Sign in to use this feature.

Years

Between: -

Subjects

remove_circle_outline
remove_circle_outline
remove_circle_outline
remove_circle_outline
remove_circle_outline
remove_circle_outline
remove_circle_outline

Journals

remove_circle_outline
remove_circle_outline
remove_circle_outline
remove_circle_outline
remove_circle_outline
remove_circle_outline
remove_circle_outline
remove_circle_outline
remove_circle_outline
remove_circle_outline

Article Types

Countries / Regions

remove_circle_outline
remove_circle_outline
remove_circle_outline
remove_circle_outline
remove_circle_outline
remove_circle_outline
remove_circle_outline

Search Results (718)

Search Parameters:
Keywords = periodontal outcomes

Order results
Result details
Results per page
Select all
Export citation of selected articles as:
24 pages, 951 KB  
Review
Effects of Photobiomodulation on Metabolic, Inflammatory, and Neurological Outcomes in Type 2 Diabetes: A Systematic Review and Meta-Analysis
by Anne Wevers, Silvia San Roman-Mata, Santiago Navarro-Ledesma and Leo Pruimboom
Int. J. Mol. Sci. 2026, 27(1), 440; https://doi.org/10.3390/ijms27010440 - 31 Dec 2025
Abstract
Type 2 diabetes mellitus (T2DM) is a global health burden characterized by hyperglycemia, oxidative stress, and systemic inflammation, which leads to complications that remain insufficiently managed by standard therapies. Photobiomodulation therapy (PBMT) has been proposed to be a complementary approach, but its effects [...] Read more.
Type 2 diabetes mellitus (T2DM) is a global health burden characterized by hyperglycemia, oxidative stress, and systemic inflammation, which leads to complications that remain insufficiently managed by standard therapies. Photobiomodulation therapy (PBMT) has been proposed to be a complementary approach, but its effects in T2DM are unclear. We conducted a systematic review and meta-analysis of randomized controlled trials to evaluate the effects of PBMT on metabolic, inflammatory, and neurological outcomes in adults with T2DM. Five databases were searched until June 2025 (PROSPERO CRD420251083550) for relevant studies. Metabolic, inflammatory, and neurological outcomes were defined a priori as primary outcomes and were synthesized narratively due to substantial heterogeneity and incomplete reporting that precluded valid quantitative pooling. Although periodontal outcomes were not predefined as primary outcomes, they were reported in multiple trials; thus, these were analyzed quantitatively as secondary outcomes where sufficient homogeneity enabled meta-analysis. The narrative synthesis of primary outcomes showed inconsistent and largely short-term effects on glycemic control, systemic inflammation, and neurological function. In contrast, meta-analysis of secondary periodontal outcomes demonstrated modest but statistically significant improvements in clinical attachment level (−0.21 mm) and probing depth (−0.25 mm), with no effect on plaque index. Overall, the certainty of the evidence was low. PBMT may offer statistically significant but small adjunctive periodontal effects in adults with T2DM. However, the certainty of evidence is low, and these effects are unlikely to be clinically meaningful in isolation. Evidence for systemic metabolic, inflammatory, and neurological outcomes is preliminary and requires confirmation in larger, standardized RCTs. Full article
(This article belongs to the Special Issue New Insights into the Treatment of Metabolic Syndrome and Diabetes)
13 pages, 2185 KB  
Article
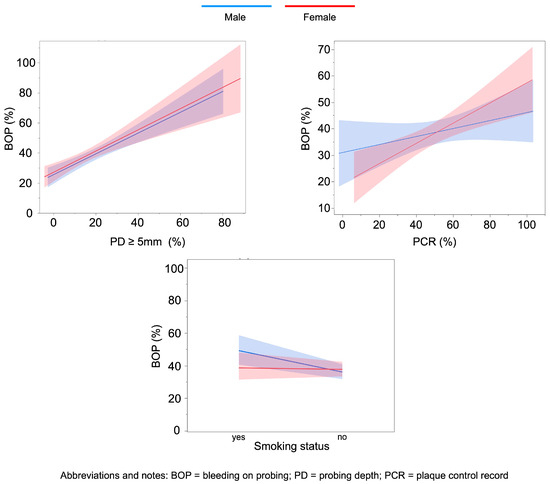
Sex-Specific Associations with Periodontal Inflammation and Bone Loss: A Cross-Sectional Analysis
by Valentin Bartha, Judith Schamuhn, Boris Krumm and Marco M. Herz
Dent. J. 2026, 14(1), 11; https://doi.org/10.3390/dj14010011 - 29 Dec 2025
Viewed by 3
Abstract
Background: To assess sex-related differences in periodontal inflammation and bone loss and identify sex-specific associations with systemic and local risk factors. Methods: This cross-sectional study analyzed records from a university setting. Outcomes were bleeding on probing (BOP) and bone loss index (BLI). [...] Read more.
Background: To assess sex-related differences in periodontal inflammation and bone loss and identify sex-specific associations with systemic and local risk factors. Methods: This cross-sectional study analyzed records from a university setting. Outcomes were bleeding on probing (BOP) and bone loss index (BLI). Predictors included smoking, diabetes mellitus, age, plaque control record (PCR), the proportion of sites with pocket depth (PD) ≥ 5 mm, and number of teeth. Sex-stratified generalized linear models were applied. Results: A total of 232 participants were included (114 men, 118 women; mean age 55.6 ± 11.6 years). Men showed higher PD ≥ 5 mm (p = 0.030), with no sex difference in mean BOP or BLI. PD ≥ 5 mm predicted higher BOP in both sexes (men p < 0.001; women p = 0.002). Smoking was associated with higher BOP in men and with increased BLI in women (p = 0.010). PCR was positively associated with BOP in women and inversely with BLI in men (p = 0.042). Conclusions: In this study, sex-specific associations between behavioral/clinical factors and periodontal outcomes were observed. PD ≥ 5 mm was related to BOP in both sexes, while smoking and plaque control showed sex-divergent patterns. These exploratory findings warrant confirmation in prospective studies. Full article
(This article belongs to the Special Issue Dentistry in the 21st Century: Challenges and Opportunities)
Show Figures

Graphical abstract

14 pages, 889 KB  
Article
Title Autogenous Tooth Bone Grafts with Enamel Matrix Derivates in Non-Contained Intrabony Periodontal Defects—A Case Series Study
by Eleonora Solyom, Kristóf Forgó, Kristof Somodi, Daniel Palkovics, Szilard Vancsa, Peter Windisch, Balint Molnar and Reka Fazekas
Biomedicines 2026, 14(1), 56; https://doi.org/10.3390/biomedicines14010056 - 26 Dec 2025
Viewed by 159
Abstract
Background: The predictability of regenerative outcomes in non-contained intrabony periodontal defects remains limited. Autogenous tooth bone grafts (ATB) may represent a biologically active and osteoconductive scaffold with minimal residual graft material. This study evaluated the clinical and radiographic outcomes of ATB combined with [...] Read more.
Background: The predictability of regenerative outcomes in non-contained intrabony periodontal defects remains limited. Autogenous tooth bone grafts (ATB) may represent a biologically active and osteoconductive scaffold with minimal residual graft material. This study evaluated the clinical and radiographic outcomes of ATB combined with enamel matrix derivative (EMD) in intrabony defects. Methods: Nine systemically healthy patients (15 defects) were treated with ATB + EMD in a retrospective proof-of-concept design. Clinical parameters—probing pocket depth (PPD), clinical attachment level (CAL), and gingival recession (GR)—were recorded at baseline and 6 months. Radiographic changes in defect depth and width were also assessed. Statistical significance was set at p < 0.05. Results: Mean PPD decreased from 7.73 ± 0.96 mm to 3.87 ± 0.74 mm (p < 0.001), and CAL improved from 9.20 ± 1.47 mm to 5.53 ± 1.36 mm (p < 0.001). GR changes were not significant. Radiographically, mean defect depth and width were reduced from 3.81 ± 1.59 mm and 2.56 ± 0.75 mm to 0.72 ± 1.08 mm and 0.44 ± 0.70 mm, respectively (p < 0.001). Conclusions: The combination of ATB and EMD yielded substantial clinical and radiographic improvements in intrabony periodontal defects. These findings suggest that autogenous tooth bone grafts may serve as a reliable biologically active scaffold for regenerative periodontal surgery. This is the first study evaluating the combination of EMD and ATB. Within the study limitations, ATB + EMD demonstrated promising regenerative potential, warranting future controlled clinical trials. Full article
Show Figures

Figure 1

17 pages, 521 KB  
Article
Periodontal Bacteria and Outcomes Following Aneurysmal Subarachnoid Hemorrhage: A Prospective Observational Analysis
by Lídia Petra Pasitka, Tihamér Molnár, Edit Urbán, Péter Csécsei, Zsolt Hetesi, Jordána Mód and Ágnes Bán
Biomedicines 2026, 14(1), 48; https://doi.org/10.3390/biomedicines14010048 - 25 Dec 2025
Viewed by 224
Abstract
Background: Periodontitis has been associated with systemic diseases such as cerebrovascular events. Emerging research highlights the potential role of the microbiome in intracranial aneurysm formation and rupture. Aims: We aimed to explore the associations among periodontal pathogens and the outcomes in patients with [...] Read more.
Background: Periodontitis has been associated with systemic diseases such as cerebrovascular events. Emerging research highlights the potential role of the microbiome in intracranial aneurysm formation and rupture. Aims: We aimed to explore the associations among periodontal pathogens and the outcomes in patients with aneurysmal subarachnoid hemorrhage (aSAH). Materials and Methods: A total of 43 aSAH patients were enrolled. Clinical probing depth measurement and microbiological culture were performed for all participants. The markers of systemic immune response (IL-6, hsCRP) and brain injury (NSE, S100B) were measured between 24 and 48 h after admission. Development of delayed cerebral ischemia (DCI) as the primary and clinical outcome, based on modified Rankin Scale as secondary endpoints, comprised the chosen metrics. Results: A significant association was observed between patients with periodontal pocket depth PPD ≥ 5 mm (n = 28) and DCI, which developed in 19 patients (p = 0.007). In the subgroup of patients with PPD ≥ 5 mm significant associations were found between certain periodontal pathogens and DCI. Higher hsCRP (p = 0.05), IL-6 (p = 0.037) levels were observed in cases with periodontal pathogens, independent of the depth of the pocket, suggesting systemic inflammation. Conclusions: Elevated hsCRP and IL-6 levels, periodontal pocket depth ≥ 5 mm, and red-complex periodontal pathogens are associated with an increased risk of DCI after aSAH, suggesting a role for periodontal disease–related systemic inflammation in DCI risk stratification. Full article
Show Figures

Figure 1

15 pages, 962 KB  
Review
Antimicrobial Efficacy and Soft-Tissue Safety of Air-Polishing Powders in Periodontal Therapy: A Narrative Review
by Ștefania Sorina Ifrim, Alina Bârdea, Alexandra Roman, Andrada Soancă, Silviu Albu, Anda Gâta, Carmen Silvia Caloian and Andreea Cândea
J. Funct. Biomater. 2026, 17(1), 9; https://doi.org/10.3390/jfb17010009 - 22 Dec 2025
Viewed by 209
Abstract
Periodontitis is a biofilm-induced multifactorial disease characterized by non-reversible damage of the periodontal tissues. Dysbiosis of the subgingival microbiota plays a crucial role in periodontitis. In this regard, conventional periodontal treatment consists of subgingival mechanical instrumentation, but adjunctive methods, such as air-polishing powders, [...] Read more.
Periodontitis is a biofilm-induced multifactorial disease characterized by non-reversible damage of the periodontal tissues. Dysbiosis of the subgingival microbiota plays a crucial role in periodontitis. In this regard, conventional periodontal treatment consists of subgingival mechanical instrumentation, but adjunctive methods, such as air-polishing powders, have also sparked considerable interest due to their ability to efficiently disrupt biofilm with minimal tissue damage. The aim of this narrative review is to provide an overview and critical discussion of the recent literature on the properties and interactions of air-polishing powders with oral bacteria and soft tissues. Fifteen studies were included. Eight recent clinical studies demonstrate that air-polishing powders (e.g., glycine, erythritol) can significantly reduce periodontal pathogens, thereby supporting their role in effective biofilm control; In vitro evidence from four included studies indicates cell-type-specific responses to different powders, with trehalose demonstrating superior biocompatibility compared with glycine and erythritol/chlorhexidine formulations. This variability highlights the importance of choosing the right powder to improve clinical outcomes and reduce tissue side effects. By integrating microbiological, cellular and histological findings, the objective of this review is to clarify the antibacterial efficacy and biocompatibility of air-polishing powders. Overall, air-polishing powders have been shown to be safe and effective as an adjunctive treatment, in both active periodontal and supportive periodontal therapy. Full article
(This article belongs to the Special Issue New Biomaterials in Periodontology and Implantology)
Show Figures

Figure 1

16 pages, 1708 KB  
Article
Sub-Inhibitory Concentrations of Metronidazole Enhance Production, Virulence Factor Loading, and Endothelial Cytotoxicity of Porphyromonas gingivalis Extracellular Vesicles
by Zixiang Wu, Xia Li and Song Ge
Microorganisms 2026, 14(1), 25; https://doi.org/10.3390/microorganisms14010025 - 21 Dec 2025
Viewed by 206
Abstract
Porphyromonas gingivalis (P. gingivalis), a key periodontal pathogen, has been linked to atherosclerosis development. The clinical failure of antibiotics to improve cardiovascular outcomes necessitates alternative explanations. This study examines how sub-inhibitory concentrations of metronidazole affect the biogenesis and pathogenic potential of [...] Read more.
Porphyromonas gingivalis (P. gingivalis), a key periodontal pathogen, has been linked to atherosclerosis development. The clinical failure of antibiotics to improve cardiovascular outcomes necessitates alternative explanations. This study examines how sub-inhibitory concentrations of metronidazole affect the biogenesis and pathogenic potential of P. gingivalis extracellular vesicles (EVs) on human umbilical vein endothelial cells (HUVECs). EVs were isolated from both untreated bacteria (N-EVs) and those treated with sub-inhibitory concentrations of metronidazole (M-EVs) through ultracentrifugation. Characterization included transmission electron microscopy (TEM), nanoparticle tracking analysis, and Western blotting for virulence factors. HUVECs were evaluated using viability, migration, cell death assays, ROS detection, NF-κB activation imaging, and cytokine measurement. Sub-inhibitory concentrations of metronidazole increased EV production by 2.3-fold and enriched M-EVs with virulence factors (lipid A LPS, Kgp, RgpA). M-EVs demonstrated significantly stronger cytotoxicity, causing greater impairment of HUVEC viability and migration, alongside increased cell death. Mechanistically, M-EVs induced elevated mitochondrial and cellular ROS, promoting NF-κB activation and enhancing secretion of pro-inflammatory cytokines (TNF-α, IL-1β, IL-6). Sub-inhibitory concentrations of metronidazole exacerbate endothelial injury by amplifying EV production and virulence factor loading in P. gingivalis, offering a mechanistic explanation for the limited cardiovascular benefits of antibiotic therapy in periodontitis patients. Full article
(This article belongs to the Section Molecular Microbiology and Immunology)
Show Figures

Figure 1

15 pages, 549 KB  
Systematic Review
Effectiveness of Natural Photosensitizers in Antimicrobial Photodynamic Therapy Within Dentistry: A Systematic Review of RCTs
by Jakub Fiegler-Rudol, Dariusz Skaba, Damian Truchel, Maciej Misiołek and Rafał Wiench
J. Clin. Med. 2025, 14(24), 8894; https://doi.org/10.3390/jcm14248894 - 16 Dec 2025
Viewed by 203
Abstract
Background: Antimicrobial photodynamic therapy (aPDT) is a useful adjunct for managing oral biofilm diseases. Natural photosensitizers may be safer and more biocompatible than synthetic ones, but their dental effectiveness is still unclear. Methods: A PRISMA compliant review (PROSPERO ID: CRD420251233910) searched PubMed, Embase, [...] Read more.
Background: Antimicrobial photodynamic therapy (aPDT) is a useful adjunct for managing oral biofilm diseases. Natural photosensitizers may be safer and more biocompatible than synthetic ones, but their dental effectiveness is still unclear. Methods: A PRISMA compliant review (PROSPERO ID: CRD420251233910) searched PubMed, Embase, Scopus, and the Cochrane Library for randomized controlled trials published from 2015 to 2025 that used natural photosensitizers for aPDT in dental settings. Three reviewers screened studies, extracted data, and assessed bias with a nine-domain tool adapted for photodynamic therapy. Results: Eleven of 249 records met the established criteria. Natural photosensitizers included curcumin, riboflavin, phycocyanin, chlorophyll derivatives, and plant extracts, tested in periodontitis, peri-implant mucositis, denture stomatitis, caries-related biofilms, and general oral decontamination. Most trials showed short-term microbial reductions and modest clinical gains, with performance comparable to chlorhexidine, methylene blue, or standard care. Adverse effects were minimal. Study quality was generally good, but wide variation in photosensitizer type, light settings, and outcomes, and short follow-up periods hindered meta-analysis and limited conclusions about long-term effectiveness. Conclusions: Natural photosensitizer-based aPDT appears effective and safe as an adjunct, offering consistent short-term microbiological improvements. Current evidence does not support replacing established antimicrobial approaches. Larger, well-controlled trials with standardized methods and longer follow-up periods are needed to define best practice and clarify the role of aPDT in routine dentistry. Full article
(This article belongs to the Section Dentistry, Oral Surgery and Oral Medicine)
Show Figures

Figure 1

21 pages, 1984 KB  
Article
Epidemiology Meets Advocacy: Understanding Pediatric Dental Trauma and Delayed Care in Post-Conflict Syria
by Yasser Alsayed Tolibah, Nada Bshara, Ramah E. Makieh, Marwan Alhaji, Mohammed N. Al-Shiekh, MHD Bashier AlMonakel, Osama Aljabban and Ziad D. Baghdadi
Int. J. Environ. Res. Public Health 2025, 22(12), 1864; https://doi.org/10.3390/ijerph22121864 - 15 Dec 2025
Viewed by 786
Abstract
Objective. To evaluate the prevalence, risk factors, aetiology, and management of traumatic dental injuries (TDIs) among children aged 1–18 years attending the Department of Pediatric Dentistry, Damascus University, Syria, during 2023–2024, and to illustrate representative clinical cases with documented outcomes. Methods. This retrospective [...] Read more.
Objective. To evaluate the prevalence, risk factors, aetiology, and management of traumatic dental injuries (TDIs) among children aged 1–18 years attending the Department of Pediatric Dentistry, Damascus University, Syria, during 2023–2024, and to illustrate representative clinical cases with documented outcomes. Methods. This retrospective cross-sectional study reviewed 2716 patient records (2023–2024) and identified 301 children with TDIs. Demographic, clinical, and behavioural variables were extracted and analysed using χ2, t tests, ANOVA, and binary logistic regression (IBM SPSS v26). Results. The overall TDI prevalence was 11.08%. Males were over twice as likely as females to experience TDIs (OR = 2.30; 95% CI = 1.76–3.01; p < 0.001). Older age acted as a protective factor (OR = 0.56; 95% CI = 0.43–0.74; p < 0.001). Falls were the most common cause (63.7%), and injuries most often occurred at home (48.9%). The maxillary central incisors were most frequently affected (68.5% of cases). Children with special healthcare needs had significantly more traumatised teeth (mean = 2.61 ± 1.13) than healthy children (1.66 ± 0.92; p < 0.001). Nearly half of the patients (45.3%) presented > one month after injury, and asymptomatic apical periodontitis and reversible pulpitis were the most frequent diagnoses. Representative case presentations demonstrated multidisciplinary management using restorative, endodontic, and orthodontic approaches with favourable follow-up outcomes. Conclusions. TDIs affected about one in nine children in this Syrian cohort. Male gender, younger age, and previous trauma were key risk factors. The predominance of delayed presentation underscores the need for community education, early referral systems, and targeted preventive programs within school and home environments. Full article
Show Figures

Figure 1

13 pages, 431 KB  
Article
Immediate Loading of Implants Placed Immediately in Fresh Sockets: A 10-Year Single-Arm Prospective Case Series Follow-Up
by Eugenio Velasco-Ortega, Ivan Ortiz-Garcia, Loreto Monsalve-Guil, José López-López, Enrique Núñez-Márquez, Nuno Matos-Garrido, José Luis Rondón-Romero, Álvaro Jiménez-Guerra and Jesús Moreno-Muñoz
J. Clin. Med. 2025, 14(24), 8830; https://doi.org/10.3390/jcm14248830 - 13 Dec 2025
Viewed by 283
Abstract
Background. Implant dentistry is an important treatment option for patients requiring prosthetic rehabilitation after tooth loss. This study reports the evaluation of immediately loaded, immediately placed implants in fresh extraction sockets. Methods. Fifty-two partially edentulous patients (27 females and 25 males with [...] Read more.
Background. Implant dentistry is an important treatment option for patients requiring prosthetic rehabilitation after tooth loss. This study reports the evaluation of immediately loaded, immediately placed implants in fresh extraction sockets. Methods. Fifty-two partially edentulous patients (27 females and 25 males with mean age of 53.6 years), were treated with 112 Galimplant® implants placed immediately into fresh sockets for prosthodontic rehabilitation. All implants were loaded immediately. Clinical and radiographic parameters related to both the implants and the prosthodontic restorations were followed for 10 years. Results. Nine patients (17.3%) had a history of periodontitis, 26.9% were smokers, and 21.1% presented with chronic systemic conditions. The outcomes demonstrated an implant survival and success rate of 97.1%, indicating that immediately placed implants with immediate loading can achieve and maintain successful osseointegration. Three implants were lost during the healing period. The mean marginal bone loss was 1.09 ± 0.75 mm. Mucositis affected 21.4% of implants, and peri-implantitis was observed in 11.6% of implants. Fourteen implants (7.1%) were associated with technical complications, including screw loosening and ceramic chipping. Conclusions. The clinical findings of this study indicate favorable long-term outcomes for immediately loaded implants placed in fresh extraction sockets. Both implants and prosthetic restorations demonstrated a success rate of over 92.9% during the observation period. Full article
(This article belongs to the Special Issue Clinical Updates on Prosthodontics)
Show Figures

Figure 1

18 pages, 1561 KB  
Article
Pain Perception and Psychoemotional Responses Across Different Scaling Technologies: A Comparative Pilot Clinical Study
by Nelsi Carmina Turturica, Mindra E. Badea, Vlad I. Bocanet, Radu Chifor and Iulia C. Badea
Dent. J. 2025, 13(12), 597; https://doi.org/10.3390/dj13120597 - 12 Dec 2025
Viewed by 335
Abstract
Background/Objectives: Scaling is central to non-surgical periodontal therapy; however, it is often perceived as uncomfortable, particularly in periodontitis. Psychological distress may amplify pain and reduce adherence. This comparative pilot study assessed whether ultrasonic technology influences patient-reported pain and psychoemotional status while quantifying [...] Read more.
Background/Objectives: Scaling is central to non-surgical periodontal therapy; however, it is often perceived as uncomfortable, particularly in periodontitis. Psychological distress may amplify pain and reduce adherence. This comparative pilot study assessed whether ultrasonic technology influences patient-reported pain and psychoemotional status while quantifying the contribution of the periodontal condition and baseline psychological factors. Methods: A monocentric split-mouth design enrolled 42 adults (21 with stage I–III, grade B periodontitis; 21 periodontally healthy). Maxillary scaling was performed with Device nr.1 and mandibular scaling was performed with Device nr.2, and no anesthesia was used. Pain was measured immediately post-procedure using the Short-Form McGill Pain Questionnaire (SF-MPQ; sensory and affective subscales). Psychological status was assessed pre- and post-session with the Kessler Psychological Distress Scale (K10) and the Rosenberg Self-Esteem Scale (RSES). Construct validity was examined via exploratory factor analysis. The Mann–Whitney U, Wilcoxon signed-rank, Spearman’s ρ, and Cliff’s δ were applied (α = 0.05). Results: The overall pain was low. Between devices, sensory pain did not differ, whereas affective pain was modestly lower with the “No Pain” device (p = 0.017). Periodontitis was the dominant determinant of pain: higher sensory (U = 509.00, p = 0.0004; δ = 0.42) and affective scores (U = 290.00, p < 0.0001; δ = 0.67) occurred irrespective of device, while device-related effects were negligible (sensory δ = −0.03) to small (affective δ = 0.27). Somatic distress correlated with affective pain (ρ = 0.25, p = 0.023) and was borderline for sensory pain (ρ = 0.21, p = 0.060); emotional distress showed no significant associations. During the session, K10 scores decreased and RSES values increased, indicating immediate psychoemotional benefits. Conclusions: Pain perception during scaling is shaped primarily by periodontal status and psychological distress rather than by ultrasonic technology per se. Although the electronic module to dynamically adjust the power of the instrument technology may attenuate the affective component, standardized atraumatic techniques and routine psychosocial screening are likely to yield greater gains. The observed short-term improvements in distress and self-esteem support integrating patient-reported outcomes into individualized, patient-centered periodontal care. Full article
Show Figures

Figure 1

20 pages, 1371 KB  
Perspective
In the Mouth or in the Gut? Innovation Through Implementing Oral and Gastrointestinal Health Science in Chronic Pain Management
by Jo Nijs, Ishtiaq Ahmed, Doris Vandeputte, Burel R. Goodin, Tolulope Adetayo, Sébastien Kindt, Matteo Vanroose, Ömer Elma, Elin Johansson, Tine Logghe, Jens Van Akeleyen, Zosia Goossens, Céline Labie, Fabiana Silva, Astrid Lahousse, Eva Huysmans and Rodrigo Núñez-Cortés
J. Clin. Med. 2025, 14(24), 8812; https://doi.org/10.3390/jcm14248812 - 12 Dec 2025
Viewed by 761
Abstract
Recent scientific advances point towards an important role for oral and gastrointestinal health in people with chronic pain. Poor oral health (e.g., periodontitis, tooth loss) is observed in subgroups of the chronic pain population, including abdominal pain, low back pain, fibromyalgia, and rheumatoid [...] Read more.
Recent scientific advances point towards an important role for oral and gastrointestinal health in people with chronic pain. Poor oral health (e.g., periodontitis, tooth loss) is observed in subgroups of the chronic pain population, including abdominal pain, low back pain, fibromyalgia, and rheumatoid arthritis. In addition to poor oral health, studies have also revealed altered intestinal microbiota compositions in various types of chronic pain, including people with chronic low back pain, knee osteoarthritis, visceral pain, fibromyalgia, tinnitus, and migraine. While overweight/obesity contributes to the likelihood of gut dysbiosis, normal-weight individuals with chronic pain also more often present with poor gut health. Both gastrointestinal and oral health problems (e.g., periodontitis, tooth loss) are increasingly recognized across multiple chronic pain conditions, including abdominal pain, low back pain, fibromyalgia, and rheumatoid arthritis. This perspective paper provides an overview of the requirements for integrating oral and gastrointestinal health in chronic pain management. First and foremost, oral and gastrointestinal health issues need to be recognized as common chronic pain comorbidities that require tailored treatment. Next to recognition of the issue, individuals seeking care for chronic pain need to be screened routinely for these oral and gastrointestinal comorbidities. In terms of management, the following options are suggested: (1) providing oral and gastrointestinal health science education; (2) considering the possible interplay between the gut microbiome and drug treatment (including polypharmacy); (3) expanding the importance of dietary interventions; and (4) considering the potential interplay with other lifestyle factors (e.g., chronic insomnia, overweight/obesity, depression and anxiety). To inform the implementation of these suggestions, longitudinal cohort studies investigating the role of oral and gastrointestinal health in people with chronic pain, as well as studies exploring possible (modifiable) factors that affect the oral and/or gut microbiome, are needed. This includes the bidirectional interplay between the gut microbiome and drugs commonly prescribed to patients with chronic pain. Likewise, adequately powered and controlled clinical trials evaluating the effectiveness of possible treatments for oral and/or gastrointestinal comorbidities in people with chronic pain represent another research priority. Such randomized clinical trials can not only examine the possible causal link between poor oral/gut health and treatment outcomes, but also inform the development of new, innovative ways to improve care for people with chronic pain. Full article
(This article belongs to the Section Anesthesiology)
Show Figures

Figure 1

18 pages, 2490 KB  
Systematic Review
Periodontitis and Oral Pathogens in Colorectal Cancer: A Systematic Review, Meta-Analysis, and Trial Sequential Analysis
by Luis Chauca-Bajaña, Andrea Ordoñez Balladares, Alejandro Ismael Lorenzo-Pouso, Rosangela Caicedo-Quiroz, Rafael Xavier Erazo Vaca, Rolando Fabricio Dau Villafuerte, Yajaira Vanessa Avila-Granizo, Carlos Hans Salazar Minda, Miguel Amador Salavarria Vélez and Byron Velásquez Ron
Dent. J. 2025, 13(12), 595; https://doi.org/10.3390/dj13120595 - 12 Dec 2025
Viewed by 357
Abstract
Background: Periodontitis and oral dysbiosis have been linked to systemic inflammation and carcinogenesis. Among oral pathogens, Porphyromonas gingivalis (Pg) and Fusobacterium nucleatum (Fn) are biologically plausible contributors to colorectal cancer (CRC) via inflammatory and immunomodulatory pathways. However, the magnitude and consistency of [...] Read more.
Background: Periodontitis and oral dysbiosis have been linked to systemic inflammation and carcinogenesis. Among oral pathogens, Porphyromonas gingivalis (Pg) and Fusobacterium nucleatum (Fn) are biologically plausible contributors to colorectal cancer (CRC) via inflammatory and immunomodulatory pathways. However, the magnitude and consistency of these associations remain uncertain. Objective: To evaluate whether periodontitis and key oral pathogens are associated with CRC risk and prognosis through a systematic review, meta-analysis, and trial sequential analysis (TSA). Methods: We searched PubMed, Scopus, and Web of Science from inception to December 2024 following PRISMA 2020. Eligible observational studies assessed periodontitis exposure or detection of oral bacteria in relation to CRC incidence or survival. Effect estimates (RRs/HRs) were log-transformed and pooled using random-effects models; heterogeneity was quantified with I2. TSA was conducted to appraise information size and the stability of the primary association. Risk of bias was evaluated with ROBINS-I/QUIPS as appropriate. PROSPERO: CRD420251168522. Results: Five studies evaluating periodontitis/oral-pathogen exposure and CRC incidence yielded a 70% higher risk (HR = 1.70; 95% CI: 1.33–2.19; I2 = 0%). Detection of Fn was associated with approximately threefold higher risk of CRC (RR = 3.20; 95% CI: 1.76–5.82; p < 0.001). Pg presence was linked to worse overall survival (HR ≈ 2.4; p < 0.01). TSA suggested that the accrued evidence for the primary incidence association is likely sufficient to reduce random errors; nevertheless, interpretability is constrained by the small number of observational studies and between-study differences in exposure and outcome ascertainment. Conclusions: Current evidence indicates that periodontitis and oral pathogens—particularly Fn and Pg—are significantly associated with CRC development and progression. These findings support the clinical relevance of the oral–gut axis and underscore oral health as a potentially modifiable factor in cancer prevention. Further large, well-designed prospective cohorts and mechanistic studies are warranted to strengthen causal inference. Full article
Show Figures

Figure 1

14 pages, 629 KB  
Review
Use of Laser in Periodontal Tissue Regeneration: A Scoping Review of Clinical and Experimental Evidence
by Martina Bosisio, Umberto Romeo, Alessandro Del Vecchio and Aldo Bruno Giannì
Medicina 2025, 61(12), 2199; https://doi.org/10.3390/medicina61122199 - 12 Dec 2025
Viewed by 380
Abstract
Background and Objectives: Periodontitis leads to progressive destruction of periodontal tissues and, despite advances in regenerative approaches, clinical outcomes remain inconsistent. Lasers have been proposed as adjuncts in regenerative periodontology because of their antimicrobial, hemostatic, and photobiomodulatory properties. However, available evidence remains [...] Read more.
Background and Objectives: Periodontitis leads to progressive destruction of periodontal tissues and, despite advances in regenerative approaches, clinical outcomes remain inconsistent. Lasers have been proposed as adjuncts in regenerative periodontology because of their antimicrobial, hemostatic, and photobiomodulatory properties. However, available evidence remains heterogeneous. This scoping review aims to systematically map clinical and experimental evidence on the role of lasers in periodontal tissue regeneration. Materials and Methods: The review was conducted in accordance with the PRISMA-ScR guidelines. PubMed, Scopus, and Web of Science were searched up to September 2025 without time restrictions. Eligible studies included in vitro, ex vivo, in vivo and clinical research assessing the application of lasers for periodontal healing. Reviews, conference abstracts and studies unrelated to regeneration were excluded. Results: The electronic search retrieved 314 records, of which 193 unique articles were screened after duplicates removal and 17 full texts were assessed. A total of 15 studies met the eligibility criteria and were included in the review. Included studies comprised 5 in vitro investigations, 2 ex vivo studies, 1 in vivo animal study, 4 case reports and 3 RCTs, published between 2015 and 2025. In vitro and ex vivo evidence demonstrated that laser irradiation enhanced cell proliferation, differentiation, growth factor release, and root surface conditioning. The in vivo study confirmed increased angiogenesis and bone formation after Er:YAG PBM. Clinical studies, including RCTs and case reports, reported improvements in PD reduction, clinical attachment gain, and radiographic bone fill, particularly when lasers were applied as adjuncts to regenerative techniques or biomaterials. Conclusions: Available evidence suggests that lasers can positively modulate biological processes and enhance the outcomes of regenerative periodontal procedures. However, the limited number of high-quality clinical trials, variability in laser types and parameters, and heterogeneity in protocols limit the strength of current conclusions. Further standardized RCTs with long-term follow-up are needed to clarify the clinical relevance of lasers in periodontal regenerative outcomes. Full article
(This article belongs to the Special Issue New Regenerative Medicine Strategies in Oral Surgery)
Show Figures

Figure 1

9 pages, 347 KB  
Article
Radiographic Outcome of Endodontic Treatment of Teeth with Primary Apical Periodontitis: Results from a Postgraduate Clinic
by Pia Titterud Sunde, Erika Giving, Tabish Dilshad, Trude Handal and Dag Ørstavik
Dent. J. 2025, 13(12), 593; https://doi.org/10.3390/dj13120593 - 11 Dec 2025
Viewed by 438
Abstract
Objective: The aim of the study was to analyze factors influencing the radiographic outcome of first-time endodontic treatment of teeth with periapical lesions. Methods: From March 2008 to October 2022, 804 cases of primary apical periodontitis with radiographically detectable lesions were treated conservatively [...] Read more.
Objective: The aim of the study was to analyze factors influencing the radiographic outcome of first-time endodontic treatment of teeth with periapical lesions. Methods: From March 2008 to October 2022, 804 cases of primary apical periodontitis with radiographically detectable lesions were treated conservatively by postgraduate students at the Department of Endodontics. A total of 437 patients had recall 11–48 months after completion. Post-operative and control radiographs of the teeth were scored by the periapical index (PAI) adjusted to define strict and lenient criteria for success. Patients’ sex and age, the tooth treated, the number of visits, and several tooth- and treatment-related factors were registered and related to radiographic outcomes in bivariate and regression, with actual p levels recorded. Results: Overall success rate was 68% by strict and 83% by lenient criteria. In binary analyses, a high preoperative PAI score, older age, poorer periodontal status, tooth type (anterior teeth and premolars), and higher number of visits were negatively related to the outcome. Logistic regression analysis of the whole material confirmed an adverse effect on outcome by these factors. In particular, the number of visits (OR = 1.3, p = 0.003) and the initial PAI (OR = 1.9, p < 0.001) were the strongest predictors of reduced success. Conclusions: Outcome of treatment of primary apical periodontitis by postgraduate students was negatively affected by higher preoperative PAI score, higher patients’ age, poorer periodontal status, and higher number of visits for completion. Clinical Relevance: This study provides clinically relevant insight into multiple prognostic factors that influence the outcome of primary root canal treatment in teeth with periapical lesions, including patient-related, tooth-related, and procedural variables. The results reflect real-world outcomes in a postgraduate clinical setting and confirm the favorable outcome of single-visit treatments found in randomized studies. Full article
(This article belongs to the Section Restorative Dentistry and Traumatology)
Show Figures

Graphical abstract

13 pages, 1230 KB  
Article
Impact of Adjunctive Air-Polishing on Periodontal Status in Patients with Low Vitamin D3 Levels: A Retrospective Study
by Alexandra Cornelia Teodorescu, Elena-Raluca Baciu, Alice Murariu, Ionuț Luchian, Irina Georgeta Șufaru, Liliana Păsărin, Bogdan Constantin Vasiliu, Gabriel Rotundu and Sorina Mihaela Solomon
J. Clin. Med. 2025, 14(24), 8775; https://doi.org/10.3390/jcm14248775 - 11 Dec 2025
Viewed by 286
Abstract
Background/Objectives: Air-polishing has become, in recent years, a very popular additional tool to subgingival debridement for treating periodontal disease. Vitamin D3 plays a crucial role in bone metabolism and calcium-phosphate homeostasis. The aim of our retrospective study was to determine the [...] Read more.
Background/Objectives: Air-polishing has become, in recent years, a very popular additional tool to subgingival debridement for treating periodontal disease. Vitamin D3 plays a crucial role in bone metabolism and calcium-phosphate homeostasis. The aim of our retrospective study was to determine the additional effect of subgingival air-polishing with two types of powders (glycine and erythritol) on patients with different stages of periodontitis and low serum levels of Vitamin D3. Methods: We collected and analysed the data of 62 patients (demographics, vitamin D3 levels, plaque index, periodontal probing depth, bleeding on probing, clinical attachment loss, periodontitis stage and type of air-polishing powder) used during periodontal therapy. Results: We did not observe a significant correlation between periodontal status and vitamin D3 levels/status (mean Vitamin D3 levels: Stage I—20.19 ± 4.413 ng/mL; Stage II—19.482 ± 3.814 ng/mL; Stage III—17.681 ± 5.869 ng/mL; Stage IV—17.578 ± 5.94 ng/mL; and p = 0.539), nor did we find any significant differences in clinical outcomes when using glycine or erythritol in addition to scaling and root planning (SRP) at 3 months after treatment (all p > 0.05). Conclusions: The discrete association between lower levels of vitamin D3 and more advanced stages of periodontitis could suggest a possible influence of vitamin D3 insufficiency on periodontal disease progression. Although safe, easy to use and comfortable for patients, glycine and erythritol showed no differences in periodontal clinical parameters when compared as an addition to SRP. Full article
(This article belongs to the Section Dentistry, Oral Surgery and Oral Medicine)
Show Figures

Figure 1

Back to TopTop