Sign in to use this feature.

Years

Between: -

Subjects

remove_circle_outline
remove_circle_outline
remove_circle_outline
remove_circle_outline
remove_circle_outline
remove_circle_outline
remove_circle_outline
remove_circle_outline
remove_circle_outline

Journals

Article Types

Countries / Regions

remove_circle_outline
remove_circle_outline
remove_circle_outline
remove_circle_outline
remove_circle_outline

Search Results (226)

Search Parameters:
Keywords = liver image segmentation

Order results
Result details
Results per page
Select all
Export citation of selected articles as:
20 pages, 3823 KB  
Article
DA-TransResUNet: Residual U-Net Liver Segmentation Model Integrating Dual Attention of Spatial and Channel with Transformer
by Kunzhan Wang, Xinyue Lu, Jing Li and Yang Lu
Mathematics 2026, 14(3), 575; https://doi.org/10.3390/math14030575 - 5 Feb 2026
Abstract
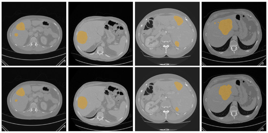
Precise medical image segmentation plays a vital role in disease diagnosis and clinical treatment. Although U-Net-based architectures and their Transformer-enhanced variants have achieved remarkable progress in automatic segmentation tasks, they still face challenges in complex medical imaging scenarios, particularly around simultaneously modeling fine-grained [...] Read more.
Precise medical image segmentation plays a vital role in disease diagnosis and clinical treatment. Although U-Net-based architectures and their Transformer-enhanced variants have achieved remarkable progress in automatic segmentation tasks, they still face challenges in complex medical imaging scenarios, particularly around simultaneously modeling fine-grained local details and capturing long-range global contextual information, which limits segmentation accuracy and structural consistency. To address these challenges, this paper proposes a novel medical image segmentation framework termed DA-TransResUNet. Built upon a ResUNet backbone, the proposed network integrates residual learning, Transformer-based encoding, and a dual-attention (DA) mechanism in a unified manner. Residual blocks facilitate stable optimization and progressive feature refinement in deep networks, while the Transformer module effectively models long-range dependencies to enhance global context representation. Meanwhile, the proposed DA-Block jointly exploits local and global features as well as spatial and channel-wise dependencies, leading to more discriminative feature representations. Furthermore, embedding DA-Blocks into both the feature embedding stage and skip connections strengthens information interaction between the encoder and decoder, thereby improving overall segmentation performance. Experimental results on the LiTS2017 dataset and Sliver07 dataset demonstrate that the proposed method achieves incremental improvement in liver segmentation. In particular, on the LiTS2017 dataset, DA-TransResUNet achieves a Dice score of 97.39%, a VOE of 5.08%, and an RVD of −0.74%, validating its effectiveness for liver segmentation. Full article
Show Figures

Figure 1

15 pages, 5376 KB  
Article
Deep Learning-Based Liver Tumor Segmentation from Computed Tomography Scans with a Gradient-Enhanced Network
by Hangyeul Shin, Kyujin Han, Seungyoo Lee, Harin Park, Seunghyon Kim, Jeonghun Kim, Xiaopeng Yang, Jae Do Yang, Jisoo Song, Hee Chul Yu and Heecheon You
Diagnostics 2026, 16(3), 429; https://doi.org/10.3390/diagnostics16030429 - 1 Feb 2026
Viewed by 112
Abstract
Background/Objectives: This study aimed to develop a fully automatic method for liver tumor segmentation based on our previously developed gradient-enhanced network G-UNETR++. Methods: The proposed method consists of segmentation of the full liver region from computed tomography (CT) images using G-UNETR++, [...] Read more.
Background/Objectives: This study aimed to develop a fully automatic method for liver tumor segmentation based on our previously developed gradient-enhanced network G-UNETR++. Methods: The proposed method consists of segmentation of the full liver region from computed tomography (CT) images using G-UNETR++, masking the CT images with the extracted liver region to exclude non-liver regions, and liver tumor segmentation from the masked CT images, also using G-UNETR++. To train and evaluate the model, a total of 131 CT scans (97 for training, 20 for validation, and 20 for testing) from the publicly available LiTS dataset were used. Furthermore, another public dataset, the 3DIRCADb dataset consisting of 20 CT scans was used for cross-validation of the effectiveness and generalizability of our method. Results: Experimental results showed that our method outperformed state-of-the-art models over both the LiTS dataset and the 3DIRCADb dataset, with an average dice score of 0.844 and 0.832 over the two datasets, respectively. Conclusions: The proposed method is effective in clinical application to help physicians with liver tumor diagnosis and treatment. Full article
(This article belongs to the Section Machine Learning and Artificial Intelligence in Diagnostics)
Show Figures

Figure 1

12 pages, 1222 KB  
Article
Impact of Deep-Learning-Based Respiratory Motion Correction on [18F] FDG PET/CT Test–Retest Reliability and Consistency of Tumor Quantification in Patients with Lung Cancer
by Shijia Weng, Limei Jiang, Runze Wu, Yuanyan Cao, Yuan Li and Qian Wang
Biomedicines 2026, 14(1), 245; https://doi.org/10.3390/biomedicines14010245 - 21 Jan 2026
Viewed by 236
Abstract
Objectives: Respiratory motion degrades the quantitative accuracy and test–retest (TRT) reliability of fluorine-18 fluorodeoxyglucose ([18F] FDG) positron emission tomography (PET)/computed tomography (CT) in lung cancer. This study investigated whether a deep-learning-based respiratory motion correction (RMC) method improves the TRT reliability and [...] Read more.
Objectives: Respiratory motion degrades the quantitative accuracy and test–retest (TRT) reliability of fluorine-18 fluorodeoxyglucose ([18F] FDG) positron emission tomography (PET)/computed tomography (CT) in lung cancer. This study investigated whether a deep-learning-based respiratory motion correction (RMC) method improves the TRT reliability and image quality of [18F] FDG PET tumor quantification compared with non-motion-corrected (NMC) reconstructions. Methods: Thirty-one patients with primary lung cancer underwent three PET acquisitions: whole body free breathing (Scan1), thoracic free breathing (Scan2), and thoracic controlled breathing (ScanCB). Each dataset was reconstructed with and without RMC. Visual assessments of liver motion artifacts, lesion clarity, and PET-CT co-registration were scored. Lung tumors were segmented to derive standardized uptake value max (SUVmax), SUVmean, metabolic tumor volume (MTV), PET-derived lesion length (PLL), and total lesion glycolysis (TLG). Visual image scores and TRT reliability of tumor quantification were compared using Kruskal–Wallis one-way analysis of variance and intraclass correlation coefficients (ICCs). Results: RMC reconstructions achieved higher visual scores of lesion clarity and PET-CT co-registration across all lung lobes and significantly reduced liver motion artifacts compared with NMC reconstructions. Differences in SUVmax, SUVmean, PLL, MTV, and TLG between Scan2 and ScanCB were significantly smaller with RMC than with NMC. ICCs for SUVmax, SUVmean, MTV, and TLG were higher between scans with RMC than NMC reconstructions, indicating improved TRT reliability. Conclusions: The deep-learning-based RMC method improved the image quality and TRT reproducibility of [18F] FDG PET/CT quantification in lung cancer, supporting its potential for routine adoption in therapy-response assessments. Full article
(This article belongs to the Section Molecular and Translational Medicine)
Show Figures

Figure 1

10 pages, 1541 KB  
Article
MRI-Based Assessment of Etiology-Specific Sarcopenia Phenotypes in Chronic Liver Disease: A Comparative Study of MASH and Viral Hepatitis
by Mika Yasutomi, Kazuhiro Saito, Yoichi Araki, Katsutoshi Sugimoto, Daisuke Yoshimaru, Shuhei Shibukawa and Masanori Ishida
Diagnostics 2026, 16(2), 306; https://doi.org/10.3390/diagnostics16020306 - 17 Jan 2026
Viewed by 250
Abstract
Background: Sarcopenia is a clinically important complication of chronic liver disease (CLD), but its underlying mechanisms may differ according to disease etiology. Quantitative MRI biomarkers, including proton density fat fraction (PDFF) and magnetic resonance elastography (MRE), may help characterize etiology-specific patterns of muscle [...] Read more.
Background: Sarcopenia is a clinically important complication of chronic liver disease (CLD), but its underlying mechanisms may differ according to disease etiology. Quantitative MRI biomarkers, including proton density fat fraction (PDFF) and magnetic resonance elastography (MRE), may help characterize etiology-specific patterns of muscle loss. This study aimed to explore etiology-specific associations between MRI-derived biomarkers and sarcopenia, with a particular focus on metabolic dysfunction-associated steatohepatitis (MASH) and viral hepatitis. Methods: This retrospective single-center study included 131 CLD patients (77 with MASH, 54 with viral hepatitis) who underwent MRI, including PDFF and MRE. Sarcopenia was defined by L2 skeletal muscle index thresholds (<42 cm2/m2 for men, <38 cm2/m2 for women). Muscle identification was performed by automatic threshold-based segmentation by a single observer. Multivariable logistic regression analyses incorporating interaction terms were performed to evaluate whether associations between MRI biomarkers and sarcopenia differed by etiology. Results: Sarcopenia was present in 56% of patients. In the overall cohort, older age (OR = 1.05, p = 0.01), lower PDFF (OR = 0.93, p = 0.03), and lower liver stiffness (OR = 0.51, p = 0.006) were independently associated with sarcopenia. A significant interaction between BMI and disease etiology was observed (p = 0.02). Subgroup analyses suggested that in MASH, sarcopenia was associated with aging, hepatic fat depletion, and lower stiffness. In contrast, in viral hepatitis, it tended to be associated with higher stiffness and lower BMI. Conclusions: MRI-derived hepatic fat and stiffness reflect distinct etiologic patterns of sarcopenia in CLD—metabolically depleted in MASH and fibrosis-related in viral hepatitis. These findings suggest that sarcopenia in MASH and viral hepatitis may reflect different underlying phenotypic patterns, highlighting the importance of considering disease etiology in imaging-based sarcopenia assessment. The results should be interpreted as hypothesis-generating and warrant validation in prospective studies. Full article
(This article belongs to the Section Medical Imaging and Theranostics)
Show Figures

Figure 1

12 pages, 1495 KB  
Case Report
A Case of Misdiagnosed Hepatic Sarcoidosis: Evaluating Ultrasound Resolution Microscopy for Differentiating Hepatic Sarcoidosis from Hepatocellular Carcinoma
by Jie Zhang, Kazushi Numata, Jintian Zhang, Wenbin Zhang and Feiqian Wang
Diagnostics 2026, 16(2), 238; https://doi.org/10.3390/diagnostics16020238 - 12 Jan 2026
Viewed by 253
Abstract
Background and Clinical Significance: Hepatic sarcoidosis is a benign lesion of unknown etiology. The gold standard for diagnosing hepatic sarcoidosis is histopathological examination. The symptoms and imaging findings of patients with hepatic sarcoidosis are often atypical, leading to misdiagnosis as hepatocellular carcinoma (HCC). [...] Read more.
Background and Clinical Significance: Hepatic sarcoidosis is a benign lesion of unknown etiology. The gold standard for diagnosing hepatic sarcoidosis is histopathological examination. The symptoms and imaging findings of patients with hepatic sarcoidosis are often atypical, leading to misdiagnosis as hepatocellular carcinoma (HCC). Ultrasound resolution microscopy (URM) can overcome the diffraction limit, enabling fine visualization and quantitative analysis of the microvascular networks. This study aimed to provide new evidence for the differential diagnosis of these two diseases by comparing the URM parameters of hepatic sarcoidosis initially misdiagnosed as HCC with those of HCC. Case Presentation: A 67-year-old woman was admitted to the hospital due to upper abdominal pain for two weeks. Ultrasonography revealed a liver mass. The lesion was located in segment IV of the left hepatic lobe, was approximately 18 × 10 mm in size, and appeared hypoechoic. Contrast-enhanced ultrasound and enhanced magnetic resonance imaging both showed a “fast-in, fast-out” pattern, strongly suggesting HCC. The tumor markers were within the normal range. The patient underwent a laparoscopic left hepatic lobectomy. The histopathological diagnosis of the resected specimen was “hepatic sarcoidosis”. URM examination was performed during the preoperative diagnostic process. Subsequently, the URM parameters of the patient’s lesion were analyzed and compared with those of HCC. The results showed differences in multiple URM parameters, including microvascular flow velocity, diameter, microvascular density ratio, and vascular distribution, between this case of hepatic sarcoidosis and HCC. Conclusions: URM can quantitatively and multidimensionally evaluate the microvasculature of liver lesions, providing new reference data for the diagnosis and differential diagnosis of hepatic sarcoidosis. Full article
(This article belongs to the Section Pathology and Molecular Diagnostics)
Show Figures

Figure 1

12 pages, 3231 KB  
Article
Imaging Features of Patients with Hepatocellular Carcinoma and Portal Vein Tumor Thrombosis Surviving Beyond 1 Year After Combined Therapy
by Wei-Ming Lin, Hui-Ling Huang, Sheng-Nan Lu, Tse-Yen Yang, Hao-Chung Wang, Sheng-Lung Hsu, Chia-Hsuan Lai and Te-Sheng Chang
Diagnostics 2026, 16(1), 115; https://doi.org/10.3390/diagnostics16010115 - 31 Dec 2025
Viewed by 444
Abstract
Background/Objectives: Portal vein tumor thrombus (PVTT) is a severe complication of hepatocellular carcinoma (HCC) and is associated with poor outcomes. This study aimed to describe the imaging and clinical characteristics observed among HCC patients with PVTT who survived longer than one year following [...] Read more.
Background/Objectives: Portal vein tumor thrombus (PVTT) is a severe complication of hepatocellular carcinoma (HCC) and is associated with poor outcomes. This study aimed to describe the imaging and clinical characteristics observed among HCC patients with PVTT who survived longer than one year following combined systemic therapy and radiotherapy. Methods: This retrospective, single-center study included 26 consecutive HCC patients with PVTT who survived more than one year after combined treatment. Baseline characteristics included PVTT extent classified according to the Liver Cancer Study Group of Japan—VP1 (segmental portal vein invasion), VP2 (second-order portal vein invasion), VP3 (first-order portal vein invasion), and VP4 (main portal trunk or contralateral PV invasion) and liver function assessed by Child–Pugh class and ALBI grade. Contrast-enhanced CT or MRI was evaluated at baseline and 6 months after treatment using RECIST 1.1 criteria. Results: The cohort was predominantly male (69%), and most patients had extensive PVTT (VP3–VP4, n = 19). Preserved liver function was common at baseline (Child–Pugh class A, n = 24; ALBI grade I, n = 14). Tumor response was observed in 23 patients (88%) during follow-up. Frequently observed post-treatment imaging findings included portal vein recanalization (n = 12), collateral circulation (present in 7 patients at baseline and 6 at follow-up), and compensatory liver hypertrophy (n = 6). Conclusions: Among HCC patients with PVTT who survived longer than one year after combined therapy, portal vein recanalization, collateral circulation, and compensatory liver hypertrophy were commonly observed imaging features. Given the retrospective design and survivor-selection nature of the study, these findings should be interpreted as descriptive observations rather than evidence of treatment efficacy or prognostic determinants. Full article
(This article belongs to the Special Issue Clinical Applications of CT and MRI)
Show Figures

Figure 1

11 pages, 3093 KB  
Review
Artificial Intelligence and 3D Reconstruction in Complex Hepato-Pancreato-Biliary (HPB) Surgery: A Comprehensive Review of the Literature
by Andreas Panagakis, Ioannis Katsaros, Maria Sotiropoulou, Adam Mylonakis, Markos Despotidis, Aristeidis Sourgiadakis, Panagiotis Sakarellos, Stylianos Kapiris, Chrysovalantis Vergadis, Dimitrios Schizas, Evangelos Felekouras and Michail Vailas
J. Pers. Med. 2025, 15(12), 610; https://doi.org/10.3390/jpm15120610 - 8 Dec 2025
Viewed by 564
Abstract
Background: The management of complex hepato-pancreato-biliary (HPB) pathologies demands exceptional surgical precision. Traditional two-dimensional imaging has limitations in depicting intricate anatomical relationships, potentially complicating preoperative planning. This review explores the synergistic application of three-dimensional (3D) reconstruction and artificial intelligence (AI) to support surgical [...] Read more.
Background: The management of complex hepato-pancreato-biliary (HPB) pathologies demands exceptional surgical precision. Traditional two-dimensional imaging has limitations in depicting intricate anatomical relationships, potentially complicating preoperative planning. This review explores the synergistic application of three-dimensional (3D) reconstruction and artificial intelligence (AI) to support surgical decision-making in complex HPB cases. Methods: This narrative review synthesized the existing literature on the applications, benefits, limitations, and implementation challenges of 3D reconstruction and AI technologies in HPB surgery. Results: The literature suggests that 3D reconstruction provides patient-specific, interactive models that significantly improve surgeons’ understanding of tumor resectability and vascular anatomy, contributing to reduced operative time and blood loss. Building upon this, AI algorithms can automate image segmentation for 3D modeling, enhance diagnostic accuracy, and offer predictive analytics for postoperative complications, such as liver failure. By analyzing large datasets, AI can identify subtle risk factors to guide clinical decision-making. Conclusions: The convergence of 3D visualization and AI-driven analytics is contributing to an emerging paradigm shift in HPB surgery. This combination may foster a more personalized, precise, and data-informed surgical approach, particularly in anatomically complex or high-risk cases. However, current evidence is heterogeneous and largely observational, underscoring the need for prospective multicenter validation before routine implementation. Full article
Show Figures

Figure 1

31 pages, 1157 KB  
Systematic Review
Artificial Intelligence in Biomedicine: A Systematic Review from Nanomedicine to Neurology and Hepatology
by Diana-Maria Trasca, Pluta Ion Dorin, Sirbulet Carmen, Renata-Maria Varut, Cristina Elena Singer, Kristina Radivojevic and George Alin Stoica
Pharmaceutics 2025, 17(12), 1564; https://doi.org/10.3390/pharmaceutics17121564 - 4 Dec 2025
Cited by 1 | Viewed by 948
Abstract
Background/Objectives: This review evaluates the expanding contributions of artificial intelligence (AI) across biomedicine, focusing on cancer therapy and nanomedicine, cardiology and medical imaging, neurodegenerative disorders, and liver disease. Core AI concepts (machine learning, deep learning, artificial neural networks, model training/validation, and explainability) are [...] Read more.
Background/Objectives: This review evaluates the expanding contributions of artificial intelligence (AI) across biomedicine, focusing on cancer therapy and nanomedicine, cardiology and medical imaging, neurodegenerative disorders, and liver disease. Core AI concepts (machine learning, deep learning, artificial neural networks, model training/validation, and explainability) are introduced to frame application domains. Methods: A systematic search of major biomedical databases (2010–2025) identified English-language original studies on AI in these four areas; 203 articles meeting PRISMA 2020 criteria were included in a qualitative synthesis. Results: In oncology and nanomedicine, AI-driven methods expedite nanocarrier design, predict biodistribution and treatment response, and enable nanoparticle-enhanced monitoring. In cardiology, algorithms enhance ECG interpretation, coronary calcium scoring, automated image segmentation, and noninvasive FFR estimation. For neurological disease, multimodal AI models integrate imaging and biomarker data to improve early detection and patient stratification. In hepatology, AI supports digital histopathology, augments intraoperative robotics, and refines transplant wait-list prioritization. Common obstacles are highlighted, including data heterogeneity, lack of standardized acquisition protocols, model transparency, and the scarcity of prospective multicenter validation. Conclusions: AI is emerging as a practical enabler across these biomedical fields, but its safe and equitable use requires harmonized data, rigorous multicentre validation, and more transparent models to ensure clinical benefit while minimizing bias. Full article
(This article belongs to the Special Issue Advancements in AI and Pharmacokinetics)
Show Figures

Graphical abstract

22 pages, 974 KB  
Review
MASLD: Lipotoxicity and Imaging Parallels from Liver Steatosis to Kidney Injury
by Sarmis Marian Săndulescu, Denisa Ștefania Ghiga, Diana Rodica Tudorașcu, Daniela Larisa Săndulescu, Adrian Mită, Marinela Cristiana Urhuț and Citto-Iulian Taisescu
Life 2025, 15(12), 1805; https://doi.org/10.3390/life15121805 - 25 Nov 2025
Viewed by 942
Abstract
Metabolic dysfunction-associated steatotic liver disease (MASLD) is recognized as a systemic condition that is associated with an increased prevalence of chronic kidney disease (CKD), independent of classical risk factors. This review explores MASLD and metabolic kidney dysfunction, emphasizing lipotoxicity, emerging biomarkers, and liver–kidney [...] Read more.
Metabolic dysfunction-associated steatotic liver disease (MASLD) is recognized as a systemic condition that is associated with an increased prevalence of chronic kidney disease (CKD), independent of classical risk factors. This review explores MASLD and metabolic kidney dysfunction, emphasizing lipotoxicity, emerging biomarkers, and liver–kidney fat imaging techniques. Renal fat is discussed as an ectopic lipid depot that may contribute to kidney vulnerability in the same cardiometabolic milieu as MASLD. In this context, lipotoxicity, a phenomenon intensively studied in MASLD, can affect multiple nephron segments, promoting fibrosis and, ultimately, CKD. Hepatokines may support the concept of a liver–kidney metabolic axis, but human data remain limited. Tubular biomarkers show promise for detecting early renal injury, but lack validation in large populations. Hepatic steatosis is quantified through multiple validated imaging techniques such as ultrasound, elastography, and magnetic resonance imaging (MRI). In contrast, renal fat imaging studies are limited and heterogeneous, and still lack standardization. In MASLD, an integrated hepatorenal assessment is warranted to capture the full burden of the disease. Full article
Show Figures

Figure 1

30 pages, 3840 KB  
Article
A ResNet-50–UNet Hybrid with Whale Optimization Algorithm for Accurate Liver Tumor Segmentation
by Proloy Kumar Mondol, Md Ariful Islam Mozumder, Hee Cheol Kim, Mohammad Hassan Ali Al-Onaizan, Dina S. M. Hassan, Mahmood Al-Bahri and Mohammed Saleh Ali Muthanna
Diagnostics 2025, 15(23), 2975; https://doi.org/10.3390/diagnostics15232975 - 24 Nov 2025
Cited by 1 | Viewed by 895
Abstract
Objective: Segmentation of liver and liver tumors from 3D medical images is a challenging and computationally expensive task. Organs that are in close proximity may have similar shape, texture, and intensity, which makes it difficult for accurate segmentation. Accurate segmentation of liver tumors [...] Read more.
Objective: Segmentation of liver and liver tumors from 3D medical images is a challenging and computationally expensive task. Organs that are in close proximity may have similar shape, texture, and intensity, which makes it difficult for accurate segmentation. Accurate segmentation of liver tumors is important for diagnosis and treatment planning of liver cancer. Methods: A hybrid model with a U-Net based structure and the Whale Optimization Algorithm (WOA) was proposed. WOA was used to optimize the hyperparameters of the conventional LiTS-Res-UNet to obtain the best segmentation performance of the deep learning model. Results: The LiTS-Res-Unet + WOA hybrid model achieved a performance of 99.54% for accuracy, with a Dice coefficient of 92.38% and a Jaccard index of 86.73% on the benchmark dataset, outperforming state-of-the-art methods. Conclusions: The WOA-based adaptive search space was able to obtain an optimal set of hyperparameters for deep learning model convergence while increasing the accuracy of the model in the proposed hybrid model. The robust performance and clinical applicability of the model in liver tumor segmentation were demonstrated. Full article
Show Figures

Figure 1

15 pages, 1558 KB  
Article
Quantitative CT Perfusion and Radiomics Reveal Complementary Markers of Treatment Response in HCC Patients Undergoing TACE
by Nicolas Fezoulidis, Jakob Slavicek, Julian-Niklas Nonninger, Klaus Hergan and Shahin Zandieh
Diagnostics 2025, 15(23), 2952; https://doi.org/10.3390/diagnostics15232952 - 21 Nov 2025
Viewed by 592
Abstract
Background: Hepatocellular carcinoma (HCC), the most prevalent primary malignancy of the liver, is commonly treated with transarterial chemoembolization (TACE), a locoregional therapy that combines targeted intra-arterial chemotherapy with selective embolization to induce tumor ischemia and necrosis. However, current methods for monitoring the [...] Read more.
Background: Hepatocellular carcinoma (HCC), the most prevalent primary malignancy of the liver, is commonly treated with transarterial chemoembolization (TACE), a locoregional therapy that combines targeted intra-arterial chemotherapy with selective embolization to induce tumor ischemia and necrosis. However, current methods for monitoring the treatment response—such as the RECIST and mRECIST—often fail to detect early or subtle biological changes, such as tumor necrosis or microstructural remodeling, and therefore may underestimate the therapeutic effects, especially in cases with minimal or delayed tumor shrinkage. Thus, there is a critical need for quantitative imaging strategies that can improve early response assessment and guide more personalized treatment decision-making. The goal of this study was to assess the changes in computed tomography (CT) perfusion parameters and radiomic features in HCC before and after TACE and to evaluate the associations of these parameters/features with the tumor burden. Methods: In this retrospective, single-center study, 32 patients with histologically confirmed HCC underwent CT perfusion and radiomic analysis prior to and following TACE. Multiple quantitative perfusion parameters (arterial flow, perfusion flow, perfusion index) and radiomic features were extracted. Statistical comparisons were performed using the Wilcoxon signed-rank test and Spearman’s correlation. Radiomic feature extraction was performed in strict adherence to the Image Biomarker Standardization Initiative (IBSI) guidelines. Preprocessing steps included voxel resampling (1 × 1 × 1 mm), z-score normalization, and fixed bin-width discretization (bin width = 25). All tumor ROIs were manually segmented in consensus by two experienced radiologists to minimize inter-observer variability. Results: Arterial flow significantly decreased from a median of 56.5 to 47.7 mL/100 mL/min after TACE (p = 0.009), while nonsignificant increases in the perfusion flow (from 101.3 to 107.8 mL/100 mL/min, p = 0.44) and decreases in the perfusion index (from 38.6% to 35.7%, p = 0.25) were also observed. Perfusion flow was strongly and positively correlated with tumor size (ρ = 0.94, p < 0.001). Five radiomic texture feature values—especially those of ShortRunHighGrayLevelEmphasis (Δ = +2.11, p = 0.0001) and LargeAreaHighGrayLevelEmphasis (Δ = +75,706, p = 0.0006)—changed significantly after treatment. These radiomic feature value changes were more pronounced in tumors ≥50 mm in diameter. In addition, we performed a receiver operating characteristic (ROC) analysis of the two most discriminative radiomic features (SRHGLE and LAHGLE). We further developed a multivariable logistic regression model that achieved an AUC of 0.87, supporting the potential of these features as predictive biomarkers. Conclusions: CT perfusion and radiomics offer complementary insights into the treatment response of patients with HCC. While perfusion parameters reflect macroscopic vascular changes and are correlated with tumor burden, radiomic features can indicate microstructural changes after TACE. This combined imaging approach may improve early therapeutic assessment and support precision oncology strategies. Full article
(This article belongs to the Section Medical Imaging and Theranostics)
Show Figures

Graphical abstract

30 pages, 3530 KB  
Article
Prompt-Driven Multimodal Segmentation with Dynamic Fusion for Adaptive and Robust Medical Imaging with Applications to Cancer Diagnosis
by Shatha Abed Alsaedi, Hossam Magdy Balaha, Mohamed Farsi, Majed Alwateer, Moustafa M. Aboelnaga, Mohamed Shehata, Mahmoud Badawy and Mostafa A. Elhosseini
Cancers 2025, 17(22), 3691; https://doi.org/10.3390/cancers17223691 - 18 Nov 2025
Viewed by 1164
Abstract
Background/Objectives: Medical image segmentation is a crucial task for diagnosis, treatment planning, and monitoring of cancer; however, it remains one of the toughest nuts to crack for Artificial Intelligence (AI)-based clinical applications. Deep-learning models have shown near-perfect results for narrow tasks such as [...] Read more.
Background/Objectives: Medical image segmentation is a crucial task for diagnosis, treatment planning, and monitoring of cancer; however, it remains one of the toughest nuts to crack for Artificial Intelligence (AI)-based clinical applications. Deep-learning models have shown near-perfect results for narrow tasks such as single-organ Computed Tomography (CT) segmentation. Still, they fail to deliver under practicality, in which cross-modality robustness and multi-organ delineation are essential (e.g., liver Dice dropping to 0.88 ± 0.15 in combined CT-MR scenarios). That fragility exposes two structural gaps: (i) rigid task-specific architectures, which are not flexible enough to adapt to various clinical instructions, and (ii) the assumption that a universal loss function is best in all cancer imaging applications. Methods: A novel multimodal segmentation framework is proposed that combines natural language prompts and high-fidelity imaging features through Feature-wise Linear Modulation (FiLM) and Conditional Batch Normalization, enabling a single model to adapt dynamically across modalities, organs, and pathologies. Unlike preceding systems, the proposed approach is prompt-driven, context-aware, and end-to-end trainable to ensure alignment between computational adaptability and clinical decision-making. Results: Extensive evaluation on the Brain Tumor Dataset (cancer-relevant neuroimaging) and the CHAOS multi-organ challenge demonstrates two key insights: (1) while Dice loss remains optimal for single-organ tasks, (2) Jaccard (IoU) loss outperforms when multi-organ, cross-modality divides cancer segmentation boundaries. Empirical evidence has thus been offered that optimality of a loss function is task- and context-dependent and not universal. Conclusions: The design framework’s principles directly address what is documented in workflow requirements and display capabilities that may connect algorithmic innovation with clinical utility once validated through prospective clinical trials. Full article
Show Figures

Figure 1

20 pages, 3627 KB  
Article
Delta-Radiomics Biomarker in Colorectal Cancer Liver Metastases Treated with Cetuximab Plus Avelumab (CAVE Trial)
by Valerio Nardone, Vittorio Patanè, Luca Marinelli, Luca D’Ambrosio, Sara Del Tufo, Marco De Chiara, Maria Chiara Brunese, Dino Rubini, Roberta Grassi, Anna Russo, Maria Paola Belfiore, Fortunato Ciardiello, Salvatore Cappabianca, Erika Martinelli and Alfonso Reginelli
Diagnostics 2025, 15(22), 2914; https://doi.org/10.3390/diagnostics15222914 - 18 Nov 2025
Cited by 1 | Viewed by 769
Abstract
Background: Radiomics enables the extraction of quantitative imaging biomarkers that can non-invasively capture tumor biology and treatment response. Delta-radiomics, by assessing temporal changes in radiomic features, may improve reproducibility and reveal early therapy-induced alterations. This study investigated whether delta-texture features from contrast-enhanced [...] Read more.
Background: Radiomics enables the extraction of quantitative imaging biomarkers that can non-invasively capture tumor biology and treatment response. Delta-radiomics, by assessing temporal changes in radiomic features, may improve reproducibility and reveal early therapy-induced alterations. This study investigated whether delta-texture features from contrast-enhanced CT could predict progression-free survival (PFS) and overall survival (OS) in patients with metastatic colorectal cancer (mCRC) liver metastases treated with cetuximab rechallenge plus avelumab within the CAVE trial. Methods: This retrospective substudy included 42 patients enrolled in the multicenter CAVE phase II trial with evaluable liver metastases on baseline and first restaging CT. Liver lesions were manually segmented by two readers, and radiomic features were extracted according to IBSI guidelines. Delta-values were calculated as relative changes between baseline and post-treatment scans. Reproducibility (ICC > 0.70), univariate and multivariable analyses, ROC/AUC, bootstrap resampling, cross-validation, and decision curve analysis were performed to evaluate predictive performance and clinical utility. Results: Among reproducible features, delta-GLCM Homogeneity emerged as the most robust predictor. A decrease in homogeneity independently correlated with longer PFS (HR = 0.32, p = 0.003) and OS (HR = 0.41, p = 0.021). The combined clinical–radiomic model achieved good discrimination (AUC 0.94 training, 0.74 validation) and stable performance on internal validation (bootstrap C-index 0.77). Decision curve analysis indicated greater net clinical benefit compared with clinical variables alone. Conclusions: This exploratory study provides preliminary evidence that delta-GLCM Homogeneity may serve as a reproducible imaging biomarker of response and survival in mCRC patients receiving cetuximab plus avelumab rechallenge. If validated in larger, independent cohorts, delta-radiomics could enable early identification of non-responders and support personalized treatment adaptation in immuno-targeted therapy. Given the small sample size, the potential for overfitting should be considered. Future work should prioritize prospective multicenter validation with a pre-registered, locked model and explore multimodal integration (radiogenomics, circulating biomarkers, and AI-driven fusion of imaging with clinical/omic data) to strengthen translational impact. Beyond imaging advances, these findings align with broader trends in personalized oncology, including response-adaptive strategies, multimodal biomarker integration, and AI-enabled decision support. Full article
(This article belongs to the Special Issue Diagnostic Imaging in Gastrointestinal and Liver Diseases)
Show Figures

Figure 1

17 pages, 12253 KB  
Article
Optimal Segment Selection on Gadoxetic Acid-Enhanced MRI to Improve Diagnostic Accuracy in the Histological Grading of Liver Inflammation and Fibrosis in Patients with Chronic Hepatitis B
by Korcan Aysun Gonen, Mehmet Fatih Inecikli, Rafet Mete and Meltem Oznur
J. Clin. Med. 2025, 14(22), 8025; https://doi.org/10.3390/jcm14228025 - 12 Nov 2025
Viewed by 543
Abstract
Background/Objectives: To investigate the role of hepatobiliary phase (HBP) signal intensity (SI) on Gadoxetic acid (GA)-enhanced liver magnetic resonance imaging (MRI) in improving the diagnostic accuracy of the histological grade of fibrosis in patients with chronic hepatitis B (CHB). Methods: This retrospective study [...] Read more.
Background/Objectives: To investigate the role of hepatobiliary phase (HBP) signal intensity (SI) on Gadoxetic acid (GA)-enhanced liver magnetic resonance imaging (MRI) in improving the diagnostic accuracy of the histological grade of fibrosis in patients with chronic hepatitis B (CHB). Methods: This retrospective study enrolled patients with CHB who underwent biopsies from the highest and lowest intensity areas identified on HBP images obtained from GA-enhanced MRI. The patients were divided into two groups based on segmental SIs: Group 1 (maximum SI) and Group 2 (minimum SI). An ultrasound-guided tru-cut biopsy was performed in these two segments. Forty patients undergoing histopathological examination were included in the study. Group comparisons were examined using Chi-square and independent-sample t-tests, and receiver operating characteristic curve analysis (ROC) was performed to determine the cutoff values of the SI for modified histologic activity index (mHAI) and fibrosis grading. Results: There were no histopathological differences between the groups (p > 0.05), but significant inflammation and fibrosis were observed in hepatic segments with an SI value of <617 (p < 0.001). The ROC results showed that the predictive cutoff value of SI for mHAI and fibrosis grading were 606 (AUC: 0.83, 95% CI 0.737–0.921, p < 0.001) and 599 (AUC: 0.85, 95% CI 0.766–0.935, p < 0.001), respectively. Conclusions: In patients with CHB, performing a biopsy from the liver segment with the lowest SI on GA-enhanced MRI increases the diagnostic accuracy for assessing the histological severity of hepatic inflammation and fibrosis. Full article
(This article belongs to the Section Nuclear Medicine & Radiology)
Show Figures

Figure 1

15 pages, 10213 KB  
Review
Synchronous Ileal Metastasis from Pancreatic Ductal Adenocarcinoma: Case Report and Narrative Review with Practical Diagnostic and Management Points
by Tiberiu Stefăniță Țenea Cojan, Valeriu Șurlin, Stelian-Stefaniță Mogoantă, Nicolae-Dragoș Mărgăritescu, Daniel-Cosmin Caragea, Ioana-Alexia Țenea Cojan, Valentina Căluianu, Marius Cristian Marinaș, Gabriel Florin Răzvan Mogoș, Liviu Vasile and Laurențiu Augustus Barbu
Life 2025, 15(11), 1684; https://doi.org/10.3390/life15111684 - 29 Oct 2025
Cited by 2 | Viewed by 798
Abstract
Background: Pancreatic ductal adenocarcinoma (PDAC) is an aggressive malignancy with poor prognosis, most frequently metastasizing to the liver, peritoneum, and lungs. Intestinal metastases are exceptionally rare and easily misinterpreted as primary small-bowel tumors, typically presenting with acute complications such as obstruction, perforation, [...] Read more.
Background: Pancreatic ductal adenocarcinoma (PDAC) is an aggressive malignancy with poor prognosis, most frequently metastasizing to the liver, peritoneum, and lungs. Intestinal metastases are exceptionally rare and easily misinterpreted as primary small-bowel tumors, typically presenting with acute complications such as obstruction, perforation, or bleeding. Methods: We combined a detailed case description with a narrative literature review. PubMed/MEDLINE and Embase (2000–2025) were searched for case reports and case series describing intestinal metastases from PDAC with histopathological and immunohistochemical confirmation. Case presentation: We report a female patient presenting with acute intestinal obstruction caused by a synchronous ileal metastasis from PDAC. Imaging revealed an ileal stenosing lesion and a pancreatic body mass. An exploratory laparotomy identified a 3 cm transmural ileal tumor with additional serosal nodules. Histopathology confirmed a moderately differentiated adenocarcinoma. Immunohistochemistry supported pancreatic origin (CK7+, CA19-9+, faint CDX2), with mutant-type p53 positivity, ultra-low HER2/Neu expression, and a Ki-67 index of ~50%. The patient underwent segmental enterectomy with terminal ileostomy, followed by systemic therapy. Conclusions: This represents an exceptional and rare clinical finding rather than a presentation from which broad conclusions can be drawn. Histopathological and immunohistochemical analysis supported pancreatic origin and helped avoid misclassification as a primary intestinal neoplasm. It underscores the importance of careful clinicopathological correlation and multidisciplinary evaluation in atypical metastatic scenarios, while illustrating how surgery can provide symptom control and enable systemic therapy. Given its rarity, these observations should be interpreted with caution and regarded as descriptive rather than generalizable. Full article
Show Figures

Figure 1

Back to TopTop