Sign in to use this feature.

Years

Between: -

Subjects

remove_circle_outline
remove_circle_outline
remove_circle_outline
remove_circle_outline
remove_circle_outline
remove_circle_outline
remove_circle_outline
remove_circle_outline

Journals

remove_circle_outline
remove_circle_outline
remove_circle_outline
remove_circle_outline
remove_circle_outline
remove_circle_outline
remove_circle_outline
remove_circle_outline
remove_circle_outline

Article Types

Countries / Regions

remove_circle_outline
remove_circle_outline
remove_circle_outline
remove_circle_outline
remove_circle_outline

Search Results (1,085)

Search Parameters:
Keywords = choroidal

Order results
Result details
Results per page
Select all
Export citation of selected articles as:
16 pages, 944 KB  
Article
The Therapeutic Effect of a Biodegradable Long-Acting Intravitreal Implant Containing CGK012 on Neovascular Age-Related Macular Degeneration by Promoting β-Catenin Degradation
by Seoyoung Park, Jihyun Won, Jong Beom Heo, Juhyung Kang, Ye Woon Oh, Geunji Park, Giseong Lee, Jee-Hyun Lee, Gyu-Yong Song, Wonku Kang and Sangtaek Oh
Pharmaceuticals 2025, 18(12), 1884; https://doi.org/10.3390/ph18121884 - 12 Dec 2025
Viewed by 96
Abstract
Background/Objectives: Neovascular age-related macular degeneration (nAMD) poses a serious threat to the eyesight of older adults, representing a leading cause of irreversible vision loss. Anti-vascular endothelial growth factor (anti-VEGF) treatments are effective but require repeated intraocular injections and show poor responses in some [...] Read more.
Background/Objectives: Neovascular age-related macular degeneration (nAMD) poses a serious threat to the eyesight of older adults, representing a leading cause of irreversible vision loss. Anti-vascular endothelial growth factor (anti-VEGF) treatments are effective but require repeated intraocular injections and show poor responses in some patients. CGK012 is a novel derivative of decursin that inhibits the Wnt/β-catenin pathway. This study aimed to elucidate the mode of action of CGK012 and examine its therapeutic effects. Methods: We performed in vitro cellular studies in a retinal pigment epithelial (RPE) cell line (ARPE-19) and human umbilical vein endothelial cells (HUVECs). We examined the in vivo efficacy of CGK012-loaded implants in laser-induced choroidal neovascularization (CNV) rabbit models. We also determined the implants’ in vitro dissolution, intraocular release, and disposition characteristics. Results: CGK012 decreased angiogenic/proinflammatory factor expression and suppressed the epithelial–mesenchymal transition (EMT) in RPE cells by promoting intracellular β-catenin degradation. Additionally, it repressed the expression of cyclin D1 and c-myc, downstream target genes of β-catenin, and inhibited HUVEC capillary tube formation. CGK012-loaded poly (lactic-co-glycolic acid) (PLGA) intravitreal implants significantly reduced vascular leakage in a laser-induced CNV rabbit model. Notably, CGK012 released from the implant was highly permeable to retina/choroid tissue and downregulated β-catenin, angiogenic/inflammatory factors, and vimentin in the rabbit model. The CGK012 concentration reached a plateau at 28–42 days in the vitreous humor and decayed with a half-life of 14 days without systemic exposure. Conclusions: Our findings demonstrate that CGK012 implants prevent choroidal neovascularization through the Wnt/β-catenin pathway suppression and produce high concentrations of CGK012 in the posterior eye segment with prolonged release. Thus, these implants provide more therapeutic choices for nAMD treatment. Full article
(This article belongs to the Section Medicinal Chemistry)
Show Figures

Graphical abstract

11 pages, 216 KB  
Review
Artificial Intelligence in the Detection and Risk Stratification of Choroidal Melanoma: A Critical Comparative Synthesis and Future Directions
by Daire Hurley, Amy Coman, Elizabeth Tallon, Noel Horgan and Patrick Murtagh
Healthcare 2025, 13(24), 3252; https://doi.org/10.3390/healthcare13243252 - 11 Dec 2025
Viewed by 129
Abstract
The early differentiation of benign choroidal naevi from malignant melanoma remains one of the most nuanced challenges in ophthalmic oncology, with profound implications for patient survival. Conventional diagnostic pathways rely on multimodal imaging and expert interpretation, but inter-observer variability and the rarity of [...] Read more.
The early differentiation of benign choroidal naevi from malignant melanoma remains one of the most nuanced challenges in ophthalmic oncology, with profound implications for patient survival. Conventional diagnostic pathways rely on multimodal imaging and expert interpretation, but inter-observer variability and the rarity of melanoma limit timely and consistent detection. Recent advances in artificial intelligence (AI) offer a promising adjunct to conventional ophthalmic practice. This review provides a critical comparative synthesis of the studies to-date which have looked at AI’s use in the detection, risk stratification, and longitudinal monitoring of choroidal melanoma. While early results are promising—with some models achieving an accuracy comparable to expert clinicians—significant challenges remain regarding generalisability, dataset bias, interpretability, and real-world deployment. We conclude by outlining practical priorities for future research to ensure that AI becomes a safe, effective, and equitable tool for improving patient outcomes. Full article
18 pages, 295 KB  
Review
Choroidal and Retinal Permeability Changes in Chronic Kidney Disease—A Literature Review
by Giacomo De Rosa, Francesco Paolo De Rosa, Giovanni Ottonelli and Mario R. Romano
J. Clin. Med. 2025, 14(24), 8767; https://doi.org/10.3390/jcm14248767 - 11 Dec 2025
Viewed by 126
Abstract
Purpose: This review consolidates current evidence on how chronic kidney disease (CKD)-especially end-stage kidney disease (ESKD) and its treatments-alters choroidal and retinal vascular permeability, leading to changes in intraocular fluid homeostasis. Methods: A literature search of Medical Literature Analysis and Retrieval [...] Read more.
Purpose: This review consolidates current evidence on how chronic kidney disease (CKD)-especially end-stage kidney disease (ESKD) and its treatments-alters choroidal and retinal vascular permeability, leading to changes in intraocular fluid homeostasis. Methods: A literature search of Medical Literature Analysis and Retrieval System Online (MEDLINE), reference lists, and key ophthalmology-nephrology texts was performed for studies published between 1980 and 2025. One-hundred-forty-four articles (clinical trials, observational cohorts, and case reports) met the inclusion criteria. Data were abstracted on choroidal thickness changes, blood-retinal barrier integrity, incidence of Central Serous Chororioretinopathy (CSCR) and Serous Retinal Detachment (SRD) in dialysis and transplant populations, and systemic variables such as oncotic pressure, hypertension, and corticosteroid exposure, with special attention to retinal pigment epithelium (RPE) pump function. Findings were synthesized qualitatively and tabulated where appropriate. Results: ESKD induces a triad of lowered plasma oncotic pressure, fluctuating hydrostatic forces, and impaired RPE pump function that collectively drive subretinal fluid accumulation. Hemodialysis acutely reduces sub-foveal choroidal thickness by a mean of ≈15–25 µm yet shows inconsistent effects on retinal thickness. Large population data demonstrate a three- to four-fold higher SRD risk and ~1.5-fold higher CSCR risk in dialysis patients versus controls, with peritoneal dialysis conferring the greatest hazard. After kidney transplantation, CSCR prevalence approaches 6%, driven by combined stresses of surgery, hypertension, and long-term corticosteroid or calcineurin-inhibitor therapy. Most reported SRDs resolve as systemic parameters normalize, underscoring the importance of promptly identifying systemic drivers. Conclusions: Systemic fluid-pressure imbalances and treatment-related factors in CKD significantly perturb the outer blood-retinal barrier. Regular ophthalmic surveillance, early visual-symptom screening (e.g., Amsler grid), and close nephrologist-ophthalmologist collaboration are essential for timely detection and management. Future research should quantify the relative contribution of hypoalbuminemia, hypertension, and immunosuppression to ocular permeability changes, and evaluate preventive strategies tailored to high-risk CKD subgroups. Full article
(This article belongs to the Section Nephrology & Urology)
21 pages, 6152 KB  
Article
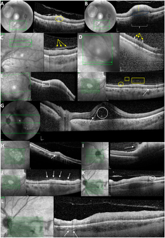
Structural Retinal Analysis in Toxoplasmic Retinochoroiditis: OCT Follow-Up with Three-Dimensional Reconstruction
by Ioana Damian, Adrian Pop, Adrian Groza, Elisabetta Miserocchi and Simona Delia Nicoară
Diagnostics 2025, 15(23), 3091; https://doi.org/10.3390/diagnostics15233091 - 4 Dec 2025
Viewed by 254
Abstract
Background: Ocular toxoplasmosis remains the leading cause of posterior uveitis worldwide. Optical coherence tomography (OCT) provides valuable insights into the structural alterations associated with this condition. The present study aimed to characterize the vitreous, retinal, and choroidal morphological changes observed during both [...] Read more.
Background: Ocular toxoplasmosis remains the leading cause of posterior uveitis worldwide. Optical coherence tomography (OCT) provides valuable insights into the structural alterations associated with this condition. The present study aimed to characterize the vitreous, retinal, and choroidal morphological changes observed during both the active and scarred stages of ocular toxoplasmosis using OCT imaging. A secondary objective was to evaluate the added value of three-dimensional reconstruction in the assessment of retinal lesions. Methods: A retrospective study was conducted on 12 eyes belonging to 12 patients diagnosed with toxoplasmosis retinochoroiditis (TRC). Optical coherence tomography (OCT) scans centered on the active lesions were qualitatively analyzed at baseline and follow-up. Additionally, a ResUNet model was trained to generate a full volumetric reconstruction of the retinochoroidal lesions in selected cases. Results: Twelve eyes were analyzed at a mean of 16.2 days from symptom onset. The mean follow-up duration was 144 days (range: 12–490 days). OCT imaging revealed characteristic alterations in the retina, choroid, and vitreous body, which were documented both at baseline and at follow-up. Representative cases were selected for three-dimensional reconstruction to illustrate the extent of retinal architectural involvement. Conclusions: OCT analysis refines our understanding of the structural damage associated with ocular toxoplasmosis, while three-dimensional reconstruction enhances our ability to visualize and interpret these alterations on a larger scale. Full article
(This article belongs to the Special Issue Optical Coherence Tomography in Diagnosis of Ophthalmology Disease)
Show Figures

Figure 1

16 pages, 1836 KB  
Article
Endoresection in Choroidal Melanoma: Outcomes of Intentional Incomplete Tumor Removal
by Alexander Anduaga-Beramendi, Marta Caminal-Caramés, Daniel Lorenzo, Estefanía Cobos, Milagros Mateos-Olivares, Pere Garcia-Bru, Rahul Morwani, Juan Santamaría, Olga Garcia-Garcia, Luis Arias and Josep M. Caminal
Curr. Oncol. 2025, 32(12), 688; https://doi.org/10.3390/curroncol32120688 - 4 Dec 2025
Viewed by 133
Abstract
To assess the outcomes of a modified surgical approach for the treatment of uveal melanoma involving endoresection with intentional residual tumor at the margins, combined with adjuvant ruthenium-106 brachytherapy. This technique aims to reduce surgical morbidity, while preserving visual function and maintaining effective [...] Read more.
To assess the outcomes of a modified surgical approach for the treatment of uveal melanoma involving endoresection with intentional residual tumor at the margins, combined with adjuvant ruthenium-106 brachytherapy. This technique aims to reduce surgical morbidity, while preserving visual function and maintaining effective local tumor control and survival. We conducted a retrospective observational study including 33 patients with choroidal melanoma treated between January 2017 and August 2024 at a single tertiary ocular oncology center in Spain. Patients underwent pars plana vitrectomy and endoresection leaving residual tumor followed by ruthenium-106 brachytherapy. Clinical, functional, and oncological outcomes were analyzed, including tumor recurrence, metastasis, visual acuity, complications, and cytogenetic findings. Kaplan–Meier analysis was used to estimate survival and recurrence rates. After a mean follow-up of 41.7 months, local tumor recurrence occurred in 2 patients (6.06%) and enucleation was performed in 1 patient (3.03%). Two patients (6.06%) developed metastases, with one disease-specific death, resulting in a 5-year survival rate of 97%. Visual acuity of 20/200 or better was preserved in 60.61% of patients. The most frequent complications were retinal detachment (36.36%) and macular edema (45.45%). Cytogenetic analysis showed a significant association between chromosome 1p loss and both recurrence and metastasis (p = 0.032). No cases of phthisis bulbi or severe hypotony were observed. This modified endoresection technique with intentional tumor residuals and adjuvant ruthenium-106 brachytherapy offers a safe and function-preserving option for selected patients with choroidal melanoma. It achieves good tumor control and visual outcomes, with a low rate of enucleation and metastasis. Further studies are required to validate its long-term efficacy. Full article
(This article belongs to the Section Dermato-Oncology)
Show Figures

Figure 1

12 pages, 1073 KB  
Article
Clinical Characteristics of Patients with Neovascular Age-Related Macular Degeneration and Responses to Anti-VEGF Therapy: Four-Group Stratification Based on Drusen and Punctate Hyperfluorescence
by Hiroyuki Kamao, Katsutoshi Goto, Kenichi Mizukawa, Ryutaro Hiraki, Atsushi Miki and Shuhei Kimura
J. Clin. Med. 2025, 14(23), 8593; https://doi.org/10.3390/jcm14238593 - 4 Dec 2025
Viewed by 163
Abstract
Background/Objectives: Different disease subtypes in neovascular age-related macular degeneration (nAMD) influence treatment burden, yet existing classifications such as the pachychoroid neovasculopathy (PNV)/non-PNV dichotomy may not fully capture clinical heterogeneity. This study aimed to compare the 12-month outcomes of intravitreal aflibercept (IVA) in [...] Read more.
Background/Objectives: Different disease subtypes in neovascular age-related macular degeneration (nAMD) influence treatment burden, yet existing classifications such as the pachychoroid neovasculopathy (PNV)/non-PNV dichotomy may not fully capture clinical heterogeneity. This study aimed to compare the 12-month outcomes of intravitreal aflibercept (IVA) in treatment-naïve patients with unilateral nAMD stratified by the presence or absence of drusen and punctate hyperfluorescence (PH). Methods: This retrospective study included 130 eyes of 130 patients categorized into the Drusen−/PH−, Drusen+/PH−, Drusen−/PH+, and Drusen+/PH+ groups. Their best-corrected visual acuity, retinal thickness, choroidal thickness, number of injections, no-retinal fluid rate during the loading dose regimen, and 12-month retreatment rate following treatment initiation were determined. The primary outcome was 12-month retreatment rate for the four groups, which was determined using Kaplan–Meier curves and log-rank tests. Exploratory metric multidimensional scaling (MDS) was used to visualize the baseline profiles. Results: The 12-month retreatment rates of the groups were significantly different. The Drusen+/PH− group had a higher retreatment rate and required more injections than the Drusen−/PH+ and Drusen+/PH+ groups. The Drusen+/PH− group was older than the Drusen−/PH+ and Drusen−/PH− groups. The Drusen−/PH+ group had a thicker choroid than the Drusen+/PH− group. The MDS results clear separation of the groups, consistent with the older age of the Drusen+/PH− group and the thicker choroid of the Drusen−/PH+ group. Conclusions: nAMD stratified based on drusen and PH differed in age, choroidal thickness, and IVA outcomes. The four-category framework provides greater pathophysiologic and therapeutic resolution than the simple PNV/non-PNV dichotomy and may help anticipate injection demand to guide individualized dosing strategies. Full article
(This article belongs to the Special Issue An Update on Retinal Diseases: From Diagnosis to Treatment)
Show Figures

Figure 1

15 pages, 3730 KB  
Article
Efficacy of Tumor Necrosis Factor-α Inhibitor Adalimumab in Chronic Recurrent Vogt–Koyanagi–Harada Disease
by Junghoo Lee, Yoo-Ri Chung, Hae Rang Kim and Ji Hun Song
Pharmaceuticals 2025, 18(12), 1848; https://doi.org/10.3390/ph18121848 - 3 Dec 2025
Viewed by 245
Abstract
Background/Objectives: Vogt–Koyanagi–Harada (VKH) disease is a bilateral granulomatous panuveitis that can progress to a chronic, relapsing phase. Patients refractory or intolerant to systemic corticosteroids and conventional immunomodulatory therapy pose a major therapeutic challenge, as persistent inflammation can lead to cumulative ocular damage and [...] Read more.
Background/Objectives: Vogt–Koyanagi–Harada (VKH) disease is a bilateral granulomatous panuveitis that can progress to a chronic, relapsing phase. Patients refractory or intolerant to systemic corticosteroids and conventional immunomodulatory therapy pose a major therapeutic challenge, as persistent inflammation can lead to cumulative ocular damage and permanent vision loss. This study assessed the efficacy of tumor necrosis factor-α (TNF-α) inhibitor adalimumab in chronic recurrent VKH disease. Methods: We retrospectively reviewed 16 eyes from 8 patients with chronic recurrent VKH disease who had persistent inflammation despite treatment with corticosteroids and conventional immunomodulatory therapy, and subsequently received adalimumab. Primary outcomes were changes in subfoveal choroidal thickness (SFCT) and systemic corticosteroid dose reduction. Secondary outcomes included visual acuity, inflammatory parameters (anterior chamber cell, flare, and vitreous haze), and central macular thickness (CMT). All outcomes were compared between baseline and 6 months after adalimumab initiation using the Wilcoxon signed-rank test. Results: Mean patient age was 47.6 years and mean follow-up was 31.8 months. SFCT decreased from 326.7 ± 129.1 µm to 231.6 ± 72.9 µm at 6 months (p < 0.001). Systemic steroid dose decreased from 14.7 ± 14.0 mg to 4.1 ± 3.8 mg (p = 0.027). Mean annualized relapse rate decreased from 3.61 to 0.08 episodes/year (p = 0.012). Anterior chamber cell grade decreased from 0.81 ± 0.66 to 0.09 ± 0.20 (p < 0.001). Visual acuity, flare, vitreous haze, and CMT showed no significant change. No serious adverse events occurred. Conclusions: TNF-α inhibition with adalimumab appears effective as steroid-sparing therapy for controlling recurrent inflammation and reducing steroid dependence in patients with chronic recurrent VKH disease refractory to conventional treatment. Full article
Show Figures

Graphical abstract

19 pages, 1127 KB  
Review
Ocular Manifestations of Celiac Disease: Current Evidence and Clinical Implications
by Monika Senterkiewicz, Anna Szaflarska-Popławska and Bartłomiej J. Kałużny
Nutrients 2025, 17(23), 3781; https://doi.org/10.3390/nu17233781 - 2 Dec 2025
Viewed by 427
Abstract
Background: Celiac disease (CD) is a systemic autoimmune disorder triggered by gluten exposure in genetically predisposed individuals. Beyond gastrointestinal symptoms, CD is increasingly recognized to affect extraintestinal organs, including the eye. Methods: A PubMed, Cochrane, Web of Science, and Scopus databases search up [...] Read more.
Background: Celiac disease (CD) is a systemic autoimmune disorder triggered by gluten exposure in genetically predisposed individuals. Beyond gastrointestinal symptoms, CD is increasingly recognized to affect extraintestinal organs, including the eye. Methods: A PubMed, Cochrane, Web of Science, and Scopus databases search up to April 2025 was conducted to identify studies on ocular involvement in CD. Results: Large population-based cohorts have demonstrated an increased risk of cataract and uveitis in individuals with CD. Cross-sectional and case–control studies further report reduced tear break-up time and decreased Schirmer test values, indicating tear film instability and associated ocular surface abnormalities. Additional findings include reduced anterior chamber depth and volume, alterations in subfoveal and peripapillary choroidal thickness, thinning of the retinal nerve fiber layer, and microvascular changes such as reduced superficial and deep capillary plexus densities. Furthermore, deficiencies of vitamins A, D, B12, and iron have been consistently associated with structural and functional ocular alterations, underscoring the contribution of impaired nutrient absorption. Conclusions: Ocular involvement in CD likely reflects the interplay of immune dysregulation, nutritional deficiencies, and microvascular alterations. Ophthalmic referrals should be considered in CD patients presenting with ocular symptoms. Early recognition and regular monitoring may facilitate timely diagnosis, improve visual outcomes, and support normal ocular development. Full article
(This article belongs to the Section Nutritional Immunology)
Show Figures

Figure 1

34 pages, 5478 KB  
Review
Brain and Immune System Part II—An Integrative View upon Spatial Orientation, Learning, and Memory Function
by Volker Schirrmacher
Int. J. Mol. Sci. 2025, 26(23), 11567; https://doi.org/10.3390/ijms262311567 - 28 Nov 2025
Viewed by 391
Abstract
The brain and the immune system communicate in many ways and interact directly at neuroimmune interfaces at brain borders, such as hippocampus, choroid plexus, and gateway reflexes. The first part of this review described intercellular communication (synapses, extracellular vesicles, and tunneling nanotubes) during [...] Read more.
The brain and the immune system communicate in many ways and interact directly at neuroimmune interfaces at brain borders, such as hippocampus, choroid plexus, and gateway reflexes. The first part of this review described intercellular communication (synapses, extracellular vesicles, and tunneling nanotubes) during homeostasis and neuroimmunomodulation upon dysfunction. This second part compares spatial orientation, learning, and memory function in both systems. The hippocampus, deep in the medial temporal lobes of the brain, is reported to play a central role in all three functions. Its medial entorhinal cortex contains neuronal spatial cells (place cells, head direction cells, boundary vector cells, and grid cells) that facilitate spatial navigation and allow the construction of cognitive maps. Sensory input (about 100 megabytes per second) via engram neurons and top down and bottom up information processing between the temporal lobes and other lobes of the brain are described to facilitate learning and memory function. Output impulses leave the brain via approximately 1.5 million fibers, which connect to effector organs such as muscles and glands. Spatial orientation in the immune system is described to involve gradients of chemokines, chemokine receptors, and cell adhesion molecules. These facilitate immune cell interactions with other cells and the extracellular matrix, recirculation via lymphatic organs (lymph nodes, thymus, spleen, and bone marrow), and via lymphatic fluid, blood, cerebrospinal fluid, and tissues. Learning in the immune system is summarized to include recognition of exogenous antigens from the outside world as well as endogenous blood-borne antigens, including tumor antigens. This learning process involves cognate interactions through immune synapses and the distinction between self and non-self antigens. Immune education via vaccination helps the process of development of protective immunity. Examples are presented concerning the therapeutic potential of memory T cells, in particular those derived from bone marrow. Like in the brain, memory function in the immune system is described to be facilitated by priming (imprinting), training, clonal cooperation, and an integrated perception of objects. The discussion part highlights evolutionary aspects. Full article
(This article belongs to the Section Molecular Neurobiology)
Show Figures

Figure 1

12 pages, 1077 KB  
Article
Comparison of Three Consecutive Monthly Administrations Between Aflibercept 8 mg and Brolucizumab 6 mg in Polypoidal Choroidal Vasculopathy
by Yoshiko Fukuda, Yoichi Sakurada, Yumi Kotoda, Misa Kimura and Kenji Kashiwagi
Pharmaceuticals 2025, 18(12), 1811; https://doi.org/10.3390/ph18121811 - 27 Nov 2025
Viewed by 315
Abstract
Purpose: The aim was to compare the short-term outcomes of aflibercept 8 mg and brolucizumab for the treatment of polypoidal choroidal vasculopathy (PCV). Methods: This study included 48 eyes of 48 patients with PCV. Drug selection was based on the treatment period. Sixteen [...] Read more.
Purpose: The aim was to compare the short-term outcomes of aflibercept 8 mg and brolucizumab for the treatment of polypoidal choroidal vasculopathy (PCV). Methods: This study included 48 eyes of 48 patients with PCV. Drug selection was based on the treatment period. Sixteen eyes received aflibercept 8 mg and thirty-two eyes received brolucizumab. All eyes underwent three consecutive monthly injections: aflibercept (114.3 mg/mL; 0.07 mL) or brolucizumab (120 mg/mL; 0.05 mL). Indocyanine green angiography was performed at baseline and at the 3-month visit to confirm the presence of polypoidal lesions. Results: In the aflibercept 8 mg group, best-corrected visual acuity (BCVA) significantly improved from 0.28 ± 0.26 at baseline to 0.18 ± 0.25 at the 3-month visit (p < 0.001). In the brolucizumab 6 mg group, BCVA improved from 0.35 ± 0.26 to 0.29 ± 0.27, although the change was not statistically significant (p = 0.08). Multivariate regression analysis showed that better BCVA at 3 months was associated with better baseline BCVA and lower central retinal thickness (CRT), independent of the drug used. CRT decreased from 382 ± 157 to 198 ± 98 in the brolucizumab 6 mg group and from 358 ± 152 to 192 ± 76 in the aflibercept 8 mg group at 3 months. Subfoveal choroidal thickness (SCT) decreased from 201 ± 78 to 167 ± 60 in the brolucizumab 6 mg group and from 186 ± 76 to 153 ± 67 in the aflibercept 8 mg group. The dry macula rate at 3 months was the same for aflibercept 8 mg and brolucizumab 6 mg at 93.8%. Complete regression of polypoidal lesions was observed in 62.5% and 75.0% of patients in the aflibercept and brolucizumab groups, respectively (p = 0.57). Conclusions: During the induction phase, aflibercept 8 mg demonstrated comparable outcomes to brolucizumab 6 mg in reducing CRT and SCT, achieving a dry macula, improving BCVA, and regressing polypoidal lesions in eyes with PCV. Full article
(This article belongs to the Special Issue Pharmacotherapy of Macular Diseases)
Show Figures

Graphical abstract

15 pages, 494 KB  
Article
Flexible Loading Phase Treat-and-Extend Regimen with Faricimab for Neovascular Age-Related Macular Degeneration: A Real-World Study
by Akira Machida, Junko Kurihara, Yuki Hirata, Eriko Machida, Ryuya Murakami, Akari Oka, Ai Yoneda, Eiko Tsuiki and Akio Oishi
Biomedicines 2025, 13(12), 2909; https://doi.org/10.3390/biomedicines13122909 - 27 Nov 2025
Viewed by 405
Abstract
Background/Objectives: We aimed to evaluate the efficacy of a flexible loading-phase treat-and-extend regimen using faricimab, in which the number of loading-phase intravitreal injections was tailored to individual disease activity. Methods: This observational cohort study included 50 treatment-naïve eyes with neovascular age-related [...] Read more.
Background/Objectives: We aimed to evaluate the efficacy of a flexible loading-phase treat-and-extend regimen using faricimab, in which the number of loading-phase intravitreal injections was tailored to individual disease activity. Methods: This observational cohort study included 50 treatment-naïve eyes with neovascular age-related macular degeneration, treated with faricimab in Japan; approximately half of the eyes had polypoidal choroidal vasculopathy (PCV). Disease activity after one injection was assessed at the second visit (4 weeks later) to determine the treatment interval for subsequent injections. The primary outcome measure was the injection interval and visual/anatomical outcomes at 1 year after treatment initiation. Results: Of the 50 eyes, 43 completed a 1-year follow-up, including 27 eyes with PCV. The mean logarithm of the minimum angle of resolution best-corrected visual acuity improved from 0.35 ± 0.32 to 0.19 ± 0.3 over 1 year. Overall, 60.5% achieved 16-week intervals, and 74.4% reached intervals of ≥12 weeks. A shorter loading phase (two or three injections) was associated with fewer total injections and higher rates of fluid resolution, without compromising visual outcomes. The presence of PCV and ellipsoid zone disruption were identified as risk factors for failure to extend treatment intervals beyond 16 weeks. Conclusions: A flexible loading-phase treat-and-extend regimen using faricimab yields outcomes comparable to those of the TENAYA protocol, with fewer injections, despite the high proportion of eyes with PCV. This simple approach is straightforward in design and may reduce treatment burden while maintaining efficacy. Full article
Show Figures

Graphical abstract

14 pages, 1661 KB  
Article
Effects of Imposed Defocus on Inhibitor of DNA-Binding Gene Expression in Chick Posterior Ocular Tissues
by Yan Zhang, Connor Tseng, Abraham Hang, Daniel Sun, Wulian Song and Christine F. Wildsoet
Cells 2025, 14(23), 1883; https://doi.org/10.3390/cells14231883 - 27 Nov 2025
Viewed by 302
Abstract
Inhibitors of DNA-binding genes (Ids) are key downstream targets of bone morphogenetic proteins (BMPs), gene expression of which is differentially regulated in the chick retinal pigment epithelium (RPE) during altered eye growth. The current study examined the effects of optical defocus [...] Read more.
Inhibitors of DNA-binding genes (Ids) are key downstream targets of bone morphogenetic proteins (BMPs), gene expression of which is differentially regulated in the chick retinal pigment epithelium (RPE) during altered eye growth. The current study examined the effects of optical defocus on the gene expression of Id1-4 in chick retina, RPE, and choroid after 2 or 48 h of monocular +10 or −10 D lens wear. Defocus-induced differential Id gene expression was observed in all three tissues, with defocus sign and treatment duration-related differences. In the choroid, 2 h of +10 D (myopic) defocus induced upregulation of all four of the Ids, with this effect also seen with 48 h exposure, for both Id3 and Id4 genes. Two hours of +10 D defocus also induced upregulation of both Id2 and Id3 in RPE, while 48 h of −10 D (hyperopic) defocus induced downregulation of Id1. Gene expression changes in the retina were less predictable. The significant myopic defocus-induced upregulation of expression for all four Id genes in the choroid is consistent with previously observed increased Bmp gene expression in chick RPE under the same conditions, and offers further supporting evidence for important roles for BMPs and downstream signaling pathways in defocus-driven eye growth regulation. Full article
(This article belongs to the Section Cell Signaling)
Show Figures

Graphical abstract

34 pages, 5784 KB  
Article
Linking Megalin, Cubilin, Caveolin-1, GIPC1 and Dab2IP Expression to Ocular Tumorigenesis: Profiles in Retinoblastoma, Choroidal Melanoma, and the Normal Human Eye
by Petra Kovačević, Petar Todorović, Nela Kelam, Suzana Konjevoda, Nenad Kunac, Josipa Marin Lovrić and Katarina Vukojević
Cancers 2025, 17(23), 3785; https://doi.org/10.3390/cancers17233785 - 26 Nov 2025
Viewed by 196
Abstract
Background/Objectives: Retinoblastoma (RB) and uveal melanoma (UM) remain vision-threatening and lethal ocular malignancies with limited molecular markers of differentiation state and prognosis. We investigated whether proteins governing endocytosis and signaling, including Megalin (LRP2), Cubilin (CUBN), Caveolin-1, GAIP-interacting protein C-terminus 1 (GIPC1), and [...] Read more.
Background/Objectives: Retinoblastoma (RB) and uveal melanoma (UM) remain vision-threatening and lethal ocular malignancies with limited molecular markers of differentiation state and prognosis. We investigated whether proteins governing endocytosis and signaling, including Megalin (LRP2), Cubilin (CUBN), Caveolin-1, GAIP-interacting protein C-terminus 1 (GIPC1), and Disabled homolog 2-interacting protein (DAB2IP), exhibit subtype-specific expression patterns in ocular tumors and whether these patterns are related to transcriptomic profiles and survival. Methods: Formalin-fixed, paraffin-embedded human ocular tissues included controls (n = 10), retinoblastoma (n = 10), and UM subtypes (epithelioid, spindle, mixoid; total n = 30). Immunofluorescence for LRP2, CUBN, CAV1, GIPC1, and DAB2IP was quantified using ImageJ (version 1.54g) across standardized high-power fields; per-specimen means were used for statistical analysis (Shapiro–Wilk test; one-way ANOVA with Tukey’s post hoc test). Public data analyses comprised: (i) overall survival in TCGA-UVM using GEPIA2; (ii) differential expression in GEO datasets (GSE62075: melanocytes vs. UM cell lines; GSE208143: retinoblastoma vs. pediatric control retina) and (iii) multivariate Cox proportional hazards regression analysis using the GEPIA3 online platform. Results: LRP2 expression was uniformly reduced across retinoblastoma and all UM subtypes versus control. CUBN expression decreased in retinoblastoma and epithelioid melanoma, was retained in spindle melanoma, and increased in mixoid-cell melanoma. CAV1 expression was increased in epithelioid melanoma but reduced in retinoblastoma, mixoid, and spindle melanomas. GIPC1 and DAB2IP expression were preserved in epithelioid melanoma yet significantly reduced in retinoblastoma and mixoid/spindle melanomas. In TCGA-UVM, higher CAV1 and GIPC1 mRNA expression was associated with worse overall survival (p ≈ 0.025 and 0.036), whereas LRP2, CUBN, and DAB2IP expression were not significant. GEO analyses revealed no significant differences for the five genes in UM cell lines versus melanocytes (GSE62075). However, in retinoblastoma (GSE208143), LRP2 was downregulated, while CUBN, CAV1, GIPC1, and DAB2IP were upregulated. Conclusions: Endocytic/signaling proteins exhibit distinct, subtype-linked expression in ocular tumors. Integration with public datasets highlights CAV1 and GIPC1 as adverse survival correlates in UM and positions LRP2/CUBN/DAB2IP dysregulation as features of ocular tumor biology, nominating candidate biomarkers and mechanistic targets. Full article
(This article belongs to the Special Issue Current Progress and Research Trends in Ocular Oncology—2nd Edition)
Show Figures

Figure 1

10 pages, 12569 KB  
Opinion
Atypical Teratoid Rhabdoid Tumor: How Tumor Diagnostic Methods in the Laboratory Have Evolved over the Past 40 Years
by Heather L. Smith, Pascale Aouad and Nitin R. Wadhwani
Cancers 2025, 17(23), 3768; https://doi.org/10.3390/cancers17233768 - 26 Nov 2025
Viewed by 260
Abstract
Atypical Teratoid/Rhabdoid Tumor (AT/RT) is a highly aggressive neoplasm of the central nervous system (CNS), most commonly affecting infants and young children. Originally recognized as a distinct entity following cytogenetic identification of monosomy 22 in renal Rhabdoid Tumors, AT/RT now encompasses CNS tumors [...] Read more.
Atypical Teratoid/Rhabdoid Tumor (AT/RT) is a highly aggressive neoplasm of the central nervous system (CNS), most commonly affecting infants and young children. Originally recognized as a distinct entity following cytogenetic identification of monosomy 22 in renal Rhabdoid Tumors, AT/RT now encompasses CNS tumors characterized by SMARCB1 (INI-1) or SMARCA4 (BRG-1) alterations within the SWI/SNF chromatin-remodeling complex. The integration of immunohistochemical markers with advanced molecular diagnostics—including next-generation sequencing, DNA methylation profiling, and gene enrichment analyses—has facilitated robust tumor classification and the identification of three molecular subgroups: TYR, SHH, and MYC. Despite its distinctive histopathologic features, AT/RT remains diagnostically challenging in adolescent and adult populations due to age-related bias and potential morphologic heterogeneity. Differential considerations, including epithelioid sarcoma, poorly differentiated chordoma, CRINET, choroid plexus carcinoma, and rare composite tumors, further complicate the diagnostic landscape. A comprehensive, multimodal diagnostic approach combining histologic, immunophenotypic, and molecular data is essential to accurately identify AT/RT and guide clinical management, particularly in diagnostically ambiguous or atypical cases. Full article
(This article belongs to the Special Issue Current Concept and Management of Pediatric ATRTs—2nd Edition)
Show Figures

Figure 1

18 pages, 319 KB  
Review
Role of Angiogenesis in Retinal Diseases and New Advances in Drug Development
by Emma Boey, Humza Zaidi, Tina Tang and Amirfarbod Yazdanyar
Cells 2025, 14(23), 1849; https://doi.org/10.3390/cells14231849 - 24 Nov 2025
Viewed by 767
Abstract
Dysregulation of angiogenesis can cause a disruption in oxygen and nutrient delivery, resulting in impaired neural retinal function. Understanding the underlying components involved in its pathophysiology is essential to develop new treatments for preserving and restoring vision. The aim of this review is [...] Read more.
Dysregulation of angiogenesis can cause a disruption in oxygen and nutrient delivery, resulting in impaired neural retinal function. Understanding the underlying components involved in its pathophysiology is essential to develop new treatments for preserving and restoring vision. The aim of this review is to describe the role of angiogenesis in different retinal and choroidal pathologies and evaluate current and emerging anti-angiogenic therapies for retinopathies. Current research articles, focusing on the latest clinical trials from the last two decades, were used to write this review. We discuss normal angiogenesis, in contrast to pathological angiogenesis, in four diseases: retinal vein occlusion (RVO), age-related macular degeneration (AMD), diabetic retinopathy (DR), and retinopathy of prematurity (ROP). Alongside these diseases, this review discusses relevant anti-angiogenic therapies that have been approved for use and are under active investigation through clinical trials for their safety and efficacy. Full article
Back to TopTop