Sign in to use this feature.

Years

Between: -

Subjects

remove_circle_outline
remove_circle_outline
remove_circle_outline
remove_circle_outline
remove_circle_outline
remove_circle_outline
remove_circle_outline
remove_circle_outline
remove_circle_outline

Journals

Article Types

Countries / Regions

remove_circle_outline
remove_circle_outline
remove_circle_outline
remove_circle_outline

Search Results (203)

Search Parameters:
Keywords = metabolism of cofactors and vitamins

Order results
Result details
Results per page
Select all
Export citation of selected articles as:
12 pages, 3767 KB  
Case Report
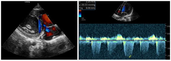
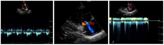
A Rare Case of Reversible Pulmonary Hypertension Phenotype in a Child with Scurvy: Aetiologies Insights
by Mattia Pasquinucci, Luisa Bonsembiante, Sofia Mezzalira, Martina Locallo and Davide Meneghesso
Reports 2026, 9(1), 44; https://doi.org/10.3390/reports9010044 (registering DOI) - 30 Jan 2026
Abstract
Background and Clinical Significance: Scurvy, caused by chronic vitamin C deficiency, is re-emerging in Western countries, particularly among pediatric patients with highly selective diets. While its musculoskeletal and mucocutaneous manifestations are well-known, its association with pulmonary arterial hypertension (PAH) is rare and poorly [...] Read more.
Background and Clinical Significance: Scurvy, caused by chronic vitamin C deficiency, is re-emerging in Western countries, particularly among pediatric patients with highly selective diets. While its musculoskeletal and mucocutaneous manifestations are well-known, its association with pulmonary arterial hypertension (PAH) is rare and poorly understood. Ascorbic acid and iron are essential cofactors for prolyl hydroxylases (PHD), which regulate Hypoxia-Inducible Factors. Their combined deficiency may trigger a “pseudohypoxic” state, leading to pulmonary vascular remodeling and vasoconstriction. Case Presentation: A 30-month-old female presented with a one-month history of limping, lower limb pain, and gingival hypertrophy. Dietary history revealed an almost exclusive cow’s milk-based intake. Physical examination showed diffuse petechiae, pallor, and right knee edema. Laboratory findings confirmed scurvy (undetectable vitamin C), severe iron-deficiency anemia (Hb: 72 g/L; ferritin: 22 mcg/L; RDW: 30%), folate deficiency, and hyperhomocysteinemia. Notably, elevated copper and vitamin B12 levels suggested a state of metabolic dysregulation. Echocardiography revealed moderate PAH phenotype (estimated sPAP: 47–50 mmHg) and a hyperdynamic contractility. A “perfect storm” mechanism was hypothesized, involving iron–ascorbate-dependent PHD impairment, high-output state, and oxidative-stress-induced hepcidin dysregulation (suggested by elevated copper). Following intravenous vitamin C and multivitamin supplementation, pulmonary pressures normalized within one week. Conclusions: PAH phenotype in scurvy represents a reversible metabolic disruption of pulmonary vascular tone rather than a structural disease. This case underscores the synergistic role of vitamin C, iron, and folate in vascular homeostasis. Clinicians should maintain high suspicion for scurvy in children with selective diets and unexplained PAH, as nutritional restoration is curative. Full article
(This article belongs to the Section Paediatrics)
Show Figures

Figure 1

16 pages, 2516 KB  
Article
Responses of Soil Enzyme Activities and Microbial Community Structure and Functions to Cyclobalanopsis gilva Afforestation in Infertile Mountainous Areas of Eastern Subtropical China
by Shengyi Huang, Yafei Ding, Yonghong Xu, Yuequn Bao, Yukun Lin, Zhichun Zhou and Bin Wang
Forests 2026, 17(2), 154; https://doi.org/10.3390/f17020154 - 23 Jan 2026
Viewed by 90
Abstract
The effect of afforestation in infertile mountainous areas is closely related to the soil ecological environment. Soil enzyme activities and the structure and functions of microbial communities are core indicators reflecting soil quality. Clarifying the response patterns of the two to Cyclobalanopsis gilva [...] Read more.
The effect of afforestation in infertile mountainous areas is closely related to the soil ecological environment. Soil enzyme activities and the structure and functions of microbial communities are core indicators reflecting soil quality. Clarifying the response patterns of the two to Cyclobalanopsis gilva afforestation in infertile mountainous areas can provide a key scientific basis for targeted improvement of the cultivation efficiency of C. gilva plantations under different site conditions in the eastern subtropical region of China. In this study, 7-year-old C. gilva young forests in infertile mountainous areas and control woodland areas were selected in Shouchang Forest Farm, Jiande, Zhejiang Province, located in the subtropical region of China. Soil enzyme activities and microbial biomass in different soil layers, as well as metagenomes of rhizosphere and bulk soils, were determined to explore the effects and internal correlations of site conditions on soil enzyme activities and microbial community characteristics of C. gilva forests. The results showed that the activities of urease and catalase, as well as the content of microbial biomass nitrogen in the surface soil of infertile mountainous areas, were significantly lower than those in control woodland areas. The shared dominant phyla in the two types of sites included Proteobacteria and Acidobacteria, and the shared dominant genera included Bradyrhizobium. In addition, the relative abundances of three unclassified populations of Proteobacteria and functional genes related to cofactor and vitamin metabolism in the rhizosphere soil of infertile mountainous areas were significantly higher than those in control woodland areas. Meanwhile, the dominant microbial phyla in the rhizosphere soil of infertile mountainous areas had a closer correlation with soil enzyme activities and microbial biomass. This study clarified the ecological strategy of C. gilva young forests adapting to infertile mountainous areas: by increasing the relative abundances of functional genes related to cofactor and vitamin metabolism in rhizosphere microorganisms, promoting the enrichment of microorganisms associated with soil nitrogen cycling, and enhancing the correlations between dominant microbial phyla and soil enzyme activities and microbial biomass, the nitrogen resource limitation on soil microbial activity in infertile mountainous areas is balanced. This finding provides direct guidance for optimizing the afforestation and management techniques of C. gilva in infertile mountainous areas and has important practical value for promoting forest ecological restoration. Full article
(This article belongs to the Section Forest Soil)
Show Figures

Figure 1

14 pages, 1255 KB  
Article
Age-Specific Composition and Predicted Function of Gut Microbiota in Plateau Pikas (Ochotona curzoniae)
by Hui Han, Yongbing Yang, Xiaojia Zhu, Migmar Wangdwei and Le Yang
Biology 2026, 15(2), 144; https://doi.org/10.3390/biology15020144 - 14 Jan 2026
Viewed by 164
Abstract
Gut microbes play a crucial role in regulating physiological processes such as host energy metabolism, nutrient absorption, and environmental adaptation. The predicted functions of gut microbes can be influenced by many factors, both extrinsic and intrinsic to the hosts. The plateau pika is [...] Read more.
Gut microbes play a crucial role in regulating physiological processes such as host energy metabolism, nutrient absorption, and environmental adaptation. The predicted functions of gut microbes can be influenced by many factors, both extrinsic and intrinsic to the hosts. The plateau pika is a key species in the alpine ecosystem of the Qinghai–Tibet Plateau. Previous research on the plateau pika primarily examined how extrinsic factors affected its gut microbiota. However, studies on intrinsic factors are scarce. Here, we used live-trapping to capture plateau pikas and collect cecum contents. Using metagenomic sequencing of cecum content samples, we characterized and compared the gut microbial composition and predicted function of plateau pika in adult (n = 9) and juvenile (n = 9) populations. The results indicated that Bacillota and Bacteroidete were the major bacterial phyla. The core gut microbial genera were the same, but the relative abundance of Oscillospira in juveniles was significantly lower than that in adults. The changes in the proportion of cellulose-degradation-related bacterial communities in juveniles suggest that they tend to choose low-fiber diets. In this study, we found no significant differences in the gut microbial composition and diversity, KEGG level 1 metabolic pathways, or CAZy class level between adult and juvenile plateau pikas. In total, the composition and predicted functions of cecal microorganisms in juvenile and adult male plateau pikas were not different. Regarding KEGG level 2 metabolic pathways, the juvenile group had a higher relative abundance of metabolic pathways for cofactors and vitamins, terpenoids, and polyketides, whereas the adult group had a higher relative abundance of energy metabolism. However, the resulting differences remain unclear. Therefore, future research should validate the above findings on a broader spatio-temporal scale and conduct cross-species comparisons to construct a microbial ecological framework for the health management of plateau wild animals. Full article
(This article belongs to the Section Microbiology)
Show Figures

Figure 1

20 pages, 4450 KB  
Article
Modulating One-Carbon Metabolism with B-Vitamins to Protect the Retinal Barrier and Prevent Retinal Degeneration
by Hossameldin Abouhish, Lamiaa Shalaby, Omar Elzayat, Neelesh Peddireddy and Amany Tawfik
Nutrients 2026, 18(2), 236; https://doi.org/10.3390/nu18020236 - 12 Jan 2026
Viewed by 214
Abstract
Background/Objectives: Vitamin B12 deficiency is increasingly recognized as a contributor in both vascular and neurodegenerative aging-related disorders. Its deficiency disrupts one-carbon metabolism, leading to impaired homocysteine (Hcy) cycling. Elevated Hcy is a well-established risk factor for vascular dysfunction. Previously, we established that [...] Read more.
Background/Objectives: Vitamin B12 deficiency is increasingly recognized as a contributor in both vascular and neurodegenerative aging-related disorders. Its deficiency disrupts one-carbon metabolism, leading to impaired homocysteine (Hcy) cycling. Elevated Hcy is a well-established risk factor for vascular dysfunction. Previously, we established that elevated Hcy contributes to aging retinal diseases and plays a central role in blood retinal barrier (BRB) dysfunction. Building on this foundation, the present study examines how B-vitamin deficiency disrupts one-carbon metabolism and whether restoring these vitamins can serve as a preventive or therapeutic strategy. Since B-vitamins (B6, B9, and B12) are crucial cofactors in the metabolism of Hcy, we investigated how dietary changes in these vitamins affect serum Hcy levels and retinal vascular integrity in mice. Methods: C57BL/6- Wild-type (WT) and cbs+/− mice (Cystathionine Beta-Synthase heterozygotes, common mouse model for elevated Hcy) were fed specially formulated diets, which contained different levels of B-vitamins (normal, deficient (B-Vit (−)) or enriched (B-Vit (+)). Initially, two groups of mice were placed on either a normal or a deficient diet. After 12–16 weeks, the success of the diet regimes was confirmed by observing serum B12 deficiency in the B-Vit (−) group, along with elevated Hcy levels. Subsequently, a subgroup of the B-Vit (−) mice was switched to an enriched diet. The BRB integrity was evaluated in living mice using fluorescein angiography (FA), optical coherence tomography (OCT), and in the perfused mice retinas with Western blot analysis of leaked retinal albumin and tight junction proteins (occludin and ZO-1) levels. Results: The B-vitamin deficiency caused significant drop in serum vitamin B12 and an increase in plasma Hcy, leading to vascular leakage, altered retinal thickness, choroidal neovascular changes, increased retinal albumin leak, and decreased tight junction protein expression, indicating BRB disruption, which was restored with B-vitamin supplementation. Conclusions: a long-term deficiency of vitamins B6, B9, and B12 can lead to disruptions in the BRB. However, supplementation with these B-vitamins has the potential to reverse these effects and help maintain the integrity of BRB. This under-score the significance of one-carbon metabolism for retinal health and suggests that ensuring adequate levels of B-vitamins may aid in preventing aging retinal diseases with BRB disruption such as diabetic retinopathy and age-related macular degeneration. Full article
Show Figures

Graphical abstract

15 pages, 854 KB  
Article
Longitudinal Trends and Analytical Consistency of Folate and Vitamin B12 Biomarkers: Two Decades of Population-Based Data and Diagnostic Implications
by Kristina Sejersen and Anders O. Larsson
Biomedicines 2026, 14(1), 140; https://doi.org/10.3390/biomedicines14010140 - 9 Jan 2026
Viewed by 403
Abstract
Background/Objectives: Vitamin B12 (cobalamin) and folate (vitamin B9) are essential cofactors in one-carbon metabolism required for DNA synthesis, methylation, and genomic stability. Deficiencies in these nutrients can cause megaloblastic anemia, neurological dysfunction, and hyperhomocysteinemia, linking micronutrient imbalance to cardiovascular [...] Read more.
Background/Objectives: Vitamin B12 (cobalamin) and folate (vitamin B9) are essential cofactors in one-carbon metabolism required for DNA synthesis, methylation, and genomic stability. Deficiencies in these nutrients can cause megaloblastic anemia, neurological dysfunction, and hyperhomocysteinemia, linking micronutrient imbalance to cardiovascular and neurocognitive outcomes. Population-based surveillance of these biomarkers provides insight into nutritional trends and supports analytical standardization. Methods: This retrospective study included all routine plasma (P) vitamin B12 and folate measurements performed at Uppsala University Hospital from 2005 to 2024 (n = 647,302 and 578,509, respectively). Data were extracted from the laboratory information system and summarized using annual medians, percentile distributions, and coefficients of variation (CV). Linear regression was used to validate the method comparison and assess the impact of the 2021 transition from the Abbott Architect to the Roche cobas platform. Descriptive statistics summarized the temporal and seasonal patterns of P-vitamin B12 and P-folate. Results: Median P-vitamin B12 concentrations remained stable (340–370 pmol/L; median CV = 4.6%), while P-folate increased from 10.5 to 15.5 nmol/L (median CV = 12.9%) from 2005 to 2024. Low P-folate (<7 nmol/L) was observed in 7.1% of measurements and low or borderline P-vitamin B12 (<250 pmol/L) in 22.6%. Females exhibited slightly higher concentrations of both analytes. Although no clear seasonal pattern was observed, small biological effects cannot be excluded. Sample volumes decreased during the summer. The transition to Roche assays introduced measurable methodological shifts, particularly for P-folate. Conclusions: Levels of P-vitamin B12 remained stable over two decades, while P-folate status increased modestly. This reflects both dietary influences and assay-related differences following the 2021 platform transition. Continuous surveillance of biomarker medians provides a sensitive tool for detecting analytical drift and for monitoring long-term nutritional trends in clinical populations. Full article
(This article belongs to the Section Molecular and Translational Medicine)
Show Figures

Figure 1

40 pages, 84713 KB  
Article
Bulleidia extructa PP_925: Genome Reduction, Minimalist Metabolism, and Evolutionary Insights into Firmicutes Diversification
by Peter V. Evseev, Irina V. Podoprigora, Andrei V. Chaplin, Zurab S. Khabadze, Artem A. Malkov, Lyudmila I. Kafarskaia, Dmitriy A. Shagin, Yulia N. Urban, Olga Yu. Borisova and Boris A. Efimov
Int. J. Mol. Sci. 2026, 27(1), 448; https://doi.org/10.3390/ijms27010448 - 31 Dec 2025
Viewed by 380
Abstract
Bulleidia extructa strain PP_925, isolated from the periodontal pocket of a patient with periodontitis, is a Gram-positive Bacillota with an unusually compact genome of 1.38 Mb. Phylogenomic analyses place PP_925 within Erysipelotrichales and show close relatedness of Bulleidia to Solobacterium and Lactimicrobium, as [...] Read more.
Bulleidia extructa strain PP_925, isolated from the periodontal pocket of a patient with periodontitis, is a Gram-positive Bacillota with an unusually compact genome of 1.38 Mb. Phylogenomic analyses place PP_925 within Erysipelotrichales and show close relatedness of Bulleidia to Solobacterium and Lactimicrobium, as well as the existence of previously undescribed related clades. The metabolic repertoire of PP_925 is strongly reduced: it retains glycolysis, the phosphotransacetylase–acetate kinase pathway, and arginine catabolism but lacks the tricarboxylic acid cycle and most de novo biosynthetic pathways for amino acids, nucleotides, fatty acids, cofactors, and vitamins, implying reliance on salvage and cross-feeding. Phylogenetic inference indicates independent peptidoglycan losses in multiple mycoplasma Erysipelotrichia-related lineages, while PP_925 has retained an ancestral Gram-positive cell wall despite extensive genomic reduction. The genome preserves systems crucial for host interaction and adaptability, including a horizontally acquired tad locus encoding type IV pili, a comG competence system, and several adherence-associated virulence factors. Defense mechanisms are diverse and include a CRISPR-Cas II-A system, a type II restriction–modification module adjacent to Gao_Qat-like genes, and the Wadjet system in a genome without prophages; CRISPR spacers indicate repeated encounters with Bacillota phages. Comparative genomics of PP_925 and related strains reveals a small core genome with lineage-specific adhesion and defense modules, indicating recent shared ancestry combined with adaptive flexibility under substantial genome reduction. Full article
(This article belongs to the Section Molecular Genetics and Genomics)
Show Figures

Figure 1

22 pages, 5182 KB  
Article
From Reshaped Metabolome to Repaired Skin: Fermented Gastrodia elata Alleviates UVB-Induced Damage Through Controlled Immune Activation
by Xing Huang, Xiaoqi Yang, Chunrui Xu, Jiajia Liu, Yuan Luo, Zixian Xu, Shixiao Pu, Zongyang Li, Yunlong Zhang, Min Bai and Lianbing Lin
Antioxidants 2026, 15(1), 45; https://doi.org/10.3390/antiox15010045 - 29 Dec 2025
Viewed by 390
Abstract
UVB radiation induces cutaneous damage through oxidative stress and immune dysregulation. This study investigated the therapeutic potential of Gastrodia elata fermented by Lactobacillus salivarius AACE1 (GL) in a mouse model of UVB-induced skin injury. Results demonstrated that GL treatment significantly improved skin morphology, [...] Read more.
UVB radiation induces cutaneous damage through oxidative stress and immune dysregulation. This study investigated the therapeutic potential of Gastrodia elata fermented by Lactobacillus salivarius AACE1 (GL) in a mouse model of UVB-induced skin injury. Results demonstrated that GL treatment significantly improved skin morphology, enhanced antioxidant activities (SOD and GSH), reduced oxidative damage (MDA), and balanced inflammatory mediators by upregulating TGF-β and IL-10 while downregulating TNF-α, IL-6, and IL-1β. Transcriptomic analysis revealed that GL specifically activated NOD-like receptor signaling pathway components (Nlrp3, Casp4, and Gbp2/5) while inducing Tnfaip3 to establish negative feedback control. Metabolomic profiling confirmed that fermentation transformed the metabolite landscape, enriching collagen-related dipeptides, antimicrobial/anti-inflammatory metabolites, and antioxidant cofactors. Importantly, comparative analysis showed that GL is more effective than vitamin E in coordinating multiple signaling pathways and maintaining inflammatory homeostasis. These findings establish GL as an effective natural product that alleviates UVB-induced skin damage through synchronized metabolic remodeling and controlled immune activation. Full article
Show Figures

Figure 1

17 pages, 1441 KB  
Review
Clinical and Etiopathological Perspective of Vitamin B1 Hypersensitivity and an Example of a Desensitization Protocol
by Kinga Lis
Life 2026, 16(1), 50; https://doi.org/10.3390/life16010050 - 28 Dec 2025
Viewed by 579
Abstract
Vitamin B1 (thiamine) is a water-soluble B vitamin. As a cofactor of many enzymes, it is essential for the proper functioning of many body systems and organs, including metabolic and energy metabolism. In extreme cases, vitamin B1 deficiency causes neurodegenerative disorders, including beri-beri, [...] Read more.
Vitamin B1 (thiamine) is a water-soluble B vitamin. As a cofactor of many enzymes, it is essential for the proper functioning of many body systems and organs, including metabolic and energy metabolism. In extreme cases, vitamin B1 deficiency causes neurodegenerative disorders, including beri-beri, or cognitive impairment resulting from encephalopathy. B1 avitaminosis may result from increased demand, dietary errors, malabsorption, or excessive loss. Thiamine supplementation is used in cases of vitamin B1 deficiency or for preventative measures in situations of increased demand. Vitamin B1 can be administered enterally or parenterally (intravenously, intramuscularly, subcutaneously). The route and dose depend on the individual patient’s clinical situation. Hypersensitivity to vitamin B1 is rare and appears to be primarily associated with rapid intravenous infusion of large doses of thiamine hydrochloride over a short period (intravenous bolus). Hypersensitivity to thiamine administered by routes other than intravenous or intramuscular injection appears to be an incidental phenomenon. Thiamine should also be considered as an occupational allergen. The mechanism of thiamine hypersensitivity has not been clearly elucidated. However, considering the clinical nature and dynamics of the reaction, the most likely reaction seems to be an immediate type of hypersensitivity reaction (immunoglobulin E (IgE)-dependent), in which thiamine (but not its metabolites) acts as a hapten. Diagnosing hypersensitivity to vitamin B1 is difficult due to the lack of validated tests for additional testing. In individuals requiring thiamine supplementation who have experienced hypersensitivity to intramuscular or intravenous administration of this vitamin, switching to oral administration may be considered (provided this does not reduce treatment efficacy). This form of supplementation is usually well tolerated by individuals allergic to parenteral thiamine. However, if enteral supplementation does not guarantee the maintenance of therapeutic potential, thiamine desensitization may be considered, which seems to be an effective therapeutic method in such a clinical situation. Full article
Show Figures

Figure 1

20 pages, 1207 KB  
Review
Modulation of Cardiometabolic Risk by Vitamin D and K2: Simple Supplementation or Real Drug? Uncovering the Pharmacological Properties
by Saverio D’Elia, Roberta Bottino, Andreina Carbone, Tiziana Formisano, Massimiliano Orlandi, Simona Sperlongano, Pasquale Castaldo, Daniele Molinari, Alberto Palladino, Mariarosaria Morello, Gisella Titolo, Francesco S. Loffredo, Francesco Natale, Plinio Cirillo and Giovanni Cimmino
Int. J. Mol. Sci. 2026, 27(1), 298; https://doi.org/10.3390/ijms27010298 - 27 Dec 2025
Viewed by 1493
Abstract
Vitamin D, traditionally regarded as a nutrient, is increasingly recognized as a pharmacologically active secosteroid with pleiotropic effects extending beyond calcium homeostasis and bone integrity. Together with vitamin K2, it participates in the fine-tuning of mineral metabolism and vascular health, potentially modulating cardiometabolic [...] Read more.
Vitamin D, traditionally regarded as a nutrient, is increasingly recognized as a pharmacologically active secosteroid with pleiotropic effects extending beyond calcium homeostasis and bone integrity. Together with vitamin K2, it participates in the fine-tuning of mineral metabolism and vascular health, potentially modulating cardiometabolic risk through intertwined endocrine and paracrine pathways. Despite widespread fortification and supplementation, vitamin D deficiency remains a major global health concern, driven by limited sun exposure, obesity, and metabolic dysfunction. Observational and mechanistic studies consistently link low serum 25(OH)D concentrations with hypertension, insulin resistance, heart failure, and increased cardiovascular mortality. At the molecular level, vitamin D exerts pharmacological actions—modulating the renin–angiotensin–aldosterone system, exerting anti-inflammatory and antifibrotic effects, and influencing endothelial and cardiomyocyte signaling. While experimental and epidemiological evidence suggests potential cardiovascular benefits, large randomized controlled trials (RCTs) provide conflicting results, particularly regarding hypertension and heart failure. However, these often-neutral results do not preclude a targeted action. On the contrary, clinical efficacy is strongly dependent on baseline deficiency status and the presence of metabolic cofactors. In this context, high-dose supplementation of Vitamin D, in combination with Vitamin K2 to prevent vascular calcification, elevates the supplement to a genuine pharmacological agent, with a distinct therapeutic potential for modulating cardiometabolic risk in selected patient subgroups. Emerging evidence supports the concept that vitamin D, when appropriately dosed and combined with K2, may act more as a low-potency pharmacological modulator than a simple nutritional supplement. This review synthesizes current mechanistic, observational, and interventional evidence, aiming to clarify whether vitamin D should be reclassified—from a micronutrient to a pharmacologically relevant agent—in cardiometabolic prevention and therapy, proposing a paradigm shift toward personalized and targeted dosing strategies, characteristic of precision pharmacology. Full article
(This article belongs to the Section Bioactives and Nutraceuticals)
Show Figures

Figure 1

14 pages, 3086 KB  
Article
Developmental and Stress-Mediated Transcriptional Shifts in Riboflavin Metabolism Pathway in Arabidopsis
by Dikran Tsitsekian, Panagiota Mylona, Efstratios Kamargiakis, Stamatis Rigas and Gerasimos Daras
Genes 2026, 17(1), 16; https://doi.org/10.3390/genes17010016 - 25 Dec 2025
Viewed by 417
Abstract
Background: Flavin cofactors, flavin mononucleotide (FMN) and flavin adenine dinucleotide (FAD), are indispensable for plant metabolism, supporting photosynthesis, photorespiration, mitochondrial electron transport, nitrogen assimilation, and cellular redox balance. Both cofactors derive from riboflavin (vitamin B2), which plants synthesize de novo, [...] Read more.
Background: Flavin cofactors, flavin mononucleotide (FMN) and flavin adenine dinucleotide (FAD), are indispensable for plant metabolism, supporting photosynthesis, photorespiration, mitochondrial electron transport, nitrogen assimilation, and cellular redox balance. Both cofactors derive from riboflavin (vitamin B2), which plants synthesize de novo, unlike animals, which rely on dietary intake. While the riboflavin biosynthesis pathway has been biochemically well-characterized, its transcriptional regulation and cellular organization remain poorly understood. Methods: Here, using large-scale transcriptomic datasets as well as co-expression and cis-element analyses, we systematically investigated the expression dynamics of riboflavin metabolism genes in Arabidopsis thaliana. In addition, HPLC was employed to monitor flavin level fluctuations in plants under abiotic stresses. Results: Most genes displayed strong expression in photosynthetic and reproductive tissues, consistent with elevated metabolic demands for flavins in redox reactions and energy metabolism. Under osmotic stress, RIBA1, RIBA3, PYRD, PYRR, COS1/LS, and RS, genes encoding enzymes involved in the early and intermediate steps of riboflavin biosynthesis were transcriptionally downregulated. In contrast, RIBA2, FHY1/PYRP1 and FMN/FHY were upregulated, whereas FADS1 and NUDX23, genes encoding enzymes responsible for interconversion between FMN and FAD, were suppressed. Gene expression responses are consistent with the maintenance of flavin homeostasis, affecting flavin level changes under abiotic stress. Conclusions: This study establishes a comprehensive framework for the transcriptional regulation of flavin biosynthesis in plants. The findings reveal stress-responsive reprogramming of flavin metabolism and identify promising strategies for engineering crops for biofortification, metabolic efficiency, and stress resilience. Full article
(This article belongs to the Section Plant Genetics and Genomics)
Show Figures

Figure 1

17 pages, 6458 KB  
Article
Effects of Different Feed Types on Intestinal Microbial Community Diversity and Intestinal Development of Newborn Siamese Crocodiles
by Xinxin Zhang, Jie Wu, Chong Wang, Fuyong You, Peng Liu, Yuan Zhang, Shaofan Li, Yongkang Zhou, Yingchao Wang, Xiaobing Wu and Haitao Nie
J. Zool. Bot. Gard. 2026, 7(1), 1; https://doi.org/10.3390/jzbg7010001 - 23 Dec 2025
Viewed by 313
Abstract
Conventional alligator farming, characterized by reliance on chilled fish meat, faces significant challenges, including risks of bacterial contamination and nutritional imbalances. These issues heighten increasing disease susceptibility and threaten industry sustainability, underscoring the critical need for developing nutrient-dense, low-pathogenicity compound feeds. This study [...] Read more.
Conventional alligator farming, characterized by reliance on chilled fish meat, faces significant challenges, including risks of bacterial contamination and nutritional imbalances. These issues heighten increasing disease susceptibility and threaten industry sustainability, underscoring the critical need for developing nutrient-dense, low-pathogenicity compound feeds. This study conducted a comparative analysis of newborn Siamese crocodiles fed either chilled fish meat or compound feed formulation. Intestinal microbial samples from both cohorts underwent 16S rRNA gene high-throughput sequencing to evaluate differences in microbial composition, diversity, and predicted functionality. The compound feed, specifically formulated for this investigation, possessed the following nutritional composition: crude protein 52.42%; digestible crude protein/digestible energy 16 mg/kcal; crude fat 12.31%; ash 17.42%; crude fiber 0.45%; starch 7.69%; digestible energy 3450 kcal/kg; lysine 3.66%; threonine 1.92%; methionine 1.27%; arginine 3.07%; total essential amino acids 22.97%; calcium 2.51%; total phosphorus 1.8%; available phosphorus 0.98%. Bioinformatics analysis revealed that the compound feed group exhibited numerically higher richness and alpha diversity indices within the intestinal microbiota compared to the chilled fish group. The microbial communities in both groups were dominated by the phyla Proteobacteria, Bacteroidetes, Fusobacteriota, and Firmicutes, collectively representing over 50% of the relative abundance. Functional prediction indicated that the compound feed group possessed the highest relative abundance in metabolic pathways associated with cofactor and vitamin metabolism, carbohydrate metabolism, amino acid metabolism, terpenoid and polyketide metabolism, lipid metabolism, and replication and repair. In contrast, the chilled fish group exhibited significant functional alterations in glycan biosynthesis and metabolism, translation, nucleotide metabolism, transcription, and biosynthesis of other secondary metabolites. Histomorphological analysis demonstrated greater villus height and crypt depth in the compound diet group compared to chilled fish group, although no significant differences were observed in crypt depth or the villus-to-crypt depth ratio. Collectively, these findings indicate that the compound feed enhances intestinal microbial diversity and optimizes its functional structure. Furthermore, while no statistically significant difference in small intestinal villus height was detected, the results suggest a potential positive influence on intestinal development. This investigation provides a scientific foundation for compound feed development, supporting sustainable breeding practices for Siamese crocodiles. Full article
Show Figures

Figure 1

18 pages, 3033 KB  
Article
Diversity and Functional Analysis of Gut Microbiota in the Adult of Lissorhoptrus oryzophilus (Coleoptera: Curculionidae) by Metagenome Sequencing
by Jian-Xue Jin, Yu Wang, Gui-Fen Zhang, Zhao-Chun Ye, Bo Liu, Dan-Dan Yao, Zhao-Chun Jiang and Yong-Fu He
Insects 2025, 16(12), 1260; https://doi.org/10.3390/insects16121260 - 11 Dec 2025
Viewed by 670
Abstract
The gut microbiota of insects plays a fundamental role in modulating host physiology, including nutrition, development, and adaptability to environmental challenges. The rice water weevil, Lissorhoptrus oryzophilus Kuschel (Coleoptera: Curculionidae), is a major invasive pest of rice worldwide, yet the composition and functional [...] Read more.
The gut microbiota of insects plays a fundamental role in modulating host physiology, including nutrition, development, and adaptability to environmental challenges. The rice water weevil, Lissorhoptrus oryzophilus Kuschel (Coleoptera: Curculionidae), is a major invasive pest of rice worldwide, yet the composition and functional profile of its gut microbial community remain poorly characterized. Here, we employed metagenome sequencing on the Illumina NovaSeq X Plus platform to explore the gut microbial diversity and predicted functions in adults of L. oryzophilus. Our results revealed a rich microbial community, comprising 26 phyla, 42 classes, 72 orders, 111 families, and 191 genera. The bacterial microbiota was overwhelmingly dominated by the phylum Proteobacteria (85.13% of total abundance). At the genus level, Pantoea (48.86%) was the most predominant taxon, followed by Wolbachia (14.57%) and Rickettsia (11.81%). KEGG analysis suggested that the gut microbiota is primarily associated with metabolic pathways such as membrane transport, carbohydrate and amino acid metabolism, cofactor and vitamin metabolism, energy metabolism, and signal transduction. eggNOG annotation further highlighted significant gene representation in amino acid and carbohydrate transport and metabolism, while CAZy annotation revealed glycosyl transferases (GTs) and glycoside hydrolases (GHs) as the dominant carbohydrate-active enzymes. This study provides the first comprehensive insight into the gut microbiome of L. oryzophilus adults, highlighting its potential role in the ecological success of this invasive pest. Our findings lay groundwork for future research aimed at developing novel microbial-based strategies for the sustainable management of L. oryzophilus. Full article
(This article belongs to the Section Insect Behavior and Pathology)
Show Figures

Figure 1

9 pages, 234 KB  
Review
Cobalt and Vitamin B12 in Dairy Cattle Nutrition: Requirements, Functions, and Interactions
by Martha Siregar, Gerald Salas-Solis and Antonio P. Faciola
Animals 2025, 15(23), 3477; https://doi.org/10.3390/ani15233477 - 2 Dec 2025
Viewed by 1670
Abstract
Minerals are essential for ruminant health, productivity, and metabolic function, with trace minerals playing critical roles at narrow dietary margins. Cobalt (Co) is essential as it supports ruminal microbial synthesis of vitamin B12 (cobalamin), which acts as a crucial cofactor in energy and [...] Read more.
Minerals are essential for ruminant health, productivity, and metabolic function, with trace minerals playing critical roles at narrow dietary margins. Cobalt (Co) is essential as it supports ruminal microbial synthesis of vitamin B12 (cobalamin), which acts as a crucial cofactor in energy and protein metabolism. This review summarizes the role of cobalt in dairy cattle nutrition, emphasizing its contribution to vitamin B12 synthesis, propionate metabolism, and milk production. Only 3–15% of dietary cobalt is converted to vitamin B12, and efficiency depends on dietary composition, forage-to-concentrate ratio, and ruminal microbiome. Deficiency leads to reduced intake, poor growth, anemia, reproductive failure, and decreased milk yield. Cow’s milk contains ~0.5 µg/L of vitamin B12, with greater concentrations in colostrum; diet composition, supplementation, and genetics contribute to variability. Current recommendations set the cobalt requirement at 0.2 mg/kg diet DM, yet multiple environmental and nutritional factors can restrict vitamin B12 synthesis. Limitations of this review include heterogeneity among the studies reviewed, such as differences in trial design, animal genetics, diet composition, and environmental conditions, which may introduce variability and affect the generalizability and consistency of the findings. Collectively, findings highlight cobalt’s pivotal role in supporting microbial activity, energy metabolism, and production outcomes in dairy cows. Full article
(This article belongs to the Section Animal Nutrition)
33 pages, 1244 KB  
Review
Pathophysiological Role and Therapeutic Potential of Vitamin C in Metabolic Syndrome and Type 2 Diabetes Mellitus
by Christiano Argano, Valentina Orlando, Dalila Maggio, Chiara Pollicino, Alessandra Torres, Virginia Cangialosi, Stefania Biscaglia Manno and Salvatore Corrao
Metabolites 2025, 15(12), 773; https://doi.org/10.3390/metabo15120773 - 28 Nov 2025
Cited by 1 | Viewed by 1290
Abstract
Recently, a growing interest has been focused to the role of vitamin C in chronic diseases. Type 2 Diabetes Mellitus and the Metabolic Syndrome are complex, chronic disorders intrinsically linked by a common underlying element, such as chronic low-grade inflammation and excessive oxidative [...] Read more.
Recently, a growing interest has been focused to the role of vitamin C in chronic diseases. Type 2 Diabetes Mellitus and the Metabolic Syndrome are complex, chronic disorders intrinsically linked by a common underlying element, such as chronic low-grade inflammation and excessive oxidative stress. Vitamin C, or ascorbic acid, is an essential water-soluble micronutrient and a highly potent non-enzymatic antioxidant that is critical for scavenging reactive oxygen species and maintaining cellular redox balance. It represents a cofactor for many enzymes, being involved in many biological functions, such as normal immune system functioning, catecholamine metabolism, dietary iron absorption, and collagen biosynthesis. Individuals with type 2 diabetes mellitus and metabolic syndrome frequently exhibit lower circulating and dietary vitamin C levels compared to healthy controls, a deficiency that may be associated with disease-related inflammation and higher body weight. In this sense, it has been shown that vitamin C improves skeletal muscle insulin sensitivity in experimental settings and modulates critical functions like vascular endothelial health. However, this potential is challenged by the fact that chronic hyperglycemia can interfere with the active cellular uptake and transport of vitamin C, potentially leading to relative intracellular deficiency in diabetic patients regardless of intake. It is interesting to note that different studies have demonstrated an inverse relationship between vitamin C concentrations and the prevalence of metabolic syndrome and type 2 diabetes. Vitamin C supplementation in people with diabetes and metabolic syndrome has controversial effects. While several studies indicate a significant reduction in fasting blood glucose or HbA1c, others revealed no significant effect on insulin resistance. This review aims to explore the pathophysiological role and therapeutic potential of vitamin C in type 2 diabetes and metabolic syndrome. Full article
Show Figures

Figure 1

19 pages, 6628 KB  
Article
Ammonia Stress Disrupts Intestinal Health in Litopenaeus vannamei Under Seawater and Low-Salinity Environments by Impairing Mucosal Integrity, Antioxidant Capability, Immunity, Energy Metabolism, and Microbial Community
by Yafei Duan, Yuxiu Nan, Jitao Li, Meng Xiao, Yun Wang and Ruijie Zhu
Antioxidants 2025, 14(11), 1383; https://doi.org/10.3390/antiox14111383 - 20 Nov 2025
Viewed by 770
Abstract
Ammonia is a key water quality factor limiting shrimp aquaculture. Intestinal health is closely associated with the nutrition, metabolism and immunity of shrimp. However, the response characteristics of the shrimp intestine to ammonia stress under seawater and low-salinity environments remain unclear. In this [...] Read more.
Ammonia is a key water quality factor limiting shrimp aquaculture. Intestinal health is closely associated with the nutrition, metabolism and immunity of shrimp. However, the response characteristics of the shrimp intestine to ammonia stress under seawater and low-salinity environments remain unclear. In this study, the shrimp Litopenaeus vannamei reared in seawater (salinity 30) or low-salinity (salinity 3) water were subjected to ammonia stress for 14 days, respectively. The changes in intestinal morphology, antioxidant capacity, immune response, energy metabolism, and microbial community were systematically investigated. The results showed that ammonia stress induced intestinal tissue damage in both seawater and low-salinity cultured shrimp, characterized by epithelial cell detachment and mucosal structural disruption. At the molecular level, ammonia stress triggered intestinal stress responses by interfering with key physiological processes such as antioxidant defense and endoplasmic reticulum stress. This process further led to varying degrees of disorders in physiological functions, including immune regulation, inflammatory response, and autophagic activity. In addition, ammonia stress disrupted the homeostatic balance of intestinal energy metabolism by affecting the expression of genes related to glucose metabolism, the tricarboxylic acid (TCA) cycle, and mitochondrial respiratory chain. In addition, ammonia stress increased the diversity of intestinal microbiota and caused microbial dysbiosis by increasing harmful bacteria (e.g., Vibrio) and decreasing beneficial bacterial groups (e.g., Bacillus). Ammonia stress generally enhanced intestinal microbiota chemotaxis. Specifically, predicted functions of microbiota in seawater-cultured shrimp showed increased carbohydrate, linoleic acid, and cofactor/vitamin metabolism; in low-salinity-cultured shrimp, functions including protein digestion/absorption, flavonoid/steroid hormone biosynthesis, and glycosaminoglycan degradation were reduced. These results revealed that ammonia stress compromised shrimp intestinal health by disrupting mucosal structure, triggering stress responses, and disturbing immune function, energy metabolism, and microbial homeostasis. Notably, low-salinity cultured shrimp exhibited more pronounced intestinal stress responses and greater physiological vulnerability than seawater-cultured counterparts. Full article
(This article belongs to the Special Issue Antioxidant Defenses and Oxidative Stress Management in Aquaculture)
Show Figures

Figure 1

Back to TopTop