/pr14050805 - 28 Feb 2026
Viewed by 227
Abstract
With the development of unconventional oil and gas resources (such as shale gas and tight oil/gas), the widespread application of multistage fracturing technology has significantly increased the difficulty of wellbore integrity maintaining. The cement sheath serves as the core barrier for preserving wellbore [...] Read more.
With the development of unconventional oil and gas resources (such as shale gas and tight oil/gas), the widespread application of multistage fracturing technology has significantly increased the difficulty of wellbore integrity maintaining. The cement sheath serves as the core barrier for preserving wellbore integrity, particularly at the first interface (cement–casing) and the second interface (cement–formation). The high temperature, high pressure, and cyclic dynamic loading imposed by multistage fracturing represent severe challenges to the integrity of cement sheath. To simulate underground conditions realistically, a high-temperature, complex stress path loading system coupled with real-time gas flow monitoring was developed. Using this system, gas leakage monitoring and displacement-controlled cyclic loading tests were conducted on cement–steel (simulating the first interface) and cement–shale (simulating the second interface) composite specimens. It focused on investigating the effects of different temperatures, cyclic stress levels, and cycle counts on the sealing performance of the cement–steel and cement–shale composites. The findings reveal that elevated temperatures significantly degrade cement properties and accelerate damage accumulation. Cyclic stress levels and cycle counts are core drivers of interface fatigue failure, exhibiting synergistic destructive effects with temperature. The first interface is more prone to seal failure due to material property differences and a relatively high stress level. This research elucidates the cumulative damage mechanism underlying interfacial seal failure. It is of significant engineering implications for enhancing well safety and development efficiency. Full article
(This article belongs to the Special Issue Advanced Research on Marine and Deep Oil & Gas Development)
Show Figures

Figure 1

23 pages, 5843 KB  
Article
Electrospun PLA/PVP K90 Biphasic-Release Sublingual Film for Motion Sickness Treatment
by Wenwen Zhang, Qilin Wang, Wei Yi, Hongxi Wang, Deng-Guang Yu and Tao Yi
Biomolecules 2026, 16(3), 363; https://doi.org/10.3390/biom16030363 - 28 Feb 2026
Viewed by 233
Abstract
To overcome the limitations of traditional motion sickness medications—slow onset of action, short duration of efficacy, and poor patient compliance—this study employed coaxial electrospinning technology. Poly(lactic acid) (PLA) and polyvinylpyrrolidone K90 (PVP K90) were used as composite carrier materials. The sheath layer is [...] Read more.
To overcome the limitations of traditional motion sickness medications—slow onset of action, short duration of efficacy, and poor patient compliance—this study employed coaxial electrospinning technology. Poly(lactic acid) (PLA) and polyvinylpyrrolidone K90 (PVP K90) were used as composite carrier materials. The sheath layer is composed of highly hydrophilic PVP K90, loaded with the antihistamine diphenhydramine (DPH). The core layer, composed of biodegradable PLA with excellent sustained-release properties, carries the anticholinergic drug scopolamine hydrobromide (SH). This core–sheath nanostructured nanofiber sublingual film delivers dual anti-motion sickness drugs. A series of characterization tests revealed that the sublingual membrane exhibits a linear morphology with a distinct core–shell nanostructure. The drugs DPH and SH are distributed in an amorphous state within the sheath and core layers, respectively. Wetting performance tests indicate that the membrane’s wettability falls between those of monofilament membranes. In vitro drug release experiments revealed that DPH exhibited a “rapid onset + sustained release” biphasic profile, with cumulative release reaching 60% within 2 h and approaching complete release by 10 h, primarily via Fickian diffusion (n = 0.30). SH exhibited prolonged sustained release, approaching complete release at 12 h via non-Fickian diffusion (n = 0.55). Cytotoxicity and vital/necrotic staining experiments mutually corroborated that cell viability remained above 80%, further validating the safety and efficacy of PLA/PVP as a combined drug delivery carrier. This study provides a novel delivery system for motion sickness treatment, offering significant theoretical value and broad clinical application prospects. Full article
(This article belongs to the Special Issue Advances in Nano-Based Drug Delivery: Unveiling the Next Frontier)
Show Figures

Graphical abstract

15 pages, 2394 KB  
Article
Prolonged Mitogen-Activated Protein Kinase Kinase (MEK) Inhibition Induces Increase in Proteolysis and Compensatory Phosphorylation of MEK and Protein Kinase B (AKT) in Plexiform Neurofibroma Cells
by Kyungmin Ji, John F. Callaghan, Thomas J. Ridella and Raymond R. Mattingly
Cells 2026, 15(5), 434; https://doi.org/10.3390/cells15050434 - 28 Feb 2026
Viewed by 279
Abstract
Plexiform neurofibromas associated with neurofibromatosis type I (pNF1s) are benign tumors caused by the complete loss of function of the NF1 gene, which encodes a negative regulator of the RAS/mitogen-activated protein kinase (MAPK) pathway. pNF1s carry a significant risk of progression to malignant [...] Read more.
Plexiform neurofibromas associated with neurofibromatosis type I (pNF1s) are benign tumors caused by the complete loss of function of the NF1 gene, which encodes a negative regulator of the RAS/mitogen-activated protein kinase (MAPK) pathway. pNF1s carry a significant risk of progression to malignant peripheral nerve sheath tumors (MPNSTs), which are highly aggressive and largely incurable. FDA-approved mitogen-activated protein kinase kinase (MEK) inhibitors, selumetinib and mirdametinib, have shown ~30% tumor shrinkage in 70% and 42% pNF1 patients, respectively. However, not all pNF1s respond to MEK inhibition, and treatment is often associated with adverse effects such as dermatologic and gastrointestinal toxicities, underscoring the need for improved therapeutic strategies with minimal side effects. Here, we demonstrate that prolonged MEK inhibition increases proteolytic activity in 3D pNF1 tumor structures, consistent with enhanced extracellular matrix degradation. Prolonged treatment with four mechanistically and chemically distinct MEK inhibitors consistently reduced ERK phosphorylation, a downstream effector of the RAS/MAPK pathway, yet induced adaptive phosphorylation of MEK and AKT in pNF1 tumor cells. Phosphorylation of MEK is required for its catalytic activation and subsequent phosphorylation of ERK. Increased MEK phosphorylation in the presence of MEK inhibitors reflects upstream pathway reactivation but does not lead to ERK phosphorylation and activation because of the presence of the inhibitor. This response was also observed in MPNST cell lines treated with MEK inhibitors. These findings suggest that adaptive activation of upstream and parallel survival pathways may counteract the intended effects of MEK inhibition and support the rationale for combination strategies to improve therapeutic outcomes in NF1-associated tumors. Full article
(This article belongs to the Section Cell Microenvironment)
Show Figures

Figure 1

24 pages, 2977 KB  
Article
Combined Salt and Heat Stress Aggravates Oxidative Stress and Photosynthetic Damage, Disrupting Carbon and Nitrogen Metabolism and Yield in Rice
by Lin Li, Jie Xu, Jinqi Liu, Wenhao Bi, Yingjiang Li, Aibin He, Xiayu Guo and Zhiyong Ai
Antioxidants 2026, 15(3), 308; https://doi.org/10.3390/antiox15030308 - 28 Feb 2026
Viewed by 333
Abstract
In the context of global climate change, the co-occurrence of salt and heat stress represents a major constraint to rice production, resulting in greater yield penalties than either stress alone. This study aimed to assess the effects of salt and heat stress on [...] Read more.
In the context of global climate change, the co-occurrence of salt and heat stress represents a major constraint to rice production, resulting in greater yield penalties than either stress alone. This study aimed to assess the effects of salt and heat stress on oxidative homeostasis, photosynthetic performance, carbon (C)–nitrogen (N) metabolism, and rice yield. The experiment comprised four treatments, i.e., control (CK), salt (irrigation with 3.9 dS m−1 NaCl solution), heat (exposure to 36 °C/30 °C day/night for 5 days at panicle initiation), and combined salt + heat stress. Results showed that combined stress enhanced reactive oxygen species (ROS) accumulation (i.e., H2O2 content and O2 contents were 1.3 and 1.5 times higher than CK), and the activities of superoxide dismutase (SOD), peroxidase (POD), and catalase (CAT) were increased by 64.6%, 69.5%, and 74.8% higher than CK. At the molecular level, salt + heat stress upregulated antioxidant defense-related genes, i.e., OsAPX2, OsSODCC1, and OsAPX1, while significantly downregulated ion homeostasis-related genes, i.e., OsSOSs, OsHKT1;3, OsHKT1;5, and OsNHX4, and photosynthesis-related genes, i.e., Ospsbo, OsRbcS2, and OsRbcS3, compared with CK. Furthermore, salt + heat stress reduced the activities of C-metabolism enzymes (sucrose phosphate synthase, sucrose synthase, and starch synthase) and N-metabolism enzymes (nitrate reductase, glutamine synthetase, and glutamate synthase), leading to 34.3% and 18.6% lower stem-sheath non-structural carbohydrate accumulation in stem sheath and its translocation rate, respectively, while total N accumulation decreased by 42.9%, as compared with CK. Ultimately, these cascading effects inhibited panicle development and reduced yield. The findings provide a theoretical basis for improving rice tolerance to combined abiotic stresses by targeting oxidative stress mitigation, photosynthetic protection, and key stress-responsive gene regulation. Full article
(This article belongs to the Special Issue Oxidative Stress and Antioxidant Defense in Crop Plants, 2nd Edition)
Show Figures

Figure 1

Back to TopTop