Effects of Nano-Silver Exposure on Oxidative Stress, Transcriptome, and Intestinal Microbiota of Procambarus clarkii
Simple Summary
Abstract
1. Introduction
2. Materials and Methods
2.1. Experimental Animals and Conditions
2.2. Chemicals and Reagents
2.3. Enzyme Activity Determination
2.4. Histological Observation
2.5. Analysis of Intestinal Microbiota
2.6. Transcriptome Sequencing Analysis
2.7. Quantitative RT-PCR Assay
2.8. Statistical Analysis
3. Results
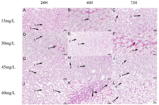
3.1. Histological Observation
3.2. Oxidative Stress and Antioxidant Enzymes
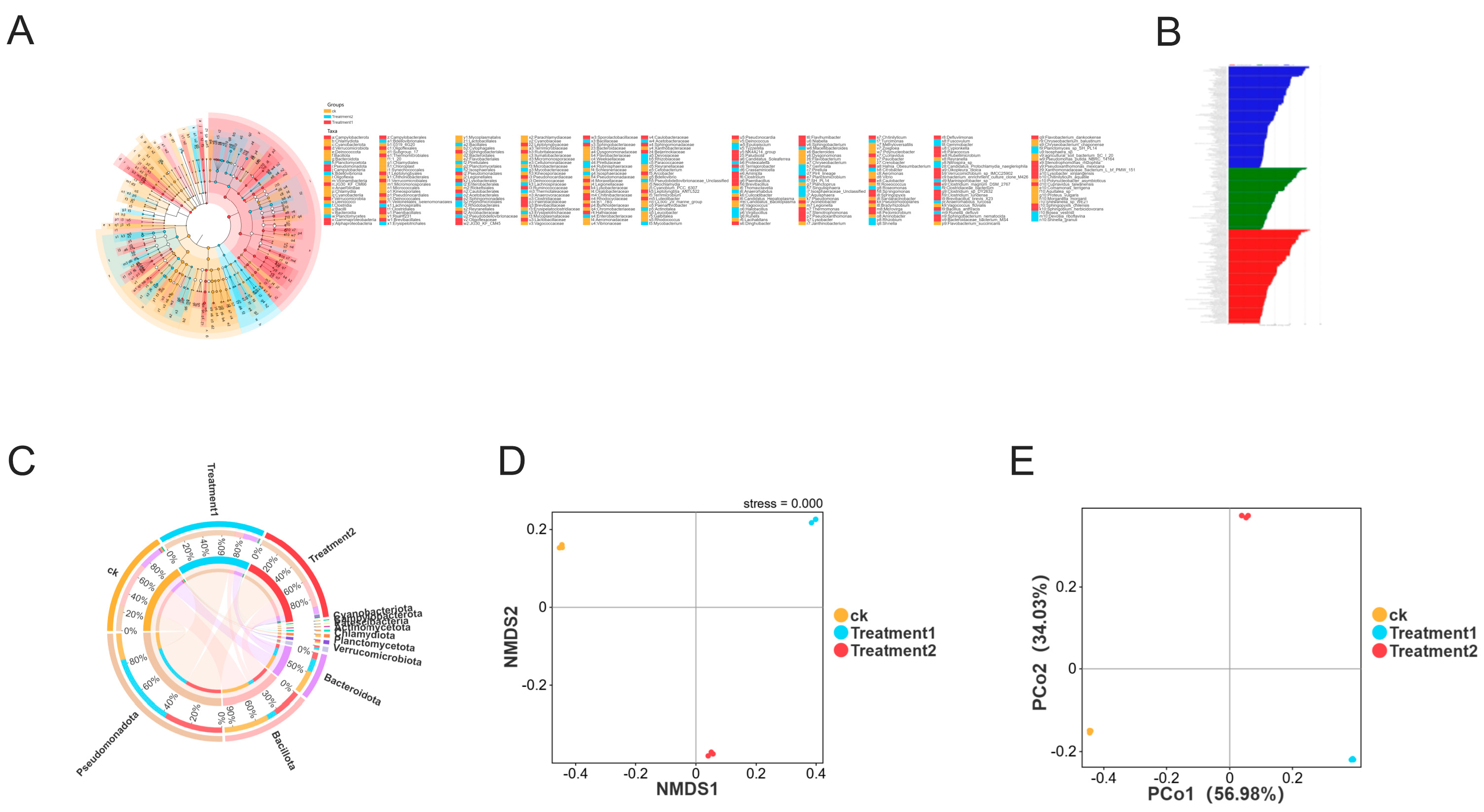
3.3. Analysis of Intestinal Microbiota
Diversity of Intestinal Microbiota
3.4. Transcriptome Analysis
3.5. Verification of qRT-PCR Results for Transcriptome Data
4. Discussion
5. Conclusions
Author Contributions
Funding
Institutional Review Board Statement
Informed Consent Statement
Data Availability Statement
Acknowledgments
Conflicts of Interest
Abbreviations
| CAT | catalase |
| SOD | superoxidedismutase |
| GST | glutathione-S-transferase |
| MDA | malondialdehyde |
| PPAR | peroxisome proliferators-activated receptors |
References
- Fisheries Department of Ministry of Agriculture. China Fishery Statical Yearbook: 2025; China Agriculture Press: Beijing, China, 2025.
- Ma, X.; Zhu, F.; Jin, Q. Antibiotics and chemical disease-control agents reduce innate disease resistance in crayfish. J. Fish Shellfish Immunol. 2018, 86, 169–178. [Google Scholar] [CrossRef]
- Wang, Y.; Hong, D.; Yao, J.; Tan, H.; Wang, S.; Li, J.; Luo, Y.; Wang, D.; Liu, S. Comparative transcriptome preliminary reveals the molecular mechanism of the growth rate of Procambarus clarkii. Reprod. Breed. 2021, 1, 204–209. [Google Scholar] [CrossRef]
- Dong, X.; Li, Z.; Wang, X.; Zhou, M.; Lin, L.; Zhou, Y.; Li, J. Characteristics of Vibrio parahaemolyticus isolates obtained from crayfish (Procambarus clarkii) in freshwater. Int. J. Food Microbiol. 2016, 238, 132–138. [Google Scholar] [CrossRef]
- Okuthe, G.E.; Siguba, B. Silver Nanoparticle-Induced Nephrotoxicity in Zebrafish (Danio rerio). Int. J. Mol. Sci. 2025, 26, 4216. [Google Scholar] [CrossRef]
- Luis, A.I.S.; Campos, E.V.R.; Oliveira, J.L.; Fraceto, L.F. Trends in aquaculture sciences: From now to use of nanotechnology for disease control. Rev. Aquac. 2019, 11, 119–132. [Google Scholar] [CrossRef]
- Seda, G.E.; Mohan, E.; Tabish, T.A. Graphene-Based Nanocomposites as Antibacterial, Antiviral and Antifungal Agents. Adv. Healthc. Mater. 2023, 12, 2370026. [Google Scholar]
- Harine, A.; Ranjani, S.; Hemalatha, S. Antifungal efficacy of Citrusfusion mediated silver nanoparticles in Candida species. BMC Biotechnol. 2025, 25, 18. [Google Scholar] [CrossRef]
- Verschuere, L.; Rombaut, G.; Sorgeloos, P.; Verstraete, W. Probiotic bacteria as biological control agents in aquaculture. Microbiol. Mol. Biol. Rev. MMBR 2000, 64, 655–671. [Google Scholar] [CrossRef]
- Ochoa-Meza, A.R.; Álvarez-Sánchez, A.R.; Romo-Quiñonez, C.R.; Barraza, A.; Magallón-Barajas, F.J.; Chávez-Sánchez, A.; García-Ramos, J.C.; Toledano-Magaña, Y.; Bogdanchikova, N.; Pestryakov, A.; et al. Silver nanoparticles enhance survival of white spot syndrome virus infected Penaeus vannamei shrimps by activation of its immunological system. Fish Shellfish Immunol. 2019, 84, 1083–1089. [Google Scholar] [CrossRef]
- Khurana, C.; Vala, A.K.; Andhariya, N.; Pandey, O.; Chudasama, B. Antibacterial activities of silver nanoparticles and antibiotic-adsorbed silver nanoparticles against biorecycling microbes. Environ. Sci. Process. Impacts 2014, 16, 2191–2198. [Google Scholar] [CrossRef] [PubMed]
- Li, C.; Liu, Z.; Xu, Y.; Chen, X.; Zhang, Q.; Hu, L.; Lv, Z.; Liu, X.; Xiao, T.; Li, D.; et al. AgNPs-induced oxidative stress and inflammation confer an increased susceptibility to aquatic reovirus infection. Aquaculture 2024, 586, 740748. [Google Scholar] [CrossRef]
- Exbrayat, M.J.; Moudilou, N.E.; Lapied, E. Harmful Effects of Nanoparticles on Animals. J. Nanotechnol. 2015, 2015, 861092. [Google Scholar] [CrossRef]
- Wu, J.; Bosker, T.; Vijver, M.G.; Peijnenburg, W.J.G.M. Trophic Transfer and Toxicity of (Mixtures of) Ag and TiO2 Nanoparticles in the Lettuce-Terrestrial Snail Food Chain. Environ. Sci. Technol. 2021, 55, 16563–16572. [Google Scholar] [CrossRef]
- Kaijun, Z.; Yi, H.; Luqing, Z.; Kun, Y.; Daohui, L. The role of exopolymeric substances in the bioaccumulation and toxicity of Ag nanoparticles to algae. Sci. Rep. 2016, 6, 32998. [Google Scholar] [CrossRef]
- Massarsky, A.; Dupuis, L.; Taylor, J.; Eisa-Beygi, S.; Strek, L.; Trudeau, V.L.; Moon, T.W. Assessment of nanosilver toxicity during zebrafish (Danio rerio) development. Chemosphere 2013, 92, 59–66. [Google Scholar] [CrossRef]
- Asharani, P.; Lianwu, Y.; Gong, Z.; Valiyaveettil, S. Comparison of the toxicity of silver, gold and platinum nanoparticles in developing zebrafish embryos. Nanotoxicology 2011, 5, 43–54. [Google Scholar] [CrossRef]
- Pecoraro, R.; Salvaggio, A.; Scalisi, E.M.; Iaria, C.; Lanteri, G.; Copat, C.; Ferrante, M.; Fragalà, G.; Zimbone, M.; Impellizzeri, G.; et al. Evaluation of the effects of silver nanoparticles on Danio rerio cornea: Morphological and ultrastructural analysis. Microsc. Res. Tech. 2019, 82, 1297–1301. [Google Scholar] [CrossRef]
- Paolo, P.; Serena, A.; Anna, Z.; Giuseppe, E.; Fabio, B.; Alessandro, D.; Alessandra, P.; Elisabetta, P.; Caterina, F.; Damià, B.; et al. The invasive red swamp crayfish (Procambarus clarkii) as a bioindicator of microplastic pollution: Insights from Lake Candia (northwestern Italy). Ecol. Indic. 2023, 150, 110200. [Google Scholar] [CrossRef]
- Mingming, H.; Tianheng, G.; Guoxing, L.; Chenxi, Z.; Tongqing, Z.; Mengling, S.; Jiajia, L.; Feng, J.; Qin, S.; Qichen, J. The effect of a polystyrene nanoplastic on the intestinal microbes and oxidative stress defense of the freshwater crayfish, Procambarus clarkii. Sci. Total Environ. 2022, 833, 155722. [Google Scholar]
- Jiao, T.; Chu, X.-H.; Gao, Z.-Q.; Yang, T.-T.; Liu, Y.; Yang, L.; Zhang, D.-Z.; Wang, J.-L.; Tang, B.-P.; Wu, K.; et al. New insight into the molecular basis of Fe (III) stress responses of Procambarus clarkii by transcriptome analysis. Ecotoxicol. Environ. Saf. 2019, 182, 109388. [Google Scholar] [CrossRef] [PubMed]
- Zhang, Y.; Li, Z.; Kholodkevich, S.; Sharov, A.; Chen, C.; Feng, Y.; Ren, N.; Sun, K. Effects of cadmium on intestinal histology and microbiota in freshwater crayfish (Procambarus clarkii). Chemosphere 2020, 242, 125105. [Google Scholar] [CrossRef]
- Knapik, L.F.; Ramsdorf, W. Ecotoxicity of malathion pesticide and its genotoxic effects over the biomarker comet assay in Daphnia magna. Environ. Monit. Assess. 2020, 192, 264. [Google Scholar] [CrossRef]
- Kim, B.-M.; Lee, J.W.; Seo, J.S.; Shin, K.-H.; Rhee, J.-S.; Lee, J.-S. Modulated expression and enzymatic activity of the monogonont rotifer Brachionus koreanus Cu/Zn- and Mn-superoxide dismutase (SOD) in response to environmental biocides. Chemosphere 2015, 120, 470–478. [Google Scholar] [CrossRef] [PubMed]
- Cui, Y.; Zhao, N.; Wang, C.; Long, J.; Chen, Y.; Deng, Z.; Zhang, Z.; Zhao, R.; Sun, J.; Wang, Z.; et al. Acute ammonia stress-induced oxidative and heat shock responses modulated by transcription factors in Litopenaeus vannamei. Fish Shellfish Immunol. 2022, 128, 181–187. [Google Scholar] [CrossRef] [PubMed]
- Li, Q.; Liu, Y.; Li, S.; Guo, X.; Fu, Y.; He, N.; Ruan, G.; Wang, Q.; Gao, W.; Fang, L. Impact of nitrite exposure on oxidative stress and antioxidative-related genes responses in the gills of Procambarus clarkii. Fish Shellfish Immunol. 2022, 131, 624–630. [Google Scholar] [CrossRef] [PubMed]
- Zhang, X.; Shen, M.; Wang, C.; Gao, M.; Wang, L.; Jin, Z.; Xia, X. Impact of aluminum exposure on oxidative stress, intestinal changes and immune responses in red swamp crayfish (Procambarus clarkii). Sci. Total Environ. 2022, 855, 158902. [Google Scholar] [CrossRef]
- Fan, Y.; Gao, Q.; Cheng, H.; Li, X.; Yuan, H.; Cai, X.; Tang, L.; Yuan, X.; Zhang, G.; Zhang, H. Comprehensive Multi-Omics Analysis of Muscle Tissue Alterations in Male Macrobrachium rosenbergii Induced by Frequent Mating. Int. J. Mol. Sci. 2025, 26, 3995. [Google Scholar] [CrossRef]
- Wang, Q.; Hu, Q.; Yang, S.; Shi, R.; Zheng, F.; Liu, X.; Huang, J.; Li, Y. Morphology-based selective breeding strategy analysis for abdominal meat yield in Procambarus clarkii. Aquac. Fish. 2025, 10, 878–886. [Google Scholar] [CrossRef]
- OuYang, K.; Feng, T.; Han, Y.; Li, J.; Ma, H. Cyhalofop-butyl and pyribenzoxim-induced oxidative stress and transcriptome changes in the muscle of crayfish (Procambarus clarkii). Sci. Total Environ. 2022, 864, 161170. [Google Scholar] [CrossRef]
- Satoh, K. Serum lipid peroxide in cerebrovascular disorders determined by a new colorimetric method. Clin. Chim. Acta 1978, 90, 37–43. [Google Scholar] [CrossRef]
- Sinha, A.K. Colorimetric assay of catalase. Anal. Biochem. 1972, 47, 389–394. [Google Scholar] [CrossRef]
- Habig, W.H.; Pabst, M.J.; Jakoby, W.B. Glutathione S-transferases: The first enzymatic step in mercapturic acid formation. J. Biol. Chem. 1974, 249, 7130–7139. [Google Scholar] [CrossRef]
- Marklund, S.; Marklund, G. Involvement of the superoxide anion radical in the autoxidation of pyrogallol and a convenient assay for superoxide dismutase. Eur. J. Biochem. 1974, 47, 469–474. [Google Scholar] [CrossRef] [PubMed]
- Livak, K.J.; Schmittgen, T.D. Analysis of relative gene expression data using real-time quantitative PCR and the 2−ΔΔCT method. Methods 2001, 25, 402–408. [Google Scholar] [CrossRef]
- González-Ruiz, R.; Peregrino-Uriarte, A.B.; Valenzuela-Soto, E.M.; Cinco-Moroyoqui, F.J.; Martínez-Téllez, M.A.; Yepiz-Plascencia, G. Mitochondrial manganese superoxide dismutase knock-down increases oxidative stress and caspase-3 activity in the white shrimp Litopenaeus vannamei exposed to high temperature, hypoxia, and reoxygenation. Comp. Biochem. Physiol. Part A 2021, 252, 110826. [Google Scholar] [CrossRef]
- Chen, Q.-L.; Sun, Y.-L.; Liu, Z.-H.; Li, Y.-W. Sex-dependent effects of subacute mercuric chloride exposure on histology, antioxidant status and immune-related gene expression in the liver of adult zebrafish (Danio rerio). Chemosphere 2017, 188, 1–9. [Google Scholar] [CrossRef]
- Alžběta, S.; Antonín, K.; Josef, V. Effect of chronic exposure to prometryne on oxidative stress and antioxidant response in red swamp crayfish (Procambarus clarkii). BioMed Res. Int. 2014, 2014, 680131. [Google Scholar] [CrossRef]
- Thom, R.; Dixon, D.P.; Edwards, R.; Cole, D.J.; Lapthorn, A.J. The structure of a zeta class glutathione S-transferase from Arabidopsis thaliana: Characterisation of a GST with novel active-site architecture and a putative role in tyrosine catabolism. J. Mol. Biol. 2001, 308, 949–962. [Google Scholar] [CrossRef]
- Zhu, X.; Zhu, L.; Lang, Y.; Chen, Y. Oxidative stress and growth inhibition in the freshwater fish Carassius auratus induced by chronic exposure to sublethal fullerene aggregates. J. Environ. Toxicol. Chem. 2008, 27, 1979–1985. [Google Scholar] [CrossRef] [PubMed]
- Alexander, C.; Mohammad, S.A. Nitrite implications and its management strategies in aquaculture: A review. J. Rev. Aquac. 2020, 12, 878–908. [Google Scholar]
- Hernández, P.; Park, D.; Rhee, K.S. Chloride salt type/ionic strength, muscle site and refrigeration effects on antioxidant enzymes and lipid oxidation in pork. Meat Sci. 2002, 61, 405–410. [Google Scholar] [CrossRef] [PubMed]
- Wang, L.; Jingyi, W.; Huimin, L.; Xiangli, L.; Beibei, C.; Fen, H.; Fang, L.; Jifeng, Y.; Pinhong, Y. Sub-chronic ammonia exposure induces hepatopancreatic damage, oxidative stress, and immune dysfunction in red swamp crayfish (Procambarus clarkii). Ecotoxicol. Environ. Saf. 2023, 254, 114724. [Google Scholar] [CrossRef]
- Zhang, Y.; Li, Z.; Kholodkevich, S.; Sharov, A.; Feng, Y.; Ren, N.; Sun, K. Cadmium-induced oxidative stress, histopathology, and transcriptome changes in the hepatopancreas of freshwater crayfish (Procambarus clarkii). Sci. Total Environ. 2019, 666, 944–955. [Google Scholar] [CrossRef]
- Zhu, X.; Peng, A.; Zou, Y.; Li, Y.; Wei, H.; Zheng, X.; Zhao, Y. Impact of Cold Stress on Hepatopancreas Transcriptomic and Metabolomic in Red Swamp Crayfish Procambarus clarkii. Int. J. Mol. Sci. 2025, 26, 1221. [Google Scholar] [CrossRef]
- Zou, Y.; Cao, P.; Bao, Z.; Xu, Y.; Xu, Z.; Guo, H. Histological, physiological and transcriptomic analysis in hepatopancreas of Procambarus clarkii under heat stress. Ecotoxicol. Environ. Saf. 2025, 289, 117459. [Google Scholar] [CrossRef] [PubMed]
- Lei, X.; Yang, L.; Tan, L.; Yang, Q.; Zhou, F.; Jiang, S.; Huang, J. Effect of Air Exposure and Re-Submersion on the Histological Structure, Antioxidant Response, and Gene Expression of Procambarus clarkii. Animals 2023, 13, 462. [Google Scholar] [CrossRef]
- Hossain, M.M.; Huang, H.; Yuan, Y.; Wan, T.; Jiang, C.; Dai, Z.; Xiong, S.; Cao, M.; Tu, S. Silicone stressed response of crayfish (Procambarus clarkii) in antioxidant enzyme activity and related gene expression. J. Environ. Pollut. 2021, 274, 115836. [Google Scholar] [CrossRef] [PubMed]
- Jin, Y.; Wu, S.; Zeng, Z.; Fu, Z. Effects of environmental pollutants on gut microbiota. Environ. Pollut. 2017, 222, 1–9. [Google Scholar] [CrossRef]
- Marchesi, J.R.; Adams, D.H.; Fava, F.; Hermes, G.D.A.; Hirschfield, G.M.; Hold, G.; Quraishi, M.N.; Kinross, J.; Smidt, H.; Tuohy, K.M.; et al. The gut microbiota and host health: A new clinical frontier. J. Gut 2016, 65, 330–339. [Google Scholar] [CrossRef]
- Tran, N.T.; Zhang, J.; Xiong, F.; Wang, G.-T.; Li, W.-X.; Wu, S.-G. Altered gut microbiota associated with intestinal disease in grass carp (Ctenopharyngodon idellus). World J. Microbiol. Biotechnol. 2018, 34, 71. [Google Scholar] [CrossRef]
- Zhi, W.; Tang, K.; Yang, J.; Yang, T.; Chen, R.; Huang, J.; Tan, H.; Zhao, J.; Sheng, Z. Research on the Gut Microbiota of Hainan Black Goat. Animals 2022, 12, 3129. [Google Scholar] [CrossRef]
- Shin, N.-R.; Whon, T.W.; Bae, J.-W. Proteobacteria: Microbial signature of dysbiosis in gut microbiota. Trends Biotechnol. 2015, 33, 496–503. [Google Scholar] [CrossRef]
- Zhang, S.; Li, B.; Zeng, L.; Yang, K.; Jiang, J.; Lu, F.; Li, L.; Li, W. Exploring the immune-inflammatory mechanism of Maxing Shigan Decoction in treating influenza virus A-induced pneumonia based on an integrated strategy of single-cell transcriptomics and systems biology. Eur. J. Med. Res. 2024, 29, 234. [Google Scholar] [CrossRef]
- Gheisari, H.R.; Motamedi, H. Chloride salt type/ionic strength and refrigeration effects on antioxidant enzymes and lipid oxidation in cattle, camel and chicken meat. Meat Sci. 2010, 86, 377–383. [Google Scholar] [CrossRef]
- Kamalam, B.S.; Medale, F.; Panserat, S. Utilisation of dietary carbohydrates in farmed fishes: New insights on influencing factors, biological limitations and future strategies. Aquaculture 2016, 467, 3–27. [Google Scholar] [CrossRef]
- Enes, P.; Panserat, S.; Kaushik, S.; Oliva-Teles, A. Nutritional regulation of hepatic glucose metabolism in fish. Fish Physiol. Biochem. 2009, 35, 519–539. [Google Scholar] [CrossRef] [PubMed]
- Chistyakov, D.V.; Aleshin, S.E.; Astakhova, A.A.; Sergeeva, M.G.; Reiser, G. Regulation of peroxisome proliferator-activated receptors (PPAR) α and-γ of rat brain astrocytes in the course of activation by toll-like receptor agonists. J. Neurochem. 2015, 134, 113–124. [Google Scholar] [CrossRef] [PubMed]











| Primer Name | Primer Sequences (5’-3’) |
|---|---|
| 18S rRNA-F | GTCAGGTCATCACCATCGGCA |
| 18S rRNA-R | CGGTCTCGTGAACACCAGCA |
| EGR1-F | GAGCTGACGCGACATATCCG |
| EGR1-F | GGCGAACTCCCACTCACTTTT |
| Klc-F | TGTGGATTTATTCCCTGACG |
| Klc-F | GTGCAAAGTTCGCAGACG |
| TAP-F | ATACATTGCTGATTTCACCCTC |
| TAP-F | ACCCAGCTTACTTGGTACTTGA |
| SIK2-F | TGCCTCGGATGGTTTAGT |
| SIK2-F | GCTGTCTGGTCGTTGTCTC |
| PCRP-F | TTCAAACCCTGGAGACC |
| PCRP-F | CTCGTCCTTATCATGTTTAGATTTA |
| ALG7-F | TAAACATAGTGGTGTCGGTAG |
| ALG7-F | TTTGTAGTGCGGTCTCGT |
| STIP1-F | CGCCGCAATCCCGAAGA |
| STIP1-F | TGGCTCCAGTCTGATGCACTCAT |
| TP63-F | CTCAAGACAAAGTCTGCCAAGT |
| TP63-R | CTGCGAAGTTCAGGTGAAGTAG |
| TOM40-F | CCAGGCACTATGGAAGAC |
| TOM40-R | CTGCTGAGTACCCACAAAC |
| PSMA5-F | GGCTCTAAAGATTGCGTTGA |
| PSMA5-R | GAAACCCTTCTCGGGGGTCACAGCT |
| SFRS7-F | CCTGAGGACCGTTGTTATG |
| SFRS7-R | GTATGATCTTCTCCTACGAGGT |
| ANPEP-F | GTCCTCCCATCCCATCA |
| ANPEP-R | AAAGGTCGTCCTGCTCTG |
| UXS1-F | AGACTGAGGCTTACTGGG |
| UXS1-R | ATACGTGCTACTCTTACTTCC |
| ORC3-F | TAAAGTGCTGGCAAATGG |
| ORC3-R | AAACACTGCATCGTGGTCT |
Disclaimer/Publisher’s Note: The statements, opinions and data contained in all publications are solely those of the individual author(s) and contributor(s) and not of MDPI and/or the editor(s). MDPI and/or the editor(s) disclaim responsibility for any injury to people or property resulting from any ideas, methods, instructions or products referred to in the content. |
© 2025 by the authors. Licensee MDPI, Basel, Switzerland. This article is an open access article distributed under the terms and conditions of the Creative Commons Attribution (CC BY) license.
Share and Cite
Li, J.; Qiu, B.; Chen, Y.; Cai, Y.; Zhang, H.; Huang, X.; Wang, Y.; Liu, S. Effects of Nano-Silver Exposure on Oxidative Stress, Transcriptome, and Intestinal Microbiota of Procambarus clarkii. Biology 2026, 15, 6. https://doi.org/10.3390/biology15010006
Li J, Qiu B, Chen Y, Cai Y, Zhang H, Huang X, Wang Y, Liu S. Effects of Nano-Silver Exposure on Oxidative Stress, Transcriptome, and Intestinal Microbiota of Procambarus clarkii. Biology. 2026; 15(1):6. https://doi.org/10.3390/biology15010006
Chicago/Turabian StyleLi, Jian, Bin Qiu, Yitian Chen, Yanping Cai, Huiling Zhang, Xingfei Huang, Yude Wang, and Shaojun Liu. 2026. "Effects of Nano-Silver Exposure on Oxidative Stress, Transcriptome, and Intestinal Microbiota of Procambarus clarkii" Biology 15, no. 1: 6. https://doi.org/10.3390/biology15010006
APA StyleLi, J., Qiu, B., Chen, Y., Cai, Y., Zhang, H., Huang, X., Wang, Y., & Liu, S. (2026). Effects of Nano-Silver Exposure on Oxidative Stress, Transcriptome, and Intestinal Microbiota of Procambarus clarkii. Biology, 15(1), 6. https://doi.org/10.3390/biology15010006
