Sign in to use this feature.

Years

Between: -

Subjects

remove_circle_outline
remove_circle_outline
remove_circle_outline
remove_circle_outline
remove_circle_outline
remove_circle_outline
remove_circle_outline
remove_circle_outline
remove_circle_outline

Journals

remove_circle_outline
remove_circle_outline
remove_circle_outline
remove_circle_outline
remove_circle_outline
remove_circle_outline
remove_circle_outline
remove_circle_outline
remove_circle_outline
remove_circle_outline

Article Types

Countries / Regions

remove_circle_outline
remove_circle_outline
remove_circle_outline
remove_circle_outline
remove_circle_outline
remove_circle_outline
remove_circle_outline

Search Results (780)

Search Parameters:
Keywords = experimental inoculation

Order results
Result details
Results per page
Select all
Export citation of selected articles as:
20 pages, 2083 KB  
Article
Intraperitoneal Polypropylene Mesh in Clean, Potentially Septic, and Controlled Contamination Fields: An Experimental Rat Study
by Apostolos Makrantonakis, Ioannis Mantzoros, Orestis Ioannidis, Konstantinos Zapsalis, Elissavet Anestiadou, Styliani Parpoudi, Dimitrios Kyziridis, Ekaterini Klonou, Savvas Simeonidis, Stefanos Bitsianis, Manousos George Pramateftakis, Efstathios Kotidis and Stamatios Angelopoulos
Medicina 2026, 62(5), 803; https://doi.org/10.3390/medicina62050803 - 22 Apr 2026
Viewed by 81
Abstract
Background and Objectives: Intraperitoneal onlay mesh (IPOM) reduces ventral/incisional hernia recurrence but raises concern for adhesions and infection, particularly when the operative field is not strictly clean. We aimed to determine how contamination severity modulates the peritoneal response to intraperitoneal polypropylene mesh. [...] Read more.
Background and Objectives: Intraperitoneal onlay mesh (IPOM) reduces ventral/incisional hernia recurrence but raises concern for adhesions and infection, particularly when the operative field is not strictly clean. We aimed to determine how contamination severity modulates the peritoneal response to intraperitoneal polypropylene mesh. Materials and Methods: In a prospective, randomized, blinded rat study, 60 male Wistar rats were allocated to three groups (n = 20/group) and evaluated at postoperative day (POD) 4 and POD 8 (n = 10/timepoint): A, clean mesh placement; B, small-bowel resection with end-to-end anastomosis without spillage (“potentially septic”); and C, mesh placement followed by intraperitoneal inoculation with Escherichia coli and Staphylococcus aureus (“controlled contamination”). The primary outcome was adhesion severity (Van der Ham scale, 0–3). Secondary outcomes included semi-quantitative histological scores (0–4) for neutrophil infiltration, fibroblast proliferation, neoangiogenesis, and collagen deposition. Prespecified non-parametric analyses were applied. Results: All animals completed follow-up; no pre-sacrifice deaths occurred. Adhesion severity showed no statistically significant differences between Groups A and B at either timepoint (mean POD4: 0.3 vs. 0.6; POD8: 0.4 vs. 0.8; p > 0.05). In contrast, Group C demonstrated markedly higher adhesion scores (mean POD4: 2.3; POD8: 2.4; both p < 0.001 vs. Groups A and B), with a substantially greater proportion of grade 2–3 adhesions. Histological parameters paralleled these findings: at both POD4 and POD8, Group C showed significantly higher neutrophil, fibroblast, neoangiogenesis, and collagen scores compared with Groups A and B (all p < 0.001). No statistically significant within-group temporal differences were observed between POD4 and POD8. Conclusions: In this experimental model, intraperitoneal polypropylene mesh demonstrated similar early biological response patterns in clean and controlled contamination settings, whereas established intra-abdominal sepsis was associated with a marked escalation of inflammation, fibroproliferation, and adhesion formation. These findings suggest that selective use of synthetic intraperitoneal mesh may be considered when contamination is controlled, while caution is warranted in frankly septic environments. Full article
(This article belongs to the Special Issue Hernia Repair: Current Advances and Challenges)
Show Figures

Figure 1

30 pages, 2150 KB  
Article
Effect of Fertilization, Irrigation and Microbial Biostimulant on the Antioxidant Profile of Some Sweet Pepper Genotypes
by Marisa Jiménez-Pérez, Estela Moreno-Peris, Ana M. Adalid-Martínez, Ana Fita, María D. Raigón and Adrián Rodríguez-Burruezo
Plants 2026, 15(8), 1278; https://doi.org/10.3390/plants15081278 - 21 Apr 2026
Viewed by 424
Abstract
Sweet peppers (Capsicum annuum L.) are an important dietary source of antioxidants. Optimizing fruit antioxidant quality under reduced inputs is essential to valorize sustainable pepper production. Here, we evaluated seven Spanish genotypes (traditional/local, derived experimental hybrids and commercial hybrids) across six treatments [...] Read more.
Sweet peppers (Capsicum annuum L.) are an important dietary source of antioxidants. Optimizing fruit antioxidant quality under reduced inputs is essential to valorize sustainable pepper production. Here, we evaluated seven Spanish genotypes (traditional/local, derived experimental hybrids and commercial hybrids) across six treatments combining two fertilization (100% and 50%) and irrigation (100% and 75%) regimes, with plant growth-promoting rhizobacteria (PGPR) applied under reduced fertilization treatments. Vitamin C and flavonoids were quantified by HPLC at the green-ripe and fully ripe stages, and carotenoids were determined spectrophotometrically at the fully ripe stage. Several genotypes largely maintained antioxidant content under stress treatments, whereas specific genotype × ripening stage combinations showed maximum increases in vitamin C (+102%), flavonoids (+86% for kaempferol) and carotenoids (+67% for yellow-orange carotenoids) under certain low-input treatments compared to the control. The PGPR effects on vitamin C and carotenoids were generally small, with occasional reductions. However, the PGPR increased total and some individual flavonoids by up to 96% (luteolin) in green-ripe Piquillo and 128% (quercetin) in fully ripe Isabel F1 fruits compared to the corresponding non-inoculated treatments. This multi-genotype, two ripening-stage evaluation identifies Spanish traditional germplasm and derived hybrids with stable or improved antioxidant profiles under low-input conditions and provides insight into PGPR effects. These results support the use of traditional genotypes in breeding for sustainable production. Full article
Show Figures

Figure 1

17 pages, 1549 KB  
Systematic Review
Systematic Review of Mammalian Models for Experimental Sporotrichosis: Pathogenesis, Methodological Variables, and Ethical Considerations
by Danielly Corrêa-Moreira, Thais Guimarães Barreira, Rodolfo Castro, Cintia de Moraes Borba and Manoel Marques Evangelista Oliveira
Animals 2026, 16(8), 1226; https://doi.org/10.3390/ani16081226 - 17 Apr 2026
Viewed by 269
Abstract
In this review, we aimed to condense data on mammalian models of experimental infection with species of the genus Sporothrix, the causal agent of sporotrichosis, using the PRISMA methodology to search in three electronic databases: PubMed, Lilacs, and Web of Science. We [...] Read more.
In this review, we aimed to condense data on mammalian models of experimental infection with species of the genus Sporothrix, the causal agent of sporotrichosis, using the PRISMA methodology to search in three electronic databases: PubMed, Lilacs, and Web of Science. We analyzed the mammals used and the criteria that determine the course of the infection, including inoculum size and route of inoculation, the host’s immune status, and the fungal species employed, as well as information on ethical principles and criteria for determining the pathogenicity/virulence of the fungal species used, and presented a scoring system to be used in experimental infection studies in animal models alongside clinical parameters to assess the humane endpoint and provide reliable results while respecting animal welfare. Our results demonstrated that most articles described mice as mammalian models for experimental sporotrichosis. Over half of the articles cited an intermediate inoculum, ranging from 106 to 107 cells/mL. Subcutaneous is the inoculation route described in 27.71% of the articles, followed by intraperitoneal and intravenous routes, with 25.30% and 21.08%, respectively. Seventy-nine point five-two percent of the studies used immunocompetent models, 9.04% used immunosuppressed animals, and 10.84% included both immunocompetent and immunosuppressed animals. We also observed that Sporothrix schenckii was the most widely used species, considering both the entire period (1900–2024: 77.11%) and the period after the description of new species (2008–2024: 56.47%). Animal welfare conditions were poorly detailed in all articles. Only four studies reported a humane endpoint to terminate the experiment, and one presented consideration of the 3Rs (Replace, Reduce, and Refine). A few articles mentioned the most significant criteria grouped to evaluate the pathogenicity/virulence of the fungal species studied. Full article
(This article belongs to the Section Mammals)
Show Figures

Figure 1

28 pages, 677 KB  
Article
Mathematical Investigation of Cancer-Immune-Angiogenesis Model Using Fuzzy Piecewise Fractional Derivatives
by Rabeb Sidaoui, Ashraf A. Qurtam, Mohammed Almalahi, Habeeb Ibrahim, Khaled Aldwoah, Amer Alsulami and Mohammed Messaoudi
Fractal Fract. 2026, 10(4), 260; https://doi.org/10.3390/fractalfract10040260 - 15 Apr 2026
Viewed by 197
Abstract
This work develops a fuzzy piecewise fractional derivative (FPFD) model for cancer-immune-angiogenesis dynamics under uncertainty. Five fuzzy state variables track tumor cells, immune effectors, vessel density, oxygen, and drug concentration. We employ fuzzy triangular numbers with α-cut interval arithmetic using constrained fuzzy [...] Read more.
This work develops a fuzzy piecewise fractional derivative (FPFD) model for cancer-immune-angiogenesis dynamics under uncertainty. Five fuzzy state variables track tumor cells, immune effectors, vessel density, oxygen, and drug concentration. We employ fuzzy triangular numbers with α-cut interval arithmetic using constrained fuzzy arithmetic model parametric uncertainty, with numerical values. Oxygen-dependent carrying capacity follows a Hill-type function; hypoxia-induced angiogenesis follows a decreasing Michaelis–Menten function. The model transitions at t1=50 days from memoryless fuzzy classical derivative to fuzzy ABC fractional derivative of order ψ. The transition time t1=50 days is biologically justified based on experimental observations of the angiogenic switch in solid tumors, which typically occurs within 4–8 weeks post-inoculation. Positivity, boundedness, Lipschitz continuity, existence, and uniqueness of fuzzy solutions are proved via Banach fixed-point theorem in a weighted norm. A basic reproduction number interval R0=[R̲0,R¯0] is derived; local and global stability conditions are established for disease-free and endemic equilibria using fuzzy differential inclusions. Global sensitivity analysis using latin hypercube sampling with N=500 samples explores the range of possible outcomes across the fuzzy parameter support. In the numerical implementation, we use a fourth-order fuzzy Runge–Kutta method (Phase I), and a fractional Adams–Bashforth–Moulton predictor-corrector method (Phase II), ensuring preservation of fuzzy number characteristics. Full article
Show Figures

Figure 1

22 pages, 10382 KB  
Article
Uncovering Viral Diversity and Host Responses in Saffron via Nanopore RNA Sequencing
by Marzieh Shamshiri, Conchi Sánchez, Jesús Mª Vielba, Nieves Vidal, Masoud Shams-Bakhsh and Saleta Rico
Agronomy 2026, 16(8), 803; https://doi.org/10.3390/agronomy16080803 - 14 Apr 2026
Viewed by 359
Abstract
Saffron (Crocus sativus L.) is a high-value crop vulnerable to potyvirus infections threatening its yield and quality. In this study, we combined Oxford Nanopore long-read sequencing with exploratory transcriptomic profiling to characterize the saffron virome and to describe expression profiles associated with [...] Read more.
Saffron (Crocus sativus L.) is a high-value crop vulnerable to potyvirus infections threatening its yield and quality. In this study, we combined Oxford Nanopore long-read sequencing with exploratory transcriptomic profiling to characterize the saffron virome and to describe expression profiles associated with two distinct infection histories: (i) saffron plants experimentally inoculated with cucumber mosaic virus (CMV; Cucumovirus CMV) and turnip mosaic virus (TuMV; Potyvirus rapae) under controlled greenhouse conditions, and (ii) saffron plants naturally infected by diverse viruses. We identified six plant-infecting viral families in both conditions, including Potyviridae, Geminiviridae, Caulimoviridae, Tymoviridae, Aspiviridae, and Partitiviridae. Transcriptomic profiling revealed distinct expression profiles associated with each infection background. Given the limitations of the experimental design, gene expression differences are interpreted descriptively. We describe pathway enrichments associated with antiviral responses. Naturally infected plants exhibited a broad-spectrum, tolerance-based response characterized by the upregulation of photosynthesis-related genes, calcium-mediated signaling components, and stress-responsive transcription factors. In contrast, virus-inoculated plants activated a targeted antiviral program involving RNA silencing, autophagy, ubiquitin-mediated proteolysis, and hormonal regulation. Both GO and KEGG enrichment analyses supported these findings, highlighting photosynthesis and metabolic flexibility in naturally infected plants versus hypersensitive response, RNA surveillance, and lignin biosynthesis in virus-inoculated plants. This work provides a comprehensive view of the saffron virome and offers a hypothesis-generating overview of transcriptional responses associated with natural versus experimental virus infections. These findings advance the understanding of the saffron virome and provide a valuable resource for breeding virus-resistant cultivars. Full article
(This article belongs to the Special Issue New Insights into Plant-Microbe Interaction)
Show Figures

Figure 1

24 pages, 7765 KB  
Article
Genome-Wide Characterization of Citrus NBS-LRR Genes and Integrative Analysis of a Candidate Gene Associated with Alternaria Brown Spot-Related QTL
by Yilu Li, Chengnan Kang, Ru Zhang, Boping Wu, Kai Xu, Jiajie Chen, Meiyan Wang, Jinhua Liu and Haijie Ma
Plants 2026, 15(8), 1191; https://doi.org/10.3390/plants15081191 - 13 Apr 2026
Viewed by 548
Abstract
Alternaria brown spot, caused by the tangerine pathotype of Alternaria alternata, is a destructive fungal disease affecting citrus production worldwide. Nucleotide-binding site-leucine-rich repeat (NBS-LRR) genes constitute a major class of plant immune receptors; however, their genome-wide characteristics and potential association with Alternaria [...] Read more.
Alternaria brown spot, caused by the tangerine pathotype of Alternaria alternata, is a destructive fungal disease affecting citrus production worldwide. Nucleotide-binding site-leucine-rich repeat (NBS-LRR) genes constitute a major class of plant immune receptors; however, their genome-wide characteristics and potential association with Alternaria brown spot resistance loci in citrus remain poorly understood. In this study, we performed a comprehensive genome-wide identification and comparative analysis of NBS-LRR genes across representative citrus species. A total of 417 and 326 NBS-LRR genes were identified in Citrus reticulata and Citrus clementina, respectively, and were classified into NL, CNL, TNL, and RNL subfamilies based on domain architecture. Phylogenetic reconstruction, gene structure analysis, conserved motif composition, chromosomal distribution, synteny relationships, and promoter cis-element profiling collectively revealed considerable structural variation and lineage-specific expansion of the NBS-LRR gene family in citrus genomes. By integrating previously reported quantitative trait locus (QTL) data for Alternaria brown spot, we identified several NBS-LRR genes located within a resistance-associated genomic interval on chromosome 3. Among these, a candidate gene, designated LRR2, exhibited differential transcriptional responses upon pathogen inoculation and displayed distinct sequence variations between citrus genotypes. Structural modeling and molecular docking analyses suggested potential binding interfaces between LRR2 and multiple host-selective toxins, although the biological relevance of these interactions requires further experimental validation. Subcellular localization assays in Nicotiana benthamiana showed that LRR2 is distributed in both the nucleus and cytoplasm. Notably, transient overexpression of LRR2 triggered hypersensitive response-like cell death and H2O2 accumulation. Collectively, this study provides a comprehensive overview of the citrus NBS-LRR gene family and presents a multifaceted characterization of a QTL-anchored candidate gene. These findings establish a genomic and molecular framework for further functional investigations of citrus–Alternaria interactions. Full article
(This article belongs to the Special Issue Genetic Breeding and Biotic/Abiotic Stress Regulation in Citrus)
Show Figures

Figure 1

19 pages, 2827 KB  
Article
Humification Pathways of Crop Residues Under Ammonification–Steam Explosion Pretreatment and Multi-Fungal Inoculation
by Zhonglin Wu, Chao Zhao, Kunjie Chen, Lijun Xu, Farman Ali Chandio, Xiangjun Zhao and Bin Li
Agriculture 2026, 16(7), 817; https://doi.org/10.3390/agriculture16070817 - 7 Apr 2026
Viewed by 297
Abstract
The pathways governing the transformation of crop residues into humic acid (HA) remain incompletely understood because multiple biochemical routes may operate simultaneously during composting-like humification. In this study, a 30-day solid-state humification experiment was conducted by integrating physicochemical pretreatments, including steam explosion (SE) [...] Read more.
The pathways governing the transformation of crop residues into humic acid (HA) remain incompletely understood because multiple biochemical routes may operate simultaneously during composting-like humification. In this study, a 30-day solid-state humification experiment was conducted by integrating physicochemical pretreatments, including steam explosion (SE) and ammonification coupled with steam explosion (SE-N), with a multi-fungal inoculation strategy involving Aspergillus niger, Candida spp., and Phanerochaete chrysosporium. Across three representative substrate–pretreatment systems and 81 experimental groups, the contents of lignocellulosic fractions, reducing sugars (RS), a UV-280-based soluble nitrogen-containing precursor index (operationally denoted as SNP), fulvic acid (FA), and HA were compared. The results showed that neither physicochemical pretreatment alone nor single-strain inoculation was sufficient to achieve substantial HA formation. SE mainly improved substrate accessibility and promoted carbon release, whereas ammonification provided essential nitrogen preloading for subsequent precursor coupling. In the saccharification-dominant treatment, RS reached 27.5%, but HA remained negligible. In the Candida-only treatment, the soluble nitrogen-containing precursor index increased markedly, yet HA formation was still minimal. By contrast, the highest HA yield (13.7%) was obtained under multi-fungal co-inoculation, particularly when nitrogen preloading by ammonification was combined with concurrent accumulation of carbon and aromatic precursors. The data suggest that lignin-targeting activity by P. chrysosporium was associated with the likely generation of phenolic and quinone-like intermediates that bridged the condensation of sugar- and nitrogen-derived compounds. Overall, the findings support a synergistic humification framework in which polysaccharide depolymerization, microbial nitrogen transformation, and lignin-derived aromatic precursor formation jointly contribute to HA accumulation, rather than a single linear pathway dominating the process. Full article
Show Figures

Figure 1

27 pages, 912 KB  
Review
Dengue Virus-Susceptible Animal Models: Research Progress, Core Bottlenecks, and Future Perspectives
by Wensheng Zhang, Yue Zhao, Teng Meng, Yuling Tang, Yifei Zhang, Lu Zhang, Shoulong Deng, Yan Li, Yiming Yuan and Yefeng Qiu
Vaccines 2026, 14(4), 319; https://doi.org/10.3390/vaccines14040319 - 3 Apr 2026
Viewed by 738
Abstract
Dengue fever (DF) is an acute mosquito-borne infectious disease caused by dengue virus (DENV), primarily transmitted by Aedes aegypti and Aedes albopictus. Nearly 4 billion people worldwide are at risk of infection, and the 2024 epidemic reached an unprecedented scale. Severe cases can [...] Read more.
Dengue fever (DF) is an acute mosquito-borne infectious disease caused by dengue virus (DENV), primarily transmitted by Aedes aegypti and Aedes albopictus. Nearly 4 billion people worldwide are at risk of infection, and the 2024 epidemic reached an unprecedented scale. Severe cases can lead to hemorrhage, shock, and even death, prompting the WHO to classify it as a potential pandemic pathogen. Current prevention and control measures face prominent bottlenecks, including limited applicable populations for vaccines, lack of specific antiviral drugs, and increasing insecticide resistance in mosquito vectors. Notably, susceptible animal models serve as core tools for elucidating the pathogenic mechanisms of dengue virus, screening antiviral drugs, and evaluating vaccine protective efficacy, holding irreplaceable significance. This review systematically summarizes the characteristics, application scenarios, and research progress of mainstream and potential susceptible animal models, including non-human primates, mice, pigs, tree shrews, and bats. It covers model systems with different immune statuses, genetically modified types, and species-specific traits. Among these, mouse models are the most widely used due to their high flexibility and controllable cost, while non-human primate models have become key carriers for preclinical vaccine evaluation by virtue of their high homology with human immune responses. However, current models generally suffer from core bottlenecks, such as incomplete simulation of core severe phenotypes, insufficient restoration of immune mechanisms, unclear viral receptor mechanisms, and lack of unified standards for inoculation doses and evaluation indicators. These limitations make it difficult to accurately replicate key severe disease mechanisms, including antibody-dependent enhancement (ADE) and cytokine storms. Future model development should focus on core requirements—including intact immunity, broad-spectrum susceptibility, and accurate simulation of clinical pathological features—prioritize solving the simulation challenges of ADE and cytokine storms, and establish standardized experimental systems and evaluation criteria. By comprehensively summarizing the advantages and limitations of the existing models, this review provides a systematic reference for the optimization and upgrading of dengue virus-susceptible animal models. It also holds important guiding significance for promoting the in-depth development of basic dengue research, innovation in prevention and control technologies, and clinical transformation and application. Full article
Show Figures

Figure 1

20 pages, 2580 KB  
Article
Immune Memory-like Responses of Akoya Pearl Oyster to Pinctada Birnavirus
by Tomomasa Matsuyama, Kousuke Umeda and Takashi Atsumi
Pathogens 2026, 15(4), 380; https://doi.org/10.3390/pathogens15040380 - 1 Apr 2026
Viewed by 445
Abstract
Among accumulating knowledge of invertebrate immune-like responses, antiviral mechanisms in mollusks remain poorly understood. Pinctada birnavirus (PiBV) infects the mantle epithelial cells of the pearl oyster (Pinctada fucata), causing mass mortality of juveniles during high-temperature periods. Here, we examined immune memory-like [...] Read more.
Among accumulating knowledge of invertebrate immune-like responses, antiviral mechanisms in mollusks remain poorly understood. Pinctada birnavirus (PiBV) infects the mantle epithelial cells of the pearl oyster (Pinctada fucata), causing mass mortality of juveniles during high-temperature periods. Here, we examined immune memory-like responses of pearl oysters to PiBV reinfection. At a high temperature (24–25 °C), experimental infection caused ~80% mortality, whereas mortality remained <30% and did not differ significantly from uninfected controls at a lower temperature (18–20 °C). Juveniles that survived infection at the low temperature and were subsequently reinfected at the higher temperature showed 10% mortality, which was significantly lower than the ~50% observed in naïve oysters infected under the same conditions. At 28 days post-infection at the lower temperature, oysters exhibited gene expression profiles distinct from those of naïve oysters. Ex vivo infection demonstrated significantly reduced PiBV replication in mantle explants from previously infected oysters compared with those from naïve individuals. These findings indicate that P. fucata acquires resistance to PiBV reinfection, and at least part of this resistance is mediated within the mantle, independently of other tissues. Culture supernatants of mantle explants from previously infected oysters were positive for viral genomic RNA even without viral inoculation, suggesting that persistent infection may contribute to the maintenance of immune-like responses. Full article
(This article belongs to the Section Viral Pathogens)
Show Figures

Figure 1

19 pages, 4185 KB  
Article
The Effect of Indigenous Cultivable Microorganism Inoculation on Soil Microecology During Restoration of Obstructed Soils
by Qunfei Ma, Bing Zhang and Juntao Cui
Microorganisms 2026, 14(4), 784; https://doi.org/10.3390/microorganisms14040784 - 30 Mar 2026
Viewed by 425
Abstract
Soil fumigation effectively mitigates replanting obstacles induced by intensive cultivation, yet its non-targeted biocidal effects can suppress beneficial microbial activity, potentially compromising agricultural sustainability. Microbial inoculation, as a strategy to supplement beneficial microorganisms, is often employed to restore soil microbial communities. However, in [...] Read more.
Soil fumigation effectively mitigates replanting obstacles induced by intensive cultivation, yet its non-targeted biocidal effects can suppress beneficial microbial activity, potentially compromising agricultural sustainability. Microbial inoculation, as a strategy to supplement beneficial microorganisms, is often employed to restore soil microbial communities. However, in practice, commonly used exogenous microbial consortia exhibit poor adaptability in non-native environments, frequently resulting in limited efficacy. To address this limitation, we propose an ecological intervention based on the reintroduction of indigenous cultivable microorganisms: cultivable microbial communities were isolated from healthy adjacent soils and inoculated into fumigated soils affected by replanting obstacles. The experimental soil consisted of black soil under continuous cropping, collected from Northeast China. The three treatments were continuous cropping soil (control), fumigated continuous cropping soil and fumigated continuous cropping soil after inoculation of indigenous cultivable microorganisms. Using high-throughput sequencing and agronomic–chemical analyses, combined with cross-domain networks and procrustes analysis, we systematically assessed the ecological effects of this approach on microbial restoration and the alleviation of replanting obstacles. The results showed that indigenous cultivable microorganism inoculation significantly increased the richness of bacterial and fungal communities in fumigated soils within 21 days, extending microbial richness and diversity. Furthermore, inoculation accelerated the reconstruction of dominant microbial community structures, with the relative abundance of dominant species reaching up to 80%. Positive synergistic interactions between bacteria and fungi increased by approximately 10%, enhancing network stability. Key bacterial taxa, such as Paenibacillus and Mycobacterium, were significantly correlated with available potassium and phosphorus content, while Micromonospora, Massilia, and Flavisolibacter influenced plant fresh weight, total nitrogen, and potassium accumulation. Key fungal taxa, such as Cryptococcus and Phialemonium, were significantly associated with soil organic matter stability, maize photosynthetic efficiency, plant dry weight, and total phosphorus content. This study confirms the ecological adaptability and functionality of indigenous cultivable microorganisms in soil ecosystem restoration, offering a low-risk, highly effective localized intervention strategy for sustainable agriculture. Full article
(This article belongs to the Special Issue Microorganisms in Agriculture, 2nd Edition)
Show Figures

Graphical abstract

16 pages, 3653 KB  
Article
Functional Ectomycorrhizae Between Tuber umbilicatum and Quercus glauca: Implications for Seedling Performance and Rhizosphere Phosphorus Acquisition
by Shaolin Fan, Dong Liu, Jing Yuan, Shaojie Dong, Wei Liu, Yanliang Wang, Xinhua He, Ruilong Liu, Fuqiang Yu and Shanping Wan
Forests 2026, 17(4), 434; https://doi.org/10.3390/f17040434 - 30 Mar 2026
Viewed by 329
Abstract
Tuber encompasses ectomycorrhizal fungi (EMF) of significant ecological and economic importance. This study reports the first controlled synthesis of ectomycorrhizae between the near-threatened species T. umbilicatum and Quercus glauca, confirmed through molecular analysis and detailed morphological characterization. Colonization dynamics, assessed over eight [...] Read more.
Tuber encompasses ectomycorrhizal fungi (EMF) of significant ecological and economic importance. This study reports the first controlled synthesis of ectomycorrhizae between the near-threatened species T. umbilicatum and Quercus glauca, confirmed through molecular analysis and detailed morphological characterization. Colonization dynamics, assessed over eight months, revealed substantial physiological benefits for the host. At six months post-inoculation, seedling height and above-ground biomass increased by 20.8% and 27.1%, respectively; these increments persisted to eight months, with above-ground biomass remaining 16.9% higher and below-ground biomass elevated by 25.4%. Concomitantly, the photosynthetic performance was markedly improved: a net photosynthetic rate (A) rose by 136.8% and stomatal conductance (gs) by 36.5% at six months. Available phosphorus (AP) in the mycorrhizosphere was concurrently enhanced, exhibiting a 10.9% increment at eight months. These results underscore the agronomic and conservation utility of T. umbilicatum inoculation for Q. glauca and provide a critically experimental foundation for the ex situ preservation and sustainable truffle cultivation of this threatened fungal taxon. Full article
(This article belongs to the Section Forest Soil)
Show Figures

Figure 1

16 pages, 907 KB  
Article
Quantitative Evaluation of the Inhibitory Effects of Commercially Available Probiotics on Dual-Species Biofilms in Root Canals: A qPCR-Based Short-Term In Vitro Study
by Beyza Yalçıntaş, Yakup Üstün, Nurbanu Yaşar, Seda Tezcan Ülger, Gönül Aslan and Bertan Kesim
Antibiotics 2026, 15(4), 354; https://doi.org/10.3390/antibiotics15040354 - 30 Mar 2026
Viewed by 493
Abstract
Objectives: To quantitatively evaluate the inhibitory effects of commercially available probiotic formulations (Probien, Enterogermina, Reflor) applied as intracanal medicaments against mature dual-species biofilms of Enterococcus faecalis (E. faecalis) and Candida albicans (C. albicans) using a qPCR-based in vitro root [...] Read more.
Objectives: To quantitatively evaluate the inhibitory effects of commercially available probiotic formulations (Probien, Enterogermina, Reflor) applied as intracanal medicaments against mature dual-species biofilms of Enterococcus faecalis (E. faecalis) and Candida albicans (C. albicans) using a qPCR-based in vitro root canal model, with calcium hydroxide included as the reference intracanal medicament for comparison. Materials and Methods: Root canal specimens containing mature dual-species biofilms were medicated with probiotic–poloxamer gel formulations (Probien, Enterogermina, or Reflor) or calcium hydroxide (reference inhibitory control); infected but untreated canals served as the non-inhibitory control, and sterile non-inoculated specimens were included to confirm procedural sterility. After a 7-day intracanal application period, microbial loads were quantified at baseline and post-treatment by qPCR, and results were expressed as delta cycle threshold (ΔCt), colony-forming equivalents (CFE/mL), and percentage reduction values. Results: A total of 78 specimens (n = 13 per group) were analyzed. No significant intergroup differences were found in E. faecalis ΔCt or reduction percentages (p > 0.05), indicating its persistence despite intracanal medication. For C. albicans, differences among groups were significant (p < 0.001). Calcium hydroxide showed the strongest antifungal effect, producing marked ΔCt and CFE reductions versus probiotic and positive control groups, whereas probiotic formulations displayed only limited antifungal activity and no measurable inhibition against E. faecalis. Conclusions: Under the conditions of this in vitro model, the tested commercially available probiotic formulations—originally developed for gastrointestinal use—did not demonstrate significant antimicrobial effects against mature E. faecalisC. albicans biofilms. These findings should be interpreted in the context of the absence of probiotic formulations specifically designed for intracanal use and the distinct ecological characteristics of the root canal system, which represents a closed, low-oxygen environment dominated by hard-tissue surfaces. Rather than excluding the potential of probiotics in endodontics, the present results highlight the need for root canal–adapted probiotic strains and delivery strategies tailored to intracanal conditions. Clinical Relevance: This in vitro study provides experimental insight into the limitations of directly applying commercially available gastrointestinal probiotic formulations within the root canal system. The findings highlight the importance of developing root canal–specific probiotic strains and delivery strategies tailored to the unique ecological conditions of the intracanal environment, thereby informing future translational and experimental research in biological endodontics. Full article
Show Figures

Figure 1

17 pages, 4445 KB  
Article
Drought Stress Response of Norway Spruce Seedlings Treated with Drought-Mitigative Additives
by Ivan Repáč, Martin Belko, Stanislav Kucbel, Denisa Sedmáková, Zuzana Parobeková, Ján Pittner and Jaroslav Vencurik
Forests 2026, 17(4), 420; https://doi.org/10.3390/f17040420 - 27 Mar 2026
Viewed by 367
Abstract
Forest plantations, including those of Norway spruce, are increasingly threatened by drought in Central Europe. One of the measures understating this threat might be the use of drought-mitigative additives at planting. The effects of induced water limitation and the application of hydrogel Agrisorb [...] Read more.
Forest plantations, including those of Norway spruce, are increasingly threatened by drought in Central Europe. One of the measures understating this threat might be the use of drought-mitigative additives at planting. The effects of induced water limitation and the application of hydrogel Agrisorb and commercial ectomycorrhizal fungi (EMF) inoculum Ectovit on the development of 2 + 1 spruce seedlings were estimated in this study. The root systems of 2 + 0 seedlings were treated with the additives, along with their spring transplantation into peat-filled pots. The seedlings were then exposed throughout the entire growing season either to full watering (FW)—volumetric soil water content 70%, reduced watering (RW)—water content 40%, periodic watering (PW)—substrate rehydrated to 70% after drying to the wilting point (21%), or remained non-watered (NW). Survival, growth and chlorophyll fluorescence of the seedlings decreased proportionally to the increased drought intensity, while the highest root-to-shoot ratio and EMF colonization of roots occurred under PW and RW, respectively. NW seedlings died after 9 weeks of desiccation, whereas the EMF inoculum prolonged the survival time by one week. Ectomycorrhizas were formed predominantly with native EMF in all the treatments; nevertheless, compared with the uninoculated control, the formation of a treatment-specific EMF root morphotype and increased EMF colonization under PW and RW were observed on the inoculated seedlings. Both the EMF inoculum and the hydrogel increased survival under PW by approximately 15% but did not significantly affect growth, regardless of the watering regime. These results are limited to the experimental conditions and suggest a more dominant effects of the watering regimes compared with the additives tested. Full article
(This article belongs to the Special Issue The Influence of Environment Changes on Tree Seedlings)
Show Figures

Figure 1

11 pages, 933 KB  
Article
Evaluation of Edible Pleurotus ostreatus for Cellulase Production by Submerged Fermentation Using Bench-Scale Bioreactor
by Olimpio C. Escosteguy, Dinalva Schein, Gustavo N. Pezzini and Marcio A. Mazutti
Processes 2026, 14(6), 990; https://doi.org/10.3390/pr14060990 - 20 Mar 2026
Viewed by 299
Abstract
Industries seek microorganisms capable of producing all types of cellulases, using low-cost substrate and under adequate process conditions, especially through submerged fermentation. Pleurotus ostreatus “L123” was evaluated as a potential microorganism for cellulase production, assaying total cellulolytic activity (FPase). Fermentation was carried out [...] Read more.
Industries seek microorganisms capable of producing all types of cellulases, using low-cost substrate and under adequate process conditions, especially through submerged fermentation. Pleurotus ostreatus “L123” was evaluated as a potential microorganism for cellulase production, assaying total cellulolytic activity (FPase). Fermentation was carried out using a 14L bioreactor, inoculated with 10% (v/v) grown on potato dextrose broth for 4 days. Fermentation media was composed of defatted rice bran (50 g/L), glucose (5 g/L), corn steep liquor (5 g/L) and chloramphenicol (0.25 g/L). Aeration and agitation effects on enzymatic activity were evaluated using a central composite design (CCD) for FPase after 5 days of fermentation. The obtained model was statistically significant, with the interaction of both parameters also being significant and presenting a negative effect. Membrane ultrafiltration (150 kDa MWCO) led to an approximately 3-fold increase in specific activity of permeate (0.6441 vs. 0.2043 FPU/mg of protein), with retention of around 80% of protein content while maintaining enzymatic activity of permeate similar to unfiltered broth (0.0932 vs. 0.0923 FPU/mL). The maximum value obtained experimentally was 0.1444 FPU/mL, which is significantly lower in comparison to commercially used strains and consequently unfeasible for industrial use at current state. However, after further improvements and optimization, Pleurotus ostreatus “L123” can become an alternative for in situ cellulase production through submerged fermentation. Full article
Show Figures

Figure 1

15 pages, 2971 KB  
Article
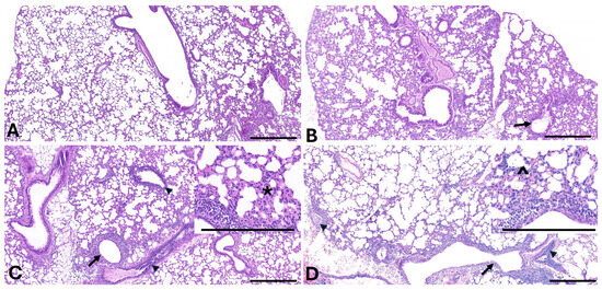
Prior Infection with Torque Teno Virus Mitigates Influenza Pathology in Mice
by Md-Tariqul Islam, Brett Webb and Sheela Ramamoorthy
Viruses 2026, 18(3), 357; https://doi.org/10.3390/v18030357 - 15 Mar 2026
Viewed by 960
Abstract
Respiratory infections caused by influenza viruses are frequently associated with coinfection by other infectious agents. Torque teno viruses (TTVs) are small DNA viruses that can function as opportunistic pathogens and are epidemiologically linked to influenza viruses as well as a broad spectrum of [...] Read more.
Respiratory infections caused by influenza viruses are frequently associated with coinfection by other infectious agents. Torque teno viruses (TTVs) are small DNA viruses that can function as opportunistic pathogens and are epidemiologically linked to influenza viruses as well as a broad spectrum of infectious and immune-mediated diseases. Among TTVs, swine torque teno viruses (TTSuVs) are unique in that they have been shown to act as primary pathogens. With the long-term objective of developing experimental tools to better understand inter-viral interactions, this study aimed to optimize a murine model of TTV and influenza virus coinfection. Experimental mice were inoculated with TTSuV1 on day 1 post infection (DPI 1), while phosphate-buffered saline (PBS)-treated mice served as negative controls. A subset of TTSuV1-infected mice was subsequently coinfected with the influenza A virus H1N1 (IAV) at either 12 or 27 days following TTSuV1 infection. An additional group of mice was maintained as an IAV only control. Mice infected with IAV were euthanized 72–84 h post-IAV infection, corresponding to DPI 15 and 30, respectively. Unexpectedly, gross and histopathological examination of lung tissues revealed that prior TTSuV1 infection significantly attenuated IAV-induced pathology in coinfected mice. Coinfected animals also exhibited a tendency toward reduced IAV replication in the lungs as measured by qPCR, TCID50 and HAs compared to mice infected with IAV alone, accompanied by lower levels of virus-specific antibodies to IAV at DPI 30 and TTSuV1 at DPI 15 respectively. At DPI 30, TTSuV1 genomic DNA levels in lung tissue and whole blood were higher in coinfected mice, suggestive of prolonged viremia in the coinfected group. Collectively, these findings establish baseline parameters for a murine TTV and influenza coinfection model and provide a foundation for future studies aimed at elucidating the molecular and immunological mechanisms underlying viral coinfections. Full article
(This article belongs to the Special Issue Advancing Research of Anelloviruses, Second Edition)
Show Figures

Figure 1

Back to TopTop