Sign in to use this feature.

Years

Between: -

Subjects

remove_circle_outline
remove_circle_outline
remove_circle_outline
remove_circle_outline
remove_circle_outline
remove_circle_outline
remove_circle_outline
remove_circle_outline

Journals

remove_circle_outline
remove_circle_outline
remove_circle_outline
remove_circle_outline
remove_circle_outline
remove_circle_outline
remove_circle_outline
remove_circle_outline
remove_circle_outline
remove_circle_outline
remove_circle_outline
remove_circle_outline
remove_circle_outline
remove_circle_outline
remove_circle_outline
remove_circle_outline

Article Types

Countries / Regions

remove_circle_outline
remove_circle_outline
remove_circle_outline
remove_circle_outline
remove_circle_outline

Search Results (695)

Search Parameters:
Keywords = gastrointestinal malignancy

Order results
Result details
Results per page
Select all
Export citation of selected articles as:
17 pages, 1689 KB  
Article
The Cellular Effects of Di(2-ethylhexyl) Phthalate in Non-Malignant Colonic Epithelia Involve Oxidative Stress
by Zachary S. Bomstein, Kimberly F. Allred and Clinton D. Allred
Int. J. Mol. Sci. 2025, 26(23), 11716; https://doi.org/10.3390/ijms262311716 - 3 Dec 2025
Abstract
Human exposure to Di(2-ethylhexyl) Phthalate (DEHP) occurs through ingestion of contaminated food. Yet, the effects of DEHP on gastrointestinal toxicity at the cellular level are poorly understood and studies conducted to date have used malignant cell lines, limiting our understanding of molecular signaling [...] Read more.
Human exposure to Di(2-ethylhexyl) Phthalate (DEHP) occurs through ingestion of contaminated food. Yet, the effects of DEHP on gastrointestinal toxicity at the cellular level are poorly understood and studies conducted to date have used malignant cell lines, limiting our understanding of molecular signaling in intestinal epithelia of otherwise healthy individuals. The objective of our study was to use a non-transformed, colonic epithelial cell line (Young Adult Mouse Colonocytes; YAMCs) to characterize the in vitro effects of DEHP on non-malignant colonic epithelia. A 72 h DEHP exposure significantly reduced cell number and proliferation while short-term exposure increased: cellular apoptosis, BAX expression, Reactive Oxygen Species (ROS) production, gene expression linked to oxidative stress (NRF2, GCLC, HO-1, CHOP). Antioxidant pretreatment prior to DEHP exposure attenuated the phthalate’s apoptotic effect, suggesting a link between oxidative stress and apoptosis. Using YAMCs with a CRISPR-deleted Aryl Hydrocarbon Receptor (AhR) we further showed that the apoptotic and pro-oxidative effects of the phthalate are partially mediated through AhR. In conclusion, we have demonstrated that DEHP-induced toxicity in non-malignant colonocytes is due to ROS-induced oxidative stress and subsequently, apoptosis. We have further demonstrated that these effects are partly mediated by the AhR, a mechanism that deserves further investigation. Future studies should build on these findings by (a) characterizing the specific mechanisms linking ROS production to apoptosis demonstrated in our model of exposure, (b) measuring the dynamics of the receptor following DEHP exposure and (c) examining these effects over a longer exposure period. Full article
Show Figures

Figure 1

8 pages, 586 KB  
Opinion
Malignancy Ratio in Pediatric Patients with Hereditary Multiple Exostoses: True Association or Reporting Bias?
by Francesco Fabrizio Comisi, Andrea Maria Comisi, Elena Esposito and Salvatore Savasta
Pediatr. Rep. 2025, 17(6), 132; https://doi.org/10.3390/pediatric17060132 - 3 Dec 2025
Abstract
Background: Hereditary Multiple Exostoses (HME) is a rare autosomal dominant skeletal disorder resulting from loss-of-function variants in the EXT1, EXT2, or EXT3 genes. While malignant transformation into chondrosarcoma is well documented, the incidence and characterization of non-skeletal malignancies in HME remain [...] Read more.
Background: Hereditary Multiple Exostoses (HME) is a rare autosomal dominant skeletal disorder resulting from loss-of-function variants in the EXT1, EXT2, or EXT3 genes. While malignant transformation into chondrosarcoma is well documented, the incidence and characterization of non-skeletal malignancies in HME remain poorly defined. Objective: We aimed to comprehensively review the literature for reported cases of non-skeletal malignancies in individuals with HME and evaluate a potential association with hematologic cancers, particularly in the pediatric population. Methods: An extensive literature search was conducted in the PubMed database up to August 2025 using search terms related to HME and malignancy. Eligible reports included case descriptions of non-skeletal cancers occurring in patients with confirmed or suspected HME. Extracted data included patient age, sex, cancer type, and available genetic or molecular findings. Results: Thirteen cases of non-skeletal malignancies associated with HME were identified. Fewer than half underwent molecular genetic testing. Six cases occurred in pediatric patients, four of which involved hematologic malignancies, three leukemias and one Burkitt lymphoma. In adults, malignancies affected a range of organ systems, including respiratory, gastrointestinal, nervous, and endocrine. A marked male predominance was observed (11 males vs. 2 females). Conclusions: Although a definitive causal relationship cannot be established, hematologic malignancies in pediatric HME patients appear to be disproportionately represented among reported cases. This finding highlights the need for further investigation through large-scale, population-based studies incorporating both clinical and genetic data. Full article
Show Figures

Graphical abstract

34 pages, 1885 KB  
Review
Oral Microbiota and Carcinogenesis: Exploring the Systemic Impact of Oral Pathogens
by Nađa Nikolić, Ana Pucar, Uroš Tomić, Sanja Petrović, Đorđe Mihailović, Aleksandar Jovanović and Milena Radunović
Pathogens 2025, 14(12), 1233; https://doi.org/10.3390/pathogens14121233 - 3 Dec 2025
Abstract
For decades, cancer risk has been explained mainly by local factors. However, emerging evidence shows that the oral microbiome acts as a systemic modifier of oncogenesis well beyond the head and neck. This review synthesizes clinical and mechanistic data linking dysbiotic oral communities, [...] Read more.
For decades, cancer risk has been explained mainly by local factors. However, emerging evidence shows that the oral microbiome acts as a systemic modifier of oncogenesis well beyond the head and neck. This review synthesizes clinical and mechanistic data linking dysbiotic oral communities, especially Porphyromonas gingivalis, Fusobacterium nucleatum, and Treponema denticola, to malignancies across gastrointestinal, respiratory, hepatobiliary, pancreatic, breast, and urogenital systems. We summarize organ-specific associations from saliva, tissue, and stool studies, noting the recurrent enrichment of oral taxa in tumor and peri-tumoral niches of oral, esophageal, gastric, colorectal, lung, pancreatic, liver, bladder, cervical, and breast cancers. Convergent mechanisms include the following: (i) persistent inflammation (lypopolysacharide, gingipains, cytolysins, and collagenases); (ii) direct genotoxicity (acetaldehyde, nitrosation, and CDT); (iii) immune evasion/suppression (TLR/NLR signaling, MDSC recruitment, TAN/TAM polarization, and TIGIT/CEACAM1 checkpoints); and (iv) epigenetic/signaling rewiring (NF-κB, MAPK/ERK, PI3K/AKT, JAK/STAT, WNT/β-catenin, Notch, COX-2, and CpG hypermethylation). Plausible dissemination along an oral–gut–systemic axis, hematogenous, lymphatic, microaspiration, and direct mucosal transfer enables distal effects. While causality is not yet definitive, cumulative data support oral dysbiosis as a clinically relevant cofactor, motivating biomarker-based risk stratification, saliva/stool assays for early detection, and microbiome-targeted interventions (periodontal care, antimicrobials, probiotics, and microbiota modulation) alongside conventional cancer control. Full article
(This article belongs to the Special Issue Oral Microbiome and Human Systemic Health)
Show Figures

Figure 1

43 pages, 544 KB  
Review
The Interplay Between Esophageal Adenocarcinoma and Its Tumor Microenvironment: Toward Innovative Therapies
by Rodanthi Fioretzaki, Eleni-Myrto Trifylli, Panagiotis Sarantis, Nikolaos Charalampakis, Konstantinos Christofidis, Markos Despotidis, Michalis V. Karamouzis, Stratigoula Sakellariou and Dimitrios Schizas
Cells 2025, 14(23), 1895; https://doi.org/10.3390/cells14231895 - 28 Nov 2025
Viewed by 122
Abstract
Esophageal cancer (EC) is a highly aggressive gastrointestinal malignancy, with a notable increase in incidence over recent decades, representing a significant global health burden. The main histological subtypes are esophageal adenocarcinoma (EAC) and esophageal squamous cell carcinoma (ESCC), with the former being closely [...] Read more.
Esophageal cancer (EC) is a highly aggressive gastrointestinal malignancy, with a notable increase in incidence over recent decades, representing a significant global health burden. The main histological subtypes are esophageal adenocarcinoma (EAC) and esophageal squamous cell carcinoma (ESCC), with the former being closely associated with gastroesophageal reflux disease, Barrett’s esophagus, and obesity, and its incidence continues to increase in Western populations. The rising incidence of EC, combined with poor survival rates, underscores the need for new therapeutic approaches. A deeper understanding of the molecular basis of this prevalent malignancy may open new avenues for optimal therapeutic strategies, with immunotherapy now central in several clinical trials. Understanding the interplay between the tumor microenvironment (TME) and disease progression is pivotal for managing this malignancy, which remains highly challenging. This review highlights the role of the TME in EAC progression and drug resistance, and recent therapeutic advances. Full article
39 pages, 43744 KB  
Review
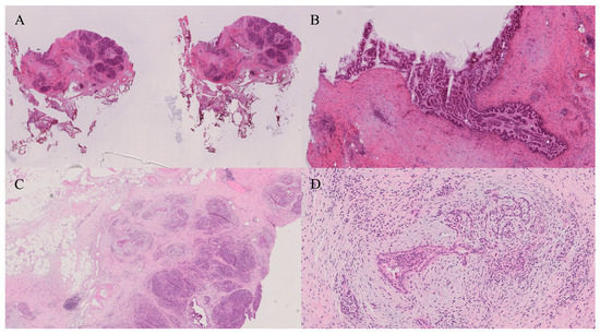
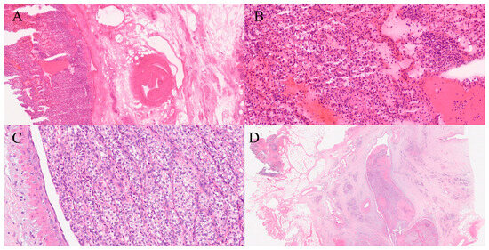
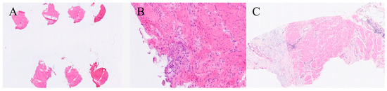
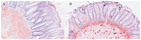
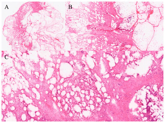
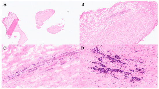
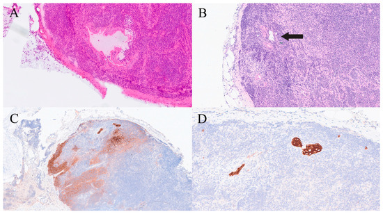
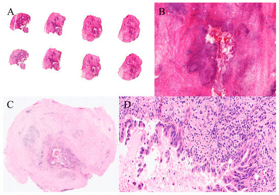
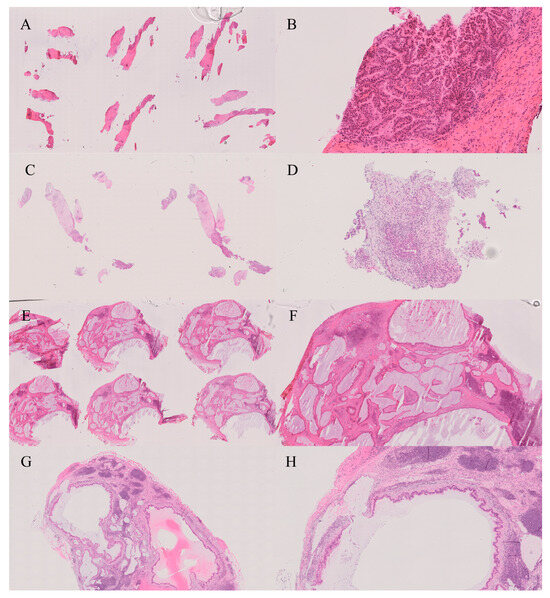
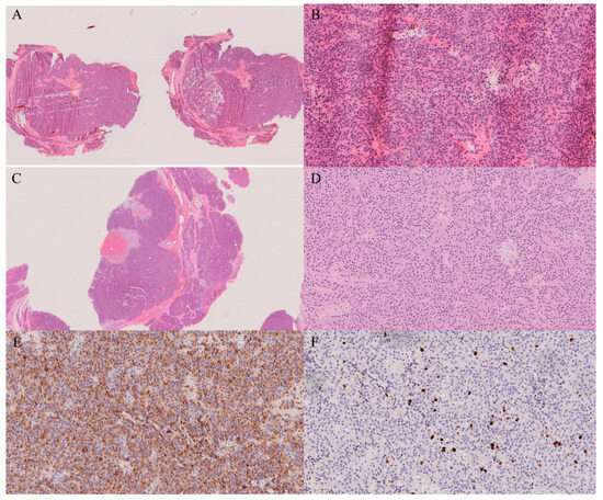
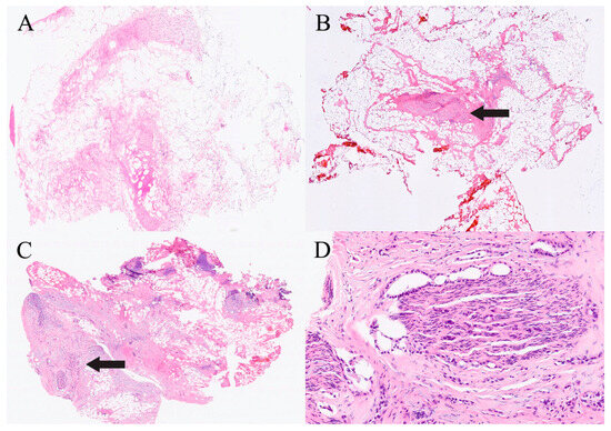
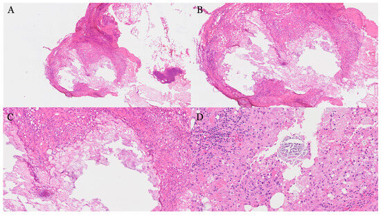
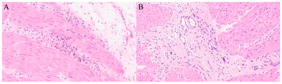
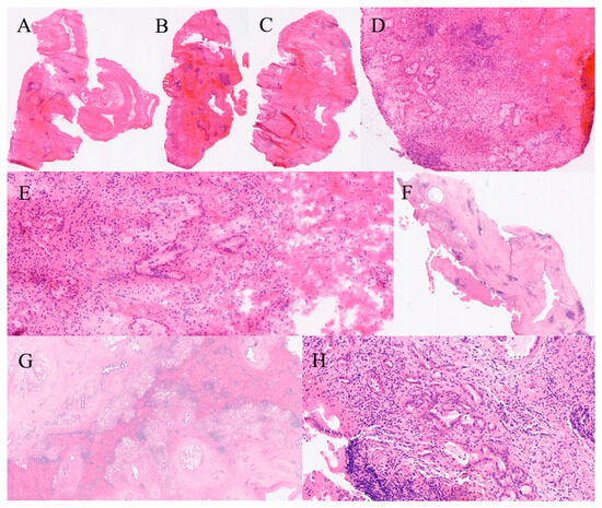
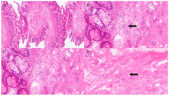
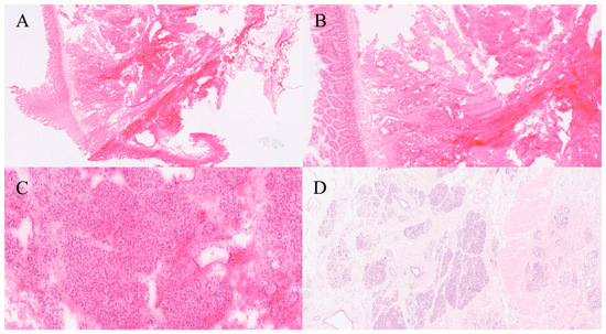
Frozen Section Studies of Gastrointestinal and Hepatobiliary Systems: A Review Article
by Abed M. Zaitoun and Sayed Ali Almahari
Gastroenterol. Insights 2025, 16(4), 46; https://doi.org/10.3390/gastroent16040046 - 27 Nov 2025
Viewed by 326
Abstract
Frozen section (FS) analysis is a rapid intraoperative tool that provides real-time pathological assessment, guiding surgical decisions in gastrointestinal and hepatobiliary disease. Its main applications include confirming diagnoses, assessing resection margins, staging lymph nodes, and evaluating unexpected intraoperative findings. Drawing on a 14-year [...] Read more.
Frozen section (FS) analysis is a rapid intraoperative tool that provides real-time pathological assessment, guiding surgical decisions in gastrointestinal and hepatobiliary disease. Its main applications include confirming diagnoses, assessing resection margins, staging lymph nodes, and evaluating unexpected intraoperative findings. Drawing on a 14-year experience at Queen’s Medical Centre, Nottingham, this review highlights the strengths and limitations of FS in gastrointestinal and hepatopancreato-biliary surgery. Concordance with final paraffin diagnoses exceeded 97%, underscoring its reliability when performed under optimal conditions. FS is particularly valuable in complex scenarios such as distinguishing benign from malignant hepatic or pancreatic lesions, identifying metastatic disease, and evaluating conditions like Hirschsprung disease. Although interpretive artefacts and sampling errors remain challenges, careful technique and close clinical–pathological communication mitigate these issues. Beyond diagnosis, FS also supports molecular applications through targeted tissue selection for genomic testing. Overall, FS remains an essential adjunct to modern surgical pathology, enhancing intraoperative decision-making and contributing to precision oncology. Looking ahead, the integration of FS with artificial intelligence, telepathology, and minimally invasive surgical platforms is poised to expand its accuracy, accessibility, and impact in real-time precision surgery. Full article
(This article belongs to the Section Gastrointestinal Disease)
Show Figures

Figure 1

25 pages, 324 KB  
Guidelines
Consensus on Malignant and Benign Tumors in Pediatric Patients with Neurofibromatosis Type 1: On Behalf of the Brazilian Society of Pediatric Oncology (SOBOPE)
by Luiz Guilherme Darrigo Junior, Viviane Sonaglio, Sima Esther Ferman, Eliana Caran, Neviçolino Pereira Carvalho Filho, Sidnei Epelman, Vicky Nogueira Pileggi, Julia Lima, Ruth Bartelli Grigolon and Mauro Geller
Curr. Oncol. 2025, 32(12), 664; https://doi.org/10.3390/curroncol32120664 - 27 Nov 2025
Viewed by 115
Abstract
Neurofibromatosis type 1 (NF1) is an inherited, autosomal dominant syndrome that affects about 1 in every 3000 people worldwide. Early tumor detection is crucial for surveillance and intervention, especially given the potential for serious complications, including visual impairment, skeletal deformities, and malignancy. Therefore, [...] Read more.
Neurofibromatosis type 1 (NF1) is an inherited, autosomal dominant syndrome that affects about 1 in every 3000 people worldwide. Early tumor detection is crucial for surveillance and intervention, especially given the potential for serious complications, including visual impairment, skeletal deformities, and malignancy. Therefore, it is essential for pediatricians and other healthcare professionals who provide care to these patients to be aware of all signs, treatments, and management strategies to deliver the best possible care. This study aims to develop a consensus for the diagnosis, treatment, and management of benign and malignant tumors associated with pediatric patients with NF1. Delphi methodology was used to achieve consensus among experts on the diagnostic accuracy, therapeutic efficacy, safety, and surveillance of pediatric patients with NF1. The consensus made 24 recommendations: gliomas in the optic pathway—6 statements, non-optical gliomas—2 statements, plexiform neurofibromas—5 statements, malignant peripheral nerve sheath tumors (MPNST)—6 statements, melanoma—1 statement, juvenile myelomonocytic leukemia (JMML)—1 statement, pheochromocytoma and paraganglioma—2 statements, and gastrointestinal stromal tumors (GIST)—1 statement. This consensus represents the first Brazilian recommendations on malignant and benign tumors in pediatric patients with NF1, providing a framework to standardize and optimize the clinical application for this disease. Full article
(This article belongs to the Special Issue Neurofibromatosis Type 1 (NF1) Tumor Spectrum)
15 pages, 546 KB  
Review
Robotic Surgery for Gastrointestinal Malignancies—A Review of How Far Have We Come in Pancreatic, Gastric, Liver, and Colorectal Cancer Surgery
by Yael Weksler, Guy Lifshitz, Shmuel Avital and Yaron Rudnicki
Cancers 2025, 17(23), 3802; https://doi.org/10.3390/cancers17233802 - 27 Nov 2025
Viewed by 233
Abstract
Introduction: Robotic-assisted surgery offers technological advantages such as three-dimensional visualization and improved dexterity, yet its clinical adoption in gastrointestinal (GI) malignancies is supported by evidence of varying quality, consisting mainly of retrospective studies. This review provides a structured summary of the current evidence [...] Read more.
Introduction: Robotic-assisted surgery offers technological advantages such as three-dimensional visualization and improved dexterity, yet its clinical adoption in gastrointestinal (GI) malignancies is supported by evidence of varying quality, consisting mainly of retrospective studies. This review provides a structured summary of the current evidence for robotic surgery in pancreatic, gastric, liver, and colorectal cancers. Methods: A comprehensive literature review was conducted to assess and summarize the perioperative, long-term, and oncological outcomes of robotic-assisted surgery compared to laparoscopic and open approaches for the aforementioned GI malignancies. Results: The application of the robotic platform is most advanced in colorectal surgery. High-quality evidence for rectal cancer demonstrates improved quality of mesorectal specimens, better preservation of urinary and sexual function, and lower local recurrence rates. Across all reviewed GI malignancies, robotic surgery consistently shows advantages in lower conversion-to-open rates, reduced intraoperative blood loss, and shorter hospital stays, though it is associated with longer operative times and higher costs. The evidence for pancreatic and liver surgery is less mature due to the complexity of these procedures. Data for gastric surgery suggests improved lymph node retrieval and, in one long-term study, better disease-free survival. Conclusions: The highest-quality evidence supports the robotic approach for rectal cancer, showing clear functional and oncological benefits. While several perioperative advantages are consistently reported across all GI sites, robust data demonstrating superior long-term survival are still limited for most procedures. Full article
(This article belongs to the Special Issue Robotic Surgery for Gastrointestinal (GI) Malignancies)
Show Figures

Figure 1

29 pages, 1029 KB  
Review
CLDN18.2-Targeted Therapy in Gastrointestinal Cancers
by Andrea Dominguez Wiscovitch, Ricardo J. Sanchez Mendez and Jennifer Chuy
Cancers 2025, 17(23), 3764; https://doi.org/10.3390/cancers17233764 - 25 Nov 2025
Viewed by 489
Abstract
Gastrointestinal cancers, including gastric, gastroesophageal junction, pancreatic, and biliary tract cancers, remain associated with poor outcomes due to late diagnosis and limited effective treatment options. Claudin-18.2 (CLDN18.2), a tight junction protein primarily found in the gastric epithelium and ectopically expressed in gastrointestinal tumors, [...] Read more.
Gastrointestinal cancers, including gastric, gastroesophageal junction, pancreatic, and biliary tract cancers, remain associated with poor outcomes due to late diagnosis and limited effective treatment options. Claudin-18.2 (CLDN18.2), a tight junction protein primarily found in the gastric epithelium and ectopically expressed in gastrointestinal tumors, has emerged as a promising therapeutic target across these diseases. This narrative review expands on existing discussions surrounding CLDN18.2-directed therapy in gastric and gastroesophageal cancer and provides a comprehensive, updated analysis of the rapidly evolving therapeutic landscape across multiple gastrointestinal malignancies, including pancreatic and biliary tract cancers. We summarize key developments following the approval of the monoclonal antibody zolbetuximab and critically evaluate emerging modalities, including bispecific antibodies, antibody–drug conjugates, and chimeric antigen receptor T-cell therapies, highlighting differences in mechanisms of action, efficacy, toxicity profiles, and mitigation strategies. We also discuss the clinical relevance of CLDN18.2 and PD-L1 co-expression, the rationale for pairing CLDN18.2-targeted therapy with immune checkpoint inhibitors, and early data supporting combination approaches. Additionally, we examine tumor heterogeneity, biomarker challenges, and emerging resistance mechanisms, alongside strategies to overcome them. Finally, we identify current limitations in the field, including inconsistent CLDN18.2 testing criteria, and outline prioritized future directions to optimize integration of CLDN18.2-directed therapies across gastrointestinal cancers. By looking beyond zolbetuximab and incorporating cross-platform comparison, immuno-oncology considerations, and multi-tumor context, this review provides a broad and forward-looking framework to guide clinical application and next-generation research in CLDN18.2-targeted therapy. Full article
Show Figures

Figure 1

20 pages, 1543 KB  
Review
Beyond Iron: The Roles of CD71 in the Pathophysiology of Cancer—A Comprehensive Review
by Georgios S. Markopoulos, Yannis V. Simos, Konstantinos I. Tsamis, Konstantina Gartzonika, Dimitrios Peschos and Lampros Lakkas
J. Clin. Med. 2025, 14(23), 8265; https://doi.org/10.3390/jcm14238265 - 21 Nov 2025
Viewed by 333
Abstract
CD71, also known as transferrin receptor 1 (TfR1), is a transmembrane glycoprotein essential for cellular iron uptake, a prerequisite for cell proliferation, differentiation, and survival. While its canonical role in iron metabolism is well documented, accumulating research highlights CD71’s broader involvement in oncogenic [...] Read more.
CD71, also known as transferrin receptor 1 (TfR1), is a transmembrane glycoprotein essential for cellular iron uptake, a prerequisite for cell proliferation, differentiation, and survival. While its canonical role in iron metabolism is well documented, accumulating research highlights CD71’s broader involvement in oncogenic processes that extend far beyond iron regulation. This review provides an overview of recent advances in understanding the multifaceted roles of CD71 within cancer biology. Specifically, we examine how CD71 participates in key cancer-related mechanisms, including modulation of intracellular signaling cascades, such as MAPK/ERK and PI3K/AKT pathways. We also mention the impact on regulation of apoptosis and autophagy, and orchestration of dynamic interactions within the tumor microenvironment such as adhesion/invasion and immune evasion. Emerging evidence indicates that CD71 not only sustains tumor growth and cancer cell proliferation through enhanced iron acquisition but also promotes metastasis, immune evasion, and therapy resistance. Moreover, CD71 contributes to the crosstalk between cancer and chronic diseases, with notable implications for cardiac, neurological, and gastrointestinal conditions often linked to malignancy. Through a comprehensive synthesis of current findings, we elucidate the complex and evolving roles of CD71 in cancer progression and therapy and provide an up-to-date account of its biology and pathophysiology. This review underscores the importance of understanding CD71 not only in oncology but also across the broader field of chronic diseases associated with malignancy. We suggest that future work should advance innovative therapeutic approaches that leverage CD71’s dual roles in cancer biology and systemic disease management to improve patient outcomes. Full article
(This article belongs to the Section Oncology)
Show Figures

Figure 1

19 pages, 290 KB  
Article
Prevalence and Clinical Associations of Malnutrition and Sarcopenia Risk in Gastroenterology Inpatients: A Multicenter Cross-Sectional Study in Turkey
by Göksel Bengi, Süleyman Dolu, Yavuz Özden, Nevin Oruç, Mukaddes Tozlu, Gözde Derviş Hakim, Genco Gençdal, Ali Rıza Çalışkan, Müge Ustaoğlu, Ufuk Kutluana, Engin Altıntaş, Galip Egemen Atar, Ahmet Uyanıkoğlu, Sezgin Barutçu, Kader Irak, Deniz Koç, Berat Ebik, Züleyha Akkan Çetinkaya, Haluk Tarık Kani, Dilek Oğuz, Filiz Araz, Altay Kandemir, Nermin Mutlu Bilgiç, Özdal Ersoy, Özlem Gül, Banu Kara, Burak Özşeker, Hüseyin Alkım, Sedat Boyacıoğlu, Ayşe Kefeli, Hasan Yılmaz, Pembe Keskinoğlu, Yasemin Gökden Gök, Çağlayan Keklikkıran, Müjde Soytürk, Salih Tokmak, Murat Aladağ, Hakan Ünal, Funda Uğur Kantar, Yusuf Serdar Sakin, Meral Kayhan, Ozan Cengiz, Tolga Gözmen, İsmail Atasoy and Hale Akpınaradd Show full author list remove Hide full author list
Diagnostics 2025, 15(22), 2935; https://doi.org/10.3390/diagnostics15222935 - 20 Nov 2025
Viewed by 311
Abstract
Background/Objectives: This study aimed to determine the prevalence of malnutrition and sarcopenia risk among patients hospitalized in gastroenterology clinics across different geographical regions of Turkey, to identify their risk factors, and to evaluate their associations with clinical outcomes. Methods: A total [...] Read more.
Background/Objectives: This study aimed to determine the prevalence of malnutrition and sarcopenia risk among patients hospitalized in gastroenterology clinics across different geographical regions of Turkey, to identify their risk factors, and to evaluate their associations with clinical outcomes. Methods: A total of 1051 patients admitted to 36 gastroenterology clinics across six geographical regions of Turkey during the week of 14 November 2024 were evaluated in a cross-sectional design. The nutritional status of the patients was assessed using the NRS-2002 questionnaire, while the risk of sarcopenia was evaluated with the SARC-F questionnaire. Demographic data, clinical diagnoses, disease severity scores, and comorbidities were also recorded and analyzed. Results: Of the patients included in the study, 54.7% were female, and the mean age was 61.7 ± 17.2 years. The prevalence of malnutrition risk was 27.8%, while the prevalence of sarcopenia risk was 32.7%. Patients with malnutrition risk had a lower BMI (24.7 ± 5.3 vs. 27.1 ± 5.4, p < 0.001) and were older (67.6 ± 16.0 vs. 56.5 ± 17.1, p < 0.001). The risks of sarcopenia and malnutrition were significantly higher in patients with liver cirrhosis (40.7% malnutrition; 54.5% sarcopenia), gastrointestinal malignancy (50.5%; 44.2%), and diabetes mellitus. Logistic regression analysis identified older age, male sex, and presence of malignancy as independent risk factors for malnutrition, whereas older age, female sex, presence of malnutrition, liver cirrhosis, and heart failure were independent risk factors for sarcopenia. A strong correlation was also found between malnutrition and sarcopenia (r = 0.544, p < 0.001). Conclusions: Approximately one-third of patients hospitalized in gastroenterology clinics across Turkey are at risk of malnutrition and sarcopenia. These conditions are particularly associated with malignancy, cirrhosis, and metabolic comorbidities. Our findings highlight the necessity of systematic nutritional and sarcopenia screening upon hospital admission. Full article
(This article belongs to the Section Clinical Diagnosis and Prognosis)
60 pages, 3160 KB  
Review
Radiation Without Borders: Unraveling Bystander and Non-Targeted Effects in Oncology
by Madhi Oli Ramamurthy, Poorvi Subramanian, Sivaroopan Aravindan, Loganayaki Periyasamy and Natarajan Aravindan
Cells 2025, 14(22), 1761; https://doi.org/10.3390/cells14221761 - 11 Nov 2025
Viewed by 649
Abstract
Radiotherapy (RT) remains a cornerstone of cancer treatment, offering spatially precise cytotoxicity against malignant cells. However, emerging evidence reveals that ionizing radiation (IR) exerts biological effects beyond the targeted tumor volume, manifesting as radiation bystander effects (BEs) and other non-targeted effects (NTEs). These [...] Read more.
Radiotherapy (RT) remains a cornerstone of cancer treatment, offering spatially precise cytotoxicity against malignant cells. However, emerging evidence reveals that ionizing radiation (IR) exerts biological effects beyond the targeted tumor volume, manifesting as radiation bystander effects (BEs) and other non-targeted effects (NTEs). These phenomena challenge the traditional paradigm of RT as a localized intervention, highlighting systemic and long-term consequences in non-irradiated tissues. This comprehensive review synthesizes molecular, cellular, and clinical insights about BEs, elucidating the complex intercellular signaling networks gap junctions, cytokines, extracellular vesicles, and oxidative stress that propagate damage, genomic instability, and inflammation. We explore the role of mitochondrial dysfunction, epigenetic reprogramming, immune modulation, and stem cell niche disruption in shaping BEs outcomes. Clinically, BEs contribute to neurocognitive decline, cardiovascular disease, pulmonary fibrosis, gastrointestinal toxicity, and secondary malignancies, particularly in pediatric and long-term cancer survivors. The review also evaluates countermeasures including antioxidants, COX-2 inhibitors, exosome blockers, and FLASH RT, alongside emerging strategies targeting cfCh, inflammasomes, and senescence-associated secretory phenotypes. We discuss the dual nature of BEs: their potential to both harm and heal, underscoring adaptive responses and immune priming in specific contexts. By integrating mechanistic depth with translational relevance, this work posits that radiation BEs are a modifiable axis of RT biology. Recognizing and mitigating BEs is imperative for optimizing therapeutic efficacy, minimizing collateral damage, and enhancing survivorship outcomes. This review advocates for a paradigm shift in RT planning and post-treatment care, emphasizing precision, personalization, and systemic awareness in modern oncology. Full article
(This article belongs to the Special Issue New Advances in Anticancer Therapy)
Show Figures

Graphical abstract

30 pages, 2214 KB  
Review
Transcription Factors as Drivers of Gallbladder Cancer: Mechanisms, Dysregulation, and Therapeutic Prospects
by Sunanda Kulshrestha, Sabuj Samaddar, Anshika Singh, Kunal Yadav, Deepanshu Aul, Tulika Singh, Sonika Kumari Sharma and Samarendra Kumar Singh
Onco 2025, 5(4), 49; https://doi.org/10.3390/onco5040049 - 10 Nov 2025
Viewed by 492
Abstract
Gallbladder cancer (GBC), an aggressive malignancy of the biliary tract, is characterized by pronounced geographical variation and a poor prognosis, with a five-year survival rate below 20%. Despite its low global incidence, it ranks as the fifth most prevalent gastrointestinal cancer. The aim [...] Read more.
Gallbladder cancer (GBC), an aggressive malignancy of the biliary tract, is characterized by pronounced geographical variation and a poor prognosis, with a five-year survival rate below 20%. Despite its low global incidence, it ranks as the fifth most prevalent gastrointestinal cancer. The aim of this review is to provide a comprehensive understanding of the molecular mechanisms underpinning GBC progression, with a particular focus on the pivotal role of transcription factors (TFs) in its pathogenesis. This review delineates how aberrant regulation of TFs contributes to tumor initiation, progression, and therapeutic resistance, and to discuss the translational potential of targeting these factors for clinical benefit. Tumor suppressor TFs such as p53 and p16 frequently undergo genetic alterations, including mutations, deletions, or epigenetic silencing, leading to impaired cell cycle control, DNA repair, and apoptosis. Conversely, oncogenic TFs including TCF4, MYBL2, NF-kB, AP-1, Snail, c-MYC, SP1, FOXK1, KLF-5, STAT3 and BIRC7 are often upregulated in GBC, promoting unchecked proliferation, epithelial–mesenchymal transition (EMT), metastasis, and therapeutic resistance. This review aims to bridge current molecular insights with emerging therapeutic approaches, with particular emphasis on innovative interventions such as proteolysis-targeting chimeras (PROTACs), RNA-based therapeutics, CRISPR-driven genome editing, and epigenetic modulators, which collectively represent promising strategies for achieving more effective and personalized treatment outcomes in patients with GBC. Full article
Show Figures

Graphical abstract

17 pages, 4840 KB  
Article
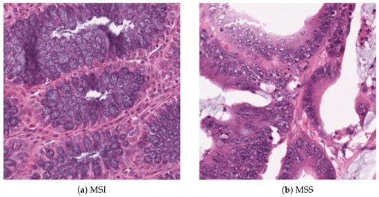
A Deep Learning-Based Approach for Explainable Microsatellite Instability Detection in Gastrointestinal Malignancies
by Ludovica Ciardiello, Patrizia Agnello, Marta Petyx, Fabio Martinelli, Mario Cesarelli, Antonella Santone and Francesco Mercaldo
J. Imaging 2025, 11(11), 398; https://doi.org/10.3390/jimaging11110398 - 7 Nov 2025
Viewed by 380
Abstract
Microsatellite instability represents a key biomarker in gastrointestinal cancers with significant diagnostic and therapeutic implications. Traditional molecular assays for microsatellite instability detection, while effective, are costly, time-consuming, and require specialized infrastructure. In this paper we propose an explainable deep learning-based method for microsatellite [...] Read more.
Microsatellite instability represents a key biomarker in gastrointestinal cancers with significant diagnostic and therapeutic implications. Traditional molecular assays for microsatellite instability detection, while effective, are costly, time-consuming, and require specialized infrastructure. In this paper we propose an explainable deep learning-based method for microsatellite instability detection starting from the analysis of histopathological images. We consider a set of convolutional neural network architectures i.e., MobileNet, Inception, VGG16, VGG19, and a Vision Transformer model, and we propose a way to provide a kind of clinical explainability behind the model prediction through (three) Class Activation Mapping techniques. With the aim to further strengthen trustworthiness in predictions, we introduce a set of robustness metrics aimed to quantify the consistency of highlighted discriminative regions across different Class Activation Mapping methods. Experimental results on a real-world dataset demonstrate that VGG16 and VGG19 models achieve the best performance in terms of accuracy; in particular, the VGG16 model obtains an accuracy of 0.926, while the VGG19 one reaches an accuracy equal to 0.917. Furthermore, Class Activation Mapping techniques confirmed that the developed models consistently focus on similar tissue regions, while robustness analysis highlighted high agreement between different Class Activation Mapping techniques. These results indicate that the proposed method not only achieves interesting predictive accuracy but also provides explainable predictions, with the aim to boost the integration of deep learning into real-world clinical practice. Full article
(This article belongs to the Special Issue Progress and Challenges in Biomedical Image Analysis—2nd Edition)
Show Figures

Figure 1

12 pages, 1645 KB  
Article
Limited Diagnostic Yield of Routine Gastroscopy in FIT-Positive Patients
by Majd Khader, Fadi Abu Baker, Jorge-Shmuel Delgado, Avraham Yitzhak, Revital Guterman, Ruhama Elhayany, Or Bakshi, Vered Klaitman, Tali Braun, Naim Abu-Freha and Rimon Artoul
Diagnostics 2025, 15(21), 2781; https://doi.org/10.3390/diagnostics15212781 - 2 Nov 2025
Viewed by 453
Abstract
Background and aim: The necessity and diagnostic yield of routine gastroscopy in Fecal Immunochemical Test (FIT)-positive patients with normal colonoscopy findings remains controversial and poorly defined. Here, we aimed to investigate the prevalence and clinical significance of upper gastrointestinal lesions detected by gastroscopy [...] Read more.
Background and aim: The necessity and diagnostic yield of routine gastroscopy in Fecal Immunochemical Test (FIT)-positive patients with normal colonoscopy findings remains controversial and poorly defined. Here, we aimed to investigate the prevalence and clinical significance of upper gastrointestinal lesions detected by gastroscopy in FIT-positive patients, stratified by normal and abnormal colonoscopy findings. Methods: This retrospective study included 38,392 adults (≥18 years) who tested positive for FIT between 2016 and 2022 across eight medical centers in Israel. Of them, 1560 patients underwent routine bi-directional endoscopic evaluation and were included in the final analysis. Comprehensive procedural data were retrieved, including detailed colonoscopic and gastroscopic findings. Colonoscopy outcomes included the detection of neoplastic and precancerous lesions, with the rates of adenoma and polyp detection calculated. Gastroscopy findings, including gastritis, hiatal hernia, esophagitis, duodenitis, peptic ulcer disease, and malignancy, were analyzed and compared between patients with normal and abnormal colonoscopy results. Results: Among 38,392 FIT-positive adults, 1560 underwent bidirectional endoscopy; of these, 632 (40.5%) had normal and 928 (59.5%) had abnormal colonoscopy findings. Gastroscopy revealed upper GI findings in both groups, with gastritis detected in 55.5% (normal colonoscopy) vs. 48.7% (abnormal colonoscopy), hiatal hernia in 15% vs. 14.9%, esophagitis in 9.0% vs. 10.3%, and duodenitis in 6.6% vs. 7.3%. Gastric ulcers were rare, observed in 0.95% of patients with normal colonoscopy and 1.29% with abnormal colonoscopy. No cases of upper gastrointestinal malignancy were detected in either group. Conclusions: Routine gastroscopy in FIT-positive patients demonstrates limited diagnostic yield, with clinically significant upper gastrointestinal lesions being rare. Full article
(This article belongs to the Special Issue New Insights into Endoscopy-Guided Diagnosis)
Show Figures

Figure 1

11 pages, 538 KB  
Article
Sugammadex Versus Neostigmine in Return to Intended Oncological Therapy After Gastrointestinal Cancer Surgery: A Retrospective Study
by Nicolas A. Cortes-Mejia, Juan J. Guerra-Londono, Tarikul Islam, Heather A. Lillemoe, Gavin Ovsak, Lei Feng and Juan P. Cata
Cancers 2025, 17(21), 3553; https://doi.org/10.3390/cancers17213553 - 2 Nov 2025
Viewed by 480
Abstract
Background: Adjuvant therapies improve disease-free and cancer-specific survival in digestive tract malignancies. Return to intended oncological therapy (RIOT) measures how promptly patients resume these treatments after cancer resection. Because sugammadex has demonstrated superior postoperative outcomes compared to neostigmine, we hypothesize that its use [...] Read more.
Background: Adjuvant therapies improve disease-free and cancer-specific survival in digestive tract malignancies. Return to intended oncological therapy (RIOT) measures how promptly patients resume these treatments after cancer resection. Because sugammadex has demonstrated superior postoperative outcomes compared to neostigmine, we hypothesize that its use may increase the likelihood and timeliness of RIOT in patients undergoing digestive tract cancer surgery. Methods: Adults (≥18 years) undergoing gastrointestinal, hepatobiliary cancer resection, or liver resection for limited metastases between January 2016 and December 2017 were retrospectively analyzed. Patients were grouped by neuromuscular blockade reversal agent (neostigmine vs. sugammadex). The primary outcome was RIOT within 90 days; secondary outcomes included RIOT within 180 days, time-to-RIOT, hospital length of stay, ICU admission, and readmissions. Results: Of 4358 records screened, 1081 met the inclusion criteria: 273 (25.2%) patients with neostigmine and 808 (74.8%) with sugammadex. Patients in the neostigmine group were slightly younger, and racial distribution differed modestly, but sex, BMI, ASA class, comorbidity, cancer type, and stage were comparable. Median reversal doses were 5 mg and 200 mg, respectively. Anesthesia duration, hospital and ICU length of stay, readmissions, and ICU use showed no significant differences. RIOT frequency was also similar across groups, except for modestly higher radiotherapy resumption with neostigmine at 90 and 180 days. Overall, perioperative and oncological outcomes were largely comparable between groups. Conclusions: Sugammadex and neostigmine showed similar RIOT rates, with only a modest difference in radiotherapy resumption. Larger studies are needed to elucidate the potential benefits of sugammadex, particularly regarding long-term oncological outcomes and treatment continuity. Full article
(This article belongs to the Section Clinical Research of Cancer)
Show Figures

Figure 1

Back to TopTop