Sign in to use this feature.

Years

Between: -

Subjects

remove_circle_outline
remove_circle_outline
remove_circle_outline
remove_circle_outline
remove_circle_outline
remove_circle_outline
remove_circle_outline
remove_circle_outline
remove_circle_outline

Journals

remove_circle_outline
remove_circle_outline
remove_circle_outline
remove_circle_outline
remove_circle_outline
remove_circle_outline
remove_circle_outline
remove_circle_outline
remove_circle_outline
remove_circle_outline
remove_circle_outline
remove_circle_outline
remove_circle_outline
remove_circle_outline
remove_circle_outline
remove_circle_outline
remove_circle_outline
remove_circle_outline
remove_circle_outline
remove_circle_outline
remove_circle_outline
remove_circle_outline

Article Types

Countries / Regions

remove_circle_outline
remove_circle_outline
remove_circle_outline
remove_circle_outline
remove_circle_outline
remove_circle_outline

Search Results (1,190)

Search Parameters:
Keywords = diminished capacity

Order results
Result details
Results per page
Select all
Export citation of selected articles as:
19 pages, 1860 KB  
Article
Effects of Supplementation with Dimethylglycine Sodium Salt on Immunity, Intestinal Tissue Morphology, and Antioxidant Function in IUGR Lambs
by Yuwei Wang, Mengfei Li, Lin Ma, Yurong Lin, Cheng Zhang, Zhiqiang Cheng, Yong Chen and Changjiang Zang
Animals 2026, 16(8), 1258; https://doi.org/10.3390/ani16081258 - 20 Apr 2026
Abstract
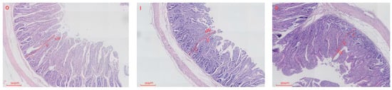
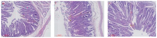
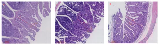
This study investigates the regulatory effects of dietary supplementation with DMG-Na on growth performance, immunity, and intestinal development in IUGR lambs. A total of 45 lambs were used: thirty IUGR (3.10 ± 0.16 kg) lambs were randomly assigned to IUGR or IUGR + [...] Read more.
This study investigates the regulatory effects of dietary supplementation with DMG-Na on growth performance, immunity, and intestinal development in IUGR lambs. A total of 45 lambs were used: thirty IUGR (3.10 ± 0.16 kg) lambs were randomly assigned to IUGR or IUGR + DMG-Na (0.1% in milk replacer from days 7–56) groups, with fifteen normal birth weight lambs as CON (4.32 ± 0.17 kg). At 56 days of age, eight lambs per group were slaughtered for sample collection. Compared to CON, IUGR lambs showed a significantly lower final body weight and average daily gain (ADG) (p < 0.01); IUGR also severely compromised intestinal structure, markedly decreasing villus height and villus height-to-crypt depth ratio across all small intestinal segments (p < 0.01); immune function was impaired, with highly significantly lower jejunal secretory IgA (sIgA) (p < 0.01); and antioxidant capacity was diminished, evidenced by reduced jejunal GSH, catalase (CAT) and glutathione reductase (GR) activities (p < 0.05) and increased jejunal MDA content (p < 0.01). Compared to IUGR, IUGR + DMG-Na group had highly significant increased final body weight and significant increased ADG (p < 0.01); it enhanced intestinal morphology, notably increasing villus height and villus height-to-crypt depth ratio in the duodenum and jejunum (p < 0.01); immune markers improved, with elevated jejunal sIgA (p < 0.05); and antioxidant status was restored, demonstrated by increased jejunal GSH and CAT activities (p < 0.05) and decreased jejunal MDA content (p < 0.01). In conclusion, DMG-Na effectively counteracted IUGR-induced deficits by promoting intestinal development, immunity, and antioxidant capacity, ultimately improving growth performance. Full article
Show Figures

Figure 1

30 pages, 1288 KB  
Article
Efficient and Dynamically Consistent Joint Torque Estimation for Wearable Neurotechnology via Knowledge Distillation
by Shu Xu, Zheng Chang, Zenghui Ding, Xianjun Yang, Tao Wang and Dezhang Xu
Bioengineering 2026, 13(4), 474; https://doi.org/10.3390/bioengineering13040474 - 17 Apr 2026
Viewed by 84
Abstract
Wearable neurotechnology depends critically on continuous movement monitoring to characterize motor impairment and recovery in real-world settings. While joint torque serves as a clinically essential kinetic marker, estimating it directly on-device from inertial signals remains challenging due to stringent computational, memory, and energy [...] Read more.
Wearable neurotechnology depends critically on continuous movement monitoring to characterize motor impairment and recovery in real-world settings. While joint torque serves as a clinically essential kinetic marker, estimating it directly on-device from inertial signals remains challenging due to stringent computational, memory, and energy constraints. Lightweight pipelines typically omit computationally expensive time–frequency processing; however, this omission degrades the observability of dynamics encoded in 1D IMU signals and diminishes the effectiveness of standard knowledge distillation strategies. To enable reliable on-device torque inference, we propose a Physically Guided Dual-Consistency Knowledge Distillation (PDC-KD) framework that explicitly integrates biomechanical priors into the learning process through two collaborative pathways: parameter-manifold alignment and physics-guided compensation. The student network receives guidance through Fisher-information-weighted parameter transfer, ensuring robust knowledge distillation despite significant model capacity mismatch. Furthermore, the framework incorporates a physics-guided regularization term that enforces dynamically consistent torque trajectories via a numerically stable Cholesky-parameterized constraint. Experiments demonstrate that the student model preserves teacher-level predictive accuracy while operating within the stringent resource constraints of edge devices (achieving a 98% parameter reduction, ∼2× faster inference, and ∼1 ms latency). Moreover, the proposed method yields torque estimates with enhanced dynamical consistency, providing an efficient biosignal-processing solution for wearable neurotechnology platforms demanding real-time movement analytics. Full article
(This article belongs to the Special Issue Wearable Devices for Neurotechnology)
17 pages, 1943 KB  
Article
Barley Stem Bending Resistance Declines During Maturation, Then Peaks in Ripe, Dry Plants
by Alberto Gianinetti and Marina Baronchelli
Plants 2026, 15(8), 1234; https://doi.org/10.3390/plants15081234 - 17 Apr 2026
Viewed by 175
Abstract
Barley lodging—specifically stem lodging—occurs when the bending moments from wind and ear weight exceed the culm’s load-bearing capacity. Lodging risk decreases as plant height decreases and culm strength increases. Geometry (stem diameter, culm wall thickness) and material strength determine culm bending strength. By [...] Read more.
Barley lodging—specifically stem lodging—occurs when the bending moments from wind and ear weight exceed the culm’s load-bearing capacity. Lodging risk decreases as plant height decreases and culm strength increases. Geometry (stem diameter, culm wall thickness) and material strength determine culm bending strength. By studying changes in stem mechanical properties (at three positions along the culm) in two genotypes (grown in a greenhouse), we found that culm strength (assessed with a three-point bending test) slightly diminished through ripening owing to a decline in both area moment of inertia (i.e., strength due to geometry alone) and apparent material strength, presumably due to turgor loss. When the stem segments collected from fully ripe plants were dried to a moisture content typical of harvest maturity, however, strength rose to a maximum. Thus, minimum stem bending resistance occurs during a window in which plants are fully ripe but have not yet reached harvest-dry moisture content. Hence, in the absence of rain—which would severely reduce the mechanical strength of dry, ripe plants—the physiological risk of stem lodging is highest when the crop is fully ripe but not yet harvest-dry. However, the actual lodging risk increases as harvest approaches, because summer storms are frequent at this time of year and dry straw loses rigidity when wetted. Full article
(This article belongs to the Special Issue Cereal Crop Breeding, 2nd Edition)
Show Figures

Figure 1

23 pages, 2170 KB  
Article
Artificially Reared Salmo trutta Fry in a Natural Environment: Growth and Fitness Compared to Wild Specimens
by Vytautas Rakauskas, Simonas Račkauskas, Danguolė Montvydienė, Živilė Jurgelėnė, Eglė Šidagytė-Copilas, Vesta Skrodenytė-Arbačiauskienė, Saulius Stakėnas and Tomas Virbickas
Biology 2026, 15(8), 630; https://doi.org/10.3390/biology15080630 - 16 Apr 2026
Viewed by 262
Abstract
The decline of salmonid stocks in the Baltic Sea region is a matter of serious concern, prompting many countries to implement widespread stocking of artificially reared individuals to restore or enhance populations. While such interventions are intended to be beneficial, their efficacy remains [...] Read more.
The decline of salmonid stocks in the Baltic Sea region is a matter of serious concern, prompting many countries to implement widespread stocking of artificially reared individuals to restore or enhance populations. While such interventions are intended to be beneficial, their efficacy remains a subject of ongoing debate. Artificially reared fish often face challenges in adapting to natural environments and may struggle to compete with wild counterparts, potentially leading to reduced growth rates and diminished overall fitness. This study evaluated the growth and physiological condition of naturally hatched versus artificially reared Salmo trutta juveniles during their first two years of life, prior to smoltification and seaward migration. The results demonstrated that stocked juveniles exhibited significantly slower growth, a higher incidence of fin damage, and a greater abundance of cultivable gut bacteria compared to wild individuals. Conversely, no significant differences were observed in blood parameters. Such growth retardation suggests potential difficulties in adaptation and recruitment. Consequently, while the release of artificially reared S. trutta fry facilitates the restoration of extinct populations, its capacity to enhance existing stocks within Baltic Sea riverine ecosystems may be limited. Full article
Show Figures

Figure 1

25 pages, 1443 KB  
Article
Spatial Differentiation of Thermal–Ecological Environmental Responses in High-Density Central Subway-Hub Blocks and Their Associations with Built-Environment Characteristics
by Guohua Wang, Xu Cui, Yao Xu and Wen Song
Land 2026, 15(4), 658; https://doi.org/10.3390/land15040658 - 16 Apr 2026
Viewed by 130
Abstract
Subway-hub blocks are critical areas where the pressures of metropolitan populations and environmental quality are closely interconnected. This study constructs a “pressure–context–carrier–response” (PCRC) framework (F1–F7) to systematically reveal the correlations between built-environment characteristics and environmental performance. The results demonstrate that resource allocation (F7) [...] Read more.
Subway-hub blocks are critical areas where the pressures of metropolitan populations and environmental quality are closely interconnected. This study constructs a “pressure–context–carrier–response” (PCRC) framework (F1–F7) to systematically reveal the correlations between built-environment characteristics and environmental performance. The results demonstrate that resource allocation (F7) and comprehensive response (F5) display notable “asymmetric differentiation”. The socio-economic environment (F2, F3) considerably influences the concentration of green-space resource allocations (F7) (p < 0.01), with affluent blocks demonstrating a clear advantage in resource distribution. The thermo-ecological composite response (F5), which includes NDVI and LST, demonstrates “statistical convergence” (p = 0.894) across various block types, indicating that resource inputs cannot be linearly transformed into environmental efficiency. This disconnection is ascribed to two physical limitations: firstly, the stochastic nature of spatial distribution (Global Moran’s I ≈ 0) restricts the scale effects of green spaces; secondly, the nonlinear limitations of the physical medium indicate that under conditions of high pressure load (F1) and elevated spatial capacity (F6), the regulatory effectiveness of greening demonstrates a significant diminishing marginal return effect. Therefore, intervention planning must shift from controlling macro-level indicators to optimising micro-level accuracy to address ecological performance constraints in densely populated metropolitan areas. Full article
18 pages, 2577 KB  
Article
Preparation of Composite Resin Coatings and Its Performance Improvement on Ti-Based Dental Implants
by Siqi Zhu, Chao Yao, Xiaopan Li, Yifan Yuan, Mengmeng Chen, Yiyun Kong, Yujie Fan, Jing Xia and Chun Yao
Coatings 2026, 16(4), 475; https://doi.org/10.3390/coatings16040475 - 15 Apr 2026
Viewed by 224
Abstract
Titanium alloys are widely used in dental implants due to their excellent mechanical properties. However, their inertness and poor antibacterial activity cause interfacial loosening and failure, shortening service life. This study integrates surface microtexturing with coating technologies, employing modified light-curing composite resins to [...] Read more.
Titanium alloys are widely used in dental implants due to their excellent mechanical properties. However, their inertness and poor antibacterial activity cause interfacial loosening and failure, shortening service life. This study integrates surface microtexturing with coating technologies, employing modified light-curing composite resins to boost the bioactivity of medical titanium alloys via surface modification. The results reveal that surface microtexturing enlarges the coating-substrate contact area by 42.5% compared with rough surfaces, concurrently diminishing stress per unit area, and the coating on microtextured Ti-6Al-4V (TC4) surfaces achieves adhesion with a damaged area of only 0.5%, thereby notably enhancing adhesion between the coating and TC4 matrix. In comparison, with rough surfaces (surface roughness of 0.658 μm), smooth TC4 planes (surface roughness of 0.014 μm) show a significantly reduced bacterial colony count (from 130 ± 6 to 42 ± 3) with an antibacterial rate of 67.7%, as the water contact angle on TC4 surfaces increases with decreasing roughness (reaching 80.95° on the smoothest surface), making bacterial adhesion more challenging and reducing colonization. The composite resin coating based on a mixture of titanium-doped hydroxyapatite and titanium dioxide (Ti-HA/TiO2) further improves the antibacterial rate to 74.6% through a photocatalytic synergistic effect and endows TC4 with excellent remineralization capacity—mineralization deposits appear on the coated surface after 3 days of immersion in artificial saliva, while no obvious deposits are found on uncoated rough and smooth surfaces even after 7 days—thereby enhancing its bioactivity effectively. This study on the modification of Ti-based implant surfaces will enrich the field by introducing new technologies and methodologies. These advancements provide a theoretical basis for improvement of the remineralization capacity and antibacterial properties of Ti-based dental implants, thereby promoting broader biomedical applications. Full article
Show Figures

Figure 1

32 pages, 6349 KB  
Article
HVC-NSGA-III with Thermal–Electrochemical Degradation Coupling for Four-Objective Day-Ahead BESS Dispatch and SOH-Adaptive Knee-Point Selection
by Jiachen Zhao, Hongjie Li, Linxuan Li and Dechun Yuan
Batteries 2026, 12(4), 140; https://doi.org/10.3390/batteries12040140 - 15 Apr 2026
Viewed by 157
Abstract
Isothermal dispatch models for battery energy storage systems (BESSs) systematically underestimate degradation costs because dispatch-induced Joule heating elevates cell temperature and accelerates ageing through Arrhenius-type kinetics. This paper proposes three integrated contributions. First, a thermal–electrochemical coupling loop embeds a first-order lumped thermal model [...] Read more.
Isothermal dispatch models for battery energy storage systems (BESSs) systematically underestimate degradation costs because dispatch-induced Joule heating elevates cell temperature and accelerates ageing through Arrhenius-type kinetics. This paper proposes three integrated contributions. First, a thermal–electrochemical coupling loop embeds a first-order lumped thermal model within the dispatch simulation: cell temperature is updated from I2R heat generation and Newton cooling at each time step, and the resulting temperature trajectory feeds into the Arrhenius stress factors of a semi-empirical degradation model combining Δt-based calendar ageing with Rainflow-based cycle ageing, enabling the optimiser to discover thermally self-regulating strategies. This coupling is critical because, as the results demonstrate, ignoring it leads to systematic underestimation of degradation costs by up to 13%. Second, the resulting four-objective problem (negative profit, thermally coupled degradation cost, SOC deviation, and CVaR imbalance penalty) is solved by a hypervolume-contribution-enhanced NSGA-III (HVC-NSGA-III), which augments reference-point selection with an archive pruned by removing the solution of the smallest individual hypervolume contribution, concentrating Pareto resolution in the knee region. Third, an SOH-adaptive knee-point selection assigns the degradation weight as a monotone function of ageing degree (1SOH)/(1SOHEOL), automatically tightening dispatch conservatism as remaining useful life diminishes. Simulations on ENTSO-E data over 96 h show the following: (i) thermal coupling shifts the Pareto front by 8–15% in the degradation dimension with temperature excursions up to 7 K; (ii) HVC-NSGA-III improves hypervolume by 8.7% over standard NSGA-III; (iii) SOH-adaptive selection reduces capacity loss by 27.4% at only 9.1% revenue cost; and (iv) ablation confirms Rainflow (24.8%) and thermal coupling (13.1%) as the two largest contributors. Full article
(This article belongs to the Section Battery Modelling, Simulation, Management and Application)
27 pages, 1420 KB  
Article
Synergistic Governance of Pollution Reduction and Carbon Mitigation Through Air Quality Ecological Compensation: Evidence from China
by Zhuo Chen and Qingxuan Bu
Sustainability 2026, 18(8), 3909; https://doi.org/10.3390/su18083909 - 15 Apr 2026
Viewed by 217
Abstract
Atmospheric pollutants and CO2 share common origins in fossil fuel combustion, raising the question of whether fiscal incentives targeting air quality alone can indirectly reduce carbon emissions. This study examines this question by evaluating China’s air quality ecological compensation policy, a provincial-level [...] Read more.
Atmospheric pollutants and CO2 share common origins in fossil fuel combustion, raising the question of whether fiscal incentives targeting air quality alone can indirectly reduce carbon emissions. This study examines this question by evaluating China’s air quality ecological compensation policy, a provincial-level horizontal fiscal transfer mechanism under which cities are rewarded or penalized according to changes in ambient air quality indicators, without incorporating any explicit carbon-related assessment criteria. Using panel data from 268 prefecture-level cities over 2007–2023 and a multi-period difference-in-differences design, we find that the policy significantly reduces the composite pollution carbon index (β = −0.213, p < 0.01), with the effect confirmed by an alternative weighted-average specification (β = −0.153, p < 0.01) and robust to propensity score matching, one-period lagged regression, exclusion of provincial-level municipalities, and exclusion of the COVID-19 period. A two-step mechanism analysis, adopted to avoid post-treatment bias from “bad controls,” reveals that the policy promotes industrial structure upgrading (β = 0.253, p < 0.01), enhances green technological innovation capacity (β = 0.047, p < 0.10), and reduces energy consumption intensity (β = −0.012, p < 0.01). Heterogeneity analysis based on quartile subsamples shows that the synergistic benefits concentrate in cities with stronger fiscal capacity (β = −0.349, p < 0.01 versus insignificant for low-support cities), higher economic development, and greater urbanization (β = −1.558, p < 0.01 for highly urbanized cities), while the policy effect is statistically insignificant in the least-advantaged subgroups across these three dimensions. In contrast, the green coverage dimension reveals an opposite pattern: the effect is strongest in cities with lower green coverage (β = −0.378, p < 0.05) and insignificant in high-coverage cities, indicating diminishing marginal returns where environmental baselines are already favorable. These findings highlight the need for differentiated compensation standards, including tiered compensation coefficients and targeted fiscal support for resource-constrained regions, to ensure equitable governance outcomes. Full article
25 pages, 545 KB  
Article
LearningRx Cognitive Training for Workplace Self-Efficacy in Adults with Post-COVID-19 Brain Fog: A Mixed-Methods Pilot Study
by Amy Lawson Moore, Edward J. Jedlicka, James C. Patterson and Christina R. Ledbetter
Brain Sci. 2026, 16(4), 410; https://doi.org/10.3390/brainsci16040410 - 11 Apr 2026
Viewed by 321
Abstract
Background/Objectives: Cognitive dysfunction, or “brain fog”, following COVID-19 viral infection is strongly associated with diminished work capacity which disproportionality affects working-age adults. This study examined an existing method of cognitive rehabilitation training applied to adults struggling with workplace functioning and self-efficacy due to [...] Read more.
Background/Objectives: Cognitive dysfunction, or “brain fog”, following COVID-19 viral infection is strongly associated with diminished work capacity which disproportionality affects working-age adults. This study examined an existing method of cognitive rehabilitation training applied to adults struggling with workplace functioning and self-efficacy due to post-COVID-19 brain fog. Methods: Nine adults with post-COVID-19 cognitive dysfunction participated in this single arm pilot trial of a severity-adaptive cognitive training program. The participants completed 45–90 h of clinician-delivered cognitive training exercises delivered remotely in 60- to 90-min sessions, two or three times per week. The primary outcome measure was overall workplace self-efficacy with subskills of perceived workplace functioning, perception of cognitive functioning, and perception of home functioning assessed through pre and post surveys and qualitative interviews. The secondary outcome was cognitive function operationalized by an IQ score administered before and after the intervention. Results: The participants achieved significant improvements in workplace self-efficacy and cognition following cognitive training. The main qualitative themes of self-reported improvements were in executive function, health and energy, daily living activities, productivity, and socioemotional functioning. A cross-case synthesis of pre-intervention struggles, and post-intervention improvements revealed subthemes at work or school in cognitive processing and comprehension, memory, executive function, fatigue, emotional distress, confidence in work or academics, and work/academic performance impairment. As a group, the mean gain in IQ score was 10.5 points. Conclusions: This study adds to the growing body of literature examining the possibility of using cognitive rehabilitation for post-COVID-19 cognitive dysfunction impacting workplace self-efficacy and work functioning. Full article
(This article belongs to the Special Issue Cognitive Training in Health and Disease)
Show Figures

Figure 1

17 pages, 254 KB  
Article
Leadership Matters: Fostering Teacher Resilience in Arab Schools Amid Crisis and Systemic Uncertainty
by Rafat Ghanamah
Educ. Sci. 2026, 16(4), 610; https://doi.org/10.3390/educsci16040610 - 11 Apr 2026
Viewed by 223
Abstract
This study explores how school leadership styles are perceived to relate to teacher resilience during crises in Arab schools in Israel. Drawing on twenty semi-structured interviews with principals and vice-principals, findings show that transformational and participative leadership, characterized by emotional support, accessibility, active [...] Read more.
This study explores how school leadership styles are perceived to relate to teacher resilience during crises in Arab schools in Israel. Drawing on twenty semi-structured interviews with principals and vice-principals, findings show that transformational and participative leadership, characterized by emotional support, accessibility, active listening, and shared decision-making, are perceived to foster teachers’ sense of security, self-efficacy, and collective resilience. In contrast, authoritarian and rigid approaches are described as contributing to increased stress, reduced motivation, and diminished coping capacity. The study highlights the significance of socio-cultural and political contexts, indicating that effective leadership in crises involves not only professional guidance but also cultural awareness, flexibility, and responsiveness to staff needs. These findings underscore the value of integrative leadership approaches and targeted professional development to support teacher well-being and organizational resilience in crisis-prone settings. By focusing on leaders’ perspectives, the study contributes to understanding how culturally sensitive and adaptive leadership practices may support educational stability under conditions of uncertainty. Full article
(This article belongs to the Section Teacher Education)
28 pages, 5292 KB  
Article
Moderate Dietary Cannabidiol Enhances Growth, Restructures Gut Microbiota, and Bolsters Environmental Stress Resilience in Litopenaeus vannamei
by Jingwei Liu, Qian Lin, Jianchao Lu, Tianwei Jiang, Yukun Zhang and Weilong Wang
Antioxidants 2026, 15(4), 475; https://doi.org/10.3390/antiox15040475 - 10 Apr 2026
Viewed by 456
Abstract
Intensive aquaculture induces severe environmental stress and disease susceptibility in Pacific white shrimp (Litopenaeus vannamei). Cannabidiol (CBD) offers significant potential as a bioactive stress-mitigating additive. This study evaluated the effects of dietary CBD supplementation (0, 10, 20, 40, and 80 mg/kg) [...] Read more.
Intensive aquaculture induces severe environmental stress and disease susceptibility in Pacific white shrimp (Litopenaeus vannamei). Cannabidiol (CBD) offers significant potential as a bioactive stress-mitigating additive. This study evaluated the effects of dietary CBD supplementation (0, 10, 20, 40, and 80 mg/kg) on the growth, intestinal microecology, and stress tolerance of juvenile L. vannamei over an 8-week feeding trial, followed by a combined chronic ammonia and acute hypoxia challenge. Moderate CBD supplementation (10–40 mg/kg) significantly promoted growth, minimized feed conversion ratios, and enriched muscle eicosapentaenoic (EPA) and docosahexaenoic acids (DHA). Furthermore, CBD restructured the intestinal microbiota by suppressing opportunistic pathogens and enriching beneficial taxa. Under combined stress, moderate CBD prolonged the median lethal time (LT50) by up-regulating hypoxia-inducible factor 1-alpha (hif-1α) and heat shock protein 70 (hsp70) transcription and boosting systemic antioxidant capacity to neutralize lipid peroxidation. Conversely, the highest dose (80 mg/kg) induced metabolic exhaustion and hepatopancreatic toxicity, evidenced by drastically elevated serum transaminases and diminished stress tolerance. Conclusively, dietary CBD exerts a classic biphasic effect in L. vannamei. Inclusion at 10–40 mg/kg safely promotes the best comprehensive effects on growth, immune homeostasis, and environmental resilience within the concentration range tested in this study, whereas excessive administration provokes severe metabolic burden, highlighting the critical need for strict dosage regulation. Full article
22 pages, 1159 KB  
Article
Mixed-Methods Evaluation of the Delivery of Cancer Care to Teenagers and Young Adults in England and Wales: BRIGHTLIGHT_2021
by Rachel M. Taylor, Elysse Bautista-Gonzalez, Julie A. Barber, Jamie Cargill, Rozalia Dobrogowska, Richard G. Feltbower, Laura Haddad, Nicolas Hall, Maria Lawal, Martin G. McCabe, Sophie Moniz, Louise Soanes, Dan P. Stark, Bethany Wickramasinghe, Cecilia Vindrola-Padros and Lorna A. Fern
Curr. Oncol. 2026, 33(4), 211; https://doi.org/10.3390/curroncol33040211 - 10 Apr 2026
Viewed by 208
Abstract
Background: Healthcare policy in the United Kingdom recognizes that teenagers and young adults (TYAs: 16–24 years at diagnosis) require specialist care. In England, Principal Treatment Centers (PTCs) exist, delivering enhanced care exclusively within the PTC or as ‘joint care’ with designated hospitals (DHs). [...] Read more.
Background: Healthcare policy in the United Kingdom recognizes that teenagers and young adults (TYAs: 16–24 years at diagnosis) require specialist care. In England, Principal Treatment Centers (PTCs) exist, delivering enhanced care exclusively within the PTC or as ‘joint care’ with designated hospitals (DHs). Central to this is the TYA multidisciplinary team (MDT) and an outreach model coordinating care between hospitals. We previously reported similar outcomes regardless of care location. Aims: To compare TYA experiences of care with healthcare professionals’ perspectives of the service they deliver. Methods: Mixed methods across England and Wales were used. The TYA-MDT identified TYAs who then received a postal invite to a cross-sectional survey capturing experiences of places of care, treatment, healthcare professional support (HCP), mental health, sexuality/fertility, clinical trials and care coordination. Comparisons were made based on exposure to care in a specialist TYA environment within 6 months of diagnosis: all-TYA-PTC (all care in the TYA-PTC, n = 70, 28%), no-TYA-PTC (no care in the TYA-PTC (n = 87, 35%): care delivered in a children/adult unit only), and joint care (care in a TYA-PTC and in a children’s/adult unit, n = 91, 36%). HCP perspectives were captured by rapid ethnography. Results: A total of 250/1056 (24%) TYAs participated. Overall, 200 (80%) rated their teams as excellent/good for helping them prepare for treatment. No evidence of significant differences existed between categories of care for proportions receiving support from key TYA-related professionals: TYA cancer nurse specialists (all-TYA-PTC n = 58, 91%; joint care n = 71, 88%; no-TYA-PTC n = 64, 82%) and social workers (all-TYA-PTC n = 30, 55%; joint care n = 36, 48%; no-TYA-PTC n = 28, 38%). A trend of diminishing support from youth support co-coordinators existed (all-TYA-PTC 63%; joint care 49%; no-TYA-PTC 40%, p = 0.069). This may explain why few differences in patient experiences existed across categories of care. Forty-nine HCPs participated. They were more critical in their interpretation of care, highlighting inequity in resources and challenges in some pathways and coordination. Conclusions: Similar access to age-appropriate support across care settings is likely to reflect recruitment methods. When TYAs are known to the MDT, age-appropriate care can be mobilized beyond TYA units, which could explain the equitable outcomes observed across different care locations in young people who responded to the survey. Nevertheless, gaps persist in communication and coordination, particularly within joint care models, and in the involvement of allied health professionals such as dieticians and physiotherapists, whose input is essential for rehabilitation and return to normal life. Strengthening these areas will require continued investment in workforce capacity and digital infrastructure to support genuinely coordinated, developmentally appropriate TYA cancer care. Full article
(This article belongs to the Section Childhood, Adolescent and Young Adult Oncology)
36 pages, 2908 KB  
Article
Globalisation and Sustainable Development: How Economic Diplomacy Shapes SDG Performance Across Countries and Time
by Oksana Liashenko, Olena Mykhailovska, Bogdan Adamyk, Liudmyla Ladonko, Grygoriy Starchenko, Anastasiia Duka and Maksym Urakin
World 2026, 7(4), 64; https://doi.org/10.3390/world7040064 - 9 Apr 2026
Viewed by 234
Abstract
This study examines whether economic diplomacy—proxied by KOF-based indicators of political globalisation and economic policy openness—is associated with multidimensional sustainable development (SD) across 208 countries over the period 2000–2023. Using two-way fixed-effects panel models with Driscoll–Kraay standard errors, complemented by instrumental-variable and dynamic [...] Read more.
This study examines whether economic diplomacy—proxied by KOF-based indicators of political globalisation and economic policy openness—is associated with multidimensional sustainable development (SD) across 208 countries over the period 2000–2023. Using two-way fixed-effects panel models with Driscoll–Kraay standard errors, complemented by instrumental-variable and dynamic panel checks, we find a positive but modest within-country association between diplomatic embeddedness and Sustainable Development Goal (SDG) performance. The association is driven primarily by political globalisation—reflecting diplomatic networks, international organisation membership, and treaty engagement—rather than trade policy openness. De facto integration exhibits stronger links to SDG outcomes than de jure policy indicators. The relationship is concave, with diminishing marginal returns beyond a diplomacy proxy value of approximately 60. A latent-class framework identifies two institutional archetypes: the association is more pronounced and robust under stronger governance (71 countries), while it attenuates under weaker governance (85 countries). Goal-level estimates reveal systematic trade-offs—gains in inequality reduction (SDG 10) and innovation (SDG 9) alongside adverse associations with climate outcomes (SDG 13)—and a structural breakpoint around 2017 consistent with the onset of slowbalisation. The results suggest that diplomacy can support SD, but its payoff depends on governance capacity and the management of cross-goal externalities. Full article
Show Figures

Figure 1

28 pages, 1225 KB  
Article
Digitalization and Institutional Quality in the EU Shadow Economy: Complementarity, Substitution, and Nonlinearity
by Lavinia Mastac, Raluca Andreea Trandafir and Liliana Nicodim
Economies 2026, 14(4), 127; https://doi.org/10.3390/economies14040127 - 9 Apr 2026
Viewed by 272
Abstract
This study examines how digitalization and institutional quality jointly influence the size and dynamics of the shadow economy across EU member states. It adopts an integrated framework in which digital capacity is treated as an operational extension of state capacity that can either [...] Read more.
This study examines how digitalization and institutional quality jointly influence the size and dynamics of the shadow economy across EU member states. It adopts an integrated framework in which digital capacity is treated as an operational extension of state capacity that can either complement strong institutions or compensate for institutional weaknesses. The empirical analysis is based on a two-dataset panel covering 27 EU countries over the periods 2013–2022 and 2017–2022. Institutional quality is measured using the Worldwide Governance Indicators, while digitalization is captured through detailed indicators from the Digital Economy and Society Index. Fixed-Effects models with Driscoll–Kraay standard errors are employed, alongside interaction and nonlinear specifications. Results show that institutional quality is consistently associated with lower levels of the shadow economy, but its effect exhibits diminishing returns at higher levels of governance, indicating institutional saturation. Digitalization effects are domain-specific. In isolation, both citizen- and business-oriented digital services show a positive association with the shadow economy, a finding termed the Digitalization Paradox, reflecting a phase where technological facilitation of informal activity outpaces regulatory adaptation. However, their interaction with institutional quality reveals divergent mechanisms. Citizen-oriented services tend to substitute for weaker governance, while business-oriented services complement strong institutional frameworks. The findings indicate that digitalization serves as an institutional amplifier whose final impact on the shadow economy, whether formalizing or facilitating, is dictated by the maturity of the host institution. Full article
(This article belongs to the Special Issue Corruption, Institutions and the Macroeconomy)
Show Figures

Figure 1

17 pages, 3710 KB  
Article
Enhanced Antibiotic Removal Using Fe-Doped ZnS Nanoparticles
by Sonia J. Bailón-Ruiz, Yarilyn Cedeño-Mattei, Nayeli Colón-Dávila and Luis Alamo-Nole
Micro 2026, 6(2), 25; https://doi.org/10.3390/micro6020025 - 9 Apr 2026
Viewed by 172
Abstract
The environmental persistence of β-lactam antibiotics represents a growing ecological concern, requiring materials capable of combined adsorption and catalytic degradation. Herein, pure ZnS and 1% Fe-doped ZnS nanoparticles were synthesized via microwave-assisted treatment and evaluated for the removal of ceftaroline fosamil from aqueous [...] Read more.
The environmental persistence of β-lactam antibiotics represents a growing ecological concern, requiring materials capable of combined adsorption and catalytic degradation. Herein, pure ZnS and 1% Fe-doped ZnS nanoparticles were synthesized via microwave-assisted treatment and evaluated for the removal of ceftaroline fosamil from aqueous media. Transmission electron microscopy revealed quasi-spherical nanoparticles below 10 nm, while selected area electron diffraction confirmed a face-centered cubic structure retained after Fe incorporation. UV-Vis spectroscopy showed similar absorption edges (~316 nm), indicating negligible band-gap variation, whereas photoluminescence analysis demonstrated strong emission quenching in Fe-ZnS, indicating suppressed electron–hole recombination. Point-of-zero charge measurements (pHPZC ≈ 4.6 for ZnS; 4.5 for Fe-ZnS) indicated negatively charged surfaces under circumneutral conditions, influencing interfacial interactions with the antibiotic. Adsorption experiments followed the Langmuir isotherm model, with Fe-ZnS exhibiting a higher maximum adsorption capacity (156 mg g−1) compared to ZnS (115 mg g−1). Under UV irradiation (302 nm), Fe-ZnS achieved near-complete degradation at a catalyst loading of 500 ppm. Liquid chromatography–mass spectrometry analysis revealed the transformation of ceftaroline fosamil (m/z 685.01) into ceftaroline (m/z 605.05) via phosphate group loss, followed by the formation of intermediate fragments at m/z 492.08 and 308.03, associated with cleavage of the thiadiazol-amine moiety and subsequent opening of the cephalosporin ring. After extended irradiation, these intermediates diminished, and a fragment at m/z 356.01 was detected, suggesting further breakdown through thioether bond cleavage. These results support a degradation pathway involving sequential dephosphorylation and fragmentation of the cephalosporin core. Overall, the enhanced performance of Fe-ZnS arises from the synergistic interplay between surface charge characteristics and dopant-modulated charge carrier dynamics, highlighting its potential for antibiotic remediation in aquatic environments. Full article
(This article belongs to the Section Microscale Materials Science)
Show Figures

Figure 1

Back to TopTop