Sign in to use this feature.

Years

Between: -

Subjects

remove_circle_outline
remove_circle_outline
remove_circle_outline
remove_circle_outline
remove_circle_outline
remove_circle_outline
remove_circle_outline

Journals

remove_circle_outline
remove_circle_outline
remove_circle_outline
remove_circle_outline
remove_circle_outline
remove_circle_outline
remove_circle_outline
remove_circle_outline
remove_circle_outline

Article Types

Countries / Regions

remove_circle_outline
remove_circle_outline
remove_circle_outline
remove_circle_outline
remove_circle_outline

Search Results (1,029)

Search Parameters:
Keywords = cardiothoracic surgery

Order results
Result details
Results per page
Select all
Export citation of selected articles as:
22 pages, 1067 KB  
Article
Malignancy in Ground-Glass Opacity Using Multivariate Regression and Deep Learning Models: A Proof-of-Concept Study
by Abed Agbarya, Edmond Sabo, Mohammad Sheikh-Ahmad, Leonard Saiegh, Mor Pincas, Miguel Gorenberg, Walid Shalata and Dan Levy Faber
J. Clin. Med. 2025, 14(22), 8082; https://doi.org/10.3390/jcm14228082 - 14 Nov 2025
Abstract
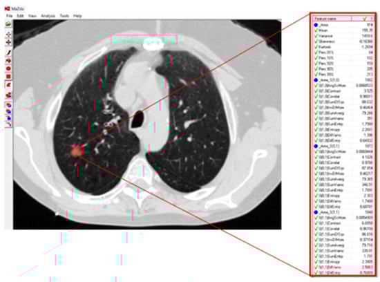
Background/Objectives: Ground-glass opacity (GGO) refers to areas of increased lung opacity on computed tomography (CT) scans. Distinguishing malignant from benign lesions using CT scans remains significantly challenging. This study aims to compare the performances of a linear multivariate statistical regression and an [...] Read more.
Background/Objectives: Ground-glass opacity (GGO) refers to areas of increased lung opacity on computed tomography (CT) scans. Distinguishing malignant from benign lesions using CT scans remains significantly challenging. This study aims to compare the performances of a linear multivariate statistical regression and an AI deep learning method in their abilities to predict GGO malignancy, given a set of pixel features extracted from CT scans. Methods: This retrospective study investigated patients from the Carmel Medical Center with findings of GGO nodules in their lung CT scans. Forty-seven consecutive patients were found to have either pure or part-solid GGO lesions, as defined by two independent radiologists. After manually segmenting the GGOs in the CT scans, pixel features were extracted using the MaZda software package, which analyzes six different image texture features. These textural variables were then compiled as input for the multivariate statistical regression. Additionally, an AI deep learning method, developed by our group and hosted on the cloud, was applied to the CT images containing the GGOs. Results: Among the 47 patients, 32 were diagnosed by pathology with malignant lesions and 15 with benign findings. Using the multivariate statistical regression, we identified 19 variables with statistically significant or near-significant differences through univariate analysis. In subsequent multivariate analyses, two independent variables that could distinguish between benign and malignant GGO lesions were identified: S(4,4)AngScMom (p = 0.012) and WavEnLH_s-2 (p = 0.008). The regression formula based on these two variables yielded a sensitivity of 91% and a specificity of 67% AUC: 0.8 (95% CI: [0.65, 0.94]). The AI deep learning model demonstrated a sensitivity of 100% and a specificity of 80% AUC: 0.96 (95% CI: [0.86, 1.00]). Conclusions: This proof-of-concept study demonstrates the superior performance of the AI deep learning model compared to the multivariate statistical regression, particularly in terms of sensitivity and specificity. However, given the small sample size, these results could potentially change with larger patient cohorts. Full article
(This article belongs to the Section Nuclear Medicine & Radiology)
Show Figures

Figure 1

12 pages, 792 KB  
Article
Redo-Transcatheter Aortic Valve Implantation (Redo-TAVI)—Pilot Study from Multicentre Nationwide Registry
by Szymon Jonik, Maciej Mazurek, Bartosz Rymuza, Jan Jankowski, Maciej Dąbrowski, Rafał Wolny, Piotr Chodór, Krzysztof Wilczek, Wojciech Fil, Krzysztof Milewski, Marcin Protasiewicz, Krzysztof Ściborski, Agnieszka Kapłon-Cieślicka, Alicja Skrobucha, Michał Hawranek, Piotr Scisło, Radosław Wilimski, Janusz Kochman, Marcin Grabowski, Marek Grygier, Adam Witkowski and Zenon Huczekadd Show full author list remove Hide full author list
J. Clin. Med. 2025, 14(22), 8078; https://doi.org/10.3390/jcm14228078 - 14 Nov 2025
Abstract
Objectives: The aim of this study is to evaluate the safety and efficacy of repeat transcatheter aortic valve implantation (redo-TAVI) in the polish population. Methods: In this multicentre nationwide registry (ClinicalTrials.gov identifier, NCT03361046), we provide characteristics, periprocedural variables and long-term outcomes [...] Read more.
Objectives: The aim of this study is to evaluate the safety and efficacy of repeat transcatheter aortic valve implantation (redo-TAVI) in the polish population. Methods: In this multicentre nationwide registry (ClinicalTrials.gov identifier, NCT03361046), we provide characteristics, periprocedural variables and long-term outcomes of high-risk patients who underwent redo-TAVI. Results: The mean age among 32 individuals who underwent redo-TAVI was 75 ± 13 years, and 62.5% were male. The mean time from index TAVI to redo-TAVI was 4.7 ± 3.5 years, with failed procedures (up to 1 year) occurring in 7 (21.9%) and failed transcatheter heart valve (THV, beyond 1 year) in the remaining majority of the 25 (78.1%) patients. Computed tomography-based native bicuspid aortic anatomy was found frequently in 37.5% of cases (58.3% in failed procedures and 41.7% in failed THV). The mean failed THV size was large (27.7 ± 3 mm) and predominantly presenting with pure regurgitation (59.4%). In more than two-thirds (68.7%), balloon-expandable or self-expandable THV was the most common strategy of redo-TAVI. None or mild regurgitation was found in 90.6%, and the mean transvalvular gradient was 13.1 ± 5.5 mmHg, with only three cases with >20 mmHg of the residual gradient (9.4%). Peri-procedural and 30-day complications were low, and cardiovascular and all-cause mortality at 1 year was 9.4 and 15.6%, respectively. There was a relatively high incidence of non-procedural stroke after redo-TAVI (n = 5, 15.6%), with all cases observed after 30 days. Conclusions: Initial data of redo-TAVI in Poland suggest that the procedure is safe and characterized by favourable efficacy and low rates of short-term adverse outcomes. A high frequency of baseline native bicuspid anatomy and late stroke occurrence after the redo-procedure warrants further investigation in larger cohorts. Full article
(This article belongs to the Section Cardiology)
Show Figures

Figure 1

7 pages, 9358 KB  
Case Report
Chest Wound Gunshot Management Aided by Cardiopulmonary Bypass: Interdisciplinary Teamwork or “Serendipity”?
by Valentina Tassi, Roland Peraj, Roberto Cirocchi, Valentino Borghetti and Mark Ragusa
Reports 2025, 8(4), 236; https://doi.org/10.3390/reports8040236 - 13 Nov 2025
Abstract
Background and clinical significance. Penetrating cardiothoracic wounds require prompt treatment in order to decrease mortality and morbidity. Surgical therapy, aimed at bleeding control and removal of damaged tissue, varies widely from the direct suture of parenchymal lacerations to pneumonectomy, which is characterized by [...] Read more.
Background and clinical significance. Penetrating cardiothoracic wounds require prompt treatment in order to decrease mortality and morbidity. Surgical therapy, aimed at bleeding control and removal of damaged tissue, varies widely from the direct suture of parenchymal lacerations to pneumonectomy, which is characterized by high mortality rates. We report our experience with a patient in hemorrhagic shock due to a gunshot wound to the chest, successfully treated by pneumorrhaphy under cardiopulmonary bypass (CPB). Case presentation. A 53-year-old man with a gunshot wound to the chest was admitted to our Emergency Department. A bedside ultrasonography revealed left pleural and pericardial effusion. He was hemodynamically instable, so he was immediately transferred to the operating room by the cardiac and Thoracic Surgery teams. Through a median sternotomy approximately 2 L of blood were evacuated and a deep laceration of the left upper lobe was discovered. The massive bleeding could not be controlled, leading to pleural cavity flooding. The surgical team decided to institute emergency CPB and perform lung repair by pneumorrhaphy, under circulatory support. The patient survived and was discharged on p.o. day 20. Conclusions. Clinical expertise, adequate instrumental equipment and a high level of interdisciplinary team-work favorably affected the patient’s outcome. Full article
Show Figures

Figure 1

14 pages, 3547 KB  
Systematic Review
Robotic Omental Flap Harvest for Complex Thoracic Defects: Case Series and Review of the Literature
by Susana Fortich, Camila Franco-Mesa, Jennifer Den, Gabriel De La Cruz Ku, Gal Levy and Roman Petrov
Med. Sci. 2025, 13(4), 264; https://doi.org/10.3390/medsci13040264 - 12 Nov 2025
Viewed by 94
Abstract
Objective: The omentum is a highly vascularized and immunologically active tissue with significant regenerative potential. Despite its versatility, its use has traditionally been limited to intra-abdominal applications due to access challenges. Conventional open harvest requires laparotomy, and laparoscopic techniques are hindered by limited [...] Read more.
Objective: The omentum is a highly vascularized and immunologically active tissue with significant regenerative potential. Despite its versatility, its use has traditionally been limited to intra-abdominal applications due to access challenges. Conventional open harvest requires laparotomy, and laparoscopic techniques are hindered by limited visualization and poor ergonomics. We describe the use of robotic-assisted omental flap harvest for thoracic reconstruction, offering a minimally invasive alternative. Methods: A retrospective review was conducted of patients who underwent robotic omental flap harvest for intrathoracic reconstruction at a single-center institution between January 2023 and January 2024. Data collected included demographics, indications, surgical technique, operative details, and postoperative outcomes, with a focus on flap viability and complications. Additionally, a systematic review was conducted to evaluate current evidence and experiences with this type of technique. Results: Three patients underwent robotic omental flap harvest for indications including chest wall reconstruction and pleural space obliteration in infected thoracic cavities. The average robotic flap harvest time was 79 ± 13 min, with an estimated ± blood loss of 20 cc. The mean postoperative hospital stay was 10 days, influenced by the primary procedure and patient comorbidities. At an average follow-up of 8 months, all flaps remained viable, with no flap-related complications or losses. The systematic review demonstrated limited data in the current literature regarding this type of surgical approach. Conclusions: Robotic-assisted omental flap harvest is a safe, feasible, and effective technique for complex thoracic reconstructions. It provides a minimally invasive alternative to traditional harvest methods, with reduced morbidity and excellent clinical outcomes. This technique expands the reconstructive options for intrathoracic defects and infections. Full article
(This article belongs to the Section Pneumology and Respiratory Diseases)
Show Figures

Figure 1

15 pages, 728 KB  
Article
Outcomes of Lobar and Sublobar Resection for Clinical Stage I Lung Neuroendocrine Tumors: An ENETS Center of Excellence Experience
by Ranin Hojerat, Islam Idais, Gal Aviel, Anat Bel-Ange, Simona Grozinsky-Glasberg, Simona Ben-Haim, Benjamin Nisman, Ofra Maimon, Karine Atlan, Oz M. Shapira, Amit Korach, Uzi Izhar, Guy Pines and Ori Wald
J. Clin. Med. 2025, 14(22), 7927; https://doi.org/10.3390/jcm14227927 - 8 Nov 2025
Viewed by 277
Abstract
Objectives: Lung neuroendocrine tumors (LNETs) are rare, comprising 1–2% of lung cancers. This study aimed to compare overall survival (OS) and recurrence-free survival (RFS) after lobar resection versus sublobar resection for LNETs and to identify factors associated with prognosis and resection extent. Methods: [...] Read more.
Objectives: Lung neuroendocrine tumors (LNETs) are rare, comprising 1–2% of lung cancers. This study aimed to compare overall survival (OS) and recurrence-free survival (RFS) after lobar resection versus sublobar resection for LNETs and to identify factors associated with prognosis and resection extent. Methods: We retrospectively analyzed patients with clinical stage I (T ≤ 4 cm, N0M0) typical or atypical carcinoid who underwent curative resection at Hadassah Medical Center and Kaplan medical Center between 2010 and 2024. Results: Seventy patients (mean age 56.8 ± 16 years; 63% female) were included. Lobar resection was performed in 40 (57%) and sublobar resection in 30 (43%; 15 segmentectomies, 15 wedge resections). Pathology revealed 50 typical carcinoid (71.43%) and 20 atypical carcinoid (28.57%). Final pathological stage was I in 57 patients (81.42%), II in 9 (12.86%), and III in 4 (5.71%), reflecting surgical upstaging in 13 patients (18.57%), all due to nodal involvement. Atypical carcinoid was associated with worse RFS, nodal upstaging, and adjuvant therapy (all p < 0.01). Patients undergoing sublobar resection were older, had higher comorbidity scores, more frequently presented with peripheral tumors, and underwent less frequent lymph node assessment (all p < 0.01). At a median follow-up of 3.8 years for OS and 2.0 years for RFS, survival rates were 95.7% for both. Neither OS, RFS, nor postoperative normalization of plasma pro-gastrin-releasing peptide (ProGRPp) levels differed significantly between lobar resection and sublobar resection (p = 0.94, p = 0.42, and p = 0.205, respectively). Conclusions: Sublobar resection may represent an acceptable surgical option for selected patients with clinical stage I LNETs, particularly for peripheral tumors ≤ 2 cm in older or comorbid patients. The high rate of nodal upstaging underscores the need for lymph node assessment, irrespective of resection extent. Full article
(This article belongs to the Special Issue Latest Advances in Thoracic Surgery: 2nd Edition)
Show Figures

Figure 1

13 pages, 1340 KB  
Review
A Narrative Review on Current Status of Conscious Sedation for Transcatheter Aortic Valve Implantation
by Georgia Nazou, Nikolaos Schizas, Konstantina N. Romana, Vasiliki Androutsopoulou, Eleni Magira, Andreas Sarantopoulos, Dimitrios Iliopoulos and Spyros D. Mentzelopoulos
Medicina 2025, 61(11), 1980; https://doi.org/10.3390/medicina61111980 - 5 Nov 2025
Viewed by 241
Abstract
Anesthesiologic management of Transcatheter Aortic Valve Implantation (TAVI) is a key factor in procedural success and effectiveness. Although general anesthesia was the main anesthesiologic approach during the early years of the development of TAVI, over the last decade, there has been a shift [...] Read more.
Anesthesiologic management of Transcatheter Aortic Valve Implantation (TAVI) is a key factor in procedural success and effectiveness. Although general anesthesia was the main anesthesiologic approach during the early years of the development of TAVI, over the last decade, there has been a shift towards sedation. Hemodynamic stability is the main concern of intraoperative anesthesiologic management. Preprocedural, multidisciplinary assessment of the patient is essential prior to TAVI and should include a full anesthesiologic evaluation. TAVI offers a number of advantages to patients and medical teams, but important accompanying complications and anesthesiologic risks remain. In this narrative review, all aspects of sedation in TAVI are presented and analyzed, including methods, patient selection, contraindications, drug administration, intraprocedural parameters, outcomes, and future developments in this field. Full article
Show Figures

Figure 1

7 pages, 193 KB  
Brief Report
Impact of Intraoperative Albumin Use During Lung Transplantation on Primary Graft Dysfunction
by Yoshio Tatsuoka, Krzysztof J. Zembrzuski, Jake G. Natalini, Stephanie H. Chang and Jennie Y. Ngai
J. Clin. Med. 2025, 14(21), 7843; https://doi.org/10.3390/jcm14217843 - 5 Nov 2025
Viewed by 202
Abstract
Background: Primary graft dysfunction (PGD) is the leading cause of early mortality after lung transplantation. Albumin is commonly used during lung transplantation to maintain intravascular volume while minimizing total intravenous fluid administration, given the established association between larger intravenous fluid and PGD. However, [...] Read more.
Background: Primary graft dysfunction (PGD) is the leading cause of early mortality after lung transplantation. Albumin is commonly used during lung transplantation to maintain intravascular volume while minimizing total intravenous fluid administration, given the established association between larger intravenous fluid and PGD. However, the direct impact of albumin on PGD remains unclear. Methods: We conducted a single-center retrospective cohort study of lung transplant recipients between 2018 and 2023. We calculated the corrected albumin proportion (cAP), representing the ratio of albumin to total intravenous fluid administered. We analyzed associations between cAP and PGD at 24, 48, and 72 h, as well as secondary outcomes including total fluid administration, 30-day acute kidney injury, mortality, and ICU length of stay. Results: A total of 190 patients were included in this study. A higher cAP was associated with lower total intravenous fluid administration (r = −0.15, p = 0.03), whereas a higher total intravenous fluid administration was associated with higher PGD at 72 h (OR 1.02, 95% CI 1.00–1.03, p = 0.04). However, cAP was not independently associated with PGD or other short-term outcomes. Conclusions: Intraoperative albumin use modestly reduced total intravenous fluid administration but was not independently associated with significant reductions in PGD or improvements in other short-term outcomes. Full article
(This article belongs to the Special Issue Advances in Anesthesia for Cardiac Surgery)
14 pages, 480 KB  
Systematic Review
Mitral Valve Surgery with and Without Mitral Annular Disjunction: A Meta-Analysis
by Massimo Baudo, Francesco Cabrucci, Francesca Maria Di Muro, Dimitrios E. Magouliotis, Beatrice Bacchi, Arian Arjomandi Rad, Andrew Xanthopoulos, Tulio Caldonazo and Michele D’Alonzo
J. Cardiovasc. Dev. Dis. 2025, 12(11), 436; https://doi.org/10.3390/jcdd12110436 - 4 Nov 2025
Viewed by 329
Abstract
Background/Objectives: Despite growing awareness of mitral annular disjunction’s (MAD) clinical significance, robust data regarding the outcomes of surgical interventions on MAD remain sparse. This meta-analysis aims to systematically evaluate the current evidence on the efficacy and safety of mitral valve (MV) surgery in [...] Read more.
Background/Objectives: Despite growing awareness of mitral annular disjunction’s (MAD) clinical significance, robust data regarding the outcomes of surgical interventions on MAD remain sparse. This meta-analysis aims to systematically evaluate the current evidence on the efficacy and safety of mitral valve (MV) surgery in patients with MAD. Methods: A systematic review was conducted from inception until May 2025 for studies comparing patients undergoing MV surgery with and without MAD and was registered in PROSPERO: CRD42025649821. Results: Patients with MAD were generally younger (59.3 ± 5.0 vs. 63.4 ± 2.2 years, standardized mean difference: −0.3073), had fewer comorbidities but more complex valve lesions (41.0% vs. 13.7%, risk difference: 0.2627) compared to those without MAD. MV replacement was performed less frequently in the MAD group than in the No-MAD group (risk ratio, RR: 0.690 [95% confidence interval, CI: 0.508; 0.937], p = 0.017), probably related to the significant difference in age between the two groups. The MAD cohort demonstrated a higher incidence of ventricular arrhythmia both after surgery (RR: 7.255 [95%CI: 1.231; 42.763], p = 0.029) and during follow-up (incidence rate ratio, IRR: 2.750 [95%CI: 1.372; 5.512], p = 0.004). Although the MAD group experienced more arrhythmic events over time, this did not translate into a significant difference in overall mortality compared to patients without MAD (IRR: 0.573 [95%CI: 0.072; 4.555], p = 0.599). Conclusions: This meta-analysis revealed significant baseline differences between the populations. Our findings suggest that patients with MAD remained at significantly higher risk for both postoperative and long-term arrhythmias. These results highlight the need for close arrhythmic surveillance in this population. Full article
(This article belongs to the Special Issue State of the Art in Mitral Valve Disease)
Show Figures

Figure 1

15 pages, 5118 KB  
Article
Making Fluorescent Nylon, Polypropylene, and Polystyrene Microplastics for In Vivo and In Vitro Imaging
by Charles E. Bardawil, Jarrett Dobbins, Shannon Lankford, Saif Chowdrey, Jack Shumway, Gayathriy Balamayooran, Cedric Schaack and Rajeev Dhupar
Microplastics 2025, 4(4), 84; https://doi.org/10.3390/microplastics4040084 - 4 Nov 2025
Viewed by 340
Abstract
Microplastics (MPs) are synthetic environmental pollutants increasingly linked to adverse human health effects. To study their biological impact, researchers require access to environmentally relevant MPs that can be accurately tracked in biological systems. However, most ambient MPs are composed of non-conjugated polymers that [...] Read more.
Microplastics (MPs) are synthetic environmental pollutants increasingly linked to adverse human health effects. To study their biological impact, researchers require access to environmentally relevant MPs that can be accurately tracked in biological systems. However, most ambient MPs are composed of non-conjugated polymers that lack intrinsic fluorescence, limiting their utility in live-cell or in vivo imaging. Addressing this challenge, we present two alternative labeling approaches that enable visualization, tracking, and quantification of MPs. First, we stained nylon and polypropylene MPs with Rhodamine 6G, a fluorescent dye known for its stability and compatibility with in vivo applications. These labeled MPs retained strong fluorescence in murine lung tissue for up to one week, as confirmed by fluorescent microscopy. Second, we conjugated aminated polystyrene microspheres with IRDye-800CW, a near-infrared fluorophore that enables high-resolution imaging with minimal tissue autofluorescence via an In Vivo Imaging System and confocal microscopy. In vivo experiments revealed organ-specific accumulation of IRDye-labeled MPs, with a 2.8-fold increase in the liver and a 5-fold increase in spleen compared to controls, detectable up to 72 h post-injection. These labeling strategies provide researchers with practical tools to visualize and study the biodistribution of MPs in biological systems, advancing efforts to understand their health implications. Full article
Show Figures

Graphical abstract

34 pages, 1885 KB  
Review
Diabetes Mellitus and Cardiopulmonary Bypass (CPB): Pathophysiological Mechanisms Related to Inflammation and Cardiovascular Disease
by Theodora M. Stougiannou, Theocharis Koufakis, Nikolaos Papanas and Dimos Karangelis
Curr. Issues Mol. Biol. 2025, 47(11), 911; https://doi.org/10.3390/cimb47110911 - 2 Nov 2025
Viewed by 400
Abstract
Type 2 Diabetes Mellitus (T2DM) is a chronic disease caused by the resistance of tissues to the actions of insulin as well as the progressive failure to produce adequate amounts of insulin in pancreatic β-cells. Research has further shown that T2DM is characterized [...] Read more.
Type 2 Diabetes Mellitus (T2DM) is a chronic disease caused by the resistance of tissues to the actions of insulin as well as the progressive failure to produce adequate amounts of insulin in pancreatic β-cells. Research has further shown that T2DM is characterized by a generalized state of low-grade inflammation; this inflammation is often related to overnutrition and obesity leading to an excess storage of lipid particles in adipose cells. Eventually, this will stimulate the pathophysiological pathways of cellular stress and inflammation. The inflammation characterizing T2DM can then contribute, along with other mechanisms of hyperglycemia, to the emergence of cardiovascular disease. Due to the resulting heart disease, many patients with T2DM may be inevitably required to undergo cardiac surgery with cardiopulmonary bypass (CPB), a process also characterized by an intense inflammatory response with possible effects and disruptions in immune system functions. It is thus the purpose of this narrative review to summarize and present evidence in the literature related to the inflammatory interplay occurring between T2DM, cardiovascular disease, and cardiac surgery with CPB. Full article
(This article belongs to the Special Issue Advances in Molecular Therapies and Disease Associations in Diabetes)
Show Figures

Figure 1

19 pages, 1312 KB  
Review
Beyond Tumor Suppression: The Multifaceted Functions of HOPX in Tissue Differentiation, Metabolism, and Immunity
by Fabian Munzert, Miljana Nenkov, Alexander Berndt, Tim Sandhaus, Susanne Lang, Nikolaus Gaßler and Yuan Chen
Cells 2025, 14(21), 1718; https://doi.org/10.3390/cells14211718 - 1 Nov 2025
Viewed by 411
Abstract
The transcription factor homeodomain-only protein X (HOPX) is the smallest member of the homeodomain protein family. Lacking a DNA-binding domain, it acts as a co-effector, interacting with other transcription factors such as serum response factor (SRF) and GATA-binding factor 6 (GATA6) to regulate [...] Read more.
The transcription factor homeodomain-only protein X (HOPX) is the smallest member of the homeodomain protein family. Lacking a DNA-binding domain, it acts as a co-effector, interacting with other transcription factors such as serum response factor (SRF) and GATA-binding factor 6 (GATA6) to regulate the differentiation and development of the heart and lung. HOPX exerts a tumor-suppressive function in various types of epithelial-derived carcinoma, while it promotes oncogenic effects in mesenchymal-derived sarcoma, indicating a distinct role of HOPX in the two major types of the malignancy. In addition, accumulating evidence shows that HOPX is expressed in the immune system and involved in the differentiation of immune cells. Recently, the emerging role of HOPX in metabolism has gained attention. This review describes the identification of HOPX in various tissues and discusses its role in carcinogenesis, as well as its functions in tissue differentiation, lipid metabolism, immunity, and the tumor microenvironment. The participation of HOPX in carcinogenesis and immunity implies that it may serve as a potential enhancer in tumor immunotherapy. Full article
Show Figures

Figure 1

15 pages, 579 KB  
Article
Pericardial Closure Preserves Early Right Ventricular Function After Cardiac Surgery: A Retrospective Cohort Study
by Hannah Breuer, Marjolijn C. Sales, Natasja W. M. Ramnath, Yusuf Shieba, Alish Kolashov, Ajay Moza, Lachmandath Tewarie, Rashad Zayat and Nima Hatam
J. Cardiovasc. Dev. Dis. 2025, 12(11), 431; https://doi.org/10.3390/jcdd12110431 - 31 Oct 2025
Viewed by 235
Abstract
Background: Perioperative right ventricular (RV) dysfunction is a frequent complication of cardiac surgery linked to poor outcomes and may result from the loss of pericardial support. We investigated whether pericardial closure preserves early postoperative RV function. Methods: We compared patients with pericardial closure [...] Read more.
Background: Perioperative right ventricular (RV) dysfunction is a frequent complication of cardiac surgery linked to poor outcomes and may result from the loss of pericardial support. We investigated whether pericardial closure preserves early postoperative RV function. Methods: We compared patients with pericardial closure versus open pericardium. Co-primary endpoints were early postoperative RV longitudinal function by tricuspid annular plane systolic excursion (TAPSE) and tricuspid annular systolic velocity (TASV). Adjusted comparisons used analysis-of-covariance (postoperative value adjusted for baseline) with prespecified covariates (baseline outcome, LV global longitudinal strain, left-ventricular ejection fraction, LVEDVI, sex, procedure; cardiopulmonary bypass and cross-clamp times when available). Holm correction-controlled multiplicity across the co-primary endpoints. Sensitivity linear mixed-effects models (time × group) were performed. Results: Pericardial closure was associated with better early RV longitudinal function after multivariable adjustment. TAPSE: adjusted mean difference (AMD, Closed–Open) 1.531 mm (95% CI 0.130–2.931; p = 0.033). TASV: AMD 1.694 cm/s (95% CI 0.437–2.951; p = 0.009; Holm-adjusted p = 0.018). Sensitivity analyses yielded consistent estimates. Conclusions: Pericardial closure was independently associated with improved early RV longitudinal function. These adjusted findings address baseline LV imbalances and support considering closure to preserve RV performance; confirmation in prospective trials is warranted. Full article
(This article belongs to the Section Cardiac Surgery)
Show Figures

Figure 1

14 pages, 1025 KB  
Systematic Review
Beyond Mortality: Textbook Outcome as a Novel Quality Metric in Cardiothoracic Surgical Care
by Dimitrios E. Magouliotis, Vasiliki Androutsopoulou, Prokopis-Andreas Zotos, Ugo Cioffi, Fabrizio Minervini, Noah Sicouri, Dimitrios Zacharoulis, Andrew Xanthopoulos and Marco Scarci
J. Clin. Med. 2025, 14(21), 7660; https://doi.org/10.3390/jcm14217660 - 28 Oct 2025
Viewed by 248
Abstract
Objective: Textbook outcome (TO) is a multidimensional composite quality metric that integrates several desirable short-term outcomes into a single measure representing the “ideal” perioperative course. Unlike traditional indicators that focus narrowly on mortality or single complications, TO captures the complexity of cardiothoracic care, [...] Read more.
Objective: Textbook outcome (TO) is a multidimensional composite quality metric that integrates several desirable short-term outcomes into a single measure representing the “ideal” perioperative course. Unlike traditional indicators that focus narrowly on mortality or single complications, TO captures the complexity of cardiothoracic care, encompassing oncologic adequacy, absence of major complications, avoidance of reintervention and readmission, and timely discharge. Methods: In this systematic review, we synthesize evidence on the definition, incidence, determinants, prognostic impact, and limitations of TO across cardiothoracic surgery (lung and esophageal resections, lung transplantation, cardiac surgery, and adult heart transplantation) in accordance with the PRISMA guidelines. Results: Reported achievement rates range from 24% to 66% in thoracic series, 30% after Norwood palliation, 37–45% after adult heart transplantation, and 52% in a contemporary national cohort of lung transplantation, with wide between-center variability. Achieving TO is consistently associated with improved overall and disease-free survival, lower costs, and enhanced benchmarking. Determinants of failure include inadequate lymph node dissection, prolonged operative time, advanced comorbidity, pretransplant organ support, and socioeconomic disadvantage. Heterogeneity of definitions, limited incorporation of patient-reported outcomes, and equity concerns remain barriers to its successful use. Outside transplantation, benchmarking of TO in adult cardiac procedures (e.g., CABG/valve) remains limited and non-standardized. Conclusions: We argue for harmonized, procedure-specific core TO sets aligned with widely available registry fields, integration of equity-sensitive risk adjustment, and prospective validation. TO is poised to become a cornerstone metric of quality assessment and improvement in cardiothoracic surgery. Full article
(This article belongs to the Special Issue Thoracic Surgery: State of the Art and Future Directions)
Show Figures

Figure 1

14 pages, 2296 KB  
Review
Takotsubo Cardiomyopathy and Stressed Heart Morphology: Molecular, Hemodynamic, and Imaging Intersections
by Omar Atef Abdelhamid Mahmoud, Boran Cagatay, Nagehan Kucukler, Fatih Yalcin and Mario J. Garcia
J. Clin. Med. 2025, 14(21), 7638; https://doi.org/10.3390/jcm14217638 - 28 Oct 2025
Viewed by 386
Abstract
Takotsubo Cardiomyopathy (TTC), often referred to as stress-induced or “broken heart” syndrome, is characterized by transient left ventricular dysfunction predominantly involving apical hypokinesia and basal hyperkinesia in the absence of obstructive coronary artery disease. Traditionally viewed as an acute and reversible phenomenon, accumulating [...] Read more.
Takotsubo Cardiomyopathy (TTC), often referred to as stress-induced or “broken heart” syndrome, is characterized by transient left ventricular dysfunction predominantly involving apical hypokinesia and basal hyperkinesia in the absence of obstructive coronary artery disease. Traditionally viewed as an acute and reversible phenomenon, accumulating evidence suggests that TTC may emerge from a preexisting myocardial substrate shaped by chronic stress and hemodynamic loading. Basal Septal Hypertrophy (BSH), a morphological finding commonly observed in elderly, hypertensive, or emotionally stressed individuals, has been increasingly recognized in patients with TTC. This hypertrophic pattern, often accompanied by dynamic contractile gradients and regional perfusion mismatch, reflects a broader adaptive remodeling process conceptualized as Stressed Heart Morphology (SHM). SHM encompasses the structural and functional myocardial responses to cumulative neurohormonal and mechanical stress, with BSH representing a key imaging marker within this spectrum. Advanced echocardiographic techniques, such as tissue Doppler imaging, speckle-tracking strain analysis, and stress echocardiography, consistently reveal overlapping features between SHM and TTC, including basal hyperkinesis, septal thickening, and inducible left ventricular outflow tract obstruction. These findings support a continuum in which SHM serves as a predisposing substrate for TTC, representing a stress-provoked clinical expression within a unified myocardial stress–response framework. Full article
(This article belongs to the Section Cardiology)
Show Figures

Figure 1

10 pages, 684 KB  
Article
Percutaneous Temporary Mechanical Circulatory Support as a Bridge to Heart Transplantation in the Current UNOS Allocation System
by Rohan Goswami, Jose Ruiz, Aarti Desai, Peter Wlodkowski, Basar Sareyyupoglu, Sean Kiley, Anirban Bhattacharyya, Daniel Yip, Melissa Lyle, Jose Nativi-Nicolau, Juan Leoni, Devang Sanghavi, Alfredo Quiñones-Hinojosa, Sanjay Chaudhary, Kevin Landolfo, Si Pham and Parag Patel
Biomedicines 2025, 13(11), 2637; https://doi.org/10.3390/biomedicines13112637 - 28 Oct 2025
Viewed by 453
Abstract
Background: Progressive heart failure cardiogenic shock (HFCS) often requires escalation to temporary or durable mechanical circulatory support (MCS) as a bridge to transplant (BTT). Following the 2018 UNOS allocation changes, our center revised its BTT strategy to optimize support and shorten wait [...] Read more.
Background: Progressive heart failure cardiogenic shock (HFCS) often requires escalation to temporary or durable mechanical circulatory support (MCS) as a bridge to transplant (BTT). Following the 2018 UNOS allocation changes, our center revised its BTT strategy to optimize support and shorten wait times. At our institution, the Impella 5.5 with SmartAssist via the axillary approach was selectively used for patients who remained refractory to guideline-directed medical therapy, failed single-inotrope therapy, and were not considered suitable durable LVAD candidates by our multidisciplinary heart team. We compared transplant-related outcomes of BTT patients supported with Impella 5.5 versus durable LVAD. Methods: We performed a single-center retrospective review of all heart and heart/kidney transplant candidates at Mayo Clinic Florida from October 2018 to February 2021. INTERMACS profile, baseline characteristics, and perioperative data were collected at the time of device implantation and throughout the transplant hospitalization. Results: A total of 87 heart and 4 heart–kidney transplants were completed. Forty-five patients (49%) required MCS as BTT: 27 (60%) with a durable LVAD and 18 (40%) with an Impella 5.5. All eighteen patients with Impella 5.5 as BTT (100%) were transplanted compared to nineteen patients with durable LVAD (70%), p = 0.001. The median time from listing to transplant was substantially shorter with Impella (32 vs. 696 days, p < 0.001), and this difference persisted across INTERMACS profiles. UNOS status at transplant was more urgent for Impella than LVAD (p < 0.001). Transplant surgery following Impella support required shorter cardiopulmonary bypass time (181 vs. 219 min, p < 0.001) and resulted in lower postoperative vasoactive-inotropic requirements (7.9 vs. 13, p = 0.003). No patients in the Impella group died or were delisted while awaiting transplant, whereas 5 LVAD patients (26%) died or were removed due to LVAD complications (p < 0.001). Conclusions: Our data demonstrates that the use of the Impella 5.5 as BTT was associated with significantly shorter waitlist time, higher transplantation rates, reduced perioperative morbidity, and lower postoperative vasoactive support compared with durable LVAD as BTT. These benefits were achieved despite a higher severity of illness at transplantation in the Impella cohort. Full article
(This article belongs to the Special Issue Heart Failure: New Diagnostic and Therapeutic Approaches, 2nd Edition)
Show Figures

Figure 1

Back to TopTop