error_outline You can access the new MDPI.com website here. Explore and share your feedback with us.
 
 
Sign in to use this feature.

Years

Between: -

Subjects

remove_circle_outline
remove_circle_outline
remove_circle_outline
remove_circle_outline
remove_circle_outline
remove_circle_outline
remove_circle_outline

Journals

Article Types

Countries / Regions

Search Results (190)

Search Parameters:
Keywords = axial length of the eye

Order results
Result details
Results per page
Select all
Export citation of selected articles as:
16 pages, 4489 KB  
Article
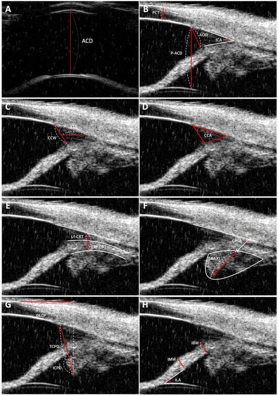
Anterior Segment Measurements in Normal Cats Using Ultrasound Biomicroscopy
by Donghee Kim, Myeongjee Kwon, Ji Seung Jung, Jiyi Hwang, Sooyeon Lee, Mirae Lee, Haemi Seol and Kyung-Mee Park
Vet. Sci. 2026, 13(1), 50; https://doi.org/10.3390/vetsci13010050 - 6 Jan 2026
Viewed by 1
Abstract
Establishing baseline ultrasound biomicroscopy (UBM) measurements of the feline anterior segment is essential for accurate evaluation of ocular diseases. This study aimed to establish normative UBM parameters in clinically normal cats and to assess the influence of sex, body weight, and age on [...] Read more.
Establishing baseline ultrasound biomicroscopy (UBM) measurements of the feline anterior segment is essential for accurate evaluation of ocular diseases. This study aimed to establish normative UBM parameters in clinically normal cats and to assess the influence of sex, body weight, and age on these measurements. Twenty eyes from twenty healthy adult cats were examined using a standardized UBM protocol under general anesthesia to ensure consistent positioning and optimal visualization. Quantitative measurements were obtained for corneal, anterior chamber, iris, ciliary cleft, and ciliary body parameters. The mean perilimbal corneal thickness was 0.59 mm, anterior chamber depth was 4.11 mm, and peripheral anterior chamber depth was 3.11 mm. The angle-opening distance and iridocorneal angle measured 1.73 mm and 28.89°, respectively. Ciliary cleft parameters included a width of 1.22 mm, length of 2.07 mm, and area of 1.10 mm2. Longitudinal and combined longitudinal–radial ciliary body thicknesses were 0.52 mm and 0.78 mm, respectively, while ciliary body axial length and ciliary process scleral angle averaged 2.01 mm and 58.98°. Iris base width and iris middle width measured 0.35 mm and 0.54 mm, respectively. Sex-based analysis revealed significant differences in peripheral anterior chamber depth and ciliary cleft width, whereas body weight showed positive correlations with iris thickness parameters. No significant associations were identified between age and any anterior segment measurements. These findings establish comprehensive normative UBM reference values for the feline anterior segment and provide a quantitative anatomical framework for future clinical and disease-oriented studies in feline ophthalmology. Full article
Show Figures

Figure 1

12 pages, 903 KB  
Article
Effects of a Red-Ginger-Based Multi-Nutrient Supplement on Optic Nerve Head Blood Flow in Open-Angle Glaucoma
by Akiko Hanyuda, Satoru Tsuda, Nana Takahashi, Naoki Takahashi, Kota Sato and Toru Nakazawa
Nutrients 2026, 18(1), 140; https://doi.org/10.3390/nu18010140 - 1 Jan 2026
Viewed by 315
Abstract
Objectives: Glaucoma is an age-related neurodegenerative disease, characterized by retinal ganglion cell loss and progressive visual field deterioration. Beyond intraocular pressure (IOP), vascular and metabolic dysregulation contributes to optic nerve head (ONH) ischemia and neuronal vulnerability. Nutritional factors with antioxidative and vasodilatory [...] Read more.
Objectives: Glaucoma is an age-related neurodegenerative disease, characterized by retinal ganglion cell loss and progressive visual field deterioration. Beyond intraocular pressure (IOP), vascular and metabolic dysregulation contributes to optic nerve head (ONH) ischemia and neuronal vulnerability. Nutritional factors with antioxidative and vasodilatory properties may help preserve ocular perfusion. This study investigated the acute and subacute effects of a single dose of a dietary supplement containing red ginger extract (Zingiber officinale var. rubra), lutein, and vitamin B6 on ONH blood flow in patients with open-angle glaucoma (OAG). Methods: A retrospective self-controlled study was conducted at Tohoku University Hospital between August 2023 and March 2025. ONH blood flow was quantified using a laser speckle flowgraphy (LSFG) baseline one hour after and one month after continuous oral supplementation in patients with OAG. Systemic parameters, ocular biometry, and concomitant glaucoma medications were recorded in medical charts. Relative mean blur rate (MBR) changes were analyzed using a linear mixed-effects model, accounting for repeated measures and inter-eye correlations. Results: Nineteen glaucoma patients (38 eyes) were included in the acute phase and 13 patients (26 eyes) completed the one-month follow-up. After adjusting for age and sex, a single oral dose of red ginger extract significantly increased the relative MBR at 1 h (106.9 ± 3.1%; p < 0.05), and this enhancement increased after 1 month of continuous intake (115.4 ± 6.7%; p < 0.05). Greater ONH perfusion was particularly prominent in eyes with shorter axial length. Conclusions: Oral supplementation was associated with acute and short-term increases in ONH blood flow in glaucomatous eyes. Although this study was a retrospective study without a placebo-controlled comparison group, our findings offer hypothesis-generating evidence that nutritional interventions may support ocular perfusion alongside conventional glaucoma management. Future prospective randomized controlled trials are required to confirm these associations. Full article
Show Figures

Graphical abstract

10 pages, 469 KB  
Article
A Retrospective Review of Dual-Focus MiSight Contact Lenses and 0.05% Atropine for Myopia Management
by Noreen Shaikh, Magdalena Stec, Huizi Yin and Brenda L. Bohnsack
J. Clin. Transl. Ophthalmol. 2026, 4(1), 1; https://doi.org/10.3390/jcto4010001 - 19 Dec 2025
Viewed by 389
Abstract
Objective: The purpose of this study is to investigate the effect of low-dose atropine and dual-focus MiSight contact lenses on myopia control. Methods: This study included a retrospective review of patients (5–13 years old) started on MiSight contacts or 0.05% atropine with a [...] Read more.
Objective: The purpose of this study is to investigate the effect of low-dose atropine and dual-focus MiSight contact lenses on myopia control. Methods: This study included a retrospective review of patients (5–13 years old) started on MiSight contacts or 0.05% atropine with a ≥1-year follow-up. Outcomes included cycloplegic refraction, axial length measurement, and side effects. The right eyes were included in analyses. Results: One hundred children were treated with MiSight lenses (n = 55) or 0.05% atropine (n = 45) at an average age of 10.4 ± 2.1 years and 8.4 ± 2.5 years, respectively. At the 1-year follow-up, there was no difference from baseline in spherical equivalent or axial length in the MiSight group (p = 0.61, p = 0.98) or in the atropine group (p = 0.78, p = 0.97). Further, subgroup analysis based on age at treatment initiation (<9.5 years vs. ≥9.5 years) showed no age difference in baseline or final spherical equivalent and axial length in either the MiSight group or the atropine group. Linear regression analysis demonstrated no association between initial age and baseline spherical equivalent, baseline axial length, or the change in spherical equivalent in either the MiSight or atropine group. Conclusions: There was no significant difference in spherical equivalent or axial length after 1 year of treatment with either the MiSight contact lenses or 0.05% atropine eye drops. However, the limited sample size, the difference in age and ethnicity, and baseline refraction prevent a direct comparison between the two treatment groups. Full article
Show Figures

Figure 1

10 pages, 1373 KB  
Article
Surgical Outcomes of Vitrectomy with Flower-Petal Fovea-Sparing Inverted Internal Limiting Membrane Flap Technique for Myopic Tractional Maculopathy with Retinal Detachment: A Retrospective Study
by Hyun Suh, Young-Hoon Park and Young Gun Park
J. Clin. Med. 2025, 14(24), 8688; https://doi.org/10.3390/jcm14248688 - 8 Dec 2025
Viewed by 340
Abstract
Background/Objectives: The optimal surgical approach for treating myopic tractional maculopathy (MTM) with retinal detachment remains unclear, particularly owing to complications associated with standard internal limiting membrane (ILM) peeling techniques and macular buckling procedures. Although the flower-petal inverted ILM flap technique is promising [...] Read more.
Background/Objectives: The optimal surgical approach for treating myopic tractional maculopathy (MTM) with retinal detachment remains unclear, particularly owing to complications associated with standard internal limiting membrane (ILM) peeling techniques and macular buckling procedures. Although the flower-petal inverted ILM flap technique is promising for large macular holes, its effectiveness in MTM without macular holes is less understood. We evaluated visual acuity and anatomical recovery in patients who underwent the flower-petal fovea-sparing inverted ILM flap technique for MTM with retinal detachment for 12 months. Methods: We retrospectively analyzed clinical data on 22 eyes of 22 consecutive patients diagnosed with MTM involving retinal detachment (Stages 3a, 3b, 4a, and 4b) between May 2019 and May 2023. All patients underwent pars plana vitrectomy using the flower-petal fovea-sparing ILM flap technique. Air, C3F8 gas, or silicone oil tamponade was used. Best-corrected visual acuity (BCVA; logMAR), intraocular pressure, axial length, central retinal thickness (CRT), and foveal contour were assessed using optical coherence tomography preoperatively and at 3, 6, and 12 months postoperatively. Results: Mean BCVA (logMAR values) significantly improved (p < 0.021). Mean CRT values significantly decreased (p < 0.001) at 3, 6, and 12 months. No significant differences in surgical outcomes were observed among tamponade materials. One patient who received air tamponade developed a postoperative macular hole. Conclusions: Our findings suggest that the flower-petal fovea-sparing ILM flap technique improves visual function and anatomical outcomes in patients with MTM and retinal detachment. This approach is a promising surgical option for managing MTM with associated retinal detachment. Full article
(This article belongs to the Section Ophthalmology)
Show Figures

Figure 1

13 pages, 664 KB  
Article
Ultrasound-Based Assessment of Posterior Vitreous Detachment in Healthy Eyes: Clinical and Biometric Factors Associated with More Advanced PVD
by Cristina Rodriguez-Vidal, Nerea M. Alday, María José Blanco Teijeiro and Manuel Bande
J. Clin. Med. 2025, 14(23), 8587; https://doi.org/10.3390/jcm14238587 - 4 Dec 2025
Viewed by 405
Abstract
Background/Objectives: Posterior vitreous detachment (PVD) is an age-related physiological process, yet the clinical and biometric factors influencing its progression remain incompletely characterized in adults undergoing routine ophthalmic evaluation at a tertiary center. Characterizing expected vitreous patterns is essential for interpreting vitreoretinal interface [...] Read more.
Background/Objectives: Posterior vitreous detachment (PVD) is an age-related physiological process, yet the clinical and biometric factors influencing its progression remain incompletely characterized in adults undergoing routine ophthalmic evaluation at a tertiary center. Characterizing expected vitreous patterns is essential for interpreting vitreoretinal interface changes in disease. This study aimed to identify independent clinical and biometric factors associated with more advanced PVD stages in adults without macular pathology. Methods: In this cross-sectional observational study, 340 eyes from 198 consecutive adults undergoing routine ophthalmological evaluation at a tertiary hospital (March 2022–April 2023) were analyzed. Eyes with current or past macular disease were excluded. Demographic variables, systemic comorbidities and ocular history were recorded. Axial length was measured using optical biometry IOLMaster 700 (Carl Zeiss Meditec, Jena, Germany). Vitreous status was assessed with 10-MHz B-scan ultrasonography and classified as no PVD, partial PVD or complete PVD. Analyses were performed at the eye level. Given its cross-sectional design, this study evaluates associations and cannot establish causal relationships. Bivariate comparisons examined associations between clinical variables and PVD grade. Multivariable modeling was conducted using a clustered generalized estimating equations (GEE) ordinal logit model as the primary analysis, and a secondary independent-eye ordinal logistic regression model was used to evaluate the proportional-odds assumption and model robustness. Results: Mean age was 55.6 ± 18.3 years, and 68.5% of eyes were from female participants. No PVD, partial PVD and complete PVD were present in 30.9%, 43.5% and 25.6% of eyes, respectively. In the primary GEE model, axial length (OR 1.35; p < 0.001), systemic hypertension (OR 7.13; p < 0.001), and prior cataract surgery (OR 2.13; p = 0.020) were independently associated with more advanced PVD stages. Age showed a modest but significant association with increasing PVD severity (OR 1.03; p = 0.012). Sex and diabetes mellitus were not associated with PVD grade. The independent-eye ordinal model yielded consistent effect directions. Conclusions: In adults without macular disease, more advanced PVD stages are independently associated with axial elongation, systemic hypertension, and previous cataract surgery, while age shows a mild but significant association. These findings provide clinically useful contextual reference information for interpreting vitreoretinal interface changes in health and disease. These associations should not be interpreted as causal due to the cross-sectional nature of the study. Full article
(This article belongs to the Section Ophthalmology)
Show Figures

Figure 1

12 pages, 303 KB  
Article
Comparison of Optical Biometric Parameters Between Phakic and Pseudophakic Eyes: A Retrospective Clinical Study
by Merve Subaşı, Veysi Yıldız and Muhammed Batur
Medicina 2025, 61(12), 2155; https://doi.org/10.3390/medicina61122155 - 3 Dec 2025
Viewed by 315
Abstract
Background and Objective: To evaluate the effect of pseudophakia on anterior chamber depth and other ocular biometric parameters, and to analyze its relationship with age, sex, and axial length. Materials and Methods: Optical biometry data from 2372 eyes of 1186 patients—each with one [...] Read more.
Background and Objective: To evaluate the effect of pseudophakia on anterior chamber depth and other ocular biometric parameters, and to analyze its relationship with age, sex, and axial length. Materials and Methods: Optical biometry data from 2372 eyes of 1186 patients—each with one pseudophakic and one phakic eye—were retrospectively analyzed using the Lenstar LS 900®. Recorded parameters included axial length (AL), central corneal thickness (CCT), aqueous depth (AD), anterior chamber depth (ACD), lens thickness (LT), keratometry values, and white-to-white distance (WTW). Interocular differences and correlations among variables were statistically assessed. Results: The mean age was 62.8 ± 16.0 years (range, 11–92), and 57.1% were male. Compared with phakic eyes, pseudophakic eyes showed significantly lower AL, WTW, and K1 values (p < 0.01, p < 0.001) and higher CCT, AD, ACD, and astigmatism (AST) values (p < 0.001). No significant difference was observed in K2 (p > 0.05). In both phakic and pseudophakic eyes, males had higher AL, AD, WTW, and ACD and lower K1 and K2 values than females (p < 0.001, p < 0.05). Increasing age was associated with decreased AL and CCT. In phakic eyes, ACD and AD were negatively correlated with age, whereas in pseudophakic eyes, the correlation was positive. Conclusions: Cataract surgery and intraocular lens implantation significantly alter anterior segment structures. Pseudophakia mainly affects ACD and AD, which may be related to postoperative intraocular pressure reduction and may improve the precision of IOL power calculations. Full article
(This article belongs to the Section Ophthalmology)
12 pages, 2398 KB  
Article
Multicenter European Data of Anatomical Parameters of the Anterior Eye Segment Measured with an Optical Biometer
by Ava Niknahad, Hyeck-Soo Son, Gerd U. Auffarth, Louise Blöck, Giacomo Savini, Catarina P. Coutinho, Joaquín Fernández and Grzegorz Łabuz
J. Clin. Med. 2025, 14(22), 8192; https://doi.org/10.3390/jcm14228192 - 19 Nov 2025
Viewed by 446
Abstract
Background/Objectives: Normative values of ocular parameters can be influenced by a variety of factors. This study evaluates the relationship of axial length (AL), anterior and posterior corneal curvature, anterior chamber, and corneal thickness variables with age, spherical equivalent (SE), and gender. Methods [...] Read more.
Background/Objectives: Normative values of ocular parameters can be influenced by a variety of factors. This study evaluates the relationship of axial length (AL), anterior and posterior corneal curvature, anterior chamber, and corneal thickness variables with age, spherical equivalent (SE), and gender. Methods: A retrospective cohort study at three hospitals identified patients from June 2019 to July 2022. Eyes with no prior history of surgery and anterior segment pathology were included, with one eye per patient being examined by Pentacam AXL Wave (Oculus, Germany). Results: The 1075 patients included had a mean age of 52.9 (± 19.5 years), with 41.5% (446) identified as males. Compared to all variables, anterior chamber angle was most strongly associated with age, with a Spearman’s correlation coefficient (r) of −0.62 (p < 0.001), while AL was most strongly correlated with SE (r = −0.75, p < 0.001). The mean radius of anterior corneal curvature showed a significant positive correlation with SE (r = 0.08, p = 0.013). Between the two genders, males had larger median anterior chamber volume (157.8 versus 147.9 mm3, p < 0.001), depth (p < 0.05 internal and external), AL (24.2 versus 23.7 mm, p < 0.001), and flatter corneas (p < 0.05 anteriorly and posteriorly) compared to females. Conclusions: Age and SE were significantly negatively correlated with AL and anterior chamber parameters. While males showed longer AL and deeper and larger anterior chambers, females had steeper corneas but similar anterior chamber angles. The differences warrant considering age, SE, and gender when interpreting a patient’s examinations against normative data. Full article
(This article belongs to the Special Issue Clinical Research in Management of Corneal Diseases)
Show Figures

Figure 1

9 pages, 474 KB  
Article
Comparisons of Clinical and Functional Characteristics of Patients with Epiretinal Membrane, Macular Pseudohole, Epiretinal Membrane Foveoschisis, and Lamellar Macular Hole
by Noriko Kubota, Kazunori Miyata, Yosai Mori, Yuji Nakano, Hitoshi Goto and Fumiki Okamoto
J. Clin. Med. 2025, 14(22), 7991; https://doi.org/10.3390/jcm14227991 - 11 Nov 2025
Viewed by 438
Abstract
Background/Objectives: To investigate and compare the clinical characteristics of epiretinal membrane (ERM) and associated diseases: macular pseudohole (MPH), ERM foveoschisis (ERM-FS), and lamellar macular hole (LMH). Methods: We retrospectively reviewed of all patients who underwent vitrectomy with at least 6 months follow-up, all [...] Read more.
Background/Objectives: To investigate and compare the clinical characteristics of epiretinal membrane (ERM) and associated diseases: macular pseudohole (MPH), ERM foveoschisis (ERM-FS), and lamellar macular hole (LMH). Methods: We retrospectively reviewed of all patients who underwent vitrectomy with at least 6 months follow-up, all eyes were classified into four groups: ERM, MPH, ERM-FS, and LMH. Age, gender, presence of glaucoma, preoperative spherical equivalent, axial length (AL), preoperative and postoperative best-corrected visual acuity (BCVA), metamorphopsia using M-CHARTS®, and frequency of overlapping associated diseases were investigated. The association between pre- and postoperative BCVA and these clinical factors was analyzed. Results: After enrolling 718 eyes of 662 patients, eyes were classified as ERM (592 eyes), MPH (76 eyes), ERM-FS (63 eyes), and LMH (42 eyes). Overlapping cases included MPH+ERM-FS (17 eyes), ERM-FS+LMH (14 eyes), MPH+LMH (18 eyes), and MPH+ERM-FS+LMH (3 eyes). The AL was significantly longer (p < 0.05) in MPH, ERM-FS, and LMH versus ERM. In all groups, BCVA significantly improved after vitrectomy. Although preoperative BCVA was not significantly different among the four groups, postoperative BCVA was significantly worse for LMH versus ERM (p < 0.001). Preoperative metamorphopsia was significantly more severe in ERM (0.52 ± 0.51) versus MPH (0.34 ± 0.29) (p < 0.05). Postoperative BCVA correlated with preoperative BCVA and age in all groups except LMH. Conclusions: Associated diseases often overlap and were more myopic than ERM. Postoperative BCVA was worse in LMH, while preoperative metamorphopsia was severe in ERM. These results highlight the importance of both clinical and functional evaluations in determining surgical indications and predicting visual outcomes. Full article
(This article belongs to the Section Ophthalmology)
Show Figures

Figure 1

17 pages, 413 KB  
Article
Axial Length to Corneal Radius of Curvature Ratio (AL/CR) and Refractive Errors in a Single Center Romanian Population
by Maria-Cristina Marinescu, Dana-Margareta-Cornelia Dascalescu, Dan Stanila, Sanda Jurja, Mihaela-Monica Constantin, Valeria Coviltir, Cristina Alexandrescu, Radu-Constantin Ciuluvica and Miruna-Gabriela Burcel
Biomedicines 2025, 13(11), 2742; https://doi.org/10.3390/biomedicines13112742 - 10 Nov 2025
Viewed by 835
Abstract
Background: Refractive errors are a common ophthalmological complaint, with a significant potential on the quality of life of our patients—myopia in particular has a growing incidence worldwide. Recent research focused on the ratio between the axial length of the eye (AL) and [...] Read more.
Background: Refractive errors are a common ophthalmological complaint, with a significant potential on the quality of life of our patients—myopia in particular has a growing incidence worldwide. Recent research focused on the ratio between the axial length of the eye (AL) and the corneal radius of curvature (CR), as it had proven valuable in refractive error diagnosis, and risk of progression and of complications. The objective of the study is to compare young emmetropic, hyperopic, and myopic eyes in terms of corneal biomechanics and ocular biometry, focusing on the AL/CR ratio. Methods: This cross-sectional study included 144 myopic eyes, 92 emmetropic eyes, and 47 hyperopic eyes. Measurements included cycloplegic autorefractometry (SE—spherical equivalent), Ocular Response Analyzer (CH—corneal hysteresis, CRF—corneal resistance factor), Aladdin biometry (AL, CR, ACD—anterior chamber depth, CCT—central corneal thickness, AL/CR ratio). Results: ACD, AL, and AL/CR were significantly higher and CCT, SE, CH, and CRF were lower in myopia. The AL/CR ratio correlated positively with AL and ACD and negatively with SE and CR in myopes and hyperopes, and correlated positively with AL and negatively with SE, CH, CRF, and CCT in emmetropes. Conclusions: The AL/CR ratio is significantly higher in myopes and significantly lower in hyperopes, compared to emmetropes, with differences also being in biomechanical properties (CH, CRF) and morphological ones (AL, CCT, ACD). This suggests the AL/CR ratio as a future potential biomarker for refractive errors, particularly for their risk of progression and complications. Full article
(This article belongs to the Special Issue Molecular Research in Ocular Pathology)
Show Figures

Figure 1

13 pages, 837 KB  
Article
Real-World Effectiveness of DIMS Spectacle Lenses for Myopia Control in a Turkish Pediatric Population: A Retrospective Study Using Age-Specific Physiological Growth Curves
by Nilay Akagun and Ugur Emrah Altiparmak
Children 2025, 12(11), 1435; https://doi.org/10.3390/children12111435 - 23 Oct 2025
Viewed by 1676
Abstract
Background/Objectives: This study aimed to evaluate the one-year real-world effectiveness of Defocus Incorporated Multiple Segments (DIMS) spectacle lenses in controlling myopia progression in a Turkish pediatric cohort and to identify predictors of treatment response using age-specific physiological growth curves. Methods: This retrospective single-center [...] Read more.
Background/Objectives: This study aimed to evaluate the one-year real-world effectiveness of Defocus Incorporated Multiple Segments (DIMS) spectacle lenses in controlling myopia progression in a Turkish pediatric cohort and to identify predictors of treatment response using age-specific physiological growth curves. Methods: This retrospective single-center study included 54 patients (108 eyes) aged 6–16 years with myopia who wore DIMS spectacle lenses full time for 12 months. The primary outcomes were spherical equivalent refraction (SER) success and axial length (AL)-based treatment response. Treatment success was defined as an SER progression of ≤0.50 dioptres per year and AL elongation within age-specific physiological limits. Subgroup analyses were performed according to age, gender, and the baseline AL group. Results: After 12 months, the mean AL elongation was 0.14 ± 0.31 mm, and the mean SER change was −0.28 ± 0.42 D. SER-based success was achieved in 85.2% of eyes. For AL-based response, 61.1% of eyes showed a good response, 16.7% showed a low–moderate response, and 22.2% had no response. Eyes with moderate baseline AL exhibited significantly less axial elongation than those with high baseline AL (p = 0.001). Children aged ≥ 10 years demonstrated better AL-based responses (p = 0.016). The baseline AL group significantly predicted the AL treatment response, while both the baseline AL group and gender predicted SER success. Gender was associated with SER outcomes but not with AL-based response. Conclusions: DIMS spectacle lenses effectively reduced myopia progression and axial elongation in this real-world Turkish pediatric cohort. Baseline AL and gender were significant predictors of treatment outcomes. Incorporating age-specific physiological growth curves provided an individualized framework for interpreting treatment success. Further prospective studies with larger samples and longer follow-up are warranted to confirm these findings. Full article
(This article belongs to the Section Pediatric Ophthalmology)
Show Figures

Figure 1

10 pages, 483 KB  
Article
Retinal and Choroidal Morphological Features Influencing Contrast Sensitivity in Retinitis Pigmentosa
by Francisco de Asís Bartol-Puyal, Beatriz Cordón Ciordia, Elisa Viladés Palomar, Carlos Santana Plata, Silvia Méndez-Martínez and Luis Pablo Júlvez
Medicina 2025, 61(9), 1681; https://doi.org/10.3390/medicina61091681 - 17 Sep 2025
Viewed by 617
Abstract
Background and Objectives: To find morphological features on optical coherence tomography (OCT) and OCT-angiography (OCTA) influencing contrast sensitivity (CS) in patients with retinitis pigmentosa (RP). Materials and Methods: Cross-sectional study enrolling 18 eyes of 18 patients with RP. They were examined [...] Read more.
Background and Objectives: To find morphological features on optical coherence tomography (OCT) and OCT-angiography (OCTA) influencing contrast sensitivity (CS) in patients with retinitis pigmentosa (RP). Materials and Methods: Cross-sectional study enrolling 18 eyes of 18 patients with RP. They were examined with CSV1000-E (VectorVision) under mesopic conditions (logarithmic scale), spectral-domain OCT (SD-OCT, Spectralis), swept-source OCT (SS-OCT, Triton), and OCTA (Triton). Automatic thickness measurements of every retinal layer were obtained in grids of 8 × 8 and 10 × 10 cubes. Foveal avascular zone and vascular densities (VD) were also analyzed. Statistical analysis included multiple lineal regression analyses, and a correlation analysis between age, axial length, and intraocular pressure, and retinal nerve fiber layer (RNFL) thickness. Results: Mean age was 47.34 ± 13.77 years. Mean CS with 3, 6, 12, and 18 cycles/degree (c/d) was 1.48 ± 0.37, 1.51 ± 0.39, 1.00 ± 0.42, and 0.44 ± 0.39, respectively. The most related variables to 3 c/d frequency were nasal RFNL thickness (R2 = 0.54) and central outer plexiform layer (OPL) (R2 = 0.33). In case of 6 c/d frequency, it was central VD in deep plexus (R2 = 0.66), and retinal pigment epithelium (RPE) (R2 = 0.22). As for 12 c/d frequency, it was central RNFL (R2 = 0.50), and central VD in deep plexus (R2 = 0.26). Regarding 18 c/d frequency, it was central RNFL (R2 = 0.70). Conclusions: Central and nasal RNFL thickness seem to be main predictors of CS in patients with RP, as well as VD in deep retinal plexus. Others with limited influence might be central and nasal OPL thickness, and central RPE thickness. Full article
(This article belongs to the Special Issue Advances in Diagnosis and Therapies of Ocular Diseases)
Show Figures

Figure 1

10 pages, 1588 KB  
Article
Ocular Biometry and Refractive Prediction in Short Eyes: A Comparison of Two Swept-Source Optical Coherence Tomography-Based Biometers
by Jiyun Seong and Sang Beom Han
Bioengineering 2025, 12(9), 983; https://doi.org/10.3390/bioengineering12090983 - 16 Sep 2025
Viewed by 838
Abstract
Purpose: To compare the performance of two swept-source optical coherence tomography-based biometers in the measurement of ocular biometry and the prediction of postoperative refractive errors in eyes with short axial length (AL). Methods: A total of 48 eyes from 29 patients with AL [...] Read more.
Purpose: To compare the performance of two swept-source optical coherence tomography-based biometers in the measurement of ocular biometry and the prediction of postoperative refractive errors in eyes with short axial length (AL). Methods: A total of 48 eyes from 29 patients with AL ≤ 22 mm were included. AL, anterior chamber depth (ACD), keratometry (K), and lens thickness (LT) measured using the IOLMaster® 700 and ARGOS® before cataract surgery were compared. The refractive error prediction accuracy of the two devices was also compared. Results: This study included four men (7 eyes) and 25 women (41 eyes), with an average age of 70.7 ± 8.1 years (mean ± SD; range, 47–82 years). The two devices demonstrated good agreement in measurements of ocular biometry with high intraclass correlation coefficients (AL = 0.975; ACD = 0.957; K = 0.988; LT = 0.994). However, AL and ACD were significantly shorter when measured with the IOLMaster® 700 compared to the ARGOS® (p < 0.001 for both). There was no significant difference in mean absolute prediction errors between the two devices (p = 0.423). The IOLMaster® 700 showed a significantly lower mean prediction error than the ARGOS® (+0.12 ± 0.39 diopters vs. +0.20 ± 0.39 diopters, p = 0.006), although the difference was of limited clinical relevance. There were no significant differences in the percentages of eyes within ± 0.50 D (77.1% vs. 75.0%, p = 0.811) and ± 1.00 D (100% vs. 97.9%, p = 0.315) of the predicted refractive error. Conclusions: Although IOLMaster® 700 and ARGOS® showed good agreements in eyes with short AL, significant differences were observed in the measurements of AL and ACD. Both devices demonstrated good efficacy and comparable performance in predicting postoperative refractive errors. Full article
Show Figures

Figure 1

14 pages, 3520 KB  
Article
Anterior Chamber Configuration and Its Related Factors Among 8-Year-Old Children in the Yamanashi Adjunct Study of the Japan Environment and Children’s Study
by Mingxue Bao, Ryo Harada, Yuka Kasai, Natsuki Okabe, Airi Takahashi, Chio Kuleshov, Yumi Shigemoto, Tadao Ooka, Hiroshi Yokomichi, Kunio Miyake, Reiji Kojima, Ryoji Shinohara, Hideki Yui, Sanae Otawa, Anna Kobayashi, Megumi Kushima, Zentaro Yamagata, Kenji Kashiwagi and on behalf of The Yamanashi Adjunct Study of the Japan Environment and Children’s Study Group
J. Clin. Med. 2025, 14(15), 5454; https://doi.org/10.3390/jcm14155454 - 3 Aug 2025
Cited by 1 | Viewed by 870
Abstract
Objective: This study aims to examine the anterior chamber structure and related factors in 8-year-old children based on data from The Yamanashi Adjunct Study of the Japan Environment and Children’s Study (JECS). Methods: A total of 709 children aged 8 years [...] Read more.
Objective: This study aims to examine the anterior chamber structure and related factors in 8-year-old children based on data from The Yamanashi Adjunct Study of the Japan Environment and Children’s Study (JECS). Methods: A total of 709 children aged 8 years (350 boys and 359 girls) who participated in the JECS Adjunct Study were included. The right eyes were primarily used for measurements. Optical Coherence Tomography (OCT) was utilized to scan the anterior chambers of the participants’ eyes. The following parameters were measured: Angle Opening Distance (AOD500, 750), Trabecular Iris Space Area (TISA500, 750), Anterior Chamber Angle (ACA500, 750), Peripheral Iris Thickness (IT500, 750), and Peripheral Corneal Thickness (PCT500, 750). The relationships between anterior chamber structure, axial length (AL), spherical equivalent (SE), logMAR (without correction), and body height were analyzed. Results: A significant negative correlation was found between SE and ACA (500: coefficient = −0.19; 750: −0.24), AOD (500: −0.19; 750: −0.24), and TISA (500: −0.17; 750: −0.23) (p < 0.001). Conversely, a significant positive correlation was observed between AL and ACA (500: 0.22; 750: 0.26), AOD (500: 0.25; 750: 0.30), and TISA (500: 0.24; 750: 0.29) (p < 0.001). Boys exhibited a longer AL (boys: girls = 23.30 ± 0.76 mm; girls = 22.79 ± 0.72 mm) and greater CT (500: boys = 812.82 ± 51.94 mm; girls = 784.48 ± 51.81 mm; 750: boys = 776.01 ± 48.64 mm; girls = 751.34 ± 49.63 mm) compared to girls (p < 0.001) despite no significant difference in body height. CT and IT showed no correlation with AL or SE, and visual acuity had minimal correlation with IT and CT. Conclusions: In our cohort of eight-year-old children, the anterior chamber angle structure correlates with ocular structures and refractive error, revealing notable differences between boys and girls. Full article
(This article belongs to the Section Ophthalmology)
Show Figures

Figure 1

17 pages, 5854 KB  
Article
Interpupillary Distance and Peripapillary Myopic Changes: A Pilot Study in a Glaucomatous Cohort
by Sameer Butt and Adèle Ehongo
J. Clin. Med. 2025, 14(14), 4895; https://doi.org/10.3390/jcm14144895 - 10 Jul 2025
Viewed by 1640
Abstract
Background/Objectives: Myopia is associated with peripapillary changes, namely, gamma peripapillary atrophy (γPPA) and optic disc ovalization, estimated by the ovality index (OI). These changes have been suggested to be promoted by adduction. Recent studies highlight that near reading significantly contributes to the [...] Read more.
Background/Objectives: Myopia is associated with peripapillary changes, namely, gamma peripapillary atrophy (γPPA) and optic disc ovalization, estimated by the ovality index (OI). These changes have been suggested to be promoted by adduction. Recent studies highlight that near reading significantly contributes to the development and progression of myopia and that the interpupillary distance (IPD) influences vergence amplitudes. While both adduction and convergence are involved during near reading, a potential link between IPD and myopic peripapillary changes has not yet been explored. We, therefore, sought to determine whether IPD is related to the OI or γPPA width. Methods: In this monocentric cross-sectional study, 100 eyes from 100 adults (mean age of 62.6 ± 13.7 years) were analyzed. Axial length (AL), refractive error, and IPD were recorded. The OI and γPPA width were assessed using spectral-domain Optical Coherence Tomography. Pearson correlations and multivariable linear regressions were performed, adjusting for age, gender, and myopia status. Results: IPD showed no significant correlation with the OI (r = 0.001; p = 0.989) or γPPA (r = −0.028; p = 0.789). A weak, non-significant correlation was found between IPD and AL (p = 0.059). In contrast, AL was strongly correlated with both a lower OI and wider γPPA (p < 0.001). Conclusions: These findings suggest that IPD-related biomechanical forces do not influence optic nerve head (ONH) shape or γPPA. Axial elongation remains the key driver of myopic ONH remodeling. Full article
(This article belongs to the Section Ophthalmology)
Show Figures

Figure 1

10 pages, 1611 KB  
Communication
Design of Eye Models for Quantitative Analysis of Interactions Between Ocular Aberrations and Intraocular Scattering
by Feng Rao, Lin Zhang, Xinheng Zhao, Jing Li, Jie Hou and Yan Wang
Photonics 2025, 12(7), 657; https://doi.org/10.3390/photonics12070657 - 30 Jun 2025
Viewed by 624
Abstract
Based on the widely used Gullstrand–Le Grand eye model, a scattering individual eye model was constructed with Zemax, which has individual ocular wavefront aberration and the scattering particles distributed in the eye. There are three main steps to build the model. Firstly, the [...] Read more.
Based on the widely used Gullstrand–Le Grand eye model, a scattering individual eye model was constructed with Zemax, which has individual ocular wavefront aberration and the scattering particles distributed in the eye. There are three main steps to build the model. Firstly, the Gullstand-Le Grand eye model was constructed, and converted into a non-sequential model. The axial lengths of all ocular components, and the corneal curvatures were input into the optical model. Secondly, a high-order aspheric surface-Zernike Fringe Sag surface was chosen to fit the wavefront aberrations measured with the ocular wavefront aberrometer. Thirdly, an embedded scattering lens within the crystalline lens was developed, of which parameters of scattering particles can be selected flexibly. The scattering individual eye model can be used to quantitatively investigate interaction between ocular aberrations and scattering light on retina image quality. The results demonstrated that when scattering particles were uniformly distributed across the optical pupil, MTFs at all spatial frequencies decreased proportionally with increasing particle density, independent of aberrations. When scattering particles were located in regions with smaller wavefront aberrations, the combined effect of scattering and aberrations synergistically degraded retinal image quality. In contrast, when particles were concentrated in zones of larger aberrations, the scattered light could partially compensate for the aberrational effects, leading to improved optical performance Full article
Show Figures

Figure 1

Back to TopTop