Sign in to use this feature.

Years

Between: -

Subjects

remove_circle_outline
remove_circle_outline
remove_circle_outline
remove_circle_outline
remove_circle_outline
remove_circle_outline
remove_circle_outline
remove_circle_outline
remove_circle_outline

Journals

remove_circle_outline
remove_circle_outline
remove_circle_outline
remove_circle_outline
remove_circle_outline
remove_circle_outline
remove_circle_outline
remove_circle_outline
remove_circle_outline
remove_circle_outline
remove_circle_outline
remove_circle_outline
remove_circle_outline
remove_circle_outline
remove_circle_outline
remove_circle_outline
remove_circle_outline
remove_circle_outline

Article Types

Countries / Regions

remove_circle_outline
remove_circle_outline
remove_circle_outline
remove_circle_outline
remove_circle_outline

Search Results (871)

Search Parameters:
Keywords = histopathological kidney

Order results
Result details
Results per page
Select all
Export citation of selected articles as:
23 pages, 5148 KB  
Article
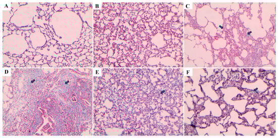
Antifibrotic Effects of Thymus syriacus Essential Oil in Bleomycin-Induced Pulmonary Fibrosis via Suppression of the TGF-β1/Smad2 Axis
by Pınar Aksoy, Önder Yumrutaş, Muhittin Doğan, Pınar Yumrutaş, Mehmet Sökücü and Mustafa Pehlivan
Int. J. Mol. Sci. 2026, 27(3), 1401; https://doi.org/10.3390/ijms27031401 - 30 Jan 2026
Abstract
Background: Pulmonary fibrosis (PF) is an irreversible interstitial lung disease in which the TGF-β/SMAD signaling pathway plays a critical role in its pathogenesis. Due to the anti-inflammatory and antioxidant properties of Thymus species, it is hypothesized that they may suppress pulmonary fibrosis by [...] Read more.
Background: Pulmonary fibrosis (PF) is an irreversible interstitial lung disease in which the TGF-β/SMAD signaling pathway plays a critical role in its pathogenesis. Due to the anti-inflammatory and antioxidant properties of Thymus species, it is hypothesized that they may suppress pulmonary fibrosis by modulating the TGF-β/SMAD pathway. This study aimed to investigate the potential antifibrotic effects of Thymus syriacus essential oil (TS) on the TGF-β/SMAD pathway in bleomycin-induced PF. Methods: PF was induced with bleomycin, and TS was administered at concentrations of 50 and 100 mg/mL for 28 days. mRNA and protein levels of TGF-β1, SMAD2, COL1, and α-SMA in lung tissues isolated were analyzed using real-time PCR and ELISA. TNF-α levels in BALF were measured by ELISA. ROS and MDA levels in lung issues were determined using 2,7-DHCFDA and TBARS tests, respectively. Histopathological evaluation was performed using Hematoxylin–Eosin and Masson’s trichrome staining. Blood samples were analyzed for kidney, liver, and cardiac toxicity markers. The chemical composition of TS was determined by GC–MS. Results: TS significantly reduced levels of TGF-β1, SMAD2, COL1, α-SMA, TNF-α, ROS and MDA compared to the BLM group. PF alterations were markedly attenuated by TS treatment. Thymol, p-cymene and carvacrol were identified as major constituents of TS. Conclusion: Overall, TS alleviates pulmonary fibrosis by suppressing the TGF-β/SMAD2 signaling pathway. Full article
(This article belongs to the Section Molecular Biology)
Show Figures

Figure 1

17 pages, 3051 KB  
Article
Batch-Dependent Hepatobiliary Toxicity of 10 nm Silver Nanoparticles After Single Intravenous Administration in Mice
by Simone Canesi, Laura Sala, Marcella de Maglie, Simona Rodighiero, Silvia Locarno, Andrea Raggi, Francesca Ferraris, Francesco Cubadda, Eugenio Scanziani, Cristina Lenardi and Camilla Recordati
Nanomaterials 2026, 16(3), 176; https://doi.org/10.3390/nano16030176 - 28 Jan 2026
Viewed by 46
Abstract
Silver nanoparticles (AgNPs) are extensively employed for their antimicrobial and biomedical properties, yet concerns persist regarding their potential toxicity. While AgNPs can induce oxidative stress, membrane disruption, and DNA damage, in vivo data remain inconsistent. This study investigated whether batch-to-batch variability in nominally [...] Read more.
Silver nanoparticles (AgNPs) are extensively employed for their antimicrobial and biomedical properties, yet concerns persist regarding their potential toxicity. While AgNPs can induce oxidative stress, membrane disruption, and DNA damage, in vivo data remain inconsistent. This study investigated whether batch-to-batch variability in nominally identical AgNPs of 10 nm size contributes to divergent in vivo toxicity outcomes. CD-1 (ICR) mice were intravenously injected with a single 10 mg/kg bw dose of spherical, citrate-coated 10 nm AgNPs from three different batches purchased from the same manufacturer. The mice were euthanized 24 h post-exposure for quantitative silver determination by inductively coupled plasma–mass spectrometry (ICP–MS) and histopathological evaluation of liver, spleen, lungs, kidneys, and brain. Autometallography and immunofluorescence were used to assess silver distribution and cellular localization in the hepatobiliary system. All the batches induced hepatobiliary toxicity, characterized by hepatocellular necrosis and gallbladder wall hemorrhage, of differing severity. The most toxic batches contained higher proportions of smaller AgNPs, suggesting that differences in size distribution influence toxicological outcomes. Silver agglomerates were localized within multiple cell types, indicating internalization and cell-specific cytotoxicity. These findings highlight that minor physicochemical variations affect in vivo results, underscoring the importance of nanoparticle characterization to improve reproducibility in nanotoxicological research. Full article
(This article belongs to the Section Biology and Medicines)
Show Figures

Graphical abstract

17 pages, 1087 KB  
Article
Bioactivity of Ribes nigrum L. Juice and Waste Extracts: Chemical Composition, Antioxidant, and Antiproliferative Properties
by Milica Trajković, Bojana Miladinović, Dragan Mihailović, Stevo Najman, Milica Milutinović, Milica Randjelović, Miloš Jovanović, Nemanja Kitić, Katarina Šavikin and Dušanka Kitić
Plants 2026, 15(3), 356; https://doi.org/10.3390/plants15030356 - 23 Jan 2026
Viewed by 167
Abstract
This study aimed to assess phytochemical profiles and antioxidant activities of lyophilized black currant fruit juice (BCLJ) and its corresponding waste extract (BCLW) from the Čačanska crna variety, and to evaluate their antiproliferative properties. The main anthocyanins quantified through HPLC-DAD analysis were delphinidin-3- [...] Read more.
This study aimed to assess phytochemical profiles and antioxidant activities of lyophilized black currant fruit juice (BCLJ) and its corresponding waste extract (BCLW) from the Čačanska crna variety, and to evaluate their antiproliferative properties. The main anthocyanins quantified through HPLC-DAD analysis were delphinidin-3-O-rutinoside and cyanidin-3-O-rutinoside, with significantly higher levels in BCLW. Antioxidant activity was examined using the DPPH and β-carotene/linoleic acid methods, with BCLW showing superior effects in both. Antiproliferative potential was evaluated by determining the Ki67 index in renal epithelial cells of rats treated with BCLJ or BCLW. Thirty healthy male rats were randomly assigned to five groups (n = 6) and administered BCLJ or BCLW orally for ten days, receiving 100, 200, and 300 mg/kg b.w. of BCLW (BCLW1, BCLW2, and BCLW3 groups, respectively) or 200 mg of BCLJ. Histopathological and immunohistochemical parameters were assessed in rats’ kidneys. Across all epithelial types (cortical proximal tubules, distal medullary proximal tubules, collecting ducts, and urothelial cells of the renal pelvis), the highest Ki67 indices were observed in control animals, particularly in collecting ducts and cortical proximal tubules. The lowest Ki67 values in cortical proximal tubules occurred in the BCLW2 group (p < 0.05 vs. control). These findings suggest that black currant preparations could be valuable functional ingredients. Full article
Show Figures

Figure 1

16 pages, 1236 KB  
Review
Pancreatic Metastases from Clear Cell Renal Cell Carcinoma: Diagnostic Insights from Endoscopic Ultrasound-Guided Fine-Needle Biopsy
by Alexandru Constantinescu, Ion Dina, Maria Nedelcu, Vlad Dumitru Băleanu, Vasile Florescu, Laura Enache, Octavian Andronic, Daniel Voiculescu and Ancuța Năstac
Medicina 2026, 62(2), 239; https://doi.org/10.3390/medicina62020239 - 23 Jan 2026
Viewed by 172
Abstract
Clear cell renal cell carcinoma (ccRCC) is the most common type of kidney cancer, accounting for approximately 75–80% of all renal carcinomas, and is often diagnosed incidentally on abdominal imaging, such as abdominal ultrasound or CT scan. Among other types of renal cancer, [...] Read more.
Clear cell renal cell carcinoma (ccRCC) is the most common type of kidney cancer, accounting for approximately 75–80% of all renal carcinomas, and is often diagnosed incidentally on abdominal imaging, such as abdominal ultrasound or CT scan. Among other types of renal cancer, ccRCC is recognized to be highly aggressive due to its metastatic potential, which leads to a poor prognosis and an increased mortality rate. The most common sites of ccRCC metastasis are the lung, lymph nodes, bone, liver, and adrenal glands. Clear cell RCC is the most frequent primary tumor associated with secondary pancreatic involvement, while overall, pancreatic metastases represent only 2–5% of all malignant pancreatic lesions. These metastases often occur many years after nephrectomy and may present as solitary or oligometastatic disease, frequently displaying a paradoxically favorable prognosis compared with other metastatic sites. The present narrative review we conducted emerged from presentations of ccRCC with pancreatic distant metastases, potentially labeled as primary pancreatic tumors on imaging studies, mimicking pancreatic neuroendocrine tumors due to the hypervascular nature of ccRCC. Four patients were investigated in our clinic for suspicious pancreatic lesions identified on CT imaging, involving both the head and body of the pancreas. The definitive diagnosis was established by performing endoscopic ultrasound-guided fine-needle aspiration (EUS-FNA) or fine-needle biopsy (FNB) and histopathological analysis of the collected tissue samples. Endoscopic ultrasound-guided fine-needle biopsy (EUS-FNB) has emerged as a pivotal tool for obtaining tissue diagnosis, particularly when cross-sectional imaging is inconclusive. Through a synthesis of clinical data and literature, this article underscores the essential diagnostic role of EUS-guided tissue acquisition and its impact on therapeutic decision-making. Full article
Show Figures

Figure 1

13 pages, 1790 KB  
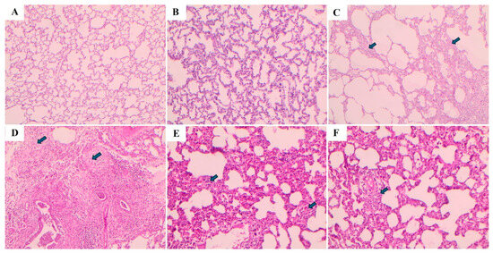
Article
Impact of Melatonin on Sepsis-Associated Acute Kidney Injury in Rat Model of Lipopolysaccharide Endotoxemia
by Milan Potić, Ivan Ignjatović, Dragoslav Bašić, Ljubomir Dinić, Aleksandar Skakić, Zoran Damnjanović, Nebojša Jovanović, Milica Mitić and Dušan Sokolović
Curr. Issues Mol. Biol. 2026, 48(1), 119; https://doi.org/10.3390/cimb48010119 - 22 Jan 2026
Viewed by 82
Abstract
Sepsis-associated acute kidney injury (S-AKI) is a frequent and life-threatening condition, characterized by rapid functional decline, which is followed by intense inflammation and tissue injury. Experimental lipopolysaccharide (LPS)-induced sepsis reproduces functional and morphological features of human S-AKI and enables investigation of melatonin which [...] Read more.
Sepsis-associated acute kidney injury (S-AKI) is a frequent and life-threatening condition, characterized by rapid functional decline, which is followed by intense inflammation and tissue injury. Experimental lipopolysaccharide (LPS)-induced sepsis reproduces functional and morphological features of human S-AKI and enables investigation of melatonin which has numerous beneficial properties, such as antioxidant properties. In this study, the effects of melatonin (50 mg/kg) on kidney dysfunction, oxidative damage, inflammation, apoptosis, and histopathological alterations in a rat model of S-AKI induced by LPS application (10 mg/kg) were studied. Acute LPS exposure caused statistically significant (p ≤ 0.05) marked renal dysfunction, increased lipid and protein oxidation, suppression of antioxidant enzymes, enhanced NO/iNOS signaling, elevated pro-inflammatory cytokines (TNF-α, IL-1β, IL-6), activation of apoptotic pathways, and pronounced tubular and glomerular injury. Co-administration of melatonin statistically significantly (p ≤ 0.05) attenuated oxidative stress, reduced production of inflammatory cytokines, suppressed apoptosis, and ameliorated structural kidney damage, leading to partial restoration of renal function. These findings suggest that melatonin exerts renoprotective effects in S-AKI through combined antioxidant, anti-inflammatory, and anti-apoptotic actions, likely involving modulation of different signaling pathways. Full article
(This article belongs to the Section Molecular Medicine)
Show Figures

Figure 1

20 pages, 5380 KB  
Article
Targeting SMPDL3B to Ameliorate Radiation- and Cisplatin-Induced Renal Toxicity
by Anis Ahmad, Shamroop Kumar Mallela, Saba Ansari, Mohammed Alnukhali, Sandra Merscher, Alla Mitrofanova, Youssef H. Zeidan, Alan Pollack, Alessia Fornoni and Brian Marples
Cells 2026, 15(2), 205; https://doi.org/10.3390/cells15020205 - 22 Jan 2026
Viewed by 92
Abstract
Kidney toxicity remains a major dose-limiting complication of radiation therapy and platinum-based chemotherapy, yet the molecular determinants of renal susceptibility and resilience to these genotoxic treatments are incompletely understood. Podocytes are particularly vulnerable to such insults, and emerging evidence implicates lipid dysregulation in [...] Read more.
Kidney toxicity remains a major dose-limiting complication of radiation therapy and platinum-based chemotherapy, yet the molecular determinants of renal susceptibility and resilience to these genotoxic treatments are incompletely understood. Podocytes are particularly vulnerable to such insults, and emerging evidence implicates lipid dysregulation in podocyte injury. This study investigated the role of sphingomyelin phosphodiesterase acid-like 3B (SMPDL3B), a podocyte-enriched lipid-modulating enzyme, in radiation- and cisplatin-induced nephrotoxicity. Using a doxycycline-inducible, podocyte-specific SMPDL3B transgenic mouse model, renal injury was assessed following focal kidney irradiation, cisplatin administration, or their combination through functional assays, histopathology, ultrastructural analysis, immunofluorescence, and targeted lipidomics. Combined radiation and cisplatin exposure markedly reduced podocyte SMPDL3B expression, accompanied by podocyte depletion, glomerular basement membrane remodeling, proteinuria, and impaired renal function. These structural and functional abnormalities were associated with the selective accumulation of long-chain ceramide-1-phosphate species. In contrast, podocyte-specific induction of SMPDL3B preserved glomerular architecture, maintained renal function, and prevented pathological ceramide-1-phosphate elevation. Collectively, these findings identify SMPDL3B as a key regulator of podocyte stability and lipid homeostasis during chemoradiation stress. Enhancing SMPDL3B activity may represent a mechanistically grounded strategy to mitigate treatment-induced kidney injury while preserving anticancer efficacy. Full article
(This article belongs to the Special Issue Cellular and Molecular Basis in Chronic Kidney Disease)
Show Figures

Figure 1

14 pages, 460 KB  
Article
First Isolation of Klebsiella pneumoniae from Septicaemic Piglets in Poland
by Piotr Cybulski, Ines Spiekermeier, Radosław Kondratiuk, Artur Jabłoński, Patryk Tarka and Grzegorz Woźniakowski
Microorganisms 2026, 14(1), 256; https://doi.org/10.3390/microorganisms14010256 - 22 Jan 2026
Viewed by 69
Abstract
Klebsiella pneumoniae is commonly known to cause a vast range of community-acquired or nosocomial infections. The isolation of K. pneumoniae has also been noted in diseased food-producing animals, including swine. The main goals of this study were to document clinical manifestation of a [...] Read more.
Klebsiella pneumoniae is commonly known to cause a vast range of community-acquired or nosocomial infections. The isolation of K. pneumoniae has also been noted in diseased food-producing animals, including swine. The main goals of this study were to document clinical manifestation of a septicaemia outbreak in suckling piglets due to K. pneumoniae ST25 and provide molecular characterisation of the isolates. For the purpose of this investigation, 13 dead suckling piglets with cyanosis were selected. All the isolates obtained from affected lungs were susceptible to apramycin, ceftiofur, gentamycin, neomycin, and spectinomycin, presented intermediate susceptibility to florfenicol, and were resistant to other tested antibiotics. Histopathological examination of lungs, kidneys, and livers revealed lesions typical of septicaemia. MLST analysis of the isolates demonstrated a complex metabolic profile of the bacteria with genes attributable to the hypervirulent phenotype. To the best of our knowledge, we documented the first outbreak of K. pneumoniae septicaemia in suckling piglets reared in Poland. Full article
Show Figures

Figure 1

15 pages, 8399 KB  
Article
Magnolol Ameliorates Cisplatin-Induced Acute Kidney Injury with Activation of Nrf2-Associated Antioxidant Responses
by Mi-Gyeong Gwon, Min Hui Park and Jaechan Leem
Curr. Issues Mol. Biol. 2026, 48(1), 96; https://doi.org/10.3390/cimb48010096 - 17 Jan 2026
Viewed by 111
Abstract
Cisplatin (CDDP) is a cornerstone chemotherapeutic drug, yet its efficacy is frequently compromised by renal toxicity, primarily manifesting as acute kidney injury (AKI). Magnolol (MG) is a polyphenol from Magnolia officinalis and has been widely documented for its pronounced antioxidant and anti-inflammatory properties. [...] Read more.
Cisplatin (CDDP) is a cornerstone chemotherapeutic drug, yet its efficacy is frequently compromised by renal toxicity, primarily manifesting as acute kidney injury (AKI). Magnolol (MG) is a polyphenol from Magnolia officinalis and has been widely documented for its pronounced antioxidant and anti-inflammatory properties. This study evaluated the renoprotective effects of MG in a murine model of CDDP-induced AKI. Male C57BL/6 mice received MG (20 mg/kg) via daily intraperitoneal injection for four consecutive days, starting one day before a single CDDP injection. MG significantly reduced the serum concentrations of blood urea nitrogen and creatinine. Histopathological assessment revealed attenuated tubular damage and reduced expression of tubular injury markers. MG inhibited pro-inflammatory cytokines at both systemic and renal levels, alleviated endoplasmic reticulum stress, and suppressed activation of mitogen-activated protein kinase signaling pathways. Apoptotic damage was mitigated, as shown by the fewer TUNEL-positive cells and lowered expression of pro-apoptotic markers. In parallel, ferroptotic processes were alleviated through downregulation of pro-ferroptotic proteins and preservation of key antioxidant regulators. Importantly, MG restored nuclear factor erythroid 2-related factor 2 activity and upregulated downstream antioxidant effectors. These findings highlight the multi-targeted renoprotective actions of MG and support its possible utility as a therapeutic agent to prevent CDDP-induced renal injury. Full article
(This article belongs to the Special Issue Molecular Mechanisms and Treatment of Kidney Diseases)
Show Figures

Figure 1

19 pages, 4459 KB  
Article
Rubia cordifolia L. Dichloromethane Extract Ameliorates Contrast-Induced Acute Kidney Injury by Activating Autophagy via the LC3B/p62 Axis
by Xiaoying Sun, Kangxu He, Guanzhong Chen, Xiaoda Yang, Xinhui Pan and Kai Liao
Molecules 2026, 31(2), 316; https://doi.org/10.3390/molecules31020316 - 16 Jan 2026
Viewed by 297
Abstract
Contrast-induced acute kidney injury (CIAKI) has emerged as the third most prevalent etiology of clinically acquired acute kidney injury, with a lack of specific preventive and therapeutic strategies. Rubia Cordifolia L. (madder root), a medicinal herb with a long-standing history and extensive clinical [...] Read more.
Contrast-induced acute kidney injury (CIAKI) has emerged as the third most prevalent etiology of clinically acquired acute kidney injury, with a lack of specific preventive and therapeutic strategies. Rubia Cordifolia L. (madder root), a medicinal herb with a long-standing history and extensive clinical application, exhibits multiple pharmacological activities. This study aimed to clarify the renal protective effect of Rubia cordifolia L. dichloromethane extract (RCDE) on CIAKI modeling rats and investigate potential anti-apoptotic and autophagy-inducing effects molecular mechanisms. In this study, RCDE constituents were identified by UPLC-Q-TOF-MS. A CIAKI rat model was established to evaluate the nephroprotective effect of RCDE. The results showed that RCDE high-dose group significantly decreased serum SCr and BUN levels, attenuated renal histopathological damage, and modulated oxidative stress markers by decreasing MDA and CAT while increasing SOD, compared with the model group. It downregulated the expressions of Bcl-2, caspase-3 and p62, upregulated the expressions of Bax, Beclin1 and reduced the LC3B-II/LC3B-I ratio in renal tissues. Molecular docking indicates that anthraquinone compounds are probably the principal active constituents of RCDE. This study provides experimental evidence for the intervention efficacy of RCDE against CIAKI. Full article
Show Figures

Graphical abstract

12 pages, 1373 KB  
Article
Plasma Levels of Aromatase, Cathepsin S and Matrix Metalloproteinase 1 in Renal Cell Carcinomas: Implications for Tumor Progression and Diagnostic Value
by Tomasz Guszcz, Anna Sankiewicz and Ewa Gorodkiewicz
Cancers 2026, 18(2), 283; https://doi.org/10.3390/cancers18020283 - 16 Jan 2026
Viewed by 185
Abstract
Background/Objectives: Kidney cancer (RC) is a significant global health burden. Renal cell carcinoma (RCC) is the most common form of kidney cancer. Its predominant histological subtype is clear cell renal cell carcinoma (ccRCC), which is frequently diagnosed at an advanced local stage [...] Read more.
Background/Objectives: Kidney cancer (RC) is a significant global health burden. Renal cell carcinoma (RCC) is the most common form of kidney cancer. Its predominant histological subtype is clear cell renal cell carcinoma (ccRCC), which is frequently diagnosed at an advanced local stage or with metastases. Detecting cancer at an early stage significantly increases the likelihood of a cure; therefore, research on new markers and a thorough understanding of tumor biology are essential. This study investigated the significance of aromatase (ARO), cathepsin S (CTSS), and matrix metalloproteinase 1 (MMP-1) as potential biomarkers in ccRCC. Methods: ARO, CTSS, and MMP-1 concentrations in plasma were determined using SPRi biosensors. Appropriate antibodies were used as biorecognition molecules in the biosensors. The samples analyzed came from 60 patients with histopathologically confirmed clear cell renal cell carcinoma (ccRCC) and from 26 patients diagnosed with chronic cystitis or benign prostatic hyperplasia (BPH). Results: A statistically significant increase (p < 0.00001) in the concentration of all proteins compared with the control samples was observed at the T3–T4 stage. The ARO concentration was already statistically significantly higher at the T1–T2 stage (p < 0.00001). The ROC curve for aromatase demonstrated high sensitivity and specificity for detecting ccRCC, with a cut-off point of 7.53 ng mL−1. A moderate positive correlation was also found between the concentrations of the three tested substances in renal cancer, which may indicate potential interactions in the tumor’s pathogenesis. Conclusions: SPRI testing has been shown to be an alternative to standard methods for detecting potential ccRCC markers. The biosensors used in the study can simultaneously determine ARO, CTSS, and MMP-1. The results obtained suggest the potential importance of these proteins in the development of ccRCC, and our work proposes a new diagnostic technique that may aid in the diagnosis of ccRCC. Full article
(This article belongs to the Section Cancer Biomarkers)
Show Figures

Figure 1

16 pages, 10722 KB  
Article
Mesenchymal Stem Cell-Derived Exosomes miR-143-3p Attenuates Diabetic Kidney Disease by Enhancing Podocyte Autophagy via Bcl-2/Beclin1 Pathway
by Wenze Song, Jiao Wang, Lulu Guan, Yun Zou, Jiarong Liu, Wen Chen, Jixiong Xu and Wei Cai
Biomedicines 2026, 14(1), 184; https://doi.org/10.3390/biomedicines14010184 - 14 Jan 2026
Viewed by 323
Abstract
Objective: Diabetic kidney disease (DKD) is characterized by podocyte injury and impaired autophagy. Bone marrow mesenchymal stem cell-derived exosomes (BMSC-Exos) exhibit therapeutic potential for DKD, yet their mechanisms remain unclear. This study investigated whether BMSC-Exos restore podocyte autophagy via the miR-143-3p/Bcl-2/Beclin1 axis [...] Read more.
Objective: Diabetic kidney disease (DKD) is characterized by podocyte injury and impaired autophagy. Bone marrow mesenchymal stem cell-derived exosomes (BMSC-Exos) exhibit therapeutic potential for DKD, yet their mechanisms remain unclear. This study investigated whether BMSC-Exos restore podocyte autophagy via the miR-143-3p/Bcl-2/Beclin1 axis to delay DKD progression. Methods: A high-glucose (HG)-induced podocyte injury model was established using mouse podocytes (MPC5). Autophagy-related proteins (Beclin1, Bcl-2, LC3) and the injury marker desmin were analyzed by Western blot and immunofluorescence (IF). High-throughput sequencing identified BMSC-Exos-enriched miRNAs, with the miR-143-3p/Bcl-2 targeting relationship validated by dual-luciferase reporter assays. BMSCs transfected with miR-143-3p mimic or inhibitor were used to assess exosomes effects on autophagy and podocin expression. In vivo, DKD mice received tail vein injections of modified BMSC-Exos, followed by evaluation of physiological parameters, biochemical indices, and renal histopathology. Results: BMSC-Exos were successfully isolated and characterized. Fluorescence microscopy confirmed exosomes internalization by HG-treated MPC5 cells. BMSC-Exos upregulated Beclin1 and LC3-II while downregulating Bcl-2 and desmin, indicating enhanced autophagy. High-throughput sequencing revealed miR-143-3p enrichment in BMSC-Exos, and Bcl-2 was confirmed as a direct target of miR-143-3p. Exosomes from miR-143-3p mimic-transfected BMSCs further promoted autophagy and podocin expression. In DKD mice, BMSC-Exos reduced blood glucose, urinary albumin-to-creatinine ratio (UACR), and ameliorated renal damage, whereas miR-143-3p inhibition attenuated these effects. Conclusions: BMSC-Exos deliver miR-143-3p to target Bcl-2, thereby activating Beclin1-mediated autophagy and ameliorating DKD. This study elucidates a novel autophagy regulatory mechanism supporting BMSC-Exos as a cell-free therapy for DKD. Full article
(This article belongs to the Section Cell Biology and Pathology)
Show Figures

Figure 1

19 pages, 4431 KB  
Article
Dunaliella salina-Loaded Diosmetin Carriers Alleviate Oxidative Stress and Inflammation in Cisplatin-Induced Acute Kidney Injury via PI3K/AKT Pathway
by Yujing Huangfu, Wei Chen, Dandan Guo, Peiyao Wang, Aifang Li, Yi Yang, Shuxuan Li, Qianfang Wang, Baiyan Wang and Shuying Feng
Pharmaceutics 2026, 18(1), 102; https://doi.org/10.3390/pharmaceutics18010102 - 12 Jan 2026
Viewed by 250
Abstract
Background: As a widely used chemotherapeutic agent, cisplatin frequently induces acute kidney injury (AKI), which severely compromises patient survival and limits its clinical use. While the natural flavonoid diosmetin (Dio) shows promise in mitigating cisplatin-induced nephrotoxicity, its clinical translation is challenged by poor [...] Read more.
Background: As a widely used chemotherapeutic agent, cisplatin frequently induces acute kidney injury (AKI), which severely compromises patient survival and limits its clinical use. While the natural flavonoid diosmetin (Dio) shows promise in mitigating cisplatin-induced nephrotoxicity, its clinical translation is challenged by poor solubility, low bioavailability, and incompletely elucidated mechanisms. This study aimed to overcome these limitations by developing a novel drug delivery system using the microalgae Dunaliella salina (D. salina, Ds) to load Dio (Ds-Dio), thereby enhancing its efficacy and exploring its therapeutic potential. Methods: We first characterized the physicochemical properties of Ds and Dio, and then Ds-Dio complex was synthesized via co-incubation. Its nephroprotective efficacy and safety were systematically evaluated in a cisplatin-induced mouse AKI model by assessing renal function (serum creatinine, blood urea nitrogen), injury biomarkers, histopathology, body weight, and organ index. The underlying mechanism was predicted by network pharmacology and subsequently validated experimentally. Results: The novel Ds-Dio delivery system has been successfully established. In the AKI model, Ds-Dio significantly improved renal function and exhibited a superior protective effect over Dio alone; this benefit is attributed to the enhanced bioavailability provided by Ds carrier. In addition, Ds-Dio also demonstrated safety performance, with no evidence of toxicity to major organs. Network pharmacology analysis predicted the involvement of PI3K/AKT pathway, which was experimentally verified. Specifically, we confirmed that Ds-Dio alleviates AKI by modulating the PI3K/AKT pathway, resulting in concurrent suppression of NF-κB-mediated inflammation and activation of NRF2-dependent antioxidant responses. Conclusions: This study successfully developed a microalgae-based drug delivery system, Ds-Dio, which significantly enhances the nephroprotective efficacy of Dio against cisplatin-induced AKI. The nephroprotective mechanism is associated with modulation of the PI3K/AKT pathway, resulting in the simultaneous attenuation of oxidative stress and inflammation. Full article
(This article belongs to the Section Biopharmaceutics)
Show Figures

Graphical abstract

16 pages, 3064 KB  
Article
Curcumin Mitigates Fumonisin B1-Induced Ovarian Toxicity in Peak-Laying Ducks via Hormone Metabolic Protection and Enhanced Reproductive Resilience
by Lihua Wang, Rui Liang, Qingyun Cao, Zhiwei Hou, Ali Mujtaba Shah, Qiuyi Deng, Xue Li, Jinze Li, Jiaqing Chen, Lukuyu A. Bernard, Muhammad Kashif Saleemi, Lin Yang and Wence Wang
Toxins 2026, 18(1), 34; https://doi.org/10.3390/toxins18010034 - 9 Jan 2026
Viewed by 278
Abstract
The objective of this study was to evaluate the protective effect of curcumin (Cur) on reproductive toxicity induced by fumonisin B1 (FB1) in laying ducks during the peak egg-laying period. A total of seventy-two 50-week-old Cherry Valley ducks were randomly [...] Read more.
The objective of this study was to evaluate the protective effect of curcumin (Cur) on reproductive toxicity induced by fumonisin B1 (FB1) in laying ducks during the peak egg-laying period. A total of seventy-two 50-week-old Cherry Valley ducks were randomly assigned to four groups: control, FB1 (30 mg/kg), Cur (200 mg/kg), and Cur + FB1 (200 mg/kg + 30 mg/kg). The experiment lasted for 35 days. Our results showed that cur supplementation effectively restored the reductions in final body weight (p = 0.005) and oviduct length (p = 0.020) induced by FB1 exposure. Residual FB1 concentrations in serum, liver, and ovaries were markedly increased in the FB1-treated group, while Cur significantly decreased the FB1 residual in duck liver (p < 0.05). Meanwhile, Cur supplementation markedly counteracted the FB1-induced reductions in serum total protein, albumin, triglycerides, and high-density lipoprotein induced by FB1 exposure. Cur supplementation effectively regulated FB1-induced oxidative stress, inflammation, and endocrine disruption. Specifically, Cur lowered FB1-induced malondialdehyde levels (p < 0.010), attenuated interleukin-1β increase (p = 0.083), and reversed the reduction in immunoglobulin G levels. FB increased the levels of hormones associated with duck reproduction, including estradiol, follicle-stimulating hormone, and luteinizing hormone; in contrast, curcumin supplementation decreased the levels of these hormones (p < 0.010). Histopathological analysis revealed that Cur significantly alleviated the inflammation and necrosis in the liver, kidneys, ovaries, and oviducts induced by FB1. In conclusion, dietary Cur supplementation effectively alleviated FB1-induced reproductive toxicity in laying ducks by enhancing antioxidant capacity, improving lipid metabolism, and restoring hormonal homeostasis. Full article
Show Figures

Figure 1

29 pages, 8991 KB  
Article
Exploration and Preliminary Investigation of Wiled Tinospora crispa: A Medicinal Plant with Promising Anti-Inflammatory and Antioxidant Properties
by Salma Saddeek
Curr. Issues Mol. Biol. 2026, 48(1), 70; https://doi.org/10.3390/cimb48010070 - 9 Jan 2026
Viewed by 276
Abstract
Background and Rationale: Tinospora crispa (L.) Hook.f. & Thomson (T. crispa) is a climbing medicinal plant with long-standing ethnopharmacological use, particularly in inflammatory and hepatic disorders and cancer-related conditions. There is a knowledge gap regarding how wild versus cultivated ecotypes differ in [...] Read more.
Background and Rationale: Tinospora crispa (L.) Hook.f. & Thomson (T. crispa) is a climbing medicinal plant with long-standing ethnopharmacological use, particularly in inflammatory and hepatic disorders and cancer-related conditions. There is a knowledge gap regarding how wild versus cultivated ecotypes differ in chemotype, bioactivity, and safety, and how this might support or refine traditional use. Study Objectives: This study aimed to compare wild and cultivated ecotypes of T. crispa from the Nile Delta (Egypt) in terms of quantitative and qualitative phytochemical profiles; selected in vitro biological activities (especially antioxidant and cytotoxic actions); genetic markers potentially associated with metabolic variation; and short-term oral safety in an animal model. Core Methodology: Standardized extraction of plant material from wild and cultivated ecotypes. Determination of total phenolics, total flavonoids, and major phytochemical classes (alkaloids, tannins, terpenoids). Metabolomic characterization using UHPLC-ESI-QTOF-MS, supported by NMR, to confirm key compounds such as berberine, palmatine, chlorogenic acid, rutin, and borapetoside C. In vitro bioassays including: Antioxidant activity (e.g., radical-scavenging assay with EC50 determination). Cytotoxicity against human cancer cell lines, with emphasis on HepG2 hepatoma cells and calculation of IC50 values. Targeted genetic analysis to detect single-nucleotide polymorphisms (SNPs) in the gen1 locus that differentiate ecotypes. A 14-day oral toxicity study in rats, assessing liver and kidney function markers and performing histopathology of liver and kidney tissues. Principal Results: The wild ecotype showed a 43–65% increase in total flavonoid and polyphenol content compared with the cultivated ecotype, as well as substantially higher levels of key alkaloids, particularly berberine (around 12.5 ± 0.8 mg/g), along with elevated chlorogenic acid and borapetoside C. UHPLC-MS and NMR analyses confirmed the identity of the main bioactive constituents and defined a distinct chemical fingerprint for the wild chemotype. Bioassays demonstrated stronger antioxidant activity of the wild extract than the cultivated one and selective cytotoxicity of the wild extract against HepG2 cells (IC50 ≈ 85 µg/mL), being clearly more potent than extracts from cultivated plants. Genetic profiling detected a C → T SNP within the gen1 region that differentiates the wild ecotype and may be linked to altered biosynthetic regulation. The 14-day oral toxicity study (up to 600 mg/kg) revealed no evidence of hepatic or renal toxicity, with biochemical markers remaining within physiological limits and normal liver and kidney histology. Conclusions and Future Perspectives: The wild Nile-Delta ecotype of T. crispa appears to be a stress-adapted chemotype characterized by enriched levels of multiple bioactive metabolites, superior in vitro bioactivity, and an encouraging preliminary safety margin. These findings support further evaluation of wild T. crispa as a candidate source for standardized botanical preparations targeting oxidative stress-related and hepatic pathologies, while emphasizing the need for: More comprehensive in vivo efficacy studies. Cultivation strategies that deliberately maintain or mimic beneficial stress conditions to preserve phytochemical richness. Broader geographical and genetic sampling to assess how generalizable the present chemotypic and bioactivity patterns are across the species. Full article
(This article belongs to the Special Issue Advances in Phytochemicals: Biological Activities and Applications)
Show Figures

Graphical abstract

17 pages, 2667 KB  
Article
Topical CCL3 Is Well-Tolerated and Improves Liver Function in Diabetic Mice: Evidence from a 14-Day Toxicity Study
by Deepa Dehari, Rajalekshmy Padmakumari, Getnet Tesfaw, Fernando A. Fierro, Guillermo A. Ameer and Sasha H. Shafikhani
Cells 2026, 15(2), 120; https://doi.org/10.3390/cells15020120 - 9 Jan 2026
Viewed by 336
Abstract
Diabetic wounds exhibit impaired immune function, delayed neutrophils recruitment, and heightened infection risk which compromises early infection control and delays healing. We have demonstrated that topical CCL3 treatment restores neutrophil influx, reduces bacterial infection by ~99%, and accelerates wound healing in diabetic mice. [...] Read more.
Diabetic wounds exhibit impaired immune function, delayed neutrophils recruitment, and heightened infection risk which compromises early infection control and delays healing. We have demonstrated that topical CCL3 treatment restores neutrophil influx, reduces bacterial infection by ~99%, and accelerates wound healing in diabetic mice. As per Food and Drug Administration (FDA) Guidelines for Investigational New Drug (IND), we conducted a 14-day acute toxicity study in diabetic mice following a single topical administration of CCL3 at effective low dose (1 µg) and high dose (10 µg) per wound. Mice were monitored for clinical signs, body weight, and food intake throughout the study period. On day 14, serum biochemistry (ALT, AST, BUN, creatinine, metabolic markers) and histopathology of major organs (liver, kidney, heart, lungs, spleen) were assessed. CCL3-treated diabetic mice exhibited no adverse clinical effects. Hematological and biochemical parameters remained within normal limits, and histopathological analyses revealed no additional organ injury in CCL3-treated groups compared to diabetic control mice. Intriguingly, CCL3-treated mice showed improved ALT levels and reduced hepatic pathology, suggesting hepatoprotective effects and reduced serum IgG, indicating reduced systemic inflammation. Overall, our study demonstrates that diabetic mice tolerate topical CCL3 at doses up to 10 times the effective therapeutic concentration without evidence of systemic organ toxicity. These findings provide strong preclinical support for the translational development of CCL3 as a novel therapy for diabetic wound care. Full article
(This article belongs to the Special Issue Cellular and Molecular Mechanisms of Wound Repair)
Show Figures

Figure 1

Back to TopTop