Sign in to use this feature.

Years

Between: -

Subjects

remove_circle_outline
remove_circle_outline
remove_circle_outline
remove_circle_outline
remove_circle_outline
remove_circle_outline
remove_circle_outline
remove_circle_outline
remove_circle_outline

Journals

remove_circle_outline
remove_circle_outline
remove_circle_outline
remove_circle_outline
remove_circle_outline
remove_circle_outline
remove_circle_outline
remove_circle_outline
remove_circle_outline
remove_circle_outline
remove_circle_outline
remove_circle_outline
remove_circle_outline
remove_circle_outline
remove_circle_outline
remove_circle_outline
remove_circle_outline
remove_circle_outline
remove_circle_outline
remove_circle_outline
remove_circle_outline

Article Types

Countries / Regions

remove_circle_outline
remove_circle_outline
remove_circle_outline
remove_circle_outline
remove_circle_outline
remove_circle_outline

Search Results (1,292)

Search Parameters:
Keywords = late complication

Order results
Result details
Results per page
Select all
Export citation of selected articles as:
15 pages, 1337 KB  
Article
Pre-Pectoral Polyurethane Implant Reconstruction Following Batwing Skin-Reducing Mastectomy: A Single-Center Study
by Alessandra Veronesi, Edoardo Caimi, Gianmaria Ceglia, Federico Giovagnoli, Lavinia Galliera, Nicoletta Denami, Roberta Comunian, Mattia Federico Cavallero, Simone Furlan, Riccardo Di Giuli, Flavio Bucci, Francesco Klinger, Stefano Vaccari and Valeriano Vinci
J. Clin. Med. 2026, 15(8), 3110; https://doi.org/10.3390/jcm15083110 - 19 Apr 2026
Viewed by 109
Abstract
Background: Pre-pectoral direct-to-implant breast reconstruction is increasingly adopted after mastectomy because it avoids pectoralis major dissection, reduces postoperative pain, and eliminates animation deformity. However, reconstruction in patients with large or markedly ptotic breasts remains challenging because of skin envelope management, nipple–areola complex [...] Read more.
Background: Pre-pectoral direct-to-implant breast reconstruction is increasingly adopted after mastectomy because it avoids pectoralis major dissection, reduces postoperative pain, and eliminates animation deformity. However, reconstruction in patients with large or markedly ptotic breasts remains challenging because of skin envelope management, nipple–areola complex (NAC) viability, and implant stability. This study evaluated batwing skin-reducing mastectomy with immediate pre-pectoral polyurethane-coated implant reconstruction. Methods: We conducted a retrospective single-center study of consecutive patients who underwent batwing skin-reducing mastectomy with immediate pre-pectoral polyurethane-coated implant reconstruction between November 2022 and January 2025. Demographic, oncologic, operative, postoperative, and BREAST-Q data were collected. Primary outcomes included complications, oncologic events, and 12-month patient-reported outcomes. Results: Thirteen patients underwent reconstruction, accounting for 18 breasts, with a mean follow-up of 12.85 months. Mean age was 54.5 ± 9.7 years, mean body mass index was 27.0 ± 3.4 kg/m2, and mean Regnault ptosis grade was 3.46 ± 0.52. No seromas or oncologic recurrences were observed. One hematoma and one late infection requiring implant removal occurred. Superficial NAC/central flap epidermolysis developed in four patients and resolved conservatively; no full-thickness NAC necrosis occurred. BREAST-Q scores improved significantly in all domains at 12 months, including satisfaction with breasts, psychosocial well-being, physical well-being, and sexual well-being (all p < 0.05). Conclusions: Batwing skin-reducing mastectomy with immediate pre-pectoral polyurethane implant reconstruction appears safe and reproducible in selected patients with advanced ptosis, with acceptable complication rates and significant improvement in patient-reported outcomes. Full article
Show Figures

Figure 1

15 pages, 2123 KB  
Systematic Review
Outcomes of Total Hip Arthroplasty After Childhood Septic Hip Arthritis: A Systematic Review and Meta-Analysis of Infection Risk and Surgical Complications
by Martina Ilardo, Marco Sapienza, Claudia de Cristo, Maria Agata Musumeci, Paola Torrisi, Noemi Di Paola, Alessia Caldaci, Andrea Vescio, Federico Canavese, Vito Pavone and Gianluca Testa
Children 2026, 13(4), 564; https://doi.org/10.3390/children13040564 - 18 Apr 2026
Viewed by 143
Abstract
Background: Total hip arthroplasty (THA) for the late sequelae of childhood septic hip arthritis is technically demanding, and infection-related risk remains incompletely defined. This systematic review and meta-analysis address the research question: “In adults undergoing THA after childhood septic arthritis of the [...] Read more.
Background: Total hip arthroplasty (THA) for the late sequelae of childhood septic hip arthritis is technically demanding, and infection-related risk remains incompletely defined. This systematic review and meta-analysis address the research question: “In adults undergoing THA after childhood septic arthritis of the hip, what is the incidence of post-THA infection, revision, and mechanical/neurologic complications?” We systematically reviewed and meta-analyzed outcomes after THA in patients with septic hip arthritis diagnosed at ≤18 years. Methods: PubMed, Web of Science, Scopus, and the Cochrane Library were searched from inception to 31 December 2025 (PRISMA). Eligible studies reported THA outcomes after childhood septic arthritis and met a Methodological Index for Non-Randomized Studies (MINORS) threshold (≥9). A random-effects meta-analysis of events per hip was performed. Results: Nine studies were included; eight contributed to the quantitative synthesis (343 hips). The pooled incidence of any post-THA infection was 1.55% (95% CI 0.38–3.48; I2 = 23.8%; 5/343); when microbiology was available, no relapse due to the index organism was reported and events were classified as new infections. The pooled incidence of revision for any cause was 4.99% (95% CI 2.27–8.70; I2 = 43.4%; 15/334). Non-infectious complications were clinically relevant, including intraoperative fracture (6.95%) and nerve palsy (4.84%). Evidence was limited by retrospective designs and heterogeneous reporting. Conclusions: THA after childhood septic hip arthritis demonstrates a low risk of postoperative infection, with relapse of the original pathogen appearing rare in carefully selected quiescent cases, but a clinically meaningful burden of mechanical and neurologic complications. These findings underscore the importance of careful preoperative assessment, meticulous surgical technique, and highlight the limitations of the current evidence. The protocol was registered in PROSPERO (ID: CRD420261298181). No external funding was received. Full article
(This article belongs to the Section Pediatric Orthopedics & Sports Medicine)
Show Figures

Figure 1

12 pages, 4465 KB  
Case Report
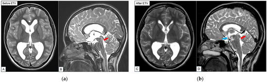
Hyponatremia Following Endoscopic Third Ventriculostomy in an Adolescent with an Aqueductal Web: A Case Report
by Tingting Feng, Lee Ping Ng, Wan Tew Seow and Sharon Y. Y. Low
Reports 2026, 9(2), 122; https://doi.org/10.3390/reports9020122 - 17 Apr 2026
Viewed by 175
Abstract
Background and Clinical Significance: Endoscopic third ventriculostomy (ETV) is a well-established cerebrospinal fluid (CSF) diversion technique for treating obstructive hydrocephalus. Here, the complication of post-ETV hyponatremia is rare. Separately, aqueductal web as a cause of obstructive hydrocephalus is also an uncommon occurrence. We [...] Read more.
Background and Clinical Significance: Endoscopic third ventriculostomy (ETV) is a well-established cerebrospinal fluid (CSF) diversion technique for treating obstructive hydrocephalus. Here, the complication of post-ETV hyponatremia is rare. Separately, aqueductal web as a cause of obstructive hydrocephalus is also an uncommon occurrence. We present an unusual case of an adolescent who presented with late symptoms of obstructive hydrocephalus secondary to an aqueductal web and developed a delayed onset of post-operative hyponatremia after a successful ETV procedure. Pertinent aspects of the case are discussed in corroboration with the recent literature. Case Presentation: A previously well 14 year old presented with symptoms of raised intracranial pressure. Neuroimaging demonstrated progressively enlarging ventricles associated with an aqueductal web. She underwent an uneventful ETV and was discharged home. However, she was readmitted for symptomatic hyponatremia that was investigated and most likely attributed to Syndrome of Inappropriate Antidiuretic Hormone Secretion (SIADH). She was managed with fluid restriction with good clinical improvement. Conclusions: We herein report a case of delayed onset of obstructive hydrocephalus secondary to an aqueductal web, treatment challenges faced and the patient’s unexpected occurrence of hyponatremia after a technically successful ETV. This emphasizes that clinicians need to be mindful of this potential post-operative complication and the ability to discern subtle symptoms in a patient whose clinical signs may not be straightforward. Full article
Show Figures

Figure 1

15 pages, 4764 KB  
Article
Clinical Feasibility and Skeletal Effects of Digitally Guided Supragingival Miniplates for Herbst Therapy in Late Adolescents: A Pilot Study
by Ignasi Arcos, Andre Walter, Théophile Marc, Luis Carlos Ojeda and Andreu Puigdollers
J. Clin. Med. 2026, 15(8), 3059; https://doi.org/10.3390/jcm15083059 - 16 Apr 2026
Viewed by 182
Abstract
Background: Conventional Herbst appliances are effective for the correction of skeletal Class II malocclusion, but they are frequently associated with dentoalveolar side effects, particularly lower incisor proclination. Skeletal anchorage systems may improve orthopedic outcomes; however, submucosal miniplates require invasive surgical procedures that [...] Read more.
Background: Conventional Herbst appliances are effective for the correction of skeletal Class II malocclusion, but they are frequently associated with dentoalveolar side effects, particularly lower incisor proclination. Skeletal anchorage systems may improve orthopedic outcomes; however, submucosal miniplates require invasive surgical procedures that may reduce patient acceptance. This pilot clinical study evaluated the feasibility, safety, and skeletal effects of a minimally invasive digitally guided protocol using supragingival miniplates for bone-supported Herbst therapy in late adolescents. Methods: Eleven late-adolescent patients (14–17 years; cervical vertebral maturation stages CS4–CS5) with skeletal Class II malocclusion due to mandibular retrusion were prospectively treated using a bone-supported Herbst appliance anchored to digitally planned supragingival stainless-steel miniplates fixed with bicortical miniscrews. Miniscrew placement was planned by merging CBCT and intraoral scan data and performed using 3D-printed surgical guides. Cephalometric variables, including SNA, SNB, Wits appraisal, mandibular plane angle, and incisor inclinations, were assessed before treatment and after a 10-month Herbst phase. Mandibular advancement was additionally explored using a complementary linear measurement (SeMndb-line). Results: All patients completed treatment without anchorage loss, appliance failure, or surgical complications. Significant skeletal improvements were observed, including an increase in SNB (+3.36°, p < 0.001) and a reduction in Wits appraisal (−2.65 mm, p < 0.001). The SeMndb-line increased by +3.49 mm (p < 0.001), supporting effective mandibular advancement. Lower incisor inclination remained stable (Δ = −0.18°, p = 0.909), indicating effective dentoalveolar control. No clinically relevant changes in vertical skeletal pattern were observed. Conclusions: Digitally guided supragingival miniplates for bone-supported Herbst therapy appear to be a feasible and minimally invasive approach for the treatment of skeletal Class II malocclusion in late adolescents. This protocol achieved clinically meaningful mandibular advancement while minimizing dentoalveolar side effects. Given the pilot design, small sample size, and lack of a control group, further controlled studies with larger samples and long-term follow-up are required. Full article
(This article belongs to the Special Issue Orthodontics: State of the Art and Prospects)
Show Figures

Figure 1

10 pages, 613 KB  
Article
Prevalence of Glucose-6-Phosphate Dehydrogenase (G6PD) Deficiency and Risk of Hyperbilirubinemia Among Newborns: A Tertiary Center Experience from Western Saudi Arabia
by Rogaya AlShugair, Mansour Al-Qurashi, Ahmad Mustafa, Mohammad Y. Alhindi, Abrar Ahmed, Hend AlNajjar, Mona AlDabbagh, Ashraf Sahafi, Hashim Almarzouki, Nabila A. AlRashdi, Eman A. AlThobaiti and Syed Sameer Aga
Pediatr. Rep. 2026, 18(2), 59; https://doi.org/10.3390/pediatric18020059 - 15 Apr 2026
Viewed by 166
Abstract
Background: Glucose-6-phosphate dehydrogenase (G6PD) deficiency is among the most common inherited enzymatic disorders worldwide and is an important risk factor for neonatal hyperbilirubinemia. Regional data from Western Saudi Arabia based on universal newborn screening remain limited. Objectives: To determine the prevalence of G6PD [...] Read more.
Background: Glucose-6-phosphate dehydrogenase (G6PD) deficiency is among the most common inherited enzymatic disorders worldwide and is an important risk factor for neonatal hyperbilirubinemia. Regional data from Western Saudi Arabia based on universal newborn screening remain limited. Objectives: To determine the prevalence of G6PD deficiency among newborns delivered at a tertiary center in Jeddah, Saudi Arabia, and to evaluate its association with clinically relevant outcomes, including early-onset jaundice (<24 h), need for phototherapy, admission for hyperbilirubinemia management, and readmission after discharge. Methods: We conducted a retrospective cohort study at King Abdulaziz Medical City, Western Region, Jeddah, Saudi Arabia, between January 2020 and May 2025. Cord blood samples from live-born infants were screened using a qualitative fluorescent spot test. Demographic variables (sex, gestational age, birth weight) and jaundice-related outcomes were extracted from the electronic medical record. Categorical variables were compared using chi-square testing, with p < 0.05 considered statistically significant. Results: Among 14,964 screened newborns, 489 were identified as G6PD deficient, yielding a prevalence of 3.3%. Prevalence was higher in males than in females (5.6% vs. 0.9%). Among the G6PD-deficient infants, early-onset jaundice occurred in 17.2%, phototherapy was required in 36.0%, and 16.5% were admitted for hyperbilirubinemia management. Readmission for worsening jaundice requiring phototherapy occurred in 11.0%, and no exchange transfusions were required. Compared with term infants, late preterm infants had higher rates of early-onset jaundice (11/49, 22.4% vs. 73/440, 16.6%) and phototherapy use (22/49, 45.0% vs. 154/440, 35.0%) (p < 0.01). Conclusions: G6PD deficiency was identified in a substantial proportion of newborns in this large screened cohort and was associated with clinically significant jaundice-related outcomes, particularly among late preterm infants. These findings underscore the importance of universal screening and structured postnatal follow-up to reduce the risk of severe hyperbilirubinemia and its complications. Early identification of G6PD-deficient infants should be accompanied by careful bilirubin monitoring, clear discharge planning, and timely post-discharge follow-up, especially for those born late preterm. Full article
15 pages, 1654 KB  
Article
Trabecular and Cortical Bone and Ossified Vessel Analysis in Rat Tibiae and Femora in a Polygenic Rat Model for Type 2 Diabetes Mellitus
by Jason McIntire, Hope Oyeyemi, Michelle L. Harrison, Suchit Chidurala, Richard K. McCuller, Milena Samora, Yu Huo, Ann-Katrin Grotle, Audrey J. Stone, Kimber L. Stanhope, Peter J. Havel and Rhonda D. Prisby
Diabetology 2026, 7(4), 79; https://doi.org/10.3390/diabetology7040079 - 14 Apr 2026
Viewed by 177
Abstract
Background: In type 2 diabetes mellitus (T2DM), bone and microvascular complications may be linked. Methods: The University of California Davis (UCD) polygenic T2DM and Sprague Dawley healthy control (CTL) rats (N = 48) were divided equally into diabetic and age-matched groups: (1) pre-diabetes, [...] Read more.
Background: In type 2 diabetes mellitus (T2DM), bone and microvascular complications may be linked. Methods: The University of California Davis (UCD) polygenic T2DM and Sprague Dawley healthy control (CTL) rats (N = 48) were divided equally into diabetic and age-matched groups: (1) pre-diabetes, (2) diabetes onset, (3) early-stage T2DM, and (4) late-stage T2DM. Body mass, HbA1c, fasted blood glucose and femoral and tibial lengths were measured. Bones were scanned (μCT; 15 µm) to assess trabecular microarchitecture and density and mid-shaft cortical thickness (Ct.Th, µm), density and porosity. Ossified vessel volume (OsVV, %) and thickness (OsV.Th, µm) were also analyzed. A GLM determined significance at p < 0.05. Body mass and HbA1c were higher (p < 0.05) in all T2DM groups and blood glucose became elevated (p < 0.05) in early-stage T2DM and late-stage T2DM. Results: Tibiae and femora were longer (p < 0.05) with diabetes. Tibial bone volume was lower (p < 0.05) in pre-diabetes (4 ± 1% vs. CTL, 9 ± 2%) and late-stage T2DM (5 ± 2% vs. CTL, 8 ± 2%), and femoral bone volume was lower (p < 0.05) in pre-diabetes (7 ± 1% vs. 12 ± 4%). Cortical density (tibia) was lower (p < 0.05) in pre-diabetes and early-stage T2DM. Trabecular density in the femur was lower (p < 0.05) in all T2DM groups and cortical density was reduced (p < 0.05) in pre-diabetes, diabetes onset, and late-stage T2DM. OsVV in both bones were lower (p < 0.05) during early-stage T2DM. Tibial OsV.Th was higher (p < 0.05) in pre-diabetes (69 ± 14 µm vs. CTL, 56 ± 13 µm) and late-stage T2DM (80 ± 10 µm vs. CTL, 59 ± 13 µm) and higher (p < 0.05) in the femur at diabetes onset (58 ± 14 µm vs. CTL, 40 ± 10 µm). Conclusions: Trabecular and cortical bone varied as diabetes progressed, and the thicker ossified vessels may represent microangiopathy. Full article
Show Figures

Figure 1

9 pages, 449 KB  
Case Report
Anaerobes in Late-Onset Prosthetic Joint Infection (PJI) and Colorectal Carcinoma
by Shi Ting Chiu, Mann Hong Tan, Seo Kiat Goh, Audrey Xinyun Han, Hee Nee Pang, Seng Jin Yeo, Sheng Xu and Eric Liu Xuan
J. Clin. Med. 2026, 15(8), 2870; https://doi.org/10.3390/jcm15082870 - 10 Apr 2026
Viewed by 244
Abstract
Background: Late-onset anaerobic prosthetic joint infection (PJI) is uncommon but may indicate underlying, previously asymptomatic colorectal malignancy. While the association between Streptococcus bovis group (SBG) bacteremia and colorectal cancer is well established, links between anaerobic PJIs and colorectal neoplasia are rarely reported. Anaerobic [...] Read more.
Background: Late-onset anaerobic prosthetic joint infection (PJI) is uncommon but may indicate underlying, previously asymptomatic colorectal malignancy. While the association between Streptococcus bovis group (SBG) bacteremia and colorectal cancer is well established, links between anaerobic PJIs and colorectal neoplasia are rarely reported. Anaerobic organisms originating from the gastrointestinal tract may translocate via the hematogenous route, and their presence in PJI should prompt clinicians to consider occult colorectal pathology. Methods: All periprosthetic arthroplasty infection cases between 2015 and 2025 were reviewed. Clinical records, diagnostic findings, microbiological data, and treatment outcomes were analyzed. Results: Three female patients (mean age 76.3 years) presented with late-onset PJI occurring at least five years after primary total knee arthroplasty. Causative organisms included Bacteroides fragilis, Morganella morganii, and Klebsiella pneumoniae. All patients underwent two single-stage revision surgeries and one debridement, antibiotics and implant retention (DAIR) procedure. Cross-sectional computed tomography imaging of the abdomen and pelvis (CT-AP) performed to evaluate hematogenous sources of infection consistently revealed previously undiagnosed colorectal malignancy. One patient had additional metastatic disease. Postoperative complications included one case of pulmonary embolism; no other major complications were observed. Conclusions: Anaerobic PJIs are rare, and their association with colorectal malignancy is not well established. These cases highlight the importance of evaluating potential gastrointestinal sources, including occult colorectal cancer, in patients presenting with late-onset anaerobic PJI. Full article
(This article belongs to the Section Orthopedics)
Show Figures

Figure 1

26 pages, 1016 KB  
Review
Burn Infections and Sepsis: Challenges and Future Prospects of Antibacterial Therapy
by Ghazaleh Dadashizadeh, Margarita Elloso and Marc G. Jeschke
Antibiotics 2026, 15(4), 383; https://doi.org/10.3390/antibiotics15040383 - 9 Apr 2026
Viewed by 772
Abstract
Infectious complications remain a principal determinant of late morbidity and mortality following major thermal injury, reflecting a convergence of barrier disruption, microbial adaptation, and host immune dysfunction. The post-burn environment creates a uniquely permissive niche for pathogen persistence, characterized by altered tissue perfusion, [...] Read more.
Infectious complications remain a principal determinant of late morbidity and mortality following major thermal injury, reflecting a convergence of barrier disruption, microbial adaptation, and host immune dysfunction. The post-burn environment creates a uniquely permissive niche for pathogen persistence, characterized by altered tissue perfusion, biofilm formation, and dynamic shifts in microbial ecology toward multidrug-resistant organisms. Concurrently, profound and evolving changes in host immunity and metabolism reshape both susceptibility to infection and response to therapy. This review integrates current evidence across pathophysiology, microbiology, diagnostics, and treatment, with a focus on challenges that limit effective infection control in burn patients. Particular attention is given to diagnostic uncertainty arising from overlap between sterile inflammation and true infection, the clinical implications of biofilm-associated tolerance, and the impact of burn-specific pharmacokinetic variability on antimicrobial efficacy. We further examine emerging diagnostic and therapeutic innovations, including host-response profiling, rapid molecular detection platforms, and next-generation anti-infective strategies targeting microbial virulence, biofilm structure, and host immune pathways. Despite substantial scientific advances, translation into clinical practice remains constrained by limited burn-specific trials, heterogeneous definitions, and systemic barriers to antimicrobial development. Collectively, these challenges underscore the need for integrated, precision-based approaches that combine early source control, individualized antimicrobial optimization, and advanced diagnostic frameworks. Future progress will depend on coordinated efforts to standardize definitions, generate high-quality multicenter data, and align innovation with clinical applicability across diverse healthcare settings. Full article
Show Figures

Figure 1

26 pages, 12108 KB  
Article
Mineralogy, Geochemistry, and Geochronology of Hydrothermal and Magmatic Apatites in the Xiangshan Ore Field, South China: Implications for U-Pb-Zn Polymetallic Mineralization
by Qingkun Yang, Yubin Liu, Fusheng Guo, Hao Jiang, Yongjie Yan and Yun Wang
Minerals 2026, 16(4), 389; https://doi.org/10.3390/min16040389 - 7 Apr 2026
Viewed by 418
Abstract
The timing of uranium mineralization in the Xiangshan ore field has long been controversial. Although various geochronometers have been applied by previous researchers, including pyrite Rb-Sr, mica Ar-Ar, and fluorite Sm-Nd, the results remain inconsistent and inconclusive. In recent years, the discovery of [...] Read more.
The timing of uranium mineralization in the Xiangshan ore field has long been controversial. Although various geochronometers have been applied by previous researchers, including pyrite Rb-Sr, mica Ar-Ar, and fluorite Sm-Nd, the results remain inconsistent and inconclusive. In recent years, the discovery of abundant Pb-Zn veins in the deeper parts of the Xiangshan ore field has further complicated the interpretation of its metallogenic history. In this study, abundant vein-type hydrothermal apatites closely associated with U-Pb-Zn polymetallic mineralization were identified in both uranium and Pb-Zn ore veins. Combined major-element Electron Probe Microprobe Analysis (EPMA), Laser Ablation-Inductively Coupled Plasma-Mass Spectrometry (LA-ICP-MS) U-Pb dating, and trace-element analysis were conducted on these apatite grains. The results suggest a mineralization age of 130.9 ± 1.1 Ma for the Shannan uranium deposit, which is consistent with the previously reported apatite U-Pb age of 131.3 ± 7.2 Ma from the Zoujiashan uranium deposit and coincides with the main pulse of volcanic-intrusive activity in the Xiangshan ore field (133–137 Ma). The deep Niutoushan Pb-Zn deposit suggests a younger mineralization age of 124.5 ± 1.3 Ma, which is consistent with a thermal event age of 125.6 Ma determined by zircon fission-track dating and the zircon LA-ICP-MS U-Pb age of late-stage granite porphyry (125.4 ± 1.0 Ma). These ages may constrain the timing of U-Pb-Zn polymetallic mineralization in the Xiangshan ore field. Both magmatic and hydrothermal apatites are classified as fluorapatite and exhibit similar chondrite-normalized rare earth element (REE) patterns. Compared with magmatic apatites, hydrothermal apatites are characterized by elevated Th, U, Ca, and Sr contents, depletion in light rare earth elements (LREEs), Mn, and Na, and distinctly lower Th/U ratios. On major-element variation diagrams, magmatic and hydrothermal apatites define coherent trends but display clear compositional differences related to their formation stages. Apatites from uranium ore veins show strongly negative Eu anomalies and weakly positive Ce anomalies, similar to magmatic apatites. In contrast, apatites from Pb-Zn ore veins display positive Eu anomalies and weakly negative Ce anomalies, with lower Mn and Ga contents and higher SO3 contents relative to both magmatic apatites and hydrothermal apatites from uranium ore veins. These features indicate that the ore-forming fluids during Pb-Zn mineralization were characterized by significantly higher oxygen fugacity than those during uranium mineralization and magmatism. Combined with published Sr isotopic data for the Xiangshan ore field, we propose that both uranium and Pb-Zn mineralization were genetically linked to the prolonged magmatic evolution of the deep volcanic-intrusive complex. The subsequent incursion of meteoric water modified the physicochemical conditions of the ore-forming system, particularly during the formation of the Pb-Zn mineralization. Full article
(This article belongs to the Special Issue Geochemical Exploration for Critical Mineral Resources, 2nd Edition)
Show Figures

Figure 1

17 pages, 3244 KB  
Systematic Review
Off-Clamp Versus On-Clamp Partial Nephrectomy: An Updated Systematic Review, Meta-Analysis and Meta-Regression
by Paweł Dębiński, Jakub Karwacki, Łukasz Nowak, Zuzanna Szczepaniak, Maria Jędryka, Karol Zagórski, Bartosz Małkiewicz and Tomasz Szydełko
J. Clin. Med. 2026, 15(7), 2792; https://doi.org/10.3390/jcm15072792 - 7 Apr 2026
Viewed by 337
Abstract
Objectives: The impact of renal ischemia during partial nephrectomy (PN) on postoperative renal function remains controversial. On-clamp PN provides improved surgical exposure and haemostasis but induces warm ischemia, which may impair renal function. Off-clamp PN avoids ischemia-related injury and may better preserve renal [...] Read more.
Objectives: The impact of renal ischemia during partial nephrectomy (PN) on postoperative renal function remains controversial. On-clamp PN provides improved surgical exposure and haemostasis but induces warm ischemia, which may impair renal function. Off-clamp PN avoids ischemia-related injury and may better preserve renal function, although concerns persist regarding blood loss and oncological safety. We systematically compared perioperative and functional outcomes, as well as surgical margin status between on-clamp and off-clamp PN. Methods: We performed a systematic search of PubMed, Embase, Cochrane, Web of Science, and Scopus to identify randomized controlled trials (RCTs) and observational studies comparing on-clamp versus off-clamp PN with no publication time limitations. Outcomes included estimated glomerular filtration rate (eGFR), percentage eGFR change, estimated blood loss (EBL), transfusion rates, positive surgical margins (PSMs), operative time, and complications. Results: Thirty-nine studies (four RCTs) including 10,154 patients were analysed. Off-clamp PN was associated with a smaller decline in eGFR (mean difference [MD] −4 mL/min/1.73 m2, 95% CI −5.7 to −2.8) and lower percentage eGFR loss (MD −1.7%, 95% CI −2.8 to −0.7). On-clamp PN was associated with lower EBL (MD −48 mL, 95% CI −72 to −25). Transfusion rates favored on-clamp PN but were not statistically significant (OR 0.7, 95% CI 0.5–1.0). On-clamp PN was associated with a higher risk of PSM (OR 1.3, 95% CI 1.0–1.7) and postoperative complications (OR 1.3, 95% CI 1.1–1.6). Between-study heterogeneity and predominance of observational data were key limitations. Conclusions: Off-clamp PN provides superior renal functional preservation and lower risks of PSMs and complications, at the cost of increased blood loss. These findings support individualized surgical decision-making based on patient and tumor characteristics. What does the study add?: This study provides an extensive and detailed comparison of off-clamp versus on-clamp partial nephrectomy, encompassing more than 10,000 patients from 39 studies. By integrating the available evidence up to late 2024, it delivers comprehensive estimates of the renal functional benefits associated with ischemia-free surgery. Our findings delineate the trade-offs between renal preservation, blood loss, and surgical margin status, thereby informing individualised decision-making in nephron-sparing surgery and refining current understanding of when ischemia avoidance is most clinically advantageous. Patient summary: Our study suggests that performing partial nephrectomy without temporarily clamping the kidney blood vessels may better preserve kidney function and reduce cancer-related surgical risks, but can lead to increased blood loss during surgery. These findings indicate that the choice of surgical technique should be individualised, taking into account tumour features and patient-specific factors. Full article
(This article belongs to the Section Nephrology & Urology)
Show Figures

Figure 1

10 pages, 229 KB  
Article
Standardized Beating-Heart Aortic Arch Reconstruction with Simultaneous Cerebral and Coronary Perfusion in Neonates and Infants: A Single-Center Cardiovascular Cohort Study
by Shiraslan Bakhshaliyev and Ergin Arslanoglu
J. Cardiovasc. Dev. Dis. 2026, 13(4), 161; https://doi.org/10.3390/jcdd13040161 - 7 Apr 2026
Viewed by 235
Abstract
Background: Neonatal and infant aortic arch reconstruction remains a high-risk cardiovascular procedure requiring effective cerebral and myocardial protection. Variability in perfusion strategies may influence early hemodynamic stability and postoperative recovery. This study aimed to evaluate the early and short-term cardiovascular outcomes of a [...] Read more.
Background: Neonatal and infant aortic arch reconstruction remains a high-risk cardiovascular procedure requiring effective cerebral and myocardial protection. Variability in perfusion strategies may influence early hemodynamic stability and postoperative recovery. This study aimed to evaluate the early and short-term cardiovascular outcomes of a standardized beating-heart aortic arch reconstruction strategy incorporating simultaneous antegrade selective cerebral and continuous coronary perfusion. Methods: In this retrospective single-center cohort study, 31 consecutive neonates and infants undergoing aortic arch reconstruction between November 2022 and December 2025 were analyzed. A standardized surgical protocol was applied, consisting of extensive ductal tissue resection, interdigitating posterior end-to-end anastomosis, anterior autologous pericardial patch augmentation, and moderate hypothermic antegrade selective cerebral perfusion combined with continuous coronary perfusion via innominate artery cannulation. Early postoperative outcomes and short-term echocardiographic follow-up results were assessed. Results: The cohort included 31 patients, 22.6% of whom had complex associated cardiac anomalies requiring concomitant procedures. Median cardiopulmonary bypass and aortic cross-clamp times were 119 and 64 min, respectively. There was no in-hospital mortality. Major complications were infrequent, and median intensive care unit stay was 5 days. During a median follow-up of 6.8 months, one patient (3.2%) developed recoarctation requiring reintervention. No late mortality was observed. Conclusions: A fully standardized beating-heart aortic arch reconstruction strategy incorporating simultaneous cerebral and coronary perfusion demonstrated favorable early cardiovascular and short-term outcomes, even in anatomically complex cases. Preservation of continuous coronary perfusion may be associated with improved myocardial stability and early postoperative recovery; however, these findings should be interpreted as observational and hypothesis-generating given the absence of a control group. Larger multicenter studies with longer follow-up are warranted to confirm these findings. Full article
(This article belongs to the Section Pediatric Cardiology and Congenital Heart Disease)
21 pages, 4578 KB  
Article
A Five-Year Single-Center Retrospective Study of Neoadjuvant Therapy Response and Survival in Romanian Women with Breast Cancer
by Adeline-Roxana Bucur, Alexandru Cristian Cindrea, Antonia Armega-Anghelescu, Alin Marian Vasile, Octavian Constantin Neagoe, Paul Szeica, Ovidiu Alexandru Mederle and Flavia Zara
Life 2026, 16(4), 613; https://doi.org/10.3390/life16040613 - 7 Apr 2026
Viewed by 412
Abstract
Background: Breast cancer remains a major public health problem, with increasing incidence and persistent survival disparities. In Romania, barriers to early diagnosis and access to multidisciplinary treatment may contribute to poorer outcomes. Methods: We conducted a retrospective single-center cohort study including [...] Read more.
Background: Breast cancer remains a major public health problem, with increasing incidence and persistent survival disparities. In Romania, barriers to early diagnosis and access to multidisciplinary treatment may contribute to poorer outcomes. Methods: We conducted a retrospective single-center cohort study including 118 women diagnosed with and/or treated for breast cancer in our institution between 1 January and 31 December 2020. Patients were followed for 5 years. The primary outcome was overall survival (OS). Clinicopathological characteristics, treatment exposure, pathological response after neoadjuvant therapy, and factors associated with OS were analyzed. Results: The median age at diagnosis was 62 years. Most tumors were located in the upper quadrants, and the most frequent subtype was hormone receptor-positive/HER2-negative breast carcinoma. During follow-up, 26.27% of patients died from disease progression or associated complications. Estimated OS was 88.7% at 1 year and 72.8% at 5 years. Older age at diagnosis and treatment exposure patterns, including the absence of neoadjuvant therapy, were associated with OS. Conclusions: In this single-center retrospective cohort, overall survival was associated with age at diagnosis, tumor characteristics, and treatment patterns. The high proportion of early deaths and the frequent absence of documented surgical treatment in patients who died suggest important challenges related to late presentation, continuity of care, and access to guideline-concordant multidisciplinary treatment in the Romanian setting. Full article
Show Figures

Figure 1

25 pages, 12193 KB  
Article
Influence of Trailing Suction Hopper Dredger Side-Casting Backfilling Parameters on Far-Field Plume Dispersion and Deposition of Sediments
by Hongwen Zheng, Diqing Rong, Mingjie Yu, Dongliang Meng, Tao Sun and Wei Wei
J. Mar. Sci. Eng. 2026, 14(7), 676; https://doi.org/10.3390/jmse14070676 - 4 Apr 2026
Viewed by 347
Abstract
Layered side-casting backfilling performed with a trailing suction hopper dredger (TSHD) is widely used in tidal waters, but its continuous moving release can generate a time-varying far-field sediment plume that complicates both backfilling control and environmental impact assessment. To investigate how construction parameters [...] Read more.
Layered side-casting backfilling performed with a trailing suction hopper dredger (TSHD) is widely used in tidal waters, but its continuous moving release can generate a time-varying far-field sediment plume that complicates both backfilling control and environmental impact assessment. To investigate how construction parameters affect far-field sediment dispersion and deposition under side-casting conditions, this study develops a two-dimensional hydrodynamic–sediment coupled numerical model with a mass-conserving moving-source term for a tidally dominated coastal area. Model performance was evaluated against field observations, yielding NRMSE/MRAE values of 0.0787/6.03% for water level, 0.2249/18.30% for current speed, 0.2344/27.10% for suspended-sediment concentration (SSC), and 0.1230/11.10% for deposition thickness; the correlation coefficient for current speed was 0.904. Based on the validated model, scenario analyses were conducted for different combinations of sailing speed and sediment concentration. The results show that far-field plume evolution exhibits pronounced stage-dependent behavior, with the largest affected footprint generally occurring during the late operational period or shortly after source termination. Within the tested parameter space, sailing speed has a stronger influence on the dispersion scale and SSC recovery duration because it controls both the release duration and source sweeping rate. Sediment concentration more directly affects deposition-related responses, including deposited thickness, lateral coverage, and along-track continuity, although its incremental effects weaken in the high-concentration range and remain coupled with sailing speed. Dimensional analysis further suggests that the relative magnitudes of source duration, advection, and settling timescales help explain the differences among scenarios. These results provide a physically based reference for parameter selection and construction planning in layered side-casting backfilling under tidal forcing. Full article
(This article belongs to the Section Ocean Engineering)
Show Figures

Figure 1

14 pages, 2423 KB  
Article
A Tissue-Compliant Shape-Memory Composite Membrane for Cardiac Occluders
by Yuqi Li, Yafeng Zou, Xinyi Yang, Wenhai Weng, Lizhen Wang and Yubo Fan
Bioengineering 2026, 13(4), 422; https://doi.org/10.3390/bioengineering13040422 - 3 Apr 2026
Viewed by 399
Abstract
Ventricular septal defect (VSD) occluders commonly rely on permanent nitinol frameworks, which may contribute to long-term mechanical mismatch and late complications. Here, we developed a tissue-compliant composite membrane by embedding a 3D-printed poly(vinyl alcohol) (PVA) grid within a shape-memory poly(glycerol dodecanedioate) (PGD) matrix. [...] Read more.
Ventricular septal defect (VSD) occluders commonly rely on permanent nitinol frameworks, which may contribute to long-term mechanical mismatch and late complications. Here, we developed a tissue-compliant composite membrane by embedding a 3D-printed poly(vinyl alcohol) (PVA) grid within a shape-memory poly(glycerol dodecanedioate) (PGD) matrix. Grid spacing was varied from 0.1 to 0.5 mm to tune reinforcement density. FTIR indicated that PVA was incorporated mainly through physical interlocking rather than new covalent bonding. The composite preserved near-body-temperature shape recovery. In water at 37 °C, PVA reinforcement increased tensile modulus and fracture strength, although swelling also increased. Finite-element analysis and benchtop occlusion testing consistently showed lower deformation, less strain localization, and smaller bulge height for PGD–PVA than for PGD alone. In vitro assays showed low cytotoxicity, low hemolysis, and prolonged plasma recalcification time. A 12-week pilot degradation study showed that the faster mass loss observed in initial samples was mainly caused by exposed PVA cut edges; after switching to a fully encapsulated design, static mass loss became similar across groups, and dynamic PBS agitation produced about 10% mass loss at 12 weeks. These results support PGD–PVA as a reinforced membrane strategy for polymeric occluders. Full article
(This article belongs to the Section Biomedical Engineering and Biomaterials)
Show Figures

Figure 1

12 pages, 839 KB  
Article
Predictors of Recurrence After Surgery in Patients with Stage I Non-Small Cell Lung Cancer
by Emanuele Voulaz, Debora Brascia, Veronica Giudici, Stefano Margaritora, Marco Lucchi, Vittorio Aprile, Marco Chiappetta, Alexandro Patirelis, Vincenzo Ambrogi and Giuseppe Marulli
Cancers 2026, 18(7), 1152; https://doi.org/10.3390/cancers18071152 - 3 Apr 2026
Viewed by 524
Abstract
Background: Surgery represents the gold standard treatment for patients with stage I non-small cell lung cancer (NSCLC); however, up to 30% of those may experience recurrence. This study aims to identify prognostic factors for both early and late recurrence in this subset. Methods: [...] Read more.
Background: Surgery represents the gold standard treatment for patients with stage I non-small cell lung cancer (NSCLC); however, up to 30% of those may experience recurrence. This study aims to identify prognostic factors for both early and late recurrence in this subset. Methods: We retrospectively analyzed the data of patients with stage IA-B NSCLC undergoing lung resection from 2013 to 2021 in four major lung cancer centers. Inclusion criteria were intentionally curative resections via either open or mini-invasive approaches plus lymph node dissection and a minimum follow-up of 36 months. Analyzed prognosticators included age, gender, smoking status, comorbidities, radiological appearance, surgical approach, intraoperative complications, pT stage and histologic subtypes. The overall and disease-free survivals and uni- and multivariable Cox regression for recurrence prediction were analyzed. Results: We collected data from 1132 consecutive patients (mean age 68.5 ± 8.8 years, 55.5% males and 20.1% smokers). After a mean follow-up of 57 ± 37 months, 908 (80.2%), patients were still disease-free, while the remaining 224 (19.8%) presented local (n = 86) or distant (n = 138) recurrences; 72 (32.1%) patients experienced reoccurrence within 12 months. The disease-free survival rate was significantly higher in the pT1a stage and in lepidic adenocarcinoma. The multivariable analysis and Cox regression showed that pT>1a (p = 0.001) and non-lepidic subtypes of adenocarcinoma (p < 0.001) were the best predictors of recurrence. Conclusions: Approximately one fifth of patients undergoing radical surgery for stage I NSCLC experienced recurrence within five years. Significant predictors of recurrence were a pT status greater than 1a and non-lepidic subtypes of adenocarcinoma. Full article
Show Figures

Figure 1

Back to TopTop