Sign in to use this feature.

Years

Between: -

Subjects

remove_circle_outline
remove_circle_outline
remove_circle_outline
remove_circle_outline
remove_circle_outline
remove_circle_outline
remove_circle_outline
remove_circle_outline
remove_circle_outline

Journals

Article Types

Countries / Regions

Search Results (81)

Search Parameters:
Keywords = mesenteric fat

Order results
Result details
Results per page
Select all
Export citation of selected articles as:
18 pages, 788 KB  
Article
Organic Chromium Sources as a Strategy to Improve Performance, Carcass Traits, and Economic Return in Lambs Finishing at Heavier Weights
by Alejandro Rivera-Villegas, Alejandra Ríos, Oliver Yaotzin Sánchez-Barbosa, Octavio Carrillo-Muro, Pedro Hernández-Briano, Alejandro Plascencia, Octavio Martínez-Guerrero and Rosalba Lazalde-Cruz
Agriculture 2025, 15(24), 2559; https://doi.org/10.3390/agriculture15242559 - 11 Dec 2025
Abstract
Thirty-six Dorper × Katahdin intact male lambs [44.0 ± 0.27 kg initial body weight (BW)] were used in a randomized complete block design to evaluate the effects of supplementing different organic chromium (OrCr) sources on growth performance, dietary energetics, carcass traits, meat quality, [...] Read more.
Thirty-six Dorper × Katahdin intact male lambs [44.0 ± 0.27 kg initial body weight (BW)] were used in a randomized complete block design to evaluate the effects of supplementing different organic chromium (OrCr) sources on growth performance, dietary energetics, carcass traits, meat quality, and economic return. Treatments (n = 9 lambs/treatment) were (1) Control (no Cr), (2) chromium-enriched yeast (Cr-Yeast), (3) chromium–methionine (Cr-Met), and (4) chromium–propionate (Cr-Pr). All Cr sources were provided at 1.2 mg elemental Cr/lamb/d for 45 d. Lambs received a high-energy finishing diet (78:22 concentrate/forage; steam-rolled corn-based). Dry matter intake was not affected (p = 0.583; 1.27 ± 0.034 kg/d). Compared with Control, Cr-Pr increased final BW (+5%; p = 0.025) and average daily gain (+66%; p = 0.034), and improved feed efficiency (+59%; p = 0.045) and observed-to-expected net energy ratio (+22%; p = 0.042); Cr-Met and Cr-Yeast showed intermediate responses. No differences were observed (p > 0.05) in longissimus lumborum muscle area, cold carcass weight, dressing percentage, cooling loss, or zoometric traits. Rib and rump fat thickness decreased with Cr-Met (−15 and −12%; p = 0.024 and p = 0.048) and with Cr-Pr (−19 and −13%; p = 0.024 and p = 0.048), and all OrCr sources reduced omental (−6 to −25%; p = 0.034), mesenteric (≈−7%; p = 0.042), visceral (−12 to −16%; p = 0.034), and perirenal fat (−25 to −39%; p = 0.028). Empty body weight and hot carcass weight increased with Cr-Pr (p = 0.029 and p = 0.031, respectively). Cr-Yeast and Cr-Pr increased muscle proportion (+5 to +7%; p = 0.003) and reduced carcass fat (−20 to −27%; p = 0.018), improving the muscle/fat ratio (+42 to +50%; p = 0.045). Cr-Pr improved water-holding capacity (+27%; p = 0.014) without affecting pH24h, purge loss, cooking loss, or Warner–Bratzler shear force (p > 0.05). Cr-Pr reduced cost per kg of gain (−31%; p < 0.001) and increased income (+188% live; +105% carcass; p < 0.001), whereas Cr-Met and Cr-Yeast provided moderate benefits. In conclusion, OrCr supplementation improved dietary energy utilization, growth, carcass traits, and meat quality, enhancing profitability in lambs finished at heavier weights, with Cr-Pr producing the greatest responses. Full article
Show Figures

Figure 1

22 pages, 3931 KB  
Article
Protective Metabolic Effects of Chickpea Sprout Against Obesity-Induced Insulin Resistance and Hypoestrogenism in Rats
by Patrick Mailloux-Salinas, Cristian Jiménez-Martínez, David Julian Arias-Chávez, Arturo Armando Gordillo-Bernal, María Stephanie Cid-Gallegos, Liliana Alamilla-Beltrán and Guadalupe Bravo
Molecules 2025, 30(24), 4673; https://doi.org/10.3390/molecules30244673 - 5 Dec 2025
Viewed by 320
Abstract
Obesity and menopausal hypoestrogenism interact in a way that worsens insulin resistance and increases the risk of metabolic diseases. This study evaluated the effects of a diet composed of liquid chickpea sprouts (CS) on these problems. Sixty-four female Wistar rats were assigned to [...] Read more.
Obesity and menopausal hypoestrogenism interact in a way that worsens insulin resistance and increases the risk of metabolic diseases. This study evaluated the effects of a diet composed of liquid chickpea sprouts (CS) on these problems. Sixty-four female Wistar rats were assigned to four experimental groups: a control group (Ctrl); a hypoestrogenic (HE) group, induced by ovariotomy; an obese (Ob) group, fed a high-sucrose diet; and a hypoestrogenic-obese (HE-Ob) group. Each group was subdivided into animals treated with chickpea sprouts (CS, 0.9 g/kg/day) or with a vehicle for four weeks. The results showed that CS significantly improved glucose tolerance and restored insulin sensitivity, normalizing the HOMA-IR index in both the Ob and HE-Ob groups. In addition, CS reduced serum triglycerides, reversed hepatic steatosis, and caused a favorable redistribution of adipose tissue, leading to decreased mesenteric fat accumulation. In conclusion, chickpea sprouts have protective metabolic effects by improving glucose homeostasis, reducing blood lipids, and mitigating liver damage in an estrogen-deficient model of obesity. These findings support the potential of chickpea sprouts as a dietary intervention to help prevent metabolic complications in obese postmenopausal women. Full article
(This article belongs to the Special Issue Bioactive Molecules from Natural Sources and Their Functions)
Show Figures

Graphical abstract

20 pages, 4698 KB  
Article
Lactiplantibacillus plantarum Lp20 Alleviates High Fat Diet-Induced Obesity in Mice via Its Bile Salt Hydrolase Activity
by Xiaoyue Bai, Fangzhou Lu, Yizhi Jing, Hui Wang, Haidong Qian, Ming Zhang, Zhengyuan Zhai and Yanling Hao
Nutrients 2025, 17(22), 3555; https://doi.org/10.3390/nu17223555 - 14 Nov 2025
Viewed by 596
Abstract
Background: Obesity is a highly prevalent chronic disease characterized by excessive weight gain and fat accumulation. There is growing evidence that Lactiplantibacillus plantarum strains with bile salt hydrolase (BSH) activity are effective in preventing and alleviating obesity. Methods: Initially, we screened bacterial strains [...] Read more.
Background: Obesity is a highly prevalent chronic disease characterized by excessive weight gain and fat accumulation. There is growing evidence that Lactiplantibacillus plantarum strains with bile salt hydrolase (BSH) activity are effective in preventing and alleviating obesity. Methods: Initially, we screened bacterial strains with high hydrolytic activity against glycochenodeoxycholic acid (GDCA), and constructed an isogenic bsh1 knockout mutant. Subsequently, male C57BL/6J mice fed a high-fat diet (HFD) were randomly assigned to receive daily gavage of either the wild-type Lp20 (Lp20-WT) or the bsh1-deficient mutant (Lp20-Δbsh1) for 8 weeks. Serum cholesterol levels and histopathological changes in liver sections were monitored. Hepatic gene expression was quantified by RT-qPCR, and fecal bacterial communities were analyzed via 16S rRNA gene sequencing. These comprehensive assessments aimed to evaluate metabolic improvements and uncover the potential mechanisms behind the observed effects. Results:L. plantarum Lp20 hydrolyzed 91.62% of GDCA, exhibiting the highest bile-salt hydrolase (BSH) activity among tested isolates. Whole-genome sequencing and in-silico analyses mapped this activity to bsh1; gene deletion of bsh1 confirmed the role of bsh1 in GDCA hydrolysis. Daily gavage of the wild-type strain (Lp20-WT) to diet-induced obese mice markedly attenuated weight gain, reduced inguinal white adipose tissue and mesenteric fat mass, and lowered serum TC and LDL-C by 20.8% and 33.3%, respectively, while decreasing ALT and AST levels and reversing hepatic steatosis. In contrast, the bsh1-null mutant (Lp20-Δbsh1) failed to elicit any measurable metabolic benefit. Mechanistically, Lp20-WT upregulated rate-limiting bile-acid synthetic enzymes CYP7A1 and CYP27A1, thereby accelerating the catabolism of cholesterol into bile acids. Concurrently, it activated hepatic TGR5 and FXR signaling axes to modulate hepatic metabolism. Moreover, Lp20-WT restructured the gut microbiota by notably enhancing the abundance of beneficial bacteria such as norank_f__Muribaculaceae, Akkermansia, and Alistipes, while reducing the abundance of potentially harmful taxa, including norank_f__Desulfovibrionaceae, Dubosiella, and Mucispirillum. Conclusions: This study provides direct evidence of BSH’s anti-obesity effects through gene deletion. Specifically, BSH lowers cholesterol by modulating hepatic bile-acid metabolism-related gene expression and altering the gut microbiota composition. However, the study is limited by a small sample size (n = 6), the use of male mice only, and its preclinical stage, indicating a need for further validation across diverse strains and human populations. Full article
(This article belongs to the Special Issue Effect of Dietary Components on Gut Homeostasis and Microbiota)
Show Figures

Figure 1

19 pages, 1399 KB  
Article
Low-Molecular-Weight Bovine Collagen Peptides Reduce Fat Accumulation in C. elegans and Ameliorate Obesity-Related Metabolic Dysfunction and Microbiota Diversity in C57BL/6 Male Diet-Induced Obese Mice
by Miguel López-Yoldi, Paula Aranaz, José I. Riezu-Boj, Itxaso González-Salazar, Jesús M. Izco, José I. Recalde, Carlos J. González-Navarro and Fermín I. Milagro
Int. J. Mol. Sci. 2025, 26(18), 9149; https://doi.org/10.3390/ijms26189149 - 19 Sep 2025
Viewed by 1698
Abstract
Collagen and its derivatives, including hydrolyzed collagen peptides, have emerged as promising bioactive compounds with potential benefits in obesity and metabolic syndrome prevention and management. This study aimed to evaluate the potential effects of a low-molecular-weight bovine collagen hydrolysate (COLLinstant® LMW) on [...] Read more.
Collagen and its derivatives, including hydrolyzed collagen peptides, have emerged as promising bioactive compounds with potential benefits in obesity and metabolic syndrome prevention and management. This study aimed to evaluate the potential effects of a low-molecular-weight bovine collagen hydrolysate (COLLinstant® LMW) on metabolic health using Caenorhabditis elegans and C57BL/6 diet-induced obese mice. In C. elegans, C-LMW (2 mg/mL) improved healthspan by significantly reducing fat accumulation (as measured with Nile Red) and reactive oxygen species measured through dihydroethidium, slowing the aging process measured with lipofuscin, and extending the median lifespan of the nematodes. In 32 male 20-week-old diet-induced obese mice, C-LMW supplementation (1 mg/animal/day) for 8 weeks led to a significant reduction in mesenteric, visceral and total adipose tissue (−28% −15% and −18%, respectively; p > 0.05), improved glucose tolerance, and partially restored glucose homeostasis, as demonstrated by intraperitoneal glucose tolerance (−26% AUC, p < 0.05). Additionally, collagen hydrolysate supplementation led to a significant impact on gut microbiota composition by increasing microbial diversity and modulating beneficial bacterial populations, which may contribute to the observed metabolic improvements. These findings suggest that bovine-derived collagen peptides exert anti-obesogenic and metabolic regulatory effects, supporting their potential as functional dietary ingredients for obesity management. Full article
Show Figures

Figure 1

18 pages, 969 KB  
Review
Obesity-Mediated Inflammation and Its Influence on Inflammatory Bowel Disease: Pathophysiology, Clinical Impact, and Therapeutic Implications
by Diego Casas-Deza, Santiago García-López, Vanesa Bernal-Monterde, Cristina Polo-Cuadro, Carmen Yagüe-Caballero and José M. Arbones-Mainar
Biomolecules 2025, 15(8), 1185; https://doi.org/10.3390/biom15081185 - 18 Aug 2025
Cited by 3 | Viewed by 2400
Abstract
Obesity and inflammatory bowel disease (IBD) are two chronic conditions whose prevalence continues to rise globally. Emerging evidence suggests a bidirectional interplay between them, mediated by shared pathophysiological pathways. This narrative review explores the mechanisms Ilinking obesity to IBD development and progression, focusing [...] Read more.
Obesity and inflammatory bowel disease (IBD) are two chronic conditions whose prevalence continues to rise globally. Emerging evidence suggests a bidirectional interplay between them, mediated by shared pathophysiological pathways. This narrative review explores the mechanisms Ilinking obesity to IBD development and progression, focusing on the role of adipose tissue dysfunction. Both diseases exhibit intestinal dysbiosis, low-grade systemic inflammation, and impaired epithelial barrier integrity, contributing to immune activation. Visceral adiposity, particularly mesenteric fat, acts as an immunometabolic organ producing cytokines and adipokines that may exacerbate intestinal inflammation. In Crohn’s disease, mesenteric fat expansion, or “creeping fat”, is associated with transmural inflammation, fibrosis, and luminal narrowing. Epidemiological data on obesity as a risk factor for IBD remain inconsistent due to methodological heterogeneity and confounders. Similarly, the impact of obesity on IBD outcomes, including disease activity, phenotype, and the need for surgery, is debated. While mesenteric surgical approaches like Kono-S anastomosis showed initial promise in reducing recurrence, recent randomized trials offer conflicting results. Finally, metabolic drugs such as statins, metformin, and GLP-1 receptor agonists have demonstrated anti-inflammatory properties with potential utility in IBD management. Prospective studies are warranted to elucidate the clinical significance of obesity and metabolic dysfunction in IBD and evaluate targeted therapeutic strategies. Full article
(This article belongs to the Special Issue Metabolic Inflammation and Insulin Resistance in Obesity)
Show Figures

Figure 1

19 pages, 3780 KB  
Article
Effects of Soy Protein on Liver and Adipose Tissue Inflammation and Gut Microbiota in Mice Fed with Ketogenic Diets
by Wen-Keng Li, I-Ting Wu, Wan-Ju Yeh, Wen-Chih Huang and Hsin-Yi Yang
Nutrients 2025, 17(15), 2428; https://doi.org/10.3390/nu17152428 - 25 Jul 2025
Viewed by 1516
Abstract
Background: Studies on ketogenic diets with a higher percentage of fat composition have revealed conflicting results regarding the modulation of lipid metabolism and tissue inflammation. Furthermore, studies on soy protein consumption in ketogenic diets remain limited. In this study, the effects of [...] Read more.
Background: Studies on ketogenic diets with a higher percentage of fat composition have revealed conflicting results regarding the modulation of lipid metabolism and tissue inflammation. Furthermore, studies on soy protein consumption in ketogenic diets remain limited. In this study, the effects of ketogenic diets on hepatic and adipose tissue inflammation and of soy protein replacement in ketogenic diets were investigated. Methods: Mice were randomly assigned to a control diet (C), ketogenic diet (KD), or ketogenic with soy protein (KS) groups for an 18-week experiment. Both ketogenic diet groups were fed a low-carbohydrate, high-fat diet during the first 12 weeks and a ketogenic diet during the last 6 weeks of the experiment. The KS group was fed the same diet as the KD group, but soy protein was substituted for casein during the last 6 weeks. Results: The KD and KS groups exhibited higher plasma β-hydroxybutyrate levels; a higher incidence of hyperlipidemia; and lower blood glucose, mesenteric fat mass, adipose tissue TNF-α, IL-1β levels, and NLRP3 protein expression compared with the C group. In the gut microbiota analysis, the KD group had a higher F-B ratio than the C group. Greater A. muciniphila abundance and a lower F-B ratio were noted in the KS group compared with the KD group. Conclusions: Although ketogenic diets decreased mesenteric fat mass and adipose tissue inflammation and modulated NLRP3 expression, they were associated with hepatic inflammation and gut dysbiosis. Soy protein consumption in a ketogenic diet did not differ from casein consumption regarding diet-induced tissue inflammation, but it may have altered the gut microbiota. Full article
Show Figures

Graphical abstract

31 pages, 3573 KB  
Article
A Slow Hydrogen Sulfide Donor GYY-4137 Partially Improves Vascular Function in Spontaneously Hypertensive Rats Fed a High-Fat Diet
by Basak G. Aydemir, Andrea Berenyiova, Martina Cebova, John D. Henderson, Andrej Barta and Sona Cacanyiova
Pathophysiology 2025, 32(2), 27; https://doi.org/10.3390/pathophysiology32020027 - 18 Jun 2025
Cited by 1 | Viewed by 1088
Abstract
Background/Objectives: Metabolic syndrome is one of the leading causes of mortality worldwide, with high-fat diet (HFD) intake being a significant driving force. Despite long-term research, new interventions are still being sought to improve cardiovascular disorders associated with metabolic syndrome. Methods: To explore the [...] Read more.
Background/Objectives: Metabolic syndrome is one of the leading causes of mortality worldwide, with high-fat diet (HFD) intake being a significant driving force. Despite long-term research, new interventions are still being sought to improve cardiovascular disorders associated with metabolic syndrome. Methods: To explore the therapeutic potential of a slow-releasing H2S donor, we evaluated the effects of 3 weeks of treatment with GYY-4137 on systolic blood pressure (sBP), cardiac parameters, adiposity, selected plasma markers, and the vascular function of the thoracic aortas (TAs) and mesenteric arteries (MAs) isolated from male spontaneously hypertensive rats (SHRs) fed an HFD for 8 weeks. Results: HFD administration induced cardiac remodeling, increased adiposity, and decreased adrenergic contractility in both TAs and MAs. Moreover, although high-fat intake improved TAs relaxation, it decreased aortic protein expression of endothelial NO synthase and the involvement of NO in vasoactive responses of both TAs and MAs. In addition, protein expression of inducible NOS and tumor necrosis factor alpha (TNFα) in aortas was increased, as were plasma levels of chemerin, which has been proposed as a possible link among metabolic and vascular disorders and inflammation. Treatment with GYY-4137 reduced sBP, improved relaxation of the MAs, partially restored the contractility of the TAs, generally restored NO signaling, and decreased the protein expression of the inducible NOS and TNFα, as well as plasma chemerin levels. Conclusions: A slow H2S-releasing donor could partially ameliorate the metabolic changes induced by increased fat intake during essential hypertension and trigger beneficial vasoactive effects associated with the NO signaling restoration and suppression of inflammation. Full article
(This article belongs to the Section Cardiovascular Pathophysiology)
Show Figures

Figure 1

18 pages, 3819 KB  
Article
Melatonin Promotes Muscle Growth and Redirects Fat Deposition in Cashmere Goats via Gut Microbiota Modulation and Enhanced Antioxidant Capacity
by Di Han, Zibin Zheng, Zhenyu Su, Xianliu Wang, Shiwei Ding, Chunyan Wang, Liwen He and Wei Zhang
Antioxidants 2025, 14(6), 645; https://doi.org/10.3390/antiox14060645 - 27 May 2025
Viewed by 3004
Abstract
Liaoning cashmere goats is a dual-purpose breed valued for premium cashmere fiber and meat yields, and there is currently a lack of optimized strategies for meat quality, including skeletal muscle development and lipid partitioning. This investigation systematically examines how melatonin administration modulates gastrointestinal [...] Read more.
Liaoning cashmere goats is a dual-purpose breed valued for premium cashmere fiber and meat yields, and there is currently a lack of optimized strategies for meat quality, including skeletal muscle development and lipid partitioning. This investigation systematically examines how melatonin administration modulates gastrointestinal microbiota and antioxidant capacity to concurrently enhance skeletal muscle hypertrophy and redirect lipid deposition patterns, ultimately improving meat quality and carcass traits in Liaoning cashmere goats. Thirty female half-sibling kids were randomized into control and melatonin-treated groups (2 mg/kg live weight with subcutaneous implants). Postmortem analyses at 8 months assessed carcass traits, meat quality, muscle histology, plasma metabolites, and gut microbiota (16S rRNA sequencing). Melatonin supplementation decreased visceral adiposity (perirenal, omental, and mesenteric fat depots with a p < 0.05) while inducing muscle fiber hypertrophy (longissimus thoracis et lumborum (LTL) and biceps femoris (BF) with p < 0.05). The melatonin-treated group demonstrated elevated postmortem pH24h values, attenuated muscle drip loss, enhanced intramuscular protein deposition, and improved systemic antioxidant status (characterized by increased catalase and glutathione levels with concomitant reduction in malondialdehyde with p < 0.05). Melatonin reshaped gut microbiota, increasing α-diversity (p < 0.05) and enriching beneficial genera (Prevotella, Romboutsia, and Akkermansia), while suppressing lipogenic Desulfovibrio populations, and concomitant with improved intestinal morphology as evidenced by elevated villus height-to-crypt depth ratios. These findings establish that melatonin-mediated gastrointestinal microbiota remodeling drives anabolic muscle protein synthesis while optimizing fat deposition, providing a scientifically grounded strategy to enhance meat quality. Full article
(This article belongs to the Special Issue Oxidative Stress in Livestock and Poultry—3rd Edition)
Show Figures

Figure 1

9 pages, 3367 KB  
Case Report
Pediatric Mesenteric Lipoma: Case Report and Narrative Literature Review
by Zeljko Zovko, Alessandro Boscarelli, Daniela Codrich, Rossana Bussani, Francesca Neri and Jürgen Schleef
Children 2025, 12(4), 461; https://doi.org/10.3390/children12040461 - 3 Apr 2025
Cited by 1 | Viewed by 1513
Abstract
Introduction: Lipomas are among the most encountered neoplasms in clinical practice, occurring mainly in adults between the fourth and sixth decades of life. Deep-seated lipomas in children are found in the thorax, chest wall, mediastinum, pleura, pelvis, retroperitoneum, and paratesticular area. Herein, we [...] Read more.
Introduction: Lipomas are among the most encountered neoplasms in clinical practice, occurring mainly in adults between the fourth and sixth decades of life. Deep-seated lipomas in children are found in the thorax, chest wall, mediastinum, pleura, pelvis, retroperitoneum, and paratesticular area. Herein, we present a case of a three-year-old child with a giant mesenteric lipoma, along with a review of the literature on mesenteric lipomas in childhood. Case presentation: A three-year-old male toddler was referred to our hospital for severe, intermittent abdominal pain. Imaging studies at admission revealed a fat lesion occupying most of the peritoneal cavity and dislocating adjacent structures. An urgent laparotomy was performed. A giant lipoma arising from the mesentery and leading to the torsion of the mesenteric radix was confirmed and completely excised alongside an adherent small tract of jejunum. The child recovered uneventfully and is still being followed-up with no signs of recurrence. Discussion: Lipomas of the mesentery in children are very rare, and they are reported to be more common among children younger than three years of age. Mesenteric lipomas appeared to be more frequent in males than females. Even though they might be asymptomatic, voluminous lipomas can also create a lead point for intermittent torsion of the mass causing ischemia and infarction. Abdominal pain was the most frequent symptom, and the ileum was the tract of bowel more frequently involved by the tumor. Laparotomy was reported to be the preferable approach to safely remove this abdominal mass, especially in case of huge dimensions. Full article
Show Figures

Figure 1

21 pages, 1942 KB  
Article
Daily Lipolysis Gene Expression in Male Rat Mesenteric Adipose Tissue: Obesity and Melatonin Effects
by Pilar Cano-Barquilla, Vanesa Jiménez-Ortega, Pilar Fernández-Mateos, Leire Virto, Estela Maldonado Bautista, Juliana Perez-Miguelsanz and Ana I. Esquifino
Int. J. Mol. Sci. 2025, 26(2), 577; https://doi.org/10.3390/ijms26020577 - 11 Jan 2025
Cited by 4 | Viewed by 2200
Abstract
Melatonin is involved in various functions such as the timing of circadian rhythms, energy metabolism, and body mass gain in experimental animals. However, its effects on adipose tissue lipid metabolism are still unclear. This study analyzes the effects of melatonin on the relative [...] Read more.
Melatonin is involved in various functions such as the timing of circadian rhythms, energy metabolism, and body mass gain in experimental animals. However, its effects on adipose tissue lipid metabolism are still unclear. This study analyzes the effects of melatonin on the relative gene expression of lipolytic proteins in rat mesenteric adipose tissue and free fatty acid (FFA) and glycerol plasma levels of male Wistar rats fed a high-fat (HFD) or maintenance diet. Four experimental groups were established: control, obese, and control or obese plus 2.3 mg/kg/day of melatonin in tap water. After 11 weeks, animals were sacrificed at different times throughout a 24 h cycle, and mesenteric adipose tissue and plasma samples were collected and analyzed. Cgi58, Perilipin, and Dgat1 gene expression, as well as FFA and glycerol concentrations, showed rhythm patterns in the control group. HFD disrupted those rhythm patterns and increased FFA and glycerol concentrations during the dark photoperiod. In both melatonin-treated groups, almost all analyzed genes showed circadian patterns. Notably, melatonin significantly prevented the increase in FFA levels during the dark photoperiod in obese rats (obese group: ~1100 mM vs. obese + melatonin group: ~600 μM, similar to control levels). However, the rhythmic pattern observed in control animals was not sustained. According to our results, melatonin could regulate circadian gene transcription of mesenteric adipose tissue lipolysis proteins. The effect of melatonin on preventing elevated FFA plasma levels associated with high-fat diet intake warrants further investigation. Full article
Show Figures

Figure 1

11 pages, 3642 KB  
Case Report
Inflammatory Mesenteric Disease and Sarcoidosis-like Reaction in a Patient with Lung Adenocarcinoma Who Received Pembrolizumab: Paraneoplastic Syndrome, Secondary to Checkpoint Inhibitor or Chance Finding?
by Luis Posado-Domínguez, María Escribano-Iglesias, Lorena Bellido-Hernández, Johana Gabriela León-Gil, María Asunción Gómez-Muñoz, Felipe Gómez-Caminero López, María Martín-Galache, Sandra M. Inés-Revuelta and Emilio Fonseca-Sánchez
Curr. Oncol. 2024, 31(11), 7319-7329; https://doi.org/10.3390/curroncol31110540 - 18 Nov 2024
Cited by 2 | Viewed by 2395
Abstract
Summary: Anti PD1/PD-L1 agents, including pembrolizumab, have revolutionized the oncological treatment of different types of cancer, including non-small cell lung cancer. The most frequent complications associated with this type of treatment are mild and are located at the thyroid, pulmonary or hepatic [...] Read more.
Summary: Anti PD1/PD-L1 agents, including pembrolizumab, have revolutionized the oncological treatment of different types of cancer, including non-small cell lung cancer. The most frequent complications associated with this type of treatment are mild and are located at the thyroid, pulmonary or hepatic level. Sarcoid like reaction and mesenteric panniculitis secondary to pembrolizumab treatment are two very rare adverse effects. We present the case of a patient with these complications. Purpose: the treatment of metastatic non-small cell lung cancer has undergone a major change in the last 10 years, largely due to the advent of immunotherapy. Anti PD1 agents such as pembrolizumab have increased the median survival of these patients from 13 to 26 months. Most frequent immunorelated side effects are hypothyroidism, pneumonitis or elevated liver enzymes. However, there are other adverse effects, including sarcoid-like reaction and mesenteric panniculitis, which should be known by the professionals involved in the diagnosis and treatment of this type of patient. We present the case of a 62-year-old man with a history of unresectable and non-irradiable stage IIIB epidermoid lung carcinoma with a PD-L1 expression of 30% in whom pembrolizumab was discontinued after 4 cycles due to immunorelated arthritis. One year later he consulted for severe abdominal pain. A PET-CT scan was performed, showing hilar lymphadenopathy and inflammation of abdominal mesenteric fat. A biopsy of lesions in both areas showed non-necrotizing granulomatous lymphadenitis in hilar adenopathy and patchy fibrosis of mesenteric fat. The picture was classified as sarcoidosis-like reaction and mesenteric panniculitis secondary to pembrolizumab. Anti-PD1 agents cause hyperactivation of the immune system through T-cell proliferation. Sarcoid-like reaction is a very rare complication that can mask progressive tumor disease. Awareness of immunorelated complications by oncologists, internists, and radiologists is important for an appropriate diagnostic approach and targeted test ordering. Full article
(This article belongs to the Section Thoracic Oncology)
Show Figures

Figure 1

23 pages, 716 KB  
Review
Elastography as a Discriminator Between Fibrotic and Inflammatory Strictures in Crohn’s Disease: A Dead End or Bright Future in Clinical Decision-Making? Critical Review
by Maryla Kuczyńska, Monika Zbroja and Anna Drelich-Zbroja
Diagnostics 2024, 14(20), 2299; https://doi.org/10.3390/diagnostics14202299 - 16 Oct 2024
Cited by 2 | Viewed by 1812
Abstract
Background: Crohn’s disease (CD) is a complex systemic entity, characterized by the progressive and relapsing inflammatory involvement of any part of the gastrointestinal tract. Its clinical pattern may be categorized as penetrating, stricturing or non-penetrating non-stricturing. Methods: In this paper, we performed a [...] Read more.
Background: Crohn’s disease (CD) is a complex systemic entity, characterized by the progressive and relapsing inflammatory involvement of any part of the gastrointestinal tract. Its clinical pattern may be categorized as penetrating, stricturing or non-penetrating non-stricturing. Methods: In this paper, we performed a database search (Pubmed, MEDLINE, Mendeley) using combinations of the queries “crohn”, “stricture” and “elastography” up to 19 June 2024 to summarize current knowledge regarding the diagnostic utility of ultrasound (US) and magnetic resonance (MR) elastography techniques in the evaluation of stricturing CD by means of an assessment of the transmural intestinal fibrosis. We decided to include papers published since 1 January 2017 for further evaluation (n = 24). Results: Despite growing collective and original data regarding numerous applications of mostly ultrasound elastography (quantification of fibrosis, distinguishing inflammatory from predominantly fibrotic strictures, assessment of treatment response, predicting disease progression) constantly emerging, to date, we are still lacking a uniformization in both cut-off values and principles of measurements, i.e., reference tissue in strain elastography (mesenteric fat, abdominal muscles, unaffected bowel segment), units, not to mention subtle differences in technical background of SWE techniques utilized by different vendors. All these factors imply that ultrasound elastography techniques are hardly translatable throughout different medical centers and practitioners, largely depending on the local experience. Conclusions: Nonetheless, the existing medical evidence is promising, especially in terms of possible longitudinal comparative studies (follow-up) of patients in the course of the disease, which seems to be of particular interest in children (lack of radiation, less invasive contrast media) and terminal ileal disease (easily accessible). Full article
(This article belongs to the Special Issue Advances in Ultrasound)
Show Figures

Figure 1

11 pages, 1783 KB  
Article
The Role of Lymph-Adipose Crosstalk in Alcohol-Induced Perilymphatic Adipose Tissue Dysfunction
by Kourtney D. Weaver, Liz Simon, Patricia E. Molina and Flavia Souza-Smith
Int. J. Mol. Sci. 2024, 25(19), 10811; https://doi.org/10.3390/ijms251910811 - 8 Oct 2024
Cited by 2 | Viewed by 1502
Abstract
Chronic alcohol use leads to metabolic dysfunction in adipose tissue. The underlying mechanisms and the contribution of alcohol-induced adipose tissue dysfunction to systemic metabolic dysregulation are not well understood. In our previous studies, we found that chronic alcohol feeding induces mesenteric lymphatic leakage, [...] Read more.
Chronic alcohol use leads to metabolic dysfunction in adipose tissue. The underlying mechanisms and the contribution of alcohol-induced adipose tissue dysfunction to systemic metabolic dysregulation are not well understood. In our previous studies, we found that chronic alcohol feeding induces mesenteric lymphatic leakage, perilymphatic adipose tissue (PLAT) inflammation, and local insulin resistance in rats. The goal of this study was to further explore the link between alcohol-induced lymphatic leakage and PLAT immunometabolic dysregulation, locally and systemically, using in vivo and ex vivo approaches. Male rats received a Lieber–DeCarli liquid diet, of which 36% of the calories were from alcohol, for 10 weeks. Time-matched control animals were pair-fed. Adipokine levels were measured in PLAT, subcutaneous fat, plasma, and mesenteric lymph samples. Glucose tolerance was assessed after 10 weeks. Further, we used a novel ex vivo lymph-stimulated naïve PLAT explant approach to modeling lymph leakage to assess changes in adipokine secretion and expression of proinflammatory markers after stimulation with lymph from alcohol- or pair-fed animals. Our data show that chronic alcohol-fed rats presented PLAT-specific decreases in adiponectin and leptin levels, alterations in the expression of genes involved in lipid metabolic pathways, and associated impaired whole-body glucose homeostasis. Further, we found that direct naïve PLAT stimulation with lymph contents from alcohol-fed animals increased IL-6 expression in demonstrating the ability of lymph contents to differentially impact naïve adipose tissue. Overall, chronic alcohol feeding leads to depot-specific alterations in metabolic profile, impaired systemic glucose tolerance, and lymph-induced adipose tissue inflammation. The specific lymph components leading to PLAT immunometabolic dysregulation remain to be determined. Full article
Show Figures

Figure 1

19 pages, 4626 KB  
Article
Diet-Induced Obesity in Mice Affects the Maternal Gut Microbiota and Immune Response in Mid-Pregnancy
by Lieske Wekema, Sam Schoenmakers, Nicole Schenkelaars, Anne Laskewitz, Romy H. Huurman, Lei Liu, Lisa Walters, Hermie J. M. Harmsen, Régine P. M. Steegers-Theunissen and Marijke M. Faas
Int. J. Mol. Sci. 2024, 25(16), 9076; https://doi.org/10.3390/ijms25169076 - 21 Aug 2024
Cited by 2 | Viewed by 1976
Abstract
Maternal obesity during pregnancy is associated with adverse pregnancy outcomes. This might be due to undesired obesity-induced changes in the maternal gut microbiota and related changes in the maternal immune adaptations during pregnancy. The current study examines how obesity affects gut microbiota and [...] Read more.
Maternal obesity during pregnancy is associated with adverse pregnancy outcomes. This might be due to undesired obesity-induced changes in the maternal gut microbiota and related changes in the maternal immune adaptations during pregnancy. The current study examines how obesity affects gut microbiota and immunity in pregnant obese and lean mice during mid-pregnancy (gestational day 12 (GD12)). C57BL/6 mice were fed a high-fat diet or low-fat diet from 8 weeks before mating and during pregnancy. At GD12, we analyzed the gut microbiota composition in the feces and immune responses in the intestine (Peyer’s patches, mesenteric lymph nodes) and the peripheral circulation (spleen and peripheral blood). Maternal obesity reduced beneficial bacteria (e.g., Bifidobacterium and Akkermansia) and changed intestinal and peripheral immune responses (e.g., dendritic cells, Th1/Th2/Th17/Treg axis, monocytes). Numerous correlations were found between obesity-associated bacterial genera and intestinal/peripheral immune anomalies. This study shows that maternal obesity impacts the abundance of specific bacterial gut genera as compared to lean mice and deranges maternal intestinal immune responses that subsequently change peripheral maternal immune responses in mid-pregnancy. Our findings underscore the opportunities for early intervention strategies targeting maternal obesity, ideally starting in the periconceptional period, to mitigate these obesity-related pregnancy effects. Full article
(This article belongs to the Special Issue Reproductive Immunology: Cellular and Molecular Biology 3.0)
Show Figures

Figure 1

16 pages, 2688 KB  
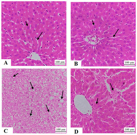
Article
Morin Prevents Non-Alcoholic Hepatic Steatosis in Obese Rats by Targeting the Peroxisome Proliferator-Activated Receptor Alpha (PPARα)
by Laila Naif Al-Harbi
Life 2024, 14(8), 945; https://doi.org/10.3390/life14080945 - 28 Jul 2024
Cited by 6 | Viewed by 1536
Abstract
Background: Obesity has become a widespread issue globally. Morin, a flavonoid with traditional use in managing hyperglycemia and hyperlipidemia, has demonstrated antioxidant and anti-inflammatory properties in experimental studies. This research aims to explore the anti-obesity potential of morin in rats subjected to a [...] Read more.
Background: Obesity has become a widespread issue globally. Morin, a flavonoid with traditional use in managing hyperglycemia and hyperlipidemia, has demonstrated antioxidant and anti-inflammatory properties in experimental studies. This research aims to explore the anti-obesity potential of morin in rats subjected to a high-fat diet (HFD) and investigate whether its effects are mediated through PPARα regulation. Methods: Young adult male Wistar albino rats were divided into four groups (n = 8/group): normal, morin (50 mg/kg/BWT, oral), HFD, and HFD + morin (50 mg/kg/BWT, oral). Treatments were administered daily for 17 consecutive weeks. Results: Morin mitigated the elevation in glucose levels and decreased fasting glucose and insulin levels, along with the HOMA-IR index, in HFD-fed rats. Furthermore, morin reduced calorie intake, final body weights, and the masses of subcutaneous, epididymal, peritoneal, and mesenteric fat in these rats. It also attenuated the rise in systolic blood pressure in HFD-fed rats and decreased serum levels of triglycerides, cholesterol, free fatty acids, LDL-c, and leptin, while increasing levels of HDL-c and adiponectin in both normal and HFD-fed rats. Moreover, morin restored normal liver structure and reduced fat vacuole accumulation in HFD-fed rats. Notably, it upregulated mRNA levels of PPARα in the livers and white adipose tissue of both normal and HFD-fed rats. Conclusions: These findings suggest the potential use of morin to enhance fatty acid oxidation in white adipose tissue and mitigate obesity, warranting further clinical investigation into its therapeutic applications. Full article
(This article belongs to the Section Animal Science)
Show Figures

Figure 1

Back to TopTop