Next Article in Journal
Clinical Value of Ultrasound Fat Fraction in Grading Hepatic Steatosis: Preliminary Cut-Off Values in Obese Patients
Previous Article in Journal
Beyond H. pylori: Streptococcal Co-Infections and Their Hidden Impact on Gastric Lesions in Vietnam
 
 
Font Type:
Arial Georgia Verdana
Font Size:
Aa Aa Aa
Line Spacing:
Column Width:
Background:
Review

Frozen Section Studies of Gastrointestinal and Hepatobiliary Systems: A Review Article

by
Abed M. Zaitoun
1,2,* and
Sayed Ali Almahari
1
1
Department of Cellular Pathology, Nottingham University Hospitals NHS Trust, Queen’s Medical Centre, Nottingham NG7 2UH, UK
2
Nottingham Digestive Diseases Centre, Division of Translational Medical Sciences, School of Medicine, University of Nottingham, Queen’s Medical Centre, Nottingham NG7 2UH, UK
*
Author to whom correspondence should be addressed.
Gastroenterol. Insights 2025, 16(4), 46; https://doi.org/10.3390/gastroent16040046
Submission received: 30 July 2025 / Revised: 30 October 2025 / Accepted: 8 November 2025 / Published: 27 November 2025
(This article belongs to the Section Gastrointestinal Disease)

Abstract

Frozen section (FS) analysis is a rapid intraoperative tool that provides real-time pathological assessment, guiding surgical decisions in gastrointestinal and hepatobiliary disease. Its main applications include confirming diagnoses, assessing resection margins, staging lymph nodes, and evaluating unexpected intraoperative findings. Drawing on a 14-year experience at Queen’s Medical Centre, Nottingham, this review highlights the strengths and limitations of FS in gastrointestinal and hepatopancreato-biliary surgery. Concordance with final paraffin diagnoses exceeded 97%, underscoring its reliability when performed under optimal conditions. FS is particularly valuable in complex scenarios such as distinguishing benign from malignant hepatic or pancreatic lesions, identifying metastatic disease, and evaluating conditions like Hirschsprung disease. Although interpretive artefacts and sampling errors remain challenges, careful technique and close clinical–pathological communication mitigate these issues. Beyond diagnosis, FS also supports molecular applications through targeted tissue selection for genomic testing. Overall, FS remains an essential adjunct to modern surgical pathology, enhancing intraoperative decision-making and contributing to precision oncology. Looking ahead, the integration of FS with artificial intelligence, telepathology, and minimally invasive surgical platforms is poised to expand its accuracy, accessibility, and impact in real-time precision surgery.

1. Introduction

Frozen section (FS) analysis is a rapid intraoperative pathological technique in which fresh tissue is frozen, sectioned, stained, and microscopically examined, providing surgeons with immediate, provisional diagnoses that guide critical intraoperative decisions (Figure 1) [1].
The origins of FS date back to the late 19th and early 20th centuries, with a major advance in 1959 when Pearse and Slee developed the first cryostat—the Pearse–Slee Cryostat—greatly improving speed and accuracy of intraoperative diagnosis [2,3].
FS plays a central role in patient management, verifying adequacy of tissue samples from mass lesions and providing frozen material for ancillary tests, such as flow cytometry in lymphoproliferative disorders and molecular studies in sarcomas [4]. In gastrointestinal (GI) and hepatobiliary surgery, FS offers distinct benefits [5]. Results are typically available within 20–30 min, enabling timely surgical decisions [1,6]. A key application is the assessment of surgical margins, allowing intraoperative determination of resection adequacy and, where needed, additional excision to optimise oncologic outcomes [6].
Another critical role of FS lies in distinguishing benign from malignant lesions when preoperative findings are inconclusive [7]. This is particularly valuable for pancreatic and hepatic masses and in defining the extent of resection for GI malignancies [8]. By providing rapid feedback, FS reduces morbidity and the need for repeat surgery [1].
Specific clinical contexts highlight its utility. In hepatic surgery, FS helps evaluate incidentally discovered, indeterminate lesions [9]. During pancreaticoduodenectomy, it is routinely used to assess resection margins and support curative intent [10]. In colorectal surgery, FS facilitates diagnosis and immediate management of Hirschsprung disease, enabling simultaneous confirmation and treatment [11].
Diagnostic performance is generally high, with concordance rates exceeding 95% in certain settings [12]. Thus, FS contributes significantly to intraoperative decision-making, surgical outcomes, and overall patient care [6].
Nevertheless, FS has limitations. The freezing process can introduce artefacts that affect diagnostic accuracy, making familiarity with gross and microscopic features crucial [7]. Comprehensive review of clinical history—including age, gender, prior malignancy, clinical context, and imaging findings—is vital before analysis [13]. This holistic approach enhances interpretive accuracy and clinical relevance [14].
Interpretation and reporting demand a specialised, structured process. Effective communication between pathologists and surgeons is critical, combining prompt verbal feedback in theatre with a written report documenting timing and recipient of the results. Surgeons should confirm findings with the pathologist to minimise miscommunication [15]. This collaboration ensures patient safety and optimises outcomes.
This article is presented as a narrative review, aiming to provide an overview rather than a systematic synthesis of the literature. It explores standard frozen section (FS) practices, with particular emphasis on turnaround time (TAT) and the spectrum of specimens typically encountered in gastrointestinal and hepatobiliary surgery. Diagnostic challenges, deferral rates, and concordance with final diagnoses are discussed in a descriptive manner. Experience from Queen’s Medical Centre is used illustratively, with examples highlighting common pitfalls across upper and lower gastrointestinal, hepatobiliary, pancreatic, and peritoneal cases. Additional sections consider the application of FS in molecular pathology and its established role in Hirschsprung disease, while briefly touching on emerging advances and future directions.

2. Standard Histopathological Procedure

The FS procedure is a rapid intraoperative diagnostic process that relies on close collaboration between pathologists and surgeons (Figure 2). The typical workflow is as follows [1]:
  • Fresh tissue is submitted immediately by the surgeon to the histopathology department.
  • The tissue is rapidly frozen in a cryostat by a pathologist or technologist.
  • Thin sections, typically 5–10 micrometres thick, are cut, mounted on slides, and stained using a rapid haematoxylin and eosin (H&E) method.
  • The pathologist promptly evaluates the prepared slides.
  • In selected cases, particularly for lymph node assessment, cytology imprints may be prepared to aid diagnosis.
  • The pathologist communicates the preliminary findings directly to the surgeon in the operating theatre, typically via oral report.
  • Following FS analysis, the tissue is fixed in formalin for standard processing and preparation of permanent sections, which are incorporated into the final pathology report.
  • FS slides are archived together with permanent sections for each case, supporting quality control and correlation.
Figure 2. Workflow of frozen section (FS) analysis in gastrointestinal and hepatobiliary pathology. The diagram outlines the FS process from intraoperative request and specimen handling, through grossing, section preparation, and microscopic examination, to communication with the surgeon, surgical decision-making, and final correlation with permanent sections.
Figure 2. Workflow of frozen section (FS) analysis in gastrointestinal and hepatobiliary pathology. The diagram outlines the FS process from intraoperative request and specimen handling, through grossing, section preparation, and microscopic examination, to communication with the surgeon, surgical decision-making, and final correlation with permanent sections.
Gastroent 16 00046 g002
This follow-up is essential for laboratory quality assurance and education, enabling recognition of FS-related artefacts and potential sources of diagnostic error [1].
While frozen section (FS) remains the gold standard for intraoperative histological diagnosis, several emerging techniques offer complementary value. Rapid onsite evaluation (ROSE), primarily applied in cytology, involves the immediate assessment of aspirated material to confirm specimen adequacy and, in some cases, to provide a preliminary diagnosis [16,17]. Although useful, ROSE lacks the architectural detail necessary for definitive histological evaluation, particularly in margin assessment or tumour subtyping [18]. Molecular rapid assays, including point-of-care polymerase chain reaction (PCR) and next-generation sequencing (NGS), are increasingly used in neurosurgical and thoracic oncology, with promising applications such as ultra-rapid droplet digital PCR achieving mutation detection in under 20 min [19]. However, their application in gastrointestinal and hepatobiliary surgery remains limited due to high cost, extended turnaround times, and restricted availability. At present, these modalities serve as adjuncts rather than replacements for FS, which continues to offer broad applicability, morphological context, and seamless integration into routine surgical workflows [20].

3. Turnaround Time

Rapid turnaround time (TAT) is a defining feature of FS intraoperative consultation. Surgeons depend on timely pathology feedback during procedures, making efficiency as critical as diagnostic accuracy [21].
The College of American Pathologists (CAP) recommends a benchmark TAT of approximately 20 min from specimen receipt to reporting results to the surgical team [22]. CAP data indicates that over 90% of FS cases are completed within this timeframe [23]. More complex cases, such as those requiring margin inking, multiple sections, or simultaneous evaluation of several specimens, may occasionally exceed this standard, though such instances are uncommon [24]. Laboratories routinely monitor FS TAT to maintain optimal efficiency [23].
When multiple specimens are submitted for a single patient, best practice is to communicate results to the surgeon as soon as each is available, while clarifying that additional findings are pending and will be reported promptly upon completion [25].
Several factors can influence FS TAT, including the volume of concurrent requests, tissue complexity, and the timing of specimen submission [26]. Some studies have shown that FS requests often peak between 12 PM and 2 PM [22]. Strategies to address these challenges include assigning dedicated personnel during peak times, utilising rapid-cooling cryostats, and processing slides in parallel with tissue sectioning [27]. The overarching goal is to minimise surgical waiting time and support optimal intraoperative decision-making.

4. Types of Specimens in GI and Hepatobiliary Frozen Section

4.1. Margin Assessment

A principal role of FS is evaluating resection margins to confirm R0 excision. This is routine in pancreaticoduodenectomy, where the pancreatic neck, bile duct, and vascular groove are assessed [8]. Similar evaluation is performed for longitudinal margins in esophagectomy, distal margins in rectal resections, and parenchymal or ductal margins in liver surgery [28]. Margin status directly influences the need for additional resection, recurrence risk, and survival, making FS integral to intraoperative strategy and oncological planning.

4.2. Lymph Node Examination

Lymph node status is vital for staging and prognosis [29]. Commonly sampled nodes include peripancreatic, periduodenal, celiac, porta hepatis, and hepatoduodenal ligament groups, with extension to mesenteric or para-aortic sites in selected cases [30]. Findings guide surgical extent, pathologic stage, and downstream therapy [31].

4.3. Tumour Typing/Diagnosis Confirmation

FS aids intraoperative distinction between benign and malignant lesions and informs the nature of the mass [32]. In the liver, it helps differentiate primary tumours, metastases, and benign nodules [33]. Within the GI tract, FS distinguishes GIST, carcinoma, and lymphoma, as well as characterises ampullary or periampullary tumours, directly influencing operative management [34].

4.4. Evaluation of Biliary Lesions

Biliary strictures or suspected cholangiocarcinomas are frequently examined. Specimens may include mucosal strips or bile duct margins, particularly in resections for hilar cholangiocarcinoma, where multiple ducts are submitted [35]. Accurate assessment clarifies diagnosis, establishes margin status, and guides intraoperative decisions [36].

4.5. Assessment of Viability/Infarction

FS may be requested to assess tissue viability in bowel or liver, particularly in ischemia or post-transplant settings [21]. Determining whether tissue retains adequate blood supply or has undergone infarction informs the need for resection or preservation [37].

4.6. Unexpected Lesions

Incidental findings such as peritoneal, mesenteric, omental, or liver nodules often require FS to rule out metastasis [21]. Their identification is crucial, as peritoneal or omental disease commonly signifies advanced abdominal or pelvic malignancy. Histology helps distinguish metastases from primary or benign lesions, thereby influencing staging and surgical planning [38].

4.7. Cystic Lesions of the Liver or Pancreas

Cystic lesions are evaluated to detect mucinous neoplasms and assess for malignancy [39]. In the pancreas, differentiating mucinous cysts—such as MCNs and IPMNs—from non-mucinous lesions is critical given their higher malignant potential [40]. FS findings influence operative choice and prognosis, especially when invasive carcinoma is detected [41].

4.8. Tissue Identification and Adequacy

Occasionally, FS is performed simply to confirm that the correct anatomical structure has been sampled or to verify adequacy of diagnostic material [8].

5. Errors

FS reporting, like all laboratory procedures, is prone to errors at different stages of the process, broadly classified as pre-analytical, analytical, and post-analytical [3].
Across all stages, some limitations—particularly freezing artefacts, restricted sampling, and interpretive uncertainty—are intrinsic to the frozen section method and are summarised comprehensively in Section 19.

5.1. Pre-Analytical Errors

Pre-analytical errors include incorrect patient identification, inaccurate documentation of the lesion site, or insufficient clinical information provided to the pathologist. These are usually preventable with careful attention to detail and thorough clinical–pathological communication [42].

5.2. Analytical Errors

Analytical errors are the most frequent and may stem from non-representative or suboptimal sampling, difficulty cutting calcified or fibrotic tissue (Figure 3), or loss of tissue during freezing. Artefactual distortion—most often from freezing, tissue compression, or incomplete embedding—can obscure cytologic and architectural detail, predisposing to misinterpretation. Interpretative errors include misclassification of benign versus malignant lesions, incorrect tumour typing, or inaccurate margin assessment. The time-sensitive environment of intraoperative consultation and inherently limited tissue quantity amplify these risks, underscoring the need for cautious correlation with permanent sections.

5.3. Post-Analytical Errors

Post-analytical errors generally involve communication failures, such as delayed or unclear reporting of FS findings to the surgical team, which can compromise intraoperative decision-making [3]. Structured reporting templates and closed-loop communication systems have been shown to reduce such discrepancies, particularly in high-volume centres.
The cumulative impact of these errors can be substantial. An inaccurate FS diagnosis may lead to inappropriate operative steps, such as unnecessary extension of resection, incomplete tumour clearance, or premature termination of surgery [43]. These misjudgements can result in increased morbidity, a need for reoperation, or suboptimal oncological outcomes. Continuous quality assurance, standardised documentation, and explicit acknowledgment of technical limitations (see Pitfalls and Limitations) remain essential to minimise diagnostic error and maintain patient safety [3,35,44].

6. Deferred Diagnosis

When a definitive diagnosis cannot be rendered during FS analysis, pathologists typically defer the diagnosis to the examination of paraffin-embedded, haematoxylin and eosin (H&E) stained sections. Deferral rates vary but are generally reported between 5% and 10%, depending on the institution and case complexity. Common scenarios warranting deferral include cases where there is significant diagnostic uncertainty, such as distinguishing between benign and malignant lesions (e.g., differentiating adenocarcinoma from chronic pancreatitis), insufficient tissue material, the presence of artefacts, or tissue loss during processing [45]. Deferral is a prudent approach in these situations, ensuring diagnostic accuracy and patient safety until more definitive histopathological evaluation can be performed [46].
While deferral is often the safest course when diagnostic certainty cannot be achieved, it can significantly influence intraoperative management. A deferred diagnosis may prevent the surgeon from completing a planned resection or necessitate staging the procedure in two steps, potentially prolonging operative time or leading to reoperation. This may increase patient anxiety, healthcare costs, and surgical morbidity. However, the priority remains diagnostic accuracy and patient safety.
Telepathology and artificial intelligence play an important role in minimising deferred cases, as further discussed in Section 21.

7. Accuracy, Concordance and Discrepancy

Intraoperative FS analysis within gastrointestinal and hepatobiliary pathology consistently demonstrates high diagnostic accuracy and strong concordance with paraffin-embedded sections (PS) (Table 1). A three-year audit of 1704 GI FS cases reported an overall accuracy of 97.9%, with 91.7% sensitivity and 99.7% specificity, identifying discrepancies in only 2% and deferrals in 1% [47].
National data from the College of American Pathologists similarly suggest that major error rates in FS interpretation remain below 2–3% [54]. A European series of more than 800 GI FS cases reported a 3.4% discordance and 2% deferral rate [55], emphasising that institutional caseload, technical protocols, and pathologist expertise strongly influence diagnostic outcomes.
These studies collectively reinforce FS as a reliable intraoperative diagnostic tool. However, performance metrics may be influenced by local expertise, standardised workflows, and case selection, which can limit the applicability of single-centre results to smaller or less specialised units. Moreover, CAP data are aggregated across laboratories with heterogeneous practices, making it difficult to account for inter-institutional variability. Importantly, most audits do not stratify discrepancies by their clinical consequence, meaning accuracy statistics may overstate the true impact of errors on surgical decision-making. FS also has inherent limitations in certain scenarios, such as mucinous neoplasms, well-differentiated hepatocellular or pancreatic tumours, and margin assessment in the liver and biliary tract [55].
Taken together, these findings highlight the robustness of FS while underscoring that its limitations are context dependent. Optimal practice requires multidisciplinary communication, rigorous quality assurance, and the adoption of standardised protocols. Looking forward, the integration of telepathology and AI-assisted support may further improve reproducibility and ensure equitable FS performance across diverse practice environments.

8. Oesophagus/Stomach

Specimens from the oesophagus and stomach are frequently submitted for FS evaluation of longitudinal margins to assess dysplasia or malignancy. In Barrett’s oesophagus, margin assessment is particularly critical: if dysplasia, carcinoma, or Barrett’s mucosa is identified at either the proximal or distal margin, further tissue should be obtained to ensure complete excision and optimal outcomes [56].
Margins are best sampled as full-thickness cross-sections. When the tumour–margin distance is ≥10 mm, en face evaluation is preferred; if <10 mm, a longitudinal section provides more accurate assessment [57].
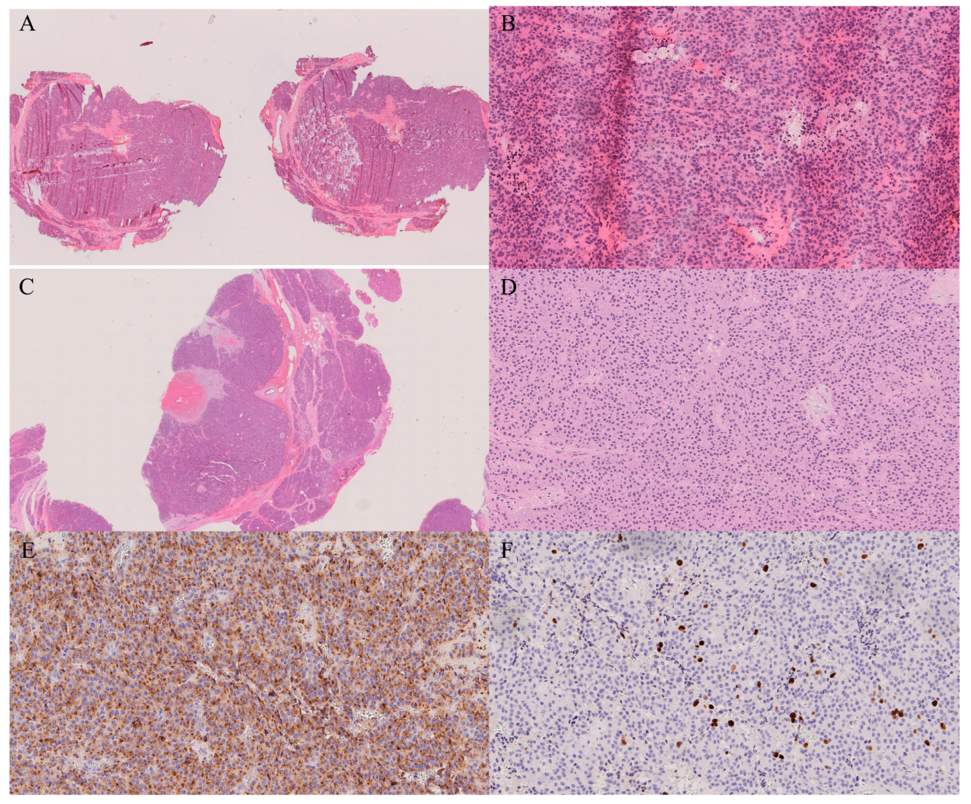
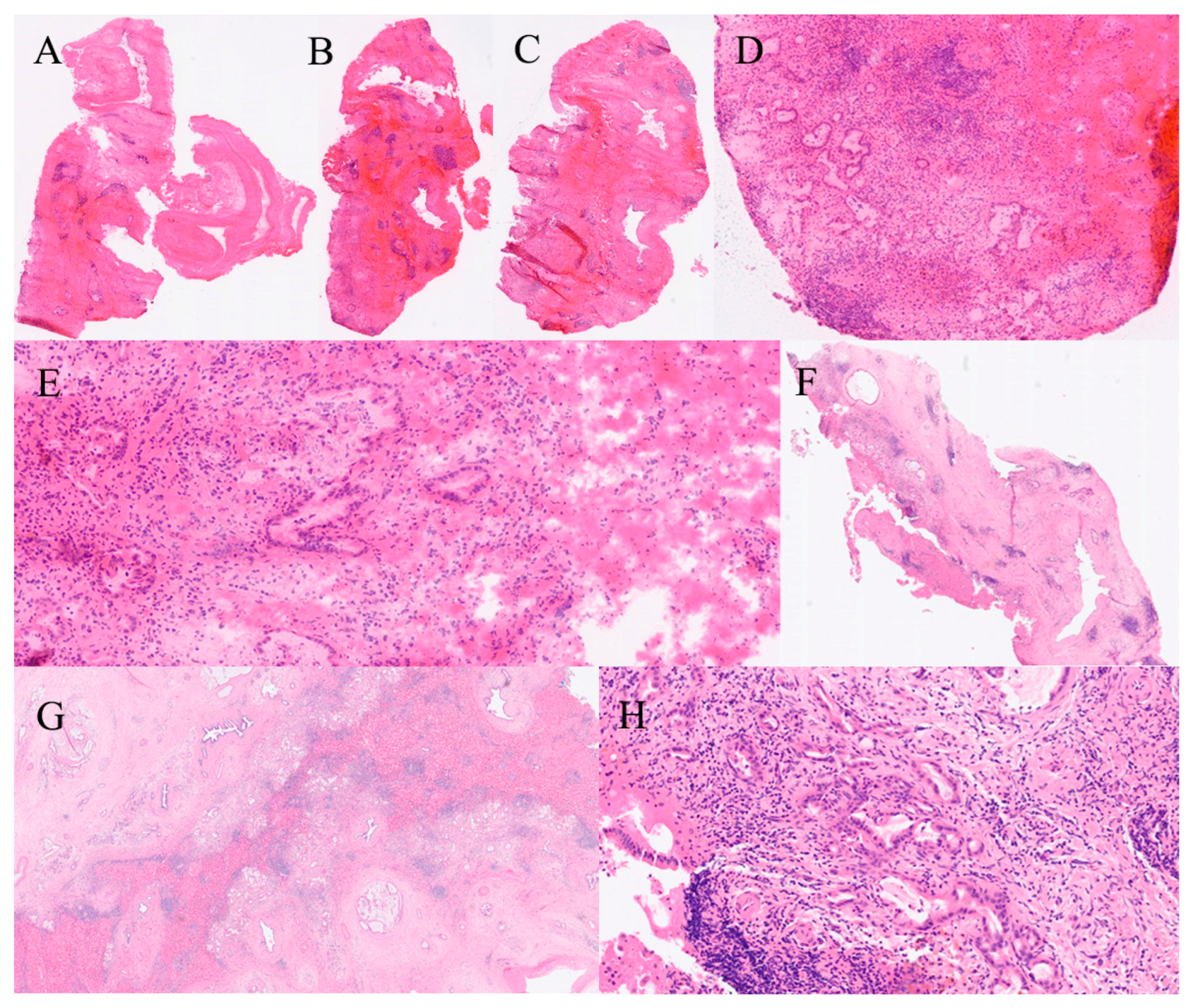
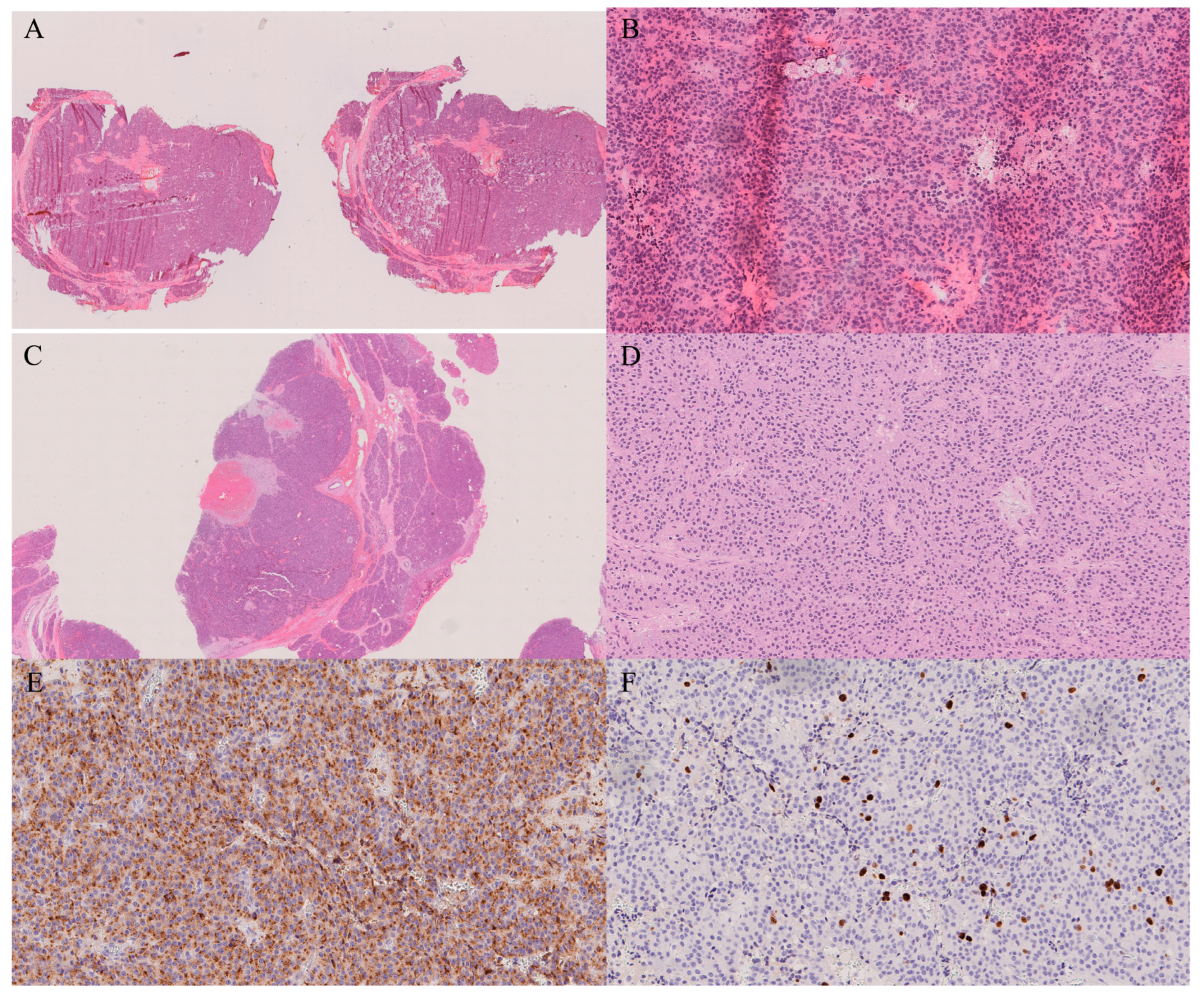
In the oesophagus, the predominant pathologies include adenocarcinoma (tubular or poorly cohesive types), squamous cell carcinoma, and Barrett’s oesophagus [58]. Less common spindle cell lesions such as gastrointestinal stromal tumours (GISTs) or granular cell tumours may also occur [59]. Gastric pathology most often represents adenocarcinoma (Figure 4) [60], with occasional GISTs (Figure 5) [61] and rarer lymphoproliferative disorders, including MALT lymphoma and diffuse large B-cell lymphoma [62].
FS reports should specify whether margins are positive or negative; when positive, the underlying cause—dysplasia, carcinoma, or Barrett’s epithelium—must be stated, and if close, the exact distance documented.
Interpretative challenges are common. Distinguishing low- from high-grade dysplasia in Barrett’s oesophagus may be difficult [3], and freezing artefacts often obscure goblet cells, compromising recognition of intestinal metaplasia [63]. Submucosal spread can be subtle, and diathermy distortion may further complicate interpretation [64]. Post-therapy changes and inflammation can mimic squamous carcinoma [65]. These overlapping alterations explain why FS in the upper gastrointestinal tract frequently falters at the dysplasia–carcinoma threshold: Barrett’s mucosa can resemble reactive or therapy-induced atypia, while freezing and cautery artefacts blur the defining features of malignancy—nuclear polarity, glandular contour, and lamina propria integrity [56,57,63,64,65].
For surgeons, FS should therefore be regarded not as a definitive diagnosis but as a risk-stratification tool—a means to identify margin safety or overt positivity, and to recognise when deferral to permanent sections is warranted. Intraoperative decisions should depend on the confidence level of the FS diagnosis rather than on the mere presence of atypia [56,57].
In the stomach, poorly cohesive adenocarcinoma may be easily overlooked due to scattered cells and subepithelial spread [66]. Linitis plastica can produce false negatives because of sparse tumour cellularity [67]. Reactive atypia from gastritis or ulcers can mimic carcinoma, and foveolar hyperplasia may resemble dysplasia when section quality is suboptimal [68]. As with oesophageal lesions, immunohistochemistry is essential for subtyping spindle cell neoplasms, since FS alone cannot establish a definitive diagnosis [69].
Diagnostic errors carry substantial consequences. Overcalling Barrett’s high-grade dysplasia as invasive carcinoma may result in unnecessary esophagectomy [3], whereas under-calling submucosal invasion or missing poorly cohesive carcinoma can leave residual tumour and predispose to early recurrence [66]. In margin assessment, a false-negative risks retaining positive mucosal or submucosal disease, while a false-positive may lead to unwarranted extension of resection [55].

9. Small Bowel, Colon and Anal Canal

FS evaluation of the small and large bowel is most often requested to confirm a lesion (frequently already biopsied), assess margins, evaluate unexpected suspicious findings in benign disease, or examine sites of perforation or ischemia [21]. When carcinoma or tumour bed approaches the margin, longitudinal full-thickness sections are essential to avoid missing microscopic foci [70,71]. If malignancy is unconfirmed, the most suspicious gross area should be selected for FS [71].
Common diagnoses include adenocarcinoma, polyps, metastatic deposits [72], endometriosis [73], and inflammatory masses such as diverticulitis. In resections without neoadjuvant therapy, gross inspection is usually sufficient for distant margins. For rectal cases, accurate measurement of the tumour–distal margin and assessment of mesorectal excision completeness are critical for surgical planning [74].
FS reporting centres on two issues: whether the margin is involved and, following neoadjuvant therapy, whether residual viable tumour remains [75]. Pelvic margins may be directly sampled, and intraoperative subserosal nodules are sometimes submitted for FS (Figure 6).
Interpretative pitfalls are frequent. In mucinous adenocarcinoma, acellular mucin pools may be mistaken for tumour at the margin—additional sections should always be taken. Conversely, isolated tumour cells within mucin or desmoplastic stroma may be overlooked [76]. At perforation or ischemic sites, necrosis can simulate neoplastic perforation [77], and regenerative mucosa may resemble dysplasia, rendering FS interpretation unreliable [78]. Sampling limitations and freezing artefacts affecting cellular detail are consistent with those described in the general Section 19.
The central difficulty in colorectal and small bowel FS lies in distinguishing viable tumour from treatment-altered or ischemic tissue [76,79]. After neoadjuvant therapy, mucin lakes or scattered residual cells may escape detection, while therapy-induced atypia can mimic persistent carcinoma [75,76]. This reflects not interpretive error but biological mimicry—tumour regression and tissue repair sharing similar morphologic features [79]. For surgeons, FS in this context functions best as a probabilistic guide: clear positivity or negativity should influence intraoperative decisions, whereas equivocal findings warrant caution and correlation with permanent sections [75,77].
Diagnostic missteps have tangible consequences. A false-negative margin risks leaving residual tumour, worsening prognosis; a false-positive, such as misreading acellular mucin as viable carcinoma, may prompt unnecessary resection extension, additional anastomoses, or stoma formation [75]. Following neoadjuvant therapy, missing scant residual carcinoma can necessitate re-operation, while overcalling therapy-related atypia may sacrifice sphincter-preserving options and heighten perioperative risk without oncologic benefit [79].

10. Liver

In hepatic surgery, frozen-section (FS) examination is primarily indicated for the evaluation of incidental subcapsular nodules, often detected during imaging, staging, or intraoperative exploration. Distinguishing benign from malignant pathology is essential, as operative management depends directly on this determination [80].
Benign lesions include bile duct adenoma and hamartoma (Table 2). Bile duct hamartomas (von Meyenburg complexes) present as multiple, small, well-circumscribed foci of dilated bile ducts lined by bland cuboidal epithelium within fibrotic stroma, lacking atypia or mitoses [80]. Bile duct adenomas are typically solitary, larger, and composed of tightly packed small ducts with compressed lumina, similarly lined by bland cuboidal cells [80]. Other benign findings may include fibrotic nodules, haemangiomas, biliary or mesothelial cysts, inflammatory nodules, or even normal hepatic tissue [81].
The principal pitfall is misinterpreting bile duct adenoma or hamartoma as metastatic adenocarcinoma, particularly on FS, where freezing artefacts and limited sampling can obscure ductal detail [82,83]. Suspicious regions adjacent to resection margins should be sampled perpendicularly to assess potential tumour extension [63]. Generic limitations such as freezing artefacts and sampling errors that distort hepatic architecture are addressed in Section 19.
Common malignant diagnoses include metastatic carcinoma (Figure 7), hepatocellular carcinoma (HCC), and cholangiocarcinoma, alongside less frequent benign mimics such as hepatocellular adenoma [82]. FS reports must clearly indicate whether margins are positive or negative. In cases of diagnostic uncertainty, a descriptive or provisional interpretation should be provided, deferring the final diagnosis to permanent sections [84]
Differentiating well-differentiated HCC from regenerative nodules or focal nodular hyperplasia, and cholangiocarcinoma from reactive biliary proliferations, remains among the most challenging aspects of hepatic FS [82]. Both under- and over-diagnosis can occur: HCC may resemble regenerative change, whereas reactive ductular proliferation in chronic inflammation may mimic carcinoma.
The underlying reason FS interpretation often fails in liver surgery lies in the organ’s architectural and reactive complexity [80,82]. Fibrosis, inflammation, and post-therapy effects distort lobular structure and induce ductular reactions that imitate metastatic adenocarcinoma or cholangiocarcinoma [82,83]. Even minimal freezing artefacts can exaggerate nuclear irregularity and obscure the subtle cytologic distinctions between benign and malignant ducts [80,83]. These limitations are structural rather than interpretive—frozen tissue simply lacks the fine anatomic resolution necessary for reliable biliary assessment [82,83]. Clinically, FS is most valuable for confirming unequivocal malignancy or assessing margin status, while ambiguous lesions should be deferred to permanent sections to avoid overtreatment or loss of resectable disease [82,84].
Errors in FS interpretation can have serious consequences. Misdiagnosing a bile duct hamartoma as metastatic adenocarcinoma may escalate a simple cholecystectomy into an extended hepatectomy, with significant morbidity [82]. Conversely, failing to recognise a well-differentiated HCC or cholangiocarcinoma at a margin risk leaving residual tumour, compromising transplant candidacy or promoting recurrence [82]. Misinterpreting granulomatous inflammation as metastatic disease can also prompt abandonment of potentially curative procedures such as pancreatoduodenectomy [85].

11. Pancreas

FS evaluation is frequently performed on pancreatic biopsies and resections to guide intraoperative management [21]. In biopsies, the principal aim is to distinguish ductal adenocarcinoma from benign inflammatory processes such as autoimmune or chronic pancreatitis [86,87]. This distinction is critical: a malignant diagnosis prompts radical resection with negative margins, whereas benign or indeterminate findings may spare patients unnecessary surgery [87].
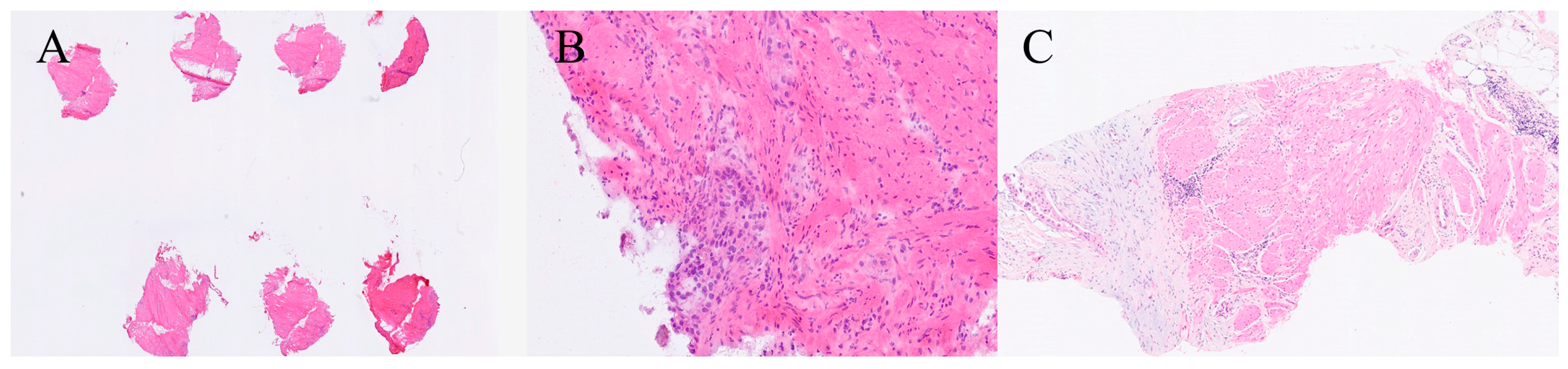
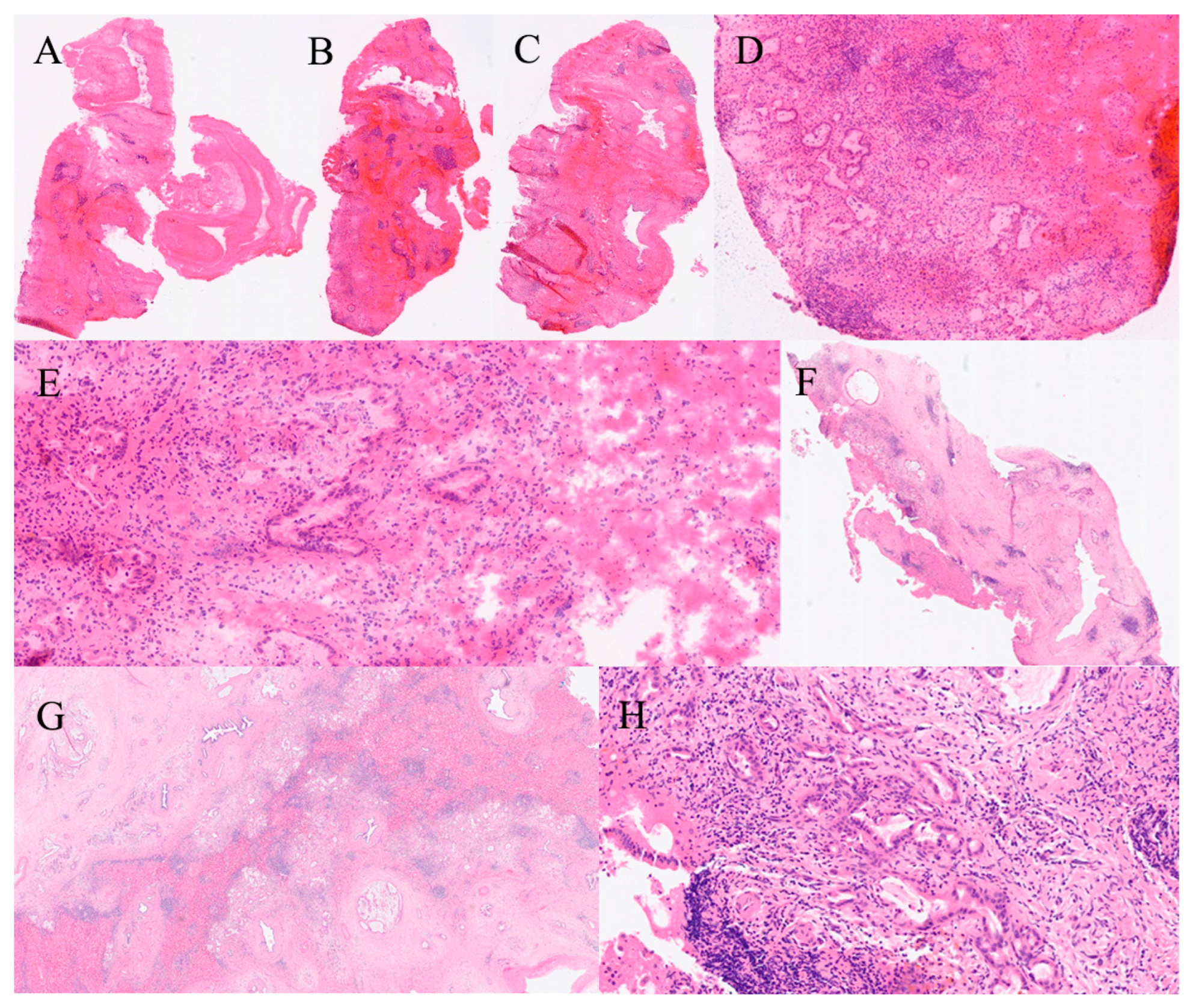
Histologic features supporting adenocarcinoma include nuclear pleomorphism, disorganised ductal architecture, incomplete lumina, infiltrative single cells, and perineural invasion—the latter being a particularly strong indicator of malignancy (Figure 8). Diagnostic overlap with chronic pancreatitis or therapy-related changes, however, can make interpretation difficult (Table 3) [87].
During pancreatic resections, FS is primarily used to assess parenchymal, retroperitoneal (uncinate), and bile duct margins. When malignancy involves a margin, additional resection is indicated to achieve clearance [8]. The parenchymal margin should be embedded en face and, for broad surfaces, divided into multiple blocks; the bile duct margin should also be en face [88]. The uncinate margin, when evaluated, is best sampled perpendicularly with inked orientation [89].
A wide spectrum of pathologies may be encountered, including ductal adenocarcinoma, neuroendocrine tumours (Figure 9), solid pseudopapillary neoplasms, mucinous and serous cystic neoplasms, PanIN, IPMN (Figure 10 and Figure 11), acinar cell carcinoma, chronic pancreatitis, pseudocysts, and metastatic lesions (Figure 12) [90]. When PanIN or IPMN involves a margin, the grade of dysplasia must be specified; low-grade lesions do not require further resection [90].
Interpretative pitfalls are numerous. Freezing artefacts may mimic cytologic atypia, particularly in inflamed or fibrotic parenchyma. Perineural invasion may be overlooked due to suboptimal sectioning [89], and false negatives can occur when only superficial tissue is sampled [42]. PanIN3 (high-grade dysplasia) should not be overcalled as invasive carcinoma, as it lacks stromal invasion and carries different surgical implications [91,92].
Recent multicentre analyses underscore both the value and variability of FS in pancreatic surgery. A large multi-institutional series of 1399 pancreaticoduodenectomies demonstrated the diagnostic utility of FS for margin control while highlighting inter-centre differences and the need for standardised reporting [93]. Likewise, a systematic review and meta-analysis of intraoperative FS in pancreatobiliary surgery confirmed its role in achieving R0 resections and improving outcomes across multiple cohorts [94].
The main reason FS interpretation fails in pancreatic surgery lies in the biological mimicry between carcinoma and chronic inflammation [86,87,90]. Dense fibrosis, acinar atrophy, and therapy-induced atypia compress ducts and distort architecture, creating patterns that closely resemble malignancy [86,87,90]. Freezing distortion further obscures key diagnostic cues—such as glandular polarity and stromal invasion—that define carcinoma [89,90]. This uncertainty often reflects not pathologist error but the inherent morphologic ambiguity of pancreatic disease [90]. Clinically, FS should thus function as a triage tool: confirming unequivocal malignancy or margin clearance, while deferring equivocal or fibrotic tissue to permanent sections to prevent overtreatment or unnecessary resection [88].
Bile duct margins present additional diagnostic challenges. Freezing artefacts, tangential sectioning, and limited sampling can create pseudostratification and apparent atypia that simulate dysplasia or carcinoma [95,96]. Inflammation, ulceration, and prior therapy can further exaggerate reactive atypia [95]. In such cases, deferring diagnosis to permanent sections remains the safest approach [90].
Errors in FS interpretation carry significant clinical consequences. Overcalling reactive atypia as ductal adenocarcinoma can lead to unwarranted pancreaticoduodenectomy for benign disease, exposing patients to substantial operative morbidity [97]. Conversely, missing small foci of carcinoma at the parenchymal or bile duct margin results in incomplete resection and worsened prognosis [98]. Confusing PanIN3 with invasive carcinoma may prompt unnecessary additional resection, while failure to recognise perineural invasion could underestimate tumour aggressiveness [99].

12. Bile Duct

FS examination is widely employed in resections for extrahepatic cholangiocarcinoma (eCCA) to assess proximal (hepatic) and distal (pancreatic or duodenal) ductal margins [96]. Accurate margin evaluation is essential for achieving R0 resection, which directly correlates with improved survival [94,100]. FS is also used to confirm malignancy when preoperative biopsies are inconclusive or when unexpected ductal thickening is encountered intraoperatively [101].
Diagnosis is inherently challenging because eCCA is desmoplastic, infiltrative, and often spreads longitudinally, rendering tumour boundaries ill-defined [102]. Artefactual and sampling limitations intrinsic to FS—addressed in the general Section 19—compound these difficulties [95]. Tangential sectioning and epithelial denudation further obscure interpretation, particularly when assessing biliary intraepithelial neoplasia (BilIN) at resection margins [93].
The principal goal of FS in this setting is to identify invasive carcinoma at ductal margins, which may require examination of multiple levels for detection (Figure 13). If invasion is confirmed, additional resection may be feasible to achieve margin clearance. High-grade BilIN presents a distinct interpretive dilemma: its prognostic significance remains uncertain, and further resection may not always confer clinical benefit [103]. In perihilar cholangiocarcinoma, where intraepithelial extension is common, generous FS sampling is essential [104].
Recent multicentre studies have underscored the clinical value of FS in bile duct and perihilar resections. A large retrospective multicentre analysis in perihilar cholangiocarcinoma demonstrated that intraoperative FS of proximal ductal margins improved R0 resection rates and guided selective re-excision when margins were positive [105]. Complementary meta-analytic evidence confirmed that revision of positive margins during surgery correlates with improved survival across institutional cohorts [94]. However, the prognostic impact of high-grade dysplasia (BilIN-3) at the ductal margin appears limited, as shown by a meta-analysis indicating no significant difference in survival between cases with high-grade dysplasia and those with negative margins [106].
The recurring reason FS underperforms in bile duct surgery lies in the delicate distinction between high-grade BilIN and early invasive carcinoma [95,107]. The single defining feature—stromal infiltration—is frequently distorted or lost in frozen tissue, erasing the histologic boundary between dysplasia and invasion [95,102]. The dense desmoplastic stroma of eCCA exacerbates this problem: tangential sectioning can make intact epithelium appear infiltrative, while inflammation or therapy-induced atypia may mimic neoplasia [94,102,103,107,108]. These limitations reflect not interpretive error but the inherent constraints of frozen morphology. Recognising this transforms diagnostic deferral from a weakness into a safeguard—an intentional act to prevent overtreatment while preserving oncologic precision [94,97].
Universal technical challenges—freezing artefacts, poor preservation, and limited sampling—remain consistent with those described elsewhere. Inflammatory or radiation-induced atypia can simulate dysplasia, risking overdiagnosis [107]. In such circumstances, deferral to permanent sections is prudent. When uncertainty persists, FS reports should communicate findings clearly as suspicious, indeterminate, or definitively positive/negative to guide intraoperative decision-making [97,107].
Errors in FS interpretation may have serious surgical consequences. Misclassifying reactive epithelium or BilIN as invasive carcinoma can trigger unwarranted hepatic or pancreatic extension, leading to significant morbidity [108]. Conversely, failing to recognise intraepithelial carcinoma spread can result in incomplete resection, particularly in perihilar cholangiocarcinoma, where microscopic extension often exceeds the grossly visible tumour [109].

13. Gallbladder

FS examination of gallbladder specimens serves as a key intraoperative tool for detecting invasive carcinoma, assessing resection margins, and evaluating incidental or suspicious lesions [110]. In cholecystectomy specimens showing wall thickening, masses, or polyps, FS helps distinguish benign conditions such as adenomyomatous hyperplasia, xanthogranulomatous inflammation, or Rokitansky–Aschoff sinus proliferation from neoplastic processes, including high-grade dysplasia (Figure 14), intracholecystic papillary–tubular neoplasm (ICPN), or invasive adenocarcinoma [111].
Recent studies have reinforced its clinical value. A large cohort of 575 resections demonstrated high diagnostic accuracy (95.1%) of FS for identifying gallbladder malignancy, confirming its reliability in guiding real-time surgical decisions [110]. Similarly, single-stage management of suspected gallbladder cancer guided by intraoperative FS has optimised operative strategy and reduced the need for delayed reoperation in selected cases [112].
Interpretation can be challenging due to inflammation, mucosal denudation, and degenerative changes that obscure the epithelial architecture [113]. Freezing artefacts may mimic dysplasia or carcinoma [36], while subtle invasive foci can be missed in fibrotic or cholesterol-laden walls. In uncertain cases, deferral to permanent sections prevents over- or underdiagnosis [114]. General FS artefacts and sampling limitations apply here as elsewhere but are not reiterated for brevity.
In cases of known or suspected carcinoma undergoing extended cholecystectomy, FS is particularly valuable for assessing the cystic duct margin, liver bed, and suspected metastatic deposits [114]. A positive cystic duct margin for carcinoma typically necessitates further resection, whereas high-grade BilIN (BilIN-3) at the margin represents a non-invasive change and may not warrant additional surgery if complete clearance is technically unfeasible [115,116]. Multicentre analyses have emphasised the prognostic significance of margin status in gallbladder carcinoma, reinforcing the need for precise intraoperative assessment [117].
The principal reason FS interpretation falters in gallbladder pathology lies in the biological mimicry between inflammation and malignancy [111,113]. Chronic xanthogranulomatous inflammation, ulceration, and cholesterosis can distort glandular and stromal patterns, creating an illusion of invasion—especially when compounded by freezing artefacts or tangential sectioning [110,113]. Inflammatory glandular crowding and cytologic irregularity can blur the boundary between reactive atypia and true neoplasia [111]. These difficulties stem from the intrinsic limitations of frozen tissue rather than interpretive error: FS cannot preserve the subtle mucosal–stromal interfaces required to distinguish benign from malignant change [110,114]. Consequently, FS should be viewed as a risk-balancing tool—its strength lies in confirming unequivocal invasion or clear margins, while recognising when diagnostic deferral represents the safest and most clinically sound course [115,116,118].
Gallbladder carcinoma frequently exhibits desmoplasia and perineural or lymphovascular invasion, which may be overlooked because of limited FS sampling [118]. Similarly, ICPNs can be misinterpreted as invasive carcinoma in the presence of ulceration or inflammation, underscoring the need for correlation with gross findings and imaging [119]. In cases of persistent uncertainty, FS reports should explicitly note interpretive limitations and defer the final diagnosis to permanent sections [113].
Errors in FS interpretation can have serious surgical implications. Overcalling xanthogranulomatous inflammation or ICPN as invasive carcinoma may prompt unnecessary extended cholecystectomy with hepatic wedge resection and lymphadenectomy [120]. Conversely, missing true carcinoma or margin involvement risks incomplete resection and early recurrence, potentially necessitating radical cholecystectomy [115].

14. Lymph Nodes

FS examination of abdominal lymph nodes plays a key role in the intraoperative staging of malignancies [121]. Nodes should be serially sectioned [63], and in cases of known carcinoma, the entire node should be submitted to maximise detection of metastatic deposits [62]. When no prior cancer diagnosis exists, sampling should preserve tissue for permanent sections and ancillary studies [4]. Touch imprints may also provide rapid cytologic assessment and can complement FS findings [63].
FS is particularly valuable for intraoperative decision-making in hepatobiliary and GI cancers. The most frequent finding is metastatic carcinoma [62], but a broad range of benign and non-epithelial conditions may mimic metastasis both grossly and microscopically. These include ectopic decidua, endosalpingiosis, mesothelial inclusions, lymphomas, reactive hyperplasia, epiploic appendages, endometriosis, sarcoidosis, tuberculosis, nevus cell aggregates, endothelial proliferations, lymphangiomyomatosis, and ectopic pancreatic tissue [122]. Awareness of this wide differential is essential to prevent diagnostic error [123].
FS reports should clearly state whether metastatic carcinoma is present or absent. Artefactual distortion and sampling limitations that obscure small deposits are addressed in the general Section 19. Specific pitfalls include reactive hyperplasia mimicking carcinoma—particularly when sinus histiocytosis or prominent germinal centres are present (Figure 15) [124]—and granulomatous inflammation resembling metastases [125]. Subtle deposits of signet-ring or mucinous carcinoma can be easily overlooked [124], and melanin pigment in dermatopathic lymphadenitis may simulate metastatic melanoma [125]. Freezing artefacts further complicate recognition of small-cell or neuroendocrine metastases, whose compressed nuclei may resemble lymphocytes and lack sufficient cytologic detail [90,126]. Subcapsular or marginal sinus deposits (Figure 16) are another common diagnostic trap and may be underestimated or missed entirely [1].
The principal reason FS underperforms in nodal evaluation lies in both biology and scale. Micrometastases and infiltrative tumour cells often occupy the threshold of visual resolution [121,122]. Even with optimal technique, limited sampling cannot ensure detection when deposits are confined to subcapsular sinuses or appear as single-cell patterns blending with reactive histiocytes [122,125]. Freezing artefacts compound this challenge by obscuring nuclear features, rendering small epithelial or neuroendocrine clusters nearly indistinguishable from lymphoid elements [90,126]. These are not interpretive lapses but intrinsic optical and structural limitations of frozen tissue [90,125]. Recognising this helps pathologists interpret FS results probabilistically, guiding intraoperative strategy while acknowledging that definitive nodal staging depends on permanent sections [121,123].
Errors in FS interpretation can carry significant clinical consequences. Misdiagnosing granulomatous inflammation or reactive hyperplasia as metastatic carcinoma may lead to inappropriate upstaging and unnecessary surgical extension [125]. Conversely, failure to detect subtle signet-ring or small-cell metastases can result in understaging, omission of adjuvant therapy, or disease recurrence [124].

15. Peritoneum/Omentum

Peritoneal and omental nodules are frequent findings during imaging, staging laparoscopy, or open exploration for both benign and malignant conditions [123]. When biopsied, small specimens should be entirely submitted for frozen-section (FS) evaluation, while larger ones should be serially sectioned and described in detail, including the number, size, colour, consistency, necrosis, and mucin content [63]. Targeted sampling should avoid necrotic or purely mucinous regions whenever possible to optimise diagnostic yield.
Common FS diagnoses include fat necrosis (Figure 17), metastatic carcinoma (Figure 18), ovarian carcinoma, and mesothelial proliferations such as mesothelial hyperplasia, well-differentiated papillary mesothelioma, and malignant mesothelioma [123]. Benign mimics encompass adenomatoid tumours and peritoneal inclusion cysts. Other entities that may resemble metastasis include endometriosis, endosalpingiosis, endocervicosis, decidual reactions, gliomatosis peritonei, splenosis, leiomyomatosis, infarcted epiploic appendage, granulomatous peritonitis (including tuberculosis), actinomycosis, and sclerosing peritonitis [127]. Awareness of this wide differential is critical, as benign and malignant peritoneal processes often overlap clinically and radiologically [63].
General FS limitations—freezing artefact, tissue fragmentation, and suboptimal sampling—are addressed in the general Pitfalls and Limitations section and are not repeated here. High-grade serous carcinoma of ovarian or peritoneal origin remains the most frequent malignant diagnosis, though aggressive ovarian tumours such as high-grade clear cell carcinoma may also occur. Artefactual distortion in necrotic or mucinous lesions can simulate carcinoma, posing a well-recognised interpretive challenge.
The principal reason FS interpretation falters in peritoneal and omental lesions lies in their marked morphologic heterogeneity [123]. Frozen tissue accentuates fragility and crush artefact, blurring nuclear membranes and creating pseudopapillary or pseudoinvasive patterns that can mimic carcinoma [124,127]. Conversely, sparse metastatic foci concealed within inflamed, fibrotic, or mucin-rich stroma may escape detection, resulting in false negatives [123]. These difficulties arise not from diagnostic error but from intrinsic optical and structural limitations of frozen preparation [90,127]. Recognising this reframes FS as a rapid triage instrument—effective for confirming clear malignancy or excluding definite benignity, while avoiding overinterpretation of equivocal findings [123,127]. Clinically, this measured approach prevents unnecessary resection of reactive lesions and ensures that cytoreductive or hyperthermic intraperitoneal chemotherapy (HIPEC) procedures are reserved for verified malignancy [128,129].
Errors in FS interpretation can have significant consequences. Misclassifying fat necrosis or mesothelial hyperplasia as carcinoma may prompt unwarranted bowel or omental resections [128], whereas failing to identify metastatic serous carcinoma deposits may delay cytoreductive surgery or HIPEC at the optimal therapeutic stage [129].

16. Others (From Deceased Donors for Transplant)

FS evaluation in transplantation serves to exclude malignancy, infection, or cirrhosis and thereby assess organ suitability for grafting [130]. Unexpected intra-abdominal findings may also arise during donor procurement, where FS aids in determining their clinical significance. Its principal roles include screening for malignancy, lymphoma, or incidental tumours, and evaluating suspected perforation or ischemia [131].
Suspicious visceral lesions, particularly those in the small intestine—should undergo FS to exclude malignancy (Figure 19), which represents a contraindication to transplantation. FS also assists in distinguishing benign lymphoid hyperplasia from lymphoma. In selected cases, it may be applied to assess ischemia in small bowel or multiorgan transplantation [132].
In hepatobiliary transplantation, evaluation for cirrhosis is essential, particularly in donors with fatty liver, advanced age, or viral hepatitis. Standard practice involves examination of two biopsies from each lobe. Steatosis below 30% is generally acceptable, 30–60% may be acceptable depending on recipient status, and levels exceeding 60% usually preclude transplantation due to poor graft function [132,133].
FS also contributes to excluding neoplasia, assessing vascular or ischemic injury, and identifying biliary abnormalities. Any suspicious hepatic lesion should be examined to prevent donor-to-recipient tumour transmission. Additional findings such as hepatic infarction, biliary ischemia, or rare primary malignancies (e.g., cholangiocarcinoma) may also be detected intraoperatively [35,134].
The interpretive challenge of FS in transplantation lies in its double consequence: diagnostic uncertainty translates not only into surgical risk but into ethical and logistical impact. Freezing artefacts, autolysis from warm ischemia, and fat-related distortion can obscure cellular detail, leading to false reassurance or unnecessary organ discard [130,131,132]. In fatty or fibrotic grafts, microscopic steatosis and regenerative changes may mimic low-grade malignancy, whereas necrotic tumour foci may appear deceptively benign [131,132]. These limitations make FS less a tool of categorical exclusion than of calibrated risk estimation—guiding immediate surgical judgment while recognising that permanent sections remain the definitive arbiter of graft safety [130,133,134]. Clinically, each FS interpretation carries dual weight: a diagnostic decision intertwined with an ethical one, balancing donor scarcity against recipient safety [135,136].
Errors in FS interpretation during transplantation carry profound consequences. A false-negative—such as failure to detect metastatic carcinoma, lymphoma, or primary hepatic or biliary malignancy—can result in donor-derived tumour transmission to recipients, with potentially catastrophic outcomes. Conversely, a false-positive diagnosis—overcalling a benign nodule, focal steatosis, or regenerative lesion as malignancy—may lead to unnecessary discard of a viable organ, reducing the donor pool and worsening recipient prognosis. Current transplant guidelines define certain malignancies (e.g., active melanoma, choriocarcinoma, high-grade sarcoma, and most carcinomas) as absolute contraindications for organ use, while others (such as small incidental renal cell carcinomas or well-differentiated hepatocellular carcinomas meeting strict criteria) may be considered acceptable within expanded protocols [135,136].

17. Frozen Section for Molecular Pathology

FS analysis has become increasingly relevant in molecular pathology as precision oncology integrates genomic data into surgical decision-making [137,138]. This works in a systematic scheme (Figure 20). FS tissue provides high-quality DNA, RNA, and protein for molecular testing while simultaneously confirming tumour presence and cellularity—parameters essential for next-generation sequencing (NGS), which typically requires greater than 20% tumour content. DNA integrity is often superior in frozen tissue compared with formalin-fixed, paraffin-embedded (FFPE) material, resulting in higher sequencing success rates [139].
In colorectal carcinoma, FS is rarely used directly for molecular testing but ensures viable tumour selection for downstream analysis, particularly in advanced or metastatic cases requiring rapid therapeutic stratification [140]. In gastrointestinal stromal tumours (GISTs), intraoperative FS of unexpected submucosal masses allows preservation of tumour-rich material for mutation testing of KIT, PDGFRA, and SDH genes [141]. In gastric and oesophageal carcinomas, FS can facilitate triage for HER2, Epstein–Barr virus (EBV), or microsatellite instability (MSI) testing when urgent treatment decisions are required [142].
In hepatocellular carcinoma (HCC), FS aids in selecting tumour-rich areas for sequencing from explant livers or metastases, supporting both biobanking and clinical trial enrolment [143]. In cholangiocarcinoma, FS assists in sampling strictures or nodules for downstream molecular studies [144]. In metastatic liver disease, FS helps confirm metastatic origin—particularly in colorectal cancer—and provides suitable material for genomic profiling [145].
The expanding intersection between FS and molecular pathology redefines the intraoperative role of frozen tissue—from a purely diagnostic checkpoint to a gateway for precision oncology [137,139]. FS succeeds when it bridges morphology with molecular potential but falters when sampling or preservation errors disrupt that link [138,139]. Freezing artefact, necrosis, and low tumour purity compromise not only histologic interpretation but also genomic yield, thereby influencing therapeutic decision-making [138,139,140]. In this context, FS represents both the first and most fragile step in the molecular chain of custody [137,144]. Its success depends on close surgical–pathology communication, real-time assessment of tissue adequacy, and the recognition that a suboptimal frozen specimen can nullify the promise of precision medicine [139,141,144,145].
Common pitfalls include inadequate sampling, freezing artefact, low tumour content, and heavily necrotic or mucinous tumours, all of which may reduce sequencing quality. Effective FS-guided molecular triage therefore requires coordinated collaboration between surgeons and pathologists to optimise specimen integrity and ensure reliable molecular analysis.

18. Hirschsprung Disease

Hirschsprung disease (HD) is a congenital disorder characterised by the absence of intramural parasympathetic ganglion cells in the distal gastrointestinal tract, resulting in tonic contraction and functional obstruction. The aganglionic segment invariably involves the anal sphincter and extends proximally for a variable distance [146]. Rectal biopsy remains the diagnostic gold standard and should be obtained at least 2 cm above the dentate line to avoid the physiological hypoganglionic zone [147].
Biopsy adequacy is paramount. Specimens containing squamous or anal transitional epithelium are inadequate, and absence of ganglion cells in such tissue is non-diagnostic. An adequate sample must include sufficient submucosa to evaluate both the Meissner (submucosal) and Auerbach (myenteric) plexuses, with submucosa at least as thick as the mucosa [148]. Inadequate sampling remains the most preventable source of false negatives, underscoring that diagnostic accuracy depends more on site and depth of biopsy than on interpretive skill [147,148].
Diagnosis is especially challenging in neonates (Figure 21), where immature ganglion cells may be mistaken for endothelial or stromal cells. Examination of multiple serial levels reduces the risk of false-negative results [149]. Hypertrophic extrinsic submucosal nerve fibres are present in over 90% of rectal suction biopsies, though they may be less prominent in short-segment disease or total colonic aganglionosis [150,151]. In such cases, FS can fail not because of interpretive error but because immature ganglion cells in neonates lack definitive morphologic features—obscuring the boundary between true aganglionosis and developmental immaturity [149,150,151].
Acetylcholinesterase histochemistry remains a widely used ancillary test (Figure 22). Optimal results require a dedicated fresh biopsy, freshly prepared reagents, and 15 µm cryostat sections to demonstrate hypertrophic nerve fibres. Commercial kits now facilitate standardisation [152]. However, sensitivity is reduced in neonates under 3 weeks of age, as extrinsic nerve fibres may lack demonstrable enzyme activity [153]. Acetylcholinesterase-positive nerve fibres within the lamina propria are highly supportive of Hirschsprung disease, as they are absent in normal controls [154]. Thick, ropy fibres coursing between crypts are particularly specific but may be absent in infants under 6 months or in short-segment disease, limiting diagnostic value in these settings [155].
Ultimately, the interpretive challenge in HD is biological rather than purely technical. FS and rapid histochemistry succeed when tissue maturity and enzyme activity are aligned, but fail when developmental immaturity, inadequate sampling, or delayed fixation obscure ganglion cells or enzyme reactivity [149,153,155]. Recognising these intrinsic biological limitations reframes false negatives not as interpretive error but as consequences of developmental context. The safest diagnostic strategy therefore emphasises adequate sampling, deferral to permanent sections in equivocal cases, and close clinicopathologic correlation for final confirmation [146,147,154].

19. Pitfalls and Limitations

FS diagnosis is inherently limited by technical artefacts, sampling variability, and interpretive uncertainty [21]. Rapid freezing can distort cellular detail, while superficial or tangential sampling may miss small foci of disease [110]. Inflammation, therapy-related atypia, and fibrosis often mimic malignancy, whereas necrosis or artefactual compression can obscure viable tumour [21]. These issues are common across gastrointestinal and hepatobiliary specimens, where infiltrative or desmoplastic tumours exceed the resolving power of frozen tissue and reactive or ischemic processes imitate carcinoma [4]. Consequently, FS is most dependable for identifying unequivocal malignancy or margin clearance, not for adjudicating borderline atypia [44]. Its greatest value lies in triage—providing rapid intraoperative guidance while acknowledging uncertainty. Recognising these biological and technical constraints allows pathologists to balance decisiveness with caution, preserving FS accuracy and clinical trust [110].

20. Impact of Chemotherapy and Immunotherapy on Interpretation of FS

Chemotherapy and immunotherapy are being used with increasing frequency in modern oncological care and personalised treatment strategies [156]. For pathologists, awareness of tissue alterations that follow these therapies is essential. Cytotoxic agents can produce a spectrum of changes, including necrosis, stromal fibrosis, cytoplasmic vacuolisation, and nuclear atypia. Such alterations may obscure residual tumour cells or mimic malignant features. These treatment-related artifacts heighten the risk of sampling error or misinterpretation, particularly at resection margins. Accordingly, frozen section (FS) findings must always be interpreted within the context of prior therapy, and close communication between pathologists and surgeons is critical when managing specimens from patients who have received neoadjuvant chemotherapy.
The advent of immunotherapy, particularly immune checkpoint inhibitors (ICIs), introduces a further layer of complexity. In the FS setting, immune-mediated changes may present as dense lymphoid infiltrates, granulomatous inflammation, or tissue injury, any of which can resemble recurrent or residual malignancy [157]. Recent analyses of immune-related adverse events in gastrointestinal malignancies have underscored the histologic diversity and diagnostic challenges of ICI-associated tissue injury, which can closely mimic tumour recurrence or progression in surgical specimens [158]. Recognising the full spectrum of therapy-induced changes—whether from chemotherapy or immunotherapy—is therefore fundamental to FS interpretation, to prevent overcalling treatment effect as residual tumour or underestimating true disease persistence.

21. Future Direction

FS diagnosis traditionally requires the on-site presence of a pathologist to deliver rapid results to surgeons. This model can be difficult to maintain in remote settings or during off-hours, leading to delays or deferrals. Digital pathology has emerged as a practical solution, providing remote access to expertise while maintaining diagnostic quality [159]. Large-scale implementations support this trajectory: a national Chinese telepathology consultation network connecting 71 hospitals reported frozen-section performance comparable to on-site diagnosis, demonstrating feasibility of multicentre FS consultation at scale [160]. Regional European networks are now deploying fully digital, multi-hospital infrastructures (e.g., the Veneto, Italy program spanning 12 hospitals and ~3 million slides/year), explicitly designed to support intraoperative consultation across sites [161].
High concordance between telepathology and conventional microscopy for FS has been reported, with diagnostic agreement rates ranging from 92% to 98% [162]. Large institutional programs confirm this: the Mayo Clinic telepathology service covers over 2500 FS cases annually with excellent diagnostic accuracy and surgeon satisfaction [163]. Contemporary telepathology platforms integrate with laboratory and hospital information systems, enabling automatic slide routing, real-time reporting, and structured documentation. Advanced features, such as voice recognition and standardised templates, further streamline workflow [164].
Artificial intelligence (AI) is increasingly embedded into digital pathology, extending the capabilities of remote FS consultation. Deep learning algorithms already provide high accuracy in image recognition and decision support [165,166]. Recent multicentre validation in the intraoperative setting shows that deep learning can augment pathologists on frozen slides—for example, a Nature Communications multicentre study (with external cohorts and reader studies) improved discrimination of diagnostically challenging entities on FS and enhanced human performance [167]. Beyond single-task models, an end-to-end AI platform for intraoperative diagnosis (validated across multiple external cohorts and a prospective arm) has been reported in npj Digital Medicine, illustrating multi-institution generalisation and human–AI collaboration for FS workflows [168]. Beyond classification, advanced systems now highlight areas of concern, suggest differentials, and provide confidence scores. Natural language processing (NLP) tools are also being trialled to link FS findings with prior reports and relevant literature, enriching interpretation [169].
The integration of AI and telepathology offers several advantages. Remote hospitals gain access to subspecialty input without delay [170]. AI–pathologist collaboration reduces diagnostic error and improves confidence in borderline cases [171]. Automated audit and quality control tools further support standardisation and continuous improvement [172].
Telepathology and AI are also beginning to reshape the approach to deferred frozen section diagnoses. Remote consultation allows immediate access to subspecialty expertise, which has been shown to reduce inappropriate deferrals, particularly in complex gastrointestinal, hepatopancreatobiliary, and transplant cases [160,173,174]. By integrating with laboratory and surgical workflows, telepathology provides surgeons with more detailed provisional opinions instead of blanket deferrals, aiding intraoperative decision-making. At the same time, AI tools can highlight diagnostically ambiguous regions, quantify tumour cellularity, and flag cases prone to misinterpretation, helping pathologists to distinguish between situations where a confident diagnosis can be made and those where a cautious deferral remains the safest option [165,166,175]. Rather than eliminating deferrals altogether, these technologies shift the balance: reducing unnecessary deferrals while supporting prudent ones in challenging cases.
However, challenges persist. Technical issues such as bandwidth limitations, image quality, and FS artifacts can compromise performance [176]. Regulatory requirements demand rigorous validation before deployment, slowing adoption [177]. Training and workflow adjustments may initially reduce efficiency, requiring sustained education and support [178].
Emerging technologies promise to mitigate these issues. Ultra-fast scanners capable of digitising FS slides in under 30 s are already reducing turnaround times. The rollout of 5G networks is expected to improve telepathology through greater bandwidth and reduced latency [179]. Next-generation AI models are advancing beyond single-modality analysis: multimodal systems integrating histology, laboratory, and imaging data provide comprehensive diagnostic support, while federated learning enables cross-institutional improvement without compromising patient privacy [180]. Multicentre networks and prospective cohorts will be pivotal to validate these systems under real intraoperative constraints, with early reports already demonstrating cross-site generalisation and measurable gains in pathologist confidence and accuracy [161,167,168].
Together, these advances suggest that the future of FS will rely on hybrid systems combining pathologist expertise with digital and AI-driven augmentation, ensuring wider access, improved precision, and consistent intraoperative diagnostic quality.

22. Conclusions

Frozen section (FS) analysis remains an essential intraoperative tool in gastrointestinal and hepatobiliary pathology. It provides rapid provisional diagnoses, enabling real-time surgical decisions that enhance precision and reduce reoperation rates. Although highly accurate—with concordance rates above 95%—pitfalls related to sampling errors, artefacts, and histologic mimics require careful interpretation and occasional deferral to permanent sections.
Nevertheless, FS failures occur, most often due to sampling error, freezing artefact, or overlapping morphology (e.g., chronic pancreatitis versus adenocarcinoma). Advances such as improved cryostat design, telepathology, and rapid ancillary stains may mitigate these issues, while comparison with alternatives highlights that FS retains advantages over rapid onsite cytology and molecular assays. Its future role is likely to be multimodal, integrated with cytological and molecular approaches rather than replaced by them. Importantly, some multicentre evaluations have reported lower concordance rates in hepatobiliary surgery, particularly for bile duct and pancreatic lesions, underscoring the need to recognise institutional and case-related variability rather than overemphasising positive results. At the same time, novel intraoperative approaches such as mass spectrometry-based tissue analysis and AI-assisted FS interpretation are emerging, offering opportunities to enhance accuracy, reduce turnaround time, and support decision-making in complex cases.
In oesophageal and gastric surgery, FS is primarily used for margin assessment in Barrett’s oesophagus and carcinoma. Challenges include artefacts, submucosal spread, and subtle poorly cohesive tumours. In the colon and small bowel, FS aids in margin evaluation and lesion characterisation, but caution is needed when interpreting ischemic changes and mucinous neoplasms.
In hepatic surgery, FS assesses incidental nodules and surgical margins, but freezing artefacts can obscure distinctions between benign and metastatic lesions. For pancreatic resections, FS is vital for margin status and malignancy diagnosis; however, differentiating adenocarcinoma from chronic pancreatitis or PanIN intraoperatively remains challenging.
In extrahepatic bile ducts, FS helps guide resection in cholangiocarcinoma, though interpretation is complicated by BilIN, epithelial loss, and desmoplasia. In the gallbladder, FS distinguishes carcinoma from mimics like ICPN and xanthogranulomatous inflammation, with cystic duct margin assessment influencing surgical management.
FS also assists in staging through evaluation of abdominal lymph nodes, requiring awareness of benign mimics such as granulomas and mesothelial inclusions. In peritoneal and omental lesions, FS distinguishes metastatic disease from benign conditions like fat necrosis or endosalpingiosis, informing cytoreductive strategies.
In Hirschsprung disease, FS detects ganglion cells and hypertrophic nerves, though interpretation can be limited in neonates. FS is increasingly used in molecular pathology to triage tissue for genomic testing, particularly in GIST, colorectal, and biliary tumours.
In conclusion, FS remains a critical adjunct in GI and hepatobiliary surgery, supporting timely, accurate decisions when performed with expertise and interdisciplinary coordination, while future integration with digital platforms, molecular diagnostics, and AI promises to further expand its role in precision oncology.

Author Contributions

Conceptualisation: A.M.Z.; methodology, A.M.Z.; Resources; Not applicable, writing—original draft preparation, A.M.Z. and S.A.A.; writing—review and editing, A.M.Z.; visualisation, A.M.Z. and S.A.A.; supervision, A.M.Z.; project administration, Not applicable; funding acquisition, Not applicable. All authors have read and agreed to the published version of the manuscript.

Funding

This review received no external fundings.

Institutional Review Board Statement

Ethical review and approval were waived based on the UK National Health Service Research Authority Decision Tool (http://www.hra-decisiontools.org.uk/research/index.html, accessed on 24 July 2025) and confirmed by the Clinical Audit department at Nottingham University Hospitals NHS Trust (project ID number: 25-317C), Nottingham.

Informed Consent Statement

Not applicable for this review article.

Data Availability Statement

A.M.Z. is responsible for data protection. These data are not available to be publicly shared due to ethical restrictions.

Conflicts of Interest

The Authors have no conflicts of interest.

Abbreviations

FSFrozen section
GIGastrointestinal
PSParaffin section
CAPCollege of American Pathologists
TATTurnaround time
NUHNottingham University Hospitals
AIArtificial intelligence
NLPNatural language processing
BilINBiliary intraepithelial neoplasia
ICPNIntracholecystic papillary neoplasm
PanINPancreatic intraepithelial neoplasia
H&EHaematoxylin and eosin
GISTGastrointestinal stromal tumour
FRCPathFellowship of the Royal College of Pathologists
HIPECHyperthermic Intraperitoneal Chemotherapy
ICIsImmune Checkpoint Inhibitors

References

  1. Rosai, J. Rosai and Ackerman’s Surgical Pathology, 11th ed.; Elsevier: Edinburgh, UK, 2018. [Google Scholar]
  2. Pearse, A.G.; Slee, K. Histochemistry: Theoretical and Applied, Vol. 1, 3rd ed.; J. & A. Churchill Ltd.: London, UK, 1960. [Google Scholar]
  3. Mahe, E.; Bissonnette, C.; Auger, M. Intraoperative pathology consultation: Error, cause and impact. Can. J. Surg. 2013, 56, E13–E18. [Google Scholar] [CrossRef] [PubMed]
  4. Hartman, D.J.; Kelly, S.M.; Wiehagen, L.; Yousem, S.A. Tissue adequacy for ancillary studies beyond frozen section: A potential method for improving diagnostic and therapeutic results. Int. J. Surg. Pathol. 2013, 21, 583–586. [Google Scholar] [CrossRef]
  5. Miedema, J.R.; Hunt, H.V. Practical issues for frozen section diagnosis in gastrointestinal and liver diseases. J. Gastrointestin. Liver Dis. 2010, 19, 181–185. [Google Scholar] [PubMed]
  6. Nagtegaal, I.D.; Odze, R.D.; Klimstra, D.; Paradis, V.; Rugge, M.; Schirmacher, P.; Washington, K.M.; Carneiro, F.; Cree, I.A.; WHO Classification of Tumours Editorial Board. The 2019 WHO classification of tumours of the digestive system. Histopathology 2020, 76, 182–188. [Google Scholar] [CrossRef]
  7. Kumar, V.; Abbas, A.K.; Aster, J.C. Robbins Basic Pathology, 10th ed.; Elsevier: Philadelphia, PA, USA, 2017. [Google Scholar]
  8. Vazzano, J.; Chen, W.; Frankel, W.L. Intraoperative frozen section evaluation of pancreatic specimens and related liver lesions. Arch. Pathol. Lab. Med. 2025, 149, e63–e71. [Google Scholar] [CrossRef]
  9. Burt, A.D.; Portmann, B.C.; Ferrell, L.D. MacSween’s Pathology of the Liver, 7th ed.; Elsevier: Philadelphia, PA, USA, 2018. [Google Scholar]
  10. Dillhoff, M.; Yates, R.; Wall, K.; Muscarella, P.; Melvin, W.S.; Ellison, E.C.; Bloomston, M. Intraoperative assessment of pancreatic neck margin at the time of pancreaticoduodenectomy increases likelihood of margin-negative resection in patients with pancreatic cancer. J. Gastrointest Surg. 2009, 13, 825–830. [Google Scholar] [CrossRef]
  11. Shayan, K.; Smith, C.; Langer, J.C. Reliability of intraoperative frozen sections in the management of Hirschsprung’s disease. J. Pediatr. Surg. 2004, 39, 1345–1348. [Google Scholar] [CrossRef] [PubMed]
  12. Hatami, H.; Mohsenifar, Z.; Alavi, S.N. The diagnostic accuracy of frozen section compared to permanent section: A single center study in Iran. Iran. J. Pathol. 2015, 10, 295–299. [Google Scholar] [PubMed] [PubMed Central]
  13. Meunier, R.; Kim, K.; Darwish, N.; Gilani, S.M. Frozen section analysis in community settings: Diagnostic challenges and key considerations. Semin. Diagn. Pathol. 2025, 42, 150903. [Google Scholar] [CrossRef] [PubMed]
  14. Mclean, T.; Fitzgerald, C.; Eagan, A.; Long, S.M.; Cracchiolo, J.; Shah, J.; Patel, S.; Ganly, I.; Dogan, S.; Cohen, M.A.; et al. Understanding frozen section histopathology in sinonasal and anterior skull base malignancy and proposed reporting guidelines. J. Surg. Oncol. 2023, 128, 1243–1250. [Google Scholar] [CrossRef]
  15. Mills, S.E. Sternberg’s Diagnostic Surgical Pathology, 6th ed.; Wolters Kluwer: Philadelphia, PA, USA, 2015. [Google Scholar]
  16. Michael, C.W.; Johnston, W.W.; Berry, A.; Nguyen, G.K.; Michael, A.C. Rapid On-Site Evaluation (ROSE) for Fine Needle Aspiration Biopsy: Impact, Accuracy, and Limitations. Diagn. Cytopathol. 2020, 48, 1092–1098. [Google Scholar] [CrossRef]
  17. Schmidt, R.L.; Witt, B.L.; Lopez-Calderon, L.E.; Layfield, L.J. The Influence of Rapid Onsite Evaluation on the Adequacy Rate of Fine-Needle Aspiration Cytology: A Systematic Review and Meta-Analysis. Am. J. Clin. Pathol. 2013, 139, 300–308. [Google Scholar] [CrossRef] [PubMed]
  18. da Cunha Santos, G. The Petals and Thorns of ROSE (Rapid On-Site Evaluation). Cancer Cytopathol. 2013, 121, 4–8. [Google Scholar] [CrossRef]
  19. Murphy, Z.R.; Wong, A.; Rosenthal, J.; Wang, Y.; Spencer, D.; Ji, H.P. Ultra-Rapid Droplet Digital PCR Enables Intraoperative Molecular Diagnostics with <20-Minute Turnaround. Med 2024, 5, 99–112. [Google Scholar] [CrossRef]
  20. Xie, X.; Lu, Y.; Zhang, Z.; Wang, Y.; Zhu, H.; Qiu, X.; Liang, J.; Wang, Y.; Wu, J.; Wang, Y.; et al. Rapid Intraoperative Multi-Molecular Diagnosis of Glioma. EBioMedicine 2023, 95, 104798. [Google Scholar] [CrossRef]
  21. Jaafar, H. Intra-operative frozen section consultation: Concepts, applications and limitations. Malays. J. Med. Sci. 2006, 13, 4–12. [Google Scholar] [PubMed] [PubMed Central]
  22. Gephardt, G.N.; Zarbo, R.J. Interinstitutional comparison of frozen-section consultations: A College of American Pathologists Q-Probes study of 90,538 cases in 461 institutions. Arch. Pathol. Lab. Med. 1996, 120, 804–809. [Google Scholar]
  23. College of American Pathologists (CAP). Laboratory Accreditation Program: Anatomic Pathology Checklist; CAP: Northfield, IL, USA, 2023. [Google Scholar]
  24. Jorns, J.M.; Visscher, D.; Sabel, M.; Breslin, T.; Healy, P.; Daignaut, S.; Myers, J.L.; Wu, A.J. Intraoperative frozen section analysis of margins in breast conserving surgery significantly decreases reoperative rates: One-year experience at an ambulatory surgical center. Am. J. Clin. Pathol. 2012, 138, 657–669. [Google Scholar] [CrossRef]
  25. Nakhleh, R.E.; Fitzgibbons, P.L. Quality Management in Anatomic Pathology: Promoting Patient Safety Through Systems Improvement and Error Reduction; CAP Press: Northfield, IL, USA, 2016. [Google Scholar]
  26. Novis, D.A.; Zarbo, R.J. Interinstitutional comparison of frozen section turnaround time: A College of American Pathologists Q-Probes study of 32,868 frozen sections in 700 hospitals. Arch. Pathol. Lab. Med. 1997, 121, 559–567. [Google Scholar] [PubMed]
  27. Rima, S.; Santhosh, A.; Roy, S. A retrospective study on turnaround time for frozen sections—A tertiary care centre experience from southern India. J. Clin. Diagn. Res. 2022, 16, EC42–EC45. [Google Scholar] [CrossRef]
  28. Saddoughi, S.A.; Mitchell, K.G.; Antonoff, M.B.; Fruth, K.M.; Taswell, J.; Mounajjed, T.; Hofstetter, W.W.L.; Rice, D.C.; Shen, K.R.; Blackmon, S.H.; et al. Analysis of esophagectomy margin practice and survival implications. Ann. Thorac Surg. 2022, 113, 209–216. [Google Scholar] [CrossRef]
  29. Pedersen, C.K.; Babu, A.S. Understanding the lymphatics: Review of the N category in the updated TNM staging of cancers of the digestive system. AJR Am. J. Roentgenol. 2020, 215, 58–68. [Google Scholar] [CrossRef]
  30. Blumgart, L.H.; Schwartz, L.H.; DeMatteo, R.P.; Hann, L.E. Surgical and radiologic anatomy of the liver, biliary tract, and pancreas. In Blumgart’s Surgery of the Liver, Biliary Tract and Pancreas, 6th ed.; Jarnagin, W.R., Ed.; Elsevier: Philadelphia, PA, USA, 2016; pp. 32–59.e1. [Google Scholar]
  31. Ji, H.; Hu, C.; Yang, X.; Liu, Y.; Ji, G.; Ge, S.; Wang, X.; Ming, Z.; Chen, P.; Zhou, Q.; et al. Lymph node metastasis in cancer progression: Molecular mechanisms, clinical significance and therapeutic interventions. Signal Transduct. Target. Ther. 2023, 8, 367. [Google Scholar] [CrossRef] [PubMed]
  32. Bharadwaj, B.S.; Deka, M.; Salvi, M.; Das, B.K.; Goswami, B.C. Frozen section versus permanent section in cancer diagnosis: A single centre study. Asian Pac. J. Cancer Care 2022, 7, 247–251. [Google Scholar] [CrossRef]
  33. Lechago, J. Frozen section examination of liver, gallbladder, and pancreas. Arch. Pathol. Lab. Med. 2005, 129, 1610–1618. [Google Scholar] [CrossRef]
  34. Jadhav, A.S.; Deodhar, K.K.; Ramadwar, M.; Bal, M.; Kumar, R.; Goel, M.; Saklani, A.; Shrikhande, S.V. An audit of frozen sections for suspected gastrointestinal malignancies in a tertiary referral hospital in India. Indian J. Pathol. Microbiol. 2022, 65, 796–801. [Google Scholar] [CrossRef] [PubMed]
  35. Rastogi, A.; Ashwini, N.S.; Rath, I.; Bihari, C.; Sasturkar, S.V.; Pamecha, V. Utility and diagnostic accuracy of intraoperative frozen sections in hepato-pancreato-biliary surgical pathology. Langenbecks Arch. Surg. 2023, 408, 390. [Google Scholar] [CrossRef] [PubMed]
  36. Yamaguchi, K.; Chijiiwa, K.; Saiki, S.; Shimizu, S.; Tsuneyoshi, M.; Tanaka, M. Reliability of frozen section diagnosis of gallbladder tumor for detecting carcinoma and depth of its invasion. J. Surg. Oncol. 1997, 65, 132–136. [Google Scholar] [CrossRef]
  37. Dima, A.; Gateau, J.; Claussen, J.; Wilhelm, D.; Ntziachristos, V. Optoacoustic imaging of blood perfusion: Techniques for intraoperative tissue viability assessment. J. Biophotonics 2013, 6, 485–492. [Google Scholar] [CrossRef]
  38. Gerber, S.A.; Rybalko, V.Y.; Bigelow, C.E.; Lugade, A.A.; Foster, T.H.; Frelinger, J.G.; Lord, E.M. Preferential attachment of peritoneal tumor metastases to omental immune aggregates and possible role of a unique vascular microenvironment in metastatic survival and growth. Am. J. Pathol. 2006, 169, 1739–1752. [Google Scholar] [CrossRef]
  39. Hutchens, J.A.; Lopez, K.J.; Ceppa, E.P. Mucinous cystic neoplasms of the liver: Epidemiology, diagnosis, and management. Hepat. Med. 2023, 15, 33–41. [Google Scholar] [CrossRef]
  40. Xia, Q.; Li, F.; Min, R.; Sun, S.; Han, Y.-X.; Feng, Z.-Z.; Li, N. Malignancy risk factors and prognostic variables of pancreatic mucinous cystic neoplasms in Chinese patients. World J. Gastroenterol. 2023, 29, 3119–3132. [Google Scholar] [CrossRef]
  41. Basturk, O.; Hong, S.-M.; Wood, L.D.; Adsay, N.V.; Albores-Saavedra, J.; Biankin, A.V.; Brosens, L.A.A.; Fukushima, N.; Goggins, M.; Hruban, R.H.; et al. A revised classification system and recommendations from the Baltimore Consensus Meeting for neoplastic precursor lesions in the pancreas. Am. J. Surg. Pathol. 2015, 39, 1730–1741. [Google Scholar] [CrossRef]
  42. Amit, S.; Khan, L.; Chakraborty, S.; Pai, M.R.; Naik, R. Diagnostic utility, errors and limitations of frozen section in surgical pathology. J. Acad. Med. Param. 2024, 6, 742–747. [Google Scholar] [CrossRef]
  43. Ferreiro, J.A.; Myers, J.L.; Bostwick, D.G. Accuracy of frozen section diagnosis in surgical pathology: Review of a 1-year experience with 24,880 cases at Mayo Clinic Rochester. Mayo Clin. Proc. 1995, 70, 1137–1141. [Google Scholar] [CrossRef]
  44. Namdar, Z.M.; Erdem, B.; Shahabi, S.; Omidifar, N.; Arasteh, P.; Akrami, M.; Tahmasebi, S.; Salehi Nobandegani, A.; Sedighi, S.; Zangouri, V.; et al. How Accurate Is Frozen Section Pathology Compared to Permanent Pathology? World J. Surg. Oncol. 2021, 19, 72. [Google Scholar] [CrossRef]
  45. Chavez, J.A.; Chen, W.; Freitag, C.E.; Frankel, W.L. Pancreatic frozen section guides operative management with few deferrals and errors: Five-year experience at a large academic institution. Arch. Pathol. Lab. Med. 2022, 146, 84–91. [Google Scholar] [CrossRef]
  46. Prey, M.U.; Vitale, T.; Martin, S.A. Guidelines for practical utilization of intraoperative frozen sections. Arch. Surg. 1989, 124, 331–335. [Google Scholar] [CrossRef] [PubMed]
  47. Patil, P.; Deodhar, K.K.; Ramadwar, M.; Bal, M.; Kumar, R.; Goel, M.; Shrikhande, S.V. An audit of frozen sections for suspected gastrointestinal pathology: A three-year institutional study. Int. J. Res. Med. Sci. 2015, 3, 399–404. [Google Scholar] [CrossRef]
  48. Fang, W.L.; Hsieh, M.S.; Huang, J.Y.; Hsu, P.K.; Lin, C.C.; Huang, M.S.; Yang, C.F.; Jou, H.J.; Wu, C.W. Intraoperative frozen section assessment of esophageal carcinoma margins: Accuracy and clinical impact. Ann. Surg. Oncol. 2014, 21, 3032–3038. [Google Scholar]
  49. Japanese Gastric Cancer Association. Role of intraoperative frozen section in gastric cancer surgery. Gastric. Cancer 2011, 14, 1–7. [Google Scholar]
  50. Maia, D.M. The reliability of frozen-section diagnosis in the pathologic evaluation of Hirschsprung’s disease. Am. J. Surg. Pathol. 2000, 24, 1675–1677. [Google Scholar] [CrossRef]
  51. Adsay, V.N.; Basturk, O.; Sakaida, J.; Nakanuma, K.G.; Roa, J.C.; Balci, K.; Aykan, A.; Dogan, S.; Amin, M.B.; Klimstra, D.S. Gallbladder dysplasia and carcinoma: Intraoperative consultation accuracy. Am. J. Surg. Pathol. 2012, 36, 1279–1287. [Google Scholar] [CrossRef]
  52. Mitchell, M.L. Frozen section diagnosis for axillary sentinel lymph nodes: The first six years. Mod Pathol. 2005, 18, 58–61. [Google Scholar] [CrossRef]
  53. Goldblum, J.R.; Hart, W.R. Frozen section evaluation of peritoneal implants: Diagnostic accuracy and pitfalls. Am. J. Clin. Pathol. 1993, 99, 512–517. [Google Scholar]
  54. Nakhleh, R.E.; Nosé, V.; Fatheree, L.; Ventura, C.; McCrory, D.; Colasacco, C.; Allen, T.C.; Burgart, L.J.; Fitzgibbons, P.L.; Myers, J.L. Interpretive Diagnostic Error Reduction in Surgical Pathology and Cytology: Guideline From the College of American Pathologists Pathology and Laboratory Quality Center and the Association of Directors of Anatomic and Surgical Pathology. Arch. Pathol. Lab. Med. 2015, 140, 29–40. [Google Scholar] [CrossRef]
  55. Chatelain, D.; Shildknecht, H.; Trouillet, N.; Brasseur, E.; Darrac, I.; Regimbeau, J.-M. Intraoperative consultation in digestive surgery: A consecutive series of 800 frozen sections. J. Visc. Surg. 2012, 149, e134–e142. [Google Scholar] [CrossRef]
  56. Bejarano, P.A.; Berho, M. Examination of surgical specimens of the esophagus. Arch. Pathol. Lab. Med. 2015, 139, 1446–1454. [Google Scholar] [CrossRef] [PubMed]
  57. Prasad, G.A.; Wang, K.K.; Lutzke, L.S.; Lewis, J.T.; Sanderson, S.O.; Buttar, N.S.; Wong Kee Song, L.M.; Borkenhagen, L.S.; Burgart, L.J. Frozen section analysis of esophageal endoscopic mucosal resection specimens in the real-time management of Barrett’s esophagus. Clin. Gastroenterol. Hepatol. 2006, 4, 173–178. [Google Scholar] [CrossRef] [PubMed]
  58. Liu, C.Q.; Ma, Y.L.; Qin, Q.; Wang, P.H.; Luo, Y.; Xu, P.F.; Cui, Y. Epidemiology of esophageal cancer in 2020 and projections to 2030 and 2040. Thorac. Cancer 2023, 14, 3–11. [Google Scholar] [CrossRef]
  59. Hihara, J.; Mukaida, H.; Hirabayashi, N. Gastrointestinal stromal tumor of the esophagus: Current issues of diagnosis, surgery and drug therapy. Transl. Gastroenterol. Hepatol. 2018, 3, 6. [Google Scholar] [CrossRef]
  60. Ilic, M.; Ilic, I. Epidemiology of stomach cancer. World J. Gastroenterol. 2022, 28, 1187–1203. [Google Scholar] [CrossRef]
  61. Khan, J.; Ullah, A.; Waheed, A.; Karki, N.R.; Adhikari, N.; Vemavarapu, L.; Belakhlef, S.; Bendjemil, S.M.; Mehdizadeh Seraj, S.; Sidhwa, F. Gastrointestinal stromal tumors (GIST): A population-based study using the SEER database. Cancers 2022, 14, 3689. [Google Scholar] [CrossRef]
  62. Filip, P.V.; Cuciureanu, D.; Diaconu, L.S.; Vladareanu, A.M.; Pop, C.S. MALT lymphoma: Epidemiology, clinical diagnosis and treatment. J. Med. Life 2018, 11, 187–193. [Google Scholar] [CrossRef] [PubMed]
  63. Odze, R.D.; Goldblum, J.R.; Crawford, J.M. Surgical Pathology of the GI Tract, Liver, Biliary Tract, and Pancreas, 3rd ed.; Elsevier Saunders: Philadelphia, PA, USA, 2015; pp. 309–311. [Google Scholar]
  64. Lester, S.C.; Fitzgibbons, P.L. Manual of Surgical Pathology, 3rd ed.; Elsevier Saunders: Philadelphia, PA, USA, 2010. [Google Scholar]
  65. Wenig, B.M. Atlas of Head and Neck Pathology, 3rd ed.; Elsevier: Philadelphia, PA, USA, 2016; pp. 144–147. [Google Scholar]
  66. WHO Classification of Tumours Editorial Board. WHO Classification of Tumours: Digestive System Tumours, 5th ed.; IARC Press: Lyon, France, 2019; pp. 65–67. [Google Scholar]
  67. Takahashi, K.; Yasuda, I.; Hanaoka, T.; Hayashi, Y.; Araki, Y.; Motoo, I.; Kajiura, S.; Ando, T.; Fujinami, H.; Tajiri, K. Endoscopic ultrasound-guided fine-needle biopsy for the diagnosis of gastric linitis plastica. DEN Open 2021, 2, e38. [Google Scholar] [CrossRef] [PubMed]
  68. Voutilainen, M.; Juhola, M.; Färkkilä, M.; Sipponen, P. Foveolar hyperplasia at the gastric cardia: Prevalence and associations. J. Clin. Pathol. 2002, 55, 352–354. [Google Scholar] [CrossRef]
  69. Voltaggio, L.; Montgomery, E.A. Gastrointestinal tract spindle cell lesions—Just like real estate, it’s all about location. Mod. Pathol. 2015, 28 (Suppl. S1), S47–S66. [Google Scholar] [CrossRef]
  70. Balbaa, M.A.; Elkady, N.; Abdelrahman, E.M. Predictive factors of positive circumferential and longitudinal margins in early T3 colorectal cancer resection. Int. J. Surg. Oncol. 2020, 2020, 6789709. [Google Scholar] [CrossRef]
  71. Aarons, C.B.; Mahmoud, N.N. Current surgical considerations for colorectal cancer. Chin. Clin. Oncol. 2013, 2, 14. [Google Scholar] [CrossRef] [PubMed]
  72. Galanopoulos, M.; Gkeros, F.; Liatsos, C.; Pontas, C.; Papaefthymiou, A.; Viazis, N.; Mantzaris, G.J.; Tsoukalas, N. Secondary metastatic lesions to colon and rectum. Ann. Gastroenterol. 2018, 31, 282–287. [Google Scholar] [CrossRef]
  73. Miller, G.C.; Sokolova, A.; Bettington, M.L.; Rosty, C.; Brown, I.S. Colorectal endometriosis—A challenging, often overlooked cause of colorectal pathology. Pathology 2024, 56, 795–803. [Google Scholar] [CrossRef]
  74. Grüter, A.A.J.; van Lieshout, A.S.; van Oostendorp, S.E.; Ket, J.C.F.; Tenhagen, M.; den Boer, F.C.; Hompes, R.; Tanis, P.J.; Tuynman, J.B. Required distal mesorectal resection margin in partial mesorectal excision: A systematic review on distal mesorectal spread. Tech. Coloproctol. 2023, 27, 11–21. [Google Scholar] [CrossRef] [PubMed]
  75. Gomes, R.M.; Bhandare, M.; Desouza, A.; Bal, M. Role of intraoperative frozen section for assessing distal resection margin after anterior resection. Int. J. Color. Dis. 2015, 30, 1081–1089. [Google Scholar] [CrossRef]
  76. Shia, J.; McManus, M.; Guillem, J.G.; Leibold, T.; Zhou, Q.; Tang, L.H.; Riedel, E.R.; Weiser, M.R.; Paty, P.B.; Temple, L.K.; et al. Significance of Acellular Mucin Pools in Rectal Carcinoma after Neoadjuvant Chemoradiotherapy. Am. J. Surg. Pathol. 2011, 35, 127–134. [Google Scholar] [CrossRef] [PubMed]
  77. Hissong, E.; Yantiss, R.K. Intraoperative evaluation of the gastrointestinal tract. In Frozen Section Pathology: Diagnostic Challenges; Borczuk, A.C., Yantiss, R.K., Robinson, B.D., Scognamiglio, T., D’Alfonso, T.M., Eds.; Springer: New York, NY, USA, 2021; pp. 15–48. [Google Scholar] [CrossRef]
  78. Feakins, R.M. Histopathology of non-neoplastic inflammatory bowel disease. In Surgical Pathology of the Gastrointestinal Tract, Liver, Biliary Tract and Pancreas, 4th ed.; Odze, R.D., Goldblum, J.R., Eds.; Saunders Elsevier: Philadelphia, PA, USA, 2023; pp. 327–349. [Google Scholar]
  79. Smith, H.G.; Nilsson, P.J.; Shogan, B.D.; Harji, D.; Gambacorta, M.A.; Romano, A.; Brandl, A.; Qvortrup, C. Neoadjuvant treatment of colorectal cancer: Comprehensive review. BJS Open 2024, 8, zrae038. [Google Scholar] [CrossRef] [PubMed]
  80. Rakha, E.; Ramaiah, S.; McGregor, A. Accuracy of frozen section in the diagnosis of liver mass lesions. J. Clin. Pathol. 2006, 59, 352–354. [Google Scholar] [CrossRef]
  81. Panarelli, N.C.; Yantiss, R.K. Metastases and mimics of colorectal carcinoma. In Frozen Section Library: Appendix, Colon, and Anus; Yantiss, R.K., Panarelli, N.C., Eds.; Springer: New York, NY, USA, 2010; pp. 35–57. [Google Scholar]
  82. Al-Muhsin, M.A.; Sheth, S.; Malick, K.W.; Xu, C.; Nguyen, T.; Mills, S.; Wallace, M.; Singh, R.; Jenkins, R. Accuracy of frozen section in the diagnosis of liver mass lesions: Pitfalls in distinguishing benign biliary lesions from metastatic disease. Histopathology 2008, 53, 467–474. [Google Scholar]
  83. Pitman, M.B.; Lauwers, G.Y. Fundamental challenges in intraoperative frozen section diagnosis: Artifacts and sampling limitations. In: Frozen Section and the Surgical Pathologist: A Point of View. Am. J. Clin. Pathol. 2009, 133, 1135–1142. [Google Scholar]
  84. Gandour-Edwards, R.F.; Donald, P.J.; Wiese, D.A. Recommendations for intraoperative frozen section margins, including deferred diagnosis when necessary. In: Accuracy of intraoperative frozen section diagnosis in head and neck surgery: Experience at a university medical center. Head Neck 1993, 15, 33–38. [Google Scholar] [CrossRef]
  85. Hadjimichael, E.; Fielding, D.E.; Ilyas, M.; Zaitoun, A.M.; Lobo, D.N.; Kaye, P.V. Liver Nodules after Percutaneous Transhepatic Biliary Drainage: A Case Series. Clin. Oncol. 2018, 3, 1457. [Google Scholar]
  86. Klöppel, G.; Adsay, N.V. Chronic pancreatitis and the differential diagnosis versus pancreatic cancer. Arch. Pathol. Lab. Med. 2009, 133, 382–387. [Google Scholar] [CrossRef]
  87. Takuma, K.; Kamisawa, T.; Gopalakrishna, R.; Hara, S.; Tabata, T.; Inaba, Y.; Egawa, N.; Igarashi, Y. Strategy to differentiate autoimmune pancreatitis from pancreas cancer. World J. Gastroenterol. 2012, 18, 1015–1020. [Google Scholar] [CrossRef]
  88. Dikmen, K.; Kerem, M.; Bostanci, H.; Sare, M.; Ekinci, O. Intra-operative frozen section histology of the pancreatic resection margins and clinical outcome of patients with adenocarcinoma of the head of the pancreas undergoing pancreaticoduodenectomy. Med. Sci. Monit. 2018, 24, 4905–4913. [Google Scholar] [CrossRef] [PubMed]
  89. Adsay, V.; Basturk, O.; Saka, B.; Bagci, P.; Ozdemir, D.; Balci, S.; Kooby, D.; Staley, C.; Maithel, S.; Sarmiento, J.; et al. Whipple Made Simple for Surgical Pathologists: Orientation, Dissection, and Sampling of Pancreaticoduodenectomy Specimens for a More Practical and Accurate Evaluation of Pancreatic, Distal Common Bile Duct, and Ampullary Tumors. Am. J. Surg. Pathol. 2014, 38, 480–493. [Google Scholar] [CrossRef] [PubMed]
  90. Cioc, A.M.; Ellison, E.C.; Proca, D.M.; Lucas, J.G.; Frankel, W.L. Frozen section diagnosis of pancreatic lesions. Arch. Pathol. Lab. Med. 2002, 126, 1169–1173. [Google Scholar] [CrossRef] [PubMed]
  91. Distler, M.; Aust, D.E.; Weitz, J.; Pilarsky, C.; Grützmann, R. Precursor lesions for sporadic pancreatic cancer: PanIN, IPMN, and MCN. Biomed. Res. Int. 2014, 2014, 474905. [Google Scholar] [CrossRef]
  92. Matthaei, H.; Hong, S.-M.; Mayo, S.C.; dal Molin, M.; Olino, K.; Venkat, R.; Goggins, M.; Herman, J.M.; Edil, B.H.; Wolfgang, C.L. Presence of pancreatic intraepithelial neoplasia in the pancreatic transection margin after R0 resection for pancreatic ductal adenocarcinoma: Impact on survival. Ann. Surg. Oncol. 2011, 18, 440–445. [Google Scholar] [CrossRef]
  93. Uppal, A.; Christopher, W.; Nguyen, T.; Vuong, B.; Stern, S.L.; Mejia, J.; Weerasinghe, R.; Ong, E.; Bilchik, A.J. Routine frozen section during pancreaticoduodenectomy does not improve value-based care. Surg. Pract. Sci. 2022, 10, 100090. [Google Scholar] [CrossRef]
  94. Lenet, T.; Gilbert, R.W.D.; Smoot, R.; Tzeng, C.-W.D.; Rocha, F.G.; Yohanathan, L.; Cleary, S.P.; Martel, G.; Bertens, K.A. Does Intraoperative Frozen Section and Revision of Margins Lead to Improved Survival in Patients Undergoing Resection of Perihilar Cholangiocarcinoma? A Systematic Review and Meta-analysis. Ann. Surg. Oncol. 2022, 29, 6748–6760. [Google Scholar] [CrossRef]
  95. Yamaguchi, K.; Shirahane, K.; Nakamura, M.; Su, D.; Konomi, H.; Motoyama, K.; Sugitani, A.; Mizumoto, K.; Tanaka, M. Frozen section and permanent diagnoses of the bile duct margin in gallbladder and bile duct cancer. HPB 2005, 7, 188–194. [Google Scholar] [CrossRef]
  96. Sangle, N.A.; Taylor, S.L.; Emond, M.; Bronner, M.P.; Overholt, B.F.; Depot, M.F.; Bollschweiler, E.; Sharma, P.; Fitzgerald, C.; Eagan, A. Tangential sectioning artifact creates the appearance of nuclear stratification that may mimic dysplasia. In: Overdiagnosis of high-grade dysplasia in Barrett’s esophagus: A multicenter, international study. Am. J. Surg. Pathol. 2015, 39, 241–251. [Google Scholar] [CrossRef]
  97. Shiraki, T.; Kuroda, H.; Takada, A.; Nakazato, Y.; Kubota, K.; Imai, Y. Intraoperative frozen section diagnosis of bile duct margin for extrahepatic cholangiocarcinoma. World J. Gastroenterol. 2018, 24, 1332–1342. [Google Scholar] [CrossRef]
  98. Chen, Z.; Yu, B.; Bai, J.; Li, Q.; Xu, B.; Dong, Z.; Zhi, X.; Li, T. The Impact of Intraoperative Frozen Section on Resection Margin Status and Survival of Patients Underwent Pancreatoduodenectomy for Distal Cholangiocarcinoma. Front. Oncol. 2021, 11, 650585. [Google Scholar] [CrossRef]
  99. Nelson, D.W.; Blanchard, T.H.; Causey, M.W.; Homann, J.F.; Brown, T.A. Examining the Accuracy and Clinical Usefulness of Intraoperative Frozen Section Analysis in the Management of Pancreatic Lesions. Am. J. Surg. 2013, 205, 613–617. [Google Scholar] [CrossRef]
  100. Igami, T.; Nishio, H.; Ebata, T.; Yokoyama, Y.; Sugawara, G.; Nagino, M. Surgical treatment of hilar cholangiocarcinoma: Analysis of 570 consecutive cases in a single center. Ann. Surg. 2013, 258, 121–129. [Google Scholar] [CrossRef]
  101. Lee, S.H.; Kim, S.C.; Kim, Y.H.; Ko, H.; Go, H.; Park, K.M.; Hur, W.; Kim, Y.T. Recent Advancement in Diagnosis of Biliary Tract Cancer. Cancers 2024, 16, 1761. [Google Scholar] [CrossRef]
  102. Guedj, N.; Sirica, A.E.; Gores, G.J.; Tibesar, R.; Dhanasekaran, R.; Mogal, H.; Pawlik, T.M.; Bridgewater, J.; Rizvi, S. Pathology of Cholangiocarcinomas: Current Concepts and New Insights. Semin. Liver Dis. 2022, 42, 014–032. [Google Scholar] [CrossRef]
  103. Farges, O.; Regimbeau, J.M.; Fuks, D.; Le Treut, Y.P.; Cherqui, D.; Bachellier, P.; Mabrut, J.Y.; Adham, M.; Pruvot, F.R.; Gigot, J.F. AJCC 7th edition of TNM staging for hilar cholangiocarcinoma: Should we use periductal invasion to define T2 tumors? Ann. Surg. 2011, 253, 303–310. [Google Scholar] [CrossRef]
  104. Amimoto, M.; Kiritoshi, H.; Morimoto, Y.; Miyamoto, Y.; Sasaki, S.; Ueda, K.; Fujii, T.; Yamamoto, M.; Tajiri, T.; Yamashita, Y. Novel Insights into the Intraepithelial Spread of Extrahepatic Cholangiocarcinoma (eCCA) and Clinicopathological Implications. Front. Oncol. 2023, 13, 1216097. [Google Scholar] [CrossRef]
  105. Nooijen, L.E.; Franken, L.C.; de Boer, M.T.; Buttner, S.; van Dieren, S.; Groot Koerkamp, B.; Hoogwater, F.J.H.; Kazemier, G.; Klümpen, H.J.; Kuipers, H. Value of routine intraoperative frozen sections of proximal bile duct margins in perihilar cholangiocarcinoma: A retrospective multicenter matched case-control study. HPB 2022, 48, 2424–2431. [Google Scholar] [CrossRef] [PubMed]
  106. Ke, Q.; Wang, B.; Lin, N.; Wang, L.; Liu, J. Does High-Grade Dysplasia/Carcinoma in Situ of the Biliary Duct Margin Affect the Prognosis of Extrahepatic Cholangiocarcinoma? A Meta-Analysis. World J. Surg. Oncol. 2019, 17, 211. [Google Scholar] [CrossRef]
  107. Krasinskas, A.M. Cholangiocarcinoma. Surg. Pathol. Clin. 2018, 11, 403–429. [Google Scholar] [CrossRef]
  108. Fukuda, K.; Kondo, S.; Hirano, S.; Ambo, Y.; Tanaka, E.; Morikawa, T.; Okushiba, S.; Katoh, H. Frozen Section Diagnosis of Bile Duct Margins in Hilar Cholangiocarcinoma: Pitfalls and Clinical Impact. Br. J. Surg. 2004, 91, 585–589. [Google Scholar] [CrossRef]
  109. Shimada, K.; Sano, T.; Sakamoto, Y.; Esaki, M.; Kosuge, T.; Ojima, H. Intraoperative Frozen Section for Bile Duct Margin Assessment in Bile Duct Cancer and Risk Factors for Recurrence. Br. J. Surg. 2007, 94, 892–898. [Google Scholar] [CrossRef]
  110. Patkar, S.; Gundavda, K.; Chaudhari, V.; Yadav, S.; Deodhar, K.; Ramadwar, M.; Goel, M. Utility and Limitations of Intraoperative Frozen Section Diagnosis to Determine Optimal Surgical Strategy in Suspected Gallbladder Malignancy. HPB 2023, 25, 330–338. [Google Scholar] [CrossRef] [PubMed]
  111. Roa, J.C.; Tapia, O.; Cakir, A.; Basturk, O.; Dursun, N.; Akdemir, D.; Saka, B.; Losada, H.; Bagci, P.; Adsay, V.N. Intracholecystic papillary-tubular neoplasms (ICPN) of the gallbladder: Clinicopathologic characterization of 123 cases. Am. J. Surg. Pathol. 2011, 35, 1584–1596. [Google Scholar]
  112. Banh, S.; Fehervari, M.; Flod, S.; Soleimani-Nouri, P.; Leyte Golpe, A.; Ahmad, R.; Pai, M.; Spalding, D.R.C. Single-stage management of suspected gallbladder cancer guided by intraoperative frozen section analysis. Int. J. Surg. 2024, 114, 107–112. [Google Scholar]
  113. Furlan, A.; Ferris, J.V.; Hosseinzadeh, K.; Roberts, J.P.; Hekimian, K.; Borhani, A.A. Gallbladder carcinoma update: Multimodality imaging evaluation, staging, and treatment options. AJR Am. J. Roentgenol. 2008, 191, 1440–1447. [Google Scholar] [CrossRef] [PubMed]
  114. Irrinki, S.; Kumar, P.; Kurdia, K.; Gupta, V.; Mittal, B.R.; Kumar, R.; Das, A.; Yadav, T.D. Missed Gall Bladder Cancer During Cholecystectomy—What Price Do We Pay? Surg. Gastroenterol. Oncol. 2023, 28, 1. [Google Scholar] [CrossRef]
  115. Qadan, M.; Kingham, T.P. Technical Aspects of Gallbladder Cancer Surgery. Surg. Clin. N. Am. 2016, 96, 229–245. [Google Scholar] [CrossRef]
  116. Jajal, V.; Nekarakanti, P.K.; K, S.; Nag, H. Effects of Cystic Duct Margin Involvement on the Survival Rates of Patients With Gallbladder Cancer: A Propensity-Score-Matched Case-Control Study. Cureus 2023, 15, e50585. [Google Scholar] [CrossRef]
  117. Xu, B.; Yin, Y.; Chang, J.; Li, Z.; Bi, X.; Cai, J.; Chen, X. Prognostic Factors and Treatment Outcomes in Gallbladder Cancer Patients: A Multicenter Retrospective Study. Curr Oncol. 2025, 32, 328. [Google Scholar] [CrossRef]
  118. Okada, K.; Kijima, H.; Imaizumi, T.; Hirabayashi, K.; MatsuYama, M.; Yazawa, N.; Dowaki, S.; Tobita, K.; Ohtani, Y.; Tanaka, M.; et al. Clinical Significance of Wall Invasion Pattern of Subserosa-Invasive Gallbladder Carcinoma. Oncol. Rep. 2012, 28, 1531–1536. [Google Scholar] [CrossRef]
  119. Adsay, V.; Jang, K.-T.; Roa, J.C.; Dursun, N.; Ohike, N.; Bagci, P.; Basturk, O.; Bandyopadhyay, S.; Cheng, J.D.; Sarmiento, J.M. Intracholecystic papillary-tubular neoplasms (ICPN): A distinctive preinvasive neoplasm of the gallbladder resembling intraductal papillary mucinous neoplasms of the pancreas and biliary intraepithelial neoplasia. Am. J. Surg. Pathol. 2012, 36, 1279–1301. [Google Scholar] [CrossRef]
  120. Spinelli, A.; Schumacher, G.; Pascher, A.; Lopez-Hanninen, E.; Al-Abadi, H.; Benckert, C.; Sauer, I.M.; Pratschke, J.; Neumann, U.P.; Jonas, S.; et al. Extended surgical resection for xanthogranulomatous cholecystitis mimicking advanced gallbladder carcinoma: A case report and review of literature. World J. Gastroenterol. 2006, 12, 2293–2296. [Google Scholar] [CrossRef] [PubMed]
  121. Alramadhan, H.J.; Lim, S.-Y.; Jeong, H.-J.; Jeon, H.-J.; Chae, H.; Yoon, S.-J.; Shin, S.-H.; Han, I.-W.; Heo, J.-S.; Kim, H. Different Oncologic Outcomes According to Margin Status (High-Grade Dysplasia vs. Carcinoma) in Patients Who Underwent Hilar Resection for Mid-Bile Duct Cancer. Cancers 2023, 15, 5166. [Google Scholar] [CrossRef] [PubMed]
  122. Kim, H.-S.; Yoon, G.; Lee, Y.-Y.; Kim, T.-J.; Choi, C.-H.; Lee, J.-W.; Kim, B.-G.; Bae, D.-S.; Song, S.-Y. Mesothelial Cell Inclusions in Pelvic and Para-aortic Lymph Nodes: A Clinicopathologic Analysis. Int. J. Clin. Exp. Pathol. 2015, 8, 5318–5326. [Google Scholar] [PubMed]
  123. Clement, P.B.; Young, R.H. Tumors of the peritoneum. In Diagnostic Histopathology of Tumors, 5th ed.; Fletcher, C.D.M., Ed.; Elsevier: Philadelphia, PA, USA, 2020; pp. 1905–1932. [Google Scholar]
  124. Nucci, M.R.; Oliva, E. Gynecologic Pathology: Foundations in Diagnostic Pathology, 2nd ed.; Elsevier: Philadelphia, PA, USA, 2019; pp. 365–373. [Google Scholar]
  125. Nguyen Van Hung, T.; Nguyen, T.T.; Tran, N.M.; Tran, V.C.; Doan, M.K.; Dao, T.L.; Hoang, T.N.M. Malignancy-Like Subtle Histological Changes and Misdiagnosis Pitfalls in Reactive Enlarged Lymph Nodes. Biomed. Res. Ther. 2023, 10, 5960–5971. [Google Scholar] [CrossRef]
  126. Wu, X.; Diao, L.; Yang, Z.; Ma, R.; Guo, Q.; Wu, L. Mimicking Dermatopathic Lymphadenitis: An Entity of Lymphoma. Ulus. Hematol. Oncol. Derg. 2017, 27, 201–204. [Google Scholar] [CrossRef]
  127. Gupta, R.; Vural, E.; Wenig, B.M.; Hanna, E.Y.; Suen, J.Y.; Cognetti, D.M.; Wasserman, P.G.; Barnes, E.L. What Can We Learn from the Errors in the Frozen Section Diagnosis of Pulmonary Carcinoid Tumors: An Evidence-Based Approach. APMIS 2009, 117, 915–923. [Google Scholar] [CrossRef]
  128. Mitrović, M.; Veličković, D.; Micev, M.; Sljukić, V.; Đurić, P.; Tadić, B.; Skrobić, O.; Djokić Kovač, J. Encapsulated Omental Necrosis as an Unexpected Postoperative Finding: A Case Report. Medicina 2021, 57, 865. [Google Scholar] [CrossRef]
  129. Bakrin, N.; Gilly, F.N.; Baratti, D.; Bereder, J.M.; Quenet, F.; Lorimier, G.; Mohamed, F.; Elias, D.; Glehen, O. Primary peritoneal serous carcinoma treated by cytoreductive surgery combined with hyperthermic intraperitoneal chemotherapy: A multi-institutional study of 36 patients. Eur. J. Surg. Oncol. 2013, 39, 742–747. [Google Scholar] [CrossRef]
  130. Turra, V.; Manzi, J.; Rombach, S.; Zaragoza, S.; Ferreira, R.; Guerra, G.; Conzen, K.; Nydam, T.; Livingstone, A.; Vianna, R.; et al. Donors with previous malignancy: When is it safe to proceed with organ transplantation? Transpl. Int. 2025, 38, 13716. [Google Scholar] [CrossRef]
  131. Neil, D.A.H.; Minervini, M.; Smith, M.L.; Hubscher, S.G.; Brunt, E.M.; Demetris, A.J.; Brunt, E.M. Banff consensus recommendations for steatosis assessment in donor livers. Hepatology 2022, 75, 1014–1025. [Google Scholar] [CrossRef] [PubMed]
  132. Da, B.L.; Satiya, J.; Heda, R.P.; Jiang, Y.; Lau, L.F.; Fahmy, A.; Winnick, A.; Roth, N.; Grodstein, E.; Thuluvath, P.J. Outcomes After Liver Transplantation with Steatotic Grafts. Transplantation 2022, 106, 58–68. [Google Scholar] [CrossRef]
  133. Tien, C.; Remulla, D.; Kwon, Y.; Emamaullee, J. Contemporary strategies to assess and manage liver donor steatosis: A review. Curr. Opin. Organ Transplant. 2021, 26, 474–481. [Google Scholar] [CrossRef]
  134. Vranic, S.; Gatalica, Z. The role of pathology in the era of personalized medicine: A brief review. Acta Med. Acad. 2021, 50, 47–57. [Google Scholar] [CrossRef]
  135. Li Cavoli, T.V.; Curto, A.; Lynch, E.N.; Galli, A. A Narrative Review on De Novo and Donor-Transmitted Cancers in Liver Allograft Recipients. Transplantology 2025, 6, 15. [Google Scholar] [CrossRef]
  136. Karageorgos, F.F.; Karakasi, K.-E.; Kofinas, A.; Antoniadis, N.; Katsanos, G.; Tsoulfas, G. Evolving Transplant Oncology: Evolving Criteria for Better Outcomes. Diagnostics 2025, 15, 820. [Google Scholar] [CrossRef]
  137. Fassan, M. Molecular diagnostics in pathology: Time for a next generation pathologist? Arch. Pathol. Lab. Med. 2018, 142, 313–320. [Google Scholar] [CrossRef]
  138. Okojie, J.; O’Neal, N.; Burr, M.; Worley, P.; Packer, I.; Anderson, D.; Davis, J.; Kearns, B.; Fatema, K.; Dixon, K. DNA quantity and quality comparisons between cryopreserved and FFPE tumors from matched pan cancer samples. Unpublished/abstract source incomplete. Curr. Oncol. 2024, 31, 2441–2452. [Google Scholar] [CrossRef]
  139. Sholl, L.M.; Aisner, D.L.; Varella-Garcia, M.; Ginsberg, M.S.; Aisner, D.L.; Barletta, J.; Otterson, G.A.; Khoubehi, B.; Sequist, L.V.; Heinrich, M.C. Multi-institutional oncogenic driver mutation analysis in lung and colorectal adenocarcinomas: The Lung Cancer Mutation Consortium and GI Mutation Consortium experience. J. Thorac. Oncol. 2015, 10, 768–777. [Google Scholar] [CrossRef] [PubMed]
  140. Krasteva, N.; Georgieva, M. Promising Therapeutic Strategies for Colorectal Cancer Treatment Based on Nanomaterials. Pharmaceutics 2022, 14, 1213. [Google Scholar] [CrossRef] [PubMed]
  141. Xie, F.; Luo, S.; Liu, D.; Lu, X.; Wang, M.; Liu, X.; Jia, F.; Pang, Y.; Shen, Y.; Zeng, C.; et al. Genomic and transcriptomic landscape of human gastrointestinal stromal tumors. Nat. Commun. 2024, 15, 9495. [Google Scholar] [CrossRef]
  142. Joseph, N.M.; Tsokos, C.G.; Umetsu, S.E.; Shain, A.H.; Kelley, R.K.; Onodera, C.; Bowman, S.; Talevich, E.; Ferrell, L.D.; Kakar, S. Genomic profiling of combined hepatocellular cholangiocarcinoma reveals similar genetics to hepatocellular carcinoma. J. Pathol. 2019, 248, 164–178. [Google Scholar] [CrossRef] [PubMed]
  143. Zhang, S.M.; Xian, Z.H. A retrospective analysis of the diagnostic accuracy and technical quality of frozen sections in detecting hepatobiliary lesions. Ann. Diagn. Pathol. 2022, 61, 152048. [Google Scholar] [CrossRef]
  144. Khosla, D.; Misra, S.; Chu, P.L.; Guan, P.; Nada, R.; Gupta, R.; Kaewnarin, K.; Ko, T.K.; Heng, H.L.; Srinivasalu, V.K. Cholangiocarcinoma: Recent Advances in Molecular and Histological Profiling. Cancers 2024, 16, 801. [Google Scholar] [CrossRef]
  145. Shiomi, A.; Kusuhara, M.; Sugino, T.; Sugiura, T.; Ohshima, K.; Nagashima, T.; Urakami, K.; Serizawa, M.; Saya, H.; Yamaguchi, K. Comprehensive genomic analysis contrasting primary colorectal cancer and synchronous colorectal liver metastasis. Oncol. Lett. 2021, 21, 12727. [Google Scholar] [CrossRef]
  146. Heuckeroth, R.O. Hirschsprung disease—Integrating basic science and clinical medicine to improve outcomes. Nat. Rev. Gastroenterol. Hepatol. 2018, 15, 152–167. [Google Scholar] [CrossRef]
  147. Kapur, R.P. Pathology of Hirschsprung disease and related disorders. Surg. Pathol. Clin. 2010, 3, 371–397. [Google Scholar]
  148. Teitelbaum, D.H.; Coran, A.G. Hirschsprung’s disease and related neuromuscular disorders of the intestine. In Ashcraft’s Pediatric Surgery, 6th ed.; Elsevier Saunders: Philadelphia, PA, USA, 2014; pp. 468–490. [Google Scholar]
  149. Cserni, G. Histopathological pitfalls in the evaluation of suction rectal biopsies for Hirschsprung’s disease. Pathol. Oncol. Res. 2006, 12, 43–47. [Google Scholar]
  150. Puri, P.; Shinkai, M. Pathophysiology of the enteric nervous system in Hirschsprung disease. Pediatr. Surg. Int. 2004, 20, 727–734. [Google Scholar] [CrossRef]
  151. Vincent, S.A.; Smith, B.H.; Younger, M.; Horn, P.; Heys, M.; Puri, P. Does the absence of hypertrophic nerves on rectal biopsy predict long-segment or total colonic aganglionosis? Pediatr. Surg. Int. 2025, 41, 158. [Google Scholar] [CrossRef]
  152. Kobayashi, H.; Miyahara, K.; Kusafuka, J.; Yamataka, A.; Lane, G.J.; Sueyoshi, N.; Miyano, T.; Puri, P. A New Rapid Acetylcholinesterase Staining Kit for Diagnosing Hirschsprung’s Disease. Pediatr. Surg. Int. 2007, 23, 505–508. [Google Scholar] [CrossRef]
  153. Goto, S.; Ikeda, K.; Toyohara, T. When Is the Optimal Diagnostic Biopsy Timing of Acetylcholinesterase Staining in Hirschsprung Disease? Clin. Anat. 2025, 38, 123–130. [Google Scholar] [CrossRef]
  154. Jeong, H.; Jung, H.R.; Hwang, I.; Kwon, S.Y.; Choe, M.; Kang, Y.N.; Jung, E.; Kim, S.P. Diagnostic Accuracy of Combined Acetylcholinesterase Histochemistry and Calretinin Immunohistochemistry of Rectal Biopsy Specimens in Hirschsprung’s Disease. Int. J. Surg. Pathol. 2018, 26, 507–513. [Google Scholar] [CrossRef] [PubMed]
  155. Lok, M.J.; Noordam, C.; de Lorijn, F.; Aronson, D.C.; Westra, D.F.; Kemp, R.; Wong, N.; Heij, H.A. Development of Nerve Fibre Diameter in Young Infants With Hirschsprung Disease. J. Pediatr. Gastroenterol. Nutr. 2018, 66, 253–256. [Google Scholar] [CrossRef] [PubMed]
  156. Nicolaides, S.; Boussioutas, A. Immune-Related Adverse Events of the Gastrointestinal System. Cancers 2023, 15, 691. [Google Scholar] [CrossRef]
  157. Casagrande, S.; Sopetto, G.B.; Bertalot, G.; Bortolotti, R.; Racanelli, V.; Caffo, O.; Giometto, B.; Berti, A.; Veccia, A. Immune-Related Adverse Events Due to Cancer Immunotherapy: Immune Mechanisms and Clinical Manifestations. Cancers 2024, 16, 1440. [Google Scholar] [CrossRef]
  158. Niu, C.; Zhu, K.; Zhang, J.; Joshi, U.; Liu, H.; Zahid, S.; Jadhav, N.; Okolo, P.I., 3rd. Analysis of immune-related adverse events in gastrointestinal malignancy patients treated with immune checkpoint inhibitors. Int. J. Cancer 2024, 154, 1261–1271. [Google Scholar] [CrossRef]
  159. Bauer, T.W.; Slaw, R.J.; McKenney, J.K. Telepathology in Frozen Section Diagnosis: A Systematic Review of Current Practices. Am. J. Clin. Pathol. 2021, 156, 612–623. [Google Scholar] [CrossRef]
  160. Huang, Y.; Lei, Y.; Wang, Q.; Li, D.; Ma, L.; Guo, L.; Tang, M.; Liu, G.; Yan, Q.; Shen, L.; et al. Telepathology consultation for frozen section diagnosis in China. Diagn. Pathol. 2018, 13, 29. [Google Scholar] [CrossRef]
  161. Eccher, A.; Marletta, S.; Sbaraglia, M.; Guerriero, A.; Rossi, M.; Gambaro, G.; Scarpa, A.; Dei Tos, A.P. Digital pathology structure and deployment in Veneto: A proof-of-concept study. Virchows Archiv. 2024, 485, 453–460. [Google Scholar] [CrossRef]
  162. Rodriguez, A.B.; Patel, K.; Gupta, R. Diagnostic Concordance in Telepathology-Based Frozen Section Consultation: A Five-Year Institutional Experience. Hum. Pathol. 2022, 127, 89–96. [Google Scholar] [CrossRef]
  163. Thompson, D.E.; Jenkins, S.M.; Voss, J.S. Large-Scale Telepathology Implementation for Frozen Section Coverage: The Mayo Clinic Experience. Mayo Clin. Proc. 2021, 96, 2134–2143. [Google Scholar] [CrossRef]
  164. Lee, H.J.; Choi, S.; Park, S.H. Workflow Integration of Telepathology Systems in Modern Surgical Pathology Practice. J. Pathol. Inform. 2023, 14, 100187. [Google Scholar] [CrossRef]
  165. Steiner, D.F.; Nagpal, K.; Sayres, R.; Foote, D.J.; Wedin, B.D.; Pearce, A.; Cai, C.J.; Winter, S.R.; Symonds, M.; Yatziv, L.; et al. Evaluation of combined artificial intelligence and pathologist assessment to review and grade prostate biopsies. JAMA Netw. Open 2020, 3, e2023267. [Google Scholar] [CrossRef] [PubMed]
  166. Campanella, G.; Hanna, M.G.; Geneslaw, L.; Miraflor, A.; Krauss, V.W.; Busam, K.J.; Brogi, E.; Reuter, V.E.; Klimstra, D.S.; Fuchs, T.J. Clinical-Grade Computational Pathology Using Weakly Supervised Deep Learning on Whole Slide Images. Nat. Med. 2019, 25, 1301–1309. [Google Scholar] [CrossRef] [PubMed]
  167. Zhang, X.; Zhao, Z.; Wang, R.; Chen, H.; Zheng, X.; Liu, L.; Cai, M. A multicenter proof-of-concept study on deep learning-based intraoperative discrimination of primary CNS lymphoma. Nat. Commun. 2024, 15, 3768. [Google Scholar] [CrossRef] [PubMed]
  168. Zheng, X.; Zheng, K.; Wen, Y.; Meng, J.; Zhang, X.; Wen, X.; Zhao, Z.; Zheng, C.; Cai, X.; Lin, J. An end-to-end multifunctional AI platform for intraoperative diagnosis. Npj Digit. Med. 2025, 8, 460. [Google Scholar] [CrossRef]
  169. Iglesias, C.A.; Zhang, J. (Eds.) Recent Applications of Machine Learning in Natural Language Processing (NLP); MDPI Books; MDPI: Basel, Switzerland, 2025; ISBN 978-3-7258-4533-0 (Hardback)/978-3-7258-4534-7 (PDF). [Google Scholar] [CrossRef]
  170. Vigdorovits, A.; Köteles, M.M.; Olteanu, G.-E.; Pop, O. Breaking Barriers: AI’s Influence on Pathology and Oncology in Resource-Scarce Medical Systems. Cancers 2023, 15, 5692. [Google Scholar] [CrossRef]
  171. Steiner, D.F.; MacDonald, R.; Liu, Y.; Truszkowski, P.; Hipp, J.D.; Gammage, C.; Thng, F.; Peng, L.; Stumpe, M.C. Impact of Deep Learning Assistance on the Histopathologic Review of Lymph Nodes for Metastatic Breast Cancer. Am. J. Surg. Pathol. 2018, 42, 1636–1646. [Google Scholar] [CrossRef]
  172. Eloy, C. (Ed.) Digital Pathology: Records of Successful Implementations; MDPI Books; MDPI: Basel, Switzerland, 2024; ISBN 978-3-7258-2038-2 (Hardback)/978-3-7258-2037-5 (PDF). [Google Scholar] [CrossRef]
  173. Weinstein, R.S. Prospects for telepathology. Hum. Pathol. 2020, 96, 4–9. [Google Scholar] [CrossRef] [PubMed]
  174. Al-Janabi, S.; Huisman, A.; Vink, A.; Leguit, R.J.; Offerhaus, G.J.A.; ten Kate, F.J.W.; van Diest, P.J. Whole slide images for primary diagnostics of gastrointestinal tract biopsies: A feasibility study. Hum. Pathol. 2012, 43, 702–707. [Google Scholar] [CrossRef] [PubMed]
  175. Bulten, W.; Balkenhol, M.; Belinga, J.J.A.; Brilhante, A.; Çakır, A.; Egevad, L.; Eklund, M.; Farré, X.; Geronatsiou, K.; Molinié, V. Artificial intelligence assistance significantly improves Gleason grading of prostate biopsies by pathologists. Mod. Pathol. 2020, 34, 660–671. [Google Scholar] [CrossRef]
  176. Bashshur, R.L.; Krupinski, E.A.; Weinstein, R.S.; Dunn, M.R.; Bashshur, N. The Empirical Foundations of Telepathology: Evidence of Feasibility and Intermediate Effects. Telemed. J. e-Health 2017, 23, 155–191. [Google Scholar] [CrossRef]
  177. U.S. Food and Drug Administration. Software as a Medical Device (SaMD): Clinical Evaluation—Guidance for Industry and FDA Staff; FDA: Silver Spring, MD, USA, 2022. Available online: https://www.fda.gov/media/100714/download (accessed on 7 November 2025).
  178. Petersen, J.M.; Jhala, N.; Jhala, D.N. The Critical Value of Telepathology in the COVID-19 Era. Fed. Pr. 2023, 40, 186–193. [Google Scholar] [CrossRef]
  179. Georgiou, K.E.; Georgiou, E.; Satava, R.M. 5G Use in Healthcare: The Future is Present. JSLS 2021, 25, e2021.00064. [Google Scholar] [CrossRef] [PubMed]
  180. Song, A.H.; Jaume, G.; Williamson, D.F.K.; Lu, M.Y.; Vaidya, A.; Miller, T.R.; Mahmood, F. Artificial Intelligence for Digital and Computational Pathology. arXiv 2023, arXiv:2401.06148v1. [Google Scholar] [CrossRef]
Figure 1. Decision-making algorithm in frozen section (FS) analysis. The chart summarises intraoperative questions (diagnosis, margin, nodes), FS outcomes, corresponding surgical actions, and postoperative correlation with permanent histology.
Figure 1. Decision-making algorithm in frozen section (FS) analysis. The chart summarises intraoperative questions (diagnosis, margin, nodes), FS outcomes, corresponding surgical actions, and postoperative correlation with permanent histology.
Gastroent 16 00046 g001
Figure 3. Peritoneal nodule in a known case of pancreatic adenocarcinoma. (AC) Frozen section of the peritoneal nodule showing calcifications with processing artefact related to fat necrosis (H&E, ×2, ×10, ×20). (D) Permanent section of the same nodule confirms fat necrosis with area of calcifications in the centre of the lesion (H&E, ×20). This is an original image from our institutional archive.
Figure 3. Peritoneal nodule in a known case of pancreatic adenocarcinoma. (AC) Frozen section of the peritoneal nodule showing calcifications with processing artefact related to fat necrosis (H&E, ×2, ×10, ×20). (D) Permanent section of the same nodule confirms fat necrosis with area of calcifications in the centre of the lesion (H&E, ×20). This is an original image from our institutional archive.
Gastroent 16 00046 g003
Figure 4. Gastric resection margin involved by poorly cohesive adenocarcinoma. (A) Frozen section showing scattered malignant cells with a high nuclear-to-cytoplasmic ratio infiltrating the lamina propria and muscularis mucosae (H&E, ×20). (B) Permanent section confirming poorly cohesive carcinoma infiltrating the margin in a single-cell pattern, with clearer cytologic detail (H&E, ×20). This is an original image from our institutional archive.
Figure 4. Gastric resection margin involved by poorly cohesive adenocarcinoma. (A) Frozen section showing scattered malignant cells with a high nuclear-to-cytoplasmic ratio infiltrating the lamina propria and muscularis mucosae (H&E, ×20). (B) Permanent section confirming poorly cohesive carcinoma infiltrating the margin in a single-cell pattern, with clearer cytologic detail (H&E, ×20). This is an original image from our institutional archive.
Gastroent 16 00046 g004
Figure 5. Gastric nodule diagnosed as gastrointestinal stromal tumour (GIST). (A) Frozen section of a gastric wall nodule showing a well-circumscribed lesion composed of intersecting fascicles of spindle cells (H&E, ×2). (B) Higher magnification highlights uniform spindle-shaped cells with elongated nuclei and eosinophilic cytoplasm, without significant pleomorphism or mitotic activity (H&E, ×10). (C) Permanent section confirming the spindle cell morphology (H&E, ×20). (D) Immunohistochemistry demonstrates strong CD117 positivity, supporting the diagnosis of GIST (CD117 immunohistochemistry, ×20). This is an original image from our institutional archive.
Figure 5. Gastric nodule diagnosed as gastrointestinal stromal tumour (GIST). (A) Frozen section of a gastric wall nodule showing a well-circumscribed lesion composed of intersecting fascicles of spindle cells (H&E, ×2). (B) Higher magnification highlights uniform spindle-shaped cells with elongated nuclei and eosinophilic cytoplasm, without significant pleomorphism or mitotic activity (H&E, ×10). (C) Permanent section confirming the spindle cell morphology (H&E, ×20). (D) Immunohistochemistry demonstrates strong CD117 positivity, supporting the diagnosis of GIST (CD117 immunohistochemistry, ×20). This is an original image from our institutional archive.
Gastroent 16 00046 g005
Figure 6. Small bowel nodule from a patient with pancreatic adenocarcinoma. (A,B) Frozen sections of a small bowel nodule showing muscular and fibrous tissue infiltrated by small foci of carcinoma cells (H&E, ×2, ×20). (C) Permanent section confirming invasive adenocarcinoma within muscular and fibrous tissue (H&E, ×5). Final diagnosis: Pancreatic adenocarcinoma with metastasis to the small bowel. This is an original image from our institutional archive.
Figure 6. Small bowel nodule from a patient with pancreatic adenocarcinoma. (A,B) Frozen sections of a small bowel nodule showing muscular and fibrous tissue infiltrated by small foci of carcinoma cells (H&E, ×2, ×20). (C) Permanent section confirming invasive adenocarcinoma within muscular and fibrous tissue (H&E, ×5). Final diagnosis: Pancreatic adenocarcinoma with metastasis to the small bowel. This is an original image from our institutional archive.
Gastroent 16 00046 g006
Figure 7. Liver metastasis from a pancreatic intraductal papillary mucinous neoplasm (IPMN). (A,B) Frozen sections of a liver biopsy showing a partially cystic nodule composed of adenocarcinoma with perineural invasion (arrow) (H&E, ×2, ×40). (C) Permanent section confirming metastatic adenocarcinoma consistent with a pancreatic primary, with perineural invasion highlighted (arrow) (H&E, ×20). This is an original image from our institutional archive.
Figure 7. Liver metastasis from a pancreatic intraductal papillary mucinous neoplasm (IPMN). (A,B) Frozen sections of a liver biopsy showing a partially cystic nodule composed of adenocarcinoma with perineural invasion (arrow) (H&E, ×2, ×40). (C) Permanent section confirming metastatic adenocarcinoma consistent with a pancreatic primary, with perineural invasion highlighted (arrow) (H&E, ×20). This is an original image from our institutional archive.
Gastroent 16 00046 g007
Figure 8. Peripancreatic biopsy showing adenocarcinoma with perineural invasion. (A,B) Frozen section of peripancreatic fibro-fatty tissue containing malignant glandular elements encasing nerve fibres (arrow) (H&E, ×5, ×10). (C,D) Permanent sections confirming fibro-fatty tissue infiltrated by malignant glands, with perineural invasion clearly demonstrated (arrow) (H&E, ×5, ×20). Final diagnosis: Pancreatic adenocarcinoma with perineural invasion; frozen section of the station 8 lymph node was not required. This is an original image from our institutional archive.
Figure 8. Peripancreatic biopsy showing adenocarcinoma with perineural invasion. (A,B) Frozen section of peripancreatic fibro-fatty tissue containing malignant glandular elements encasing nerve fibres (arrow) (H&E, ×5, ×10). (C,D) Permanent sections confirming fibro-fatty tissue infiltrated by malignant glands, with perineural invasion clearly demonstrated (arrow) (H&E, ×5, ×20). Final diagnosis: Pancreatic adenocarcinoma with perineural invasion; frozen section of the station 8 lymph node was not required. This is an original image from our institutional archive.
Gastroent 16 00046 g008
Figure 9. Well-differentiated pancreatic neuroendocrine tumour, grade 2. (A,B) Frozen sections of a pancreatic lesion showing nests of uniform cells with central nuclei and finely stippled (“salt and pepper”) chromatin (H&E, ×2, ×20). (C,D) Permanent sections demonstrating bland-appearing tumour cells arranged in a nested (zellballen) pattern (H&E, ×5, ×20). (E) Immunohistochemistry shows strong diffuse Synaptophysin positivity (Synaptophysin, ×20). (F) The proliferation index (Ki-67) is approximately 10%, consistent with grade 2 morphology (Ki-67 immunohistochemistry, ×20). This is an original image from our institutional archive.
Figure 9. Well-differentiated pancreatic neuroendocrine tumour, grade 2. (A,B) Frozen sections of a pancreatic lesion showing nests of uniform cells with central nuclei and finely stippled (“salt and pepper”) chromatin (H&E, ×2, ×20). (C,D) Permanent sections demonstrating bland-appearing tumour cells arranged in a nested (zellballen) pattern (H&E, ×5, ×20). (E) Immunohistochemistry shows strong diffuse Synaptophysin positivity (Synaptophysin, ×20). (F) The proliferation index (Ki-67) is approximately 10%, consistent with grade 2 morphology (Ki-67 immunohistochemistry, ×20). This is an original image from our institutional archive.
Gastroent 16 00046 g009
Figure 10. Pancreatic intraductal papillary mucinous neoplasm (IPMN) with associated invasive adenocarcinoma and nodal metastasis. (A,B) Frozen sections of a pancreatic lesion showing intraductal papillary mucinous neoplasm with high-grade dysplasia (H&E, ×2, ×20). (C,D) Permanent sections demonstrating areas suspicious for invasive malignancy, later confirmed on resection (H&E, ×5, ×10). (E,F) Frozen sections from a lymph node revealing metastatic moderately differentiated adenocarcinoma (H&E, ×5, ×10). (G,H) Permanent sections confirming metastatic adenocarcinoma within the lymph node (H&E, ×10, ×20). Final diagnosis: Moderately differentiated pancreatic ductal adenocarcinoma arising in a background of IPMN, with metastatic involvement of a lymph node. This is an original image from our institutional archive.
Figure 10. Pancreatic intraductal papillary mucinous neoplasm (IPMN) with associated invasive adenocarcinoma and nodal metastasis. (A,B) Frozen sections of a pancreatic lesion showing intraductal papillary mucinous neoplasm with high-grade dysplasia (H&E, ×2, ×20). (C,D) Permanent sections demonstrating areas suspicious for invasive malignancy, later confirmed on resection (H&E, ×5, ×10). (E,F) Frozen sections from a lymph node revealing metastatic moderately differentiated adenocarcinoma (H&E, ×5, ×10). (G,H) Permanent sections confirming metastatic adenocarcinoma within the lymph node (H&E, ×10, ×20). Final diagnosis: Moderately differentiated pancreatic ductal adenocarcinoma arising in a background of IPMN, with metastatic involvement of a lymph node. This is an original image from our institutional archive.
Gastroent 16 00046 g010
Figure 11. Pancreatic neck margin in pancreatic ductal adenocarcinoma. (A,B) Frozen sections of the pancreatic neck showing chronic pancreatitis with low-grade intraductal papillary mucinous neoplasm (IPMN) (H&E, ×5, ×20). (C,D) Permanent sections showing chronic pancreatitis; however, deeper levels at the neck margin reveal foci of adenocarcinoma (H&E, ×5, ×20). Final diagnosis: Pancreatic ductal adenocarcinoma. This is an original image from our institutional archive.
Figure 11. Pancreatic neck margin in pancreatic ductal adenocarcinoma. (A,B) Frozen sections of the pancreatic neck showing chronic pancreatitis with low-grade intraductal papillary mucinous neoplasm (IPMN) (H&E, ×5, ×20). (C,D) Permanent sections showing chronic pancreatitis; however, deeper levels at the neck margin reveal foci of adenocarcinoma (H&E, ×5, ×20). Final diagnosis: Pancreatic ductal adenocarcinoma. This is an original image from our institutional archive.
Gastroent 16 00046 g011
Figure 12. Pancreatic resection specimen with metastatic clear cell renal cell carcinoma. (A) Frozen section showing a well-circumscribed pancreatic mass with a slit-like space from adjacent parenchyma (H&E, ×5). (B) Tumour cells with clear cytoplasm and fibrinous material; differentials included primary pancreatic clear cell carcinoma, metastatic hepatocellular carcinoma, and metastatic renal cell carcinoma (H&E, ×20). (C) Permanent section showing clear cells involving a vascular wall, consistent with metastatic clear cell carcinoma (H&E, ×20). (D) Main specimen demonstrating vascular invasion and chronic pancreatitis (H&E, ×5). Final diagnosis: Metastatic clear cell renal cell carcinoma with vascular invasion. Original image from institutional archive.
Figure 12. Pancreatic resection specimen with metastatic clear cell renal cell carcinoma. (A) Frozen section showing a well-circumscribed pancreatic mass with a slit-like space from adjacent parenchyma (H&E, ×5). (B) Tumour cells with clear cytoplasm and fibrinous material; differentials included primary pancreatic clear cell carcinoma, metastatic hepatocellular carcinoma, and metastatic renal cell carcinoma (H&E, ×20). (C) Permanent section showing clear cells involving a vascular wall, consistent with metastatic clear cell carcinoma (H&E, ×20). (D) Main specimen demonstrating vascular invasion and chronic pancreatitis (H&E, ×5). Final diagnosis: Metastatic clear cell renal cell carcinoma with vascular invasion. Original image from institutional archive.
Gastroent 16 00046 g012
Figure 13. Hilar cholangiocarcinoma with bile duct margin involvement. (AE) Frozen sections from the left hepatic duct margin at multiple levels (levels 1, 6, and 12) demonstrating adenocarcinoma, with clear evidence of tumour infiltration at level 12 (H&E, ×2, ×10, ×20). (FH) Permanent sections confirming margin involvement by adenocarcinoma (H&E, ×2, ×10, ×20). Final diagnosis: Hilar cholangiocarcinoma with positive resection margin (R1). This is an original image from our institutional archive.
Figure 13. Hilar cholangiocarcinoma with bile duct margin involvement. (AE) Frozen sections from the left hepatic duct margin at multiple levels (levels 1, 6, and 12) demonstrating adenocarcinoma, with clear evidence of tumour infiltration at level 12 (H&E, ×2, ×10, ×20). (FH) Permanent sections confirming margin involvement by adenocarcinoma (H&E, ×2, ×10, ×20). Final diagnosis: Hilar cholangiocarcinoma with positive resection margin (R1). This is an original image from our institutional archive.
Gastroent 16 00046 g013
Figure 14. Cystic duct lesion in a patient with suspected hilar tumour. (A,B) Frozen sections from the proximal cystic duct showing bile duct mucosa with inflammation, fibrosis, and intraductal epithelial proliferation (H&E, ×2, ×10). (C,D) Permanent sections demonstrating intraductal mucosal dysplasia without evidence of invasive malignancy (H&E, ×5, ×40). Final diagnosis: Intraductal mucosal dysplasia, no invasion. This is an original image from our institutional archive.
Figure 14. Cystic duct lesion in a patient with suspected hilar tumour. (A,B) Frozen sections from the proximal cystic duct showing bile duct mucosa with inflammation, fibrosis, and intraductal epithelial proliferation (H&E, ×2, ×10). (C,D) Permanent sections demonstrating intraductal mucosal dysplasia without evidence of invasive malignancy (H&E, ×5, ×40). Final diagnosis: Intraductal mucosal dysplasia, no invasion. This is an original image from our institutional archive.
Gastroent 16 00046 g014
Figure 15. Portal lymph node assessment in bile duct cancer. (A) Frozen section of a portal lymph node showing preserved nodal architecture with an intact fibrous capsule (H&E, ×5). (B) Permanent section confirming benign reactive lymph node with maintained architecture (H&E, ×5). Final diagnosis: Reactive lymph node, no evidence of metastasis. This is an original image from our institutional archive.
Figure 15. Portal lymph node assessment in bile duct cancer. (A) Frozen section of a portal lymph node showing preserved nodal architecture with an intact fibrous capsule (H&E, ×5). (B) Permanent section confirming benign reactive lymph node with maintained architecture (H&E, ×5). Final diagnosis: Reactive lymph node, no evidence of metastasis. This is an original image from our institutional archive.
Gastroent 16 00046 g015
Figure 16. Station 8 lymph node metastasis from duodenal adenocarcinoma. (A) Frozen section of a station 8 lymph node showing a small gland in the marginal zone (H&E, ×10). (B) Permanent section confirming a metastatic glandular focus (arrow) (H&E, ×10). (C) Immunohistochemistry demonstrates strong CA19.9 positivity (CA19.9, ×10). (D) Immunohistochemistry showing CK7 positivity in the metastatic glands (CK7, ×20). Final diagnosis: Moderately differentiated adenocarcinoma of the duodenum with lymph node metastasis. This is an original image from our institutional archive.
Figure 16. Station 8 lymph node metastasis from duodenal adenocarcinoma. (A) Frozen section of a station 8 lymph node showing a small gland in the marginal zone (H&E, ×10). (B) Permanent section confirming a metastatic glandular focus (arrow) (H&E, ×10). (C) Immunohistochemistry demonstrates strong CA19.9 positivity (CA19.9, ×10). (D) Immunohistochemistry showing CK7 positivity in the metastatic glands (CK7, ×20). Final diagnosis: Moderately differentiated adenocarcinoma of the duodenum with lymph node metastasis. This is an original image from our institutional archive.
Gastroent 16 00046 g016
Figure 17. Peritoneal nodule showing benign fat necrosis. (AC) Frozen sections of a peritoneal nodule demonstrating fat necrosis with associated inflammation (H&E, ×5, ×10, ×20). Final diagnosis: Benign fat necrosis with inflammation. This is an original image from our institutional archive.
Figure 17. Peritoneal nodule showing benign fat necrosis. (AC) Frozen sections of a peritoneal nodule demonstrating fat necrosis with associated inflammation (H&E, ×5, ×10, ×20). Final diagnosis: Benign fat necrosis with inflammation. This is an original image from our institutional archive.
Gastroent 16 00046 g017
Figure 18. Omental biopsy showing peritoneal metastasis from poorly differentiated adenocarcinoma. (AC) Frozen section of an omental biopsy demonstrating malignant cells infiltrating the peritoneum (H&E, ×2, ×5, ×40). (D) Permanent section confirming metastatic poorly differentiated adenocarcinoma within peritoneum (H&E, ×40). Final diagnosis: Metastatic poorly differentiated adenocarcinoma of an oesophageal origin. This is an original image from our institutional archive.
Figure 18. Omental biopsy showing peritoneal metastasis from poorly differentiated adenocarcinoma. (AC) Frozen section of an omental biopsy demonstrating malignant cells infiltrating the peritoneum (H&E, ×2, ×5, ×40). (D) Permanent section confirming metastatic poorly differentiated adenocarcinoma within peritoneum (H&E, ×40). Final diagnosis: Metastatic poorly differentiated adenocarcinoma of an oesophageal origin. This is an original image from our institutional archive.
Gastroent 16 00046 g018
Figure 19. Small bowel nodule in an organ donor showing heterotopic pancreas. (AC) Frozen sections of small bowel wall demonstrating ectopic pancreatic tissue with acini embedded within the bowel wall (H&E, ×5, ×10, ×20). (D) Permanent section confirming heterotopic pancreatic tissue (H&E, ×10). Final diagnosis: Small bowel nodule representing benign heterotopic pancreatic tissue; organ donation deemed suitable to proceed. This is an original image from our institutional archive.
Figure 19. Small bowel nodule in an organ donor showing heterotopic pancreas. (AC) Frozen sections of small bowel wall demonstrating ectopic pancreatic tissue with acini embedded within the bowel wall (H&E, ×5, ×10, ×20). (D) Permanent section confirming heterotopic pancreatic tissue (H&E, ×10). Final diagnosis: Small bowel nodule representing benign heterotopic pancreatic tissue; organ donation deemed suitable to proceed. This is an original image from our institutional archive.
Gastroent 16 00046 g019
Figure 20. Workflow of frozen section-guided molecular triage in gastrointestinal and hepatobiliary pathology. This schematic illustrates the integration of frozen section (FS) into molecular pathology workflows. Following confirmation of diagnosis and assessment of tumour cellularity, FS evaluation guides tissue triage based on viability, tumour percentage, and necrosis. Suitable material is directed either to snap-freezing or formalin-fixed paraffin-embedded (FFPE) allocation, enabling downstream assays such as next-generation sequencing (NGS), microsatellite instability (MSI) testing, tumour mutational burden (TMB) assessment, RNA sequencing, and methylation profiling. The results inform targeted therapy selection, diagnostic confirmation, and eligibility for clinical trials or transplantation.
Figure 20. Workflow of frozen section-guided molecular triage in gastrointestinal and hepatobiliary pathology. This schematic illustrates the integration of frozen section (FS) into molecular pathology workflows. Following confirmation of diagnosis and assessment of tumour cellularity, FS evaluation guides tissue triage based on viability, tumour percentage, and necrosis. Suitable material is directed either to snap-freezing or formalin-fixed paraffin-embedded (FFPE) allocation, enabling downstream assays such as next-generation sequencing (NGS), microsatellite instability (MSI) testing, tumour mutational burden (TMB) assessment, RNA sequencing, and methylation profiling. The results inform targeted therapy selection, diagnostic confirmation, and eligibility for clinical trials or transplantation.
Gastroent 16 00046 g020
Figure 21. Frozen section rectal biopsies in neonates with suspected Hirschsprung disease. (A,B) Rectal biopsy showing hypertrophic, twisted submucosal nerve bundles (arrow) and absence of definite ganglion cells, confirming Hirschsprung disease (H&E, ×10, ×20). (C,D) Rectal biopsy showing absence of hypertrophic nerve bundles and presence of ganglion cells (arrow) on higher magnification, excluding Hirschsprung disease (H&E, ×20, ×40). This is an original image from our institutional archive.
Figure 21. Frozen section rectal biopsies in neonates with suspected Hirschsprung disease. (A,B) Rectal biopsy showing hypertrophic, twisted submucosal nerve bundles (arrow) and absence of definite ganglion cells, confirming Hirschsprung disease (H&E, ×10, ×20). (C,D) Rectal biopsy showing absence of hypertrophic nerve bundles and presence of ganglion cells (arrow) on higher magnification, excluding Hirschsprung disease (H&E, ×20, ×40). This is an original image from our institutional archive.
Gastroent 16 00046 g021
Figure 22. Acetylcholinesterase (AChE) histochemistry in rectal biopsies for Hirschsprung disease. (A) Rectal mucosa from a control patient showing absence of AChE-positive nerve fibres in the lamina propria and submucosa, consistent with normal innervation. (B) Rectal biopsy from a patient with Hirschsprung disease demonstrating thickened, AChE-positive cholinergic nerve fibres within the lamina propria and extending into the muscularis mucosae. These hypertrophic fibres are diagnostic of aganglionosis and characteristic of Hirschsprung disease (AChE histochemistry, ×10). This is an original image from our institutional archive.
Figure 22. Acetylcholinesterase (AChE) histochemistry in rectal biopsies for Hirschsprung disease. (A) Rectal mucosa from a control patient showing absence of AChE-positive nerve fibres in the lamina propria and submucosa, consistent with normal innervation. (B) Rectal biopsy from a patient with Hirschsprung disease demonstrating thickened, AChE-positive cholinergic nerve fibres within the lamina propria and extending into the muscularis mucosae. These hypertrophic fibres are diagnostic of aganglionosis and characteristic of Hirschsprung disease (AChE histochemistry, ×10). This is an original image from our institutional archive.
Gastroent 16 00046 g022
Table 1. Sensitivity and Specificity for each organ/system.
Table 1. Sensitivity and Specificity for each organ/system.
OrganReported Sensitivity/SpecificityCommon Pitfalls
Oesophagus [48]Sensitivity 90–95%, Specificity 98–100%Tangential margins, cautery artefacts
Stomach [49]Sensitivity 92–96%, Specificity 97–99%Poor differentiation, frozen artefacts
Colon/Hirschsprung [50]Sensitivity 90–95%, Specificity 95–98%Inadequate submucosa sampling, immature ganglion cells
Liver [35]Sensitivity 85–95%, Specificity 95–99%Sampling error in well-differentiated HCC, freezing artefacts
Pancreas [35]Sensitivity 80–90%, Specificity 95–98%Chronic pancreatitis vs. adenocarcinoma, scant samples
Gallbladder [51]Sensitivity 88–94%, Specificity 96–99%Tangential cuts, flat dysplasia vs. reactive atypia
Lymph nodes [52]Sensitivity 85–95%, Specificity >98%Micrometastases may be missed
Peritoneum [53]Sensitivity 90–96%, Specificity 98–100%Necrotic tissue, scant cellularity
Table 2. Differentiating bile duct adenoma from bile duct hamartoma.
Table 2. Differentiating bile duct adenoma from bile duct hamartoma.
FeatureBile Duct AdenomaBile Duct Hamartoma
LocationUsually solitary, subcapsularMultiple, scattered throughout the liver parenchyma
SizeSmall (<1.5 cm), usually <1 cmSmall (<0.5 cm), often <0.3 cm
Gross AppearanceWell-circumscribed, firm noduleMultiple, tiny white-grey nodules
ArchitectureCompact proliferation of small ducts in fibrous stromaDilated, irregular ducts in fibrous stroma
Cystic dilatationRareCommon (dilated, sometimes cystic ducts)
Lining epitheliumCuboidal, bland biliary-type cellsFlattened to cuboidal, bland biliary epithelium
StromaProminent fibrous stromaAbundant fibrous stroma with possible calcifications
Portal tractsAbsentMay be associated with distorted portal areas
Bile productionTypically absentMay contain bile pigment
Table 3. Differentiation between pancreatic ductal adenocarcinoma and autoimmune pancreatitis.
Table 3. Differentiation between pancreatic ductal adenocarcinoma and autoimmune pancreatitis.
FeaturesPDACChronic Pancreatitis/AIP
ArchitectureHaphazard, irregularly infiltrative glands, loss of lobular architecturePreserved or distorted lobular architecture, fibrosis around ducts rather than an infiltrating pattern
Glandular featuresAngulated, atypical glands, irregular contours, often naked glands in desmoplastic stromaDucts often surrounded by onion-skin fibrosis (esp. AIP), no significant atypia
Cytological atypiaModerate to marked nuclear atypia, nuclear irregularity, prominent nucleoli, mitosesMinimal cytologic atypia, if any; bland ductal epithelium
Stromal responseDesmoplastic stroma, myxoid to sclerotic; often devoid of inflammatory cellsCell-rich storiform fibrosis, particularly in AIP, often plasma cell-rich
Perineural invasionOften presentRare to absent
Lymphoplasmacytic infiltratesMild to absent Dense lymphoplasmacytic infiltrates, especially in AIP
Venous invasionCommon in PDACAbsent in CP
Duct rupture of obliterationNot characteristic Duct-centric obliterative phlebitis and duct destruction typical in AIP
Serum markers Often ↑ CA19.9 (non-specific)↑ Serum IgG4 (in AIP type 1), normal CA19.9
ImagingHypoenhancing mass on CT/MRI, ductal cutoff, double duct signDiffuse or segmental enlargement (“sausage-shaped pancreas”), capsule-like rim (AIP)
Disclaimer/Publisher’s Note: The statements, opinions and data contained in all publications are solely those of the individual author(s) and contributor(s) and not of MDPI and/or the editor(s). MDPI and/or the editor(s) disclaim responsibility for any injury to people or property resulting from any ideas, methods, instructions or products referred to in the content.

Share and Cite

MDPI and ACS Style

Zaitoun, A.M.; Almahari, S.A. Frozen Section Studies of Gastrointestinal and Hepatobiliary Systems: A Review Article. Gastroenterol. Insights 2025, 16, 46. https://doi.org/10.3390/gastroent16040046

AMA Style

Zaitoun AM, Almahari SA. Frozen Section Studies of Gastrointestinal and Hepatobiliary Systems: A Review Article. Gastroenterology Insights. 2025; 16(4):46. https://doi.org/10.3390/gastroent16040046

Chicago/Turabian Style

Zaitoun, Abed M., and Sayed Ali Almahari. 2025. "Frozen Section Studies of Gastrointestinal and Hepatobiliary Systems: A Review Article" Gastroenterology Insights 16, no. 4: 46. https://doi.org/10.3390/gastroent16040046

APA Style

Zaitoun, A. M., & Almahari, S. A. (2025). Frozen Section Studies of Gastrointestinal and Hepatobiliary Systems: A Review Article. Gastroenterology Insights, 16(4), 46. https://doi.org/10.3390/gastroent16040046

Article Metrics

Back to TopTop