Pancreatic Metastases from Clear Cell Renal Cell Carcinoma: Diagnostic Insights from Endoscopic Ultrasound-Guided Fine-Needle Biopsy
Abstract
1. Introduction
2. Materials and Methods
3. Results
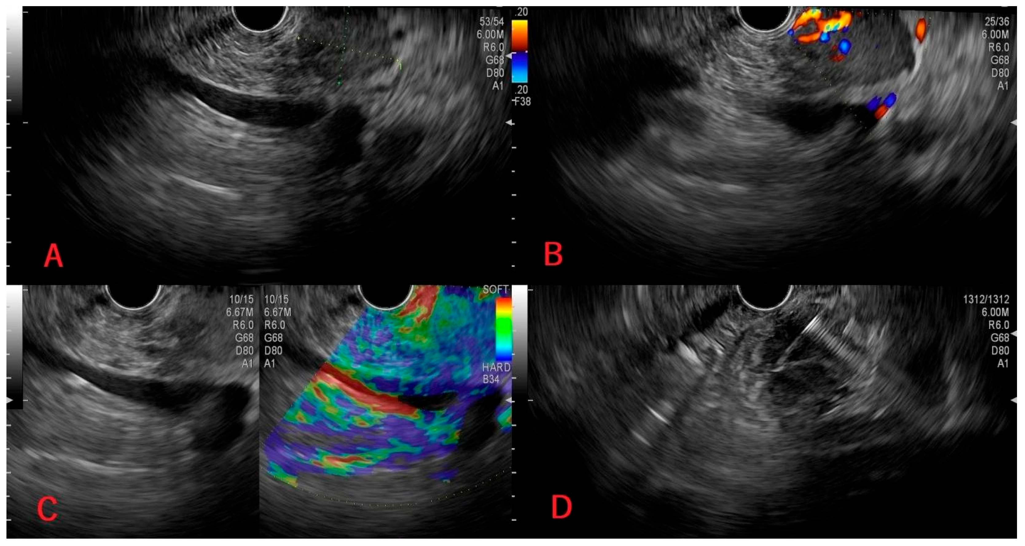
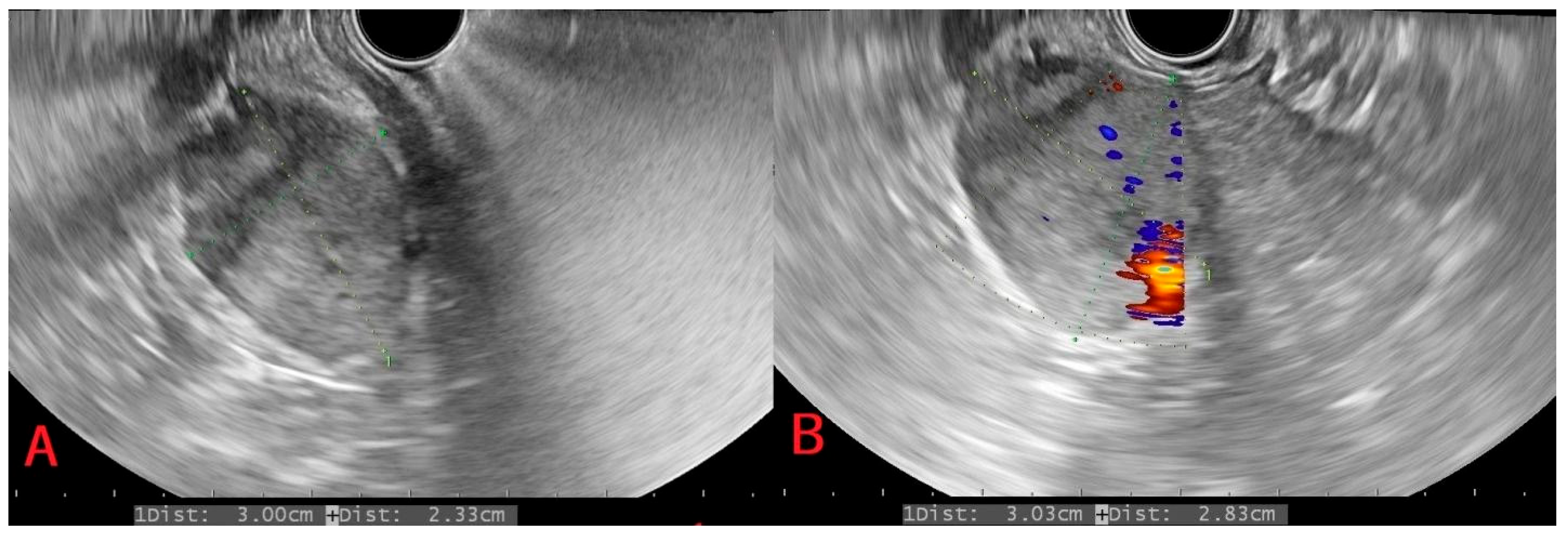
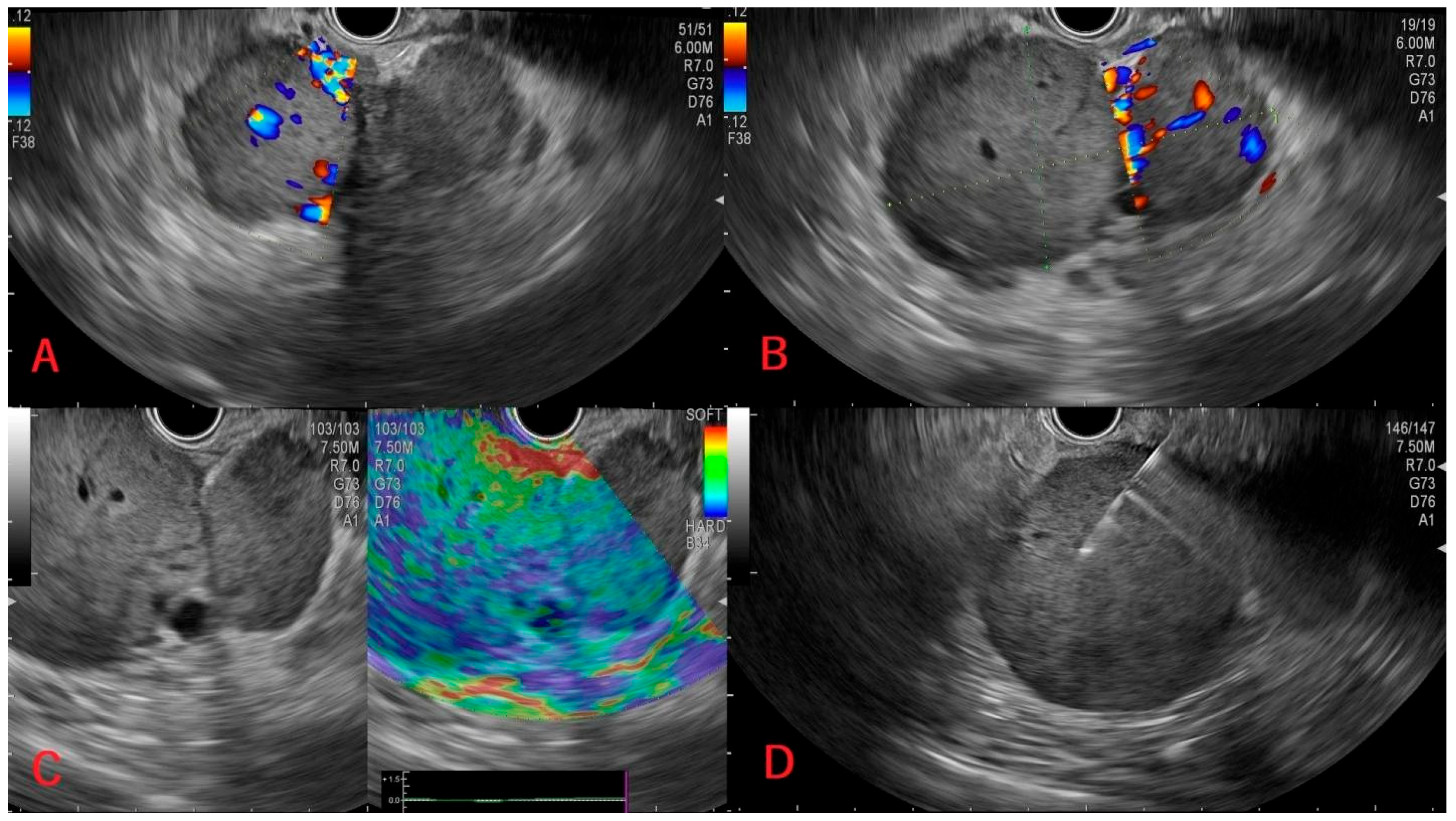
Clinical Illustrations
- A documented clinical history of primary renal cell carcinoma;
- Endoscopic ultrasound findings, typically hypoechoic, well-defined lesions often exhibiting hypervascularity on Doppler;
- Histopathological and immunohistochemical (IHC) confirmation via EUS-FNB/FNA, characterized by clear cell morphology and a positive IHC profile for PAX8, CAIX, CD10, and vimentin.




4. Discussion
4.1. Biological Mechanisms of Pancreatic Metastasis in ccRCC
4.2. Clinical Presentation and Prognostic Features
4.3. The Co-Occurrence of Renal Clear Cell Carcinoma and Colonic Adenocarcinoma
| Author, Year | Type | Age/Sex | Presentation | Clinical Features | Metastases | Outcome | Commentaries of Retrospective Analyses |
|---|---|---|---|---|---|---|---|
| Plangsiri, 2025 [66] | Case series | Patient 1: 65/F | Hematochezia for 7 months | Sigmoid adenocarcinoma and renal clear cell carcinoma—no underlying predisposing factor mentioned | Not identified | Good postoperative outcome, unclear follow up duration | |
| Patient 2: 73/F | Severe abdominal pain exacerbated by movement | Sigmoid adenocarcinoma and renal clear cell carcinoma—no underlying predisposing factor mentioned | Not identified | Good postoperative outcome, unclear follow up duration | |||
| Naik, 2020 [67] | Case report | 65/M | Abdominal pain, dorsalgia | Adenocarcinoma of the ascending colon and clear cell carcinoma of the kidney—no underlying predisposing factor mentioned | Not identified | Good postoperative outcome, 6 months follow-up | |
| Dafashy, 2016 [68] | Case series | 36/F | Left supraclavicular neck mass | Clear cell renal cell carcinoma and colonic adenocarcinoma in the context of hereditary nonpolyposis colorectal cancer, without any known family history | Renal cell carcinoma (lymph nodes). | Renal recurrence after one month with extending lymphatic involvement. The patient died approximately one year after diagnosis. | |
| Jin Heo, 2016 [69] | Case report | 74/M | Gait disturbance and tingling sensation of both legs | Colorectal adenocarcinoma, renal clear cell carcinoma and hemangioblastomas in von Hippel–Lindau disease | Metastases of hemangio-blastoma (brain), colonic adeno-carcinoma (liver), renal cell carcinoma (aortocaval lymph node) | The patient was stable at the writing of the paper (approximately one year later) | |
| Zinnamosca, 2013 [70] | Case report | 64/M | Intermittent abdominal pain, loss of appetite and constipation | Colon adenocarcinoma, renal clear cell carcinoma and adrenal pheochromo-cytoma in the context of Von Hippel-Landau disease. | Not identified at presentation; renal clear cell metastases appeared after 9 years of monitoring: lung, lymph nodes, mediastinum, liver. | Death 11 years after the initial presentation | |
| Steinhagen, 2013 [71] | Retrospective study | A study on 24,642 patients with colorectal cancer and 7366 patients with cell renal carcinoma (64% clear cell): synchronous occurrence in 0.73% of colonic neoplasias and 2.4% of renal neoplasias. Median age at diagnosis: 64 (28–80); 76% males; most tumors were in early stages; only one patient had pancreatic involvement from the renal malignancy; 42% of patients had at least one more neoplasia. The patients could not be associated with the Lynch syndrome. | |||||
| Kozokic, 2011 [72] | Case report | 81/M | Melena, intermittent abdominal pain and loss of appetite | Adenocarcinoma of the sigmoid colon and clear cell carcinoma of the kidney—no underlying predisposing factor mentioned | Not identified. | Good recovery after surgery; unclear data regarding follow-up | |
| Thompson, 2006 [63] | Retrospective study | 2722 patients with renal cell carcinoma: clear cell carcinoma was less associated with colon cancer and second malignancy than other types of renal cancer | |||||
| Capra, 2003 [73] | Only abstract, case series | Three patients | Patients were initially investigated for the colorectal neoplasia (the renal malignancy was asymptomatic) |
4.4. Tumor Identification
4.5. Diagnostic Efficacy of EUS-FNA/FNB
4.6. Clinical Management and the Era of Immunotherapy
4.7. Limitations
5. Conclusions
Author Contributions
Funding
Institutional Review Board Statement
Informed Consent Statement
Data Availability Statement
Conflicts of Interest
Abbreviations
| RCC | renal cell carcinoma |
| ccRCC | clear cell renal carcinoma |
| mRCC | metastatic renal cell carcinoma |
| EUS | endoscopic ultrasound |
| ROSE | rapid on-site evaluation |
| FNA | fine-needle aspiration |
| FNB | fine-needle biopsy |
| RFA | radio-frequency ablation |
| TT | targeted therapies |
References
- El Jurdi, K.; Taleb, A.; Choucair, K.; Ghaith, G.; Halal, B.; Gibeily, G. An Unusual Case of Urothelial Cell Carcinoma with Metastasis to the Pancreas. Cureus 2021, 13, e14851. [Google Scholar] [CrossRef]
- Layfield, L.J.; Hirschowitz, S.L.; Adler, D.G. Metastatic disease to the pancreas documented by endoscopic ultrasound-guided fine-needle aspiration: A seven-year experience. Diagn. Cytopathol. 2012, 40, 228–233. [Google Scholar] [CrossRef]
- Benbrahim, F.Z.; Majda, A.; Hatim, E.; Assad, E.B.; Soukaina, A.; Hounayda, J.; Youssef, O.; Rachida, L.; Sanae, A. A rare metastasis of an ovarian adenocarcinoma occurring 13 years later: A case report. Radiol. Case Rep. 2024, 19, 6217–6219. [Google Scholar] [CrossRef]
- Stoltz, A.; Barnoud, R.; Plok, V.; Ducerf, C.; Baulieux, J.; Mabrut, J.-Y. A pancreatic metastasis from a colon cancer. Clin. Res. Hepatol. Gastroenterol. 2011, 35, 586–589. [Google Scholar] [CrossRef]
- Hernandez, S.; Bejarano, B.; Sola, J.J.; Martin-Algarra, S.; Garcia-Foncillas, J.; Lozano, M.D.; Pardo, F. Pancreaticoduodenectomy for metastasis of uterine leiomyosarcoma to the pancreas. Clin. Transl. Oncol. 2010, 12, 643–645. [Google Scholar] [CrossRef]
- Ichiyama, N.; Ohmagari, N.; Sato, K.; Matsumoto, S.; Matsumura, A. Lung cancer metastasis to the pancreas mimicking autoimmune pancreatitis. Thorac. Cancer 2021, 12, 1467–1468. [Google Scholar] [CrossRef] [PubMed]
- Apodaca-Rueda, M.; Chaim, F.H.M.; Garcia, M.S.; Saito, H.P.A.; Gestic, M.A.; Utrini, M.P.; Callejas-Neto, F.; Chaim, E.A.; Cazzo, E. Solitary pancreatic metastasis from breast cancer: Case report and review of literature. Sao Paulo Med. J. 2019, 137, 201–205. [Google Scholar] [CrossRef] [PubMed]
- Molino, C.; Mocerino, C.; Braucci, A.; Marino, G.; Ricci, R.; Bonelli, R.; Libutti, S.K. Pancreatic solitary and synchronous metastasis from breast cancer: A case report and systematic review of controversies in diagnosis and treatment. World J. Surg. Oncol. 2014, 12, 2. [Google Scholar] [CrossRef] [PubMed]
- Machado, N.O.; Chopra, P.J.; Al Hamdani, A. Pancreatic metastasis from colon carcinoma nine years after a hemicolectomy managed by distal pancreatectomy. A review of the literature regarding the role and outcome of pancreatic resection for colorectal metastasis. A JOP 2010, 11, 377–381. [Google Scholar]
- Koh, Y.S.; Chul, J.; Cho, C.K.; Kim, H.J. Pancreatic metastasis of leiomyosarcoma in the right thigh: A case report. World J. Gastroenterol. 2007, 13, 1135–1137. [Google Scholar] [CrossRef]
- Lou, Y.; Lu, J.; Shen, J.; Huang, Y.; Zhou, Y.; Wang, X.; Pan, H. Case Report: Pancreatic metastasis of renal cell carcinoma 16 years after nephrectomy. Front. Oncol. 2023, 13, 1091635. [Google Scholar] [CrossRef]
- Gohji, K.; Matsumoto, O.; Kamidono, S. Solitary pancreatic metastasis from renal cell carcinoma. Hinyokika Kiyo 1990, 36, 677–681. [Google Scholar]
- Tolia, B.M.; Whitmore, W.F., Jr. Solitary metastasis from renal cell carcinoma. J. Urol. 1975, 114, 836–838. [Google Scholar] [CrossRef]
- Boutaleb, J.; Loubaris, S.; Salim, A.L.; Zamani, O.; Saouab, R.; El Fenni, J. Uncommon Pancreatic Metastasis 10 Years After Nephrectomy in Clear Cell Renal Carcinoma. Int. J. Clin. Stud. Med. Case Rep. 2025, 48, 42. [Google Scholar] [CrossRef]
- Faure, J.P.; Richer, J.P.; Irani, J.; Dugue, T.; Carretier, M.; Barbier, J. Renal cancer and late pancreatic metastases. Report of 3 cases and review of the literature. Prog. Urol. 1998, 8, 404–407. [Google Scholar] [PubMed]
- Paparel, P.; Cotton, F.; Voiglio, E.; Caillot, J.L.; Baulieux, J.; Ruffion, A. A case of late pancreatic metastasis from clear cell renal carcinoma. Prog. Urol. 2004, 14, 403–405. [Google Scholar] [PubMed]
- Benhaim, R.; Oussoultzoglou, E.; Saeedi, Y.; Mouracade, P.; Bachellier, P.; Lang, H. Pancreatic metastasis from clear cell renal cell carcinoma: Outcome of an aggressive approach. Urology 2015, 85, 135–140. [Google Scholar] [CrossRef]
- Glinka, J.; Claria, R.S.; Ardiles, V.; de Santibañes, E.; Pekolj, J.; de Santibañes, M.; Mazza, O. The pancreas as a target of metastasis from renal cell carcinoma: Results of surgical treatment in a single institution. Ann. Hepatobiliary Pancreat. Surg. 2019, 23, 240–244. [Google Scholar] [CrossRef]
- Capitanio, U.; Bensalah, K.; Bex, A.; Boorjian, S.A.; Bray, F.; Coleman, J.; Chen, J.L.; Sun, M.; Blute, M.L. Epidemiology of Renal Cell Carcinoma. Eur. Urol. 2018, 75, 74. [Google Scholar] [CrossRef]
- Napolitano, L.; Manfredi, C.; Cirillo, L.; Creta, M.; Crocetto, F.; Imbimbo, C.; De Sio, M.; Arcaniolo, D. Cytoreductive Nephrectomy and Metastatic Renal Cell Carcinoma: State of the Art and Future Perspectives. Medicina 2023, 59, 767. [Google Scholar] [CrossRef] [PubMed]
- Motzer, R.J.; Jonasch, E.; Agarwal, N.; Alva, A.; Baine, M.; Beckermann, K.; Costello, B.A.; Derweesh, I.H.; Hammers, H.J.; Kim, J.J.; et al. Kidney Cancer, Version 3. 2022, NCCN Clinical Practice Guidelines in Oncology. J. Natl. Compr. Cancer Netw. JNCCN 2022, 20, 71–90. [Google Scholar] [CrossRef] [PubMed]
- Bafadni, M.M.; Ahmed, A.O.; Eldous, A.M.; Mohammed, M.M.; Elhaj, H.S.; Mustafa, M.M.; Siddig, A.A. Clinical pathological characteristics and treatment outcomes of renal cell carcinoma (RCC): A retrospective study from Sudan. Cancer Med. Sci. 2023, 17, 1524. [Google Scholar] [CrossRef]
- Krisboi, I.; Breazu, C.; Pop, M.; Iancu, C.; Bartos, A. Multiple Pancreatic Metastasis of Clear Renal Cell Carcinoma Associated with Neuroendocrine Tumor. Chirurgia 2023, 118, 317–323. [Google Scholar] [CrossRef]
- Bassi, C.; Falconi, M.; Molinari, E.; Mantovani, W.; Butturini, G.; Sartori, N.; Salvia, R.; Pederzoli, P. High Recurrence rate after atypical resection for pancreatic metastases from renal cell carcinoma. Br. J. Surg. 2023, 90, 555–559. [Google Scholar] [CrossRef]
- Tanis, P.J.; van der Gaag, N.A.; Busch, O.R.; van Gulik, T.M.; Gouma, D.J. Systemic Review of Pancreatic Surgery for Metastatic Renal Cell Carcinoma. Br. J. Surg. 2009, 96, 579–592. [Google Scholar] [CrossRef]
- Tosoian, J.J.; Cameron, J.L.; Olino, K.; Herman, J.M.; Wolfgang, C.L.; Pawlik, T.M.; Schulick, R.D.; Edil, B.H. Resection of isolated renal cell carcinoma metastases of the pancreas: Outcomes from the John Hopkins Hospital. J. Gastrointest. Surg. 2014, 18, 542–548. [Google Scholar] [CrossRef]
- Santoni, M.; Conti, A.; Partelli, S.; Porta, C.; Sternberg, C.N.; Procopio, G.; Bracarda, S.; Basso, U.; De Giorgi, U.; Derosa, L.; et al. Surgical resection does not improve survival in patients with renal metastases to the pancreas in the era of tyrosine kinase inhibitors. Ann. Surg. Oncol. 2015, 22, 2094–2100. [Google Scholar] [CrossRef]
- Scatarige, J.C.; Horton, K.M.; Sheth, S.; Fishman, E.K. Pancreatic parenchymal metastases: Observations on helical CT. Am. J. Roentgenol. 2001, 176, 695–699. [Google Scholar] [CrossRef]
- Ballarin, R.; Spaggiari, M.; Cautero, N.; De Ruvo, N.; Montalti, R.; Longo, C.; Pecchi, A.; Gerunda, G.E. Pancreatic metastases from renal cell carcinoma: The state of the art. World J. Gastroenterol. WJG 2011, 17, 4747. [Google Scholar] [CrossRef]
- Bechade, D.; Desjardin, M.; Algayres, J.P. EUS-guided FNA of pancreatic metastasis from renal cell carcinoma. Gastrointest. Endosc. 2003, 58, 784–788. [Google Scholar] [CrossRef] [PubMed]
- Aversano, A.; Rizzello, F.; Maione, F.; De Luca, L.; Binda, C.; Brancaccio, G.; Fusaroli, P.; Lisotti, A. The Role of Endoscopic Ultrasonography (EUS) in Metastatic Tumors in the Pancreas: 10 Years of Experience from a Single High-Volume Center. Diagnostics 2024, 14, 1250. [Google Scholar] [CrossRef]
- Ohashi, Y.; Sato, T.; Kudo, T.; Ito, K.; Hosono, K.; Nakajima, A. Pancreatic Metastases from Renal Cell Carcinoma Showing Atypical Imaging Findings. Intern. Med. 2024, 63, 77. [Google Scholar] [CrossRef]
- Peregoy, M.B.; Powell, C.R.; Goldkind, L.; Baird, D.; Sanford, J.A.; Reed, W. Hidden in Plain Sight: Pancreatic and Gastric Metastases of Renal Cell Carcinoma Undetectable on Imaging. Cureus 2024, 16, e70211. [Google Scholar] [CrossRef]
- Kim, H.; Shim, B.Y.; Lee, S.-J.; Lee, J.Y.; Lee, H.-J.; Kim, I.-H. Loss of Von Hippel–Lindau (VHL) Tumor Suppressor Gene Function: VHL–HIF Pathway and Advances in Treatments for Metastatic Renal Cell Carcinoma (RCC). Int. J. Mol. Sci. 2021, 22, 9795. [Google Scholar] [CrossRef]
- Gossage, L.; Eisen, T.; Maher, E.R. VHL, the story of a tumour suppressor gene. Nat. Rev. Cancer 2015, 15, 55–64. [Google Scholar] [CrossRef]
- The Cancer Genome Atlas Research Network. Comprehensive molecular characterization of clear cell renal cell carcinoma. Nature 2013, 499, 43–49. [Google Scholar] [CrossRef] [PubMed]
- Ricketts, C.J.; De Cubas, A.A.; Fan, H.; Smith, C.C.; Lang, M.; Reznik, E.; Bowlby, R.; Gibb, E.A.; Akbani, R.; Beroukhim, R.; et al. The cancer genome atlas comprehensive molecular characterization of renal cell carcinoma. Cell Rep. 2018, 23, 3698. [Google Scholar] [CrossRef]
- Shen, T.; Xu, J.; Zhao, X.; Han, X.; Yuan, Y.; Jiang, L.; Hou, J. HIF2α drives ccRCC metastasis through transcriptional activation of methylation-controlled J protein and enhanced prolegumain secretion. Cell Death Dis. 2025, 16, 93. [Google Scholar] [CrossRef] [PubMed]
- Kaelin, W.G., Jr. The von Hippel-Lindau tumour suppressor protein: O2 sensing and cancer. Nat. Rev. Cancer 2008, 8, 865–873. [Google Scholar] [CrossRef]
- Kondo, K.; Kim, W.Y.; Lechpammer, M.; Kaelin, W.G., Jr. Inhibition of HIF2alpha is sufficient to suppress pVHL-defective tumor growth. PLoS Biol. 2003, 1, E83. [Google Scholar] [CrossRef]
- Hsieh, J.J.; Purdue, M.P.; Signoretti, S.; Swanton, C.; Albiges, L.; Schmidinger, M.; Heng, D.Y.; Larkin, J.; Ficarra, V. Renal cell carcinoma. Nat. Rev. Dis. Primers 2017, 3, 17009. [Google Scholar] [CrossRef]
- Pratticò, F.; Garajová, I. Focus on Pancreatic Cancer Microenvironment. Curr. Oncol. 2024, 31, 4241–4260. [Google Scholar] [CrossRef] [PubMed]
- Hartupee, C.; Nagalo, B.M.; Chabu, C.Y.; Tesfay, M.Z.; Coleman-Barnett, J.; West, J.T.; Moaven, O. Pancreatic cancer tumor microenvironment is a major therapeutic barrier and target. Front. Immunol. 2024, 15, 1287459. [Google Scholar] [CrossRef] [PubMed]
- Kung, H.-C.; Lin, S.T.; Tseng, C.W.; Hsu, S.L.; Chen, M.H.; Chang, C.H. The tumour microenvironment in pancreatic cancer—A new clinical challenges, but more opportunities. Nat. Rev. Clin. Oncol. 2025, 22, 969–995. [Google Scholar] [CrossRef] [PubMed]
- Fidler, I.J. The pathogenesis of cancer metastasis: The ‘seed and soil’ hypothesis revisited. Nat. Rev. Cancer 2003, 3, 453–458. [Google Scholar] [CrossRef]
- Quinn, A.E.; Bell, S.D.; Marrah, A.J.; Wakefield, M.R.; Fang, Y. The Current State of the Diagnoses and Treatments for Clear Cell Renal Cell Carcinoma. Cancers 2024, 16, 4034. [Google Scholar] [CrossRef]
- Crippa, S.; Angelini, C.; Molinari, E.; Bonardi, C.; Lukic, S.; Zamboni, G.; Falconi, M.; Pederzoli, P. Surgical treatment of metastatic tumors of the pancreas: A single center experience and review of the literature. World J. Surg. 2006, 30, 1536–1542. [Google Scholar] [CrossRef]
- Bhat, S. Role of surgery in advanced/metastatic renal cell carcinoma. Indian J. Urol. 2010, 26, 167–176. [Google Scholar] [CrossRef]
- Fujiwara, S.; Takada, Y.; Fujimoto, Y.; Hayami, S.; Miyasaka, M.; Kawai, M. Isolated Pancreatic Metastasis from Renal Clear Cell Renal Cell Carcinoma 29 Years After Radical Nephrectomy. Cureus 2024, 16, e54973. [Google Scholar] [CrossRef]
- Roland, C.F.; van Heerden, J.A. Non pancreatic primary tumors with metastasis to the pancreas. Surg. Gynecol. Obstet. 1989, 168, 345–347. [Google Scholar]
- Rini, B.I.; Campbell, S.C.; Escudier, B. Renal cell carcinoma. Lancet 2009, 373, 1119–1132. [Google Scholar] [CrossRef]
- Minni, F.; Casadei, R.; Perenze, B.; Greco, V.M.; Marrano, N.; Margiotta, A.; Marrano, D. Pancreatic metastases: Observations of three cases and review of the literature. Pancreatology 2004, 4, 509–520. [Google Scholar] [CrossRef]
- Silva, R.G.; Dahmoush, L.; Gerke, H. Pancreatic metastasis of an ovarian malignant mixed mullerian tumor identified by EUS-guided fine needle aspiration and trucut needle biopsy. J. Pancreas 2006, 7, 66–69. [Google Scholar]
- Vrabie, C.D.; Petrescu, A.; Waller, M.; Dina, I. Clinical factors and biomarkers in ovarian tumors development. Rom. J. Morphol. Embryol. 2008, 49, 327–338. [Google Scholar]
- Rais, K.; Al-Wazzan, H.; Al-Haddad, M. Solitary pancreatic metastasis from squamous cell lung carcinoma: A case report and review of literature. World J. Gastrointest. Endosc. 2022, 14, 455–466. [Google Scholar] [CrossRef] [PubMed]
- Vrabie, C.; Ceausu, M.; Petrescu, A.; Waller, M.; Dina, I. The usefulness of immunohistochemistry in sporadic colorectal cancer. Rom. J. Morphol. Embryol. 2008, 49, 525–535. [Google Scholar] [PubMed]
- Romanish, M.; Naous, R. 377 Metastatic Tumors to the Pancreas: An Institutional Experience. Ann. Diagn. Pathol. 2025, 105, 102604. [Google Scholar] [CrossRef]
- Shaya, J.A.; Lin, X.; Weise, N.; Cabal, A.; Panian, J.; Derweesh, I.H.; McKay, R.R. Prognostic Significance of Pancreatic Metastases in Patients with Advanced Renal Cell Carcinoma Treated with Systemic Therapy. Clin. Genitourin. Cancer 2021, 19, e367–e373. [Google Scholar] [CrossRef]
- Yamada, Y.; Sakai, A.; Abe, S.; Gonda, M.; Kobayashi, T.; Masuda, A.; Shiomi, H.; Shirakawa, S.; Toyama, H.; Hyodo, T.; et al. Pancreatic Metastasis of Renal Cell Carcinoma Filling into the Duct of Santorini. Clin. J. Gastroenterol. 2021, 14, 905–909. [Google Scholar] [CrossRef]
- Klatte, T.; Rossi, S.H.; Stewart, G.D. Prognostic factors and prognostic models for renal cell carcinoma: A literature review. World J. Urol. 2018, 36, 1943–1952. [Google Scholar] [CrossRef]
- Manola, J.; Royston, P.; Elson, P.; McCormack, A.D.; Mazumdar, M.; Negrier, S.; Wilding, G.; Fossa, S.D.; Dutcher, J.P.; Atkins, M.; et al. Prognostic model for survival in patients with metastatic renal cell carcinoma: Results from the international kidney cancer working group. Clin. Cancer Res. 2011, 17, 5443–5450. [Google Scholar] [CrossRef]
- Ljungberg, B.; Bensalah, K.; Canfield, S.; Dabestani, S.; Hofmann, F.; Hora, M.; Kuczyk, M.A.; Lam, T.; Marconi, L.; Merseburger, A.S.; et al. EAU guidelines on renal cell carcinoma: 2014 update. Eur. Urol. 2015, 67, 913–924. [Google Scholar] [CrossRef] [PubMed]
- Thompson, R.H.; Leibovich, B.C.; Cheville, J.C.; Webster, W.S.; Lohse, C.M.; Kwon, E.D.; Zincke, H.; Blute, M.L. Second Primary Malignancies Associated with Renal Cell Carcinoma Histological Subtypes. J. Urol. 2006, 176, 900–903. [Google Scholar] [CrossRef]
- Balaban, D.V.; Coman, L.; Marin, F.S.; Balaban, M.; Tabacelia, D.; Vasilescu, F.; Costache, R.S.; Jinga, M. Metastatic Renal Cell Carcinoma to Pancreas: Case Series and Review of the Literature. Diagnostics 2023, 13, 1368. [Google Scholar] [CrossRef] [PubMed]
- Bengtsen, M.B.; Farkas, D.K.; Sørensen, H.T.; Nørgaard, M. Renal Cell Carcinoma and Risk of Second Primary Cancer: A Danish Nationwide Cohort Study. Cancer Med. 2024, 13, e7237. [Google Scholar] [CrossRef]
- Plangsiri, S.; Ngamdachakij, P.; Jirapornsuwan, M.; Thepyasuwan, P.; Sribangpleenoi, C.; Kitgrongpaibul, P.; Thongchai, V.; Tangmesang, S. Simultaneous Laparoscopic Management of Dual Primary Malignancies: Case Reports and Literature Review of Synchronous Renal Cell Carcinoma and Colon Carcinoma of Sigmoid. J. Surg. Case Rep. 2025, 2025, rjaf722. [Google Scholar] [CrossRef] [PubMed]
- Naik, M.D.; Shinde, R.S.; Thammaiah, P.; Rampurwala, J.; Bansal, R. Synchronous Locally Advanced Renal and Colonic Carcinoma-Case Report with Review of Literature. Indian. J. Surg. Oncol. 2020, 11, 138–142. [Google Scholar] [CrossRef]
- Dafashy, T.J.; Ghaffary, C.K.; Keyes, K.T.; Sonstein, J. Synchronous Renal Cell Carcinoma and Gastrointestinal Malignancies. Case Rep. Urol. 2016, 2016, 7329463. [Google Scholar] [CrossRef]
- Heo, S.J.; Lee, C.-K.; Hahn, K.Y.; Kim, G.; Hur, H.; Choi, S.H.; Han, K.S.; Cho, A.; Jung, M. A Case of von Hippel-Lindau Disease with Colorectal Adenocarcinoma, Renal Cell Carcinoma and Hemangioblastomas. Cancer Res. Treat. 2016, 48, 409–414. [Google Scholar] [CrossRef][Green Version]
- Zinnamosca, L.; Laudisi, A.; Petramala, L.; Marinelli, C.; Roselli, M.; Vitolo, D.; Montesani, C.; Letizia, C. Von Hippel Lindau Disease with Colon Adenocarcinoma, Renal Cell Carcinoma and Adrenal Pheochromocytoma. Intern. Med. 2013, 52, 1599–1603. [Google Scholar] [CrossRef][Green Version]
- Steinhagen, E.; Moore, H.G.; Lee-Kong, S.A.; Shia, J.; Eaton, A.; Markowitz, A.J.; Russo, P.; Guillem, J.G. Patients with Colorectal and Renal Cell Carcinoma Diagnoses Appear to Be at Risk for Additional Malignancies. Clin. Color. Cancer 2012, 12, 23–27. [Google Scholar] [CrossRef]
- Kozokic, A.; Surlin, V.; Petrovic, B.; Petrovic, V.; Prvanovic, G.; Beraru, I.; Cheregi, S. Considerations upon a Case of Synchronous Primary Malignancies: Adenocarcinoma of the Sigmoid and Clear Cell Carcinoma of the Right Kidney. Rom. J. Morphol. Embryol. 2011, 52, 509–511. [Google Scholar] [PubMed]
- Capra, F.; Scintu, F.; Zorcolo, L.; Marongiu, L.; Casula, G. Synchronous colorectal and renal carcinomas. Is it a definite clinical entity? Chir. Ital. 2003, 55, 903–906. [Google Scholar]
- Shih, C.M.; Huang, C.T.; Chi, C.H.; Lin, J.W.; Pan, C.C. CA125-producing clear cell adenocarcinoma arising from the upper ureter and renal pelvis. J. Chin. Med. Assoc. 2010, 73, 40–43. [Google Scholar] [CrossRef][Green Version]
- Oliva, E.; Amin, M.B.; Jimenez, R.; Young, R.H. Clear cell carcinoma of the urinary bladder: A report and comparison of four tumors of Müllerian origin and nine of probable urothelial origin with discussion of histogenesis and diagnostic problems. Am. J. Surg. Pathol. 2002, 26, 190–197. [Google Scholar] [CrossRef]
- Bălăceanu, L.A.; Grigore, C.; Dina, I.; Gurău, C.-D.; Mihai, M.M.; Bălăceanu-Gurău, B. CA125 as a Potential Biomarker in Non-Malignant Serous Effusions: Diagnostic and Prognostic Considerations. J. Clin. Med. 2025, 14, 4152. [Google Scholar] [CrossRef]
- Vincenzi, M.; Pasquotti, G.; Polverosi, R.; Pasquali, C.; Pomerri, F. Imaging of pancreatic metastases from renal cell carcinoma. Cancer Imaging 2014, 14, 5. [Google Scholar] [CrossRef]
- Raman, S.P.; Hruban, R.H.; Cameron, J.L.; Wolfgang, C.L.; Fishman, E.K. Pancreatic imaging mimics: Part 2, pancreatic neuroendocrine tumors and their mimics. AJR Am. J. Roentgenol. 2012, 199, 309–318. [Google Scholar] [CrossRef]
- Choueiri, T.K.; Motzer, R.J. Systemic Therapy for Metastatic Renal-Cell Carcinoma. N. Engl. J. Med. 2017, 376, 354–366. [Google Scholar] [CrossRef]
- Kippenberger, M.; Schmeisser, N.; Ralla, B.; Kilic, E.; Miller, K.; Busch, J.; Magheli, A.; Hinz, S. Immune landscape of renal cell carcinoma with metastasis to the pancreas. Urol. Oncol. Semin. Orig. Investig. 2024, 42, e9–e373. [Google Scholar] [CrossRef]
- Yu, Q.; Ji, H.; He, R.; He, C.; Hu, S.; Wang, W. CT diagnosis for metastasis of clear cell renal cell carcinoma to the pancreas: Three case reports. Medicine 2018, 97, e13200. [Google Scholar] [CrossRef]
- Bicci, E.; Cozzi, D.; Ferrari, R.; Grazzini, G.; Pradella, S.; Miele, V. Pancreatic neuroendocrine tumours: Spectrum of imaging findings. Gland. Surg. 2020, 9, 2215–2224. [Google Scholar] [CrossRef]
- Thornton, G.D.; McPhail, M.J.W.; Nayagam, S.; Hewitt, M.J.; Vlavianos, P.; Binmoeller, K.F. Endoscopic ultrasound guided fine needle aspiration for the diagnosis of pancreatic cystic neoplasms: A meta-analysis. Pancreatology 2013, 13, 48–57. [Google Scholar] [CrossRef]
- Levine, I.; Trindade, A.J. Endoscopic ultrasound fine needle aspiration vs fine needle biopsy for pancreatic masses, subepithelial lesions, and lymph nodes. World J. Gastroenterol. 2021, 27, 4194–4207. [Google Scholar] [CrossRef]
- Findley, J.; Doozandeh, H.; Yan, L.; Cheng, L.; Yan, L. Endoscopic Ultrasound-Guided Fine-Needle Aspiration and Biopsy in the Diagnosis of Pancreatic Neuroendocrine Neoplasms: A Series of 72 Cases. Diagn. Cytopathol. 2025, 53, 546–554. [Google Scholar] [CrossRef]
- Halfdanarson, T.R.; Rabe, K.G.; Rubin, J.; Petersen, G.M. Pancreatic Neuroendocrine Tumors (PNETs): Incidence, Prognosis and Recent Trend Toward Improved Survival. Ann. Oncol. 2008, 19, 1727–1733. [Google Scholar] [CrossRef]
- Siddiqui, A.A.; Brown, L.J.; Hong, S.K.; Draganova-Tacheva, R.A.; Korenblit, J.; Loren, D.E.; Kowalski, T.E.; Solomides, C. Relationship of pancreatic mass size and diagnostic yield of endoscopic ultrasound-guided fine needle aspiration. Dig. Dis. Sci. 2011, 56, 3370–3375. [Google Scholar] [CrossRef]
- Riemenschneider, K.A.; Farooqui, W.; Penninga, L.; Storkholm, J.H.; Hansen, C.P. The results of surgery for renal cell carcinoma metastases of the pancreas. Scand. J. Gastroenterol. 2024, 59, 354–360. [Google Scholar] [CrossRef]
- Søreide, K.; Hauge, E.M.; Vigmostad, M.N. Renal cell carcinoma with metastasis to the pancreas: A model for oligometastasis, oligoprogression and metastatic organotropism. Clin. Exp. Metastasis 2025, 42, 38. [Google Scholar] [CrossRef]
- Rini, B.I.; Plimack, E.R.; Stus, V.; Gafanov, R.; Hawkins, R.; Nosov, D.; Pouliot, F.; Alekseev, B.; Soulières, D.; Melichar, B.; et al. Pembrolizumab plus Axitinib versus Sunitinib for Advanced Renal-Cell Carcinoma. N. Engl. J. Med. 2019, 380, 1116–1127. [Google Scholar] [CrossRef]
- Grassi, P.; Doucet, L.; Giglione, P.; Deleuze, J.; Albiges, L.; Di Lorenzo, G.; De Giorgi, U.; Messina, C.; Carteni, G.; Verzoni, E.; et al. Clinical Impact of Pancreatic Metastases from Renal Cell Carcinoma: A Multicenter Retrospective Analysis. PLoS ONE 2016, 11, 151662. [Google Scholar] [CrossRef]
- Hirashita, T.; Iwashita, Y.; Endo, Y.; Ohta, M.; Inomata, M. How should we treat pancreatic metastases from renal cell carcinoma? A meta-analysis. World J. Surg. 2021, 45, 2191–2199. [Google Scholar] [CrossRef]
- Sellner, F.; Tykalsky, N.; De Santis, M.; Pont, J.; Helbich, T. Solitary and multiple isolated metastases of clear cell renal carcinoma to the pancreas: An indication for pancreatic surgery. Ann. Surg. Oncol. 2006, 13, 75–85. [Google Scholar] [CrossRef]
- Ather, M.H.; Masood, N.; Siddiqui, T. Current management of advanced and metastatic renal cell carcinoma. Urol. J. 2010, 7, 1–9. [Google Scholar]
- Hayat, U.; Croce, P.S.; Saadeh, A.; Desai, K.; Appiah, J.; Khan, S.; Khan, Y.I.; Kumar, K.; Hanif, A. Current and Emerging Treatment Options for Pancreatic Cancer: A Comprehensive Review. J. Clin. Med. 2025, 14, 1129. [Google Scholar] [CrossRef]
- Davis, C.H.; Beane, J.D.; Gazivoda, V.P.; Grandhi, M.S.; Greenbaum, A.A.; Kennedy, T.J.; Langan, R.C.; August, D.A.; Alexander, H.R.; Pitt, H.A. Neoadjuvant Therapy for Pancreatic Cancer: Increased Use and Improved Optimal Outcomes. J. Am. Coll. Surg. 2022, 234, 436–443. [Google Scholar] [CrossRef]
- Kolbeinsson, H.M.; Chandana, S.; Wright, G.P.; Chung, M. Pancreatic Cancer: A Review of Current Treatment and Novel Therapies. J. Investig. Surg. 2023, 36, 2129884. [Google Scholar] [CrossRef]
- Sweeney, A.D.; Wu, M.F.; Hilsenbeck, S.G.; Brunicardi, F.C.; Fisher, W.E. Value of Pancreatic Resection for Cancer Metastatic to the Pancreas. J. Surg. Res. 2009, 156, 189–198. [Google Scholar] [CrossRef]
- Sperti, C.; Moletta, L.; Patanè, G. Metastatic tumors to the pancreas: The role of surgery. World J. Gastrointest. Oncol. 2014, 6, 381–392. [Google Scholar] [CrossRef]
- Chanez, B.; Bidault, F.; Edeline, J.; de Baere, T.; Tselikas, L.; Boige, V.; Ducreux, M.; Burtin, P.; Malka, D. Endoscopic ultrasound-guided radiofrequency ablation as an future alternative to pancreatectomy for pancreatic metastases from renal cell carcinoma: A prospective study. Cancers 2021, 13, 5267. [Google Scholar] [CrossRef]
- Stouvenot, M.; Koch, S.; Frontzcak, A.; D’Engremont, C.; Boinette, A.; Doussot, A.; Maurina, T.; Vuitton, L. Effectiveness and safety of endoscopic ultrasound-guided radiofrequency ablation for pancreatic metastases of renal cell carcinoma. Endosc. Int. Open 2025, 13, a25667350. [Google Scholar] [CrossRef]
- Matsumoto, K.; Uchida, D.; Takeuchi, Y.; Kato, H.; Fujii, Y.; Harada, K.; Hattori, N.; Sato, R.; Obata, T.; Matsumi, A.; et al. Efficacy and safety of endoscopic ultrasonography-guided radiofrequency ablation of small pancreatic neuroendocrine neoplasms: A prospective, pilot study. DEN Open 2025, 5, e70073. [Google Scholar] [CrossRef]
- Kalogeraki, A.; Mouzas, I.; Koutroubakis, I.E.; Pothoulakis, I.; Tsantoula, G.; Synekidou, E.; Kteniadakis, S.; Chalkiadakis, G. Osteoclast: Like giant cell undiferrentiated pancreatic tumor diagnosed by means of EUS guided FNA. Acta Biomed. 2021, 92, e2021106. [Google Scholar] [CrossRef]
| Case | Age/Sex | Presentation & Relevant History | Lesion Location & Size | EUS Appearance | Key IHC Findings Reported | Complications | Management & Follow-Up |
|---|---|---|---|---|---|---|---|
| 1 | 65/M | Incidental lesion on CT (admission for cholecystectomy); renal tumor diagnosed during the same presentation; cardiovascular comorbidities. | Cephalic, 22/16 mm. | Hypoechoic, well-demarcated, relatively homogeneous; accentuated intratumoral vascular flow; hard consistency. | Negative: chromogranin, synaptophysin, CK7, CK20. Positive: cytokeratin AE1/AE3, CD10, vimentin, PAX8 and CAIX. | No significant short-term complication. | CT→EUS with FNA→Single-stage nephrectomy + cephalic duodenopancreatectomy; oncologic treatment; favorable outcomes at 3-year follow-up. |
| 2 | 72/M | Known left renal tumor and pulmonary metastases—a caudal pancreatic lesion apparent on CT; cardiovascular comorbidities, cholecystectomy | Cephalic, 30 × 28 mm. | Hypoechoic; normal Doppler signal; hard. | Negative: chromogranin, synaptophysin, CK7, CK20, p63, HSA. Positive: AE1/AE3, PAX8, CAIX. | Perilesional fluid outline ~3 cm, suggestive of de novo hematoma. It did not increase in size and Hb remained normal. | CT→EUS with FNA→Oncologic treatment only (advanced stage). Unknown follow-up data. |
| 3 | 61/F | Referred for painless jaundice and mild pruritus. CT: small renal tumor, cephalo-pancreatic lesion, lung/liver metastases. No significant medical history. | Uncinate process; bilobed; 68 × 41 mm. | Hypoechoic, rich Doppler signal; predominantly hard consistency. | Negative: chromogranin, synaptophysin, CK7, CD10, AE1/AE3. Positive: Ki-67 (5–10%), PAX8 CAIX. | No significant short-term complication. | CT→EUS with FNA→Oncologic treatment only (advanced stage); cardiac arrest during hospitalization. |
| 4 | 78/F | Recurrent UGIB which revealed a pancreatic lesion bulging and infiltrating in the second part of the duodenum and an anatomic vascular variant with a replaced right hepatic artery arising from the superior mesenteric artery; history of ccRCC (more than 20 years prior, grade 2, surgically managed); simultaneously diagnosed sigmoid adenocarcinoma (due to the appearance of wall thickening on CT). | Pancreatic lesion bulging and infiltrating in the second part of the duodenum. | Irregular, round, intense Doppler vascular signal, hard consistency. | Limited IHC evaluation, but PAX8 positive | Recurrent hemorrhagic episodes. | Endoscopic hemostasis with initial inconclusive biopsy→CT→EUS with FNA→ left colectomy and cephalic duodenopancreatectomy; favorable outcome maintained at 2-year follow-up. |
Disclaimer/Publisher’s Note: The statements, opinions and data contained in all publications are solely those of the individual author(s) and contributor(s) and not of MDPI and/or the editor(s). MDPI and/or the editor(s) disclaim responsibility for any injury to people or property resulting from any ideas, methods, instructions or products referred to in the content. |
© 2026 by the authors. Published by MDPI on behalf of the Lithuanian University of Health Sciences. Licensee MDPI, Basel, Switzerland. This article is an open access article distributed under the terms and conditions of the Creative Commons Attribution (CC BY) license.
Share and Cite
Constantinescu, A.; Dina, I.; Nedelcu, M.; Băleanu, V.D.; Florescu, V.; Enache, L.; Andronic, O.; Voiculescu, D.; Năstac, A. Pancreatic Metastases from Clear Cell Renal Cell Carcinoma: Diagnostic Insights from Endoscopic Ultrasound-Guided Fine-Needle Biopsy. Medicina 2026, 62, 239. https://doi.org/10.3390/medicina62020239
Constantinescu A, Dina I, Nedelcu M, Băleanu VD, Florescu V, Enache L, Andronic O, Voiculescu D, Năstac A. Pancreatic Metastases from Clear Cell Renal Cell Carcinoma: Diagnostic Insights from Endoscopic Ultrasound-Guided Fine-Needle Biopsy. Medicina. 2026; 62(2):239. https://doi.org/10.3390/medicina62020239
Chicago/Turabian StyleConstantinescu, Alexandru, Ion Dina, Maria Nedelcu, Vlad Dumitru Băleanu, Vasile Florescu, Laura Enache, Octavian Andronic, Daniel Voiculescu, and Ancuța Năstac. 2026. "Pancreatic Metastases from Clear Cell Renal Cell Carcinoma: Diagnostic Insights from Endoscopic Ultrasound-Guided Fine-Needle Biopsy" Medicina 62, no. 2: 239. https://doi.org/10.3390/medicina62020239
APA StyleConstantinescu, A., Dina, I., Nedelcu, M., Băleanu, V. D., Florescu, V., Enache, L., Andronic, O., Voiculescu, D., & Năstac, A. (2026). Pancreatic Metastases from Clear Cell Renal Cell Carcinoma: Diagnostic Insights from Endoscopic Ultrasound-Guided Fine-Needle Biopsy. Medicina, 62(2), 239. https://doi.org/10.3390/medicina62020239

