Sign in to use this feature.

Years

Between: -

Subjects

remove_circle_outline
remove_circle_outline
remove_circle_outline
remove_circle_outline
remove_circle_outline
remove_circle_outline
remove_circle_outline
remove_circle_outline
remove_circle_outline

Journals

remove_circle_outline
remove_circle_outline
remove_circle_outline
remove_circle_outline
remove_circle_outline
remove_circle_outline
remove_circle_outline
remove_circle_outline
remove_circle_outline
remove_circle_outline

Article Types

Countries / Regions

remove_circle_outline
remove_circle_outline
remove_circle_outline
remove_circle_outline

Search Results (629)

Search Parameters:
Keywords = lactoferrin

Order results
Result details
Results per page
Select all
Export citation of selected articles as:
15 pages, 839 KB  
Communication
Early Postpartum Change in Lactoferrin in Bovine Colostrum During the First 12 h Postpartum and Its Relationship with On-Farm Quality Indicators
by Elena Stancheva, Aneliya Milanova, Toncho Penev, Gergana Bachevska and Dimo Dimov
Vet. Sci. 2026, 13(3), 293; https://doi.org/10.3390/vetsci13030293 - 20 Mar 2026
Abstract
This pilot study aimed to evaluate the early postpartum dynamics of lactoferrin concentration in bovine colostrum and to investigate its relationship with rapid on-farm quality indicators during the first 12 h after calving. Colostrum samples were collected from six multiparous cows immediately after [...] Read more.
This pilot study aimed to evaluate the early postpartum dynamics of lactoferrin concentration in bovine colostrum and to investigate its relationship with rapid on-farm quality indicators during the first 12 h after calving. Colostrum samples were collected from six multiparous cows immediately after calving (0 h) and again 12 h later. Colostrum specific gravity and % Brix values were measured on-farm, and lactoferrin concentration was determined using LC–MS/MS analysis. Temporal changes were assessed using the Wilcoxon signed-rank test, and relationships between variables were evaluated using linear regression and Spearman correlation analysis. Lactoferrin concentration decreased significantly between 0 and 12 h after calving (median: 3.350 vs. 2.175 mg/mL; p = 0.031). In parallel, statistically significant decreases were observed in both colostrum specific gravity and % Brix values over the same period (p = 0.031 for both indicators). Linear regression analyses showed positive slopes between lactoferrin concentration and specific gravity and between lactoferrin concentration and % Brix at both 0 and 12 h after calving; however, these relationships did not reach statistical significance (p > 0.05 for all models), with explained variance ranging from R2 = 0.156 to 0.409. Spearman correlation analysis also revealed moderate positive correlation coefficients (p > 0.05), although none of the correlations reached statistical significance. These results indicate a rapid decline in lactoferrin concentration during the first 12 h after calving, occurring in parallel with significant decreases in widely used on-farm colostrum quality indicators. Despite the lack of statistically significant associations, the observed positive relationships indicate that lactoferrin may represent an additional component of colostrum composition that is not directly reflected by refractometric and density-based indicators. Full article
(This article belongs to the Section Veterinary Reproduction and Obstetrics)
Show Figures

Figure 1

20 pages, 1488 KB  
Article
Lactoferrin and Its Enzymatic Hydrolysates as Natural Antimicrobial and Antioxidant Agents for Food Preservation
by Špela Gruden, Petra Mohar Lorbeg, Bojana Bogovič Matijašić, Mihaela Skrt, Adrijana Leonardi, Igor Križaj and Nataša Poklar Ulrih
Foods 2026, 15(6), 1052; https://doi.org/10.3390/foods15061052 - 17 Mar 2026
Viewed by 166
Abstract
Lactoferrin (Lf) and Lf-derived peptides are multifunctional milk components with potential applications in food preservation due to their antibacterial and antioxidant properties. In this study, the antibacterial and antioxidant activities of bovine lactoferrin and Lf-derived peptides obtained by enzymatic hydrolysis with pepsin, trypsin, [...] Read more.
Lactoferrin (Lf) and Lf-derived peptides are multifunctional milk components with potential applications in food preservation due to their antibacterial and antioxidant properties. In this study, the antibacterial and antioxidant activities of bovine lactoferrin and Lf-derived peptides obtained by enzymatic hydrolysis with pepsin, trypsin, and chymotrypsin were evaluated. Antibacterial activity was assessed against four foodborne pathogens and spoilage microorganisms (Escherichia coli, Listeria monocytogenes, Staphylococcus epidermidis, and Latilactobacillus sakei), while antioxidant activity was determined using four complementary assays. Lf showed stronger antibacterial activity than the corresponding hydrolysates against all tested strains, while the hydrolysates notably inhibited Listeria monocytogenes and Latilactobacillus sakei. Both Lf and its peptides showed lower antioxidant capacity than Trolox, although native Lf and its peptides markedly inhibited lipid peroxidation. Lf peptides demonstrated greater antioxidant activity in the superoxide scavenging and FRAP assays. Low-molecular-weight peptides (<10 kDa) contributed most to antioxidant activity, while mass spectrometry analysis revealed peptide sequences rich in hydrophobic and electron-donating amino acid residues, providing mechanistic insight into the observed activities. Overall, these findings highlight the potential of lactoferrin and its enzymatic hydrolysates as natural antimicrobial and antioxidant agents for food preservation. Full article
(This article belongs to the Section Food Biotechnology)
Show Figures

Graphical abstract

35 pages, 1053 KB  
Review
Biosensor-Based Detection of Calprotectin and Lactoferrin as Neutrophil-Derived Markers of Inflammatory Bowel Diseases: From Molecular Pathophysiology to Point-of-Care Platforms
by Nikita Sitkov, Andrey Ryabko, Sergei Ivanov, Yuri Cheburkin, Alexey Kolobov, Diana Khasanova, Vladimir Nikolaev, Dmitrii Kaplun and Kamil Gareev
Int. J. Mol. Sci. 2026, 27(6), 2692; https://doi.org/10.3390/ijms27062692 - 16 Mar 2026
Viewed by 165
Abstract
Inflammatory bowel diseases (IBD) are chronic, relapsing, immune-mediated disorders that require regular and preferably noninvasive monitoring of inflammatory activity. Fecal biomarkers of neutrophilic inflammation, namely calprotectin and lactoferrin, therefore represent key analytical targets for diagnosis and longitudinal disease management. Despite their widespread clinical [...] Read more.
Inflammatory bowel diseases (IBD) are chronic, relapsing, immune-mediated disorders that require regular and preferably noninvasive monitoring of inflammatory activity. Fecal biomarkers of neutrophilic inflammation, namely calprotectin and lactoferrin, therefore represent key analytical targets for diagnosis and longitudinal disease management. Despite their widespread clinical use, existing publications predominantly address either their clinical relevance or individual technical solutions, without establishing a comprehensive engineering-translational framework for their biosensor-based implementation. This review bridges this gap by providing an integrative analysis of the molecular and biological nature of calprotectin and lactoferrin, the mechanisms underlying their appearance in fecal matrices, and the analytical constraints that directly influence the design of hybrid point-of-care (PoC) biosensor systems. We systematically compare major biosensing platforms, emphasizing sensor architecture, signal transduction mechanisms, and sample preparation strategies as critical determinants of sensitivity, selectivity, reproducibility, and clinical relevance. The novelty of this review lies in combining the pathophysiological context of neutrophilic inflammation with physicochemical and technological aspects of biosensor development, enabling a transition from laboratory prototypes to evaluation of real translational readiness. The practical significance resides in establishing a methodological basis for rational design of next-generation hybrid-integrated biosensor systems and outlining perspectives for digital analytics and artificial intelligence in clinically interpretable IBD monitoring. Full article
Show Figures

Figure 1

27 pages, 617 KB  
Review
Processing-Induced Modifications of Camel Milk Immunoglobulins and Lactoferrin: Implications for Immunocompromised Pediatric Populations and Therapeutic Applications
by Omar A. Alhaj, Mohammed O. Ibrahim, Nour A. Elsahoryi and Ola D. Al-Maseimi
Foods 2026, 15(6), 1028; https://doi.org/10.3390/foods15061028 - 16 Mar 2026
Viewed by 225
Abstract
Immunocompromised pediatric populations (children with inborn errors of immunity, HIV infection, and cancer, as well as those undergoing hematopoietic stem-cell transplantation) have severe nutritional challenges, with malnutrition depending on the underlying condition. Camel milk (CM) represents a culturally accessible, high-quality nutritional parameter and [...] Read more.
Immunocompromised pediatric populations (children with inborn errors of immunity, HIV infection, and cancer, as well as those undergoing hematopoietic stem-cell transplantation) have severe nutritional challenges, with malnutrition depending on the underlying condition. Camel milk (CM) represents a culturally accessible, high-quality nutritional parameter and functional food naturally enriched with particular immunological components such as heavy-chain antibodies that represent 75% of total immunoglobulins (IGs) and lactoferrin (LF) at a concentration 3–5 times higher than bovine milk (BM). However, there is a critical processing paradox: the thermal treatments required for the microbiological safety of immunosuppressed children who show a 20-fold greater susceptibility to foodborne pathogens degrade the therapeutic bioactive proteins. This comprehensive review provides a systematic evaluation of processing-induced modifications of CM IGs and LF, which involve thermal and non-thermal technologies, and their effects on the molecular structure and biological function. Emerging alternatives such as high-pressure processing (HPP), pulsed electric fields, and strategic fermentation show promising bioactivity retention without compromising safety. Critical knowledge gaps remain in the structure–function relationships of processed CM proteins, necessitating evidence-based optimization strategies to balance microbiological safety with clinically relevant immunomodulatory functions for vulnerable pediatric populations. Full article
Show Figures

Figure 1

21 pages, 5909 KB  
Article
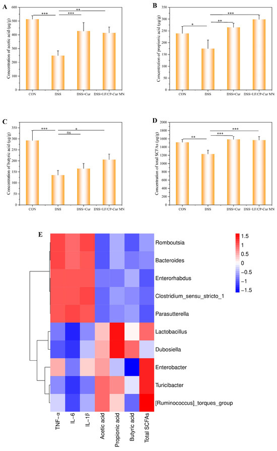
Curcumin-Loaded Lactoferrin/Pectin Core–Shell Structured Microgel Nanoparticles: Dual Regulatory Effects in Alleviating Inflammatory Bowel Disease
by Ming-Yu Jin, Sai-Yin Yu, Er-Feng Wang, Henan Zhang, Jing-Yi Xu, Chen Wang, Long-Qing Li and Jing-Kun Yan
Nutrients 2026, 18(6), 921; https://doi.org/10.3390/nu18060921 - 14 Mar 2026
Viewed by 154
Abstract
Background: Curcumin (Cur) has therapeutic potential for inflammatory bowel disease (IBD) but is limited by its poor bioavailability. Methods: This study demonstrated that Cur-loaded core–shell structured microgel nanoparticles (LF/CP-Cur MN), fabricated through electrostatic complexation between lactoferrin and citrus pectin, followed by Ca2+ [...] Read more.
Background: Curcumin (Cur) has therapeutic potential for inflammatory bowel disease (IBD) but is limited by its poor bioavailability. Methods: This study demonstrated that Cur-loaded core–shell structured microgel nanoparticles (LF/CP-Cur MN), fabricated through electrostatic complexation between lactoferrin and citrus pectin, followed by Ca2+ consolidation, overcome this limitation. Results: These nanoparticles effectively reduced the bitterness and astringency of curcumin while prolonging its release time. In an IBD mouse model, LF/CP-Cur MN treatment mitigated symptoms and inflammation of IBD, and restored intestinal barrier integrity. Crucially, compared with free Cur, the LF/CP-Cur MN enhanced colon-targeted accumulation of Cur and favorably modulated the gut microbiota by increasing beneficial genera like Lactobacillus and Dubosiella, while suppressing harmful genera like Enterobacter, thereby promoting levels of acetate, propionate, and butyrate. Conclusions: These findings highlight the potential of the LF/CP-Cur MN to improve Cur bioaccessibility and exert dual functional roles in modulating gut microbiota and alleviating inflammation, thus offering a promising dietary strategy for the management of IBD. Full article
(This article belongs to the Topic Functional Foods and Nutraceuticals in Health and Disease)
Show Figures

Figure 1

19 pages, 1590 KB  
Review
Advances of the “Miracle Protein” Against Viral Diseases: Lactoferrin in Clinical Trials
by Gerardo Ramírez-Rico, Lucero Ruiz Mazón, Magda Reyes-López, Jesús Serrano Lúna, Christian Avalos Gómez, Rosa Isabel Higuera Piedrahita, Cristal Dafne Lonngi Sosa, Mireya de la Garza and Cynthia González Ruíz
Future Pharmacol. 2026, 6(1), 14; https://doi.org/10.3390/futurepharmacol6010014 - 13 Mar 2026
Viewed by 178
Abstract
Antimicrobial resistance is a significant problem that has been studied in recent years. Viral diseases have generated high levels of morbidity and mortality, and recently, the world population faced a highly contagious viral disease (SARS-CoV-2), which caused millions of deaths without an effective [...] Read more.
Antimicrobial resistance is a significant problem that has been studied in recent years. Viral diseases have generated high levels of morbidity and mortality, and recently, the world population faced a highly contagious viral disease (SARS-CoV-2), which caused millions of deaths without an effective drug capable of controlling the infectious process. As a result, various therapeutic alternatives to antimicrobials have emerged that target microorganisms, support the immune system, and reduce inflammation. Lactoferrin is a ultifunctional glycoprotein of the mammalian innate immune system that has shown various benefits, notably its antimicrobial and, primarily, its antiviral effects. No resistance or toxicity to this protein has been reported, which is why it is called a “miracle protein”. This is the first review to focus on the antiviral effects of lactoferrin in clinical trials. In addition, in vitro and in vivo studies evaluating lactoferrin against various viral etiologies are also discussed. Full article
Show Figures

Graphical abstract

23 pages, 1239 KB  
Review
Immune-Mediated Colitis in the Era of Immune Checkpoint Inhibition: From Mechanisms to Clinical Management
by Cristina Polo Cuadro, Pilar Corsino Roche, Marta Gascón Ruiz, Santiago García López, Carmen Yagüe Caballero, Ana Royo Esteban, Laura Almenara Michelena and Diego Casas Deza
Gastroenterol. Insights 2026, 17(1), 20; https://doi.org/10.3390/gastroent17010020 - 10 Mar 2026
Viewed by 221
Abstract
Immunotherapy with immune checkpoint inhibitors (ICIs) has represented a major breakthrough in the treatment of multiple solid and hematological malignancies, significantly improving survival and tumor control. However, the blockade of immune regulatory pathways such as cytotoxic T-lymphocyte-associated protein 4 (CTLA-4) and programmed cell [...] Read more.
Immunotherapy with immune checkpoint inhibitors (ICIs) has represented a major breakthrough in the treatment of multiple solid and hematological malignancies, significantly improving survival and tumor control. However, the blockade of immune regulatory pathways such as cytotoxic T-lymphocyte-associated protein 4 (CTLA-4) and programmed cell death protein 1/programmed death-ligand 1 (PD-1/PD-L1) is associated with the development of immune-related adverse events, among which immune-mediated colitis (IMC) constitutes one of the most relevant gastrointestinal complications due to its frequency, potential severity, and impact on the continuation of oncologic treatment. IMC typically presents with diarrhea, abdominal pain, and gastrointestinal bleeding, and may progress to severe, life-threatening forms. Its incidence varies according to the type of ICI, and is higher with CTLA-4 inhibitors and particularly elevated with combination therapies. The pathophysiology is complex and multifactorial, involving dysregulated activation of proinflammatory T lymphocytes, impairment of immune regulatory mechanisms, disruption of the intestinal epithelial barrier, and a key modulatory role of the gut microbiota. Diagnosis requires a high index of clinical suspicion and relies on endoscopy with biopsies, given the poor correlation between clinical severity and endoscopic or histological findings. Fecal biomarkers, such as calprotectin and lactoferrin, are useful for risk stratification and disease monitoring. Treatment is based on a stepwise immunosuppressive approach, with corticosteroids as first-line therapy and biologic agents such as infliximab or vedolizumab in refractory cases. Emerging strategies, including fecal microbiota transplantation, offer new therapeutic perspectives. This article provides a comprehensive review of the current evidence on the epidemiology, pathophysiology, diagnosis, and management of IMC, as well as future challenges and opportunities in its clinical management. Full article
(This article belongs to the Special Issue Immunological Aspects of Gastrointestinal Diseases)
Show Figures

Figure 1

14 pages, 6067 KB  
Article
The Impact of Instantaneous Ultra-High Temperature (INF) Versus Conventional Thermal Processing on Bovine Milk: Nutritional and Physicochemical Perspectives
by Jiayuan Li, Zhiyuan Kang, Nan Sheng, Huan Yao, Xiaoying Feng, Han Lu, Kasper Hettinga, Lina Zhang and Peng Zhou
Foods 2026, 15(5), 959; https://doi.org/10.3390/foods15050959 - 9 Mar 2026
Viewed by 224
Abstract
Balancing microbial safety and the retention of heat-sensitive components has long been a key issue in dairy processing research. This study systematically compared the effects of instantaneous ultra-high-temperature treatment (INF, 145–155 °C/0.09 s) with that of conventional pasteurization (75–95 °C/15 s) as well [...] Read more.
Balancing microbial safety and the retention of heat-sensitive components has long been a key issue in dairy processing research. This study systematically compared the effects of instantaneous ultra-high-temperature treatment (INF, 145–155 °C/0.09 s) with that of conventional pasteurization (75–95 °C/15 s) as well as ultra-high-temperature treatment (UHT, 135 °C/5 s), on the microbial evaluation, nutritional composition, and physicochemical quality of bovine milk. The results showed that all heat treatments completely inactivated Staphylococcus aureus, coliforms, while only UHT and INF achieved full spore elimination. In the INF group, α-lactalbumin remained almost completely native and native β-lactoglobulin retention was approximately 83% relative to raw milk. The retention of lactoferrin and immunoglobulin G was about 30% and 12% after INF treatment, respectively, which were higher than that of 13% and 8% in the 85 °C/15 s group, and complete denaturation in the 95 °C/15 s and UHT groups. Furthermore, vitamin B2 remained stable after INF treatment. The glycation content of proteins was lower in INF treatment compared to conventional heat treatments, especially for the concentration of furosine, which was about 6–7 mg/100 g protein in the INF group, and 15 mg/100 g protein in the 95 °C/15 s group, and 67 mg/100 g protein in the UHT group. Overall, the INF process achieved sterilization equivalent to UHT while substantially reducing thermal load, thus better balancing microbial safety, nutritional integrity, and immune-active proteins, which provides a scientific basis for establishing standardized INF parameters and promoting high-quality dairy production. Full article
(This article belongs to the Section Dairy)
Show Figures

Figure 1

18 pages, 863 KB  
Article
Bovine Lactoferrin Modulates Mononuclear Cell Activity in Human Palatine Tonsils
by Takumi Yago, Chisane Kujirai, Hirotsugu Oda, Takahiro Inoue, Hisataka Ominato, Risa Wakisaka, Ryosuke Sato, Michihisa Kono, Hidekiyo Yamaki, Kenzo Ohara, Takumi Kumai, Miyuki Tanaka and Miki Takahara
Int. J. Mol. Sci. 2026, 27(5), 2442; https://doi.org/10.3390/ijms27052442 - 6 Mar 2026
Viewed by 376
Abstract
Lactoferrin (LF) is present in tears, nasal secretions, saliva, and milk and maintains mucosal homeostasis. The palatine tonsils represent the first immune tissue to recognize pathogens invading the oral cavity via Toll-like receptors (TLRs). We aimed to investigate the effects of bovine LF [...] Read more.
Lactoferrin (LF) is present in tears, nasal secretions, saliva, and milk and maintains mucosal homeostasis. The palatine tonsils represent the first immune tissue to recognize pathogens invading the oral cavity via Toll-like receptors (TLRs). We aimed to investigate the effects of bovine LF on tonsillar immune cells stimulated with ligands of TLR7 or TLR9, which recognize viral single-stranded RNA or bacterial unmethylated CpG DNA. Mononuclear cells isolated from palatine tonsils of patients with recurrent tonsillitis or immunoglobulin A (IgA) nephropathy were cultured with LF, TLR7, or TLR9 ligands. Under TLR7 stimulation, LF enhanced the activation of plasmacytoid dendritic cells (pDCs), T-killer cells, and B cells without inducing inflammatory cytokines. In contrast, under TLR9 stimulation, LF suppressed the activation of pDCs, myeloid dendritic cells, T-helper cells, T-killer cells, B cells, and natural killer cells, as well as the production of TNF-α and IL-6. Moreover, LF decreased the production of the B-cell activation factor (BAFF), a proliferation-inducing ligand (APRIL), and galactose-deficient IgA1, all of which are risk factors of IgA nephropathy. Overall, LF may enhance the immune response against viruses and contribute to immune tolerance against commensal bacteria in the palatine tonsils, indicating potential benefits in managing cold-like symptoms, recurrent tonsillitis, and IgA nephropathy. Full article
(This article belongs to the Special Issue New Insights into Lactoferrin: 2nd Edition)
Show Figures

Figure 1

16 pages, 999 KB  
Article
New Insight into Potential Otoprotective Effects of Lactoferrin: Is It Paradoxically Ototoxic? An Experimental Investigation
by Ahmet Mutlu, Ayse Yasemin Gunduz, Burcu Bakici, Murat Erinc, Erdogan Bulut, Onur Ersoy, Serdal Celik, Dogan Cakan and Mahmut Tayyar Kalcioglu
Audiol. Res. 2026, 16(2), 40; https://doi.org/10.3390/audiolres16020040 - 6 Mar 2026
Viewed by 154
Abstract
To evaluate the potential ototoxic effects of lactoferrin on the inner ear using electrophysiological and histological methods. Methods: Thirty-two Sprague-Dawley rats (64 ears) were divided into four groups: control, saline, antiseptic solution (70% isopropyl alcohol + 2% chlorhexidine), and lactoferrin. Groups II–IV received [...] Read more.
To evaluate the potential ototoxic effects of lactoferrin on the inner ear using electrophysiological and histological methods. Methods: Thirty-two Sprague-Dawley rats (64 ears) were divided into four groups: control, saline, antiseptic solution (70% isopropyl alcohol + 2% chlorhexidine), and lactoferrin. Groups II–IV received three intratympanic injections. Auditory brainstem response (ABR) tests were performed at baseline, day 7, and day 21. Cochlear histology and VEGF immunoreactivity were assessed. Results: Baseline hearing was similar across groups. Post-treatment, Groups II and IV showed partial recovery at 8, 16, and 24 kHz, while Groups III and IV had worsening thresholds at higher frequencies. Histologically, Group IV’s cochlear structures remained largely intact. VEGF immunoreactivity was severe to moderate in Groups I, II, and IV, and weaker in Group III. Conclusions: Lactoferrin showed relative safety at lower frequencies but possible ototoxicity at higher frequencies. However, no significant structural damage was observed in cochlear tissues. Full article
(This article belongs to the Collection Translational Audiology)
Show Figures

Figure 1

23 pages, 859 KB  
Article
Refrigerated Storage-Induced Alterations in the Bioactive Profile of Organic Yoghurts
by Aneta Brodziak, Jolanta Król, Tomasz Czernecki, Maria Zuba-Ciszewska and Tomasz Skrzypek
Appl. Sci. 2026, 16(5), 2277; https://doi.org/10.3390/app16052277 - 26 Feb 2026
Viewed by 208
Abstract
The aim of the research was to assess changes in the bioactive status of organic yoghurts produced in the spring/summer season from Simmental cows’ bulk milk during 28-day refrigerated storage, including whey proteins, lipophilic vitamins, and free fatty acids, and to interpret these [...] Read more.
The aim of the research was to assess changes in the bioactive status of organic yoghurts produced in the spring/summer season from Simmental cows’ bulk milk during 28-day refrigerated storage, including whey proteins, lipophilic vitamins, and free fatty acids, and to interpret these changes not only in terms of compositional stability but also regarding their nutritional significance, as evaluated using the IYQ (Index of Yoghurt Quality) for vitamins. Raw milk was found to be a significantly richer source of biologically active compounds compared with milk subjected to heat treatment. During the 28-day refrigerated storage of the yoghurts, unfavourable alterations were observed in the levels of selected bioactive components belonging to both the protein and lipid fractions. A reduction in the concentration of the analyzed proteins and vitamins was observed, ranging from 2% for vitamin D3 to 38% for lactoferrin, while the content of free fatty acids increased, from 8% for monounsaturated free fatty acids (MUFFAs) to 39% for short-chain free fatty acids (SCFFAs). The most pronounced changes were observed in lactoferrin content (p ≤ 0.01), whereas vitamin D3 exhibited the highest stability throughout the storage period. The stability of vitamin D3 was further confirmed using the Index of Yoghurt Quality (IYQ). Despite the significant changes observed in the bioactive profile, the yoghurts retained high sensory quality throughout the entire storage period. This indicates that alterations in bioactive status did not compromise the sensory quality of the product, even after 28 days of storage (i.e., at the end of the shelf life). The obtained results indicate the feasibility of developing organic milk processing directly at the farm level while preserving the nutritional value of the products. The possibility of processing organic milk not only into cheese but also into fermented dairy beverages, particularly yoghurts, is of key importance for farmers aiming to diversify production, increase added value, and improve the economic sustainability of small-scale organic farms. Full article
(This article belongs to the Special Issue Advances in Milk and Dairy Technology)
Show Figures

Figure 1

20 pages, 3252 KB  
Article
CHI3L1 Expression in Neutrophils and Plasma of Multiple Sclerosis Patients: Implications for Pathogenesis and a Potential Biomarker
by Izabela Jatczak-Pawlik, Alicja Ewiak-Paszyńska, Małgorzata Domowicz, Bartosz Bielecki, Mariola Świderek-Matysiak, Mariusz Stasiołek and Anna Jurewicz
Int. J. Mol. Sci. 2026, 27(5), 2186; https://doi.org/10.3390/ijms27052186 - 26 Feb 2026
Viewed by 254
Abstract
This study investigated the expression and subcellular localization of chitinase-3-like protein 1 (CHI3L1) in neutrophils and plasma from untreated and dimethyl fumarate (DMF)-treated multiple sclerosis (MS) patients, and healthy controls. Intracellular CHI3L1 expression was assessed in CD66b+ neutrophils and CD16+ cells using flow [...] Read more.
This study investigated the expression and subcellular localization of chitinase-3-like protein 1 (CHI3L1) in neutrophils and plasma from untreated and dimethyl fumarate (DMF)-treated multiple sclerosis (MS) patients, and healthy controls. Intracellular CHI3L1 expression was assessed in CD66b+ neutrophils and CD16+ cells using flow cytometry. Subcellular localization was analyzed by confocal microscopy using markers for various neutrophil granules, while ELISA measured plasma CHI3L1 and lactoferrin levels. We found that both intracellular CHI3L1 levels (expressed as mean fluorescence intensity, MFI) and the proportion of CD66b+ cells were significantly increased in MS patients compared to healthy controls. CHI3L1 was found to colocalize with CD66b+ specific granules. While plasma CHI3L1 levels in untreated MS patients remained comparable to those of healthy controls, a significant increase in both intracellular and plasma CHI3L1 was observed in DMF-treated MS patients. The lack of correlation between plasma lactoferrin and CHI3L1 might suggest selective release mechanisms or differential synthesis of these proteins, despite their common storage in specific granules. These findings highlight the role of neutrophils as a peripheral source of CHI3L1 and suggest a complex association between neutrophil-derived CHI3L1 and the differences observed in DMF-treated MS patients. Full article
Show Figures

Figure 1

24 pages, 1319 KB  
Review
Reexamining the Role of Amyloid β Clearance from the Brain: Exporting Labile Iron from the Interstitial Fluid Performs a Protective Function
by Steven M. LeVine
Int. J. Mol. Sci. 2026, 27(3), 1485; https://doi.org/10.3390/ijms27031485 - 2 Feb 2026
Viewed by 626
Abstract
Advantageous functions have been attributed to amyloid β, which helps explain its expression despite a propensity to aggregate. Besides supporting cognitive processes, it has antimicrobial activity, e.g., amyloid β can entrap pathogens or disrupt their membranes. Since iron is an essential element for [...] Read more.
Advantageous functions have been attributed to amyloid β, which helps explain its expression despite a propensity to aggregate. Besides supporting cognitive processes, it has antimicrobial activity, e.g., amyloid β can entrap pathogens or disrupt their membranes. Since iron is an essential element for invading organisms, limiting its availability is an antimicrobial strategy. This can be achieved by various means, such as reducing circulating iron, as is the case for anemia of inflammation or anemia of chronic disease, which may occur in Alzheimer’s disease. The protein lactoferrin both sequesters iron and generates proteolytic fragments with antimicrobial properties, and amyloid β may have similar traits. Amyloid β, which is derived from proteolytic cleavage of amyloid precursor protein, directly inhibits microorganisms. In addition, it binds redox-active metals, such as iron and copper. After being generated, amyloid β can enter the interstitial fluid and undergo clearance by a variety of mechanisms (e.g., glymphatic system, transport across the blood–brain barrier, and uptake by microglia or astrocytes). This clearance, together with its small size and iron-binding properties, positions amyloid β to perform a surveillance function to access, capture, and export labile iron. By removing extraneous iron, amyloid β also helps to limit metal-catalyzed reactions that cause tissue damage. In summary, besides preventing the aggregation and neurotoxicity of amyloid β, the clearance of amyloid β from the CNS may serve a surveillance function to remove loosely bound iron to avert injury by redox reactions and enable amyloid β to function as a mammalian siderophore making iron unavailable to invading microorganisms. Full article
(This article belongs to the Collection 30th Anniversary of IJMS: Updates and Advances in Biochemistry)
Show Figures

Graphical abstract

25 pages, 2125 KB  
Article
Interaction Effects Between Tongue-Rolling Behavior and Chronic Stress on Plasma Immune–Inflammatory Indicators, Milk Protein Composition, and Milk Proteome in Dairy Cows
by Chenyang Li, Xiaoyang Chen, Tingting Fang, Jie Gao, Guangyong Zhao and Xianhong Gu
Vet. Sci. 2026, 13(2), 134; https://doi.org/10.3390/vetsci13020134 - 29 Jan 2026
Viewed by 678
Abstract
Tongue-rolling behavior (TR) is commonly observed in dairy cows and is considered a stereotypic behavior indicative of compromised welfare. Chronic stress can impair lactation and immune function, yet the interaction between behavior (TR vs. normal behavior (NB)) and chronic stress (high vs. low) [...] Read more.
Tongue-rolling behavior (TR) is commonly observed in dairy cows and is considered a stereotypic behavior indicative of compromised welfare. Chronic stress can impair lactation and immune function, yet the interaction between behavior (TR vs. normal behavior (NB)) and chronic stress (high vs. low) remains unclear. In this study, hair cortisol concentration (HCC) was used to assess stress levels in cows. The cows were first classified into high- and low-stress cows using K-means clustering. Subsequently, cows exhibiting high levels of TR and those exhibiting NB (i.e., no stereotypic behaviors) were selected from both stress categories to establish four groups (n = 8 per group): high-stress TR (HT), high-stress NB (HN), low-stress TR (LT), and low-stress NB (LN). We analyzed milk protein composition, milk proteome, and plasma immune-inflammatory indicators. Behavior (TR vs. NB) and chronic stress (high vs. low) showed significant interaction effects on plasma tumor necrosis factor-α (p = 0.046), interleukin-6 (p = 0.002), and proteomic profiles, involving multiple guanosine triphosphate-binding proteins (p < 0.05), transferrin (p = 0.001), and complement factors (p < 0.05). In addition, TR cows had significantly lower levels of αs1-casein (p = 0.019), β-casein (p < 0.001), κ-casein (p = 0.016), lactoferrin (p = 0.003), and plasma immunoglobulin A (p = 0.002). These results indicate that, under different chronic stress levels, TR cows differ markedly from NB cows in milk protein expression, immune function, and inflammatory responses. Moreover, milk from TR cows showed reduced quality, and immune dysfunction and inflammation were exacerbated under high stress. Overall, this study provides new insights into the physiological consequences of stereotypic behavior in dairy cows. These findings may help dairy farmers identify cows exhibiting TR as at risk of reduced milk quality and immune dysfunction, allowing for early management interventions to improve animal welfare and productivity. Full article
Show Figures

Figure 1

32 pages, 15151 KB  
Review
Optimizing Lactoferrin Isolation for Functional and Structural Integrity: A Molecular Insight
by Ahmet Alperen Canbolat, Nur Hasret İstekli, Kadir Yılmaz, Mikhael Bechelany and Sercan Karav
Molecules 2026, 31(3), 454; https://doi.org/10.3390/molecules31030454 - 28 Jan 2026
Viewed by 551
Abstract
Lactoferrin (Lf) occurs predominantly within milk, coexisting with measurable levels across different glandular products and body fluids. Lf exhibits variation in relative molecular mass, influenced by its biological source and glycosylation profile; nevertheless, it is a close to 80 kDa glycoprotein. Provided that [...] Read more.
Lactoferrin (Lf) occurs predominantly within milk, coexisting with measurable levels across different glandular products and body fluids. Lf exhibits variation in relative molecular mass, influenced by its biological source and glycosylation profile; nevertheless, it is a close to 80 kDa glycoprotein. Provided that its bioactive structure is preserved, Lf performs a spectrum of physiological roles, comprising antioxidant, antifungal, antiviral, antiapoptotic, and antimicrobial actions. To sustain its bioactivity after isolation and ensure its effectiveness in subsequent applications, optimal conditions must be established throughout the optimization protocol, since inadequate optimization of parameters such as pH, temperature, ion balance, and protease activity may lead to aggregation, denaturation, and deterioration in functional regions, including the iron-binding domains. This review offers a comprehensive framework that associates isolation methodologies with structural integrity, preservation of iron-binding domains, and antimicrobial performance. Ion-exchange, affinity-based, and membrane-based approaches are systematically evaluated from analytical and functional perspectives, thereby yielding a synthesis that facilitates procedure selection and optimization for Lf isolation. In addition, the objectives of analytical characterization techniques implemented following isolation and the broadening scope of biotechnological applications of Lf are outlined. Full article
(This article belongs to the Special Issue Chemical Biology in Europe)
Show Figures

Figure 1

Back to TopTop