Sign in to use this feature.

Years

Between: -

Subjects

remove_circle_outline
remove_circle_outline
remove_circle_outline
remove_circle_outline
remove_circle_outline
remove_circle_outline
remove_circle_outline
remove_circle_outline
remove_circle_outline

Journals

remove_circle_outline
remove_circle_outline
remove_circle_outline
remove_circle_outline
remove_circle_outline
remove_circle_outline
remove_circle_outline
remove_circle_outline
remove_circle_outline
remove_circle_outline
remove_circle_outline

Article Types

Countries / Regions

remove_circle_outline
remove_circle_outline
remove_circle_outline
remove_circle_outline

Search Results (316)

Search Parameters:
Keywords = post-dilation

Order results
Result details
Results per page
Select all
Export citation of selected articles as:
16 pages, 7117 KB  
Article
Morphological Description and Physiological Changes in the Hindgut of Female Asiophrida xanthospilota (Chrysomelidae, Coleoptera) Across Reproductive Stages
by Jacob M. Muinde, Ze-Qun Dong, Caren A. Ochieng, Wei Wang, Esther N. Kioko, Le Zong, Wen-Jie Li, Cong-Qiao Li, Si-Pei Liu, Zheng-Zhong Huang and Si-Qin Ge
Insects 2026, 17(1), 97; https://doi.org/10.3390/insects17010097 - 14 Jan 2026
Abstract
Fecal retention is a distinctive reproductive strategy in certain leaf beetles, which enables females to use accumulated fecal material to protect their eggs and enhance offspring survival. The adult flea beetle Asiophrida xanthospilota (Baly, 1881) is a specialist herbivore that feeds on the [...] Read more.
Fecal retention is a distinctive reproductive strategy in certain leaf beetles, which enables females to use accumulated fecal material to protect their eggs and enhance offspring survival. The adult flea beetle Asiophrida xanthospilota (Baly, 1881) is a specialist herbivore that feeds on the leaves of Cotinus coggygria Scop. (Anacardiaceae). Using light microscopy, scanning electron microscopy, and micro-computed tomography, we described and illustrated the hindgut anatomy of adult female A. xanthospilota during the pre-mated and post-mated reproductive phases. We further examined the physiological changes in the hindgut associated with fecal retention, and assessed hindgut muscle activity across these two reproductive stages. The hindgut of adult A. xanthospilota consists of three regions: ileum, colon, and rectum. The ileum is a thin, straight or coiled, tube enclosed by malpighian tubules and supported by circular and longitudinal muscles. The colon lies between the ileum and rectum, possesses a chitinized cuticle, and is externally covered with tracheae and tracheoles. A rectal valve separates the colon from the rectum, which forms the posterior end of the alimentary canal and is characterized by intimal spines and robust circular muscles. During the post-mated phase, fecal retention causes pronounced dilation of the hindgut, substantially increasing the volume occupied by food remnants. Electromyographic recordings revealed high hindgut muscle activity in pre-mated females, characterized by short and variable bursts, whereas post-mated females exhibited reduced activity with longer and more sustained bursts. The functional implications of these specialized structural features are discussed. Overall, these morphological and physiological adaptations enhance the fecal retention strategy by increasing fecal capacity, regulating hindgut motility, and enabling the formation of a protective fecal case around the egg mass. Full article
(This article belongs to the Section Insect Physiology, Reproduction and Development)
Show Figures

Figure 1

14 pages, 914 KB  
Article
Pupillary Pain Index-Guided Postoperative Pain Therapy in ENT Surgery: A Randomized Trial
by Marita Windpassinger, Michal Prusak, Lusine Yeghiazaryan, Robin Ristl, Sascha Ott, Lukas M. Müller-Wirtz and Kurt Ruetzler
J. Clin. Med. 2026, 15(2), 462; https://doi.org/10.3390/jcm15020462 - 7 Jan 2026
Viewed by 127
Abstract
Background: Postoperative pain levels and opioid requirements vary considerably, even among patients undergoing similar surgical interventions. The pupillary pain index—a pupillometry-derived measure of nociception-antinociception balance—may help individualize postoperative analgesia. We therefore tested the hypothesis that a pupillary pain index-guided opioid titration at the [...] Read more.
Background: Postoperative pain levels and opioid requirements vary considerably, even among patients undergoing similar surgical interventions. The pupillary pain index—a pupillometry-derived measure of nociception-antinociception balance—may help individualize postoperative analgesia. We therefore tested the hypothesis that a pupillary pain index-guided opioid titration at the end of surgery reduces postoperative pain and opioid consumption compared with standard care. Methods: At the end of surgery, a portable infrared pupilometer was used to measure pupillary dilation reflex during stepwise tetanic stimulation (10–60 mA), generating a pupillary pain index score. Adult patients undergoing elective ear-nose-throat surgery under general anesthesia were randomized to pupillary pain index-guided opioid therapy or standard care. Opioid administration in the pupillary pain index group followed predefined pupillary pain index cutoffs; in the control group, analgesia was managed per routine practice. Postoperative opioid consumption and pain—assessed using a numerical rating scale (NRS, 0–10)—were recorded every 30 min for 2 h in the post-anesthesia care unit. Linear models with covariates including remifentanil, weight, nose surgery, and sex were calculated to compare outcomes between groups. Results: Mean (±SD) opioid consumption during the first 2 postoperative hours was 4.9 ± 4.3 mg in the pupillary pain index-guided group and 6.5 ± 4.3 mg in the control group (adjusted p = 0.12). Mean pain scores were 2.0 ± 1.1 and 2.6 ± 1.4, respectively (adjusted p = 0.10). Conclusions: Pupillary pain index-guided analgesia resulted in a nearly 25% reduction in opioid consumption and lower pain scores, although not statistically significant. This suggests that PPI-guided analgesia is not inferior to standard care in terms of pain management. Full article
(This article belongs to the Special Issue Targeted Medicine in Postoperative Pain Management)
Show Figures

Figure 1

16 pages, 476 KB  
Review
Bioresorbable Scaffolds for Coronary Revascularization: From Concept to Clinical Maturity
by Angeliki Bourazana, Alexandros Briasoulis, Christos Kourek, Toshiki Kuno, Ioannis Leventis, Chris Pantsios, Vasiliki Androutsopoulou, Kyriakos Spiliopoulos, Grigorios Giamouzis, John Skoularigis and Andrew Xanthopoulos
J. Cardiovasc. Dev. Dis. 2026, 13(1), 2; https://doi.org/10.3390/jcdd13010002 - 19 Dec 2025
Viewed by 340
Abstract
Over the past decades, coronary revascularization has evolved dramatically with the introduction of bioresorbable scaffolds (BRSs), designed to provide temporary vessel support, elute antiproliferative drugs, and then fully resorb, ideally restoring natural vasomotion and eliminating long-term foreign-body reactions. Early enthusiasm for first-generation polymeric [...] Read more.
Over the past decades, coronary revascularization has evolved dramatically with the introduction of bioresorbable scaffolds (BRSs), designed to provide temporary vessel support, elute antiproliferative drugs, and then fully resorb, ideally restoring natural vasomotion and eliminating long-term foreign-body reactions. Early enthusiasm for first-generation polymeric devices, such as the Absorb bioresorbable vascular scaffold, was tempered by increased rates of scaffold thrombosis and late adverse events, largely attributed to thick struts, suboptimal implantation techniques, and unpredictable degradation kinetics. Subsequent developments in polymeric (e.g., MeRes-100, NeoVas) and metallic magnesium-based scaffolds (e.g., Magmaris) have focused on thinner struts, improved radial strength, and refined resorption profiles. Clinical trials and meta-analyses, including ABSORB, AIDA, BIOSOLVE, and BIOSTEMI, reveal that optimized procedural strategies, especially the “PSP” approach (Prepare–Size–Post-dilate) and routine intravascular imaging, substantially reduce thrombosis and restenosis rates, aligning outcomes closer to those of contemporary drug-eluting stents (DESs). Nonetheless, challenges persist regarding inflammatory responses to degradation by-products, mechanical fragility in complex lesions, and patient selection. Ongoing innovations include hybrid polymer–metal designs, stimuli-responsive drug coatings, and AI-assisted imaging for precision implantation. While early-generation BRSs demonstrated both promise and pitfalls, next-generation platforms show steady progress toward achieving the dual goals of transient scaffolding and long-term vessel restoration. The current trajectory suggests that bioresorbable technology, supported by optimized technique and material science, may soon fulfill its original vision; offering safe, effective, and fully resorbable alternatives to permanent metallic stents in coronary artery disease. This review provides an updated synthesis of the design principles, clinical outcomes, and procedural considerations of drug-eluting bioresorbable scaffolds (BRSs). It integrates recent meta-analytic evidence and emerging insights on device mechanics, including the influence of strut thickness on radial strength and the potential role of non-invasive imaging in pre-implantation planning. Special focus is given to magnesium-based scaffolds and future directions in patient selection and implantation strategy. Full article
Show Figures

Graphical abstract

18 pages, 953 KB  
Review
Paravalvular Leak After Transcatheter Aortic Valve Replacement (TAVR): A Literature Review
by Giorgio Sciaramenti, Edoardo Menzato, Stefano Clo’, Carmen Izzo, Laura Rotondo, Beatrice Dal Passo, Sofia Meossi, Renè Tezze, Federica Frascaro, Elisabetta Tonet, Federico Marchini, Marta Cocco, Carlo Tumscitz, Carlo Penzo, Gianluca Campo and Rita Pavasini
J. Clin. Med. 2025, 14(24), 8905; https://doi.org/10.3390/jcm14248905 - 16 Dec 2025
Viewed by 670
Abstract
Severe aortic stenosis represents a significant prognostic burden, particularly in symptomatic patients. The advent of transcatheter aortic valve replacement (TAVR) has revolutionized the treatment of patients previously considered ineligible for surgical aortic valve replacement (SAVR). TAVR provides a relatively safe intervention that leads [...] Read more.
Severe aortic stenosis represents a significant prognostic burden, particularly in symptomatic patients. The advent of transcatheter aortic valve replacement (TAVR) has revolutionized the treatment of patients previously considered ineligible for surgical aortic valve replacement (SAVR). TAVR provides a relatively safe intervention that leads to improvements in survival, symptoms, and functional status within months of implantation. A major complication following TAVR is the occurrence of paravalvular leaks (PVLs), which have been associated with increased mortality and higher rates of heart failure-related hospitalizations. PVLs refer to abnormal blood flow between the implanted valve and the aortic wall, which can compromise the functionality of the device. Careful pre-procedural planning enables the identification of patients at higher risk for PVL development. Although the incidence of PVLs has decreased with the introduction of newer-generation transcatheter valves, the condition remains clinically relevant. Due to the complex anatomy of the aortic valve apparatus and interference from the prosthetic frame, accurate evaluation of PVLs requires a multimodal diagnostic approach. Current evidence on PVL management is limited. In most cases, a conservative approach is adopted, while interventional strategies (such as pre- and post-dilatation, percutaneous PVL closure, and TAVR-in-TAVR) are reserved for selected patients. We performed a systematic literature review to summarize the incidence, predictors, diagnostic techniques, and management strategies of PVLs following TAVR. Full article
(This article belongs to the Section Cardiology)
Show Figures

Figure 1

10 pages, 783 KB  
Article
Comparative Effectiveness of Peripheral Angioplasty Strategies for 1-Year Restenosis in Lower Limb Artery Disease: A Retrospective Single-Center Analysis
by Ioannis Skalidis, Livio D’Angelo, Youcef Lounes, Francesca Sanguineti, Antoinette Neylon, Hakim Benamer, Benjamin Honton, Antoine Sauguet, Neila Sayah, Pietro Laforgia, Nicolas Amabile, Thomas Hovasse, Philippe Garot, Mariama Akodad, Stephane Champagne and Thierry Unterseeh
Biomedicines 2025, 13(12), 3100; https://doi.org/10.3390/biomedicines13123100 - 16 Dec 2025
Viewed by 253
Abstract
Background: Optimal endovascular strategy for lower limb peripheral artery disease (PAD) remains debated, particularly regarding 1-year restenosis. Aim: To evaluate the association between drug-coated balloon (DCB)-based angioplasty and 1-year restenosis compared with stent-based and plain balloon strategies in a real-world PAD cohort. Methods: [...] Read more.
Background: Optimal endovascular strategy for lower limb peripheral artery disease (PAD) remains debated, particularly regarding 1-year restenosis. Aim: To evaluate the association between drug-coated balloon (DCB)-based angioplasty and 1-year restenosis compared with stent-based and plain balloon strategies in a real-world PAD cohort. Methods: We performed a single-center retrospective analysis of 283 consecutive patients (mean age 67.5 ± 11.2 years, 79% male) undergoing lower limb angioplasty between 2010 and 2023. Patients were treated with one of five strategies: direct stent, pre-dilatation + stent, stent + post-dilatation, DCB ± bailout stent, or plain old balloon angioplasty (POBA). Restenosis at 12 months (≥50% diameter reduction on Doppler, CT angiography, or angiography) was the primary endpoint. Kaplan-Meier curves and multivariable Cox regression adjusted for clinical and lesion characteristics were used. The prespecified main comparison was DCB ± stent versus non-DCB strategies. Results: Overall, 1-year restenosis occurred in 81 patients (28.7%). Restenosis rates were 15.4% with DCB ± stent versus 34.2%, 29.8%, 31.5%, and 38.1% with direct stent, pre-dilatation + stent, stent + post-dilatation, and POBA, respectively (p = 0.004). In adjusted analysis, DCB ± stent was associated with a lower hazard of restenosis compared with direct stent (HR 0.52; 95% CI 0.31–0.87), whereas POBA was associated with a higher hazard versus DCB ± stent (HR 1.89; 95% CI 1.01–3.53). Periprocedural complication rates were low and similar across groups (overall 6.3%). Conclusions: In this real-world PAD cohort, DCB-based angioplasty was independently associated with lower 1-year restenosis compared with stent-based and plain balloon strategies, without an excess of procedural complications. Given the observational design and lesion-driven strategy selection, these findings should be interpreted as hypothesis-generating but support broader use of DCB in appropriately selected lesions. Full article
Show Figures

Figure 1

20 pages, 3953 KB  
Article
Sequential Dengue Virus Infection in Marmosets: Histopathological and Immune Responses in the Liver
by Daniele Freitas Henriques, Livia M. N. Casseb, Milene S. Ferreira, Larissa S. Freitas, Hellen T. Fuzii, Carla Pagliari, Luciane Kanashiro, Paulo H. G. Castro, Gilmara A. Siva, Orlando Pereira Amador Neto, Valter M. Campos, Beatriz C. Belvis, Flavia B. dos Santos, Lilian R. M. de Sá and Pedro Fernando da Costa Vasconcelos
Viruses 2025, 17(12), 1619; https://doi.org/10.3390/v17121619 - 15 Dec 2025
Viewed by 325
Abstract
This study evaluated hepatic pathological and phenotypic alterations, along with the inflammatory response, following sequential dengue virus (DENV) infection in Callithrix penicillata, a relevant model for human endemic scenarios. Twenty-six animals were initially infected subcutaneously with DENV-3. Thirteen were euthanized between 1 and [...] Read more.
This study evaluated hepatic pathological and phenotypic alterations, along with the inflammatory response, following sequential dengue virus (DENV) infection in Callithrix penicillata, a relevant model for human endemic scenarios. Twenty-six animals were initially infected subcutaneously with DENV-3. Thirteen were euthanized between 1 and 7 days post-infection (dpi) to assess the acute phase, and up to 60 dpi for the convalescent phase. The remaining animals received a secondary DENV-2 infection two months later. Liver samples underwent histopathological and immunohistochemical analysis. Viral antigens were identified in hepatocytes, Kupffer cells, and Councilman bodies. Observed liver changes included apoptosis, lytic necrosis, midzonal inflammation, Kupffer cell hyperplasia and hypertrophy, sinusoidal dilation, and hemosiderin deposition. Both primary and secondary infections increased activated macrophages, NK cells, S-100 protein, and B lymphocytes. Primary infection was associated with elevated CD4+ T cells, IFN-γ, TGF-β, IL-10, and Fas expression, whereas secondary infection induced higher IFN-γ, TNF-α, IL-8, Fas, and VCAM levels. These findings mirror hepatic alterations in severe human dengue cases and underscore the role of direct viral effects and immune dysregulation in liver injury. The results support C. penicillata as a suitable non-human primate model for studying DENV pathogenesis. Full article
(This article belongs to the Section Human Virology and Viral Diseases)
Show Figures

Figure 1

18 pages, 1386 KB  
Article
Left Atrial Deformation in Paediatric Dilated and Hypertrophic Cardiomyopathy: Insights from Two-Dimensional Speckle-Tracking Echocardiography
by Iolanda Muntean, Beatrix-Julia Hack, Diana-Ramona Iurian, Theodora Benedek, Diana Muntean, Ioana-Octavia Matacuta-Bogdan and Asmaa Carla Hagau
J. Clin. Med. 2025, 14(24), 8622; https://doi.org/10.3390/jcm14248622 - 5 Dec 2025
Viewed by 296
Abstract
Background: Left atrial strain (LAS) derived from speckle-tracking echocardiography (STE) provides a sensitive, load-dependent measure of atrial function and ventricular filling pressures. Data on LAS in paediatric cardiomyopathies are still scarce; therefore, this study aimed to assess LA phasic function in dilated [...] Read more.
Background: Left atrial strain (LAS) derived from speckle-tracking echocardiography (STE) provides a sensitive, load-dependent measure of atrial function and ventricular filling pressures. Data on LAS in paediatric cardiomyopathies are still scarce; therefore, this study aimed to assess LA phasic function in dilated (DCM) and hypertrophic (HCM) cardiomyopathy and to determine its relationship with clinical and echocardiographic indices of disease severity. Methods: We conducted a cross-sectional case–control study that included 84 children (DCM n = 29, HCM n = 29, control n = 26) who underwent comprehensive clinical and echocardiography evaluation, including LAS parameters (reservoir—LASr; conduit—LAScd; and contractile—LASct). Group comparisons were performed using ANOVA or Kruskal–Wallis tests with post hoc adjustments, and correlations were analysed using Pearson’s or Spearman’s coefficients. Multivariable linear and logistic regression models were adjusted for age, body surface area (BSA), heart rate (HR), and blood pressure (BP) percentiles. Results: LASr and LAScd were significantly reduced in both cardiomyopathy groups compared with controls (p < 0.001), following a graded pattern (DCM < HCM < control). In DCM, lower LASr was independently associated with higher left atrial volume index (LAVi) and elevated E/E′ ratio, whereas in HCM, septal hypertrophy (IVSd Z-score) and log NT-proBNP were dominant determinants of impaired LASr. In logistic regression, LASr (OR = 0.93, p = 0.016) and LAScd (OR = 1.21, p = 0.001) independently predicted severe NYHA/Ross functional class after covariate adjustment, while LASct showed no significant association. Conclusions: These findings demonstrate that LA reservoir and conduit strain are markedly impaired in paediatric cardiomyopathy and are strongly linked to structural remodelling and functional limitation, underscoring their value as sensitive non-invasive markers of disease severity. Full article
(This article belongs to the Special Issue Clinical Management of Pediatric Heart Diseases)
Show Figures

Figure 1

17 pages, 1730 KB  
Article
Inhaled Corticosteroid Use and Risk of Haemophilus influenzae Isolation in Patients with Bronchiectasis: A Retrospective Cohort Study
by Dil Afrose, Christian Philip Rønn, Josefin Eklöf, Anna Kubel Vognsen, Louise Lindhardt Tønnesen, Barbara Bonnesen Bertelsen, Jonas Bredtoft Boel, Christian Østergaard Andersen, Ram Benny Christian Dessau, Mette Pinholt, Jens-Ulrik Jensen and Pradeesh Sivapalan
J. Clin. Med. 2025, 14(23), 8557; https://doi.org/10.3390/jcm14238557 - 2 Dec 2025
Viewed by 394
Abstract
Background: Non-cystic fibrosis bronchiectasis (BE) is a chronic lung condition characterized by irreversible bronchial dilation and presented with persistent respiratory symptoms, recurrent respiratory infections, and decreased quality of life. Inhaled corticosteroids (ICSs) are frequently prescribed in patients with bronchiectasis, despite limited evidence supporting [...] Read more.
Background: Non-cystic fibrosis bronchiectasis (BE) is a chronic lung condition characterized by irreversible bronchial dilation and presented with persistent respiratory symptoms, recurrent respiratory infections, and decreased quality of life. Inhaled corticosteroids (ICSs) are frequently prescribed in patients with bronchiectasis, despite limited evidence supporting their clinical efficacy. Inhaled corticosteroids have been associated with increased risk of respiratory infection with Haemophilus influenzae (H. influenzae) in other groups of lung diseases. We aimed to evaluate the association between ICS use and the risk of isolating H. influenzae from lower respiratory tract samples in patients with bronchiectasis. Methods: A retrospective cohort study was conducted using data from 2010 to 2018, encompassing all patients diagnosed with bronchiectasis in outpatient clinics in Eastern Denmark. ICS use was standardized in budesonide equivalent doses and categorized in tertiles: low (<210 μg/day), moderate (211–625 μg/day), and high (≥626 μg/day) based on cumulative budesonide equivalent doses redeemed in the 12 months before cohort entry. The primary outcome was the first isolation of H. influenzae from lower respiratory tract samples post-cohort entry. Cox proportional hazards models, adjusted for relevant confounders, estimated hazard ratios (HRs), and inverse probability-of-treatment weighting (IPTW) was used in sensitivity analyses. Results: Among 3663 patients (mean age 66 years; 61% female), 2175 (59.4%) did not use ICS, while 484 (13.2%), 508 (13.9%), and 496 (13.5%) were in the low-, moderate-, and high-dose ICS groups, respectively. Furthermore, 594 (16.22%) patients had a lower respiratory tract culture positive for H. influenzae during follow-up. High-dose ICS use was associated with an increased risk of H. influenzae; HR 1.63 (95% Cl, 1.19 to 2.12, p < 0.005) compared with no ICS use. No association for low or moderate ICS use was found: low-dose ICS HR 0.75 (95% Cl, 0.52 to 1.07, p = 0.11) and moderate-dose ICS HR 1.27 (95% Cl, 0.93 to 1.72, p = 0.12). IPTW analysis confirmed the main finding. Conclusions: High-dose ICS use in patients with bronchiectasis was associated with an increased risk of acquiring H. influenzae in the lower respiratory tract. Hence, patients with bronchiectasis should be cautiously prescribed high-dose ICS. Full article
Show Figures

Figure 1

9 pages, 266 KB  
Article
Berlin Heart EXCOR as a Bridge to Transplantation in Pediatric End-Stage Heart Failure: A Retrospective Cohort Study
by Mohannad Dawary, Dimpna Brotons and Felix W. Tsai
J. Cardiovasc. Dev. Dis. 2025, 12(12), 465; https://doi.org/10.3390/jcdd12120465 - 29 Nov 2025
Viewed by 376
Abstract
Background: Ventricular assist devices serve as a critical bridge to transplantation for pediatric patients with end-stage heart failure. This study evaluated the outcomes of pediatric patients who received Berlin Heart EXCOR support for end-stage heart failure. Methods: We retrospectively analyzed data from 11 [...] Read more.
Background: Ventricular assist devices serve as a critical bridge to transplantation for pediatric patients with end-stage heart failure. This study evaluated the outcomes of pediatric patients who received Berlin Heart EXCOR support for end-stage heart failure. Methods: We retrospectively analyzed data from 11 consecutive pediatric patients (63.64% male, median age 60 months) who underwent Berlin Heart implantation from November 2021 to April 2025. The majority (90.90%) had dilated cardiomyopathy, and 72.73% were INTERMACS class I. Results: Of the 11 patients, 54.54% received an LVAD only, 36.36% received a BiVAD, and 9.09% required an LVAD followed by an RVAD. The postoperative mean ICU stay was 140 ± 73 days, and total hospital stay was 192 ± 96 days. Significant post-implant complications included stroke (27.27%), bleeding requiring exploration (27.27%), and pneumonia (36.36%). Ten patients (90.91%) were successfully bridged to heart transplantation, with one pre-transplant mortality (9.09%) due to brain hemorrhage. The median time to transplantation was 88 days (interquartile range, IQR: 78–177). During a median follow-up of 17 months (IQR: 7–32), two patients died post-transplant, resulting in an overall survival rate of 67.50% at 3 years. Conclusions: Despite significant complications and prolonged hospitalization, the Berlin Heart demonstrated effectiveness as a mechanical circulatory support device for pediatric patients, with a high rate of successful bridging to transplantation and acceptable mid-term survival. These findings support its use as a viable bridge to transplantation in pediatric end-stage heart failure. Full article
Show Figures

Figure 1

23 pages, 3838 KB  
Article
Investigating the Role of Plastic and Poroelastoplastic Effects in Wellbore Strengthening Using a Fully Coupled Hydro-Mechanical Model
by Ernestos N. Sarris and Elias Gravanis
Appl. Sci. 2025, 15(23), 12556; https://doi.org/10.3390/app152312556 - 26 Nov 2025
Cited by 1 | Viewed by 295
Abstract
Wellbore instability during drilling in soft formations often leads to unwanted hydraulic fractures and lost circulation, resulting in non-productive time and elevated costs. The fracture initiation pressure (FIP) and fracture propagation pressure (FPP) are critical for managing these risks, particularly in narrow mud [...] Read more.
Wellbore instability during drilling in soft formations often leads to unwanted hydraulic fractures and lost circulation, resulting in non-productive time and elevated costs. The fracture initiation pressure (FIP) and fracture propagation pressure (FPP) are critical for managing these risks, particularly in narrow mud weight windows, yet industrial models overlook post-plugging stress behaviors at plug locations, where changes in stress concentration may initiate secondary fractures. This study introduces a fully coupled hydro-mechanical plane-strain (KGD) finite element model to examine fluid diffusion and deformation in fractured formations, emphasizing plastic and poroelastoplastic effects for wellbore strengthening. Fluid flow in the fracture follows lubrication theory for incompressible Newtonian fluids, while Darcy’s law governs porous media diffusion. Rock deformation adheres to Biot’s effective stress principle, extended to poroelastoplasticity via the Mohr–Coulomb criterion with associative flow. Simulations yield fracture dimensions, fluid pressures, in situ stress changes, and principal stresses during propagation and plugging, for both plastic and poroplastic cases. A new yield factor is proposed, derived from the Mohr–Coulomb criterion, that quantifies the risk of failure and reveals that fracture tips resist propagation through plastic and poroelastoplastic deformation, with the poroelastoplastic coupling amplifying back-stresses and dilation after plugging. Pore pressure evolution critically influences the fracture growth and plugging efficiency. These findings advance wellbore strengthening by optimizing lost circulation material plugs, bridging the gaps from elastic and poroelastic models, and offer practical tools for safer and more efficient plugging in soft rocks through modeling. Full article
(This article belongs to the Special Issue Rock Fracture Mechanics: From Theories to Practices)
Show Figures

Figure 1

14 pages, 1871 KB  
Article
Root Cause Analysis of Patients with Pancreatic Cancer Who Underwent Imaging Not Resulting in a Cancer Diagnosis in the 18 Months Prior to Diagnosis
by Shahd A. Mohamed, Nosheen Umar, Melisa Sia, Justin Smyth, Sumedha Udumalagala, Mujeeb Ullahj Makki, Keith Roberts, Brinder Mahon, Raneem Albazaz and Nigel Trudgill
Cancers 2025, 17(23), 3770; https://doi.org/10.3390/cancers17233770 - 26 Nov 2025
Viewed by 689
Abstract
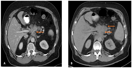
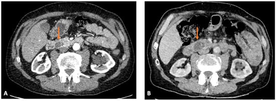
Purpose: Root cause analysis carried out to establish the likely causes for pancreatic cancer not being diagnosed on previous imaging. Methods: Records of pancreatic cancer patients between 2016 and 2021 at two NHS providers were examined. Post-Imaging Pancreatic Cancer (PIPC) was defined as [...] Read more.
Purpose: Root cause analysis carried out to establish the likely causes for pancreatic cancer not being diagnosed on previous imaging. Methods: Records of pancreatic cancer patients between 2016 and 2021 at two NHS providers were examined. Post-Imaging Pancreatic Cancer (PIPC) was defined as pancreatic cancer diagnosed 3–18 months after an index scan that did not report cancer. Index and diagnostic imaging were reviewed by two radiologists independently. An algorithm was developed to categorise PIPC. Results: 46 of 600 patients (7.7%) were classified as having PIPC, with 43 CT and 3 MRI scans undertaken 3–18 months before cancer diagnosis. The median age was 75.9 (IQR 69.6–80.2) years, with 58.7% female. PIPCs were categorised as focal lesion reported on index scan in the same pancreatic segment as diagnostic scan (2.2%); imaging changes associated with pancreatic cancer reported on index scan (17.4%); missed focal lesion or imaging changes associated with pancreatic cancer on index scan (26.1%); no focal lesion or imaging changes associated with pancreatic cancer on index scan (54.3%). Following exclusion of two patients (one declined investigations and one was too unwell), 16 of 46 (35%) PIPC patients could have been diagnosed earlier. Twelve had a missed focal lesion, and four had duct dilatation or a focal lesion reported but were inadequately investigated. Conclusions: Approximately three out of 100 pancreatic cancer patients could have been diagnosed earlier due to a missed lesion or inadequately investigated lesion or duct dilatation on index imaging. There are opportunities for earlier diagnosis of pancreatic cancer on imaging. Full article
Show Figures

Figure 1

9 pages, 648 KB  
Article
Optilume Drug-Coated Balloon Dilation for Male Sphincteric (Membranous) Urethral Strictures: 53 Consecutive Cases
by Lukas Andrius Jelisejevas, Gennadi Tulchiner and Peter Rehder
J. Clin. Med. 2025, 14(23), 8369; https://doi.org/10.3390/jcm14238369 - 25 Nov 2025
Viewed by 583
Abstract
Background/Objectives: Reconstruction of membranous urethral strictures poses significant surgical challenges, including risks of urinary incontinence and erectile dysfunction. Optilume drug-coated balloon dilation (DCBD) is a minimally invasive treatment for short, recurrent bulbar urethral strictures, but its application in strictures involving the sphincteric urethra [...] Read more.
Background/Objectives: Reconstruction of membranous urethral strictures poses significant surgical challenges, including risks of urinary incontinence and erectile dysfunction. Optilume drug-coated balloon dilation (DCBD) is a minimally invasive treatment for short, recurrent bulbar urethral strictures, but its application in strictures involving the sphincteric urethra remains controversial. This study aims to evaluate the safety, efficacy, and impact on continence of DCBD in membranous urethral strictures involving the male sphincter. Methods: A retrospective analysis was conducted on 53 consecutive patients with urethral strictures involving the sphincteric urethra, treated with Optilume DCBD between June 2021 and June 2025 at a tertiary center. After preoperative imaging, dilation to 20 Fr, then DCBD (30 Fr, 10 bar, 10 min) were performed. We assessed anatomical success (≥18 Fr as per cystoscopy/calibration), freedom from re-intervention, and continence status. Patients with neurological conditions or urinary infections were excluded. Results: The cohort included 35 membranous urethral strictures and 18 vesicourethral anastomosis stenoses that extended into the sphincter. The median follow-up was 13.3 months. At last follow-up, 66.6% and 65.6% of patients in both groups were free from recurrence and re-intervention with satisfactory voiding. No de novo incontinence was observed; two patients with prior post-prostatectomy incontinence remained incontinent. The median age was 68 years; median prior interventions were 2.5, and median stricture length was 3 cm. Conclusions: Optilume DCBD appears to be a safe and effective option for membranous urethral strictures involving the sphincter, without inducing de novo incontinence. Although not a replacement for reconstruction, it offers a minimally invasive alternative for selected patients. Full article
(This article belongs to the Special Issue Recent Advances in Reconstructive Urology and Prosthetic Surgery)
Show Figures

Figure 1

28 pages, 2255 KB  
Review
Left Ventricular Remodeling After Myocardial Infarction—Pathophysiology, Diagnostic Approach and Management During Cardiac Rehabilitation
by Víctor Marcos-Garcés, Carlos Bertolín-Boronat, Héctor Merenciano-González, María Luz Martínez Mas, Josefa Inés Climent Alberola, Laura López-Bueno, Alfonso Payá Rubio, Nerea Pérez-Solé, César Ríos-Navarro, Elena de Dios, Jose Gavara, David Moratal, Jose F. Rodriguez-Palomares, Jose T. Ortiz-Pérez, Juan Sanchis and Vicente Bodi
Int. J. Mol. Sci. 2025, 26(22), 10964; https://doi.org/10.3390/ijms262210964 - 12 Nov 2025
Viewed by 1546
Abstract
Despite the improvement in prognosis in patients with acute myocardial infarction (AMI), a significant proportion of survivors still experience heart failure (HF)-related adverse outcomes. Adverse left ventricular remodeling (LVR), which refers to a progressive dilation of left ventricular (LV) end-diastolic and end-systolic volumes, [...] Read more.
Despite the improvement in prognosis in patients with acute myocardial infarction (AMI), a significant proportion of survivors still experience heart failure (HF)-related adverse outcomes. Adverse left ventricular remodeling (LVR), which refers to a progressive dilation of left ventricular (LV) end-diastolic and end-systolic volumes, usually accompanied by a deterioration in LV systolic function, occurs frequently and underlies most cases of HF development after AMI. In this review, we discuss the current definitions of post-AMI LVR, the most appropriate imaging modalities for its detection, and the pathophysiological mechanisms by which Cardiac Rehabilitation (CR) can improve LVR—including exercise interventions, cardiovascular risk factors control, and pharmacological therapy optimization. Finally, we provide up-to-date recommendations for the follow-up and management of LVR in post-AMI patients enrolled in CR and outline future prospects on this topic. Full article
(This article belongs to the Section Molecular Pathology, Diagnostics, and Therapeutics)
Show Figures

Figure 1

6 pages, 642 KB  
Case Report
Successful Treatment of Multilevel Tracheal Stenosis Post Blunt Chest Trauma in a Child by Early Bronchoscopic Balloon Dilatation: A Case Report
by Badar Al Dhouyani, Atqah AbdulWahab, Muna Maarafiya, Bilal Kabbara and Mutasim Abu-Hasan
Pediatr. Rep. 2025, 17(6), 117; https://doi.org/10.3390/pediatric17060117 - 4 Nov 2025
Viewed by 527
Abstract
Background: Tracheal stenosis in children is a rare but potentially life-threatening condition. We report a case of multilevel tracheal stenosis in a child who sustained blunt chest trauma in a car accident. Case Presentation: The patient is an 11-year-old previously healthy boy who [...] Read more.
Background: Tracheal stenosis in children is a rare but potentially life-threatening condition. We report a case of multilevel tracheal stenosis in a child who sustained blunt chest trauma in a car accident. Case Presentation: The patient is an 11-year-old previously healthy boy who presented to the pediatric emergency room unconscious after being rolled over while seated unstrained inside a vehicle. A chest CT scan showed bilateral pulmonary contusions. He required intubation and mechanical ventilation initially but was noted to have biphasic stridor after extubation. He presented to the pediatric pulmonary clinic 2 weeks after discharge from the hospital with persistent stridor and shortness of breath on exertion. Spirometry revealed flattening of the inspiratory and expiratory limbs of the flow-volume loop, suggestive of fixed large airway obstruction. Direct laryngoscopy and bronchoscopy were performed and revealed multilevel tracheal stenosis. He was successfully treated with repeated bronchoscopic balloon dilatation with sustained improvement in symptoms and spirometry findings 8 months post final procedure. Conclusion: Tracheal stenosis should be suspected in children who sustain blunt chest trauma. Early recognition and treatment with bronchoscopic balloon dilatation can prevent long-term complications. Full article
Show Figures

Figure 1

13 pages, 818 KB  
Article
Decoding the Natural History of Alcohol-Related Recurrent Acute Pancreatitis and Progression to Early Chronic Pancreatitis: Clinical, Biochemical, and Imaging Insights from a Single-Center Retrospective Study in France
by Alexandru-Ionut Coseru, Faiza Khemissa, Diana Elena Floria, Constantin Simiras, Mihai Catalina, Roxana Nemteanu, Alina Plesa and Vasile-Liviu Drug
J. Clin. Med. 2025, 14(21), 7830; https://doi.org/10.3390/jcm14217830 - 4 Nov 2025
Viewed by 906
Abstract
Background: Recurrent acute pancreatitis (RAP) of alcoholic etiology is a major risk factor for chronic pancreatitis (CP). Early chronic pancreatitis (ECP) represents an intermediate stage where structural changes can be identified before advanced disease develops. The 2019 Japanese Pancreas Society (JPS) imaging criterion, [...] Read more.
Background: Recurrent acute pancreatitis (RAP) of alcoholic etiology is a major risk factor for chronic pancreatitis (CP). Early chronic pancreatitis (ECP) represents an intermediate stage where structural changes can be identified before advanced disease develops. The 2019 Japanese Pancreas Society (JPS) imaging criterion, defined as >3 dilated side branches on magnetic resonance imaging (MRI), provides a standardized approach for early diagnosis. Objective: To assess the prevalence of MRI-positive findings per JPS imaging criterion in patients with alcohol-related RAP and to identify clinical predictors of progression. Methods: We retrospectively analyzed 26 patients with alcohol-related RAP admitted between January 2023 and December 2024. All underwent MRI 4–8 weeks post-discharge. Patients were classified as MRI-positive or nonMRI-positive per JPS imaging criterion. Clinical, biochemical, and imaging parameters were compared using univariate and multivariate analyses. Results: Nine of twenty-six patients (34.6%) were MRI-positive per JPS imaging criterion. These patients had a significantly higher number of RAP episodes (p = 0.021). Disease duration also differed between groups (p = 0.034). No significant differences were observed in computer tomography severity scores or biochemical markers. In multivariate analysis, only the number of RAP episodes was associated with MRI-positive status (OR 4.00, 95% CI 0.79–20.3, p = 0.09). Conclusions: MRI-positive findings per JPS imaging criterion were present in one-third of alcohol-related RAP patients. Having ≥3 RAP episodes was the most consistent risk factor for structural progression. Systematic MRI during the inter-critical phase may allow early identification of high-risk patients and inform closer surveillance. Full article
Show Figures

Figure 1

Back to TopTop