Ammonia Stress Disrupts Intestinal Health in Litopenaeus vannamei Under Seawater and Low-Salinity Environments by Impairing Mucosal Integrity, Antioxidant Capability, Immunity, Energy Metabolism, and Microbial Community
Abstract
1. Introduction
2. Materials and Methods
2.1. Experimental Animals and Rearing Conditions
2.2. Ammonia Stress Exposure and Sample Collection
2.3. Intestinal Histomorphological Analysis
2.4. Gene Expression Analysis
2.5. Intestinal Microbiota Analysis
2.6. Statistical Analysis
3. Results
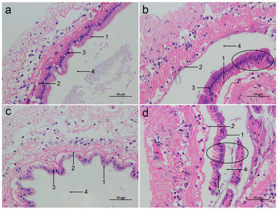
3.1. Changes in Intestinal Tissue Morphology
3.2. Changes in Intestinal Stress Response Indicators
3.3. Changes in Intestinal Immunity, Inflammation, and Autophagy Indicators
3.4. Changes in Intestinal Energy Metabolism-Related Indicators
3.4.1. Carbohydrate Metabolism
3.4.2. TCA Cycle
3.4.3. Respiratory Chain
3.5. Alterations in the Intestinal Microbiota
3.5.1. Changes in Intestinal Microbial Diversity
3.5.2. Changes in Intestinal Microbiota Composition
3.5.3. Identification of Differential Taxa in the Intestinal Microbiota
3.5.4. The Correlation Network of Intestinal Bacteria
3.5.5. Changes in the Metabolic Functions of Intestinal Microbiota
4. Discussion
5. Conclusions
Supplementary Materials
Author Contributions
Funding
Institutional Review Board Statement
Informed Consent Statement
Data Availability Statement
Conflicts of Interest
References
- Ogle, J.T.; Beaugez, K.; Lotz, J.M. Effects of salinity on survival and growth of postlarval Penaeus vannamei. Gulf Res. Rep. 1992, 8, 415–421. [Google Scholar] [CrossRef]
- Zhao, M.M.; Yao, D.F.; Li, S.K.; Zhang, Y.L.; Aweya, J.J. Effects of ammonia on shrimp physiology and immunity: A review. Rev. Aquacult. 2020, 12, 2194–2211. [Google Scholar] [CrossRef]
- Duan, Y.F.; Nan, Y.X.; Zhu, X.Y.; Yang, Y.K.; Xing, Y.F. The adverse impacts of ammonia stress on the homeostasis of intestinal health in Pacific white shrimp (Litopenaeus vannamei). Environ. Pollut. 2024, 340, 122762. [Google Scholar] [CrossRef] [PubMed]
- Duan, Y.F.; Xiong, D.L.; Wang, Y.; Li, H.; Dong, H.B.; Zhang, J.S. Toxic effects of ammonia and thermal stress on the intestinal microbiota and transcriptomic and metabolomic responses of Litopenaeus vannamei. Sci. Total Environ. 2021, 754, 141867. [Google Scholar] [CrossRef] [PubMed]
- Li, H.Y.; Li, Q.Y.; Wang, S.; He, J.G.; Li, C.Z. Ammonia nitrogen stress increases susceptibility to bacterial infection via blocking IL-1R-Relish axis mediated antimicrobial peptides expression in shrimp. Aquaculture 2023, 563, 738934. [Google Scholar] [CrossRef]
- Lin, L.T.; Zhuo, H.B.; Zhang, Y.; Li, J.Y.; Zhou, X.X.; Wu, G.B.; Guo, C.A.; Liu, J.Y. Effects of ammonia exposure and post-exposure recovery in Pacific white shrimp, Litopenaeus vannamei: Histological, physiological and molecular responses. Aquat. Toxicol. 2024, 277, 107133. [Google Scholar] [CrossRef]
- Liu, F.; Li, S.H.; Yu, Y.; Sun, M.Z.; Xiang, J.H.; Li, F.H. Effects of ammonia stress on the hemocytes of the Pacific white shrimp Litopenaeus vannamei. Chemosphere 2020, 239, 124759. [Google Scholar] [CrossRef]
- Sui, Z.M.; Wei, C.Q.; Wang, X.; Zhou, H.H.; Liu, C.D.; Mai, K.S.; He, G. Nutrient sensing signaling and metabolic responses in shrimp Litopenaeus vannamei under acute ammonia stress. Ecotoxicol. Environ. Saf. 2023, 253, 114672. [Google Scholar] [CrossRef]
- Bao, Z.M.; Zou, Y.F.; Cao, P.H.; Zhang, J.Y.; Xu, Y.; Xu, Z.Q.; Guo, H. Effect of high temperature stress on intestinal tissues morphology and transcriptome of Procambarus clarkii. South China Fish. Sci. 2025, 21, 105–117. [Google Scholar]
- Tong, R.X.; Jing, F.T.; Li, Y.B.; Pan, L.Q.; Yu, X.; Zhang, N.; Liao, Q.L. Mechanisms of intestinal DNA damage and inflammation induced by ammonia nitrogen exposure in Litopenaeus vannamei. Comp. Biochem. Physiol. Part C 2025, 287, 110070. [Google Scholar] [CrossRef]
- Holt, C.C.; Bass, D.; Stentiford, G.D.; van der Giezen, M. Understanding the role of the shrimp gut microbiome in health and disease. J. Invertebr. Pathol. 2021, 186, 107387. [Google Scholar] [CrossRef]
- Kumar, R.; Huang, M.Y.; Chen, C.L.; Wang, H.C.; Lu, H.P. Resilience and probiotic interventions to prevent and recover from shrimp gut dysbiosis. Fish Shellfish Immunol. 2023, 139, 108886. [Google Scholar] [CrossRef]
- Mao, J.N.; Lu, J.Q.; Chen, J.; Xiong, J.B. Consistent features of the gut microbiota in response to diverse shrimp Litopenaeus vannamei diseases: A meta-analysis. Fish Fish. 2023, 24, 1103–1117. [Google Scholar] [CrossRef]
- Lv, H.; Peter, M.; Hur, J.W.; Gao, Y.; Chu, Z. Effects of ammonia exposure on oxidative stress, immune enzyme activities, and intestinal microbiota of Pacific white shrimp Litopenaeus vannamei. Aquac. Int. 2021, 29, 2605–2618. [Google Scholar] [CrossRef]
- Li, X.T.; Deng, X.S.; Hou, D.W.; Zeng, S.Z.; Deng, Z.X.; Zhou, R.J.; Zhang, L.Y.; Hou, Q.L.; Chen, Q.; Weng, S.P.; et al. Effects of water ammonia nitrogen on hemolymph and intestinal microbiota of Litopenaeus vannamei. Adv. Biotechnol. 2024, 2, 1. [Google Scholar] [CrossRef]
- Hou, D.W.; Li, H.Y.; Wang, S.; Weng, S.P.; He, J.G. Ammonia nitrogen stress induces dysbiosis of the intestinal bacterial community and facilitates the enrichment of pathogenic bacteria in intestines of shrimp. Aquaculture 2025, 595, 741510. [Google Scholar] [CrossRef]
- Gao, N.; Shu, Y.; Wang, Y.; Sun, M.; Wei, Z.; Song, C.; Zhang, W.; Sun, Y.; Hu, X.; Bao, Z.; et al. Acute ammonia causes pathogenic dysbiosis of shrimp gut biofilms. Int. J. Mol. Sci. 2024, 25, 2614. [Google Scholar] [CrossRef]
- Livak, K.J.; Schmittgen, T.D. Analysis of relative gene expression data using real-time quantitative PCR and the 2−∆∆CT method. Methods 2001, 25, 402–408. [Google Scholar] [CrossRef]
- Nan, Y.; Xiao, M.; Duan, Y.; Yang, Y. Toxicity of ammonia stress on the physiological homeostasis in the gills of Litopenaeus vannamei under seawater and low-salinity conditions. Biology 2024, 13, 281. [Google Scholar] [CrossRef]
- Bao, S.S.; Gao, Q.; Cheng, H.H.; Peng, F.; Yang, Z.W.; Fan, G.; Zhou, P. Effects of cadmium stress on intestinal flora of Macrobrachium rosenbergii seedlings. South China Fish. Sci. 2025, 21, 128–138. [Google Scholar]
- Shen, C.Y.; Zhang, Z.; Chen, H.G.; Zhang, L.B.; Wang, X.F. Effects of LH crude oil and No.0 diesel oil emulsion on hepatopancreatic antioxidant enzyme activity and related functional gene expression in Litopenaeus vannamei. South China Fish. Sci. 2025, 21, 118–130. [Google Scholar]
- Cao, S.S.; Kaufman, R.J. Endoplasmic reticulum stress and oxidative stress in cell fate decision and human disease. Antioxid. Redox Signal. 2014, 21, 396–413. [Google Scholar] [CrossRef] [PubMed]
- Sangsuriya, P.; Charoensapsri, W.; Chomwong, S.; Senapin, S.; Tassanakajon, A.; Amparyup, P. A shrimp pacifastin light chain-like inhibitor: Molecular identification and role in the control of the prophenoloxidase system. Dev. Comp. Immunol. 2016, 54, 32–45. [Google Scholar] [CrossRef] [PubMed]
- Wan, F.; Lenardo, M.J. The nuclear signaling of NF-kappaB: Current knowledge, new insights, and future perspectives. Cell Res. 2010, 20, 24–33. [Google Scholar] [CrossRef] [PubMed]
- Chen, T.; Tu, S.Y.; Ding, L.; Jin, M.L.; Chen, H.C.; Zhou, H.B. The role of autophagy in viral infections. J. Biomed. Sci. 2023, 30, 5. [Google Scholar] [CrossRef]
- Shan, H.; Geng, Z.; Ma, S.; Wang, T. Comparative study of the key enzymes and biochemical substances involved in the energy metabolism of Pacific white shrimp, Litopenaeus vannamei, with different ammonia-N tolerances. Comp. Biochem. Physiol. Part C Toxicol. Pharmacol. 2019, 221, 73–81. [Google Scholar] [CrossRef]
- Eswarappa, S.M.; Fox, P.L. Citric acid cycle and the origin of MARS. Trends Biochem. Sci. 2013, 38, 222–228. [Google Scholar] [CrossRef]
- Kumar, M.; Sharma, S.; Kumar, J.; Barik, S.; Mazumder, S. Mitochondrial electron transport chain in macrophage reprogramming: Potential role in antibacterial immune response. Curr. Res. Immunol. 2024, 5, 100077. [Google Scholar] [CrossRef]
- Li, X.M.; Ringø, E.; Hoseinifar, S.H.; Lauzon, H.L.; Birkbeck, H.; Yang, D. The adherence and colonization of microorganisms in fish gastrointestinal tract. Rev. Aquacult. 2019, 11, 603–618. [Google Scholar] [CrossRef]
- Xiong, J.; Wang, K.; Wu, J.; Qiuqian, L.; Yang, K.; Qian, Y.; Zhang, D. Changes in intestinal bacterial communities are closely associated with shrimp disease severity. Appl. Microbiol. Biotechnol. 2015, 99, 6911–6919. [Google Scholar] [CrossRef]
- Shin, N.R.; Whon, T.W.; Bae, J.W. Proteobacteria: Microbial signature of dysbiosis in gut microbiota. Trends Biotechnol. 2015, 33, 496–503. [Google Scholar] [CrossRef]
- Turnbaugh, P.J.; Hamady, M.; Yatsunenko, T.; Cantarel, B.L.; Duncan, A.; Ley, R.E. A core gut microbiome in obese and lean twins. Nature 2008, 457, 480. [Google Scholar] [CrossRef]
- Binda, C.; Lopetuso, L.R.; Rizzatti, G.; Gibiino, G.; Cennamo, V.; Gasbarrini, A. Actinobacteria: A relevant minority for the maintenance of gut homeostasis. Dig. Liver Dis. 2018, 50, 421–428. [Google Scholar] [CrossRef]
- Wexler, H.M. Bacteroides: The good, the bad, and the nitty-gritty. Clin. Microbiol. Rev. 2007, 20, 593–621. [Google Scholar] [CrossRef] [PubMed]
- Zhang, L.; Chen, Q.; Zeng, S.; Deng, Z.; Liu, Z.; Li, X.; Hou, Q.; Zhou, R.; Bao, S.; Hou, D.; et al. Succeed to culture a novel lineage symbiotic bacterium of Mollicutes which widely found in arthropods intestine uncovers the potential double-edged sword ecological function. Front. Microbiol. 2024, 15, 1458382. [Google Scholar] [CrossRef] [PubMed]
- Soto-Rodriguez, S.A.; Gomez-Gil, B.; Lozano-Olvera, R.; Betancourt-Lozano, M.; MoralesCovarrubias, M.S. Field and experimental evidence of Vibrio parahaemolyticus as the causative agent of acute hepatopancreatic necrosis disease of cultured shrimp (Litopenaeus vannamei) in northwestern Mexico. Appl. Environ. Microbiol. 2015, 81, 1689–1699. [Google Scholar] [CrossRef] [PubMed]
- Sakamoto, Y.; Kawato, S.; Imaizumi, K.; Furukawa, M.; Konishi, K.; Nozaki, R.; Koiwai, K.; Kondo, H.; Hirono, I. Studies on pathogenic mechanisms in Tenacibaculum mesophilum isolated from the gills of kuruma shrimp (Penaeus japonicus) with fusarium disease. Fish Shellfish Immunol. 2022, 131, 1321. [Google Scholar]
- Ge, L.; Liu, Q.; Wang, Y.; Li, Y.; Yan, X.; Kang, L. Research on the pathogenicity of Staphylococcus sp. from fish to Carassius auratus and Danio rerio. Heilongjiang Agri. Sci. 2014, 8, 69–70. [Google Scholar]
- Álvarez-Marín, R.; Navarro-Amuedo, D.; Gasch-Blasi, O.; Rodríguez-Martínez, J.M.; Calvo-Montes, J.; Lara-Contreras, R.; Lepe-Jiménez, J.A.; Tubau-Quintano, F.; Cano-García, M.E.; Rodríguez-López, F.; et al. A prospective, multicenter case control study of risk factors for acquisition and mortality in Enterobacter species bacteremia. J. Inf. Secur. 2020, 80, 174–181. [Google Scholar] [CrossRef] [PubMed]
- Tian, J.; Zhao, T.; Tu, R.; Zhang, B.; Huang, Y.; Shen, Z.; Wang, Y.; Du, G. Achromobacter species (sp.) outbreak caused by hospital equipment containing contaminated water: Risk factors for infection. J. Hosp. Infect. 2024, 146, 141–147. [Google Scholar] [CrossRef]
- Li, K.; Zheng, T.; Tian, Y.; Xi, F.; Yuan, J.; Zhang, G.; Hong, H. Beneficial effects of Bacillus licheniformis on the intestinal microflora and immunity of the white shrimp, Litopenaeus vannamei. Biotechnol. Lett. 2007, 29, 525–530. [Google Scholar] [CrossRef]
- Mayo, B.; BelénFlórez, A.B. Lactic acid bacteria: Lactobacillus spp.: Lactobacillus plantarum. In Encyclopedia of Dairy Sciences, 3rd ed.; Elsevier Academic Press: Amsterdam, The Netherlands, 2022; pp. 206–217. [Google Scholar]
- Karlsson, F.H.; Ussery, D.W.; Nielsen, J.; Nookaew, I. A closer look at Bacteroides: Phylogenetic relationship and genomic implications of a life in the human gut. Microb. Ecol. 2011, 61, 473–485. [Google Scholar] [CrossRef]
- Downes, J.; Dewhirst, F.E.; Tanner, A.C.R.; Wade, W.G. Description of Alloprevotella rava gen. nov., sp. nov., isolated from the human oral cavity, and reclassification of Prevotella tannerae Moore et al. 1994 as Alloprevotella tannerae gen. nov., comb. nov. Int. J. Syst. Evol. Microbiol. 2013, 63, 1214–1218. [Google Scholar] [CrossRef]
- Wang, A.R.; Zhang, Z.; Ding, Q.W.; Yang, Y.L.; Bindelle, J.; Ran, C.; Zhou, Z.G. Intestinal cetobacterium and acetate modify glucose homeostasis via parasympathetic activation in zebrafish. Gut Microbes 2021, 13, 1–15. [Google Scholar] [CrossRef] [PubMed]
- Wei, H.W.; Wang, L.H.; Hassana, M.; Xie, B. Succession of the functional microbial communities and the metabolic functions in maize straw composting process. Bioresour. Technol. 2018, 256, 333–341. [Google Scholar] [CrossRef] [PubMed]









Disclaimer/Publisher’s Note: The statements, opinions and data contained in all publications are solely those of the individual author(s) and contributor(s) and not of MDPI and/or the editor(s). MDPI and/or the editor(s) disclaim responsibility for any injury to people or property resulting from any ideas, methods, instructions or products referred to in the content. |
© 2025 by the authors. Licensee MDPI, Basel, Switzerland. This article is an open access article distributed under the terms and conditions of the Creative Commons Attribution (CC BY) license (https://creativecommons.org/licenses/by/4.0/).
Share and Cite
Duan, Y.; Nan, Y.; Li, J.; Xiao, M.; Wang, Y.; Zhu, R. Ammonia Stress Disrupts Intestinal Health in Litopenaeus vannamei Under Seawater and Low-Salinity Environments by Impairing Mucosal Integrity, Antioxidant Capability, Immunity, Energy Metabolism, and Microbial Community. Antioxidants 2025, 14, 1383. https://doi.org/10.3390/antiox14111383
Duan Y, Nan Y, Li J, Xiao M, Wang Y, Zhu R. Ammonia Stress Disrupts Intestinal Health in Litopenaeus vannamei Under Seawater and Low-Salinity Environments by Impairing Mucosal Integrity, Antioxidant Capability, Immunity, Energy Metabolism, and Microbial Community. Antioxidants. 2025; 14(11):1383. https://doi.org/10.3390/antiox14111383
Chicago/Turabian StyleDuan, Yafei, Yuxiu Nan, Jitao Li, Meng Xiao, Yun Wang, and Ruijie Zhu. 2025. "Ammonia Stress Disrupts Intestinal Health in Litopenaeus vannamei Under Seawater and Low-Salinity Environments by Impairing Mucosal Integrity, Antioxidant Capability, Immunity, Energy Metabolism, and Microbial Community" Antioxidants 14, no. 11: 1383. https://doi.org/10.3390/antiox14111383
APA StyleDuan, Y., Nan, Y., Li, J., Xiao, M., Wang, Y., & Zhu, R. (2025). Ammonia Stress Disrupts Intestinal Health in Litopenaeus vannamei Under Seawater and Low-Salinity Environments by Impairing Mucosal Integrity, Antioxidant Capability, Immunity, Energy Metabolism, and Microbial Community. Antioxidants, 14(11), 1383. https://doi.org/10.3390/antiox14111383

