Sign in to use this feature.

Years

Between: -

Subjects

remove_circle_outline
remove_circle_outline
remove_circle_outline
remove_circle_outline
remove_circle_outline
remove_circle_outline
remove_circle_outline
remove_circle_outline
remove_circle_outline

Journals

remove_circle_outline
remove_circle_outline
remove_circle_outline
remove_circle_outline
remove_circle_outline
remove_circle_outline
remove_circle_outline
remove_circle_outline

Article Types

Countries / Regions

remove_circle_outline
remove_circle_outline
remove_circle_outline
remove_circle_outline

Search Results (778)

Search Parameters:
Keywords = intestinal floras

Order results
Result details
Results per page
Select all
Export citation of selected articles as:
16 pages, 5576 KB  
Article
Lactobacillus plantarum QL01 Alleviates D-Galactose-Induced Oxidative Stress and Restores Gut Microbiota in Ageing Mice
by Haichuan Li, Mingqing Zhang, Diyan Wu, Di Gong, Jiazhang Huang, Zhenchuang Tang, Liang Wang and Ying Zhang
Nutrients 2026, 18(1), 35; https://doi.org/10.3390/nu18010035 - 21 Dec 2025
Abstract
Background/Objectives: This study aimed to evaluate the in vivo antioxidant effects of Lactobacillus plantarum QL01 and to provide a theoretical basis for the use of probiotics in alleviating conditions associated with oxidative stress. Methods: A D-galactose-induced aging model was established in fifty 8-week-old [...] Read more.
Background/Objectives: This study aimed to evaluate the in vivo antioxidant effects of Lactobacillus plantarum QL01 and to provide a theoretical basis for the use of probiotics in alleviating conditions associated with oxidative stress. Methods: A D-galactose-induced aging model was established in fifty 8-week-old SPF male Kunming mice, which were randomly allocated into five groups: normal control (NC), model control (MC), positive control (VC, ascorbic acid 200 mg kg−1 day−1), low-dose bacterial (LP, 1 × 109 CFU kg−1 day−1), and high-dose bacterial (HP, 1 × 1010 CFU kg−1 day−1) groups. Except for the NC group, all mice received the daily intraperitoneal injection of D-galactose (125 mg kg−1 day−1) for 8 weeks to induce oxidative stress. Corresponding treatments or equal volumes of saline were administered daily by gavage. Results: After 8 weeks, serum, liver, colon, and fecal samples were collected and analyzed to evaluate the efficacy of QL01 in counteracting oxidative stress and restoring gut microbiota homeostasis. The results demonstrated that tissue atrophy and the levels of various inflammatory factors, including interleukin-6 (IL-6), interleukin-1β (IL-1β), tumor necrosis factor-α (TNF-α), and interleukin-10, were inhibited (p < 0.05). It was further demonstrated that the levels of total antioxidant capacity (T-AOC), superoxide dismutase (SOD), glutathione (GSH), catalase (CAT), and malondialdehyde (MDA) were significantly reversed in hepatic tissues by QL01 intervention (p < 0.05), thereby leading to the alleviation of inflammatory responses and oxidative stress in ageing mice. Pathological observations revealed that QL01 mitigated the damage to liver and colon tissues in mice. In addition, the intervention of QL01 led to an improvement in the expression of tight junction proteins in the colonic tissues of mice, as determined by qPCR. Additionally, the host’s intestinal microbiota and metabolites were restored. Conclusions: Overall, this study revealed that Lactobacillus plantarum QL01 is a promising candidate for modulating oxidative stress and the homeostasis of the host’s gut flora. Full article
(This article belongs to the Section Prebiotics and Probiotics)
Show Figures

Figure 1

14 pages, 283 KB  
Article
Histamine-Producing Intestinal Dysbiosis and Its Role in Lower Urinary Tract Infections and Irritable Bowel Syndrome in Young Women
by Florina Ruța, Călin Avram, Elena Mardale, Raluca Maior, Cristina Filip and Sebastian Nemeth
Nutrients 2026, 18(1), 16; https://doi.org/10.3390/nu18010016 - 19 Dec 2025
Viewed by 80
Abstract
Background: Lower urinary tract infections (LUTIs) and irritable bowel syndrome (IBS) have been associated with histamine-producing gut dysbiosis, characterized by an overgrowth of histaminogenic bacteria and opportunistic fungi. This study examines the relationship between histaminogenic microbial imbalance, dietary factors, and LUTIs in women [...] Read more.
Background: Lower urinary tract infections (LUTIs) and irritable bowel syndrome (IBS) have been associated with histamine-producing gut dysbiosis, characterized by an overgrowth of histaminogenic bacteria and opportunistic fungi. This study examines the relationship between histaminogenic microbial imbalance, dietary factors, and LUTIs in women with IBS, emphasizing the potential nutritional contributions to microbiota modulation. Methods: A cohort of 188 women was evaluated by analyzing the intestinal microbiota associated with sporadic and recurrent lower urinary tract infections and irritable bowel syndrome, along with a questionnaire on risky eating behaviors. Results: Dysbiosis was associated with an overgrowth of histamine-producing bacteria (Escherichia coli, Enterobacter spp., Clostridium spp.) and Candida albicans, along with a depletion of protective taxa (Lactobacillus, Bifidobacterium). Dysbiosis, characterized by an increase in histamine-producing bacteria (Escherichia coli, Enterobacter spp., Clostridium spp.) and Candida albicans, together with a depletion of protective taxa (Lactobacillus, Bifidobacterium), has been associated with lower urinary tract infections and irritable bowel syndrome. Regarding the increase in histaminogenic flora, significant associations with dietary factors concerned only the frequent consumption of fast food. Conclusions: These findings highlight the role of histamine-driven dysbiosis in sustaining chronic inflammation and susceptibility to LUTIs and IBS, supporting microbiota modulation as a potential preventive and therapeutic strategy. Full article
(This article belongs to the Special Issue Dietary Patterns and Gut Microbiota)
16 pages, 3708 KB  
Article
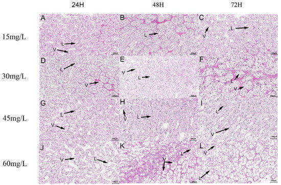
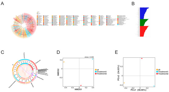
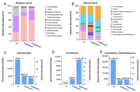
Effects of Nano-Silver Exposure on Oxidative Stress, Transcriptome, and Intestinal Microbiota of Procambarus clarkii
by Jian Li, Bin Qiu, Yitian Chen, Yanping Cai, Huiling Zhang, Xingfei Huang, Yude Wang and Shaojun Liu
Biology 2026, 15(1), 6; https://doi.org/10.3390/biology15010006 - 19 Dec 2025
Viewed by 138
Abstract
There is limited understanding regarding the potential toxicity of nano-silver to crayfish. This study aims to evaluate the histopathological changes, oxidative stress, transcriptomics, and intestinal microbiota changes in different tissues of crayfish after exposure to nano-silver. The results showed that exposure to nano-silver [...] Read more.
There is limited understanding regarding the potential toxicity of nano-silver to crayfish. This study aims to evaluate the histopathological changes, oxidative stress, transcriptomics, and intestinal microbiota changes in different tissues of crayfish after exposure to nano-silver. The results showed that exposure to nano-silver caused pathological changes in the muscles, hepatopancreas, and gills of crayfish. Damage to muscular tissue progressively worsened with increasing concentrations of nano-silver, leading to a gradual widening of the gaps between muscle fibers. Nano-silver enlarged hepatopancreatic lumen and epithelial vacuolation, while the structure of the gills became disorganized, with severe damage to the gill membranes. The activities of peroxidase (CAT), superoxide dismutase (SOD), and glutathione reductase (GSH), as well as the content of malondialdehyde (MDA) in the muscles, hepatopancreas, and gills, were altered due to nano-silver exposure. Furthermore, along with the alteration of intestinal flora, there were alterations in the diversity of intestinal microbiota, an increase in the abundance of Bacteroides and Ca_Bacilloplasma, and a decrease in the abundance of Citrobacter. The abundance of harmful bacteria increased, causing intestinal inflammatory damage. Totals of 1549 and 1305 differently expressed genes (DEG) were found in the muscles and hepatopancreas, according to transcriptome analysis. Significantly affected pathways included the PPAR signaling pathway. These findings provide valuable insights into the use of nano-silver in the aquaculture of crayfish. Full article
(This article belongs to the Special Issue Exposure to Heavy Metals: Advances in Cytotoxicity and Genotoxicity)
Show Figures

Figure 1

19 pages, 5484 KB  
Article
Smart pH/Near-Infrared Light-Responsive Carboxymethyl Chitosan/Sodium Alginate/MXene Hydrogel Beads for Targeted Tea Polyphenols Delivery
by Kun Fang, Pei Li, Hanbing Wang, Xiangrui Huang, Yihan Li and Bo Luo
Gels 2025, 11(12), 1009; https://doi.org/10.3390/gels11121009 - 16 Dec 2025
Viewed by 252
Abstract
Tea polyphenols (TP) offer health benefits, but their stability is compromised by sensitivity to environmental factors, limiting their applications. Developing stimulus-responsive delivery systems that precisely control TP release is essential. This study prepared novel hydrogel beads encompassing carboxymethyl chitosan (CMC), sodium alginate (SA), [...] Read more.
Tea polyphenols (TP) offer health benefits, but their stability is compromised by sensitivity to environmental factors, limiting their applications. Developing stimulus-responsive delivery systems that precisely control TP release is essential. This study prepared novel hydrogel beads encompassing carboxymethyl chitosan (CMC), sodium alginate (SA), and MXene (Ti3C2Tx) using a blending method for the sustained release of TP. After being exposed to 808 nm near-infrared (NIR) radiation, the beads demonstrated excellent stability in simulated gastric conditions, resulting from the pH-dependent solubilization, facilitating controlled TP release under simulated intestinal conditions. The drug release kinetics conformed to the Ritger–Peppas model. Notably, CMC-SA-MXene@TP exhibited strong antioxidant activity and antimicrobial properties, effectively inhibiting the growth of S. aureus (ATCC 6538) and E. coli (ATCC 25922). Additionally, according to in vitro cellular assays, they exhibited good biocompatibility with normal liver cells (HL-7702) and could effectively inhibit hepatocellular carcinoma cells (HepG2). These hydrogel beads, featuring excellent pH and NIR responsiveness, biocompatibility, drug loading efficiency, antioxidant capability, and antibacterial activity, represent promising candidates for advanced wound dressings or oral drug delivery systems for modulating intestinal flora. Full article
(This article belongs to the Special Issue Recent Research on Alginate Hydrogels in Bioengineering Applications)
Show Figures

Figure 1

20 pages, 1101 KB  
Article
Dietary Green Tea Enhances the Growth, Antioxidant Capacity, and Abundance of Beneficial Intestinal Flora of Grass Carp (Ctenopharyngodon idellus)
by Yuyan Li, Ruiyi Yang, Shaoyu Zhu, Cong Wang, Rui Wang, Dingding Yue, Yuning Wang and Yanou Yang
Animals 2025, 15(24), 3595; https://doi.org/10.3390/ani15243595 - 15 Dec 2025
Viewed by 129
Abstract
Tea is a widely consumed natural herbal plant boasting diverse beneficial properties, yet its effects vary significantly with different dosages. To study the effects of green tea dosage on the growth, feed utilization, antioxidant capacity, and diversity and abundance of intestinal flora of [...] Read more.
Tea is a widely consumed natural herbal plant boasting diverse beneficial properties, yet its effects vary significantly with different dosages. To study the effects of green tea dosage on the growth, feed utilization, antioxidant capacity, and diversity and abundance of intestinal flora of grass carp, 0 (control group), 500, 1000, 2000, 4000, and 8000 mg kg−1 of green tea were added to the basal diet of grass carp for 8 weeks. The results showed that the grass carp in the 1000 mg kg−1 group had a significantly higher feed efficiency ratio (FER) than in the control group (an increase of 5%), which may be associated with the increasing glycolysis and intestinal protease activity. In the 8000 mg kg−1 group, grass carp had a significantly lower FER and growth performance, which might be related to a decrease in gluconeogenesis. Green tea improved the antioxidant capacity of grass carp, with the 1000 mg kg−1 group exhibiting the best efficacy. At this dosage, green tea significantly decreased the abundance of harmful intestinal bacteria and increased that of beneficial bacteria. The findings indicate that 1000 mg kg−1 of green tea enhances grass carp’s growth performance, antioxidant capacity, and intestinal immunity. This study clarified the mechanism by which green tea improves the growth performance of grass carp through enhancing antioxidant capacity, metabolic regulation, and microbiota remodeling, providing strong theoretical support for the application of green tea in aquaculture. In the future, more research on the mechanisms underlying the effects of green tea on grass carp is necessary. Full article
(This article belongs to the Section Aquatic Animals)
Show Figures

Figure 1

21 pages, 4923 KB  
Article
Gut Microbiota and Liver Metabolism Regulation Mediate the Protective Effects of Inactivated Selenium-Enriched Yeast Against Alcohol-Induced Liver Damage in Mice
by Zihua Liang, Xiangchen Zhang, Shiwei Chen, Meiting Wang, Deying Men, Wangxin Liu and Xucong Lv
Foods 2025, 14(24), 4209; https://doi.org/10.3390/foods14244209 - 8 Dec 2025
Viewed by 353
Abstract
Inactivated Selenium-enriched yeast (YSe), as an organic source of selenium with multiple physiological activities, has attracted widespread attention. However, its potential to alleviate alcoholic liver injury (ALD) and its underlying mechanisms remain largely unexplored. This study explores the protective effects of inactivated YSe [...] Read more.
Inactivated Selenium-enriched yeast (YSe), as an organic source of selenium with multiple physiological activities, has attracted widespread attention. However, its potential to alleviate alcoholic liver injury (ALD) and its underlying mechanisms remain largely unexplored. This study explores the protective effects of inactivated YSe intervention on ALD in mice and clarifies its mechanism of action. The results indicated that, at the same selenium dose, inactivated YSe intervention was superior to inorganic selenium (sodium selenite) in alleviating ALD. Specifically, high-dose inactivated YSe significantly reduced the levels of serum ALT and AST in alcohol-exposed mice (38.69% and 24.67%, respectively), increased the level of HDL-C (16.83%), and effectively improved alcohol-induced lipid metabolism disorders and liver oxidative damage. At the same time, it significantly increased the concentration of short-chain fatty acids (SCFAs) in feces. 16S rRNA sequencing indicates that inactivated YSe intervention enhances the abundance of beneficial flora (such as Blautia, Oscillibacter, Anaerotruncus, Butyricicoccus, and Ruminiclostridium) and simultaneously inhibits potentially harmful microbiota (such as xylanophium, Escherichia–Shigella and oscilliumspirates) to restore the homeostasis of the intestinal microbiota in ALD mice. Liver metabolomics analysis revealed that inactivated YSe intervention significantly altered the liver metabolic profile. The core pathways that are regulated by YSe after alcohol disruption include glutathione metabolism, purine metabolism, riboflavin metabolism, etc. In conclusion, this study demonstrates that inactivated YSe can effectively alleviate ALD in mice by regulating the structure of the intestinal flora and restoring liver metabolic homeostasis, providing a scientific basis for its potential functional food component in the prevention and auxiliary management of ALD. Full article
Show Figures

Figure 1

24 pages, 5463 KB  
Article
Grape Skin Polysaccharides Alleviate Type 2 Diabetic Rats via Gut Microbiota and Nontargeted Metabolism Alterations
by Wei Li, Xinyao Han, Wei Wang, Shihao Huang, Mingxun Ai, Tongle Sun, Haoran Jiang, Hongji Zeng and Yuhang Li
Foods 2025, 14(23), 4132; https://doi.org/10.3390/foods14234132 - 2 Dec 2025
Viewed by 398
Abstract
This study investigates the therapeutic potential of grape skin polysaccharides (GSP) for type 2 diabetes (T2D). Employing a T2D model developed via a high-fat diet combined with STZ, three intervention groups were established: low-dose GSP (25 mg/kg), high-dose GSP (100 mg/kg), and metformin [...] Read more.
This study investigates the therapeutic potential of grape skin polysaccharides (GSP) for type 2 diabetes (T2D). Employing a T2D model developed via a high-fat diet combined with STZ, three intervention groups were established: low-dose GSP (25 mg/kg), high-dose GSP (100 mg/kg), and metformin control (300 mg/kg). Following a 30-day oral administration period, marked enhancements in body weight and glucose/lipid metabolic parameters were noted in both the high-dose GSP group and the metformin-treated cohort. Specifically, compared with the model group, high-dose GSP improved insulin resistance by 48.48%, increased hepatic glycogen content by 63.38% and HDL–C levels by 13.16%, while reducing TG, TC, and LDL–C by 65.5%, 20.80%, and 32.63%, respectively. GSP also enhanced GSH–Px activity by 10.15% and SOD activity by 26.48%, while reducing MDA levels by 30.91%, thereby alleviating pathological damage in the liver, kidneys, and intestines. These results suggested that the regulatory effect of GSP is concentration-dependent. GSP also regulated gut microbiota by not only reducing Thermodesulfobacteriota and increasing Bacillota/Bacteroidetes abundance, but also enhancing acid-producing bacteria to elevate short-chain fatty acid (SCFA) levels, thereby further improving insulin sensitivity. Collectively, these preclinical data support the potential of GSP as a functional food ingredient or adjunct therapy for T2D management, pending further clinical validation. Full article
Show Figures

Graphical abstract

24 pages, 3540 KB  
Review
Dietary Polyphenols-Gut Microbiota Interactions: Intervention Strategies and Metabolic Regulation for Intestinal Diseases
by Huangkun Li, Ji’an Gao, Wenting Peng, Xihan Sun, Wentao Qi and Yong Wang
Biology 2025, 14(12), 1705; https://doi.org/10.3390/biology14121705 - 30 Nov 2025
Viewed by 924
Abstract
In the exploration of the relationship between nutrition and health, dietary polyphenols, as bioactive substances derived from natural plants, have attracted much attention due to their diverse functional properties. Their health effects are highly dependent on the metabolic transformation by intestinal flora. The [...] Read more.
In the exploration of the relationship between nutrition and health, dietary polyphenols, as bioactive substances derived from natural plants, have attracted much attention due to their diverse functional properties. Their health effects are highly dependent on the metabolic transformation by intestinal flora. The complex interaction between polyphenols and gut microbiota, as well as their role in the prevention and treatment of intestinal diseases, has become a research hotspot in the fields of nutrition and medicine. This review systematically explains the sources and classifications of polyphenols, points out their natural characteristic of low bioavailability. It also explores their intervention effects on intestinal diseases, analyzes the bidirectional action mechanism between polyphenols and gut microbiota, and elaborates on the specific pathways through which polyphenols improve intestinal diseases by regulating gut microbiota. Collectively, this review provides critical theoretical basis on polyphenols improving intestinal diseases for future research and clinical applications. Full article
(This article belongs to the Special Issue Metabolic Interactions between the Gut Microbiome and Host)
Show Figures

Figure 1

18 pages, 5065 KB  
Article
Effects of Cinnamon Essential Oil on Intestinal Flora Regulation of Ulcerative Colitis Mice Colonized by Candida albicans
by Yuan Gao, Silin Liu, Jinhe Wang, Yan Xu, Yuyang Guo, Zesen Fang, Fuling Wang, Jianghan Luo and Lijun Yan
Microorganisms 2025, 13(12), 2724; https://doi.org/10.3390/microorganisms13122724 - 28 Nov 2025
Viewed by 353
Abstract
Cinnamon essential oil (CEO), a safe, medicinal, and edible Traditional Chinese Medicine (TCM) component, was investigated for its anti-Candida albicans property and ability to relieve intestinal inflammation. The anti-Candida albicans ability of CEO was evaluated by Minimum Inhibitory Concentration (MIC), 2,3-Bis-(2-Methoxy-4-nitro-5-sulfophenyl)-2H-tetrazolium-5-carboxanilide [...] Read more.
Cinnamon essential oil (CEO), a safe, medicinal, and edible Traditional Chinese Medicine (TCM) component, was investigated for its anti-Candida albicans property and ability to relieve intestinal inflammation. The anti-Candida albicans ability of CEO was evaluated by Minimum Inhibitory Concentration (MIC), 2,3-Bis-(2-Methoxy-4-nitro-5-sulfophenyl)-2H-tetrazolium-5-carboxanilide (XTT), and Scanning Electron Microscope (SEM) methods. By constructing ulcerative colitis (UC) mice intestinally colonized by C. albicans, the CEO effects on the regulation of flora, the relief of intestinal inflammation, and possible related signal pathway were discussed. The results showed that CEO has a significant effect on inhibiting C. albicans, where the MIC80 value was 265 μg/mL, and the Sessile Minimum Inhibitory Concentration (SMIC)80 value was 530 μg/mL. SEM showed the CEO could inhibit C. albicans mycelium growth and biofilm formation. CEO can regulate the flora disturbance, reduce inflammatory factors level, and play a protective role in intestinal mucosal damage. Network pharmacology predicts CEO may be associated with Janus Kinase-Signal Transducer and Activator of Transcription (JAK-STAT) pathway. It was proved that CEO had an inhibitory effect on the JAK-STAT pathway by qPCR determination. These findings suggest CEO may have therapeutic potential for C. albicans–associated UC. Full article
(This article belongs to the Section Gut Microbiota)
Show Figures

Figure 1

15 pages, 1100 KB  
Review
Lithocholic Acid Species: Metabolism, Signaling Pathways, and Clinical Significance in Enterohepatic Diseases
by Lianggui Leng, Guangzeng Zhou, Ana Liu, Huiying Wang and Yan Ni
Int. J. Mol. Sci. 2025, 26(23), 11530; https://doi.org/10.3390/ijms262311530 - 28 Nov 2025
Viewed by 554
Abstract
Secondary bile acids are generated from the metabolism of primary bile acids by intestinal flora and play important roles in lipid digestion, regulation of metabolic homeostasis, and intestinal-hepatic axis signaling. Recent studies indicate that lithocholic acid (LCA) and its derivatives (e.g., 3-oxoLCA and [...] Read more.
Secondary bile acids are generated from the metabolism of primary bile acids by intestinal flora and play important roles in lipid digestion, regulation of metabolic homeostasis, and intestinal-hepatic axis signaling. Recent studies indicate that lithocholic acid (LCA) and its derivatives (e.g., 3-oxoLCA and isoLCA) are significantly dysregulated in inflammatory bowel disease, nonalcoholic fatty liver disease, and hepatocellular carcinoma. Consequently, LCA species are emerging as promising biomarkers and potential targets for early diagnosis. This review systematically summarizes the metabolic pathways of LCA species, their distribution and concentrations in human blood, urine, and fecal samples, as well as the progress of recent research studies on enterohepatic disorders, which will serve as a reference for the development of new diagnostic and therapeutic methods in the future. Full article
(This article belongs to the Special Issue Molecular Research Advances in Metabolic Syndrome)
Show Figures

Figure 1

24 pages, 7152 KB  
Article
A Novel Probiotic Limosilactobacillus fermentum IOB802 and Its Postbiotic Alleviate Cognitive Impairment Induced by Scopolamine in Mice
by Yuxuan Song, Wenjing Pan, Linlin Meng, Hengyu Wu, Boyang Li, Xuemei Han, Tianmin Fu, Wu Liang, Sa Zhou and Wenjian Ma
Foods 2025, 14(23), 4037; https://doi.org/10.3390/foods14234037 - 25 Nov 2025
Viewed by 472
Abstract
Cognitive impairment is acknowledged as an early stage between normal aging and Alzheimer’s disease, emphasizing the need for prompt intervention. There is growing evidence that the gut–brain axis plays a role in regulating cognitive function, indicating that probiotics and their derivatives may impact [...] Read more.
Cognitive impairment is acknowledged as an early stage between normal aging and Alzheimer’s disease, emphasizing the need for prompt intervention. There is growing evidence that the gut–brain axis plays a role in regulating cognitive function, indicating that probiotics and their derivatives may impact cognitive functions through the brain–gut axis. In this study, we isolated and identified a novel bacterial strain Limosilactobacillus fermentum IOB802 (IOB802) from traditionally fermented pickles. This strain showed promising probiotic properties, and its postbiotic was also prepared. Both the probiotic IOB802 and its postbiotic preparation significantly improved memory and learning abilities by using a mouse model with cognitive impairment induced by scopolamine. In comparison to the scopolamine group, IOB802 and IOB802 postbiotic administration decreased acetylcholinesterase activity by 59.2% and 29.51%, increased antioxidant enzyme activity by 44.45% and 29.43%, and lowered lipid peroxidation by 44.19% and 32.53%, respectively. Moreover, IOB802 postbiotic notably boosted acetylcholine levels by 72.08%. In addition, the treatments preserved the integrity of neurons in specific regions of the hippocampus, as shown by histological analysis. The IOB802 postbiotic increased the expression of neurotrophic factors BDNF and NGF by 1.36- and 1.73-fold, while reducing the expression of inflammatory cytokines TNF-α, IL-6, and IL-1β by 2.05-, 1.85-, and 2.46-fold, respectively. Compared to the scopolamine group, IL-6 and IL-1β expression decreased by 1.32- and 2.37-fold in the IOB802 group. Additionally, IOB802, especially its postbiotic, was found to restore disrupted intestinal flora caused by scopolamine. These findings suggest that IOB802 and its postbiotic can improve cognitive function through enhancing cholinergic activity, reducing oxidative stress, providing neuroprotection, and restoring gut microbiota composition. Postbiotics, in particular, may represent a promising alternative to live probiotics for supporting cognitive health. Full article
Show Figures

Graphical abstract

19 pages, 2003 KB  
Article
Impact of Oral Administration of Lactobacillus reuteri LMG-P 27481 on Human Gut Microbiota Diversity and Function: A Pilot Study
by Veronica Ojetti, Carmine Petruzziello, Alessio Migneco, Marcello Candelli and Angela Saviano
Biomedicines 2025, 13(11), 2840; https://doi.org/10.3390/biomedicines13112840 - 20 Nov 2025
Viewed by 1330
Abstract
Background: Many literature studies have reported the beneficial effects of probiotics on human health, but few articles have evaluated their “real effects” on the modulation of microbiota after their use. Lactobacillus reuteri (L. reuteri) is one of the most studied [...] Read more.
Background: Many literature studies have reported the beneficial effects of probiotics on human health, but few articles have evaluated their “real effects” on the modulation of microbiota after their use. Lactobacillus reuteri (L. reuteri) is one of the most studied probiotics with the best effects on gut microbiota. Aims: The primary aim of our study was the evaluation of the intestinal colonization by L. reuteri-LMG P 27481 and its effects on the modification of the gut bacterial flora. The secondary aim was the evaluation of side effects through the validated Gastrointestinal Symptom Rating Scale (GSRS). Patients and Methods: This is an interventional, open-label study conducted on 20 healthy adults (10 men and 10 women M/F; mean age 34 ±15 years) who received a probiotic Reuterin® LMG (L. reuteri LMG P 27481) for 28 consecutive days in drops at a concentration of 1 × 109 (five drops per day). Microbiota analysis was performed at enrollment (T0), at the end of probiotic supplementation (T1) and after a 14-day follow-up period (T2). Results: In our study we observed interesting quantitative and functional variations as regards the Firmicutes/Bacterioidetes ratio, intestinal permeability, and the production of short-chain fatty acids (SCFA). This probiotic was safe and was able to improve patients’ symptoms. Conclusions: The intake of L. reuteri LMG-P 27481 in healthy subjects showed transitory variations in some functional and metabolic gut functions, especially an improvement in the barrier effect and intestinal permeability, y and an increase in SCFA. Future studies should include target populations to have a greater range for modulation of the gut microbiota. Full article
Show Figures

Figure 1

14 pages, 2012 KB  
Article
Inter-Regional Comparisons of Gut Microbiota of Endangered Ring-Tailed Lemurs in Captivity: Insights into Environmental Adaptation and Implications for Ex Situ Conservation
by Menglin Sun, Hongyu Yao, Nan Wu, Hong Wu and Dapeng Zhao
J. Zool. Bot. Gard. 2025, 6(4), 57; https://doi.org/10.3390/jzbg6040057 - 15 Nov 2025
Viewed by 323
Abstract
The gut microbiota plays a crucial role in the health and well-being of primates. This study applied 16S rRNA high-throughput sequencing technology, aiming to investigate the differences in gut microbiota composition and function between captive ring-tailed lemurs (Lemur catta) in different [...] Read more.
The gut microbiota plays a crucial role in the health and well-being of primates. This study applied 16S rRNA high-throughput sequencing technology, aiming to investigate the differences in gut microbiota composition and function between captive ring-tailed lemurs (Lemur catta) in different zoos across the north–south demarcation line in China. Results revealed significant differences in gut microbiota composition between northern and southern groups. Alpha diversity indices were higher in the southern group (p < 0.05), while beta diversity analysis showed distinct clustering based on geographic location (p < 0.001). Bacteroidetes were more abundant in the northern group (49.22% vs. 28.44%), while Firmicutes predominated in the southern group (59.10% vs. 32.78%). Functional prediction analysis indicated higher levels of membrane transport and lipid metabolism pathways in the southern group, suggesting differences in nutrient absorption and energy metabolism. These findings suggest that geographic location and associated environmental factors significantly influence the gut microbiota of captive ring-tailed lemurs, even under similar dietary and husbandry conditions. Our study provides insights into the impact of geographic location on gut microbiota in captive primates, highlighting the importance of considering regional factors in zoo animal management and informing future strategies for optimizing the care and conservation of captive primates across different geographic regions. Full article
Show Figures

Figure 1

12 pages, 785 KB  
Article
Ultra-Processed Food Intake in Children with Inflammatory Bowel Disease: A Pilot Case–Control Study
by Emese Kasznár, Dorina Bajzát, Anna Karoliny, Judit Szentannay, András Szabó, Eszter Gombos, Vivien Regián, Anikó Havasi, Erzsébet Pálfi and Katalin Eszter Müller
Nutrients 2025, 17(22), 3532; https://doi.org/10.3390/nu17223532 - 12 Nov 2025
Viewed by 592
Abstract
Background: The consumption of ultra-processed foods (UPFs) has increased globally, particularly in developed countries. UPFs are energy-dense and nutrient-poor, and they often contain additives that can disrupt gut flora and increase intestinal permeability. There is evidence to suggest that processed foods may [...] Read more.
Background: The consumption of ultra-processed foods (UPFs) has increased globally, particularly in developed countries. UPFs are energy-dense and nutrient-poor, and they often contain additives that can disrupt gut flora and increase intestinal permeability. There is evidence to suggest that processed foods may contribute to the onset of IBD and also impact its progression and response to treatment. This study investigated whether children with IBD consume more UPFs than healthy controls and examined the association between UPF intake and disease activity. Methods: This pilot cross-sectional case–control study recruited children with IBD from the Gastroenterology Outpatient Clinic at the Heim Pál National Pediatric Institute in Budapest, Hungary, between December 2023 and February 2025. Age- and sex-matched healthy controls (HCs) were also enrolled. Dietary intake was assessed using two days of 24 h recalls. UPF intake was categorized using the NOVA system and expressed as a percentage of total daily energy intake. Results: A total of 47 children with IBD were matched with HCs. There was no difference in total energy intake between the two groups. Children with UC had a significantly higher intake of UPFs than HCs (MD: 10.5%, p = 0.02), whereas no difference was observed in children with CD after excluding oral nutritional support. No difference in UPF intake was observed between children with active or inactive disease. However, children receiving biological therapy consumed significantly fewer UPFs than those receiving other treatments (MD: 8%, p = 0.04). Conclusions: Children with IBD consume more UPFs compared to HC. The UPF intake of children with CD was not lower than healthy children despite the recommended Crohn’s Disease Exclusion Diet (CDED). Full article
(This article belongs to the Special Issue Food Intake and Inflammatory Bowel Disease)
Show Figures

Figure 1

24 pages, 20512 KB  
Article
Integrated Gut Microbiota–Drug Interaction Analysis and Network Pharmacology for the Investigation of Renal-Protective Effect of Polygala tenuifolia Willd
by Jia-Chun Hu, Jian-Ye Song, Ru Feng, Meng-Liang Ye, Hui Xu, Jin-Yue Lu, Heng-Tong Zuo, Yi Zhao, Jing-Yue Wang, Jing-Yu Jin, Ling-Yu Wei, Yong-Mei Tu and Yan Wang
Int. J. Mol. Sci. 2025, 26(22), 10889; https://doi.org/10.3390/ijms262210889 - 10 Nov 2025
Viewed by 708
Abstract
Polygala tenuifolia Willd., a widely used traditional Chinese medicine, has the function of coordinating heart and kidney and eliminating swelling. However, its renal-protective efficacy and possible material basis remain unknown. The aim of the study was to investigate the renal-protective effect of Polygala [...] Read more.
Polygala tenuifolia Willd., a widely used traditional Chinese medicine, has the function of coordinating heart and kidney and eliminating swelling. However, its renal-protective efficacy and possible material basis remain unknown. The aim of the study was to investigate the renal-protective effect of Polygala tenuifolia Willd. and identify the potential active substance and molecular mechanism. A gentamicin-induced kidney injury model was established to investigate efficacy. Secondly, potential active substances and molecular mechanisms were studied through integrated gut microbiota–drug interaction analysis and network pharmacology at a cellular level. Finally, 16S rRNA sequencing and untargeted metabolomics were used to elucidate the gut microbiota composition and metabolic profile change. Polygala tenuifolia Willd. extracts (PWE), with tenuifoliside A (TFSA) as the key compound, significantly reversed gentamicin-induced acute kidney injury in mice. The gut microbiota-derived carboxylesterase metabolized TFSA into four characteristic metabolites (M1–M4). Notably, both TFSA and M4 were detected in kidney and exerted protective effects via inhibiting TLR4–NF-κB pathway. Furthermore, metabolic pathways and gut microbiota composition change were identified. PWE treatment significantly increased the abundance of beneficial bacteria such as Akkermansia and Blautia, while reducing the abundance of harmful bacteria such as Oscillospira. Subsequently, PWE can reverse amino acid metabolic abnormalities by regulating the biosynthesis of phenylalanine, tyrosine, and tryptophan and ameliorating tryptophan metabolism disorder. This study was the first to verify the renal-protective effect of PWE and identify the effective substance basis (TFSA) and the molecular mechanism, providing a scientific foundation for the development of kidney drug treatment strategies targeting the intestinal flora. Full article
(This article belongs to the Section Molecular Pathology, Diagnostics, and Therapeutics)
Show Figures

Figure 1

Back to TopTop