Sign in to use this feature.

Years

Between: -

Subjects

remove_circle_outline
remove_circle_outline
remove_circle_outline
remove_circle_outline
remove_circle_outline
remove_circle_outline

Journals

Article Types

Countries / Regions

Search Results (32)

Search Parameters:
Keywords = octopamine receptor

Order results
Result details
Results per page
Select all
Export citation of selected articles as:
21 pages, 3230 KB  
Article
Phytochemistry, Mode of Action Predictions, and Synergistic Potential of Hypenia irregularis Essential Oil Mixtures for Controlling Aedes aegypti
by Luis O. Viteri Jumbo, Wellington S. Moura, Richard D. Possel, Osmany M. Herrera, Rodrigo R. Fidelis, Bruno S. Andrade, Guy Smagghe, Gil R. Santos, Eugênio E. Oliveira and Raimundo W. S. Aguiar
Toxins 2025, 17(8), 402; https://doi.org/10.3390/toxins17080402 - 11 Aug 2025
Viewed by 1037
Abstract
Aedes aegypti, also known as the yellow fever mosquito, presents a major public health challenge, highlighting the need for effective biorational agents for mosquito control. Here, we investigated the synergistic effects of essential oil mixtures derived from Hypenia irregularis that is a [...] Read more.
Aedes aegypti, also known as the yellow fever mosquito, presents a major public health challenge, highlighting the need for effective biorational agents for mosquito control. Here, we investigated the synergistic effects of essential oil mixtures derived from Hypenia irregularis that is a mint-family shrub native to Brazil’s Cerrado biome, known as “alecrim do Cerrado”, in combination with essential oils from noni (Morinda citrifolia), Brazilian mint (“salva-do-Marajó”, Hyptis crenata), and lemongrass (Cymbopogon citratus) against Ae. aegypti. We conducted phytochemical analyses and assessed larvicidal, repellent, and oviposition deterrent activities. Using in silico methods, we predicted molecular interactions between key essential oil components and physiological targets involved in repellent action (odorant-binding protein AeagOBP1 and olfactory receptor Or31) and larvicidal activity (GABA and octopamine receptors, TRP channels, and acetylcholinesterase [AChE]). Major compounds identified included octanoic acid (23%; Hipe. irregularis × M. citrifolia), 2,5-dimethoxy-p-cymene (21.9%; Hipe. irregularis × Hypt. crenata), and citral (23.0%; Hipe. irregularis × C. citratus). Although individual oils showed strong larvicidal activity (Hipe. irregularis LC50 = 2.35 µL/mL; Hypt. crenata = 2.37 µL/mL; M. citrifolia and C. citratus = 2.71 µL/mL), their mixtures did not display synergistic effects. Similarly, repellency and oviposition deterrence were comparable to DEET for individual oils but were not enhanced in mixtures. Notably, the Hipe. irregularis × C. citratus essential oil blend reduced oviposition deterrence. Molecular docking confirmed strong binding of major oil components to AeagOBP1 and Or31, supporting their role in repellency. For larvicidal effects, AChE showed the highest predicted binding affinity. Overall, our findings suggest that H. irregularis, Hypt. crenata, C. citratus, and M. citrifolia (alone or in 1:1 mixture) are promising, sustainable agents for A. aegypti control. Full article
(This article belongs to the Section Plant Toxins)
Show Figures

Graphical abstract

16 pages, 1804 KB  
Article
GABA and Octopamine Receptors as Potential Targets for Fumigant Actions of Bursera graveolens Essential Oil Against Callosobruchus maculatus and Callosobruchus chinensis
by Luis O. Viteri, Maria José González, Pedro B. Silva, Jonatas M. Gomes, Thiago Svacina, Lara T. M. Costa, Eduardo Valarezo, Javier G. Mantilla-Afanador, Osmany M. Herrera, Raimundo W. S. Aguiar, Gil R. Santos and Eugênio E. Oliveira
J. Xenobiot. 2025, 15(3), 91; https://doi.org/10.3390/jox15030091 - 12 Jun 2025
Cited by 1 | Viewed by 1657
Abstract
Cowpea, Vigna sp., is an important, low-cost protein source in subtropical and semi-arid regions, where seasonal rainfall makes storage necessary. However, the weevils Callosobruchus maculatus and C. chinensis cause significant grain losses during storage. While synthetic fumigants are commonly used to control these [...] Read more.
Cowpea, Vigna sp., is an important, low-cost protein source in subtropical and semi-arid regions, where seasonal rainfall makes storage necessary. However, the weevils Callosobruchus maculatus and C. chinensis cause significant grain losses during storage. While synthetic fumigants are commonly used to control these pests, their risks to mammals have prompted the search for safer alternatives. In this context, we tested palo santo, Bursera graveolens, essential oil with limonene, α-phellandrene, o-cymene and β-phellandrene, menthofuran, and germacrene-D as a sustainable approach. This plant is readily accessible, produces high fruit yields, and is used in households for various purposes. We evaluated the fumigant toxicity, repellency, and ovicidal effects of B. graveolens essential oil on both Callosobruchus species. Our results showed that B. graveolens oil was toxic to C. maculatus (LC50 = 80.90 [76.91–85.10] µL) and C. chinensis (LC50 = 63.9 [60.95–66.99] µL), with C. chinensis being more susceptible (SR = 1.27). Molecular docking analyses revealed that all the oil’s compounds bind to both the GABA and octopamine receptors, exhibiting high energy affinities; however, germacrene shows the strongest affinity in these receptors. C. chinensis was strongly repelled at all concentrations, while C. maculatus was repelled only at lethal concentrations. No ovicidal effect was observed in either species. In conclusion, our findings suggest that B. graveolens essential oil is a promising and sustainable protectant for stored cowpeas in small-scale storage units. Full article
Show Figures

Figure 1

13 pages, 2200 KB  
Article
Detection of Human GPCR Activity in Drosophila S2 Cells Using the Tango System
by Emil Salim, Aki Hori, Kohei Matsubara, Toshiyuki Takano-Shimizu, Andre Rizky Pratomo, Marianne Marianne, Armia Syahputra, Dadang Irfan Husori, Asuka Inoue, Maryam Aisyah Abdullah, Nur Farisya Shamsudin, Kamal Rullah and Takayuki Kuraishi
Int. J. Mol. Sci. 2025, 26(1), 202; https://doi.org/10.3390/ijms26010202 - 29 Dec 2024
Viewed by 1899
Abstract
G protein-coupled receptors (GPCRs) are essential cell surface proteins involved in transducing extracellular signals into intracellular responses, regulating various physiological processes. This study validated the use of the Tango assay, a sensitive method for detecting GPCR activation, in Drosophila Schneider 2 (S2) cells, [...] Read more.
G protein-coupled receptors (GPCRs) are essential cell surface proteins involved in transducing extracellular signals into intracellular responses, regulating various physiological processes. This study validated the use of the Tango assay, a sensitive method for detecting GPCR activation, in Drosophila Schneider 2 (S2) cells, focusing on the human Dopamine Receptor D4 (DRD4). Plasmids encoding the LexA-tagged human DRD4 receptor and a luciferase reporter were co-transfected into Drosophila S2 cells and stimulated with dopamine. Receptor activation was measured by quantifying the luciferase activity. The system showed high specificity for dopamine, with no activation in response to octopamine, a non-ligand for DRD4. Furthermore, the system effectively detects activation by a novel compound. These results demonstrate that Drosophila S2 cells, coupled with the Tango assay, provide a viable model for studying human GPCR function and ligand specificity. This system enables the rapid screening of potential GPCR ligands in a cost-effective cellular model. Full article
(This article belongs to the Special Issue Advances in Cell Signaling Pathways and Signal Transduction)
Show Figures

Figure 1

21 pages, 4744 KB  
Article
Effects of Essential Oils on Biological Characteristics and Potential Molecular Targets in Spodoptera frugiperda
by Júlia A. C. Oliveira, Letícia A. Fernandes, Karolina G. Figueiredo, Eduardo J. A. Corrêa, Leonardo H. F. Lima, Dejane S. Alves, Suzan K. V. Bertolucci and Geraldo A. Carvalho
Plants 2024, 13(13), 1801; https://doi.org/10.3390/plants13131801 - 29 Jun 2024
Cited by 9 | Viewed by 2036
Abstract
Spodoptera frugiperda control methods have proved to be inefficient, which justifies the search for new control measures. In this search for botanical insecticides for controlling S. frugiperda, the following were evaluated: (i) the toxicity of essential oils (EOs) from Cinnamodendron dinisii, [...] Read more.
Spodoptera frugiperda control methods have proved to be inefficient, which justifies the search for new control measures. In this search for botanical insecticides for controlling S. frugiperda, the following were evaluated: (i) the toxicity of essential oils (EOs) from Cinnamodendron dinisii, Eugenia uniflora, and Melaleuca armillaris; (ii) the effect of EOs on life table parameters against S. frugiperda; (iii) the chemical characterization of EOs; and (iv) the in silico interaction of the chemical constituents present in the three EOs with the molecular targets of S. frugiperda. The EO from E. uniflora had the lowest LD50 (1.19 µg of EO/caterpillar). The major compounds bicyclogermacrene (18.64%) in C. dinisii and terpinolene (57.75%) in M. armillaris are highly predicted to interact with the octopamine receptor (OctpR). The compound 1,8-cineole (21.81%) in M. armillaris interacts mainly with a tolerant methoprene receptor (MET) and curzerene (41.22%) in E. uniflora, which acts on the OctpR receptor. Minor compounds, such as nerolidol in C. dinisii and β-elemene in E. uniflora, are highly ranked for multiple targets: AChE, MET, OctpR, and 5-HT1. It was concluded that the EO from E. uniflora negatively affects several biological parameters of S. frugiperda development and is promising as an active ingredient in formulations for controlling this insect pest. Full article
(This article belongs to the Special Issue Emerging Topics in Botanical Biopesticides—2nd Edition)
Show Figures

Figure 1

30 pages, 2396 KB  
Article
Amitraz Resistance in French Varroa Mite Populations—More Complex Than a Single-Nucleotide Polymorphism
by Ulrike Marsky, Bénédicte Rognon, Alexandre Douablin, Alain Viry, Miguel Angel Rodríguez Ramos and Abderrahim Hammaidi
Insects 2024, 15(6), 390; https://doi.org/10.3390/insects15060390 - 27 May 2024
Cited by 7 | Viewed by 3016
Abstract
Resistance against amitraz in Varroa mite populations has become a subject of interest in recent years due to the increasing reports of the reduced field efficacy of amitraz treatments, especially from some beekeepers in France and the United States. The loss of amitraz [...] Read more.
Resistance against amitraz in Varroa mite populations has become a subject of interest in recent years due to the increasing reports of the reduced field efficacy of amitraz treatments, especially from some beekeepers in France and the United States. The loss of amitraz as a reliable tool to effectively reduce Varroa mite infestation in the field could severely worsen the position of beekeepers in the fight to keep Varroa infestation rates in their colonies at low levels. In this publication, we present data from French apiaries, collected in the years 2020 and 2021. These data include the field efficacy of an authorized amitraz-based Varroa treatment (Apivar® ,Véto-pharma, France) and the results of laboratory sensitivity assays of Varroa mites exposed to the reference LC90 concentration of amitraz. In addition, a total of 240 Varroa mites from Eastern, Central, and Southern regions in France that were previously classified as either “sensitive” or “resistant” to amitraz in a laboratory sensitivity assay were genotyped. The genetic analyses of mite samples are focused on the β-adrenergic-like octopamine receptor, which is considered as the main target site for amitraz in Varroa mites. Special attention was paid to a single-nucleotide polymorphism (SNP) at position 260 of the ORβ-2R-L gene that was previously associated to amitraz resistance in French Varroa mites, Varroa. Our findings confirm that amitraz resistance occurs in patches or “islands of resistance”, with a less severe reduction in treatment efficacy compared to pyrethroid resistance or coumaphos resistance in Varroa mites. The results of our genetic analyses of Varroa mites call into question the hypothesis of the SNP at position 260 of the ORβ-2R-L gene being directly responsible for amitraz resistance development. Full article
(This article belongs to the Section Insect Pest and Vector Management)
Show Figures

Figure 1

18 pages, 3044 KB  
Article
Monoaminergic Systems in Flight-Induced Potentiation of Phonotactic Behavior in Female Crickets Gryllus bimaculatus
by Maxim Mezheritskiy, Victoria Melnikova, Varvara Dyakonova and Dmitry Vorontsov
Insects 2024, 15(3), 183; https://doi.org/10.3390/insects15030183 - 9 Mar 2024
Cited by 1 | Viewed by 2001
Abstract
We have recently shown that experience of flight remarkably enhanced subsequent terrestrial phonotaxis in females in response to the male calling song. Here, we elucidated the possible roles of octopamine and serotonin in the enhancing effect of flying on phonotactic behavior. Octopamine is [...] Read more.
We have recently shown that experience of flight remarkably enhanced subsequent terrestrial phonotaxis in females in response to the male calling song. Here, we elucidated the possible roles of octopamine and serotonin in the enhancing effect of flying on phonotactic behavior. Octopamine is known to be released into the hemolymph during flight in insects; however, the octopamine receptor antagonist epinastine did not abolish the effects of flight in our study. On the contrary, the drug significantly potentiated the influence of flying on phonotactic behavior. The octopamine receptor agonist chlordimeform, at a concentration of 2 mM, which was previously found to activate aggression in crickets, dramatically reduced the phonotactic response. However, at a 10-times-lower dose, chlordimeform produced a light but significant decrease in the time that females took to reach the source of the calling song. A similar effect was produced by octopamine itself, which hardly passes the blood–brain barrier in insects. The effect of flight was completely abolished in female crickets treated with alpha-methyl tryptophan (AMTP). AMPT suppresses the synthesis of serotonin, decreasing its content in the nervous systems of insects, including crickets. An activation of the serotonin synthesis with 5-hydroxytryptophan mimicked the effect of flight by increasing the number of visits to and the time spent in the zone near the source of the calling song. The 5-HT content in the third thoracic ganglion was significantly higher in flyers compared to the control group. In contrast, no changes in the octopamine level were observed in the third thoracic ganglion, which is known to play a crucial role in decision-making involved in intraspecific interactions. Therefore, the results suggest that although octopamine is known to be released into the hemolymph during flight, it is likely to inhibit rather than activate the central mechanisms related to phonotaxis. The weak facilitating effect of a low dose of chlordimeform can be attributed to the activation of peripheral octopaminergic receptors. Our results suggest that the serotoninergic system may contribute to the facilitation of female phonotactic behavior by flying. We suggest that both flying and serotonin enhance sexual motivation in females and, by these means, impact their behavioral response to the male calling song. Full article
(This article belongs to the Section Insect Behavior and Pathology)
Show Figures

Figure 1

19 pages, 14307 KB  
Article
Characterization and Localization of Sol g 2.1 Protein from Solenopsis geminata Fire Ant Venom in the Central Nervous System of Injected Crickets (Acheta domestica)
by Siriporn Nonkhwao, Prapenpuksiri Rungsa, Hathairat Buraphaka, Sompong Klaynongsruang, Jureerut Daduang, Napamanee Kornthong and Sakda Daduang
Int. J. Mol. Sci. 2023, 24(19), 14814; https://doi.org/10.3390/ijms241914814 - 1 Oct 2023
Cited by 4 | Viewed by 2164
Abstract
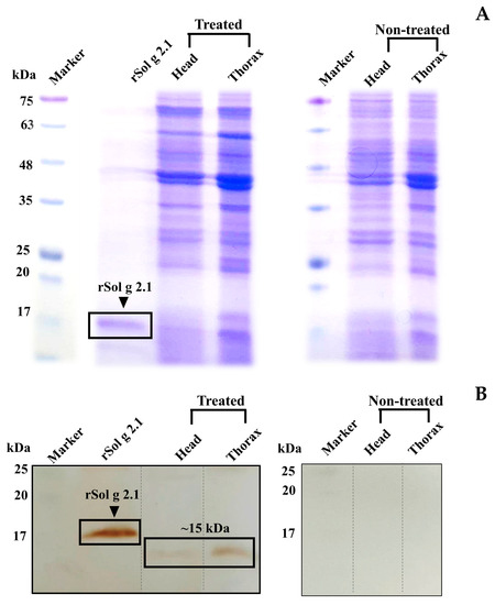
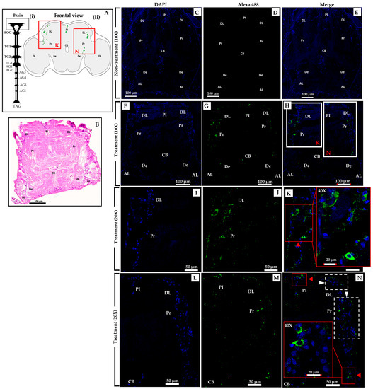
Solenopsis geminata is recognized for containing the allergenic proteins Sol g 1, 2, 3, and 4 in its venom. Remarkably, Sol g 2.1 exhibits hydrophobic binding and has a high sequence identity (83.05%) with Sol i 2 from S. invicta. Notably, Sol [...] Read more.
Solenopsis geminata is recognized for containing the allergenic proteins Sol g 1, 2, 3, and 4 in its venom. Remarkably, Sol g 2.1 exhibits hydrophobic binding and has a high sequence identity (83.05%) with Sol i 2 from S. invicta. Notably, Sol g 2.1 acts as a mediator, causing paralysis in crickets. Given its structural resemblance and biological function, Sol g 2.1 may play a key role in transporting hydrophobic potent compounds, which induce paralysis by releasing the compounds through the insect’s nervous system. To investigate this further, we constructed and characterized the recombinant Sol g 2.1 protein (rSol g 2.1), identified with LC-MS/MS. Circular dichroism spectroscopy was performed to reveal the structural features of the rSol g 2.1 protein. Furthermore, after treating crickets with S. geminata venom, immunofluorescence and immunoblotting results revealed that the Sol g 2.1 protein primarily localizes to the neuronal cell membrane of the brain and thoracic ganglia, with distribution areas related to octopaminergic neuron cell patterns. Based on protein—protein interaction predictions, we found that the Sol g 2.1 protein can interact with octopamine receptors (OctRs) in neuronal cell membranes, potentially mediating Sol g 2.1’s localization within cricket central nervous systems. Here, we suggest that Sol g 2.1 may enhance paralysis in crickets by acting as carriers of active molecules and releasing them onto target cells through pH gradients. Future research should explore the binding properties of Sol g 2.1 with ligands, considering its potential as a transporter for active molecules targeting pest nervous systems, offering innovative pest control prospects. Full article
(This article belongs to the Section Molecular Neurobiology)
Show Figures

Figure 1

10 pages, 5795 KB  
Article
A PDMS–Agar Hybrid Microfluidic Device for the Investigation of Chemical–Mechanical Associative Learning Behavior of C. elegans
by Jinchi Zhu, Yu Wang, Shuting Tang, Huiying Su, Xixian Wang, Wei Du, Yun Wang and Bi-Feng Liu
Micromachines 2023, 14(8), 1576; https://doi.org/10.3390/mi14081576 - 10 Aug 2023
Cited by 2 | Viewed by 2253
Abstract
Associative learning is a critical survival trait that promotes behavioral plasticity in response to changing environments. Chemosensation and mechanosensation are important sensory modalities that enable animals to gather information about their internal state and external environment. However, there is a limited amount of [...] Read more.
Associative learning is a critical survival trait that promotes behavioral plasticity in response to changing environments. Chemosensation and mechanosensation are important sensory modalities that enable animals to gather information about their internal state and external environment. However, there is a limited amount of research on these two modalities. In this paper, a novel PDMS–agar hybrid microfluidic device is proposed for training and analyzing chemical–mechanical associative learning behavior in the nematode Caenorhabditis elegans. The microfluidic device consisted of a bottom agar gel layer and an upper PDMS layer. A chemical concentration gradient was generated on the agar gel layer, and the PDMS layer served to mimic mechanical stimuli. Based on this platform, C. elegans can perform chemical–mechanical associative learning behavior after training. Our findings indicated that the aversive component of training is the primary driver of the observed associative learning behavior. In addition, the results indicated that the neurotransmitter octopamine is involved in regulating this associative learning behavior via the SER-6 receptor. Thus, the microfluidic device provides a highly efficient platform for studying the associative learning behavior of C. elegans, and it may be applied in mutant screening and drug testing. Full article
(This article belongs to the Topic Advances in Microfluidics and Lab on a Chip Technology)
Show Figures

Figure 1

12 pages, 22517 KB  
Article
Molecular Characterization of Octopamine/Tyramine Receptor Gene of Amitraz-Resistant Rhipicephalus (Boophilus) decoloratus Ticks from Uganda
by Patrick Vudriko, Rika Umemiya-Shirafuji, Dickson Stuart Tayebwa, Joseph Byaruhanga, Benedicto Byamukama, Maria Tumwebaze, Xuenan Xuan and Hiroshi Suzuki
Microorganisms 2022, 10(12), 2384; https://doi.org/10.3390/microorganisms10122384 - 30 Nov 2022
Cited by 2 | Viewed by 3486
Abstract
We previously reported the emergence of amitraz-resistant Rhipicephalus (Boophilus) decoloratus ticks in the western region of Uganda. This study characterized the octopamine/tyramine receptor gene (OCT/Tyr) of amitraz-resistant and -susceptible R. (B.) decoloratus ticks from four regions of Uganda. The [...] Read more.
We previously reported the emergence of amitraz-resistant Rhipicephalus (Boophilus) decoloratus ticks in the western region of Uganda. This study characterized the octopamine/tyramine receptor gene (OCT/Tyr) of amitraz-resistant and -susceptible R. (B.) decoloratus ticks from four regions of Uganda. The OCT/Tyr gene was amplified from genomic DNA of 17 R. (B.) decoloratus larval populations of known susceptibility to amitraz. The amplicons were purified, cloned and sequenced to determine mutations in the partial coding region of the OCT/Tyr gene. The amplified R. (B.) decoloratus OCT/Tyr gene was 91–100% identical to the R. (B.) microplus OCT/Tyr gene. Up to 24 single nucleotide polymorphisms (SNPs) were found in the OCT/Tyr gene from ticks obtained from high acaricide pressure areas, compared to 8 from the low acaricide pressure areas. A total of eight amino acid mutations were recorded in the partial OCT/Tyr gene from ticks from the western region, and four of them were associated with amitraz-resistant tick populations. The amino acid mutations M1G, L16F, D41G and V72A were associated with phenotypic resistance to amitraz with no specific pattern. Phylogenetic analysis revealed that the OCT/Tyr gene sequence from this study clustered into two distinct groups that separated the genotype from high acaricide pressure areas from the susceptible populations. In conclusion, this study is the first to characterize the R. (B.) decoloratus OCT/Tyr receptor gene and reports four novel amino acid mutations associated with phenotypic amitraz resistance in Uganda. However, lack of mutations in the ORF of the OCT/Tyr gene fragment for some of the amitraz-resistant R. (B.) decoloratus ticks could suggest that other mechanisms of resistance may be responsible for amitraz resistance, hence the need for further investigation. Full article
(This article belongs to the Special Issue Advanced Research on Ticks and Tick-Borne Diseases)
Show Figures

Figure 1

34 pages, 2479 KB  
Review
Natural Sympathomimetic Drugs: From Pharmacology to Toxicology
by Vera Marisa Costa, Luciana Grazziotin Rossato Grando, Elisa Milandri, Jessica Nardi, Patrícia Teixeira, Přemysl Mladěnka, Fernando Remião and on behalf of The OEMONOM
Biomolecules 2022, 12(12), 1793; https://doi.org/10.3390/biom12121793 - 30 Nov 2022
Cited by 17 | Viewed by 14108
Abstract
Sympathomimetic agents are a group of chemical compounds that are able to activate the sympathetic nervous system either directly via adrenergic receptors or indirectly by increasing endogenous catecholamine levels or mimicking their intracellular signaling pathways. Compounds from this group, both used therapeutically or [...] Read more.
Sympathomimetic agents are a group of chemical compounds that are able to activate the sympathetic nervous system either directly via adrenergic receptors or indirectly by increasing endogenous catecholamine levels or mimicking their intracellular signaling pathways. Compounds from this group, both used therapeutically or abused, comprise endogenous catecholamines (such as adrenaline and noradrenaline), synthetic amines (e.g., isoproterenol and dobutamine), trace amines (e.g., tyramine, tryptamine, histamine and octopamine), illicit drugs (e.g., ephedrine, cathinone, and cocaine), or even caffeine and synephrine. In addition to the effects triggered by stimulation of the sympathetic system, the discovery of trace amine associated receptors (TAARs) in humans brought new insights about their sympathomimetic pharmacology and toxicology. Although synthetic sympathomimetic agents are mostly seen as toxic, natural sympathomimetic agents are considered more complacently in the terms of safety in the vision of the lay public. Here, we aim to discuss the pharmacological and mainly toxicological aspects related to sympathomimetic natural agents, in particular of trace amines, compounds derived from plants like ephedra and khat, and finally cocaine. The main purpose of this review is to give a scientific and updated view of those agents and serve as a reminder on the safety issues of natural sympathomimetic agents most used in the community. Full article
(This article belongs to the Special Issue Pharmacology of Cardiovascular Disease)
Show Figures

Figure 1

17 pages, 1387 KB  
Article
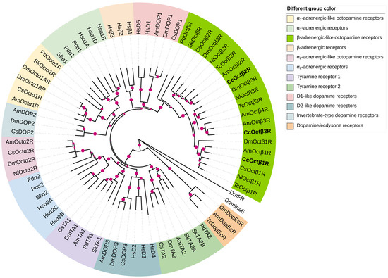
Molecular and Pharmacological Characterization of β-Adrenergic-like Octopamine Receptors in the Endoparasitoid Cotesia chilonis (Hymenoptera: Braconidae)
by Gang Xu, Yuan-Yuan Zhang, Gui-Xiang Gu, Guo-Qing Yang and Gong-Yin Ye
Int. J. Mol. Sci. 2022, 23(23), 14513; https://doi.org/10.3390/ijms232314513 - 22 Nov 2022
Cited by 4 | Viewed by 2415
Abstract
Octopamine (OA) is structurally and functionally similar to adrenaline/noradrenaline in vertebrates, and OA modulates diverse physiological and behavioral processes in invertebrates. OA exerts its actions by binding to specific octopamine receptors (OARs). Functional and pharmacological characterization of OARs have been investigated in several [...] Read more.
Octopamine (OA) is structurally and functionally similar to adrenaline/noradrenaline in vertebrates, and OA modulates diverse physiological and behavioral processes in invertebrates. OA exerts its actions by binding to specific octopamine receptors (OARs). Functional and pharmacological characterization of OARs have been investigated in several insects. However, the literature on OARs is scarce for parasitoids. Here we cloned three β-adrenergic-like OARs (CcOctβRs) from Cotesia chilonis. CcOctβRs share high similarity with their own orthologous receptors. The transcript levels of CcOctβRs were varied in different tissues. When heterologously expressed in CHO-K1 cells, CcOctβRs induced cAMP production, and were dose-dependently activated by OA, TA and putative octopaminergic agonists. Their activities were inhibited by potential antagonists and were most efficiently blocked by epinastine. Our study offers important information about the molecular and pharmacological properties of β-adrenergic-like OARs from C. chilonis that will provide the basis to reveal the contribution of individual receptors to the physiological processes and behaviors in parasitoids. Full article
(This article belongs to the Section Molecular Neurobiology)
Show Figures

Figure 1

14 pages, 824 KB  
Article
Stereoselectivity in the Membrane Transport of Phenylethylamine Derivatives by Human Monoamine Transporters and Organic Cation Transporters 1, 2, and 3
by Lukas Gebauer, Muhammad Rafehi and Jürgen Brockmöller
Biomolecules 2022, 12(10), 1507; https://doi.org/10.3390/biom12101507 - 18 Oct 2022
Cited by 6 | Viewed by 3074
Abstract
Stereoselectivity is well known and very pronounced in drug metabolism and receptor binding. However, much less is known about stereoselectivity in drug membrane transport. Here, we characterized the stereoselective cell uptake of chiral phenylethylamine derivatives by human monoamine transporters (NET, DAT, and SERT) [...] Read more.
Stereoselectivity is well known and very pronounced in drug metabolism and receptor binding. However, much less is known about stereoselectivity in drug membrane transport. Here, we characterized the stereoselective cell uptake of chiral phenylethylamine derivatives by human monoamine transporters (NET, DAT, and SERT) and organic cation transporters (OCT1, OCT2, and OCT3). Stereoselectivity differed extensively between closely related transporters. High-affinity monoamine transporters (MATs) showed up to 2.4-fold stereoselective uptake of norepinephrine and epinephrine as well as of numerous analogs. While NET and DAT preferentially transported (S)-norepinephrine, SERT preferred the (R)-enantiomer. In contrast, NET and DAT showed higher transport for (R)-epinephrine and SERT for (S)-epinephrine. Generally, MAT stereoselectivity was lower than expected from their high affinity to several catecholamines and from the high stereoselectivity of some inhibitors used as antidepressants. Additionally, the OCTs differed strongly in their stereoselectivity. While OCT1 showed almost no stereoselective uptake, OCT2 was characterized by a roughly 2-fold preference for most (R)-enantiomers of the phenylethylamines. In contrast, OCT3 transported norphenylephrine and phenylephrine with 3.9-fold and 3.3-fold preference for their (R)-enantiomers, respectively, while the para-hydroxylated octopamine and synephrine showed no stereoselective OCT3 transport. Altogether, our data demonstrate that stereoselectivity is highly transporter-to-substrate specific and highly diverse even between homologous transporters. Full article
(This article belongs to the Special Issue Organic Cation Transporters)
Show Figures

Figure 1

13 pages, 2515 KB  
Article
Pharmacological Properties and Function of the PxOctβ3 Octopamine Receptor in Plutella xylostella (L.)
by Hang Zhu, Zheming Liu, Haihao Ma, Wei Zheng, Jia Liu, Yong Zhou, Yilong Man, Xiaomao Zhou and Aiping Zeng
Insects 2022, 13(8), 735; https://doi.org/10.3390/insects13080735 - 16 Aug 2022
Cited by 5 | Viewed by 2636
Abstract
The diamondback moth (Plutella xylostella) is one of the most destructive lepidopteran pests of cruciferous vegetables, and insights into regulation of its physiological processes contribute towards the development of new pesticides against it. Thus, we investigated the regulatory functions of its [...] Read more.
The diamondback moth (Plutella xylostella) is one of the most destructive lepidopteran pests of cruciferous vegetables, and insights into regulation of its physiological processes contribute towards the development of new pesticides against it. Thus, we investigated the regulatory functions of its β-adrenergic-like octopamine receptor (PxOctβ3). The open reading frame (ORF) of PxOctβ3 was phylogenetically analyzed, and the levels of expression of the receptor mRNA were determined. This ORF was also cloned and expressed in HEK-293 cells. A series of octopamine receptor agonists and antagonists were tested against PxOctβ3. We showed that the receptor is a member of the Octβ3 protein family, and an analysis using quantitative PCR showed that it was expressed at all developmental stages of P. xylostella. Octopamine activated PxOctβ3, resulting in increased levels of intracellular cAMP. Furthermore, the agonists naphazoline, clonidine, 2-phenethylamine, and amitraz activated the PxOctβ3 receptor, and naphazoline was the most effective. Only metoclopramide and mianserin had significant antagonistic effects on PxOctβ3, whereas yohimbine, phentolamine, and chlorpromazine lacked obvious antagonistic effects. The injection of double-stranded RNA in an RNA interference assay indicated that PxOctβ3 regulates development in P. xylostella. This study demonstrated the pharmacological properties and functions of PxOctβ3 in P. xylostella, thus, providing a theoretical basis for the design of pesticides that target octopamine receptors. Full article
(This article belongs to the Section Insect Physiology, Reproduction and Development)
Show Figures

Figure 1

18 pages, 1902 KB  
Article
Multiple Direct Effects of the Dietary Protoalkaloid N-Methyltyramine in Human Adipocytes
by Christian Carpéné, Pénélope Viana, Jessica Fontaine, Henrik Laurell and Jean-Louis Grolleau
Nutrients 2022, 14(15), 3118; https://doi.org/10.3390/nu14153118 - 29 Jul 2022
Cited by 1 | Viewed by 2327
Abstract
Dietary amines have been the subject of a novel interest in nutrition since the discovery of trace amine-associated receptors (TAARs), especially TAAR-1, which recognizes tyramine, phenethylamine, tryptamine, octopamine, N-methyltyramine (NMT), synephrine, amphetamine and related derivatives. Alongside the psychostimulant properties of TAAR-1 ligands, [...] Read more.
Dietary amines have been the subject of a novel interest in nutrition since the discovery of trace amine-associated receptors (TAARs), especially TAAR-1, which recognizes tyramine, phenethylamine, tryptamine, octopamine, N-methyltyramine (NMT), synephrine, amphetamine and related derivatives. Alongside the psychostimulant properties of TAAR-1 ligands, it is their ephedrine-like action on weight loss that drives their current consumption via dietary supplements advertised for ‘fat-burning’ properties. Among these trace amines, tyramine has recently been described, at high doses, to exhibit an antilipolytic action and activation of glucose transport in human adipocytes, i.e., effects that are facilitating lipid storage rather than mobilization. Because of its close structural similarity to tyramine, NMT actions on human adipocytes therefore must to be reevaluated. To this aim, we studied the lipolytic and antilipolytic properties of NMT together with its interplay with insulin stimulation of glucose transport along with amine oxidase activities in adipose cells obtained from women undergoing abdominal surgery. NMT activated 2-deoxyglucose uptake when incubated with freshly isolated adipocytes at 0.01–1 mM, reaching one-third of the maximal stimulation by insulin. However, when combined with insulin, NMT limited by half the action of the lipogenic hormone on glucose transport. The NMT-induced stimulation of hexose uptake was sensitive to inhibitors of monoamine oxidases (MAO) and of semicarbazide-sensitive amine oxidase (SSAO), as was the case for tyramine and benzylamine. All three amines inhibited isoprenaline-induced lipolysis to a greater extent than insulin, while they were poorly lipolytic on their own. All three amines—but not isoprenaline—interacted with MAO or SSAO. Due to these multiple effects on human adipocytes, NMT cannot be considered as a direct lipolytic agent, potentially able to improve lipid mobilization and fat oxidation in consumers of NMT-containing dietary supplements. Full article
(This article belongs to the Special Issue Modulation by Dietary Supplements in Obesity)
Show Figures

Figure 1

11 pages, 2273 KB  
Article
Phytochemical Combination (p-Synephrine, p-Octopamine Hydrochloride, and Hispidulin) for Improving Obesity in Obese Mice Induced by High-Fat Diet
by Dahae Lee, Ji Hwan Lee, Byoung Ha Kim, Sanghyun Lee, Dong-Wook Kim and Ki Sung Kang
Nutrients 2022, 14(10), 2164; https://doi.org/10.3390/nu14102164 - 23 May 2022
Cited by 14 | Viewed by 3372
Abstract
Obesity treatment efficiency can be increased by targeting both central and peripheral pathways. In a previous study, we identified two natural compounds (hispidulin and p-synephrine) that affect adipocyte differentiation. We tested whether obesity treatment efficiency may be improved by adding an appetite-controlling [...] Read more.
Obesity treatment efficiency can be increased by targeting both central and peripheral pathways. In a previous study, we identified two natural compounds (hispidulin and p-synephrine) that affect adipocyte differentiation. We tested whether obesity treatment efficiency may be improved by adding an appetite-controlling agent to the treatment in the present study. Alkaloids, such as p-octopamine, are adrenergic agonists and are thus used as dietary supplements to achieve weight loss. Here, we assessed anti-obesity effects of a mixture of p-synephrine, p-octopamine HCl, and hispidulin (SOH) on murine preadipocyte cells and on mice receiving a high-fat diet (HFD). SOH showed stronger inhibition of the formation of red-stained lipid droplets than co-treatment with hispidulin and p-synephrine. Moreover, SOH reduced the expression of adipogenic marker proteins, including CCAAT/enhancer-binding protein alpha, CCAAT/enhancer-binding protein beta, and peroxisome proliferator-activated receptor gamma. In the HFD-induced obesity model, body weight and dietary intake were lower in mice treated with SOH than in the controls. Additionally, liver weight and the levels of alanine aminotransferase and total cholesterol were lower in SOH-treated mice than in the controls. In conclusion, our results suggest that consumption of SOH may be a potential alternative strategy to counteract obesity. Full article
(This article belongs to the Special Issue The Perspectives of Plant Natural Products for Mitigation of Obesity)
Show Figures

Figure 1

Back to TopTop