A Deep Learning-Based Approach for Explainable Microsatellite Instability Detection in Gastrointestinal Malignancies
Abstract
1. Introduction
2. Materials and Methods
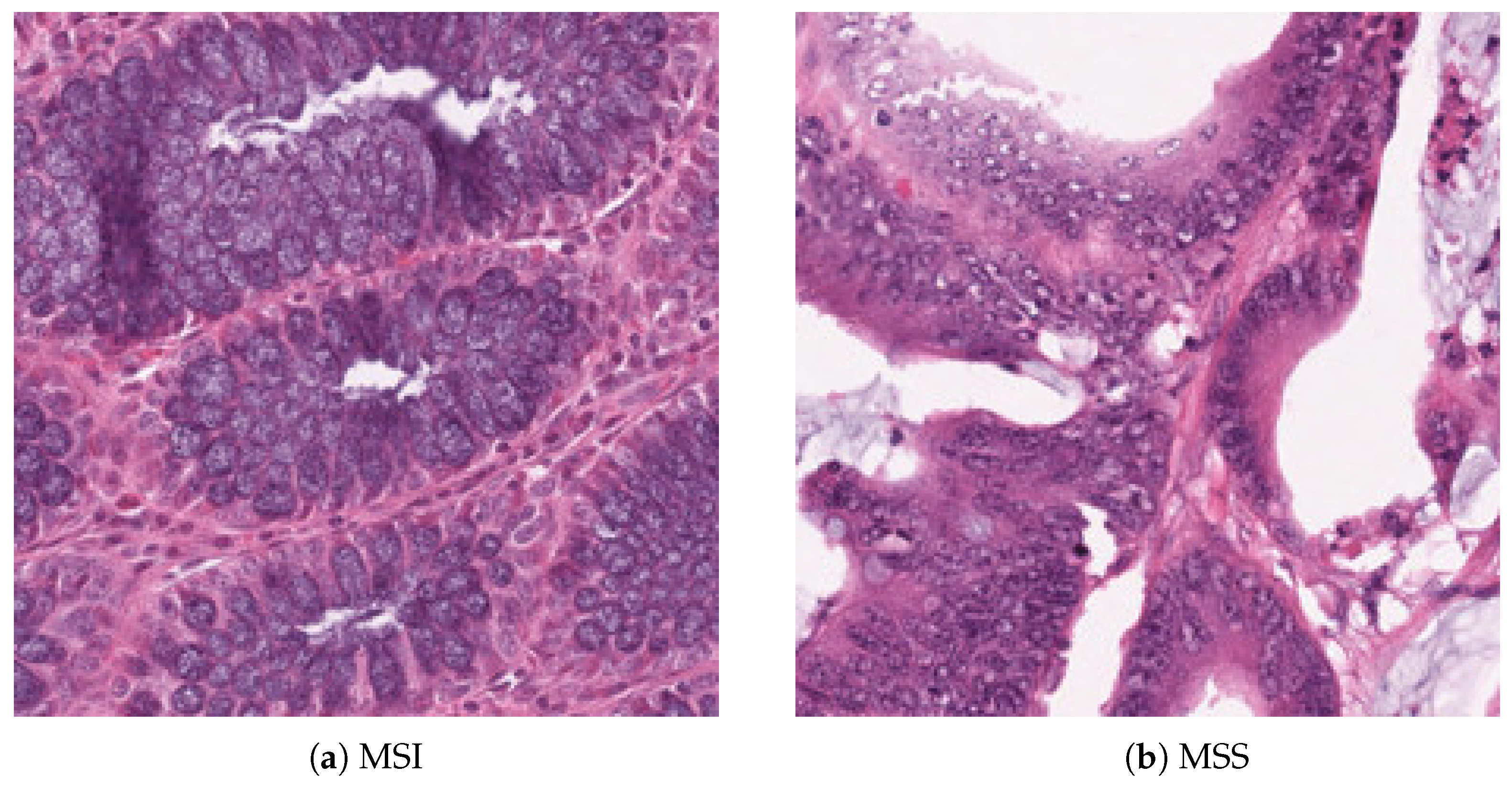
2.1. Dataset
- MSS: tumors without significant mutations in microsatellite regions.
- MSI: tumors with a high frequency of mutations in microsatellites.
2.2. Dataset Preprocessing
- Automated Tumor Area Identification: Regions containing tumor tissue were automatically detected, excluding non-relevant areas such as healthy tissue, stroma, and artifacts.
- Image Size Standardization: All patches were resized to 224 × 224 pixels with a fixed resolution of 0.5 m per pixel.
- Color Normalization Using Macenko Method: To reduce color variations caused by differences in histological slide staining, the color normalization technique proposed by Macenko et al. (2009) [10] was applied.
- Patient Classification: Each sample was labeled as MSS or MSIMUT based on the tumor’s genetic and molecular characteristics.
2.3. Experimental Settings
- Number of epochs: indicates how many times the algorithm processes the entire dataset during training.
- Batch size: represents the number of samples processed simultaneously before the network weights are updated.
- Image size: corresponds to the resolution of the input images provided to the network.
- Learning rate: defines the speed at which the model’s weights are updated during optimization.
2.4. Model Training and Testing
2.5. Explainability and Explanations Stability
3. Results
3.1. Experimental Results
3.2. Explainability and Robustness Analysis
- The original image, with the predicted class and associated probability;
- The CAM heatmap;
- The overlay of the heatmap on the original image, allowing a clear and immediate visual assessment of the regions critical for classification.
4. Discussion
Limitations
5. Conclusions
Author Contributions
Funding
Institutional Review Board Statement
Informed Consent Statement
Data Availability Statement
Conflicts of Interest
References
- Greenson, J.; Huang, S.; Herron, C.; Moreno, V.; Bonner, J.; Tomsho, L.; Ben-Izhak, O.; Cohen, H.; Trougouboff, P.; Bejhar, J.; et al. Pathologic predictors of microsatellite instability in colorectal cancer. Am. J. Surg. Pathol. 2009, 33, 126–133. [Google Scholar] [CrossRef] [PubMed]
- Jass, J.; Do, K.; Simms, L.; Iino, H.; Wynter, C.; Pillay, S.; Searle, J.; Radford-Smith, G.; Young, J.; Leggett, B. Morphology of sporadic colorectal cancer with DNA replication errors. Gut 1998, 42, 673–679. [Google Scholar] [CrossRef] [PubMed]
- Alexander, J.; Watanabe, T.; Wu, T.; Rashid, A.; Li, S.; Hamilton, S. Histopathological identification of colon cancer with microsatellite instability. Am. J. Pathol. 2001, 158, 527–535. [Google Scholar] [CrossRef] [PubMed]
- De Smedt, L.; Lemahieu, J.; Palmans, S.; Govaere, O.; Tousseyn, T.; Cutsem, E.V.; Prenen, H.; Tejpar, S.; Spaepen, M.; Matthijs, G.; et al. Microsatellite instable vs stable colon carcinomas: Analysis of tumour heterogeneity, inflammation and angiogenesis. Br. J. Cancer 2015, 113, 500–509. [Google Scholar] [CrossRef] [PubMed]
- Kather, J.N. Histological Images for MSI Vs. MSS Classification in Gastrointestinal Cancer, FFPE Samples. Zenodo 2019. [Google Scholar] [CrossRef]
- Di Giammarco, M.; Martinelli, F.; Santone, A.; Cesarelli, M.; Mercaldo, F. Colon cancer diagnosis by means of explainable deep learning. Sci. Rep. 2024, 14, 15334. [Google Scholar] [CrossRef] [PubMed]
- Mercaldo, F.; Brunese, L.; Martinelli, F.; Santone, A.; Cesarelli, M. Experimenting with extreme learning machine for biomedical image classification. Appl. Sci. 2023, 13, 8558. [Google Scholar] [CrossRef]
- Mercaldo, F.; Zhou, X.; Huang, P.; Martinelli, F.; Santone, A. Machine learning for uterine cervix screening. In Proceedings of the 2022 IEEE 22nd International Conference on Bioinformatics and Bioengineering (BIBE), Taichung, Taiwan, 7–9 November 2022; IEEE: New York, NY, USA, 2022; pp. 71–74. [Google Scholar]
- He, H.; Yang, H.; Mercaldo, F.; Santone, A.; Huang, P. Isolation Forest-Voting Fusion-Multioutput: A stroke risk classification method based on the multidimensional output of abnormal sample detection. Comput. Methods Programs Biomed. 2024, 253, 108255. [Google Scholar] [CrossRef] [PubMed]
- Macenko, M.; Niethammer, M.; Marron, J.S.; Borland, D.; Woosley, J.T.; Guan, X.; Schmitt, C.; Thomas, N.E. A method for normalizing histology slides for quantitative analysis. In Proceedings of the 2009 IEEE International Symposium on Biomedical Imaging: From Nano to Macro, Boston, MA, USA, 28 June–1 July 2009; pp. 1107–1110. [Google Scholar] [CrossRef]
- Howard, A.G.; Zhu, M.; Chen, B.; Kalenichenko, D.; Wang, W.; Weyand, T.; Andreetto, M.; Adam, H. Mobilenets: Efficient convolutional neural networks for mobile vision applications. arXiv 2017, arXiv:1704.04861. [Google Scholar] [CrossRef]
- Szegedy, C.; Vanhoucke, V.; Ioffe, S.; Shlens, J.; Wojna, Z. Rethinking the inception architecture for computer vision. In Proceedings of the IEEE Conference on Computer Vision and Pattern Recognition, Las Vegas, NV, USA, 27–30 June 2016; pp. 2818–2826. [Google Scholar]
- Simonyan, K.; Zisserman, A. Very deep convolutional networks for large-scale image recognition. arXiv 2014, arXiv:1409.1556. [Google Scholar]
- Selvaraju, R.R.; Das, A.; Vedantam, R.; Cogswell, M.; Parikh, D.; Batra, D. Grad-CAM: Why did you say that? arXiv 2016, arXiv:1611.07450. [Google Scholar]
- Selvaraju, R.R.; Cogswell, M.; Das, A.; Vedantam, R.; Parikh, D.; Batra, D. Grad-cam: Visual explanations from deep networks via gradient-based localization. In Proceedings of the IEEE International Conference on Computer Vision, Venice, Italy, 22–29 October 2017; pp. 618–626. [Google Scholar]
- Chattopadhay, A.; Sarkar, A.; Howlader, P.; Balasubramanian, V.N. Grad-cam++: Generalized gradient-based visual explanations for deep convolutional networks. In Proceedings of the 2018 IEEE Winter Conference on Applications of Computer Vision (WACV), Lake Tahoe, NV, USA, 12–15 March 2018; IEEE: New York, NY, USA, 2018; pp. 839–847. [Google Scholar]
- Wang, H.; Wang, Z.; Du, M.; Yang, F.; Zhang, Z.; Ding, S.; Mardziel, P.; Hu, X. Score-CAM: Score-weighted visual explanations for convolutional neural networks. In Proceedings of the IEEE/CVF Conference on Computer Vision and Pattern Recognition Workshops, Seattle, WA, USA, 14–19 June 2020; pp. 24–25. [Google Scholar]
- Wang, Z.; Bovik, A.C.; Sheikh, H.R.; Simoncelli, E.P. Image quality assessment: From error visibility to structural similarity. IEEE Trans. Image Process. 2004, 13, 600–612. [Google Scholar] [CrossRef] [PubMed]
- Chang, X.; Wang, J.; Zhang, G.; Yang, M.; Xi, Y.; Xi, C.; Chen, G.; Nie, X.; Meng, B.; Quan, X. Predicting colorectal cancer microsatellite instability with a self-attention-enabled convolutional neural network. Cell Rep. Med. 2023, 4, 100914. [Google Scholar] [CrossRef] [PubMed]
- Wafa, A.; Essa, R.; Abohany, A.; Elrefaey, H. Integrating deep learning for accurate gastrointestinal cancer classification: A comprehensive analysis of MSI and MSS patterns using histopathology data. Neural Comput. Appl. 2024, 36, 21273–21305. [Google Scholar] [CrossRef]
- Pamuk, Z.; Erikçi, H. A Comparative Analysis of Deep Learning Models for Prediction of Microsatellite Instability in Colorectal Cancer. Sak. Univ. J. Comput. Inf. Sci. 2025, 8, 136–151. [Google Scholar] [CrossRef]
- Li, Z.; Chen, J.; Sun, M.; Li, D.; Chen, K. Digital pathology-based artificial intelligence model to predict microsatellite instability in gastroesophageal junction adenocarcinomas. Front. Oncol. 2025, 15, 1486140. [Google Scholar] [CrossRef] [PubMed]
- Ziegler, J.; Hechtman, J.F.; Rana, S.; Ptashkin, R.N.; Jayakumaran, G.; Middha, S.; Chavan, S.S.; Vanderbilt, C.; DeLair, D.; Casanova, J.; et al. A deep multiple instance learning framework improves microsatellite instability detection from tumor next generation sequencing. Nat. Commun. 2025, 16, 136. [Google Scholar] [CrossRef] [PubMed]
- Hezi, H.; Gelber, M.; Balabanov, A.; Maruvka, Y.E.; Freiman, M. CIMIL-CRC: A clinically-informed multiple instance learning framework for patient-level colorectal cancer molecular subtypes classification from H&E stained images. arXiv 2024, arXiv:2401.16131. [Google Scholar] [CrossRef]
- Kather, J.N.; Pearson, A.T.; Halama, N.; Jäger, D.; Krause, J.; Loosen, S.H.; Marx, A.; Boor, P.; Tacke, F.; Neumann, U.P.; et al. Deep learning can predict microsatellite instability directly from histology in gastrointestinal cancer. Nat. Med. 2019, 25, 1054–1056. [Google Scholar] [CrossRef] [PubMed]
- Ma, J.; Yang, F.; Yang, R.; Li, Y.; Chen, Y. Interpretable deep learning for gastric cancer detection: A fusion of AI architectures and explainability analysis. Front. Immunol. 2025, 16, 1596085. [Google Scholar] [CrossRef] [PubMed]






| Exp | Model | Epochs | Batch Size | Image Size | Learning Rate | Training Time |
|---|---|---|---|---|---|---|
| 1 | MobileNet | 10 | 16 | 224 × 3 | 2 h 57 m | |
| 2 | MobileNet | 30 | 32 | 120 × 3 | 3 h 14 m | |
| 3 | Inception | 10 | 32 | 120 × 3 | 2 h 40 m | |
| 4 | Inception | 6 | 16 | 224 × 3 | 3 h 52 m | |
| 5 | VGG16 | 6 | 16 | 224 × 3 | 2 h 55 m | |
| 6 | VGG16 | 12 | 16 | 224 × 3 | 5 h 36 m | |
| 7 | VGG16 | 12 | 16 | 120 × 3 | 2 h 09 m | |
| 8 | VGG19 | 11 | 16 | 224 × 3 | 5 h 47 m | |
| 9 | VGG19 | 6 | 16 | 224 × 3 | 3 h 09 m | |
| 10 | VGG19 | 12 | 32 | 120 × 3 | 1 h 56 m | |
| 11 | VGG19 | 15 | 16 | 224 × 3 | 8 h 23 m | |
| 12 | ViT | 10 | 16 | 224 × 3 | 6 h 57 m |
| Exp | Model | Loss | Accuracy | Precision | Recall | F-Measure | AUC |
|---|---|---|---|---|---|---|---|
| 1 | MobileNet | 0.5242 | 0.8267 | 0.8267 | 0.8267 | 0.8267 | 0.9060 |
| 2 | MobileNet | 1.1026 | 0.5722 | 0.5722 | 0.5722 | 0.5722 | 0.5985 |
| 3 | Inception | 0.4973 | 0.8055 | 0.8055 | 0.8055 | 0.8055 | 0.8496 |
| 4 | Inception | 0.4041 | 0.8827 | 0.8827 | 0.8827 | 0.8827 | 0.9255 |
| 5 | VGG16 | 0.2465 | 0.9036 | 0.9036 | 0.9036 | 0.9036 | 0.9670 |
| 6 | VGG16 | 0.2685 | 0.9260 | 0.9260 | 0.9260 | 0.9260 | 0.9730 |
| 7 | VGG16 | 0.4525 | 0.8739 | 0.8739 | 0.8739 | 0.8739 | 0.9420 |
| 8 | VGG19 | 0.2064 | 0.9178 | 0.9178 | 0.9178 | 0.9178 | 0.9760 |
| 9 | VGG19 | 0.2850 | 0.8781 | 0.8781 | 0.8781 | 0.8781 | 0.9513 |
| 10 | VGG19 | 0.5913 | 0.8517 | 0.8517 | 0.8517 | 0.8517 | 0.9204 |
| 11 | VGG19 | 0.7269 | 0.4295 | 0.4295 | 0.4295 | 0.4295 | 0.4055 |
| 12 | ViT | 0.9226 | 0.6812 | 0.6915 | 0.6668 | 0.6819 | 0.6972 |
| CAMs | MSS | MSI_MUT |
|---|---|---|
| Grad-CAM++ vs. Grad-CAM | 0.6013 | 0.8447 |
| Score-CAM Fast vs. Grad-CAM | 0.9347 | 0.6243 |
| Grad-CAM++ vs. Score-CAM Fast | 0.5764 | 0.6084 |
| CAMs | VIF | SAM | ||
|---|---|---|---|---|
| MSS | MSI_MUT | MSS | MSI_MUT | |
| Grad-CAM++ vs. Grad-CAM | 0.9188 | 0.9686 | 0.1549 | 0.0581 |
| Score-CAM Fast vs. Grad-CAM | 0.9722 | 0.9342 | 0.0499 | 0.1385 |
| Grad-CAM++ vs. Score-CAM Fast | 0.9261 | 0.9314 | 0.1604 | 0.1374 |
| CAMs | ERGAS | PSNR | ||
| MSS | MSI_MUT | MSS | MSI_MUT | |
| Grad-CAM++ vs. Grad-CAM | 4.612 | 1.733 | 23.222 | 34.099 |
| Score-CAM Fast vs. Grad-CAM | 1.554 | 4.001 | 32.338 | 25.400 |
| Grad-CAM++ vs. Score-CAM Fast | 4.791 | 3.985 | 22.797 | 26.234 |
Disclaimer/Publisher’s Note: The statements, opinions and data contained in all publications are solely those of the individual author(s) and contributor(s) and not of MDPI and/or the editor(s). MDPI and/or the editor(s) disclaim responsibility for any injury to people or property resulting from any ideas, methods, instructions or products referred to in the content. |
© 2025 by the authors. Licensee MDPI, Basel, Switzerland. This article is an open access article distributed under the terms and conditions of the Creative Commons Attribution (CC BY) license (https://creativecommons.org/licenses/by/4.0/).
Share and Cite
Ciardiello, L.; Agnello, P.; Petyx, M.; Martinelli, F.; Cesarelli, M.; Santone, A.; Mercaldo, F. A Deep Learning-Based Approach for Explainable Microsatellite Instability Detection in Gastrointestinal Malignancies. J. Imaging 2025, 11, 398. https://doi.org/10.3390/jimaging11110398
Ciardiello L, Agnello P, Petyx M, Martinelli F, Cesarelli M, Santone A, Mercaldo F. A Deep Learning-Based Approach for Explainable Microsatellite Instability Detection in Gastrointestinal Malignancies. Journal of Imaging. 2025; 11(11):398. https://doi.org/10.3390/jimaging11110398
Chicago/Turabian StyleCiardiello, Ludovica, Patrizia Agnello, Marta Petyx, Fabio Martinelli, Mario Cesarelli, Antonella Santone, and Francesco Mercaldo. 2025. "A Deep Learning-Based Approach for Explainable Microsatellite Instability Detection in Gastrointestinal Malignancies" Journal of Imaging 11, no. 11: 398. https://doi.org/10.3390/jimaging11110398
APA StyleCiardiello, L., Agnello, P., Petyx, M., Martinelli, F., Cesarelli, M., Santone, A., & Mercaldo, F. (2025). A Deep Learning-Based Approach for Explainable Microsatellite Instability Detection in Gastrointestinal Malignancies. Journal of Imaging, 11(11), 398. https://doi.org/10.3390/jimaging11110398

