Sign in to use this feature.

Years

Between: -

Subjects

remove_circle_outline
remove_circle_outline
remove_circle_outline
remove_circle_outline
remove_circle_outline
remove_circle_outline
remove_circle_outline
remove_circle_outline
remove_circle_outline

Journals

remove_circle_outline
remove_circle_outline
remove_circle_outline
remove_circle_outline
remove_circle_outline
remove_circle_outline
remove_circle_outline
remove_circle_outline
remove_circle_outline
remove_circle_outline
remove_circle_outline

Article Types

Countries / Regions

remove_circle_outline
remove_circle_outline
remove_circle_outline
remove_circle_outline
remove_circle_outline
remove_circle_outline
remove_circle_outline

Search Results (420)

Search Parameters:
Keywords = opal

Order results
Result details
Results per page
Select all
Export citation of selected articles as:
25 pages, 2280 KB  
Article
Differential Photosynthetic Responses of Green and Purple Basil to Drought Stress and Recovery: The Protective Role of Anthocyanins
by Martin A. Stefanov, Georgi D. Rashkov, Preslava B. Borisova, Anelia G. Dobrikova and Emilia L. Apostolova
Plants 2026, 15(4), 572; https://doi.org/10.3390/plants15040572 - 11 Feb 2026
Viewed by 215
Abstract
Drought is a major environmental threat to agriculture. This study examined the role of anthocyanins in plant drought tolerance by comparing two basil varieties differing in leaf anthocyanin content: green basil (Ocimum basilicum L. Italiano Classico) and purple basil (Ocimum basilicum [...] Read more.
Drought is a major environmental threat to agriculture. This study examined the role of anthocyanins in plant drought tolerance by comparing two basil varieties differing in leaf anthocyanin content: green basil (Ocimum basilicum L. Italiano Classico) and purple basil (Ocimum basilicum L. Dark Opal). The impact of the PEG-induced drought stress was assessed by monitoring changes in chlorophyll a fluorescence parameters (JIP and PAM), leaf pigment content, anthocyanin and total phenolic levels, oxidative stress markers (malondialdehyde, hydrogen peroxide and membrane integrity), as well as radical-scavenging capacity (DPPH assay). Drought stress led to a modification on both the donor (Wk) and acceptor (Vj) sides of PSII, which influences QA reoxidation and amounts of the closed reaction centers (1-qP). These changes inhibited photosystem II photochemistry, the rate of the electron transport (ETR), and the rate of the photosynthesis (RFd) and decreased performance indices (PIABS, PItotal), as well as the photosystem I photochemistry. The drought-induced changes were associated with an increase in the dissipated energy per reaction center (DI0/RC). The results show that photosynthetic functions in purple basil were less affected under drought stress compared to green basil. The reason for better tolerance of purple basil is associated with elevated anthocyanin levels, which correlate with enhanced antioxidant capacity, reduced hydrogen peroxide accumulation, lower membrane lipid peroxidation, improved relative water content and membrane stability. In addition, rapid cyclic electron flow around photosystem I and a higher carotenoid to chlorophyll ratio contribute to drought tolerance in purple basil. After re-watering, purple basil recovers its photosynthetic function almost completely, unlike green basil, which shows further suppression. The increase in the anthocyanin content and radical-scavenging capacity, as well as the smaller oxidative damage under drought stress, are the main reasons for the better recovery in purple basil. Overall, the findings highlight that higher anthocyanin accumulation in purple basil confers greater drought tolerance and recovery capacity by stabilizing photosynthetic processes and reducing oxidative stress. Full article
(This article belongs to the Section Plant Physiology and Metabolism)
Show Figures

Figure 1

18 pages, 3218 KB  
Article
Application of Opalized Tuff as an Aggregate in Lightweight Concrete
by Todorka Samardzioska, Dimitar Goshev and Slobodan B. Mickovski
Sustainability 2026, 18(3), 1547; https://doi.org/10.3390/su18031547 - 3 Feb 2026
Viewed by 423
Abstract
Lightweight concretes have gained great momentum in construction in the last decade, due to the large number of sustainable characteristics and construction advantages associated with them. The sustainability of lightweight concrete depends mainly on the application of sustainable aggregates, such as the amorphous [...] Read more.
Lightweight concretes have gained great momentum in construction in the last decade, due to the large number of sustainable characteristics and construction advantages associated with them. The sustainability of lightweight concrete depends mainly on the application of sustainable aggregates, such as the amorphous opalized tuff, found in large quantities in Eastern Macedonia. It is economically viable, easy to extract from surface mines, and easy to process. The physical, chemical, and mechanical properties, porosity, and water absorption of the tuff as a stone aggregate were examined as the aim of this study, with the objective of assessing its potential application in lightweight concrete. The tuff showed an average bulk density 87.2% lower than that of limestone. The compressive strength of the tested opalized tuff samples was 41.16 MPa, or 48.5% of the average strength of limestone rock (84.88 MPa). Furthermore, three concrete mixes with different aggregates were tested: with 100% limestone, with 50% tuff and 50% limestone, and with 100% tuff. The increase in the amount of tuff in the concrete mix required a larger amount of water, due to the high porosity of the tuff; the high water absorption of the tuff aggregate reduced the consistency of the concrete mix, so the bulk density decreased significantly with increasing tuff content. The concrete with 100% tuff aggregate was 44% lighter than concrete with 100% limestone aggregate, which means that concrete–tuff mixes can be classified as lightweight concrete. Our results further showed that by increasing the amount of opalized tuff aggregate in the concrete, the compressive strength of the hardened concrete decreased. The 50:50 mix showed an average compressive strength of 25.68 MPa at 28 days, i.e., 42% lower than the average compressive strength for limestone concrete (44.27 MPa). The tuff-only mix exhibited a compressive strength of 10.46 MPa that was 76.4% lower than limestone-only concrete. The increase in the amount of tuff in the concrete was shown to reduce the thermal conductivity; i.e., concrete with tuff aggregate showed a thermal conductivity coefficient of 0.3585 W/m·K, which is 5.58 times lower than that of conventional concrete with limestone aggregate. The results from the laboratory analyses provide guidance for the application of the local amorphous opalized tuff as a natural stone and as a filler for producing lightweight mortars and concretes. Every alternative and possibility for its application would contribute to reducing waste, reducing energy consumption in buildings, and thus creating an ecologically safe environment. The application of opalized tuff in lightweight concrete will support green jobs and the circular economy using locally available, alternative material, through reducing transportation emissions and decreasing waste. Full article
Show Figures

Figure 1

33 pages, 11117 KB  
Article
Hardware-in-the-Loop Implementation of Grid-Forming Inverter Controls for Microgrid Resilience to Disturbances and Cyber Attacks
by Ahmed M. Ibrahim, S. M. Sajjad Hossain Rafin, Sara H. Moustafa and Osama A. Mohammed
Energies 2026, 19(3), 710; https://doi.org/10.3390/en19030710 - 29 Jan 2026
Viewed by 213
Abstract
As renewable energy integration accelerates, the displacement of synchronous generators by inverter-based resources (IBRs) necessitates advanced grid-forming (GFM) control strategies to maintain system stability. While techniques such as Droop control, Virtual Synchronous Generator (VSG), and Dispatchable Virtual Oscillator Control (dVOC) are well-established, their [...] Read more.
As renewable energy integration accelerates, the displacement of synchronous generators by inverter-based resources (IBRs) necessitates advanced grid-forming (GFM) control strategies to maintain system stability. While techniques such as Droop control, Virtual Synchronous Generator (VSG), and Dispatchable Virtual Oscillator Control (dVOC) are well-established, their comparative performance under coordinated cyber-physical stress remains underexplored. This paper presents a comprehensive Controller Hardware-in-the-Loop (CHIL) assessment of these three GFM strategies within a networked microgrid environment. Utilizing a co-simulation framework that integrates an OPAL-RT real-time simulator with the EXata CPS network emulator, we evaluate the dynamic resilience of each controller under islanded, parallel, and fault-induced reconfiguration scenarios. Experimental results demonstrate that the VSG strategy offers superior transient performance, characterized by faster settling times and enhanced fault-ride-through capabilities compared to the Droop and dVOC strategies. Furthermore, recognizing the vulnerability of connected microgrids to cyber threats, this study investigates the impact of False Data Injection (FDI) attacks on the control layer. To address this, a model-reference resilience layer is proposed and validated on a TI C2000 DSP. The results confirm that this protection mechanism effectively detects and mitigates attacks on control references and feedback measurements, ensuring stable operation despite cyber-physical disturbances. Full article
Show Figures

Figure 1

10 pages, 1213 KB  
Brief Report
Chemical and Ultrastructural Changes in the Cuticle Observed in RabA2b Overexpressing Plants
by Opal Bechar, Sanaa Musa, Boris Fichtman, Ifat Matityahu and Yehoram Leshem
Plants 2026, 15(3), 408; https://doi.org/10.3390/plants15030408 - 29 Jan 2026
Viewed by 228
Abstract
The plant cuticle is a hydrophobic layer covering the cell wall that protects cells from pathogen invasion and water loss. In this study, we analyzed the cuticles of transgenic Arabidopsis thaliana plants overexpressing the vesicular trafficking small GTPase RabA2b. The RabA2b-overexpressing [...] Read more.
The plant cuticle is a hydrophobic layer covering the cell wall that protects cells from pathogen invasion and water loss. In this study, we analyzed the cuticles of transgenic Arabidopsis thaliana plants overexpressing the vesicular trafficking small GTPase RabA2b. The RabA2b-overexpressing plants exhibited distinctive structural and chemical modifications in their cuticles, including enhanced hair-like wax crystals and increased accumulation of phenolic compounds such as ferulic acid and coumaric acid, which contribute to cutin cross-linking and reinforcement of the cuticle matrix. These chemical and structural changes were associated with improved barrier function and increased drought resistance. Our findings suggest the involvement of RabA2b in affecting the plant cell’s exterior by altering the cuticle composition and architecture, thereby improving plant tolerance to water deficit. Full article
(This article belongs to the Special Issue Drought Responses and Adaptation Mechanisms in Plants, 2nd Edition)
Show Figures

Figure 1

32 pages, 10354 KB  
Article
Advanced Energy Management and Dynamic Stability Assessment of a Utility-Scale Grid-Connected Hybrid PV–PSH–BES System
by Sharaf K. Magableh, Mohammad Adnan Magableh, Oraib M. Dawaghreh and Caisheng Wang
Electronics 2026, 15(2), 384; https://doi.org/10.3390/electronics15020384 - 15 Jan 2026
Viewed by 330
Abstract
Despite the growing adoption of hybrid energy systems integrating solar photovoltaic (PV), pumped storage hydropower (PSH), and battery energy storage (BES), comprehensive studies on their dynamic stability and interaction mechanisms remain limited, particularly under weak grid conditions. Due to the high impedance of [...] Read more.
Despite the growing adoption of hybrid energy systems integrating solar photovoltaic (PV), pumped storage hydropower (PSH), and battery energy storage (BES), comprehensive studies on their dynamic stability and interaction mechanisms remain limited, particularly under weak grid conditions. Due to the high impedance of weak grids, ensuring stability across varied operating scenarios is crucial for advancing grid resilience and energy reliability. This paper addresses these research gaps by examining the interaction dynamics between PV, PSH, and BES on the DC side and the utility grid on the AC side. The study identifies operating-region-dependent instability mechanisms arising from negative incremental resistance behavior and weak grid interactions and proposes a virtual-impedance-based active damping control strategy to suppress poorly damped oscillatory modes. The proposed controller effectively reshapes the converter output impedance, shifts unstable eigenmodes into the left-half plane, and improves phase margins without requiring additional hardware components or introducing steady-state power losses. System stability is analytically assessed using root-locus, Bode, and Nyquist criteria within a developed small-signal state-space model, and further validated through large-signal real-time simulations on an OPAL-RT platform. The main contributions of this study are threefold: (i) a comprehensive stability analysis of a utility-scale grid-connected hybrid PV–PSH–BES system under weak grid conditions, (ii) identification of operating-region-dependent instability mechanisms associated with DC–link interactions, and (iii) development and real-time validation of a practical virtual-impedance-based active damping strategy for enhancing system stability and grid integration reliability. Full article
(This article belongs to the Special Issue Advances in Power Electronics Converters for Modern Power Systems)
Show Figures

Figure 1

23 pages, 8271 KB  
Article
Petrography, Geochemistry, and Magmatic Processes of Oligocene-Miocene Tuzla Volcanics, Biga Peninsula, NW Türkiye
by Didem Kiray and Oya Cengiz
Minerals 2026, 16(1), 23; https://doi.org/10.3390/min16010023 - 24 Dec 2025
Viewed by 566
Abstract
The Tuzla area, located in the Ayvacık district of Çanakkale (Biga Peninsula, northwestern Türkiye), hosts a Oligocene-Miocene volcanic system comprising andesitic, dacitic, rhyolitic lavas, trachyandesite, pyroclastics, and ignimbrites, and the Kestanbol Pluton. Petrographic and X-ray diffraction (XRD) analyses indicate that the altered volcanic [...] Read more.
The Tuzla area, located in the Ayvacık district of Çanakkale (Biga Peninsula, northwestern Türkiye), hosts a Oligocene-Miocene volcanic system comprising andesitic, dacitic, rhyolitic lavas, trachyandesite, pyroclastics, and ignimbrites, and the Kestanbol Pluton. Petrographic and X-ray diffraction (XRD) analyses indicate that the altered volcanic units are dominated by porphyritic dacitic/rhyodacitic and trachyandesitic rocks, with silicification, iron oxide formation, and opacification. XRD results reveal smectite, smectite–illite/mica, illite–mica, kaolinite, cristobalite–opal, K-feldspar, plagioclase, dolomite, hematite, and quartz as the principal mineral phases. Geochemical data, including rare earth elements (REEs), suggest that fractional crystallization of primary mineral phases played a major role in controlling magmatic evolution. Chondrite-normalized REE patterns display enrichment in light REEs relative to heavy REEs, indicating derivation from a common magma source. K2O–Na2O and (Na2O + K2O)–FeOᵗ–MgO (AFM) diagrams show high-K calc-alkaline, calc-alkaline, and tholeiitic affinities, with most rhyodacite/dacite and all trachyandesite samples plotting in the tholeiitic field. Tectonic discrimination diagrams indicate formation in both volcanic arc and intraplate tectonic settings. Moderate enrichments in Ba and Sr reflect magmatic evolution and source characteristics, whereas the highest concentrations are attributed to post-magmatic fluid–rock interaction. Overall, the Tuzla volcanic rocks originated from a collision-related enriched lithospheric mantle source and subsequently evolved through fractional crystallization and assimilation processes, accompanied by crustal contamination and variable hydrothermal overprint. Full article
Show Figures

Figure 1

19 pages, 4215 KB  
Article
Modeling and Evaluation of Reversible Traction Substations in DC Railway Systems: A Real-Time Simulation Platform Toward a Digital Twin
by Dario Zaninelli, Hamed Jafari Kaleybar and Morris Brenna
Appl. Sci. 2026, 16(1), 80; https://doi.org/10.3390/app16010080 - 21 Dec 2025
Viewed by 417
Abstract
Traditional diode-based rectifiers (TDRs) in railway traction substations (TSSs) are inefficient at handling bidirectional power flow and cannot recover regenerative braking energy (RBE). Replacing these conventional systems with reversible traction substations (RTSSs) requires detailed modeling, extensive simulations, and validation using real data. This [...] Read more.
Traditional diode-based rectifiers (TDRs) in railway traction substations (TSSs) are inefficient at handling bidirectional power flow and cannot recover regenerative braking energy (RBE). Replacing these conventional systems with reversible traction substations (RTSSs) requires detailed modeling, extensive simulations, and validation using real data. This paper presents a DT-oriented real-time modeling and Hardware-in-the-Loop (HIL) platform for the analysis and performance assessment of RTSSs in DC railway systems. The integration of interleaved PWM rectifiers enables bidirectional power flow, allowing efficient RBE recovery and its return to the main grid. Modeling railway networks with moving trains is complex due to nonlinear dynamics arising from continuously varying positions, speeds, and accelerations. The proposed approach introduces an innovative multi-train simulation method combined with low-level transient and power-quality analysis. The validated DT model, supported by HIL emulation using OPAL-RT, accurately reproduces real-world system behavior, enabling optimal component sizing and evaluation of key performance indicators such as voltage ripple, total harmonic distortion, passive-component stress, and current imbalance. The results demonstrate improved energy efficiency, enhanced system design, and reduced operational costs. Meanwhile, experimental validation on a small-scale RTSS prototype, based on data from the Italian 3 kV DC railway system, confirms the accuracy and applicability of the proposed DT-oriented framework. Full article
(This article belongs to the Section Electrical, Electronics and Communications Engineering)
Show Figures

Figure 1

19 pages, 5049 KB  
Article
Difference in Tableting of Lubricated Spray-Dried Mannitol and Fluid-Bed Granulated Isomalt
by Valentyn Mohylyuk, Kirils Kukuls, Alīna Jaroslava Frolova, Zoltán Márk Horváth, Tetiana Kolisnyk, Elżbieta Maria Buczkowska, Līga Pētersone and Adrien Pelloux
Pharmaceutics 2025, 17(12), 1566; https://doi.org/10.3390/pharmaceutics17121566 - 4 Dec 2025
Cited by 1 | Viewed by 719
Abstract
Background: Polyols are widely used as tablet diluents due to their high solubility, favourable taste, and ability to form robust tablets. Thus, commercially available polyols, such as mannitol and isomalt, can be considered for the preparation of low-drug-dose formulations with a high [...] Read more.
Background: Polyols are widely used as tablet diluents due to their high solubility, favourable taste, and ability to form robust tablets. Thus, commercially available polyols, such as mannitol and isomalt, can be considered for the preparation of low-drug-dose formulations with a high polyol load. Methods/Results: This study investigated spray-dried mannitol (Mannogem® XL Opal SD and Pearlitol® 200 SD) and fluid-bed granulated isomalt (galenIQ™ 720 and galenIQ™ 721) at magnesium stearate levels of 0.5 and 3.0 wt.% and consolidation pressures of 100 and 300 MPa. During the tableting of 100 consecutive tablets, materials displayed different ejection force profiles: galenIQ™ 720 and galenIQ™ 721 demonstrated low and stable ejection pressures; Mannogem® displayed a lubricant- and compaction pressure-dependent profile, whereas Pearlitol® produced the highest ejection forces, particularly at 0.5 wt.% magnesium stearate. To elucidate these differences, the used materials were characterised in terms of SEM imaging, moisture content, surface area and porosity analysis, particle size distribution, pXRD, and densification kinetics. Using a compaction simulator, key parameters including pressure–displacement profiles, mean yield pressure, and strain rate sensitivity of the unlubricated materials were experimentally determined, while pressure transmission, residual die-wall pressure, and friction coefficient were computed. Conclusions: The study concluded that variations in tableting properties were primarily governed by moisture content and, for mannitol grades, by manufacturing method-dependent differences in particle microstructure. These insights provide guidance for the rational selection of polyol excipients and appropriate lubrication levels in direct compression tablet formulations. Full article
Show Figures

Graphical abstract

22 pages, 5962 KB  
Article
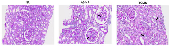
Multiplex Immunofluorescence Assay with Opal Reagents for Identifying Mononuclear Cell Subsets in Kidney Allograft Rejection Types
by Ernest Kwame Adjepong-Tandoh, Jin-Myung Kim, Hye Eun Kwon, Youngmin Ko, Joo Hee Jung, Young Hoon Kim, Heounjeong Go, Haeyon Cho, Sang-Yeob Kim, Yeon-Mi Ryu, Sung Shin and Hyunwook Kwon
Int. J. Mol. Sci. 2025, 26(23), 11569; https://doi.org/10.3390/ijms262311569 - 28 Nov 2025
Viewed by 634
Abstract
Antibody-mediated rejection (ABMR) remains a leading cause of kidney allograft failure, yet the mechanistic roles of innate immune cell subsets such as monocytes and natural killer (NK) cells remain incompletely understood. In this retrospective cohort study, we applied OPAL-based multiplex immunofluorescence (mIF) to [...] Read more.
Antibody-mediated rejection (ABMR) remains a leading cause of kidney allograft failure, yet the mechanistic roles of innate immune cell subsets such as monocytes and natural killer (NK) cells remain incompletely understood. In this retrospective cohort study, we applied OPAL-based multiplex immunofluorescence (mIF) to human kidney allograft biopsies from 38 recipients with biopsy-proven ABMR (n = 19), T-cell-mediated rejection (TCMR, n = 12), or no rejection (NR, n = 7), enabling spatially resolved quantification of immune subsets in situ. Fluorescence thresholds were pathologist-validated, and co-expression phenotypes were defined using standardized segmentation and spectral unmixing. We observed a significantly higher density of CD14+CD11c+ monocyte-derived cells in ABMR versus TCMR (p = 0.011), and of cytotoxic CD3PAX8CD16+CD57+ NK cells in ABMR versus TCMR (p = 0.008), implicating both subsets in ABMR pathogenesis. Spatial clustering of these populations was evident in ABMR biopsies, suggesting organized immune infiltration. A logistic regression model combining both subsets yielded an area under the ROC curve of 0.79 (95% CI: 0.65–0.93), indicating moderate discriminatory power for ABMR. While Cox regression did not reveal statistically significant associations with graft survival, CD3PAX8CD16+CD57+ cells showed a trend toward increased risk (HR = 2.73, p = 0.09). These findings support a mechanistic role for monocyte and NK cell subsets in ABMR and demonstrate the utility of OPAL mIF for high-resolution immune profiling in human allografts. Our study advances understanding of cellular immune contributors to ABMR and highlights the potential diagnostic value of intragraft mononuclear cell phenotyping. Full article
(This article belongs to the Section Molecular Immunology)
Show Figures

Figure 1

17 pages, 931 KB  
Article
Tissue Microarray-Based Digital Spatial Profiling of Benign Breast Lobules and Breast Cancers: Feasibility, Biological Coherence, and Cross-Platform Benchmarks
by Mark E. Sherman, Jodi C. Carter, Robert A. Vierkant, Melody Stallings-Mann, Laura Pacheco-Spann, Stacey J. Winham, Celine M. Vachon, Chen Wang, Matthew R. Jensen, Melissa A. Troester, Amy C. Degnim, E. Aubrey Thompson, Jennifer Kachergus, Ji Shi and Derek C. Radisky
Cancers 2025, 17(23), 3797; https://doi.org/10.3390/cancers17233797 - 27 Nov 2025
Viewed by 611
Abstract
Background: Discovering risk biomarkers in small benign breast disease (BBD) biopsies is constrained by scarce tissue and microanatomic heterogeneity of terminal duct lobular units (TDLUs). We tested whether tissue-sparing tissue microarray (TMA)–based Digital Spatial Profiling (DSP) can deliver reproducible, biologically coherent protein measurements [...] Read more.
Background: Discovering risk biomarkers in small benign breast disease (BBD) biopsies is constrained by scarce tissue and microanatomic heterogeneity of terminal duct lobular units (TDLUs). We tested whether tissue-sparing tissue microarray (TMA)–based Digital Spatial Profiling (DSP) can deliver reproducible, biologically coherent protein measurements across benign lobules and breast cancers (BCs), and how well DSP aligns with standard immunoassays. Methods: We performed a pilot using tissues from the Mayo Clinic BBD cohort using TMAs representing four contexts: terminal duct lobular units (TDLUs) from BBD biopsies preceding BC and matched BBD-controls, subsequent BCs, and BC-associated TDLUs. We profiled 79 proteins by DSP (37 retained after QC) and benchmarked against chromogenic IHC and OPAL immunofluorescence. Reproducibility was evaluated using intraclass correlation coefficients (ICCs), cross-platform agreement (weighted kappa), marker correlations, and mixed-effects models with false-discovery-rate (FDR) control. Results: We analyzed 368 BBD-TDLU cores (88 cases; 88 controls), 204 BC cores and 110 BC-associated TDLU cores. ICCs were highest in BC tissues, and lower in BC-associated TDLUs and BBD-TDLUs. Agreement was slight–to-fair in TDLUs but moderate (ER/PR) to substantial (BCL2) in BC. DSP recapitulated expected immunologic correlations (CD45 with T-cell, B-cell, and macrophage markers) and tissue-type gradients (BC > BC-associated TDLUs > BBD-TDLUs). Exploratory case–control differences in BBD-TDLUs did not persist after FDR control. Conclusions: TMA-based DSP is feasible in archival breast tissues and yields biologically coherent, cross-platform-benchmarked profiles that are particularly robust in BC, while conserving scarce TDLUS and clarifying current limits of single-marker risk stratification from benign lobules. These data provide a foundation for refined sampling and expanded panels in future TDLU-focused studies. Full article
(This article belongs to the Special Issue Breast Cancer Biomarkers and Clinical Translation: 2nd Edition)
Show Figures

Figure 1

18 pages, 11078 KB  
Article
Mechanism of Hydrothermal Zeolite Crystallization from Kaolin in Concentrated NaOH Solutions (1–5 M): Formation of NaP1, NaP2, Analcime, Sodalite and Cancrinite
by Paola Mameli, Ambra M. Fiore, Saverio Fiore and F. Javier Huertas
Crystals 2025, 15(11), 980; https://doi.org/10.3390/cryst15110980 - 14 Nov 2025
Cited by 2 | Viewed by 858
Abstract
Kaolin from the Donigazza deposit (NW Sardinia, Italy) was used to investigate the mechanisms of zeolite crystallization under alkaline hydrothermal conditions. The starting material, composed mainly of kaolinite and opal-CT with minor quartz and low iron content, was reacted with NaOH solutions (1–5 [...] Read more.
Kaolin from the Donigazza deposit (NW Sardinia, Italy) was used to investigate the mechanisms of zeolite crystallization under alkaline hydrothermal conditions. The starting material, composed mainly of kaolinite and opal-CT with minor quartz and low iron content, was reacted with NaOH solutions (1–5 mol L−1) at 100 °C for 12–168 h. XRD analyses revealed the formation of zeolitic and related phases, including NaP1, NaP2, analcime, sodalite, and cancrinite, with zeolite contents reaching up to 100%. The extent of kaolinite dissolution varied with both NaOH concentration and reaction time, with complete transformation occurring at ≥3 mol L−1 and ≥48 h. SEM imaging showed idiomorphic crystals (100 nm–10 μm) and globular nanoparticles (<50 nm), likely Na-Al-Si gels. Phase distribution reflected evolving solution chemistry, particularly changes in the Si/Al ratio due to differential dissolution of opal-CT and kaolinite. Crystallization proceeded via both classical (monomer addition) and non-classical (particle attachment) pathways, influenced by supersaturation, gel composition, and reaction kinetics. The transition from NaP1 to NaP2, and the development of metastable phases, indicate kinetic control consistent with Ostwald’s step rule. These results provide insights into the complex dynamics of zeolite formation from natural aluminosilicate precursors in alkaline environments. Full article
Show Figures

Graphical abstract

14 pages, 2316 KB  
Article
Enhanced Performance of TiO2 Composites for Solar Cells and Photocatalytic Hydrogen Production
by Xue Bai, Jian Chen, Shengxi Du and Yan Xiong
Nanoenergy Adv. 2025, 5(4), 14; https://doi.org/10.3390/nanoenergyadv5040014 - 28 Oct 2025
Viewed by 738
Abstract
Titanium dioxide (TiO2) is widely used in solar cells and photocatalysts, given its excellent photoactivity, low cost, and high structural, electronic, and optical stability. Here, a novel TiO2 composite was prepared by coating TiO2 inverse opal (IO) with TiO [...] Read more.
Titanium dioxide (TiO2) is widely used in solar cells and photocatalysts, given its excellent photoactivity, low cost, and high structural, electronic, and optical stability. Here, a novel TiO2 composite was prepared by coating TiO2 inverse opal (IO) with TiO2 nanorods (NRs). With a porous three-dimensional network structure, the composite exhibited higher light absorption; enhanced the separation of the electron–hole pairs; deepened the infiltration of the electrolyte; better transported and collected charge carriers; and greatly improved the power conversion efficiency (PCE) of the quantum-dot sensitized solar cells (QDSSCs) based on it, while also boosting its own photocatalytic hydrogen generation efficiency. A very high PCE of 12.24% was achieved by QDSSCs utilizing CdS/CdSe sensitizer. Furthermore, the TiO2 composite exhibited high photocatalytic activity with a H2 release rate of 1080.2 μ mol h−1 g−1, several times that of bare TiO2 IO or TiO2 NRs. Full article
Show Figures

Figure 1

22 pages, 4427 KB  
Article
Higher-Order Dynamic Mode Decomposition to Identify Harmonics in Power Systems
by Aboubacar Abdou Dango, Innocent Kamwa, Himanshu Grover, Alexia N’Dori and Alireza Masoom
Energies 2025, 18(19), 5327; https://doi.org/10.3390/en18195327 - 9 Oct 2025
Cited by 1 | Viewed by 1124
Abstract
The proliferation of renewable energy sources and distributed generation systems interfaced to the grid by power electronics systems is forcing us to better understand the issues arising due to the quality of electrical signals generated through these devices. Understanding and monitoring these harmonics [...] Read more.
The proliferation of renewable energy sources and distributed generation systems interfaced to the grid by power electronics systems is forcing us to better understand the issues arising due to the quality of electrical signals generated through these devices. Understanding and monitoring these harmonics is crucial to ensure the smooth and seamless operation of these networks, as well as to protect and manage the renewable energy sources-based power system. In this paper, we propose an advanced method of dynamic modal decomposition, called Higher-Order Dynamic Mode Decomposition (HODMD), one of the recently proposed data-driven methods used to estimate the frequency/amplitude and phase with high resolution, to identify the harmonic spectrum in power systems dominated by renewable energy generation. In the proposed method, several time-shifted copies of the measured signals are integrated to create the initial data matrices. A hard thresholding technique based on singular value decomposition is applied to eliminate ambiguities in the measured signal. The proposed method is validated and compared to Synchrosqueezing Transform based on Short-Time Fourier Transform (SST-STFT) and the Concentration of Frequency and Time via Short-Time Fourier Transform (ConceFT-STFT) using synthetic signals and real measurements, demonstrating its practical effectiveness in identifying harmonics in emerging power networks. Finally, the effectiveness of the proposed methodology is analyzed on the energy storage-based laboratory-scale microgrid setup using an Opal-RT-based real-time simulator. Full article
(This article belongs to the Special Issue Energy, Electrical and Power Engineering: 4th Edition)
Show Figures

Figure 1

21 pages, 5961 KB  
Article
Stability Boundary Analysis and Design Considerations for Power Hardware-in-the-Loop Simulations of Grid-Following Inverters Under Weak and Stiff Grids
by Nancy Visairo-Cruz, Juan Segundo Ramirez, Ciro Nuñez-Gutierrez, Yuniel León Ruiz and Diego Mauricio Gómez Cabriales
Processes 2025, 13(10), 3163; https://doi.org/10.3390/pr13103163 - 4 Oct 2025
Viewed by 992
Abstract
As stability is one of the most important property of any system, studying it is paramount when performing a power-hardware-in-the-loop simulation in an experimental setup. To guarantee the proper operation of such a system, a thorough understanding of the critical issues regarding the [...] Read more.
As stability is one of the most important property of any system, studying it is paramount when performing a power-hardware-in-the-loop simulation in an experimental setup. To guarantee the proper operation of such a system, a thorough understanding of the critical issues regarding the dynamics of the power amplifier, the real-time simulated system and the hardware under test is required. Thus, this paper provides a detailed analysis of the correct design of the real-time simulation modeling for the secure and reliable execution of power-hardware-in-the-loop simulations involving power electronic devices in an experimental setup. Specifically, the stability region of a power-hardware-in-the-loop simulation in an experimental AC microgrid setup involving two parallel three-phase grid-following inverters with LCL filters is studied. Through experimental testing, the stability boundaries of the power-hardware-in-the-loop simulation in the experimental setup is determined, demonstrating a direct relationship between the short-circuit ratio of the utility grid and the cutoff frequency of the feedback current filter. Experimental evidence confirms the capability of the AC microgrid setup to achieve smooth transitions between diverse operating conditions and determine stability boundaries with parameter variations. This research provides practical design guidelines for modeling and the real-time simulation to ensure stability in the power-hardware-in-the-loop simulations in experimental setups involving actual grid-following inverters, specifically using an Opal-RT platform with a voltage-source ideal transformer model and parameter variations in the short-circuit ratio from 2 to 20, the line impedance ratio X/R from 7 to 10, and the feedback-current-filter cutoff frequency from 100 to 1000 kHz. Full article
(This article belongs to the Section Energy Systems)
Show Figures

Figure 1

24 pages, 4126 KB  
Article
Adaptive Energy Management for Smart Microgrids Using a Bio-Inspired T-Cell Algorithm and Multi-Agent System with Real-Time OPAL-RT Validation
by Yassir El Bakkali, Nissrine Krami, Youssef Rochdi, Achraf Boukaibat, Mohamed Laamim and Abdelilah Rochd
Appl. Sci. 2025, 15(19), 10358; https://doi.org/10.3390/app151910358 - 24 Sep 2025
Viewed by 1054
Abstract
This article proposes an Energy Management System (EMS) for smart microgrids with a decentralized multi-agent system (MAS) based on a bio-inspired T-Cell optimization algorithm. The proposed system allows real-time control and dynamic balancing of loads while addressing the challenges of intermittent renewable energy [...] Read more.
This article proposes an Energy Management System (EMS) for smart microgrids with a decentralized multi-agent system (MAS) based on a bio-inspired T-Cell optimization algorithm. The proposed system allows real-time control and dynamic balancing of loads while addressing the challenges of intermittent renewable energy sources like solar and wind. The system operates within the tertiary control layer; the optimal set points are computed by the T-Cell algorithm across energy sources and storage units. The set points are implemented and validated in real-time by the OPAL-RT simulation platform. The system contains a real-time feedback loop, which continuously monitors voltage levels and system performance, allowing the system to readjust in case of anomalies or power imbalances. Contrary to classical methods like Model Predictive Control (MPC) or Particle Swarm Optimization (PSO), the T-Cell algorithm demonstrates greater robustness to uncertainty and better adaptability to dynamic operating conditions. The MAS is implemented over the JADE platform, enabling decentralized coordination, autonomous response to disturbances, and continuous system optimization to ensure stability and reduce reliance on the main grid. The results demonstrate the system’s effectiveness in maintaining the voltages within acceptable limits of regulation (±5%), reducing reliance on the main grid, and optimizing the integration of renewable sources. The real-time closed-loop solution provides a scalable and reliable microgrid energy management solution under real-world constraints. Full article
(This article belongs to the Section Energy Science and Technology)
Show Figures

Figure 1

Back to TopTop