Sign in to use this feature.

Years

Between: -

Subjects

remove_circle_outline
remove_circle_outline
remove_circle_outline
remove_circle_outline
remove_circle_outline
remove_circle_outline
remove_circle_outline
remove_circle_outline
remove_circle_outline

Journals

remove_circle_outline
remove_circle_outline
remove_circle_outline
remove_circle_outline
remove_circle_outline
remove_circle_outline
remove_circle_outline
remove_circle_outline
remove_circle_outline
remove_circle_outline
remove_circle_outline

Article Types

Countries / Regions

remove_circle_outline
remove_circle_outline
remove_circle_outline
remove_circle_outline
remove_circle_outline

Search Results (1,943)

Search Parameters:
Keywords = bio-control agents

Order results
Result details
Results per page
Select all
Export citation of selected articles as:
22 pages, 7950 KB  
Article
Isolation, Characterization, and Evaluation of a Lytic Jumbo Phage Z90 Against Aeromonas hydrophila in American Eels (Anguilla rostrata)
by Miaosen Zhang, Xuejin Feng, Jianxin Wang, Wu Qu and Min Jin
Antibiotics 2026, 15(1), 27; https://doi.org/10.3390/antibiotics15010027 (registering DOI) - 31 Dec 2025
Abstract
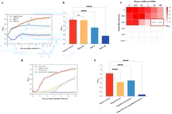
Background: Aeromonas hydrophila is a common bacterial pathogen that causes hemorrhagic septicaemia in several farmed aquaculture species. Phage therapy is considered a promising and feasible alternative to antibiotic treatment. Methods: In this study, an A. hydrophila-infecting jumbo phage Z90 was isolated [...] Read more.
Background: Aeromonas hydrophila is a common bacterial pathogen that causes hemorrhagic septicaemia in several farmed aquaculture species. Phage therapy is considered a promising and feasible alternative to antibiotic treatment. Methods: In this study, an A. hydrophila-infecting jumbo phage Z90 was isolated from an aquaculture pond. The biological characteristics, genomic features, and in vitro and in vivo experiments were investigated to evaluate its application potential. Results: Phage Z90 was a myovirus with distinctive curled tail fibers. Additionally, phylogenetic and genomic analyses found that the phage Z90 was a novel virus belonging to the genus Ferozepurvirus of the family Chimalliviridae. One-step growth curve analysis revealed that the phage Z90 was a lytic phage, exhibiting a short latency period of 20 min and a relatively large burst size of 270 ± 42 PFU/cell. The phage Z90 particles were stable at psychrotrophic and mesophilic temperatures (10–50 °C) and a wide range of pH (pH 3–12). Genomic analysis revealed that the phage Z90 did not contain any genes encoding toxins, virulence factors, or antibiotic resistance factors. In vivo analysis demonstrated that the phage Z90 protected American eels from A. hydrophila infection, greatly increasing eel survival rates and alleviating symptoms caused by bacterial infections. The comparison of different phage administration methods suggested that phage Z90 was better administered through intraperitoneal injection than immersion in aquaculture water. Moreover, the combination of phage Z90 and ampicillin improved the bactericidal effect and reduced the treatment dosage compared to antibiotics or phage alone. Conclusions: Altogether, the findings of this study indicate that the phage Z90 can serve as a promising biocontrol agent for the treatment of A. hydrophila infection in aquaculture. Full article
Show Figures

Figure 1

14 pages, 2169 KB  
Article
Identification and Characterization of a Proteinaceous Antibacterial Factor from Pseudomonas extremorientalis PEY1 Active Against Edwardsiella tarda
by Hyun-Sol Jo, Youl-Lae Jo and Sun-Mee Hong
Microbiol. Res. 2026, 17(1), 6; https://doi.org/10.3390/microbiolres17010006 (registering DOI) - 30 Dec 2025
Abstract
Pseudomonas extremorientalis PEY1, isolated from the intestinal contents of marine fish, was evaluated for the production and properties of antibacterial proteins active against Edwardsiella tarda, a major pathogen in aquaculture. Antibacterial production was maximized in a minimal medium supplemented with 1% yeast [...] Read more.
Pseudomonas extremorientalis PEY1, isolated from the intestinal contents of marine fish, was evaluated for the production and properties of antibacterial proteins active against Edwardsiella tarda, a major pathogen in aquaculture. Antibacterial production was maximized in a minimal medium supplemented with 1% yeast extract and 1% galactose under stationary cultivation at 25 °C and pH 7.0. Growth and bioactivity assays were conducted under varying carbon and nitrogen sources, temperatures, and pH levels. Sodium dodecyl sulfate-polyacrylamide gel electrophoresis analysis revealed a distinct ~37 kDa protein band corresponding to antibacterial activity, exhibiting an inhibition zone of 2.4 ± 0.1 cm against E. tarda. The activity was completely abolished by papain digestion but remained detectable after exposure to 55 °C and pH 8, indicating that the active compound is a moderately heat-stable, proteinaceous antibacterial molecule. LC–MS/MS analysis identified the protein as a putative disulfide reductase with ~40% sequence coverage. The antibacterial factor exhibited strong physicochemical stability, retaining activity in the presence of surfactants and metal ions. Collectively, these findings demonstrate that P. extremorientalis PEY1 produces a thermostable, papain-sensitive antibacterial protein with selective activity against E. tarda, highlighting its potential as a promising natural biocontrol or postbiotic candidate for sustainable aquaculture. Full article
Show Figures

Figure 1

17 pages, 3072 KB  
Article
Washable Few-Layer Graphene-Based Conductive Coating: The Impact of TPU Segmental Structure on Its Final Performances
by Ilaria Improta, Gennaro Rollo, Giovanna Giuliana Buonocore, Marco Fiume, Vladimír Sedlařík and Marino Lavorgna
Coatings 2026, 16(1), 38; https://doi.org/10.3390/coatings16010038 (registering DOI) - 30 Dec 2025
Abstract
The development of sustainable, water-based conductive coatings is essential for advancing environmentally responsible wearable and printed electronics. Achieving high electrical conductivity and wash durability remains a key challenge. This is largely dependent on the compatibility between the polymer matrix, the conductive filler and [...] Read more.
The development of sustainable, water-based conductive coatings is essential for advancing environmentally responsible wearable and printed electronics. Achieving high electrical conductivity and wash durability remains a key challenge. This is largely dependent on the compatibility between the polymer matrix, the conductive filler and the substrate surface. In this study, a facile formulation strategy is proposed by directly integrating few-layer graphene (FLG, 2.5 wt%) into commercial bio-based thermoplastic polyurethanes (TPUs), combined with polyvinylpyrrolidone (PVP) as a dispersing agent. The investigation focuses on how the segmental architecture of four TPUs with different structure and hard–soft segments composition influences filler dispersion, mechanical integrity, and electrical behavior. Coatings were deposited onto flexible substrates, including textiles and paper, using a bar-coating process and were characterized in terms of morphology, thermal properties, electrical conductivity, and wash resistance. The results demonstrate that TPUs containing a higher presence of hard segments interact more effectively with hydrophobic surfaces, while TPUs with a higher contribution of soft segments improve adhesion to hydrophilic substrates and facilitate the formation of the percolation network, underling the role of TPU microstructure in controlling interfacial interactions and overall coating performance. The proposed comparative approach provides a sustainable pathway toward durable, high-performance, and washable electronic textiles and paper-based devices. Full article
Show Figures

Figure 1

32 pages, 8552 KB  
Article
Ameliorated Hepatoprotective Aptitude of Novel Lignin Nanoparticles on APAP-Induced Hepatotoxicity in a Murine Model
by Monika Toneva, Nikola Kostadinov, Zhani Yanev, Galina Nikolova, Yanka Karamalakova, Milena Tzanova and Zvezdelina Yaneva
Pharmaceuticals 2026, 19(1), 71; https://doi.org/10.3390/ph19010071 (registering DOI) - 29 Dec 2025
Abstract
Background/Objectives: Acetaminophen (paracetamol or APAP) overdose is a major cause of acute liver injury mediated by oxidative stress, inflammation, and hepatocellular necrosis. The present study investigates the in vivo hepatoprotective potential of morin (M), lignin nanoparticles (LN), and morin-encapsulated lignin nanoparticles (LMN) [...] Read more.
Background/Objectives: Acetaminophen (paracetamol or APAP) overdose is a major cause of acute liver injury mediated by oxidative stress, inflammation, and hepatocellular necrosis. The present study investigates the in vivo hepatoprotective potential of morin (M), lignin nanoparticles (LN), and morin-encapsulated lignin nanoparticles (LMN) against APAP-induced hepatotoxicity in mice. The specific goal was to determine whether LMN could strengthen hepatic antioxidant and anti-inflammatory defenses prior to toxic insult, which aligns with a prophylactic model rather than a post-injury clinical rescue approach. This study was guided by the primary hypothesis that LMN pretreatment would markedly reduce APAP-induced hepatic injury. Methods: Experimental groups included control, APAP, M, LN, LMN, M+APAP, LN+APAP, and LMN+APAP treatments. Serum hepatic biomarkers, oxidative stress parameters, and inflammatory cytokines were analyzed to assess protective responses. Results: APAP exposure markedly elevated aspartate aminotransferase (AST) and alkaline phosphatase (ALP) levels, indicating severe hepatic dysfunction, accompanied by increased lipid peroxidation and pro-inflammatory cytokine production. LMN+APAP treatment significantly restored hepatic enzyme levels to approximately normal values and suppressed malondialdehyde (MDA) formation, while enhancing superoxide dismutase (SOD), catalase (CAT), and glutathione peroxidase (GPx) activities. LMN also downregulated interleukin 6 (IL-6), tumor necrosis factor α (TNF-α), and interleukin 1β (IL-1β), while upregulating interleukin 10 (IL-10), suggesting effective attenuation of inflammatory signaling. Correlation analyses demonstrated positive interactions between MDA, cytokines, and hepatic enzymes, whereas antioxidant enzyme levels were inversely correlated with liver injury markers. Histopathological analysis revealed that treatment with LMN enhanced hepatoprotection, demonstrating predominantly mild, reversible lesions and suggesting a synergistic antioxidant and immunomodulatory effect. Conclusions: It could be concluded that LMN provided superior hepatoprotection compared to M or LN. These findings establish LMN as a promising bio-based nanotherapeutic agent for mitigating drug-induced hepatotoxicity through coordinated antioxidant and anti-inflammatory mechanisms. Full article
(This article belongs to the Special Issue Nanotechnology in Biomedical Applications)
Show Figures

Graphical abstract

18 pages, 2920 KB  
Article
Volatile Organic Compound Emissions in the Invasive Legume Cytisus scoparius: Linking Plant Phenology, Arthropod Communities, and Environmental Factors
by Evans Effah, Paul G. Peterson, D. Paul Barrett and Andrea Clavijo McCormick
Plants 2026, 15(1), 95; https://doi.org/10.3390/plants15010095 - 28 Dec 2025
Viewed by 164
Abstract
Scotch broom (Cytisus scoparius; Fabaceae) is an invasive nitrogen-fixing shrub widespread in New Zealand, where it impacts forestry, pasturelands, and native ecosystems. Although several biological control agents have been released, Scotch broom continues to expand in regions such as the North [...] Read more.
Scotch broom (Cytisus scoparius; Fabaceae) is an invasive nitrogen-fixing shrub widespread in New Zealand, where it impacts forestry, pasturelands, and native ecosystems. Although several biological control agents have been released, Scotch broom continues to expand in regions such as the North Island’s Central Plateau. Scotch broom affects the germination and growth of other plants and modifies arthropod communities (including pollinators, herbivores, and predators) within its invaded range. Volatile organic compounds (VOCs) play a key role in mediating plant–plant and plant–arthropod interactions, potentially contributing to this invasive plant’s ecological success. However, Scotch broom’s VOC emissions in its invaded ranges remain poorly understood. We examined VOC emissions from flowering and non-flowering Scotch broom plants in the Central Plateau and assessed links with biotic and abiotic factors. Our aims were to (1) characterise differences in VOCs between phenological stages; (2) explore shifts in arthropod community composition; and (3) evaluate correlations between VOC emissions, arthropod groups and environmental variables. Flowering plants had higher diversity and abundance of VOCs, with blends dominated by monoterpenes, aromatics, and fatty acid esters, whereas non-flowering plants were characterised by green leaf volatiles (GLVs). Flowering stages supported Hemiptera and Thysanoptera (herbivores), which were positively correlated with fatty acid esters. In contrast, GLVs correlated with Araneae (predators) abundance. Temperature was the strongest predictor of VOC emission patterns, showing significant correlation with most compound classes. These results advance understanding of Scotch broom invasion ecology and highlight the need to further explore individual compounds potentially influencing arthropod composition to inform both native arthropods conservation and future biocontrol strategies. Full article
(This article belongs to the Special Issue Plant Invasions and Their Interactions with the Environment)
Show Figures

Figure 1

18 pages, 8908 KB  
Article
Bacillus velezensis HZ33 Controls Potato Black Scurf and Improves the Potato Rhizosphere Microbiome and Potato Growth and Yield
by Zhaoyu Li, Chao Wang, Yunpeng Tao, Aixia Dong, Yuzi Feng, Jiajia Li, Jin Cheng, Zhihong Xie, Yongqiang Tian and Tong Shen
Agronomy 2026, 16(1), 87; https://doi.org/10.3390/agronomy16010087 (registering DOI) - 28 Dec 2025
Viewed by 123
Abstract
Potato black scurf, caused by Rhizoctonia solani, is a widespread soil-borne disease in major potato-producing regions that reduces potato yield and tuber marketability. This study evaluated the field growth-promoting effects and disease-control efficacy of Bacillus velezensis HZ33 on the potato cultivars Xindaping [...] Read more.
Potato black scurf, caused by Rhizoctonia solani, is a widespread soil-borne disease in major potato-producing regions that reduces potato yield and tuber marketability. This study evaluated the field growth-promoting effects and disease-control efficacy of Bacillus velezensis HZ33 on the potato cultivars Xindaping and Longshu 7 and assessed its impact on rhizosphere microbial communities. Field trials showed that the application of HZ33 significantly enhanced potato growth and increased the chlorophyll content, yield, and commercial tuber rates. HZ33 also raised key soil nutrient levels. Its control efficacy against potato black scurf exceeded that of the chemical fungicide azoxystrobin. Application of HZ33 reduced the relative abundance of Rhizoctonia associated with black scurf and increased the relative abundance of beneficial fungi and bacteria. The microbial community structure correlated with both soil chemical properties and the disease index for potato black scurf. Overall, B. velezensis HZ33 appears to be a promising biocontrol agent for suppressing potato black scurf while improving potato yield. Full article
(This article belongs to the Section Pest and Disease Management)
Show Figures

Figure 1

40 pages, 2150 KB  
Review
Antifungal Biocontrol in Sustainable Crop Protection: Microbial Lipopeptides, Polyketides, and Plant-Derived Agents
by Nadya Armenova, Lidia Tsigoriyna, Alexander Arsov, Stefan Stefanov, Kaloyan Petrov, Wanmeng Mu, Wenli Zhang and Penka Petrova
J. Fungi 2026, 12(1), 22; https://doi.org/10.3390/jof12010022 - 27 Dec 2025
Viewed by 118
Abstract
Fungal phytopathogens cause significant global crop losses and remain a constant obstacle to sustainable food production. Biological control has become a vital alternative to synthetic fungicides, supported by the wide variety of antifungal molecules produced by bacteria, fungi, yeasts, and plants. This review [...] Read more.
Fungal phytopathogens cause significant global crop losses and remain a constant obstacle to sustainable food production. Biological control has become a vital alternative to synthetic fungicides, supported by the wide variety of antifungal molecules produced by bacteria, fungi, yeasts, and plants. This review consolidates current knowledge on the main classes of microbial secondary metabolites—particularly cyclic lipopeptides and polyketides from Bacillus, Pseudomonas, Streptomyces, Trichoderma, and related generа. It emphasizes their structural diversity, biosynthetic pathways, regulatory networks, and antifungal mechanisms. These molecules, including iturins, fengycins, surfactins, syringomycins, candicidins, amphotericin analogs, peptaibols, and epipolythiodioxopiperazines, target fungal membranes, mitochondria, cell walls, and signaling systems, offering broad activity against damaging pathogens such as Fusarium, Botrytis, Magnaporthe, Colletotrichum, Phytophthora, and Rhizoctonia. The plant-derived antifungal metabolites include essential volatile compounds that complement microbial agents and are increasingly important in eco-friendly crop protection. Recent progress in genomics, metabolic engineering, and synthetic biology has accelerated strain improvement and the discovery of new bioactive compounds. At the same time, global market analyses indicate rapid growth in microbial biofungicides driven by regulatory changes and consumer demand. Full article
(This article belongs to the Special Issue Plant Pathogenic Fungal Infections, Biocontrol and Novel Fungicides)
Show Figures

Figure 1

22 pages, 7580 KB  
Article
Screening and Action Mechanism of Biological Control Strain Bacillus atrophaeus F4 Against Maize Anthracnose
by Pengfei Wang, Yingying Xi, Ke Liu, Jiaqi Wang, Qiubin Huang, Haodong Wang, Shaowei Wang, Gang Wang, Nuerguli Reheman and Fengying Liu
Microorganisms 2026, 14(1), 47; https://doi.org/10.3390/microorganisms14010047 - 25 Dec 2025
Viewed by 133
Abstract
Anthracnose caused by Colletotrichum graminicola (Ces.) G.W.Wils is a significant disease of maize (Zea mays) worldwide. To obtain an efficient biocontrol strain and elucidate its mechanisms, 103 bacterial isolates were obtained from soil samples collected in the Tianshan Mountains, Xinjiang, China. [...] Read more.
Anthracnose caused by Colletotrichum graminicola (Ces.) G.W.Wils is a significant disease of maize (Zea mays) worldwide. To obtain an efficient biocontrol strain and elucidate its mechanisms, 103 bacterial isolates were obtained from soil samples collected in the Tianshan Mountains, Xinjiang, China. Among these, Bacillus atrophaeus F4’s fermentation broth had the highest efficacy in controlling maize anthracnose, reaching 79.78%. To further investigate biocontrol mechanisms of F4 strain, its complete genome was sequenced, assembled, and annotated. Lipopeptides extracted from the fermentation broth of F4 were found to strongly inhibit the growth of hyphae and the germination of conidia in the pathogen. Microscopic and biochemical analyses indicated that the lipopeptide extract inhibited chitin synthesis and disrupted the integrity of the cell wall and membrane, thereby exerting antifungal effects. Further MALDI-TOF MS analysis identified antimicrobial compounds, including surfactin, iturin, and fengycin B, in the lipopeptide extract. Furthermore, plate antagonistic test showed that F4 strain exhibited broad-spectrum antagonistic activity against multiple plant pathogenic fungi. F4 strain also displayed motility, biofilm-forming capacity, and the ability to produce extracellular enzymes such as proteases and amylases, which are associated with biocontrol activity. These findings suggest the significant potential of B. atrophaeus F4 as a biocontrol agent against maize anthracnose. Full article
(This article belongs to the Section Environmental Microbiology)
Show Figures

Figure 1

36 pages, 2031 KB  
Review
Pre- and Postharvest Determinants, Technological Innovations and By-Product Valorization in Berry Crops: A Comprehensive and Critical Review
by Elsa M. Gonçalves, Rui Ganhão and Joaquina Pinheiro
Horticulturae 2026, 12(1), 19; https://doi.org/10.3390/horticulturae12010019 - 24 Dec 2025
Viewed by 185
Abstract
Berries—including strawberries, blueberries, raspberries, blackberries, cranberries, and several less commonly cultivated berry species—are highly valued for their sensory quality and rich content of bioactive compounds, yet they are among the most perishable horticultural products. Their soft texture, high respiration rate, and susceptibility to [...] Read more.
Berries—including strawberries, blueberries, raspberries, blackberries, cranberries, and several less commonly cultivated berry species—are highly valued for their sensory quality and rich content of bioactive compounds, yet they are among the most perishable horticultural products. Their soft texture, high respiration rate, and susceptibility to fungal pathogens lead to rapid postharvest deterioration and significant economic losses. This review synthesizes advances in berry postharvest management reported between 2010 and 2025. Conventional strategies such as rapid precooling, cold-chain optimization, controlled and modified atmospheres, and edible coatings are discussed alongside emerging non-thermal technologies, including UV-C light, ozone, cold plasma, ultrasound, biocontrol agents, and intelligent packaging systems. Particular emphasis is placed on the instability of anthocyanins and other phenolic compounds, microbial spoilage dynamics, and the influence of cultivar genetics and preharvest factors on postharvest performance. The review also highlights opportunities for circular-economy applications, as berry pomace, seeds, and skins represent valuable sources of polyphenols, dietary fiber, and seed oils for use in food, nutraceutical, cosmetic, and bio-based packaging sectors. Looking ahead, future research should prioritize integrated, multi-hurdle, low-residue postharvest strategies, the scale-up of non-thermal technologies, and data-driven cold-chain management. Overall, coordinated physiological, technological, and sustainability-oriented approaches are essential to maintain berry quality, reduce postharvest losses, and strengthen the resilience of berry value chains. Full article
(This article belongs to the Special Issue Postharvest Physiology and Quality Improvement of Fruit Crops)
Show Figures

Graphical abstract

18 pages, 2408 KB  
Article
Unlocking the Potential of Bacillus Strains for a Two-Front Attack on Wireworms and Fungal Pathogens in Oat
by Aneta Buntić, Marina Dervišević Milenković, Jelena Pavlović, Uroš Buzurović, Jelena Maksimović, Marina Jovković and Magdalena Knežević
Insects 2026, 17(1), 28; https://doi.org/10.3390/insects17010028 - 24 Dec 2025
Viewed by 238
Abstract
(1) Background: Oat (Avena sativa L.) is a crop that is widely used in human nutrition, while it also plays an important role in animal husbandry as a high-quality forage crop. However, this crop is particularly susceptible to combined biotic stressors, including [...] Read more.
(1) Background: Oat (Avena sativa L.) is a crop that is widely used in human nutrition, while it also plays an important role in animal husbandry as a high-quality forage crop. However, this crop is particularly susceptible to combined biotic stressors, including insect pests (Agriotes lineatus) and fungal infections (Fusarium spp.). These stresses act synergistically: root damage caused by wireworms increases the plant’s susceptibility to fungal infection, while pathogens further limit nutrient uptake and root system development. In recent years, the reduced efficacy of chemical pesticides against both insect pests and fungal pathogens has highlighted the need for alternative strategies in oat protection, leading to an increased focus on developing bacterial bio-inoculants as sustainable and effective biocontrol agents. (2) Methods: This study aimed to identify bacterial strains capable of suppressing wireworms (Agriotes lineatus) and Fusarium spp. in oats, while simultaneously promoting plant growth. Bacterial isolates were screened for key Plant Growth Promoting (PGP) and biocontrol traits, including IAA and siderophore production, phosphate solubilization, and the presence of toxin- and antibiotic-coding genes. (3) Results: The highest insecticidal effect against wireworms was recorded for Bacillus velezensis BHC 3.1 (63.33%), while this isolate also suppressed the growth of F. proliferatum for 59%, F. oxysporum for 65%, F. poae for 71%, and F. graminearum for 15%. The most effective Bacillus strains (with insecticidal and antifungal activity) were identified and tested in two pot experiments, where their ability to enhance plant growth in the presence of insects and fungi was evaluated under semi-controlled conditions. An increase in plant biomass, grain yield, and nitrogen content was observed in oat inoculated with B. velezensis BHC 3.1 and B. thuringiensis BHC 2.4. (4) Conclusions: These results demonstrate the strong potential of both strains as multifunctional bio-inoculants for enhancing oat growth and mitigating the adverse effects of wireworm damage and Fusarium infection. Full article
(This article belongs to the Section Insect Pest and Vector Management)
Show Figures

Figure 1

14 pages, 2191 KB  
Article
Evaluation Starch-Based Hemostatic Agents “BioSight” as Adhesion Prevention Barrier Tested in an Adhesion Model in Rats
by Yi-Xin Liu, Chen-Ying Su, Min-Hsuan Yen, Chih-Hwa Chen, Chih-Yu Chen and Hsu-Wei Fang
Polymers 2026, 18(1), 33; https://doi.org/10.3390/polym18010033 - 23 Dec 2025
Viewed by 210
Abstract
Background: Postoperative abdominal adhesions are a common and serious complication following abdominal surgery, often leading to chronic pain, bowel obstruction, or infertility. This study aimed to evaluate the efficacy of the new starch-based absorbable hemostatic agent and dressing, BioSight, in comparison with a [...] Read more.
Background: Postoperative abdominal adhesions are a common and serious complication following abdominal surgery, often leading to chronic pain, bowel obstruction, or infertility. This study aimed to evaluate the efficacy of the new starch-based absorbable hemostatic agent and dressing, BioSight, in comparison with a predicate device (4DryField® PH) for the prevention of abdominal adhesions in a rat model. Methods: A total of 90 Sprague–Dawley rats were used to establish an intra-abdominal adhesion model and assigned to the BioSight, 4DryField® PH, or control group. Standardized injuries were created on the cecum and parietal peritoneum, followed by application of the designated materials. Animals were sacrificed at 2, 4, and 12 weeks for macroscopic adhesion scoring and histopathological evaluation. Adhesion area, adhesion strength, and tissue thickness were assessed using established scoring systems, and local healing was examined by H&E staining. All quantitative data were analyzed using one-way ANOVA. Conclusions: In a rat peritoneal adhesion model, BioSight exhibited pronounced anti-adhesion efficacy comparable to 4DryField® PH. Macroscopic evaluation showed consistently low adhesion scores (≤0.4) across all time points up to 12 weeks, while histological analysis confirmed reduced adhesion thickness, with BioSight displaying numerically lower values, particularly at early stages (251.3 ± 137.4 µm vs. 323.2 ± 174.6 µm at Week 2). This performance is attributed to rapid in situ hydrogel formation that provides effective temporary tissue separation, limits early fibrin deposition and inflammatory cell infiltration, and supports hemostasis. Importantly, the starch-based hydrogel exhibits a balanced biodegradation profile—persisting long enough to protect injured tissues during the critical inflammatory and fibroproliferative phases, yet undergoing complete enzymatic resorption thereafter without adverse tissue reactions. Collectively, these results highlight the anti-adhesion functionality of BioSight and support the clinical potential of plant-derived starch-based bioresorbable surgical adjuncts. Full article
(This article belongs to the Special Issue Biopolymer-Based Materials in Medical Applications, Second Edition)
Show Figures

Graphical abstract

35 pages, 10357 KB  
Review
Ecological Diversity, Metabolic Versatility, and Biotechnological Applications of Burkholderia Species: An Overview
by Ali Diyapoglu, Alican Abay and Menghsiao Meng
Antibiotics 2026, 15(1), 17; https://doi.org/10.3390/antibiotics15010017 - 22 Dec 2025
Viewed by 264
Abstract
Burkholderia is a metabolically versatile genus of Gram-negative bacteria that inhabits niches ranging from soil and water to plants and clinical environments. This review provides an integrated examination of Burkholderia species, focusing on their dual roles as both pathogens and beneficial microorganisms. Key [...] Read more.
Burkholderia is a metabolically versatile genus of Gram-negative bacteria that inhabits niches ranging from soil and water to plants and clinical environments. This review provides an integrated examination of Burkholderia species, focusing on their dual roles as both pathogens and beneficial microorganisms. Key pathogenic species, such as members of the Burkholderia cepacia complex and the Burkholderia pseudomallei group, pose significant threats to human, animal, and plant health due to their intrinsic antibiotic resistance and diverse virulence factors. Conversely, several environmental and plant-associated Burkholderia species promote plant growth, enhance nutrient uptake, and serve as biocontrol agents, supporting sustainable agriculture. We synthesize current knowledge across taxonomy, genomics, pathogenicity, beneficial interactions, and secondary metabolite biosynthesis—including the prolific production of antibiotics, toxins, and volatile organic compounds with pharmaceutical and agricultural potential. Advances in high-throughput genomics are revealing substantial genetic diversity, genome plasticity, and mechanisms underlying both pathogenicity and beneficial traits. Clarifying this dual nature and identifying strategies to mitigate risks will guide the safe and effective exploitation of Burkholderia in medicine, agriculture, and biotechnology. Full article
Show Figures

Graphical abstract

19 pages, 2357 KB  
Article
Essential Oil of Xylopia frutescens Controls Rice Sheath Blight Without Harming the Beneficial Biocontrol Agent Trichoderma asperellum
by Paulo Ricardo S. Fernandes, Dalmarcia de Souza C. Mourão, Luís O. Viteri, Adauto A. Silva Júnior, Muhammad Bilal, Anila Kanwal, Osmany M. Herrera, Manuel A. Gonzalez, Leandro A. Souza, Ana G. Amaral, Thayse Cavalcante da Rocha, Marcos Paz Saraiva Câmara, Raphael Sanzio Pimenta, Marcos V. Giongo, Eugênio E. Oliveira, Raimundo Wagner S. Aguiar and Gil R. Santos
Plants 2026, 15(1), 31; https://doi.org/10.3390/plants15010031 - 22 Dec 2025
Viewed by 368
Abstract
Rice production experiences significant losses due to fungal diseases, particularly rice sheath blight caused by Rhizoctonia solani. Despite the intensive and continuous use of synthetic fungicides, diseases severity has not reduced and control has become increasingly challenging; therefore, the search for environmentally [...] Read more.
Rice production experiences significant losses due to fungal diseases, particularly rice sheath blight caused by Rhizoctonia solani. Despite the intensive and continuous use of synthetic fungicides, diseases severity has not reduced and control has become increasingly challenging; therefore, the search for environmentally friendly and sustainable products has intensified. Here, we conducted a chemical characterization of Xylopia frutescens and using in silico analysis evaluated the interaction of their two major compounds with lectin protein site of R. solani. In vitro tests using increasing concentrations of essential oil against R. solani were performed. Subsequently, in four varieties of rice, five concentrations of X. frutescens essential oils were applied and evaluated the phytotoxicity effect as well the potential of Xylopia frutescens essential oil for controlling, both preventively and curatively, rice sheath blight. We further investigate the selectivity of this essential oil towards the non-target organism, Trichoderma asperellum. Our analysis revealed that trans-pinocarveol and myrtenal are the main compounds of X. frutescens essential oil and interact with the lectin of R. solani, supporting the antifungal properties of X. frutescens essential oil. In in vitro conditions, the highest tested concentrations of X. frutescens essential oil inhibited the pathogen’s sclerotia and mycelial growth. Under greenhouse conditions, the treatments caused low phytotoxicity and effectively reduced disease severity when applied, both preventively and curatively. Furthermore, the biocontrol agent T. asperellum exhibited tolerance to X. frutescens essential oil. Collectively, our findings demonstrate the potential of X. frutescens essential oil for the development of botanical fungicides capable of controlling R. solani without harming beneficial non-target organisms such as T. asperellum. Full article
Show Figures

Graphical abstract

20 pages, 2484 KB  
Article
Global Distribution of Three Parasitoids of Drosophila suzukii (Diptera, Drosophilidae): Present and Future Climate Change Scenarios
by Lenon Morales Abeijon, Jesús Hernando Gómez-Llano, Sergio Marcelo Ovruski and Flávio Roberto Mello Garcia
Insects 2026, 17(1), 12; https://doi.org/10.3390/insects17010012 - 21 Dec 2025
Viewed by 354
Abstract
In this study, we investigated the current and future potential distribution of three parasitoid species of Drosophila suzukii, which represent promising candidates for the biological control of this pest: Leptopilina japonica (Hymenoptera, Figitidae), Pachycrepoideus vindemmiae (Hymenoptera, Pteromalidae), and Trichopria drosophilae (Hymenoptera, Diapriidae). [...] Read more.
In this study, we investigated the current and future potential distribution of three parasitoid species of Drosophila suzukii, which represent promising candidates for the biological control of this pest: Leptopilina japonica (Hymenoptera, Figitidae), Pachycrepoideus vindemmiae (Hymenoptera, Pteromalidae), and Trichopria drosophilae (Hymenoptera, Diapriidae). To this end, we employed Ecological Niche Modeling using the Random Forest algorithm and climatic data from WorldClim v. 2.1 under climate change scenarios (SSP2-4.5 and SSP5-8.5), analyzing the spatial overlap between the pest and its natural enemies. The results indicate that the parasitoids exhibit distinct geographic distributions, although most species show higher suitability for temperate regions of the Northern Hemisphere. Species such as T. drosophilae and L. japonica stand out for their broad distribution and high overlap with the pest, whereas P. vindemmiae and display more restrictive climatic ranges and lower control efficiency. With ongoing climate change, all parasitoids tend to migrate toward higher latitudes, with significant range contractions in tropical regions. Thus, our results demonstrate the usefulness of Ecological Niche Modeling in the selection of biological control agents by considering host-specific preferences and environmental requirements in the development of management strategies adapted to future scenarios. Full article
(This article belongs to the Section Insect Pest and Vector Management)
Show Figures

Figure 1

20 pages, 2611 KB  
Article
Novel Antimicrobial Activities of Albofungin, Albonoursin, and Ribonucleosides Produced by Streptomyces sp. Caat 5-35 Against Phytopathogens and Their Potential as a Biocontrol Agent
by Carmen Julia Pedroza-Padilla, Sergio Orduz, Danilo Tosta Souza, Geraldo Antonio Astolpho-Barbão and Luiz Alberto Beraldo Moraes
Molecules 2026, 31(1), 21; https://doi.org/10.3390/molecules31010021 - 20 Dec 2025
Viewed by 223
Abstract
The genus Streptomyces is the largest group within the phylum Actinobacteria, recognized for producing antibiotics and enzymes, with wide applications in medicine and biological control for crop protection against phytopathogens. In this study, the Streptomyces sp. Caat 5-35 strain, isolated from soil of [...] Read more.
The genus Streptomyces is the largest group within the phylum Actinobacteria, recognized for producing antibiotics and enzymes, with wide applications in medicine and biological control for crop protection against phytopathogens. In this study, the Streptomyces sp. Caat 5-35 strain, isolated from soil of the Caatinga biome in Brazil, and identified by analysis of the 16S rRNA gene, demonstrated its antagonistic effect in vitro in dual cultures against Phytophthora palmivora, Colletotrichum acutatum, Fusarium oxysporum, Rhizoctonia solani, Sclerotinia sclerotiorum, and Fusarium graminearum. Caat 5-35 inhibited mycelial growth ranging from 19% to 73.3%. Compounds purified by prep-HPLC from extracts were identified by spectral data analysis using UHPLC-triple-TOF-MS/MS, or nuclear magnetic resonance (NMR). This work demonstrated for the first time the anti-oomycete activity of albofungin, its derivatives, and albonoursin against P. palmivora. Moreover, the growth inhibition of Colletotrichum gloeosporioides by albonoursin and the antibacterial effect of 2-chloroadenosine and 5′-O-sulfamoyl-2-chloroadenosine against Pectobacterium carotovorum were demonstrated as novel findings. Caat 5-35 exhibited the ability to solubilize phosphates and produce cellulases on CMC agar. The findings of this study, in combination with in vitro bioassays on cacao pods (Theobroma cacao L.) inoculated with the antagonist strain and P. palmivora APB-35, demonstrate that Streptomyces sp. Caat 5-35 is a source of natural products with applications in agriculture and could serve as an alternative for crop protection. Full article
Show Figures

Graphical abstract

Back to TopTop