Sign in to use this feature.

Years

Between: -

Subjects

remove_circle_outline
remove_circle_outline
remove_circle_outline
remove_circle_outline
remove_circle_outline
remove_circle_outline
remove_circle_outline

Journals

Article Types

Countries / Regions

Search Results (196)

Search Parameters:
Keywords = mitral valve replacement

Order results
Result details
Results per page
Select all
Export citation of selected articles as:
16 pages, 585 KB  
Article
When Mitral Repair Fails: Understanding Recurrence, Risk Factors, and Treatment Choices
by Elisa Mikus, Mariafrancesca Fiorentino, Diego Sangiorgi, Niki Bernardoni, Roberto Nerla, Simone Calvi, Elena Tenti, Fausto Castriota and Carlo Savini
J. Cardiovasc. Dev. Dis. 2026, 13(5), 189; https://doi.org/10.3390/jcdd13050189 - 29 Apr 2026
Abstract
Background: Reintervention after mitral valve repair represents a relevant clinical challenge, yet the mechanisms and timing of repair failure remain incompletely defined. Understanding how the interval between index repair and reoperation affects failure mechanisms and the feasibility of repeat repair may help refine [...] Read more.
Background: Reintervention after mitral valve repair represents a relevant clinical challenge, yet the mechanisms and timing of repair failure remain incompletely defined. Understanding how the interval between index repair and reoperation affects failure mechanisms and the feasibility of repeat repair may help refine surgical strategies. Methods: We retrospectively analyzed 194 patients undergoing repeat mitral valve surgery between 2010 and 2025 after prior repair. Median age was 70 years and 61.3% were male. Patients were stratified by time to reoperation: 0–5 years (n = 91), 6–10 years (n = 42), and >10 years (n = 61). Median left ventricular ejection fraction was 58%, atrial fibrillation prevalence 32.5%, minimally invasive approach 21.6%, and EuroSCORE II 4.8%. Results: Baseline characteristics and operative risk were comparable across groups. However, mechanisms of repair failure differed significantly. Early failures were more commonly due to recurrent leaflet prolapse (47.8%), whereas late failures showed a higher incidence of mitral stenosis (63.9%). The rate of repeat mitral repair decreased over time, being higher in early failures compared with intermediate and late failures (17.6% vs. 14.3% vs. 8.2%). Conclusions: Timing of mitral repair failure is associated with distinct mechanisms and influences surgical management. Early failures are more frequently related to prolapse recurrence and are more amenable to re-repair, whereas late failures are characterized by structural degeneration and more often require valve replacement. Full article
(This article belongs to the Special Issue Risk Factors and Outcomes in Cardiac Surgery: 2nd Edition)
28 pages, 11290 KB  
Review
Anti-Thrombotic Therapy Following Transcatheter Structural Heart Intervention
by Francesco Tartaglia, Giulia Antonelli, Alessandro Gabrielli, Mauro Gitto, Arif A. Khokhar, Francesca Soriente, Pier Pasquale Leone, Damiano Regazzoli, Ole de Backer, Antonio Mangieri and Giulio Stefanini
J. Clin. Med. 2026, 15(8), 3175; https://doi.org/10.3390/jcm15083175 - 21 Apr 2026
Viewed by 316
Abstract
Transcatheter structural heart interventions, including aortic, mitral and tricuspid valve replacement or repair, and patent foramen ovale, atrial septal defect, and left atrial appendage closure, have dramatically expanded over the past two decades, providing substantial improvements in both clinical outcomes and quality of [...] Read more.
Transcatheter structural heart interventions, including aortic, mitral and tricuspid valve replacement or repair, and patent foramen ovale, atrial septal defect, and left atrial appendage closure, have dramatically expanded over the past two decades, providing substantial improvements in both clinical outcomes and quality of life. These interventions are performed in a high-risk patient population, which is at risk for both thrombotic and bleeding complications. The introduction of prosthetic devices into the arterial or venous circulation under heterogeneous hemodynamic conditions inevitably increases the risk for thrombotic events and thromboembolic complications. Consequently, the selection of antithrombotic therapy (AT) regimen and its duration is complex and should be tailored to each patient’s risk profile, balancing the expected risk and benefits. This state-of-the-art review critically examines the thrombotic risks inherent to transcatheter structural heart interventions, synthesizes available evidence and current guidelines recommendations on antithrombotic management, and defines persisting gaps in knowledge while discussing the most relevant ongoing clinical trials. Full article
(This article belongs to the Special Issue Advances in Antithrombotic Therapy in Cardiovascular Medicine)
Show Figures

Graphical abstract

12 pages, 1186 KB  
Article
Phenotypic Associations of Early Cardiovascular Surgery in Pediatric Marfan Syndrome
by Veronika C. Stark, Thomas S. Mir, Caja Langkat, Daniel Biermann, Johanna J. Kanitz, Gerhard Schoen, Yskert von Kodolitsch, Nora Lang, Rainer Kozlik-Feldmann, Michael Huebler and Jakob Olfe
Children 2026, 13(4), 504; https://doi.org/10.3390/children13040504 - 3 Apr 2026
Viewed by 371
Abstract
Background/Objectives: Cardiovascular manifestations in pediatric Marfan syndrome (MFS) exhibit substantial heterogeneity. Early identification of patients at elevated risk of requiring cardiac surgery is essential to optimizing outcomes. This study aimed to determine phenotypic features associated with cardiovascular surgery in genetically confirmed pediatric [...] Read more.
Background/Objectives: Cardiovascular manifestations in pediatric Marfan syndrome (MFS) exhibit substantial heterogeneity. Early identification of patients at elevated risk of requiring cardiac surgery is essential to optimizing outcomes. This study aimed to determine phenotypic features associated with cardiovascular surgery in genetically confirmed pediatric MFS. Methods: Among the 1006 children evaluated, 214 with genetically verified MFS were included in the analysis. We categorized patients by the presence or absence of cardiac surgery during childhood. Systemic and cardiovascular features were assessed. We applied binary logistic regression to identify independent associated manifestations with surgical intervention. Results: 20/214 patients (9.3%, 11.5 ± 5.5 years) underwent cardiac surgery (50% aortic root replacement, 20% mitral valve surgery, 30% combined interventions). Extracardiac features—Marfan-type facial features, pectus carinatum, pes planus, hindfoot deformity, and myopia of ≥3 diopters—were significantly associated with an increased probability of surgery (OR 3.0–4.6). Tricuspid valve prolapse and pulmonary artery dilatation were more prevalent in surgical patients. Surgical patients exhibited higher systemic manifestation scores (9.2 vs. 5.2; p ≤ 0.05) per revised Ghent criteria (RGC). Conclusions: A higher systemic score (RGC) correlates with increased risk for surgery. Marfan-type facial features, pectus carinatum, pes planus, hindfoot deformity, and myopia ≥ 3 diopters were strongly associated with the need for early cardiac surgery. Comprehensive phenotypic assessment, including systemic manifestation scoring, enables risk stratification and supports timely surgical planning in pediatric MFS. Full article
(This article belongs to the Special Issue Research Progress of the Pediatric Cardiology: 4th Edition)
Show Figures

Figure 1

19 pages, 2276 KB  
Article
Prognostic Impact of Qualitative and Quantitative Mitral Valve Calcification in Transapical Transcatheter Mitral Valve Replacement: A Sub-Analysis of the TENDER Registry
by Tillmann Kerbel, Liliane Zillner, Mirjam G. Wild, Michaela M. Hell, Elmar W. Kuhn, Tanja Rudolph, Lenard Conradi, Andreas Zierer, Francesco Maisano, Marco Russo, Fabrizio Rosati, Andrea Colli, Miguel Piñón, David Reineke, Gaby Aphram, Christophe Dubois, Jörg Hausleiter, Ralph Stephan von Bardeleben and Martin Andreas
J. Clin. Med. 2026, 15(7), 2660; https://doi.org/10.3390/jcm15072660 - 31 Mar 2026
Viewed by 381
Abstract
Objectives: This study aims to review short- to intermediate-term outcomes after transapical transcatheter mitral valve replacement (TMVR) using the Tendyne valve system in patients with mitral annular calcification (MAC), including off-label use in severe MAC. Methods: This retrospective sub-analysis of the [...] Read more.
Objectives: This study aims to review short- to intermediate-term outcomes after transapical transcatheter mitral valve replacement (TMVR) using the Tendyne valve system in patients with mitral annular calcification (MAC), including off-label use in severe MAC. Methods: This retrospective sub-analysis of the multicenter Tendyne European Experience (TENDER) registry included fifty-three MAC patients who underwent commercial Tendyne-TMVR in 15 European heart centers between 01/2020 and 06/2022. Patients were assigned to the mild (n = 16), moderate (n = 17), and severe MAC (n = 20) cohorts according to Guerrero’s MAC score. Additionally, the predictive value of detailed computed tomography-derived, quantitative, and qualitative MAC characteristics on clinical outcome was tested. Results: In this overall multimorbid patient population, predominantly treated for severe mitral regurgitation (MR), technical success rates were comparable among cohorts (mild MAC: 93.8% vs. moderate MAC: 88.2%vs. severe MAC: 95%, p = 0.720). Complete MR abolishment was achieved in 88.7% of patients, with no significant difference between cohorts in the incidence of residual MR >1+ (n = 1 in moderate MAC; p = 0.350) or paravalvular leakage >1+ (PVL; n = 2 in moderate MAC, p = 0.118) at discharge. All three in-hospital deaths occurred in patients with moderate MAC (p = 0.034). There were no significant differences in 1-year cardiovascular mortality (mild MAC: 23.1% vs. moderate MAC: 6.3% vs. severe MAC: 0%, p = 0.085) and overall mortality (mild MAC: 38.5% vs. moderate MAC: 43.8% vs. severe MAC: 18.8%, p = 0.291) between the cohorts, including in patients with off-label severe MAC. The rate of heart failure hospitalization at 1 year was significantly higher in the moderate MAC cohort (mild MAC: 10% vs. moderate MAC: 61.5%, severe MAC: 21.4%, p = 0.017). Further quantitative and qualitative MAC parameters showed no significant impact on 1-year survival or hemodynamic prosthetic performance. Conclusions: This MAC-focused analysis suggests that Valve-in-MAC using the Tendyne valve system is safe, technically feasible, and associated with satisfying hemodynamic and clinical outcomes, irrespective of MAC morphology. Full article
(This article belongs to the Special Issue New Insights into Transcatheter Mitral Valve Therapy)
Show Figures

Graphical abstract

17 pages, 1496 KB  
Review
Transcatheter Valve Replacement for Mitral Stenosis: A State of the Art Review
by Alessandro Comis, Claudio Sanfilippo, Sebastiano Immè, Claudia Ina Tamburino, Luigi Ferrarotto, Antonino Salvatore Rubino and Corrado Tamburino
J. Clin. Med. 2026, 15(6), 2373; https://doi.org/10.3390/jcm15062373 - 20 Mar 2026
Viewed by 531
Abstract
Degenerative mitral stenosis (MS) secondary to extensive mitral annular calcification (MAC) represents a growing clinical challenge in an aging population. These patients are often elderly, frail, and harbor a significant burden of comorbidities, rendering conventional mitral valve surgery prohibitively high-risk. While transcatheter mitral [...] Read more.
Degenerative mitral stenosis (MS) secondary to extensive mitral annular calcification (MAC) represents a growing clinical challenge in an aging population. These patients are often elderly, frail, and harbor a significant burden of comorbidities, rendering conventional mitral valve surgery prohibitively high-risk. While transcatheter mitral valve replacement (TMVR) has emerged as a potential alternative, the current evidence is only derived from single-arm observational registries. Therefore, the transition toward randomized controlled trials to define optimal patient selection and long-term prosthetic durability is necessary. This review examines the current landscape of TMVR for degenerative MS, focusing on the role of multimodal pre-procedural planning, procedural technique, and prevention of the principal complications. The integration of echocardiography and multi-slice computed tomography (MSCT) is essential for evaluating anatomical feasibility, particularly in predicting neo left ventricle outflow tract (neo-LVOT) obstruction, the primary determinant of procedural mortality. However, it is limited due to the absence of standardized protocol. We are showing the outcomes of off-label balloon-expandable aortic prostheses and dedicated TMVR system, which are the only two devices which data in patients with MS are available. Despite high technical success rates in specialized centers, complications, including paravalvular leak, valve thrombosis, and device migration, remain more prevalent than in aortic interventions. We present some tips and tricks to prevent and manage adverse events. TMVR represents a transformative frontier for inoperable patients with severe MAC. However, its routine clinical adoption requires further refinement of dedicated technologies and standardized imaging protocols to improve safety and bridge the gap between palliative medical therapy and definitive intervention. Full article
Show Figures

Figure 1

14 pages, 731 KB  
Article
Unplanned Mechanical Circulatory Support as Hemodynamic Rescue Worsens Outcomes in Transcatheter Aortic Valve Replacement
by Michael Keller, Ye In Christopher Kwon, Zachary Gertz, Barbara Lawson, Mohammed Quader and Zubair A. Hashmi
J. Clin. Med. 2026, 15(6), 2371; https://doi.org/10.3390/jcm15062371 - 20 Mar 2026
Viewed by 354
Abstract
Background/Objectives: Acute hemodynamic collapse is a rare but deadly complication of transcatheter aortic valve replacement (TAVR) that can require temporary mechanical circulatory support (tMCS). Using a statewide collaborative, we conducted a focused analysis on the incidence and outcomes associated with the use [...] Read more.
Background/Objectives: Acute hemodynamic collapse is a rare but deadly complication of transcatheter aortic valve replacement (TAVR) that can require temporary mechanical circulatory support (tMCS). Using a statewide collaborative, we conducted a focused analysis on the incidence and outcomes associated with the use of tMCS during TAVR as hemodynamic rescue. Methods: We identified adult patients who underwent TAVR between September 2012 and September 2024 within the statewide collaborative and stratified them based on if tMCS was needed. Baseline patient characteristics and risk factors associated with tMCS use were analyzed as well as the impact of tMCS on outcomes. Results: We identified 7735 patients who underwent TAVR. A total of 44 (0.57%) patients required tMCS. Patients requiring tMCS were more likely to have histories that included diabetes, concurrent mitral regurgitation, prior MI, or NYHA class III or IV. These patients also experienced more emergent procedures and were more likely to require inotropic support. Patients experienced significantly worse outcomes following tMCS rescue during TAVR, with 18% requiring conversion to surgical approach (vs. 1%, p < 0.001) and 37% of tMCS patients experiencing cardiac arrest, compared to 1% of those who did not need tMCS (p < 0.001). Thirty-day mortality was worse for patients requiring tMCS (p < 0.001). MCS usage was independently associated with the need for further procedures. Conclusions: Unplanned, emergent tMCS during TAVR as hemodynamic rescue represents significant risk of complications and should be utilized judiciously in cases of acute hemodynamic collapse. Full article
(This article belongs to the Special Issue Heart Valve Surgery: Recent Trends and Future Perspective)
Show Figures

Figure 1

7 pages, 4269 KB  
Case Report
Unusual Native Valve Remnant in the Left Ventricular Outflow Tract After Valve-in-Ring Transcatheter Mitral Valve Replacement
by Sergio Enea Masnaghetti, Fabiana Isabella Gambarin, Stefano Maffè, Marco Gnemmi, Michela Conti, Andrea Audo and Massimo Pistono
J. Clin. Med. 2026, 15(5), 1732; https://doi.org/10.3390/jcm15051732 - 25 Feb 2026
Viewed by 317
Abstract
Background and clinical significance. Valve-in-ring (ViR) transcatheter mitral valve replacement (TMVR) is an established therapeutic option for patients with failed surgical mitral valve repair at high surgical risk. Left ventricular outflow tract (LVOT) obstruction and prosthesis-related complications are well described, but other [...] Read more.
Background and clinical significance. Valve-in-ring (ViR) transcatheter mitral valve replacement (TMVR) is an established therapeutic option for patients with failed surgical mitral valve repair at high surgical risk. Left ventricular outflow tract (LVOT) obstruction and prosthesis-related complications are well described, but other postprocedural findings remain poorly characterized. Case presentation. We report a challenging case of a persistent LVOT mass following ViR TMVR. A 78-year-old man underwent transapical ViR TMVR with a Sapien 3 valve for mitral stenosis. Early post-procedural echocardiography showed normal prosthetic function and no LVOT obstruction. During inpatient cardiac rehabilitation, transthoracic echocardiography revealed a mobile mass in the LVOT. The patient did not show any clinical, microbiological, or laboratory evidence of infection. Blood cultures were negative, and the mass showed no changes despite anticoagulation. Two- and three-dimensional transesophageal echocardiography demonstrated a mobile structure attached to the mitral prosthetic ring by a thin peduncle. After a comprehensive multimodality assessment, thrombus and infective endocarditis were considered unlikely. The mass was ultimately interpreted as a displaced remnant of the native anterior mitral leaflet. Given the prohibitive surgical risk and absence of complications, conservative management with echocardiographic follow-up was adopted. Conclusions. This case study emphasizes the role of advanced echocardiography and multimodality analysis in avoiding misdiagnosis and inappropriate therapeutic interventions. Full article
(This article belongs to the Special Issue New Insights into Transcatheter Mitral Valve Therapy)
Show Figures

Figure 1

15 pages, 872 KB  
Article
Long-Term Outcomes of Mechanical Mitral Valve Replacement: A Comparison of Four Valve Types
by Amr A. Arafat, Fatimah A. Alhijab, Monirah A. Albabtain, Musab Kiddo, Rwan Alghamdi, Saud Alshehri, Ismail M. Alnaggar, Mostafa A. Shalaby, Huda H. Ismail and Khaled A. Alotaibi
J. Clin. Med. 2026, 15(4), 1633; https://doi.org/10.3390/jcm15041633 - 21 Feb 2026
Viewed by 534
Abstract
Background: The choice of mechanical prosthesis for mitral valve replacement (MVR) is critical, yet data comparing long-term outcomes across different valve types are still needed. This study aimed to compare the long-term clinical and echocardiographic outcomes of four distinct mechanical mitral valve prostheses. [...] Read more.
Background: The choice of mechanical prosthesis for mitral valve replacement (MVR) is critical, yet data comparing long-term outcomes across different valve types are still needed. This study aimed to compare the long-term clinical and echocardiographic outcomes of four distinct mechanical mitral valve prostheses. Methods: We retrospectively analyzed 431 patients who underwent mechanical MVR between 2009 and 2022 with one of four valve types: Carbomedics (n = 112), Bicarbon (n = 176), ATS (n = 89), or On-X (n = 54). A competing risk regression model was used to identify predictors of a composite endpoint (valve thrombosis, reoperation, stroke, pulmonary embolism, and major bleeding), accounting for all-cause mortality. Longitudinal echocardiographic data were analyzed using linear mixed-effects models. Results: The median follow-up was 62 months. The cumulative incidence of the composite endpoint at 10 years was 14% for the On-X valve, 12% for the Bicarbon valve, 9.5% for the Carbomedics valve, and 7% for the ATS valve. After adjusting for confounders, the type of valve prosthesis was not significantly associated with the composite endpoint. Significant predictors of adverse events included coronary artery disease (Sub-distribution Hazard Ratio [SHR] 2.70, p = 0.023), peripheral artery disease (SHR 6.29, p = 0.007), and smaller valve size (SHR 0.87, p = 0.037). No significant difference in overall survival was observed between the groups (log-rank p = 0.904). All valve types were associated with favorable LV remodeling. The Carbomedics group showed the greatest reduction in left ventricular end-diastolic diameter, likely reflecting regression to the mean given the larger baseline ventricular dimensions in this group. Conclusions: The type of mechanical mitral valve did not significantly influence long-term thromboembolic and bleeding events or overall survival. Patient-specific factors and valve size were the primary determinants of adverse outcomes. The observed differences in ventricular remodeling may warrant further investigation. Full article
(This article belongs to the Special Issue Advances in Structural Heart Diseases)
Show Figures

Graphical abstract

12 pages, 618 KB  
Article
Toward Personalized Anticoagulation: Clinical Predictors of Early Warfarin Response in Heart Valve Replacement Patients
by Rania Abdel-latif, Shaban Mohammed, Tamer Abdalghafoor, Rana Mekkawi, Cornelia Sonia Carr, Abdulaziz M. Alkhulaifi, Ali Kindawi, Mohd Lateef Wani, Samim Azizi, Mohamad El-Kahlout, Sankar Balasubramanian, Hatem Sarhan, Samy Hanoura, Sameh Aboulnaga, Yasser Shouman, Abdulwahid Al Mulla, Radja Badji, Wadha Al-Muftah and Amr Salah Omar
Biomedicines 2026, 14(2), 446; https://doi.org/10.3390/biomedicines14020446 - 17 Feb 2026
Viewed by 645
Abstract
Background/Objective: Warfarin is the standard anticoagulant for patients with mechanical heart valve replacement (HVR). However, its narrow therapeutic index and interpatient variability complicate early postoperative management. Evidence on how valve position influences warfarin sensitivity is limited. This study evaluated the impact of [...] Read more.
Background/Objective: Warfarin is the standard anticoagulant for patients with mechanical heart valve replacement (HVR). However, its narrow therapeutic index and interpatient variability complicate early postoperative management. Evidence on how valve position influences warfarin sensitivity is limited. This study evaluated the impact of prosthetic valve position and clinical factors on early warfarin response and developed a prediction model to guide initial warfarin dosing in HVR patients. Methods: A retrospective study was conducted on 310 adults who underwent mechanical aortic, mitral, or double valve replacement at Hamad Medical Corporation (2015–2022). Warfarin was initiated within 24 h postoperatively, and patients were monitored for three days. Outcomes included daily warfarin dose, international normalized ratio (INR) levels, attainment of therapeutic INR, INR overshoot (≥4), and the warfarin dose index on day 3 (WDI3). Predictors of WDI3 were analyzed using multivariable regression, and a LASSO model was applied to a dose prediction algorithm for the day 1 dose. Results: Mitral valve recipients required lower doses than aortic or double valve groups (p = 0.008) but had higher INR overshoot rates (18.75% vs. 16.05% and 4.55%; p = 0.033). Female sex and a higher baseline INR were associated with greater sensitivity (p < 0.01), whereas mitral/double valve position predicted reduced sensitivity (p = 0.010). Only half of the cohort reached therapeutic INR by day 3. The prediction model explained ~28% of dose variance with moderate performance. Conclusions: Valve position, sex, and baseline INR significantly influence early postoperative warfarin response. Incorporating these clinical factors into dosing algorithms may optimize initial warfarin management in HVR patients. Full article
Show Figures

Figure 1

9 pages, 411 KB  
Article
Outcomes of Mechanical Mitral Valve Replacement with Preservation of Posterior Leaflet in Patients with Reduced Left Ventricular Function
by Binh Thanh Tran, Viet Anh Le, Dung Tien Nguyen, Dung Van Nguyen, Duong Minh Vu, Vinh Duc An Bui, Phu Duc Bui and Nam Van Nguyen
Surgeries 2026, 7(1), 24; https://doi.org/10.3390/surgeries7010024 - 14 Feb 2026
Viewed by 441
Abstract
Background: Compromised left ventricular function presents unique challenges during mitral valve surgery. Recent evidence suggests that subvalvular apparatus preservation might enhance postoperative recovery in high-risk populations. Methods: This prospective observational investigation (Hue Central Hospital, March 2015–September 2016) evaluated 87 patients undergoing mechanical mitral [...] Read more.
Background: Compromised left ventricular function presents unique challenges during mitral valve surgery. Recent evidence suggests that subvalvular apparatus preservation might enhance postoperative recovery in high-risk populations. Methods: This prospective observational investigation (Hue Central Hospital, March 2015–September 2016) evaluated 87 patients undergoing mechanical mitral valve replacement with posterior leaflet preservation. Participants were stratified into two groups: reduced ejection fraction (EF ≤ 50%, n = 38) and preserved EF (>50%, n = 49). Comprehensive clinical and echocardiographic assessments were conducted at 1, 3, 6, and 12 months postoperatively. Statistical analysis employed parametric and non-parametric methodologies, with survival analyzed via Kaplan–Meier techniques. Results: The reduced EF cohort demonstrated significant improvement in contractile performance from 48.8 ± 5.2% preoperatively to 61.6 ± 7.2% at 12 months (p < 0.05). Ventricular dimensions decreased notably from 59.2 ± 6.6 mm to 47.6 ± 4.0 mm (p < 0.05). Hospital mortality was 2.3% (2 patients). Twelve-month survival rates reached 94.66% and 97.96% for reduced and preserved EF groups, respectively, without significant inter-group differences (p = 0.42). All surviving participants achieved functional status in NYHA class I or II. Conclusions: Mechanical mitral valve replacement with posterior leaflet preservation represents an effective approach for patients with reduced ventricular performance, promoting substantial improvement in cardiac function and excellent clinical outcomes. Full article
(This article belongs to the Special Issue Cardiothoracic Surgery, 2nd Edition)
Show Figures

Figure 1

13 pages, 830 KB  
Article
Outcomes of Minimally Invasive Mitral Valve Surgery Using a Multidisciplinary Team Approach: A Single-Center Experience
by Nicolas Mourad, Durr Al-Hakim, Rosalind Groenewoud, Bader Al-Zeer, Neil Wu, Amy Myring, Julie Nakahara, David Wood, Travis Schisler and Richard C. Cook
J. Pers. Med. 2026, 16(1), 44; https://doi.org/10.3390/jpm16010044 - 9 Jan 2026
Viewed by 606
Abstract
Background: The advantage of employing multidisciplinary heart teams (MDHT) for the selection process of minimally invasive (MIS) mitral valve repair (MVr) and mitral valve replacement (MVR) has been previously substantiated. Here, we outline the contributions each member of the MDHT at our [...] Read more.
Background: The advantage of employing multidisciplinary heart teams (MDHT) for the selection process of minimally invasive (MIS) mitral valve repair (MVr) and mitral valve replacement (MVR) has been previously substantiated. Here, we outline the contributions each member of the MDHT at our institution made during the intra-operative and peri-operative periods and describe their impacts on short-term outcomes. Patients and Methods: This is a single-center retrospective review of all 278 adult patients who underwent MIS MVR or MVr by a single surgeon at our institution between 2006 and 2023. The repair’s efficacy was assessed intraoperatively and at 1 year post-operation. The surgical technique involved a mini-thoracotomy and valve repair or replacement. Outcomes included post-operative mortality, complications, operative time, repair success rate, hospital length of stay (LOS), and post-operative ejection fraction. There was no control group, as all patients undergoing MIS MVR/MVr were treated within an MDHT model. Results: Delivery of regional anesthesia via paravertebral catheter (PVC) was associated with a statistically significant shorter hospital LOS (6.52 vs. 7.81 days, p = 0.028). Enhanced Recovery After Surgery (ERAS) implementation by nurses was associated with a potentially clinically important, although not statistically significant, reduction in LOS (6.7 vs. 10.1 days, p = 0.168). Introduction of the COR-KNOT® DEVICE for securing annuloplasty sutures was associated with a statistically significant reduction in operative time (288 vs. 326 min, p < 0.001). Percutaneous cannulation, proctored by interventional cardiology in 2019, was associated with a decrease in lymphocele rate from 6.2% before 2019 to 0% after 2019. Conclusions: Initiatives implemented by our MDHT were associated with reduced post-operative LOS, shorter operative times, and lower incidence of post-operative complications. Full article
(This article belongs to the Special Issue Clinical Progress in Personalized Management of Cardiac Surgery)
Show Figures

Graphical abstract

4 pages, 789 KB  
Interesting Images
Ocular Involvement in a Pediatric Patient with Geleophysic Dysplasia
by Bogumiła Wójcik-Niklewska, Zofia Oliwa, Paulina Sawuła and Adrian Smędowski
Diagnostics 2026, 16(2), 193; https://doi.org/10.3390/diagnostics16020193 - 7 Jan 2026
Viewed by 440
Abstract
Geleophysic dysplasia (GD) is a rare genetic skeletal disorder belonging to the acromelic group, characterized by short stature, distinctive facial features, thickened skin, and progressive cardiac involvement. We report a case of a 3-year-old boy with GD caused by a heterozygous c.5198G>A variant [...] Read more.
Geleophysic dysplasia (GD) is a rare genetic skeletal disorder belonging to the acromelic group, characterized by short stature, distinctive facial features, thickened skin, and progressive cardiac involvement. We report a case of a 3-year-old boy with GD caused by a heterozygous c.5198G>A variant in the FBN1 gene, presenting with ocular abnormalities. The patient demonstrated coarse facial features, short hands and feet, and a history of mitral valve stenosis requiring mechanical valve replacement. He was referred to the ophthalmology department for evaluation of left eye strabismus and elevated intraocular pressure. Fundus examination revealed a pink optic disc with blurred margins, slightly elevated above the retinal plane, absent foveal reflex, and tortuous vessels, consistent with optic disc drusen on ocular ultrasonography. Photopic negative response (PhNR) testing showed markedly reduced amplitudes in both eyes, indicating retinal ganglion cell dysfunction. Pattern VEP revealed normal P100 latencies in both eyes, with a 30% reduction in amplitude in the left eye, likely related to poorer fixation. This case highlights optic disc drusen and retinal ganglion cell dysfunction as potential ocular manifestations of geleophysic dysplasia, emphasizing the need for comprehensive ophthalmologic evaluation in affected patients. Full article
(This article belongs to the Section Medical Imaging and Theranostics)
Show Figures

Figure 1

14 pages, 1271 KB  
Review
Minimally Invasive Cardiac Surgery: A State-of-the-Art Review
by Salvatore Poddi and Alessio Rungatscher
J. Clin. Med. 2026, 15(1), 371; https://doi.org/10.3390/jcm15010371 - 4 Jan 2026
Viewed by 1581
Abstract
Minimally Invasive Cardiac Surgery (MICS) was developed in the late 1990s and has taken giant strides over the last 30 years. Nowadays, it is an important part of the cardiac surgery practice, accounting for one-third of total heart surgeries globally, with remarkable results. [...] Read more.
Minimally Invasive Cardiac Surgery (MICS) was developed in the late 1990s and has taken giant strides over the last 30 years. Nowadays, it is an important part of the cardiac surgery practice, accounting for one-third of total heart surgeries globally, with remarkable results. It is mostly performed for Mitral Valve repair but also for Aortic Valve Replacement and coronary artery bypass. However, the chronological evolution that led MICS to its current status has never been properly described. The best format to share a historical journey is the state-of-the-art (SotA) review. To the best of our knowledge, there are no orthodox SotA reviews on MICS. The aim of our study is to describe the current key MICS techniques, their historical development, and to discuss their role in the future of our specialty. Full article
(This article belongs to the Section Cardiology)
Show Figures

Figure 1

17 pages, 343 KB  
Review
Mini- and Micro-Invasive Approaches in Cardiac Surgery: Current Techniques, Outcomes, and Future Perspectives
by Walter Vignaroli, Barbara Pala, Giuseppe Nasso, Stefano Sechi, Giuseppe Campolongo, Giuseppe Speziale and Emiliano Marco Navarra
Medicina 2026, 62(1), 102; https://doi.org/10.3390/medicina62010102 - 2 Jan 2026
Cited by 1 | Viewed by 1227
Abstract
Over the past three decades, cardiac surgery has undergone a deep transformation, shifting from full median sternotomy to minimally invasive (MICS) and micro-invasive techniques. These approaches aim to achieve equivalent therapeutic outcomes while reducing surgical trauma, postoperative pain, hospitalization time, and healthcare costs. [...] Read more.
Over the past three decades, cardiac surgery has undergone a deep transformation, shifting from full median sternotomy to minimally invasive (MICS) and micro-invasive techniques. These approaches aim to achieve equivalent therapeutic outcomes while reducing surgical trauma, postoperative pain, hospitalization time, and healthcare costs. Minimally invasive strategies are now widely applied to aortic and mitral valve surgery, coronary artery bypass grafting, atrial fibrillation ablation, and combined procedures. Key advancements such as sutureless prostheses, video- and robotic-assisted systems, and enhanced imaging technologies have improved surgical precision and clinical outcomes while promoting faster recovery and superior cosmetic results. Evidence from randomized trials and observational studies demonstrates that MICS provides mortality and morbidity rates comparable to conventional surgery, with additional benefits in high-risk, elderly, and frail patients. Micro-invasive transcatheter interventions, particularly transcatheter aortic valve implantation (TAVI) and transcatheter mitral repair or replacement, have further expanded therapeutic options for patients unsuitable for open-heart surgery. Their success has fostered debate not between conventional and minimally invasive surgery, but between minimally invasive and micro-invasive approaches. Hybrid procedures—combining surgical and percutaneous techniques—exemplify a multidisciplinary evolution aimed at tailoring treatment to patient-specific anatomy, comorbidities, and risk profiles. Despite clear advantages, these techniques present challenges, including a steep learning curve, increased procedural costs, and the requirement for specialized equipment and institutional expertise. Optimal patient selection based on clinical risk assessment and advanced imaging remains essential. Future directions include refinement of robotic platforms, artificial intelligence-based decision support, miniaturization of instruments, and broader validation of emerging technologies in younger and low-risk populations. Minimally and micro-invasive cardiac surgery represent a paradigm shift toward patient-centered care, offering reduced physiological burden, improved functional recovery, and long-term outcomes comparable to conventional techniques. As innovation continues, these approaches are poised to become integral to modern cardiac surgical practice. Full article
(This article belongs to the Special Issue Recent Progress in Cardiac Surgery)
20 pages, 6309 KB  
Review
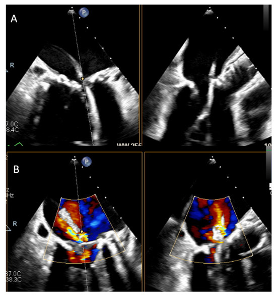
Echocardiographic Assessment of Patients Undergoing Mitral Valve Repair
by Marco Rolando, Nadeem Elmasry, Federico Gobbi, Antonella Moreo, Nina Ajmone Marsan, Erberto Carluccio and Federico Fortuni
J. Cardiovasc. Dev. Dis. 2025, 12(12), 498; https://doi.org/10.3390/jcdd12120498 - 17 Dec 2025
Cited by 1 | Viewed by 1065
Abstract
Mitral regurgitation (MR) is one of the most prevalent valvular disorders worldwide, with a growing burden driven by population aging and improved diagnostic capabilities. Understanding the mechanism of MR, whether primary, due to intrinsic valve abnormalities, or secondary, resulting from atrial or ventricular [...] Read more.
Mitral regurgitation (MR) is one of the most prevalent valvular disorders worldwide, with a growing burden driven by population aging and improved diagnostic capabilities. Understanding the mechanism of MR, whether primary, due to intrinsic valve abnormalities, or secondary, resulting from atrial or ventricular remodeling, is essential for optimal management. Echocardiography, particularly advanced modalities such as three-dimensional imaging and strain analysis, plays a central role in this process. It allows accurate quantification of MR severity, detailed characterization of valve and ventricular anatomy, and assessment of remodeling, all of which are critical for determining the optimal timing for intervention. Beyond diagnosis, echocardiography is indispensable in guiding therapy selection: it informs surgical planning by defining leaflet pathology for repair versus replacement strategies, and directs transcatheter interventions by guiding interatrial septal puncture, catheter orientation, and device deployment in real time. While surgery remains the gold standard for primary MR, transcatheter approaches including edge-to-edge repair and emerging mitral valve replacement are increasingly relevant, particularly in patients at high surgical risk or with complex anatomy. This review emphasizes the pivotal role of echocardiography in the pre-procedural assessment of MR, highlighting its ability to integrate anatomical, functional, and hemodynamic information to guide patient-tailored therapeutic strategies and optimize outcomes within a Heart Team framework. Full article
(This article belongs to the Special Issue State of the Art in Mitral Valve Disease)
Show Figures

Figure 1

Back to TopTop